Нервные клекти в очаге ушиба. Перифокальные изменения в очаге ушиба
Добавил пользователь Владимир З. Обновлено: 19.12.2025
Кафедра судебной медицины Первого МГМУ им. И.М. Сеченова
Ipswich Hospital, Suffolk, UK
Судебно-гистологическая оценка ушиба головного мозга у лиц пожилого возраста на фоне артериальной гипертонии
Журнал: Судебно-медицинская экспертиза. 2013;56(5): 4‑6
Дорошева Ж.В., Джемисон Е.Ю. Судебно-гистологическая оценка ушиба головного мозга у лиц пожилого возраста на фоне артериальной гипертонии. Судебно-медицинская экспертиза. 2013;56(5):4‑6.
Dorosheva ZhV, Dzhemison EIu. Forensic histological assessment of brain contusion in the elderly subjects suffering from arterial hypertension. Sudebno-Meditsinskaya Ekspertisa. 2013;56(5):4‑6. (In Russ.).
Приведены собственные наблюдения случаев ушиба головного мозга на фоне артериальной гипертонии. Применены стандартные гистологические окраски, а также иммуногистохимический метод выявления GFAP в астроцитах. Выявлены морфологические особенности данного вида черепно-мозговой травмы у лиц пожилого возраста и показана их возможная роль при анализе данного вида повреждений.
В современных условиях тупая травма тела прочно занимает ведущее место в структуре смертельных повреждений и инвалидизации населения. При всех основных видах механической травмы преобладает черепно-мозговая (ЧМТ) [1—3], число пострадавших от которой ежегодно увеличивается. Коррелируя с общемировой динамикой демографических показателей, в структуре нейротравмы неуклонно растет удельный вес лиц пожилого возраста, чаще всего страдающих болезнями сердечно-сосудистой системы. Нейротравма, возникшая на фоне гипертонической болезни, порождает качественно новую патологическую ситуацию, обусловленную отягощающим влиянием нозологических составляющих. В такой ситуации даже незначительное повреждение мягких тканей головы нередко приводит к развитию тяжелого травматического поражения мозга. Отсутствие данных о морфологии этого состояния подчеркивает актуальность изучения этой проблемы.
Цель исследования — определение морфологических особенностей ушиба головного мозга у лиц пожилого возраста на фоне артериальной гипертензии.
Материал и методы
Морфологическое исследование выполняли на архивном материале: 25 трупов лиц в возрасте от 60 до 83 лет с ушибами головного мозга средней степени тяжести на фоне гипертонической болезни (ГБ) с переживанием травмы от 0 ч до 14 дней. 1-ю группу составили 20 трупов в возрасте от 20 до 55 лет, умерших от ЧМТ без признаков ГБ, 2-ю — также 20 трупов в возрасте 60 лет и старше, умерших от гипертонического криза, осложнившего течение ГБ.
Исследовали гистологические объекты, окрашенные гематоксилином и эозином и по методам Ван-Гизона, Маллори и Перльса. Провели иммуногистохимическое исследование астроцитов с помощью антител к глиальному фибриллярному кислому протеину (GFAP — Glial fibrillary acidic protein) с помощью мышиных антител (разведение 1:250), набора VECTASTAIN ABC, CША; со вторичными биотинилированными антителами и хромогена DAB. В полученных срезах определяли плотность расположения астроцитов. Дополнительно препараты окрашивали по методу Ниссля. Значимость различий средних значений рассчитывали по критерию Стьюдента при р
Результаты и обсуждение
При макроскопическом исследовании очагов ушиба головного мозга при наличии фоновой ГБ выявили следующие особенности. В период до 1—2 сут после травмы преобладали стертые очертания участков повреждения вещества коры больших полушарий. Напротив, в группе с ЧМТ без фоновой ГБ очаги ушиба имели четкие округлые границы уже через 4—8 ч.
В группе с ЧМТ без фоновой ГБ в очаге первичного некроза коры и прилежащих отделов белого вещества изменение тинкториальных свойств тканей, ишемические и отечные изменения нейронов обнаруживали через 40 мин — 2 ч после травмы. В перифокальной зоне вокруг капилляров и венул определялись плазморрагия, краевое расположение лейкоцитов в сосудах, единичные лейкоциты в поврежденной ткани. Спустя 24—48 ч по краю участков некроза вещества мозга отмечали очаговые скопления лейкоцитов без полностью сформированной зоны демаркации, группы клеток-теней, к 3—4-м суткам — одиночные зернистые шары. Через 6—9 дней по краю очага некроза выявили эндотелиальные клетки с закладкой грануляционной ткани среди зернистых шаров. К концу 2-й недели зона непосредственного повреждения была заполнена зернистыми шарами.

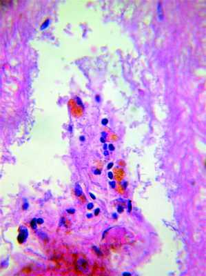
В группе с ГБ без ЧМТ отметили стойкие морфологические предсуществующие изменения стенок сосудов и окружающей ткани: плазматическое пропитывание с фибриноидным некрозом артериол белого вещества полушарий большого мозга на фоне периваскулярных мелких полостей с тремя и более сосудами, в составе которых выявили бледно окрашенные соединительнотканные, хаотично расположенные волокна, глыбки отрицательно окрашенного по методу Перльса пигмента с малочисленными лимфоцитами и фибробластами (рис. 1, на цв. вклейке). Рисунок 1. Изменения стенок сосудов при гипертонической болезни: гиалиноз артериолы, глыбки желтовато-золотистого пигмента, бледные соединительнотканные волокна в периваскулярном пространстве с одиночными макрофагами. Мужчина, 65 лет. Окраска гематоксилином и эозином. Ув. 400. В коре — клеточные выпадения, увеличение количества липофусцина в оставшихся клетках, незначительно избыточная пролиферация астроцитов.

При микроскопическом исследовании материала от лиц с ЧМТ на фоне ГБ определили, что выход плазмы в периваскулярные пространства с выраженным набуханием стенок мелких сосудов происходил в ближайшие минуты после травмы. В артериолах, расположенных в перифокальных отделах, наблюдали плазматическое пропитывание стенок в первые десятки минут, сосуды в ряде полей зрения были со спадением просветов, стенки их волнообразно извиты. Кольцевидные кровоизлияния зафиксировали уже в первые 2—4 ч (рис. 2, на цв. вклейке), Рисунок 2. Ушиб головного мозга на фоне гипертонической болезни: размытые границы места повреждения коры и мелкоочаговые кольцевидные кровоизлияния в белом веществе полушарий большого мозга через 2 ч после травмы. Мужчина, 65 лет. Окраска гематоксилином и эозином. Ув. 30. а через 6 ч по краям очагов ушиба отмечали распространенное пропитывание ткани эритроцитами.
Наблюдали замедление миграции лейкоцитов из стенок сосудов в очаг некроза (12—48 ч). Лейкоцитарный вал чаще всего был не сформирован, малочисленные лейкоциты (одиночные клетки) расположены гнездно рядом со стенками сосудов. Число нейтрофилов по краю пораженной ткани зависит от общей иммунореактивности организма, с одной стороны, и свойств сосудистой системы — с другой. При ГБ в артериолах, по физиологической классификации относимых к резистивным сосудам, отмечали гиалиноз. Гиалинизация мышечного слоя стенки приводит к отсутствию сокращения просветов, что обусловливает распространенные диапедезные геморрагии в периконтузионных отделах; предположительно выраженный отек отрицательно влияет на прохождение лейкоцитов сквозь стенки.
При иммуногистохимическом исследовании в коре головного мозга в изучаемой группе определено значительно меньшее число GFAP-положительных клеток и их отростков — в 1,2—1,8 раза, чем в группе с ЧМТ без фоновой ГБ, особенно в белом веществе в сроки от 2 до 14 сут [6—8] (рис. 3, на цв. вклейке), Рисунок 3. Сравнительное распределение астроцитов по периферии очага ушиба полушарий большого мозга. Мужчина, 68 лет. Окраска GFAP, докрашено по Нисслю. Ув. 400. а — распределение астроцитов на 5-е сутки после возникновения очага при отсутствии в катамнезе артериальной гипертонии. Рисунок 3. Сравнительное распределение астроцитов по периферии очага ушиба полушарий большого мозга. Мужчина, 68 лет. Окраска GFAP, докрашено по Нисслю. Ув. 400. б — одиночный астроцит в периконтузионной зоне на 5-е сутки на фоне гипертонической болезни. в связи с этим можно говорить о том, что в условиях циркуляторной гипоксии при ГБ пролиферация астроцитов явно недостаточна для замещения дефектов белого вещества, образовавшейся деструкции миелина и олигодендроглии [9].
Кроме того, определено присутствие GFAP-положительных клеток и их отростков в изучаемой группе и подгруппе ГБ без ЧМТ при смерти в ближайшие минуты с момента возникновения повреждения вещества мозга.
Подобные признаки в случаях ЧМТ на фоне ГБ обусловлены нарушенными процессами трансформации и миграции астроцитов, в результате чего нарушается экспрессия GFAP, а также изменением уровня функциональной активности формирующейся глии. Несформированная демаркационная зона и выраженный вакатный отек, дистрофические изменения сосудов и клеток, сниженная лейкоцитарная перифокальная инфильтрация, замедленная вялотекущая пролиферация астроглии и сниженная резистентность сосудистой стенки создают предпосылки для осложнения течения травматической лейкоэнцефалопатии [10] или разрыва стенок сосудов по краю зоны ушиба и повторного кровоизлияния.
Заключение
При ЧМТ очаг ушиба головного мозга на фоне ГБ имеет стертые очертания на протяжении 1—2 сут после травмы. Уже в первые минуты после повреждения головного мозга в прилежащих к очагу повреждения участках коры возможно плазматическое пропитывание с фибриноидным некрозом стенок сосудов, обусловленное предсуществующим высоким артериальным давлением, что способствует раннему развитию кольцевидных кровоизлияний с размытыми границами. В ранний посттравматический период миграция лейкоцитов в зону некроза вещества мозга замедлена и может составлять 12—48 ч, характерно отсутствие формирования лейкоцитарного вала. При ЧМТ на фоне ГБ предсуществующие изменения стенок сосудов и окружающей ткани в виде периваскулярных мелких полостей с тремя сосудами и более с бледно окрашенными соединительнотканными волокнами, глыбками отрицательно окрашенного по методу Перльса пигмента с малочисленными лимфоцитами и фибробластами в периваскулярных пространствах обусловливают тяжелые клеточные изменения нейронов и замедление реактивных процессов со стороны астроцитарной глии в коре. Совокупность указанных факторов может способствовать неправильной интерпретации давности клеточно-репаративных процессов в веществе мозга, для уточнения которых необходимо дополнительное иммуногистохимическое исследование.
Указанные морфологические признаки могут помочь судебно-медицинскому эксперту в оценке давности возникновения ЧМТ на фоне ГБ, особенно если морфологические признаки травмы не соответствуют силе механического воздействия.
Нервные клекти в очаге ушиба. Перифокальные изменения в очаге ушиба
В сером веществе обнаруживают разрыхление глиальной ткани (спонгиозность), появление отечных олигодендроглиоцитов, гигантских астроцитов, фрагментацию их отростков и переход в амебоидную форму с последующим лизисом клетки.
Наиболее ранние и тяжелые изменения нервных клеток находят в задних и боковых рогах. Они изменены по типу острого набухания или отечного заболевания; при последнем имеют вид прозрачных пузырьков с пикноморфным ядром. Более устойчивы невроциты передних рогов: они изменены по ишемическому или гиперхромному типу, реже по типу острого набухания. В более поздние сроки значительная часть клеток погибает и в срезах находят только единичные сморщенные гиперхромные невроциты, утратившие структуру.
Центральный канал часто мало изменен, иногда видно расширение его просвета (гидромиелия). В более тяжелых случаях травмы, при центральной гематомиелии обнаруживают дискомплексацию клеток эпендимы и изменения по отечному типу. При грубой травме спинного мозга с разрывом или полным его перерывом обнаруживают полную утрату его структуры и ранний некроз.
В нем иногда находят отдельные фрагменты центрального канала с тяжелой дистрофией эпендимы, фрагменты септальных перегородок и сосудов, редкие единичные небольшие свежие кровоизлияния. Редко встречают центральную гематомиелию с широким распространением по поперечнику мозга.

Изменения на отдалении от очага ушиба
Интенсивность изменений постепенно убывает от уровня ушиба в восходящем и нисходящем направлении. Лучше сохраняются клетки передних рогов. Здесь быстро увеличивается количество неизмененных невроцитов. В нервных клетках боковых и особенно задних рогов изменения прослеживаются на большем удалении от очага ушиба.
Сравнительно быстро уменьшается число дегенеративных форм астроцитов, отечных олигодендро-глиоцитов, исчезает спонгиозность глиального ретикулума. Сосудистые изменения выражены слабее, не встречаются кровоизлияния, участки ишемического и геморрагического некроза. Наиболее стойкими остаются изменения в проводниковых системах, особенно в восходящем направлении.
Например, при ушибе на уровне IV—V шейных сегментов деструктивный отек может достигать продолговатого мозга, что в ряде случаев объясняет не только тяжелое нарушение дыхания и сердечной деятельности, но и непосредственную причину смерти. Через несколько дней и даже недель после травмы в зоне ушиба и на отдалении не обнаруживают процессов резорбции и организации. Напротив, находят прогрессирующую дегенерацию не только элементов нервной ткани, но и мезенхимных структур. Кроме того, нередко встречают очаги вторичных некрозов, даже на значительном удалении от места травмы.
Эти некрозы сопровождаются отеком мозговой ткани, слабо выраженной лейкоцитарной и макрофагальной реакцией, небольшой гиперплазией мезенхимных элементов. При асептическом течении процесса первые признаки восстановительной глиальной (астроцитарной) реакции обнаруживают не ранее чем через 2 мес.
В более поздние сроки находят продуктивную реакцию в виде разрастания грануляционной и соединительной ткани из мягких мозговых оболочек в глубь спинного мозга. В итоге образуется грубый рубец, который иногда содержит кисты. Рубец может вызвать вторичную компрессию спинного мозга и поздние осложнения.
Информация на сайте подлежит консультации лечащим врачом и не заменяет очной консультации с ним.
См. подробнее в пользовательском соглашении.
Ушиб мозжечка. Морфология очага ушиба мозга
В очаге ушиба мозжечка картина и сроки развития изменений сходны с изменениями в больших полушариях. Некоторое отличие состоит в том, что даже в небольшом очаге ушиба мозжечка наблюдают относительно массивное субарахноидальное кровоизлияние и более раннее появление геморрагического некроза.
Первичные травматические кровоизлияния чаще наблюдают в зоне зубчатых ядер и средних ножек мозжечка. Крупные гематомы редки. Последовательные диапедезные кровоизлияния обычно возникают вблизи первичных кровоизлияний, а на отдалении от них встречаются редко. Клетки Пуркинье, весьма чувствительные к гипоксии быстро погибают вблизи указанных кровоизлияний.
На отдалении они изменяются по ишемическому типу, а затем часть их погибает, превращаясь в клетки-тени. Клетки зернистого и молекулярного слоев коры сохраняются долгое время, даже рядом с излившейся кровью. Для полушарий мозжечка не характерен тотальный отек мозговой ткани, и его наблюдают преимущественно в миндалевидных дольках, где он возникает рано.
При отсутствии очага ушиба изменения в мозжечке зависят от тяжести нарушения общего мозгового кровообращения и в первые часы выражены слабо.
В первые часы отмечают отек мягких мозговых оболочек, скопление в подпаутинном пространстве неизмененных эритроцитов, застойное венозное полнокровие, спастическое состояние артерий и капилляров; изредка пиальная оболочка расплавлена и кровь проникает в мозговую ткань. Разрывы мягких оболочек редки. В корешках спинного мозга, особенно задних, отмечают набухание и варикозные вздутия оболочки, мелкие геморрагии, редко фрагментацию волокон.

В белом веществе обнаруживают резко выраженный отек миелиновых проводниковых волокон, которые на поперечном срезе имеют вид кольцевидных пустот. В центре каждой из них осевой цилиндр в виде темной точки, вокруг отечная бледно окрашенная миелиновая оболочка с варикозными вздутиями и фрагментацией. Эти изменения напоминают ишемический некроз без четких границ и клеточной реакции; они наиболее выражены в задних и боковых столбах.
В венах отмечают застойное полнокровие, явления стаза и тромбоза. В мелких артериях и артерио-лах выраженное спастическое состояние. Однако часть сосудов в состоянии дистонии, местами имеется плазматическое пропитывание стенки, утрата ее структуры и набухание эндотелия в просвете таких сосудов — агрегация эритроцитов и тромбы. Многие капилляры спавшиеся, в некоторых имеются стазы, эндотелий набухший. Клетки олигодендроглии в состоянии дистрофии: ядра клеток уменьшены, пикнотичны, в некоторых вокруг ядра видно просветление цитоплазмы в виде ободка или пузырька.
В сером веществе изменения наиболее выражены в задних и боковых рогах, а также дорсальнее центрального канала. Венозное полнокровие здесь больше, чем в белом веществе; видны стазы, тромбы, около отдельных вен — небольшие плазморрагии и геморрагии. Артерии и капилляры преимущественно в спастическом состоянии, в отдельных артериях отмечается дистония.
Встречаются диапедезные геморрагии, последние не склонны к слиянию. В участках дорсальнее центрального канала можно обнаружить мелкие ишемические некрозы, в редких случаях находят геморрагический некроз. Он напоминает так называемую центральную гематомиелшо. В его зону нередко вовлекаются глубинные отделы задних столбов кнутри от боковых рогов, а иногда и сами рога. В передних рогах геморрагический некроз встречается редко. Этот вид некроза имеет ограниченное распространение по оси спинного мозга, обычно захватывает один —два сегмента.
Кафедра неврологии лечебного факультета им. проф. В.П. Первушина Пермской государственной медицинской академии им. акад. Е.А. Вагнера
Роль нейромедиаторов и цитокинов в патогенезе острой черепно-мозговой травмы
Журнал: Журнал «Вопросы нейрохирургии» имени Н.Н. Бурденко. 2013;77(6): 22‑27
Селянина Н.В., Каракулова Ю.В., Ерошина О.А. Роль нейромедиаторов и цитокинов в патогенезе острой черепно-мозговой травмы. Журнал «Вопросы нейрохирургии» имени Н.Н. Бурденко. 2013;77(6):22‑27.
Selianina NV, Karakulova IuV, Eroshina OA. The role of neuromediators and cytokines in the pathogenesis of acute traumatic brain injury. Zhurnal Voprosy Neirokhirurgii Imeni N.N. Burdenko. 2013;77(6):22‑27. (In Russ., In Engl.).
Цель исследования - изучение содержания серотонина в сыворотке крови и сопоставление полученных результатов с воспалительными маркерами у больных в остром периоде черепно-мозговой травмы. Материал и методы. Обследованы 72 больных с черепно-мозговой травмой легкой и средней степени тяжести, у которых определяли цитокиновый, серотониновый, психовегетативный статус. Выявлено повышение содержания серотонина в зависимости от степени тяжести травмы, коррелирующее с уровнем противовоспалительных цитокиновых маркеров. Определение содержания серотонина в сыворотке крови может служить дифференциальным методом диагностики сотрясения и ушиба головного мозга.
Травма головного мозга приводит к развитию сложного патофизиологического комплекса реакций, включающих первичное и вторичное повреждение вещества головного мозга, в том числе процессы воспаления, гипоксии, некроза и апоптоза, нарушение синаптической пластичности и функциональной активности нейронов. При черепно-мозговой травме (ЧМТ) у пациентов развиваются одновременно деструктивные и репаративные процессы в структурах центральной нервной системы (ЦНС), затрагивающие прежде всего нейроны и глию [1, 2]. Воспалительный ответ, возникающий на первичное структурное изменение мозга, сопровождается высвобождением большого числа регуляторных пептидов: цитокинов (провоспалительного и противовоспалительного характера), нитроксида, протеаз, эйкозаноидов, лизоцима и др. [3]. Цитокины синтезируются активированной макро- и микроглией, поврежденным эндотелием сосудов, а также клетками иммунной системы, мобилизованными из общей циркуляции к очагу повреждения и в соседние с ним области вследствие изменения проницаемости гематоэнцефалического барьера [3—5]. Действие цитокинов тесно связано с физиологическими и патофизиологическими реакциями организма. При этом происходит модуляция как локальных, так и системных механизмов защиты. Одной из важнейших функций системы цитокинов является обеспечение согласованного действия иммунной, эндокринной и нервной системы в ответ на стресс, каковым является ЧМТ. Существенным звеном в реакции мозга на повреждение является изменение метаболизма нейромедиаторов, в том числе серотонина. Нейротрансмиттерные механизмы принимают участие в процессах как формирования, так и разрешения травматического повреждения мозга [2, 6, 7]. Нарушение метаболизма нейромедиаторов — важнейшая особенность патогенеза ЧМТ. Серотонин является одним из основных медиаторов стресслимитирующей системы [8], и оценка изменений его содержания может иметь важное значение в клинической практике. Серотонин обладает широким спектром действия в организме человека, начиная с ранних этапов внутриутробного развития.
В экспериментальных работах показано негативное влияние дефицита серотонина на нервную ткань в критические периоды внутриутробного развития ЦНС [9]. Высказано предположение, что при антенатальной гипоксии замедляется врастание серотонинергических волокон в гиппокамп и кору головного мозга, усиливается дегенерация серотонинергических аксонов и нарушается баланс биогенных аминов в мозге плода и новорожденного ребенка [10]. Экспериментальные работы А.А. Ткаченко [11] выявили, что содержание серотонина в сыворотке крови более лабильно, отличается высокой скоростью реагирования на различные виды воздействий. F. Artigas [12] рассматривает содержание серотонина в плазме периферической крови в качестве показателя, отражающего в определенном смысле концентрацию серотонина во внеклеточном пространстве головного мозга (включая синаптическое). Имеются данные об участии серотонинергической системы в регуляции иммуногенеза. Коммуникация между иммунной и нервной системами происходит в двух направлениях [13]. Рецепторы цитокинов имеются в ЦНС; в свою очередь, рецепторы для нейромедиаторов были идентифицированы в лимфоидной ткани. Это обеспечивает взаимодействие нейроэндокринной и иммунной систем. Если в настоящее время следует считать доказанным вовлечение в травматический процесс иммунокомпетентной системы организма [14, 15], то патогенетическая роль серотонина остается до конца не выясненной.
Цель исследования — изучение содержания серотонина в сыворотке крови и сопоставление полученных результатов с воспалительными маркерами у больных в остром периоде ЧМТ.
Обследованы 72 больных (52 мужчины и 20 женщин) в возрасте от 18 до 62 лет (средний возраст 31,5±13,3 года). Все больные были разделены на три группы в зависимости от степени тяжести полученной закрытой ЧМТ. В 1-ю группу вошли 27 больных с сотрясением головного мозга (СГМ), во 2-ю — 17 с ушибом головного мозга легкой степени тяжести (УГМЛ) и в 3-ю — 28 с ушибом головного мозга средней степени тяжести (УГМС). Группу контроля составили 15 здоровых лиц, не имевших ЧМТ в анамнезе. Группы здоровых и больных были сопоставимы по полу и возрасту.
Всем больным в 1-е сутки от момента ЧМТ (при поступлении в нейротравматологическое отделение) проводились общеклиническое, неврологическое, инструментальное исследования: рентгенография черепа, ЭХО-ЭС, офтальмоскопия, компьютерная томография головного мозга. Для оценки неврологического дефицита были использованы шкала комы Глазго (ШКГ), NIHSS, где каждый неврологический синдром соответствует определенному числу баллов. Для оценки способности к самообслуживанию больных использовался «Индекс независимостей» в сфере повседневной жизни Barthell. У всех обследуемых проводилось психометрическое тестирование с использованием шкалы депрессии Монтгомери—Асберг, госпитальной шкалы тревоги и депрессии, теста Спилбергера—Ханина для определения уровня реактивной и личностной тревожности. Констатация синдрома вегетативной дистонии проводилась по опроснику (субъективная оценка своего состояния) и схеме (объективная оценка признаков вегетативной дисфункции), разработанным в Республиканском центре вегетативной патологии (А.М. Вейн и соавт.). Исследование гуморального серотонина в сыворотке периферической крови и ликворе проводилось методом иммуноферментного твердофазного анализа с использованием набора IBL Serotonin ELISA. Содержание серотонина выражали в нг/мл. Для объективизации выраженности патологических воспалительных процессов применялось иммунологическое исследование содержания фактора некроза опухоли (ФНО) — одного из основных провоспалительных цитокинов и интерлейкина-10 — противовоспалительного цитокина в сыворотке крови и ликворе. Для определения цитокинов использовали твердофазный иммуноферментный метод с помощью тест-систем (ООО «Цитокин», Санкт-Петербург) в соответствии с рекомендациями производителя. Концентрацию цитокинов выражали в пг/мл. Забор крови и ликвора проводили в 1—2-е сутки с момента травмы.
Статистическую обработку результатов проводили при помощи пакета прикладных программ Statistica 6.0 с использованием описательной статистики: определение выборочного среднего (М) и среднего квадратичного отклонения (σ), непараметрических методов (сопоставление независимых групп с использованием критерия Манна—Уитни). Анализ зависимостей осуществляли с помощью рангового коэффициента корреляции (r) Спирмена. При p
Результаты
Больные с ЧМТ предъявляли жалобы, типичные для острого периода ЧМТ, среди которых чаще всего встречались головная боль (82%), утомляемость (69%), головокружение (54%), нарушение сна (35%). При клинико-неврологическом обследовании в большинстве случаев УГМ выявлялись очаговые неврологические и менингеальные синдромы. При исследовании степени сознания по ШКГ выявлено, что уровень сознания у пациентов с УГМ (14,3±1,8 балла) статистически не отличался от такового у больных с СГМ (15,0±0,8 балла). Средний балл по шкале NIHSS составил 2,55±1,88. Уровень статистической значимости различий при оценке неврологического статуса между группой больных с СГМ (0,88±0,8 балла) и группой больных с УГМЛ (3,08±0,9 балла) составил р=0,0001, а между группой больных с УГМЛ и с группой больных УГМС (4,3±1,3 балла) — р=0,009. Степень инвалидизации по шкале Barthell оказалась достоверно (p=0,032) выше у пациентов с УГМЛ (97,5±6,2 балла), чем у больных с СГМ (100 баллов), а у больных с УГМС — 88,46±15,02 балла (р=0,003 по отношению к группе СГМ и р=0,04 по отношению к группе УГМЛ).
По опроснику Спилбергера—Ханина в большинстве случаев регистрировалась умеренная реактивная и легкая личностная тревожность больных. Среднее значение реактивной тревожности составило в группе больных с СГМ 44,7±9,78 балла, с УГМЛ — 45,18±14,12 балла, с УГМС — 47,95±9,64 балла, что значимо (p<0,05) больше, чем в группе контроля (32,5±3,2 балла). Показатели личностной тревожности статистически не отличались (p>0,05) от контрольных (32,7±3,8 балла), а также между группами больных с ЧМТ и составили в группе СГМ 38,74±8,86 балла, УГМЛ — 40,09±9,17 балла и при УГМС — 40,95±10,41 балла. Степень вегетативной дисфункции у больных закрытой ЧМТ по Опроснику и по схеме независимо от степени тяжести не отличалась от показателей контрольной группы и составила в группе больных с СГМ 20,15±14,52 и 22,07±13,09 балла, в группе УГМЛ — 18,83±11,03 и 17,33±11,77 балла, в группе УГМС —15,82±14,21 и 19,45±15,21 балла.
Определение цитокинов в сыворотке крови обнаружило уровень значимости различий содержания интерлейкина-10 у больных с СГМ (6,0±9,9 пг/мл) и УГМС (0,4±1,7 пг/мл; р=0,03). Содержание ФНО в сыворотке крови оказалось статистически достоверно различным (р=0,039) между группами СГМ (5,03±8,72 пг/мл) и УГМС (34,14±24,5 пг/мл). Содержание интерлейкина-10 в ликворе колебалось от 0,0 до 6,3 пг/мл, составив в среднем 2,37±1,2 пг/мл. Среднее количество ФНО в ликворе составило 50,8±17,4 пг/мл. Статистически значимых различий цитокинового профиля ликвора в зависимости от степени тяжести УГМ не обнаружено. Выявлена линейная корреляционная зависимость балльной оценки неврологического статуса и содержания интерлейкина-10 (r=–0,36; p=0,04) и ФНО (r=–0,41; p=0,02) в сыворотке крови. Указанные данные объективизируют выраженность клинических проявлений в зависимости от степени тяжести закрытой ЧМТ.
Изучение содержания сывороточного серотонина в группах больных с различной степенью тяжести ЧМТ выявило следующие закономерности. Уровень серотонина в сыворотке крови у больных с СГМ составил 148,90±59,57 нг/мл, что не отличается (р>0,05) от показателя контрольной группы (187,2±28,9 нг/мл). Концентрация сывороточного серотонина в группе больных с УГМЛ составила 288,63±57,88 нг/мл, что достоверно (р=0,049) превышает показатель у больных с СГМ и здоровых лиц. В группе больных с УГМС показатель исследуемого нейромедиатора увеличился до 331,81±77,14 нг/мл, что достоверно (р=0,029) выше, чем в группе больных с СГМ (рис. 1).

Рисунок 1. Диаграмма размаха содержания серотонина в сыворотке крови у больных с различной степенью тяжести ЧМТ. Среднее значение содержания серотонина в ликворе оказалось равным 21,4±10,7 нг/мл без значимого уровня различий между группами.
При проведении корреляционного анализа выявилась зависимость содержания серотонина в сыворотке крови от вида закрытой ЧМТ (r=0,35; р=0,02). При усилении степени тяжести ЧМТ содержание серотонина в сыворотке крови увеличивается. Уровень гуморального серотонина у больных в остром периоде ЧМТ не зависел от степени психоэмоциональных и вегетативных нарушений. Содержание серотонина в ликворе имело обратную корреляционную зависимость (r=–0,7; р=0,05) с уровнем ФНО в ликворе (рис. 2),
Рисунок 2. Корреляционная зависимость (r=–0,7; р=0,05) содержания серотонина и уровня ФНО в ликворе у больных с ЧМТ. а концентрация серотонина в сыворотке крови прямо пропорционально (r=0,7; р=0,05) зависела от содержания интерлейкина-10 в спинномозговой жидкости (рис. 3). Рисунок 3. Корреляционная зависимость (r=0,7; р=0,05) содержания серотонина в сыворотке крови и уровня интерлейкина-10 в ликворе у больных с ЧМТ. Выраженность неврологических расстройств в нашем исследовании оказала влияние на показатели шкалы Barthell (r=–0,51; р=0,0002).
У больных в остром периоде закрытой ЧМТ различной степени тяжести (СГМ, УГМЛ и УГМС) не выявляется статистически значимых различий в параметрах психоэмоционального и вегетативного статуса. Психовегетативный синдром в остром периоде ЧМТ может рассматриваться как неспецифическая реакция на травматическое и/или стрессовое воздействие. Содержание цитокинов в сыворотке крови и ликворе отражает неспецифические (универсальные, реактивные) воспалительные процессы, характерные для ЧМТ, зависящие от степени тяжести полученного повреждения: наибольшее количество провоспалительного ФНО в сыворотке крови отмечалось у больных с УГМС. У больных с легкой ЧМТ наблюдались статистически достоверно более высокие показатели противовоспалительного интерлейкина-10. Про- и противовоспалительные цитокины сбалансированно взаимодействуют между собой и закономерно коррелируют с выраженностью неврологических проявлений, объективизируя степень тяжести ЧМТ. Содержание серотонина в сыворотке крови прямо пропорционально зависит от уровня противовоспалительного интерлейкина в ликворе, а содержание серотонина в ликворе находится в отрицательной корреляционной зависимости с уровнем ФНО в спинномозговой жидкости. Показатели содержания серотонина в сыворотке крови могут служить диагностическим маркером степени тяжести ЧМТ и применяться в 1-е сутки после травмы для дифференциальной диагностики СГМ и УГМ. Корреляционный анализ показал, что серотонин у пациентов с УГМ легкой и средней степени тяжести можно рассматривать как медиатор, участвующий в противовоспалительных механизмах защиты головного мозга. Исследование нейротрансмиттера серотонина и профиля цитокинов в остром периоде закрытой ЧМТ представляет теоретический и практический интерес, поскольку позволяет оценить степень повреждения нервной ткани, прогнозировать исход, риск развития воспалительных осложнений и активность репаративных процессов в структурах центральной нервной системы.
Комментарий
В настоящее время общеизвестно, что в патогенезе черепно-мозговой травмы принимают участие все основные нейромедиаторные системы головного мозга. В частности, в остром периоде травмы мозга наблюдается избыточный выброс всех нейромедиаторов, причем наиболее опасным является выброс избыточного количества глутамата, запускающего механизмы эксайтотоксичности. Полученные рядом авторов экспериментальные и клинические данные позволяют предположить, что избыток ацетилхолина, дофамина и серотонина в острый период черепно-мозговой травмы коррелирует с ухудшением исхода. Влияние избытка моноаминергических нейротрансмиттеров на цитотоксические процессы малоизучено. Однако на экспериментальных моделях травмы показано, что повышение содержания серотонина приводит к снижению потребления глюкозы, усилению процессов эксайтотоксичности, а применение большинства агонистов серотониновых рецепторов (за исключением селективных агонистов рецепторов 5HT1А) не улучшает исход травмы. Последнее косвенно свидетельствует в пользу негативной роли избытка серотонина в патогенезе травматической болезни мозга. Избыточное количество нейромедиаторов постепенно снижается в течение первых недель после травмы, однако точные временные рамки этого процесса, тем более при разной-степени тяжести травмы, пока не определены.
Серотонинергическая система, наряду с норадренергической, дофаминергической и холинергической, входит в состав нейромодуляторных систем, которые играют важнейшую роль в процессах адаптивного поведения.
В частности, серотонинергическая система активируется в ответ на стресс или угрожающий стимул. Причем из экспериментальных работ известно, что при невыраженном (контролируемом) стрессе гиперактивация дорсального ядра шва (центра серотонинергической системы в продолговатом мозге) может блокироваться префронтальной корой лобных долей мозга, чего не происходит при выраженном стрессе. С этих позиций выявленная в настоящей работе зависимость между уровнем серотонина в сыворотке крови в остром периоде и тяжестью черепно-мозговой травмы вполне патофизиологически оправдана и представляет не только практический, но и научный интерес. Следует отметить, что, к сожалению, авторами приводится мало сопоставлений результатов своей работы с данными зарубежных исследований.
Немаловажной заслугой авторов является изучение нейроиммунных взаимодействий, что является достаточно сложной и малоизученной проблемой. Известно, что острый стресс сопровождается не только повышением в крови уровня катехоламинов и кортизола, но и выбросом из тромбоцитов серотонина, активацией гуморального иммунитета (ThII) с увеличением количества В-лимфоцитов и естественных киллеров и повышением уровня интерлейкинов-4—6, 10. В данной работе авторами были получены интересные результаты о корреляции между уровнем серотонина в сыворотке крови и уровнем противовоспалительного интерлейкина-10 в ликворе, а также между уровнем серотонина в ликворе и концентрацией ФНО в ликворе при травме легкой и средней степени тяжести. Выявленные особенности позволяют сделать предположение, что уровень серотонина может отражать выраженность и направленность нейровоспалительной реакции в ответ на травму.
Таким образом, данная работа является современной, затрагивает актуальную и малоизученную проблему нейроиммунных взаимодействий при черепно-мозговой травме различной степени тяжести.
Ушиб среднего уровня головного мозга. Признаки ушиба среднего мозга
Сразу после травмы отмечают умеренное полнокровие вен н обычное кровенаполнение мелких артерии, артериол и капилляров. Иногда обнаруживают отдельные мелкие кровоизлияния. Одни из них располагаются около вен и венул, имеют вид небольших полулуний, состоят из плазмы и эритроцитов, глиально-сосудистая мембрана сохранена; эти геморрагии являются, по-видимому, следствием острого кратковременного вазопаралича.
Другие представлены небольшим периваскулярным скоплением неизмененных эритроцитов, которые проникают в мозговую ткань в виде «языков» или «лучей», глиально-сосудистая мембрана повреждена. У края такого экстравазата видна сдавленная артериола или прекапилляр с сохраненной структурой стенки. Это геморрагии ректического генеза, их обнаруживают на ограниченном участке, главным образом в зоне проводниковых систем и редко в ядрах ствола.
Реже в центральном сером веществе водопровода и покрышке моста можно встретить очень мелкие скопления эритроцитов. Это геморрагии агонального происхождения, они наблюдаются не только при травме, но и при других причинах смерти.
Через 4—6 ч в мелких артериях имеется небольшая дистония. Вены полнокровны, особенно срединные; в них отмечают стазы и небольшие перивенозные плазморрагии. Капилляры обычного кровенаполнения. Отдельные группы периваскулярных и перифасцикулярных олигодендроглиоцитов в состоянии умеренного отека. Через 1—2 сут венозное полнокровие сохраняется, находят расслоение крови на форменные элементы и плазму, а в единичных венах — лейкостаз.

В артериях нарастает дистония; она наиболее выражена между красными ядрами среднего мозга и в области медиальной петли и шва базального отдела моста. В проводниковых системах преобладают капилляры с неразличимым просветом. Вокруг полнокровных вен увеличивается число отечных периваскулярных и перифасцикулярных олигодендроглиоцитов, появляется небольшая спонгиозность (сетчатость) мозговой ткани. Астроцитарная глия и моторные невроциты без изменений.
В невроцитах чувствительных ядер и сетчатой субстанции более или менее выражено острое набухание и отек, однако структура клеток сохранена достаточно хорошо.
К началу 3-х суток в артериях н капиллярах преимущественно центральных отделов ствола отмечают участки гиперемии. В последующем она не имеет тенденции к повсеместному распространению. Диапедезные геморрагии относительно редки. В сетчатой субстанции наряду с острым набуханием находят единичные нервные клетки, измененные по пшемическому типу, а также сморщенные гиперхромные и реже — в состоянии тяжелого заболевания с образованием клеток-теней. Эти изменения обусловлены длительной сосудистой дистонией.
Вокруг ректических геморрагий имеется небольшое скопление макрофагов, нагруженных бурым пигментом, и клеток лимфоидного типа.
В среднем уровне ствола характерной локализацией ушибов являются боковая поверхность ножек мозга, передние бугорки четверохолмия, реже базальная поверхность моста и верхний червь. Под микроскопом очаги ушиба представлены скоплением небольших полиморфных очагов кровоизлияний и гематом, иногда с мелкими петехиями вокруг. В первые часы вокруг них изменения не выражены.
К концу первых суток можно отметить небольшие сосудистые изменения и группы отечных олигодендроглиоцптов. Следует подчеркнуть, что при ушибе ствола наблюдают более выраженную морфологию вторичных сосудистых и тканевых изменений и их более раннее развитие.
Читайте также:
- Лучевые признаки дефекта межжелудочковой перегородки (ДМЖП) сердца плода
- Препараты расширяющие и сужающие зрачок
- Варианты доброкачественных опухолей яичников
- Паракортикальная зона лимфатического узла. Мозговые тяжи и синусы лимфатического узла.
- Показания к экстренной холецистэктомии. Острый холецистит при циррозе печени.
