Нодулярный теносиновит. Признаки нодулярного теносиновита.
Добавил пользователь Евгений Кузнецов Обновлено: 12.12.2025
Третья заметка о роли гистологического анализа в моей практике. Как и в предыдущей заметке, результаты гистологического анализа меня изрядно удивили, но в то же время помогли поставить окончательный диагноз. Этот случай даже был даже оформлен для публикации в каком-нибудь научном журнале, но фактически был «написан в стол».
Пациент обратился на консультацию с жалобами на образование на кончике 2-го пальца правой кисти. Появление образования было связано с порезом 4 месячной давности с последующим медленным заживлением и периодическим инфицированием в ходе привычной повседневной деятельности. После заживления пациент отметил появление плотного образования под кожей. Периодически пациент отмечал появление покраснения и чувства распирания в связи с механическим воздействием, которые постепенно самостоятельно стихали. Пациент самостоятельно применял наружные заживляющие средства – без выраженного эффекта. Нарушения общего самочувствия за указанный период не отмечал. Рентгенологическое исследование показало признаки мягкотканного образования и отсутствие изменений кости дистальной фаланги.
Несколько консультаций у хирургов и дерматологов не принесли ясности. Я в свою очередь предложил пациенту удалить образование и довериться врачам-морфологам (как поётся в одной песне, «к лучшим диагностам»).

Бледно-красная опухоль, диаметром до 5 мм, незначительно возвышающаяся над уровнем кожи, спаянная с подлежащими тканями, болезненная, покрытая кожей с кератотическими массами и незначительным шелушением. После недельного использования кератолитических средств клиническая картина не изменилась.
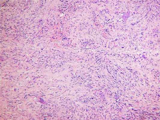
Во время эксцизионной биопсии было выявлено плотное, округлое, четко отграниченное от окружающих тканей, розовое образование диаметром 4 мм. Основание опухоли было обращено к кости дистальной фаланги. Гистологический анализ: нодулярный теносиновит. Появление нодулярного теносиновита (или гигантоклеточной опухоли сухожильных влагалищ в терминологии иностранных коллег) на дистальной фаланге — довольно редкая ситуация для этой опухоли.

Слои полигональный клеток, гипоцеллюлярные коллагенизорванные зоны, гигантские многоядерные клетки.
В 1852г. французский хирург Эдуард Шассеньяк описал доброкачественную мягкотканную опухоль, связанную с сухожилием. С тех пор хирурги часто сталкиваются с нодулярным теносиновитом (НТ), но это довольно редкая опухоль в дерматологической практике и поэтому ее диагностика может представлять определенную сложность для дерматологов. В случае атипичной локализации НТ может представлять затруднение не только для дерматологов, но и для хирургов.
Существует 2 формы данной опухоли: ограниченная (встречается чаще) и диффузная (встречается реже). Этиология опухоли до сих пор изучена плохо, но наиболее общепринятой теорией является реактивная гиперплазия, связанная с воспалительным процессом. Подлежащие причины включают в себя травму, инфекцию, метаболические нарушения и др. Данных о малигнизации ограниченной формы опухоли нет, данные о малигнизации диффузной формы являются предметом дискуссии. Опухоль чаще все поражает пациентов в возрасте 40-50 лет с предрасположенностью женского пола (гендерное соотношение – 3:2). Имеются единичные случаи возникновения НТ среди детей и пожилых.
Пальцы, особенно ладонная поверхность суставов, поражаются чаще всего. Изолированное повреждение дистальных фаланг – исключительно редкая ситуация. Имеются единичные случаи, описанные в литературе, поражения данной опухолью дистальных фаланг. Вероятно, самое первое описание опухоли кончика пальца было сделано Rustin. Клинические случаи околоногтевой локализации описаны Abimelec и Richert, а также Minotto. Domínguez-Cherit и соавт. опубликовали работу посвященную исключительно опухолям околоногтевой области, где описали 6 НТ (n=234) с онихолизом в 50% случаев.
Дифференциальный диагноз НТ включает в себя гранулему инородного тела, гигрому, некробиотическую гранулему, ксантому сухожилия, ревматоидные узелки, бородавки и др. При условии технического оснащения и наличия квалифицированных цитологов оптимальным диагностическим методом является тонкоигольная биопсия. Лечебный подход заключается в хирургическом иссечении и лучевой терапии. По данным исследователей частота рецидивов варьирует от 9% до 44%. Это зависит от того, была ли иссечена опухоль полностью и таких факторов риска, как наличие дегенеративных заболеваний суставов и эрозий кости от давления опухоли. Данных о самостоятельном разрешений опухоли нет.
1. Chassaignac M. Cancer de la gaine des tendons. Gaz Hosp Civ Milit. 1852;47:185-6.
2. Di Grazia S, Succi G, Fraggetta F, Perrotta RE. Giant cell tumor of tendon sheath: study of 64 cases and review of literature. G Chir. 2013;34(5-6):149–52.
3. Hosaka M, Hatori M, Smith R, Kokubun S. Giant cell formation through fusion of cells derived from a human giant cell tumor of tendon sheath. J Orthop Sci. 2004. 9(6):581-4.
4. Rustin MH, Robinson TW. Giant-cell tumour of the tendon sheath—an uncommon tumour presenting to dermatologists. Clin Exp Dermatol. 1989;14(6):466-8.
5. Richert B, André J. Laterosubungual giant cell tumor of the tendon sheath: An unusual location. J Am Acad Dermatol 1999;41:347-8.
6. Minotto R, Rodrigues BR, Gril AB, Furian R. Giant cell tumor of the tendon sheath: a rare periungual location simulating myxoid cyst. An. Bras. Dermatol. 2017;92(1):121-3.
7. Domínguez-Cherit J et al. Nail unit tumors: a study of 234 patients in the dermatology department of the «Dr Manuel Gea González» General Hospital in Mexico City. Dermatol Surg. 2008;34(10):1363-71.
8. Fotiadis E et al. Giant cell tumour of tendon sheath of the digits. A systematic review. . Hand (NY). 2011;6(3):244-9.
9. Phalen GS, McCormack LJ, Gazale WJ. Giant-cell tumor of tendon sheath (benign synovioma) in the hand. Evaluation of 56 cases. Clin Orthop. 1959. 15:140-51.
Нодулярный теносиновит. Признаки нодулярного теносиновита.
Нодулярный теносиновит. Признаки нодулярного теносиновита.
Нодулярный теносиновит (доброкачественная гнгантоклеточная синовиома, по G. Geiler) впервые был описан Chossignac (1852). На протяжении всех последующих лет сущность этого процесса была предметом дискуссии. Высказывались соображения о его метаболической, гранулематозной и бластоматозной природе, что выразилось в большом количестве синонимов ксантома сухожилия, ксантоматозная гигантома, миелоксантома сухожилия, гигантоклеточная саркома, гигантома сухожилия, гнгантоклеточная опухоль сухожильного влагалища, фиброэндотелиома сустава, синовиэндотелиома, вариант фиброзной гистиоцитомы. Различное определение процесса ие дает возможности судить о его истинной частоте. По Schajowicz (1981), нодулярный теносиновит был обнаружен в 151 случае среди 305 псевдоопухолей суставов.
В 15% процесс возникает в области синовиальной оболочки суставов, в 80% — в сухожильных влагалищах, в 5% — в слизистых сумках.
Нодулярный теносиновит представляет собой узловатое новообразование, которое локализуется главным образом на пальцах кистей, реже — стол, еще реже — в области крупных суставов. Излюбленным местом локализации являются области межфаланговых суставов. Почти всегда удается установить связь с сухожильным влагалищем, капсулой сустава или слизистой сумкой Чаше наблюдается у женщин, преимущественно в возрасте 30 -60 лет. Средняя длительность заболевания от 1 года до 4 лет. но нередко 10 и даже 20 лет. При длительном существовании может вызвать атрофию окружающих тканей, в том числе соседней кости. Процесс склонен к рецидивам, большая часть которых объясняется неполным удалением.
Возможен истинный рецидив, обычно спустя несколько лет после операции. Метастазы не наблюдаются. Макроскопически образование представляет собой плотный узел диаметром до 2-5 см, иногда дольчатый, на разрезе серовато-белого, желтоватого, иногда охряно-желтого цвета; изредка состоит из нескольких слившихся в конгломерат узелков. Микроскопическая картина крайне полиморфна: узел построен из мелких веретенообразных клеток с темным вытянутым ядром и узким ободком цитоплазмы, которые напоминакл фиброциты, и из более крупных овальных клеток со светлым округлым ядром и широким ободком цитоплазмы. Среди этих клеток рассеяны в различном количестве многоядер ные гигантские клетки с гомогенной, часто вакуолизированной цитоплазмой. Веретенообразные клетки формируют тяжи, идущие в различных направлениях, заключенные в мощные пучки коллагеновых и аргирофильных волокон. Округлые клетки располагаются мелкими рыхлыми скоплениями, в которых волокнистая субстанция не определяется. Эти клетки рассматриваются некоторыми авторами как «гистиоцитоподобные». Постоянной структурной особенностью является наличие многочисленных щелевидных пространств, выстланных светлыми клетками вытянутой формы.

В выстилке этих пространств принимают участие и гигантские клетки. В периферических отделах, реже в глубине узла, встречаются поля ксантомных клеток, гемосидерофагов. Зерна гемосидернна располагаются и внеклеточно. Иногда ксантоматоз выражен столь резко, что предлагают выделять ксантоматозную форму процесса. Строма узла представлена аргирофильными и коллагеновыми волокнами, местами с явлениями склероза и гиалиноза, иногда достигающих высокой степени.
К этому описанию, приведенному нами в прошлых изданиях, следует добавить некоторые детали из работ G. Geiler. По его мнению, узел построен на основе принципа синовиальных структур и имеет бифазный клеточный состав, причем эпителиоидиая фаза выражена нерезко, но во всех случаях при детальном исследовании может быть обнаружена. Узел большей частью окружен коллагеновой капсулой, от которой в его толщу вступают фиброзные пучки, делящие его на отдельные поля.
Отложение липидов — результат некроза клеток при травме, кровоизлияниях, часто отмечают лимфостаз, который, возможно, и является причиной прогрессирующего гиалиноза стромы.
Липиды и гемосидерин располагаются преимущественно внутриклеточно, как результат фагоцитарной активности клеток, свойственной синовиальной оболочке и в норме. Следует отметить неравномерное распределение в узле щелевидных пространств, из-за которого встречаются значительные участки ткани, в которых щели отсутствуют, кроме щелей, можно встретить и тубуляр-ные образования, иногда разветвленные и с сосочковыми выростами. Опухолевая природа процесса четкими фактами не подтверждена.
Информация на сайте подлежит консультации лечащим врачом и не заменяет очной консультации с ним.
См. подробнее в пользовательском соглашении.
Теносиновит
Теносиновит – это воспаление синовиального сухожильного влагалища. Теносиновит сухожилия становится причиной боли, скрипа и возникновения припухлостей.
Внимание!
Здесь вы сможете выбрать врача, занимающегося лечением Теносиновит Если вы не уверены в диагнозе, запишитесь на прием к терапевту или врачу общей практики для уточнения диагноза.
Статьи на тему Теносиновит:
Причины
Симптомы
Диагностика
Лечение
Механизм развития
Одной из самых разрушительных инфекций, поражающих кисти рук, является теносиневит. Если данное заболевание не будет вовремя выявлено и излечено, то уже скоро может появиться некротическое поражение в зоне сухожилий. Это становится причиной постоянной утраты функций.
В большинстве случаев поражаются первый, второй и третий палец рук. Кроме того, причиной может становиться и перенос инфекции через кровь. Причиной теносиневита могут стать ранения, полученные из-за воздействия высокого давления.
Причины
Наиболее часто воспаление сухожилий является следствием получения ранений и дальнейшего развития инфекционного процесса. Процесс провоцируется стрептококками, стафилококками и так далее. Несколько реже провоцировать развитие заболевания могут такие организмы:
- Neisseria gonorrhoeae. В случае появления признаков воспалительных заболеваний органов таза, уретрита, цервицита;
- псевдомонады - в том случае, если у человека диабет;
- грамположительные микробы, организмы грибкового происхождения. Если пострадавшие имеют диабет или слабый иммунитет.
Симптомы
Признаки теносиновита почти всегда проявляются таким образом:
- при прощупывании влагалища сухожилия могут появиться сильные болевые ощущения;
- палец отекает;
- в состоянии покоя палец согнут;
- боль становится сильнее, если палец разгибается другой рукой;
- в случае поражения влагалища сухожилия, процесс инфекционирования может распространиться на сумку лучевой кости. Тогда, в большом пальце ощущается боль, он отекает, а кисть принимает согнутое положение;
- если поражается влагалище сухожилия мизинца, то инфекционный процесс распространяется на сумку кости локтя. Также мизинец отекает, пальцы кисти принимают согнутое положение, при пассивном разгибании проявляется боль;
- если инфекционный процесс распространяется в зону между лучевой и локтевой костями, то развивается абсцесс лодковидного типа.
Диагностика
- качественно собранный анамнез ортопедом-травматологом и физикальное обследование. Это первый и основной ключ для распознавания теносиновита на ранней стадии и исключения других инфекций кистей рук;
- анамнез должен отражать следующее: путь повреждения, время проявления инфекции и ход развития симптомов;
- инфекционное повреждение из-за высокого давления нуждается в экстренной оценке ранения хирургом, это не зависит от размеров раны;
- нужно определить положение прививки от столбняка и провести оценку других факторов риска. Также должны быть выявлены признаки и проявления заболеваний системного характера и прочие потенциальные места инфицирования.
Специальные методы диагностики таковы:
- проведение рентгенографии пораженного пальца, что помогает определить остеомиелит и инородные тела;
- ультразвуковое исследование провоцирует скопление жидкости в синовиальном влагалище, потому считается неуместным.
Лечение
Прежде всего, пораженный палец должен быть приподнят и иммобилизирован. Кроме того, нужно определить положение с прививками от столбняка. При такой проблеме, как теносиновит сухожилия, лечение предполагает внутривенный ввод антибиотиков. Для начала терапии понадобятся те из них, которые имеют широкий спектр действия. Если у больного воспаление сухожилий, лечение может предполагать пенициллин, цефотетам, клиндамицин. Если пациент страдает пониженным иммунитетом, диабетом, то нужно добавить препараты, которые действуют на грамотрицательные бактерии. В период заболевания пациент может испытывать сильные боли, поэтому может потребоваться применение препаратов для обезболивания. Кроме того, требуется срочная консультация специалиста-хирурга, который разработает правильный план относительно того, как лечить теносиновит бицепса.
Если пациент поступает позже, нежели через двое суток после повреждения, то он нуждается в специальной обработке в операционной. Если же он поступил в течение 24–48 часов после того, как появился теносиневит, лечение может проводиться и консервативным путем.
Симптомы и лечение нодулярного теносиновита
Гигантоклеточная синовиома или нодулярный теносиновит представляет собой узловатое образование, которое поражает преимущественно пальцы рук и ног. Значительно реже образуется на крупных сочленениях. В большинстве случаев новообразование наблюдается в сухожильных влагалищах, реже — в слизистой сумке и синовиальной оболочке сустава.

Почему развивается недуг?
Спровоцировать появление нодулярного теносиновита могут следующие факторы:
- старение организма;
- врожденные аномалии соединительной ткани;
- воспаление сочленений;
- постоянные чрезмерные нагрузки на сухожилия;
- травмы мышечно-связочного аппарата;
- остеопороз;
- бурсит;
- нарушения работы иммунной системы;
- болезни инфекционного характера.
Если речь идет о пациентах преклонного возраста, то этот недуг может возникнуть на фоне других заболеваний или же сам по себе вследствие недостатка питания и слабости суставов.
Какие симптомы укажут на патологию?
Располагается доброкачественная опухоль в области малых косточек.
Преимущественно заболевание долгое время никак себя не проявляет и не имеет симптоматики. Одиночное новообразование в течение нескольких лет может не давать о себе знать, постепенно увеличиваясь в размерах. Когда оно достигает крупного объема, образование начинает сдавливать нервные окончания, что становится причиной возникновения болевых ощущений и ограничения движений сустава. Для нодулярного теносиновита характерны щелчки в момент сгибания и разгибания пальцев. Обусловлены такие звуковые оповещения тем, что происходит изношенность и недостаток питания тканей, а также присутствуют новообразования, которые мешают нормальным движением сочленения.
Пациенты жалуются и на такие симптомы:
Если говорить о болевом синдроме, то он бывает ноющим, острым и тупым. Первоначально боль локализуется в области появления узелка, однако со временем течения патологического состояния она может распространяться на всю верхнюю или нижнюю конечность. Усиление болевых ощущений происходит при телодвижениях и физических нагрузках. В процессе прогрессирования заболевания узелки становятся более заметными, кожный покров около них отекает, краснеет. Преимущественно узлы затрагивают ладони около сухожилий сгибателей пальцев.
Диагностические мероприятия
Если у пациента появляются подозрения на развитие нодулярного теносиновита, важно незамедлительно обратиться в медицинское учреждение. На начальном этапе диагностических мероприятий медик опрашивает больного о том, насколько давно возникли узелки и какие дополнительные симптомы присутствуют. Затем человека отправляют на ультразвуковое исследование мягких тканей, которое позволяет визуализировать опухолевые узлы и установить их точное расположение по отношению к суставам. Иногда требуется проведение рентгенографии, дающей возможность установить очаги костной деформации.

Эффективные и информативные методы.
Следующим этапом диагностики является магнитно-резонансная томография, с помощью которой медики рассматривают новообразование со всех сторон. В заключение обследований пациенту потребуется пройти биопсию. Во время нее из области поражения берут небольшой участок ткани, который отправляют на цитологическое исследование. С помощью него доброкачественное образование отличают от прочих типов опухолей, к примеру, липомы, фибромы, гемангиомы.
Как проходит лечение?
Медикаментозная терапия
Чтобы вылечить теносиновит, в первую очередь пациенту назначают нестероидные противовоспалительные средства, с помощью которых удается купировать воспалительные процессы и болевые ощущения. Для снятия боли используются и обезболивающие лекарства, которые могут быть прописаны в виде таблеток или гелей и мазей для наружного применения. Немаловажным являются и медпрепараты, которые укрепляют иммунитет. Во время терапии патологии обязательно назначают и медикаменты, способствующие улучшению метаболизма.
Правильное лекарство и длительность его использования вправе назначить исключительно лечащий доктор, который знаком с историей болезни пациента. Подбор медикаментов напрямую связан с областью локализации и количеством опухолей.
Физиотерапия при нодулярном теносиновите

Очень полезны физиопроцедуры в комплексе с основным лечением.
С помощью физиотерапевтических процедур удается восстановить былую подвижность пораженных сочленений. Преимущественно для терапии нодулярного теносиновита используются следующие методы физиолечения:
- лазеротерапия;
- ультрафиолетовое облучение;
- магнитотерапия;
- массаж;
- аппликации;
- электрофорез.
Операция при нодулярном теносиновите
Если консервативная терапия не приносит требуемого эффекта, болевые ощущения не покидают пациента, а узлы продолжают разрастаться, назначают хирургическое вмешательство. Хирург применяет небольшие инструменты и специальные приборы, с помощью которых достигается оптическое увеличение. Помимо самого образования, удаляют и пораженные зоны сухожильного влагалища или области сухожилия.
Когда у больного наблюдается крупное новообразование, после их удаления проводится пластика, иногда требуется артропластика. Когда опухоль одиночная, проводится небольшой поперечный разрез. Если же требуется удалить несколько узелков, надрез будет зигзагообразным. В случаях избавления от новообразований, которые обладают плотной капсулой, во время операции не возникает никаких проблем. Однако бывают случаи, когда капсулы нет. В такой ситуации хирург приступает к отделению новообразования от соседствующих тканей. Преимущественно проводится это при помощи специального элеватора. Медик, используя пинцет, расшатывает образование, после чего отделяет его элеватором от тканей. Делать это важно тщательно, чтобы не осталось отростков, которые могут спровоцировать рецидив нодулярного теносиновита. В такой ситуации требуется проводить повторную операцию.
Невзирая на то, что хирургическое вмешательство для удаления узелков проводится не один десяток лет, ни один медик не может гарантировать пациенту, что после операции не возникнет осложнений. Часто после хирургии больной теряет чувствительность пальцев. Иногда может наблюдаться ухудшение подвижности сочленения. Наиболее безопасным послеоперационным последствиям является рубец от шва, который у некоторых пациентов иногда вызывает болевые ощущения.
Профилактические мероприятия
Чтобы не допустить рецидива нодулярного теносиновита, пациентам потребуется беспрекословно следовать всем руководствам лечащего доктора в момент лечения и реабилитационного периода. Людям важно своевременно проводить терапию всех заболеваний, поскольку немало патологий могут вызвать возникновение описываемого недуга. Немаловажным является и изменение рациона. В меню рекомендуют включить большое количество пищи, которая богата белком, а также витаминами и микроэлементами. С помощью такой еды удастся укрепить иммунитет. Для этих целей могут быть использованы и витаминно-минеральные комплексы, которые продаются в аптечных сетях. Употребление их советуют осуществлять в весенне-осенний период, когда многие люди страдают авитаминозом.
Симптомы и лечение нодулярного теносиновита
Заболевание нодулярный теносиновит возникает при микротравмах сухожилий и суставов. Болезнь выступает как доброкачественное новообразование, сформированное вследствие воспалительных реакций. Теносиновит протекает в острой и хронической форме, имеет большую склонность к рецидивам, даже после полного удаления с помощью хирургического вмешательства.

Что такое теносиновит?
Заболевание поражает пальцы ног и рук и возникает из-за постоянного травмирования сухожилий и хронических воспалений суставов.
Теносиновит чаще развивается у женщин, чем у представителей мужского пола. В группу риска входят люди от 30-ти лет, а также люди пожилого возраста, из-за нарушений биологического обмена веществ, вследствие которого ткани ослабевают и ухудшается их общее состояние. Несмотря на то что новообразование считается незлокачественным, теносиновит характеризуется частыми рецидивами, в том числе и после оперативного иссечения. Обычно теносиновит отличается долгим течением. Наличие продолжительного воспаления провоцирует атрофию тканей, а также костей и суставов, которые полностью перестают выполнять свои функции. Этот процесс и приводит к инвалидности.
Классификация
У такого рода поражения суставов существует большое количество причин, форм и видов заболевания, которые представлены в таблице:
| Характеристика | Виды | Подвиды |
| Форма течения | Острая | |
| Хроническая | ||
| Этиология | Инфекционные | Вирусные |
| Бактериальные | ||
| Грибковые | ||
| Специфические | ||
| Неспецифические | ||
| Асептические | Эндокринные | |
| Диабетические | ||
| Аллергические | ||
| Иммунодефицитные | ||
| Травматические | ||
| Степень тяжести | Легкая | |
| Средняя | ||
| Тяжелая | ||
Почему возникает?
Причин возникновения теносиновита довольно много. Ученые выделяют факторы, провоцирующие недуг, такие как:
- частое травмирование сухожилий;
- артриты;
- артроз;
- генетическая предрасположенность;
- ВИЧ-инфекция;
- туберкулез;
- бурсит;
- нарушения обмена веществ;
- васкулит;
- венерические заболевания;
- чрезмерные физические нагрузки.
Симптомы: как распознать заболевание?
Традиционной клинической картиной для теносиновита является его постепенное развитие. В начале заболевания симптоматика выражена неярко, но через некоторое время развития недуга она усиливается. Почти у всех больных первый симптом патологии — специфический хруст пораженного отдела сустава при обычных движениях пальцев. Помимо этого, ученые выделяют и другие проявления болезни, такие как:
- Болевой синдром разных форм:
- острый;
- ноющий;
- периодический;
- длительный.
Специфическим течением нодулярного теносиновита зачастую становится болевой синдром, который по мере развития болезни охватывает всю конечность. А также возникают воспалительные процессы и медленнорастущие новообразования, которые достигают 6 см в диаметре. Если обнаруживаются такие симптомы, то нужно как можно быстрее провести обследование, и начать терапевтические мероприятия для устранения недуга.
Диагностика разными методами
Ультразвуковые исследования
![]()
Исследование поможет установить степень поражения.
С целью диагностирования теносиновита применяется способ УЗИ. Основываясь на результатах исследования, можно узнать число и объем опухолей и детально проанализировать место локализации новообразований. Возможно определить уровень вовлеченности кровеносных сосудов на участках поражения. Нередко во время исследования обнаруживают, что формирование находится около сухожилия или контактирует с ним.
Рентгенография
Диагностика используется, чтобы определить присутствие специфических изменений и степень их воздействия на кости. Причиной изменений чаще становится чрезмерный рост опухоли, повышенное давление, атрофия, эрозия костной ткани. Такой метод дает точные данные для выбора правильной стратегии лечения нодулярного теносиновита.
МРТ и биопсия
Эти методы назначаются для изучения опухоли. С помощью магнитно-резонансной томографии возможно рассмотреть опухоль со всех сторон, узнать ее плотность и некоторые особенности. Биопсия предназначена для микроскопического изучения состава образования. С помощью специального приспособления от опухоли отделяется малая часть, которая затем исследуется. Анализ дает точные результаты и определяет вид образования. Зачастую диагностируют такие виды опухоли, как гемангиома, фиброма, невринома, образования фиброзной ткани, липома или мукоидная киста.
Эффективное лечение
Медикаментозная терапия
Медикаментозные средства устранят неприятные симптомы.
Для каждого пациента курс лечения подбирается индивидуально и зависит от степени тяжести и количества образований. С помощью лекарственных препаратов возможно устранить проявления теносиновита: покраснения, боли, отечности, а также замедлить рост опухоли. Для этого назначается курс иммуностимулирующих средств, анальгетиков и антибиотиков, выбор которых зависит от причины возникновения болезни. Также для терапии используют противовоспалительные медикаменты и препараты для улучшения обмена веществ.
Физиотерапия при нодулярном теносиновите
Комплект физиотерапевтических процедур для восстановления функции суставов включает проведение таких мероприятий, как:
- электрофорез;
- ультравысокочастотная терапия;
- массажи;
- термотерапия;
- лазерная терапия.
Когда требуется операция?
Почти во всех случаях удаление образований происходит с помощью хирургии. Это кропотливая операция, при которой специалисту требуется полностью убрать новообразование, чтобы предупредить повторный рецидив. Процедура происходит при проводниковой анестезии либо с применением долгодействующих анестетиков. Тип операции зависит от вида опухоли. Если присутствует капсула (твердое содержимое), то удаление происходит без проблем. Если узловая капсула отсутствует, тогда хирургу приходится отделять новообразование от ближайших тканей. Иногда после удаления узлов, назначают дополнительные операции по восстановлению сухожилий или проводят артропластику. Если произошел рецидив патологии, то осуществляется повторное хирургическое удаление.
Что сделать, чтобы избежать рецидива?
Эта болезнь характеризуется вторичным появлением. Чтобы этого не произошло, необходимо соблюдать все советы лечащего доктора в процессе лечения и реабилитации. Рекомендовано употреблять еду богатую витаминами, укрепляющую иммунитет. Важно избегать травм и чрезмерных нагрузок на суставы. Немаловажно и то, что самолечение может привести к инвалидности, так как в мышцах пораженной руки или ноги появляется атрофия и полная потеря функций суставов.
Читайте также:

