Острый некротический язвенный гингивит
Добавил пользователь Евгений Кузнецов Обновлено: 13.12.2025
Язвенно-некротический гингивит (язвенный гингивит, гингивит Венсана) – воспалительное заболевание десен, характеризующееся их некрозом, болью и неприятным запахом из рта. Болезнь встречается редко, без лечения наблюдаются осложнения. 1
Классификация гингивита по МКБ-10
- К05.0 Острый гингивит
- К05.00 Острый стрептококковый гингивостоматит
- К05.08 Другой уточненный острый гингивит
- К05.09 Острый гингивит неуточненный
- К05.1 Хронический гингивит
- К05.12 Язвенный гингивит
Как часто встречается язвенно-некротический гингивит?
Язвенно-некротический гингивит - очень редкое заболевание, встречается меньше, чем у 1% населения. 2
Классификация гингивита по распространенности
- локализованный гингивит — болезнь затрагивает лишь часть десны
- генерализованный гингивит — поражена абсолютно вся десна
Классификация гингивита по интенсивности течения
Тяжесть течения определяется 3 :
Степенью проявления общих симптомов — слабостью, температурой, увеличением лимфатических узлов. Изменения состояния также отражаются в анализах крови. При лёгкой форме температура поднимается до 37.5 °С, при среднетяжёлой до 38 °С, при тяжёлой форме — до 40°С.
Причины язвенно-некротического гингивита
Язвенно-некротический гингивит вызывают фузобактерии и спирохеты. Чаще всего он развивается как осложнение катарального гингивита, но может быть и самостоятельным заболеванием. Гингивит развивается при плохой гигиене полости рта на фоне резкого снижения иммунитета.
Общие факторы
Общие факторы, приводящие к возникновению заболевания — это стресс, сильное переутомление, инфекционные заболевания, переохлаждение. Чаще болезнь наблюдается у людей с заболеваниями пищеварительной, эндокринной и дыхательной систем, болезнями сердца и сосудов. Недостаточное и неправильное питание также увеличивает риск развития язвенного гингивита. Прием некоторых препаратов также способен привести к возникновению данного заболевания.
Местные факторы
- Плохая гигиена полости рта
В этом случае на зубах скапливается налет, образуются камни. При язвенно-некротическом гингивите скапливаются не только обычные микроорганизмы, но и спирохеты. - Наличие других заболеваний полости рта
Язвенный гингивит может возникать как осложнение катарального гингивита, герпетического стоматита. - Постоянная травма десны
Например, старыми пломбами, коронками, протезами. - Прорезывание зубов мудрости
- Множественный кариес, поскольку он повышает количество болезнетворных микроорганизмов во рту
- Травмирование десны острыми краями кариозной полости
- Операция в полости рта, в том числе и сложное удаление зуба 4
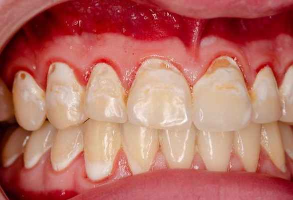
Симптомы язвенно-некротического гингивита
Болезнь быстро и стремительно развивается, ее симптомы проявляются очень ярко: 5,6
- Сильная боль, которая усиливается при малейшем касании или перепадах температуры
- Отечность десны
- Чувствительность слизистой оболочки рта
- Спонтанная кровоточивость дёсен
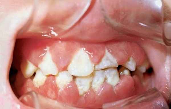
- Язык обложен зеленым, желтым налетом
- На поверхности десны появляются язвы, покрытые серым налётом
- Резко неприятный, сильный запах изо рта, который не проходит даже при чистке зубов
- Повышение температуры, слабость, лихорадка
- Некроз тканей десны
- Чистка зубов и приём пищи затруднен
- Лимфатические узлы увеличены
- Ломота, боли в мышцах
Диагностика язвенно-некротического гингивита

Диагностика осуществляется благодаря клиническим проявлениям язвенно-некротического гингивита. 7,8
Во время осмотра и опроса стоматолог оценивает уровень гигиены, наличие кровоточивости дёсен, нарушение общего состояния и отсутствие десневых карманов (нарушение прикрепления десны к зубу). Обязательно делают панорамный снимок всех зубов, чтобы отличить язвенный гингивит от пародонтита.
Дополнительно могут проводиться бактериологическое исследование и метод «ИФА» для подтверждения диагноза, определения уровня иммуноглобулинов и выбора подходящей тактики лечения.
Важно отличать язвенный гингивит от иммунодефицитных состояний и заболеваний крови. Для этого при необходимости могут быть назначены дополнительные анализы.
Лечение язвенно-некротического гингивита
При первых признаках заболевания незамедлительно обратитесь к врачу!
Лечение язвенного гингивита должно быть комплексным:
- Обезболивание полости рта спреями, гелями, растворами. При язвенном гингивите этот этап крайне важен, так как боль выражена достаточно сильно.
- Снятие воспалительного процесса. Для этого щадящими методами удаляют зубной налёт и камень и обязательно назначают курс полосканий антисептиками сроком до двух недель. Проводится взятие материала для бактериологического исследования.
- Снятие общих симптомов – температуры, головной боли, для этого назначают обезболивающие и жаропонижающие препараты.
- Уничтожение болезнетворных бактерий, для этого назначаются антибактериальные или противомикробные препараты. (Назначаются строго лечащим врачом!)
- Витаминотерапия – для повышения общей сопротивляемости организма к вредным факторам.
- На время лечения рекомендуется употреблять нераздражающую пищу с достаточной калорийностью, не использовать специи.
- Лечение общих заболеваний совместно с терапевтом, гастроэнтерологом и другими специалистами.
- После стихания острого воспаления назначаются эпителизирующие препараты (для стимуляции заживления тканей), профессиональная гигиена, лечение кариеса и его осложнений, удаление зубов мудрости, заметана пломб и коронок (при необходимости).
При язвенном гингивите необходимо строго выполнять все рекомендации врача, иначе могут возникнуть осложнения, а болезнь может стать хронической.
Снятие зубных отложений проводят под местным обезболиванием десны, с использованием антисептических препаратов, только при помощи ручных инструментов.
На язвы, очищенные от налёта специальными ферментами, наносят лечебные препараты, содержащие метронидазол и хлоргексидин. Данные препараты призваны уничтожить патогенные микроорганизмы, но стоит использовать их только по назначению врача, чтобы избежать осложнений.
Для снятия воспалительной реакции местно можно накладывать аппликации с раствором НПВС на 10-15 минут.
Лечение язвенно-некротического гингивита с помощью Тантум ® Верде
Эффективное лечение язвенного гингивита возможно с применением противовоспалительных препаратов, к которым относится Тантум ® Верде. Бензидамин в его составе оказывает комплексное воздействие на десны: уменьшает отек, снимает воспаление, уменьшает боль и убивает микробы на поверхности и внутри пораженных тканей. 13,14,15,16 Бензидамин хорошо проникает в слизистые, что позволяет быстрее справится с заболеванием. 14 Тантум ® Верде позволяет быстро снять боль 9 , что особенно важно при лечении язвенно-некротического гингивита.
С первой минуты Тантум ® Верде оказывает противовоспалительное и местное обезболивающее действие на симптоматику гингивита, такую как ощущение жжения, набухание и отечность десны. 13,16 После стихания острых явлений возможно рассасывание таблеток Тантум ® Верде, поскольку они в течении 9 минут оказывают противовоспалительное действие, что позволит быстрее вылечить гингивит. 10, 11, 12
Острый некротический язвенный гингивит (ANUG)
(Фузоспирохетоз; рот Тренча; инфекция Венсана или ангина Венсана)
Острый некротический язвенный гингивит является болезненной инфекцией десен. Симптомы: острая боль, кровотечение и неприятный запах изо рта. Диагноз ставится основании клинических проявлений. Лечение состоит в аккуратной хирургической обработке раны, улучшении гигиены полости рта, полоскании рта, поддерживающей терапии и, если хирургическая обработка должна быть отложена, назначении антибиотиков.
Острый некротический язвенный гингивит (ОНЯГ) наиболее часто встречается у курильщиков и ослабленных больных, находящихся в состояни стресса. Другими факторами риска являются плохая гигиена полости рта, дефицит питательных веществ, иммунодефицит (например, ВИЧ/СПИД, применение иммуносупрессоров) и лишение сна. У некоторых пациентов также наблюдается кандидоз полости рта.
Симптомы и признаки острого язвенно-некротического гингивита (ANUG)
Обычно резкое начало может сопровождаться недомоганием или лихорадкой. Основные проявления:
Резко болезненная, кровоточащая десна
Иногда очень неприятный запах изо рта (зловоние)
Патогномоничные изъязвления присутствуют на зубных сосочках и маргинальной десне. Эти язвы имеют характерный внешний вид травм при избиении и покрыты серой псевдомембраной. Подобные поражения на слизистой оболочке щеки и миндалин редки. Глотание и разговор могут быть болезненными. Часто присутствует регионарная лимфаденопатия.
Часто ОЯНГ может проявляться без существенного запаха, и он также может проявляться как местная патология.
Диагностика ОНЯГ
Редко поражаются ткани миндалин или глотки; в этом случае должны быть исключены дифтерия и инфекция из-за агранулоцитоза с помощью посева из горла и общего анализа крови, когда проявления заболевания не отвечают быстро на обычную терапию.
Лечение АНЯГ
Полоскание (например, водорода пероксидом, хлоргексидином)
Улучшенная гигиена полости рта
Иногда антибиотики внутрь
Лечение острого язвенно-некротического гингивита состоит из аккуратной некрэктомии с помощью ручного скалера или ультразвукового аппарата. Хирургическую обработку раны проводят в течение нескольких дней. Пациент должен использовать мягкую зубную щетку или полотенце для протирки зубов.
Полоскание с часовыми интервалами теплым физиологическим раствором или 2 раза в день 1,5% раствором перекиси водорода или 0,12% хлоргексидином может помочь в течение первых нескольких дней после первоначальной хирургической обработки раны.
Основные меры поддержки включают улучшение гигиены полости рта (проводят сначала с осторожностью), полноценное питание, потребление большого количества жидкости, отдых, при необходимости анальгетики и избегание раздражения (например, вызванного курением или горячей или острой пищей). Заметное улучшение обычно наступает в течение 24–48 часов, после чего хирургическая обработка может быть завершена.
Если хирургическая обработка задерживается (например, если стоматолог или инструменты, необходимые для санации, недоступны), применение пероральных антибиотиков (например, амоксициллина по 500 мг каждые 8 часов, эритромицина по 250 мг каждые 6 часов или тетрациклина по 250 мг каждые 6 часов) может помочь обеспечить быстрое облегчение и должно быть продолжено в течение 72 часов после исчезновения симптомов.
Лечение кандидоза ротовой полости Лечение Кандидоз – это инфекционное заболевание кожи и слизистых оболочек, вызванное видами Candida, чаще всего Candida albicans. Инфекция может поражать любые участки кожного покрова. Прочитайте дополнительные сведения Если контур десны инвертирует (т.е. если кончики сосочков теряются) во время острой фазы, в конечном итоге требуется операция для предотвращения последующего периодонтита Пародонтит Пародонтит — хроническое воспалительное заболевание полости рта, которое постепенно разрушает опорный аппарат зуба. Он обычно проявляется как осложнение гингивита, а затем при отсутствии лечения. Прочитайте дополнительные сведенияАвторское право © 2022 Merck & Co., Inc., Rahway, NJ, США и ее аффилированные лица. Все права сохранены.
Острый некротический язвенный гингивит (ОНЯГ)
Острый некротический язвенный гингивит (ОНЯГ) — это болезненная инфекция десен, вызывающая жар, иногда неприятный запах изо рта и плохое самочувствие.
Если обычные бактерии в полости рта слишком быстро размножаются, то на деснах может появиться инфекция.
Десны болят, а изо рта иногда исходит крайне неприятный запах.
Эффективное действие оказывает профессиональная чистка, иногда с последующими полосканиями перекисью водорода и приемом антибиотиков, а также надлежащая гигиена полости рта.
Острый некротический язвенный гингивит теперь встречается редко, хотя незначительные инфекции десен, поражающие лишь несколько зубов, по-видимому, встречаются относительно часто. Тяжелая форма обычно затрагивает только людей с нарушениями иммунной системы (например, из-за ВИЧ/СПИД Инфекция, вызванная вирусом иммунодефицита человека (ВИЧ) Вирус иммунодефицита человека (ВИЧ) — это вирус, который постепенно разрушает некоторые лейкоциты и может привести к развитию синдрома приобретенного иммунодефицита (СПИД). ВИЧ-инфекция передается. Прочитайте дополнительные сведенияЗнаете ли Вы, что.
Острый некротический язвенный гингивит (ОНЯГ) раньше назывался «окопный рот» — термин, который появился во время Первой мировой войны, когда у многих солдат в окопах развивалась инфекция.
Инфекция вызывается аномально быстрым ростом бактерий, которые обычно находятся во рту, не причиняя никакого вреда. Недостаточная гигиена полости рта, как правило, вносит свой вклад в развитие ОНЯГ, а физический или эмоциональный стресс, недостаток питания и недосыпание способствуют ее развитию. Заражение происходит чаще всего у людей, которые страдают гингивитом Гингивит Гингивит — это легкая форма заболевания периодонта, характеризующаяся воспалением десен. Гингивит чаще всего является следствием неправильной чистки зубов щеткой и зубной нитью, однако он может. Прочитайте дополнительные сведенияСимптомы ОНЯГ
Обычно ОНЯГ начинается внезапно с боли и кровоточивости десен, чрезмерного образования слюны и иногда с крайне зловонного запаха изо рта. Также могут возникать жар и общее недомогание. Края десен между зубами кажутся перфорированными и начинают образовываться раны (язвы), покрытые серым слоем отмершей ткани. Десны легко кровоточат, и больно говорить, есть и глотать. Часто распухают лимфатические узлы под челюстью, и начинается незначительное повышение температуры.
Диагностика ОНЯГ
Поскольку запах изо рта настолько зловонный, стоматологи иногда ставят предварительный диагноз «Острый некротический язвенный гингивит (ОНЯГ)» сразу же, как только начинают общаться с больным. В других случаях диагноз становится очевидным на основании внешнего вида полости рта и десен.
Если десны быстро не отвечают на терапию, стоматологи могут назначить другие обследования, чтобы исключить другие причины.
Лечение ОНЯГ
Ополаскиватели для полости рта
Надлежащая гигиена полости рта
Лечение острого некротического язвенного гингивита (ОНЯГ) начинается с мягкой тщательной профессиональной чистки, выполняемой в течение нескольких дней.
Дома пациентам рекомендуют полоскать рот соленой водой, раствором перекиси водорода (простая аптечная перекись водорода, смешанная с водой в одинаковых соотношениях) или хлоргексидином. В первые несколько дней полоскание можно рекомендовать вместо чистки зубов зубной щеткой, поскольку отмечается чувствительность десен. Можно использовать мягкую зубную щетку или махровую салфетку для протирки зубов.
Если чистку нужно отсрочить (например, если нет стоматолога или необходимых инструментов), то врач назначает антибиотики внутрь (такие как амоксициллин, эритромицин или тетрациклин).
Инфекция очень хорошо реагирует на хорошую гигиену полости рта (ежедневная чистка зубной щеткой и зубной нитью). Стоматологи также рекомендуют отдыхать, пить много жидкости, употреблять питательную пищу и принимать обезболивающие. Стоматологи также рекомендуют воздержаться от курения и употребления горячей или острой пищи.
Дополнительная информация об ОНЯГ
Ниже приведены некоторые ресурсы на английском языке, которые могут быть полезными. Обратите внимание, что составители СПРАВОЧНИКА не несут ответственности за содержание этих ресурсов.
Ресурс Mouth Healthy (Здоровье полости рта): этот общий ресурс предоставляет информацию о здоровье полости рта, включая питание и рекомендации по выбору продуктов, получивших знак одобрения Американской стоматологической ассоциации. Также в нем приводятся рекомендации о том, как найти стоматолога, и о том, как и когда следует его посещать.
Национальный институт стоматологических и черепно-лицевых исследований (National Institute of Dental and Craniofacial Research): этот государственный сайт охватывает широкий круг тем, связанных со здоровьем полости рта и зубов (на английском и испанском языках), включая определения часто встречающихся терминов и новейшую информацию о клинических исследованиях, связанных с заболеваниями полости рта и зубов.
ПРИМЕЧАНИЕ: Это — пользовательская версия ВРАЧИ: Нажмите здесь, чтобы перейти к профессиональной версии
Авторское право © 2022 Merck & Co., Inc., Rahway, NJ, США и ее аффилированные лица. Все права сохранены.
Язвенно-некротический гингивит
Данный диагноз обозначает воспалительное заболевание десен, которое характеризуется наличием поражений в виде язв, и при этом возникает без образования зубодесневых карманов. Оно также известно как гингивит Венсана, или некротический гингивит. Согласно статистике, этот недуг чаще всего наблюдается у молодых людей и подростков, особенно мужского пола.
Комплексная процедура профессиональной гигиены полости рта (ультразвук + чистка зубов Air Flow + полировка)
Почему возникает язвенно-некротический гингивит Венсана?
Развитию язвенного гингивита может способствовать целый ряд как общих, так и местных неблагоприятных факторов. Среди них:
- зубной камень или налет;
- травмы десен;
- недостаточная гигиена полости рта;
- множественный запущенный кариес;
- затрудненное прорезывание зуба мудрости;
- курение;
- серьезная нехватка витаминов группы В, а также Е, А или С;
- нарушение обмена веществ;
- гормональные изменения;
- иммунодефицитные состояния (вследствие ангины, ОРВИ, гриппа, стресса и т.д.).
Симптомы язвенного гингивита
У пациентов наблюдаются следующие симптомы язвенного гингивита:
- сильные болевые ощущения в полости рта;
- общее ухудшение самочувствия, вялость;
- головная, суставная, мышечная боли;
- повышение температуры;
- усиленное выделение слюны;
- неприятный запах изо рта;
- большое количество налета в межзубных промежутках;
- увеличение и болезненность регионарных лимфоузлов;
- появление язв на деснах с последующим их распространением по всей слизистой оболочке ротовой полости;
- их кровоточивость;
- наличие на поверхности язв некротических пленок серого цвета, которые легко снимаются, обнажая темно-красную поверхность;
- атрофия, мутность десневых сосочков;
- болезненные ощущения при их пальпации.
Как правило, постановка диагноза не вызывает затруднений, однако для его подтверждения и дифференциации с прочими заболеваниями обычно назначается бактериологическое исследование отделяемого язв, а также общий и некоторые другие анализы крови.
Осложнения язвенно-некротического гингивита
При отсутствии своевременной врачебной помощи некротический гингивит может перейти в пародонтит или язвенный стоматит. Кроме того, в случае тяжелого течения заболевания оно иногда приводит к необратимым изменениям контура десны, ее абсцессу, поражению костной челюсти, обнажению шеек зубов и последующему их выпадению.
Профилактика язвенно-некротического гингивита
В качестве мер возможного предотвращения данного недуга можно порекомендовать тщательную гигиену ротовой полости (так, желательно ежедневно удалять налет, причем не только с зубов, но и с языка), полноценное питание, здоровый образ жизни, минимизацию стрессов и т.д. Кроме того, важно уделять должное внимание повышению защитных сил организма, регулярно проводить закаливающие процедуры.
Стоматолога даже при отсутствии жалоб желательно посещать дважды в год. При наличии в анамнезе данного заболевания рекомендуется ежеквартальное проведение профессиональной гигиены полости рта.
Вопросы клиентов
Анастасия, 21 год
Здравствуйте! Три дня назад у меня появилась температура, появились язвочки, заболели десна и горло. Теперь ни есть, ни говорить из-за боли не могу. Сходила к стоматологу и она мне прописала полоскание Хрогексидином и затем мазать язвочки витамином А. Целый день я это делала, а на следующий день язвочек стало еще больше. Что мне теперь делать?
Добрый день, Анастасия! Давать какие-либо рекомендации, не видя ситуации и не зная характер их возникновения, очень сложно. Обратитесь в любую удобную для вас клинику нашей сети на бесплатную консультацию. Пригласят необходимых специалистов и постараются оказать вам помощь.
Язвенно-некротический гингивит

Язвенно-некротический гингивит Венсана (ЯНГВ) — инфекционная болезнь десен воспалительного характера. Без обращения к стоматологу заболевание может спровоцировать пародонтит, стоматит, остеомиелит челюсти и даже полную потерю зубов. В качестве сопутствующей патологии язвенно-некротическое поражение десен является одним из симптомов вирусного иммунодефицита, лейкоза и ряда других болезней.
Развитие ЯНГВ провоцирует резкое размножение патологических микроорганизмов во рту на фоне сниженного иммунитета.
Катализатором могут стать как местные, так и системные факторы:
- недостаточная гигиена (в том числе, во время ношения брекет-систем и ретейнеров);
- механические травмы зубов и слизистых оболочек;
- врожденные или приобретенные дефекты прикуса;
- хронический стресс;
- аутоиммунные болезни;
- неправильное, обедненное по витаминам и микроэлементам, питание;
- вредные привычки, влияющие на кровоснабжение полости рта — чрезмерное употребление алкоголя, курение и пр.
Клиника, диагностика и лечение язвенного гингивита
Язвенный гингивит имеет катаральные и специфические признаки воспалительного процесса:

- десны болят, легко травмируются, кровоточат;
- десневые ткани становятся рыхлыми, краснеют.
- появляются участки с некротическими изменениями, язвы;
- десневой край зудит;
- на слизистых заметен зелено-серый налет;
- вязкая слюна;
- гнилостный запах изо рта.
Пациенты могут чувствовать общее недомогание, сильный жар. ЯНГВ часто имеет затяжное течение и рецидивирует. Диагноз устанавливает стоматолог по результатам клинического осмотра и дополнительных исследований (рентгенография, микроскопия и т. д.). В ходе развернутой диагностики специалист выявляет причины развития инфекции, оценивает распространенность патологического процесса.
Полностью вылечить язвенный гингивит можно, если обратиться в стоматологию при первых признаках болезни. Даже на поздних стадиях правильно подобранная терапия позволит добиться стойкой ремиссии.
Максимальный эффект обеспечивает комбинирование нескольких методик:
- санация пораженных зон антимикробными препаратами;
- полировка острых краев зубов, чтобы не травмировать слизистые;
- заживляющие и обезболивающие аппликации на изъявленные участки;
- удаление пораженных некрозом участков десен;
- полоскания антисептиками, фиторастворами, протеолитиками;
- местная и общая антибиотикотерапия;
- физиотерапевтические процедуры;
- профилактическая диета;
- прием витаминов и минералов.
Приглашаем в клинику Дента-АРС для диагностики и комплексной терапии язвенно-некротического гингивита Венсана. Наша стоматология оборудована всем необходимым для проведения диагностических исследований и эффективной терапии. Опытные специалисты тщательно проанализируют ваш клинический случай и разработают эффективную лечебную схему специально для вас.
Записаться на прием вы можете прямо на сайте или по телефону в Москве. Базовая стоимость услуг указана в разделе «Цены». Мы подарим вам здоровую и красивую улыбку.
Читайте также:
