МРТ при тригеминальной невралгии
Добавил пользователь Владимир З. Обновлено: 22.11.2025
Невралгия тройничного нерва (тригеминальная невралгия) - заболевание характеризующиеся приступами сильной боли, длительностью от нескольких секунд до двух минут и распространяющееся в зоне иннервации по меньшей мере одной ветви тройничного нерва, чаще всего 2-ой или 3-ей. Боль в лице чаще всего односторонняя. Ежегодная заболеваемость тригеминальной невралгией (ТН) составляет от 4 до 5 случаев на 100 000 человек. Чаще ТН встречается у женщин и в пожилом возрасте (старше 60 лет). Большинство случаев ТН вызваны наличием т.н. нейроваскулярного конфликта - компрессией корешка тройничного нерва прилежащим артериальным сосудом, чаще всего верхней мозжечковой артерией, реже - патологически извитыми венами в задней черепной ямке, а также объемными образованиями в области мосто-мозжечкового угла - опухолями или сосудистыми аневризмами. В результате длительного сдавления происходит нарушение целостности оболочек нерва и структурные перестройки внутри него. К поражению миелиновых оболочек корешка и по ходу волокон в стволе мозга, также могут приводить инфекции (например, герпес) или демиелинизирующие процессы (например, рассеянный склероз)
КАКОЙ МЕХАНИЗМ ВОЗНИКНОВЕНИЯ БОЛИ? Для лучшего понимания механизма приступа невралгии представьте себе, что корешок тройничного нерва - это многожильный телефонный кабель, состоящий из множества мелких волокон - "проводков", имеющих собственную миелиновую оболочку - "оплётку". В норме, проведение чувствительных импульсов от кожи лица, слизистой глаза, полости носа и рта по таким волокнам идет до ядер тройничного нерва в стволе мозга, откуда по восходящим путям доходит до коры головного мозга, анализирующей эти импульсы и формирующей наше восприятие. В случае, если в результате тех или иных причин, чаще в результате длительного сдавливания корешка, целостность миелиновых оболочек нервных волокон нарушается, происходит "короткое замыкание" как при нарушении оплетки кабели, с многократным усилением обычного чувствительного импульса, при котором человек ощущает резкую боль по типу "удара током".
ОСНОВНЫЕ ПРИЗНАКИ НЕВРАЛГИИ ТРОЙНИЧНОГО НЕРВА:
- приступ острой боли, по типу "удара током", продолжительностью от нескольких секунд до 1-2 минут. При этом больные как бы замирают, со страдальческой гримасой. Некоторые больные стараются сильно сжать рукой болезненный участок лица (т.н. «жест – антагонист»). Частота приступов может быть самой различной в зависимости от давности заболевания и эффективности лечения, вплоть до нескольких десятков раз в сутки, приводя к психическому и физическому истощению больного
- наличие "триггерных" (от англ. trigger - вызывать) зон на лице и в полости рта и носа, прикосновение к которым приводит к развитию приступа. Приступ болей может провоцироваться разговором, смехом, жеванием, бритьем, умыванием, чисткй зубов и др. В тяжелых случаях из-за болей пациенты не могут есть, пить и говорить, чтобы не провоцировать приступ.
- наличие короткого постприступного рефрактерного периода, особенность которого заключается в том, что сразу после окончания приступа прикосновение к триггерной зоне не вызывает болевых ощущений. Происходит это вследствие перевозбуждения нервных клеток, отвечающих за анализ чувствительных импульсов, с развитием в них запредельного торможения
- эффективность монотерапии Карбамазепином в дебюте заболевания. Эффективность антиэпилептической терапии связана с тем, что при данной патологии формирование очага болевого восприятия в коре мозга аналогично формированию очагов эпиактивности при других заболеваниях. К сожалению, довольно часто лечебный эффект Карбамазепина быстро себя исчерпывает.
СТЕРЕОТАКСИЧЕСКАЯ РАДИОХИРУРГИЯ. Основным аппаратом, используемым для проведения лечения, является Гамма-нож. Связано это с минимальной погрешностью (0.1-0.2 мм) облучения, которую он обеспечивает. Данная методика отлично зарекомендовала себя у пациентов имеющих противопоказания к операции Джанетта ввиду наличия тяжелых сопутствующих заболеваний, нередких в пожилом и старческом возрасте, а также в случае рецидива невралгии после ранее проведенной операции. Хороший ответ (уменьшение боли на 50-90%, но остается необходимость поддерживающей лекарственной терапии) и отличный ответ (полное отсутствие боли без приёма лекарств) отмечаются у 77% пациентов. Рецидив болей отмечается только у 10% при наблюдении в течение 3-5 лет после лечения.
ВОЗМОЖНЫ ЛИ ПОБОЧНЫЕ ЭФФЕКТЫ ПОСЛЕ РАДИОХИРУРГИИ?
Примерно в 10% случаев возможно развитие легкого или умеренного онемения в соответствующей половине лица, однако полной анестезии практически не бывает. Крайне редко встречается усиление болевых приступов нерва в первые несколько часов после радиохирургии, купируемое назначением стероидных гормонов. Тошноты или головной боли после стереотаксической радиохирургии не бывает.
ВОЗМОЖНО ЛИ ПОВТОРНОЕ ПРОВЕДЕНИЕ РАДИОХИРУРГИИ?
