Нейрофиброма сонного пространства - лучевая диагностика
Добавил пользователь Евгений Кузнецов Обновлено: 19.12.2025
а) Терминология:
1. Аббревиатура:
• Нейрофиброматоз первого типа (НФ1)
2. Синонимы:
• Болезнь фон Реклингхаузена, аутосомно-доминантный нейрофиброматоз
3. Определения:
• Ауюсомно-доминантное нейро-кожное заболевание (факоматоз)
• Диагностические критерии НФ1: (>2 нижеперечисленных признаков):
о >6 пятен «кофе с молоком» >5 мм в допубертатном периоде или >15 мм в постпубертатном
о >2 нейрофибром или одна плексиформная нейрофиброма (ПНФ)
о Пятна в подмышечной/паховой области
о Глиома зрительных путей
о Узелки Пиша (гамартомы радужной оболочки глаза)
о Отличительные поражения костей:
- Дисплазия крыла сфеноидальной кости
- Истончение длинных костей: ± псевдоартроз
о НФ1 у ближайших родственников
• Опухоль влагалища периферических нервов (ОВПН) = шваннома, нейрофиброма, плексиформная нейрофиброма
• Нейрофибромы: локализованный, плексиформный, диффузный вариант
б) Визуализация:
1. Общая характеристика:
• Лучший диагностический критерий:
о ПНФ:
- Характерный диагностический признак НФ1
о Множественные ограниченные нейрофибромы
• Локализация:
о Нейрофибромы могут обнаруживаться в любой области головы и шеи:
- Чаще всего в сонном пространстве, плечевом сплетении, полости рта, в щеке, заглоточном пространстве, заднем цервикальном пространстве
о ОВПН:
- Обычно вовлекаются крупные нервные стволы, включая плечевое сплетение
• Размер:
о Ограниченная нейрофиброма: от нескольких миллиметров до сантиметров
о ПНФ: может достигать больших размеров
• Морфология:
о Ограниченные нейрофибромы:
- Множественные веретеновидные образования по ходу нервов, с ровными, четкими краями, вариабельно накапливающие контраст
- Параспинальная нейрофиброма может иметь форму гантели ± расширение отверстий нервов в костях
- Шваннома может быть неотличима от нейрофибромы
о Диффузная нейрофиброма:
- Бляшковидное или инфильтративное, плохо отграниченное образование кожи и подкожной клетчатки сетчатого характера
о ПНФ:
- Извитое образование с неровными контурами, распространяющееся вдоль крупных нервов в различные анатомические зоны
- Напоминает «клубок червей»

(Слева) При аксиальной МРТ (Т1ВИ С+) у ребенка с НФ1 визуализируется большая глиома зрительных путей, вовлекающая хиазму и прехиазмальную часть зрительных нервов.
(Справа) На рентгенограмме в боковой проекции у ребенка с ПНФ основания черепа визуализируется большой дефект лямбовидного шва, типичное, но редкое изменение у детей с НФ1. Обратите внимание на асимметрию крыши глазниц, обусловлено поражением глазницы с одной стороны, типичным для пациентов с дисплазией крыла клиновидной кости и ПНФ.
2. КТ при нейрофиброматозе первого типа головы и шеи:
• КТ с КУ:
о Ограниченная нейрофиброма и ПНФ:
- Часто имеет низкую плотность (5-25 HU) на пре- и постконтрастных изображениях, напоминая лимфатическую мальформацию
- Параспинальная нейрофиброма может иметь форму гантели:
± расширение отверстий для нервов в костях
3. МРТ при нейрофиброматозе первого типа головы и шеи:
• Т2ВИ:
о Гиперинтенсивный сигнал
о Симптом мишени: ↓ интенсивности в центре, ↑ на периферии ПНФ:
- Симптом «пучка»: множественные мелкие неправильные гипоинтенсивныеочаги (-мышечные пучки)
• Т1ВИ С+:
о Ограниченная нейрофиброма: хорошо отграниченное веретеновидное образование с равномерным или «пятнистым» контрастным усилением
о ПНФ: бугристое объемное образование по ходу нерва, неравномерно накапливающее контраст
о Злокачественная ОВПН:
- Доброкачественную и злокачественную ОВПН сложно отличить только на основании методов визуализации
- При больших размерах (> 5 см), неоднородности структуры с центральным некрозом, инфильтративных краях, быстром росте нужно предполагать злокачественную ОВПН
о Диффузная нейрофиброма: бляшковидное или инфильтративное интенсивное контрастное усиление в коже и подкожной клетчатке
4. Рекомендации по визуализации:
• Лучший метод диагностики:
о МРТ лучше всего позволяет охарактеризовать и определить полную распространенность:
- Наиболее подозрительны изменения на STIR и Т2 ВИ FS
о КТ в костном окне позволяет выявить сопутствующие изменения костей:
- Особенно полезна у пациентов с дисплазией крыла клиновидной кости и ПНФ

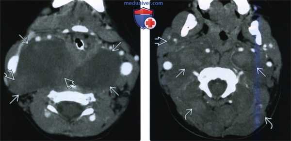
(Слева) При аксиальной КТ с КУ у ребенка с НФ1 визуализируются большие нейрофибромы сонного пространства типичного вида: низкой плотности с легким «пятнистым» контрастным усилением.
(Справа) При аксиальной КТ с КУ у ребенка с НФ 1 визуализируется массивная опухоль: многочисленные нейрофибромы в сонном пространстве с обеих сторон, околоушном пространстве справа, задних шейных пространствах. «Пятнистое» накопление контраста в центре с периферическим гиподенсным «ободком» встречается нередко.
в) Дифференциальная диагностика:
1. Лимфатическая мальформация:
• Низкая плотность
• Одно- или многокамерная, локальная или инфильтративная
• Не накапливает контраст, пока не инфицируется или, если не является смешанной венолимфатической мальформацией
2. Венозная мальформация:
• Часто содержит флеболиты
3. Рабдомиосаркома:
• Распространенное инвазивное образование
• Часто с агрессивной деструкцией костей

(Слева) При аксиальной МРТ Т1ВИ С+ FS у этого же пациента определяется схожая картина контрастною усиления («пятнистое» в центре и отсутствие по периферии). Обратите также внимание на распространение опухоли в позвоночный канал со сдавливанием верхних шейных сегментов спинною мозга.
(Справа) При аксиальной МРТ (STIR) все изменения становятся более выраженными. Обратите внимание, что несколько очагов имеют типичный вид «мишени» (в аксиальной плоскости), в то время как другие больше напоминают «трамвайные рельсы» (срез вдоль длинной оси).
г) Патология:
1. Общая характеристика:
• Этиология:
о Ген НФ1 (ген-супрессор опухоли) в норме кодирует «нейрофибромин», влияющий на регуляцию клеточного роста
о Ген НФ1 «выключается» при НФ1:
- Обусловливая пролиферацию клеток и возникновение опухоли
• Генетика:
о Аутосомно-домимнатное заболевание; 50% новых мутаций
о Локус гена = хромосома 17q11.2:
- Нонсенс - мутация этого гена приводит к НФ1
• Сопутствующие патологические изменения:
о Другие экстракраниальные проявления НФ1 со стороны головы и шеи:
- Орбита: глиома зрительных путей (ГЗП), расширение влагалища зрительного нерва, узелки Лиша, буфтальм, расширение отверстий в черепе (ПНФ)
- Череп: дефекты лямбдовидного шва
- Изменения основания черепа:
Дисплазия сфеноидальной кости (ПНФ), возможно вследствие взаимодействия ПНФ с развивающейся подлежащей костью
Равномерное расширение отверстий в костях основания черепа с инфильтрацией ПНФ черепно-мозговых нервов
- Сосудистая дисплазия: стеноз/окклюзия внутренней сонной артерии и болезнь моямоя; аневризмы и артериовенозные фистулы (редко)
- Опухоли нервного гребня:
Феохромоцитома: 10x ↑ у пациентов с НФ1
Паратиреоидные аденомы: ↑ заболеваемости
о Другие лучевые проявления НФ1:
- Изменения ЦНС:
Церебральные глиомы, гидроцефалия, шванномы ЧН
Динамические реактивные очаги: белое вещество, зубчатые ядра, бледный шар, ствол мозга, таламус, гиппокамп
Астроцитомы спинного мозга
2. Стадирование, классификация нейрофиброматоза первого типа головы и шеи:
• Нейрофибромы: степень I (ВОЗ)
• Злокачественная ОВПН: степень III/IV (ВОЗ)
3. Макроскопические и хирургические особенности:
• Ограниченная нейрофиброма:
о Веретеновидное, плотное, сероватое образование, переплетающееся с нервом
• ПНФ:
о Диффузное извитое расширение нервов в виде «клубка червей»
о С вовлечением кожи, фасций, более глубоких тканей
• Злокачественная ОВПН:
о Веретеновидное, «мясистое» коричневатое образование с зонами некроза и кровоизлияниями
о Утолщение нервов проксимальнее и дистальнее вследствие распространения опухоли вдоль эпи- и периневрия
4. Микроскопия:
• Ограниченная нейрофиброма:
о Шванновские клетки, фибробласты, тучные клетки в матриксе коллагеновых волокон, слизистая субстанция
о Аксоны обычно погружены в опухоль
• ПНФ:
о Шванновские клетки и периневральный рост фибробластов по ходу нервных пучков
• Злокачественная ОВПН:
о Рост веретеновидных клеток как при фибросаркоме
о Рассматривается как саркома высокой степени злокачественности
о ПНФ: риск злокачественной трансформации 5%
д) Клинические особенности:
1. Проявления:
• Типичные признаки/симптомы:
о Большинство нейрофибром и ПНФ бессимптомны
о Кожные проявления НФ1
о Внезапное ↑размеров, болезненность стабильной нейрофибромы подозрительно на злокачественную трансформацию
• Другие признаки/симптомы:
о Снижение зрения при ПП
о Пульсирующий буфтальм, дисплазия клиновидной кости, ПНФ
2. Демография:
• Возраст:
о Любой, чаще всего в раннем или позднем детском возрасте; новые очаги могут возникать в любое время
о Злокачественная ОВПН: обычно у взрослых, редко у детей
• Эпидемиология:
о НФ1:
- Самое частое аутосомно-доминантное заболевание: 1:3000
- Самый частый нейро-кожный синдром
- Самый частый синдром врожденной опухоли
о Ограниченная нейрофиброма:
- 90% солитарные и не связаны с НФ1
- 10% связаны с НФ1 — чаще большие, множественные, вовлекающие крупные глубокие нервы (например, плечевое сплетение)
о Злокачественная ОВПН:
- 50% связаны с НФ1
- У 5% пациентов с НФ1 возникает злокачественная ОВПН
о Диффузная нейрофиброма:
- Большинство у пациентов без НФ1
3. Течение и прогноз:
• Обычно растет медленно в отсутствие злокачественной трансформации:
о В редких случаях у маленьких детей достигает огромных размеров
4. Лечение:
• Резекция нейрофибром, сдавливающих витальные структуры
• Единичные нейрофибромы резектабельны, ПНФ в целом нерезектабельны
• Радиочастотное лечение ПНФ
е) Диагностическая памятка:
1. Следует учесть:
• НФ1, если у пациента имеется ПНФ или множественные ограниченные нейрофибромы:
о Оцените также изменения со стороны головного мозга, ГЗП, дисплазию крыла клиновидной кости
2. Советы по интерпретации изображений:
• Внимание: распространенная нейрофиброма может быть гиподенсной на КТ и имитировать лимфатическую мальформацию
ж) Список использованной литературы:
1. McCarville MB: What MRI can tell us about neurogenic tumors and rhabdomyosarcoma. Pediatr Radiol. 46(6):881-90, 2016
2. Rad E et al: Neurofibromatosis type 1: fundamental insights into cell signalling and cancer. Semin Cell Dev Biol. 52:39-46, 2016
Нейрофиброма сонного пространства - лучевая диагностика
Менингиома сонного пространства - лучевая диагностика
а) Визуализация:
• Новообразование сонного пространства, накапливающее контраст и происходящее из яремного отверстия:
о Твердая мозговая оболочка вокруг яремного отверстия утолщена, накапливает контрастное вещество
о Смещает внутреннюю сонную артерию кпереди
• КТ в костном окне: деформация краев яремного отверстия (либо склероз, либо гиперостоз)
• Протокол: МРТ основания черепа с контрастированием и в режиме подавления сигнала от жировой ткани:
о КТ основания черепа для оценки костных изменений
(Слева) КТ в костном окне, аксиальная проекция. Характерные инфильтративно-склеротические костные изменения в области основания черепа и яремного отверстия. Обратите внимание, что внутричерепная часть опухоли частично кальцифицирована.
(Справа) МРТ Т1ВИ FS с КУ, аксиальная проекция. Менингиома яремного отверстия распространяется вниз, в сонное пространство. Обратите внимание, что сонная артерия расположена спереди от опухоли. Подобные опухоли происходят из клеток арахноидального эндотелия. Увеличиваясь в размерах, менингиома начинает спускаться в сонное пространство. (Слева) МРТ Т1ВИ FS с КУ, аксиальная проекция. Крупная, накаливающая контраст опухоль правого сонного пространства, смещающая сонную артерию кпереди. Обратите внимание, что участки выпадения сигнала отсутствуют. Этот признак помогает дифференцировать менингиому от более распространенной опухоли-параганглиомы.
(Справа) МРТ Т1ВИ FS с КУ, коронарная проекция, тот же пациент. Крупная менингиома сонного пространства, исходящая из яремного отверстия. Обратите внимание, что в полости черепа имеется «хвост» из твердой мозговой оболочки -достаточно частая находка у пациентов, у которых менингиома основания черепа распространяется интракраниально.
б) Дифференциальная диагностика:
• Каротидная или вагальная параганглиома
• Шваннома сонного пространства
• Псевдоаневризма внутренней сонной артерии
в) Патология:
• Происходит из арахноидального эндотелия яремного отверстия
• Спускается в носоглоточный отдел сонного пространства
• I степень по ВОЗ (>90%)
г) Клинические особенности:
• Пациенты в возрасте 40-60 лет, М:Ж= 1:2
• Постепенное прогрессирование симптоматики (доброкачественная опухоль с медленным ростом)
• Лечение: хирургическое удаление ± лучевая терапия
• Успешность хирургического лечения зависит от степени заинтересованности черепных нервов и внутренней сонной артерии
• При неполном удалении, обширном поражении основания черепа, наличии противопоказаний к операции проводится лучевая терапия
д) Диагностическая памятка:
• Если новообразование носоглоточного отдела сонного пространства распространяется в яремное отверстие, предположить тип гистологического строения опухоли помогает характер изменения краев яремного отверстия
• Менингиома: склероз или гиперостоз
• Яремная параганглиома: инфильтративно-деструктивные изменения
• Шваннома: плавное расширение яремного отверстия
а) Терминология:
• Доброкачественная опухоль, происходящая из оболочки нервных волокон блуждающего нерва, подъязычного нерва или симпатического ствола
б) Визуализация:
• Округлое или веретеновидное образование, расположенное в сонном пространстве, с неравномерным или незначительным накоплением контрастного вещества
• Находится между сонной артерией и внутренней яремной веной:
о Смещает сонную артерию кпереди и медиально
о Смещает внутреннюю яремную вену назад и латеральном направлении
• Новообразование, расположенное в подподъязычной области шеи, обычно находится позади сосудов:
о Смещает и сонную артерию, и внутреннюю яремную вену вперед и в латеральном направлении
• При КТ имеет низкую плотность и плохо накапливает контрастное вещество
• На Т2ВИ или STIR MPT сигнал гиперинтенсивный, появляется признак «мишени»
• При МРТ с контрастированием контраст накапливает слабо, иногда однородно, иногда нет
(Слева) КТ с КУ, аксиальная проекция. В левом сонном пространстве визуализируется образование низкой плотности, с небольшим внутренним участком накопления контраста. Внутренняя сонная артерия смещена впереди в медиальную сторону, внутренняя яремная вена - назад и в латеральную сторону.
(Справа) КТ с КУ, аксиальная проекция. Нейрофиброма сонного пространства, плотность которою равна плотности спинного мозга. Накопление контраста минимальное. Внутренняя сонная артерия смещена вперед и в медиальную сторону, внутренняя яремная вена - назад и в латеральную сторону, заднее брюшко двубрюшной мышцы - в латеральную сторону. (Слева) МРТ Т1ВИ FS с КУ, пациент с нейрофиброматозом I типа. В сонном пространстве имеется образование округлой формы, неоднородно накапливающее контраст. Внутреняя сонная артерия смещена кпереди. Внутренняя яремная вена уплощена и смещена вперед и в латеральную сторону.
(Справа) МРТ Т2ВИ в коронарной проекции, этот же пациент. Типичная нейрофиброма блуждающего нерва: удлиненная, овальная форма и неоднородный гиперинтенсивный сигнал. Имеются стигмы нейрофиброматоза I типа: множественные опухоли оболочки спинномозговых нервов.
в) Дифференциальная диагностика:
• Вагальная параганглиома
• Каротидная параганглиома
• Шваннома сонного пространства
• Псевдоаневризма сонной артерии
г) Патология:
• Доброкачественная опухоль из веретеновидных клеток
д) Клинические особенности:
• Крупные опухоли приводят к развитию паралича нижних черепных нервов
• Единичная нейрофиброма: мягкотканное образование на шее
• Плексиформная НФ: многодольный «мешок с червями»
• В 50% случаев изолированная, также в 50% случаев - ассоциирована с нейрофиброматозом I типа
• Хирургическое лечение в случае клинически значимых изолированных опухолей
е) Диагностическая памятка:
• Лучше всего визуализируется на Т2ВИ с подавлением жира и STIR МРТ
• Введение контраста может усложнить визуализацию опухоли
1. Аббревиатуры:
• Нейрофиброма (НФ)
2. Определения:
• Доброкачественная опухоль нервной оболочки
• Происходит из блуждающего нерва или симпатического ствола; опухоли, расположенные в верхних отделах, могут происходить из подъязычного нерва
1. Общая характеристика:
• Лучший диагностический критерий:
о Округлое или веретеновидное образование сонного пространства
• Локализация:
о Между сонной артерией и внутренней яремной веной:
- Смещает сонную артерию кпереди и медиально
- Смещает внутреннюю яремную вену назад и латерально
• Размер:
о Спорадическая НФ: обычно диаметром2-5 см
о Плексиформная НФ при нейрофиброматозе I типа: множественные образования диаметром до 10 см
• Морфология:
о Спорадическая НФ: округлая или веретеновидная форма
о Плексиформная НФ при нейрофиброматозе I типа: многодельная, контуры нечеткие

(Слева) КТ с КУ, аксиальная проекция. В левом сонном пространстве визуализируется образование низкой плотности, с небольшим внутренним участком накопления контраста. Внутренняя сонная артерия смещена впереди в медиальную сторону, внутренняя яремная вена - назад и в латеральную сторону.
(Справа) КТ с КУ, аксиальная проекция. Нейрофиброма сонного пространства, плотность которою равна плотности спинного мозга. Накопление контраста минимальное. Внутренняя сонная артерия смещена вперед и в медиальную сторону, внутренняя яремная вена - назад и в латеральную сторону, заднее брюшко двубрюшной мышцы - в латеральную сторону.
2. КТ при нейрофиброме сонного пространства:
• КТ с КУ:
о Низкая плотность, слабо накапливает контраст
3. МРТ при нейрофиброме сонного пространства:
• Т1 ВИ: однородный изоинтенсивный сигнал
• Т2 ВИ: сигнал очень высокой интенсивности с темным участком в центре («признак мишени»)
• Т1 ВИ с КУ: контраст накапливает слабо, иногда однородно, иногда нет
4. Рекомендации по визуализации:
• Лучший метод визуализации:
о МРТ с КУ в режиме FS
• Протокол исследования:
о Лучше всего визуализируется на Т2ВИ FS и STIR МРТ

(Слева) МРТ Т1ВИ FS с КУ, пациент с нейрофиброматозом I типа. В сонном пространстве имеется образование округлой формы, неоднородно накапливающее контраст. Внутреняя сонная артерия смещена кпереди. Внутренняя яремная вена уплощена и смещена вперед и в латеральную сторону.
(Справа) МРТ Т2ВИ в коронарной проекции, этот же пациент. Типичная нейрофиброма блуждающего нерва: удлиненная, овальная форма и неоднородный гиперинтенсивный сигнал. Имеются стигмы нейрофиброматоза I типа: множественные опухоли оболочки спинномозговых нервов.
в) Дифференциальная диагностика нейрофибромы сонного пространства:
1. Вагальная параганглиома:
• Клинические особенности: течение либо бессимптомное, либо с клинической каритиной поражения блуждающего нерва
• Визуализация: интенсивное накопление контраста с участками выпадения сигнала
2. Каротидная параганглиома:
• Клинические особенности: бессимптомное образование на шее, иногда пульсирующее
• Визуализация: раздвигает наружную и внутреннюю сонные артерии
3. Шваннома сонного пространства:
• Клинические особенности: новообразование на боковой поверхности шеи
• Визуализация: веретеновидная форма, равномерное накопление контраста
4. Псевдоаневризма сонной артерии:
• Клинические особенности: травма или расслоение сонной артерии в анамнезе
• Визуализация: образование в области сонной артерии с неоднородным сигналом
1. Общая характеристика:
• Этиология:
о Доброкачественная опухоль из веретеновидных клеток
• Генетика:
о Хромосома 17q11.2 при нейрофиброматозе I типа
2. Стадирование, классификация нейрофибромы сонного пространства:
• Опухоль I степени по классификации ВОЗ
3. Макроскопические и хирургические особенности:
• Солитарная НФ: округлое образование с четкими контурами
• Плексиформная НФ: инфильтративный рост, «мешок с червями»
4. Микроскопия:
• Пролиферация однотипных веретеновидных клеток
• «Волнистые» или «изогнутые» ядра
1. Проявления:
• Типичные признаки/симптомы:
о Одно или несколько безболезненных образований на шее
• Другие признаки/симптомы:
о Крупные опухоли приводят к развитию паралича нижних черепных нервов
• Клиническая картина:
о Солитарная НФ: изолированное мягкотканное образование шеи
о Плексиформная НФ: многодольный «мешок с червями» + прочие проявления нейрофиброматоза I типа
2. Демография:
• Возраст:
о Вариабелен, в среднем 35 лет
• Пол:
о Возникновение нейрофибром в сонном пространстве более характерно для женщин
• Эпидемиология:
о 50% солитарные, 50% связаны с нейрофиброматозом I типа
3. Течение и прогноз:
• Риск малигнизации при нейрофиброматозе I типа 5-10%
4. Лечение:
• Хирургическое лечение в случае клинически значимых изолированных опухолей
• Удаление плексиформной НФ сопряжено с большими техническими сложностями
1. Следует учесть:
• Пациентов нужно обследовать на другие признаки нейрофиброматоза I типа
2. Советы по интерпретации изображений:
• Лучше всего визуализируется на Т2 ВИ или STIR МРТ
3. Рекомендации по отчетности:
• Необходимо исследовать позвоночник, головной мозги глазницы
ж) Список использованной литературы:
1. Latham К et al: Neurofibromatosis of the head and neck: classification and surgical management. Plast Reconstr Surg. 135(3):845-55, 2015
2. Marocchio LS et al: Sporadic and multiple neurofibromas in the head and neck region: a retrospective study of 33 years. Clin Oral Investig. 11(2): 165-9, 2007
3. Pang KP et al: Parapharyngeal space tumours: an 18 year review. J Laryngol Otol. 116(3):170-5, 2002
Нейрофиброматозы
Нейрофиброматозы – наследственные заболевания, характеризующиеся образованием доброкачественных опухолей в коже, мягких тканях, нервной системе и внутренних органах. Выделяют 6 типов нейрофиброматозов, клинически значимы типы I и II. Общие симптомы включают нейрофибромы на коже, опухоли спинномозговых корешков, слуховых и зрительных нервов, пигментные пятна, костные деформации. Диагностика основана на данных осмотра пациентов, выявлении опухолей с помощью МРТ и КТ спинного и головного мозга, внутренних органов. Лечение симптоматическое – проводится резекция опухолей, рентгенотерапия, химиотерапия.
МКБ-10
Общие сведения
Нейрофибромы – доброкачественные опухоли, развивающиеся из оболочек нервных волокон. Чаще всего располагаются в слоях кожи и подкожной клетчатке, иногда поражают головной мозг, нервные волокна, корешки спинного мозга, мягкие ткани, внутренние органы. Нейрофиброматоз – болезнь, при которой образуются многочисленные нейрофибромы. Распространенность разных типов патологии значительно колеблется: заболеваемость 1 типом составляет 1:2 500, 2 типом – 1:50 000. Другие варианты встречаются еще реже, их точная эпидемиология не определена. Гендерной и расовой предрасположенности не выявлено. Дебют клинических проявлений возможен в любом возрасте, зависит от типа болезни.
Причины нейрофиброматозов
Образование множественных нейрофибром детерминировано генетически. При нейрофиброматозе I существует мутация гена НФ1, расположенного на длинном плече 17 хромосомы. Он относится к генам-супрессорам роста опухолевых тканей, большая часть из которых – нейроэктодермального генеза. При дефекте в гене НФ1 нарушается синтез белков, ответственных за клеточную пролиферацию. Мутации носят характер транслокаций, делеций, инверсий, точковых изменений. Больше 80% из них приводят к синтезу нефункциональных белков или к полному отсутствию белковых молекул. Наследование происходит по аутосомно-доминантному механизму с высокой степенью пенетрации: при наличии мутационного гена у одного из родителей вероятность болезни у ребенка составляет 50%, если оба родителя имеют мутацию, риск повышается до 80-90%. Известны случаи спонтанных мутаций.
Причиной нейрофиброматоза II является мутационное изменение гена НФ2, локализованного на 22 хромосоме. Он кодирует производство белка мерлина (шванномина) – супрессора опухолевого роста. Тип наследования – аутосомно-доминантный с небольшой степенью пенетрации. Передача одного мутантного гена зачастую не проявляется, поскольку второй ген обеспечивает синтез достаточного количества белков. Если он повреждается, синтез нормальных фракций мерлина прекращается, пролиферация клеток усиливается, развивается новообразование. При других типах нейрофиброматозов также существуют мутации в генах, обеспечивающих воспроизведение молекул белков-супрессоров роста опухолей.
Патогенез
Общим патогенетическим механизмом развития нейрофиброматозов является наследственно обусловленная недостаточность какого-либо белка, подавляющего процессы опухолевой пролиферации клеток в тканях нейроэктодермального происхождения. При мутации одного гена производство опухолевых супрессоров прекращается наполовину, равновесие роста и гибели клеток смещается в сторону митотического деления. Нормальный аллельный ген частично компенсирует дефицит белка. Тяжесть нейрофиброматоза определяется тем, насколько дефектный ген влияет на активность белка-супрессора – частично или полностью нарушает функциональность, полностью блокирует производство. Кроме этого, выраженность клинических признаков зависит от сохранности противоопухолевого иммунитета.
Во многих органах и тканях пациентов формируются доброкачественные опухолевые образования, состоящие из соединительной ткани и пигментных клеток. На нервных стволах образуются невриномы; на поверхности кожи – пигментированные области, жировые бляшки, расширенные сосуды; на сетчатке глаз – факоматоз. Изменяется строение костей, они остаются недоразвитыми либо чрезмерно утолщаются, искривляется позвоночный столб.
Симптомы нейрофиброматозов
Заболевания проявляются признаками поражения кожи, нервной системы. Классическим клиническим вариантом является нейрофиброматоз типа I, на долю которого приходится 90% случаев болезни. Характерный симптом – гиперпигментация. У больных при рождении или в раннем детстве появляются кожные пятна, цвет которых варьируется от светло-золотистого до коричневого «кофе с молоком». В отдельных случаях пятна имеют фиолетовый или синий оттенок. На радужке глаза обнаруживаются узелки Лиша (пятна пигмента – гамартомы) небольшого размера, белесоватые или светло-бежевые, заметные только при офтальмологическом осмотре. Являются специфическим признаком нейрофиброматоза 1, образуются по мере взросления: у детей до 4 лет распространенность составляет 22%, с 5 до 9 лет – 41%, с 10 до 19 лет – 85%, после 20 лет – 95%.
В период пубертата и позже формируются кожные и плексиформные нейрофибромы, располагающиеся соответственно подкожно (на мелких нервных волокнах, иннервирующих кожу) и на крупных нервах. Они представляют собой небольшие доброкачественные новообразования. Кожные нейрофибромы воспринимаются как косметический дефект, при определенном расположении травмируются. Плексиформные опухоли, локализующиеся по ходу периферических нервов, выявляются на конъюнктиве, веках, в брюшной полости и средостении. Проявляются хронической болью, онемением, судорогами, параличом. Опухоли ЦНС находятся внутри черепа, представлены глиомами зрительных нервных волокон, астроцитомами, эпендимомами, невриномами слухового нерва, менингиомами и нейрофибромами. Клиническая картина определяется размерами новообразований, вовлеченностью мозговых структур в патологический процесс. В детском возрасте диагностируются расстройства психического развития: снижение когнитивных способностей, гиперактивность, редко – деменция.
При тяжелом нейрофиброматозе деформируется костная система. У больных возникает сколиоз, краевые структурные изменения тел позвонков и их отростков, эрозийные поражения краев межпозвоночных отверстий и задних ребер. Характерна атрофия либо, наоборот, гипертрофия трубчатых костей. Кости часто искривлены, на поверхности обнаруживаются периостальные гребни и наслоения. В полостях костей могут образовываться нейрофибромы. Если в процесс вовлекаются кости черепа, появляется внешняя асимметрия, наиболее выраженная при поражении лицевой части и глазниц. Свод черепа может иметь атрофированные участки, дефекты, узуры, иногда отмечается локальное увеличение костного вещества.
При типе 2 формируются высокодифференцированные опухоли, которые, однако, более агрессивны, чем при заболевании 1 типа. Пигментных пятен нет. Образуются невриномы – подвижные и болезненные неоплазии. Нередко они локализуются на слуховом нерве, вызывая потерю слуха. Нейрофиброматоз 3 типа отличается большим количеством нейрофибром, ускоренным развитием нейролемм и глиом зрительного нерва, приводящих к расстройству зрения. Специфический признак – появление нейрофибром на ладонях. При болезни 4 типа симптомы похожи, сохраняется риск поражения зрительных волокон. Для 5 типа характерны пигментные темные пятна, опухоли больших размеров, провоцирующие асимметрию тела. Течение 6 типа сопровождается лишь пигментными пятнами. При 7 типе выявляются нейрофибромы средних размеров, гиперпигментации нет.
Осложнения
В 10% случаев нейрофибромы трансформируются в злокачественные опухоли. В группе высокого риска находятся пациенты с большим катамнестическим стажем, беременные женщины. У 6% детей нарушается умственное развитие: они имеют проблемы при освоении учебных навыков (чтение, письмо, счет), с трудом запоминают новую информацию, долго адаптируются в незнакомых ситуациях. Больные всех возрастов подвержены депрессии, поскольку испытывают дискомфорт, чувство стыда и неловкости из-за обезображенной внешности. Множественные нейрофибромы провоцируют эндокринные расстройства, эпилептические припадки, гипотонию мышц, стеноз почечной и легочной артерии, легочные кисты, интерстициальную пневмонию, гипертрофию клитора, нарушения развития органов ЖКТ.
Диагностика
Подозрение на нейрофиброматоз возникает при множественных подкожных опухолях, пигментных пятнах, спинальной шванноме, ухудшении слуха и зрения. Обследование проводят дерматовенеролог, невролог, офтальмолог, отоларинголог и генетик. Перед инструментальными и лабораторными процедурами осуществляется сбор семейного и личного анамнеза, клинический опрос и осмотр. В ходе генеалогического анализа выявляется передача заболевания в нескольких поколениях, реже определяется первичная спонтанная мутация. На теле пациентов обнаруживаются нейрофибромы, пигментные области (при определенных типах болезни), искривления позвоночника, деформации костей, нарушения зрения, слуха, координации движений. Производится дифференциальная диагностика различных вариантов нейрофиброматозов, исключается синдром Протея, рассеянный липоматоз, синдром Клиппеля-Треноне-Вебера. Для уточнения диагноза назначаются:
- МРТ, КТ. Визуализационные методы исследований позволяют определить наличие нейрофибром в головном мозге, позвоночнике, внутренних органах. Двусторонние невриномы 7 пары черепных нервов являются диагностическим критерием нейрофиброматоза II типа. Часто выявляются глиомы, шванномы, менингиомы. Для I типа свойственно развитие плексиформных и обычных новообразований, глиом.
- Рентгенография костей скелета. Диагностическая процедура выполняется с целью подтверждения и оценки тяжести сколиоза, костных атрофий и гипертрофий, локальных утолщений и эрозийных поражений костных структур. При большинстве типов болезни наблюдается истончение кортикального слоя, ложные суставы, дисплазии крыльев клиновидной кости, дугообразное искривление большеберцовой и малоберцовой костей, кисты длинных костей.
- Офтальмологическое исследование. Нейрофиброматоз типа 1 сопровождается плексиформной нейрофибромой век, меланоцитарными гамартомами радужки, глиомой оптических нервных волокон, астроцитарной гамартомой сетчатки, утолщением роговичных нервов, конъюнктивальной нейрофибромой, ишемическими поражениями венул сетчатки. Патогномоничный признак – пятна светлого оттенка на глазном дне и радужке (гамартомы). При 2 типе диагностируется задняя субкапсулярная катаракта, помутнение хрусталика.
- Аудиологическое исследование. При опухолевом поражении слуховых нервов и жалобах на нарастающую глухоту (тугоухость) выполняется электрокохлеография и импедансометрия. Результаты указывают на снижение остроты слуха, наличие слуховой нейропатии, определяют причину и локализацию нарушения.
Лечение нейрофиброматозов
В настоящее время терапия данной группы заболеваний заключается в симптоматической помощи больным. Пациенты регулярно проходят обследования, нацеленные на контроль формирования и увеличения опухолей. При наличии нейрофибром, провоцирующих боль, расположенных в местах повышенного риска травмирования, сдавливающих или смещающих жизненно важные органы, проводится их хирургическое удаление. Применяются классические методики резекции неоплазий и участков нервов, криодеструкция, лазерная хирургия. При множественных новообразованиях назначается лучевая терапия, химиотерапия. Больным с поражением опорно-двигательного аппарата показаны реабилитационные мероприятия (физиолечение, ЛФК).
Активно разрабатываются способы этиологического лечения нейрофиброматозов. На стадии клинических испытаний находится терапия ингибиторами RAS (белков-активаторов роста опухолей) у лиц с нейрофиброматозом первого типа. Этап теоретических разработок проходят методы генной инженерии. Усилия ученых-генетиков направлены на создание и внедрение в организм больных нормального НФ1 гена, отвечающего за синтез нейрофибромина, на расшифровку и введение гена ФН2, обеспечивающего транскрипцию белка шванномина. В некоторых медицинских центрах предпринимаются попытки применения патогенетической терапии, в основе которой лежит комплексное использование стабилизаторов мембран тучных клеток, антипролиферативных препаратов и ферментов, корректирующих метаболические процессы.
Прогноз и профилактика
Нейрофиброматозы являются прогностически благоприятными заболеваниями – малигнизация опухолей происходит редко, в большинстве случаев больные остаются трудоспособными и социально адаптированными. При правильных и регулярных реабилитационных мероприятиях нарушения со стороны костной системы и задержка умственного развития успешно корректируются. Поскольку заболевание является наследственным, профилактика возможна на этапе планирования беременности, парам из групп риска (с отягощенным семейным анамнезом) рекомендуется медико-генетическое консультирование с определением вероятности рождения больного ребенка.
1. Нейрофиброматоз: этиология, патогенез, лечение/ Скаварская Е.А.// Международный журнал педиатрии, акушерства и гинекологии – 2014 – Т.5, №2.
2. Клинико-диагностические аспекты нейрофиброматоза/ Попова А.А.// Университетская медицина Урала – 2016 - №2.
3. Нейрофиброматоз первого типа (болезнь Реклингхаузена)/ Н.А. Шнайдер, А.И. Горелов// Сибирское медицинское обозрение – 2007.
Читайте также:
- Минимальное давление перенасыщения. Кавитация in vitro
- Диагностика отравления свинцом. Лечение отравления свинцом. Отравление мышьяком.
- Лабораторно-инструментальная диагностика стенокардии. Велоэргометрия при стенокардии.
- Дифференциация туберкулеза предстательной железы. Камни простаты
- Судороги при отравлении - признаки, причины
