Невринома слухового нерва: причины, симптомы и лечение
Добавил пользователь Евгений Кузнецов Обновлено: 23.11.2025
Невринома слухового нерва — это доброкачественная, медленно растущая опухоль головного мозга. Опухоль развивается из оболочки слухового нерва (VIII пара черепно-мозговых нервов), идущего от ствола мозга к вестибуло-слуховому аппарату. Этот нерв обеспечивает слух и поддержание равновесия.
Невриномы слухового нерва растут довольно медленно. Эта опухоль имеет и другие названия (акустическая невринома, акустическая шваннома, акустическая неврома, неврома слухового нерва, вестибулярная шваннома), но все они означают одно – доброкачественную опухоль слухового нерва. Однако симптомы, которыми проявляется данное новообразование в организме, в большинстве случаев означает, что пациенту требуется лечение акустической невромы.
Чаще употребляется термин «невринома». Терминами «неврома» и «шваннома» обозначают медленно развивающиеся доброкачественные опухоли, которые присоединяются к любому нерву в теле.
Причина возникновения невриномы слухового нерва неизвестна. Очень часто невриномы сопровождают болезнь Реклингхаузена (нейрофиброматоз). Часто эти опухоли могут никак не проявляться до тех пор, пока размер опухолей существенно не увеличится. Когда опухоли затрагивают нервы — боль становится индикатором заболевания.
Лечение акустической невромы
Хирургическое вмешательство для удаления невриномы слухового нерва сопряжено со значительными рисками: как в плане готовности организма перенести радикальное лечение и восстановление после него, так и с возможными последствиями традиционной нейрохирургии, связанными с повреждением функциональных тканей головного мозга в процессе доступа к удаляемой акустической невриноме.
Наиболее прогрессивным методом лечения невриномы слухового нерва (акустической невромы), учитывая небольшие размеры данной опухоли, является бесконтактная радиохирургия на КиберНоже, позволяющая разрушить клетки опухоли, не прибегая к операции.
Лечение невриномы на системе КиберНож

Радиохирургическая система КиберНож (CyberKnife G4)
КиберНож действует дистанционно, без контакта с кожей, без нарушения целостности тканей организма, при радиохирургическом лечении не требуется применение анестезии. Именно поэтому во всем мире радиохирургическое лечение акустической невриномы является предпочтительным в большинстве случаев. Наиболее точным из методов радиохирургии невриномы слухового нерва является КиберНож.
В процессе подготовки лечения на КиберНоже с помощью средств инструментальной диагностики формируется пространственная модель взаимного расположения опухоли и здоровых тканей, которая и будет являться тем объемом, в котором с помощью многочисленных отдельных тонких лучей ионизирующего излучения будет сформирована разрушающая акустическую невриному доза излучения. За доставку дозы отвечает высокоточный программно-аппаратный комплекс, который действует строго по заданному плану лечения, что позволяет максимально защитить здоровые ткани от облучения и равномерно подать значительную дозу в объем акустической невриномы.

Акустическая неврома (невринома слухового нерва): план радиохирургического лечения на КиберНоже. Красным цветом выделен объем опухоли — сюда будет подана максимальная доза ионизирующего излучения
В отдельных случаях может быть показано нейрохирургическое вмешательство. Часто нейрохирургическая операция может быть дополнена лучевой терапией объема опухоли, который не может быть удален без значительного риска. Также, лучевое лечение акустической невромы может применяться в виде самостоятельного метода.
Лучевая терапия IMRT в лечении невриномы

Линейный ускоритель Elekta
Учитывая небольшие размеры такой опухоли как акустическая невринома, точность подведения дозы имеет решающее значение для исключения прогрессирования опухоли и сохранения окружающих ее здоровых тканей. Наиболее эффективным является лучевое лечение по принципу IMRT (моделированная по интенсивности лучевая терапия), базирующееся на системе 3D-визуализации (IGRT).
В отличии от линейных ускорителей устаревшей конструкции, такая система позволяет доставить требуемую дозу ионизирующего излучения точно в объем опухоли, не задевая при этом соседствующие с образованием здоровые ткани. Тем самым достигается повышение разовой дозы излучения, что позволяет сократить количество сеансов, а значит и время лечения.
План лучевого лечения рассчитывается на мощном компьютере, а процедура лечения предусматривает многоуровневый контроль качества лечения со стороны медицинского физика, лучевого терапевта и лечащего врача. Кроме эффективности, преимуществом лучевого лечения при акустической невроме является отсутствие необходимости в наркозе.
Альтернативные методы лечения
Современные методики лучевого лечения позволяют использовать для лечения опухолей головного мозга КиберНож, Гамма-нож и линейные ускорители, в которых применяется принцип подведения в опухоль высокой дозы ионизирующего излучения, которое приводит к разрушению опухоли без нарушения целостности биологических тканей.
Не все из этих способов лечения являются полностью неинвазивными — Гамма-нож, требует обеспечить жесткое крепление металлической рамы винтами к костям черепа. Кроме того применение Гамма-Ножа ограничено ввиду того, что акустические невромы имеют форму отличную от шарообразной зоны, в которой Гамма-Нож может сформировать равномерную дозу излучения. Эта особенность грозит неполному облучению опухоли, либо к подаче высокой дозы на здоровые части головного мозга.
По этой причине в мировой практике для лечения акустической невромы чаще используются лучевая терапия и радиохирургия на КиберНоже.
Диагностика
При отсутствии достаточно чувствительных и точных методов диагностики невринома обычно диагностируется лишь при достижении ею существенных размеров. Рентгенологическое исследование не является информативным для диагностики шванном, поскольку шванномы на рентгеновском снимке не видны. Рентгеновское исследование указывает на то участвует ли костная ткань в образовании опухоли. Для диагностики также часто осуществляют МРТ головного мозга, УЗИ и биопсию опухоли.
Факторы риска:
- возраст: от 30 до 60 лет (средний возраст — 50 лет);
- в анамнезе — нейрофиброматоз 2-го типа (только для двусторонних неврином, которые очень редки)
- пол: невринома слухового нерва чаще встречается у женщин.
Первые симптомы:
- постепенная потеря слуха на одно ухо наряду с нормальным слухом в другом ухе;
- ослабление возможности распознавать звук, особенно при разговоре по телефону (многие пациенты жалуются, что, разговаривая по телефону, они не могут разобрать значения слов собеседника);
- звон и свист в пострадавшем ухе
Симптомы растущей шванномы могут быть болезненным или полностью безболезненными. Некоторые пациенты чувствуют ощущения подобные небольшому электрическому шоку, когда область опухоли пальпируется. Часто неврологические проблемы не возникают, если опухоль не разовьется около ключевого моторного или сенсорного нерва, как, к примеру, опухоль во внутреннем ухе.
Когда невринома слухового нерва постепенно увеличивается в размерах – симптоматика расширяется:
Невринома слухового нерва (вестибулярная шваннома)
Невринома слухового нерва — редкая доброкачественная опухоль. Она медленно растет из-за перепроизводства клеток оболочек нерва: шванновские клетки поэтому другое ее название — вестибулярная шваннома. Шванновские клетки обычно окружают нервные волокна и поддерживают их.
Опухоль небольших размеров раздражает слуховой нерв и вестибулярный нерв (воспринимающий изменения положения головы и тела в пространстве). При этом у больного человека может появиться шум в ухе, или нарушения координации походки. Когда опухоль достигает больших размеров она способна сдавить эти нервы в жестком костном канале внутреннего уха из-за чего слух снижается иногда до полной утраты. Сам больной долгое время этого может не замечать, так как опухоль растет годами и человек привыкает слышать другим ухом. Большая опухоль может давить на лицевой нерв, растягивая его и вызываю асимметрию лица. Потенциально опасна ситуация, когда опухоль больших размеров сдавливает ствол мозга. Это тот отдел мозга, где расположены жизненно важные структуры, которые контролируют дыхание и частоту сердечных сокращений. Эта ситуация угоржает жизни больного человека.
Существует 2 типа неврином слухового нерв:
1) Односторонние невриномы. Это наиболее распространенный тип. Эта опухоль может развиться в любом возрасте. Чаще всего это происходит в возрасте от 30 до 60 лет. В настоящий момент нет доказательств того, что травмы, пользование мобильным телефоном или другие факторы окружающей среды вызывают односторнние невриномы слухового нерва.
2) Двусторонние невриномы слухового нерва. При этом опухоль поражает нервы с двух сторон. Это заболевание передается по наследству и вызвано генетической проблемой, называемой нейрофиброматозом 2 типа.
- Потеря слуха на одно ухо, не слышны высокие звуки
- Звон в ухе на стороне опухоли
- Головокружение
- Проблемы с балансом или неустойчивость
- Онемение лица и покалывание с возможной, хотя и редкой, асимметрией мышц лица
- Симптомы невриномы слухового нерва могут выглядеть как другие состояния или проблемы со здоровьем. Всегда необходимо консультироваться с врачом для постановки диагноза.
Как диагностируется невринома слухового нерва (вестибулярная шваннома)?
Поскольку симптомы этих опухолей напоминают другие болезни уха, их может быть трудно диагностировать. Предварительные диагностические процедуры включают осмотр ушей и проверку слуха. Компьютерная томография (КТ) и магнитно-резонансная томография (МРТ) помогают определить местоположение и размер опухоли.
Проверка слуха (аудиометрия): проверка функции слуха, которая измеряет, насколько хорошо пациент слышит звуки и речь, обычно является первым тестом, выполняемым для диагностики невриномы.
Сканирование головы: если другие тесты показывают, что у пациента может быть вестибулярная шваннома, для подтверждения диагноза используется магнитно-резонансная томография (МРТ). МРТ использует магнитные поля и радиоволны, а не рентгеновские лучи для создания подробных изображений мозга. Томография показывает «срезы» мозга, которые можно объединить для создания трехмерного изображения опухоли. Часто пациенту вводят контрастный краситель. Опухоль впитывает больше красителя, чем нормальная ткань мозга, и будет четко видна на сканировании. МРТ обычно показывает опухоль во внутреннем слуховом проходе.
Лечение неврином слухового нерва (вестибулярных шванном)
Эти опухоли часто можно полностью удалить хирургическим путем. Однако многие из них настолько малы, что могут не нуждаться в немедленном лечении.
Лечение невриномы слухового нерва зависит от размера опухоли и возраста пациента, общего состояния здоровья и предпочтений самого больного и может включать хирургическое вмешательство, радиохирургию и иногда наблюдение.
Микрохирургическое удаление является основной методикой для всех опухолей среднего и большого размера, а также опухолей увеличивающихся при повторных сканированиях. Часто опухоль удалима полностью. Но иногда с целью сохранения сращенного с опухолевой капсулой лицевого нерва хирург оставляет фрагмент капсулы. Риски того, что опухоль вновь вырастет не превышают 5-10%
Операция проводится под наркозом (общей анестезией). Кожный разрез, выполняемый позади ушной раковины, не заметен, а трепанация не оставляет дефектов в костях черепа.
Каковы риски операции?
Каждый случай индивидуален, для некоторых людей риски будут низкими, а для других — более высокими. Хирурги подробно это обсуждают с каждым пациентом, прежде чем продолжить лечение. Ниже перечислены некоторые из возможных рисков.
1) Потеря слуха на стороне опухоли
2) Слабость лица из-за повреждения лицевого нерва. Лицевой нерв очень легко повредить, потому что он очень маленький и часто растягивается опухолью. Растяжение или нарушение лицевого нерва могут вызвать слабость мышц лица. В очень редких случаях, обычно когда опухоль большая и ее трудно удалить, может развиться необратимый паралич лицевого нерва. Существуют различные хирургические процедуры для восстановления некоторых движений, таких как закрытие глаз и улыбка.
3) Потеря чувствительности или онемение лица на стороне опухоли
4) Нарушения баланса
Другой вариант лечения — радиохирургия, при которой используется тщательно сфокусированное излучение для ограничения роста опухоли. Облучение как правило выполняется на аппаратах Гамма-нож или Кибер-нож. Эта методика применима не для всех случаев: важным ограничением служит большой размер опухоли .
Для некоторых медленно растущих неврином слухового нерва может быть приемлемым наблюдение с отсроченным принятием решения. Это распространенный вариант лечения для пожилых или ослабленных пациентов с легкими симптомами, когда риски хирургического лечения могут быть выше и в тех случаях когда опухоль может не расти в течение их жизни.
Что необходимо знать?
Это доброкачественные опухоли, которые влияют на слух и равновесие, когда сдавливают нервы во внутреннем ухе. Оба термина «невринома слухового нерва» и «вестибулярная шваннома» означают одно и то же. Это редкая опухоль, которая часто поражает людей среднего возраста. Невринома слухового нерва (вестибулярная шваннома) диагностируется с помощью тестов на слух и при сканировании головного мозга (магнитно-резонансная томография, компьютерная томография).
Лечение может включать наблюдение (наблюдение и ожидание), операцию или облучение.
Лечение невриномы слухового нерва
Невринома слухового нерва: симптомы, стадии, диагностика, лечение

Невринома (шваннома) – доброкачественная опухоль, образующаяся из шванновских (вспомогательных) клеток нервной ткани. Опухоль такого характера может поражать оболочки нервов любой области тела или органа (например, позвоночника, подошвы стопы, головного мозга, желудка, шеи и др.), но чаще всего она локализуется в клетках слухового нерва. По сути, невринома слухового нерва (НСН) – это доброкачественное образование черепно-мозговых нервов. Оно имеет вид узла овальной или неправильной формы, покрытого капсулой из соединительной ткани.
Природа образования данной патологии неизвестна, но существует предположение причины риска заболевания: нейрофиброматоз. Это группа наследственных заболеваний, характеризующихся развитием многочисленных опухолей в оболочках нервов.
Симптомы акустической невриномы
- Звон в ушах.
- Одностороннее снижение слуха.
- Дезориентация в пространстве, головокружение.
- Головная боль.
- Ощущение онемения лицевых мышц.
Опухоль вызывает сдавление черепно-мозговых нервов, что вызывает лицевую и головную боль и провоцирует снижение слуха.
Стадии НСН
- Первая стадия. Размеры опухоли – 2-2,5 см. Симптомы стадии: одностороннее снижение слуха, утрата вкуса, легкий парез лица.
- Вторая стадия. Размер опухоли с грецкий орех. Симптомы: спонтанный нистагм , нарушение вестибулярной функции.
- Третья стадия. Образование достигает размера куриного яйца и жестко сдавливает головной мозг, повышая внутричерепное давление. В результате нистагм проявляется в тяжелой форме, развивается гидроцефалия и ухудшается зрение.
Невринома слухового нерва проявляется на ранних этапах развития, поэтому, как правило, заканчивается успешной реабилитацией.
Диагностика
- МР-томографию головного мозга;
- акустические стволовые вызванные потенциалы мозга (АСВП);
- КТ (компьютерную томографию);
- рентгенографию;
- аудиометрию;
- электрокохлеографию.


Лечение
На начальных стадиях проводится оперативное лечение – удаление опухоли хирургическим путем. После операции пациенты полностью работоспособны. Современной альтернативой такому инвазивному методу является метод «гамма-нож». Суть метода заключается в удалении опухоли гамма-лучами. На голову пациента надевается специальный шлем, и с помощью магнитно-резонансной томографии хирурги ориентируются, куда сконцентрировать гамма-лучи.
В далеко зашедших стадиях невриномы возможно лишь паллиативное лечение.
Невринома слухового нерва: симптомы, диагностика, лечение
Невринома (она же – шваннома, шванноглиома, периневральная лимфобластома, леммобластома, неврилеммома) – это доброкачественная опухоль, которая развивается из нервных клеток и, соответственно, растёт на нерве. Невринома слухового нерва обычно развивается на вестибулярной ветви слухового нерва, реже – на улитковой.
Это заболевание составляет 11-12% от всех случаев внутричерепных опухолей. Чаще всего развивается в возрасте 30-50 лет и поражает преимущественно женщин. Невринома слухового нерва у детей до полового созревания не встречается либо такие случаи исключительны.
Причины, по которым может развиться невринома слухового нерва
Точных данных о причинах, которые провоцируют развитие опухоли нет, однако известно, что невринома – это признак такого наследственного заболевания, как нейрофиброматоз. Эта болезнь выражается в формировании доброкачественных опухолей из оболочек нервов, а потому может развиться в абсолютно любой части тела. Если ген, носящий данное заболевание, присутствует у обоих родителей, то наследственная отягощённость по нейрофиброматозу составляет 50%.
Симптомы невриномы слухового нерва

У шванномы слухового нерва существует три стадии развития. В зависимости от стадии (т.е., размера опухоли) отличаются и симптомы.
1 стадия
Размеры опухоли составляют 2-2,5 см в диаметре. У больного наблюдается
- снижение остроты слуха,
- постоянный шум или звон в ушах (тиннитус),
- воспаление слухового нерва,
- онемение лица со стороны опухоли,
- парез лицевого нерва,
- нарушение глотания и артикуляции,
- возможны изменения вкуса или его потеря.
Поражение вестибулярного аппарата ведёт к нарушению координации движений. Иногда больной может полностью потерять слух на «больное» ухо уже на первой стадии.
2 стадия
Размеры опухоли достигают грецкого ореха. Симптоматика первой стадии нарастает. В большинстве случаев больной теряет слух, а нарушения координации существенно мешают жизнедеятельности. Сдавливание опухолью ствола мозга приводит к нарушению формирования рефлексов, работы глазодвигательных нервов (что выражается в нистагме) и даже к изменениям поведения больного.
3 стадия
Опухоль достигает размеров куриного яйца. Все вышеперечисленные симптомы невриномы усиливаются. Грубое сдавливание ствола мозга ведёт к гидроцефалии с соответствующими симптомами (например, сильными головными болями, частой тошнотой и рвотой, постоянной слабостью, нарушениями сознания). Также за счёт гидроцефалии может начаться сдавливание затылочной доли и расположенного в ней зрительного анализатора, что провоцирует нарушения зрения (в первую очередь развивается диплопия). Нередко невринома слухового нерва третьей степени провоцирует нарушения психики (психозы). Если опухоль сдавливает участки, где расположены дыхательный и сосудодвигательный центры – это может привести к смерти больного.
Невринома слухового нерва – это медленнорастущая опухоль, а потому первые симптомы, на которые человек обратит внимание, могут появиться лишь через несколько лет с момента начала роста опухоли. Также проявление симптоматики очень зависит от расположения невриномы на слуховом нерве – чем ближе к стволу мозга расположится опухоль, тем ярче и быстрее она себя проявит. К тому же, шваннома на улитковой части нерва в первую очередь проявляется в нарушении слуха, а на вестибулярной – в нарушении координации движений.
В некоторых случаях случайно обнаруженная невринома настолько мала, что не доставляет дискомфорта пациенту, а потому в её лечении не настаивают, но требуют периодически контролировать.
Диагностика невриномы слухового нерва

Обычно жалобы на нарушения слуха или координации движений появляются у больного лишь по достижению опухоли довольно крупных размеров. Случайно невриному можно обнаружить при МРТ головного мозга, назначенном для диагностики какого-либо другого заболевания. С помощью рентгенографии шванномы определить невозможно, только если опухоль затронула и костные структуры. Для целенаправленной диагностики невриномы назначают:
- аудиограмму
- МРТ или компьютерную томографию (зарегистрирует новообразование от 1,5 см)
- УЗИ уха
- слуховой тест на реакцию ствола мозга
- электронистагмографию
- биопсию опухоли
Лечение невриномы слухового нерва
В медицине существует три тактики лечения невриномы: выжидательная тактика, лучевая терапия и хирургическое лечение. Лечением больного с невриномой занимаются отоларинголог и хирург.
Наблюдение за опухолью
Обычно используется в случаях, когда невринома была обнаружена случайно и пока не беспокоит пациента. Такое состояние может длится много лет. Задача ЛОР-врача и больного – регулярно контролировать уровень слуха и неотложно реагировать на его снижение, появление ушных болей или нарушение координации движений.
Лучевая терапия
Местное облучение опухоли, призванное остановить её рост. Такой метод удобнее, чем хирургическое вмешательство, так как позволяет «усыпить» опухоли, находящиеся в труднодоступных местах и не поддающиеся обычному хирургическому вмешательству. Среди побочных эффектов – тошнота, боль в шее, в месте, где устанавливалась стереотаксическая рамка при лечении гамма ножом.
Хирургическое лечение
Для удаления опухоли требуется проведение трепанации черепа, поэтому восстановительный период может занимать от полугода до года. Также существует риск кровотечения, инфицирования или последствий общей анестезии, как и после любого оперативного вмешательства.
Последствия, прогноз, профилактика
Общие прогнозы по невриноме положительные. За счёт того, что опухоль растёт крайне медленно, первые годы можно придерживаться выжидательной тактики. Операция по удалению шванномы также не является слишком сложной, и если опухоль расположена в удобном для хирургического вмешательства месте, то её можно полностью удалить, без каких-либо негативных последствий для организма.
В отдельных редких случаях, как после операции, так и после облучения, перспективе может развиться парез лицевого нерва и снижение слуха. В то же время нелеченная невринома слухового нерва может привести к опасным состояниям, вплоть до психического расстройства и даже летального исхода. Поэтому при любых болезненных ощущениях в ушах либо жалобах на нарушение работы вестибулярного аппарата, обращайтесь к отоларингологу либо неврологу.
Невринома слухового нерва - симптомы и лечение
Что такое невринома слухового нерва? Причины возникновения, диагностику и методы лечения разберем в статье доктора Касаткина Дениса Сергеевича, нейрохирурга со стажем в 11 лет.
Над статьей доктора Касаткина Дениса Сергеевича работали литературный редактор Маргарита Тихонова , научный редактор Сергей Федосов и шеф-редактор Лада Родчанина
Определение болезни. Причины заболевания

Данная опухоль составляет 82 % всех опухолей мостомозжечкового угла, 7 % всех внутричерепных опухолей и до трети опухолей задней черепной ямки. В год невриному обнаруживают примерно у одного человека на 100 тысяч населения. В 97 % случаев опухоль локализуется только с одной стороны. У остальных пациентов — поражение двустороннее [1] .
Невриномы слухового нерва возникают в 40-50 лет. Более часто они встречаются у женщин, чем у мужчин: примерно 3:2 [1] .
Впервые невриному описал Голландский анатом E. Sandifort в 1777 году, как "небольшое патологическое образование, прилежащее к слуховому нерву". Оно было выявлено у пациента, страдавшего глухотой. Позднее, в 1822 году J. Wishart, хирург из Шотландии, при вскрытии больного описал случай двусторонней опухоли вестибулокохлеарных нервов у пациента, страдавшего тугоухостью на оба уха, приступами головной боли и параличом лицевого нерва.
Наибольший вклад в изучение проблемы лечения вестибулярных шванном сделал американский нейрохирург H.Cushing. Он снизил летальность c 80 % до 10 %. Позднее его коллега из Швейцарии M.G. Yasargil внедрил технику работы с операционным микроскопом, разработал микронейрохирургические инструменты. Это позволило более безопасно и радикально удалять опухоли, сохраняя при этом ствол головного мозга, смежные черепно-мозговые нервы и сосудистую структуру [2] .
Причиной появления невриномы, чаще двусторонней, может быть нейрофиброматоз II типа — распространённая наследственная болезнь, которая предрасполагает к возникновению опухоли, а также наследственная генетическая мутация в 22-ой хромосоме.
Риск развития невриномы увеличивают:
- действие ионизирующего излучения;
- гормональный фон;
- агрессивные факторы внешней среды — жизнь в местности, загрязнённой промышленными отходами, продуктами сгорания авиационного топлива и пр.;
- неправильное питание [4][11] .
К примеру, беременность или облучение прямыми солнечными лучами могут ускорить рост опухоли и спровоцировать появление первых симптомов болезни.
При обнаружении схожих симптомов проконсультируйтесь у врача. Не занимайтесь самолечением - это опасно для вашего здоровья!
Симптомы невриномы слухового нерва
Первые признаки заболевания:
- Расстройства слуха — шум или звон в ухе, волнообразное, постепенно нарастающее, иногда острое снижение слуха [13] . Чаще эти симптомы связаны с поворотом головы головокружением, иногда со спонтанным нистагмом — непроизвольным ритмичным движением глаз из стороны в сторону.
- Поражение лицевого нерва — негрубая слабость мимических мышц на стороне опухоли, усиленное слезотечение [14] , изменение вкусовых ощущений на передней 2/3 поверхности языка из-за воздействия на барабанную струну, которая отходит от лицевого нерва.
- Поражение тройничного нерва свидетельствует о большом размере опухоли. Первый признак такого нарушения — угнетение роговичного рефлекса (нарушение смыкания век при прикосновении к роговице). В дальнейшем развивается покалывание языка [14] , гипестезия на лице (потеря чувствительности) или тригеминальная невралгия — мучительные стреляющие боли в половине лица.
В дальнейшем могут появиться симптомы поражения черепных нервов каудальной группы:
- языкоглоточного нерва — нарушение вкусового восприятия на задней трети языка, снижение чувствительности слизистой верхней части глотки, дисфагия (нарушение глотания пищи);
- блуждающего нерва — асимметрия мягкого нёба, дисфония (голос становится хриплым) [14] ;
- добавочного нерва — слабость и гипотрофия трапециевидной и грудино-ключично-сосцевидной мышц;
- подъязычного нерва — атрофия мышц языка на стороне опухоли.

Появление тех или иных симптомов зависит от размеров опухоли и стадия её развития. Дальнейший рост невриномы ведёт к компрессии (сдавлению) 4-го желудочка и ствола головного мозга, появляются симптомы, связанные с увеличением внутричерепного давления. Например, пациент с большой опухолью может жаловаться на слабость в конечностях, асимметрию лица, тошноту, рвоту головокружение, глухоту на одно ухо.
Ниже в таблице представлена частота встречаемости неврологических симптомов невриномы слухового нерва [4] .
Патогенез невриномы слухового нерва
Увеличиваться опухоль может в двух направлениях: в сторону слухового прохода и в сторону мостомозжечкового угла. От направления роста зависит, какие органы и нервы будет сдавливать опухоль при дальнейшем увеличении: мозжечок, лицевой, тройничный или каудальная группа черепных нервов [16] .

Рис. Схематичное изображение роста невриномы слухового нерва из внутреннего слухового прохода в заднюю черепную ямку со сдавление ствола головного мозга.
Макроскопически опухоль представляет собой бугристую серую сферу неправильной формы. Она не прорастает в ткань мозга и часто в своей структуре имеет вкраплённые кисты, заполненные жидкостью. Обычно растёт медленно — по 2-5 мм в год — и даёт о себе знать, когда достигает больших размеров.

По данным патоморфологических исследований выделяют два основных типа опухоли:
- Антони А — клетки опухоли формируют группы с вытянутыми ядрами;
- Антони В — различные узоры звездообразных клеток и их длинных отростков [5] . Обычно этот тип встречается при больших невриномах. Считается, что они возникает в результате ишемии [14] .

Симптомы и жалобы при вестибулярной шванноме обусловлены четырьмя основным процессами:
- компрессия сосудов головного мозга, которая ведёт к инсульту;
- поражение черепных нервов;
- сдавление и смещение ствола головного мозга;
- сдавление 4-го желудочка [3] .

Классификация и стадии развития невриномы слухового нерва
Все классификации и стадии невриномы слухового нерва учитывают размер опухоли и её положение относительно ствола головного мозга [6] . Активно во врачебной практике используются классификации W. Koos и M. Samii. Они позволяют определить тактику лечения.
Стадии роста невриномы по W. Koos:
- I стадия — опухоль до 10 мм, не выходит за пределы внутреннего слухового прохода;
- II стадия — опухоль до 20 мм, расширяет внутренний слуховой проход и выходит в мостомозжечковый угол;
- III стадия — опухоль до 30 мм, достигает ствола головного мозга, но не сдавливает его;
- IV стадия — опухоль больше 30 мм, сдавливает ствол головного мозга [15][17] .

Классификация невриномы слухового нерва по M. Samii:
- Т1 — опухоль, расположенная во внутреннем слуховом проходе;
- Т2 — опухоль, растущая из внутреннего слухового прохода;
- Т3а — опухоль, заполняющая цистерну мостомозжечкового угла;
- Т3b — опухоль, достигающая ствола головного мозга;
- Т4а — опухоль, сдавливающая ствол;
- Т4b — опухоль, грубо деформирующая ствол мозга и 4-й желудочек.
Также можно выделить четыре стадии клинического течения болезни:
- отиатрическая стадия — шум или глухота на одно ухо;
- отоневрологическая стадия — присоединяются поражения тройничного и лицевого нервов на стороне опухоли;
- гипертензионно-гидроцефальная стадия — на этой стадии болезни пациент отмечает головные боли, появляется тошнота, рвота;
- бульбарная стадия — добавляется дизартрия, дисфагия, дисфония.
Осложнения невриномы слухового нерва
Наиболее распространённым осложнением невриномы является односторонняя нейросенсорная тугоухость: с ростом опухоли человек полностью теряет слух. Также часто страдает лицевой нерв, из-за чего развивается односторонний паралич мимической мускулатуры.

Чем больше размер опухоли, тем выше риск поражения каудальной группы черепных нервов. Это может привести к такому опасному для жизни осложнению, как бульбарный синдром — паралич мышц, которые иннервированы каудальной группой нервов (языкоглоточного, блуждающего и др.). Он может привести к тому, что человек не сможет самостоятельно питаться через рот.
Когда опухоль начинает сдавливать ствол головного мозга, развиваются симптомы поражения пирамидного тракта — нарушается походка, возникает слабость в конечностях, параличи и парезы. А при сдавливании водопровода головного мозга может развиваться гидроцефалия. Если на этой стадии болезни не выполнить хирургическое лечение, дальнейшее компрессия ствола головного мозга приводит к смерти пациента из-за поражения дыхательного цента и ретикулярной формации — всей оси ствола головного мозга [7] .
Невриномы слухового нерва не перерождаются в рак, однако учитывая, что локализация опухоли очень сложная для радикального удаления, она может снова появляться или продолжать расти даже после радиохирургического лечения.
Диагностика невриномы слухового нерва
Диагностика невриномы слухового нерва должна включать в себя неврологическое обследование, исследование слуха, а также лучевые методы исследования.
Ранняя диагностика невриномы основана на точной оценке слуха — аудиограмме. Если заболевание есть, то исследование показывает ассиметричную нейросенсорную потерю слуха, при этом одновременно наблюдается диспропорциональное снижение разборчивости речи.
Так как вестибулярные шванномы постепенно приводят к вестибулярным нарушениям со стороны поражённого уха, пациенты редко жалуются на головокружения и чаще испытывают ощущение шаткости при походке. Уловить эти нарушения может самый чувствительный аудиометрический тест — аудиометрия по слуховым вызванным потенциалам (КСВП). С его помощью исследуют ответную реакцию ствола головного мозга на звуковой раздражитель. При обнаружении отклонений прибегают к визуальным методам исследования.
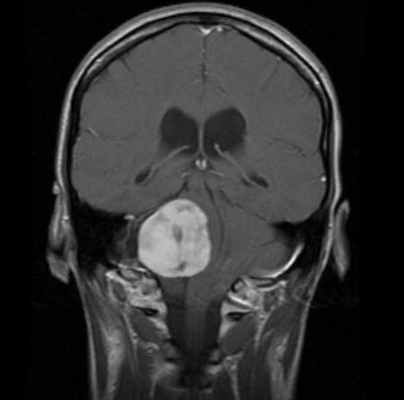
Оптимальными способами визуальной диагностики являются компьютерная томография (КТ) и магнитно-резонансная томография (МРТ) головного мозга. Эти исследования принято проводить с контрастным усилением, так как оно позволяет обнаружить даже небольшие новообразования [14] . Иногда опухоль обнаруживается случайно — при проведении КТ или МРТ головного мозга по другому поводу [13] . По результатам этих исследований можно поставить точный диагноз, выявить локализацию опухоли, её размеры, структуру, отношение к окружающим тканям задней черепной ямки, спланировать тактику хирургического или радиологического лечения [12] .

Дифференциальная диагностика невриномы проводится с заболеваниями, которые могут привести к односторонней нейросенсорной потере слуха:
- менингиомой задней черепной ямки;
- холестеатомой пирамиды височной кости;
- внутричерепными метастазами;
- арахноидальной кисты и других опухолей этой локализации.
Лечение невриномы слухового нерва
Алгоритм лечения невриномы зависит от её стадии, симптомов, общего состояния здоровья и возраста пациента. Если опухоль небольшая и не беспокоит больного, то врачи придерживаются выжидательной тактики, так как долгое время они могут не расти или вовсе регрессировать (редко) [17] . При этом необходимо минимум раз в год проходить МРТ, чтобы наблюдать за течением болезни. В других случаях избавиться от невриномы можно либо с помощью хирургического удаления, либо посредством облучения.
Показания к операции:
- молодой возраст больного;
- быстрый рост опухоли или продолженный рост опухоли после её облучения;
- прогрессирующая неврологическая симптоматика — возникновение симптомов сдавления ствола головного мозга, гидроцефалии, бульбарного синдрома [2][6] .
Цель оперативного лечения — радикальное (полное) удаление опухоли с сохранением жизненно важных структур. Может проводиться из различных доступов: через вскрытый сосцевидный отросток (выполняется чаще всего), за ухом и над ухом. Если операция прошла успешно, пациент находится в клинике под наблюдением ещё 5-7 дней. Швы с операционной раны снимают на 10-15 сутки. Существенных ограничений по образу жизни после восстановительного периода нет. Спустя некоторое время после операции рекомендуется пройти курс лучевой терапии, чтобы предотвратить продолженный рост остатков клеток опухоли.

Если имеются противопоказания к традиционному хирургическому вмешательству, следует рассматривать методы лучевой терапии:
- стереотаксическую радиохирургию — удаление опухоли гамма-ножом (альтернатива стандартному оперативному лечению);
- фракционную стереотаксическую радиохирургию (FSRS) — радиотерапию [17] .
Цель лучевой терапии — приостановить дальнейший рост опухоли. Она показана:
- пожилым пациентам;
- людям с наличием сопутствующих заболеваний;
- после частичного удаления опухоли для облучения её остатков.
Максимальная доза лучевой терапии — не более 34 Гр, минимальная — 12 Гр [17] . В итоге такого лечения опухоль чаще всего уменьшается, но иногда она не меняется в размерах и продолжает расти. Поэтому радиотерапию рекомендуют как дополнительный метод лечения после традиционного хирургического лечения.

Правильный выбор метода лечения позволяет снизить показатель летальности при невриномах слухового нерва до 1 % [3] [5] [11] . Основными причинами повторного появления опухоли являются нерадикальность операции и отсутствие лучевой терапии в послеоперационном периоде.
Прогноз. Профилактика
Прогноз при невриноме слухового нерва благоприятный, особенно если удаётся выявить опухоль на ранних стадиях. Практически у всех пациентов невриному можно удалить полностью. В таких случаях рецидивы практически не встречаются, а отдалённые осложнения (например, гидроцефалия) развиваются редко.
Наиболее частой и сложной проблемой, с которой сталкиваются пациенты после лечения невриномы, является паралич лицевого нерва. Так как он развивается более чем у 50 % пациентов, разработан целый комплекс методов, которые позволяют восстановить работоспособность мышц лица. Операция на лицевом нерве после удаления вестибулярной шванномы создаёт условия для того, чтобы восстановить нейромышечную проводимость, миодинамическое равновесие и функциональную целостность зон лица. Причём раннее и поэтапное хирургическое лечение лицевого нерва позволяет избежать мышечной атрофии и ускорить выздоровление пациентов с грубой и стойкой асимметрией лица [11] .
Невриномы слухового нерва чаще развиваются спорадически, т. е. случайно в результате трансформации шванновских клеток в слуховом нерве. Поэтому методов первичной профилактики (вакцины) не существует. Однако если среди родственников были люди с нейрофиброматозом II типа или опухолью слухового нерва, человеку нужно быть настороженным в отношении невриномы слухового нерва и периодически выполнять МРТ головного мозга, особенно если появились жалобы на прогрессирующее снижение слуха.
Читайте также:
