Параселлярные и ретроселлярные опухоли гипофиза на рентгенограмме
Добавил пользователь Евгений Кузнецов Обновлено: 14.12.2025
Аденома гипофиза – опухоль доброкачественного характера из железистой ткани, располагающаяся в передней доле гипофиза. Причины возникновения заболевания до сих пор не определены. Медики предполагают, что факторами риска являются: инфекционные процессы (особенно в нервной системе), травмы головного мозга или черепа, негативные воздействия на плод при беременности. Недавно появился еще один предполагаемый фактор – длительное применение оральных контрацептивов.
Внимание!
Здесь вы сможете выбрать врача, занимающегося лечением Аденома гипофиза Если вы не уверены в диагнозе, запишитесь на прием к терапевту или врачу общей практики для уточнения диагноза.
Статьи на тему Аденома гипофиза:
Патогенез аденомы гипофиза
Симптомы аденомы гипофиза
Аденома гипофиза и беременность
Диагностика аденомы гипофиза
Лечение аденомы гипофиза
Какой врач лечит Аденома гипофиза
Нейрохирург, кандидат медицинских наук, врач высшей категории. Занимается проведением сложнейших операций на головном и спинном мозге при опухолях, травмах, инсульте, аневризме сосудов головного мозга и т. д
Направление работы Антона Антоновича: микронейрохирургическое и комбинированное лечение грыж межпозвонковых дисков, опухолей, метастатических поражений и доброкачественных опухолей головного и спинного мозга. Врач также менеджер и общественный деятель в сфере здравоохранения, ассистент опорной кафедры нейрохирургии Национального университета здравохранения им. П.Л. Шупика. Работал в отделениях ургентной помощи, нейрореанимации, нейротравматологии и нейроонкологии. В лечении следует лучшим мировым протоколам NCCN и ESMO. Шкиряк А.А. является соавтором многих научных работ, сертифицированный специалист по проведению клинических исследований "GCP and clinical trial regulations". Медицинский эксперт программ на ведущих телеканалах Украины.
Высококвалифицированный нейрохирург, имеет многолетний опыт в лечении заболеваний нервной и опорно-двигательной систем, владеет методиками радиочастного лечения, выполняет эпидуральные и селективные корешковые лечебные блокады, внутрисуставные лечебные инъекции. Занимается терапией опухолей позвоночника, артроза коленных и плечевых суставов.
Патогенез аденомы гипофиза
Механизмы возникновения и течения аденомы гипофиза головного мозга изучены не в полной мере. Распространена концепция первичного поражения гипоталамуса, при котором вторично в процесс вовлекаются ткани аденогипофиза, проходит стадия гиперплазии, аденоматоза и после – аденома. Также есть концепция первичного поражения гипофиза, которое прямо влияет на развитие аденомы.
Большая часть аденом – опухоли, не имеющие морфологических признаков злокачественных. Тем не менее, они предрасположены к прорастанию и дальнейшему сдавливанию близко расположенных к гипофизу структур головного мозга. Это может проявляться в виде эндокринных, неврологических, зрительных нарушений. Также аденома гипофиза может сопровождаться рядом осложнений – кровоизиляниями в опухоль (апоплексией), кистозным перерождением. Также есть неподтвержденная теория об излишне долгом приема оральных контрацептивов.
Аденома гипофиза может быть гормонально неактивной (клетки, из которой она состоит, гормонов не продуцируют) или же гормонально активной. По размерам аденомы гипофиза разделяют на микроаденомы (1мм-2см в диаметре) и макроаденомы (больше 2см).
- аденома соматотропинпродуцирующая, продуцирующая гормон роста: аденома соматотропная; соматотропинома;
- аденома пролактинсекретирующая: пролактиновая аденома; пролактинома;
- аденома аденокортикопинпродуцирующая: кортикотропная аденома; кортикотропинома;
- аденома тиротропинпродуцирующая: тиреотропная аденома; тиротропинома;
- аденома фоллтропинпродуцирующая (лютропинпродуцирующая, гонадотропная). Продуцирует гонадотропные гормоны.
Симптомы аденомы гипофиза
В целом аденома гипофиза симптомы имеет неоднозначные. Клинические проявления аденом гормонально-активного типа - это эндокринно-обменный синдром, рентгенологические и офтальмоневрологические симптомы. Выраженный эндокринно-обменный синдром свидетельствует об избыточном уровне гормона гипофиза и степени поражения ткани, которая окружает опухоль.
Офтальмоневрологические симптомы: первичная атрофия зрительного нерва, изменение поля зрения и другие проявления. Интенсивность этих симптомов напрямую зависит от роста опухоли. Если процесс усиливается, к симптомам добавляются головные боли, сосредоточенные в лобной, глазничной, височной областях. Боли тупые, не сопровождаются тошнотой, не меняются при смене положения тела. Анальгетики чаще всего не снижают боль. Если рост опухоли продолжается в сторону верхней области, повреждаются гипоталамические структуры. Рост книзу провоцирует ощущения заложенного носа, постоянное течение из носа цереброспинальной жидкости.
Усиление головной боли вместе с офтальмоневрологическими симптомами происходит резко. Это связано в большинстве случаев с ускорением увеличения опухоли (к примеру, при беременности) или с кровоизлиянием в опухоль. Это тяжелое, но не смертельное осложнение. Кровоизлияния характерны для аденомы гипофиза и в некоторых случаях приводят к спонтанному излечению аденомы гипофиза гормонально-активного типа.
При рентгенологическом исследовании к основным симптомам аденомы гипофиза относят изменение размера и формы турецкого седла, истончение и деструкцию образующих его костных структур. В случае проведения компьютерной томографии можно визуализировать и непосредственно опухоль.
В отдельных случаях аденома пролактинома головного мозга гормоналньо-активной формы имеет специфическую симптоматику. У женщин опухоль может проявляться как синдром галактореи аменореи. Треть женщин с опухолями имеет умеренное ожирение, себорею волосистой части головы, снижение либидо, аноргазмию. Основное эндокринное проявление опухоли у мужчин – импотенция или снижение либидо.
Соматотропинома проявляется клинически как синдром акромелагии либо гигантизма у детей. Кроме характерных для этого заболевания изменений скелета и мягких тканей возможно развитие ожирения и появление симптомов сахарного диабета, часто увеличивается щитовидная железа (ее функции при этом не нарушаются). Часто отмечается появление папиллом, бородавок, увеличение сальности кожи, сильное потоотделение, снижение работоспособности.
Кортикотропиномы – редко встречающиеся аденомы гипофиза. Современные данные свидетельствуют, что при болезни Иценко Кушинга почти всегда обнаруживаются кортикотропиномы. Кортикотропиномы чаще всего склонны к метастазированию (по сравнению с аденомами гипофиза других типов). Офтальмоневрологические симптомы при кортикотропиномах чаще всего не проявляется, так как диагностика этих опухолей почти всегда происходит на ранних этапах. Один из показателей наличия опухоли – эндокринное психическое расстройство.
Тиреотропиномы и гонадотропиномы – редко встречающиеся аденомы гипофиза. Их проявления зависят от того, проявляются они как первичные опухоли или развились из-за длительного поражения железы-мишени.
Аденома гипофиза и беременность
Беременность и аденома – несовместимые понятия (при пролактиносекретирующих аденомах гипофиза, при которых не было проведено адекватное лечение). Опухоль секретирует большим количеством пролактина, из-за чего забеременеть женщина не сможет. Однако есть случаи, когда аденома гипофиза начинает развиваться в процессе беременности. Что касается других типов аденом гипофиза у женщин – если концентрация пролакетина в крови находится в пределах нормы, никаких помех для зачатия ребенка нет. Если заболевание выявлено, на протяжении всей беременности женщине рекомендуется наблюдаться не только у
Диагностика аденомы гипофиза
Главный метод диагностики аденомы гипофиза – клинико-биохимическое исследование, а также краниография (рентгенологическое исследование). Кроме того, используют компьютерную томографию, радиоиммунологический метод, ЯМР-томографию. В первую очередь проводится именно краниография в 2 проекциях, а также томография области турецкого седла, позволяющая выявить признаки внутриселлярного объемного процесса, который провоцирует изменения в костных структурах (остеопороз, деструкцию спинки турецкого седла). Характерная особенность – двухконтурность дна в турецком седле. Наличие опухоли, ее структуру, размеры и направление разрастания позволяет определить компьютерная томография (с контрастным усилением). Радиоиммунологическое обследование позволяет определить концентрацию гипофизарных гормонов в сыворотке крови. Это специфичный и высокочувствительный метод определения аденомы гипофиза.
В любом случае диагностику аденомы гипофиза нужно проводить комплексно. Подозрения на наличие заболевание должны вызвать офтальмоневрологические нарушения и эндокринно-обменный синдром. Больные аденомой гипофиза характеризируются выраженной эмоциональностью, поэтому доктор должен знакомить их с результатами обследования тактично, уведомив о трудностях диагностического поиска, вероятности гипердиагностики, доброкачественном течении большинства аденом и медленном их росте.
Первоначально доктор должен убедиться, что эндокринно-обменный синдром – это не итог приема антидепрессантов, нейролептиков и других лекарственных средств, а также нервно-рефлекторных воздействий (наличия контрацептива внутри матки, частой самопальпации груди и т.п.). Также нужно определить степень концентрации в крови тропных гормонов гипофиза.
Если концентрация сильно увеличена, а рентгенологическое обследование указывает на признаки аденомы гипофиза, диагноз можно подтверждать. При невысокой концентрации гормонов гипофиза, но при этом наличии признаков объемного образования на рентгенограмме в области турецкого седла можно использовать дополнительные методики обследования: компьютерную томографию, церебральную ангиографию, ЯМР-томографию и другие.
Дифференциальный диагноз характерен для гормонально-неактивных опухолей, расположенных в области турецкого седла, опухолей негипофизарной локализации, продуцирующих пептидные гормоны, гипоталамо-гипофизарной недостаточности неопухолевого генеза. Дифференцируют аденому гипофиза с синдромом пустого турецкого седла, для которого присуще также развитие офтальмоневрологического синдрома.
Лечение аденомы гипофиза
Если у пациента подтверждена аденома гипофиза, лечение может быть медикаментозным, радиохирургическим и нейрохирургическим. Медикаментозное лечение проводят с помощью препарата парлодела (бромокриптина). Также применяют методы лучевого лечения: дистанционную лучевую терапию, гамма-терапию, протонную терапию, радиохирургию. Радиохирургическая методика заключается в введении в аденому радиоактивных веществ. Особенно эффективны лучевые методы лечения аденомы гипофиза при небольших опухолях.
Нейрохирургическое лечение проводят при нарушении зрения, а также при осложненных аденомах (при кровоизлиянии в аденому, при образовании кисты в области аденомы). Также сейчас выполняют операции с применением транссфеноидального хирургического подхода. При небольших аденомах такое лечение дает преимущественно хорошие результаты.
Общий прогноз на выздоровление – 85% положительных случаев. Естественно, все зависит от размеров опухоли, а также того, насколько рано она была диагностирована. Чтобы последствия аденомы гипофиза не были тяжелыми, нужно вовремя диагностировать заболевание и провести удаление аденомы гипофиза. Для этого важно обратиться к опытному врачу-эндокринологу или нейрохирургу, который проведет комплексное обследование пациента и выберет оптимальный способ лечения.
Рекомендуем прочитать другие статьи по теме: Аденома гипофиза
Что нужно знать об операции при аденоме гипофиза? Аденома гипофиза – доброкачественная опухоль, которая образуется из клеток передней доли гипофиза. Данная опухоль увеличиваясь может сдавливать структуры головного мозга, что приводит к офтальмологическим, неврологическим и эндокринным нарушениям
Параселлярные и ретроселлярные опухоли гипофиза на рентгенограмме
Параселлярные и ретроселлярные опухоли гипофиза на рентгенограмме
Сюда относятся опухоли, расположенные в средней черепной ямке сбоку от турецкого седла. Опухоль может прилегать непосредственно к седлу или находиться в височной доле, на большем или меньшем расстоянии от седла. Диференциальная диагностика между такими опухолями различной локализации почти невозможна, так как опухоли, расположенные вдали от седла, могут путем передачи давления через прижатую к седлу внутреннюю сонную артерию или мозговое вещество вызвать такие же изменения, как и близлежащая опухоль.
Не следует упускать из виду, что и интраселлярная опухоль, растущая в сторону, также может вызвать сходные изменения.
Глазная симптоматология в этих случаях мало характерна. В зависимости от того, какая часть зрительного пути поражается опухолью, наблюдаются те или иные выпадения поля зрения. Так, когда поражается зрительный нерв одной стороны, развивается простая атрофия; острота зрения понижается иногда до полного амавроза.
При давлении опухоли на зрительный нерв и среднюю часть хиазмы отмечается картина одностороннего амавроза с атрофией зрительного нерва и выпадение височной половины поля зрения на другой стороне. При поражении боковой части хиазмы отмечается выпадение носовой половины поля зрения на стороне поражения. Если в процесс вовлекается тракт зрительного нерва, развивается картина гомонимной гемианопсии.
При повышении внутричерепного давления развивается картина застойных сосков.
Характерным для рентгенологической картины являются изменения турецкого седла преимущественно на стороне расположения опухоли. При этом отмечается истончение, а иногда и полная деструкция переднего клиновидного отростка. Дно седла на стороне поражения может быть углублено и нечетко контурировано. Также поражается спинка седла и задний клиновидный отросток на соответствующей стороне.

Разницу между одной и другой стороной седла легко обнаружить на прицельных снимках каждой стороны с небольшим фокусным расстоянием. Помогают в этих случаях также снимки с проекцией седла на лобную кость или в большое затылочное отверстие. На таких снимках получается более отчетливое представление о поражении того или другого клиновидного отростка. Можно рекомендовать и стереорентгеиографию области турецкого седла.
Для уточнения диагноза следует обратить внимание и на другие рентгенологические признаки. Так, при этом может наблюдаться расширение сфено-париеталыюго синуса. Иногда отмечается также порозность крыльев основной кости в области верхней глазничной щели, а при прорастании опухоли в глазницу — значительные разрушения ее стенок.
Что касается природы самой опухоли, то она может быть до известной степени определена, когда на рентгенограмме видна тень обызвествленной опухоли или капсулы, если имеется киста. В этом случае возникают большие трудности при диференциальной диагностике с обызвествленной аневризмой сонной артерии.
Ретроселлярные опухоли. Одним из рентгенологических признаков ретроселлярной опухоли является наклон спинки седла кпереди. По мнению многих авторов, такой наклон спинки кпереди является характерным для опухолей мосто-мозжечкового угла. М. Б. Копылов, однако, отмечает, что при таких опухолях может наблюдаться наклон спинки кпереди или кзади, в зависимости от условий развития при этом окклюзионной гидроцефалии.
Так, он указывает, что при окклюзии в IV желудочке и затруднении оттока через отверстия Мажаиди и Лушка спинка седла наклоняется кпереди. При расположении же опухоли непосредственно под мозжечковым наметом, когда развивается гидроцефалия в боковых и III желудочках, спинка седла выпрямляется и наклоняется скорее кзади. При опухолях слухового нерва, как указывает Н. П. Альтгаузеи, спинка седла также не наклоняется кпереди, а наоборот, выпрямляется.
Офталмоскопически при ретроселлярных опухолях, которые довольно часто сопровождаются повышением внутричерепного давления, обычно наблюдается картина застойных сосков.
Параселлярные и ретроселлярные опухоли гипофиза на рентгенограмме
Аденомы гипофиза. Это распространенная группа опухолей, наблюдающихся чаще в молодом возрасте в связи с высокой гормональной активностью в этот период жизни. Клиническая семиотика складывается из 3 групп симптомов: эндокринно-обменных расстройств, зрительных нарушений, прочих неврологических знаков.
Частота гормонально-активных опухолей гипофиза достигает 70%, поэтому ведущими являются эндокринные нарушения. Расположение растущей опухоли в непосредственном контакте с хиазмой зрительных нервов и с самими нервами определяет почти обязательное появление зрительных нарушений. Классическим симптомом является битемпоральная гемианопсия, однако выпадение височных частей полей зрения происходит асимметрично, часто с атипическими очертаниями (скотомы).
Топически все опухоли области турецкого седла (селлярные опухоли), прежде всего аденомы гипофиза разделяются по отношению к полости турецкого седла на эндоселлярные, супраселлярные, супра-параселлярные, ретроселлярные. Особенности строения области и полости турецкого седла дают специфику клинической картины и ее динамики. Полость седла образована костными стенками, а сверху покрыта листком твердой мозговой оболочки – диафрагмой, через отверстие в которой проходит стебель гипофиза. При росте опухоли в замкнутой полости седла возникает селлярная гипертензия, критическим проявлением которой служит гипофизарная апоплексия (резчайшие головные боли, острая слепота, офтальмоплегия, адреналовые расстройства и др.). Врастание в диафрагму седла приводит к сдавлению стебля гипофиза, что может привести к гормональным сдвигам, не соответствующим секреции опухоли. И, наконец, при прорыве диафрамы седла регистрируется важный знак – значительное уменьшение интенсивности или исчезновение головной боли, обусловливаемой раздражением рецепторов растянутой диафрагмы. Асимметричное расположение супраселлярной части опухоли ведет к развитию односторонних симптомов со стороны лобной, височной доли, ножки мозга и др.
Аденомы гипофиза в настоящее время подразделяют по иммуногистохимическиой оценке секретирующих опухолью гормонов (пролактиномы, соматотропиномы и др.): Методом выбора для диагностики аденом является МРТ. Опухоли, превышающие диаметр 1 см обозначаются как макроаденомы. Сохранение функции гипофиза после обширных резекций обусловлено тем, что для поддержания гипофизарной активности требуется всего 5% массы гипофизарной ткани.
Пролактиномы составляют до трети опухолей гипофиза, являются микроаденомами, характеризуются аменореей, реже с присоединением галактореи, снижением полового влечения, умеренными головными болями. Решающим в диагностике является определение уровня пролактина в крови (норма – до 20 нг/мл) при наличии очагового увеличения гипофиза на МРТ. Небольшое увеличение пролактина (до 150 нг/мл) является неспецифичным (может быть при хронической почечной недостаточности, циррозе печении, гипотиреоидозе). Высокие показатели требуют активного, но консервативного лечения (агонист допамина – бромкриптин и др.), приводящего во многих случаях к появлению месячных, уменьшению размеров опухоли, нормализации уровня пролактина. При неэффективности консервативной терапии выполняют трансназальное удаление опухоли.
Соматотропин-секретирующие аденомы на момент установления диагноза являются макроаденомами. Характерные клинические проявления – акромегалия, характеризующаяся увеличением надбровных дуг, нижней челюсти, языка, утолщением губ, увеличением размеров кистей и стоп. У юных пациентов наблюдается гигантизм.
Во многих случаях эти проявления сочетаются с сахарным диабетом. В последующем развиваются выраженные зрительные нарушения. Лечение – хирургическое. При больших размерах опухоли со сдавлением дна Ш желудочка, зрительных, глазодвигательных нервов, внутренней сонной и передних мозговых артерий используется субфронтальный подход, дополняемый резекцией клиновидной площадки для расширения внутреннего доступа и селлярной декомпрессии.
АКТГ-секретирующие аденомы клинически представлены синдромом Кушинга (вторичный гиперкортицизм), проявляющегося неравномерным отложением жира (на лице, шее, туловище, но не на руках и ногах), багровой окраской кожи, появлением полос на животе, развитием артериальной гипертензии, дисменореи и др. При этом уровень АКТГ не снижается при введении кортистероидов. Опухоли являются микроаденомами. Лечение – транссфеноидальная хирургия, лучевая терапия.
Гонадотропин-секретирующие аденомы в эндокринологическом отношении чаще бессимптомны, но это макроаденомы и проявляются признаками компрессии окружающих структур. Лечение поэтому только хирургическое.
Аденокарцинома гипофиза развивается чаще из секретирующих аденом. Развернутая клиническая картина характеризуется той же триадой проявлений, что и при аденомах гипофиза. Лечение комбинированное – максимальная резекция опухоли с подключением лучевой терапии. Летальность в течение 1 года после операции достигает 50%, однако наблюдаются случаи 3–4-летнего выживания с высоким качеством жизни.
Краниофарингиома развивается из остатков гипофизарного канала – эмбриологического предшественника передней доли гипофиза, слизистой полости рта и зубов. Отсюда две формы опухоли: адамантиноматозная (кальцифицированные многокистозные опухоли), чаще встречается у детей, и папиллярная форма (солидная опухоль), чаще встречается у взрослых. Соотношение встречаемости опухоли у детей и взрослых примерно равное. Петрификаты наблюдаются в подавляющем большинстве опухолевых масс, что позволяет отличить краниофарингиомы от других селлярных опухолей.
В клинической картине преобладают признаки несахарного диабета, половые расстройства у взрослых, задержка роста и наращивания массы тела – у детей. Выраженная тенденция к росту за пределы турецкого седла определяет многообразие симптоматики, обусловленной сдавлением хиазмы, участков полушарий мозга, стволово-диэнцефальных структур.
Лечение состоит в максимально возможном удалении опухоли. Даже при полном удалении опухоли рецидив наблюдается в четверти случаев. Так как часто ведущим фактором компрессии является секретируемая опухолевыми кистами жидкость, при заведомо неудалимых массах в полость кисты проводят трубку, соединенную с резервуаром Оммайа, устанавливаемым подкожно для многократного извлечения жидкости, введения блеомицина.
Эндоселлярные опухоли
Опухоли селлярной группы принято обычно делить на интра- или эндоселлярные, которые расположены внутри седла и экстраселлярные, расположенные вне седла. Последние делятся на супраселлярные, параселлярные, инфраселлярные, преселлярные, ретроселлярные и метаселлярные.

Рис. 73. Эндоселлярная опухоль.
При опухолях эндоселлярного типа обычно отмечается равномерное увеличение всех размеров турецкого седла с истончением спинки. Эти опухоли могут расти в различных направлениях, поэтому наряду с увеличением переднезаднего и поперечного размера седла отмечается его углубление (рис. 73). Таким образом, дно гипофизарной ямки опускается в основную пазуху и приближается ко дну средней черепной ямы; в норме, по данным Шуллера, расстояние между ними равно 10 - 15 мм. Спинка седла истончается, удлиняется (за счет опущения дна), выпрямляется, а иногда даже отклоняется кзади. При наличии равномерно увеличенного седла, нечетких контуров его дна и затемнения сфеноидальной пазухи можно думать о проникновении в нее опухоли. Описанная рентгенологическая картина характерна для эозинофильной аденомы (рис. 74), которая наблюдается преимущественно у женщин в возрасте 20 - 40 лет.
Рис. 74. Акромегалия.
а - фотография больной; б - рентгенограмма черепа в боковой проекции, видна интраселлярная опухоль (эозинофильная аденома).
По данным Е. А. Васюковой, эти опухоли встречаются у женщин в 2 раза чаще, чем у мужчин. Эозинофильные аденомы являются истинными железистыми опухолями. Эозинофильные клетки продуцируют гормон роста, поэтому при наличии аденомы, количество его увеличивается, что приводит к акромегалии. По мнению многих авторов, акромегалия появляется при ацидофильной аденоме гипофиза. Одним из ранних симптомов этого заболевания является расстройство половой функции, выражающееся в понижении полового чувства и потенции, нарушении менструаций (иногда до полного прекращения). Больные жалуются в некоторых случаях на очень сильные головные боли, которые появляются в ранних стадиях развития аденом. На специфические признаки акромегалии (увеличение конечностей) больные вначале почти не обращают внимания и лишь потом, когда наступает значительное их увеличение, обращаются к врачу. Увеличиваются не только конечности, но и нос, а также нижняя челюсть (последняя резко выступает вперед). Больным приходится часто менять обувь и перчатки вследствие увеличения стоп и кистей. Одновременно происходит увеличение всего скелета, мягких тканей, особенно языка, который как бы не помещается в полости рта. Появляется некоторая пастозность мягких тканей. Возникают расстройства потоотделения, кожа становится сухой и морщинистой.
Нарушений зрительных функций в начале заболевания в большинстве случаев не отмечается. По мере прогрессирования процесса наступают изменения со стороны органа зрения, зависящие от взаимоотношения между хиазмой и диафрагмой седла, а также от направления роста опухоли. Офтальмоскопически наблюдается атрофия зрительного нерва на одном или обоих глазах.
Кроме описанных изменений, рентгенологически в области турецкого седла выявляется утолщение передних клиновидных отростков. Кроме того, отмечается увеличение лобных, решетчатых и гайморовых полостей, утолщение костей свода черепа.
Как видно из описания, акромегалия, которая наступает в результате появления эозинофильной аденомы, имеет очень характерную клиническую и рентгенологическую картину и не представляет затруднений для диагностики.
Хромофобная аденома гипофиза развивается из главных клеток гипофиза. Наблюдается она в большинстве случаев в возрасте 20 - 50 лет, но может также поражать людей и старшего возраста.
При этом страдании отмечается гипофункция эозинофильных и базофильных клеток, наступающая в результате их сдавления растущей опухолью, что приводит к адипозо-генитальной дистрофии (синдром Бабинского - Фрелиха) Одним из ранних симптомов развивающейся хромофобной аденомы гипофиза является нарушение половой функции. У мужчин это выражается в уменьшении полового чувства, снижении эрекции и потенции. Лицо у них приобретает женский вид, появляется поредение волос. У женщин нарушаются менструации до полного их исчезновения, постепенно уменьшается половое чувство.
Одним из важных признаков этого заболевания является ожирение, отложение жира появляется в основном над бедрами, в нижней половине живота, на ягодицах и груди. При этом заболевании кожа становится сухой, бледной, выпадают волосы, ногти становятся очень ломкими. Кроме того, отмечается гипотония, гипотермия, понижение основного обмена и т. д.
При хромофобной аденоме гипофиза самыми ранними признаками являются расстройства зрительных функций. Эта категория больных в большинстве случаев обращается вначале за помощью к офтальмологу, который обычно обнаруживает изменения поля зрения (чаще битемпоральную гемианопсию) и одно- или двустороннюю простую атрофию зрительных нервов, наступающие вследствие давления опухоли на хиазму. Острота зрения страдает очень часто. Офтальмологическая симптоматика вследствие более быстрого роста опухоли появляется раньше, чем при эозинофильной аденоме. Очень редко офтальмоскопически могут быть обнаружены застойные соски, которые указывают на прорыв опухоли в полость черепа.
Рентгенологически в начальных стадиях развития опухоли отмечается равномерное увеличение размеров турецкого седла; дно его опущено в основную пазуху.
По мере развития опухоли появляются деструктивные изменения, выражающиеся в отодвигании спинки турецкого седла кзади, что вызывает увеличение переднезаднего его размера; вход в седло при этом представляется расширенным (в отличие от эозинофильных аденом, при которых ширина входа не меняется). В некоторых случаях отмечается узурирование или укорочение спинки. Передние клиновидные отростки приподнимаются.
По данным Н. А. Попова, наряду с этим нередко отмечается утолщение передних клиновидных отростков. М. М. Балтин указывает, что при описанном типе опухолей передние клиновидные отростки бывают истонченными. Наши наблюдения подтверждают это: по материалам Института глазных болезней имени Гельмгольца, при хромофобных аденомах часто имеет место именно истончение клиновидных отростков.
Н. А. Попов отмечает, что при хромофобных аденомах изменения турецкого седла больше, нежели при других опухолях придатка мозга. Вместе с тем, по мнению Кушинга, в некоторых случаях турецкое седло при данном типе опухолей остается неизмененным. Поэтому необходимо отметить, что не следует ставить диагноз только на основании данных рентгенологического исследования. Правильный диагноз может быть поставлен лишь при учете как клинической симптоматики, так и рентгенологической картины.
Иногда встречаются смешанные (хромофобно-эозинофильные) аденомы, при которых может иметь место комбинация клинико-рентгенологических изменений, наблюдаемых при описанных выше опухолях придатка мозга.
Значительно реже, чем описанные выше заболевания, отмечаются базофильные аденомы.
В 1925 г. Н. М. Иценко описал заболевание, при котором имеет место определенный клинический синдром. В 1932 г. Кушинг указал на ряд симптомов, характерных для базофильной аденомы. Эти симптомы очень сходны с проявлениями описанного Н. М. Иценко заболевания.
Характерными симптомами этого страдания являются следующие: своеобразное ожирение (отложение жира на лице и животе); багрово-красное лицо, которое приобретает округлую форму, напоминающую луну; нарушения половой функции (до аменореи у женщин и импотенции у мужчин); полосы растяжения на животе и бедрах, аналогичные striae gravidarum; очень часто повышение общего артериального давления, полицитемия, гипергликемия, глюкозурия и др. Больные предъявляют жалобы на головные боли в лобно-височной области, повышенную утомляемость, ослабление памяти, апатию и т. д.
По данным Е. А. Васюковой, данный синдром наблюдается преимущественно у женщин в возрасте от 10 до 35 лет.
Офтальмоскопическая симптоматика не всегда выражена. В некоторых случаях может быть обнаружена одно- или двусторонняя атрофия зрительного нерва, снижение остроты зрения, расстройство конвергенции, диплопия. Нередко выражен парез глазодвигательных нервов.
Данное заболевание развивается в большинстве случаев медленно, но иногда отмечается очень быстрое его течение.
Рентгенологическая симптоматика болезни Иценко-Кушинга отсутствует, так как при ней имеется лишь микроскопически видимое увеличение базофильных клеток передней доли гипофиза, не вызывающее видимых изменений в костной ткани вообще и в турецком седле в частности.
Краниофарингиомы. Под этим названием объединяется группа опухолей, возникающих из эпителия заращенного краниофарингеального протока. Краниофарингиомы в подавляющем большинстве случаев локализуются в области турецкого седла под его диафрагмой и исходят из кармана Ратке. В зависимости от их локализации различают интраселлярные и супраселлярные краниофарингиомы. Величина их бывает различной: от небольшой горошины до значительных. Клиническая картина зависит от месторасположения опухоли, возраста субъекта, быстроты роста и величины новообразования.
При интраселлярной локализации опухоли отмечается равномерное расширение седла. Клиника же очень схожа с наблюдаемой при хромофобных аденомах: обе опухоли вызывают угнетение секреторной функции железы.
При супраселлярном расположении опухоли на первый план очень рано выступает хиазмальная симптоматика. Изменения седла, признаки повышения внутричерепного давления, изменения секреции гипофиза наступают позднее.
При появлении данной опухоли у детей имеет место значительное отставание их в росте. В последующем отмечается физический инфантилизм, нарушения жирового обмена, сонливость, несахарный диабет. В юношеском возрасте появляется расстройство половых функций. У взрослых отмечается ослабление полового чувства, у женщин появляется аменорея, у мужчин - импотенция, полнота в области низа живота, бедер и т. д.
В дальнейшем, по мере роста опухоли, увеличивается размер турецкого седла, изменяется поле зрения (битемпоральная гемианопсия).
Нередко на рентгенограммах видна тень обызвествленной опухоли, величина которой может быть различной: от мелких очажков до участков значительных размеров. Н. Н. Альтгаузен указывает, что обызвествление опухоли встречается в 74,7% случаев; по данным других авторов, обызвествление наблюдается значительно чаще.
Следует помнить, что при интраселлярном расположении опухоли на первый план выступают эндокринные расстройства. При супраселлярной локализации превалируют расстройства зрительного анализатора по типу хиазмального синдрома, эндокринные же расстройства могут вовсе отсутствовать. Офтальмоскопически при супраселлярной локализации краниофарингиомы отмечается простая атрофия зрительных нервов, застойные соски (или вторичная атрофия на почве застойных сосков).
По данным Э А. Саколиди, из наблюдавшихся 25 больных у 12 имелась простая атрофия зрительных нервов, у 6 - застойные соски, у 5 - вторичная атрофия зрительного нерва (после застойных сосков). Е. Ж. Трон указывает, что в некоторых случаях глазное дно может длительное время оставаться неизмененным, вместе с тем более рано в таких случаях обнаруживаются нарушения зрительных функций.
При данных опухолях нередко отмечается значительная разница в остроте зрения обоих глаз, что зависит от направления роста опухоли и ее локализации. Иногда имеется полный амавроз одного глаза при хорошей остроте зрения другого.
При определенной локализации опухоли, кроме темпоральной гемианопсии, отмечаются и другие изменения поля зрения. При расположении опухоли позади хиазмы может возникнуть гомонимная гемианопсия, при нахождении опухоли ближе к одному из зрительных трактов - слепота одного глаза и височная гемианопсия на другом, при давлении на задний угол хиазмы - битемпоральные центральные скотомы и т. д.

Рис. 75. Супраселлярная опухоль. Увеличение переднезаднего размера турецкого седла, вход в него значительно расширен. Передние и задние клиновидные отростки (указаны стрелками) опущены книзу.
Подводя итог сказанному выше, следует отметить, что наличие описанных изменений в турецком седле и очагов обызвествлений в просвете его или над ним в сочетании с адипозогенитальной дистрофией или хиазмальным синдромом дает возможность почти с несомненностью диагностировать краниофарингиому. Вместе с тем необходимо помнить, что на боковом снимке черепа нередко в области турецкого седла проецируются очаги обызвествления, которые являются обызвествлениями других образований (например, твердой мозговой оболочки, цистицерка и т. д.). В таких случаях на передней рентгенограмме хорошо видно, что участок обызвествления находится не на сагиттальной плоскости, а на том или ином расстоянии от нее. Кроме того, для краниофарингиомы характерным является в той или иной мере выраженная деструкция турецкого седла. Отсутствие же участков обызвествления при наличии изменений турецкого седла затрудняет дифференциальную диагностику.
Довольно редко краниофарингиомы локализуются в сфеноидальной пазухе и развиваются по типу инфраселлярных опухолей (В. Г. Гаршин).
Опухоли гипофиза

Большинство опухолей гипофиза – аденомы. Для них характерно наличие головной боли и эндокринопатий, возникающих, если опухоль вырабатывает гормоны или разрушает гормонпродуцирующую ткань. Диагноз ставится на основании МРТ. Лечение проводят путем коррекции любого вида эндокринопатии и путем хирургического вмешательства, лучевой терапии или назначения агонистов дофаминергических рецепторов.
Большинство опухолей гипофиза и супраселлярной области являются аденомами. Гипофизарные опухоли редко бывают карциномами. В области турецкого седла могут развиваться также менингиомы, краниофарингиомы, дермоидные кисты, возможно метастатическое поражение.
Аденомы могут быть секретирующими и несекретирующими. Секретирующие аденомы продуцируют гипофизарные гормоны; размер многих из них составляет 10 мм (микроаденомы). Секретирующие аденомы классифицируют по характеру гистологического окрашивания (например, ацидофильные, базофильные, хромофобные [неокрашивающиеся]). Продуцируемый гормон часто связан с этими характеристиками; так, ацидофильные аденомы чрезмерно вырабатывают гормон роста, а базофильные – адренокортикотропный гормон (АКТГ). Чаще всего встречается избыточная продукция пролактина.
Любая опухоль, которая растет за пределы гипофиза, может сдавливать зрительные тракты, включая зрительный перекрест. Опухоли могут также сжать или разрушить ткани гипофиза или гипоталамуса, нарушая выработку гормонов или их секрецию.
Симптомы и признаки опухолей гипофиза
При растущей гипофизарной аденоме головная боль возможна и без повышения ВЧД. Если опухоль сдавливает зрительные тракты, то развиваются такие нарушения зрения, как битемпоральная гемианопсия, односторонняя атрофия зрительного нерва и контрлатеральная гемианопсия (см. картинку высшие зрительные пути - поражения по месту и соответствущие дефекты поля зрения Выше расположенные зрительные пути - локализация поражения и соответствующие дефекты полей зрения ).
У многих пациентов вследствие дефицита или избытка гормонов возникают эндокринопатии
При избыточном синтезе пролактина у женщин развивается аменорея Аменорея Аменорея (отсутствие менструаций) может быть первичной или вторичной. Первичная аменорея – это отсутствие менструации к возрасту 15 лет у пациенток с нормальным ростом и вторичными половыми. Прочитайте дополнительные сведения и галакторея Галакторея Галакторея – это выделение молока у любых мужчин, а также у женщин вне периода грудного вскармливания. Как правило, причиной галактореи является аденома гипофиза, секретирующая пролактин. Диагноз. Прочитайте дополнительные сведения , а у мужчин (реже) – эректильная дисфункция Эректильная дисфункция Эректильная дисфункция – это неспособность достижения или поддержания эрекции, необходимой для полового акта. Большинство случаев эректильной дисфункции связано с сосудистыми, неврологическими. Прочитайте дополнительные сведения и гинекомастия Гинекомастия На фотографии показано увеличенные ткани молочной железы у мужчины. Гинекомастия представляет собою гипертрофию железистой ткани грудных желез у мужчин. Ее необходимо отличать от псевдогинекомастии. Прочитайте дополнительные сведенияЧрезмерная выработка гормона роста до полового созревания приводит к гигантизму Гигантизм и акромегалия Гигантизм и акромегалия – это синдромы, обусловленные избыточной секрецией гормона роста (гиперсоматотропизмом), причиной которой почти всегда является аденома гипофиза. До закрытия эпифиза. Прочитайте дополнительные сведения , после полового созревания – к акромегалии Гигантизм и акромегалия Гигантизм и акромегалия – это синдромы, обусловленные избыточной секрецией гормона роста (гиперсоматотропизмом), причиной которой почти всегда является аденома гипофиза. До закрытия эпифиза. Прочитайте дополнительные сведения
При избыточной экспрессии АКТГ развивается синдром Кушинга Синдром Кушинга Синдром Кушинга – это сочетание клинических симптомов, вызванных хроническим повышением уровня кортизола или родственных ему кортикостероидов в крови. Болезнь Кушинга – это синдром Кушинга. Прочитайте дополнительные сведенияВ редких случаях кровоизлияние в гипофизарную опухоль вызывает апоплексию гипофиза, сопровождающуюся внезапной головной болью, офтальмоплегией и потерей зрения.
Диагностика опухолей гипофиза
МРТ со срезами толщиной 1 мм
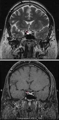
Вопрос об исключении опухоли гипофиза ставят при наличии головных болей, характерных расстройств зрения и эндокринопатии. Проводят нейровизуализационные исследования с толщиной среза 1 мм. МРТ более чувствительна, чем КТ, особенно для выявления микроаденом.
Лечение опухолей гипофиза
По возможности, хирургическое удаление опухоли
При эндокринопатиях медикаментозное лечение
Проводят лечение эндокринопатий.
Опухоли гипофиза, секретирующие АКТГ, гормон роста или тиреотропный гормон, хирургически иссекают, как правило, используя транссфеноидальный доступ. Иногда, при хирургически недоступных или многоочаговых опухолях, необходима лучевая терапия.
Дофаминергические агонисты (например, бромокриптин, перголид, каберголин) эффективны при аденомах, продуцирующих пролактин. Как правило, хирургического вмешательства и лучевой терапии не требуется.
Ключевые моменты
Большинство гипофизарных опухолей являются аденомами, которые могут быть секреторными или несекреторными.
Секреторные аденомы могут привести к несахарному диабету, галакторее, синдрому Кушинга или гигантизму, или акромегалии.
Любая гипофизарная опухоль может сжимать участки зрительного нерва, в результате чего возникают битемпоральная гемианопия, односторонняя атрофия зрительного нерва или контралатеральная гемианопия; или она может сжимать гипофизарную ткань, вызывая дефицит гормонов гипофиза.
Оперативное удаление опухолей и лечение эндокринопатий; аденомы, продуцирующие пролактин, могут потребовать только лечение дофаминергическими агонистами.
Авторское право © 2022 Merck & Co., Inc., Rahway, NJ, США и ее аффилированные лица. Все права сохранены.
Читайте также:
