Определение локализации абсцесса мозга. Топическая диагностика отогенного абсцесса мозга
Добавил пользователь Евгений Кузнецов Обновлено: 28.11.2025
Отогенный абсцесс мозга - гнойник вещества мозга, имеющий отогенное происхождение.
Что провоцирует / Причины Отогенного абсцесса мозга:
Абсцесс мозга в большинстве случаев развивается на стороне пораженного уха и становится продолжением воспалительного процесса в нем.
Изредка наблюдаются и контралатеральные абсцессы, в этих случаях процесс распространяется по сосудистым путям.
Сначала развивается энцефалит и лишь через 10-14 дней обычно наступает абсцедирование, сопровождающееся общемозговыми и очаговыми симптомами. Общемозговые симптомы связаны с воспалением мозговой ткани, интоксикацией и повышением внутричерепного давления.
Симптомы Отогенного абсцесса мозга:
В обычном течении среднего отита наступают изменения. Общее состояние ребенка постепенно ухудшается, он становится вялым, безразличным к окружающему, перестает играть, у него ухудшается аппетит, появляется некоторая заторможенность, кожные покровы становятся бледными, черты лица как бы заостряются.
Высокой температуры обычно нет, беспокоит головная боль, иногда односторонняя, чаще по ночам, в связи с чем наступает бессонница. Вследствие внутричерепной гипертензии наблюдаются тошнота и рвота, не связанные с приемом пищи.
Наполнение и ритм пульса не меняются, но появляется брадикардия, иногда до 40 в минуту при обычном артериальном давлении.
Картина крови нехарактерная, чаще непрофильный лейкоцитоз, некоторая гипохромная анемия.
К сожалению, очаговые симптомы выявляются редко. Наиболее яркий и патогномоничный симптом возникает у правшей при локализации абсцесса в левой височной доле мозга. Это так называемая амнестическая афазия - ребенок называет функцию предмета или как-то его характеризует, а назвать не может. Например, авторучка - это «предмет, которым пишут», часы «показывают время, тикают».
Реже встречается сенсорная афазия, когда у больного затруднено понимание обращенной к нему речи. Обычно в этих случаях абсцесс располагается в верхнезадних отделах височной доли. Однако при локализации абсцесса в правой височной доле мозга у правшей, т.е. у большинства детей, такой патогномоничный симптом отсутствует. В связи с этим правое ухо является как бы немым и диагностика в этой ситуации всегда вызывает большие затруднения.
При расположении абсцесса ближе к лобно-теменной области или перифокальном отеке возможны явления моторной афазии, скандированная речь.
Другим очень важным симптомом абсцесса височной доли является гемианопсия. Она связана с вовлечением в процесс зрительного пути, проходящего через височную долю к затылочной.
В отдельных случаях у детей появляются и локальные симптомы - судорожные припадки, парезы конечностей, нарушения чувствительности, двигательные нарушения на стороне, противоположной абсцессу.
Диагностика Отогенного абсцесса мозга:
Диагностика отогенного абсцесса очень трудна. Необходимо детальное клиническое обследование больного.
Спинномозговая пункция показана, но анализ спинномозговой жидкости дает мало информации для диагностики абсцесса. Особое внимание при спинномозговой пункции обращают на повышение внутричерепного давления. В спинномозговой жидкости обнаруживается некоторое повышение количества белка и иногда лейкоцитов.
Жидкость обычно прозрачна, но выделяется частыми каплями, иногда даже струей. Вследствие этого проводить пункцию детям с подозрением на абсцесс мозга нужно очень острожно, так как описаны случаи, когда при быстром истечении жидкости происходило ущемление продолговатого мозга.
Большое количество лейкоцитов, отсутствие прозрачности (мутная спинномозговая жидкость) могут свидетельствовать о периодическом опорожнении абсцесса в желудочек мозга. В этих случаях пункция опасна, так как возможны прорыв абсцесса в желудочек и мгновенная смерть.
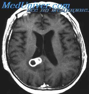
В последние годы для окончательного уточнения диагноза проводится компьютерная томография, хотя она еще далеко не везде доступна. Этот метод позволяет точно определить локализацию абсцесса, его размеры, глубину расположения, перифокальный отек мозговой ткани, перивентрикулярный отек.
Не теряют значения эхография, реография мозга, ангиография, исследование глазного дна и полей зрения, УЗИ.
Эхоэнцефалография основана на использовании эффекта высокочастотных звуковых колебаний, отражающихся от поверхности раздела образований с разным акустическим сопротивлением. Смещение срединных структур у больного с абсцессом височной доли достигает 10-13 мм.
Определенную информацию, позволяющую определить расположение абсцесса в полушариях по характерному рисунку сосудов, дает контрастная ангиография, хотя этот метод довольно опасен и у детей используется только по витальным показаниям.
Используют современные радионуклидные методы (в зоне гнойника происходит интенсивное накопление радионуклидов).
Лечение Отогенного абсцесса мозга:
При установлении диагноза отогенного абсцесса мозга больному производится срочная радикальная (общеполостная) операция на ухе с широким обнажением мозговой оболочки средней черепной ямки.
После этого через обработанную спиртовым раствором йода твердую мозговую оболочку выполняют диагностическую пункцию мозга на глубину 2-3 см, иногда в различных направлениях.
Найденный абсцесс вскрывают по игле, в его полость вводят резиновый дренаж. Если абсцесс найден, состояние больного обычно быстро улучшается. Если поиск сразу не увенчался успехом, диагностические пункции продолжают.
В некоторых случаях даже если абсцесс не найден, состояние ребенка после радикальной операции на ухе вследствие некоторой декомпрессии улучшается, но поиски абсцесса необходимо продолжать.
Контралатеральные абсцессы мозга оперируют в нейрохирургических отделениях, используя иные подходы, хотя элиминацию воспалительного очага в ухе осуществляют также оториноларингологи.
К каким докторам следует обращаться если у Вас Отогенный абсцесс мозга:
Вас что-то беспокоит? Вы хотите узнать более детальную информацию о Отогенного абсцесса мозга, ее причинах, симптомах, методах лечения и профилактики, ходе течения болезни и соблюдении диеты после нее? Или же Вам необходим осмотр? Вы можете записаться на прием к доктору .
Определение локализации абсцесса мозга. Топическая диагностика отогенного абсцесса мозга
Лучевое исследование при абсцессе мозга. Течение отогенных абсцесов мозга
Значение рентгенологического исследования при абсцессах мозга до операции невелико. Денкер и Калер (Kahler) наблюдали затемнение, вызванное петрификацией содержимого абсцесса и его капсулы. Н. Н. Бурденко, А. Н. Бакулев, Шуберт и Неус (Neuss) иногда видели на рентгенограммах таких больных просветления, обязанные газообразовательной деятельности анаэробов.
Ценные данные можно получить при рентгенографии после хирургического обнажения твердой мозговой оболочки и удачной пункции абсцесса. Вводя в его полость контрастные вещества, можно значительно точнее определить размер гнойника, его форму, наличие бухт и т. д. Чаще всего для этой цели вводят йодистые препараты — йодицин, йодолипол. А. Н. Бакулев и Пикэ заполняли полость абсцесса воздухом.
Течение абсцессов мозга претерпело в настоящее время значительные изменения: подразделение на четыре стадии стало еще менее четким, чем раньше, границы между ними определяются значительно труднее, а непосредственный переход скрытой стадии в терминальную участился. Продолжительность заболевания в летальных случаях, особенно при абсцессах височной доли, в настоящее время значительно удлинилась в результате того, что сопутствующие воспалительные изменения довольно легко подавляются, несмотря на неизлеченность основного очага нагноения.

Из 21 больного, скончавшегося от абсцессов височной доли мозга, 6 человек находились в клинике от 3 до 4,5 месяцев и 5 человек от 1,5 до 3 месяцев (М. И. Вольфкович).
Затяжное течение бывает теперь нередко даже у больных с множественными абсцессами мозга. Продолжительность болезни 3 больных, наблюдавшихся А. В. Соболевым и А. И. Дейтером, равнялась, 32, 58 и 88 дням. Среди 12 больных с множественными абсцессами 6 находились под наблюдением от 22 до 35 дней (Ю. А. Папшицкий).
Множественность и непостоянство симптоматики, а также отсутствие, специфичности отдельных клинических проявлений могут сделать диагноз абсцессов мозга иногда довольно трудным. Симптоматология их зависит не только от непосредственного влияния самого гнойника; она вызывается нередко другими одновременно существующими внутричерепными осложнениями или перифокальными энцефалитами.
Легче всего поставить правильный диагноз в тех случаях, когда очаговая симптоматика сочетается с некоторыми из общемозговых проявлений, характерных преимущественно для абсцессов мозга (брадикардия, застойный сосок), при слабой выраженности менингеального синдрома и общих расстройств (повышение температуры) и отсутствии грубых изменений в крови и ликворе. Нарушение такого сочетания синдромов делает диагноз менее надежный.
Информация на сайте подлежит консультации лечащим врачом и не заменяет очной консультации с ним.
См. подробнее в пользовательском соглашении.
Паратонзиллярный абсцесс - симптомы и лечение
Что такое паратонзиллярный абсцесс? Причины возникновения, диагностику и методы лечения разберем в статье доктора Садыхова Рагима Агаларовича, ЛОРа со стажем в 7 лет.
Над статьей доктора Садыхова Рагима Агаларовича работали литературный редактор Вера Васина , научный редактор Евгений Буданов и шеф-редактор Маргарита Тихонова
Определение болезни. Причины заболевания
Паратонзиллярный абсцесс (Peritonsillar abscess) — это острое гнойное воспаление околоминдаликовой клетчатки (ткани, расположенной между капсулой нёбной миндалины и мышцами глотки) [1] [2] [3] .
При заболевании краснеет и сильно болит горло, чаще с одной стороны. Пациенту трудно широко открывать рот, температура поднимается выше 38 °С, возникает выраженная слабость, головная боль и ломота в теле.

Паратонзиллярному абсцессу предшествует паратонзиллит. В отличие от абсцесса, при этом заболевании возникает лишь воспаление и отёк. Но если паратонзиллит не лечить, он переходит в абсцесс.
Паратонзиллярный абсцесс — это самая распространённая инфекция среди абсцессов глубоких тканей шеи и головы. Заболевание чаще возникает у молодых людей в возрасте от 20 до 40 лет, реже — у детей и пожилых пациентов. Мужчины и женщины болеют одинаково часто [4] [5] .
Причины паратонзиллярного абсцесса
Абсцесс развивается из-за того, что в мягкую, рыхлую околоминдаликовую клетчатку с прилежащих областей проникает агрессивная бактериальная инфекция, как правило аэробные и факультативно-анаэробные микробы. Самый типичный возбудитель заболевания — Streptococсus pyogenes группы А (бета-гемолитический стрептококк). Значительно реже абсцесс вызывают другие виды бактерий, обитающие в ротоглотке: фузобактерии, бактероиды и золотистый стафилококк [6] .
Ведущую роль в развитии паратонзиллярного абсцесса играют железы Вебера, основная часть которых расположена в верхней части нёбных миндалин. Эти железы механически очищают поверхность миндалин от отмершего эпителия, частичек пищи и бактерий. При инфицировании и воспалении возникает отёк и закупорка выходного соустья желёз Вебера. В результате из прилегающей клетчатки мягкого нёба гнойно-инфекционный процесс распространяется на окружающие ткани [7] .
При обнаружении схожих симптомов проконсультируйтесь у врача. Не занимайтесь самолечением - это опасно для вашего здоровья!
Симптомы паратонзиллярного абсцесса
Чаще всего паратонзиллярный абсцесс возникает либо на фоне острого тонзиллита (бактериальной ангины), либо спустя несколько дней после стихания или даже прекращения этого заболевания.
Проникшие в кровь продукты жизнедеятельности бактерий, разрушенные участки их клеточной стенки и антигены являются пирогенами — веществами, повышающими температуру тела. Поэтому при абсцессе температура поднимается выше 38 °С, возникает озноб, обезвоживание и выраженная слабость. Воспалению сопутствует отёк, из-за которого сдавливаются расположенные рядом нервные окончания — становится больно открывать рот, жевать и глотать. Часто во рту скапливается густая слизь, которую не удаётся проглотить.
При рефлекторном спазме жевательных мышц трудно полностью открыть рот, что приводит к гнусавости. Часто увеличиваются шейные и подчелюстные лимфоузлы, при поворотах головы возникает резкая боль, которая нередко отражается в ухе или зубе на стороне поражения [8] [9] [10] .
При паратонзиллярном абсцессе крайне редко появляются сопутствующие симптомы ОРВИ: заложенность носа, насморк, чихание и кашель.
Патогенез паратонзиллярного абсцесса
У здорового человека нёбные миндалины участвуют в формировании иммунитета — в них созревают лимфоциты. Здесь эти иммунные клетки учатся взаимодействовать с чужеродными антигенами и вырабатывать антитела против опасных для организма инородных агентов, которые попадают в ротовую полость.
Нёбные миндалины совместно с лимфатическими фолликулами задней стенки глотки, язычной, трубной и глоточной миндалиной (аденоидами) действуют как единый защитный комплекс — они борются с микробами и могут воспаляться одновременно. Это скопление лимфоидной ткани называют лимфоглоточным кольцом Пирогова — Вальдейера.
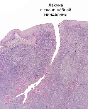
К развитию паратонзиллярного абсцесса предрасполагает сложное строение нёбных миндалин: они состоят из множества углублённых карманов (лакун), которые расположены в толще ткани и визуально напоминают фьорды.
Глубина лакун может достигать двух-трёх сантиметров. Их поверхность выстлана железами Вебера, которые механически очищают миндалины во время артикуляции, жевания и сжимания миндалин мышцами глотки при глотании, что можно сравнить с выжиманием рукой поролоновой губки.
![Лакуна в ткани нёбной миндалины [11]](/pimg3/opredelenie-lokalizatsii-abstsessa-F2E1.jpeg)
Снижение иммунитета, заражение патогенными бактериями, чаще всего бета-гемолитическим стрептококком, рубцы нёбных миндалин при длительном хроническом тонзиллите приводят к закупорке выводного протока желёз Вебера. Воспалительный отёк не позволяет продуктам жизнедеятельности бактерией и погибшим лимфоцитам выйти наружу в ротовую полость. В результате в ближайшей к нёбным миндалинам рыхлой клетчатке скапливается гной, который не может адекватно выйти наружу [9] [12] .
Классификация и стадии развития паратонзиллярного абсцесса
В Международной классификации болезней (МКБ-10) паратонзиллярный абсцесс кодируется как J36.
Заболевание развивается в три стадии:
- Отёк — начальный период болезни со слабыми симптомами. Пациенты редко обращаются за помощью на этой стадии, поэтому в клинической практике врача она почти не встречается.
- Инфильтрация (паратонзиллит) — возникает в первые сутки болезни, когда ещё нет сформированного очага. В этот период лимфоциты, нейтрофилы и воспалительные молекулы окружают область, куда проникли бактерии, что приводит к её уплотнению. На стадии инфильтрации эффективно лечение антибиотиками.
- Абсцедирование — возникает, как правило, на третьи-пятые сутки болезни и проявляется наиболее яркими симптомами. Медикаментозная терапия уже действует слабо, нужно создать путь для оттока гноя. Если на этой стадии поздно обратиться к врачу, то разовьются осложнения.
Выделяют несколько локализаций паратонзиллярного абсцесса:
- Передний (передне-верхний) — абсцесс возникает спереди от нёбной миндалины. Эта локализация встречается примерно в 75 % случаев, и её легче всего диагностировать [19] .
- Задний — гнойный очаг образуется позади нёбной миндалины. Встречается у четверти пациентов.
- Боковой — самая тяжёлая и одновременно самая редкая форма болезни, при которой гной располагается между мышцами глотки и шеи. При таком абсцессе чаще всего развиваются грозные осложнения.
- Нижний — возникает у нижнего края нёбной миндалины. Развивается у небольшого количества пациентов и может быть вызван инфекцией в области задних зубов [6][13][14][15] .
Осложнения паратонзиллярного абсцесса
Осложнения прежде всего связаны с отёком ротоглотки. Паратонзиллярный абсцесс опасен близостью к дыхательным путям и распространением гнойно-инфекционного процесса в глубокие отделы шеи, где располагается трахея и жизненно важные сосудистые и нервные пучки: сонная артерия, ярёмная вена и блуждающий нерв.
В результате могут возникнуть следующие состояния:
- Перекрытие дыхательных путей — затруднено дыхание и возникает удушье, из-за чего пациент может потерять сознание.
- Распространение гнойного процесса из шеи в грудную клетку — развивается медиастинит, т. е. воспаление средостения, в котором расположены трахея, аорта и сердце.
- Воспалительное повреждение крупных кровеносных сосудов шеи ( сонных и ярёмных ) — приводит к кровотечению в ротовую полость и средостение.
- Аутоиммунные заболевания — гломерулонефрит, ревматическое поражение клапанов сердца и сосудов, ревматоидный артрит. Эти болезни развиваются из-за системного воздействия бета-гемолитического стрептококка на иммунную систему. и септический шок — прогноз в этих случаях неблагоприятный [17][18] .
Диагностика паратонзиллярного абсцесса
При диагностике абсцесса важно, чтобы врач выяснил все жалобы и внимательно осмотрел пациента.
Сбор анамнеза и осмотр
На приёме доктор уточняет, как давно возникли и как быстро развивались симптомы. Также имеет значение тяжесть общего состояния и наличие подобных случаев ранее.
К наиболее специфическим жалобам относятся:
- выраженная односторонняя боль в горле;
- тризм жевательных мышц (трудно широко открывать рот); ;
- боль при прощупывании наружной поверхности шеи;
- сопутствующее плохое самочувствие, часто с высокой температурой.
При осмотре врач прежде всего обращает внимание на асимметричное выбухание передней или задней нёбной дужки на стороне боли (передняя дужка выбухает чаще, чем задняя), налёт на миндалине, её красноту и отёчность. Нередко появляется неприятный запах изо рта, возникает боль при прощупывании шеи и поворотах головы — когда нужно повернуться, пациент делает это всем телом.
Лабораторная диагностика
Лабораторная диагностика позволяет правильно подобрать терапию. Чтобы выявить возбудителя болезни и определить его чувствительность к антибиотикам, исследуется мазок из миндалины или со стенок вскрытого абсцесса. Важно брать мазок именно со стенок абсцесса, а не исследовать непосредственно гнойное отделяемое: протеолитические ферменты гноя могут разрушить бактерии, что даст ложноотрицательный результат.
Также проводится тест на дифтерийную палочку (бациллу Леффлера): на начальной стадии симптомы дифтерии глотки и паратонзиллярного абсцесса схожи.
В последнее время часто применяют Стрептатест — экспресс-метод выявления бета-гемолитического стрептококка, основанный на полимеразной цепной реакции. Этот тест можно провести в домашних условиях всем членам семьи.
Чтобы контролировать динамику болезни и выявить выраженные общие отклонения, проводится общий анализ крови и анализ на С-реактивный белок.
Инструментальная диагностика
Изредка, в нетипичных случаях, проводится УЗИ мягких тканей шеи и даже КТ/МРТ шеи с контрастом. Эти методы помогают исключить сосудистые и опухолевые поражения глотки, подтвердить или исключить предполагаемый диагноз, выявить точную локализацию абсцесса.
Дифференциальная диагностика
Паратонзиллярный абсцесс следует отличать от других заболеваний, поражающих ротовую полость.
К этим заболеваниям относятся:
- дифтерия;
- абсцесс язычной миндалины и ангина Людвига;
- новообразования рото- и гортаноглотки; ;
- аневризма и мальформация сонной артерии и ярёмных вен [8][13] .
Лечение паратонзиллярного абсцесса
Тактика лечения во многом зависит от стадии заболевания и тяжести симптомов, но всегда соблюдаются три главных принципа:
- если в мягких тканях есть гной, то необходимо создать путь для его оттока;
- чтобы полностью избавиться от возбудителя, антибиотики нужно принимать не меньше 10 дней, особенно это важно при заражении бета-гемолитическим стрептококком;
- симптомы интоксикации и воспаления можно снять обезболивающими и антигистаминными препаратами.
В стадии инфильтрации достаточно принимать антибиотики из группы пенициллинов широкого спектра действия (например, Амоксициллин) или цефалоспорины II–III поколения. Чтобы уменьшить боль и отёк, назначают симптоматические препараты.
В стадии абсцедирования уже сформирован гнойный очаг и требуется экстренная госпитализация и лечение в стационаре. На этой стадии проводят комбинированную терапию: абсцесс вскрывают через ротовую полость и применяют антибиотики широкого спектра действия. После местной анестезии делают разрез и разводят края раны, чтобы можно было удалить гной. При этом обычно со стенок абсцесса берут мазок и отправляют его на бактериологическое исследование.
Вскрытие абсцесса позволяет создать путь для оттока гноя и необходимо, чтобы снизить риск осложнений.
В последующие дни после операции следует разводить края раны, чтобы предотвратить её преждевременное слипание. Как правило, после вскрытия абсцесса состояние быстро улучшается, боль стихает и удаётся свободно открывать рот.
При длительном хроническом тонзиллите есть риск рецидива абсцесса, поэтому одновременно с его вскрытием могут быть удалены миндалины (абсцесстонзиллэктомия). Наличие в прошлом хотя бы одного эпизода абсцесса уже является показанием к удалению нёбных миндалин.
Чтобы снизить риск осложнений при вскрытии абсцесса, доктор должен убедиться в отсутствии аллергии на вводимые лекарства и не задевать предполагаемые участки с крупными сосудами. Для этого предварительно делают пробную пункцию с аспирацией из области наибольшего выбухания абсцесса (чтобы получить гной и провести его микробиологическое исследование).

В первые дни болезни может применяться внутривенная терапия — вводят антибиотик, антигистаминное средство, солевой раствор и витамины. Лечение длится 10–14 дней и ускоряет выздоровление.
Редким, но основным побочным эффектом лекарственной терапии может быть диарея, а также вялость и сонливость. Как правило, при этих симптомах препарат отменять не нужно.
С особой осторожностью дозы лекарств рассчитывают при патологии печени и почек, а также у пациентов старше 60 лет с болезнями сердца. В таких случаях организму сложно преобразовывать и выводить медикаменты [14] [15] [17] [18] .
Особенностей лечения паратонзиллярного абсцесса у детей и беременных женщин нет.
Прогноз. Профилактика
При адекватной антибактериальной терапии прогноз, как правило, благоприятный. Рецидив возможен при развитии после абсцесса рубцовых изменений нёбных миндалин. Его вероятность составляет 20–30 %. С каждым эпизодом абсцесса риск рецидива и осложнений многократно увеличивается, поэтому в таких случаях рекомендуется удалить миндалины.
Особо тщательный подход к лечению с привлечением других специалистов потребуется пациентам с некомпенсированным сахарным диабетом и ВИЧ-инфекцией, а также при приёме гормональных и цитостатических препаратов, лечении рака, иммуносупрессивной терапии при пересадке органов. В таких случаях повышается риск сепсиса, медиастинита и гибели пациента.
Профилактика развития паратонзиллярного абсцесса :
Диагноз отогенного абсцесса мозга. Дифференциация абсцесса мозга
При явном преобладании общей и общемозговой симптоматики врач вынужден склоняться скорее к диагнозу менингита, допуская при этом возможность существования абсцесса мозга лишь на основании печального опыта нередких неожиданных секционных находок. Явное преобладание в клинической картине очаговых проявлений позволяет с большей уверенностью диагностидировать абсцесс, но не всегда дает право исключать возможность опухоли.
Назначение антибиотиков еще до установления диагноза может быстро подавить ряд симптомов внутричерепного процесса. Порой клинические проявления абсцесса затушевываются настолько, что создается впечатление случайного острого инфекционного заболевания, сопровождавшегося лишь кратковременной неврологической симптоматикой и благополучно закончившегося к моменту обращения больного к врачу. Поэтому теперь приходится фиксировать внимание на ряде слабо выраженных и иногда малохарактерных проявлений мозгового процесса.
Так, долгое время не исчезающая, хотя и умеренная, головная боль, особенно односторонняя, заставляет и в этих сомнительных случаях настораживаться в отношении возможного внутричерепного процесса. Общее неудовлетворительное состояние больного, известные изменения в его психике с преобладанием заторможенности либо неадекватности поведения делают такую настороженность еще более обоснованной.
Быстрее всего снимаются антибиотиками общие проявления. Температура в течение 2—3 дней может нормализоваться, а лейкоцитоз и нейтрофилез исчезнуть столь же быстро; ускорение нее РОЭ и при современных способах лечения остается устойчивым. Среди общемозговых симптомов очень лабильным оказывается менингеальный синдром, вызываемый чаще всего сопутствующим воспалением мозговых оболочек. Связанные с гипертензией изменение глазного дна, брадикардия и иногда головня боль оказываются более стойкими.

Неустойчивыми, легко устранимыми могут быть порой и очаговые симптомы, поскольку они возникают нередко в результате перифокального воспаления или ограниченного менингита. Очаговые симптомы в ранних стадиях болезни чаще связаны с энцефалитическими изменениями вокруг абсцесса, чем с разрушением ткани самим гнойником. Позднее по мере формирования капсулы роль перифокального воспаления уменьшается. Поэтому в начальных стадиях заболевания очаговая симптоматика легче подавляется антибиотиками, чем в более поздних.
Диагностические трудности, возрастающие при применения антибиотиков, заставляют теперь чаще прибегать к люмбальной пункции. При лечении антибиотиками патологические изменения в ликворе при абсцессах мозга также могут быть подавленными, но полная нормализация его достигается все же редко. Само по себе исследование спинномозговой жидкости, однако, не позволяет точно установить диагноз, особенно при однократной люмбальной пункции.
Нередко результаты первого обследования больного говорят лишь о наличии внутричерепного процесса, но не дают еще точных представлений о его характере. В этих случаях приходится иногда ограничиться временным решением вопроса, относится ли процесс к отогенным осложнениям. При абсцессах мозга такая задача разрешается обычно легко, поскольку причинный отит чаще всего является эпитимпанитом с холестеатомой, мало изменяющимся под влиянием антибиотиков.
Затруднения чаще возникают при острых отитах, симптомы которых могут быть к моменту исследования подавлены. В этих случаях нередко помогает анамнез, позволяющий установить, что острое заболевание среднего уха предшествовало появлению мозговой силштоматики. Отогенный характер страдания легче устанавливается при преобладании внутричерепной симптоматики на стороне больного уха. Очень трудно установить отогенную природу редких осложнений, возникающих в течении мезотимпанита или спустя долгое время после радикальной операции (Александер, Штепплер).
Однако даже при эпитимпанитах с холестеатомой установление связи мозгового процесса с ушным заболеванием не может претендовать на абсолютную точность.
Нередко диагноз абсцесса мозга приходится ставить во время операции или в послеоперационном периоде. Однократная люмбальная пункция сравнительно редко дает возможность поставить точный диагноз. Чаще диагноз уточняется лишь при сопоставлении данных повторных пукций с результатами динамического наблюдения за больными. При лечении антибиотиками стабилизация изменении ликвора при одновременной стойкости ряда клинических симптомов, даже слабо выраженных, говорит чаще всего о наличии абсцесса мозга.
Особое значение для диагноза имеет пробная пункция мозга. Прием этот малосовершенен и не безопасен. Иногда лишь многократные пробные проколы обнаруживают гнойник.
Установление положения абсцесса мозга в одной из черепных ямок при ясной очаговой симптоматике обычно нетрудно. Значительно более сложным становится оно при наличии только общемозговых проявлений.
В этих случаях чаще приходится руководствоваться направлением разрушения кости или локализацией промежуточных этапов нагноения. Так, при тромбозе синуса или при гнойном лабиринтите абсцесс следует искать в мозжечке. При продвижении инфекции по пути мелких сосудов такая ориентировка отсутствует. Необходимо также помнить, что обнаружение наружного пахименингита в одной из черепномозговых ямок еще не исключает полностью локализации абсцесса мозга в другой ямке (Л. И. Цукерберг, В. О. Калина).

Поэтому в случае отсутствия явных симптомов очагового характера приходится нередко открывать обе черепные ямки и пунктировать мозг в каждой из них. Все это делает пробный прокол очень несовершенным способом определения абсцесса мозга, с которым приходится мириться лишь потому, что без него окончательный диагноз и последующее лечение остаются невозможными. Если при первом проколе гноя не получено, то обычно делают еще 2—3 прокола, меняя направление иглы.
При отрицательных данных в последующие дни пункции нередко приходится повторять.
Труднее всего топическая диагностика атипично расположенных абсцессов (контралатеральные, в затылочной, лобной, теменной долях, варолие-вом мосту и т. д.) в связи с их редкостью и неясностью симптоматики. Даже правильно поставив диагноз, локализацию таких гнойников установить удается сравнительно редко.
Определение множественных гнойников затрудняется пестротой очаговой симптоматики и почти обязательным сочетанием их с менингитом. Правильная диагностика до первого хирургического вмешательства почти невозможна. Дальнейшее наблюдение иногда заставляет заподозрить наличие дополнительных гнойников, но редко помогает найти их.
Ю.А. Папшицкий, наблюдавший 12 таких больных, описывает клиническую картину их таким образом. После вскрытия одного абсцесса наступает улучшение состояния больного, сменяющееся вскоре новым ухудшением и рецидивом симптомов абсцесса. Пролапсы мозга чаще осложняют множественные абсцессы, чем одиночные. После вскрытия одного гнойника пролапс сокращается, но затем вновь начинает увеличиваться.
Такое течение может, однако, наблюдаться и при недостаточном опорожнении одиночного абсцесса или увеличении окружающей его зоны перифокального воспаления.
- Вернуться в оглавление раздела "Профилактика заболеваний"
Читайте также:
- Лучевая диагностика дегенеративного заболевания суставов кранио-вертебрального сочленения
- Лучевая диагностика метастазов в спинной мозг
- Гемодинамика при воздушных ваннах. Теплообмен под воздушной ванной
- Влияние бледной поганки, мускатного ореха на плод и беременность
- Коррекция нарушений липидного обмена. Антиагреганты при стенокардии.