Да, возможно. В этом случае, вероятность частичного или полного ответа, практически не отличается от первичной радиохирургии. При повторной радиохирургии увеличивается вероятность онемения лица, роговицы глаза, полости носа и рта.
УЧИТЫВАЕТСЯ ЛИ ЖЕЛАНИЕ ПАЦИЕНТА ПРИ ВЫБОРЕ МЕТОДА ЛЕЧЕНИЯ?
Безусловно, если пациент полностью информирован о причине своей болезни и методах лечения, полностью отдает себе отчет в преимуществах и недостатках каждого метода, их предполагаемой эффективности и побочных реакциях, то он имеет полное право сделать свой выбор в пользу стереотаксической радиохирургии на аппарате Гамма-нож.
Невралгия тройничного нерва в нейрохирургической клинике
Статья иллюстрирует представления о подходе к дифференциальной диагностике, новым методам инструментальных исследований и принципам хирургического лечения пациентов с невралгией тройничного нерва (НТН). В работе приведены современные методики, представляющие альтернативу стандартным протоколам МРТ для визуализации нейроваскулярных конфликтов. Подходы и тактика хирургического лечения пациентов с НТН зависят от вида невралгии (классическая, симптоматическая). Коллективом авторов выполнено более 800 операций по поводу НТН. Большое внимание в работе уделено тактике отбора пациентов, а также их наблюдения и дальнейшего лечения с точки зрения профильного центра. У больных с болевым синдромом в области лица, нехарактерным для тригеминальной невралгии, важным этапом представляется своевременное направление на патогенетическое лечение, что позволяет избежать непоказанного оперативного лечения и связанных с ним возможных рисков и осложнений, а также не дискредитировать высокоэффективный нейрохирургический метод лечения НТН. На всех этапах ведения больных с прозопалгиями крайне важным является междисциплинарное взаимодействие специалистов разного профиля, в клинической практике которых наблюдаются пациенты с орофациальной болью. Без тесного взаимодействия специалистов в настоящее время невозможно представить успех нейрохирурга при лечении больных с поражением черепных нервов различной этиологии.
Ключевые слова: прозопалгия, тригеминальная невралгия, васкулярная декомпрессия.
Для цитирования: Шиманский В.Н., Пошатаев В.К., Таняшин С.В. и др. Невралгия тройничного нерва в нейрохирургической клинике. РМЖ. Медицинское обозрение. 2018;2(9):4-9.
V.N. Shimansky, V.K. Poshataev, S.V. Tanyashin, M.V. Kolycheva, K.V. Shevchenko
Burdenko National Scientific and Practical Center for Neurosurgery, Moscow
The article illustrates an approach to differential diagnosis, new instrumental methods of examination and principles of surgical treatment of patients with trigeminal neuralgia (TN). The paper presents modern techniques, providing an alternative to the «standard» MRI protocols for visualization of neurovascular conflicts. The approaches and tactics of the surgical treatment of patients with TN depend on the type of neuralgia (classical, symptomatic). An experience of the composite authors includes more than 800 performed operations regarding TN. Much attention is paid to the tactics of patient selection, as well as their observation and further treatment from the viewpoint of a core facility. In patients with pain syndrome at the face area, which is not typical to trigeminal neuralgia, an important step is a timely referral to pathogenetic treatment, which allows avoiding an indication of a surgical treatment and possible risks and complications associated with it, as well as discrediting the highly effective neurosurgical method for treating TN. At all stages of the management of patients with prosopalgia, a cross-disciplinary interaction of different specialists is crucial in clinical practice of which there are patients with orofacial pain, without close interaction with whom it is impossible to imagine the success of a neurosurgeon in treating patients with lesions of cranial nerves of various etiologies.
Key words: prosopalgia, trigeminal neuralgia, vascular decompression.
For citation: Shimansky V.N., Poshataev V.K., Tanyashin S.V. et al. Trigeminal neuralgia in the neurosurgical clinic // RMJ. Medical Review. 2018. № 9. P. 4–9.
В статье представлены подходы к дифференциальной диагностике, новым методам инструментальных исследований и принципам хирургического лечения пациентов с невралгией тройничного нерва
Введение
Невралгия тройничного нерва (НТН) — заболевание, которое чаще проявляется в возрасте старше 50 лет и характеризуется внезапными, мучительными болями в зоне иннервации тройничного нерва (ТН). Встречаемость заболевания составляет 3–4 человека из 100 тыс. и в 1,5 раза чаще наблюдается у женщин [1]. Основной причиной возникновения истинной тригеминальной невралгии является компрессия корешка ТН непосредственно в области ствола головного мозга, в большинстве случаев обусловленная артериальным сосудом, реже — венозным [2–4]. Причиной симптоматической НТН могут быть новообразования (менингиома, невринома, эпидермоидная киста и др.) и сосудистые мальформации мосто-мозжечкового угла.
Диагностика, дифференциальная диагностика НТН
Для оценки выраженности болевого синдрома у пациентов с НТН в клинической практике чаще всего применяют следующие шкалы: вербальную описательную шкалу оценки боли (Verbal Descriptor Scale), модифицированную лицевую шкалу боли (Faces Pain Scale), а также визуальную аналоговую шкалу (Visual Analogue Scale). Для установления диагноза НТН используются диагностические критерии Международного общества головной боли (International Headache Society — IHS), представленные в последней классификации 2018 г. — ICHD-III (The International Classification of Headache Disorders) [1]:
Повторяющиеся приступы односторонней боли в области лица, распространяющиеся в зоне иннервации одной или более ветвей ТН и отвечающие критериям В и С.
Боль имеет по меньшей мере одну из следующих характеристик:
длительность от доли секунды до 2 мин;
выраженная интенсивность;
внезапно возникающая, похожая на «разряд электрического тока», стреляющая, колющая.
Боль может быть спровоцирована воздействием на триггерные точки или при влиянии триггерных факторов (еда, разговор, умывание лица, чистка зубов).
Боль не связана с другими причинами.
Характерными особенностями НТН являются также стереотипные приступы боли у каждого пациента, отсутствие неврологической симптоматики в межприступный период и положительный эффект от приема карбамазепина в дебюте заболевания.
Дифференциальная диагностика НТН является основой успеха ее хирургического лечения. К необходимому «минимуму» заболеваний, с которыми необходимо дифференцировать НТН, относятся следующие заболевания, сопровождающиеся орофациальной болью: тригеминальные автономные цефалгии, дисфункция височно-нижнечелюстного сустава, заболевания ЛОР-органов, мышечно-скелетная боль, тригеминальный деафферентационный синдром, языкоглоточная невралгия, невралгия ушного узла, невралгия затылочного нерва и др. Приведенный неполный список лишь подчеркивает важность скрупулезного анализа схожих с НТН заболеваний с целью оптимизации дальнейшей тактики лечения больных.
Лечение НТН всегда начинается с консервативной терапии, основу которой составляют препараты карбамазепина. Его применение в дебюте истинной тригеминальной невралгии приводит к регрессу болевого синдрома у 90% больных [5]. При этом существует вариабельность чувствительности пациентов с НТН к различным препаратам, содержащим действующее вещество — карбамазепин, поэтому относительная неэффективность одного лекарственного средства не может говорить в пользу отказа от его приема в различных вариантах и комбинациях. При адекватном подборе дозы карбамазепинсодержащего препарата может наблюдаться выраженный положительный эффект на протяжении длительного времени с отсутствием болевых пароксизмов, а в ряде случаев — стойкая ремиссия.
Нейровизуализация при невралгии тройничного нерва
Во всех случаях подтверждение наличия нейроваскулярного конфликта (НВК) у пациентов с НТН осуществляется с помощью магнитно-резонансной томографии (МРТ) головного мозга с Т2 взвешенными изображениями. Применяются программы МРТ с использованием импульсных последовательностей FIESTA (более ранняя версия — DRIVE), а также 3D-T2-FSE — трехмерной взвешенной по Т2 быстрое спин-эхо. При симптоматической НТН в зависимости от вида и локализации НВК проведение МРТ головного мозга преследует различные цели. Данный метод обеспечивает визуализацию топографии цистернальной части корешка ТН и в подавляющем большинстве случаев объективизирует вид и расположение компримирующего его сосуда. В первую очередь при симптоматической НТН нейровизуализация с помощью МРТ необходима для исключения объемного образования как одной из возможных причин тригеминальной невралгии. По данным P.J. Jannetta et al. [3], у 15% пациентов с классической НТН МРТ головного мозга выявляет другую, нежели НВК, причину. Это могут быть новообразования основания черепа, такие как менингиомы петрокливальной локализации, эпидермоидные кисты понто-медуллярной цистерны, вестибулярные шванномы либо демиелинизирующие заболевания (например, рассеянный склероз).
Хирургическое лечение невралгии тройничного нерва
Среди всех методов лечения НТН васкулярная декомпрессия ТН — единственный патогенетически обоснованный метод, поэтому он является методом выбо-
ра [5] хирургического лечения при всех видах васкулярных компрессий черепных нервов.
Показанием к хирургической васкулярной декомпрессии является факт установления клинического диагноза идиопатической НТН, подтвержденный с помощью современных методов нейровизуализации. Противопоказаниями для данного метода являются:
наличие тяжелой сопутствующей соматической, неврологической или психиатрической патологии, делающей невозможным проведение нейрохирургической операции;
отказ пациента от хирургического вмешательства.
Целью нейрохирурга при васкулярной декомпрессии является устранение НВК в месте слияния корешка
ТН в области варолиевого моста. Основным и единственным оперативным доступом, который используется для достижения этой цели, является ретросигмовидный субокципитальный доступ. При обнаружении НВК в ходе операции проводятся разобщение сосуда и корешка ТН, установка между ними протектора, с помощью которого и достигается васкулярная декомпрессия. Два
последующих клинических примера (рис. 2, 3) иллюстрируют хирургические нюансы проведения данной операции.
Основным критерием для постановки диагноза симптоматической НТН является наличие органического поражения головного мозга (опухоли, мальформации, эпидермоидной кисты, рассеянного склероза), верифицированного по данным МРТ и при оперативном вмешательстве в области задней черепной ямки. Приведенные примеры (рис. 4, 5) отражают варианты тактики нейрохирурга в зависимости от анатомических соотношений опухоли головного мозга, корешка тройничного нерва и сосудов мосто-мозжечкового угла.
Правильная постановка диагноза является первым шагом к выработке оптимальной тактики лечения пациентов с болевым синдромом в области лица. В случае подтверждения диагноза НТН специалисту, как правило, удается донести полноту информации об оптимальном лечении данного заболевания пациенту и его родственникам, обосновать хирургическое лечение как единственно возможный метод, устраняющий причину страданий больного. Это позволяет снизить время выраженной дезадаптации и инвалидизации пациента, связанные с мучительной болью в области лица и приемом противосудорожных препаратов, отрицательно влияющих на самочувствие и качество жизни. В большинстве случаев отсутствие эффекта от проводимой фармакотерапии либо развитие побочного действия принимаемых средств, делающих их прием невозможным у больных с обоими вариантами классической НТН, является показанием для проведения васкулярной декомпрессии ТН. Данный вид лечения является этиопатогенетическим для этого заболевания, поскольку позволяет добиться полного избавления пациентов от боли в 95% случаев [7].
У больных с болевым синдромом в области лица, не характерным для тригеминальной невралгии, важным этапом представляется своевременное направление на патогенетическое лечение, что позволяет избежать непоказанного оперативного лечения и связанных с ним возможных рисков и осложнений, а также не дискредитировать высокоэффективный нейрохирургический метод лечения НТН.
В этой связи стоит еще раз подчеркнуть важность правильного использования имеющихся вариантов МРТ головного мозга. Данное исследование важно для обнаружения органического поражения головного мозга, в первую очередь новообразований в области мосто-мозжечкового угла, нейровизуализации анатомических взаимоотношений между церебральными сосудами и непосредственно ТН в области ствола мозга, которые могут стать причиной развития НТН. Однако следует помнить, что диагноз НТН всегда устанавливается в соответствии с клиническими критериями, представленными в Международной классификации ICHD-III [1].
Заключение
Практический опыт нейрохирургического лечения пациентов в НМИЦ нейрохирургии им. акад. Н.Н. Бурденко показывает, что малейшее сомнение в соответствии болевого синдрома у пациента критериям НТН является противопоказанием к дальнейшему хирургическому лечению и началом кропотливого уточнения истинной причины имеющегося болевого синдрома в области лица. На данном этапе ведения больных с прозопалгиями крайне важным является междисциплинарное взаимодействие специалистов разного профиля, в клинической практике которых наблюдаются пациенты с орофациальной болью. Без тесного взаимодействия с такими специалистами в настоящее время невозможно представить успех нейрохирурга при лечении больных с поражением черепных нервов различной этиологии.
1. Headache Classification Committee of the International Headache Society (IHS) The International Classification of Headache Disorders, 3rd edition // Cephalalgia. 2018. Vol. 38. P. 1–211.
2. Dandy W.E. Section of sensory root of the trigeminal nerve at the pons // Bull Johns Hopkins Hosp. 1925. P. 36–105.
3. Jannetta P.J. Observation on the etiology of trigeminal neuralgia, hemifacial spasm, acoustic nerve dysfunction and glossopharyngeal neuralgia: Definitive microsurgical treatment and results of 117 patients // Neurochirurgia. 1977. Vol. 20. P. 145–154.
4. Gronseth G., Cruccu G., Alksne J. et al. Practice parameter: The diagnostic evaluation and treatment of trigeminal neuralgia (an evidence-based review) // Neurology. 2008. Vol. 71. P. 1183–1190.
5. Wang D., Ouyang D., Englot D. et al. Trends in surgical treatment for trigeminal neuralgia in the United States of America from 1988 to 2008 (Evidence based review) // J Clinical Neuroscience. 2013. Vol. 20. P. 1538–1545.
6. Avelar P., Gonçalves P. Pre-surgical planning of cerebellopontine angle (CPA) tumors using advanced neuroradiological methods // Research Gate. 2018.
7. Шиманский В.Н., Коновалов А.Н., Пошатаев В.К. Васкулярная декомпрессия при невралгии тройничного нерва, гемифациальном спазме, невралгии языкоглоточного нерва. М.: Издательство ИП «Т.А. Алексеева», 2017. 91 с. [Shimanskiy V.N., Konovalov A.N., Poshatayev V.K. Vaskulyarnaya dekompressiya pri nevralgii troynichnogo nerva, gemifatsial’nom spazme, nevralgii yazykoglotochnogo nerva. M.: Izdatel’stvo IP «T.A. Alekseyeva», 2017. 91 s. (in Russian)].
Контент доступен под лицензией Creative Commons «Attribution» («Атрибуция») 4.0 Всемирная.
ДИФФУЗИОННО-ТЕНЗОРНАЯ МРТ ПРИ ТРИГЕМИНАЛЬНОЙ НЕВРАЛГИИ, ВЫЗВАННОЙ ВАЗОНЕВРАЛЬНЫМ КОНФЛИКТОМ
Диффузионно-тензорная визуализация (DTI) на современных МР-томографах стала перспективным инструментом для построения и оценки ориентации трактов в белом веществе мозга. Наиболее частой причиной развития тригеминальной невралгии (ТН) является контакт между сосудистыми и нервными структурами с их компрессией. Важное место в патогенезе боли занимают структурные изменения, связанные с демиелинизацией нервных волокон вследствие компрессии. Изучение структурных изменений корешка тройничного нерва (КТН) при три- геминальной невралгии, обусловленной нейроваскулярным конфликтом, может прояснить влияние компрессии в патогенезе ТН. Цель данного исследования — оценка изменений фракционной анизотропии в тройничном нерве при сосудистой компрессии. В исследование были включены 33 пациента с тройничной невралгией, часть из которых имела предшествующие манипуляции на больной стороне на нерве в анамнезе. Всем больным выполнена микроваскулярная декомпрессия. При оценке однородности структуры КТН по данным DTI выявлено, что степень снижения анизотропии связана со степенью компрессии нерва сосудом. В группе пациентов с вмешательствами на КТН и/или гассеровом узле в анамнезе наблюдалось более значимое снижение ФА на пораженной стороне. Полученные данные позволяют говорить о том, что DTI может помочь при выборе тактики лечения, позволяя связать изменения в нерве с сосудистой компрессией и степенью ее выраженности.
Ключевые слова
Об авторах
Федеральный центр нейрохирургии;
Россия
кандидат медицинских наук, врач-нейрохирург, главный врач ФГБУ Федеральный центр нейрохирургии Министерства здравоохранения; доцент кафедры нейронаук Института медицины и психологии Новосибирского государственного университета
Федеральный центр нейрохирургии; Новосибирский государственный университет
Россия
кандидат медицинских наук, рентгенолог, заведующий отделением лучевой диагностики ФГБУ Федеральный центр нейрохирургии Министерства здравоохранения РФ; ассистент кафедры фундаментальной медицины Новосибирского государственного университета
Федеральный центр нейрохирургии; Новосибирский государственный университет
Россия
кандидат медицинских наук, врач-невролог ФГБУ Федеральный центр нейрохирургии Министерства здравоохранения РФ; старший преподаватель кафедры фундаментальной медицины Новосибирского государственного университета
Федеральный центр нейрохирургии; Институт вычислительных технологий СО РАН
Россия
кандидат физико-математических наук, старший научный сотрудник, ФГБУН Институт вычислительных технологий СО РАН; инженер-программист ФГБУ Федеральный центр нейрохирургии Министерства здравоохранения РФ
Новосибирский государственный медицинский университет
Россия
студент V курса медико-профилактического факультета Новосибирского государственного медицинского университета Минздрава России
Список литературы
1. Hagmann P., Jonasson L., Maeder P. et al. Understanding diffusion MR imaging techniques: from scalar diffusion-weighted imaging to diffusion tensor imaging and beyond. RadioGraphics, 2006, Vol. 26 (suppl. 1), рр. 205–223.
2. Mori S., Zhang J. Principles of diffusion tensor imaging and its applications to basic neuroscience research. Neuron, 2006, Vol. 51, рр. 527–539.
3. Mukherjee P., Chung S.W., Berman J.I. et al. Diffusion tensor MR imaging and fiber tractography: technical considerations. AJNR, 2008, Vol. 29, р. 843–852.
4. Mukherjee P., Berman J.I., Chung S.W. et al. Diffusion tensor MR imaging and fiber tractography: theoretic underpinnings. AJNR, 2008, Vol. 29, рр. 632–641.
5. Jannetta P.J. Treatment of trigeminal neuralgia by microoperative decompression. Neurological surgery. Philadelphia: Saunders, 1982, Vol. 6. рр. 3589–3603.
6. Best C., Gawehn J., Krämer H. et al. MRI and neurophysiology in vestibular paroxysmia: contradiction and correlation. J. Neurol. Neurosurg. Psychiatry, 2013, Vol. 84, рр. 1349–1356.
7. Devor M., Gorvin-Lippmann R., Rappaprot H. Mechanism of trigeminal neuralgia: an ultrastructural analysis of trigeminal root specimens obtained during microvascular decompression surgery. J. of Neurosurgery, 2002, Vol. 96, рр. 532–543.
8. Riesenburger R.I., Hwang S.W., Schirmer C.M. et al. Outcomes following single-treatment gamma knife surgery for trigeminal neuralgia with a minimum 3-year follow-up. J. Neurosurg, 2009. Vol. 112, рр. 766–771.
9. Lee J.Y., Chen H.I., Urban C. et al. Development of and psycho - metric testing for the Brief Pain Inventory-Facial in patients with facial pain syndromes. J. Neurosurg. 2010. Vol. 113, рр. 516–523.
10. Sindou M., Howeidy T., Acevedo G. Anatomical observations during microvascular decompression for idiopathic trigeminal neuralgia (with correlations between topography of pain and site of the neurovascular conflict). Prospective study in a series of 579 patients. Acta Neurochir, 2002, Vol. 144. P. 112.
12. Bahgat D., Ray D.K., Raslan A.M. et al. Trigeminal neuralgia in young adults. J. Neurosurg., 2011, Vol. 114, рр. 1306–1311.
13. Herweh C.М., Kress B.Р., Rasche D.L. et al. Loss of anisotropy in trigeminal neuralgia revealed by diffusion tensor imaging. Neurology, 2007, Vol. 68. рр. 776–778.
14. Lutz J., Linn J., Mehrkens J.H. et al. Trigeminal neuralgia due to neurovascular compression: high-spatial-resolution diffusion-tensor imaging revels microstructual neural changes. Radiology, 2011, Vol. 258, рр. 524–530.
15. Fujiwara S., Sasaki M., Wada T. et al. High-resolution diffusion tensor imaging for the detection of diffusion abnormalities in the trigeminal nerves of patients with trigeminal neuralgia caused by neurovascular compression. J. Neuroimaging, 2011, Vol. 21, рр. 102–108.
16. Liu Y., Li J., Butzkueven H. et al. Microstructural abnormalities in the trigeminal nerves of patients with trigeminal neuralgia revealed by multiple diffusion metrics. European journal of radiology, 2013, Vol. 82, рр. 783–786.
17. Yoshino N., Akimoto H., Yamada I. et al. Trigeminal neuralgia: evaluation of neuralgic manifestation and site of neurovascular compression with 3D CISS MR imaging and MR angiography. Radiology, 2003, Vol. 228, рр. 539–545.
18. Kress B., Schindler M., Rasche D. et al. Trigeminal neuralgia: how often are trigeminal nerve-vessel contacts found by MRI in normal volunteers, Rofo, 2006, Vol. 178, рр. 313–315.
19. Hilton D.A., Love S., Gradidge T. et al. Pathological findings associated with trigemina neuralgia caused by vascular compression. Neurosurgery, 1994, Vol. 35, рр. 299–303.
20. Сажина И. В. Возможности магнитно-резонансной томографии в визуализации черепных нервов в норме и при патологических процессах, Лучевая диагностика и терапия, 2011. Т. 2, № 1. С 78–86. [Sazhina I.V. MRI potential for imaging of cranial nerves in health and disease, Lucevaa diagnostika i terapia, 2011, Vol. 2, Nо. 1, рр. 78–86. (In Russ.)].
МРТ при тригеминальной невралгии
а) Терминология:
1. Аббревиатура:
• Тригеминальная невралгия (ТН)
2. Синонимы:
• Tic douloureux, синдром сосудистой петли тройничного нерва, синдром геперактивной дисфункции тройничного нерва
3. Определение:
• Сдавливание тройничного нерва (ЧН V) сосудистой петлей в зоне вхождения его корешка (REZ) или в области преганглионарного сегмента (ПГС)
б) Визуализация:
1. Общая характеристика:
• Лучший диагностический критерий:
о МРТ высокого разрешения: извитой асимметричный участок выпадения сигнала (сосуд) в области мосто-мозжечкового угла (ММУ) REZ или ПГСЧНУ
• Сосуды, обусловливающие ТН: верхняя мозжечковая артерия (ВМА) > передняя нижняя мозжечковая артерия (ПНМА) > основная артерия > каменистая вена

(Слева) При аксиальной МРТ Т2 ВИ у пациента с правосторонней тригеминальной невралгией (ТН) визуализируется гипоинтенсивная верхняя мозжечковая артерия, воздействующая на зону входа корешка в области преганглионарного сегмента тройничного нерва.
(Справа) При корональной МРТ Т1 ВИ у этого же пациента визуализируется верхняя мозжечковая артерия, сдавливающая и деформирующая проксимальный преганглионарный сегмент правого ЧН V. Слева преганглионарный ЧН V не изменен, имеет большие размеры, что свидетельствует об атрофии ЧН V справа.
2. МРТ при тригеминальной невралгии:
• FLAIR:
о Рассеянный склероз (PC) может проявляться ТН
• ДВИ:
о Гиперинтенсивное образование в цистерне - эпидермоид
• Т1 ВИ С+:
о При ТН, обусловленной сосудистой петлей, ПГС ЧН V не контрастируется
о Может обнаруживаться вена, приводящая к ТН, или периневральная опухоль
о Возможно цистернальное объемное образование (редко)
• МРТ высокого разрешения (CISS, FIESTA, Т2 space, другие):
о Кровеносный сосуд, сдавливающий REZ или ПГС ЧН V (сосуд смещает ПГС или деформирует REZ, являясь причиной нейро-сосудистого конфликта)
о Атрофия ПГС ЧН V
• МРА: наиболее информативны исходные изображения
3. Рекомендации по визуализации:
• Лучший метод визуализации:
о МРТ высокого разрешения для визуализации причинной сосудистой петли

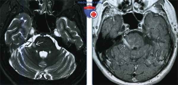
(Слева) При аксиальной МРТ Т2 ВИ FS у пациента с правосторонней ТН определяются множественные склеротические очаги в наружных отделах моста в области вхождения корешка тройничного нерва. PC или цистернальные объемные образования редко могут проявляться ТН.
(Справа) При аксиальной МРТ Т1 ВИ С+ у пациента с правосторонней ТН определяется врожденная аномалия вен мозжечка, дренирующихся через наружные отделы моста и область вхождения корешка ЧН V. ТН обусловлена патологией вен лишь у 5% пациентов.
в) Дифференциальная диагностика тригеминальной невралгии:
1. Аневризма в ММУ-ВСК:
• Аневризма ПНМА или позвоночной артерии
• Образование овальной формы с неоднородным сигналом
• Редко приводит к ТН
2. Артериовенозная мальформация в области ММУ:
• Артерии и вены намного большего размера, гнездо мальформации
• Редко в задней ямке
3. Врожденная венозная аномалия в задней ямке:
• Более крупные сосуды (вены)
• ММУ редко становится путем венозного оттока
• Сдавливание нерва веной редко приводит к ТН
г) Патология:
1. Общая характеристика:
• Этиология:
о Сдавливание REZ или ПГС ЧН V сосудом → атрофия
о Атрофия обусловлена уменьшением объема аксонов и демиелинизацией
о Атрофия → патологические контакты между нервными волокнами:
- Патологические контакты приводят к пароксизмальной боли (ТН)
2. Микроскопические особенности:
• Разрушение миелиновой оболочки проксимальных отделов ЧН V
д) Клинические особенности:
1. Проявления:
• Типичные признаки/симптомы:
о Острая стреляющая боль в зоне иннервации 2 ± 3 ветви; спонтанная или в ответ на тактильное раздражение
2. Демография:
• Возраст:
о Пожилые пациенты (обычно >65 лет)
• Эпидемиология:
о 5:100000
3. Течение и прогноз:
• Прогноз: десятилетний безболевой промежуток после операции или лучевой терапии в 70%
4. Лечение:
• Вначале консервативная медикаментозная терапия
• При неэффективности: фокусная лучевая терапия (гамма-нож), микрососудистая декомпрессия
е) Диагностическая памятка:
1. Следует учесть:
• Многочисленные нормальные сосуды в цистерне ММУ; ищите асимметричные сосуды с явным сдавливанием
2. Советы по интерпретации изображений:
• Вначале следует заподозрить PC, врожденную венозную аномалию моста, объемные образования в цистернах
• Необходимо оценить дистальные отделы ЧН V в кавернозном синусе и лице:
о Следует исключить периневральную опухоль, злокачественные образования лица
• МРТ высокого разрешения для оценки нейрососудистого конфликта
ВЫСОКОПОЛЬНАЯ МАГНИТНО-РЕЗОНАНСНАЯ ТОМОГРАФИЯ В ВИЗУАЛИЗАЦИИ ВАЗОНЕВРАЛЬНОГО КОНФЛИКТА ПРИ ТРИГЕМИНАЛЬНОЙ НЕВРАЛГИИ (НА ТОМОГРАФАХ 1,5 И 3 ТЕСЛА)
Высокоразрешающая магнитно-резонансная томография (МРТ) является неотъемлемой частью диагностического процесса для уточнения показаний к операции и планирования тактики оперативного лечения у пациентов с нейроваскулярным конфликтом. Благодаря большей напряженности магнитного поля томографы 3 Тл имеют лучшее соотношение сигнал–шум, улучшающее качество изображения. Цель данного исследования: сопоставление качества визуализации аппаратов 1,5 и 3 Тл при нейроваскулярном конфликте у пациентов с тригеминальной невралгией. Материал и методы. 25 пациентов с нейроваскулярным конфликтом были обследованы на томографах с напряженностью магнитного поля 1,5 и 3 Тл с использованием 3D CISS изображений. При этом сравнивали четкость визуализации и отграничения анатомических структур, качество изображения, полученное на двух аппаратах. При оперативном лечении (микроваскулярная декомпрессия корешка тройничного нерва) проводили сравнение оперативных находок с выявленными на МРТ изменениями. Результаты. Изображения на томографе с напряженностью магнитного поля 3 Тл были более четкими по сравнению с томографом 1,5 Тл по соотношению сигнал-шум, имели лучшее анатомическое разрешение, в большей степени соответствуя интраоперационным находкам, включая более четкую дифференцировку сосудистых структур и нервов, а также мелких сосудистых ветвей. У некоторых пациентов по данным исследования, полученным на томографе 3 Тл, была выявлена более высокая степень компрессии тройничного нерва по сравнению с данными томографа 1,5 Тл. Выводы. Для выявления нейроваскулярного конфликта у пациентов с тригеминальной невралгией желательно проводить исследование на томографах с напряженностью магнитного поля 3 Тл, имеющих большую чувствительность и более высокую точность в определении степени компрессии корешка тройничного нерва и наличия мелких сосудов в зоне компрессии нерва. Наши данные показали, что томографы с напряженностью магнитного поля 1,5 Тл также позволяют выявить основной «причинный» сосуд или их сочетание, которые компримируют корешок тройничного нерва.
Ключевые слова
Об авторах
Федеральный центр нейрохирургии Министерства здравоохранения Российской Федерации, Новосибирск
Россия
канд. мед. наук, врач-нейрохирург, главный врач Федерального центра нейрохирургии Министерства здравоохранения Российской Федерации, доцент кафедры нейронаук Института медицины и психологии Новосибирского государственного университета
Федеральный центр нейрохирургии Министерства здравоохранения Российской Федерации, Новосибирск
Россия
канд. мед. наук, рентгенолог, заведующий отделением лучевой диагностики Федерального центра нейрохирургии Министерства здравоохранения Российской Федерации, ассистент кафедры фундаментальной медицины Новосибирского государственного университета
Федеральный центр нейрохирургии Министерства здравоохранения Российской Федерации, Новосибирск
Россия
канд. мед. наук, врач-невролог Федерального центра нейрохирургии Министерства здравоохранения Российской Федерации, старший преподаватель кафедры фундаментальной медицины Новосибирского государственного университета
Список литературы
1. Tarnaris A.I., Renowden S.H., Coakham H.B. A comparison of magnetic resonance angiography and constructive interference in steady state-three-dimensional Fourier transformation magnetic resonance imaging in patients with hemifacial spasm. Br. J. Neurosurg. 2007;21:375–781.
2. Naraghi R.T., Tanrikulu L.V., Troescher-Weber R.C. et al. Classification of neurovascular compression in typical hemifacial spasm: three-dimensional visualization of the facial and the vestibulocochlear nerves. J. Neurosurg. 2007;107:1154–1163.
3. Kakizawa Y., Seguchi T., Kodama K. et al. Anatomical study of the trigeminal and facial cranial nerves with the aid of 3.0-Tesla magnetic resonance imaging. J. Neurosurg. 2008;108:483–490.
4. Miller J.F., Acar F.N., Hamilton B.I. Preoperative visualization of neurovascular anatomy in trigeminal neuralgia. J. Neurosurg. 2008;108:477–482.
5. Ross J.S. The high-field-strength curmudgeon. Am. J. Neuroradiol. 2004;25;168–169.
6. Frayne R.M., Goodyear B.G., Dickhoff P.A. et al. Magnetic resonance imaging at 3.0 Tesla: challenges and advantages in clinical neurological imaging. Invest. Radiol. 2003;38;385–401.
7. Anderson V.C., Berryhill P.C., Sandquist M.A. et al. High-resolution three-dimensional magnetic resonance angiography and three-dimensional spoiled gradient-recalled imaging in the evaluation of neurovascular compression in patients with trigeminal neuralgia: a double-blind pilot study. Neurosurgery. 2006;58:666–673.
8. Hastreiter P.M., Naraghi R.T., Tomandl B.E. et al. Analysis and 3-dimensional visualization of neurovascular compression syndromes. Acad. Radiol. 2003;10:1369–1379.
9. Naraghi R.T., Hastreiter P.M., Tomandl B.E. et al. Three-dimensional visualization of neurovascular relationships in the posterior fossa: technique and clinical application. J. Neurosurg. 2004;100:1025–1035.
10. Leal P.R., Hermier M., Souza M.A. et al. Visualization of vascular compression of the trigeminal nerve with high-resolution 3T MRI: a prospective study comparing preoperative imaging analysis to surgical findings in 40 consecutive patients who underwent microvascular decompression for trigeminal neuralgia. Neurosurgery. 2011;69:15–26.
11. Yamakami I., Kobayashi E., Hirai S. et al. Preoperative assessment of trigeminal neuralgia and hemifacial spasm using constructive interference in steady state-three-dimensional Fourier transformation magnetic resonance imaging. Neurol. Med. Chir. 2000;40:554–555.
12. Benes L.O., Shiratori K.J., Gurschi M.A. et al. Is preoperative high-resolution magnetic resonance imaging accurate in predicting neurovascular compression in patients with trigeminal neuralgia? A single-blind study. Neurosurg. Rev. 2005;28:131–136.
13. Stobo D.B., Lindsay R.S., Connell J. et al. Initial experience of 3 Tesla versus conventional field strength magnetic resonance imaging of small functioning pituitary tumors. Clin. Endocrinol. 2011;75:673–677.
14. Leal P.R., Hermier M., Froment J.C. et al. Preoperative demonstration of the neurovascular compression characteristics with special emphasis on the degree of compression, using high-resolution magnetic resonance imaging: a prospective study, with comparison to surgical findings, in 100 consecutive patients who underwent microvascular decompression for trigeminal neuralgia. Acta Neurochir. (Wien). 2010;152:817–825.
15. Tanrikulu L.I., Hastreiter P.G., Richer G.L. et al. Virtual neuroendoscopy: MRI-based three-dimensional visualization of the cranial nerves in the posterior cranial fossa. Br. J. Neurosurg. 2008;22:207–212.
16. Hastreiter P.M., Naraghi R.T., Tomandl B.E. et al. 3D-visualization and registration for neurovascular compression syndrome analysis. MICCAI ‘02 Proceedings of the 5th International Conference on Medical Image Computing and Computer-Assisted Intervention. Part I. — London, UK: Springer-Verlag. 2002;5:396–403.
17. Willinek W.A., Schild H.H. Clinical advantages of 3.0 T MRI over
18. 5 T. Eur. J. Radiol. 2008;65:2–14.
19. Schmitz B.L., Aschoff A.J., Hoffmann M.H. et al. Advantages and pitfalls in 3TMR brain imaging: a pictorial review. Am. J. Neuroradiol. 2005;26:2229–2237.
20. Tanenbaum L.N. Clinical 3T MR imaging: mastering the challenges. Magn. Reson. Imaging Clin. N. Am. 2006;14:1–15.
21. Stankiewicz J.M., Glanz B.I., Healy B.C. et al. Brain MRI lesion load at 1.5T and 3T versus clinical status in multiple sclerosis. J. Neuroimaging. 2011;21:50–56.
22. Willinek W.A., Gieseke J.K., Von Falkenhausen M. et al. Sensitivity encoding (SENSE) for high spatial resolution time-of-flight MR angiography of the intracranial arteries at 3.0 T. Rofo. 2004;176:21–26.
23. Pattany P.M. 3T MR imaging: the pros and cons. Am. J. Neuroradiol. 2004;25:1455–1456.
24. Schwindt W.L., Kugel H.R., Bachmann R.P. et al. Magnetic resonance imaging protocols for examination of the neurocranium at 3 T. Eur. Radiol. 2003;13:2170–2179.
Читайте также:
