МРТ при травме подошвенной пяточно-ладьевидной связки
Добавил пользователь Владимир З. Обновлено: 23.11.2025
В современном мире классификация плоскостопия происходит по двум критериям.
Это мобильность деформации и жалобы пациента. По критерию мобильности выделяют мобильные и ригидные формы плоскостопия, а по критерию наличия и отсутствия жалоб выделяют симптоматические и бессимптомные формы плоскостопия.
Вальгус – это один из компонентов плоскостопия. Плоскостопие по своему определению называется «плосковальгусная стопа». Только плоскостопие – это компонент деформации в одной плоскости, а вальгус – это компонент деформации в другой плоскости, во фронтальной.
У любого здорового человека имеется физиологический вальгус заднего отдела стопы, физиологический вальгус пятки 5-7 градусов. Физиологический вальгус, как говорит это слово само за себя – явление физиологическое, то есть – нормальное. 5-7 градусов – это среднее значение, и существуют довольно большие вариации этого среднего, которые в большинстве своем не являются патологическими.
То есть основной причиной снижения свода стопы у человека является слабость связок, наличие гипермобильности. Если у человека есть слабость связок, то рано или поздно у него будут проблемы и со стопой, и с позвоночником.
Недостаточность (или дисфункция) сухожилия задней большеберцовой мышцы – самая частая причина приобретённого плоскостопия у взрослой популяции. Наиболее распространена у женщин, часто возникает на шестой декаде жизни. Факторами риска являются быстрый набор веса, ожирение, занятия спортом, серопозитивные артропатии, серонегативная спондилоартропатия. В редких случаях причиной дисфункции сухожилия задней большеберцовой мышцы может стать острая травма.

Патофизиология недостаточности сухожилия задней большеберцовой мышцы.
Выделить какой - то один фактор, приводящий к дисфункции сухожилия задней большеберцовой мышцы не представляется возможным, в 20% случаев пациенты указывают на острую травму в анамнезе. Дегенерация сухожилия происходит в плохо кровоснабжаемой области дистальнее внутренней лодыжки. Начинается как теносиновит, но в итоге приводит к тендинозу сухожилия с болезненным, удлинённым и утолщённым сухожилием.
Далее происходит последовательная дегенерация структур поддерживающих продольный свод стопы – переднемедиальной пяточно-ладьевидной связки, подошвенной фасции, подошвенных связок. Происходит подошвенно-внутренняя миграция головки таранной кости, с уплощением продольного свода стопы. В более поздних стадиях возникает ригидная костная деформация.
Патоанатомия недостаточности сухожилия задней большеберцовой мышцы.
Задняя большеберцовая мышца берёт начало от задней поверхности малоберцовой кости, большеберцовой кости, и межкостной мембраны. Иннервируется задним большеберцовым нервом. Её сухожилие проходит кзади от внутренней лодыжки, и делится на три пучка:
- Передний пучок прикрепляется к бугристости ладьевидной кости и к первой клиновидной кости.
- Средний пучок прикрепляется ко второй и третьей клиновидным костям.
- Задний пучок прикрепляется к передней поверхности Sustentaculum tali.
Кровоснабжение сухожилия происходит из бассейна задней большеберцовой артерии. Наиболее бедно кровоснабжается участок между внутренней лодыжкой и ладьевидной костью.
Основная функция заднего большеберцового сухожилия – инверсия заднего отдела стопы, аддукция и супинация переднего отдела стопы. Основным антагонистом задней большеберцовой мышцы выступает короткая малоберцовая мышца.
Когда задняя большеберцовая мышца напряжена она блокирует поперечные суставы предплюсны, обеспечивая жёсткий рычаг для толчковой фазы ходьбы.
Классификация недостаточности сухожилия задней большеберцовой мышцы.
Деформация
Данные осмотра
Данные рентгенографии
Деформация отсутствует. Теносиновит.
Может встать на мыске одной ноги

Норма
Динамическое плоскостопие заднего отдела стопы, нормальный передний отдел стопы.
При вставании на мыске одной ноги появляется лёгкая подтаранная боль
Коллапс продольного свода стопы

Динамическое плоскостопие заднего отдела стопы, отведение переднего отдела стопа ( симптом «слишком много пальцев», >40% дефекта покрытия ладьевидной костью суставной поверхности таранной кости)
При вставании на мыске одной ноги появляется лёгкая подтаранная боль
Коллапс продольного свода стопы.
Ригидное плоскостопие. Ригидное отведение переднего отдела стопы.
Ригидная вальгусная деформация заднего отдела стопы.
При вставании на мыске одной ноги появляется выраженая подтаранная боль
Коллапс продольного свода стопы, подтаранный артрит.

Ригидное плоскостопие. Ригидное отведение переднего отдела стопы.
Ригидная вальгусная деформация заднего отдела стопы. Компрометация дельтовидной связки.
При вставании на мыске одной ноги появляется выраженая подтаранная боль, боль в голеностопном суставе.
Коллапс продольного свода стопы, подтаранный артрит.
Хронический подвывих в голеностопном суставе.

Симптомы недостаточности сухожилия задней большеберцовой мышцы.
- Боль по внутренней поверхности голеностопного сустава.
- Прогрессивная потеря свода стопы.
- На поздних стадиях присоединяется боль по наружной поверхности голеностопного сустава из-за малоберцового импиджмента.
- При клиническом осмотре определяется плоская стопа за счёт коллапса внутреннего продольного свода.


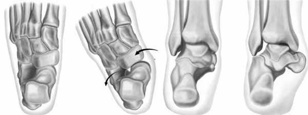
Определяется вальгусная деформация заднего отдела стопы – динамическое на 2 стадии, ригидное на 3-4.

На ранних стадиях отмечается отсутствие нормальное инверсии пяточной кости при вставании на мыски.

На 2 Б стадии присоединяется деформация переднего отдела стопы, он смещается кнаружи, приводя к появлению симптома названного «слишком много пальцев».

На этой стадии определяется недостаточное покрытие головки таранной кости ладьевидной костью, за счёт смещения первой кнутри. При этом определяется боль за верхушкой внутреней лодыжки. Начиная со второй стадии пациенты часто не могут выполнить тест подъёма на мысок одной ноги из-за боли в подтаранном синусе. Начиная с 3 стадии деформация стопы становится ригидной, то есть не исчезает и в отсутствие нагрузки.
Инструментальные методы исследования в диагностике недостаточности сухожилия задней большеберцовой мышцы.
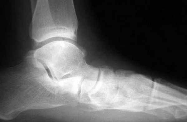
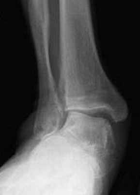
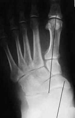
В первую очередь показано выполнение рентгенографии с нагрузкой в прямой и боковой проекции. При этом в прямой проекции выявляется неполное покрытие суставной поверхности головки таранной кости ладьевидной костью, увеличенный угол между таранной костью и первой плюсневой костью (угол Simmon), что встречается со 2 А стадии.

На боковых рентгенограммах определяется увеличенный таранно-плюсневый угол (угол Meary >4° свидетельствует о плоской стопе). Также снижается угол высоты пяточной кости (в норме 17-32°).

На 3-4 стадиях определяются признаки подтаранного артрита, на 4 стадии появляется картина подвывиха таранной кости в голеностопном суставе.
В случаях трудностей в дифференциальной диагностике показано выполнение МРТ голеностопного сустава, на котором можно выявить как изменения собственно сухожилия, так и степень остеохондральных повреждений.
Дифференциальная диагностика недостаточности сухожилия задней большеберцовой мышцы.
Следует учитывать, что дифференциальная диагностика данного заболевания довольно сложна и обширна и включает целый ряд как редких так и распространённых заболеваний стопы и голеностопнго сустава. К ним относятся: артрит внутренней лодыжки, нестабильность голеностопного сустава с повреждением дельтовидной связки, стресс преломы медиальной лодыжки или таранной кости, рассекающий остеохондрит медиальной части купола тараной кости, синдром тарсального туннеля, Тарсальные коалиции в группе молодых пациентов, подтаранный артрит, артит суставов медиальной колонны стопы, симптомная добавочная ладьевидная кость, стресс перелом или отрывной перелом медиального полюса ладьевидной кости, разрыв или тендиноз сухожилий длинного сгибателя большого пальца или длинного сгибателя пальцев стопы, разрыв сухожилия передней большеберцовой мышцы, кристаллический или аутоиммунный артрит суставов стопы, хроническое повреждение в суставе Лисфранка, недостаточность связки Spring.
Лечение недостаточности сухожилия задней большеберцовой мышцы.
Консервативное лечение.
На 1-2 стадии заболевания лечение в основном консервативное: уставнока ортопедических стелек Medical orthoses "Formthotics" с выкладкой продольного свода. Занятия спортом и длительные статические нагрузки осуществлять только в обуви с ортезами; А также специальные упражнения в засисимости от типа и степени уплощения.
МРТ при травме подошвенной пяточно-ладьевидной связки
МРТ при травме подошвенной пяточно-ладьевидной связки
а) Визуализация:
1. Общая характеристика:
• Лучший диагностический критерий:
о В случае разрыва связка при МРТ утолщена, имеет неровный контур либо прерывается
• Локализация:
о Верхнемедиальный пучок повреждается в результате хронической травматизации или дегенеративных изменений; травмируется чаще других
о Разрыв нижних пучков может происходить в результате травмы
2. Рентгенография:
• Может выявляться плоскостопие
(Левый) При МРТ в сагиттальной плоскости на Т1ВИ определяется нарушение целостности верхнемедиального пучка подошвенной пяточно-ладьевидной связки. Оценивать связку следует во всех трех плоскостях, чтобы исключить эффект частичного объема.
(Правый) У этого же пациента при МРТ в сагиттальной плоскости в режиме STIR подтверждается разрыв верхнемедиального пучка подошвенной пяточно-ладьевидной связки она растянута и утолщена. Отек костного мозга в головке таранной кости обусловлен отсутствием ее поддержки подошвенной пяточно-ладьевидной связкой и нарушением биомеханики движения. (Левый) У этого же пациента при МРТ в коронарной плоскости на ППВИ определяется гетерогенная структура утолщенного подошвенного пучка подошвенной пяточно-ладьевидной связки. Вблизи выявляется нечеткий контур разорванной большеберцово-пяточно-ладьевидной связки Сухожилие задней большеберцовой мышцы окружено аморфным мягкотканным субстратом.
(Правый) У этого же пациента при МРТ в коронарной плоскости на Т2ВИ в режиме FS визуализируется дефекта между волокнами подошвенной пяточно-ладьевидной и больше-берцово-пяточно-ладьевидной связок. Также выявляется выраженный тендовагинит задней большеберцовой мышцы. (Левый) При МРТ в аксиальной плоскости на ППВИ в режиме FS определяется интактный продольный нижний подошвенный пучок подошвенной пяточно-ладьевидной связки. Медиально выявляется скопление жидкости, обусловленное разрывом верхнемедиального пучкам.
(Правый) У этого же пациента при МРТ в аксиальной плоскости на ППВИ в режиме FS на срезе, проходящем чуть выше, визуализируется разрыв большеберцово-ладьевидного и большеберцово-пяточно-ладьевидного пучков поверхностного слоя дельтовидной связки. Также выявляется тендинопатия задней большеберцовой мышцы.
3. МРТ повреждения подошвенной пяточно-ладьевидной связки:
• При разрыве связка выглядит растянутой, волнистой либо прерывается
• В случае ретракции культя связки может утолщаться
• Подтвердить разрыв связки бывает достаточно трудно:
о Часто стопа находится в положении пронации, вследствие чего изменяется ход связки
о Следует тщательно сопоставлять выявленные в разных плоскостях патологические изменения
3. Рекомендации по визуализации:
• Лучший метод визуализации:
о МРТ
• Рекомендации по выбору протокола:
о Вследствие небольшого размера пучков и косого их хода рекомендуется выполнять томографию с толщиной среза 3 мм
о В поле зрения должна входить область от большеберцово-таранного сустава до предплюсне-плюсневых суставов:
- Позволяет обнаружить часто встречающиеся сопутствующие патологические изменения
о Чувствительные к жидкости последовательности, аксиальная и коронарная плоскости
о Для оценки анатомии-Т1 ВИ и ППВИ в сагиттальной и коронарной плоскостях
(Левый) При МРТ в сагиттальной плоскости на Т1ВИ определяется утолщение и нарушение целостности подошвенной пяточно-ладьевидной связки. Видна область ладьевидной кости, к которой должна прикрепляться связка.
(Правый) У этого же пациента при МРТ в сагиттальной плоскости в режиме STIR возле ожидаемого места прикрепления подошвенной пяточно-ладьевидной связки к ладьевидной кости визуализируется аморфный изо-интенсивный субстрат. В области отхождения связки от опоры таранной кости выявляется жидкость. Поскольку разрыв подошвенной пяточно-ладьевидной связки, как правило, бывает хроническим, часто обнаруживают еще и рубцы. (Левый) Молодой пациент, перенесший травматический разрыв подошвенной пяточно-ладьевидной связки. При МРТ в аксиальной плоскости на ППВИ в режиме FS определяется разрыв косого медиального подошвенного пучка. Продольный нижний подошвенный пучок в месте отхождения не изменен. На срезе выявляется лишь часть каждого пучка, что в сочетании с их небольшим размером затрудняет обнаружение разрыва.
(Правый) У этого же пациента при МРТ в коронарной плоскости на Т2ВИ в режиме FS подтверждается разрыв волокон возле места прикрепления связки к ладьевидной кости. (Левый) Молодой пациент, перенесший травматический разрыв подошвенной пяточно-ладьевидной связки. При МРТ в сагиттальной плоскости в режиме STIR в ожидаемой области расположения связки определяется жидкость.
(Правый) У этого же пациента при МРТ в сагиттальной плоскости в режиме STIR на срезе, проходящем латеральнее, визуализируется разрыв подошвенных пучков связки.
в) Дифференциальная диагностика травмы подошвенной пяточно-ладьевидной связки:
1. Разрыв сухожилия задней большеберцовой мышцы или ее тендинопатия:
• Подошвенная пяточно-ладьевидная связка может растягиваться вследствие выраженной дисфункции при разрыве сухожилия задней большеберцовой мышцы
2. Повреждение дельтовидной связки:
• Тоже проявляется болями с медиальной стороны голеностопного сустава
3. Стресс-перелом ладьевидной кости:
• Тупые боли в среднем отделе стопы
4. Заворот подошвенной пяточно-ладьевидной связки:
• Соответствует встречаемому в норме завороту синовиальной оболочки таранно-ладьевидно-пяточного сустава
• Жидкость распространяется между нижними пучками подошвенной пяточно-ладьевидной связки
г) Патология:
1. Общая характеристика:
• Сопутствующие патологические изменения:
о Разрыв сухожилия задней большеберцовой мышцы или ее тендинопатия
о Разрыв поверхностного слоя дельтовидной связки (чаще всего большеберцово-пяточно-ладьевидного и большеберцово-ладьевидного пучков)
о Плоскостопие
2. Краткие анатомические сведения:
• Подошвенная пяточно-ладьевидная связка состоит из трех пучков:
о Верхнемедиальный: соединяет медиальную поверхность опоры таранной кости и ладьевидную кость:
- В него вплетаются волокна большеберцово-пяточно-ладьевидной связки:
Является пучком поверхностного слоя дельтовидной связки
о Некоторые авторы относят его к комплексу подошвенной пяточно-ладьевидной связки:
- Располагается глубже сухожилия задней большеберцовой мышцы
о Продольный нижний подошвенный: соединяет тело пяточной кости и ладьевидную кость
о Косой медиальный подошвенный: соединяет передний край опоры таранной кости и ладьевидную кость
о Пучки характеризуются слоистой структурой
д) Клинические особенности:
1. Проявления:
• Типичные признаки/симптомы:
о Болезненное плоскостопие
• Клинический профиль:
о Как правило, связка повреждается в результате дегенеративных изменений:
- Встречается при разрыве сухожилия задней большеберцовой мышцы или ее тендинопатии
о В редких случаях связка повреждается вследствие травмы
2. Течение и прогноз:
• Прогрессирование плоскостопия, остеоартроза
3. Лечение:
• Связка может быть восстановлена хирургически, в том числе вместе с сухожилием задней большеберцовой мышцы
е) Диагностическая памятка:
1. Следует учесть:
• Риск повреждения подошвенной пяточно-ладьевидной связки повышается при разрыве сухожилия задней большеберцовой мышцы
2. Советы по интерпретации изображений:
• Поскольку связка имеет небольшой размер, томограммы следует тщательно оценивать во всех трех плоскостях
Что показывает МРТ голеностопного сустава

Магнитно-резонансная томография голеностопа – это высокоточное исследование с помощью специального аппарата, работающего на принципе ядерного резонанса магнитных волн. Во время сканирования томографическая установка выдает трехмерное послойное изображение высокого качества обследуемого участка тела. С помощью МРТ снимков врач ортопед-травматолог может досконально изучить структуру и состояние сухожилий, хрящей, мягких и костных тканей голеностопной области. Сканы голеностопа в разных плоскостях помогают ему выявить местоположение и объемы опухолей, что очень важно при подготовке к медицинскому вмешательству.
БЕСПЛАТНАЯ
КОНСУЛЬТАЦИЯ О ДИАГНОСТИКЕ
Если сомневаетесь, запишитесь на бесплатную консультацию.
Или проконсультируйтесь по телефону
Показания
- боль и отек сустава;
- нарушение его подвижности;
- онемение любой области стопы;
- частые вывихи голеностопа.
сколько стоит магнитно-резонансная томография голеностопного сустава
МРТ сакроилеальных сочленений
МРТ плечевого сплетения ( МРТ шейный отдел позвоночника и плечевого сустава)
Что входит в стоимость
- Подготовка пациента
- Диагностика на томографе
- Расшифровка данных (томограмм)
- Оформление письменного заключения
- Запись снимков на носитель по выбору клиники (пленка, флешка, CD диск)
- Контрастное усиление при томографии с контрастом всегда оплачивается дополнительно, исходя из веса пациента.
- Варианты оборудования, установленного в наших центрах: компьютерные томографы 16 срезов, 32 срезов, 64 срезов, 124 срезов, 160 срезов, магнитно-резонансные томографы открытого типа 0.4Т, полуоткрытого типа 1.5Т, закрытого типа 1.5Т, полузакрытого типа 1.5Т закрытого типа 3.0Т
Что покажет МРТ голеностопного сустава
- нарушения соотношений структур в суставе;
- конфигурацию костей, образующих голеностопный сустав;
- развитие выемки, образуемой лодыжками;
- изменения синовиальной оболочки;
- истончение суставных хрящей;
- сужения суставной щели;
- особенности строения подтаранного и таранно-ладьевидного сустава;
- удлинение переднего отростка пяточной кости;
- удлинение латерального бугорка заднего отростка таранной кости;
- качество жировой клетчатки;
- скопление суставной жидкости;
- состояние задней таранно-малоберцовой связки;
- состояние межкостной связки между таранной и пяточной костями;
- толщину и ход Ахиллова сухожилия;
- качество параартикулярных мягких тканей.
Данные томографии позволят провести дифференциальную диагностику следующих заболеваний:
- повреждения связок;
- внутрисуставной выпот;
- импинджмент-синдрома;
- фиброзная пяточно-ладьевидная коалиция;
- пяточная шпора;
- тендинит и теносиновит сухожилий;
- нейрогенная артропатия;
- синовит;
- растяжение лодыжки;
- деформирующий артроз и артрит.
Как делают томографию голеностопа
- наличие в теле металлических предметов (кардиостимуляторов, инсулиновых помп, слуховых аппаратов, протезов, осколков);
- татуировки, выполненные чернилами, содержащими металл;
- большой вес пациента (более 200 кг).
Перед началом процедуры пациенту необходимо удостовериться, что ему комфортно и удобно, поскольку процедура сканирования длится 30-40 минут. В это время нельзя двигаться, чтобы не смазать получаемые сканы. Томография – совершенно безболезненная процедура. Единственное, что может ощущать пациент, это тепло в обследуемой области. Пугаться этого не стоит, такая реакция тканей на магнитное поле абсолютно нормальна. По завершении диагностики голеностопа и тканей голеностопного сустава в большинстве МРТ центров СПБ результаты исследования выдаются сразу в течение 30-40 минут. Пациент может подождать их в клинике или же прийти за ними на следующей день.
Преимущества МРТ процедуры
У магнитно-резонансной томографии есть целый ряд преимуществ. Самое главное – этот метод диагностики абсолютно безопасен для здоровья человека. Пациент не подвергается лучевому воздействию, потому МР-скрининг можно делать чаще, чем тот же рентген или компьютерную томографию. К тому же, томография неинвазивна, а значит, не нарушает целостность кожного покрова. У этой процедуры больше преимуществ и в плане постановки диагнозов. Точность томографического исследований по различным данным составляет 95%. МР-сканирование голеностопа и лодыжки позволяет одновременно определить заболевания и повреждения связок, мышц, сухожилий, костных и хрящевых тканей. Оно может быть полезной для определения необходимости хирургического вмешательства и иногда является единственным способом обнаружить аномалии, которые не показывают другие виды диагностики - УЗИ, рентген или КТ
Расшифровка
Пример расшифровки снимков МРТ голеностопного сустава
На серии МРТ правого голеностопного сустава соотношения в суставе не нарушены.
Определяется выраженный отек подкожной жировой клетчатки латеральных отделов.
В полости голеностопного и подтаранного суставов отмечается скопление жидкости. Синовиальная оболочка достоверно не изменена.
Кости, образующие голеностопный сустав, имеют обычную конфигурацию и расположены правильно. Выемка, образуемая лодыжками, развита хорошо. Патологических сигналов от лодыжек не выявлено. В краевых верхненаружных отделах блока таранной кости отмечаются локальные участки неинтенсивного, вероятно контузионного, трабекулярного отека.
Дельтовидная связка типичной структуры, без признаков нарушения целостности поверхностной и глубокой порций связки. Сухожилия длинного сгибателя большого пальца, длинного сгибателей пальцев, задней большеберцовой мышцы однородной структуры. Структура сухожилий малоберцовых мышц однородная. Передняя и задняя нижние межберцовые связки сохранены, межберцовый синдесмоз равномерный на всем протяжении. Передняя таранно-малоберцовая связка неоднородной структуры, прослеживаются немногочисленные волокна с признаками натяжения. Задняя таранно-малоберцовая связка определяется на всем протяжении, сигнал от связки неоднородный, отмечается продольное разволокнение связки, общее натяжение связки сохранено. Пяточно-малоберцовая связка прослеживается на всем протяжении, неоднородной структуры за счет отека и частичного повреждения волокон. Ахиллово сухожилие имеет нормальную толщину, ход и характеристики сигнала. Окружающая сухожилие жировая ткань не изменена. Сухожилия и подошвенный апоневроз без особенностей.
Суставные хрящи голеностопного и подтаранного суставов не истончены. Суставные полости правого голеностопного и подтаранного суставов не сужены.
Заключение: МР-признаки разрыва передней таранно-малоберцовой связки; повреждения передней таранно-малоберцовой и частичного повреждения пяточно-малоберцовой связок. Синовит.
Что показывает МРТ голеностопного сустава

приходится до 25% от общего количества травм опорно-двигательного аппарата и 40-60% от числа повреждений нижней конечности. Диагностировать патологии области сочленения ноги и ступни можно с помощью рентгена, КТ и МРТ. Данные рентгенографии и компьютерной томографии в большей степени сфокусированы на визуализации костных тканей. Магнитно-резонансная томография явилась методом комплексной оценки повреждений голеностопного сустава и стопы. Её чувствительность в диагностике травматических повреждений и дегенеративных патологии в среднем составляет 98%, специфичность - 89%, точность - 94%. МРТ голеностопа позволяет получить четкие послойные снимки костей голеностопного сустава, хрящей, связочного аппарата, сухожилий, сосудов и окружающих их мягких тканей.
Что покажет МРТ голеностопного сустава?
Магнитно-резонансная томография дает прекрасную возможность врачам диагностировать такие сложные заболевания, как:
- бурситы, фасцииты;
- невралгию заднего большеберцового нерва;
- энтезопатию ахиллова сухожилия;
- атрофию сухожилия;
- вальгусную деформацию стопы;
- отрывы, разрывы, надрывы мышц и сухожилий.
Ее данные играют важную роль в разработке плана оперативного вмешательства на ноге и ступне или медикаментозного лечения.
Что видно на МРТ голеностопа?
В ходе томографии голеностопного сустава оцениваются следующие анатомические аспекты:
- Взаимоотношения суставных поверхностей в голеностопном суставе и выпот стопы.
- Состояние подтаранного сустава.
- Проверяется, что медиальная и латеральная лодыжки не повреждены. Сухожилия задней и передней большеберцовых мышц, длинного сгибателя пальцев, длинной и короткой малоберцовых мышц не изменены или воспалены.
- Нет ли деформации и воспаления по ходу сухожилия задней б/берцовой мышцы.
- Дельтовидная связка носит целостный характер.
- Перонеальный удерживатель сухожилий не изменен.
- Передняя и задняя межберцовые связки не повреждены, щель межберцового синдесмоза равномерна и не расширена.
- Передняя малоберцово-таранная связка не определяется за счет отрыва от наружной лодыжки.
- Задняя малоберцово-таранная связка утолщена и разволокнена за счет растяжения и определяется на всем протяжении.
- Задний край таранной кости не деформирован.
- Пяточное (Ахиллово) сухожилие без патологических особенностей. Подошвенная фасция равномерно утолщена, а тарзальный канал не изменен.
- Собственно голеностопный и подтаранный суставы не деформированы.
- Мышцы не деформированы и однородны по интенсивности МР-сигнала.
МРТ плечевого сплетения (МРТ шейный отдел позвоночника и плечевого сустава)
ПОДГОТОВКА К ПРОЦЕДУРЕ
МРТ голеностопного сустава чаще всего проводится без контраста и не требует никакой специальной подготовки. В диагностических клиниках Санкт-Петербурга для томографии голеностопного сустава применяют томографы закрытого и открытого типов. Такое исследование в комфортных условиях занимает около 30 минут. Перед МРТ пациенту необходимо снять с себя все металлические предметы. Для получения качественных МРТ снимков диагностируемый не должен двигаться. Поэтому перед началом обследования необходимо принять комфортное положение. Заключение выдается через час после исследования или высылается по электронной почте.
В большинстве медицинских центров СПб в стоимость томографии голеностопа входит сканирование, запись снимков на электронный носитель и письменное заключение врача-рентгенолога. Некоторые центры в качестве бесплатного бонуса предлагают пройти консультацию у врача-ортопеда по результатам МРТ голеностопного сустава.
Расшифровка
На серии МР-томограмм визуализированы структуры левого голеностопного сустава. Соотношения в голеностопном, подтаранном суставах не нарушены, патологического выпота в полости голеностопного сустава не выявлено. Синовиальная оболочка не дифференцируется. Хрящевое покрытие голеностопного, подтаранного и таранно-ладьевидного суставов неравномерно истончено. Суставные полости голеностопного, подтаранного и таранно-ладьевидного суставов слева умеренно неравномерно сужены.
Медиальные отделы: патологических сигналов от медиальной лодыжки не выявлено. В краевых медиальных отделах блока таранной кости субхондрально отмечается локальный участок эрозирования размером ~ 2-3мм, без патологических изменений в смежных трабекулярных отделах. Дельтовидная связка определяется на всем протяжении, сигнал от связки неоднородный, общее натяжение связки сохранено. Сухожилия длинного сгибателя большого пальца, длинного сгибателей пальцев, задней большеберцовой мышцы однородной структуры.
Латеральные отделы: патологических сигналов от латеральной лодыжки не выявлено. Передняя и задняя нижние межберцовые связки сохранены, межберцовый синдесмоз равномерный на всем протяжении. Передняя таранно-малоберцовая связка определяется на всем протяжении, истончена, отмечается слабоинтенсивное повышение сигнала от связки, общая целостность сохранена. Задняя таранно-малоберцовая связка не изменена. Пяточно-малоберцовая связка прослеживается на всем протяжении, типичной структуры. Структура сухожилий малоберцовых мышц однородная, определяется скопление жидкости перитендинозно сухожилиям короткой и длинной малоберцовой мышц.
Задние отделы: определяется удлинение латерального бугорка заднего отростка таранной кости, без патологических изменений сигнала от прилежащих отделов жировой клетчатки, отмечается локальное скопление однородной жидкости в данной зоне. В задних отделах пяточной кости, в области пяточного бугра, субкортикально отмечается локальный участок эрозирования размером ~ 3-4мм, без патологических изменений в смежных трабекулярных отделах. Определяется шиповидное костное разрастание в задненижних отделах пяточной кости, на уровне прикрепления подошвенной фасции и короткого сгибателя пальцев, без патологических изменений сигнала от данной фасции. Пяточное сухожилие однородной структуры. Клетчатка Кагера без особенностей. Тарзальный канал не изменен.
Передние отделы: сухожилия передней большеберцовой мышцы, разгибателей пальцев стопы и большого пальца равномерны по толщине и интенсивности сигнала. Плюсневая пазуха без особенностей.
Заключение: МР-картина частичного повреждения дельтовидной и передней таранно-малоберцовой связок. МР-признаки деформирующего артроза голеностопного, подтаранного и таранно-ладьевидного суставов 1-2ст. Теносиновит сухожилий малоберцовых мышц.
Противопоказания
МРТ голеностопа чаще всего запрещено делать людям с:
- кардиостимулятором, металлическими клапанами сердца;
- имплантами кохлеарного типа;
- суставными эндопротезами из стали;
- помповыми имплантами и стимуляторами;
- металлическими винтами, стентами, штифтами и пластинами;
- клипсами и стентами в сосудах.
Если МРТ голеностопного сустава с контрастом, то противопоказанием может стать:
- поливалентная лекарственная аллергия;
- побочные реакции на препарат с содержанием гадолиния;
- почечная недостаточность;
- тяжелая форма бронхиальной астмы;
- выполнение другого исследования с введением контрастного вещества менее, чем за 36 часов до процедуры; .

Специализация: Врач МРТ и КТ
Где ведет прием: Центр МРТ Мирт
- Брюханов А.В. Магнитно-резонансная томография в диагностике заболеваний суставов. // Дисс. д-ра мед. наук. -Обнинск.-1998.
- Громак Г.Б. Диагностика и лечение повреждений в области голеностопного сустава: Метод, рекомендации. Рига, 1981.
- Жаданова О.А. МРТ диагностика лимфедемы нижних конечностей // Дисс. канд. мед. наук. М. 1996.
- Витько Н.К. Магнитно-резонансная томография в диагностике повреждений сухожильно-связочного аппарата голеностопного сустава и стопы / Н.К. Витько, А.Г. Зубанов, Н.Ю. Маркина // Медицинская Визуализация. - № 4. - 2002.
- Исакова, Т.М. Алгоритм лучевой диагностики застарелых повреждений голеностопного сустава / Т.М. Исакова [и др.] // Вестник травматологии и ортопедии Урала. - 2012. - 'Г.5, №1-2.
- Косинская Н.С. Дегенеративно-дистрофические поражения костно-суставного аппарата. -Л., Медгиз, 1961.
Последние статьи о диагностике

Что показывает МРТ коленного сустава
МРТ коленного сустава (МРТ колена) считается одним из самых надежных медицинских исследований, позволяющих оперативно выявить большинство проблем с коленными структурами. Коленный сустав часто

Что показывает МРТ плечевого сустава
Как правило, МРТ плечевого сустава назначается врачом-ортопедом пациентам для исследования таких состояний, как переломы, дегенеративные изменения, суставные повреждения травматического характера, разрывы вращательной манжеты, травмы рабочего характера (например, связанные с вибрацией), травмы спортивного характера, инфекционные и воспалительные процессы, новообразования в мягких тканях и в костях, отеки, болевой синдром, кровотечения вокруг сустава и в мягких тканях, уменьшения возможности движения плеча.

Противопоказания к МРТ
Магнитно-резонансная томография - это безопасное обследование без лучевой нагрузки, но и она имеет ряд противопоказаний в зависимости от модели томографа и протокола обследования - с контрастом или без. Томография нашла широкое применение в нейрохирургической, онкологической, ортопедической и неврологической практике для исследования позвоночника, головного мозга, сосудов, суставов, внутренних органов и мягких тканей.

МРТ или КТ коленного сустава
МРТ или КТ коленного сустава - это два высокоэффективных метода диагностики организма человека, а вот какой из них и в чем лучше, давайте попробуем разобраться. В зону колена входят ткани разного характера: костные ткани - бедренная кость, малая и большая берцовая кость, хрящи суставной поверхности, мениски; мягкие ткани - связки, мышцы сухожилия, сосудисто-нервные пучки, жировое тело. Из-за физики получения изображения кость лучше всего визуализируется на
Что показывает МРТ голеностопного сустава

Когда возникает необходимость в комплексной диагностике лодыжки, врач назначает МРТ голеностопного сустава (голеностопа). Из всех существующих аппаратных способов диагностики (КТ, рентген и УЗИ) магнитно-резонансная томография считается одной из самых щадящих и безопасных методик. С помощью этого исследования рентгенолог без хирургического вмешательства оценивает состояние мышц и связок сустава, определяет наличие воспалительных и дегенеративных изменений мягкой, костной и хрящевой ткани, проводит дифференциальную диагностику новообразований, травм и нарушений целостности костей, сухожилий, нервов и сосудов. В ходе томографической процедуры диагност получает максимум информации о реальном состоянии всех структур голеностопного сустава, включая наличие в нем микротрещин, надрывов, повреждений сухожилий, разрывов или отрывов связок.

Диагностика, расшифровка снимков, письменное заключение рентгенолога, запись томограмм на CD + бесплатная консультация невролога или ортопеда после МРТ позвоночника или сустава

Показания
Томографию голеностопа нужно сделать, если вы наблюдаете у себя ряд симптомов:
- опухлость в области соединения ноги и ступни;
- вы ушибли или травмировали голеностоп или пятку;
- произошел разрыв связок или сухожилий;
- кожа в области голеностопа вздулась, имеется накопление жидкости;
- ваш возраст 50 лет и старше, и вам рекомендована профилактическая томография опорно-двигательной системы организма.
Что покажет МРТ голеностопного сустава?
Снимки МРТ голеностопа показывают широкий спектр суставных заболеваний, включая:
- абсцесс и артрит, ахиллесов тендинит;
- трещины костей сустава и переломы;
- все разновидности костных инфекций;
- надрывы, растяжения и травмы сухожилий и хрящей;
- повреждение мышц голеностопа, остеонекроз (аваскулярный некроз);
- разрыв подошвенной фасции, дисфункции сухожилий;
- разрыв ахиллова сухожилия в области лодыжки;
- злокачественные и доброкачественные новообразования костных или мягких тканей;
- ущемление нервов, деформации, подагру, артроз;
- нарушение кровообращения в сосудистом русле сустава.
Вывих и разрыв связок
Голеностопный сустав - это сложная конструкция, состоящая из четырех костей, где две кости голени охватывают кости стопы. За счет этого суставу доступны движения сгибания, разгибания, отведения и приведения. Связывают и крепят все эти кости связки. При повреждении голеностопа чаще всего повреждаются именно они. Связки могут либо надрываться, либо разрываться, либо отрываться. Такую патологию врачи ещё называют подвывих или вывих голеностопного сустава. Лечить разрыв связок голеностопа можно в домашних условиях посредством бинтования стопы, наложения льда и применения противовоспалительных и обезболивающих мазей. Но, если вы не можете наступить на стопу без боли или видите, что ногу сильно раздуло от воспаления, обязательно нужно обратиться к ортопеду-травматологу, поскольку здесь высока вероятность перелома лодыжки. Также сильная боль будет говорить о том, что, возможно, произошел разрыв или отрыв связок, и медикам нужно будет делать операцию по их сшиванию.
Первичный прием
ОРТОПЕДА
ВСЕГО 1800 рублей!
(подробнее о ценах ниже )
Подготовка
Чтобы обследование прошло результативно, следует серьезно отнестись к перечню противопоказаний и предварительной подготовке. В обязательном порядке нужно избавиться перед началом МРТ процедуры от всех, даже самых мелких, металлических предметов, очков, часов и шпилек, а также электронных устройств. Помните, магнитно-резонансная томография и металл - две вещи, не совместимые друг с другом. Мощное магнитное поле томографа способно передвигать металлические предметы, даже имплантированные в тело. Поэтому следует в обязательном порядке проинформировать медицинский персонал о наличии любых имплантов и предоставить документы с описанием, из какого материала они сделаны. Большинство современных медицинских сплавов не имеют свойства магнититься и разрешены при обследовании с помощью МРТ.
Как проходит МРТ голеностопного сустава?
МРТ голеностопного сустава осуществляется на специальном аппарате, который называется магнитно-резонансным томографом. Во время проведения процедуры вы будете лежать на спине на специальной кушетке. Подрамники будут двигаться, пока лодыжка не окажется в центре резонансного томографа. В течение диагностического сканирования вы не будете испытывать никаких неприятных ощущений или дискомфорта, за исключением небольшого потепления в области голеностопного сустава.Поскольку из диагностического кабинета на время проведения МРТ голеностопа уходят все, в том числе и рентгенолог, вам будет предоставлено переговорное устройство для общения с медицинским персоналом.
С началом процедуры МРТ аппарат будет издавать короткие громкие звуки, напоминающие пулеметную очередь с последовательностью в 3-7 минут. Звуки фиксируют время, когда магнитно-резонансный томограф делает снимки. Чтобы устранить дискомфорт от шума, пациентам предлагают воспользоваться берушами или специальными звукоподавляющими наушниками. Томографическое сканирование не требует специальной подготовки, не вызывает осложнений и плохого самочувствия после завершения. В зависимости от вида МРТ - с контрастом или без - может занимать от 20 до 40 минут.
Расшифровка
По окончании процедуры вы получаете серию снимков голеностопного сустава в цифровом виде с описанием обнаруженных отклонений, а также официальное заключение с подробной расшифровкой и рекомендациями диагноста. Медицина - это та область, где мы хотим быть уверены на все 100%. Поэтому по вашему желанию мы будем рады предложить услугу второго независимого заключения.
Пример расшифровки МРТ голеностопного сустава
На серии МРТ левого голеностопного сустава соотношения в суставе не нарушены.
Кости, образующие голеностопный сустав, имеют обычную конфигурацию и расположены правильно. Выемка, образуемая лодыжками, развита хорошо.
Хрящевое покрытие голеностопного, подтаранного и таранно-ладьевидного суставов истончено, суставные щели не сужены.
Синовиальная оболочка гипертрофирована.
В передненаружных отделах большеберцовой кости и внутренних отделах латеральной лодыжки отмечаются участки локального неинтенсивного отека костного мозга.
Определяется повышение интенсивности МР-сигнала от передней таранно-малоберцовой связки, признаками частичного повреждения, отек жировой клетчатки в прилежащих отделах. Другие связки сустава без достоверных признаков разрыва. Межкостная связка между таранной и пяточной костями интактна.
Ахиллово сухожилие имеет нормальную толщину и ход, в дистальных отделах отмечается неинтенсивное повышение сигнала, с сохранением общего натяжения сухожилия. Окружающая сухожилие жировая ткань не изменена.
Сухожилия и подошвенный апоневроз без особенностей.
Параартикулярные мягкие ткани не изменены.
В полости голеностопного и подтаранного суставов определяется скопление жидкости.
Заключение: МР-признаки деформирующего артроза голеностопного и подтаранного суставов 2ст; повреждения передней таранно-малоберцовой связки; тендинопатия Ахиллова сухожилия. Внутрисуставной выпот.
- ответит на все вопросы по итогам проведенного исследования и полученного заключения
- поможет разъяснить результаты томографии без использования сложной радиологической терминологии
- проведет осмотр и в случае необходимости предложит лечение.
Услуга “Второе независимое заключение" Медицина - это та область, где мы хотим быть уверены на все 100 %. Поэтому по Вашему желанию мы будем рады предложить Вам услугу второго независимого заключения от ведущего консультанта нашей клиники кандидата медицинских наук, врача высшей категории с 18 летнем стажем в области томографии и рентгенологии Марченко Н.В.
Противопоказания
При всей безопасности и информативности МР-диагностического метода сделать МРТ голеностопного сустава смогут не все желающие. Мощное магнитное поле томографа влияет на металлические предметы и может нарушить работу встроенных медицинских приспособлений. Поэтому не проводят МР-сканирование людям со встроенными сердечными клапанами, кардио- и нейростимуляторами и кохлеарными имплантами. К обследованию также не допускаются лица с инсулиновыми помпами для дозированного введения лекарственных препаратов. Решение о возможности проведения томографии таким пациентам зависит от того, есть ли отметка в паспорте импланта, говорящая о том, что изделие совместимо с МРТ.
В числе пациентов с ограничениями будут те, у кого в теле присутствуют любые разновидности несъемных металлических объектов - осколки, пули, скобки, штифты, пластины из металла, зажимы на кровеносных сосудах. Сильное магнитное поле может нагреть или сместить металл, тем самым вызвав ожог или внутреннее кровотечение.
МРТ безопасна для беременных и детей, но будущим мамам в качестве меры сверхпредосторожности не рекомендовано без направления врача делать магнитно-резонансную томографию в первые три месяца вынашивания малыша.
Читайте также:
