Неотложная помощь при отеке легких.
Добавил пользователь Евгений Кузнецов Обновлено: 04.01.2026
Информацию из данного раздела нельзя использовать для самодиагностики и самолечения. В случае боли или иного обострения заболевания диагностические исследования должен назначать только лечащий врач. Для постановки диагноза и правильного назначения лечения следует обращаться к Вашему лечащему врачу.
Отек легких: причины появления, при каких заболеваниях возникает, диагностика и способы лечения.
Определение
Отек легких определяется как жизнеугрожающее состояние, для которого характерен процесс накопления внесосудистой жидкости в легких. Отек может развиться внезапно при большой и разнообразной по своей природе группе заболеваний и нарастать стремительно.
Функции легочного кровообращения – газообмен и фильтрация крови, регуляция водного и электролитного баланса, участие в метаболических процессах. Транспорту крови способствует низкое давление в системе малого круга кровообращения и относительно низкие показатели сопротивления сосудов току крови.
Жидкость из кровеносных сосудов просачивается за их пределы в окружающие ткани либо из-за слишком высокого давления в кровеносных сосудах, либо из-за недостаточного количества белков в кровотоке, чтобы удерживать жидкость в плазме крови.
Непосредственно за пределами мелких кровеносных сосудов в легких находятся крошечные воздушные мешочки – альвеолы. Альвеолы разделены тонкими эластичными стенками (мембранами), внутри которых проходят мельчайшие кровеносные сосуды (капилляры), позволяющие молекулам кислорода и углекислого газа перемещаться через мембраны. Жидкость попадает в альвеолы в том случае, если мембраны теряют свою целостность, что приводит к затруднению дыхания и плохому насыщению крови кислородом.

Выделяют два патогенетических процесса, с которыми связывают развитие отека легких:
Первый обусловлен повышением гидростатического давления в микрососудах малого круга кровообращения. Жидкость, электролиты и белки выходят за пределы сосудистой стенки и аккумулируются в интерстициальном (межсосудистом) пространстве легкого. На следующем этапе накопление жидкости происходит на поверхности альвеол, что становится причиной резкого ухудшения функции газообмена в легких и приводит к развитию гипоксемии.
Второй процесс связан с нарушением проницаемости альвеолярно-капиллярной мембраны из-за острого повреждения легочной ткани, которое может происходить при сепсисе, травме, пневмонии и некоторых других заболеваниях. Этот процесс также сопровождается гипоксемией и одышкой различной степени выраженности. В конечной фазе развития отека легких происходит аномальное накопление белков, в первую очередь альбуминов, в альвеолярной жидкости.
Разновидности отека легких
Кардиогенный отек легких встречается преимущественно при заболеваниях сердца или сосудов как осложнение острой сердечной недостаточности и связан с повышением гидростатического давления. У больного человека можно наблюдать тахикардию, кашель и одышку, которые возникают вследствие систолической или диастолической дисфункций левого желудочка.
Некардиогенный отек легких развивается вследствие повышенной проницаемости сосудистой стенки альвеолярных капилляров. Основным клиническим проявлением является развитие острого респираторного дистресс-синдрома.
По варианту течения выделяют следующие виды отека легких:
- Молниеносный – развивается в течение нескольких минут, в большинстве случаев приводит к летальному исходу.
- Острый – отмечается быстрое (на протяжении 4 часов) нарастание выраженности клинических симптомов. Вероятность летального исхода довольно высока и возникает на фоне инфаркта, черепно-мозговой травмы, анафилактического шока.
- Подострый – имеет волнообразное течение, характеризуется чередованием активных и спокойных периодов. Причиной часто является печеночная недостаточность. Имеет достаточно благоприятный прогноз, особенно при своевременном начале мероприятий неотложной помощи.
- Затяжной – симптомы нарастают в течение 12 часов со стертой клинической картиной, что значительно затрудняет диагностику. Основой являются хроническая сердечная недостаточность или заболевания бронхолегочной системы.
К основным причинам развития кардиогенного отека легких относятся:
- инфаркт миокарда с подъемом сегмента ST электрокардиограммы;
- гипертонический криз;
- пароксизм мерцательной аритмии (эпизод, длящийся от 30 секунд до семи дней, проходит самостоятельно или при помощи лечения).
- недостаточность митрального клапана (отрыв хорды сосочковой мышцы).
- постинфарктный и атеросклеротический кардиосклероз с систолической сердечной недостаточностью;
- диастолическая дисфункция миокарда у пожилых больных;
- систолическая и диастолическая дисфункция миокарда у больных с кардимиопатией или миокардитом;
- постоянная форма мерцательной аритмии;
- врожденные и приобретенные пороки левых отделов сердца;
- поражения клапанного аппарата, особенно митрального клапана, вследствие ревмокардита, инфекционного эндокардита, атеросклероза.
Основные легочные причины и факторы риска острого респираторного дистресс-синдрома:
- пневмония,
- вирус COVID-19,
- тромбоэмболия легочной артерии,
- ингаляционная травма,
- аспирационный синдром,
- травма грудной клетки,
- респираторные вирусные заболевания,
- эмфизема легких,
- бронхиальная астма,
- туберкулез легких,
- рак легких или метастазы в легкие.
- тяжелый сепсис и септический шок,
- переливание крови и кровезаменителей,
- большая кровопотеря,
- черепно-мозговые травмы, множественные и обширные травмы, ожоги,
- острое нарушение мозгового кровообращения,
- менингит, энцефалит,
- панкреонекроз,
- острая почечная недостаточность, острый гломерулонефрит,
- отравление химическими веществами, лекарственными средствами, алкоголем, наркотическими веществами,
- инфекционные заболевания, протекающие с тяжелой интоксикацией (грипп, корь, дифтерия, скарлатина, коклюш, столбняк, брюшной тиф),
- цирроз печени,
- патология беременных (эклампсия, синдром гиперстимуляции яичников),
- анафилактический шок,
- иммерсионный отек легких, вызванный плаванием на глубине.
В детском возрасте проблемы с сердцем наблюдаются намного реже, чем во взрослом. Поэтому основными причинами отека легких становятся заболевания дыхательной системы или серьезные травмы.
К каким врачам обращаться при отеке легких
Диагностика и обследования при отеке легких
Для установления диагноза обычно достаточно проведения клинического обследования и рентгенографии грудной клетки.
Рентгенологическое исследование структуры легких с целью диагностики различных патологий.
Первая помощь при отеке легких
Отек легких — это патологическое состояние, при котором жидкость начинает скапливаться в альвеолах. Ситуация возникает, когда сердце не может нормально перекачивать кровь из кровеносных сосудов легких в другие органы. Это препятствует эффективному газообмену и приводит к гипоксии организма. Легочный отек возникает внезапно и стремительно нарастает. Состояние может закончиться летальным исходом.
Классификация отека легких
Существует несколько форм заболевания по скорости развития:
- Молниеносная — процесс нарастает стремительно, и в течение нескольких минут пациент умирает.
- Острая — клиническая картина развивается на протяжении 4 часов. Вероятность летального исхода довольно высока и возникает на фоне инфаркта или мозговой травмы.
- Подострая — характеризуется чередованием активных и спокойных стадий. Причиной является печеночная недостаточность.
- Затяжная — симптомы нарастают в течение 12 часов без ярких признаков. Основой являются сердечная недостаточность или заболевания дыхательной системы.
Различные причины формируют отдельные типы отека легкого. Чаще всего встречаются кардиогенный, неврологический или аллергический варианты.
Этиология острого состояния
Наиболее частой причиной отека легких является левожелудочковая недостаточность.
Патология возникает на фоне таких заболеваний, как:
- инфаркт;
- аритмия;
- дефекты клапана;
Дополнительно существуют некардиальные причины отека легких:
- травмы;
- токсичные вещества;
- вдыхание дыма;
- высотная болезнь;
- грипп;
- пневмония;
- COVID-19;
- воспаление поджелудочной железы;
- аллергические реакции;
- болезни почек.
Введение некоторых внутривенных препаратов также может вызвать патологическое состояние.
Патогенез
Альвеолы — это структурные элементы легких, в которых происходит газообмен. Обычно они заполнены воздухом. Когда в альвеолах накапливается жидкость, нарушаются процессы нормального газообмена. По различным причинам сердце не перекачивает кровь из легких. В результате кровь накапливается в кровеносных сосудах легких, а затем просачивается в просвет альвеол. Появляются признаки отека легких. Вероятность благоприятного или неблагоприятного исхода поставлена в зависимость от формы патологии и квалифицированной помощи пациенту. По статистическим данным примерно 25 % больных умирает от отека легких.

Клинические проявления
Симптомы отека легких возникают внезапно. Больной обычно бледен, вспотел и принимает сидячее положение, в котором он лучше всего дышит. Также больной может испытывать сильное беспокойство. Дыхание быстрое и поверхностное, его можно описать как «хрипы».
Среди дополнительных симптомов отека легких различают:
- бледные кожные покровы или цианоз;
- учащенное сердцебиение;
- сухой кашель, со временем переходящий во влажный;
- затрудненное, учащенное дыхание, поверхностные вдохи и короткие выдохи;
- могут появиться пенистые желтые выделения с оттенком крови;
- низкое или высокое КД.
Особенности проявления состояния при беременности
Во время беременности отек легких может возникать как на фоне проблем с сердцем, так и при изначально нормально протекающих физиологических изменениях женского организма. Наиболее частыми причинами являются многоплодная беременность и проявления преэклампсии. При нарастании признаков требуется посадить пациентку и вызвать скорую помощь. В стационаре назначают оксигенотерапию, мочегонные и гипотензивные средства. Если проведенная терапия не приносит результатов, беременную подключают к аппарату искусственного дыхания.
Особенности заболевания у детей
В детском возрасте проблемы с сердцем наблюдаются намного реже, чем у взрослых. Поэтому основными причинами отека легких становятся заболевания дыхательной системы или сильные травмы. Опасную патологию можно заподозрить, если ребенок становится беспокойным, ощущает нехватку воздуха и жалуется на страх смерти. В этом случае требуется немедленно доставить больного в стационар, где будут проведены реанимационные действия.
Осложнения
Патология сама по себе является угрожающим осложнением. При этом несоблюдение сроков и надлежащей медицинской помощи может привести к смерти. Последствия отека легких, даже при успешном купировании, иногда приводят к застойной пневмонии, формированию признаков пневмосклероза и нарушению работы внутренних органов.
Первая помощь при отеке легких
При своевременном и эффективном вмешательстве патологическое состояние быстро проходит. Следует как можно скорее уменьшить одышку и улучшить оксигенацию крови.
Неотложная помощь при отеке легких включает в себя:
- первоочередно следует вызвать скорую помощь и указать состояние пациента;
- ожидая приезда скорой помощи, необходимо удерживать пациента в сидячем положении;
- открыть окно и обеспечить больному доступ свежего воздуха.
Это практически все, что близкие могут сделать в данной ситуации. Все остальное делает бригада медиков, начиная с подачи кислорода, установки внутривенного катетера и проведения оказания медикаментозной помощи. Сразу принимается решение о транспортировке пациента в больницу, но при этом постоянно вводятся лекарства и контролируется его жизнедеятельность. Только в специализированном учреждении создаются оптимальные условия для вывода пациента из тяжелого состояния.
Диагностика заболевания
Врач диагностирует состояние на основании анамнеза и типичных изменений, наблюдаемых во время обследования. При осмотре пациента с отеком легких врач слышит типичные аускультативные изменения. Показатели тонометра определяют высокое или слишком низкое АД. При пальпации определяется отек нижних конечностей (у людей с обострением хронической сердечной недостаточности).
Инструментальная диагностика отека легких:
Лечение отека легких
На первом месте при лечении отека легких стоит неотложная медицинская помощь. Требуется немедленное выполнение интенсивного лечения. Пациенту назначают кислород с высокой скоростью потока и внутривенно вводят диуретики. В зависимости от значений АД назначают соответствующие препараты для его стабилизации. Иногда, несмотря на прием лекарств, состояние пациента не улучшается и из-за недостаточной оксигенации крови. В этом случае при лечении отека легких необходимы интубация (размещение пластиковой трубки в трахее пациента для обеспечения проходимости дыхательных путей) и временная поддержка дыхания с помощью аппарата ИВЛ.
Контроль излеченности
Своевременное лечение обычно облегчает признаки отека легких. Заболевание, провоцирующее патологию, требует тщательной диагностики и лечения, чтобы предотвратить угрозу жизни. Пациент должен находиться под постоянным наблюдением семейного врача и кардиолога.
Профилактика отека легких
Основная профилактика отека легких заключается в недопущении данного состояния путем лечения провоцирующего заболевания. Необходимы регулярный прием прописанных препаратов, регулярное измерение АД и его стабилизация при скачках. Снижение массы тела имеет первоочередное значение. Постоянное посещение врача поможет избежать тяжелого состояния.

Советы и рекомендации
Отек легких нельзя вылечить с помощью народной медицины. В данном случае самолечение приведет к летальному исходу. Только квалифицированная медицинская помощь способна предотвратить последствия патологического состояния.
Вопрос-Ответ
Чем отличается отек легких от сердечной астмы?
Основные сходства отека легких и сердечной астмы — одышка, удушье, сухой кашель и вынужденное сидячее положение. К основным симптомам сердечной астмы относятся цианоз, покашливание, сухие хрипы и крепитация. При отеке легких одышка более выражена (30-35 в минуту), часто сопровождается сильными приступами удушья. К признакам развивающегося отека легких относятся пенистая мокрота и влажные хрипы. Основные отличия отека легких от сердечной астмы: клокочущее дыхание, влажные хрипы, которые хорошо слышны на расстоянии, в мокроте может присутствовать кровь. Установить точный диагноз и тяжесть заболевания могут только пульмонолог и кардиолог.
Для чего применяют морфин при отеке легких?
Использование морфина внутривенно при отеке легких способствует снятию психоэмоционального возбуждения, уменьшению одышки, а также имеет сосудорасширяющее действие. Препарат лечит тахикардию, обезболивает, купирует сильные боли. При лечении отека легких морфин вводят только внутривенно.
Сколько живут при отеке легких?
Продолжительность жизни при отеке легких напрямую зависит от общего состояния организма больного и вида отека. Самые благоприятные прогнозы при некардиогенном отеке. По статистике, после кардиогенного отека выживают до 50 % больных. При молниеносной и токсической форме при отсутствии неотложной помощи спасти человека практически невозможно.
Как распознать дома отек легкого?
О начинающемся отеке легких можно судить по таким признакам: одышка и удушье, ощущение нехватки воздуха, сопровождающиеся нарастающим беспокойством и возбуждением; повышенная потливость; цианоз кожных покровов; кашель с отхождением пенистой мокроты. По мере развития отека к вышеперечисленным проявлениям присоединяются такие симптомы, как увеличение ЧСС и падение АД, появляются хрипы, слышные на расстоянии. Психоэмоциональное возбуждение сменяется апатией и угнетенным состоянием. Больной получает некоторое облегчение от положения сидя с упором на руки и опущенными вниз ногами. Достоверно указать на наличие отека легких может рентгенография грудной клетки.
Как снять аллергический отек легких?
Чтобы снять аллергический отек легких, необходимо исключить контакт с аллергеном и вызвать неотложную помощь. Лечение отека легких при аллергии включает купирование патологического процесса и назначение лекарственных препаратов (морфина, сердечных гликозидов, антигистаминных препаратов, антигипертензивных, аритмических средств и т. п.). После улучшения состояния обязательно нужно обратиться за консультацией к аллергологу.
Статья носит информационно-ознакомительный характер. Пожалуйста, помните: самолечение может вредить вашему здоровью.

Заведующая терапевтическим отделением на Оболони, врач-терапевт высшей категории, пульмонолог первой категории

Врач-пульмонолог, аллерголог высшей категории, кандидат медицинских наук
Какой врач лечит отек легких?
Консультация опытного врача-кардиолога либо пульмонолога клиники МЕДИКОМ и специальное оборудование помогут быстро купировать острое состояние. У нас пациенту обеспечат эффективное лечение отека легких в Киеве, включая неотложную помощь. Обращайтесь за помощью в ближайшее подразделение нашей клиники на Оболони и Печерске, чтобы не допустить негативных последствий.
Отек легких

Отек легких – это патологическое, очень серьезное состояние, которое характеризуется выходом транссудата в легочную ткань. В результате нарушается газообмен, что приводит к серьезнейшим последствиям вплоть до летального исхода.
Неотложная помощь при отеке легких – единственное, что может повысить риски пациента на выживание и восстановление здоровья. Человеку в такой ситуации требуется немедленное участие врачей.
Сам по себе отек легких чаще всего является уже осложнением, которое сопутствует серьезным проблемам органов и систем организма, например, сердечно-сосудистой системы, ЖКТ и т.д.
Причины
На самом деле причин отека легких очень много – для разных заболеваний они свои. Назовем для примера несколько общих предпосылок:
- кардиосклероз после инфаркта, острый инфаркт миокарда;
- гипертония, аритмия;
- сердечная недостаточность;
- врожденные либо приобретенные пороки сердца;
- хронический бронхит, крупозная пневмония, бронхиальная астма;
- осложнения на фоне ОРВИ, кори, гриппа, скарлатины, коклюша и других болезней;
- недоношенность у новорожденных детей;
- серьезные проблемы с почками;
- черепно-мозговые травмы, операции на мозге и т.д.;
- вдыхание токсических веществ.
Эти и многие другие причины не являются непосредственными факторами, способствующими развитию отека легких. Но на фоне подобных состояний он может развиваться, что обязательно учитывается при госпитализации со всем вышеперечисленным.
Разновидности

Есть разные варианты отека легких:
- молниеносный. Он развивается крайне быстро, за несколько минут – исход в данном случае только летальный;
- острый. Симптомы нарастают в течение четырех часов, риск летального исхода очень высокий. Такой отек часто встречается при инфаркте, удушье, черепно-мозговых травмах;
- подострый. Развитие симптомов чередуется то активной, то более спокойной стадиями. Встречается при печеночной недостаточности;
- затяжной. Может развиваться в течение двенадцати часов, даже нескольких суток, и не иметь яркого проявления. Проявляет себя при сердечной недостаточности, а также хронических болезней легких.
Очевидно, что для каждого варианта требуются свои действия. Если пациента еще можно спасти, скорость реагирования тут будет ключевым фактором.
Симптомы
Описывать симптомы отека легких можно только общими моментами, поскольку отдельные виды патологии протекают со смазанными характеристиками. К признакам относятся такие моменты:
- сильная слабость;
- поверхностное, очень частое дыхание;
- сухой кашель;
- сухие свистящие хрипы;
- выраженная одышка;
- одутловатость лица и шеи;
- клокочущее дыхание и влажные хрипы;
- пена изо рта с розовым оттенком;
- заторможенность, спутанность сознания;
- поверхностное дыхание;
- нитевидный пульс.
Некоторые признаки отека легких противоречат друг другу по той причине, что начинаться все может с одного состояния, а заканчиваться другим. Например, в течение нескольких минут или часов наблюдается учащенное дыхание, а затем оно ослабевает. При быстрых и наиболее опасных формах отека смерть пациента наступает от удушья (асфиксии).
Диагностика
Если симптомы отека легких не выражены, параллельно с неотложной помощью требуются дополнительные исследования:
- биохимический скрининг. Это исследование показателей крови;
- изучение газов крови;
- ЭКГ, УЗИ сердца;
- рентгенография области грудной клетки;
- катетеризация легочной артерии.
Во многих случаях диагностика отека легких возможна сразу же – только по тем признакам, которые проявляются у больного визуально и без дополнительного обследования.
Лечение

Единой программы для лечения отека легких нет и не может быть. Экстренная помощь больному включает мероприятия по уменьшению венозного возврата к сердцу, подаче увлажненного кислорода. Нередко больного переводят на ИВЛ, может выполняться трахеостомия.
Также дополнительно вводятся разные препараты: анальгетики, диуретики, средства, снижающие давление в малом круге кровообращения, препараты для сердца, антибактериальные средства и многое другое. Далее лечение отека легких, если приступ снят, сводится к тому, чтобы лечить основное заболевание, вызвавшее эту патологию.
Прогнозы при отеке очень серьезные. В зависимости от причин отека легких, смертность может составлять от 20 до 90%. Чем раньше будет выявлена проблема, тем выше шансы на выздоровление. Но во многих случаях пациента может спасти только своевременное лечение тех заболеваний, которые способствуют возникновению патологии – такая профилактика отека легких, например, единственная возможность снизить риски молниеносной формы болезни, которая сама по себе уже смертельная и не поддается лечению.
Вопросы-ответы
Из-за чего происходит отек легких?
Факторов, которые способствуют развитию этой патологии, десятки. Они связаны с другими заболеваниями разных систем организма. Клинические рекомендации при отеке легких во многом обуславливаются ситуацией.
Может ли отек легких привести к смерти?
Да, риск летального исхода в случае такой патологии очень высок, а для молниеносной формы он является единственным возможным исходом событий. Это крайне опасное состояние, требующее немедленной профессиональной помощи.
Как лечить отек легких?
Это делают исключительно в медицинских учреждениях, чаще всего в реанимации. Все, что нужно знать про симптомы и лечение отека легких у взрослых либо детей, знают только врачи – патологию невозможно устранить без специальных знаний и навыков.
В чем особенности отека легких у детей?
В отличие от взрослых, у детей эта патология возникает намного реже по причине других болезней. Обычно в основе лежит аллергия или контакт с токсинами. Либо же причиной могут стать врожденные аномалии разных систем организма.
Неотложная кардиология. Часть 1 (Отек легкого и кардиогенный шок)
Ургентный клинический вариант острой левожелудочковой недостаточности. Состояние, связанное с резким повышением гидратации легких из-за избыточной транссудации жидкости в интерстиций и альвеолы и с нарушением легочной вентиляции.
Распространенность отека легких при инфаркте миокарда 12-20%
Смертность 10-15%, при остром инфаркте миокарда – 40%, при остром инфаркте миокарда и кардиогенной шоке – 80%
Смертность в течение года после отека легких - 20-40%, т.е. после отека легкого пациент остается уязвимым по развитию осложнений и повторного отека легких.
Причины отека легких
- Кардиогенный отек легких, когда развивается при патологии сердечной деятельности (ишемия, аритмии)
- Некардиогенный отек легких (острая почечная недостаточность, тиреотоксикоз, утопление, черепно-мозговые травмы, ожоги, кровопотеря)
- Токсический отек легких, лидирующая причина – отравление бытовыми лако-красочными изделиями и использование различных токсических веществ (кокаин и др).
- Респираторный дистресс-синдром взрослых при сепсисе.
Кардиогенный отек легкого
- Острый инфаркт миокарда
- Кардиомиопатии, перикардит, миокардит, поражение Ао, митрального клапана
- Аритмии
- Миксома левого предсердия (механическая обструкция левого предсердия)
- Инфекционный эндокардит
Механизм развития отека легкого

На первой схеме изображена альвеола, которая окружена интерстициальным пространством, к которому прилегает сосуд. Происходит газообмен между сосудом и альвеолой. Если развивается отек легкого, то давление в сосуде растет.
Если причина отека легкого инфаркт миокарда, то нарушается насосная функция сердца. Сердце перестает качать кровь, поэтому развивается застой крови в левом предсердии, далее застой крови в сосудах малого круга кровообращения, сосуды переполняются, гидростатическое давление растет. И в определенный момент сосуд уже не может удерживать избыток давления и эта жидкость начинает пропотевать и попадает в интерстициальное пространство – это своеобразный барьер пути этой жидкости в альвеолы.
Интерстициальное пространство начинает работать как дренаж, максимально всасывая эту жидкость и выводя ее через лимфодренажи. Таким образом, альвеола защищена.
На этом этапе пациент страдает от одышки – сердечной астмы. Если ситуация благополучно разрешается (например, гипертонический криз купирован) и гидростатическое давление в сосудах снижается, то все патологические процессы заканчиваются. Если же это инфаркт миокарда и сердце продолжает находиться в инфарцированном очаге, это состояние прогрессирует.
Интерстиций уже не справляется, его компенсаторные возможности ограничены. Интерстиций может скомпенсировать до 300 мл жидкости. Но если отек легкого продолжается развиваться, заканчиваются возможности интерстиция и жидкость попадает в альвеолу. Здесь развивается катастрофа.
Альвеола выстлана изнутри сурфактантом, который поддерживает ее воздушность и не дает ей слипаться. И альвеола сохраняет форму пузырька. Если попадает жидкость, эта среда не характерна для альвеолы, сурфактант не может существовать в жидкой среде, он начинает разрушаться. Альвеолы слипаются и таким образом, легкие теряют часть альвеол.
На макро уровне у пациента снижается дыхательная поверхность. Он начинает задыхаться, его одышка прогрессирует, начинается кашель. Мокрота пенистая с красными прожилками, потому что вместе с жидкой частью крови пропотевают микроэлементы (эритроциты) и окрашивают мокроту в красный цвет, а пенистая – пациент продолжает дышать, он судорожно хватает воздух и этот поток кислорода, который попадает в легкие и там встречается с жидкой частью, действует как миксер, вспенивает эту жидкость.
Дыхательная поверхность стремительно падает, потому что альвеолы спадаются, легкие затопляются.

На картинке представлено, как жидкость затопляет альвеолы. Отек легкого начинает развиваться с нижних отделов.
Пациенты занимают вынужденное положение – сидя, положение ортопноэ. На стадии сердечной астмы у них одышка и могут выслушиваться сухие хрипы. По мере затопления альвеолы, хрипы начинают выслушиваться пузырчатые, булькающие, которые поднимаются все выше и выше и постепенно затопляются все легкие.
Диагностика и клиника отека легкого
- Одышка, чувство нехватки воздуха, удушье
- Ортопное - вынужденное
- Цианоз (диффузный) – серый, может быть яркий лица и шеи, может быть бледность из-за периферической вазоконстрикции
- Гипергидроз (из-за периферической вазоконстрикции)
- Выраженное беспокойство, тревога, спутанность сознания за счет гипоксии
- Кашель с пенистой мокротой редко в начале
- Аускультация сердца (тахиаритмии, ритм галопа, шумы при пороках, АГ)
- Пульсоксиметрия (сатурация гемоглобина кислородом <90%)
- Боль в груди при инфаркте миокарда, расслаивающей аневризме
- Набухание и пульсация яремных вен
- Аускультация (начало с сухих хрипов, позже появление влажных над всеми легочными полями)
Классы тяжести:
Класс I – нет признаков сердечной недостаточности
Класс II - Влажные хрипы в нижней половине легочных полей и/или выслушивающийся тон III сердца
Класс III - Отек легких: влажные хрипы, распространяющиеся более чем до середины лопаток
Класс IV - Кардиогенный шок: САД ≤90 мм рт.ст. в сочетании с признаками периферической гипоперфузии.
Диагностика и клиника отека легкого
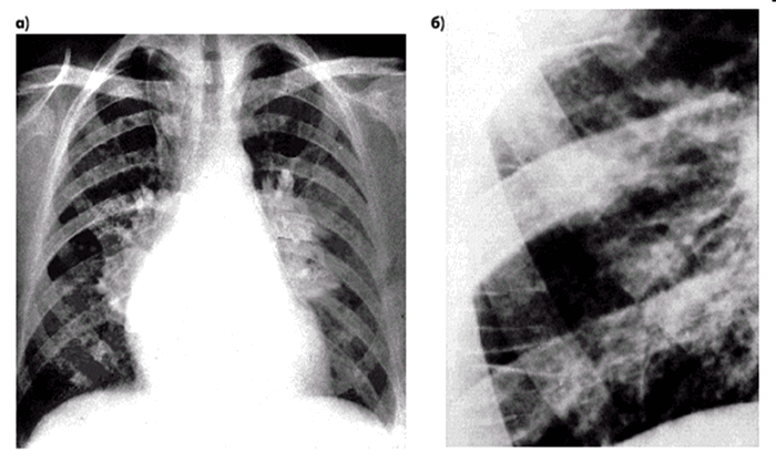
- R-графия легких: снижение прозрачности, субплевральный отек. «Крылья бабочки», диффузные или фокусные изменения;
- ЭКГ: признаки основного заболевания; острая тахи- или брадиаритмия, ОИМ, гипертрофия отделов сердца;
- Эхокардиография: поражение миокарда, клапанов, нарушения функций, миксома.

Дифференциальная диагностика отека легкого с сердечной астмой, тромбоэмболией легочной артерии и приступом бронхиальной астмы.
При сердечной астме в анамнезе - заболевания сердца, гипертоническая болезнь, хроническая сердечная недостаточность. Внешний вид больного - акроцианоз , гипергидратация тканей, кисти и стопы чаще холодные. Одышка - инспираторная, «не надышаться». Мокрота - обильная, пенистая. Отхождение мокроты - при ухудшении состояния. Положение в постели – только сидя. Артериального давление может быть повышено. Применение нитроглицерина явно улучшает состояние.
При тромбоэмболии легочной артерии в анамнезе - тромбоз глубоких вен, длительная иммобилизация, хирургическое вмешательство, онкологические заболевания. Внешний вид больного - может быть резкий цианоз верхней половины тела, кисти и стопы холодные. Одышка - инспираторная, «не надышаться». Мокроты нет. Отхождение мокроты - в поздние сроки при инфаркте легкого. Положение в постели – лежа или сидя. Артериальное давление - раннее снижение вплоть до шока. Применение нитроглицерина противопоказано.
При бронхиальной астме в анамнезе - заболевания легких, астматический бронхит. Внешний вид больного - разлитой цианоз, гипогидратация тканей, кисти и стопы – теплые. Одышка - экспираторная, «не выдохнуть». Мокрота - скудная, стекловидная. Отхождение мокроты - С трудом при улучшении состояния. Положение в постели - сидя или стоя с упором на руки. Артериальное давление – часто повышено. Применение нитроглицерина не изменяет состояние.

Есть мероприятия, которые проводятся всем больным с отеком легкого, а есть, требующие дифференциации.
Общие мероприятия: кислород (у пациентов сатурация снижена, они нуждаются в кислороде).
Нитроглицерин – терапия первой линии. При начальной этапе нитроглицерин можно применять в таблетированной форме, затем внутривенные инфузии. Назначают морфин – обезболивающий эффект, седативный эффект, угнетение дыхательного центра (снижение одышки).
Если отек легкого произошел на высоте гипертонии (систолическое давление свыше 100)– добавляется фуросемид для максимальной разгрузки малого круга кровообращения. Если систолическое давление менее 100 – нужно поднять его – помимо нитроглицерина и морфина, назначаются инотропы – добутамин, допамин.
Кардиогенный шок
Синдром «несостоятельного сердца». Крайняя степень острой сосудистой недостаточности, сопровождающаяся нарушением функции органов (поражение 40% и >массы миокарда).
Причина: снижение насосной функции сердца (при инфаркте миокарда до 5-15%)
1-2-3 сутки инфаркта миокарда -50% Q-ИМ 7%, неQ-ИМ 3%, связан с расширением зоны инфаркта.
Смертность 50-90% .
Причины шока
- Левожелудочковая недостаточность 75% (инфаркт миокарда, аритмии, хроническая сердечная недостаточность, Острая МН, АоН, разрыв межжелудочковой перегородки)
- Инфекции
- Анафилаксия
- Травма сердца
- Эндокринная недостаточность
- Поражения спинного мозга
- Ожог
- Разрыв селезенки или печени
- Кровотечения
- Лекарственная терапия
Предикторы кардиогенного шока
- Возраст более 65 лет, женский пол
- Степень падения систолического артериального давления, частота сердечных сокращений более 90
- Фракция выброса менее 35%
- МВ-фракция >160 МЕ/л
- Более 12 часов с начала инфаркта миокарда и 3 часов до начала инфузионной терапии – отсроченность лечебных мероприятий.
- Неблагоприятный анамнез – сопутствующие заболевания и уже перенесенные сосудистые катастрофы.
Формы кардиогенного шока
- Рефлекторный коллапс (болевой коллапс) – шок на высоте болевого приступа. Снижается АД, цианоз. При эффективном обезболивании гемодинамика восстанавливается, давление поднимается.
- Истинный кардиогенный шок (АД
- Аритмический – страдает гемодинамика по причине развития аритмий. Шок может быть купирован, когда купирована аритмия. Обращаем внимание, что тема аритмий также широко рассматривается на наших курсах повышения квалификации по терапии, кардиологии и функциональной диагностике.
Клиника
Болевой приступ – начало инфаркта миокарда, у пациента лицо Гиппократа (заостренное лицо), адинамия вплоть до сопора, витальный страх. Нитевидный пульс, олиго- или анурия. Хрипы в легких, как проявление застоя крови и начинающегося отека.
Степени кардиогенного шока:
1. САД 90 мм рт.ст.
2. САД 60-90 мм рт.ст.
3. САД < 60 мм рт.ст.
Дифференцированная диагностика гипотонии
- Гиповолемия
- Обморок
- Электролитные нарушения
- Побочные эффекты ЛС
- Аритмии
Отек легких
Отек легких – острая тяжелая левожелудочковая недостаточность с легочной венозной гипертензией и альвеолярным отеком. При отеке легких появляются выраженная одышка, потливость, хрипы и иногда пенистая мокрота, окрашенная кровью. Диагноз устанавливают клинически и на основании данных рентгенографии органов грудной клетки. Лечение проводят с помощью кислорода, в/в нитратов, диуретиков, а иногда и морфина, а у пациентов с сердечной недостаточностью и сниженной фракцией выброса с помощью препаратов кратковременного положительного действия в/в и вспомогательной вентиляции (т.е. эндотрахеальной интубации с механической вентиляцией или двухфазной вентиляцией).
Если давление наполнения ЛЖ увеличивается внезапно, происходит быстрое перемещение плазмы крови из легочных капилляров в интерстициальное пространство и альвеолы, что вызывает отек легких. Хотя отягчающие факторы могут различаться в зависимости от возраста и страны, приблизительно половина всех случаев происходит вследствие о строй коронарной ишемии Обзор ишемической болезни сердца (Overview of Coronary Artery Disease) Ишемическая болезнь сердца (ИБС) возникает вследствие нарушений коронарного кровоснабжения, в большинстве случаев связанного с атеросклеротическим поражением коронарных артерий. Клинические. Прочитайте дополнительные сведения , некоторые – вследствие декомпенсации тяжелой предшествовавшей сердечной недостаточности Сердечная недостаточность (СН) Сердечная недостаточность (СН) – синдром дисфункции желудочков сердца. Левожелудочковая недостаточность приводит к развитию одышки и быстрой утомляемости, правожелудочковая недостаточность –. Прочитайте дополнительные сведения из-за артериальной гипертензии Артериальная гипертензия Артериальная гипертензия – это стойкое повышение систолического артериального давления в покое (≥ 130 мм рт.ст.) и/или диастолического артериального давления (≥ 80 мм рт.ст.). Повышение АД без. Прочитайте дополнительные сведения , острой дисфункцией клапанов Обзор нарушений клапанов сердца Патология любого клапана сердца может характеризоваться развитием стеноза или недостаточности (также называемой регургитацией или несостоятельностью), которые вызывают гемодинамические изменения. Прочитайте дополнительные сведения или острой перегрузкой объемом, часто вследствие внутривенного введения жидкостей. В качестве причин также указывают нарушения приема препаратов и диетические погрешности.
Симптомы и признаки отека легких
Больные жалуются на интенсивную одышку, суетливость и беспокойство, ощущение нехватки воздуха. Часто возникают кашель с мокротой, окрашенной кровью, бледность, цианоз и выраженная потливость; у некоторых больных изо рта идет пена. Выраженное кровохарканье встречается редко. Пульс становится быстрым, с низким наполнением, артериальное давление изменяется. Появляющаяся артериальная гипертензия указывает на значительный кардиальный резерв; артериальная гипотензия с систолическим артериальным давлением 100 мг рт.ст. – угрожающий признак. Выслушивается крепитация на вдохе, рассеянная по передней и задней поверхностям над всеми легочными полями. Могут появляться выраженные свистящие хрипы (сердечная астма). Звучные дыхательные шумы часто затрудняют аускультацию сердца. Может определяться ритм галопа вследствие сочетания III (S3) и IV (S4) сердечных тонов. Возможны признаки недостаточности ПЖ (например, набухание вен шеи, периферические отеки).
Диагностика отека легких
Клиническая картина, представленная тяжелой одышкой и легочной крепитацией
Читайте также:
