Непроходимость при ущемлении грыж. Врожденная кишечная непроходимость
Добавил пользователь Евгений Кузнецов Обновлено: 22.11.2025
Информацию из данного раздела нельзя использовать для самодиагностики и самолечения. В случае боли или иного обострения заболевания диагностические исследования должен назначать только лечащий врач. Для постановки диагноза и правильного назначения лечения следует обращаться к Вашему лечащему врачу.
Кишечная непроходимость: причины появления, при каких заболеваниях возникает, диагностика и способы лечения.
Определение
Кишечная непроходимость – клинический симптомокомплекс, характеризующийся прекращением или нарушением прохождения содержимого по кишечнику. Кишечную непроходимость описывали еще Гиппократ и Гален. Причиной ее, по мнению древних ученых, «служила обильная, неумеренная еда и питье, охлаждение живота, толчки живота».
Согласно Международной классификации болезней 10-го пересмотра, кишечная непроходимость чаще становится осложнением других самостоятельных нозологических единиц. Клинические проявления кишечной непроходимости включают схваткообразную боль, рвоту, вздутие живота, жажду, сухость во рту, задержку стула и отхождения газов.

Непроходимость кишечника может привести к обезвоживанию, дисбалансу электролитов, отмиранию тканей кишечника (некрозу), абсцессу в брюшной полости, почечной недостаточности, перфорации кишечника, легочной аспирации, сепсису – потенциально смертельной инфекции крови.
Разновидности кишечной непроходимости
По механизму развития выделяют три вида кишечной непроходимости:
1. Функциональная (динамическая) непроходимость – нарушение моторной функции кишечника без механических препятствий и органических поражений кишечной стенки:
- спастическая форма обусловлена стойким спазмом кишечной стенки:
- при функциональных и органических поражениях центральной нервной системы (неврастении, истерии, спинной сухотке);
- при заболеваниях кишечника (дизентерии, тифе);
- при раздражении кишечника в результате травм, гематом, нагноительных процессов и др.;
- при отравлениях тяжелыми металлами (свинцом), эндогенных и экзогенных интоксикациях;
- при наличии в кишечнике инородных тел (мелких каловых камней, глистной инвазии);
- при почечной и печеночной колике;
- при переедании;
- при воспалительных внутрибрюшных осложнениях (при перитоните, неспецифическом язвенном колите и т.д.);
- при опухолевых процессах в забрюшинном пространстве;
- при тяжелых внебрюшных заболеваниях (при инфаркте миокарда, пневмонии, сахарном диабете, почечной колике, повреждении спинного мозга, тяжелых нарушениях мозгового кровообращения, тяжелых черепно-мозговых травмах);
- при электролитных нарушениях (нарушениях обмена K, Na, Cl и Mg);
- при передозировке лекарственных средств (опиоидов, холинолитиков, психотропных, антигистаминных препаратов) либо при нарушениях кровоснабжения кишечника.
- обтурационная непроходимость кишки, как правило, развивается на фоне симптомов основного заболевания, но может быть и первым манифестирующим признаком:
- интраорганная – инородные тела, паразиты, безоары (конкременты из непереваренных частичек волос, растительных волокон и др.), желчные камни, синдром Бувере);
- интрамуральная (опухоли, воспалительные и рубцовые изменения стенки кишки — болезнь Крона, туберкулез, гематомы);
- экстраорганная – сдавление объемными образованиями брюшной полости, артериальные компрессии, ангуляции (перегибы кишки);
Лечебно-диагностическая тактика во многом связана с локализацией препятствия в кишечнике, поэтому кишечную непроходимость по уровню обструкции подразделяют на высокую (тонкокишечную, включая уровень двенадцатиперстной кишки) и низкую (толстокишечную). Обструкция может быть частичной и полной.
![Обструкция кишечника.jpg]()
По происхождению выделяют врожденную (пороки развития — атрезии, неполный поворот кишечной трубки) и приобретенную непроходимость.
По клиническому течению непроходимость может быть острой, подострой и хронической (проявляется замедлением пассажа по кишечнику).
Кроме того, в динамике развития болезни различают три фазы (стадии):
- 1-я стадия — нервно-рефлекторная (болевая, острое нарушение пассажа);
- 2-я стадия — компенсации или органических изменений (интоксикация, расстройство внутристеночной гемоциркуляции);
- 3-я стадия — терминальная (стадия перитонита).
В развитии кишечной непроходимости играют роль многие факторы. Их обычно разделяют на предрасполагающие и производящие.
Предрасполагающие факторы:
- врожденные аномалии развития — дефекты и слабые места диафрагмы, передней и задней брюшной стенки; долихосигма (увеличение длины сигмовидной кишки), неполный поворот кишечника, дополнительные складки брюшины, «карманы» брюшной полости, сосудистые мальформации;
- приобретенные факторы — спайки, рубцовые деформации, инородное тело, последствия воспалительных заболеваний в брюшной полости, например, аппендицита или дивертикулита.
Частой причиной непроходимости является хирургическое вмешательство на брюшной полости и лекарственные препараты, воздействующие на перистальтику кишечника.
К каким врачам обращаться при кишечной непроходимости
Консервативной терапией занимается врач-гастроэнтеролог .
При подозрении на острую кишечную непроходимость осмотр поводит хирург в условиях стационара, но не позднее одного часа от момента поступления. Могут потребоваться консультации смежных специалистов ( терапевта , гинеколога , уролога ).
Диагностика и обследования при кишечной непроходимости
Диагностические мероприятия начинаются с клинического обследования пациента: сбора анамнеза; осмотра, включающего пальпацию, перкуссию, аускультацию живота, ректальное обследование; определения частоты пульса, измерения артериального давления.
Как правило, назначают лабораторные исследования:
Синонимы: Общий анализ крови, ОАК. Full blood count, FBC, Complete blood count (CBC) with differential white blood cell count (CBC with diff), Hemogram. Краткое описание исследования Клинический анализ крови: общий.
Метод определения Определение физико-химических параметров выполняется на автоматическом анализаторе методом «сухой химии». Аппаратная микроскоп.
Материал для исследования Сыворотка или плазма крови. Если нет возможности центрифугировать пробу через 30 минут после взятия для отделения сыворотки/плазм.
Синонимы: Диамид угольной кислоты; Карбамид; Мочевина в крови; Азот мочевины. Urea nitrogen; Urea; Blood Urea Nitrogen (BUN); Urea; Plasma Urea. Краткая характеристика аналита Мочевина Моче�.
Синонимы: Анализ крови на креатинин; Сывороточный креатинин; Креатинин сыворотки, оценка СКФ. Сreat; Сre; Blood Creatinine; Serum Creatinine; Serum Creat. Краткая характеристика определя�.
Синонимы: Общий белок сыворотки крови; Общий сывороточный белок. Total Protein; Serum Тotal Protein; Total Serum Protein; TProt; ТР. Краткая характеристика определяемого вещества Общий бе�.
Синонимы: Диастаза; Сывороточная амилаза; Амилаза сыворотки. α-Amylase; AMY; AML; Diastase; 1;4-?-D-glucanohydralase; Serum amylase; Blood amylase. Краткая характеристика определяемого в�.
Синонимы: Эстераза; Стеапсин; Гидролаза эфиров глицерина. Lipase; LPS; Serum Lipase; Steapsin. Краткая характеристика определяемого вещества Липаза Фермент, катализирующ.
Синонимы: Анализ крови на электролиты; Электролиты в сыворотке крови. Electrolyte Panel; Serum electrolyte test; Sodium, Potassium, Chloride; Na/K/Cl. Краткая характеристика определяемых �.
Синонимы: Анализ крови на магний; Общий магний; Ионы магния. Serum Magnesium Test; Magnesium test; Magnesium, blood; Serum magnesium. Краткая характеристика определяемого аналита Магний .
- рентгенография или компьютерная томография органов брюшной полости с контрастом;
Рентгенологическое исследование, позволяющее обнаружить патологические изменения в брюшной полости, в том числе инородные тела и новообразования.
Исследование, позволяющее получить данные о состоянии органов брюшной полости (печень, желчный пузырь, селезенка, почки, поджелудочная железа), сосуды брюшной пол�.
Введение контрастного вещества осуществляется внутривенно.
Эндоскопическое исследование толстого кишечника для поиска участков патологии, проведения биопсии и удаления небольших полипов и опухолей.
- ультразвуковое исследование органов брюшной полости;
Сканирование внутренних органов брюшной полости для оценки его функционального состояния и наличия патологии.
Основная задача дифференциальной диагностики — отличить странгуляционную непроходимость, которая составляет до 40% всех случаев острой непроходимости, от других видов непроходимости.
Что делать при кишечной непроходимости
Если появляется сильная боль в животе и любой из симптомов кишечной непроходимости, человек должен немедленно обратиться к врачу или вызвать скорую помощь, поскольку непроходимость может иметь серьезные последствия.При подозрении на кишечную непроходимость необходима срочная госпитализация пациента в хирургическое отделение. До прибытия врача категорически запрещается принимать обезболивающие или слабительные препараты, делать промывание желудка и т.п.
Лечение кишечной непроходимости
Медикаментозное лечение. По возможности, прекращают или снижают дозы сильных опиоидных анальгетиков, которые могут вызвать запор и спазм кишечника. Назначают слабительные и размягчители стула, а также антидоты. Могут применяться лекарства от тошноты для предотвращения рвоты; антибиотики – для борьбы с бактериальной инфекцией.
Наблюдение. Скопление стула или нарушение проходимости тонкой кишки могут нуждаться в наблюдении в течение нескольких дней, поскольку имеют тенденцию проходить самостоятельно. В течение этого времени пациенты должны ограничить количество потребляемой пищи и выпиваемой жидкости, чтобы предотвратить дальнейшее накопление фекалий. Может быть назначено внутривенное введение физраствора и электролитов, чтобы поддерживать водный баланс организма, обеспечить коррекцию реологических свойств крови.
Назогастральный зонд – узкая трубка, которая вводится через нос и попадает в желудок. Через нее удаляют скопившуюся в желудке и кишечнике жидкость и газ, снижая давление на стенки. Это уменьшает выраженность боли и позывы к рвоте.
Лечебная сифонная клизма. Этот способ может быть применен, если врач уверен в том, что причина непроходимости – сухие каловые массы.
Хирургическая операция. Экстренные операции (в течение 2 часов с момента поступления пациента в стационар) проводят при острой кишечной непроходимости, если присутствуют признаки перитонита или подозревается странгуляционная форма непроходимости.
Основные рекомендации в послеоперационном периоде следующие: ограничение физической нагрузки на 2-3 месяца, нельзя поднимать тяжести, необходимо носить специальный бандаж, исключить из рациона продукты, вызывающие повышенное газообразование (сырые фрукты, овощи, богатые клетчаткой продукты, молочные продукты).
- Клинические рекомендации «Острая неопухолевая кишечная непроходимость». Общероссийская общественная организация «Российское общество хирургов» (утв. Минздравом России). – 2020.
- Кишечная непроходимость: учебно-методическое пособие / П.С. Неверов и др. – Минск: БГМУ, 2017. – 42 с.
- Маев И.В., Войновский Е.А., Луцевич О.Э., Вьючнова Е.С., Урбанович А.С. Острая кишечная непроходимость (методические рекомендации) // Доказательная гастроэнтерология. – 2013. – № 1. – С. 36-51.
Информацию из данного раздела нельзя использовать для самодиагностики и самолечения. В случае боли или иного обострения заболевания диагностические исследования должен назначать только лечащий врач. Для постановки диагноза и правильного назначения лечения следует обращаться к Вашему лечащему врачу.
Врожденная кишечная непроходимость
Врожденная непроходимость кишечника до настоящего времени остается главной причиной, требующей экстренного хирургического вмешательства в периоде новорожденности.
По уровню расположения препятствия различают непроходимость кишечника высокую и низкую, каждая из них имеет характерную клиническую картину.
Высокую непроходимость вызывает обструкция на уровне двенадцатиперстной и начальных отделов тощей кишки, низкую – на уровне дистальных отделов тощей, а так же подвздошной и толстой кишок.
![]()
Непроходимость двенадцатиперстной кишки
Учитывая анатомические особенности двенадцатиперстной кишки, непроходимость этого отдела может быть вызвана следующими причинами:
- стеноз
- атрезия
- сдавление просвета аномально расположенными сосудами (предуоденальной воротной веной, верхней брыжеечной артерией), эмбриональными тяжами брюшины (синдром Ледда) и кольцевидной поджелудочной железой.
Частота выявления в среднем составляет 1 на 5000-10000 живорожденных детей.
Особое внимание при атрезии 12-перстной кишки следует уделять пренатальному кариотипированию, так как хромосомные аномалии обнаруживаются в 30-67% случаев. Наиболее часто встречается синдром Дауна.
Симптомы высокой кишечной непроходимости обнаруживают уже в первые часы после рождения ребенка. Наиболее ранними и постоянными признаками являются повторные срыгивания и рвота, при этом в желудочном содержимом может обнаруживаться небольшая примесь желчи.
Вместе с желудочным содержимым ребенок теряет большое количество жидкости. При отсутствии терапии быстро наступает дегидратация. Ребенок становится вялым, адинамичным, происходит патологическая потеря веса.
При антенатальном ультразвуковом исследовании плода в верхнем отделе брюшной полости визуализируются расширенные и заполненные жидкостью желудок и двенадцатиперстная кишка – симптом «двойного пузыря» («double-bubble»), что в сочетании с многоводием позволяет установить диагноз уже с 20 недель беременности.
Для подтверждения диагноза после рождения ребенка применяют рентгенографическое исследование. С целью диагностики выполняют рентгенографию брюшной полости в вертикальном положении, на которой определяют два газовых пузыря и два уровня жидкости, соответствующие растянутым желудку и двенадцатиперстной кишке. У большинства пациентов этого исследования бывает достаточно для постановки диагноза.
При высокой кишечной непроходимости ребенку необходима операция, которую выполняют на 1-4 сутки жизни ребенка, в зависимости от тяжести состояния при рождении и сопутствующих заболеваний.
В нашем отделении операции по коррекции непроходимости двенадцатиперстной кишки проводятся исключительно лапароскопическим методом, в том числе и в случае, если ребенок рождается недоношенным и с малым весом. Выполняется обходной кишечный анастомоз по методике Кимура для восстановления проходимости двенадцатиперстной кишки.
Врожденные аномалии тонкой кишки в большинстве случаев представлены атрезиями на различных ее уровнях, наиболее часто встречается атрезия подвздошной кишки.
Большинство случаев атрезии тонкой кишки бывают спорадическими. В отличие от атрезии двенадцатиперстной кишки, при атрезии тонкой кишки хромосомные аберрации встречаются редко. От пренатального кариотипирования можно воздержаться в связи с низкой частотой хромосомных аномалий при этом пороке. При пролонгировании беременности и наличии выраженного многоводия для предупреждения преждевременных родов показан лечебный амниоцентез.
Поведение ребенка в первые часы после рождения не отличается от здорового. Основным признаком низкой кишечной непроходимости является отсутствие стула - мекония. При выполнении очистительной клизмы получают только слепки неокрашенной слизи.
К концу первых суток жизни состояние ребенка постепенно ухудшается, появляется беспокойство, болезненный крик. Быстро нарастают явления интоксикации – вялость, адинамия, серо-землистая окраска кожных покровов, нарушение микроциркуляции. Прогрессирует равномерное вздутие живота, петли кишечника контурируют через переднюю брюшную стенку. Отмечается рвота застойным кишечным содержимым. Течение заболевания может осложниться перфорацией петли кишечника и каловым перитонитом, в этом случае состояние ребенка резко ухудшается, появляются признаки шока.
Обструкция тонкой кишки антенатально у плода визуализируется в виде множественных расширенных петель кишечника, при этом количество петель отражает уровень непроходимости. Увеличение количества вод и множественные дилатированные петли тонкой кишки, особенно с усиленной перистальтикой и плавающими частицами мекония в просвете кишки, позволяет заподозрить атрезию тонкого кишечника.
Прямая обзорная рентгенография брюшной полости в вертикальном положении демонстрирует значительное расширение петель кишечника и уровни жидкости в них. Чем больше петель визуализируется, тем ниже располагается препятствие.
Новорожденный с признаками низкой кишечной непроходимости нуждается в экстренном хирургическом лечении. Предоперационная подготовка может проходить в течение 6-24 ч, что позволяет дополнительно обследовать ребенка и устранить водно-электролитные нарушения. Продливать предоперационную подготовку не следует в связи с высоким риском развития осложнений (перфорация кишечника и перитонит). Целью хирургического вмешательства является восстановление целостности кишечника при возможном сохранении максимальной его длины.
В нашем отделении оперативное лечение проводится не позднее, чем 1-е сутки жизни. При этом приоритетным является максимальное сохранение длины имеющейся кишки и наложение одномоментного прямого адаптрированного кишечного анастомоза, что избавляет ребенка от необходимости повторных операций и носительства кишечных стом.
В ФГБУ «Национальный медицинский исследовательский центр акушерства, гинекологии и перинатологии имени академика В.И. Кулакова» Минздрава России Вы получаете уникальную возможность получить БЕСПЛАТНО оперативное стационарное лечение по квотам на высоко-технологическую медицинскую помощь (ВМП по ОМС).
Непроходимость при ущемлении грыж. Врожденная кишечная непроходимость
Непроходимость при ущемлении грыж. Врожденная кишечная непроходимость
Непроходимость при ущемлении грыж выражена различно при острой, подострой, хронической и скрытой форме ущемления. Труднее всего распознать ущемление стенки кишки (пристеночная грыжа).
При узком кольце омертвение стенки кишки может наступить уже в первые 12 часов, причем сначала участка, противоположного брыжейке.Местные явления при ущемлении грыжи выражаются в увеличение напряженности и болезненности грыжевой опухоли, в отсутствии «кашлевого толчка». Общие явления: нарушение проходимости кишечника, расстройства мочевыведения, боль, коллапс, повышение температуры. Осложнения: прободение, перитонит.
Из грыж живота у детей часто ущемляются паховые грыжи. Непроходимость при внутренних грыжах брюшной полости нередко является их основным проявлением.Согласно классификации Zimmermann, у детей различают следующие внутренние грыжи: парадуоденальные (левосторонние, правосторонние, через брыжейку ободочной кишки и в отверстие сальниковой сумки Винслова); в карман сигмовидной кишки (интерсигмовпдные); в карман над мочевым пузырем.
![кишечная непроходимость]()
Непроходимость наступает остро, при разных формах грыж она несколько отличается. Первый и основной симптом — упорная рвота с примесью желчи. Звуки перпстальтики вначале усилены, а с нарастанием странгуляции ослабевают и затихают. Вздутие ограничивается верхней частью живота, нередко оно не выражено, поскольку сегмент кишечника над ущемлением относительно короткий. Рентгенологические симптомы соответствуют острой механической непроходимости тонкого кишечника.
Неполное ущемление проявляется коликой в животе, иногда тошнотой и рвотой, плохим аппетитом, отставанием физического развития ребенка.Врожденные нарушения проходимости проявляются в детском возрасте. Различают три основные группы нарушений проходимости кишечника при аномалиях развития пищеварительного тракта: 1) при атрезиях и стенозах; 2) при неправильностях поворота кишечника в ходе его развития; 3) вследствие скопления патологически измененного мекония. Сами пороки развития описаны выше, в данном же разделе рассматриваются вызванные ими нарушения проходимости кишечника, их симптомы и диагностика.
При высокой непроходимости рано возникает рвота. Она появляется после приема пищи, имеет примесь желчи, если непроходимость располагается дистальнее впадения желчных путей. При непроходимости, лока-зующейся высоко, вздутия нет, живот впалый.
Дуоденальная непроходимость проявляется особенно остро. Рвота упорная, обычно содержит желчь, поскольку в большинстве случаев препятствие располагается дистальнее места впаденпя общего желчного протока. При атрезии бурные симптомы появляются вскоре после рождения, при «наружном сужении» — в ближайшее время после его наступления. Может отойти меконий, но при атрезии в нем нет окрашивающихся генцианвиолетом ороговевших клеток эпителия. Стул не отходит, появляется спазм (судорожное сокращенпе) желудка, наступает дегидратация с апатией ребенка.
При расположении непроходимости в тонком кишечнике характерной считается триада: рвота, отсутствие отхожденпя мекония или стула и вздутие живота. При атрезии тонкой кишки меконий отходит, поскольку выделение желчи начинается раньше (после третьего месяца эмбрионального развития), чем развивается атрезия (И. Андреев, И. Вапцаров, X. Михов, А. Ангелов). Вздутие кишечника наступает вследствие скопления газов и жидкости над местом непроходимости: чем оно расположено дистальнее, тем больше вздувается живот, не только в верхней части, но и в других отделах.
При стенозах непроходимость неполная, симптомы менее выражены.- Вернуться в оглавление раздела "Хирургия"
Информация на сайте подлежит консультации лечащим врачом и не заменяет очной консультации с ним.
См. подробнее в пользовательском соглашении.Непроходимость при ущемлении грыж. Врожденная кишечная непроходимость
- длительное голодание с последующим обильным переполнением кишечника грубой пищей;
- операции на органах брюшной полости и малого таза;
- грыжи передней брюшной стенки.
Б. Объективный осмотр больного
Тяжесть состояния пациента обусловлена формой, уровнем и временем, прошедшим от дебюта ОКН.
Язык при выраженной клинической картине сухой, покрыт коричневым или желтым налетом.
В терминальных стадиях заболевания появляются трещины слизистой оболочки, афты, что указывает на тяжелую интоксикацию, обезвоживание и наличие перитонита.
2. Объективный осмотр живота [1, 4, 7, 8]. При подозрении на ОКН необходимо обследование всех возможных зон формирования грыж, для исключения их ущемления. Ущемление участка кишки без брыжейки в узких грыжевых воротах, как правило, не сопровождается выраженными болевыми ощущениями [2, 3].
а) Ad oculus. Вздутие живота - один из характерных признаков ОКН. Степень выраженности этого симптома бывает разной и, как правило, увеличивается по мере увеличения сроков заболевания. Равномерное увеличение живота обычно характерно для пареза кишечника и низких форм толстокишечной непроходимости. При высокой непроходимости живот увеличен в верхнем отделе, при завороте обычно заметно срединное выпячивание, при инвагинатах асимметрия чаще бывает в правой подвздошной области. В поздние сроки при возникновении недостаточности илеоцекального клапана (баугиниевой заслонки) живот становится симметрично вздутым. При заворотах сигмовидной кишки отмечается вздутие верхних отделов правой или левой половины живота, и тогда живот принимает характерный «перекошенный» вид.
Иногда во время болевой схватки контурируется раздутая кишечная петля с волнами перистальтики и урчанием. Особенно выраженным симптом «видимой перистальтики» бывает при подострых и хронических формах обтурационной непроходимости, при которой успевает развиться гипертрофия мышечного слоя приводящего отдела кишечника. При этом перистальтическую волну у худых больных с атоничной брюшной стенкой можно проследить до уровня обтурации.
При странгуляционной непроходимости иногда отмечается симптом Чугуева: больной лежит на спине с согнутыми в коленных суставах и подтянутыми к животу нижними конечностями, на животе видна глубокая поперечная полоса.
б) Поверхностная пальпация живота. Брюшная стенка при поверхностной пальпации обычно мягкая, безболезненная.
в) Глубокая пальпация. Иногда можно обнаружить наибольшую болезненность в месте расположения кишечных петель, подвергшихся странгуляции. У ряда больных удается прощупать фиксированную и растянутую в виде баллона петлю кишки (симптом Валя), при перкуссии над которой слышен тимпанический звук с металлическим оттенком (положительный симптом Кивуля). В поздние сроки заболевания при сильном растяжении кишечника определяется характерная ригидность брюшной стенки (положительный симптом Мондора), которая при пальпации напоминает консистенцию надутого мяча.
При инвагинации может наблюдаться симптом Бабука: если в промывных водах крови нет, живот пальпируют в течение 5 мин и после повторной сифонной клизмы вода может иметь цвет мясных помоев.
В случае илеоцекальной инвагинации в связи с перемещением инвагинированного отрезка кишечника правая подвздошная ямка при пальпации бывает пустой (симптом Шимона-Данса).
г) Перкуссия. Над растянутыми кишечными петлями определяют высокий тимпанит. Одновременно с этим над растянутыми кишечными петлями слышен «шум плеска» (симптом Склярова), что свидетельствует о скоплении в приводящей петле жидкости и газа.
д) Аускультация живота. Перистальтические шумы в первые часы заболевания усилены, нередко слышны на расстоянии. При аускультации можно определить усиленную перистальтику (урчание, переливание, бульканье, «шум падающей капли» - симптом Спасокукотского, «шум лопнувшего пузыря» - симптом Вильса). Бурная перистальтика более характерна для обтурации. При странгуляции усиление перистальтических шумов наблюдают в начале заболевания. В дальнейшем вследствие некроза кишки и перитонита перистальтические шумы ослабевают и исчезают (симптом «гробовой тишины»), при аускультации живота хорошо слышны дыхательные и сердечные шумы (положительный симптом Латейссена).
е) Per rectum. Иногда можно определить причину непроходимости (опухоль, каловый камень, инородное тело), а при инвагинации - кровь или кровянистое содержимое. Часто можно пропальпировать раздутую петлю тонкой кишки (симптом Гольда), нависание стенок кишки, служащих признаком скопления жидкости в малом тазу. При завороте и узлообразовании сигмовидной кишки ампула прямой кишки пустая, анус зияет (симптом Грекова, или симптом Обуховской больницы). Для этой патологии характерен также симптом Цеге-Мантейфеля: в прямую кишку удается ввести не более 300-500 мл жидкости.
В. Инструментальные исследования
1. Рентгенологическое обследование является основным специальным методом диагностики ОКН. Обзорная рентгенография брюшной полости должна проводиться при малейшем подозрении на ОКН. При этом выявляется ряд признаков. В норме газ имеется в ободочной кишке. Появление газа в тонкой кишке указывает на непроходимость. Характер скопления газа в просвете кишечника различается при разных вариантах КН (рис. 1). Рисунок 1. Схема скопления газа в просвете кишечника при разных вариантах КН. а - высокая тонкокишечная непроходимость. Возможно наличие единичных горизонтальных уровней жидкости и газа. Наличие газа в толстой кишке не характерно Рисунок 1. Схема скопления газа в просвете кишечника при разных вариантах КН. б - низкая тонкокишечная непроходимость. Обычно видны множественные горизонтальные уровни жидкости и газа (чаши Клойберга). Наличие газа в толстой кишке не характерно Рисунок 1. Схема скопления газа в просвете кишечника при разных вариантах КН. в - странгуляционная кишечная непроходимость. Могут быть как единичные, так и множественные горизонтальные уровни жидкости и газа. Наличие газа в толстой кишке не характерно. Обычно по снимкам удается определить, петли какой кишки - тонкой, толстой или обеих - растянуты газом. При наличии газа в тонкой кишке хорошо видны спиралевидные складки слизистой оболочки (Керкринговы складки), занимающие весь поперечник кишки.
В тощей кишке они имеют вид круговой ребристости, напоминающей «скелет селедки» (симптом Кейcи), в подвздошной кишке - более редкие, прямые и толстые. При скоплении газа в толстой кишке видны гаустры, которые занимают лишь часть поперечника кишки [7, 9-12].
В более ранних стадиях КН рентгенологически может определяться скопление газа (без уровня жидкости) в петле кишки соответственно определяемому клинически симптому Валя (симптом Гинтце). На соответствие растянутой и напряженной петле кишки зоны скопления газа в виде арки указывает симптом Штирлина.
При механической тонкокишечной непроходимости в толстой кишке газа немного или нет. При толстокишечной непроходимости и сохранной функции илеоцекального клапана отмечают значительное вздутие толстой кишки, в тонкой кишке газ может отсутствовать. Недостаточность илеоцекального клапана приводит к растяжению как тонкой, так и толстой кишки.
![]()
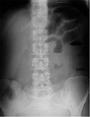
На рентгенограммах, полученных в положении стоя или лежа на боку, обычно видны горизонтальные уровни жидкости и газа (рис. 2). Рисунок 2. Обзорная рентгенограмма брюшной полости. Видны чаши Клойбера, уровни жидкости. Заполненные газом кишечные петли имеют вид опрокинутых чаш (чаши Клойбера). Они появляются при странгуляции через 1-2 ч после начала заболевания, при обтурации - через 3-5 ч. По размерам чаш Клойбера, их форме и локализации можно судить об уровне непроходимости.
При тонкокишечной непроходимости чаши Клойбера небольших размеров, ширина горизонтального уровня жидкости больше, чем высота столба газа над ним. Обычно наблюдается большое количество горизонтальных уровней с изменением их расположения в течение времени и перемещением жидкости из одной петли в другую. Горизонтальные уровни жидкости ровные. На фоне газа хорошо видны складки слизистой оболочки (складки Керкринга), принимающие форму растянутой спирали.
При непроходимости тощей кишки горизонтальные уровни жидкости локализуются в левом подреберье и эпигастральной области. При непроходимости в терминальном отделе подвздошной кишки уровни жидкости расположены в области мезогастрия.
При тонкокишечной непроходимости, кроме чаш Клойбера, на рентгенограммах видны растянутые газом кишечные петли, принимающие форму «аркад» или «органных труб», похожих на перевернутые буквы J и U.
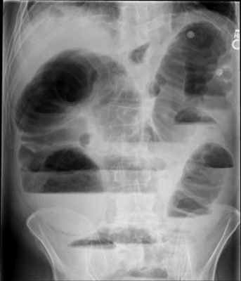
При толстокишечной непроходимости горизонтальные уровни жидкости расположены по периферии брюшной полости, в боковых отделах живота, и их меньше, чем при тонкокишечной непроходимости. Высота чаш Клойбера преобладает над шириной. На фоне газа видны полулунные складки слизистой оболочки («гаустры»). Уровни жидкости не имеют ровной поверхности («зеркала»), что обусловлено наличием в толстой кишке плотных кусочков кала, плавающих на поверхности жидкого кишечного содержимого.
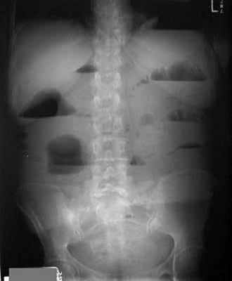
При динамической паралитической непроходимости, в отличие от механической, горизонтальные уровни жидкости наблюдаются одновременно как в тонкой, так и в ободочной кишке. Перемещения кишечных уровней со временем из одного колена кишки в другое не наблюдается. При динамической спастической непроходимости по ходу тонкой кишки видны мелкие чаши Клойбера, расположенные цепочкой слева сверху вниз и вправо.
![]()
Отличить паралитическую непроходимость кишечника от механической тонкокишечной непроходимости с помощью обзорной рентгеноскопии бывает довольно сложно (см. таблицу). Рентгеноконтрастное исследование применяется с целью дифференциальной диагностики КН в сложных случаях [2, 7, 10, 13]. Вариант введения контраста зависит от предполагаемого уровня окклюзии кишечника. Так, бариевую взвесь внутрь дают при признаках высокой обтурационной непроходимости и с помощью клизм вводят при симптомах низкой непроходимости. При необходимости динамического исследования пассажа бария внутрь назначают рентгеноконтрастный препарат, при задержке которого более 6 ч в желудке и 12 ч в тонкой кишке диагностируется нарушение проходимости или двигательной активности кишечника. При механической непроходимости контрастная масса ниже препятствия не поступает.
Таким образом, показаниями к проведению рентгеноконтрастного исследования при ОКН служат:
- подтверждение или исключение КН;
- сомнительные случаи, при подозрении на кишечную непроходимость с целью дифференциальной диагностики и при комплексном лечении;
- спаечная ОКН у больных, неоднократно подвергшихся оперативным вмешательствам, при купировании последней;
- любая форма тонкокишечной непроходимости (за исключением странгуляционной), когда в результате активных консервативных мероприятий на ранних этапах процесса удается добиться видимого улучшения. В данном случае возникает необходимость объективного подтверждения правомерности консервативной тактики. Основанием для прекращения мониторинга рентгенологического исследования является фиксация поступления контраста в толстую кишку;
- диагностика ранней послеоперационной непроходимости у больных, перенесших резекцию желудка. Отсутствие пилорического жома обусловливает беспрепятственное поступление контраста в тонкую кишку. В этом случае выявление феномена стоп-контраста в отводящей петле служит показанием к ранней релапаротомии.
Условия проведения исследований с контрастным веществом при ОКН:
1) рентгеноконтрастное исследование для диагностики ОКН можно использовать лишь при полной убежденности (на основании клинических данных и результатов обзорной рентгенографии брюшной полости) в отсутствии странгуляционной формы непроходимости, составляющей угрозу быстрой утраты жизнеспособности ущемленной петли кишки;
2) динамическое наблюдение за продвижением контрастной массы необходимо сочетать с клиническим наблюдением, в ходе которого фиксируются изменения местных физикальных данных и общего состояния больного. В случае усугубления местных признаков непроходимости или появления признаков эндотоксикоза вопрос о неотложном оперативном вмешательстве должен обсуждаться независимо от рентгенологических данных, характеризующих продвижение контраста по кишечнику;
3) если принимается решение о динамическом наблюдении за больным с контролем за пассажем по кишечнику контрастной массы (проба Шварца), то такое наблюдение следует сочетать с проведением лечебных мероприятий, направленных на устранение динамического компонента непроходимости. Эти мероприятия заключаются, главным образом, в применении антихолинергических, антихолинэстеразных и ганглиоблокирующих средств, а также проводниковой (паранефральной, сакроспинальной) или перидуральной блокады [1-3, 7, 9-12].
2. Колоноскопия (диагностическая и лечебная) является самым информативным методом диагностики заболеваний толстой кишки. В большинстве случаев она позволяет осмотреть толстую кишку на всем протяжении. Во время проведения колоноскопии визуально оценивается состояние слизистой оболочки толстой кишки, что позволяет на ранних стадиях выявить доброкачественные и злокачественные опухоли толстой кишки. Колоноскопия предоставляет возможность не только локализовать патологический процесс, но и выполнить интубацию суженной части кишки, разрешив явления острой непроходимости. Это позволяет выполнить оперативное вмешательство, как правило, по поводу онкологического заболевания в более благоприятных условиях [2, 4, 7, 14].
3. Ирригоскопия проводится при подозрении на непроходимость ободочной кишки. Под рентгенологическим контролем постепенно заполняют рентгеноконтрастной взвесью толстую кишку и производят обзорные и прицельные снимки всех ее отделов в разных положениях больного. На рентгенограммах можно обнаружить сужения и дефекты наполнения, обусловленные наличием опухоли в кишке, сужение дистального отдела сигмовидной кишки в виде «клюва» при ее заворотах, дефекты наполнения в виде «полулуния», «двузубца», «трезубца» при илеоцекальной инвагинации.
На следующем этапе, после удаления из толстой кишки рентгеноконтрастной взвеси, исследуют рельеф слизистой оболочки кишки.
На заключительном этапе ирригоскопии, особенно при подозрении на опухоль толстой кишки, исследование проводят при дозированном заполнении кишки воздухом, используя аппарат Боброва (двойное контрастирование).
4. Ультразвуковое исследование (УЗИ) широко применяется для оценки разных болезней органов брюшной полости, однако исследований, посвященных диагностике КН, не много. Это может быть связано с тем, что наличие большого количества газа в ЖКТ мешает успешному исследованию кишечника, а также с тем, что спайки в кишке (наиболее распространенная причина кишечной непроходимости) не визуализируются с помощью УЗИ.
Предпосылкой возможного использования ультразвукового (УЗ) метода для диагностики ОКН является избыточное скопление жидкого содержимого в просвете кишки, что позволяет при УЗ-сканировании ее визуализировать.
Избыточное скопление жидкости в кишечнике обусловлено как нарушением эвакуации и всасывания кишечного содержимого, так и пропотеванием жидкости в просвет кишки при развитии ее микроциркуляторных нарушений. В связи с этим жидкое содержимое в просвете кишки, определяемое при УЗИ, называют «симптомом секвестрации жидко
Острая кишечная непроходимость
Острая кишечная непроходимость (ОКН) – это синдром, характеризующийся нарушением пассажа кишечного содержимого в направлении от желудка к прямой кишке. Кишечная непроходимость осложняет течение различных заболеваний. Острая кишечная непроходимость (ОКН) — синдромная категория, объединяющая осложненное течение различных по этиологии заболеваний и патологических процессов, которые формируют морфологический субстрат ОКН.
Предрасполагающие факторы острой кишечной непроходимости
1. Врожденные факторы:
Особенности анатомии (удлинение участков кишки (мегаколон, долихосигма)). Аномалии развития (незавершенный поворот кишки, аганглиоз (болезнь Гиршпрунга)).
2. Приобретенные факторы:
Спаечный процесс в брюшной полости. Новообразования кишечника и брюшной полости. Инородные тела кишечника. Гельминтозы. Желчно-каменная болезнь. Грыжи брюшной стенки. Несбалансированное нерегулярное питание.
ОКН составляет 3,8% от всех неотложных заболеваний брюшной полости. При возрасте старше 60 лет причиной ОКН в 53% является рак толстой кишки.
Классификация острой кишечной непроходимости:
А. По морфофункциональной природе:
1. Динамическая непроходимость: а) спастическая; б) паралитическая.
2. Механическая непроходимость: а) странгуляционная (заворот, узлообразование, ущемление; б) обтурационная (интраинтестинальная форма, экстраинтестинальная форма); в) смешанная (инвагинация, спаечная непроходимость).
В. По уровню препятствия:
1. Тонкокишечная непроходимость: а) Высокая. б) Низкая.
Причины динамической острой кишечной непроходимости:
1. Нейрогенные факторы:
А. Центральные механизмы: Черепно-мозговая травма. Ишемический инсульт. Уремия. Кетоацидоз. Истерический илеус. Динамическая непроходимость при психической травме. Спинномозговые травмы.
Б. Рефлекторные механизмы: Перитонит. Острый панкреатит. Брюшно-полостные травмы и операции. Травмы грудной клетки, крупных костей, сочетанные травмы. Плеврит. Острый инфаркт миокарда. Опухоли, травмы и ранения забрюшинного пространства. Нефролитиаз и почечная колика. Глистная инвазия. Грубая пища (паралитическая пищевая непроходимость), фитобезоары, каловые камни.
2. Гуморальные и метаболические факторы: Эндотоксикоз различного происхождения, в том числе, и при острых хирургических заболеваниях. Гипокалиемия, как следствие неукротимой рвоты разного генеза. Гипопротеинемия вследствие острого хирургического заболевания, раневых потерь, нефротического синдрома и т.д.
3. Экзогенная интоксикация: Отравление солями тяжелых металлов. Пищевые интоксикации. Кишечные инфекции (брюшной тиф).
Клиника.
· Боль в животе. Боли носят приступообразный, схваткообразный характер. У больных холодный пот, бледность кожных покровов (при странгуляции). Больные с ужасом ожидают следующих приступов. Боли могут стихать: например, был заворот, а затем кишка расправилась, что привело к исчезновению болей, но исчезновение болей очень коварный признак, так как при странгуляционной КН происходит некроз кишки, что ведет к гибели нервных окончаний, следовательно, пропадает боль.
· Рвота. Многократная, сначала содержимым желудка, потом содержимым 12 п.к. , затем появляется рвота с неприятным запахом. Язык при КН сухой.
· Вздутие живота, асимметрия живота
· Задержка стула и газов — это грозный симптом, говорящий о КН.
Могут быть слышны кишечные шумы, даже на расстоянии, видна усиленная перистальтика.
Диагностика
Общий анализ мочи, общий анализ крови, глюкоза крови, группа крови и резус принадлежность, ЭКГ, рентгенография органов брюшной полости в вертикальном положении, УЗИ брюшной полости.
Рентгенологическое исследование является основным специальным методом диагностики ОКН. При этом выявляются следующие признаки:
- Чаша Клойбера – горизонтальный уровень жидкости с куполообразным просветлением над ним, что имеет вид перевернутой вверх дном чаши. При странгуляционной непроходимости могут проявляться уже через 1 час, а при обтурационной непроходимости — через 3-5 часов с момента заболевания. Количество чаш бывает различным, иногда они могут наслаиваться одна на другую в виде ступенчатой лестницы.
- Кишечные аркады. Получаются, когда тонкая кишка оказывается раздутой газами, при этом в нижних коленах аркад видны горизонтальные уровни жидкости.
- Симптом перистости (поперечная исчерченность в форме растянутой пружины) встречается при высокой кишечной непроходимости и связан с растяжением тощей кишки, имеющей высокие циркулярные складки слизистой. Контрастное исследование желудочно-кишечного тракта применяется при затруднениях в диагностике кишечной непроходимости. Больному дают выпить 50 мл бариевой взвеси и проводят динамическое исследование пассажа бария. Задержка его до 4-6 часов и более дает основание заподозрить нарушение двигательной функции кишечника.
Рентгенологическая диагностика острой кишечной непроходимости. Уже через 6 ч от начала заболевания имеются рентгенологические признаки кишечной непроходимости.
![]()
![]()
Лечение острой кишечной непроходимости.
Лечение ОКН может быть консервативным и оперативным и зависит от вида кишечной непроходимости.
Государственная клиническая больница №29 им. Н.Э.Баумана – это современная многопрофильная высокотехнологичная больница с уникальной полуторавековой историей и традицией, оказывающая высококачественную медицинскую помощь в круглосуточном режиме.
Читайте также:







