Остеомиелит основания черепа при злокачественном наружном отите и его лечение
Добавил пользователь Евгений Кузнецов Обновлено: 08.01.2026
Причины и диагностика остеомиелита основания черепа (некротизирующего злокачественного наружного отита)
Остеомиелит основания черепа (некротизирующий злокачественный наружный отит) потенциально смертельное заболевание, которое нужно рассматривать в более широких рамках остеомиелита височной кости и основания черепа. К счастью, благодаря появлению эффективных антипсевдомонадных антибиотиков, частота встречаемости остеомиелита основания черепа значительно снизилась. Тем не менее, данное состояние все еще встречается, преимущественно у лиц с иммунодефицитом, сахарным диабетом и у пожилых.
Остеомиелит основания черепа рассматриваться в качестве возможного заболевания у всех больных со стойким наружным отитом, не поддающимся лечению.
а) Причины остеомиелита основания черепа. Возбудителем практически всегда является синегонойная палочка, хотя в некоторых случаях высеиваются Р. mirabilis, Aspergillus fumigatus, протеи, клебсиеллы, стафилококки.
При отсутствии лечения заболевание прогрессирует, поражая черепные нервы, в первую очередь лицевой. Боль часто нестерпимая, глубокая. Возможно нарушение функции сразу нескольких черепных нервов, обычно это ЧН VII, IX, X и XI.

б) Симптомы и клиника некротизирующего злокачественного наружного отита. Диагноз ставится на основе анамнеза, осмотра, лабораторных данных. Четырьмя основными признаками заболевания являются:
(1) постоянная, глубокая боль в ухе, которая длится более месяца;
(2) длительная оторея на протяжении нескольких недель с образованием грануляционной ткани в слуховом проходе;
(3) сахарный диабет, иммунодефицит, преклонный возраст;
(4) поражение черепных нервов.
Обычно остеомиелит основания черепа начинается как острый наружный отит, который не разрешается после описанного выше лечения. В анамнезе имеются сведения о длительно текущем инфекционном процессе в слуховом проходе, который сопровождается выделениями из уха и сильной болью в глубоких отделах головы. Чаще всего страдают пожилые люди с неконтролируемым сахарным диабетом, также его можно встретить у лиц с тяжелыми хроническими заболеваниями, инвалидов, пациентов с иммунодефицитом. Если ВИЧ-статус пациента неизвестен, его обязательно нужно уточнить.
Осмотр. У большинства пациентов на нижней стенке слухового прохода обнаруживается большое количество грануляционной ткани, которая даже может выходить наружу. Очень часто барабанную перепонку визуализировать невозможно, что при простом наружном отите встречается достаточно редко. Кожа слухового прохода обычно гиперемирована, утолщена, мацерирована. Часто имеются гнойные выделения. Возможно нарушение функции нижних черепных нервов.

в) Лучевая диагностика остеомиелита основания черепа. КТ височных костей с контрастом позволяет получить очень точную информацию о состоянии костных тканей, но мягкие ткани визуализируются хуже. При помощи КТ можно обнаружить даже небольшие изменения, например, эрозию передней стенки слухового прохода с повреждением височно-нижнечелюстного сустава, деструкцию барабанного кольца или основания черепа. Также на КТ можно увидеть утолщение кожи слухового прохода и затемнение клеток сосцевидного отростка.
МРТ с гадолинием или без позволяет более точно оценить распространенность процесса в медиальном направлении. При распространении его на центральные отделы основания черепа отмечается повышение интенсивности сигнала от твердой мозговой оболочки и костного мозга. Вовлечение в процесс головного мозга легко визуализировать при помощи МРТ с гадолинием. МРТ не позволяет достоверно оценить состояние костных тканей. При помощи МР-ангиографии или венографии можно неинвазивно оценить проходимость синусов твердой мозговой оболочки и крупных сосудов шеи.
Изменения, которые наблюдаются на МРТ, сохраняются достаточно длительное время даже после разрешения процесса. Следовательно, несмотря на то, что МРТ полезна для оценки распространенности заболевания, для оценки течения заболевания она неинформативна.
В качестве одного из методов диагностики остеомиелита основания черепа предлагается использовать сцинтиграфию костной ткани с технецием-99 или галлием-67. В отношении обнаружения инфекционного процесса чувствительность этого метода достаточно велика, однако специфичность в отношении установления первопричины значительно ниже. Исследование с технецием-99 позволяет достоверно оценить функциональное, но не анатомическое состояние костной ткани. Положительный результат свидетельствует о повышении активности остеобластов на 10% от нормы или выше.
Изменения будут наблюдаться при остром и хроническом остеомиелите, а также в области активной регенерации костной ткани даже без присутствия инфекции (например, после травмы). Сканирование с галлием-67 проводится с аналогичными целями. Считается, что галлий-67 встраивается в белки и полиморфно-ядерные лейкоциты в очагах активной инфекции в качестве комплекса галлий-67-лактоферрин. Он позволяет оценить сам очаг инфекции, но не полную распространенность остеомиелита. По мере лечения результаты сканирования с галлием-67 будут постепенно приходить в норму, в то время как результаты сцинтиграфии с технецием-99 будут оставаться на исходном уровне еще несколько месяцев. Перед началом лечения рекомендуется выполнить оба исследования, т. к. в дальнейшем это упрощает контроль динамики.
Согласно последним данным, сцинтиграфия с меченными лейкоцитами, меченными индием-111, более достоверно выявляет очаги остеомиелита, чем сцинтиграфия или томография с галлием-67 или технецием-99 метилен дифосфатом. Вероятно, в будущем она станет одним из основных методов диагностики остеомиелита основания черепа.
г) Дифференциальная диагностика. В список заболеваний для дифференциального диагноза входят тяжелый острый наружный отит, плоскоклеточный рак, гломусная опухоль, холестеатома, рак носоглотки, болезнь Хенда-Крисчена-Шюллера, эозинофильная гранулема, хордома ската. При наличии соответствующей клиники врач должен быть крайне настороженным.
Редактор: Искандер Милевски. Дата обновления публикации: 18.3.2021
Остеомиелит
Остеомиелит – воспаление костного мозга, при котором обычно поражаются все элементы кости (надкостница, губчатое и компактное вещество). В зависимости от этиологии остеомиелита он подразделяется на неспецифический и специфический (туберкулезный, сифилитический, бруцеллезный и т. п.); посттравматический, гематогеный, послеоперационный, контактный. Клиническая картина зависит от вида остеомиелита и его формы (острая или хроническая). Основу лечения острого остеомиелита составляет вскрытие и санация всех гнойников, при хроническом остеомиелите - удаление полостей, свищей и секвестров.
МКБ-10


Общие сведения
Остеомиелит (от лат. osteon кость + myelos костный мозг + itis воспаление) – воспаление костного мозга, при котором обычно поражаются все элементы кости (надкостница, губчатое и компактное вещество). По статистике, остеомиелит после травм и операций составляет 6,5% всех болезней опорно-двигательного аппарата. Чаще поражает бедренную и плечевую кость, кости голени, позвонки, нижнечелюстные суставы и верхнюю челюсть. После открытых переломов диафиза трубчатых костей посттравматический остеомиелит возникает в 16,3% случаев. Мужчины болеют остеомиелитом чаще женщин, дети и пожилые – чаще людей молодого и среднего возраста.
Классификация
Выделяют неспецифический и специфический остеомиелит. Неспецифический остеомиелит вызывают гноеродные бактерии: золотистый стафилококк (90% случаев), стрептококк, кишечная палочка, реже – грибки. Специфический остеомиелит возникает при туберкулезе костей и суставов, бруцеллезе, сифилисе и т. д.
В зависимости от пути, которым микробы проникают в кость, различают эндогенный (гематогенный) и экзогенный остеомиелит. При гематогенном остеомиелите возбудители гнойной инфекции заносятся через кровь из удаленного очага (фурункул, панариций, абсцесс, флегмона, инфицированная рана или ссадина, тонзиллит, синусит, кариозные зубы и пр.). При экзогенном остеомиелите инфекция проникает в кость при ранении, операции или распространяется с окружающих органов и мягких тканей.
В начальных стадиях экзогенный и эндогенный остеомиелит различаются не только по происхождению, но и по проявлениям. Затем отличия сглаживаются и обе формы болезни протекают одинаково. Выделяют следующие формы экзогенного остеомиелита:
- посттравматический (после открытых переломов);
- огнестрельный (после огнестрельных переломов);
- послеоперационный (после проведения спиц или операций на костях);
- контактный (при переходе воспаления с окружающих тканей).
Как правило, остеомиелит вначале протекает остро. В благоприятных случаях заканчивается выздоровлением, в неблагоприятных – переходит в хронический. При атипичных формах остеомиелита (абсцессе Броди, альбуминозном остеомиелите Оллье, склерозирующем остеомиелите Гарре) и некоторых инфекционных болезнях (сифилисе, туберкулезе и др.) острая фаза воспаления отсутствует, процесс носит первично-хронический характер.
Острый остеомиелит
Проявления острого остеомиелита зависят от пути проникновения инфекции, общего состояния организма, обширности травматического поражения кости и окружающих мягких тканей. На рентгенограммах изменения видны спустя 2-3 недели с начала заболевания.
Гематогенный остеомиелит
Как правило, развивается в детском возрасте, причем треть пациентов заболевает в возрасте до 1 года. Достаточно редкие случаи развития гематогенного остеомиелита у взрослых на самом деле являются рецидивами болезни, перенесенной в детском возрасте. Чаще поражает большеберцовую и бедренную кости. Возможно множественное поражение костей.
Из удаленного очага воспаления (абсцесс мягких тканей, флегмона, инфицированная рана) микробы с кровью разносятся по организму. В длинных трубчатых костях, особенно – в их средней части хорошо развита широкая сеть сосудов, в которой скорость кровотока замедляется. Возбудители инфекции оседают в губчатом веществе кости. При неблагоприятных условиях (переохлаждение, снижение иммунитета) микробы начинают усиленно размножаться, развивается гематогенный остеомиелит. Выделяют три формы заболевания:
Септико-пиемическая форма. Характерно острое начало и выраженная интоксикация. Температура тела поднимается до 39—40°, сопровождается ознобом, головной болью и повторной рвотой. Возможны потеря сознания, бред, судороги, гемолитическая желтуха. Лицо больного бледное, губы и слизистые оболочки синюшны, кожа сухая. Пульс учащенный, давление снижено. Селезенка и печень увеличиваются, иногда развивается бронхопневмония.
На 1-2 сутки болезни появляется точно локализованная, резкая, сверлящая, распирающая или рвущая, усиливающаяся при малейших движениях боль в области поражения. Мягкие ткани конечности отечны, кожа горячая, красная, напряженная. При распространении на близлежащие суставы развивается гнойный артрит.
Через 1-2 недели в центре поражения формируется очаг флюктуации (жидкость в мягких тканях). Гной проникает в мышцы, образуется межмышечная флегмона. Если флегмону не вскрыть, она может вскрыться самостоятельно с образованием свища или прогрессировать, приводя к развитию параартикулярной флегмоны, вторичного гнойного артрита или сепсиса.
Местная форма. Общее состояние страдает меньше, иногда остается удовлетворительным. Преобладают признаки местного воспаления кости и мягких тканей.
Адинамическая (токсическая) форма. Встречается редко. Характеризуется молниеносным началом. Преобладают симптомы острого сепсиса: резкое повышение температуры, тяжелый токсикоз, судороги, потеря сознания, выраженное снижение артериального давления, острая сердечно-сосудистая недостаточность. Признаки костного воспаления слабые, появляются поздно, что затрудняет постановку диагноза и проведение лечения.
Посттравматический остеомиелит
Возникает при открытых переломах костей. Развитию болезни способствует загрязнение раны в момент травмы. Риск развития остеомиелита увеличивается при оскольчатых переломах, обширных повреждениях мягких тканей, тяжелых сопутствующих повреждениях, сосудистой недостаточности, снижении иммунитета.
Посттравматический остеомиелит поражает все отделы кости. При линейных переломах зона воспаления обычно ограничена местом перелома, при оскольчатых переломах гнойный процесс склонен к распространению. Сопровождается гектической лихорадкой, выраженной интоксикацией (слабость, разбитость, головная боль и т. д.), анемией, лейкоцитозом, повышением СОЭ. Ткани в области перелома отечны, гиперемированы, резко болезненны. Из раны выделяется большое количество гноя.

МРТ стопы. Остеомиелит таранной и большеберцовой кости с наличием обширной зоны деструкции костной ткани.
Огнестрельный остеомиелит
Чаще возникает при обширных поражениях костей и мягких тканей. Развитию остеомиелита способствует психологический стресс, снижение сопротивляемости организма и недостаточная обработка раны.
Общие симптомы сходны с посттравматическим остеомиелитом. Местная симптоматика при остром огнестрельном остеомиелите нередко выражена слабо. Отек конечности умеренный, обильное гнойное отделяемое отсутствует. О развитии остеомиелита свидетельствует изменение раневой поверхности, которая становится тусклой и покрывается серым налетом. В последующем воспаление распространяется на все слои кости.
Несмотря на наличие очага инфекции, при огнестрельном остеомиелите обычно наступает сращение кости (исключение – значительная раздробленность кости, большое смещение отломков). При этом гнойные очаги оказываются в костной мозоли.
Послеоперационный остеомиелит
Является разновидностью посттравматического остеомиелита. Возникает после операций по остеосинтезу закрытых переломов, ортопедических операций, проведения спиц при наложении компрессионно-дистракционных аппаратов или наложении скелетного вытяжения (спицевой остеомиелит). Как правило, развитие остеомиелита вызвано несоблюдением правил асептики или большой травматичностью операции.
Контактный остеомиелит
Возникает при гнойных процессах окружающих кость мягких тканей. Особенно часто инфекция распространяется с мягких тканей на кость при панариции, абсцессах и флегмонах кисти, обширных ранах волосистой части головы. Сопровождается увеличением отека, усилением болей в области повреждения и образованием свищей.
Лечение
Только в стационаре в отделении травматологии. Выполняют иммобилизацию конечности. Проводят массивную антибиотикотерапию с учетом чувствительности микроорганизмов. Для уменьшения интоксикации, восполнения объема крови и улучшения местного кровообращения переливают плазму, гемодез, 10% раствор альбумина. При сепсисе применяют методы экстракорпоральной гемокоррекции: гемосорбцию и лимфосорбцию.
Обязательным условием успешного лечения острого остеомиелита является дренирование гнойного очага. На ранних стадиях в кости делают трепанационные отверстия с последующим промыванием растворами антибиотиков и протеолитических ферментов. При гнойных артритах выполняют повторные пункции сустава для удаления гноя и введения антибиотиков, в некоторых случаях показана артротомия. При распространении процесса на мягкие ткани образовавшиеся гнойники вскрывают с последующим открытым промыванием.
Хронический остеомиелит
При небольших очагах воспаления, комплексном и своевременном лечении, преимущественно у молодых пациентов восстановление костной ткани преобладает над ее разрушением. Очаги некроза полностью замещаются вновь образованной костью, наступает выздоровление. Если этого не произошло (примерно в 30% случаев), острый остеомиелит переходит в хроническую форму.
Примерно к 4 неделе при всех формах острого остеомиелита происходит секвестрация – образование омертвевшего участка кости, окруженного измененной костной тканью. На 2-3 месяц заболевания секвестры окончательно отделяются, на месте разрушения кости формируется полость и процесс становится хроническим.
Симптомы
При переходе острого остеомиелита в хронический состояние пациента улучшается. Боли уменьшаются, становятся ноющими. Формируются свищевые ходы, которые могут выглядеть, как сложная система каналов и выходить на поверхность кожи далеко от места повреждения. Из свищей выделяется умеренное количество гнойного отделяемого.
В период ремиссии состояние пациента удовлетворительное. Боли исчезают, отделяемое из свищей становится скудным. Иногда свищи закрываются. Продолжительность ремиссии при остеомиелите колеблется от нескольких недель до нескольких десятков лет, зависит от общего состояния и возраста больного, локализации очага и т. д.
Развитию рецидива способствуют сопутствующие заболевания, снижение иммунитета и закрытие свища, приводящее к скоплению гноя в образовавшейся костной полости. Рецидив болезни напоминает стертую картину острого остеомиелита, сопровождается гипертермией, общей интоксикацией, лейкоцитозом, повышением СОЭ. Конечность становится болезненной, горячей, краснеет и отекает. Состояние пациента улучшается после открытия свища или вскрытия гнойника.

КТ стопы. Посттравматический хронический остеомиелит пяточной кости с наличием секвестра (красная стрелка) и свищевого хода (синяя стрелка).
Осложнения
Хронический остеомиелит часто осложняется переломами, образованием ложных суставов, деформацией кости, контрактурами, гнойным артритом, малигнизацией (злокачественным перерождением тканей). Постоянно существующий очаг инфекции влияет на весь организм, вызывая амилоидоз почек и изменения внутренних органов. В период рецидива и при ослаблении организма возможен сепсис.
Диагностика
Постановка диагноза при хроническом остеомиелите в большинстве случаев не вызывает затруднений. Для подтверждения проводят МРТ, КТ или рентгенографию. Для выявления свищевых ходов и их связи с остеомиелитическим очагом выполняют фистулографию.
Операция показана при наличии остеомиелитических полостей и язв, гнойных свищей, секвестров, ложных суставах, частых рецидивах с интоксикацией, выраженной болью и нарушением функции конечности, малигнизации, нарушении деятельности других органов и систем вследствие хронической гнойной инфекции.
Выполняют некрэктомию (секвестрэктомию) – удаление секвестров, грануляций, остеомиелитических полостей вместе с внутренними стенками и иссечение свищей с последующим промывным дренированием. После санации полостей проводят костную пластику.
4. Острый остеомиелит: клинический протокол/ Экспертная комиссия по вопросам развития здравоохранения - 2013
Злокачественный наружный отит ( Некротизирующий наружный отит )
Злокачественный наружный отит - это агрессивно протекающее воспаление наружного слухового прохода, характеризующееся вовлечением в патологический процесс костей основания черепа и хряща ушной раковины. Проявляется оталгией, отореей, снижением слуха, нейропатией черепных нервов. Диагностируется с помощью отоскопии, микробиологических исследований, сцинтиграфии, КТ, МРТ височных костей. Осуществляется консервативное лечение антибиотиками, антифунгальными средствами. При необходимости выполняется хирургическое иссечение патологически изменённых тканей.




Злокачественный (некротизирующий) наружный отит является тяжёлой формой диффузного воспаления наружного уха. Встречается редко. Этиологическим фактором в 90-96% случаев становится синегнойная палочка. Болеют в основном иммунокомпрометированные лица, одинаково часто – мужчины и женщины. Заболевание выявляется преимущественно у пожилых (старше 60-65 лет) людей, страдающих сахарным диабетом второго типа. В детском и юношеском возрасте данная форма отита наблюдается реже. Среди детей с некротическим воспалением наружного уха больные диабетом составляют всего около 20%. Смертность от злокачественного отита варьирует в пределах 33-80%.

Причины
Основными возбудителями болезни являются патогенные и условно-патогенные бактерии. В подавляющем большинстве случаев заболевание вызывает синегнойная палочка, реже кокковая микрофлора, клебсиелла и протей. При микробиологическом исследовании ушного отделяемого иногда выявляются плесневые грибы или представители рода Candida, а также грибково-бактериальные ассоциации. Очень редко возникновение патологического процесса провоцируют вирусы. Наиболее тяжело протекает наружный отит, вызванный лекарственно устойчивыми госпитальными штаммами микроорганизмов.
Чаще всего данная патология диагностируется у пожилых пациентов с сахарным диабетом, реже у больных с прочими эндокринными заболеваниями и иммунными нарушениями. Злокачественный наружный отит выявляется у ВИЧ-инфицированных и пациентов со снижением функций местной защиты. В группу риска попадают онкологические больные, лица, страдающие гиповитаминозами. В детском возрасте основными предрасполагающими факторами развития болезни являются гемобластозы и первичные иммунодефициты.
Триггерным механизмом служит хроническое травмирование кожи слухового прохода. Это происходит при регулярном попадании в ухо воды, ношении наушников и неправильном туалете органа. К факторам риска относятся диффузное наружное воспаление и хронический средний отит с гноевыделением. Разлитой наружный отит нередко приобретает злокачественное течение на фоне экзематозного и себорейного поражения кожи уха.
Патогенез

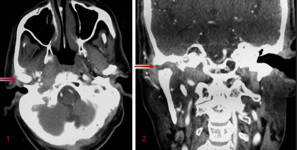
КТ больного со злокачественным наружным отитом. Эрозия височно-нижнечелюстного сустава и непрозрачность мягких тканей барабанной полости. 1 - аксиальная, 2 – корональная
В МКБ 10 злокачественный наружный отит выделен в отдельную нозологическую форму. Заболевание классифицируется по этиологическому фактору, локализации и распространённости процесса. Отдельной строкой выносятся имеющиеся осложнения. Некоторые ведущие оториноларингологи выделяют следующие клинико-рентгенологические этапы течения болезни:
- I(начальная) стадия. Характеризуется наличием воспаления в области наружного слухового канала, прилежащих мягких тканей. Возможен неврит лицевого нерва.
- II(распространённая) стадия. Имеются признаки остеомиелита височной кости и (или) основания черепа, присутствуют симптомы поражения одной или нескольких пар черепных нервов.
- III(поздняя) стадия. Гнойно-воспалительный процесс распространяется на головной мозг и его оболочки.
Симптомы
Одним из основных проявлений некротизирующего отита является стойкий выраженный болевой синдром. Пациента беспокоит боль в соответствующем ухе, иррадиирующая в височно-нижнечелюстной сустав, затылок. Она усиливается при открывании рта, сморкании и глотании, интенсивность болевого синдрома увеличивается в ночное время. Характерны резкие гемикраниалгии. У некоторых пациентов наблюдается тонический спазм жевательной мускулатуры. Злокачественный отит часто сопровождается отореей. Из слухового прохода вытекают зловонные желто-зелёные выделения.
Разрастание грануляций в слуховом канале обусловливает ощущение заложенности ушей, значительное снижение слуха. Признаки общей интоксикации у взрослых обычно выражены нерезко. Температура тела поднимается до субфебрильных цифр, беспокоит незначительная общая слабость. Уже на ранних стадиях заболевания у некоторых больных появляются симптомы поражения лицевого нерва. Лицо становится асимметричным, речь – невнятной. Появляется слезотечение, нарушается слюновыделение.
Мягкие ткани околоушной области опухают, увеличиваются и становятся болезненными регионарные лимфатические узлы. При переходе патологии на ушную раковину наблюдаются её отёк, гиперемия. В области устья слухового прохода визуализируются красные, кровоточащие при малейшем травмировании грануляции. Злокачественный наружный отит у детей характеризуется острым и бурным началом с фебрильной или гипертермической лихорадкой. Паралич лицевого нерва возникает рано и часто.

Злокачественный наружный отит. Сужение ушного канала, отек ушной раковины, большое количество экссудата
Осложнения
Злокачественный отит нередко осложняется некрозом барабанной перепонки. Часто формируется стеноз слухового канала, возникает кондуктивная тугоухость. Переход воспаления в область ушной раковины приводит к её деформации. Наружный слуховой проход граничит с шилососцевидным отверстием – местом выхода лицевого нерва из полости черепа. Паралич Белла является самой часто встречающейся нейропатией, осложняющей течение данного заболевания.
Без адекватного лечения болезнь прогрессирует. В злокачественный воспалительный процесс вовлекаются IX–XI пары черепно-мозговых нервов. Проникновение и размножение возбудителя в кровеносном русле приводит к бактериемии, септицемии. Развиваются тромбозы яремной вены и синусов твёрдой мозговой оболочки, присоединяются менингоэнцефалиты, абсцессы головного мозга. Летальность при поражении каудальной группы черепных нервов достигает 80%.
Диагностика
Сбор анамнеза даёт возможность определить наличие у больного сахарного диабета, иммунных нарушений. Уточняются давность заболевания, длительность лечения, если оно проводилась. Осмотр обнаруживает отёчность и гиперемию уха, увеличение периферических лимфатических узлов. Пальпация ушной раковины, надавливание на козелок вызывают резкую боль. Основные диагностические признаки заболевания устанавливаются на основании данных:
- Отоскопии. При исследовании с помощью отоскопа выявляется отёк и покраснение стенок ушного прохода. Данный метод позволяет обнаружить наличие в канале гнойного отделяемого, микроабсцессов и грануляций, а также признаки воспаления и некроза барабанной перепонки. Под контролем отоскопии осуществляются забор патологических выделений.
- Лабораторных исследований. В клиническом анализе крови обнаруживаются незначительный лейкоцитоз, невыраженный сдвиг лейкоцитарной формулы влево. Имеет место резкое ускорение СОЭ. Микробиологическое исследование отделяемого даёт возможность выявить возбудителя болезни и определить его чувствительность к антибиотикам.
- Визуализационных методик. При сцинтиграфии определяются очаги воспаления височной кости и основания черепа. КТ, МРТ головного мозга кроме костных изменений предоставляют возможность выявить эпидуральную эмпиему, признаки поражения мягкой мозговой оболочки, обнаружить абсцессы ЦНС.
Злокачественный наружный отит необходимо дифференцировать с новообразованиями уха, костей черепа. Описаны случаи сочетания данного заболевания с раковой опухолью височной кости. Назначаются консультации онколога, челюстно-лицевого хирурга. В процессе хирургического удаления поражённых тканей осуществляется биопсия с последующим цитологическим исследованием полученного материала.

Лечение злокачественного наружного отита
Некротизирующий отит является показанием для госпитализации в отделение оториноларингологии. Пациент нуждается в постоянном медицинском наблюдении и агрессивном лечении. Большинство авторов негативно относятся к хирургической резекции поражённых участков, считая, что таким образом патология быстрее распространяется на интактные ткани. Предпочтение отдаётся консервативной тактике ведения больного.
Консервативная терапия
Этиотропное лечение включает в себя длительное одновременное применение топических и системных антибактериальных препаратов, активных в отношении синегнойной палочки. Назначаются цефалоспорины 3-4 поколения, фторхинолоны. Эффективность лечения повышается при сочетании антибиотикотерапии с антисинегнойной человеческой плазмой и местным применением специфического бактериофага. При обнаружении в патологическом отделяемом грибов используются антимикотики. Обязательно корригируется уровень глюкозы крови пациента. Осуществляется гипербарическая оксигенация.
Хирургическое лечение
При ограниченном процессе на начальной стадии болезни с целью элиминации источника инфекции иногда применяется оперативное удаление поражённых тканей. Однако такой метод часто оказывается неэффективным, заболевание прогрессирует. Хирургическое лечение некротизирующего отита обычно носит паллиативный характер. Осуществляется удаление некротизированных тканей и грануляций, дренирование гнойников.
Прогноз и профилактика
Прогноз при некротизирующем отите всегда серьёзный. Своевременное обращение за медицинской помощью обычно приводит к излечению. Однако функциональная активность лицевого нерва восстанавливается длительно. Нередко сохраняются остаточные явления пареза. Тяжёлые внутримозговые осложнения, параличи каудальных нервов в 80% случаев приводят к гибели больного. Профилактические мероприятия сводятся к аккуратному правильному туалету уха, лечению кожных заболеваний в области лица, шеи и коррекции эндокринных нарушений.
1. Злокачественный наружный отит: современные принципы диагностики и лечения/ Никифорова Г.Н., Свистушкин В.М., Шевчик Е.А., Золотова А.В.// Вестник оториноларингологии. - 2017 - №1.
2. К вопросу применения иммунотерапии в лечении злокачественного наружного отита (клинический случай)/ Сенченко В.Г., Приставко Т.М., Берест И.Е.//Лечащий врач. - 2017.
3. Наружный отит: обоснование лечения и профилактики/ Тарасова Г. Д.//Русский медицинский журнал. – 2017 - №5.
4. Наружные отиты/ Клинические рекомендации министерства здравоохранения Российской Федерации 2014 г.
Остеомиелит основания черепа при злокачественном наружном отите и его лечение
Злокачественный наружный отит был впервые описан Meltzer и Keleman в 1959 году и позже получил свое название предложенное Chandler. Термин остеомиелит основания черепа более точно описывает патофизиологию этой угрожающей жизни инфекции наружного слухового прохода (НСП) и основания черепа. Это состояние встречается у больных сахарным диабетом и пациентов с другими нарушениями иммунитета, инфекция распространяется от кожи и подкожной клетчатки хрящевой части прохода, вовлекая барабанную кость.
Остеомиелит основания черепа, распространяющийся через гаверсову систему компактной кости, образует множественные абсцессы и секвестры некротизированной кости. Инфекция прогрессирует и вызывает перипаротит, вовлекает мягкие ткани перешейка. Паралич лицевого нерва предполагает инфицирование покрытой экстратемпоральной части нерва или вовлеченность шилососцевидного отверстия. При распространении инфекции с вовлечением яремного отверстия развивается паралич IX, X, XI и XII черепных нервов.
Сера пациентов с диабетом обладает более высоким pH, что, возможно, способствует увеличению заболеваемости наружным отитом в этой популяции. Нарушение функции полиморфноядерных лейкоцитов и микроангиопатическое заболевание, типичные при диабете, способствуют прогрессированию наружного остеомиелита основания черепа у пожилых пациентов, страдающих диабетом.
Пациенты с остеомиелитом основания черепа часто сообщают о предшествующем наружном отите. Интенсивная оталгия, превышающая ожидаемую для обычного отита, является типичной и может быть связана с отореей. Выступающая от костно-хрящевого стыка грануляционная ткань служит кардинальным признаком остеомиелита основания черепа и не должна быть недооценена.
Биопсия необходима как для исключения новообразований, так и для посева. Скорость седиментации будет повышена, но остеомиелит может протекать в отсутствие лихорадки и повышения количества лейкоцитов. Компьютерная томография помогает оценить степень вовлечения кости. Магнитно-резонансная томография позволяет получить более детальную характеристику патологических изменений мягких тканей и в комбинации с магнитно-резонансной ангиографией дает возможность оценить проходимость синусов твердой мозговой оболочки.
Технеций и галлий помогают сканированию кости при подтверждении диагноза остеомиелита основания черепа. Тем не менее, только сканирование с галлием можно применять для контроля лечения. Галлий позволяет отразить активность лейкоцитов и протеинов в местах активного заражения. Результаты этого исследования могут быть нормальными при разрешении инфекции, в то время как сканирование с технецием может оставаться положительным в течение многих месяцев.

Лечение остеомиелита основания черепа обычно требует длительного парентерального применения антибиотиков в сочетании с ежедневной санацией уха и тщательным лечением диабета и других компрометирующих медицинских состояний. Подавляющее большинство остеомиелитов основания черепа возникает в результате инфицирования Р. aeruginosa. Двойное воздействие, направленное против Pseudomonas начинают эмпирически после получения посевов на культуру.
Фторхинолоны обеспечивают высокую активность против Pseudomonas при пероральном приеме и могут быть эффективны в качестве монотерапии. Однако в последнее время возникла устойчивость к фторхинолонам, вызывая предположение, что в некоторых случаях монотералия может быть не адекватна. Хирургическое лечение требуется редко и является обычно методом выбора при прогрессировании инфекции, несмотря на агрессивное медицинское лечение. Роль хирургии должна быть ограничена хирургической обработкой некротизированной кости и грануляционной ткани и дренированием абсцессов.
Декомпрессия лицевого нерва в случае осложнения параличом лицевого нерва не влияет на лечение остеомиелита основания черепа, как и на экстратемпоральную локализацию вовлеченного нерва.
Наружный отит
Наружный отит — воспаление наружного уха диффузного или ограниченного характера. Ограниченный наружный отит проявляется образованием фурункула с резко выраженным болевым синдромом в стадии инфильтрации и возможностью развития фурункулеза при его вскрытии. Диффузный наружный отит характеризуется разлитым воспалением слухового прохода, которое сопровождается болью и распиранием в ухе, серозным, а затем гнойным отделяемым. С целью диагностики наружного отита проводится осмотр и пальпация околоушной области, отоскопия, аудиометрия, бакпосев отделяемого из уха. Лечебные мероприятия при наружном отите состоят в промывании слухового прохода антисептиками, закладывании в него турунд с лекарственными препаратами, проведении общей антибиотикотерапии, противовоспалительного и иммуностимулирующего лечения.

Наружное ухо является периферической частью слухового аппарата человека. Оно состоит из наружного слухового прохода, имеющего хрящевую и костную части, и ушной раковины. От полости среднего уха наружное ухо отделено барабанной перепонкой. При локальном воспалении наружного слухового прохода говорят об ограниченном наружном отите. Он представляет собой гнойно-воспалительный процесс в области волосяного фолликула — фурункул. Разлитое воспаление слухового прохода, охватывающее его хрящевую и костную часть, в отоларингологии носит название диффузного наружного отита. Диффузный наружный отит характеризуется воспалительными изменениями как в коже, так и в подкожной жировой клетчатке слухового прохода, может сопровождаться воспалением барабанной перепонки.

Причины возникновения наружного отита
Причиной наружного отита является инфицирование кожи наружного слухового прохода. Возбудителем ограниченного наружного отита чаще всего является пиогенный стафилококк. Диффузный наружный отит может быть вызван стафилококками, гемофильной палочкой, пневмококками, клебсиеллой, синегнойной палочкой, моракселлой, грибками рода Candida и др. Наиболее часто занос инфекции в слуховой проход с развитием наружного отита наблюдается при гноетечении из перфорированной барабанной перепонки при остром и хроническом гнойном среднем отите, гнойном лабиринтите.
Проникновению возбудителя внутрь кожного покрова, выстилающего наружный слуховой проход, осуществляется в местах повреждений и микротравм. В свою очередь травмирование кожи слухового прохода возможно при травме уха, наличие в нем инородного тела, попадании агрессивных химических веществ, неправильном проведении гигиены уха, самостоятельных попытках извлечения серной пробки, расчесывании уха при зудящих дерматозах (экземе, крапивнице, атопическом дерматите, аллергическом дерматите) и сахарном диабете.
Возникновению наружного отита способствует постоянное увлажнение слухового прохода попадающей в него водой, которое приводит к снижению барьерной функции кожи. Благоприятным фоном для развития наружного отита также является снижение общих защитных сил организма, что наблюдается при авитаминозе, иммунодефицитных состояниях (например, при ВИЧ-инфекции), хронических инфекциях (туберкулез, сифилис, хронический тонзиллит, хронический пиелонефрит), сильном переутомлении (синдром хронической усталости).
Ограниченный наружный отит
Симптомы ограниченного наружного отита
В своем развитии ограниченный наружный отит проходит те же стадии, что и фурункул на поверхности кожи. Однако замкнутое пространство и обильная иннервации слухового прохода, в котором располагается фурункул при наружном отите, обуславливают некоторые особенности его клинической картины. Обычно ограниченный наружный отит начинается с ощущения сильного зуда в слуховом проходе, который затем перерастает в боль. Увеличение размеров фурункула уха в стадии инфильтрации приводит к сдавлению нервных рецепторов и быстрому нарастанию болевого синдрома.
Боли в ухе при ограниченном наружном отите по своей интенсивности превосходят боли, отмечающиеся при остром среднем отите. Они иррадиируют в висок, затылок, верхнюю и нижнюю челюсть, захватывают всю половину головы со стороны больного уха. Отмечается усиление болевого синдрома при жевании, что в некоторых случаях заставляет пациента с наружным отитом отказаться от приема пищи. Характерно увеличение интенсивности болей в ночное время, в связи с чем происходит нарушение сна. Инфильтрация при ограниченном наружном отите может достигать значительного объема. При этом фурункул полностью перекрывает просвет слухового прохода и приводит к снижению слуха (тугоухости).
Вскрытие фурункула при наружном отите сопровождается истечением гноя из уха и резким уменьшением болевого синдрома. Однако при вскрытии фурункула часто происходит обсеменение других волосяных фолликулов слухового прохода с образованием множественных фурункулов и развитием фурункулеза, отличающегося упорным течением и стойкостью к проводимой терапии. Множественные фурункулы при наружном отите приводят к полной обтурации слухового прохода и усилению клинических симптомов заболевания. Развивается регионарный лимфаденит. Возможно появление отечности в заушной области и оттопыривание ушной раковины, что требует дифференцировки наружного отита от мастоидита.
Диагностика ограниченного наружного отита
В первую очередь отоларинголог проводит осмотр уха и отоскопию. Во время осмотра врач производит оттягивание ушной раковины, что при наружном отите приводит к появлению резкой боли в ухе. Возникновение боли при надавливании на козелок уха говорит о локализации ограниченного наружного отита на передней стенке слухового прохода. Резкая болезненность при пальпации за ухом свидетельствует в пользу того, что фурункул располагается на задне-верхней стенке слухового прохода. При наружном отите в области нижней стенки резко болезненна пальпация над углом нижней челюсти.
Отоскопия при ограниченном наружном отите обнаруживает наличие в слуховом проходе фурункула. В начальной стадии наружного отита фурункул имеет вид припухлости красного цвета. Созревший фурункул практически перекрывает слуховой проход, после его вскрытия отоскопия выявляет гной и наличие кратерообразного отверстия на вершине инфильтрата.
Аудиометрия и исследование слуха камертоном у пациентов с ограниченным наружным отитом определяет кондуктивный тип тугоухости и латерализацию звукопроведения в сторону пораженного уха. Для определения возбудителя проводится бактериологический посев гноя из фурункула. Дифференцировать ограниченный наружный отит следует от других видов отита, эпидемического паротита, мастоидита, экземы наружного уха.
Лечение ограниченного наружного отита
В стадии инфильтрации ограниченного наружного отита проводят туалет наружного уха и обработку пораженного участка нитратом серебра. В слуховой проход вводят турунду с антибактериальной мазью. Ухо закапывают ушными каплями, содержащими антибиотик (неомицин, офлоксацин и пр.). Для снятия болевого синдрома назначают анальгетики и противовоспалительные препараты. Возможно применение УВЧ-терапии. Созревший фурункул может быть вскрыт при помощи разреза. После его вскрытия наружный слуховой проход промывают растворами антибиотиков и антисептиков.
При наружном отите с множественными фурункулами показана антибиотикотерапия. При подтверждении стафилококковой природы отита применяют антистафилококковый анатоксин или вакцину. С целью повышения иммунитета рекомендована витаминотерапия, иммунокоррегирующее лечение, процедуры УФОК или ВЛОК, аутогемотерапия.
Диффузный наружный отит
Симптомы диффузного наружного отита
Диффузная форма наружного отита начинается с ощущения распирания, зуда и повышения температуры в слуховом проходе. Очень скоро возникает болевой синдром, который сопровождается иррадиацией боли во всю половину головы и ее значительным усилением во время жевания. Выраженный болевой синдром при диффузном наружном отите приводит к нарушению сна и анорексии. Значительная отечность воспаленных стенок слухового прохода суживает его просвет и является причиной снижения слуха. Диффузный наружный отит сопровождается небольшим количеством выделений из уха, которые в начале носят серозный характер, а затем становятся гнойными. Отмечается увеличение регионарных лимфоузлов. При тяжелом течении заболевания возможно распространение воспалительного процесса на ушную раковину и мягкие ткани околоушной области.
Острый период диффузного наружного отита длится 2-3 недели. Затем на фоне проводимого лечения или самопроизвольно может произойти уменьшение симптомов заболевания и полное выздоровление пациента. Также диффузный наружный отит может принять затяжное течение и перейти в хроническую форму. Хронический наружный отит сопровождается образованием рубцов, которые уменьшают просвет слухового прохода и могут стать причиной стойкого снижения слуха.
Диагностика диффузного наружного отита
Выраженная болезненность при надавливании на козелок, оттягивании ушной раковины, пальпации в заушной области и над углом верхней челюсти свидетельствует о разлитом воспалении слухового прохода. Отоскопия при диффузном наружном отите обнаруживает тотальное покраснение и отечность кожного покрова, выстилающего слуховой проход, наличие эрозий с серозным отделяемым. В более позднем периоде наружного отита выявляется обтурация слухового прохода из-за выраженного отека его стенок, визуализируются язвы и трещины, выделяющие зеленовато-желтый гной. Аудиометрия свидетельствует о наличие тугоухости по кондуктивному типу. Латерализация звука происходит к больному уху. Бактериологическое исследование отделяемого из уха позволяет верифицировать возбудителя и установить его чувствительность к основным антибактериальным препаратам.
Дифференциальный диагноз диффузного наружного отита проводят с гнойным средним отитом, рожей, острой экземой и фурункулом слухового прохода.
Лечение диффузного наружного отита
Терапия диффузного наружного отита проводится системным применением антибиотиков, поливитаминных и антигистаминных препаратов. При необходимости осуществляется иммунокоррегирующее лечение. Местное лечение диффузного наружного отита заключается в ведении в слуховой проход турунд с желтой ртутной мазью, жидкостью Бурова, антибактериальными и гормональными мазями, закапывании ушных капель с антибиотиками. Гнойный характер отделяемого из уха является показанием для промывания слухового прохода растворами антибиотиков.
Наружный отит грибковой этиологии лечится противогрибковыми препаратами системного и местно применения.
Профилактика наружного отита
Для предупреждения инфицирования кожи слухового прохода с развитием наружного отита необходимо избегать расчесывания ушной раковины, травмирования уха и попадания в него инородных тел. При купании следует беречь ухо от попадания в него воды. Ни в коем случае нельзя самостоятельно пытаться удалить инородное тело уха, поскольку это часто приводит к травмированию кожи слухового прохода. Не следует очищать ухо от серы не предназначенными для этого предметами: шпилькой, зубочисткой, спичкой, скрепкой и т. п. Туалет уха должен производиться специальной ушной палочкой на глубину не более, чем 0,5-1 см от начала слухового прохода.
Читайте также:
