Опухоли костей: лечение доброкачественных и злокачественных опухолей костной ткани
Добавил пользователь Евгений Кузнецов Обновлено: 28.01.2026
Категории МКБ: Доброкачественное новообразование длинных костей нижней конечности (D16.2), Доброкачественное новообразование коротких костей верхней конечности (D16.1), Доброкачественное новообразование коротких костей нижней конечности (D16.3), Доброкачественное новообразование костей и суставных хрящей неуточненных (D16.9), Доброкачественное новообразование лопатки и длинных костей верхней конечности (D16.0), Доброкачественное новообразование ребер, грудины и ключицы (D16.7), Доброкачественное новообразование тазовых костей, крестца и копчика (D16.8)
Общая информация
Краткое описание
Доброкачественные новообразования костей и хрящей – это новообразования, которые возникают и растут из костной ткани или суставного хряща, не выходя за его пределы. Для них характерен медленный темп роста, в большинстве случаев они захватывают одну анатомическую структуру, ограничиваясь пределами кости, в которой возникли. Граница между опухолевой и нормальной тканью четко выражена, клетки опухоли расположены правильно, отмечается небольшая активность деления, сохранена пропорция между тканью опухоли и соединительнотканной стромой.
Рентгенологически доброкачественные опухоли имеют четко ограниченные контуры и границы со здоровой костью, правильную форму и структурный рисунок. Доброкачественные опухоли не дают метастазов и не рецидивируют после радикальных операций. [1]
Пользователи протокола: детские травматологи-ортопеды, педиатры, врачи общей практики, хирурги, медицинские реабилитологи (физиотерапевты, врачи ЛФК).

Автоматизация клиники: быстро и недорого!
- Подключено 300 клиник из 4 стран
- 800 RUB / 4500 KZT / 27 BYN - 1 рабочее место в месяц

Автоматизация клиники: быстро и недорого!
- Подключено 300 клиник из 4 стран
- 1 место - 800 RUB / 4500 KZT / 27 BYN в месяц
Мне интересно! Свяжитесь со мной

13-15 октября, Алматы, "Атакент"
600 брендов, более 150 компаний-участников из 20 стран.
Новинки рынка стоматологии. Цены от производителей
Классификация
Диагностика
II. МЕТОДЫ, ПОДХОДЫ И ПРОЦЕДУРЫ ДИАГНОСТИКИ И ЛЕЧЕНИЯ
• КТ (с целью определения характера, локализации образования, особенности их кровоснабжения и развития, и выбора метода операции и тактики лечения).
Минимальный перечень обследования, который необходимо провести при направлении на плановую госпитализацию:
• коагулограмма (длительность кровотечения и время свертывания, протромбин, фибриноген, реакция адгезии и агрегации тромбоцитов);
• биохимический анализ крови (общий белок, аланинаминотрансфераза, общий холестерин, билирубин, прямой билирубин, креатинин, мочевина, глюкоза, калий, натрий, фосфор, кальций, хлор);
• контрольная рентгенография в 2-х проекциях.
• КТ конечности (с целью определения характера, локализации образований, особенностей их кровоснабжения и развития, выбора метода операции и тактики лечения);
Диагностические мероприятия, проводимые на этапе скорой неотложной помощи: не проводятся.
Жалобы: на боли и образование в области колена, деформацию конечностей, хромоту, ограничение движений.
Анамнез: В большинстве случаев доброкачественные опухоли - клинически малосимптомные или бессимптомные новообразования. Чаще выявляются как рентгенологические находки.[1]
Рентгенограмма пораженного сегмента конечности с прилегающими суставами: наличие новообразований внутрикостных или растущих из кости.
КТ пораженного сегмента конечности с прилегающими суставами: наличие новообразований внутрикостных или растущих из кости.
• консультации онколога (при наличии образований костного скелета для исключения злокачественных образований);
Дифференциальный диагноз
Лечение
• цефалоспорины 1 поколения: цефазолин, 50-100 мг/кг, внутривенно, однократно за 30-60 минут до операции;
внутривенное капельное введение в дозе 10-20 мг/кг/сут., в одно или несколько введений при тяжелых инфекциях и детям от 1 месяца и старше;
ванкомицин: 15 мг/кг/сут., не более 2 г/сут. в 4 введения, внутривенно, каждая доза должна вводиться не менее 60 мин.
• парацетамол, 200 мг, таблетки - из расчета 60 мг на 1 кг массы тела ребенка, 3-4 раза в сутки. Интервал между приемами должен быть не менее 4 часов. Максимальная суточная доза 1,5 г - 2,0 г;
суппозитории парацетамола ректальные 125, 250 мг – разовая доза составляет 10-15 мг/кг массы тела ребёнка, 2-3 раза в сутки, через 4-6 часов;
суспензия парацетамола 120 мг/5 мл, для приема внутрь – разовая доза препарата составляет 10-15 мг/кг массы тела, 4 раза в сутки, интервал между каждым приемом - не менее 4 ч. (доза для детей в возрасте от 1 до 3 мес. определяется индивидуально).
сироп парацетамола для приема внутрь 2,4% 50 мл – детям от 3 до 12 месяцев по ½ -1 чайной ложки (60 -120 мг); от 1 года до 6 лет по 1-2 чайной ложки (120-240 мг); от 6 лет до 14 лет по 2-3 чайной ложки (240-360 мг), 2 – 3 раза в сутки.
Максимальная продолжительность лечения парацетамолом при применении в качестве анальгетика не более 3 дней.
• суспензия ибупрофена 100 мг/5мл - 200 мл, для приема внутрь, 7-10 мг/кг массы тела, максимальная суточная доза - 30 мг/кг. Интервал между приемами препарата не должен быть менее 6 часов. Продолжительность лечения не более 5 дней, в качестве обезболивающего средства.
детям от 1 до 14 лет: от 1 мг/кг до 2 мг/кг веса внутривенно, внутримышечно или подкожно. Внутривенные инъекции следует вводить очень
медленно или они должны быть разведены в инфузионном растворе и введены путем инфузии. Дозу можно повторить с интервалом в 4-6-часов;
• тримеперидин 2% -1 мл в растворе для инъекций, детям старше 2 лет, дозировка составляет 0.1 - 0.5 мг/кг массы тела. Противопоказано детям до 2-х лет;
10-14 лет: разовая доза 0,3-0,5 мл (3-5 мг), суточная – 1-1,5 мл (10-15 мг).
Инфузионная терапия кристаллоидными растворами с целью замещения и коррекции водно-электролитного обмена:
• свежезамороженная плазма (при дефиците объёма циркулирующей крови более 25-30 %, обусловленное кровопотерей, при МНО плазмы более 1,5 (норма 0,7-1,0), переливание внутривенно в дозе 10-20 мл/кг массы);
• эритроцитарная взвесь (при дефиците объёма циркулирующей крови более 25-30 %, гематокрите менее 24 %, снижение гемоглобина ниже 70-80 г/л, обусловленное кровопотерей, возникновении циркуляторных нарушений показано переливание в дозе 10-20 мл/кг массы тела.
• тромбоконцентрат (при снижении уровня тромбоцитов ниже 50*10/9, на фоне возникшего кровотечения, с дальнейшим поддержанием уровня тромбоцитов 100*10/9 - переливание внутривенно 1 доза на 10 кг массы) [6].
• декстроза 5% - 500, 400, 200 мл раствор для внутривенной инфузии;
• цефаперазон, порошок для приготовления раствора для внутривенного и внутримышечного введения 1.0 г.;
Амелобластома - симптомы и лечение
Что такое амелобластома? Причины возникновения, диагностику и методы лечения разберем в статье доктора Куфтарева Виталия Александровича, стоматолога со стажем в 10 лет.
Над статьей доктора Куфтарева Виталия Александровича работали литературный редактор Вера Васина , научный редактор Елена Страндстрем и шеф-редактор Маргарита Тихонова

Определение болезни. Причины заболевания
Амелобластома (Ameloblastoma) — это доброкачественная опухоль, которая развивается из зубообразующих тканей. По мере её роста деформируются черты лица, смещаются и расшатываются зубы.
Амелобластома развивается медленно и бессимптомно, чаще возникает в области угла и ветви нижней челюсти. Почти никогда не вызывает воспаления.
![Амелобластома [11]](/pimg3/opuxoli-kostey-lechenie-26CD06.jpeg)
Существует редкий аналог данной опухоли — злокачественная амелобластома, относящаяся к группе одонтогенных раков. Она может давать метастазы в другие органы, например в кости, селезёнку, печень и лёгкие [1] .
Распространённость амелобластомы
Амелобластомы составляют примерно 1 % от всех случаев опухолей лица. В большинстве случаев они возникают в возрасте 30–40 лет. Мужчины и женщины болеют одинаково часто [1] [10] .
Причины развития амелобластомы
Точные причины появления амелобластомы не установлены. По одной из версий, она возникает из-за патологии развития зубного зачатка, по другой — происходит из одонтогенных эпителиальных остатков (островков Малассе).
При обнаружении схожих симптомов проконсультируйтесь у врача. Не занимайтесь самолечением - это опасно для вашего здоровья!
Симптомы амелобластомы
Чаще всего амеобластома возникает в области угла и ветви нижней челюсти, в области зубов мудрости [9] . На ранних стадиях заболевание протекает без симптомов.
Амелобластома относится к доброкачественным опухолям, которые развиваются внутри кости нижней челюсти. Как правило, она растёт медленно [10] . Если болезнь не лечить, то расшатываются и смещаются зубы, деформируется прикус. В дальнейшем, при достижении больших размеров опухоли, нарушается симметрия лица. Таким пациентам требуются обширные хирургические вмешательства и длительная реабилитация.
Иногда амелобластомы сочетаются с зубными кистами и непрорезавшимися зубами [9] . Но эти процессы могут развиваться и независимо друг от друга.
Патогенез амелобластомы
Амелобластома возникает из-за бесконтрольного деления клеток-предшественников тканей зуба (эмалевого органа), которые остались после его формирования. В большинстве случаев сами клетки не меняются, от нормальных они отличаются расположением относительно друг друга и высокой скоростью роста. В результате образуется опухоль, которая постепенно увеличивается, но не причиняет беспокойства, пока не достигнет больших размеров.
Что именно запускает развитие амелобластомы, пока неизвестно [10] .
Классификация и стадии развития амелобластомы
По Международной классификации болезней (МКБ-10) амелобластоме присвоены коды D16.4, D16.5: доброкачественное новообразование костей черепа и лица; доброкачественное новообразование нижней челюсти костной части.
Выделяют два типа амелобластом:
- Доброкачественные:
- солидная (поликистозная);
- уникистозная;
- внекостная (периферическая);
- десмопластическая.
- Злокачественные:
- метастазирующая амелобластома;
- амелобластная карцинома [1][10] .
Все эти формы проявляются одинаково: растут и деформируют лицо. Они различаются только по своему строению, что определяет тактику лечения.
Поликистозная форма встречается чаще всего, как правило поражает нижнюю челюсть. Возникает из остатков однотогенного эпителия, из которого образовались зубы. По структуре напоминает пчелиные соты или мыльные пузыри. Опухоль состоит из каркаса эпителиальных клеток, между которыми содержатся коллагеновые волокна. В клеточном компоненте выделяют периферическую и центральную части. Периферическая часть состоит из вытянутых и многоугольных клеток (столбчатых и звёздчатых). Клетки центральной части по своему строению отдалённо напоминают зубной зачаток.
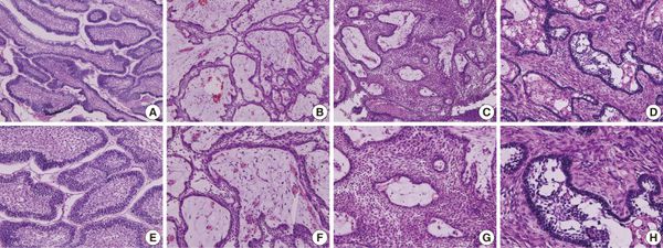
Если рассматривать срез опухоли под микроскопом, можно условно выделить шесть подтипов:
- фолликулярную амелобластому — состоит из множества мелких островков клеток, при таком строении чаще всего формируется киста (пустое ограниченное пространство, заполненное жидкостью);
- плексиформную — образована из « склеившихся » островков эпителия с двойными рядами клеток-столбиков, расположенных « спина к спине » ;
- акантоматозную — полигональные клетки ( « звёздочки » ) теряют свои отростки и образуют кератиновый жемчуг в центре опухоли;
- базально-клеточную — клетки менее столбчатые, расположены в виде листов;
- гранулярную — в цитоплазме звёздчатых клеток появляются крупнозернистые включения (гранулы);
- десмопластическую — наблюдается плотная коллагеновая строма.
![Формы амелобластом: A, E — фолликулярная; B, F — плексиформная; C, G — акантоматозная; D, H — десмопластическая [12]](/pimg3/opuxoli-kostey-lechenie-A73B77.jpeg)
Уникистозная форма — вторая по распространённости после поликистозной амелобластомы. Эта опухоль, как правило, развивается в возрасте 20–30 лет. Часто возникает повторно, примерно раз в семь лет [1] . На рентгеновском снимке опухоль выглядит как фолликулярная киста, но без зачатка зуба. Делится на два подтипа: люминальный и интралюминальный. В первом случае стенка кисты выстилается эпителием амелобластомы, во втором — эпителий выступает внутрь полости. Чаще всего на рентгенограмме определяется одна такая полость, но может быть и несколько.
Периферическая форма — самый редкий вариант. Мужчины болеют примерно в два раза чаще, чем женщины, средний возраст пациентов составляет 50 лет [10] . Опухоль возникает в мягких тканях и не проникает в кости, ограничивается слизистой оболочкой десны и альвеол. Растёт медленно и безболезненно. При исследовании среза опухоли напоминает акантоматозный тип поликистозной амелобластомы [1] .
Десмопластическая форма отличается от остальных необычным гистологическим и рентгенологическим рисунком. На рентгенограмме у неё нет чётких границ, чередуются плотные и прозрачные структуры с неровными краями. Это говорит о большей агрессивности такой формы по сравнению с остальными доброкачественными вариантами. Под микроскопом видна изменённая рыхлая соединительная ткань, окружающая островки эпителиальных клеток. Иногда изменения заметны и в костной ткани.
Метастазирующая амелобластома появляется как следствие озлокачествления одной из доброкачественных форм. Даёт метастазы во внутренние органы, чаще всего в лёгкие. По своему рентгенологическому или гистологическому строению может не отличаться от доброкачественной формы.
Амелобластическая карцинома может развиваться самостоятельно или в результате озлокачествления доброкачественной формы. Амелобластная и амелобластическая — по сути одно и то же, хотя есть незначительные отличия на клеточном уровне. Клетки карциномы становятся низкодифференцированными, т. е. после деления никак не развиваются и не меняются. Опухоль быстро и агрессивно растёт, её клетки обладают повышенной митотической активностью — стараются быстрее разделиться пополам, образуя две опухолевые клетки из одной. Новообразование становится болезненным, может выходить за пределы костной ткани. Диагностируется гистологически, т. е. изучается срез под микроскопом.
Характерные признаки амелобластической карциномы:
- много незрелых клеток с ярко выраженными ядрами (ядерный гиперхроматизм);
- есть очаги некроза — часть клеток опухоли может погибать из-за неадекватного обмена питательных веществ и выведения продуктов жизнедеятельности [1][4][6][10] .
Осложнения амелобластомы
Все осложнения амелобластомы связаны с её инвазивным ростом. При запущенных доброкачественных опухолях может деформироваться лицо и зубные ряды.
К отдалённым осложнениям относится озлокачествление опухоли. Этот процесс протекает бессимптомно, вплоть до поздних стадий, на которых диагностируется несколько опухолей и в других органах. При этом резко снижается вес, появляются сильные боли. Может нарушиться работа поражённых органов, например:
- при поражении лёгких будут проблемы с дыханием [1] ;
- при запущенном поражении костей возникают патологические переломы;
- при метастазировании в область ворот печени может возникнуть механическая желтуха; на ранних стадиях патология выявляется только с помощью биохимического анализа крови (уровня АСТ, АЛТ и щелочной фосфатазы).
Диагностика амелобластомы
При подозрении на амелобластому применяются следующие методы:
- Рентгенограмма (ортопантомограмма) — на двухмерном снимке видна опухоль с характерными признаками амелобластомы (поражение в виде мыльных пузырей), что позволяет предположить этот диагноз.
- КЛКТ (конусно-лучевая компьютерная томография) — трёхмерный снимок даёт больше информации о положении опухоли в костной ткани, её размерах и строении. Но даже с помощью этого метода можно поставить лишь предварительный диагноз [2][3] .
- МРТ (магнитно-резонансная томография) — покажет патологию в мягких тканях.
- Цитологический и гистологический метод — пункция и трепан-биопсия.
Выбор способа диагностики зависит не столько от оснащения лечебного учреждения, сколько от клинической ситуации и информации, которая нужна в данный момент. Первые три метода приведут врача к финальному гистологическому методу, который чаще всего проводится уже после того, как опухоль была удалена хирургическим путём. С его помощью можно установить форму амелобластомы.
Хотя амелобластома крайне редко становится злокачественной (описано около 30 случаев метастазирующей амелобластомы [1] ), целесообразно провести комплексное обследование: МРТ всего организма и анализ крови на онкомаркеры (Ki-67, SOX2). Эти исследования помогут заподозрить наличие злокачественной амелобластомы. Достоверно определить злокачественность опухоль можно только гистологическим методом после операции.
Только проведя весь комплекс диагностических мер и тщательно проанализировав результаты, можно поставить окончательный диагноз и назначить адекватное лечение [2] [3] [7] [9] [10] .
Дифференциальная диагностика
Лечение амелобластомы
Доброкачественные амелобластомы удаляются хирургически с иссечением 1 см здоровых тканей. Чтобы избежать рецидива, очень важно удалить всю опухоль целиком. Как правило, одновременно проводят реконструктивную пластику нижней челюсти с использованием титановых пластин и аутотрансплантата.
Амелобластная карцинома тоже удаляется хирургически, но иссекается больше здоровых тканей — 2–3 см. Затем проводится химио- и лучевая терапия: участок, где располагалась опухоль, облучают рентгеновскими лучами и принимают специальные препараты — цитостатики, которые замедляют пролиферацию (размножение) клеток , но, к сожалению, не только опухолевых, но и и всех быстро делящихся клеток организма.
Злокачественная амелобластома удаляется с иссечением 1–2 см здоровых тканей. Химио- и лучевая терапия обычно не требуются. Злокачественная амелобластома может давать метастазы, в остальном у неё сохраняются признаки доброкачественной опухоли, т. е. сами клетки не претерпевают злокачественного изменения. Лучевая терапия в этом случае не нужна.
Операцию должен проводить хирург, прошедший специальную подготовку: челюстно-лицевой хирург, пластический хирург, хирург-онколог, оториноларинголог.
Целесообразно выбрать более щадящий хирургический метод, сохраняющий функцию нижней челюсти, не обезображивающий лицо пациента и позволяющий избежать рецидива. При расположении опухоли в костном массиве производят частичную резекцию нижней челюсти с сохранением её непрерывности. При обширных амелобластомах, распространяющихся на край нижней челюсти, показана сквозная резекция нижней челюсти, при значительном разрушении ветви с поражением мыщелкового отростка — экзартикуляция нижней челюсти (вместе с опухолью) в пределах здоровых тканей [13] .

Хирургическое лечение зачастую не ограничивается непосредственно операцией по удалению опухоли. Из-за полного отсутствия симптомов на ранних сроках амелобластому обычно диагностируют достаточно поздно, когда она достигает крупных размеров. После её удаления могут оставаться значительные дефекты, нарушающие работу зубочелюстной системы и внешний вид пациента. Поэтому после удаления опухоли, как правило, следуют одна или несколько реконструктивных операций с длительной реабилитацией [5] [7] .
К реконструктивным операциям относятся:
- пересадка костного трансплантанта;
- пересадка кожи и тканевых трансплантантов — проводится, если деформированы мягкие ткани.
После таких операций пациентам рекомендуется находиться в стационаре или дома на больничном. Чаще всего требуется иммобилизация челюстей, т. е. их обездвиживание.
Прогноз. Профилактика
Доброкачественная амелобластома очень часто возникает повторно. В таких случаях снова требуется операция и, вероятнее всего, восстановительная хирургия. Метастазирующая амелобластома и амелобластная карцинома встречается очень редко, поэтому о прогнозе говорить сложно [1] [10] .
Профилактика амелобластомы
Профилактики нет, так как до сих пор не известны причины заболевания. Главным фактором в лечении будет ранняя диагностика, поэтому при появлении первых симптомов следует обратиться к врачу. Ранней диагностике также способствуют регулярные визиты к стоматологу (каждые полгода). Особенно внимательно нужно следить за своим состоянием пациентам, у которых уже была обнаружена и удалена амелобластома.
Опухоли челюстей
Опухоли челюстей - новообразования челюстных костей, исходящие непосредственно из костной ткани или структур одонтогенного аппарата. Опухоли челюстей могут проявлять себя клинически болевым синдромом, деформацией кости, асимметрией лица, смещением и подвижностью зубов, нарушением функции ВНЧС и глотания, нередко - прорастанием в полость носа, верхнечелюстную пазуху, орбиту и т. д. Диагностика опухолей челюстей предполагает рентгенологическое обследование, КТ, сцинтиграфию; при необходимости консультации окулиста, отоларинголога, риноскопию. Лечение доброкачественных опухолей челюстей - только хирургическое (выскабливание, резекция фрагмента челюсти, удаление зубов); злокачественных – комбинированное (лучевая терапия и операция).
МКБ-10


Общие сведения
Опухоли челюстей - остеогенные и неостеогенные, доброкачественные и злокачественные новообразования челюстных костей. На долю опухолей челюстно-лицевой области приходится около 15% всех заболеваний в стоматологии. Опухоли челюстей могут возникать в любом возрасте, в т. ч. довольно часто они встречаются у детей. Опухоли челюстей разнообразны по своему гистогенезу и могут развиваться из костной и соединительной ткани, костного мозга, тканей зубного зачатка, околочелюстных мягких тканей.
По мере своего роста опухоли челюстей вызывают значительные функциональные нарушения и эстетические дефекты. Лечение опухолей челюстей представляет собой технически непростую задачу, требующую объединения усилий специалистов в области челюстно-лицевой хирургии, отоларингологии, офтальмологии, нейрохирургии.

Причины
Вопрос о причинности возникновения опухолей челюстей находится в процессе изучения. На сегодняшний день доказана связь опухолевого процесса со следующими состояниями:
- одномоментной или хронической травмой (ушибом челюсти, повреждением слизистой оболочки полости рта разрушенными кариесом зубами, зубным камнем, краями пломб, некорректно подогнанными коронками и протезами и пр.)
- длительно текущими воспалительными процессами (хроническим периодонтитом, остеомиелитом челюсти, актиномикозом, синуситами и т. д.)
- не исключается вероятность развития опухолей челюсти на фоне инородных тел верхнечелюстной пазухи: пломбировочного материала, корней зубов и пр.
- воздействием неблагоприятных физических и химических факторов (ионизирующего излучения, радиойодтерапии, курения и пр.).
Вторичные злокачественные опухоли челюстей могут являться метастазами рака молочной железы, предстательной железы, щитовидной железы, почки, результатом местного распространения рака языка и др. Рак челюсти может развиваться на фоне предраковых процессов – лейкоплакии полости рта, доброкачественных опухолей полости рта (папиллом), лейкокератоза и т. п.
Среди опухолей челюстей различают одонтогенные (органоспецифические) новообразования, связанные с зубообразующими тканями, и неодонтогенные (органонеспецифические), связанные с костью. Одонтогенные опухоли челюстей, в свою очередь, могут быть доброкачественными и злокачественными; эпителиальными, мезенхимальными и смешанными (эпителиально-мезенхимальными).
- Доброкачественные одонтогенные опухоли челюстей представлены амелобластомой, обызвествленной (кальцифицирующейся) эпителиальной одонтогенной опухолью, дентиномой, аденоамелобластомой, амелобластической фибромой, одонтомой, одонтогенной фибромой, миксомой, цементомой, меланоамелобластомой и др.
- Злокачественные одонтогенные опухоли челюстей включают одонтогенный рак и одонтогенную саркому. К остеогенным опухолям челюстей относятся костеобразующие (остеомы, остеобластомы), хрящеобразующие (хондромы), соединительнотканные (фибромы), сосудистые (гемангиомы), костно-мозговые, гладкомышечные и др.
Симптомы опухолей челюстей
Доброкачественные одонтогенные опухоли челюстей
Амелобластома – наиболее частая одонтогенная опухоль челюстей, склонная к инвазивному, местно-деструирующему росту. Поражает преимущественно нижнюю челюсть в области ее тела, угла или ветви. Развивается внутрикостно, может прорастать в мягкие ткани дна полости рта и десны. Чаще проявляется в возрасте 20-40 лет.
В начальном периоде амелобластома протекает бессимптомно, однако по мере увеличения размеров опухоли возникает деформация челюсти, асимметрия лица. Зубы в области поражения часто становятся подвижными и смещаются, может отмечаться зубная боль. Опухоль верхней челюсти может прорастать в полость носа, гайморову пазуху, орбиту; деформировать твердое нёбо и альвеолярный отросток. Нередки случаи нагноения, рецидивирования и малигнизации амелобластомы. Клиническое течение таких опухолей челюсти, как амелобластическая фиброма и одонтоамелобластома, напоминает амелобластому.
Одонтома чаще возникает у детей в возрасте до 15 лет. Обычно опухоли имеют небольшие размеры, протекают бессимптомно, однако могут вызывать задержку прорезывания постоянных зубов, диастемы и тремы. Опухоли большой величины могут приводить к деформации челюсти, образованию свищей.
Одонтогенная фиброма развивается из соединительной ткани зубного зачатка; чаще возникает в детском возрасте. Рост опухоли медленный; локализация – на верхней или нижней челюсти. Одонтогенная фиброма обычно бессимптомна; в некоторых случаях могут отмечаться ноющие боли, ретенция зубов, воспалительные явления в области опухоли.
Цементома – доброкачественная опухоль челюсти, практически всегда спаянная с корнем зуба. Чаще развивается в области премоляров или моляров нижней челюсти. Протекает бессимптомно или с нерезко выраженной болезненностью при пальпации. Изредка встречается множественная гигантская цементома, которая может являться наследственным заболеванием.
Доброкачественные неодонтогенные опухоли челюстей
Остеома может иметь внутрикостный или поверхностный (экзофитный) рост. Опухоль может распространяться в верхнечелюстную пазуху, полость носа, глазницу; препятствовать припасовке зубных протезов. Остеомы нижнечелюстной локализации вызывают боль, асимметрию нижней части лица, нарушение подвижности челюсти; верхнечелюстной локализации – нарушения носового дыхания, экзофтальм, диплопию и другие нарушения.
Остеоид-остеома сопровождается интенсивным болевым синдромом, обостряющимся по ночам, во время приема пищи; асимметрией лица. При осмотре полости рта определяется выбухание кости (чаще в области премоляров и моляров нижней челюсти), гиперемия слизистой оболочки.
Остеобластокластома (гигантоклеточная опухоль челюсти) преимущественно встречается в молодом возрасте (до 20 лет). Развитие клинической картины характеризуется нарастанием боли в челюсти, асимметрии лица и подвижности зубов. Ткани над опухолью изъязвляются; образуются свищи; отмечается повышение температуры тела. Истончение кортикального слоя приводит к возникновению патологических переломов нижней челюсти.
Гемангиома челюсти сравнительно редко бывает изолированной и в большинстве случаев сочетается с гемангиомой мягких тканей лица и полости рта. Сосудистые опухоли челюстей проявляются повышенной кровоточивостью десен, кровотечениями из корневых каналов при лечении пульпита или периодонтита, из лунки при удалении зуба и пр. При осмотре может выявляться флюктуация, расшатанность зубов, синюшность слизистой оболочки.
Злокачественные опухоли челюстей
Злокачественные опухоли челюстей встречаются в 3-4 раза реже доброкачественных. При раке челюсти рано возникают боли, имеющие иррадиирующий характер, подвижность и выпадение зубов, возможны патологические переломы челюсти. Злокачественные опухоли челюстей разрушают костную ткань; прорастают околоушные и поднижнечелюстные железы, жевательные мышцы; метастазируют в шейные и поднижнечелюстные лимфоузлы.
Карцинома верхней челюсти может прорастать в глазницу, полость носа или решетчатый лабиринт. В этом случае отмечаются рецидивирующие носовые кровотечения, односторонний гнойный ринит, затруднение носового дыхания, головные боли, слезотечение, экзофтальм, диплопия, хемоз. При вовлечении ветвей тройничного нерва беспокоят оталгии.
Злокачественные опухоли нижней челюсти рано инфильтрируют мягкие ткани дна полости рта и щек, изъязвляются, кровоточат. Вследствие контрактур крыловидной и жевательной мышц затрудняется смыкание и размыкание зубов. Остеогенные саркомы отличаются стремительным ростом, быстро прогрессирующей инфильтрацией мягких тканей, асимметрией лица, нестерпимой болью, ранним метастазированием в легкие и другие органы.
В большинстве случаев опухоли челюстей диагностируются уже в поздних стадиях, что объясняется неспецифичностью симптоматики или бессимптомным течением, низкой онкологической настороженностью населения и специалистов (стоматологов, отоларингологов и др.). В выявлении опухолей челюстей могут помочь тщательный сбор анамнеза, визуальное и пальпаторное исследование мягких тканей лица и полости рта. Обязательным этапом диагностики является:
- Рентгенологическое обследование. Рентгенография и КТ челюстей, рентгенография и КТ придаточных пазух носа. Определенную диагностическую ценность может представлять сцинтиграфия, термография.
- Биопсия. При обнаружении увеличенных шейных или подчелюстных лимфоузлов выполняется пункционная биопсия лимфатического узла.
- Консультации смежных специалистов. При подозрении на злокачественную опухоль челюсти необходима консультация отоларинголога с проведением риноскопии и фарингоскопии; офтальмолога с комплексным офтальмологическим обследованием.
- Диагностические операции. В ряде случаев приходится прибегать к диагностической гайморотомии или диагностической пункции околоносовой пазухи с последующим цитологическим исследованием промывных вод. Окончательная гистологическая верификация осуществляется с помощью морфологического исследования биоптата.

Лечение опухолей челюстей
Лечение большей части доброкачественных опухолей челюстей – хирургическое. Наиболее оптимальным является удаление новообразования с резекцией челюстной кости в пределах здоровых границ; такой объем вмешательства позволяет предотвратить рецидивы и возможную малигнизацию опухоли. Зубы, прилегающие к опухоли, также часто подлежат экстракции. Возможно удаление некоторых доброкачественных опухолей челюстей, не склонных к рецидивированию, щадящим методом с помощью кюретажа.
При злокачественных опухолях челюстей используется комбинированный метод лечения: гамма-терапия с последующим хирургическим лечением (резекцией или экзартикуляцией челюсти, лимфаденэктомией, экзентерацией глазницы, операцией на околоносовых пазухах и пр.). В запущенных случаях назначается паллиативная лучевая терапия или химиотерапевтическое лечение.
В послеоперационном периоде, особенно после обширных резекций, больным может потребоваться ортопедическое лечение с помощью специальных шин, реконструктивные операции (костная пластика), длительная функциональная реабилитация для восстановления функций жевания, глотания, речи.
Прогноз
При своевременном и радикальном лечении доброкачественных одонтогенных и неодонтогенных опухолей челюстей прогноз для жизни хороший. В случае нерадикально выполненной операции или неправильной оценки характера опухоли есть вероятность рецидива или малигнизации. Течение злокачественных опухолей челюстей крайне неблагоприятное. При раке и саркоме челюсти пятилетняя выживаемость пациентов после комбинированного лечения составляет менее 20%.
Гигантоклеточная опухоль кости ( Остеобластокластома , Остеокластома )
Гигантоклеточная опухоль кости – это доброкачественное, реже злокачественное новообразование, состоящее из мононуклеарных и гигантских многоядерных клеток, напоминающих остеокласты. Чаще локализуется в метафизах длинных трубчатых костей. Протекает бессимптомно или проявляется болями, припухлостью, локальной гипертермией, ограничением движений. Диагностика базируется на данных опроса, объективного осмотра, рентгенографии, компьютерной томографии, других аппаратных методик, цитологического и гистологического исследования. Лечение – хирургическое вмешательство, лучевая терапия.

Гигантоклеточная опухоль кости (ГКО, остеобластокластома, остеокластома) – неоплазия с двумя клиническими вариантами течения. Данные о распространенности существенно разнятся – от 4 до 25% от общего количества опухолевых поражений скелета. Доля злокачественного варианта составляет 5-10%. 80% пациентов находятся в возрастной категории 20-50 лет, пик заболеваемости приходится на третье десятилетие жизни. Женщины страдают несколько чаще мужчин. В 50-65% случаев поражается область коленного сустава (дистальная часть бедра или проксимальная часть голени).
Этиология гигантоклеточных опухолей окончательно не выяснена. Специалисты придерживаются общей для всех новообразований концепции Петерсона, согласно которой неоплазии являются полиэтиологическим заболеванием, возникают при сочетании внешних и внутренних неблагоприятных влияний. К экзогенным факторам риска относят вредные биологические (вирусные), химические, лучевые воздействия. Эндогенными факторами считаются обменные расстройства, нарушения гормонального баланса, снижение реактивности организма.
Патанатомия
В 89% ГКО формируется в длинных трубчатых костях. Нижние конечности поражаются двое чаще верхних. Первое место по распространенности занимает дистальный метафиз бедра, второе – проксимальная часть большеберцовой либо малоберцовой кости, третье – периферические отделы луча, четвертое – дистальная часть большеберцовой кости. Позвонки, мелкие и плоские кости страдают редко.
Характерны одиночные очаги, в литературе также описываются отдельные двойные локализации, чаще расположенные близко друг к другу в сочленяющихся костях. Гигантоклеточная опухоль находится в метафизе, иногда растет в сторону диафиза. Первично диафизарное расположение выявляется крайне редко. Одноядерные клетки новообразования имеют сходство с остеобластами, гигантские многоядерные – с остеокластами. В ткани неоплазии выявляются костные балочки, включения остеоида.
Доброкачественные опухоли имеют типичное строение. При озлокачествлении возможны три варианта. Первый – остеокластома метастазирует, сохраняя стандартную структуру (которая, выявляется, в том числе, в отдаленных очагах). Второй – первично злокачественная ГКО, которая отличается от доброкачественной наличием атипии и митозов преимущественно в одноядерных клетках. Третий – трансформация первично доброкачественной остеобластокластомы в различные виды сарком: остеогенную, веретеноклеточную, фибросаркому.
Симптомы
У большинства пациентов на начальной стадии единственным проявлением доброкачественной (типичной) гигантоклеточной опухоли является боль в зоне поражения. Иногда прослеживается связь между болевым синдромом и предшествующим травматическим повреждением. Симптом выражен умеренно, эпизодически беспокоит при движениях, имеет ноющий либо тянущий характер. Реже болезненности сопутствует появление опухолевидного образования, еще реже припухлость возникает без болевых ощущений.
У взрослых ГКО крайне редко манифестирует патологическим переломом. В то же время, у детей доля этого признака составляет более 50%. Все проявления, кроме патологического перелома, не доставляют особого беспокойства, поэтому больные впервые обращаются к врачу через 8 и более месяцев после дебюта заболевания, на стадии формирования развернутой клинической картины. На этом этапе боли выявляются у всех пациентов, нарастают при физической нагрузке, сохраняются в покое, зачастую беспокоят постоянно, усиливаются по ночам.
Пальпируемая неоплазия обнаруживается в 70-75% случаев. У остальных больных отмечается локальный отек мягких тканей. Частым симптомом в этом периоде становится ограничение подвижности в близлежащем суставе. Проявление, как правило, связано с усилением боли во время движений. Иногда отмечаются постепенно формирующиеся контрактуры, напрямую не связанные с болевым синдромом. У некоторых пациентов определяется выпот.
Злокачественная гигантоклеточная опухоль проявляется аналогичными признаками. Основными отличиями считаются незначительная продолжительность периода первичной симптоматики, быстрое прогрессирование, более высокая интенсивность болезненных ощущений. Новообразование, в среднем, начинает прощупываться через 4 месяца, развернутая клиническая картина выявляется спустя полгода с момента появления первых симптомов остеобластокластомы. Метастазы в легкие, другие кости, мягкие ткани обнаруживаются редко.
Первичные диагностические мероприятия осуществляются травматологами-ортопедами, в дальнейшем пациентов направляют к специалистам в области остеоонкологии. Характер патологии определяют на основании жалоб, данных физикального обследования, дополнительных исследований. В ходе внешнего осмотра выявляют опухолевидное образование костной плотности, отек и гиперемию, оценивают объем движений. Для уточнения вида новообразования применяют следующие методы:
- Рентгенография кости. На снимках визуализируется кистообразные изменения или неоплазия в виде «мыльных пузырей» в метафизарной зоне. Признаки общего остеопороза отсутствуют, вокруг измененного участка может просматриваться остеосклероз. Границы доброкачественной ГКО более четкие, но из-за местно-агрессивного роста при значительном размере возможно появление «костного козырька». Выраженная периостальная реакция нехарактерна. Злокачественная остеокластома имеет нечеткую структуру. На снимках рано обнаруживается разрушение кортикального слоя.
- КТ и МРТ кости. Компьютерная томография дает более четкое представление о форме, размерах, границах гигантоклеточной опухоли, в сомнительных случаях позволяет подтвердить или опровергнуть разрыв коркового слоя. В ходе магнитно-резонансной томографии исследуют интрамедуллярный и кистозный компоненты, оценивают состояние окружающих мягких тканей, расположение сосудов и нервов. Методики помогают выбрать оптимальный вариант хирургического вмешательства, спланировать операцию.
- Другие аппаратные исследования. При злокачественном процессе назначают сцинтиграфию костей скелета или ПЭТ-КТ. Благодаря накоплению остеотропных фармпрепаратов, методы хорошо визуализируют новообразование, выявляют вторичные костные очаги. Ангиография при злокачественном течении свидетельствует о формировании беспорядочной сосудистой сети с артериями неравномерного диаметра. Рентгенография легких показана при подозрении на метастазирование.
- Морфологические исследования. Верификацию гигантоклеточной опухоли осуществляют путем цитологического или гистологического анализа. Материал получают методом аспирационной биопсии или трепанобиопсии. Вероятность точного определения вида и степени дифференцировки неоплазии составляет 80-90%, сложности чаще возникают при рецидивах. При недостаточной информативности выполняют повторный забор ткани методом открытой биопсии.
- Другие лабораторные анализы. Результаты тестов неспецифичны, но способствуют дифференцировке доброкачественных и злокачественных ГКО. В первом случае изменения отсутствуют, во втором в крови выявляются ускорение СОЭ, лейкоцитоз, снижение железа и белка, увеличение уровня щелочной фосфатазы, фосфора, кальция. В моче обнаруживаются гексокиназа, оксипролин.
Различение проводят с аневризмальной костной кистой (чаще – солидным вариантом), центральной гигантоклеточной гранулемой, хондробластомой. Также требуется дифференциальная диагностика с неоссифицирующей фибромой и остеосаркомой.
Лечение гигантоклеточной опухоли кости
Основной метод лечения ГКО – хирургическое вмешательство. Объем операции выбирают с учетом размеров и распространенности неоплазии. В случаях «неудобного» расположения (в позвонках, плоских костях) или незначительного поражения трубчатых костей осуществляют экскохлеацию. Новообразования среднего размера удаляют методом краевой резекции. При вовлечении половины и более диаметра либо центральном расположении прибегают к сегментарной резекции. По показаниям применяют костно-пластические методики для замещения образовавшегося дефекта. Ампутации требуются редко.
При ограниченных легочных метастазах производят парциальную резекцию легких. Лучевая терапия показана при труднодоступных неоплазиях, прежде всего – расположенных в верхних отделах крестца. Метод также используется при отказе от операции, наличии тяжелой соматической патологии. В рамках комбинированного лечения рекомендован в пред- и послеоперационном периоде. Чаще всего проводится дистанционная гамма-терапия.
Прогноз доброкачественной гигантоклеточной опухоли кости достаточно благоприятный – после радикального иссечения с соблюдением принципов абластичности в большинстве случаев наступает выздоровление. Частота рецидивирования напрямую зависит от выбранного оперативного метода, составляет 46% после экскохлеации, 30% после краевой резекции и 6,6% после радикальной резекции. При злокачественном характере патологического процесса пятилетняя выживаемость составляет 35%, через 10 лет в живых остается 18% больных.
1. Первичные опухоли костей и костные метастазы. Диагностика и принципы лечения. Учебное пособие/ Маланин Д.А., Черезов Л.Л. – 2007.
2. Дифференциальная диагностика гигантоклеточных опухолей у детей. Автореферат диссертации/ Рогожин Д.В. – 2018.
Опухоли костей ( Новообразования костей )
Опухоли костей – группа злокачественных и доброкачественных новообразований, возникающих из костной либо хрящевой ткани. Чаще в эту группу относят первичные опухоли, но ряд исследователей называет опухолями костей и вторичные процессы, которые развиваются в костях при метастазировании злокачественных новообразований, расположенных в других органах. Для уточнения диагноза используется рентгенография, КТ, МРТ, УЗИ, радионуклидные методы и биопсия тканей. Лечение доброкачественных и первичных злокачественных опухолей костей обычно оперативное. При метастазах чаще используются консервативные методики.




Опухоли костей – злокачественное или доброкачественное перерождение костной либо хрящевой ткани. Первичные злокачественные новообразования костей встречаются редко и составляют около 0,2-1% от общего числа опухолей. Вторичные (метастатические) костные опухоли являются распространенным осложнением других злокачественных новообразований, например, рака легких или рака молочной железы. У детей чаще выявляются первичные опухоли костей, у взрослых – вторичные.
Доброкачественные опухоли костей обнаруживаются реже злокачественных. Большинство новообразований локализуется в области трубчатых костей (в 40-70% случаев). Нижние конечности поражаются вдвое чаще верхних. Проксимальная локализация считается прогностически неблагоприятным признаком – такие опухоли протекают более злокачественно и сопровождаются частыми рецидивами. Первый пик заболеваемости приходится на 10-40 лет (в этом периоде чаще развивается саркома Юинга и остеосаркома), второй – на возраст после 60 лет (чаще возникают фибросаркомы, ретикулосаркомы и хондросаркомы). Лечением доброкачественных опухолей костей занимаются ортопеды, травматологи и онкологи, злокачественных – только онкологи.

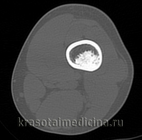
КТ левого бедра. Объемное образование (оссифицированная энхондрома) в нижней трети диафиза бедренной кости.
Доброкачественные опухоли костей
Остеома
Одна из самых благоприятно текущих доброкачественных опухолей костей. Представляет собой нормальную губчатую или компактную кость с элементами перестройки. Чаще остеома выявляется в подростковом и юношеском возрасте. Растет очень медленно, может годами протекать бессимптомно. Обычно локализуется в костях черепа (компактная остеома), плечевых и бедренных костях (смешанные и губчатые остеомы). Единственная опасная локализация – на внутренней пластинке костей черепа, поскольку опухоль может сдавливать мозг, вызывая повышение внутричерепного давления, эпиприпадки, расстройства памяти и головные боли.
Представляет собой неподвижное, гладкое, плотное безболезненное образование. На рентгенограмме костей черепа компактная остеома отображается в виде овального или округлого плотного гомогенного образования с широким основанием, четкими границами и ровными контурами. На рентгенограммах трубчатых костей губчатые и смешанные остеомы выявляются, как образования, имеющие гомогенную структуру и четкие контуры. Лечение – удаление остеомы в сочетании с резекцией прилегающей пластинки. При бессимптомном течении возможно динамическое наблюдение.
Остеоид-остеома
Опухоль кости, состоящая из остеоида, а также незрелой костной ткани. Характерны малые размеры, хорошо заметная зона реактивного костеобразования и четкие границы. Чаще выявляется у молодых мужчин и локализуется в трубчатых костях нижних конечностей, реже – в области плечевых костей, таза, костей запястья и фаланг пальцев. Как правило, проявляется резкими болями, в отдельных случаях возможно бессимптомное течение. На рентгенограммах выявляется в виде овального или округлого дефекта с четкими контурами, окруженного зоной склерозированной ткани. Лечение – резекция вместе с очагом склероза. Прогноз благоприятный.

Остеобластома
Опухоль кости, по строению похожая на остеоид-остеому, но отличающаяся от нее большими размерами. Обычно поражает позвоночник, бедренную, большеберцовую и тазовые кости. Проявляется выраженным болевым синдромом. В случае поверхностного расположения может выявляться атрофия, гиперемия и отек мягких тканей. Рентгенологически определяется овальный или округлый участок остеолиза с нечеткими контурами, окруженный зоной незначительного перифокального склероза. Лечение – резекция вместе со склерозированным участком, расположенным вокруг опухоли. При полном удалении прогноз благоприятный.
Остеохондрома
Другое название этой опухоли - "костно-хрящевой экзостоз", локализуется в зоне хряща длинных трубчатых костей. Состоит из костной основы, покрытой хрящевым покровом. В 30% случаев остеохондрома выявляется в области колена. Может развиваться в проксимальной части плечевой кости, головке малоберцовой кости, позвоночнике и костях таза. Из-за расположения вблизи сустава нередко становится причиной реактивного артрита, нарушения функции конечности. При проведении рентгенографии выявляется четко очерченная бугристая опухоль с негомогенной структурой на широкой ножке. Лечение – резекция, при образовании значительного дефекта – костная пластика. При множественных экзостозах ведется динамическое наблюдение, операция показана при быстром росте или сдавлении соседних анатомических образований. Прогноз благоприятный.
Хондрома

Доброкачественная опухоль кости, развивающаяся из хрящевой ткани. Может быть одиночной либо множественной. Локализуется хондрома в костях стопы и кисти, реже – в ребрах и трубчатых костях. Может располагаться в костномозговом канале (энхондрома) или по наружной поверхности костей (экхондрома). Озлокачествляется в 5-8% случаев. Обычно течет бессимптомно, возможны неинтенсивные боли. На рентгеновских снимках определяется округлый либо овальный очаг деструкции с четкими контурами. Отмечается неравномерное расширение кости, у детей возможна деформация и отставание роста сегмента конечности. Лечение хирургическое: резекция (при необходимости с эндопротезированием или костной пластикой), при поражении костей стопы и кисти иногда требуется ампутация пальцев. Прогноз благоприятный.
Злокачественные опухоли костей

КТ таза. Метастатическая карцинома подвздошной кости слева с деструкцией костной ткани (красная стрелка) и обширным мягкоктанным компонентом (зеленая стрелка)
Остеогенная саркома
Опухоль кости, возникающая из костной ткани, склонная к бурному течению, быстрому образованию метастазов. Развивается преимущественно в возрасте 10-30 лет, мужчины страдают вдвое чаще женщин. Обычно локализуется в метаэпифизах костей нижних конечностей, в 50% случаев поражает бедро, затем следуют большеберцовая, малоберцовая, плечевая, локтевая кости, кости плечевого пояса и таза. На начальных стадиях проявляется тупыми неясными болями. Затем метаэпифизарный конец кости утолщается, ткани становятся пастозными, образуется видимая венозная сеть, формируются контрактуры, боли усиливаются, становятся невыносимыми.
На рентгенограммах бедра, голени и других пораженных костей на начальных стадиях выявляется очаг остеопороза со смазанными контурами. В последующем образуется дефект костной ткани, определяется веретенообразное вздутие надкостницы и игольчатый периостит. Лечение – оперативное удаление опухоли. Раньше применяли ампутации и экзартикуляции, теперь чаще выполняют органосохраняющие операции на фоне пред- и послеоперационной химиотерапии. Дефект кости замещают аллопротезом, имплантатом из металла или пластика. Пятилетняя выживаемость – примерно 70% при локализованных опухолях.
Хондросаркома
Злокачественная опухоль кости, образующаяся из хрящевой ткани. Встречается редко, как правило – у пожилых мужчин. Обычно локализуется в ребрах, костях плечевого пояса, костях таза и проксимальных отделах костей нижних конечностей. В 10-15% образованию хондросаркомы предшествуют экхондромы, энхондромы, остеохондроматоз, солитарные остеохондромы, болезнь Педжета и болезнь Олье.
Проявляется интенсивными болями, затруднением движений в прилегающем суставе и отечностью мягких тканей. При расположении в позвонках развивается пояснично-крестцовый радикулит. Течение обычно медленное. На рентгенограммах обнаруживается очаг деструкции. Кортикальный слой разрушен, периостальные наложения выражены нерезко, имеют вид спикул или козырька. Для уточнения диагноза могут назначаться МРТ, КТ, остеосцинтиграфия, открытая и проникающая игольчатая биопсия. Лечение чаще комплексное – химиохирургическое или радиохирургическое.
Саркома Юинга
Третья по распространенности злокачественная опухоль кости. Чаще поражает дистальные отделы длинных трубчатых костей нижних конечностей, реже выявляется в области костей плечевого пояса, ребер, таза и позвоночника. Описана в 1921 году Джеймсом Юингом. Обычно диагностируется у подростков, мальчики страдают в полтора раза чаще девочек. Является чрезвычайно агрессивной опухолью – еще на этапе постановки диагноза у половины больных обнаруживаются метастазы, выявляемые при помощи обычных методов исследования. Частота микрометастазирования еще выше.
На ранних стадиях проявляется неясными болями, усиливающимися по ночам и не стихающими в покое. В последующем болевой синдром становится интенсивным, нарушает сон, препятствует повседневной активности, вызывает ограничение движений. На поздних стадиях возможны патологические переломы. Характерны также общие симптомы: снижение аппетита, кахексия, повышение температуры, анемия. При осмотре выявляется расширение подкожных вен, пастозность мягких тканей, местная гипертермия и гиперемия.
Для уточнения диагноза может назначаться рентгенография, КТ, МРТ, позитронно-эмиссионная томография, ангиография, остеосцинтиграфия, УЗИ, трепанобиопсия, биопсия опухоли, молекулярно-генетическое и иммуногистохимическое исследования. На рентгеновских снимках определяется зона с участками деструкции и остеосклероза. Кортикальный слой нечеткий, расслоен и разволокнен. Выявляется игольчатый периостит и выраженный мягкотканный компонент с однородной структурой.
Лечение – многокомпонентная химиотерапия, лучевая терапия, при возможности осуществляется радикальное удаление опухоли (включая мягкотканный компонент), при этом в последние годы часто применяются органосохраняющие операции. При невозможности удалить новообразование полностью выполняется нерадикальное вмешательство. Все операции проводятся на фоне пред- и послеоперационной лучевой и химиотерапии. Пятилетняя выживаемость при саркоме Юинга – около 50%.
1. Ортопедия. Руководство для практикующих врачей/ Корнилов Н.В., Грязнухин Э.Г., Осташко В.И., Редько К.Г. - 2001
Читайте также:
