Паховая лимфогранулема. Дивертикулит сигмовидной кишки.
Добавил пользователь Владимир З. Обновлено: 05.01.2026
Гастроэнтерология – отрасль медицины, развитие которой достигло в Израиле высочайшего уровня. Специалисты израильской клиники Топ Ихилов обладают всеми необходимыми познаниями в области диагностики и фармакологии, а также виртуозно владеют самой современной медицинской техникой.
При подозрении на дивертикулит или другое серьезное расстройство пищеварительной системы стоит обратиться к настоящим профессионалам – врачи Топ Ихилов смогут оказать Вам самую квалифицированную и быструю помощь!
Дивертикулит: методы лечения в клинике Топ Ихилов
В случае легкой формы дивертикулита достаточно придерживаться прописанной врачом диеты и принимать антибиотики или обезболивающие такие, как ацетаминофен. В более серьезных случаях требуется хирургическое вмешательство. Хирурги клиники Топ Ихилов довели проведение различных операций пищеварительной системы до совершенства и будут рады помочь в решении Ваших медицинских проблем.
Обычно резекция кишечника при дивертикулите бывает двух видов:
- Удаление больной части кишечника и сшивание сегментов толстой кишки с целью возобновления ее функционирования. Такая операция часто проводится лапароскопическим методом (через небольшие разрезы), что делает ее более безболезненной и сокращает период реабилитации.
- Резекция с колостомой (открытый конец ободочной кишки пришивается к отверстию в брюшной стенке, чтобы позволить выход кала и газов из кишечника). Данная операция производится в случае большого количества воспалений в толстой кишке, делающих невозможным соединение ее сегментов после резекции.
Дивертикулит: диагностика в клинике Топ Ихилов

Дивертикулит – это инфекционное заболевание, название которого происходит от слова «дивертикулы» – так называются грыжевидные образований в пищеварительной системе. Дивертикулы могут образовываться и в кишечнике, и в желудке, и в пищеводе, но чаще всего они встречаются в толстой кишке. Как правило, образование дивертикул начинается у людей после 40 лет, сам процесс их образования .который может протекать совершенно безболезненно и незаметно, называется «дивертикулез».
Воспалительный процесс при дивертикулите начинается вследствие гниения в дивертикуле остатков пищи или кала, а также вследствие бактериальной инфекции. Воспаление может ограничиться дивертикулой, а может и перекинуться на другие органы.
Основными симптомами дивертикулита являются:
- боль в животе;
- тошнота, рвота.
- лихорадка;
- запор;
Дивертикулит нельзя запускать, потому что он может привести к таким серьезным осложнениям, как перитонит, свищ или абсцесс.
В клинике Топ Ихилов, оснащенной по последнему слову медицинской техники, проводят обследования, способные точно и быстро выявить дивертикулит .
Поскольку дивертикулит способен осложнить диагностирование рака, лечащий врач может назначить пациенту колоноскопию, которая позволит ему осмотреть всю прямую и толстую кишку.
Кроме того, обязательно будет назначена КТ и УЗИ.
Сообщите мне цены
- 5
- 4
- 3
- 2
- 1
Вниманию пациентов. Важно! Израиль открывает небо. Пациенты с неотложными заболеваниями могут записаться на прием к врачу. Успейте забронировать раннюю дату!
Оставьте свои контактные данные в форме заявки, и наши консультанты свяжутся с вами в течение 30 минут.
Лечение дивертикула пищевода

Такая гастроэнтерологичекая проблема, как дивертикул пищевода не очень распространена, однако она способна причинить человеку немало страданий. Появляется она из-за того, что стенка пищевода выпячивается и образует слепую трубку, которая нарушает функцию глотания и движения пищи по пищеводу. В сложных случаях в возникшем «кармане» могут даже скапливаться остатки пищи, что вызывает воспаление и боли. И в этом случае требуется неотложная оперативная помощь, потому что последствия могут быть очень опасными. Дивертикулы бывают истинными и ложными. Ложный дивертикул отличается тем, что его стенка состоит только из внешней и слизистой оболочки. В первом же в процесс вовлечены внешняя, слизистая и мышечная оболочки. Также дивертикулы классифицируются и по механизму развития. Всего бывает тракционный, пульсионно-тракционный и пульсионный дивертикул пищевода. Последний имеет самую простую этиологию и проявляется тогда, когда стенка пищевода выпячивается в самом слабом месте.
Тракционный дивертикул — это следствие сращивания стенки пищевода и окружающих органов. Также механизм возникновения бывает и смешанным.
Симптомы дивертикула пищевода

Картина болезни полностью зависит от локализации и типа болезни. Наиболее частыми симптомами являются:
- ощущение наличия постороннего предмета в глотке;
- болезненное глотание;
- повышенное отделение слизи;
- беспричинный кашель;
- частичное срыгивание пищи.
Основная опасность состоит в том, что симптомы бывают выражены очень незначительно, из-за чего больные долго её игнорируют и усугубляют своё положение.
Причины появления дивертикулы

У здоровых людей без каких-либо врождённых аномалий, причиной появления дивертикула являются затянувшиеся воспалительные процессы. Они приводят к появлению рубцовой ткани, вытягивающей пищеводную стенку.
Дивертикулез — лечение
Основной метод лечения — консервативный. Он включает в себя диету, сбалансированное питание, а также употребления после каждого приёма пищи стакана тёплой воды (для того, чтобы вымыть из полости остатки пищи). В том случае, если приведённые выше методы не приносят должного эффекта, есть только один способ вылечить дивертикул пищевода — операция.

Врач гастроэнтеролог, врач УЗИ, зам. главного врача по клинико-экспертной работе.
график работы специалиста:
| понедельник | 10.00-14.00 |
| среда | 9.30-14.30 |
| четверг | 9.30-14.30 |
| пятница | 13.00-16.00 |
| суббота | 9.00-15.00 |

Врач гастроэнтеролог детский высшей категории
график работы специалиста:
| понедельник | 13.00-15.00 |
Стоимость услуг гастроэнтеролога
| Код услуги | Услуга | Цена, рублей |
|---|---|---|
| 11.1 | Прием врача гастроэнтеролога первичный | 1800 |
| 11.2 | Прием врача гастроэнтеролога первичный с выдачей листка нетрудоспособности | 2000 |
| 11.3 | Прием врача гастроэнтеролога повторный | 1600 |
| 11.3.1 | Консультация врача эндоскописта | 1200 |
| 11.4 | Тест на диагностику инфекции «Helicobacter pylori» | 1100 |
| 11.5 | Экспресс-Тест на диагностику инфекции «Helicobacter pylori» | 1000 |
| 11.6 | Тест на диагностику инфекции «Helicobacter pylori» системой ХЕЛИК-СКАН М | 1300 |
| 11.7 | Взятие биоматериала и экспресс-тест диагностики инфекции «Helicobacterpylori» во время ФиброГастроскопии | 1400 |
| 11.8 | Забор материала для гистологического иследования при эзофагогастроскопии, колоноскопии, бронхоскопии (без стоимости гистологического исследования) | 800 |
| 11.9 | Эзофагогастродуоденоскопия (ЭГДС) диагностическая | 3500 |
| 11.12 | Колоноскопия (видеоколоноскопия) диагностическая | 6900 |
| 11.16 | Колоноскопия диагностическая с терминальной илеоскопией (осмотр дистальной части тонкой кишки) | 7900 |
| 11.19 | Ректоскопия (осмотр прямой кишки) диагностическая | 2500 |
| 11.20 | Ректосигмоскопия диагностическая (осмотр сигмовидной кишки) | 3000 |
| 11.23 | Эндоклипирование (без стоимости расходного материала) до 3-х клипс | 4000 |
| 11.23.1 | Эндоклипирование (без стоимости расходного материала) за каждую последующую клипсу | 1500 |
| 11.24 | Эндоскопическое лигирование (без стоимости расходного материала) | 4000 |
| 11.25 | Стоимость клипсы (за ед.) | 2500 |
| 11.26 | Стоимость лигатуры (за ед.) | 4700 |
| 11.27 | Бронхоскопия диагностическая | 4000 |
| 11.30 | Запись исследования на флеш-накопитель (в стоимость входит флешка) | 350 |
| 11.31 | Эндоскопическое удаление доброкачественных новообразований первой категории (без стоимости седации и гистологического исследования) | 3700 |
| 11.32 | Эндоскопическое удаление доброкачественных новообразований второй категории (без стоимости седации и гистологического исследования) | 5900 |
| 11.33 | Эндоскопическое удаление доброкачественных новообразований третьей категории (без стоимости седации и гистологического исследования) | 9300 |
| 11.34 | Эндоскопическое удаление доброкачественных новообразований нескольких отделов кишки (без стоимости седации и гистологического исследования) | 16000 |
| 11.35 | Установка внутрижелудочного баллона (без стоимости седации) | 47000 |
| 11.36 | Снятие внутрижелудочного баллона (без стоимости седации) | 26500 |

Наша клиника приобрела экспертный УЗИ аппарат с мощными возможностями, качественной визуализацией и исключительной надежностью. Canon Aplio i800– одна из лучших ультразвуковых диагностических систем в мире.
Стойка - главное аппаратное ядро любого кабинета врача-эндоскописта. Аппаратура Pentax представляет из себя синтез высокопроизводительных видеосистем и эндоскопов для обеспечения превосходных диагностических и терапевтических возможностей и удобства специалиста.
Дивертикулез толстой кишки
Дивертикулярная болезнь – заболевание, характеризующееся клиническими проявлениями разной степени выраженности, обусловленными наличием дивертикула или дивертикулеза, включая воспаление (дивертикулит) и его осложнения (перидивертикулит, абсцесс, перфорация, свищ, перитонит), а также кровотечение.
Дивертикулярная болезнь поражает преимущественно сигмовидную кишку, затем нисходящую ободочную кишку, менее часто правую половину поперечной ободочной кишки и редко правые отделы ободочной кишки.

Этиология
До настоящего времени неизвестно, какой из факторов более важен для развития дивертикулов: анатомический дефект кишечной стенки или действие сил в полости кишки.
Обнаружено, что базальное внутриполостное давление у больных дивертикулярной болезнью и у здоровых лиц одинаковое. Однако пораженный дивертикулами сегмент кишки сокращается сильнее в ответ на прием пищи или действие фармакологических стимулов.
Другим важным этиологическим фактором может быть слабость кишечной стенки. Тонус мускулатуры толстой кишки с возрастом постепенно снижается, что, по-видимому, объясняет преимущественное поражение лиц пожилого возраста.
Таким образом, дивертикулярную болезнь можно объяснить периодическим значительным повышением внутриполостного давления, воздействующим на ослабленную возрастными изменениями стенку толстой кишки.
Классификация
Данное заболевание классифицируется следующим образом:
- Дивертикулярная болезнь без клинических проявлений.
- Дивертикулярная болезнь с клиническими проявлениями. Эта форма характеризуется симптомокомплексом, включающим боли в животе и различные нарушения функции кишечника.
- Дивертикулярная болезнь с осложненным течением:
- дивертикулит;
- перфорация;
- кровотечение;
- кишечная непроходимость;
- внутренние или наружные кишечные свищи.
Симптомы, клиническая картина дивертикулеза и диагностика заболевания
Дивертикулез толстой кишки может длительное время не проявляться, и его обнаруживают случайно при обследовании больных.
Основными симптомами клинически выраженного неосложненного дивертикулеза толстой кишки являются боли в животе и нарушения функции кишечника. Боли в животе носят разнообразный характер — от легкого покалывания до сильных коликообразных. Чаще всего они локализуются в нижней половине живота, особенно в левой подвздошной области или над лобком, т. е. в зоне расположения сигмовидной кишки. У части больных эти боли разнообразны не только но своему характеру, но и по локализации, в связи с чем врач не всегда связывает их с заболеванием толстой кишки. У ряда больных боли вызываются приемом пищи, что объясняется влиянием гастроколического рефлекса.
Нарушение функции кишечника проявляется чаще в виде запоров, причем длительное отсутствие стула значительно усиливает болевой синдром. Иногда отмечается диарея, не носящая, однако, постоянного характера. Нередко больные жалуются на неустойчивый стул; иногда описанные симптомы сочетаются с тошнотой или рвотой.
Осложнения дивертикулеза проявляются обычно довольно ярко. Наиболее часто наблюдается дивертикулит — примерно у 1/3 больных дивертикулярной болезнью толстой кишки. Основные признаки дивертикулита — боли в животе, повышение температуры и лейкоцитоз. Появление двух последних признаков на фоне существовавшего клинически выраженного или бессимптомного дивертикулеза позволяет отличить начавшееся воспаление от функциональных болей.
При распространении воспалительного процесса в виде параколита наряду с перечисленными симптомами отмечается образование инфильтрата, размеры которого колеблются от незначительных, с трудом определяемых при пальпации до обширных очагов, занимающих всю левую половину живота. Прогрессирование воспалительного процесса может привести к абсцедированию с угрозой прорыва гнойника в брюшную полость. Стихание воспаления не всегда приводит к полному рассасыванию инфильтрата, и тогда индурация брыжейки или окружающих тканей симулирует опухоль брюшной полости.
Сигмовидная кишка или другие отделы ободочной кишки в результате повторных атак дивертикулита, параколита или формирования абсцесса могут оказаться спаянными с соседними органами. При этом абсцесс может вскрыться в мочевой пузырь, уретру, влагалище или тонкую кишку с образованием свищей.
Перфорация дивертикула встречается как при клинически выраженном, так и бессимптомном дивертикулезе ободочной кишки. Перфорация в свободную брюшную полость ведет к развитию быстро прогрессирующего перитонита, клинические проявления которого не отличаются от таковых при других формах острого воспаления брюшины. Кишечная непроходимость при дивертикулезе толстой кишки носит характер обтурационной со всеми присущими этой форме проявлениями. Одной из частых причин развития непроходимости при дивертикулезе является образование так называемой псевдоопухоли.
Кишечное кровотечение, хотя и не имеет, как правило, профузного характера, но все же часто бывает настолько выраженным, что быстро привлекает внимание как самого больного, так и врачей.
При определении источника кровотечения возникают значительные трудности. Кровотечение из дивертикула наблюдается и при бессимптомном течении заболевания, что создает еще большие диагностические затруднения. Наряду с явным кровотечением могут наблюдаться и скрытые его формы, проявляющиеся только анемией. Симптомы перечисленных осложнений хотя и довольно яркие, однако не носят специфического характера. В связи с этим определить причины их возникновения иногда бывает весьма трудно и для этого применяют комплексное обследование.
Клинические проявления дивертикулеза толстой кишки и его осложнений не могут служить основанием для установления точного диагноза заболевания. Диагностика и дифференциальная диагностика дивертикулеза толстой кишки основывается на анализе клинических проявлений заболевания и результатах обязательного рентгенологического и эндоскопического исследований толстой кишки.
![Дивертикулез лечение]()
![Дивертикулез лечение]()
Консервативное лечение дивертикулярной болезни
В настоящее время сформулированы следующие принципы лечения этого заболевания:
- бессимптомный дивертикулез толстой кишки, обнаруживаемый случайно, не требует специального лечения. Назначается диета, богатая растительной клетчаткой, отруби.
- при дивертикулезе с выраженными клиническими проявлениями применяют комплекс лечебных мероприятий:
- сбалансированная диета, содержащая большое количество растительной клетчатки, а при упорных запорах и жидкости;
- витамины;
- препараты, нормализующие функцию кишечника;
- при выраженном спастическом компоненте назначают спазмолитические средства, либо блокаторы кальциевых каналов (Децител), которые действуют селективно на стенку кишечника. При болевом синдроме назначают анальгетики, препараты морфина для этих целей противопоказаны, так как они повышают внутрикишечное давление;
- при наличии явлений дивертикулита требуют назначения антибиотиков;
- при диарее можно использовать противодиарейные средства;
- при наличии ферментативной недостаточности поджелудочной железы назначаются ферментативные препараты;
- при выявлении дисбактериоза целесообразно применение бактериальных препаратов (колибактерин, бифидумбактерин, бификол).
Хирургическое лечение
Существуют следующие показания к хирургическому лечению дивертикулярной болезни:
Экстренные:
- перфорация дивертикула;
- кишечная непроходимость;
- профузное кровотечение.
Плановые:
- образование хронического инфильтрата, симулирующего злокачественную опухоль;
- внутренние и наружные свищи;
- клинически выраженная дивертикулярная болезнь, неподдающаяся комплексному консервативному лечению.
Государственная клиническая больница №29 им. Н.Э.Баумана – это современная многопрофильная высокотехнологичная больница с уникальной полуторавековой историей и традицией, оказывающая высококачественную медицинскую помощь в круглосуточном режиме.
Дивертикулы (дивертикулез) кишки, лечение
К достаточно распространенным заболеваниям обводной кишки относятся также дивертикулы и дивертикулез кишки. Фактически это одно и то же заболевание, разница в названии происходит от количества дивертикул (мешковидных выпячиваний в стенке кишки). При количестве их от одной до трех говорят от дивертикулах обводной кишки, если количество превышает три – заболевание называется дивертикулезом. Клиника "АндроМеда" оказывает весь комплекс услуг по диагностике и лечению дивертикулов кишки.
Консультация специалиста
- в Центре - Звенигородская,12, телефон для записи - 572-12-26;
- на Петроградской - Ординарная,21, телефон для записи - 346-47-51.
Хирург Гуренев Юрий Витальевич, лучший хирург
Дивертикулы кишки, лечение в Санкт-Петербурге
В какой кишке бывают дивертикулы:
- дивертикул толстой кишки (толстого кишечника);
- дивертикулы, дивертикулез сигмовидной кишки;
- дивертикулы, дивертикулез ободочной кишки.
Причины дивертикулов (дивертикулеза) кишки
Это заболевание обычно врожденное, если же болезнь приобретенная, то обычно дивертикулы возникают в результате выпячивания слизистой оболочки обводной кишки через дефекты в ее мышечной оболочке. Причиной таких дефектов могут быть воспалительные процессы кишечника, которые ослабляют стенку кишки, а также повышение давления в брюшине вследствие запоров. В просветах дивертикула застаивается кал, что и вызывает воспаление кишечника. Обычно дивертикулы возникают у пожилых людей.
Симптомы
В отсутствии воспалительного процесса в дивертикуле (дивертикулита) клинические проявления болезни отсутствуют. Если же возникло воспаление, появляются боли внизу живота, неустойчивый стул, тошнота, иногда рвота, снижение аппетита.
Осложнения
Возможными осложнениями дивертикулита могут стать флегмона (перфорация в забрюшинную клетчатку), параколитический абсцесс (при перфорации между листков брыжейки), перитонит (перфорация в брюшную полость). Кроме того, может развиться непроходимость кишечника и малигнизация. Обязательным в диагностике дивертикулов кишки осмотр гастроэнтеролога и УЗИ.
Где лечить дивертикулы кишки в СПб
Лечение в клинике "АндроМеда" дивертикулов, дивертикулеза кишки сочетает в себе консервативный и оперативный подход – медикаментозно снимается или уменьшается воспаление пораженного отдела кишечника, далее одиночные дивертикулы удаляются, при дивертикулезе резецируется участок кишечника. Хирурги клиники «Андромеда» применяют также миотомию ободочной кишки, что позволяет снизить внутрикишечное давление, что облегчает заживление после удаленного дивертикула кишки и хороший постоперационный период.
Дивертикулы кишки цены в Санкт-Петербурге лечения
Узнать цены, сколько стоит пройти курс лечения дивертикулов кишки в СПб, во сколько обойдется все лечение можно на первом приеме у врача-специалиста нашей клиники.
Консультация, прием врача хирурга по дивертикулам (дивертикулезу) кишки, цена 1 200 руб. Курс медикаментозного, физиотерапевтического, лазерного лечения дивертикулеза, дивертикулов кишки, цена от 3 000 руб. Как записаться
Записаться на лечение дивертикулов кишечника в СПб можно прямо сейчас на сайте, заполнив «Записаться на прием» или по телефону клиники.
Лечение дивертикулита кишечника
Лечение дивертикулита кишечника в Израиле — это гарантированная возможность максимально полно восстановить функции ЖКТ. Израильские гастроэнтерологи и колоректальные хирурги хорошо известны за пределами страны, их мастерство и профессиональный уровень соответствуют строгим международным стандартам.
Специалисты центра Топ Ассута выполняют качественное всестороннее обследование на новейшей аппаратуре, что позволяет поставить диагноз со стопроцентной точностью. Для терапии дивертикулита они применяют множество современных методик — в этот перечень входят индивидуальная диета и высокоэффективные и безопасные антибиотики, малоинвазивные хирургические вмешательства. Наши врачи прекрасно знают свое дело и обязательно вам помогут.
Методы лечения дивертикулита кишечника в Израиле
Методы лечения дивертикулита кишечника в Израиле базируются на использовании широкого спектра подходов — хирургических, консервативных, диетологических.
Лечение дивертикулита кишечника без операции в Израиле основано на использовании антибиотиков и назначении особой диеты. Консервативная терапия применяется при отсутствии осложнений (фистул, обструкции, перфорации стенок кишечника) и позволяет добиваться успеха в 70-100% случаев.
Диета определяется индивидуальными клиническими проявлениями заболевания и состоянием пациента. В большинстве случаев она состоит в приеме пищи, богатой растительными волокнами (иногда рекомендуется, наоборот, бедная волокнами диета). Также рекомендуется употребление пробиотиков.
Для предотвращения инфекций перорально или внутривенно назначаются антибиотики. Выбор препаратов определяется их активностью в отношении грамотрицательных и анаэробных бактерий. Примерно у 15% пациентов развивается абсцесс. Абсцессы размером менее 2 см поддаются терапии антибиотиками, в то время как очаги большего размера могут требовать проведения чрескожного дренирования или хирургической операции.
Хирургическое лечение дивертикулита проводится при наличии фистул, абсцессов, при разрывах стенок кишечника с перитонитом, недостаточной эффективности консервативной терапии и т. д. Выбор хирургической техники определяется стадией заболевания, выраженностью его клинических проявлений, наличием инфекций в брюшной полости. Обычно проводится резекция части кишечника с наложением прямого анастомоза. При этом не обязательно все дивертикулы удаляются полностью — те, которые располагаются в проксимальном к сигмовидной кишке положении, в подавляющем большинстве случаев симптоматически никак себя не проявляют.
Операция осуществляется через лапаротомический доступ либо с применением лапароскопических методик. Традиционное вмешательство с использованием открытого доступа хирурги Топ Ассута применяют редко, но даже сложные операции высококвалифицированные хирурги проводят с ювелирной точностью и максимально безопасно для пациента. Специалисты клиники предпочитают использовать лапароскопическую резекцию, так как подобный подход позволяет снизить послеоперационный болевой синдром и ускорить период восстановления пациента (процедура — малоинвазивная, доступ к кишечнику осуществляется через три-четыре небольших разреза в брюшине).
Израиль без преувеличения уже давно превратился в один из мировых центров по лечению самого широкого спектра заболеваний органов ЖКТ. Лучшее подтверждение того, как эффективно проводится лечение дивертикулита кишечника в Израиле, — отзывы людей, которые уже вернулись на родину совершенно здоровыми. Наша клиника получает множество благодарственных писем, в которых бывшие пациенты выражают признательность специалистам Топ Ассута.
Диагностика дивертикулита кишечника в Израиле
Израильские гастроэнтерологи имеют возможность точно и качественно проводить сложнейшие обследования на новейшем оборудовании, поэтому диагностика дивертикулита кишечника в Израиле занимает не более трех-четырех дней.
Первый день — консультация
Программа диагностики проводится в максимально плотном режиме. Сразу после прилета в страну пациент попадает на первичную консультацию ведущего гастроэнтеролога. В клинику его из аэропорта привозит кейс-менеджер — сотрудник международного отдела Топ Ассута, который сопровождает пациента на всех этапах обследования и терапии.
Второй день — исследования
Пациент проходит назначенный гастроэнтерологом комплекс исследований.
- Лучевые методы диагностики (КТ, МРТ и др.) — наиболее часто проводимые исследования, позволяющие определить заболевание с точностью до 98%.
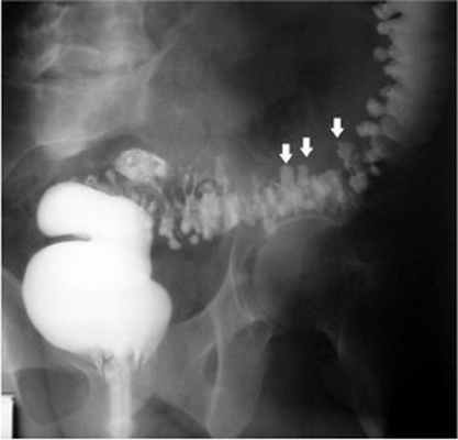
- Ирригоскопия — рентгенологический метод диагностики, при котором в кишечник вводится рентгеноконтрастное вещество на основе солей бария.
- Колоноскопия — эндоскопическая техника диагностики, при которой в кишечник вводится миниатюрная видеокамера (метод противопоказан в период обострения из-за риска перфорации стенок кишечника).
- УЗИ кишечника также в ряде случаев помогает диагностировать дивертикулит (чувствительность данного метода – 84-98%).
Третий день — консилиум
Завершает программу диагностики врачебный консилиум — в комиссию входит как ведущий гастроэнтеролог, так и врачи других специализаций (проктологи, колоректальные хирурги и др.). Коллегиально они решают, какой метод терапии будет наиболее эффективным.
Лечение дивертикулита кишечника в Израиле — стоимость
Одна из причин, благодаря которым постоянно увеличивается количество иностранных пациентов, желающих пройти лечение дивертикулита кишечника в Израиле, — цены на медицинские услуги в стране. Израильские клиники традиционно предлагают своим пациентам цены, позволяющие сэкономить до 30-40% бюджета по сравнению с терапией в медицинских центрах Италии, Франции, Великобритании, США, Германии.
Читайте также:


