Острый гайморит. Рентгенография при остром гайморите
Добавил пользователь Владимир З. Обновлено: 14.12.2025
Острый гайморит. Рентгенография при остром гайморите
Чаще встречающаяся катаральная форма острого гайморита ведет к отеку слизистой оболочки и значительному увеличению ее толщины, что находит свое выражение в характерных рентгенологических симптомах. На типичной рентгенограмме в подбородочно-носовой проекции при наклонном положении головы больного обнаруживается незначительное понижение воздушности пазухи и характерное краевое затемнение, обычно одинаковой ширины на всем протяжении, с резкими контурами.
Такое краевое затемнение обусловлено отечной слизистой оболочкой. Таким образом, до того момента, пока существует центральное просветление пазух, т. е. полость, не занятая отечной тканью, диагноз катаральной формы острого гайморита может быть установлен рентгенологически.
Если процесс прогрессирует, отечная слизистая оболочка может полностью закрыть просвет пазух, что приводит к исчезновению рентгеновского изображения краевой тени и появлению симптома сплошного затемнения. Сплошное затемнение гайморовой пазухи теряет значение прямого признака, так как оно обнаруживается и при наличии жидкости в пазухе в случае эксудативной формы гайморита.

При клинических указаниях на острую эмпиему гайморовой пазухи с целью получения симптома уровня жидкости в пазухе рентгенография производится в той же проекции при вертикальном положении головы и кассеты. Этот прямой диагностический симптом бывает особенно хорошо выражен в той фазе острой эмпиемы, когда слизистая оболочка сохраняет почти нормальную толщину при резко выраженном выделении жидкости.
Если же рентгенография происходит в тот период, когда слизистая оболочка достигает значительной толщины, условия для получения на рентгенограмме симптома уровня жидкости становятся неблагоприятными. Мы обратили внимание на симптом, который при условиях краевого затемнения позволяет с большой долей вероятности предполагать скопление жидкости в пазухе при уменьшении ее просвета отечной слизистой оболочкой.
Признак этот заключается в том, что па снимке в подбородочно-носовой проекции при наклонном положении головы больного просвет пазухи, окруженный краевой тенью утолщенной слизистой оболочки, в значительной мере затемнен и не кажется в такой степени прозрачным, как это наблюдается при отеке слизистой оболочки и отсутствии жидкости в остаточной полости. В ряде случаев этот симптом был проверен нами последующей рентгенографией при вертикальном положении головы и кассеты, которая обнаруживала уровень жидкости в пазухе.
Повторное рентгенологическое исследование позволяет изучать в динамике развитие воспалительного процесса и постепенный переход к выздоровлению и, следовательно, судить об эффективности того или иного метода лечения. Повторную рентгенографию следует производить не чаще одного раза в неделю.
Информация на сайте подлежит консультации лечащим врачом и не заменяет очной консультации с ним.
См. подробнее в пользовательском соглашении.
КТ и рентген гайморовых пазух
Рентгенологическое исследование – это эффективный метод диагностики человеческого организма, включая состояние ЛОР-органов. Если у человека заложен нос, из него происходит выделение или изменился тембр голоса, то это является показанием к проведению обследования. Одним из эффективнейших способов выявления гайморита считается рентген. С его помощью можно диагностировать различные патологические изменения даже на раннем этапе их развития, что чрезвычайно важно при назначении соответствующего лечения.
Обследование назначается при наличии следующей симптоматики:
- Выделения из носа (иногда с гноем).
- Проблемы с носовым дыханием. Как правило, заложенной оказывается только одна ноздря.
- Частые головные боли.
- Общая усталость, проблемы со сном и потеря прежней активности.
- Носовые кровотечения.
- Болезненность и отечность лба.
При наличии этих симптомов врач может заподозрить наличие воспалительного процесса, но необходимо определить точную причину этого воспалительного процесса, ведь схожие признаки есть при полипах и искривлении перегородки. Поэтому проведение рентгена гайморовых пазух является обязательной процедурой, которая позволяет определить степень развития патологии, наличие новообразований и прочие аспекты.

Содержание
Зачем нужен рентген носа при гайморите?
Яркая симптоматика поможет врачу поставить соответствующий диагноз, но без точной диагностики дальнейшее лечение будет невозможным. Важно сначала обследовать состояние пазух носа, после чего определить с препаратами и физиологическими процедурами, которые смогут избавиться от заболевания.
При диагностике крайне важно знать, как выглядит гайморит на рентгеновском снимке. При этом методе обследования не видны мягкие ткани, зато хорошо визуализированы костные структуры. Если на снимке оттенок придаточных пазух носа и глазниц идентичен, то воспаления нет. Если же есть гнойное содержимое, то визуально оно выглядит как большие затемненные участки.
Рентгеновский снимок пазух носа при гайморите позволяет определить ряд патологических изменений:
- Локализация очагов поражения. Они представлены в виде темных пятен.
- Наличие кистозных образований. Они имеют достаточно четко прорисованные границы.
- Воспалительный процесс и степень его развития. На снимке они видны как белые пятна. Соответственно, чем они ярче, тем сильнее воспалительный процесс.
- Различные изменения. Можно увидеть уровень заполнения пазух носа гноем, утолщение слизистой и другие патологические изменения.
Как можно увидеть гайморит на рентгене?
Ниже вы видите снимок гайморита до и после лечения. Рентгенограмма расшифровывается лечащим врачом, либо рентгенологом.

При отсутствии патологических изменений и отклонений, снимок покажет следующую информацию:
- Нос в виде треугольника светлого оттенка, посередине которого расположена перегородка.
- Сбоку от полости носа располагаются верхнечелюстные пазухи в виде треугольных просветлений с не размытыми границами.
- Симметричное расположение носовых ходов с обеих сторон от носовой полости.
- Лобные пазухи расположены над глазницами. На снимке они виды как просветления различной величины.
Патология развивается с воспаления боковых пазух. Далее он локализуется в области лобных долей. Это будет хорошо заметно по затемненным участкам над глазницами и носом. Одновременные воспалительные процессы в лобных и боковых пазухах свидетельствуют не только о наличии гайморита, но и фронтита.
Специалист по снимку носа при гайморите всегда определяет состояние решетчатой кости. Часто в верхнечелюстных пазухах скапливается инфильтративная жидкость:
- слизистая;
- катаральная;
- гнойная.
Заметить ее достаточно просто – жидкость отображается в виде четко сформированного белого участка. Это явный признак патологии, который является одним из оснований при постановке окончательного диагноза
Как проводится рентген гайморовых пазух носа?
Рентген носовых пазух при гайморите – это совершенно стандартная диагностическая процедура. Перед обследованием нужно снять все металлические предметы и съемные зубные протезы. Если установлены импланты, коронки или штифты, то об этом нужно предупредить врача-рентгенолога.
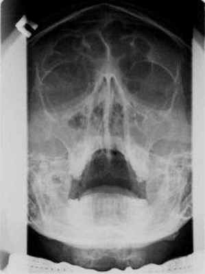
Для получения точной картины заболевания, делается снимок носовых пазух при гайморите в нескольких проекциях:
- Подбородочная. На основании этого снимка специалист делает анализ фактического состояния верхнечелюстных пазух.
- Носоподбородочная. Такая проекция наглядно показывает наличие воспалительного процесса в слизистой.
- Носолобная. На этом снимке можно увидеть состояние решетчатого лабиринта.
Обследование занимает 10-20 минут, после чего врач может наглядно увидеть наличие или отсутствие патологии.
Рентген в детском возрасте
Специалисты сходятся во мнении, что проведение рентгенологического исследования целесообразно с 14 лет. Здесь речь идет не о потенциальном вреде детскому организму, ведь разовая доза облучения при обследовании абсолютно безопасна для ребенка. Дело в том, что в раннем возрасте придаточные пазухи носа еще не окончательно сформированы, поэтому результат обследования не может быть на 100% точным.
К тому же, рентген подразумевает сохранение полной неподвижности в течение всего обследования, чего, по понятным причинам, очень сложно добиться в детском возрасте.
Как по снимку определить гайморит у взрослого пациента?
Снимки гайморита у взрослых пациентов достаточно характерны, особенно если сравнить их с рентгенограммами людей, у которых нет этой патологии. Рентген покажет следующие изменения:
- Глазницы и пазухи носа будут разного оттенка.
- Наличие инфильтративной жидкости (четкое белое пятно на фоне затемнения).
- Утолщенные стенки и размытость границ пазух.
- Кистозные образования разной величины с четко очерченными границами.
Единственное, что нельзя увидеть на снимке носа при гайморите по фото – это тип жидкости, который скопился в пазухах. Исследование лишь показывает ее наличие в виде белого пятна, а что за инфильтрат (гнойная, слизистая или катаральная жидкость), показать не может.

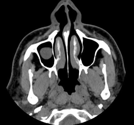
Компьютерная томография при гайморите
В некоторых случаях, помимо рентгена используется КТ гайморовых пазух носа. Это более информативный метод диагностики, который отличается своими преимуществами:
- Это наиболее достоверный способ обследования костных структур.
- Результат исследования – это трехмерный снимок, который позволяет рассмотреть обследуемую область под разными углами и во всех плоскостях.
- Процедура занимает меньше всего времени (если сравнивать с рентгеном и МРТ).
- Снимок получается максимально детализированным.
- Методика позволяет точно определить расположение и количество жидкости.
Отвечая на вопрос, что лучше проводить при гайморите – КТ или МРТ, нужно однозначно сделать выбор в пользу компьютерной томографии. Это обследование может проводиться даже при наличии коронок и имплантов, что невозможно при магнитно-резонансной томографии. К тому же, МРТ обладает наибольшей диагностической ценностью при обследовании мягких, а не костных тканей.
Можно ли определить гайморит без снимка?
При наличии яркой симптоматики, врач собирает устный анамнез и проводит осмотр. Проводится пальпация области лба и вокруг носа на предмет наличия болевых ощущений. Также осуществляется смотр носовых ходов, целью которого является оценка состояния слизистой.
На основании проведенных манипуляций, опытный врач может диагностировать гайморит без рентгена. Но визуальный осмотр не дает четкой картины заболевания, поэтому для составления грамотной схемы лечения, необходимо обязательно сделать снимок.
Рентген-центры «ЛУЧ» занимаются проведением рентгенологических исследований с 2015 года. Современное оборудование позволяет получать снимки высокой точности и детализации. Мы четко понимаем, насколько важна диагностика для дальнейшей терапии, поэтому строго относимся к выполнению своих профессиональных обязанностей.
Записаться к нам на прием можно по контактному номеру телефона, указанного на сайте. Свяжитесь с нами для получения более подробной консультации.
Снимок гайморовых пазух — КТ или рентген?
Рентгенодиагностика — это современный метод обследования внутренних органов, который позволяет выявить возможные отклонения и патологические процессы даже на ранней стадии. Часто при помощи рентгена обследуют состояние гайморовых пазух, например, при подозрении на гайморит.
Рентген при гайморите позволяет оценить степень тяжести и особенности заболевания, это позволяет врачу определиться с дальнейшей тактикой лечения, кроме того, есть возможность проведения КТ (компьютерной томографии) при гайморите. Как правило, к данному методу обследования прибегают в том случае, когда есть спорные вопросы после рентгена.
В каких случаях требуется диагностика гайморовых пазух?
На основе жалоб пациента невозможно определить точный диагноз. Для уточнения диагноза может потребоваться проведение диагностики. Врач направляет пациента на снимок в таких случаях:
- Затяжной насморк.
- Выделение слизи из носа с примесью гноя.
- Головные боли, усиливающиеся при наклоне головы вниз.
- Отечность и болезненность лба.
- Повышенная температура тела.
- Заложенность носа.
- Нарушение работоспособности, слабость, сонливость.
Вышеперечисленные признаки могут сигнализировать о различных патологических процессах. Речь может идти о воспалениях, новообразованиях в полости гайморовых пазух и т.д. Чтобы точно определить диагноз, его степень тяжести и причину возникновения тревожащих симптомов, врач направляет пациента на снимок.
Как выглядит гайморит на снимке?
На изображении наглядно показано, как выглядит гайморит на снимке до и после лечения. На признаки воспалительного процесса указывают следующие изменения:
Патологические изменения могут наблюдаться как с одной стороны, так и с обеих сторон.
После проведенного лечения, когда воспалительный процесс полностью устранен, наблюдается следующая картина:
- Отчетливо видны границы носа и перегородки.
- Носовые пазухи светлые, границы четкие.
- Лобные пазухи локализованы над глазницами, тёмных пятен не наблюдается.
Обратите внимание, что интерпретацию результатов проводит только лечащий врач. Не пытайтесь заниматься самодиагностикой.
Рентгенологическое исследование гайморовых пазух ребенку
Несмотря на тот фактор, что рентгенологическое исследование подразумевает низкую лучевую нагрузку и не вредит организму, врачи рекомендуют делать рентген детям только с 14 лет.
Это обусловлено тем, что в более младшем возрасте результаты диагностики могут быть малоинформативны, поскольку гайморовы пазухи в детском возрасте не окончательно сформированы. В особо сложных ситуациях врач может назначить иные методы обследования.
Кисты гайморовых пазух на снимках

Как было сказано выше, тревожащие симптомы (заложенность носа, головные боли и т.д.) характерны не только для гайморита.
Например, признаки гайморита можно легко спутать с кистами гайморовых пазух, также часто встречаются ситуации, когда на снимке обнаруживаются сразу оба патологических процесса.
При помощи компьютерной томографии можно определить точную локализацию, размеры и особенности кистозного уплотнения.
Рентгенологическое исследование при синусите
Синусит — воспалительный процесс, локализованный в околоносовых пазухах, характеризуется скоплением слизистых масс и гноя. Патологический процесс может быть односторонний или двусторонним.
При помощи рентгеновского обследования можно определить синусит, даже если речь идёт о начальной стадии развития. Рентген при синусите актуален не только для окончательного подтверждения диагноза, но и с целью отслеживания положительной динамики после проведенного лечения.
Существует несколько форм синусита. Например, отечно-катаральная форма болезни выглядит на снимке как выраженное выпячиванием слизистой оболочки. Также специалист лиаоностирует значительное утолщение слизистой ткани. Такая рентгеновская картина наблюдается в острой фазе заболевания.
Также на снимке можно заметить следующие изменения:
- Пристеночное утолщение.
- Нечеткие границы слизистой оболочки.
- Затемненные участки в области околоносовых пазух.
В некоторых случаях может потребоваться проведение компьютерной томографии (КТ) при синусите. Данный метод исследования считается наиболее информативен и имеет несколько плюсов:
- Можно рассмотреть детально костную структуру.
- Возможность определения количества экссудата в пазухах носа.
- Получение объемного снимка в различных плоскостях.
Что лучше, КТ или рентген?
Невозможно конкретно ответить на вопрос, что лучше, рентген или КТ, поскольку оба вида диагностики значимы в постановке диагноза и имеют различные преимущества и показания. Например, первичный методом диагностики принято считать рентген. Если у врача есть подозрение на наличие гайморита/синусита/кист или иных патологических процессов, пациента отправляют на рентген. Зачастую этого достаточно для постановки диагноза, к тому же, цена данного обследования ниже.
В том случае, если на основе полученного снимка невозможно определить диагноз или остаются спорные моменты — пациента направляют на компьютерную томографию.
Как правильно подготовиться к рентгенологическому обследованию
Рентгенография не требует особой подготовки. Все что требуется от пациента — снятие украшений, съемных зубных протезов. Во время получения снимка необходимо сохранять максимально неподвижное состояние, чтобы получить информативный результат. Несмотря на минимальную лучевую нагрузку, для защиты тела от рентгеновских лучей используются специальные защитные фартуки.
Особенности диагностики гайморовых пазух
Данная диагностическая процедура абсолютно безболезненна и даже не вызывает минимального дискомфорта. В целом длительность получения снимка занимает буквально несколько секунд.
Чтобы результат был максимально точным и информативным, снимок делают в нескольких проекциях:
- Подбородочная. Позволяет оценить общую структуру и особенности верхнечелюстных пазух.
- Носоподбородочная. Даёт возможность определения воспалительного процесса.
- Носолобная. Данная проекция позволяет визуализировать состояние решетчатого лабиринта.
Где сделать рентген или КТ гайморовых пазух?
Сделать качественные снимки гайморовых пазух на высокоточном и современном оборудовании можно в нашем диагностическом центре. Наши преимущества:
- Отсутствие очередей, диагностика проводится чётко в назначенное время.
- Вежливый персонал, опытные специалисты.
- Доступные цены на предоставляемые услуги.
- Проведение любых видов рентгенологических обследований.
Обратите внимание, что услуги предоставляются по предварительной записи
Гайморит на снимке

Гайморитом называется воспаление слизистой в верхнечелюстных пазухах. Первым описал эти пазухи Натаниэль Гаймор: от его имени и пошло название. А Леонардо да Винчи первым нарисовал верхнечелюстные пазухи.
По сути гайморит – это синусит, вызванный разными причинами, которые связаны с попаданием инфекции в пазухи и скоплением в них гноя. Он может быть риногенным, одонтогенным, травматическим, аллергическим.
Риногенный возникает из-за недолеченного ринита, когда инфекция проникает из полости носа в пазухи. Одонтогенный синусит развивается в результате попадания инфекции через больной зуб и воспаленные ткани вокруг него.
Травматический ринит является следствием повреждения носовой перегородки, гайморовой пазухи или челюсти.
И, наконец, аллергический ринит появляется из-за аллергии на пыльцу растений, шерсть животных, пылевых клещей, лекарства и другие аллергены.
Острый синусит длится менее 3 месяцев, рецидивирующий острый бывает до 4 раз в год, хронический — от 3 месяцев и больше. Также возможно обострение хронического гайморита, когда к уже существующим симптомам добавляются новые.
Нужен ли рентген?
Если для правильной постановки диагноза недостаточно опроса по жалобам, анамнеза, выявления клинических симптомов, то тогда врачи назначают рентген.
Для проведения рентгена есть свои противопоказания: беременность, кормление грудью, малый возраст пациента, повторное прохождение процедуры.
Рентген детской носоглотки производится только тогда, когда другие методы диагностики не дали результата. Сама процедура для ребенка неопасна. Верхнечелюстные синусоиды до 16 лет имеют схожесть со светлыми пятнами, имеют плотную структуру, не отображаются полыми. С помощью снимка можно получить представление о скоплении масс гноя, чрезмерном увеличении глоточных миндалин, о развитии гайморита в острой стадии.
Подготовка к процедуре
Перед началом процедуры необходимо снять с себя верхнюю одежду, металлические и другие украшения, сережки, пирсинг, вынуть зубные протезы. Далее нужно сообщить врачу, были ли проведены ранее подобные процедуры, есть ли зубные импланты, переломы носа или лицевой кости.
Во время диагностики пациент должен стоять на месте и не двигаться. Он должен опираться носом и подбородком на стойку рентгеновского аппарата, заранее отрегулированного под рост пациента. После этого из другой комнаты врач сделает несколько снимков и будет давать пациенту дальнейшие указания. Во время процедуры пациенту иногда нужно будет задерживать на несколько секунд дыхание (не более 10 секунд). Снимки рентгенолог будет делать в двух проекциях, а иногда и лежа.
Вся процедура займет около 10 минут.
Как выглядит гайморит на снимке?

Здоровые околоносовые пазухи на снимке по оттенку схожи с глазницами. В случае развития воспаления они приобретают более темный оттенок с белесым, «молочным» содержимым. Обычно ровные края пазухи могут быть искривлены, кроме того, могут наблюдаться утолщения локально или по всему краю пазухи. Такая картина свидетельствует о том, что в пазухах развилась патология.
Расшифровкой рентгена занимаются отоларинголог и рентгенолог. На фото носовых пазух отмечаются потенциальные патологии и затемненные области. При анализе можно установить: наличие потенциально пораженных участков - затемненные или субзатемненные области, есть ли гайморит - осветленные области пазух носа.
После лечения насморка и заложенности врач может также установить характер болезни - вялотекущий, купированный, хронический, острый, наличие опухолей или кист.
Как часто нужно делать рентген?
Несмотря на то, что облучение при рентгене на современном оборудовании минимально, оно не должно превышать определенных показателей в год. Процедуру можно делать 3-4 раза подряд. Перед каждым новым рентгеном медработник обязательно должен посмотреть карточку пациента, и если он найдет там превышенную дозировку облучения, то откажет в процедуре.
При лечении рекомендуется провести два рентгенологических исследования: перед и после терапии или же через 2 недели после начала лечения. При серьезном течение заболевания можно делать обследование 3 раза в год.
Какие нарушения рентген не может показать?
Иногда на рентгене недостаточно четко может быть видна решетчатая пазуха. Снимок таже не позволит определить тяжесть воспаления, а только узнать, что оно есть. И, наконец, наложение костей может помешать правильной диагностике.
Альтернативы
Рентген иногда можно заменить рентген на УЗИ (ультразвуковое исследование), магнитно-резонансную томографию носовых пазух. Кроме этих процедур применяются эндоскопия пазух, пункция.
Рекомендации
При первых признаках гайморита необходимо обратиться к врачу, возможно, удастся не тратить на рентген времени, а просто вылечить его теми лекарствами, что есть.
Рентген снимок при гайморите
Рентген снимок при гайморите позволяет выявить острое воспаление верхнечелюстных пазух, но хронический процесс диагностируется с высокой погрешностью, редко показывает одонтогенный синусит снимок зуба
Диагностика гайморита: рентген снимок пазух, зуба, головы (традиционный и панорамный)
Рентген снимок при гайморите выявляется горизонтальный уровень инфильтративного содержимого в определенной трети верхнечелюстной пазухи. Рентгенографическое исследование помогает ЛОР-врачу динамически отслеживать патологию при лечении. Существуют европейские исследования, указывающие не бессмысленность массового назначения рентгенограммы придаточных пазух нос при подозрении на воспаление синусов. Воспалительный процесс можно определить альтернативными методами (увеличение лейкоцитов крови, повышение температуры).
Гайморит – что показывает рентген снимок
Рентгеновский снимок при гайморите показывает не только уровни жидкости при остром гайморите. Виды придаточных пазух носа у человека: 1. Лобные; 2. Верхнечелюстные; 3. Решетчатые; 4. Клиновидные. На одной рентгенограмме околоносовых пазух прослеживаются все описанные анатомические структуры. Рентгеновские синдром синусита зависят от морфологической формы патологии: • Экссудативная – характеризуется образованием инфильтрата, который по характеру может быть катаральным, серозным, гнойным; • Продуктивная – с гиперпластическими разрастаниями слизистой оболочки, полипами; • Альтернативная – атрофия, некроз, казеоз; • Аллергическая – подушкообразные разрастания оболочки пазух; • Смешанная. При остром гайморите нет необходимости в контрастировании полостей, панорамном снимке. Рентген признаки синусита: 1. Уменьшение пневмотизации полости; 2. Наличие уровня затемнения с верхней горизонтальной границей. В 2010 году исследователи штата Аризона заявили о важности рентген снимка не только при гайморите. Специфические симптомы на рентгенограмме выявляются при хроническом, аллергическом, идиопатическом синусите. Эксперименты проводились детям с хроническим кашлем. Доктор медицинских наук, профессор Вильсон выявить на основе рентгенографических снимков зависимости между хроническим гайморитом и длительным кашлем у детей. Для практической реализации исследования рентгенологи должны обучить принципам верификации хронических синуситов на рентген снимках. Для эксперимента отобрано 110 детей в возрасте 3-18 лет с длительностью кашля более 3 недель. Большинству представителей группы проведена антибиотикотерапия. Результат – у 63,7% детей было выявлено сочетание хронического гайморита с кашлем длительностью более месяца. На снимках 70% обследуемых определялся горизонтальный уровень затемнения. Только у 30% наблюдались другие морфологические проявления нозологии – пристеночное подушкообразное уплотнение, утолщение слизистой оболочки. Результаты были сообщены на съезде сообщества педиатров в 2012 году. Выводы удивили пульмонологов, которые не думали о серьезной зависимости между хроническим гайморитом и легочными заболеваниями с периодическим кашлем.
Традиционный рентген: панорамный снимок при синусите

Традиционный рентгеновский панорамный снимок все реже применяется для диагностики заболеваний околоносовых пазух. Врачи отдают преимущества компьютерной томографии, что не совсем верно, учитывая международные требования к ограничению радиационного облучения пациентов без особой необходимости. Квалифицированный рентгенолог сможет заподозрить хронический и аллергический синусит, при котором прослеживают следующие рентгеновские симптомы: • Пристеночные наложения нижне-латеральной стенки синуса; • Подушкообразные выпячивания; • Незначительный уровень с верхним негоризонтальным контуром; • Отсутствие динамики на рентгенограмме при смене наклона головы. Выявление точного морфологического субстрата гайморита (острый или хронический) позволяет лечащему врачу определиться с необходимостью назначения антибиотиков. На практике прослеживается высокий процент необоснованного назначения антибактериальных препаратов пациентам с фиброзными или склеротическими наложениями. При таких формах лекарства не эффективны, так как изменения необратимы. Установление связи между хроническим синуситом и заболеваниями верхних дыхательных путей чрезвычайно важно, так как коренным образом меняет подходы к терапии хронического обструктивного бронхита, пневмонии. Фото цифровой рентгенограммы – двухсторонние пристеночные наложения при хроническом верхнечелюстном синусите По клиническим стандартам рациональная антибиотикотерапия проводится после культурального посева мокроты. Рост бактерий на питательной среде происходит через 10-14 дней. На следующем этапе определяется чувствительность микроорганизмов к антибактериальным препаратам. Спектр возбудителей в респираторном тракте отличается от флоры придаточных пазух носа, но последняя становится виновником хронизации процесса. Для оценки вероятного характера легочной патологии лучше применять рентген, а панорамный снимок зубов выполнять при подозрении на одонтогенный характер воспаления гайморовых пазух. В последнем случае возникает порочный круг. Первичный очаг воспалительного процесса легких базируется в зубе. При переходе контактным путем на пазуху формируется гайморит. Следующий этап – занос флоры в трахею, бронхи. Антибиотикочувствительность каких бактерий определять при такой патологии? Решение вопроса требует дополнительных исследований.
Как делать рентген снимок зуба при подозрении на синусит
При подозрении на воспаление придаточных пазух носа панорамный рентген снимок зуба нужно делать с захватом гайморовых пазух. Если в области локализации патологии ротовой полости локализуется гайморит, рационально предположить одонтогенный характер патологии. При опросе пациента часто удается выявить хронический кашель. Классическая рентгенограмма зуба выполняется на установках с небольшой лучевой трубкой, позволяющей снизить лучевую нагрузку на пациента. Такое оборудование нельзя использоваться для верификации изменений околоносовых полостей. Традиционный рентген не позволяет сделать панорамный снимок зубов. Чтобы сделать изображение целого зубного ряда требует установка ортопантомографа. Аппарат имеет лучевую трубку несколько большей мощности, чем классические стоматологические рентген установки. Рационально использование ортопантомографов при необходимости визуализации одновременно нескольких зубов, которые между собой располагаются на некотором расстоянии. Делать КТ при верификации острого и хронического гайморита не совсем рационально. Процедура позволяет разграничить эти 2 состояния, но ограничивает применение метода высокая радиационная доза облучения пациента.
Как делать рентген снимок головы и пазух

Делать рентген снимок пазух нужно по показаниям. Исследование назначается при подозрении на следующую патологию: • Воспаление; • Травма; • Инфекция; • Кровоизлияние; • Опухоль; • Перед оперативным лечением. Нуждается в дополнительных исследованиях и разработке практические аспектов рентгеновский способ визуализации хронического гайморита. Снимок головы в прямой проекции также отражает придаточные пазухи, но проекционно полость перекрывается скуловыми и височной костями, что затрудняет расшифровку рентгенограммы, снижает качество диагностики. На таких изображениях хорошо верифицировать травматические повреждениях стенок околоносовых полостей, но нужно делает еще и боковую рентгенограмму черепа. Рентгенодиагностика головы и околоносовых синусов назначаются для разных целей. Принципы рентгеновского анализа гайморита рассмотрены выше. Фото цифрового рентген снимка – двухсторонний синусит Что делать перед рентгенографией пазух: • Сообщить врачу о наличии металлических предметов в ротовой полости (пломбы, мосты), искусственных глаз; • Беременности; • Подписать согласие на проведение рентгенографии синусов после ознакомления с рисками и последствиями процедуры. При проведении исследования рентген-лаборант уложит пациента на диагностический стол или установить у стойки с головой наклоненной относительно оси хода рентгеновских лучей при включении аппарата. Голова остается открытой, а остальные участи тела лаборант закрывает защитными свинцовыми фартуками. Экспозиция занимает несколько секунд, не доставляет болезненности пациенту. Внимание. Прежде, чем делать рентгенограмму при подозрении на гайморит спросите у врача о возможности назначения других безопасных методов диагностики. Анализ крови должен быть выполнен до рентгена. Возможно, после получения его результатов облучение не потребуется.
Читайте также:
