Гиперплазия десен
Добавил пользователь Валентин П. Обновлено: 27.01.2026
Таковым называют патологический процесс, проявляющийся чрезмерным разрастанием десневых тканей, который нередко приводит к закрытию значительного участка коронки зубов. Зачастую гиперплазия десен не является следствием воспалительной реакции, а в патологический процесс не втягиваются какие-либо иные ткани ротовой полости (языка, щек и прочего).
Указанному патпроцессу весьма часто сопутствует гиперемия, при которой к деневым тканям поступает избыток крови, приводящей к кровоточивости в момент потребления грубой еды, а также болевым реакциям.
В том случае, если от гиперплазии десен своевременно не избавиться, она может остановить процесс замены молочных зубов постоянными, вызвать остеопороз, способствовать нарушению целостности перегородок между зубами. Кроме всего прочего, эта аномалия сводит на нет гигиену ротовой полости, провоцирует появление различных болезней ротовой полости.
Причины гиперплазии десен
Вне зависимости от того, что указанная патология регистрируется весьма часто, причины, приводящие к ее прогрессированию, пока до конца не определены.
Нередко гиперплазия десен формируется по итогам частого потребления следующих препаратов: циклоспорин (использующийся для препятствования отторжения пересаженных органов), фенитоин (для избегания эпилептических припадков). Как правило, риск возникновения данной болезни наиболее высок в отношении 10% пациентов, в организм которых поступает медикамент, приводящий к блокировке кальциевых каналов: верапамил, фелодипин, дилтиазем, нифедипин.
Если вести речь о факторах, предшествующих гиперплазии десен, то среди них можно выделить:
- Отдельные болезни системы крови (ту же лейкемию),
- Период беременности,
- Предрасположенность, передающаяся по наследству,
- Период полового созревания,
- Множественное наслоение зубного камня,
- Определенные нарушения прикуса.
Нередко гиперплазия десен регистрируется у взрослых людей. Если же вести речь о детях, то у них она может быть лишь следствием генетических проблем. Лекарственная же гиперплазия регистрируется вне зависимости от возраста человека.
Разновидности заболевания
Медики называют два типа гиперплазии десен:
- Очаговая, которая практически не регистрируется. Выглядит как одиночные десневые разрастания, наблюдающиеся в участке язычной десневой зоны или же в участке бугра верхнего зубного ряда. Причем одиночные разрастания могут охватывать как все десны, так и всего лишь одну;
- Генерализованная гиперплазия десен. Ее регистрируют достаточно часто. Она визуализируется в качестве зернистых разрастаний, которые со временем срастаются в одно, закрывая в дальнейшем существенную по площади зубную поверхность.
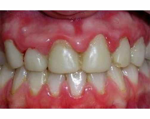
Симптоматика гиперплазии десен
Явными симптомами заболевания можно назвать:
- Зарастание десневыми тканями пространства между зубами,
- Набухание десен, увеличение их в размерах,
- Равномерный розовый оттенок всех десен,
- Уплотнение налитых кровью десневых тканей,
- Покрытие деснами больших по площади участков зубной коронки.
Развитие десневой гиперплазии
Вне зависимости от того, что до конца не ясен патогенез гиперплазии десен, было выяснено, что достаточно часто данная патология возникает потому, что движение кальция сквозь фибробластные мембраны десен было нарушена. А это чревато дисбалансом гомеостаза в клеточках, из которых построена десна, а также продуцированием коллагеназы, приводящей к десневому разрастанию.
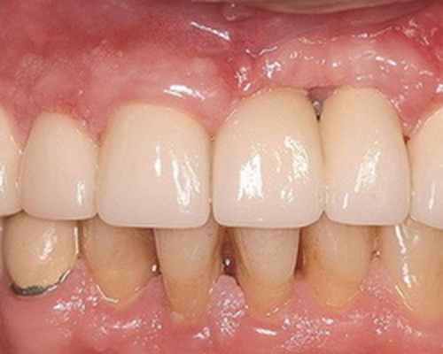
Развивается гиперплазия десен неспешно. Изначально на десневых участках (в основном в зоне фронтальных зубов) возникают образования плотной консистенции, напоминающие валик. По своему оттенку они никак не отличаются от иных участков десны, а при надавливании — не дают болевой реакции. Зубные коронки на этом этапе устилаются тканью десны где-то на одну треть.
Затем наблюдается прогрессирование гиперплазии десен, вследствие чего происходит деформирование сосочков, а разросшаяся десна перекрывает половину зубной коронки.
И крайняя степень, которой проявляется гиперплазия десен, можно считать ту, при которой край десны разрастается настолько, что покрывает две трети коронок, достигая жевательной поверхности либо режущего края. Увеличенные в размере сосочки устланы кровоточащими гранулами, имеющими разный размер.
Диагностирование и терапия десневой гиперплазии
Основная задача, стоящая перед медиком, диагностирующим патологию, — не спутать ее с иными болезнями. По этой причине, кроме внешнего осмотра, необходимо рентгенологическое исследование и гистологический анализ.
Терапию гиперплазии десен сегодня производят исключительно путем хирургического вмешательства. Выполняют ее за счет удаления излишнего количества десневых тканей. Параллельно с этим осуществляется полноценная санация ротовой полости.
Если же патология возникла после приема особых медикаментов, то их меняют на иные лекарственные средства. В указанном случае отказ от препарата приводит к возврату десен в физиологическое состояние. В том случае, если этого не случается, излишки ткани удаляются хирургическим способом. Если же человек вновь возвратится к приему медикаментов, по причине которых возникала гиперплазия десен, то рецидив болезни неизбежен.
Гиперплазия десен

Гипертрофическое разрастание тканей десен, которое сопровождается болезненными ощущениями и нарушает эстетику улыбки – это гиперплазия десен.
Если вы столкнулись с такой проблемой, обратитесь в наш центр стоматологии в Киеве.
Мы успешно занимаемся различными заболеваниями полости рта на протяжении 11 лет, и сможем вернуть вам здоровье и красоту.
Виды гиперплазии десен
Существует два вида патологии:
Ограниченная (очаговая) – одиночное разрастание мягких тканей, которое покрывает коронковую часть, в основном, передних зубов. Характерной особенностью данного вида патологии есть то, что такое увеличение десен происходит только возле одного зуба. В таком случае она обретает округлую форму, плотную структуру и глянцевый вид.
Генерализированая – более частая аномалия, представляющая собой несколько очагов разрастания десны, которые объединяются в один и закрывают большую часть зубов.
Современные медицинские центры предоставляют стоматологические услуги, среди которых обязательно есть устранение гиперплазии десен любого вида.
Чем опасно заболевание?
Патологическое разрастание десен мешает проводить чистку зубов, так как их поверхность значительно закрыта.
Из-за повышенного кровенаполнения тканей есть высокая вероятность возникновения кровотечения во время гигиенических процедур или употребления твердой пищи.
Также многие пациенты жалуются на болевые ощущения.
В отличие от других заболеваний гиперплазия десен не связана с их воспалением, поэтому она не распространяется на области щек и языка.
Однако гипертрофическое разрастание мягких тканей провоцирует разрушение межзубных перегородок, развитие остеопороза и других заболеваний.
К тому же у детей она может помешать росту постоянных зубов вместо молочных.
Причины возникновения патологии десен
* генетическая предрасположенность (проявляется в раннем возрасте);
* большое образование зубного камня;
* прием некоторых препаратов (предотвращающие эпилепсию, блокирующие кальциевые каналы);
С гипертрофическим разрастанием ткани чаще сталкиваются взрослые, также оно может начаться в период полового созревания.
Как определить гиперплазию десен?
Данное заболевание имеет такие симптомы:
* увеличение массы десневого края;
* заполнение зубных промежутков;
* набухание межзубных сосочков;
* изменение цвета десны;
* покрытие мягкой тканью поверхности зубов;
* уплотнение фиброзной ткани.
Эта аномалия может выглядеть как обычное воспаление десен.
Поставить правильный диагноз и назначить лечение может только врач, поэтому лучше обратиться за профессиональной помощью в центр стоматологии.
В Киеве «Дантист и Ко» известен высококвалифицированным персоналом и современным оборудованием, поэтому к нам приходят пациенты с различными патологиями полости рта.
Постановка диагноза и лечение
Помимо визуального и тактильного осмотра для точной диагностики гиперплазии десен специалисты назначают гистологический анализ и рентгенограмму.
На сегодня лечение такой патологии возможно только хирургическим методом.
Гипертрофированные мягкие ткани иссекаются до нужного объема, и проводится санация полости рта.
Диагностирование фиброза из-за лекарственных препаратов требует отмены их приема.
Это должно способствовать возвращению десен к естественному состоянию.
В случае отсутствия положительных изменений назначается оперативное вмешательство.
Если вы столкнулись с гипертрофическим развитием десен, обратитесь в «Дантист и Ко».
Среди многих стоматологических услуг, которые предоставляет наш центр, есть лечение гиперплазии.
Что такое гиперплазия десны

Гиперплазия пародонта – это чрезмерно быстрое разрастание и увеличение размеров десны. Второе название патологии – гипертрофия. Исходя из статистических данных, болезнь у мужчин диагностируется в три раза чаще, чем у женщин. Отличить заболевание от отека или воспаления самостоятельно нельзя, поэтому нужна помощь специалиста.
По каким симптомам можно вывить гипертрофию
Увидеть увеличенные размеры десны можно визуально. Гиперплазия – это заболевание невоспалительного характера, которое может встречаться как у взрослых, так и у детей.
Первый и самый главный симптом – разрастание десны, которая как бы находит на зуб. Это может наблюдаться в области одного зуба, между зубными единицами или же по всей челюсти. Слизистая при этом может не изменить свой цвет, а может стать ярко-красной, и даже немного посинеть. Пациенты с гипертрофией говорят не только об эстетическом недостатке пародонта, но и о возникновении трудностей при пережевывании пищи, о боли при надавливании на десну.
Патология может встречаться не только у людей, но также у кошек и собак. При этом гиперплазия у животных незаразна и вызвана другими причинами.
Причины появления
Разрастание десны может быть следствием приема некоторых лекарственных средств. Есть ряд исследований, в которых доказано, что гиперплазия пародонта является следствием приема антибиотиков и других медикаментов. Во всех исследуемых случаях была либо нарушена дозировка лекарств, либо пациент занимался самолечением, то есть сам назначил себе прием медикаментов, без консультации специалиста.
К другим причинам относятся:
- генетика: в таком случае патология проявляется уже в юном возрасте, как правило, в момент прорезывания молочных, а затем и коренных зубов;
- гормональный перестройки в организме во время беременности;
- заболевания крови;
- неправильное строение челюстно-лицевого аппарата.
Формы заболевания и стадии развития
Выделяют две формы патологии: генерализованную, то есть затронувшую одну или даже обе челюсти, и ограниченную – появившеюся на небольшом конкретном участке.
При генерализованной форме болезни изначально может быть несколько очагов в разных местах полости рта, которые в дальнейшем объединяются в один. Ограниченная форма гиперплазии может долгое время вообще никак себя не проявлять.
Стадии развития болезни:
1 стадия – десневые сосочки увеличиваются в размерах, пародонт немного увеличен и находит на зуб.
2 стадия – ткань разрастается на половину коронковой части зуба.
3 стадия – большая часть зубной единицы скрыта под десной. При этом слизистая регулярно травмируется, из-за чего возникают кровотечения, отечность и общее воспаление полости рта.
Также гипертрофия пародонта подразделяется на фиброзную и медикаментозную форму. Фиброзная встречается крайне редко. Из-за схожей симптоматики – появление пародонтальных карманов, которые заполнены налетом, патологию часто путают с пародонтитом. Чаще же встречается именно медикаментозная форма заболевания.
Осложнения у пациентов с гипертрофией
Помимо эстетических проблем, заболевание приводит и к другим негативным последствиям.
У пациента появляется болезненность при пережевывании пищи, слизистая становится чувствительна к пищевым раздражителям.
Но самое главное осложнение – это трудности проведения качественной гигиены. Скопление налета под десной приводит к образованию зубного камня, слизистая воспаляется, появляется кровоточивость пародонта и неприятный запах изо рта. Все это может привести к развитию кариеса, пульпита, периодонтита.
Помимо этого, может развиться пародонтит – болезнь десен воспалительного характера. Следствием пародонтита может стать разрушение связочного аппарата, при помощи которого зуб держится в лунке.
В детском возрасте гипертрофия пародонта может привести к неправильному росту зубов, к нарушению прикуса, а без надлежащего лечения к проблемам с челюстно-лицевым аппаратом. Поэтому затягивать с лечением нельзя, и при появлении первых признаков развития болезни, нужно сразу обратиться к специалисту.
Лечение
Первое, что делает врач – это диагностирует патологию. Болезнь легко спутать с другими заболеваниями десен, такими как гингивит и пародонтит.
Если диагностирована медикаментозная гиперплазия, болезнь пробуют устранить отменой лекарственных средств. Если этого недостаточно, проводят хирургическую операцию по удалению излишней десны.
То есть, если терапевтических методов недостаточно, патология устраняется при помощи гингивэктомии. Суть операции заключается в иссечении нависающего края десны. После гингивэктомии, когда десна заживает, проводят лечение поврежденных зубных единиц. Зубной налет удаляется при помощи профессиональной гигиены полости рта, а эмаль укрепляются фторсодержащими средствами.
Чем раньше начать лечение, тем проще будет устранить патологию и вернуть деснам здоровый и привлекательный вид.
На протяжении многих лет единственным методом, позволяющим восполнить функциональность и эстетику потерянного зуба, оставалось протезирование металлокерамической коронкой. Развитие стоматологии позволило увеличить перечень способов восстановления утраченного зуба.
Кариес – это патология, при которой твердые ткани зуба разрушаются под воздействием кариесогенных бактерий, таких как лактобактерии, стрептококки и актиномицеты.
Причины, симптомы и лечение гиперплазии десен
Гиперплазия десны — это ее разрастание, увеличение числа клеток, из-за которого объем пародонта становится больше. Пораженный участок выглядит как новообразование или опухоль, он может закрывать зубы, мешаться во рту. Такие разрастания являются доброкачественными, считаются безопасными, но требуют своевременного лечения.
![Гиперплазия десны]()
Почему разрастается десна?
Выделяют несколько причин увеличения объема тканей пародонта:
- воспаление или травма — нарушает механизмы регуляции и восстановления, провоцирует разрастание десневой ткани в области поражения;
- прием некоторых препаратов. Гиперплазию могут провоцировать иммунодепрессанты, блокаторы кальциевых каналов, антиконвульсанты, некоторые другие лекарственные средства;
- осложнение некоторых системных заболеваний, включая лейкемию, нарушения гормонального фона, обмена веществ;
- опухолевые процессы;
- скопление мягкого налета или зубного камня в пришеечной части коронок, у десневого края;
- отдельные нарушения прикуса (увеличенные межзубные промежутки, рост зубов с наклоном);
- осложнение некоторых заболеваний пародонта (включая гингивит, пародонтит).
На этапе диагностики пародонтолог должен точно определить причины разрастания клеток, чтобы назначить правильное лечение.
Симптомы гиперплазии десен
Разрастание десны на начальных этапах может быть похоже на отек или формирование опухоли. Постепенно появляются специфические симптомы:
- на поверхности слизистой или под ней появляются уплотнения, которые постепенно увеличиваются, могут становиться более объемными;
- объем десен увеличивается: они становятся шире, десневой край поднимается выше. При этом ткани остаются плотными, признаков отека нет;
- межзубные промежутки заполняются десневой тканью;
- края десны поднимаются, закрывают поверхность коронок;
- при жевании, при чистке зубов разросшиеся участки травмируются, могут воспаляться, после чего их поверхность уплотняется;
- цвет слизистой постепенно становится ярко-розовым.
![Гиперплазия верхней десны]()
Стадии заболевания
Гиперплазия развивается постепенно, скорость роста новых клеток может зависеть от причины заболевания. Всего выделяют три стадии разрастания.
На первой стадии ткани пародонта увеличиваются в объеме на участках межзубных промежутков. Межзубные десневые сосочки становятся крупнее, могут выглядеть воспаленными или кровоточить, быть чувствительными. При увеличении объема их легче травмировать. При пережевывании твердой еды может возникать болезненность.
На втором этапе рост клеток затрагивает маргинальную десну (участок у десневого края). Он выглядит отечным или опухшим, может казаться более толстым, уплотненным. На этом этапе десневой край начинает подниматься, постепенно закрывая пришеечную часть коронки, из-за чего зубы кажутся «короткими».
На третьей стадии увеличение объема десневой ткани становится хорошо заметным: десна покрывает больше, чем 3/4 высоты зуба, ее толщина может увеличиваться, возможно формирование «бугров», выступающих участков, дополнительных наростов. Цвет слизистой становится однородным, розовым. Она чувствительна, легко травмируется, склонна к болезненности и кровоточивости.
Виды гиперплазии десны
Ткани пародонта могут разрастаться по-разному, с вовлечением разных участков десны. Выделяют несколько видов гиперплазии:
- локализованная: рост новых клеток происходит на ограниченном участке, рядом с одним зубом или группой зубов (только с одной или с обеих сторон);
- генерализованная: десна разрастается по всей поверхности на одной или обеих челюстях;
- папиллярная: новые клетки образуются только на участке десневого сосочка, патология не затрагивает другие десневые ткани;
- маргинальная: разрастается десневой сосочек и область десневого края;
- диффузная: происходит разрастание и маргинальной, и прикрепленной десны (увеличение тканей пародонта на всю высоту от десневого края и до мукогингивальной границы).
Гиперплазия может быть ограниченной. Увеличение тканей в этом случае похоже на опухоль, строго изолировано, имеет широкое основание или ножку. Оно выглядит как нарост или бугорок.
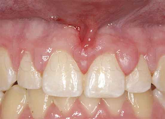
![Гиперплазия десны, вызванная гингивитом]()
Порядок лечения
На первом этапе проводится диагностика. Врач осматривает полость рта, оценивает разросшиеся ткани. Возможен дополнительный рентгенографический контроль, проведение биопсии. На этапе диагностики подтверждают доброкачественную природу новообразования, определяют причину, по которой оно появилось.
Лечение проводится хирургическим путем после обязательного обезболивания. Разросшиеся ткани отслаиваются, удаляются, выполняется ушивание слизистой. Процедуру проводит пародонтолог или стоматолог во время приема. Объем таких вмешательств небольшой, они легко переносятся, не требуют специальной реабилитации. В отдельных случаях дополнительно врач может назначить кровоостанавливающие препараты, местные антисептики, рекомендовать обезболивающие средства.
Дополнительно при лечении проводится санация полости рта. Она необходима, если десна разрослась из-за воспаления, постоянного контакта с мягким налетом или зубным камнем в области десневого края, в результате осложнения при других эндодонтических и пародонтологических заболеваниях.
Если гиперплазия была спровоцирована приемом лекарственных средств, нужна консультация с лечащим врачом для замены назначенных препаратов на более безопасные. Если причина роста клеток — системные заболевания, нарушения обмена веществ, гормонального фона, их нужно устранить, чтобы десна не разрасталась повторно. Если ткани пародонта разрастаются из-за нарушения прикуса или появления промежутков в зубном ряду (после потери зуба), рекомендовано ортодонтическое лечение или протезирование.
Возможные осложнения
Без лечения гиперплазия десен быстро ухудшает состояние зубочелюстной системы:
- снижается качество самостоятельной гигиены: очищать зубы, закрытые разросшейся десной, не удается. Это повышает риск деминерализации эмали, кариеса, других заболеваний;
- при локализованной гиперплазии меняется распределение жевательной нагрузки. Пораженный участок чувствителен к механическим нагрузкам, мешает жеванию. Если десна разрастается по всей поверхности, употребление еды становится болезненным;
- повышается риск воспаления тканей пародонта и периодонта, развития опасных пародонтологических заболеваний.
Врачи клиники «ДентоСпас» отмечают, что лечение гиперплазии десны легче всего проходит на начальных стадиях. Обращаться к пародонтологу за консультацией лучше сразу после появления признаков патологии: отеков, болезненности, изменения цвета слизистой, увеличения объема тканей.
Лечение гиперплазии десен

Гиперплазия в области десен иногда развивается в качестве реакции на повреждение инородными предметами, зубами, стоматологическими процедурами. При этом положение десны и её размеры значительно не изменяются и не становятся причиной дискомфорта. Но всё может быть иначе, если у животного есть сопутствующее заболевание гингивитом. При хроническом воспалении могут развиваться сильные изменения десны.
Стоимость лечения гиперплазии десен
| Наименование услуги | Стоимость, руб. |
|---|---|
| Стоматология* | |
| Удаление молочного зуба/ клыка | 250/ 500 |
| Удаление постоянного зуба/клыка | 500/от 1000 |
| Снятие зубного камня УЗ-скайлер (1 голова) | 2000 |
| Полная санация ротовой полости (удаление больных зубов и снятие зубного камня ультразвуком), без стоимости общей анестезии | 3500 |
| Обработка десен | 200 |
| * Цены без учета общей анестезии | |
Более подробную информацию о лечении вы можете получить, позвонив по телефону 8 (925) 732 25 11 или проконсультироваться у наших врачей, записавшись на прием.
В чем проявляется гиперплазия десен?
При гиперплазии наблюдается чрезмерное разрастание клеток, вызывающее изменение объёмов десны в области прилегания к зубу. Если болезнь запущена, такая десна может закрыть зуб полностью. Патология приводит к появлению ложных десенных карманов, где начинает скапливаться еда. Появление бактерий вызывает воспаление – развитие пародонтита либо гингивита.
Как определить, что у вашего питомца развивается гиперплазия десен? Существуют определённые симптомы, на которые нужно обратить внимание при осмотре своего домашнего животного. Это, например, потемнение эмали зубов, покраснение или кровоточивость десен, плохой запах изо рта, сложности с пережёвыванием еды, утрата аппетита, увеличение температуры, изменение цвета зубов либо их выпадение.
После диагностирования гиперплазии десны ветеринар сначала выполняет чистку зубов. На дому такую процедуру проводить нельзя. Благодаря ультразвуковой чистке выраженность воспаления существенно уменьшается, что предупреждает появление гингивита. Если гиперплазия протекает в тяжёлой форме, нужно выполнить операцию. При процедуре удаляются появившиеся ложные карманы, стабилизируется борозда десны и устраняются разросшиеся лишние ткани.
При хроническом гингивите, на фоне которого развивается гиперплазия десен, нужно сначала вылечить причину возникновения патологии (убрать отложения на зубах, сточить либо удалить зубы и пр.). Вместе с этим проводится терапия самого воспаления с применением противовоспалительных и противомикробных лекарств. Также перед лечением антибиотиками может быть выполнено бактериологическое исследование, определяющее, какими микроорганизмами поражена десна. Это позволит выяснить их чувствительность относительно разных противомикробных лекарств.
При отсутствии результата от консервативной терапии проводятся хирургические манипуляции.
Читайте также:



