Невус кератотический
Добавил пользователь Евгений Кузнецов Обновлено: 23.11.2025
На амбулаторный прием к дерматологу, онкологу часто приходят пациенты с меланоцитарными невусами (родинками). Невусы выявляются при целенаправленном обращении для исключения меланомы, для амбулаторного удаления «мешающих» родинок или при обнаружении множественных пигментных образований у пациентов, пришедших на консультацию по другим причинам. В любом случае перед врачом стоит задача провести дифференциальную диагностику между обычными родинками, невусами с клиническими признаками дисплазии и меланомой. В настоящее время обычные меланоцитарные приобретенные невусы по общепринятым положениям подразделяются на юнкциональные (пограничные), смешанные (сложные) и внутридермальные. Однако нужно понимать, что это меняющиеся временные стадии жизненного цикла невусов, которые, как считается, начинаются как юнкциональные, затем становятся внутридермальными и подвергаются инволюции. В настоящее время в Европе и США патоморфологами и дерматологами предлагается дифференцировать клинико-морфологические варианты обычных меланоцитарных приобретенных невусов. Выполнено исследование, которое включает рассмотрение этих вариантов родинок у пациентов различных возрастных групп.
Материалы и методы
Изучено 1708 обычных приобретенных меланоцитарных и диспластических невусов у 103 пациентовв возрасте от 14 лет и старше, наблюдаемых в консультативно-диагностическом центре ФГКУ «ГВКГ им. Н.Н. Бурденко Минобороны России». Исследуемые группы были сформированы согласно рекомендациям ВОЗ: 14–17 лет (подростки); 18–29 (молодой возраст); 30–44 (зрелый возраст); 45–59 (средний возраст); 60–74 (пожилой возраст); 75–89 (старческий возраст). Исследования выполнялись с июня 2011 года по июнь 2012 года. За данный период к дерматологам консультативно-диагностического центра по поводу доброкачественных опухолей кожи обратилось 679 человек, что составило 21,8% среди всех обратившихся по поводу кожных заболеваний (всего на приеме было 3117 пациентов). Основным методом диагностики доброкачественных кожных новообразований был клинико-анамнестический. При подозрении наличия у пациентов потенциально злокачественных и злокачественных опухолей кожи применялись морфологические методы диагностики (цитологический и гистологический). При осмотре образований на коже использовали лупу (с 6- или 7-кратным увеличением) и боковое освещение. Диагноз основывался на знании элементов кожной сыпи, особенностей их окраски, помогали постановке диагноза пальпация образований и анамнестические данные. Другим методом диагностики было фотографирование очагов поражения с помощью макросъемки и просмотр фотографий на экране фотоаппарата или компьютера.
Множественные меланоцитарные невусы (обычные и диспластические) выявлены у 103 человек, что со ставило 15,2% от всех обратившихся по поводу доброкачественных опухолей кожного покрова и 3,3% от всех обратившихся по поводу кожных заболеваний. У одного пациента одновременно могли присутствовать обычные и диспластические невусы. На основании литературных данных и собственного опыта все исследуемые обычные меланоцитарные приобретенные невусы были разделены на 16 нозологических клинико-морфологических вариантов и на 5 видов по форме образований:
- плоские (невусы однородные коричневый и розовый; невус кокардный; невус с эксцентрической пигментацией; невус с мелкими темными точками; невус с перифолликулярной гипопигментацией; невус лентигинозный);
- слегка и равномерно возвышающиеся (невус однородный коричневый);
- с плоской периферией и слегка возвышающимся центральным компонентном (невус однородный коричневый; по типу «затмения»; по типу «яичницы»);
- куполообразные и папилломатозные (невусы Мишера и Унны);
- прочие (невус в темной коже; невус на ножке; кератотический).
Диагноз «диспластический невус» ставили по совокупности 3–4 следующих клинических признаков: возраст пациента (старше 30 лет); размеры (более 6 мм); характер элемента (пятно с возвышающимся папулезным компонентом); форма (причудливая, неправильная с изрезанными краями); границы (нечеткие, размытые, переходящие в окружающую кожу); однородный черный цвет (но не такой интенсивный как при меланоме) или неравномерно пестрая окраска с оттенками черного, коричневого, рыжеватого и светло-красного.
Результаты
За период наблюдения обследовано 103 пациента (мужчин – 73, женщин – 30). Разница между мужским и женским полом обусловлена количественной особенностью контингента. Количество подростков составило 15 человек, пациентов молодого возраста – 33, зрелого – 28, среднего – 17, пожилого – 7, старческого возраста – 3. В результате исследования выполнен анализ 1708 обычных и диспластических невусов с различной локализацией: волосистая часть головы – 121 (7,1%), лицо – 189 (11,1%), шея – 110 (6,4%), туловище – 748 (43,8%), ягодицы – 39 (2,3%), верхние конечности – 261 (15,3%), паховая и генитальная области – 19 (1,1%), нижние конечности – 221 (12,9%).
В группе подростков (14–17 лет) общее число обычных и диспластических невусов составило 279. Среди них: 162 (58,1%) – плоских однородных коричневых невуса, 6 (2,2%) – плоских однородных розовых, 2 (0,7%) – кокардных, 5 (1,8%) – невусов с эксцентрической пигментацией, 59 (21,1%) – слегка и равномерно возвышающихся однородных коричневых, 7 (2,5%) – однородных коричневых с плоской периферией и слегка возвышающимся центральным компонентом, 17 (6,1%) – невусов по типу «затмения», 9 (3,2%) – невусов по типу «яичницы», 2 (0,7%) – кератотических, 10 (3,6%) – невусов с клиническими признаками дисплазии.
В группе пациентов молодого возраста (18–29 лет) общее число обычных и диспластических невусов составило 515. Среди них: 185 (35,9%) плоских однородных коричневых невусов, 8 (1,6%) – плоских однородных розовых, 3 (0,6%) – с эксцентрической пигментацией, 1 (0,2%) – невус с мелкими темными точками, 195 (37,9%) – однородных слегка и равномерно возвышающихся коричневых, 9 (1,7%) – однородных коричневых с плоской периферией и слегка возвышающимся центральным компонентом, 55 (10,7%) – невусов по типу «затмения», 11 (2,1%) – невусов по типу «яичницы», 2 (0,4%) – невуса Мишера, 1 (0,2%) и 45 (8,7%) – невусов с клиническими признаками дисплазии.
В группе пациентов зрелого возраста (30–44 года) общее число обычных и диспластических невусов составило 489. Среди них: 143 (29,2%) – плоских однородных коричневых невуса, 3 (0,6%) – плоских однородных розовых, 4 (0,8%) – невуса с эксцентрической пигментацией, 1 (0,2%) – с мелкими темными точками, 1 (0,2%) – с перифолликулярной гипопигментацией, 2 (0,4%) – лентигинозных, 175 (35,8%) – слегка и равномерно возвышающихся однородных коричневых, 9 (1,8%) – однородных коричневых с плоской периферией и слегка возвышающимся центральным компонентом, 38 (7,8%) – невусов по типу «затмения», 20 (4,1%) – невусов по типу «яичницы», 15 (3,1%) – невусов Мишера, 3 (0,6%) – невуса Унны, 1 (0,2%) – невус в темной коже, 15 (3,1%) – кератотических, 59 (12,1%) – невусов с клиническими признаками дисплазии.
В группе пациентов среднего возраста (45–59 лет) общее число обычных и диспластических невусов составило 288. Среди них: 41 (14,2%) – плоский однородный коричневый невус, 2 (0,7%) – плоских однородных розовых, 10 (3,5%) – невусов с эксцентрической пигментацией, 1 (0,4%) – с мелкими темными точками, 1 (0,4%) – с перифолликулярной гипопигментацией, 89 (30,9%) – слегка и равномерно возвышающихся однородных коричневых, 15 (5,2%) – однородных коричневых с плоской периферией и слегка возвышающимся центральным компонентом, 17 (5,9%) – по типу «затмения», 25 (8,7%) – по типу «яичницы», 22 (7,6%) – невуса Мишера, 9 (3,1%) – невусов Унны, 2 (0,7%) – невуса в темной коже, 5 (1,7%) – невусов на ножке, 2 (0,7%) – невуса кератотических, 47 (16,3%) – невусов с клиническими признаками дисплазии.
В группе пациентов пожилого возраста (60–74 года) общее число обычных и диспластических невусов составило 106. Среди них: 9 (8,5%) – плоских однородных коричневых невусов, 4 (3,8%) – с эксцентрической пигментацией, 1 (0,9%) – с мелкими темными точками, 12 (11,3%) – слегка и равномерно возвышающихся однородных коричневых, 5 (4,7%) – однородных коричневых с плоской периферией и слегка возвышающимся центральным компонентом, 3 (2,8%) – по типу «затмения», 4 (3,8%) – по типу «яичницы», 9 (8,5%) – невусов Мишера, 21 (19,8%) – невус Унны, 5 (4,7%) – невусов на ножке, 2 (1,9%) – невуса кератотических, 31 (29,3%) – невус с клиническими признаками дисплазии.
В группе пациентов старческого возраста (75–89 лет) общее число обычных и диспластических невусов составило 31. Среди них: 3 (9,7%) – плоских однородных коричневых невуса, 1 (3,2%) – с эксцентрической пигментацией, 1 (3,2%) – с мелкими темными точками, 4 (12,9%) – слегка и равномерно возвышающихся однородных коричневых, 2 (6,5%) – однородных коричневых с плоской периферией и слегка возвышающимся центральным компонентом, 1 (3,2%) – по типу «затмения», 1 (3,2%) – по типу «яичницы», 2 (6,5%) – невуса Мишера, 7 (22,6%) – невусов Унны, 2 (6,5%) – невуса на ножке, 1 (3,2%) – невус кератотический, 6 (19,3%) – невусов с клиническими признаками дисплазии.
По патоморфологическим признакам (по глубине расположения невусных клеток обычные меланоцитарные приобретенные невусы подразделяются на юнкциональные (пограничные), смешанные (сложные) и внутридермальные. Однако диагноз «меланоцитарный невус», как правило, ставится только по клинико-анамнестическим данным. Данное обстоятельство требует классификации обычных меланоцитарных приобретенных невусов по клиническим признакам. В научных публикациях многократно описывались различные клинические нозологические варианты этих пигментных образований. Одними из первых были описаны невусы Унны (1885 год) и Мишера (1956 год), при которых невусные клетки расположены глубоко в дерме и в связи с этим форма невуса куполообразная и папилломатозная. В 1972 году впервые описан кокардный невус [3]. В 1992 и 1994 гг. профессор J.L. Bolognia с соавт. описала невусы с перифолликулярной гипопигментацией и мелкими темными точками [4, 5]. В 2009 году J.L. Bolognia и K.Y. Suh в статье «Signature nevi» впервые предложили систематизацию 10 клинико-морфологических вариантов обычных меланоцитарных невусов (невусы однородные коричневый и розовый; невус кокардный; невус с перифолликулярной гипопигментацией; невус лентигинозный; невус по типу «затмения»; розовый невус по типу «затмения»; невус по типу «яичницы»; галоневус и беспигментный меланоцитарный невус).
Также было указано, что гистологические признаки невусов укладывались в классификацию обычных меланоцитарных приобретенных невусов по глубине залегания невусных клеток. В дальнейшем были подробно изучены патоморфологические особенности этих вариантов обычных родинок, что подтвердило обоснованность такой систематизации. Кроме того, по гистологическим признакам они отличались от диспластических невусов. Форма описанных клинико-морфологических вариантов невусов была плоской или с плоской периферией и слегка возвышающимся центральным компонентом. Также важным обстоятельством является то, что диагноз любого из описанных невусов из-за типичной клинической характеристики можно установить при простом осмотре под лупой с боковым освещением или при фотографировании и просмотрена экране фотоаппарата без применения дерматоскопии и морфологических методов исследования.
Существуют описания (в том числе в наших публикациях) других клинических вариантов обычных меланоцитарных приобретенных невусов: невус на ножке и в темной коже [9, 10]. Также необходимо выделять такой вариант как кератотический невус, который имеет клинические и гистологические особенности. Кроме того, среди обычных родинок часто встречаются невусы однородные коричневые слегка и равномерно возвышающиеся, а также с плоской периферией и слегка возвышающимся центральным компонентом. Не включили в исследование невус беспигментный меланоцитарный, так как данная нозологическая форма встречается крайне редко (в современной литературе описано всего несколько случаев). Также не проводили исследование галоневусов, так как в большинстве классификаций данная нозологическая форма относится к особым меланоцитарным невусам.
Все изложенное, а также результаты наших исследований меланоцитарных опухолей кожи, опубликованные ранее и в настоящей статье, позволили предложить клиническую систематизацию обычных меланоцитарных невусов. В ней все обычные родинки разделены на 16 нозологических вариантов и сгруппированы в зависимости от формы образований на 5 видов (плоские; слегка и равномерно возвышающиеся; с плоской периферией и слегка возвышающимся центральным компонентом; куполообразные и папилломатозные; прочие поражения). В настоящей публикации представлена выполненная нами работа по выявлению данных клинических вариантов невусов у пациентов различных возрастных групп на амбулаторном приеме. Исследование проводилось в течение 12 месяцев. В результате обнаружены следующие клинические варианты обычных приобретенных меланоцитарных невусов.
Выводы
- Доброкачественные меланоцитарные невусы (обычные и диспластические) чаще обнаруживаются у людей молодого и зрелого возраста.
- Наибольшее количество невусов регистрируется на туловище (43,8%), голове и шее (24,6%), верхних конечностях (15,3%).
- В настоящее время по клиническим признакам обычные меланоцитарные приобретенные невусы можно подразделить на 16 нозологических вариантов, систематизированных по форме образований на 5 видов. Это помогает точнее проводить дифференциальную диагностику с диспластическими невусами.
- Наиболее часто встречаемыми клиническими вариантами обычных меланоцитарных приобретенных невусов являются невусы плоские однородные коричневые и невусы слегка и равномерно возвышающиеся однородные коричневые (соответственно 31,8 и 31,3% случаев).
И.А. Ламоткин, доктор медицинских наук, заведующий дерматовенерологическим отделением
О.Г. Капустина, кандидат медицинских наук, врач-дерматовенеролог консультативно-диагностического центра
Е.В. Мухина, заведующая кожно-венерологическим кабинетом консультативно-диагностического центра
Невус кератотический
Невус кератотический
Невус кератотический является также вариантом обычных невомеланоцитарных невусов, но с эпидермальной гиперплазией. Среди обычных меланоцитарных невусов встречается в 6% случаев.
Средний возраст пациентов, у которых диагностируется кератотический меланоцитарный невус, — 34 года, преобладает у женщин. У наших пациентов он обнаруживался в 1,3% среди обычных и диспластических невусов всех возрастных групп.
Невус на поверхности имеет гиперкератотические наслоения и тем самым напоминает очаг себорейного кератоза. Локализуется чаще на туловище (76%), реже — на голове, шее (20%) и конечностях (4%).
При гистологическом исследовании кератотические изменения отмечаются, как правило, в сложном и дермальном меланоцитарном невусах, значительно реже — в пограничном.
Отмечается выраженная эпидермальная гиперплазия с наличием роговых псевдокист или без них, а также обнаруживаются гиперкератоз и папилломатоз. По клиническим и гистологическим признакам данная форма меланоцитарного невуса напоминает себорейный кератоз. Выясняется, что приобретенные мела-ноцитарные невусы могут сочетаться с себорейным кератозом.
Такие образования очень похожи на кератотическую форму меланоцитарных невусов. Существует мнение, что сочетание родимых пятен с себорейным кератозом не является случайным. Вероятно, меланоцитарные невусы могут провоцировать возникновение себорейного кератоза. Зрелые приобретенные меланоцитарные невусы, как правило, не растут. Однако себорейный кератоз, развивающийся в ассоциации с родимым пятном, может спровоцировать рост невуса.
Предполагается, что увеличение компонента себорейного кератоза в этой ассоциации может маскировать изменения, происходящие в меланоцитарном невусе (в том числе трансформацию в меланому). По нашим наблюдениям, можно по клиническим признакам выделить две формы кератотических невусов: невусы с гиперкератотическими наслоениями и невусы с зернышками ороговения на поверхности.
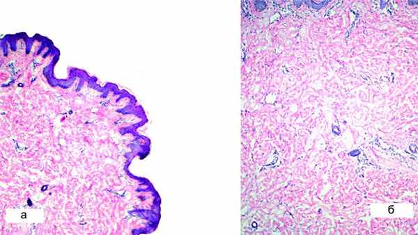
а - Невус кератотический.
б - Невус кератотический с зернышками ороговения на поверхности у пациентки 35 лет.
Очаг расположен под грудной железой слева. Пигментное образование существовало с раннего детства.
В течение последнего года опухоль стала увеличиваться в объеме (до 14 мм в наибольшем измерении), возникли зернышки ороговения на поверхности образования. При пальпации имеет консистенцию себорейного кератоза.
По клиническим признакам проводилась дифференциальная диагностика между невусом меланоцитарным, себорейным кератозом и эпидермальным невусом.
Иссечение, гистология — невус дермальный меланоцитарный.
в - Невус в области волосистой части головы.
г - Тот же невус через год. Определяются гиперкератотические наслоения. а - Себорейный кератоз с роговыми кистами
б - Мелкие плоские и равномерно возвышающиеся очаги себорейного кератоза у пациента 41 года.
Очаги поражения стали возникать после 35 лет.
в - Меланоакантома — гистологический вариант себорейного кератоза.
Редактор: Искандер Милевски. Дата обновления публикации: 18.3.2021
Информация на сайте подлежит консультации лечащим врачом и не заменяет очной консультации с ним.
См. подробнее в пользовательском соглашении.
Невус
Невус (пигментное пятно, пигментный невус, меланоцитарный невус) – доброкачественное новообразование, которое в большинстве случаев является врожденным пороком развития кожи.
На ограниченном участке образуется скопление особых клеток – невоцитов, которые содержат большое количество пигмента меланина.
Невоциты являются патологически измененными меланоцитами – клетками, которые в норме синтезируют меланин и придают окраску коже. Невоклеточный невус – синоним пигментного невуса. Родинка и невус – также идентичные понятия (сам термин происходит от латинского слова naevus – "родинка").
Лечением и профилактикой невусов занимается врач-дерматолог.
Виды невусов:

Меланоцитарные невусы отличаются большим разнообразием форм, цветов и размеров. До настоящего времени среди врачей нет однозначного мнения по поводу того, какие образования следует обозначать словом "невус".
Поэтому иногда невусами называют доброкачественные кожные опухоли, в которых не содержится пигмент меланин: Гемангиомы – сосудистые опухоли.
Особенно распространено понятие "клубничный невус" - гемангиома красного цвета, которая имеется у большинства новорожденных детей, и проходит в течение первого года жизни.
Также многие врачи оперируют таким понятием, как сосудистый невус.
Невусы сальных желез – в большинстве случаев расположены на голове, также не содержат меланина. Такое новообразование известно как сальный невус.
Иногда врожденными невусами у детей также называют тератомы (гамартомы), которые, по сути, являются врожденными опухолями, состоящими не только из кожи, но и из всех остальных тканей.
Анемичный невус – разновидность сосудистого невуса. Это участок кожи, на котором недоразвиты сосуды, поэтому он имеет более светлую окраску.
Настоящий меланоформный невус – это образование, которое происходит из измененных клеток-меланоцитов – невоцитов.
Различают следующие виды невусов:
Невоклеточный пограничный невус – простое пятно, которое не возвышается на коже, или слегка выступает над ее поверхностью. Пограничный невус имеет четкие контуры и коричневую окраску. Он может иметь различные размеры и располагаться на разных частях тела. При данном виде меланоформного невуса скопление клеток с пигментом находится между верхним (эпидермис) и средним (дерма) слоем коже – такое расположение обозначается как внутриэпидермальный невус.
Интрадермальный невус – наиболее распространенная разновидность меланоформного невуса. Он так называется, потому что скопление пигментных клеток находится в толще среднего слоя кожи – дерме.
Пигментный сложный невус кожи. Такой невус имеет вид родинки: он возвышается на кожей и может иметь различную окраску, от светло-коричневой до практически черной. Часто на нем растут жесткие волосы. Смешанный невус имеет гладкую поверхность, и может находиться на любой части тела.

Внутридермальный невус. Также выступает над поверхностью кожи, но, в отличие от сложного невуса, имеет неровную, бугристую поверхность. Практически всегда расположен на голове или на шее, очень редко – на туловище. В большинстве случаев внутриэпидермальный невус появляется в возрасте 10 – 30 лет.
Со временем он как бы отделяется от кожи, и располагается на тонкой ножке. Часто затем он превращается в папилломатозный невус (бородавчатый невус). В нем образуется большое количество неровностей, складок и щелей, в которых скапливаются отмершие клетки верхнего слоя. Здесь могут скапливаться болезнетворные организмы, которые затем приводят к инфекционным процессам.
Голубой невус имеет характерную окраску, так как он связан с отложениями меланина под кожей. Голубые невусы характерны в основном для азиатских национальностей. Они немного возвышаются над кожей, плотные на ощупь, их поверхность всегда гладкая, на ней никогда не растут волосы. Голубой невус имеет небольшую величину, чаще всего не более пяти миллиметров.
Базальный невус также имеет вид родинки, но чаще всего он обладает обычным телесным цветом. Это – беспигментный невус.
Невус сетона (невус сеттона, невус саттона, гало невус) – особая разновидность дермального невуса, когда вокруг пигментного пятна находится участок кожи, полностью лишенный пигмента. Происхождение таких невусов пока до конца не изучено. Они часто сочетаются с витилиго (потерей кожей пигментов), меланомами. Чаще всего в области гало невуса имеется небольшое воспаление в коже.
Невус Ота. Располагается на лице, с одной стороны, в виде "грязных" пятен.
Невус Ита напоминает невус Ота, но он находится под ключицей, на груди, в области лопатки и шеи. Обе этих разновидности встречаются в основном у представителей азиатских народов.
Папилломатозный невус (бородавчатый невус). Похожий на папиллому невус часто имеет большие размеры, находится на голове или сзади на шее, но может располагаться и в иных местах. Он имеет неровную поверхность, как бородавка. Часто на нем растут волосы.
Невус Беккера (волосяной эпидермальный невус) – чаще сего возникает у мальчиков и юношей 10 – 15 лет. Сначала на теле образуется несколько мелких пятен, которые имеют светло-коричневую или коричневую окраску, и находятся рядом. Затем они сливаются и образуют пятна с неровными контурами размерами до 20 см. После этого пятна приобретают неровную бородавчатую поверхность, покрываются волосами. Считается, что к росту невусов Беккера приводит выброс в кровь большого количества мужских половых гормонов – андрогенов.

Линейный невус – новообразование, которое появляется с рождения. Представляет собой множество мелких узелков, от светлого до практически черного цвета, которые расположены на коже в виде цепочки. Линейный невус может занимать всего пару сантиметров, а может и всю руку или ногу. Иногда на нем растут волосы.
Невус глаза – пигментный невус, который расположен на радужной оболочке. Он хорошо заметен в виде пятна, которое может иметь разные размеры и форму. Также невус глаза может находиться на сетчатке: в этом случае он выявляется только во время осмотра офтальмологом.
- мелкие невусы, имеющие размеры 0,5 - 1,5 см;
- средние неводермальные невусы - 1,5 - 10 см;
- крупные пигментные невусы имеют размеры более 10 см;
- если невус располагается на целой области тела, занимая ее практически целиком, то он называется гигантским.
Со временем внешний вид пигментных невусов может изменяться. Меняется и их общее количество на теле: Далеко не всегда можно обнаружить невусы на теле новорожденного. Только у 4 – 10% детей грудного возраста можно выявить родинки. Если невусы с рождения имеют большие размеры, то они наиболее опасны в плане озлокачествления (перехода в меланому).
В подростковом возрасте (10–15 лет) дермальные невусы можно встретить у 90% лиц.
В среднем у человека в возрасте 20-25 лет на теле можно насчитать до 40 родинок.
После 30 лет на коже остается только 15 – 20 невусов.
У человека, достигшего 80 – 85 лет практически невозможно обнаружить невусы на теле. Такую динамику связывают с изменением гормонального фона в течение жизни человека.
Причины возникновения:
Многие исследователи склоняются к мысли, что абсолютно все пигментные невусы, даже те, которые появляются с возрастом, являются врожденными пороками развития кожи.
Нарушения, которые приводят к образованию этой доброкачественной опухоли, возникают еще в эмбриональном состоянии организма. До настоящего времени пока не изучены все врожденные причины образования диспластических невусов.
В качестве основных факторов можно выделить:
Колебания уровня половых гормонов в организме беременной женщины:
- прогестинов и эстрогенов.
- Инфекции мочеполовой системы у беременных. Воздействие на организм беременной женщины неблагоприятных факторов: токсичных веществ, излучений.
- Генетические нарушения. Под действием всех этих факторов нарушается развитие меланобластов – клеток, из которых впоследствии образуются меланоциты. В итоге меланобласты скапливаются на определенных участках кожи и трансформируются в клетки-невоциты.
Невоциты отличаются от нормальных меланоцитов двумя особенностями:
- У них нет отростков, по которым пигмент мог бы распространяться в другие клетки кожи;
- Диспластические невусы хуже подчиняются общим регулирующим системам организма, но, в отличие от раковых клеток, утратили эту способность не полностью.
- Гормональные перестройки организма. Это очень ярко проявляется в подростковом возрасте, когда на теле появляется большая часть невусов.
- Действие на кожу ультрафиолетовых лучей. Частые солнечные ванны и солярии способствуют росту пигментных пятен.
- Беременность. Как уже отмечалось выше, это связано с колебанием уровня половых гормонов в организме женщины.
- Менопауза.
- Прием контрацептивов.
- Воспалительные и аллергические заболевания кожи (угри, дерматиты, различные сыпи).
Диагностика невусов:
Перед врачом, который осуществляет диагностику невуса, стоит ряд важных задач:
- установить разновидность невуса и определить возможности его лечения;
- вовремя распознать начало процесса озлокачествления пигментного пятна;
- определить показания к проведению дополнительных методов диагностики.
Обследование пациента начинается классически с беседы и осмотра. Во время расспроса врач устанавливает важные подробности: когда появился неводермальный невус.
Особенно важно, имеется ли он с рождения, или возник с возрастом; как образование вело себя в течение последнего времени:
- увеличивалось ли в размерах,
- изменяло ли цвет, контуры, общий внешний вид;
- проводилась ли ранее диагностика и лечение, каков был результат

Непосредственный контакт с пациентом очень важен. Ни один профессиональный специалист не возьмется ставить диагноз и лечить невус по фото. После расспроса пациента следует осмотр. Доктор должен оценить форму, размер, расположение невуса, наличие на нем волос и иные особенности. После этого уже может быть поставлен точный диагноз и намечены определенные лечебные мероприятия.
При необходимости врачом назначаются дополнительные методы диагностики. Чаще всего применяются мазки с поверхности невуса. Абсолютными показаниями к данному исследованию является мокнутие, кровоточивость, трещины на поверхности пигментного пятна. Во время мазка получают материал, который затем изучают при помощи микроскопа.
Лабораторная диагностика применяется для установления процесса перерождения невуса в меланому. При озлокачествлении пигментного пятна в крови пациента появляются особые вещества – онкомаркеры. Их обнаружение позволяет точно установить диагноз, так как только при меланоме в крови определяются две молекулы, имеющие название TA90 и SU100. При других злокачественных опухолях выявляются другие онкомаркеры.
Для проведения анализа на онкомаркеры необходимы четкие показания: врач должен иметь веские основания подозревать переход невуса в меланому. Кроме того, само удаление дермального невуса может стать диагностической процедурой.
После того, как пигментное пятно удалено, врач отправляет его на гистологическое исследование. Маткриал осматривают под микроскопом и, в случае обнаружения злокачественного перерождения, пациента снова просят явиться в клинику.
Лечение невуса:
В настоящее время существует несколько методов лечения пигментных невусов, как хирургическим путем, так и альтернативными способами.
Показания определяются только лечащим врачом с учетом двух факторов:
Особенности самого пигментного пятна: разновидность, размеры, риск перехода в меланому.
Наличие в больнице необходимого оборудования
Хирургический метод
Удаление пигментного невуса хирургическим путем (при помощи скальпеля) – наиболее распространенная методика, так как она не требует специального оборудования и отличается надежностью.
Криодеструкция
Криодеструкция – метод, предусматривающий лечение невуса при помощи заморозки. После обработки низкими температурами пигментное пятно отмирает и превращается в струп (корочку), под которой растет новая нормальная кожа.Лечение невуса низкой температурой может осуществляться только в том случае, если он имеет небольшие размеры, и расположен поверхностно, но не сильно выступая над кожей.
Электрокоагуляция
Это методика, которая противоположна криокоагуляции. Иссечение невуса осуществляется под действием высокой температуры.Процедура болезненная, поэтому требует применения местной анестезии, а у детей – только общего наркоза.
Лазерная терапия
Удаление невусов лазером – метод лечения, который широко распространен в современных косметологических салонах. Он отлично подходит для того, чтобы удалять небольшие родинки в области лица, шеи и на других частях тела. Лазерное излучение отличается тем, что оно способно проникать в кожу на большую глубину в пределах точно заданной площади. При этом не образуется шрамов, ожогов, рубцов и других осложнений. Процедура безболезненна.
Радиохирургические методы
В последние годы радиохирургия все активнее используется в мировой медицине. Суть этих методик состоит в том, что специальным прибором, - радионожом (сургитроном) генерируется пучок радиоактивного излучения, который концентрируется только в области патологического очага, не нанося вреда здоровым окружающим тканям. Таким образом могут быть удалены практически любые доброкачественные и злокачественные опухоли, в том числе и пигментные невусы.
Некоторые особые показания Если имеется подозрение на злокачественное перерождение невуса, то используется, как правило, только хирургическое иссечение.
При этом удаляются все окружающие ткани, для предотвращения дальнейшего роста опухоли. Некоторые разновидности невусов лечатся только хирургическим путем.
Большинство методов лечения невусов проводится в нашей клинике опытными врачами-дерматологами. Для получения консультации и записи на прием, звоните или записывайтесь через форму.
Невус кератотический
Невусы (родинка, невоидная опухоль, родимое пятно, англ. nevus, испан. lunar, итал. neo, segno, voglia, нем. muttermal, naevus, франц. envie, tache de vin, лат. naevus – родимое пятно) – генетически обусловленные образования кожи, разделяющиеся на 2 основные группы:
- Ограниченная очаговая дисплазия – порок развития периферических чувствительных нервов, отличается от окружающей кожи цветом и видом поверхности;
- Доброкачественное очаговое разрастание меланинобразующих клеток в коже, возникающее в первые годы жизни (невоидная опухоль).
Невусы относятся к новообразованиям кожи.
Новообразование кожи (бластома, опухоль) – избыточное патологическое разрастание дермальной ткани, патологическая их пролиферация, не координированная с функциями органов и систем и продолжающаяся после прекращения действия этиологических факторов. Новообразования кожи различаются:
- по происхождению: врожденные, приобретенные, пороки развития или опухоли,
- по течению: доброкачественные, злокачественные, предраки;
- по этиологии: генетически обусловленные, вирусные, актинические, посттравматические.
Начальный этап развития невуса – пролиферация меланоцитов (пограничная активность). Дальнейшее развитие невуса определяется их дифференцировкой.
Формы невусов: пигментные (меланоцитарные или невоклеточные, лентиго, «монгольское пятно», голубые, диспластические и др.), бородавчатые, сосудистые, придатков кожи (волосяных фолликулов, сальных желез, апокринных и эккринных желез), систематизированные (линейные, обширные). Могут обнаруживаться в момент рождения – врожденные, или появляться в течение жизни – приобретенные. По этиологии, типу клинического течения и трансформации в меланому невусы подразделяются на 4 группы:
- Невусы эпидермального меланоцитарного происхождения:
- Основные типы: пограничный (интраэпидермальный) невус, смешанный (сложный) невус, внутридермальный (интрадермальный) невус.
- Особые типы: веретеноклеточный или эпителиоидный невус, невус из баллонообразующих клеток, галоневус.
- Невусы дермального меланоцитарного происхождения: монгольское пятно, невус Ота, невус Ито, простой и клеточный голубые невусы.
- Невусы смешанного дермального и эпидермального происхождения: комбинированный невус, врожденный невус.
- Невусы-предшественники меланомы: врожденный, диспластический.
Невусы могут быть пигментные, бородавчатые, сосудистые, придатков кожи. Клинические виды меланоцитарных невусов: плоский, узловатый, папилломатозный, полипозный, пилозный, веррукозный, кератотический и др. Меланоопасные невусы – диспластический, врожденный, голубой невус, невус Ота, гигантский пигментный невус, меланоз Дюбрея. Часто родинки напоминают другие образования – папилломы, кератомы, бородавки. Это вирусные образования, которые распространяются по коже контактным путем. Их необходимо удалять. Поставить диагноз и выбрать правильную тактику лечения может только специалист.
С большинством невусов можно жить всю жизнь, но при этом их категорически нельзя травмировать, натирать, раздражать, подвергать воздействию солнечного излучения. Принимать солнечные ванны следует только до 10 часов утра и после 17 часов. С 12 до 17 часов лучше провести в тени, когда обжигающее излучение особенно сильно. Длительное пребывание на солнце опасно, особенно тем, у кого много невусов. Ультрафиолетовое излучение – это известный провокатор меланомы. Причем бессмысленно закрывать родинки полотенцем или панамой, заклеивать пластырем - меланома не дремлет и под таким прикрытием. Хотите загорать – предварительно удалите невусы. Нужно строго дозировать пребывание на солнце детей. Каждый солнечный ожог, полученный в нежном возрасте, в несколько раз увеличивает риск развития меланомы в зрелости. Американские ученые считают, что излучение в соляриях более опасно, чем естественное солнечное. Загорать в солярии противопоказано при любых новообразованиях на коже. Очень опасны постоянные микротравмы, поэтому родинки, локализованные на местах трения (спина, молочные железы, в области лямок, резинок, на лице), достойны наибольшего внимания. Родинка безобидна до поры до времени. Она - своеобразная атомная бомба, которая в любой момент может «взорваться» и переродиться в меланому. Меланома самая злокачественная опухоль человека, в 95% случаев возникает из невусов, чаще всего из врожденных и диспластических, редко может появиться на гладкой коже спонтанно. Когда говорят «удалил родинку – умер от рака», - это значит, что была уже не родинка, а меланома. Следует обращать внимание на любое изменение родинки – ее окраски, размера, формы, поверхности (исчезновение кожного рисунка или изъязвление), появление зуда, болезненности, кровоточивости, возникновение сателлитов (мелких черных точек вокруг родинки). Эти признаки свидетельствуют об активизации пигментного образования и перерождения его в меланому. При их появлениях нужно срочно обратиться к специалисту.
В целях профилактики перерождения в рак необходимо регулярное наблюдение за родинками, рекомендуется исключить любое их травмирование и массаж. Своевременное удаление родинки – самая надежная профилактика меланомы. Но решить «удалять или не удалять родинку» может только врач дерматоонколог. Есть невусы, которые удаляются по медицинским показаниям, другие – по косметическим, а есть такие, которые нельзя трогать. Ни в коем случае нельзя самостоятельно воздействовать на родинки различными растворами, мазями, прижиганиями, перевязывать нитками, а также удалять их дома, в салонах красоты, поликлиниках и в других не специализированных медицинских учреждениях. Также нельзя, сначала взять кусочек родинки на биопсию, а затем через какое- то время ее удалить. Невус удаляется только специалистами онкологами или дерматоонкологами (специалистами как в дерматологии, так и онкологии) методом резекции или электрорезекции с одновременным взятием всего удаленного образования на гистологическое исследование. При удалении родинок лазером не предоставляется возможным взять материал на гистологию, что не гарантирует дальнейшей безопасности жизни пациента. Ошибочно мнение, что лазер не оставляет рубцов. Оставляет, причем рубцы после лазерного воздействия убрать невозможно.
Удаление родинок на открытых частях тела, тем более на лице, должно быть эстетическим, требующим особого навыка и умения от специалиста, и здесь все зависит не столько от аппарата, а в основном от навыков, рук и знаний врача.
В Центре лечебной косметологии СОКВД специалисты дерматовенерологии-косметологи со специализацией по дерматоонкологии могут квалифицированно проконсультировать по любому новообразованию кожи, избрать и провести правильную тактику лечения. Удаление всех новообразований проводится с обязательным гистологическим исследованием. При этом используются медицинские методы с высоким косметическим эффектом.
Невус кератотический
Гомельский государственный медицинский университет, Республика Беларусь
Гомельский областной кожно-венерологический диспансер, Беларусь
Журнал: Клиническая дерматология и венерология. 2011;9(6): 103‑108
Козловская В.В., Драгун Г.В. Соединительнотканные невусы. Клиническая дерматология и венерология. 2011;9(6):103‑108.
Kozlovskaia VV, Dragun GV. Connective tissue nevi. Klinicheskaya Dermatologiya i Venerologiya. 2011;9(6):103‑108. (In Russ.).
Гомельский государственный медицинский университет, Республика Беларусь
Соединительнотканные невусы представляют собой группу пороков развития соединительной ткани. В данную группу объединены как спорадические случаи, так и признаки наследственных синдромов. Представлены обзор литературы и клинические случаи разных типов соединительнотканных невусов.
Гомельский государственный медицинский университет, Республика Беларусь
Гомельский областной кожно-венерологический диспансер, Беларусь
Термин «невус» в настоящее время применяется дерматологами преимущественно для обозначения доброкачественных меланоцитарных новообразований. Однако данный термин имеет более широкое значение. В переводе с латинского он означает «родинка» и представляет собой стойкие неопухолевые образования, возникающие с момента рождения или вскоре после него. В зависимости от типа клеток или ткани, явившихся причиной порока развития, выделяют сосудистые, соединительнотканные, меланоцитарные и другие невусы [1].
Механизмы возникновения невусов могут быть разными, но основным является мозаицизм – появление в зародыше нескольких разных популяций клеток, растущих из одной зиготы. Мутации, возникшие путем мозаицизма, за редким исключением являются в основном ненаследственными [1, 2].
Соединительнотканные невусы — пороки развития основного вещества дермы, которые могут развиваться как в сосочковой, так и в сетчатой дерме. В эту группу входят как врожденные синдромы с известным механизмом наследования, как, например, синдром Бушке—Оленсдорфа, или туберозный склероз, так и спорадические поражения без определенного механизма наследования.

В настоящее время общепринятой классификации соединительнотканных невусов нет. Все существующие классификации построены по преобладанию коллагеновой, эластиновой или протеиногликановой ткани в невусе. Наиболее употребляемой считается классификация, предложенная в 1980 г. J. Uitto и соавт. и позже — G. Pierard (1985) [3, 4] (табл. 1).
Коллагеновые невусы (коллагеномы)
Клиническая картина коллагеном разных типов сходна между собой и представлена папулами или бляшками цвета нормальной кожи, расположенными в дерме. Папулы не сопровождаются субъективными ощущениями. Размер папул варьирует от нескольких миллиметров до нескольких сантиметров. Размер папул чаще округлый, но описаны и линейные поражения, расположенные вдоль линий Блашко [5].
Гистологическая картина коллагеном идентична. На первый взгляд изменения малозаметны, может быть выражено утолщение или дезорганизация коллагеновых волокон. Количество фибробластов может быть как нормальным, так и повышенным. Чем глубже залегает коллагенома, тем более выражено утолщение коллагеновых волокон [4].
Семейная кожная коллагенома
Семейная кожная коллагенома у 3 из 5 братьев была описана впервые в 1968 г. R. Henderson и соавт. Второй случай семейной коллагеномы у 6 из 52 членов семьи описан через 10 лет J. Uitto и соавт. Во всех случаях прослеживался аутосомно-доминантный тип наследования [6, 7].
В настоящее время известно лишь около 10 семей с данной патологией. Коллагеномы начинают развиваться в период полового созревания, однако известны и случаи их раннего возникновения [8]. У некоторых женщин с семейной кожной коллагеномой отмечалось увеличение количества коллагеном во время беременности.
У всех больных, описанных первыми авторами, имелись высыпания на верхней части спины, не сопровождающиеся субъективными ощущениями. У некоторых больных наблюдалось сочетание коллагеном с патологией сердечно-сосудистой системы, что позволило предположить системное поражение коллагена [9]. Однако небольшое количество описанных случаев затрудняет оценку этой взаимосвязи.
Эруптивная коллагенома
Термин «эруптивная коллагенома» применяется при отсутствии семейного анамнеза коллагеном. Клинически высыпания сходны с таковыми при семейной коллагеноме, однако могут располагаться и на конечностях. Также отмечены случаи возникновения эруптивных коллагеном во время беременности [10].
Подошвенная коллагенома
Подошвенная коллагенома представляет собой мозговидную массу, раcположенную на подошвах. Данный вид коллагеномы является одним из достоверных признаков синдрома Протея, однако описаны и случаи изолированного поражения [11].
Туберозный склероз — врожденное заболевание, наследуемое аутосомно-доминантно, представляет собой комплекс различных аномалий (задержку умственного развития, характерные кожные изменения, патологию органа зрения).
Классическое описание туберозного склероза дано D. Bourneville. В 1908 г. H. Vogt описал триаду признаков туберозного склероза (эпилепсия, умственная отсталость, ангиофибромы). Заболеваемость туберозным склерозом в разных странах составляет от 1:20 000 до 1:100 000 населения [2]. В настоящее время известны две мутации в хромосомах 9q34 и 16p13, которые приводят к нарушению синтеза белков гамартина и туберина, играющих определенную роль в развитии опухолей [2].

Кожные изменения заболевания часто возникают до развития системной патологии и являются основными для выставления диагноза. К характерным кожным изменениям при туберозном склерозе относят гипопигментированные пятна, ангиофибромы лица, подногтевые фибромы и коллагеновый невус (шагреневую бляшку). Опухолевидные образования могут появляться и во внутренних органах [12] (табл. 2).
Диагноз туберозный склероз может быть безоговорочно выставлен при наличии двух основных критериев или одного основного и двух дополнительных критериев [2].
Коллагеновый невус при туберозном склерозе чаще располагается на туловище и как клинически, так и гистологически не отличается от других его проявлений [1, 2]. Ангиофибромы и околоногтевые фибромы при туберозном склерозе представляют собой пороки развития адвентициальной соединительной ткани. Термин «ангиофиброма» в данном случае не совсем корректен, поскольку при гистологическом исследовании папулы лица у больных туберозным склерозом представляют собой пороки развития фолликулярного аппарата и соединительной ткани (так называемые фиброзные папулы лица).
Другие коллагеномы
Коллагеномы могут являться и одним из симптомов наследственных аномалий. При синдроме множественных неоплазий коллагеномы, ангиофибромы и липомы могут быть одними из первых диагностических признаков. B. Asgharian и соавт. [13] обследовали 100 пациентов с синдромом множественных неоплазий и определили, что наличие 1 и более коллагеном или 3 и более ангиофибром в сочетании с гастриномой является одним из предикторов этого состояния.

Клинический случай 1. Пациент К., 15 лет, обратился в Гомельский областной кожно-венерологический диспансер (КВД) с жалобами на появление множественных плотных папул цвета нормальной кожи. При осмотре были выявилены множественные папулы, локализующиеся на спине, нижних конечностях, животе. Общее количество папул — более 10, их размер составлял 1—8 см. Папулы не были видны невооруженным глазом, однако хорошо пальпировались (плотные образования) и обнаруживались при боковом освещении (рис. 1). Рисунок 1. Пациент К., 15 лет. Диагноз: эруптивная коллагенома. Множественные плотные на ощупь папулы телесного цвета, обнаруживаемые при боковом освещении. Папулы левой лопаточной области (а) и внутренней поверхности бедер (б).
При ультразвуковом исследовании сердца обнаружен пролапс митрального клапана. При рентгенологическом исследовании костей таза и большеберцовых костей аномалии не выявлено. Общие анализы крови, мочи, биохимический анализ крови без патологии. У родственников кожной патологии нет.

Пациенту выполнено гистологическое исследование кожи, по результатам которого обнаружена дезорганизация коллагеновых волокон (рис. 2). Рисунок 2. Патоморфологическое исследование кожи (окрашивание гематоксилином и эозином). а — ×100, б —×400: дезорганизация коллагеновых волокон, отсутствие воспалительного инфильтрата. Диагноз: эруптивная коллагенома. Учитывая множественные поражения, лечение не назначалось.

Клинический случай 2. Пациентка Б., 39 лет. Обратилась в Гомельский областной КВД с жалобами на поражение кожи лица. При осмотре выявлены множественные плотные узелки в области носогубных складок и подбородка размером до 1 см, околоногтевые фибромы кистей и стоп, плотное, выступающее образование цвета нормальной кожи на спине, классифицируемое как шагреневая бляшка (рис. 3). Рисунок 3. Пациентка Б., 39 лет. Диагноз: туберозный склероз. а — множественные фиброзные папулы лица, б — околоногтевые фибромы кистей, в — околоногтевые фибромы стоп, г – коллагенома (шагреневая бляшка). Пациентка наблюдается у психиатра по поводу эпилепсии.
В общих анализах крови и мочи, биохимическом анализе крови патологии не выявлено. Семейный анамнез выяснить не удалось. Диагноз: туберозный склероз.
Эластиновые невусы (эластомы)
Эластомы клинически сходны с коллагеномами. При гистологическом исследовании эластом при обычной окраске гематоксилином и эозином изменения в тканях обычно не обнаруживаются. В данном случае необходимо окрашивать препараты специальными красителями для выявления эластиновых волокон (например, по Ван-Гизону).
Псевдоксантома эластическая — аутосомно-рецессивное заболевание, характеризующееся изменениями кожи, органа зрения и сердечно-сосудистой системы. Заболевание возникает после 20 лет и характеризуется поражением кожи крупных складок [1, 2]. Наиболее типично — поражение кожи шеи, реже поражаются паховые, подмышечные складки, локтевые и коленные сгибы. Кожа в этих областях становится вялой, дряблой. При длительном течении заболевания в очагах поражения происходит отложение кальция, что клинически проявляется в виде плотных желтоватых папул. Часто поражается слизистая оболочка полости рта в области внутренней поверхности нижней губы. Отложения кальция происходят и в сосудах глаза, что ведет к облитерации сосудов, образованию новых капилляров, кровоизлияниям и снижению остроты зрения. Поражение мелких сосудов может вести к атеросклерозу и ранним инфарктам.
Перфорирующая эластома
Перфорирующая эластома — заболевание неясного генеза, проявляющееся кератотическими папулами в области лица и шеи и дегенерацией коллагеновых волокон. Папулы при перфорирующей эластоме склонны к образованию полициклических структур, что требует дифференциальной диагностики с дерматомикозами и кольцевидной гранулемой. Патоморфологическая картина перфорирующей эластомы весьма типична. Участки дегенерации коллагеновых волокон, ярко окрашенные эозином, окружены нейтрофилами, образуя своеобразные клубки.
Синдром Бушке—Оленсдорфа — аутосомно-доминантный синдром, который представляет собой поражение костной ткани и наличие эластом [1, 2]. Описано два клинических варианта синдрома Бушке—Оленсдорфа. Первый вариант известен как диссеминированный лентикулярный дерматофиброз (dermatofibrosis lenticularis disseminate) и характеризуется наличием множественных одинаковых по размеру лихеноидных папул. При втором типе отмечается наличие больших желтоватых папул или бляшек, склонных к слиянию. Костные изменения представляют собой множественные округлые участки повышенной плотности диаметром до 10 мм. Участки уплотнения чаще располагаются в костях стоп, кистей, эпифизах и метафизах длинных трубчатых костей и в костях таза. Описаны и изолированные костные изменения без кожной патологии [1].
Невус Левандовского
Клиническими проявлениями невуса Левандовского являются перифолликулярные желтоватые или розоватые папулы с морщинистой поверхностью [14]. Вследствие минимальных клинических проявлений заболевание часто не диагностируется. При гистологическом исследовании папул при окрашивании гематоксилином и эозином патологии не выявляется, однако при окрашивании по Ван-Гизону обнаруживается полное отсутствие эластиновых волокон в пораженной области.

Клинический случай 3. Пациент Т., 35 лет, обратился в Гомельский областной КВД с жалобами на поражение кожи шеи. При осмотре кожа шеи грубая, легко растягивается, отмечаются множественные плотные папулы цвета нормальной кожи (рис. 4). Рисунок 4. Пациент Т., 35 лет. Диагноз: псевдоксантома эластическая. Вялая, грубая кожа шеи с множественными плотными папулами цвета здоровой кожи. Поражение кожи возникло около 4 лет назад. Острота зрения снижена (–3,5 D на оба глаза). При осмотре офтальмолога выявлено сужение сосудов сетчатки обоих глаз.
Общие анализы крови, мочи, биохимический анализ крови патологии не выявили. Диагноз: псевдоэластическая ксантома.
Протеиногликановые невусы
Муцинозный невус является редким заболеванием (описано не более 10 случаев). Клинические проявления муцинозного невуса сходны с проявлениями других соединительнотканных невусов. Основой диагностики является патоморфологическое исследование, при котором можно выявить отложения протеогликанов. Аналогичные изменения кожи можно диагностировать при системном мукополисахаридозе (синдроме Гунтера).
Невусы из адвентициальной соединительной ткани
Фиброзная папула лица является пороком развития и возникает вследствие замещения ткани вокруг фолликула соединительной тканью. Фиброзные папулы располагаются исключительно на лице, чаще коже носа, и имеют вид плотных куполообразных папул. Множественные фиброзные папулы являются одним из признаков туберозного склероза. Характерные гистологические признаки — куполообразная форма, увеличенное расстояние между сосочками дермы, утолщенные волокна коллагена в образовании, измененные фолликулы или их отсутствие, увеличенное количество звездчатых фиброцитов.
Аналогичные гистологические изменения отмечаются при околоногтевых и перифолликулярных фибромах, жемчужных папулах полового члена.
Таким образом, в группу соединительнотканных невусов включены разные состояния, которые могут быть как изолированными, так и являться одним из клинических проявлений наследственной патологии.
Читайте также:
