Отгематома. Признаки и диагностика отгематомы
Добавил пользователь Евгений Кузнецов Обновлено: 28.11.2025
а) Определения:
• Гематома: отграниченное скопление крови (обычно свернувшейся) вне кровеносного сосуда, но находящейся в тканях
• Интерстициальное кровотечение: кровь, рассеянная в мышце
б) Визуализация гематомы:
1. Общая характеристика:
• Лучший диагностический критерий:
о Опухоль мягких тканей с МР характеристиками компонентов крови:
- Обычно ↑Т2 сигнал
- Часто ↑Т1 сигнал
• Локализация:
о Внутри- или внемышечная в зависимости от механизма
• Величина:
о Различная
• Морфология:
о Часто распространяется продольно в плоскостях фасций
2. Рентгенография:
• На рентгенограммах можно видеть отграниченное опухолевидное образование мягких тканей
• Другие данные в пользу травмы (например, суставной выпот или перелом)
3. КТ при гематоме:
• На КТ видно асимметричное увеличение пораженной мышцы или тканевой плоскости:
о Обычно такой же плотности, что и мышца на неконтрастной КТ, но может быть более высокое поглощение в случаях с острым кровотечением
о Транформация в серому уменьшает поглощение
• Выход контраста из сосудов в гематому на контрастно-усиленной КТ свидетельствует об активном кровотечении
(Слева) На осевой МРТ Т1 ВИ визуализируется крупная многокомпонентная опухолью в промежуточной широкой мышце в середине бедра у пациента, получающего варфарин (кумадин). Некоторые участки опухоли гиперинтенсивные по сравнению с мышцей, что указывает на кровь или жир. Кзади имеется уровень жидкость-жидкость.
(Справа) На осевой МРТ Т2 ВИ у этого же пациента определяется значительная неоднородность сигнала в опухоли с расположенными кпереди участками, которые напоминают кисту и уровень жидкости, расположенный кзади. Участки высокоинтенсивного сигнала на изображениях Т1 и Т2 соответствуют крови. (Слева) На осевой МРТ Т1 ВИ визуализируется размытый, опухолеподобный участок однородной ткани такой же интенсив -ности, что и у скелетной мышцы из группы мышц задней поверхности бедра.
(Справа) На осевой МРТ Т2 ВИ у этого же пациента более четко видна опухоль. Центральная часть излучает гипоинтенсив ный сигнал относительно нормальной мышцы; имеется тонкий ободок гиперинтенсивного сигнала по периферии. Темный сигнал на Т1- и Т2-взешен-ных частотах обычно указывает на острую гематому. (Слева) На осевой MPT Т2 ВИ FS у этого же пациента определяется устойчивый Низкоинтенсивный сигнал в центре опухоли с реактивным отеком в окружающих мышцах.
(Справа) На осевой МРТ Т1 ВИ С + FC MR у этого же пациента определяется интенсивное контрастирование реактивной/посттравматической ткани вокруг гематомы. Сама гематома, как и прежде, дает низкоинтенсивный сигнал; центральное контрастирование наталкивает на мысль о имеющейся опухоли, поскольку обычная гематома не контрастируется.
4. МРТ при гематоме:
• Т2 ВИ:
о Первоначально гиперинтенсивная относительно мышцы (ок-сигемоглобин)
о Затем изо- или гипоинтенсивная (деоксигемоглобин)
о Затем гиперинтенсивная (поскольку внутриклеточный метгемоглобин становится внеклеточным при разрушении эритроцитов)
о В конце концов, гипоинтенсивная (гемосидерин)
о Хроническая серома является гиперинтенсивной (жидкость)
о Реактивный отек (Т2 сигнал) вокруг гематомы можно видеть на любой стадии
о Жидкостно-клеточный слой (иначе называемый уровень ге-матокрита):
- Обычно у пациентов на фоне антикоагуляционной терапии или с внутриопухолевым кровотечением
• Т1 ВИ С+:
о Обычно патологическое контрастирование отсутствует в острой стадии
о Хронические гематомы часто вызывают реакцию прилежащих мягких тканей:
- Неоднородное контрастирование в группах нескольких мышц и/или нервно-сосудистых пучков:
Обычно нецентральное контрастирование
- Вследствие инфильтративных изменений бывает сложно отличить хроническую гематому от агрессивной опухоли:
Рекомендуется биопсия
• Заключение: МР картина чрезвычайно сложная и вариабельная:
о Отличается вследствие разницы индивидуальных величин единичного поля МР и неодинаковых визуальных картин разрушения крови
о Значительно сложнее обнаружить, чем внутрикраниальные гематомы вследствие большего размера и более сложного/ лакунарного строения
о Большинство гематом, несмотря на сложность обнаружения, излучают высокий Т1 и Т2 сигнал
о Гематомы не увеличиваются изнутри о Хронические гематомы обычно имеют ободок с ↓ сигналом гемосидерина на всех частотах
(Слева) На осевой неконтрастной КТ визуализируется опухолеподобная зона повышенного поглощения в большой ягодичной мышце у пожилого пациента после падения на область таза. На КТ снимке определяется острая гематома, если обратить внимание на незначительное повышение поглощения и облитерацию жировых полосок. Со временем поглощение гематомой снижается.
(Справа) На осевой МРТ Т1 ВИ у этого же пациента в этот же день видно, что у гематомы интенсивность сигнала не отличается от нормальной мышцы. (Слева) На осевой МРТ Т2 ВИ FS у этого же пациента определяется высокоинтенсивный сигнал в гематоме. В сверхострых случаях, как например в этом, компоненты крови обычно излучают сигнал с такими же характеристиками, что и вода.
(Справа) На боковой рентгенограмме коленного сустава у пациента с пальпируемой опухолью определяется опухоль мягких тканей. Саркома обычно кальцифицируется в центре; в данном случае это произошло по периферии. (Слева) На поперечном ультразвуковом снимке у этого же пациента обнаруживается неоднородная гипоэхогенная опухоль с контрастированием через трансмиссию. Цветовая допплерография (не показана) выявила внутреннюю васкуляризацию. Отмечается кальцификация вдоль глубокого края. Эти данные указывают на хроническую гематому.
(Справа) На осевой MPT T2 FS у этого же пациента определяется неоднородный сигнал, преимущественно, жидкости в пределах гематомы и ободок с низким сигналом гемосидерина и кальцификация. (Слева) На сагиттальной MPT PD у этого же пациента определяется низкоинтенсивный сигнал ободка гемосидерина и неоднородный сигнал от хронической гематомы. Она расположена в брюшке икроножной мышце, что исключает возможность сложной кисты Бейкера.
(Справа) На осевой MPT Т1ВИ у другого пациента визуализируется овальная опухоль в икроножной мышце с высоким центральным сигналом и низким сигналом ободка. Эта картина, фактически, является патогномоничной для подострой или хронической гематомы; Низкоинтенсивный сигнал ободка указывает на образование гемосидерина. (Слева) На осевой МРТ Т1 ВИ у этого же пациента определяется высокоинтенсивный сигнал гемоглобина центральной части гематомы. В некоторых случаях незначительное повышение сигнала Т1 может быть лучше видно на Т1-взвешенных изображениях с насыщением сигнала от жира.
(Справа) На осевой МРТ Т2 ВИ у этого же пациента определяется устойчивый высокоинтенсивный сигнал в центральной части опухоли и устойчивый низкоинтенсивный сигнал в ободке, что соответствует гемоглобину, расположенному центрально, и гемосидерину, расположенному периферически. (Слева) На поперечном ультразвуковом срезе у пожилого пациента с несколькими заболеваниями и опухолью в ягодичной области визуализируется неоднородное, но практически анэхогенное скопление жидкости с контрастированием через трансмиссию. Эти данные согласовывались с клиническим подозрением на гематому, которая подтвердилась на операции.
(Справа) На поперечном ультразвуковом снимке у этого же пациента выявлена сдавленная опухоль УЗИ в реальном времени позволяет оператору подтвердить уплотнение скоплений жидкости, как например, при острых гематомах.
5. УЗИ:
• Серошкальное исследование:
о Асимметричное увеличение мышцы:
- Гематома остро анэхогенная
- Позднее могут появиться эхогенные участки неправильной формы
• Цветовая допплерография:
о Внутренний цветовой поток отсутствует
6. Ангиография:
• Гематома: внутренняя васкуляризация отсутствует
7. Рекомендации по визуализации:
• Лучший диагностический метод:
о МРТ
• Рекомендация по протоколу:
о Т2 ВИ без FS может лучше оценить характеристики сигнала
о Рекомендуется МРТ + С для оценки внутренней сосудистой сети или возможного внутриопухолевого кровотечения
в) Дифференциальная диагностика гематомы:
1. Солидная опухоль:
• Опухоль может иметь похожие характеристики сигнала
• Опухоли могут кровоточить → гематома
• Большинство опухолей имеют внутреннюю сосудистую сесть
2. Инфаркт мышцы:
• Диабет в анамнезе
• Внутренняя архитектура похожа на нормальную мышцу
3. Гигрома:
• Сигнал от жидкости
• Отсутствует значительный окружающий отек
г) Патология:
1. Общая характеристика:
• Этиология:
о Занятие спортом:
- Разрыв мышцы (растяжение), часто в мышечно-сухожильном соединении
о Травматическая:
- Тупая или проникающая травма
о Нетравматическая:
- Антикоагуляционная терапия
- Нарушение свертывания
- Внутриопухолевое кровотечение:
В опухолях с васкуляризацией может спонтанно развиться кровотечение
• Сопутствующая патология:
о Разрыв мышцы и сухожилия
о Отек/воспаление окружающей мышцы
о Перелом
2. Макроскопические и хирургические особенности:
• Гематомы проходят через разные стадии разрушения крови: оксигемоглобин, деоксигемоглобин, внутриклеточный метгемоглобин, внеклеточный метгемоглобин, гемосидерин
• Структура часто неоднородная вследствие соединений гемоглобина на разных стадиях разрушения
• Хронические увеличивающиеся гематомы состоят из смеси соединений гемоглобина, некротических участков, соединительной и грануляционной ткани, фибрина и тромбов, окруженных псевдокапсулой из фиброзной ткани и гемосидерина
д) Клинические особенности гематомы:
1. Проявления:
• Типичные признаки/симптомы:
о Боль и локальная опухоль:
- Обычно неожиданное начало
о Признаки/симптомы, связанные с тупой или проникающей травмой
• Другие признаки/симптомы:
о Опухоль, кровоподтеки или другие доказательства травмы
2. Демография:
• Возраст:
о Нетравматическая: пожилой возраст, обычно связанная к ан-тиокоагуляционной терапией
• Пол:
о Травматическая или связанная со спортом: М>Ж
о Нетравматическая: М=Ж
• Эпидемиология:
о Предрасполагающие состояния:
- Ятрогенные факторы:
Антикоагуляционная терапия
- Врожденные заболевания:
Гемофилия
Болезнь Шенлейна-Геноха, болезнь Виллебранда и другие геморрагические диатезы
3. Течение и прогноз:
• Без лечения (консервативного или хирургического) часто развивается рецидив кровотечения
• Может привести к компартмент-синдрому:
о Венозный застой → компрессия нервно-сосудистого пучка → дегенерация/некроз мышцы
• Хроническая прогрессирующая гематома может увеличиваться в течение нескольких лет, особенно, на фоне антикоагуляционной терапии
4. Лечение:
• Консервативное лечение (ограничение физической активности), если отсутствуют симптомы
• Хирургическое удаление, если имеются симптомы (слабость, гиперестезия, боль при пассивном сгибании)
е) Диагностическая памятка:
1. Следует учесть:
• Антикоагуляционную терапию или травму в анамнезе
• Опухоль может имитировать гематому и гематома может имитировать опухоль:
о Внутриопухолевое кровотечение может иметь картину типичной гематомы:
- В случае необъяснимого спонтанного кровотечения следует исключить фоновую опухоль
- Исследуют прилежащие к гематоме ткани
о Хроническая гематома может напоминать опухоль:
- Неоднородная, с контрастированием (хотя редко центрально)
2. Советы по интерпретации изображений:
• Гематома не имеет сосудов:
о К + МРТ, КТ с контрастированием или допплеровский ультразвук для обнаружения внутреннего тока
о У хронической гематомы край может васкуляризироваться
• Высокий Т1 сигнал обычно обусловлен кровотечением или жировой тканью
3. Рекомендации по отчетности:
• Попытаться определить остроту кровотечения, если возможно
ж) Список использованной литературы:
1. Lutterbach-Penna RA et al: Ultrasound of the thigh: focal, compartmental, or comprehensive examination? AJR Ami Roentgenol. 203(5): 1085-92,2014
2. Hayashi D et al: Traumatic injuries of thigh and calf muscles in athletes: role and clinical relevance of MR imaging and ultrasound. Insights Imaging. 3(6):591-601, 2012
3. Lee JC et al: Imaging of muscle injury in the elite athlete. Br J Radiol. 85(1016): 1173-85,2012
4. Negoro К et al: Chronic expanding hematoma of the thigh. Joint Bone Spine. 79(2):192-4, 2012
5. Blankenbaker DG et al: Temporal changes of muscle injury. Semin Musculoskelet Radiol. 14(2):176-93, 2010
6. Kontogeorgakos VA et al: Extremity soft tissue sarcomas presented as hematomas. Arch Orthop Trauma Surg. 130(10): 1209-14, 2010
7. McKenzie G et al: Pictorial review: Non-neoplastic soft-tissue masses. Br J Radiol. 82(981 ):775-85, 2009
8. Shelly MJ et al: MR imaging of muscle injury. Magn Reson Imaging Clin N Am. 17(4):757-73, VII, 2009
9. Tafeb S et al: Soft tissue sarcomas or intramuscular haematomas? EurJ Radiol. 72(1 ):44-9, 2009
10. Wu JS et al: Soft-tissue tumors and tumorlike lesions: a systematic imaging approach. Radiology. 253(2):297-316, 2009
11. Nett MP et al: Magnetic resonance imaging of acute "wiiitis" of the upper extremity. Skeletal Radiol. 37(5):481-3, 2008
12. Theodorou SJ et al: Imaging findings of complications affecting the upper extremity in intravenous drug users: featured cases. Emerg Radiol. 15(4):227-39,2008
13. Allen DJ et al: Primary malignancies mistaken for pseudotumours In haemo-philic patients. Haemophilia. 13(4):383-6, 2007
14. Papp DF et al: Magnetic resonance imaging of soft-tissue tumors: determinate and indeterminate lesions. J Bone Joint Surg Am. 89 Suppl 3:103-15,2007
15. Elsayes KM et al: Value of magnetic resonance imaging in muscle trauma. Curr Probl Diagn Radiol. 35(5):206-12, 2006
16. Liu PT et al: Chronic expanding hematoma of the thigh simulating neoplasm on gadolinium-enhanced MRI. Skeletal Radiol. 35(4):254-7, 2006
17. Niimi R et al: Soft-tissue sarcoma mimicking large haematoma: a report of two cases and review of the literature. J Orthop Surg (Hong Kong). 14(1):90-5, 2006
18. Gomez P et al: High-grade sarcomas mimicking traumatic intramuscular hematomas: a report of three cases. Iowa Orthop J. 24:106-10, 2004
19. Bush CH: The magnetic resonance imaging of musculoskeletal hemorrhage. Skeletal Radiol. 29(1): 1-9, 2000
Отгематома. Признаки и диагностика отгематомы
Это заболевание ушной раковины заключается в скоплении крови между хрящом и надхрящницей, а иногда между надхрящницей и кожей. Отгематома обычно возникает в верхней половине передней (наружной или латеральной) поверхности ушной раковины, а именно в области, заключенной между двумя ножками противозавитка, в треугольной ямке.
Большие отгематомы кверху могут доходить до завитка, а книзу — до верхней половины собственно раковины (conchae). Отгематома имеет слегка синеватый или багровый цвет, хотя могут встречаться отгематомы и с нормальным цветом кожного покрова. Опухоль слегка флюктуирует.
Мочку отгематома, как правило, не захватывает. Однако описан случай отгематомы мочки, образовавшейся в результате потягивания за ухо во время эпилептического припадка [Рандау (Randau)]. На задней (медиальной) поверхности ушной раковины очень редко встречается отгематома; это бывает при тяжелых травмах.
Отгематома считается болезнью спортсменов (борцов, боксеров, футболистов, акробатов) и людей, занимающихся тяжелым физическим трудом (носильщики, каменщики, шахтеры) и др. Поэтому считают, что отгематома — это в основном болезнь травматического происхождения.

Небезынтересно упомянуть, что пластическое изображение этих «опухолей» отражено на древних статуях гладиаторов. Геркулеса, что указывает на характерное явление отгематомы у них.
Наблюдавшаяся в прежнее время частота отгематомы среди психически больных давала многим авторам повод считать ее следствием трофических расстройств центрального характера. Однако с улучшением отношения к психически больным в психиатрических больницах со стороны младшего обслуживающего персонала случаи отгематомы почти не наблюдаются. Спор шел также о значении направления удара в повреждении сосудов и возникновении отгематомы. Одни думали, что такое кровоизлияние может произойти при тангенциальном направлении удара (у гимнастов, носильщиков), а другие, наоборот, находили, что отгематома возникает и при перпендикулярном направлении удара (у боксеров).
М. Я. Цыпин (1931) описал 2 больных с отгематомой, из которых у одного, 44-летнего мужчины, отгематома возникла в поезде, когда он спал на подложенном под голову твердом чемодане. Второй больной (19 лет), посмотрев на себя в зеркало, неожиданно заметил опухоль ушной раковины.
Травмы не было, и никакой другой причины он не мог отметить. Спонтанное возникновение отгематомы считается возможным; оно объясняется нарушением кровообращения в условиях специфического перерождения сосудов и хряща, особенно в пожилом возрасте, а также чрезмерной васкуляризацяей хряща.
Обычно содержимое отгематомы бывает вначале кровянистым, но в позднем периоде оно принимает вид светлой жидкости. В случае задержки рассасывания образование может принять хронический характер. Такие образования описаны как серозные кисты (В. Павлов-Сильванский, 1906). Из 2 наблюдений, описанных В. Павловым-Сильванеким, во втором имелась киста, развившаяся после отгематомы. Несмотря на то что кровоизлияние произошло между хрящом и надхрящницей, хрящ изменений не представлял. После удаления хрящевой стенки кисты ухо приняло нормальный вид. Некоторые же не всегда согласны с термином «отгематома» (Ф. Я. Заеко, 1936), так как считают, что под диагнозом «отгематома» иногда скрывается перелом хряща. При переломе хряща ушная раковина резко болезненна, особенно при нарушении покоя.
Информация на сайте подлежит консультации лечащим врачом и не заменяет очной консультации с ним.
См. подробнее в пользовательском соглашении.
Внутримозговая гематома ( Интрапаренхиматозная гематома головного мозга )
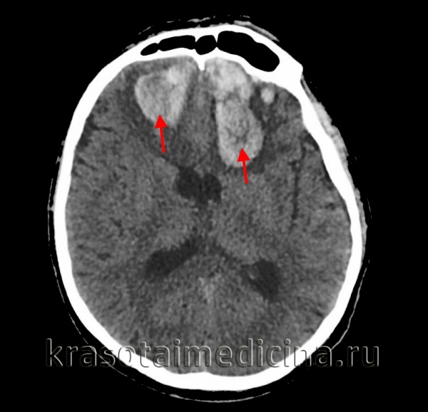
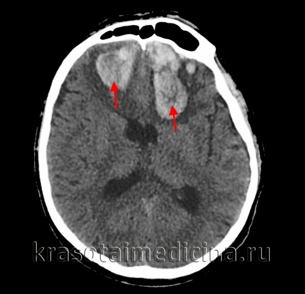
Внутримозговая гематома — ограниченное скопление крови в веществе головного мозга, оказывающее сдавливающее, смещающее и повреждающее воздействие на расположенную вблизи мозговую ткань. Внутримозговая гематома клинически характеризуется общемозговыми и очаговыми симптомами, которые зависят от места расположения гематомы и ее объема. Наиболее достоверно внутримозговая гематома диагностируется сочетанным применением КТ и МРТ головного мозга, а также ангиографического исследования сосудов мозга. Небольшая внутримозговая гематома может быть пролечена консервативно, большая внутримозговая гематома — только хирургически, путем удаления или аспирации.
МКБ-10


Общие сведения
Внутримозговая (интрапаренхиматозная) гематома - разновидность внутричерепной гематомы, характеризующаяся скоплением крови в паренхиме мозга. Чаще имеет посттравматическое происхождение. В структуре всех внутричерепных гематом внутримозговые кровоизлияния составляют порядка 30%. В несколько раз чаще диагностируются у мужчин. Возрастной пик приходится на молодой трудоспособный возраст - от 35 до 50 лет. Представляют серьезную опасность в связи с тяжестью развивающихся церебральных нарушений и высоким процентом летальности.

Причины
В зависимости от генеза внутричерепные гематомы могут быть посттравматическими и нетравматическими. Внутримозговая гематома может образоваться в результате:
- ЧМТ. Чаще всего излитию крови способствует разрыв церебрального сосуда в момент черепно-мозговой травмы или посттравматическое диапедезное кровотечение в контузионном очаге.
- Патологии церебральных сосудов. Непосредственная причина - разрыв аневризмы головного мозга или артерио-венозной мальформации.
- Аррозивного кровотечения. Деструкция сосудистой стенки может развиваться при внутримозговой опухоли, из-за чрезмерного повышения внутрисосудистого давления при артериальной гипертензии и/или нарушения эластичности сосудистой стенки при атеросклерозе, системных васкулитах, диабетической макроангиопатии и др.
- Изменений свойств крови. Внутримозговая гематома может быть связана с изменением реалогических свойств крови при гемофилии, лейкемии, заболеваниях печени (хроническом гепатите, циррозе), лечении антикоагулянтами и т. п.
Патогенез
Внутримозговая гематома может состоять как из жидкой, так и из свернувшейся крови. В некоторых случаях помимо крови внутримозговая гематома содержит мозговой детрит, по своему количеству значительно уступающий объему скопившейся в гематоме крови. Количество крови, которое вмещает внутримозговая гематома, колеблется от 1 до 100 мл. Увеличение размеров внутримозговой гематомы происходит, как правило, в течение 2-3 часов после начала кровотечения, а при нарушении свертывания крови и дольше.
Образовавшаяся внутримозговая гематома сдавливает окружающие ее мозговые ткани, приводя к их повреждению и некрозу. Наряду с этим внутримозговая гематома вызывает повышение внутричерепного давления и может стать причиной отека головного мозга. Внутримозговая гематома значительных размеров может приводить к смещению структур головного мозга и развитию так называемого дислокационного синдрома. Кроме того, кровотечение приводит к рефлекторному спазму сосудов головного мозга и ишемии, в первую очередь в расположенных вблизи гематомы областях.
Ишемия является дополнительным повреждающим фактором, приводящим к распространению патологических изменений далеко за пределы образующейся гематомы. Примерно в 14% наблюдений внутримозговая гематома прорывается в желудочки головного мозга, приводя к кровоизлиянию в желудочки. Согласно некоторым данным в 23% случаев внутримозговая гематома сочетается с образованием в оболочках головного мозга субдуральной, эпидуральной или эпи-субдуральной гематомы.
Классификация
На сегодняшний день клиническая неврология использует несколько классификаций внутримозговых гематом, дающих представление о их различных характеристиках: расположении, размерах, этиологии. В зависимости от локализации выделяют центральную, субкортикальную и кортико-субкортикальную внутримозговую гематому, а также гематому мозжечка. Различают лобарные, медиальные, латеральные и смешанные внутримозговые гематомы. По размеру внутримозговая гематома может классифицироваться как:
- малая (до 20 мл, диаметр по КТ не более 3 см)
- средняя (20-50 мл, КТ-диаметр 3-4,5 см)
- большая (>50 мл, КТ-диаметр >4,5 см).
По причине возникновения внутримозговая гематома может быть посттравматической, гипертензионной, аневризматической, опухолевой и пр. Для посттравматической гематомы применяется классификация по времени ее возникновения. Первичная внутримозговая гематома образуется сразу же после ЧМТ, отсроченная внутримозговая гематома — через сутки и более.
Симптомы внутримозговой гематомы
Общемозговые симптомы
В большинстве случаев интрапаренхиматозная гематома сопровождается выраженной общемозговой симптоматикой. У пациентов наблюдается головокружение, интенсивная головная боль, тошнота и рвота. Более половины случаев внутримозговой гематомы характеризуется нарушением сознания от сопора до комы. Иногда угнетению сознания предшествует период психомоторного возбуждения. Образование внутримозговой гематомы может протекать с наличием стертого светлого промежутка в состоянии пациента, с более длительным светлым промежутком или без него.
Очаговые симптомы
Очаговая симптоматика внутримозговой гематомы зависит от ее объема и локализации. Так, при небольших гематомах в области внутренней капсулы имеет место более выраженный неврологический дефицит, чем при значительно больших гематомах, локализующихся в менее значимых в функциональном плане участках мозга. Наиболее часто внутримозговая гематома сопровождается гемипарезом, афазией (расстройством речи), нарушениями чувствительности, не симметричностью сухожильных рефлексов правых и левых конечностей, судорожными эпилептическими приступами. Могут наблюдаться анизокория, гемианопсия, лобные симптомы: расстройство критики и памяти, нарушение поведения.
Дислокационный синдром
Обширная внутримозговая гематома быстро приводит к появлению дислокационного синдрома, возникающего в результате смещения мозговых структур. Вызывая увеличение объема содержимого черепной коробки, внутримозговая гематома приводит к смещению мозговых структур в каудальном направлении и вклинению миндалин мозжечка в большое затылочное отверстие. Следствием этого является сдавление продолговатого мозга, клинически проявляющееся стволовой симптоматикой: нистагмом, нарушением глотания (дисфагией), расстройством дыхательного ритма, диплопией, тугоухостью, вестибулярной атаксией, гипо- или аносмией, косоглазием и опущением верхнего века, брадикардией, гипертермией и подъемом артериального давления.
Кровоизлияние в желудочки
Внутримозговая гематома с прорывом крови в желудочки характеризуется гипертермией, быстро развивающимся угнетением сознания вплоть до комы, наличием менингеальных симптомов, горметоническими судорогами — приступообразным повышением тонуса мышц конечностей, в результате которого руки оказываются согнуты и приведены к туловищу, а ноги максимально разогнуты.
Внутримозговая гематома отсроченного характера клинически проявляется отсутствием улучшения в состоянии пациента или резким ухудшением его состояния спустя сутки и более после полученной травмы.
Диагностика
Современные методы нейровизуализации позволяют не только диагностировать внутримозговую гематому, но и выявить причину ее появления. Ведущим диагностическим методом являются:
- КТ головного мозга. Как правило, на томограммах внутримозговая гематома имеет вид очага гомогенной плотности округлой или овальной формы. Если гематома сформировалась в результате ушиба головного мозга, то она обычно имеет неровный контур. С течением времени происходит уменьшение плотности гематомы до изоплотного состояния, при котором ее плотность соответствует плотности мозговой ткани. Для малых гематом этот период составляет 2-3 недели, а для средних — до 5 недель.
- МРТ головного мозга. При уменьшении плотности гематома лучше визуализируется при помощи МРТ, хотя в начальном периоде применение МРТ может привести к ошибочному диагнозу в пользу опухоли с кровоизлиянием. Поэтому, при наличие такой возможности, многие неврологи и нейрохирурги предпочитают использовать в ходе диагностики оба способа нейровизуализации (КТ и МРТ).
- Церебральная ангиография. С целью выявления сосудистых нарушений, обусловленных рефлекторным ангиоспазмом, а также для диагностики аневризм и артерио-венозных мальформаций применяется ангиография головного мозга или магнитно-резонансная ангиография (МРА). Самостоятельно применяться в диагностике внутримозговой гематомы ангиография не может, поскольку не дает возможности точно отдифференцировать участок ушиба головного мозга от гематомы.

Дифференцировать внутримозговую гематому следует с опухолью полушарий мозга, очагом ушиба мозга, ишемическим инсультом, кистой и абсцессом головного мозга.
Лечение внутримозговой гематомы
Консервативная терапия
Внутримозговая гематома может быть пролечена консервативным или оперативным способом. Решение о выборе лечебной тактики обычно принимает нейрохирург. Проведение консервативной терапии под контролем КТ возможно при диаметре внутримозговой гематомы до 3 см, удовлетворительном состоянии сознания пациента, отсутствии клинических данных за дислокационный синдром и сдавление продолговатого мозга. В рамках консервативной терапии осуществляется введение гемостатиков и препаратов, уменьшающих проницаемость сосудов. Необходима профилактика тромбоэмболии, коррекция артериального давления. Для снижения внутричерепного давления под контролем электролитного состава крови применяют диуретики.
Нейрохирургическое лечение
Большой диаметр внутримозговой гематомы, выраженная очаговая симптоматика, нарушение сознания являются показанием к хирургическому лечению. Наличие признаков сдавления ствола мозга и/или дислокационного синдрома служит поводом для неотложного оперативного вмешательства:
- Транскраниальное удаление. Является операцией выбора при гематомах различной локализации и размера.
- Эндоскопическая эвакуация. Менее травматичный способ хирургического лечения внутримозговой гематомы. Применяется при наличии технической возможности.
- Стереотаксическая аспирация. Применима в отношении гематом малого размера, сопровождающихся значительным неврологическим дефицитом.
При множественных гематомах удалению зачастую подлежит лишь наибольшая из них. Если внутримозговая гематома сочетается с гематомой оболочек того же полушария, то ее удаление производится совместно с удалением субдуральной гематомы. Если внутримозговая гематома малого или среднего размера локализуется на другой стороне от гематомы оболочек, то она может не удаляться.
Прогноз и профилактика
К основным факторам, от которых зависит прогноз, относятся: размер и расположение гематомы, возраст пациента, наличие сопутствующей патологии (ожирения, гипертонической болезни, сахарного диабета и др.), степень и длительность нарушения сознания, сочетание внутримозговой гематомы с гематомами оболочек, своевременность и адекватность оказанной медицинской помощи. Наиболее неблагоприятен прогноз в отношении гематом, прорывающихся в желудочки головного мозга. Основные причины летального исхода — это отек и дислокация головного мозга. Около 10-15% пациентов с геморрагическим инсультом погибают от рецидива кровоизлияния, а примерно 70% имеют стойкий инвалидизирующий неврологический дефицит. Профилактика заключается в предотвращении травм головы, профилактике и своевременном лечении цереброваскулярных заболеваний.
Отогематома ( Гематома ушной раковины )
Отогематома – это ограниченное скопление крови в области ушной раковины, возникшее спонтанно или в результате тупой травмы, без нарушения целостности кожных покровов. Клинически проявляется постепенным или одномоментным формированием круглого или овального флюктуирующего выпячивания в верхней трети уха. Диагностика базируется на сборе данных анамнеза, физикальном осмотре, лабораторных тестах и дифференциации с другими заболеваниями. Лечение заключается в опорожнении гематомы при помощи давящей повязки, пункционной аспирации или открытого оперативного вмешательства с последующей антибактериальной терапией.

Гематома ушной раковины – относительно частое заболевание в отоларингологии. Примерно 75-80% всех случаев составляют отогематомы травматического происхождения. Чаще всего заболевание носит характер спортивный травмы и встречается у профессиональных борцов, боксеров и т. д. Основная причина спонтанных гематом данной локализации – гемофилия и различные формы лейкозов. Приблизительно в четверти случаев развиваются септические осложнения, из них порядка 85% – на фоне кровоизлияний со сроком давности более 3 суток. Отогематомы несколько чаще встречаются у людей пожилого возраста, что связано с дегенеративными изменениями хряща ушной раковины.
Причины отогематомы
Основная причина возникновения кровоизлияния – повреждение кровеносных и лимфатических сосудов ушной раковины. Заболевание может быть обусловлено как местным воздействием на наружное ухо, так и системными патологиями. В связи с этим выделяют 2 этиопатогенетические формы отогематомы:
- Травматическая. Наиболее распространенный вариант заболевания. Гематома формируется в результате тангенциальных ударов по ушной раковине или при ее надломах. Причинами выступают бытовые, производственные и спортивные травмы уха. Эта патология чаще всего встречается у спортсменов, занимающихся боксом или другими видами единоборств. У пожилых людей отогематома может возникать на фоне длительной компрессии, например, при сдавливании уха во сне.
- Спонтанная. Возникает в результате незначительного воздействия на ушную раковину при наличии сопутствующих патологических состояний. Чаще всего это - нарушение свертываемости крови при гемофилии, антифосфолипидном синдроме, онкогематологических заболеваниях, геморрагических диатезах, тромбоцитопенических состояниях. Также риск кровоизлияния повышают авитаминоз, алиментарные дистрофии, инфекционные заболевания (геморрагические лихорадки – Эбола, Ласса, Марбург, Конго-Крым), дегенеративные изменения хряща, длительное воздействие холода.
Морфологически отогематома представляет собой скопление крови и лимфы между кожным покровом и надхрящницей или между перихондрием и хрящом ушной раковины. Формируется она в результате нарушения целостности региональных сосудов при механическом разъединении вышеупомянутых структур. Пограничная капсула, как правило, не образуется. При нарушении системы свертываемости крови значимое травматическое повреждение уха может отсутствовать. Отогематома всегда возникает на латеральной (наружной) стороне ушной раковины, что обусловлено более высокой эластичностью связи кожи с надхрящницей на медиальной поверхности. Характерная особенность этой патологии – рецидивирующее течение, что вызвано слабостью гладкой мускулатуры сосудистых стенок данной локализации, местным нарушением свертываемости крови и сложным механизмом лимфооттока. В таких случаях в полости преобладает лимфатический компонент. Также за счет поверхностной локализации такие гематомы имеют высокий риск проникновения бактериальной флоры и нагноения содержимого.
Симптомы отогематомы
Первые признаки заболевания – постепенное или быстрое формирование припухлости в верхней части ушной раковины. Типичная локализация – между завитком и челноком. Небольшие кровоизлияния могут визуализироваться в области треугольной или ладьевидной ямки. Большие отогематомы иногда заполняют всю полость ушной раковины – от завитка до козелка или противокозелка. Внешне такая припухлость представляет собой круглое или овальное флюктуирующее выпячивание.
Кожа, покрывающая отогематому, как правило, гиперемирована, с синюшным оттенком, но при преобладании лимфатического компонента может сохранять нормальный телесный цвет. Сама ушная раковина, за исключением мочки, утолщается, а ее контуры сглаживаются. При больших объемах кровоизлияния ухо приобретает вид «бесформенной лепешки». Отогематомы травматической этиологии почти всегда сопровождаются некоторой болезненностью, чувством распирания и тяжести. Спонтанные и слабовыраженные гематомы при касании безболезненны и не сопровождаются субъективными ощущениями.
Осложнения
Наиболее частое осложнение – трансформация в абсцесс ушной раковины. Это происходит в результате вторичного инфицирования вовремя не удаленного содержимого отогематомы. Клинически абсцедирование сопровождается гиперемией кожных покровов уха, которая распространяется за пределы кровоизлияния, существенным усилением болевого синдрома, возникновением иррадиации боли в прилегающие структуры. Параллельно возникает повышение температуры тела до 37,5-38,5 О С. При отсутствии своевременного лечения абсцесса развивается перихондрит с последующим гнойным расплавлением хряща и необратимой деформацией ушной раковины.
Диагностика при отогематоме не представляет трудностей. Основная цель отоларинголога при постановке диагноза – определение вероятного этиологического фактора и проведение дифференциальной диагностики с другими схожими нозологиями. Полная программа обследования включает в себя:
- Сбор анамнеза и жалоб. Сведения, полученные при общении с пациентом, играют одну из ведущих ролей в диагностике. На наличие отогематомы указывают недавно перенесенные травматические повреждения уха, сопутствующее снижения свертываемости крови, профессиональное занятие боксом или боевыми искусствами.
- Физикальный осмотр. В пользу отогематомы свидетельствует наличие симптома флюктуации на фоне отсутствия или слабовыраженной боли. При развитии воспалительных осложнений при пальпации наблюдается резкая болезненность, местное повышение температуры и выраженная гиперемия почти всей поверхности ушной раковины.
- Лабораторные тесты. Их проведение наиболее информативно при подозрении на спонтанные отогематомы, так как при травматической этиологии заболевания изменения в ОАК отсутствуют. При сопутствующих нарушениях гемостаза в общем анализе крови могут присутствовать тромбоцитопения, панцитопения, бластные клетки. При гемофилиях определяется замедление время свертывания крови по Ли-Уайту и нарушения аутокоагуляционного теста (АКТ). При нагноении гематомы в ОАК наблюдаются неспецифические признаки воспаления: лейкоцитоз со сдвигом лейкоцитарной формулы влево, повышение СОЭ.
- Диагностическая пункция. Как правило, используется для проведения дифференциальной диагностики. При травматических кровоизлияниях в результате пункции получают смесь лимфатической жидкости и крови. Спонтанные формы отогематом, как правило, заполняются только не свертывающейся кровью. Рецидивирующие формы характеризуются наличием большого количества лимфы – светло-желтой жидкости, которая не сворачивается.
Дифференциальная диагностика отогематомы проводится с первичным перихондритом, рожистым воспалением ушной раковины, доброкачественными и злокачественными образованиями. Первичный перихондрит характеризуется диффузным поражением ушной раковины, изначальным отсутствием симптома флюктуации, зачастую – наличием заболеваний наружного и среднего уха в анамнезе. При рожистом воспалении в патологический процесс втягивается мочка уха, присутствуют везикулы с серозным содержимым и демаркационный вал, а с первых дней заболевания возникает выраженный интоксикационный синдром. Опухолевые образования характеризуются медленным развитием, негативным симптомом флюктуации, отсутствием гиперемии кожных покровов и содержимого при диагностической пункции.
Лечение отогематомы
Терапевтическая тактика зависит от размеров кровоизлияния в ушную раковину. Суть лечения – опорожнение полости отогематомы и профилактика развития бактериальных осложнений. С этой целью используются:
- Давящая повязка. Является методом выбора при отогематомах небольших размеров. Благодаря этому стимулируется спонтанная резорбция кровоизлияния. Для повышения эффективности перед наложением повязки кожу обрабатывают спиртовым раствором йода, а над образованием фиксируют 2-3 марлевых валика. Дополнительно в первые несколько часов от возникновения гематомы используют холод, а спустя 2-4 дня – массаж.
- Пункционная аспирация. Проводится при больших скоплениях лимфы и крови, возникших менее 3 суток назад. В асептических условиях при помощи шприца и иглы эвакуируется все содержимое отогематомы. Далее в образовавшуюся полость вводится 1-2 капли спиртового раствора йода с целью ускорения формирования рубца между стенками. После этой манипуляции также накладывается повязка.
- Вскрытие гематомы ушной раковины. Хирургическое вмешательство необходимо при невозможности опорожнить гематому аспирационным путем. В ходе операции выполняется дугообразный разрез вдоль края отогематомы, после чего удаляется все ее содержимое. Далее проводится обработка сформировавшейся полости антисептическими препаратами, накладываются швы на рану или устанавливается дренажная система. Через некоторое время после операции также накладывается давящая повязка, смена корой проводится каждый день.
- Антибиотикотерапия. Назначается при любом варианте лечения с целью профилактики вторичных инфекционных осложнений, формирования абсцесса или вторичного перихондрита. Препаратами выбора являются антибиотики широкого спектра действия из групп сульфаниламидов, цефалоспоринов III-IV поколений, аминогликозидов и других.
Прогноз для выздоровления при отогематоме благоприятный. В зависимости от способа лечения выздоровление наступает в сроки от 3 дней до 2 недель. В отношении косметического дефекта прогноз сомнительный – развитие необратимой деформации ушной раковины зависит от современности и полноценности оказания медицинской помощи. Специфических профилактических мер в отношении этого заболевании не разработано. К неспецифической профилактике относятся предотвращение травматизации или компрессии наружного уха, тщательная антисептическая обработка и гемостаз полученных повреждений, коррекция нарушений свертываемости крови, лечение других сопутствующих заболеваний.
Гематома мягких тканей
Гематома мягких тканей – это полость, образовавшаяся в результате травмы и заполненная кровью или сгустками. Возникает при излитии крови в ткани из поврежденного сосуда. Представляет собой плотное или флуктуирующее опухолевидное образование, болезненное при пальпации, сопровождающееся отеком и изменением цвета кожи. При глубоком расположении проявляется нарушением формы и локальным увеличением объема пораженного участка. Патология диагностируется на основании жалоб, данных анамнеза и внешнего осмотра. В сомнительных случаях назначается ультрасонография. Лечение – местные консервативные мероприятия, в тяжелых случаях показано вскрытие, дренирование.


Гематома мягких тканей – распространенное патологическое состояние в современной травматологии. Может выявляться в области конечностей, лица или туловища, быть небольшой или обширной, располагаться подкожно, внутримышечно, подфасциально, под слизистой оболочкой. Мелкие поверхностные гематомы чаще обнаруживаются в области пальцев рук, обширные скопления крови – в зоне нижних конечностей (голени и бедра). Небольшие образования нередко рассасываются самостоятельно. При попадании инфекции наблюдается нагноение. Патология диагностируется у всех групп населения, отмечается некоторое преобладание людей с высоким уровнем физической активности (детей, молодых мужчин).
Гематомы могут обнаруживаться при любых видах травматических повреждений (автодорожных, производственных, падениях с высоты и пр.), но наиболее распространенной причиной их образования является бытовая травма. Патология обычно возникает после прямого удара при ушибе, может формироваться вследствие интенсивного сдавления, разрыва сосуда при переломах, вывихах и других повреждениях. Предрасполагающими факторами, увеличивающими вероятность развития данного состояния, являются заболевания, сопровождающиеся нарушениями со стороны свертывающей системы крови и повышенной хрупкостью сосудистой стенки.
В основе механизма формирования гематомы мягких тканей лежит разрыв кровеносного сосуда без наличия раны, реже – при небольшой ране (обычно колотой). Интенсивное локальное травматическое воздействие при ушибе, повреждение костным отломком, резкое противоестественное смещение одних анатомических структур относительно других при переломе или вывихе становится причиной нарушения целостности сосудистой стенки. Кровь под давлением вытекает и «раздвигает» ткани, формируя полость.
Часть крови пропитывает ткани, поэтому в дальнейшем наблюдаются цикличные изменения цвета кожных покровов, обусловленные распадом эритроцитов с образованием гематоидина и гематосидерина. Вначале место повреждения становится багровым или багрово-синюшным, позже приобретает зеленоватый, а затем желтоватый оттенок. При глубоких гематомах цвет кожи может оставаться неизмененным.
В последующем гематома либо рассасывается, либо длительно сохраняется, претерпевая ряд последовательных изменений, завершающихся рубцеванием. При вскрытии свежих образований кровь алая, вязкая, густая, иногда желеобразная, что объясняется активностью факторов свертывания. Позже в полости обнаруживаются либо старые сгустки, либо темная жидкая лизированная кровь. При опорожнении застарелых гематом сгустки могут быть твердыми, образовывать цельную массу, плохо отделяться от окружающих тканей, что связано с начавшимся процессом рубцевания и перерождения в фиброзную ткань. Инфицированные полости заполнены серозным или гнойным содержимым.
Систематизация осуществляется по нескольким признакам. Целью деления на группы является оценка тяжести патологии, выбор лечебной тактики, определение необходимости проведения хирургического вмешательства и наиболее вероятного прогноза. В клинической практике различают следующие виды гематом:
- По локализации. Гематомы могут быть расположены под кожей, в подслизистом слое, под фасцией, в толще мышечной ткани. Наиболее крупные полости локализуются внутри мышц или подфасциально (между мышцей и фасцией), что обусловлено богатым кровоснабжением и эластичностью скелетной мускулатуры.
- По состоянию сосуда. Пульсирующие гематомы формируются при повреждении сосуда большого калибра, отличаются отсутствием тромба в зоне повреждения, возможностью свободного движения крови из полости образования в полость сосуда и обратно. Непульсирующие гематомы обнаруживаются при нарушении целостности мелких и средних сосудов, дефект стенки которых быстро закрывается тромбом.
- По состоянию излившейся крови. Несвернувшиеся (свежие) гематомы выявляются в первые часы или дни после травмы, свернувшиеся – спустя несколько суток, лизированные (заполненные старой кровью, неспособной к свертыванию) – через несколько недель. Указанные сроки могут колебаться в зависимости от активности факторов свертывания, размера образования и иных обстоятельств. При проникновении инфекции наблюдается инфицирование, позже – нагноение.
- По отношению к тканям. При развитии диффузных гематом процесс пропитывания тканей кровью преобладает над процессом их «раздвигания», полость небольшая или отсутствует. При формировании ограниченных образований ткани пропитаны незначительно, основная масса излившейся крови находится в полости. Осумкованные гематомы определяются в отдаленные сроки, характеризуются наличием слоя плотной соединительной ткани, отделяющей полость от окружающих структур.
- По степени тяжести. Легкие гематомы возникают примерно через сутки после травматического эксцесса, чаще рассасываются самостоятельно. Образования средней тяжести формируются в течение 3-5 часов, требуют проведения консервативных или оперативных мероприятий. Тяжелые повреждения диагностируются через 1-2 часа после травмы, являются показанием для вскрытия и дренирования.

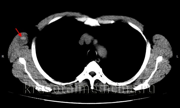
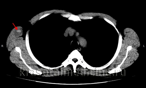
КТ ОГК. Гиперденсное скопление крови в толще мышечного массива грудной стенки справа, окруженное зоной отека.
Симптомы
Первыми проявлениями патологии становятся боль и местный отек. Характерным отличием гематомы от других травм мягких тканей на ранней стадии является более выраженная ограниченность припухлости, отсутствие постепенного перехода от отечных структур к неизмененным. В последующие часы отек начинает распространяться. Болезненность усиливается, движения ограничиваются из-за боли. Пациенты предъявляют жалобы на ощущение давления или напряжения в пораженной зоне. При поверхностном расположении гематомы кожа становится синюшно-багровой. При глубокой локализации полости может выявляться локальная гиперемия кожных покровов, иногда цвет кожи не изменяется.
При пальпации на начальном этапе флуктуация обычно отсутствует, определяется уплотнение и резкая болезненность. После формирования ограниченной полости, содержащей жидкую кровь, выявляется положительный симптом зыбления. Вначале пораженная область при ощупывании напряженная, после спадания отека плотность тканей может снижаться. При благоприятном течении припухлость постепенно уменьшается в размере и исчезает, при неблагоприятном – сохраняется в течение длительного времени, вызывает болезненность при движениях.
Основным возможным негативным последствием гематомы мягких тканей является ее нагноение с образованием абсцесса. Осложнение чаще обнаруживается при сопутствующих повреждениях кожных покровов. При попадании инфекционных агентов в полость образования болевой синдром усиливается, отмечается локальная гиперемия и гипертермия, присоединяются симптомы общей интоксикации. В отдельных случаях возможно распространение гнойного процесса с формированием флегмоны или развитием сепсиса.
Диагностика осуществляется врачом-травматологом. При отсутствии признаков поражения костей и суставов дополнительные исследования обычно не требуются, диагноз выставляется с учетом данных анамнеза (наличие свежей травмы с характерным механизмом), жалоб больного и результатов физикального обследования. При глубоко расположенных гематомах для оценки тяжести повреждения и дифференцировки с ушибом может назначаться УЗИ мягких тканей. При сопутствующем поражении твердых структур выполняется рентгенография соответствующего сегмента. Кроме ушиба дифференциальную диагностику иногда приходится проводить с переломами, надрывами связок и мышц, реже – с синдромом позиционного сдавления, острым миозитом, ишемией при тромбозе сосуда мелкого или среднего калибра и некоторыми другими состояниями, сопровождающимися плотным локальным отеком.

Лечение гематомы мягких тканей
Лечение обычно осуществляется амбулаторно, тактика определяется тяжестью процесса и временем с момента травмы. При свежих повреждениях конечности придают возвышенное положение, прикладывают холод (грелку с холодной водой, пакеты со льдом, завернутые в полотенце), накладывают давящую повязку для уменьшения кровотечения. После организации небольших образований назначают УВЧ, применяют теплые грелки для ускорения рассасывания. Небольшие поверхностно расположенные гематомы вскрывают в условиях травмпункта. При крупных и глубоких полостях, появлении признаков инфицирования показана госпитализация в травматологическое отделение, вскрытие и дренирование на фоне антибиотикотерапии. При неинфицированных гематомах после вскрытия рекомендовано тугое бинтование для устранения полости и ускорения заживления.
Прогноз обычно благоприятный. Большинство гематом рассасывается самостоятельно в течение 2-3 недель. Средний срок нетрудоспособности после вскрытия полости составляет около 2 недель, исходом становится полное выздоровление. При отсутствии лечебных мероприятий возможно образование массива фиброзной ткани (рубца) с формированием внешнего дефекта. При наличии инфекции сроки лечения и прогноз могут колебаться, зависят от тяжести процесса. Профилактика включает предотвращение травм и раннее обращение за медицинской помощью при получении повреждений.
Читайте также:
- Психоневрозы при феохромоцитоме. Стертые формы гиперкатехоламинемии
- Лечение химических ожогов. Тактика
- Конечности эмбриона. Покровные образования плода
- Лучевые признаки мальформации синуса твердой мозговой оболочки плода
- Определение локализации абсцесса мозга. Топическая диагностика отогенного абсцесса мозга
