МРТ стопы в аксиальной проекции в норме
Добавил пользователь Евгений Кузнецов Обновлено: 16.12.2025
Применение магнитно-резонансной томографии дает возможность детального послойного сканирования стопы пациента. Это дает максимально полную картину здоровья человека, на ранней стадии определяет различные травмы, признаки заболеваний.
Во время МРТ стопы анализируется сразу несколько основных областей:
- Мелкие суставы.
- Мягкие ткани.
- Сухожилия.
Обычно рекомендации о том, что человеку нужно пройти МРТ стопы, принимает после осмотра травматолог или врач-ортопед. Но также пациенты могут записаться на исследование по собственной инициативе.
Существует множество потенциальных проблем, которые позволяет выявить магнитно-резонансная томография.
В группу риска попадают люди, активно занимающиеся спортом, много времени проводящие на ногах.
Есть вероятность возникновения различных видов заболеваний в том случае, если вы много работаете с большими тяжестями.
Рассмотрим, в каких случаях и как делают МРТ стопы. Также расскажем о том, какие болезни помогает определить такой формат диагностики.
Когда нужно делать МРТ
Применение магнитно-резонансной томографии – это универсальный метод, который помогает проводить обследование большого списка пациентов. Есть сразу несколько причин, по которым врачи могут рекомендовать пройти именно такое обследование:
- Сильные боли в ноге с непонятными причинами, локализацией.
- Подозрение на травму или необходимость оценки ее последствий.
- Анализ хода лечения, восстановления после операций, травмирования и других проблем.
Также МРТ назначается, когда есть потребность отыскать первые признаки множества видов заболеваний.
Какие болезни позволяет отыскать МРТ
Использование магнитно-резонансной томографии – это передовой метод для определения строения и патологий как костных, так и мягких тканей. Врачам удается установить наличие у человека множества видов болезней. Среди них:
- Болезнь Севера.
- Сесамоидит.
- Артроз.
- Артрит.
- Межпальцевая неврома.
Также МРТ активно применяется для обнаружения разных типов воспалительного процесса, в том числе, в плюснефаланговых суставах. Среди других проблем, которые можно отыскать таким методом – синдром подвывиха кубовидной кости и разрыв заднего большеберцового сухожилия.
Если говорить о диагностике новообразований, то МРТ также отлично подойдет для такой задачи. Несмотря на то, что в этой части тела опухоли появляются достаточно редко, именно магнитно-резонансная томография определяет их на самой ранней стадии.
Наш оператор перезвонит вам в течении 20 мин
Как проводится МРТ стопы
Процесс исследования проводится в рентгенологическом кабинете. Для анализа состояния пациента применяется специальный аппарат – томограф.
Пациент укладывается на специальный выдвижной стол. При этом он должен на протяжении всего времени работы томографа сохранять полностью неподвижное положение.
Чтобы вам было проще исключить случайные движения, ноги фиксируются. Программа скрининга помогает получать трехмерную модель стопы, на самом раннем этапе отыскать все признаки развивающихся заболеваний, новообразований и множества других проблем.
На МРТ уходит 20-30 минут. По итогам врач составит для вас развернутое заключение.
Снимки будут записаны на носитель, который затем пациент сможет показать своему лечащему врачу.
Что лучше – КТ или МРТ стопы
Еще один важный вопрос, на который потребуется найти ответ – что лучше всего использовать для обследования стопы – компьютерную или магнитно-резонансную томографию. Многие врачи сходятся во мнении о том, что именно МРТ для большинства пациентов оказывается предпочтительным вариантом. Для это есть сразу несколько важных причин:
- Нет никакой лучевой нагрузки на организм. Это позволяет делать МРТ по несколько раз, следить за тем, какая динамика восстановительного процесса наблюдается у конкретного пациента. КТ нужно делать строго дозировано и с малой периодичностью, потому что она связана с применением рентгеновских лучей.
- Минимальное количество противопоказаний. Без проблем можно делать МРТ детям и беременным женщинам. Список противопоказаний очень небольшой, что делает методику действительно универсальной.
- Высокая точность. Можно проводить МРТ как в стандартном виде, так и с применением специального контрастного препарата, дополнительно увеличивающего качество получаемого изображения.
В нашем центре вы сможете пройти МРТ на аппарате экспертного уровня. Мы работаем с лучшими рентгенологами, а исследование здоровья позволяет получить максимум полезной информации по итогам проверки.
После завершения диагностики, нашим специалистам потребуется не более 30 минут чтобы составить подробное, предельно информативное заключение.
Мы готовы ответить на интересующие вас вопросы про подготовку и проведение МРТ. Предлагаем доступные цены.
МРТ стопы в аксиальной проекции в норме
Тыльные связки, соединяющие головки плюсневых костей, а также связки между костями предплюсны и плюсневыми костями. Связки обычно именуются соответственно костям, которые они соединяют. Исключение составляет раздвоенная связка, проходящая от переднего отдела пяточной кости к кубовидной и ладьевидной костям и тыльная связка Лисфранка, соединяющая первую клиновидную и вторую плюсневую кости. Подошвенные связки, расположенные под подошвенным апоневрозом, а также проксимальное и дистальное прикрепления сухожилия задней большеберцовой мышцы. Скакательная связка, иначе именуемая подошвенной пяточно-ладьевидной связкой, берет свое начало от опоры таранной и переднего отдела пяточной костей и прикрепляется к ладьевидной кости. Также представлены глубокие межпредплюсневые связки, именуемые соответственно костям, которые они соединяют. Первая в серии аксиальных (длинно-осевых) МР-томограмм правой стопы в режиме Т1: визуализация от подошвы к тылу. Подошвенный апоневроз, расположенный поверхностно по отношению к короткому сгибателю пальцев, визуализируется разделенным в переднем отделе стопы на пальцевые пучки. Медиальный подошвенный нерв проходит кнаружи от медиальной подошвенной артерии между мышцей, отводящей большой палец и коротким сгибателем пальцев. Латеральный подошвенный нерв проходит между коротким сгибателем пальцев и квадратной мышцей подошвы и, продолжая свой путь в латеральном направлении, делится на глубокую и поверхностную ветви на уровне основания пятой плюсневой кости между коротким сгибателем пальцев и мышцей, отводящей мизинец. Медиальная и латеральная головки короткого сгибателя пальцев визуализируются прикрепляющимися к сесамовидным костям первого пальца. Дистальное прикрепление к основанию проксимальной фаланги первого пальца на этой томограмме не визуализируется. Первая в серии аксиальных (длинно-осевых) МР-томограмм левой стопы в режиме TV. визуализация от подошвы к тылу. Подошвенный апоневроз, расположенный поверхностно по отношению к короткому сгибателю пальцев, визуализируется разделенным в переднем отделе стопы на пальцевые пучки. Медиальный подошвенный нерв проходит кнаружи от медиальной подошвенной артерии между мышцей, отводящей большой палец и коротким сгибателем пальцев. Латеральный подошвенный нерв проходит между коротким сгибателем пальцев и квадратной мышцей подошвы и, продолжая свой путь в латеральном направлении, делится на глубокую и поверхностную ветви на уровне основания пятой плюсневой кости между коротким сгибателем пальцев и мышцей, отводящей мизинец. Медиальная и латеральная головки короткого сгибателя пальцев визуализируются прикрепляющимися к сесамовидным костям первого пальца. Дистальное прикрепление к основанию проксимальной фаланги первого пальца на этой томограмме не визуализируется. Обратите внимание на прикрепление квадратной мышцы подошвы к сухожилию длинного сгибателя пальцев непосредственно проксимальнее его ответвлений к латеральным пальцам. Червеобразные мышцы берут свое начало от ответвлений сухожилия длинного сгибателя пальцев и прикрепляются к медиальной части проксимальной фаланги. Ответвление сухожилия длинного сгибателя пальцев к пятому пальцу непостоянное. Определить значение мышц, отводящей и приводящей большой палец, можно поняв, что отводящая мышца, тянет большой палец в сторону от второго пальца, а приводящая мышца тянет большой палец ко второму пальцу (то есть референтной осью здесь является ось стопы, а не ось тела). Косая головка мышцы, отводящей большой палец, отличается своей толщиной и шириной от более тонкой поперечной головки, которая в некоторых случаях отсутствует. Обратите внимание на прикрепление квадратной мышцы подошвы к сухожилию длинного сгибателя пальцев непосредственно проксимальнее его ответвлений к латеральным пальцам. Червеобразные мышцы берут свое начало от ответвлений сухожилия длинного сгибателя пальцев и прикрепляются к медиальной части проксимальной фаланги. Ответвление сухожилия длинного сгибателя пальцев к пятому пальцу непостоянное. Определить значение мышц, отводящей и приводящей большой палец, можно поняв, что отводящая мышца, тянет большой палец в сторону от второго пальца, а приводящая мышца тянет большой палец ко второму пальцу (то есть референтной осью здесь является ось стопы, а не ось тела). Косая головка мышцы, отводящей большой палец, отличается своей толщиной и шириной от более тонкой поперечной головки, которая в некоторых случаях отсутствует. Хорошо визуализируется прикрепление сухожилия длинной малоберцовой мышцы к первой плюсневой кости. Обратите внимание на нитевидные пальцевые сосуды по медиальной и латеральной сторонам второго пальца. Подошвенные межкостные мышцы берут свое начало от медиального края трех латеральных пальцев и прикрепляются к медиальной части оснований проксимальных фаланг соответствующих пальцев. Визуализируются четыре тыльные межкостные мышцы, имеющие две головки (двуперистые) и начинающиеся от оснований сопряженных плюсневых костей. Первая тыльная межкостная мышца прикрепляется к медиальной части основания проксимальной фаланги второго пальца, а 2-4-я — к латеральной части оснований проксимальных фаланг II-IV пальцев. Хорошо визуализируется прикрепление сухожилия длинной малоберцовой мышцы к первой плюсневой кости. Обратите внимание на нитевидные пальцевые сосуды по медиальной и латеральной сторонам второго пальца. Подошвенные межкостные мышцы берут свое начало от медиального края трех латеральных пальцев и прикрепляются к медиальной части оснований проксимальных фаланг соответствующих пальцев. Визуализируются четыре тыльные межкостные мышцы, имеющие две головки (двуперистые) и начинающиеся от оснований сопряженных плюсневых костей. Первая тыльная межкостная мышца прикрепляется к медиальной части основания проксимальной фаланги второго пальца, а 2-4-я — к латеральной части оснований проксимальных фаланг II-IV пальцев. Основания 2-5-й плюсневых костей связаны между собой тыльными, межкостными и подошвенными межплюсневыми связками. Стабильность между первым и вторым лучами обеспечивают три связки, идущие от первой клиновидной кости к основанию второй плюсневой кости: тыльная, межкостная и подошвенная. Межкостная связка, связывающая первую клиновидную и вторую плюсневую кости — самая широкая и прочная, и является истинной связкой Лисфранка, однако термины «подошвенная» и «тыльная» связки Лисфранка широко встречаются в литературе. Обратите внимание на сочленение оснований плюсневых костей. Они постоянны относительно латеральных пальцев, однако сочленение между первой и второй плюсневыми костями может встречаться не всегда. Короткий разгибатель пальцев берет свое начало от латерального края пяточной кости и веерообразно расходится к пальцам. Сухожилие передней большеберцовой мышцы огибает первую клиновидную кость и прикрепляется к ее подошвенной поверхности, а также к подошвенной поверхности первой плюсневой кости. Основания 2-5-й плюсневых костей связаны между собой тыльными, межкостными и подошвенными межплюсневыми связками. Стабильность между первым и вторым лучами обеспечивают три связки, идущие от первой клиновидной кости к основанию второй плюсневой кости: тыльная, межкостная и подошвенная. Межкостная связка, связывающая первую клиновидную и вторую плюсневую кости—самая широкая и прочная, и является истинной связкой Лисфранка, однако термины «подошвенная» и «тыльная» связки Лисфранка широко встречаются в литературе. Обратите внимание на сочленение оснований плюсневых костей. Они постоянны относительно латеральных пальцев, однако сочленение между первой и второй плюсневыми костями может встречаться не всегда. Короткий разгибатель пальцев берет свое начало от латерального края пяточной кости и веерообразно расходится к пальцам. Сухожилие передней большеберцовой мышцы огибает первую клиновидную кость и прикрепляется к ее подошвенной поверхности, а также к подошвенной поверхности первой плюсневой кости.
а) Определения:
• Аксиальная (горизонтальная) плоскость стопы:
о Длинная ось стопы
о Немного косая по сравнению с аксиальной плоскостью голени
о Задний отдел стопы: срезы отклонены соответственно длинной оси таранной кости
о Средний и передний отделы стопы: срезы отклонены соответственно продольной оси второй плюсневой кости
• Фронтальная плоскость стопы: о Короткая ось стопы
о Задний отдел стопы: срезы отклонены перпендикулярно шейке таранной кости
о Средний и передний отделы стопы: срезы отклонены перпендикулярнодлинной оси второй плюсневой кости
б) Лучевая анатомия стопы:
1. Структуры, лучше визуализирующиеся в аксиальной плоскости:
• Связка Лисфранка (три отдельных пучка, от второй клиновидной к основанию первой плюсневой кости
о Тыльный пучок: наиболее верхний срез, выполненный через вторую клиновидную и первую плюсневую кости
о Межкостный пучок: толстый центрально расположенный пучок, должен выглядеть натянутым
о Подошвенный пучок: наиболее тонкий пучок у подошвенного края второй клиновидной кости
• Скакательная связка (подошвенные пучки):
о От пяточной кости к ладьевидной
о Срединно-подошвенный косой пучок: берет свое начало в венечной ямке пяточной кости кпереди от опоры таранной кости и прикрепляется к ладьевидной кости, латеральнее сухожилия задней большеберцовой мышцы
о Нижнеподошвенный продольный пучок: короткий прямой, от венечной ямки пяточной кости к клюву ладьевидой кости
2. Структуры, лучше визуализирующиеся во фронтальной плоскости:
• Тарзальный туннель:
о Костно-фиброзный туннель в медиальной части заднего отдела стопы:
- Крыша: удерживатель сухожилий сгибателей
- Дно: медиальные края таранной и пяточной костей
о Содержимое: задний большеберцовый сосудисто-нервный пучок и ветви, сухожилие задней большеберцовой мышцы, сухожилия длинных сгибателей большого пальца и пальцев
о Значение: опухоли, варикозно измененные вены, кисты или изменения мышц способны вызывать импиджмент большеберцового нерва или его ветвей
- Результатом является развитие синдрома тарзального туннеля: боль, онемение, мышечная слабость и атрофия
• Тарзальный синус:
о Воронкообразное пространство между шейкой таранной кости и тыльным краем пяточной кости
о Содержимое: цервикальная связка, пучки удерживателя сухожилий разгибателей, артерия тарзального синуса
о Значение: повреждение может приводить к развитию фиброза и боли в латеральной части заднего отдела стопы, а также субъективной нестабильности
• Тарзальный канал:
о Задневнутреннее продолжение тарзального синуса
о Содержимое: межкостная связка
о Значение: нестабильность подтаранного сустава может быть следствием разрыва связки
• Скакательная связка (верхне-внутренний пучок):
о Наиболее прочная порция скакательной связки
о Начинается от опоры таранной кости и большеберцово-скакательного пучка поверхностной дельтовидной связки
о Прикрепляется к медиальной части ладьевидной кости
• Внутренние мышцы:
о Взаиморасположение мышечных слоев, как правило, наилучшим образом отображается на фронтальных томограммах
• Фасциальные ложа стопы:
о Четыре подошвенных фасциальных ложа разделены листками фасции
о Медиальное, среднее (поверхностное и глубокое) и латеральное
о Значение: инфекционный процесс ограничен, как правило, одним фасциальным ложем, если ранее на стопе не выполнялись хирургические вмешательства
3. Структуры, лучше визуализирующиеся в продольной плоскости:
• Предплюсне-плюсневые суставы:
о Эффект усреднения частичного объема может явиться причиной сложностей при интерпретации томограмм, полученных в других плоскостях, из-за наклонного расположения суставов
о Значение: патологические изменения в суставах, нестабильность
• Подошвенные пластинки плюснефаланговых суставов:
о Подошвенное утолщение капсулы сустава
о Проходят от шейки плюсневой кости к основанию проксимальной фаланги
о Первая плюснефаланговая подошвенная пластинка включает в себя сесамовидные кости
о Значение: повреждение подошвенной пластинки может приводить к тыльному подвывиху или вывиху сустава
• Фаланги:
о Нормальное положение сгибания затрудняет локализацию патологических изменений на аксиальных и фронтальных томограммах
о Значение: в остеомиелитический процесс часто вовлекаются дистальные фаланги, которые наилучшим образом отображаются на продольных томограммах
4. Протокол МРТ:
• Используйте специальную катушку для стопы или коленного сустава
• Обычное положение пациента-на спине, однако ряд авторов отдают предпочтение положению на животе для обеспечения стопе подошвенного сгибания:
о Положение на животе в некоторой степени искажает нормальную анатомию
• Продольные срезы обычно отклонены соответственно оси второй плюсневой кости:
о Модификации для других областей исследования
• Фронтальные проекции должны быть перпендикулярными плюсневым костям
• Аксиальные проекции должны выполняться по оси второй плюсневой кости
• Подложка высокой плотности вокруг переднего отдела стопы часто позволяет улучшить качество визуализации
• Т1-взвешенные томограммы обычно получают в продольной и аксиальной плоскостях
• Томограммы в режимах, чувствительных к жидкости, получают во фронтальной и продольной плоскостях
• При остеомиелите томограммы в режиме Т1 получают во всех трех плоскостях
в) Особенности лучевой анатомии стопы. Особенности визуализации:
• Заворот таранно-ладьевидного сустава, распространяющийся между пучками скакательной связки может ошибочно расцениваться как признак разрыва связки
• Сумки, расположенные между головками плюсневых костей, могут быть ошибочно приняты за невромы
• Расхождение плюсневых костей может затруднять получение изображения отдельного пальца на продольных срезах
• Сгибание пальцев может имитировать патологию вследствие эффекта усреднения частичного объема.
Диагностика нарушений биомеханики стопы
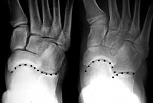
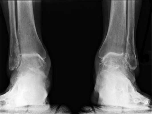
Стопа выполняет опорную и двигательную функции. Латеральная часть стопы стабильна, в то время как медиальная адаптируется к распределению веса и движению. Считается, что появление плоскостопия связано с неправильной длительной повторной нагрузкой на медиальную часть стопы. Это приводит к нарушению функции связок и сухожилий, а затем и костной деформации. Степень деформации, определяемая по рентгенограмммам не всегда соответствует тяжести клинических проявлений.
Для оценки правильности биомеханики стопы рентгеновские снимки выполняются в переднезадней (дорсоплантарной) и боковой проекциях в положении пациента с опорой на исследуюмую ступню .
Рентгенограмма в боковой проекции. Стопа в норме и при плоскостопии.
3 основных компонента участвуют в нарушении нормального расположения костей стопы: приведение стопы, вальгусное расположение и уплощение продольного свода. По переднезадним рентгенограммам можно определить признаки приведения стопы: измеряя талонавикулярный (таранно-ладьевидный) угол и угол между первой плюсневой костью и таранной костью. Талонавикулярный угол больше 7 градусов указывает на латеральный подвывих таранной кости . При нормальном своде стопы угол вниз между первой плюсневой костью и таранной костью (угол Meary) не должен превышать 4 градусов, угол 15-30 градусов рассматривается как умеренное плоскостопие, а больше 30 градусов – как выраженное. Подъем угла вверх больше 4 градусов называют pes cavus.
Рентгенография прямой проекции. Талонавикулярный угол в норме и при плоскостопии.
Рентгенография в боковой проекции. Угол между 1 плюсневой костью и таранной костью в норме и при плоскостопии.
Рентгенография в боковой проекции. Вырезка пяточной кости в норме и при плоскостопии.
Угол приведения стопы можно измерять по на переднезадних рентгенограммах по линии 1 плюсневая кость – таранная кость. В норме линия должна быть прямой. Отклонение ее медиально указывает на плоскостопие.
Рентгенограмма в передне-задней проекции. Таранно-плюсневая линия в норме и при плоскостопии.
Боковой таранно-пяточный угол формируется при пересечении таранной кости и линии, идущей вдоль нижней поверхности пяточной кости. В норме угол должен быть 25-45 градусов. Угол больше 45 градусов указывает на вальгусное расположение стопы, компонента плоскостопия.
Рентгенография в боковой проекции. Боковой таранно-пяточный угол.
Архитектоника предплюсны также определяется по линии таранно-ладьевидного и пяточно-кубовидного сустава (линия CYMA). Линия рисуется в переднезадней и боковой проекциях. Разрыв линии говорит о ротации таранной кости на пяточную, что часто встречается при плоскостопии.

Рентгенография в передне-задней проекции. Таранно-ладьевидная линия.
Нарушение биомеханической функции стопы также может быть связано с тендинитами, обусловленными разными причинами, в том числе и с дополнительными сесамовидными косточками:
- Наружная большеберцовая кость (дополнительная ладьевидная кость) – расположена медиальнее ладьевидной кости, кзади от ее заднемедиальной бугристости и включается в сухожилие задней большеберцовой мышцы. Наблюдается у 10% населения, причем в 70% с обеих сторон. По классификации Geist выделяют 3 типа: тип 1 – мелкая (2-3 мм) сесамовидная косточка, отделенная от бугристости, примерно 30% всех случаяв, обычно бессимптомна; тип 2 – треугольная крупная (до 12 мм), связана с бугристость гиалиновым хрящем или фиброзно-хрящевой тканью; тип 3 – крупная кость, тесно связанная с ладьевидной костью и выдается наружу
- Подмалоберцовая кость (Os subfibulare) – маленькая косточка, расположенная у верхушки наружного мыщелка у нижней части бугристости малоберцовой кости. Косточка в норме существует до 15 лет, дальше сливается с диафизом малоберцовой кости. Может возникать и как следствие травмы – отрыва при натяжении передней таранно-малоберцовой связки. Косточка изредка вызывает болевой синдром.
- Треугольная кость (Оs trigonum) – расположена позади таранной кости и часто ошибочно принимается за перелом. Присутствует у 7% взрослых. Формируется между 7 и 13 годами. Считается, что она может быть предрасполагающим фактором к заднему импинджмент синдрому голеностопного сустава. При крайнем згибании происходит соударение между задним суставным краем большеберцовой кости и задним отростком таранной кости. Капсула при этом ущемляется. Такое явление часто наблюдается у артистов балета. Сам синдром виден как синовит длинного сгибателя большого пальца стопы при МРТ стопы.
При МРТ в СПб стопы мы предварительно рекомендуем делать рентгенологическое исследование, которое позволит исключить костную патологию. МРТ исследование одинаково информативно в высоких полях, так и открытом МРТ. МРТ СПб редко сталкивается с проблемами нарушения биомеханики стопы, оставляя это поле рентгеновским исследованиям.
Визуализирующие возможности МРТ голеностопного сустава и стопы
Магнитно-резонансная томография – это современный метод исследования, позволяющий визуализировать патологические изменения в связках, мышцах, сухожилиях, нервах, сосудах и суставах стопы. Исследование проводят в сложных диагностических ситуациях, когда врачам не удается выявить причину болей другими методами. МРТ стопы позволяет обнаружить практически любые дефекты в тканях на самых ранних стадиях.
![]()
Магнитно-резонансную томографию делают всем пациентам, которые планируют оперироваться по поводу вальгусной деформации, плоскостопия или артроза голеностопного сустава. Обследование помогает врачам адекватно спланировать операцию и добиться лучших функциональных результатов.
![]()
МРТ голеностопного сустава и стопы крайне редко делают в диагностических целях. Как показала клиническая практика, для диагностики большинства заболеваний данной области достаточного рентгенографии и УЗИ.
Противопоказания к томографии
Некоторые люди считают, что МРТ нельзя делать при наличии металлических иплантатов, штифтов и накостных пластин. Однако это заблуждение. Большинство современных металлоконструкций изготавливают из сплавов, которые не разогреваются и не смещаются в магнитном поле.
МРТ следует проводить с большой осторожностью в тех случаях, когда в теле человека есть несколько металлических имплантатов больших размеров. При этом в ходе исследования врачи должны использовать дополнительные меры предосторожности. К примеру, они могут дать в руку пациенту специальную кнопку. Если тот почувствует жжение или дискомфорт, то сможет сразу же оповестить об этом медработников.
![]()
Абсолютные противопоказания к проведению МРТ:
- первый триместр беременности;
- новообразования различной природы;
- наличие электрокардиостимуляторов, искусственных клапанов сердца, кохлеарных имплантатов и инсулиновых помп;
- установленные нетитановые зажимы и клипсы на сосудах;
- подозрение на наличие металлических инородных тел в мягких тканях.
Магнитно-резонансную томографию не делают лицам с клаустрофобией и острыми психическими расстройствами. Причина – невозможность поместить исследуемого в аппарат МРТ.
Подготовка к обследованию
Перед проведением МРТ стопы человеку не требуется особая подготовка. Он может вести обычный образ жизни и питаться привычным образом. Перед самим исследованием пациенту достаточно снять с себя все украшения и одежду с металлическими деталями.
![]()
Прежде чем делать МРТ, обязательно проконсультируйтесь с врачом. Расскажите ему о своих хронических заболеваниях, аллергии, наличии любых протезов и имплантатов. Это поможет специалисту понять, можно ли вам обследоваться. При необходимости он даст вам полезные рекомендации.
Где и за сколько можно сделать МРТ стопы
В Москве и Санкт-Петербурге магнитно-резонансную томографию делают в большинстве крупных государственных больниц и частных лечебно-диагностических центров. В некоторых медицинских учреждениях обследоваться можно только по предварительной записи. Стоимость МРТ стопы в России колеблется в пределах 5000-7000 рублей.
Спросите у лечащего врача, где можно сделать МРТ голеностопного сустава. Скорее всего, он порекомендует вам сразу несколько мест.
Что показывает МРТ стопы и голеностопного сустава
Магнитно-резонансная томография позволяет получить трехмерное послойное изображение мягких тканей. На томограммах отлично визуализируются все структуры суставов стопы, связки, мышечные сухожилия, нервы и сосуды. Однако МРТ малоинформативна в диагностике заболеваний костей. С этой целью врачи обычно используют компьютерную томографию (КТ).
Таблица 1. МРТ-признаки заболеваний голеностопного сустава и стопы
Патология Характерные изменения на томограммах Подошвенный фасциит На МРТ врачи выявляют утолщение плантарной фасции и выраженный отек мягких тканей. На поздних стадиях у больных появляется пяточная шпора. Она представляет собой клювовидный нарост на подошвенной поверхности пяточной кости. Шпору можно обнаружить с помощью рентгенографии Неврома Мортона При данной патологии врачи выявляют у больного округлое опухолевидное образование. Оно локализуется в третьем межпальцевом промежутке. Синовиты Для заболевания характерны отек синовиальной оболочки и скопление в суставной полости жидкого выпота. Эти изменения видны и при ультразвуковом исследовании Артроз голеностопного сустава МРТ позволяет выявить дегенеративные изменения суставных хрящей на самых ранних стадиях остеоартроза стопы. На снимках они визуализируются в виде мелких дефектов хрящевой ткани. На более поздних стадиях у больного выявляют субхондральный склероз и изменения в костной ткани Инфекционные и неинфекционные артриты Характеризуются воспалением хрящей, отеком и утолщением суставной капсулы, скоплением жидкости в синовиальной полости. С помощью МРТ можно обнаружить ранние признаки ревматоидного, подагрического, псориатического и других артритов голеностопного сустава Болезнь Севера При данной патологии у пациента выявляют типичные изменения в пяточной кости. Симптомы болезни Севера чаще всего появляются у подростков и лиц молодого возраста Плоскостопие и вальгусная деформация стопы Заболевания можно диагностировать с помощью обычной рентгенографии. МРТ делают лишь в ходе подготовки к их хирургическому лечению Что показывает магнитно-резонансная томография стопы
![]()
МРТ стопы - это томографическое (послойное) сканирование мелких суставов, мягких тканей, сухожилий нижней части ноги. К врачу ортопеду-травматологу часто обращаются пациенты с такими проблемами, как: дискомфорт при движении, боли в пальцах ног и стопе. Нижние конечности получают большую нагрузку при ходьбе, а тем более при занятии спортом, поэтому эта часть тела становится уязвима при неловком движении. Чтобы врач мог определить наличие травм, опухолей, разрыва сухожилий, диагностировать воспалительные процессы или аутоиммунные заболевания, необходимо сделать МРТ суставов стопы. Магнитно-резонансная томография суставов позволяет специалисту обнаружить все повреждения, даже если визуально стопа остается без особых повреждений.
Что покажет МРТ стопы
Томография стопы позволяет четко визуализировать мягкие и костные ткани нижней части ноги. С помощью томографа за одно сканирование можно успешно диагностировать такие заболевания, как:
- сесамоидит;
- межпальцевая неврома;
- воспаление в плюснефаланговых суставах;
- ущемление подошвенного нерва;
- эпифизит пяточной кости (болезнь Севера);
- синдром подвывиха кубовидной кости;
- разрыв заднего большеберцового сухожилия;
- артроз и артрит пальцев стопы.
В области стопы редко, но все же могут возникать новообразования и опухоли. Они часто локализуются в мягких тканях стопы или могут задействовать мелкие кости, нервы или сосуды. МРТ диагностика поможет выявить эти мельчайшие опухолевые изменения, которые с трудом представляется возможным увидеть при использовании обычного рентгена. Магнитно-резонансная томография поможет четко увидеть место локализации опухоли, дать оценку ее размерам, какие структуры при этом повреждены, степень заболевания, определить, есть ли необходимость делать операцию.
При недугах инфекционного характера, которые чаще встречаются при воздействии патогенной или условно патогенной флоры при травмах или внутренних заболеваниях, МРТ стопы поможет обнаружить место локализации гнойного процесса и его обширность, а также дифференцировать разновидности - абсцесс или флегмона.
ЗАПИСЬ НА ПРИЕМ
Когда нужно сделать МРТ стопы
Если у пациента есть хронические боли в области стопы, особенно острого характера, заметна какая-либо деформация, в том числе заметно разрастание тканей, наблюдаются затруднения при ходьбе, хруст во время передвижения, сделать МРТ стопы нужно в срочном порядке. Для это необходимо записаться на томографию сустава стопы в клинике СПб, где установлен высокопольный томограф мощностью не менее 1,5 Тесла.
По снимкам МРТ врач:
- увидит изменения и разрушения в костной ткани, например, остеомиелит, остеопороз, воспаление суставов, артрит, артроз;
- определит деформацию стопы - плоскостопие и аномалии строения костей;
- диагностирует системные заболевания суставов и определит стадию заболевания;
- назначит правильное лечение.
Как делают томографию
Обследование проводится в специальном радиологическом кабинете, где размещен томограф с сильным магнитным полем. Пациент располагается на выдвижном столе аппарата и сохраняет недвижимое положение до окончания процедуры. После фиксации ног в нужном положении его перемещают под сканирующую часть установки. Запускается программа скрининга, и аппарат начинает делать снимки. Они проходят обработку с помощью компьютерной программы, которая объединяет их в серию объемных черно-белых томограмм. Проведение томографии ног занимает от 20 минут до получаса. По окончании проведенной диагностики пациент отправляется ожидать результатов ее расшифровки.
Читайте также:
- Нагноение плечевого сустава (гнойный артрит плечевого сустава) - диагностика, лечение
- Наследование возрастного снижения слуха
- Лучевая диагностика взрывного перелома грудного и поясничного позвонков
- Принципы лечения гестоза. Принципы лечения преэклампсии. Принципы лечения эклампсии.
- Симптомы саркоидоза на голове и шее





