Пенетрация глазного яблока: диагностика, лечение
Добавил пользователь Евгений Кузнецов Обновлено: 08.11.2025
При повреждении роговой оболочки или склеры глаза, с поражением только части их толщи, речь идет о непроникающих ранениях. Такие повреждения составляют более половины всех глазных травм, редко влияют на функции зрения и обычно не вызывают серьезных осложнений.
Микротравмы, вызывающие поверхностные повреждения, обычно становятся следствием несильных ударов по глазу или уколов некими заостренными предметами. Они приводят к образованию поверхностной эрозии эпителиальных тканей, вызывающих в некоторых случаях травматический кератит. Кроме того, достаточно часто, возникновение поверхностных повреждений связано с проникновением в глаз небольших инородных тел – камешков, пепла, растительных частиц. Они не повреждают глазную капсулу, но остаются на поверхности роговицы или склеры. Для их обнаружения, из-за малых размеров, обязательно боковое освещение и бинокулярная лупа, а лучше - назначение биомикроскопии.
Очень важно выявить, насколько глубоко инородное тело размещается. Так, если оно локализовано в близких к поверхности слоях, может возникать светобоязнь, начинается слезотечение, отмечается покраснение (перикорнеальная инъекция), обусловленное раздражением имеющихся здесь в большом количестве окончаний тройничного нерва.

Терапия непроникающих ранений
Скорейшее удаление инородных предметов из глаза – обязательно. Ведь их продолжительное пребывание внутри, особенно на поверхности роговицы, нередко осложняется травматическим кератитом либо возникает гнойная язва. Удаление поверхностных инородных предметов, выполняют амбулаторно. Довольно часто для этого требуется только ватный тампон и несколько капель местной анестезии (алкаин 0,5%). Частицы попавшие внутрь слоев роговицы и проникшие в средину, нейтрализуются желобоватым долотом, спец. копьем или обычной инъекционной иглой. Но, когда инородное тело проникло вглубь, удалять его желательно хирургическими методами, с применением микроскопа. Так как высок риск вскрытия передней камеры. Частицы металла, нередко изымают посредством магнита, надрезая над ними поверхностные слои роговицы, когда требуется.
Удаление инородных частиц, обязательно сопровождается наложением асептической повязки, назначением соответствующей терапии дезинфицирующими глазными каплями. Кроме того, рекомендована закладка мазей с антибиотиками либо сульфаниламидами. Может применяться корнерегель (улучшающий эпителизацию) и метиленовый синий.
При попадании инородных частиц в глубоких слои роговой оболочки, их удаление должен проводить только специалист-офтальмолог, особенно когда глаз единственный оставшийся.
Проникающие ранения
Видовое разнообразие проникающих ранения органа зрения достаточно велико, поэтому их подразделяют на три группы, серьезно отличающихся повреждений.
Самый большой процент проникающих ранений, приходится на поражения, при которых ранящий объект рассекает наружные глазные оболочки (склеру и роговицу) полностью. Подобное повреждение считается крайне опасным, поскольку способно серьезно снизить зрительные функции глаза (нередко, до слепоты) или стать причиной гибели парного здорового глаза.
Систематизация проникающих ранений
В видовом отношении, проникающие поражения глаза принято подразделять:
1. По локализации. Поражения роговицы, поражения лимба, роговично-склеральные поражения, поражения склеры.
2. По глубине. Выделяют:
- Повреждения с раневым каналом в роговице или склере, различной глубиной в полости глаза, без выхода за его пределы.
- Сквозные ранения, с входом и выходом раневого канала за границами полости глаза.
- Деструкция глазного яблока – его разрушение с необратимой утратой функции зрения.
3. По размеру. Поражения малой величины (до 3мм), среднего размера (4-6мм), большого размера (свыше 6мм).
4. По форме. Поражения линейной формы, неправильные, колотые, звездчатые, рваные.
Различают также раны адаптированные (с краями, прилегающими плотно) и зияющие.

Симптоматика и диагностика
До 40% проникающих ранений происходит с поражением хрусталика, не менее 30% ранений вызывает ущемление или выпадение радужки, примерно 20% ранений вызывает кровоизлияния в стекловидное тело либо переднюю камеру и развитие эндофтальмита из-за проникновения инфекции. В 30% случаев, инородное тело внутри глаза остается.
Диагностику проникающих ранений, обязательно начинать со сбора анамнеза, учитывающего медико-юридические последствия имеющегося повреждения глаз. Нередко, пострадавшие (особенно дети), искажают либо утаивают реальную информацию о причинах и механизме поражения. Но, как показывает опыт, наиболее распространенными, являются бытовые, спортивные и производственные причины травм. Размер ранящего предмета, кинетическая его энергия и скорость воздействия, при этом обычно, обуславливают тяжесть повреждения.
Во всех (за редким исключением) случаях проникающих ранений, обязательно проведение рентгенографического исследования, УЗИ, МРТ и компьютерной томографии. Это позволит точно определить степень поражения и отсутствие (наличие) проникшего внутрь инородного тела.
Основа диагностики - выявление характерных признаков, абсолютных или относительных по значимости.
К абсолютными признаками, при этом, относят:
- Сквозные раны склеры либо роговой оболочки;
- Выпадение внутренних глазных оболочек и стекловидного тела внутрь раны;
- Истечение через роговичную рану внутриглазной жидкости (проба с флюоресцеином);
- Выявление раневого канала сквозь внутренние структуры глаза;
- Выявление внутри инородного тела;
- Воздух в стекловидном теле.
Относительные признаки, это:
- Глубина передней камеры (обмеление - при ранении роговой оболочки, большая глубина - при ранении склеры, неравномерность глубины - при одновременном повреждении радужки и склеры);
- Гипотония;
- Возникновение кровоизлияния;
- Надрывы по зрачковому краю, фома зрачка изменена;
- Надрыв и отрыв радужки;
- Вывих либо подвывих хрусталика;
- Травматическая катаракта.
Проникающие ранения диагностируются при выявлении даже одного абсолютного признака.
Первая помощь
С целью оказания первой медицинской помощи, врачам необыкновенно важно знать отличительные признаки проникающих поражений глаза. Так, в обязательном порядке, необходимо:
Инородные тела удалять самостоятельно категорически запрещается (исключение – частицы на поверхности глазных тканей).
Поражения склеры и роговицы
Проникающие поражения роговицы сопровождаются нарушением ее целости. Рана при этом, может быть локализована центрально, экваториально или меридионально. Форма ран бывает линейной, лоскутной с гладкими либо рваными краями, зияющей, с поражением тканей. Ранение роговицы, достаточно часто приводит к вытеканию внутриглазной жидкости, тогда передняя камера теряет свою глубину. Нередко, подобные ранения сопровождаются отрывом радужки и ее выпадением, повреждением хрусталика (провоцирует катаракту) или стекловидного тела (возникает гемофтальм).
Лечение. Главная цель хирургической обработки проникающих поражений роговицы - максимальное восстановление ее анатомической структуры для сохранения функции органа.
Для этого могут быть наложены глубокие швы на 2/3 толщины роговицы с расстоянием от раневого края 1мм (нейлон 10.00). Спустя 1,5-2 месяца, эти швы снимают. Обработку звездчатых ран проводят техникой кисетного шва (выполняют круговой шов через углы раны, стягивая в центре), накладывают дополнительно узловые швы на отходящие от раневого центра участки. Выпадение радужки, требует ее вправления и репозиции, которые проводят после полного удаления загрязнений с обработкой антибактериальным раствором.
Возникновение травматической катаракты после повреждения хрусталика, лечится экстракцией катаракты, заменой анатомического хрусталика интраокулярной линзой.
В случае размозженная роговичной раны без возможности сопоставления ее краев, рекомендована пересадка роговицы.

Поражения склеры и радужно-склеральной области
Такие ранения практически никогда не бывают изолированными, а их тяжесть определяют сопутствующие выпадения внутренних оболочек, а также кровоизлияния.
Роговично-склеральные поражения могут сопровождаться выпадением/ущемлением радужной оболочки, ресничного тела, возникновением гифемы и гемофтальма. Склеральные поражения, как правило, сопровождаются углублением передней камеры, выпадением стекловидного тела либо внутренних глазных оболочек; возникают гифема, гемофтальм. Особенно серьезные повреждения склеры с дефектами ткани сопряжены с субконъюнктивальными разрывами.
Лечение. Проведение первичной хирургической обработки выполняют под общей анестезией. Главная их цель - восстановление внутриглазных структур и герметичности глазного яблока. Необходимо провести ревизию склеральной раны, стремясь точно определить направление раневого канала, его глубину, а также степень поражения внутриглазных структур. Данные факторы являются решающими для характера хирургической обработки. Основываясь на результатах ревизии, обработку выполняют через входную рану либо посредством дополнительных разрезов.
При выпадении или ущемления ресничного тела либо сосудистой оболочки в ране, их вправляют и накладывают швы после орошения раствором антибиотика, чтобы предотвратить воспалительные реакции или развитие инфекции.
Инфицирование раны роговицы и склеры вызывает острый иридоциклит, эндофтальмит со скоплением очагов гноя в стекловидном теле, в осложненных случаях - панофтальмит с гнойным воспалением структур глаза.
Все проникающие поражения требуют массированного местного лечения, которое включает терапию противовоспалительными и антибактериальными препаратами и симптоматическое лечение и поднятие иммунного статуса глаза.
Ранения с внедрением инородных тел
Последовательно собранная информация анамнеза имеет огромное значение при подозрении на оставшееся в глазу инородном теле для разработки тактики лечения. По причине инородного тела, могут развиваться инфильтраты роговицы и возникать посттравматические кератиты, приводящие к частичному помутнению роговой оболочки.
Обширная гифема или гемофтальм, сопровождающие ранения роговицы не всегда позволяют определить ход канала и локализованность инородного тела. Особенно когда оно прошло склеру вне видимой ее части, то входное отверстие выявить практически невозможно.
Внедрение крупного предмета оставляет за собой зияющую рану роговицы или склеры, вызывая выпадение сосудистой и сетчатой оболочек, стекловидного тела глаза пациента.
Диагностика. Инородные тела в роговице, передней камере, хрусталике, радужной оболочке, стекловидном теле либо на глазном дне, определяются при проведении биомикроскопии и офтальмоскопии.
Для определения инородного тела проникшего внутрь глаза применяют рентгенлокализацию методой Комберга-Балтина, посредством глазного маркера. Это алюминиевый протез-индикатор, имеющий сопоставимый радиусу роговицы свой радиус кривизны и толщину 5мм. В центре маркера выполнено отверстие размером 11мм. В 0,5мм от края центрального отверстия нанесены точки-ориентиры на взаимно перпендикулярных меридианах. Индикатор устанавливается после проведения местной анестезии алкаином и располагают его так, чтобы видимые метки были ориентированы на лимб в 12-3-6-9 ч.
Для расшифровки рентгеновских снимков применяют измерители Балтина-Поляка. Они накладываются сверху на снимки трех проекций глаза. По прямой снятой проекции определяется меридиан инородного тела и расстояние его до глазной оси. Боковая и аксиальная снятые проекции показывают расстояние от инородного тела до лимба в направлении экватора по склере.
Метод предпочтителен для визуализации металлических небольших инородных тел при сохранности тургора тканей глаза, без стойкой гипотонии из-за зияющих ран наружных оболочек.
Он дает возможность определить глубину нахождения инородного тела для планирования объема хирургических действий.
В переднем отделе, расположение инородного тела хорошо определяется бесскелетной рентгенографией методой Фогта. Ее можно выполнять только спустя 8 дней после ранения.
Но наиболее информативными, считаются современные методы исследования – ультразвуковое (А-В) сканирование и компьютерная томография. Данные методы дают возможность не только узнать локализацию предмета внутри глаза, также они выявляют возникшие из-за его проникновения осложнения.
Лечение. Внутриглазные инородные тела нужно незамедлительно удалять. Если оно локализовано поверхностно, применяют определенный инструментарий -
иглы, пинцеты, копья. Удаление глубоко проникших инородных тел сопряжено с выполнением линейных разрезов и удаления его: магнитом, если это металл, или иглой, если оно не магнитное.
Осколок передней камеры удаляют следующим образом: над инородным телом производят разрез и водят внутрь наконечник магнита. В хрусталике инородный предмет удаляют магнитом при вскрытии передней камеры. Но если он не магнитный, то подлежит удалению совместно с хрусталиком.
Амагнитные инородные тела извлекаются из глаза с серьезными трудностями. Если их определяют в зоне переднего отдела глаза, для устранения применяют так называемый передний путь.
Предметы, прошедшие до заднего отдела глаза, еще недавно извлекали только диасклеральным путем - выполняя разрез склеры. Сегодня, специалисты отдают первенство трансвитреальному пути, когда магнитный наконечник либо инструмент захвата амаганитного предмета вводится посредством разреза ресничного тела.
При возникновении травматической катаракты или гемофтальма, на первом этапе выполняют экстракцию катаракты либо витрэктомию, и далее под контролем удаляют инородное тело.
В случае проникающих ранений глаз, для предотвращения воспаления, развития инфекции, возникновения осложнений геморрагического характера, вторичной глаукомы и пр., также требуется медикаментозная терапия.

Препараты для лечения проникающих ранений
Для лечения проникающих ранений пострадавшего обязательно помещают в специализированный стационар.
После точного установления диагноза, назначается противостолбнячный анатоксин 0,5ME подкожно и противостолбнячную сыворотку 1000ME.
Терапия медикаментозными средствами должна включать следующие группы препаратов:
Антибиотики
- Аминогликозиды: гентамицин трижды в сутки по 5 мг/кг в/м, курсом до 10 дней; возможно назначение тобрамицина ежесуточно по 2-3 мг/кг в/м или в/в;
- Пенициллины: ампициллин по 250-500мг в/м или в/в до 6 раз ежесуточно;
- Цефалоспорины: цефотаксим по 1-2г в/м или в/в до 4 раз ежесуточно; цефтазидим по 0,5-2г;
- Гликопептиды: ванкомицин по 0,5-1г в/в до 4 раз ежесуточно либо внутрь по 0,5-2г;
- Макролиды: азитромицин по 500мг внутрь, курсом 3 дня;
- Линкозамиды: линкомицин по 600мг в/м до 2 раз в сутки.
Сульфаниламидные препараты
- Сульфадиметоксин: в первый день по 1г, далее по 500мг ежесуточно до 10 дней или сульфален в первый день по 1г, затем по 200мг ежесуточно до 10 дней.
Фторхинолоны
- Ципрофлоксацин по 250-750мг внутрь дважды в сутки до 10 дней.
Противогрибковые средства
- НПВП: диклофенак по 50мг внутрь до 3 раз ежесуточно, курсом 10 дней или индометацин по 25мг внутрь до 3 раз ежесуточно;
- Глюкокортикоиды: дексаметазон по 2-3мг под конъюнктиву курсом до 10 дней; триамцинолон по 20мг каждую неделю однократно 3-4 раза.
Блокаторы Н-рецепторов
- Хлоропирамин по 25мг внутрь трижды в сутки до 10 дней либо лоратадин по 10мг внутрь однократно до 10 дней;
Транквилизаторы
Инъекции ферментативных препаратов
- Фибринолизин парабульбарно по 400ЕД;
- Коллагеназа субконъюнктивально 100 или 500КЕ в очаг поражения или посредством электро- или фонофореза до 10 дней.
Глазные капли
При особой тяжести состояния и в послеоперационном периоде кратность закапываний может составлять до 6 раз ежесуточно. Ее снижают по мере стихания процесса воспаления:
- Антибактериальные р-ры: Ципрофлоксацин 0,3 % по 1-2 капли;
- до 6 раз ежесуточно или Офтаксацин 0,3 % по 1-2 капли до 6 раз ежесуточно или Тобрамицин 0,3 % по 1-2 капли до 6 раз ежесуточно;
- Антисептические р-ры: Пиклосидин (витабакт) 0,05 % по 1 капле до 6 раз ежесуточно;
- Растворы глюкокортикоидов: Дексаметазон 0,1 % по 1-2 капли до 6 раз ежесуточно или Гидрокортизона 1-2,5 % мазь, закладывать до 4 раз ежесуточно за нижнее веко;
- НПВП р-ры: Диклофенак 0,1 % по 1-2 капли до 4 раз ежесуточно или Индометацин 0,1 % по 1-2 капли до 4 раз ежесуточно;
- Растворы комбинированных препаратов: Макситрол, Тобрадекс;
- Растворы мидриатиков: Циклопентолат 1 % по 1-2 капли трижды в сутки или Тропикамид 0,5-1 % по 1-2 капли до 4 раз ежесуточно в сочетании с Фенилэфрином 2,5 % по 1-2 капли трижды в день;
- Стимуляторы регенерации ткани роговицы: Актовегин 20% гель глазной по 1 капле за нижнее веко трижды в сутки или Дексапантенол 5 % гель глазной по 1 капле за нижнее веко трижды в сутки.
Пациент после тяжелых поражений органа зрения должен пожизненно наблюдаться у офтальмолога. Его физические нагрузки должны быть ограничены. В отдаленной перспективе, таким больным назначается дальнейшее оперативное лечение, направленное на восстановление или поддержание зрительных функций и ликвидацию косметических дефектов.
Пенетрация глазного яблока: диагностика, лечение
Непреднамеренная пенетрация глазного яблока может произойти во время проведения многих процедур. Практически всегда ее можно предотвратить, если строго соблюдать требования к технике выполнения манипуляций. Ключевыми факторами в профилактике является осведомленность о вероятных причинах пенетрации глазного яблока, осторожность и внимательность. Причинами пенетрации могут стать движения пациента во время операции, задняя стафилома, миопический глаз и плохая хирургическая техника.
Субконъюнктивальное введение препаратов у нижнего свода безопаснее, чем субтеноновое или так называемое периокулярное введение. Введение под бульбарную конъюнктиву потенциально опасно. Вероятность пенетрации миопического глаза выше, чем эмметропического или гиперметропического, из-за большей его длины, наличия тонкой склеры и стафиломы. Введение лекарственных средств должно выполняться, когда пациент лежит горизонтально на спине. Вязкий раствор лидокаина обеспечивает лучшую анестезию, чем глазные капли с анестетиками. Обе руки врача должны упираться в кости лицевой части черепа, а игла должна вводиться латерально и почти параллельно краям век. Если игла направлена кзади, пенетрация глазного яблока может произойти при движении пациента вперед.
Анестезия перед операцией по поводу пенетрации глазного яблока
Топические анестетики и интраокулярное введение анестетиков все чаще используются при проведении хирургического лечения катаракты. В некоторых случаях открытая центральная витрэктомия может быть выполнена под местной анестезией, но при хирургических вмешательствах на макулярной зоне и при проведении комбинированных вмешательств необходимо выполнять блокаду экстраокулярных мышц. Перибульбарная анестезия, выполненная с использованием тупой гибкой изогнутой канюли, вводимой через небольшой разрез конъюнктивы, теоретически является более безопасной, чем многочисленные инъекции в ткани передней области орбиты. Пациент должен зафиксировать глаз в определенном положении и сохранять его на всем протяжении выполнения ретробульбарной инъекции.
Это, как было показано Grizzard, минимизирует смещение зрительного нерва и повышение его напряжения, которые увеличивают риск пенетрации зрительного нерва.
Чрезмерная седация является важной причиной совершения пациентом неосознанных движений, которые могут привести к непреднамеренной пенетрации глазного яблока во время выполнения анестезии. Объяснение того, что будет происходить во время процедуры, зачастую производит лучший эффект, чем седация, особенно у пожилых пациентов. Не существует никаких доказательств того, что тупая, так называемая ретробульбарная игла, безопаснее стандартной острой 27G 1,25-дюймовой иглы, используемой авторами книги.
В то же время в исследованиях методом КТ на трупном материале показано, что 1,5-дюймовая игла является слишком длинной и при ее использовании повышается вероятность повреждения зрительного нерва на вершине орбиты. Для введения острой иглы требуется меньше усилий, чем для введения тупой, следовательно, при использовании острой иглы меньше вероятность прокола века или развития болевых ощущений у пациента. Точка введения иглы должна находиться во внешнем «углу» орбиты, а не в более традиционной точке, расположенной на расстоянии 1/3 длины нижнего века от внешней границы орбиты.
Гентамицин и другие антибиотики из группы аминогликозидов при интравитреальном введении обладают выраженным токсическим эффектом на сетчатку. Лидокаин, по-видимому, является относительно безопасным препаратом, а Видаза характеризуется высокой токсичностью. В ходе проведения множества рандомизированных клинических исследований эффективность применения Видазы не была подтверждена. Авторы статьи никогда не используют в своей клинической практике этот препарат и предполагают, что многие хирурги вводят его в базовую схему лечения, так как не знают о его неэффективности и потенциальной опасности применения.

Диагностика пенетрации глазного яблока
Отек роговицы возникает мгновенно, если ВГД поднимается до очень высоких значений. Некоторые хирурги отмечают, что у части пациентов возникают болевые ощущения, страх и/или тошнота во время интраокулярного введения или пенетрации глаза. Гипотония является непостоянным и несколько отсроченным признаком в таких случаях. При разрыве склеры или двойной пенетрации могут наблюдаться кровоизлияния в ткани орбиты, в стенку или полость глаза.
Лечебная тактика при пенетрации глазного яблока
Если есть малейшие подозрения на непреднамеренную пенетрацию глазного яблока, глазное дно должно быть немедленно осмотрено хирургом методом непрямой лазерной офтальмоскопии (НЛО). Если пенетрация диагностирована, в большинстве случаев нужно прекратить выполнение хирургического вмешательства на переднем сегменте глаза и связаться с витреоретинальным хирургом. Безотлагательная офтальмоскопия глазного дна помогает определить, произошла ли простая или сквозная пенетрация, поражены ли макула, задний полюс, зрительный нерв или сосуды сетчатки.
Некоторые хирурги рекомендуют проведение немедленной витрэктомии, если в полость глаза случайно введен антибиотик из группы аминогликозидов, однако скорость диффузии этих препаратов очень высока, поэтому велика вероятность, что повреждение сетчатки произойдет до того момента, когда выполнение витрэктомии будет завершено. Непрямая лазерная офтальмоскопия (НЛО) является оптимальным методом для блокирования участков пенетрации до того, как произошло диффузное кровоизлияние в СТ.
Использовать для этих целей криопексию менее эффективно, чем НЛО, из-за необходимости оказывать давление на глаз и выполнять конъюнктивальный разрез, который может стать причиной формирования рубцов при заживлении. Эксплорация склеры и ушивание участков пенетрации склеры, по мнению авторов статьи, в таких случаях не показано.
Отсроченная витрэктомия при пенетрации глазного яблока
Хотя некоторые хирурги рекомендуют немедленную витрэктомию, авторы статьи полагают, что лучше отсрочить ее выполнение, более того, считают ее необязательной в большинстве случаев. Показаниями для витрэктомии являются тракции, отслойки сетчатки или формирование эпимакулярной мембраны (ЭММ). Нужно часто обследовать область кровоизлияния в СТ, чтобы не пропустить развитие гипоцеллюлярного сокращения коллагеновых волокон СТ, которое определяется по уменьшению его подвижности.
Снижение подвижности СТ во время саккадических движений глаз, определяемое при проведении УЗИ, свидетельствует о наличии гипоцел-люлярного сокращения коллагеновых волокон СТ. УЗИ в режиме В-сканирования позволяет обнаружить отслойку сетчатки и/или хориоидеи. Пломбирование склеры не показано практически во всех случаях.
Витрэктомия показана, если кровоизлияние в СТ сохраняется более 10 дней; произошло гипоцеллюлярное сокращение коллагеновых волокон СТ, проявляемое снижением его подвижности; обнаруживаются фиброзные тяжи или возникла отслойка сетчатки. Если у пациента из-за поражения зрительного нерва отсутствует световосприятие, то хирургическое лечение не показано. Его также не следует проводить, по мнению авторов, для устранения субретинального кровоизлияния или при случайном интравитреальном введении анестетиков.
Используется стандартная методика витрэктомии при травме, которая была описана выше. Ретинопексия вокруг участков пенетрации показана только при наличии разрывов сетчатки. Криопексию, пломбирование склеры или эксплорацию участков пенетрации выполнять не нужно.
Редактор: Искандер Милевски. Дата обновления публикации: 18.3.2021
Воспаление глазного яблока (воспаление глаза) - причины и лечение
Воспаление глаз является реакцией на проникновение инфекции или механическую травму. Процесс этот поражает внутренние и внешние структуры глазного яблока, а также близлежащие органы. При этом важно отличать обычно покраснение конъюнктивы, которое не требует медицинского вмешательства.

Любое воспаление в области глаза сопровождается характерными симптомами:
- Покраснение;
- Болезненность;
- Отек.
В связи с тем, что глаза человека играют важную роль, их воспаление приводит к существенному снижению качества жизни. При этом могут нарушаться острота зрения, цветовосприятие и т.д.
Классификация воспалительных заболеваний глаз
В зависимости от локализации патологического процесса, выделяют следующие формы воспаления:
- Конъюнктивальное;
- Роговичное;
- Глазничное;
- Сосудистое;
- Воспаление век.
Конъюкнтивальное воспаление
Конъюнктива представляет собой тонкую слизистую оболочку глазного яблока, которое находится снаружи него, а также покрывает веки изнутри. Воспаление этой ткани называют конъюнктивитом. Это заболевание может быть связано с травмой, инфекцией, аллергией или химическим воздействием. В зависимости от этиологии, симптомы и методики лечения конъюнктивита различаются.
Бактериальный конъюнктивит
Бактериальный конъюнктивит сопровождается покраснением, отеком слизистой оболочки. Присоединяется также слезотечение, фотофобия, небольшое количество кровоизлияний. Для лечения назначают капли с антибиотиком. Промывать конъюнктивальный мешок можно с помощью фурацилина или перманганата калия.
Геморрагический конъюнктивит
При геморрагическом конъюнктивите имеется большое количество кровоизлияний на поверхности глазного яблока и веках. При этом для лечения используют тетрациклиновые антибиотики и противовирусные средства.
Аденовирусный конъюнктивит
Это воспаление возникает в ответ на вирусную инфекцию, поражающую верхние дыхательные пути. В начале заболевания возникает слезотечение, покраснение и отечность слизистой оболочки. Иногда образуются точечные кровоизлияния. Обычно заболевание начинается на одном глазу, а через пару дней переходит на второй глаз. Терапию аденовирусного конъюнктивита проводят с использованием интерферона, бонафтоновой и флореналевой мазей.

Аллергический конъюнктивит
Природа аллергического конъюнктивита может быть связана с различными аллергенами. В зависимости от этого меняются и симптомы заболевания. Если аллергия возникла в ответ на лекарственные препараты, то появляется отек, жжение, зуд. Появляется обильное выделение слизи.
Атопическая форма конъюнктивита имеет связь с сезонным цветением. Обычно забоелвание сопровождается ринитом, болевым синдромом, покраснееим, отеком конъюнктивы, зудом и фотофобией. Для лечения используют гормональные средства и противоаллергические препараты для местного нанесения.
Грибковый конъюнктивит
При грибковом поражении глаз возникает воспалительный процесс. Источником заражения может быть больной человек (или животное), овощи, фрукты, почва и т.д. Лечение проводят при помощи нистатина, амфотерицина, леворина.
Воспаление роговицы
Кератит является довольно распространенным заболеванием глаз, при этом он может быть поверхностным (связан с внешними причинами) или глубоким (связан с внутренними патологически процессами). Все эти формы заболевания требуют безотлагательного лечения, так как возможно развитие осложнений. Среди последствий наиболее часто возникают склерит, спайки на зрачке, снижение зрения, эндофтальмит.
Симптомами кератита являются:
- Слезотечение;
- Режущая боль;
- Сужение глазной щели;
- Светобоязнь;
- Отек век;
- Зуд.
Лечение кератита проводят местными и системными препаратами. При этом назначают антибактериальные, противогрибковые или противовирусные препараты. Также используют пероральные витаминные комплексы. Местную терапию проводят с применением противовоспалительных, антибактериальных, дезинфицирующих, гормонсодержащих глазных капель.
Если в патологический процесс вовлечены слезные каналы, то из промывают раствором левомицетина.
При герпетической природе кератита можно дополнительно выполнить лазерную коагуляцию или диатермокоагуляцию. Дополнительно к традиционным препаратам иногда назначают фитотерапевтическое лечение.
Воспаление глазницы
Обычно воспаление глазницы приводит к формированию абсцесса или флегмоны. Причиной этого становится инфекция. Симптомами заболевания является отечность, болезненность, покраснение век, снижение остроты зрения. На фоне флегмоны часто повышается температура тела, появляется головная боль, а глаз часто невозможно открыть. Лечение начинают с антибиотикотерапии (ампиокс, эритромицин, гентамицин, пенициллин). Если вовремя не назначить лечение и не вскрыть абсцесс, то может развиться осложнение.
Тенонит
Воспаление теноновой капсулы глаза нередко возникает на фоне гайморита, ангины, ревматизма или гриппа. Тенонит может сопровождаться серозным или гнойным воспалением. Симптомами заболевания являются отек конъюнктивы и века, небольшое выбухание глаза, болевой синдром (болезненная подвижность). Лечение заключается в антибиотикотерапии. Орошать глаз можно гормонами (гидрокортизоном или преднизолоном).
Воспаление века
Воспаление века может захватывать нижнее или верхнее веко (иногда оба). При этом симптомами заболевания является покраснение и припухлость. Среди конкретных заболеваний чаще встречается блефарит, ячмень, халязион и герпетическая инфекция. Иногда причина воспаления связана с размножением мелких клещей, повышенной чувствительностью к косметическим средствам или пыли, со снижением иммунных защитных сил организма, с системными заболеваниями (сахарный диабет, гастрит, холецистит и т.д.). При воспалении века может возникнуть нарушение роста ресниц, их избыточное выпадение, появление зуда, слезотечения, красноватых узелков по краю века.
Чтобы установить точный диагноз, нужно показаться офтальмологу. Для лечения заболевания важное значение имеет устранение причины воспаления (аллергена, микроклещей и т.д.). Также следует обратить внимание на соблюдение гигиенических мер, регулярное промывание глаз антисептиками после удаления отделяемого. Лечение проводят антибиотиками или гормональными средствами.

Воспаление сосудов глаза
Увеит подразумевает любое воспаление сосудистой оболочки. В зависимости от локализации воспаления могут присутствовать различные симптомы:
- Иридоциклит приводит к светобоязни, боли, снижению остроты зрения, сужению зрачка, повышению уровня внутриглазного давления.
- При периферическом поражении обоиз глаз возникает помутнение и снижение зрения.
- Хориоретинит сопровождается болевыми ощущениями, снижением зрения.
Причинами увеита могут быть инфекции, ревматизм, сифилис, патология зубов, сахарный диабет.
Реакция зрачка на свет обычно замедленная, присутствует миоз и потемнение радужки.
Воспаление слезных каналов
При распространении воспаления на слезные каналы речь идет о дакриоцистите. Так как проходимость его нарушена, в этой области скапливаются микробы, которые и вызывают воспаление. Причинами заболевания могут быть врожденные особенности, последствия травмы, офтальмологические проблемы. Обычно воспаление носит односторонний характер и сопровождается покраснением, отечностью и болезненностью. Также имеются специфические выделения. Для лечения взрослым пациентам назначают промывание слезного канала специальными дезинфицирующими растворами. В детском возрасте рекомендуется массаж этой области, антибактериальные капли или тетрациклиновая мазь. Если консервативное лечение неэффективно, то проводят операцию.
Профилактика
Некоторые воспалительные процессы в глазу можно предупредить. Профилактика включает соблюдение правил гигиены, нельзя прикасаться к глазам руками и другими предметами. При раздражении конъюнктивы можно промывать глаза раствором ромашки, физраствором или обычной кипяченой водой. От яркого солнца можно защитить глаза темными очками.
Следует отметить, что употребление лекарств с профилактической целью не целесообразно и может даже навредить. Воспаление глаза является очень опасной патологией, поэтому требует немедленной медицинской помощи. Если выявить заболевание на ранних стадиях, то его проще вылечить.
Панофтальмит
Панофтальмит – тотальное гнойное воспаление и расплавление всех структур и оболочек глазного яблока. При панофтальмите возникает резкая боль в глазнице и в голове на стороне поражения, слезотечение, светобоязнь, отек и хемоз конъюнктивы, блефароспазм, озноб, лихорадка, падение зрения. Диагностика панофтальмита основана на данных диафаноскопии, биомикроскопии, офтальмоскопии, УЗИ глаза, бактериологического посева. Лечение панофтальмита требует проведения активной местной и системной антибиотикотерапии; в некоторых случаях – эвисцерации или энуклеации глазного яблока.
Общие сведения
Панофтальмит является крайней и наиболее тяжелой формой воспаления органа зрения, при которой в гнойный процесс вовлекаются все оболочки глаза и окружающие мягкие ткани (веки, клетчатка, мышцы). Серьезность проблемы заключается в том, что панофтальмит нередко приводит к гибели и последующей атрофии глаза. Защитные механизмы концентрируются в придаточном аппарате глаза (веках, слезных железах), поэтому проникновение инфекции внутрь глазного яблока сопровождается бурным и беспрепятственным размножением микроорганизмов. В итоге, при панофтальмите гнойному воспалению и расплавлению подвергаются все слои глазного яблока.
Причины панофтальмита
Панофтальмит может быть обусловлен экзогенным или эндогенным проникновением инфекции внутрь глазного яблока. При этом возбудителями обычно выступают стрептококки, стафилококки, пневмококки, синегнойная и кишечная палочки, микобактерии туберкулеза.
В офтальмологии к панофтальмиту чаще всего приводят проникающие ранения глаза (механические повреждения, инородные тела, ожоги). В этом случае гнойная инфекция проникает вглубь глазного яблока через раневой канал. Также панофтальмит может являться следствием бактериального кератита, прободения гнойной язвы роговицы, тяжелого течения увеита, бленнореи, трахомы, абсцесса век, флегмоны глазницы, эндофтальмита.
Эндогенное инфицирование структур глаза встречается реже и может быть связано с метастатическим заносом бактериальной инфекции из отдаленных гнойных очагов. Возникновение панофтальмита возможно вследствие пневмонии, туберкулеза, фурункулеза, послеоперационного или послеродового сепсиса, менингита, тифа, синуситов.
Симптомы панофтальмита
При проникающих ранениях глазного яблока панофтальмит развивается стремительно, в течение 2-3 дней. Гнойное поражение структур глаза сопровождается сильными болями в глазном яблоке, слезотечением, светобоязнью, рефлекторным блефароспазмом, быстрым и значительным снижением зрения. Объективные изменения характеризуются резкой гиперемией, отеком конъюнктивы и век, который может приводить к хемозу – ущемлению веками слизистой глаза. Роговица становится мутной и отечной; радужка расплавляется; в передней камере глаза скапливается гной; гнойный экссудат также обнаруживается в стекловидном теле. При панофтальмите происходит быстрое и существенное снижение зрения вплоть до светоощущения или слепоты.
При дальнейшем прогрессировании панофтальмита гной проникает под конъюнктиву, инфильтрирует перибульбарные ткани, распространяется в тенонову капсулу, усиливая отек тканей и приводя к развитию воспалительного экзофтальма. Подвижность глазного яблока резко ограничивается. Может произойти перфорация склеры с выделением гноя наружу. В дальнейшем, через 6-8 недель, глаз сморщивается и атрофируется.
При анаэробном панофтальмите гнойный процесс развивается бурно: из передней камеры появляется отделяемое кофейного цвета с пузырьками газа, слепота наступает уже в день ранения глаза.
Кроме местных изменений, панофтальмит сопровождается общими симптомами: явлениями интоксикации, головной болью, лихорадочным состоянием с ознобом, рвотой. Гнойные процесс может перейти на мозговые оболочки с развитием менингита, формированием абсцесса головного мозга.
Диагностика панофтальмита
Для диагностики панфотальмита первостепенное значение имеет наличие в анамнезе проникающих ранений глаза и инфекционных очагов в организме.
Объективные признаки панофтальмита (изменения конъюнктивы, радужки, скопление гнойного экссудата в передней камере глаза и стекловидном теле) обнаруживаются офтальмологом при осмотре структур глаза (диафаноскопии, биомикроскопии). При возможности осмотра глазного дна с помощью офтальмоскопии определяются расширенные вены сетчатки. УЗИ-сканирование позволяет выявить очаги деструкции глубоких структур глаза.
Для определения микробной флоры, вызвавшей развитие панофтальмита, проводится парацентез роговицы для получения гнойного экссудата и его бактериологического посева.
Дифференциальная диагностика панофтальмита проводится с эндофтальмитом, который протекает не так бурно.
Лечение панофтальмита
Панофтальмит требует раннего и интенсивного лечения. Основу патогенетической терапии панофтальмита составляет назначение массивных доз антибиотиков (бензилпенициллина, стрептомицина, мономицина, гентамицина и др.). Антибиотики вводятся внутримышечно, внутривенно, в виде ретробульбарных, субконъюнктивальных инъекций. В ряде случаев прибегают к витрэктомии и интравитреальному введению противомикробных средств. Показаны инстилляции и ванночки с раствором трипсина. Для устранения явлений общей интоксикации проводятся внутривенные инфузии солевых растворов.
Консервативное лечение панофтальмита не всегда бывает успешным, поэтому нередко приходится прибегать к эвисцерации или энуклеации глазного яблока с последующим глазопротезированием.
Прогноз и профилактика панофтальмита
При своевременно начатом комплексном лечении панофтальмита в ряде случаев удается сохранить глазное яблоко и остаточное зрение. Чаще всего исходом панофтальмита служит гибель глаза с его последующей атрофией. Прогноз для зрительной функции и жизни при панофтальмите всегда крайне серьезный.
Основная роль в профилактике панофтальмита принадлежит предупреждению травм глаза, санации инфекционных очагов в организме, лечению воспалений структур глаза и его придаточного аппарата. В случае ранений глаза необходимо проведение превентивной местной и общей антибиотикотерапии уже в первые часы после травмы.
Механические повреждения глаз
Механические повреждения глаз включают ранения и тупые травмы глазного яблока, его придаточного аппарата и костного ложа. Механические повреждения могут сопровождаться кровоизлияниями в мягкие ткани и структуры глаза, подкожной эмфиземой, выпадением внутриглазных оболочек, воспалением, снижением зрения, размозжением глаза. Диагностика механических повреждений глаз основывается на данных осмотра пострадавшего офтальмохирургом, нейрохирургом, отоларингологом, челюстно-лицевым хирургом; рентгенографии орбиты, биомикроскопии, офтальмоскопии, ультразвуковой эхографии и биометрии, пробы с флюоресцеином и др. Способ лечения механических повреждений глаз зависит от характера и объема травмы, а также развившихся осложнений.
Ввиду своего поверхностного расположения на лице, глаза чрезвычайно уязвимы к различного рода повреждениям – механическим травмам, ожогам, внедрению инородных тел и пр. Механические повреждения глаз довольно часто влекут за собой осложнения инвалидизирующего характера: ослабление зрения или слепоту, функциональную гибель глазного яблока.
Тяжелые травмы глаз чаще случаются у мужчин (90%), чем у женщин (10%). Около 60% повреждений органа зрения получают взрослые в возрасте до 40 лет; 22% травмированных составляют дети до 16 лет. По статистике, среди травм органа зрения первое место занимают инородные тела глаза; второе - ушибы, контузии глаза и тупые травмы; третье – ожоги глаз.
Классификация
В офтальмологии механические повреждения глаз классифицируются по механизму возникновения, локализации, степени тяжести. По механизму травмирующего действия различают ранения, тупые травмы глаза (контузии, сотрясения). В свою очередь, ранения глаза могут быть непроникающими, проникающими и сквозными; неинфицированными и инфицированными; с внедрением или без внедрения инородного тела; с выпадением и без выпадения оболочек глаза.
По локализации повреждений выделяют травмы защитного аппарата глаза (век, орбиты, слезного аппарата), глазного яблока, сочетанные повреждения придатков и внутренних структур глаза, комбинированные механические повреждения глаз и других областей лица.
Степень механических повреждений глаз зависит от вида травмирующего объекта, а также силы и скорости воздействия. По тяжести глазной травмы выделяют:
- легкие повреждения, обусловленные попаданием инородных тел на конъюнктиву или поверхность роговицы, ожогами I—II ст., несквозными ранениями и гематомами век, временной офтальмией и др.
- повреждения средней тяжести, характеризующиеся явлениями резко выраженного конъюнктивита и помутнениями роговицы; разрывом или частичным отрывом века; ожогами век и глазного яблока II—IIIA ст.; непрободным ранением глазного яблока.
- тяжелые повреждения, сопровождающиеся прободным ранением глазного яблока; ранениями век со значительными дефектами ткани; контузией глазного яблока с повреждением более 50% его поверхности; снижением зрения вследствие разрыва внутренних оболочек, травмы хрусталика, отслойки сетчатки, кровоизлияний в полость глаза; повреждением костей глазницы и экзофтальмом; ожогами IIIБ—IV ст.
По обстоятельствам и условиям возникновения механических повреждений глаз различают промышленный, сельскохозяйственный, бытовой, детский и военный травматизм.
Причины
Поверхностные травмы глаза часто происходят при повреждениях век, конъюнктивы или роговой оболочки ногтем, контактной линзой, частями одежды, ветками деревьев.
Тупые механические повреждения глаз могут возникать при ударе по глазному яблоку или лицевому скелету объемным предметом (кулаком, мячом, палкой, камнем и др.), при падении на твердый предмет. Тупые травмы нередко сопровождаются кровоизлияниями в ткани век и глаза, переломами стенок орбиты, контузией глаза. Тупые механические повреждения глаз часто сочетаются с закрытой черепно-мозговой травмой.
Проникающие ранения глаз обусловлены механическим повреждением век или глазного яблока острыми предметами (канцелярскими и столовыми приборами, деревянными, металлическими или стеклянными осколками, проволокой и т. д.). При осколочных ранениях нередко отмечается внедрение инородного тела внутрь глаза.
Симптомы
Тупые травмы глаза
Субъективные ощущения при механических повреждениях глаз не всегда соответствуют реальной тяжести травмы, поэтому при любых глазных травмах необходима консультация офтальмолога. Тупые травмы глаза сопровождаются различного рода кровоизлияниями: гематомами век, ретробульбарными гематомами, субконъюнктивальными геморрагиями, гифемой, кровоизлияниями в радужку, гемофтальмом, преретинальными, ретинальными, субретинальными и субхориоидальными кровоизлияниями.
При контузии радужки может развиться травматический мидриаз, обусловленный парезом сфинктера. При этом утрачивается реакция зрачка на свет, отмечается увеличение диаметра зрачка до 7-10 мм. Субъективно ощущается светобоязнь, понижение остроты зрения. При парезе цилиарной мышцы развивается расстройство аккомодации. Сильные механические удары могут привести к частичному или полному отрыву радужки (иридодиализу), повреждению сосудов радужной оболочки и развитию гифемы – скоплению крови в передней камере глаза.
Механическое повреждение глаза с травмирующим воздействием на хрусталик, как правило, сопровождается его помутнениями различной степени выраженности. При сохранности капсулы хрусталика происходит развитие субкапсулярной катаракты. В случае травмы связочного аппарата, удерживающего хрусталик, может возникнуть сублюксация (подвывих) хрусталика, который приводит к расстройству аккомодации и развитию хрусталикового астигматизма. При тяжелых травмах хрусталика происходит его люксация (вывих) в переднюю камеру, стекловидное тело, под конъюнктиву. Если сместившийся хрусталик затрудняет отток водянистой влаги из передней камеры глаза, может развиться вторичная факотопическая глаукома.
При кровоизлияниях в стекловидное тело (гемофтальме) в дальнейшем может возникать тракционная отслойка сетчатки, атрофия зрительного нерва. Нередко следствием тупого механического повреждения глаза служат разрывы сетчатки. Достаточно часто контузионные травмы глаза приводят к субконъюнктивальным разрывам склеры, для которых характерны гемофтальм, гипотония глазного яблока, отеки век и конъюнктивы, птоз, экзофтальм. В постконтузионном периоде нередко возникают ириты и иридоциклиты.
Ранения глазного яблока
При непроникающих ранениях глазного яблока целостность роговой и склеральной оболочек глаза не нарушается. При этом чаще всего происходит поверхностное повреждение эпителия роговицы, что создает условия для инфицирования – развития травматического кератита, эрозии роговицы. Субъективно непроникающие механические повреждения сопровождаются резкой болью в глазу, слезотечением, светобоязнью. Глубокое проникновение инородных тел в роговичные слои может приводить к рубцеванию и образованию бельма.
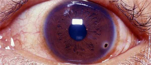
К признакам проникающего ранения роговицы и склеры относят: зияющую рану, в которую выпадают радужка, цилиарное или стекловидное тела; наличие отверстия в радужке, наличие внутриглазного инородного тела, гипотонию, гифему, гемофтальм, изменение формы зрачка, помутнение хрусталика, понижение остроты зрения различной степени.
Проникающие механические повреждения глаз опасны не только сами по себе, но и их осложнениями: развитием иридоциклита, нейроретинита, увеита, эндофтальмита, панофтальмита, внутричерепных осложнений и др. Нередко при проникающих ранениях развивается симпатическая офтальмия, характеризующаяся вялотекущим серозным иридоциклитом или невритом зрительного нерва неповрежденного глаза. Симптоматическая офтальмия может развиваться в ближайшем после ранения периоде или спустя месяцы и годы после него. Патология проявляется внезапным снижением остроты зрения здорового глаза, светобоязнью и слезотечением, глубокой конъюнктивальной инъекцией. Симптоматическая офтальмия протекает с рецидивами воспаления и, несмотря на лечение, в половине случаев заканчивается слепотой.
Повреждения орбиты
Травмы орбиты могут сопровождаться повреждением сухожилия верхней косой мышцы, что приводит к косоглазию и диплопии. При переломах стенок глазницы со смещением отломков может увеличиваться либо уменьшаться емкость орбиты, в связи с чем развивается западение (эндофтальм) или выпячивание (экзофтальм) глазного яблока. Травмы орбиты сопровождаются подкожной эмфиземой и крепитацией, затуманиванием зрения, болью, ограничением подвижности глазного яблока. Обычно встречаются тяжелые сочетанные (орбитокраниальные, орбито-синуальные) травмы.
Механические повреждения орбиты и глаза часто заканчиваются внезапной и необратимой слепотой вследствие обширных кровоизлияний в глазное яблоко, разрыва зрительного нерва, разрывов внутренних оболочек и размозжения глаза. Повреждения орбиты опасны развитием вторичной инфекции (флегмоны орбиты), менингита, тромбоза кавернозного синуса, внедрением инородных тел в придаточные пазухи носа.
Диагностика
Распознавание характера и степени тяжести механических повреждений глаз производится с учетом анамнеза, клинической картины травмы и дополнительных исследований. При любых травмах глаза необходимо проведение обзорной рентгенографии орбиты в 2-х проекциях для исключения наличия костных повреждений и внедрения инородного тела.
Обязательным диагностическим этапом при механических повреждениях является осмотр структур глаза с помощью различных методов (офтальмоскопии, биомикроскопии, гониоскопии, диафаноскопии), измерение внутриглазного давления. При выпячивании глазного яблока проводится экзофтальмометрия. При различных нарушениях (глазодвигательных, рефракционных) исследуется состояние конвергенции и рефракции, определяется запас и объем аккомодации. Для выявления повреждений роговицы применяется флюоресцеиновая инстилляционная проба.
Для уточнения характера посттравматических изменений на глазном дне выполняется флюоресцентная ангиография сетчатки. Электрофизиологические исследования (электроокулография, электроретинография, зрительные вызванные потенциалы) в сопоставлении с клиникой и данными ангиографии позволяют судить о состоянии сетчатки и зрительного нерва.
С целью выявления отслойки сетчатки при механических повреждениях глаз, оценки ее локализации, величины и распространенности проводится УЗИ глаза в А и В режимах. С помощью ультразвуковой биометрии глаза судят об изменении размеров глазного яблока и соответственно - о постконтузионной гипертензии или гипотоническом синдроме.
Пациенты с механическими повреждениями глаз должны быть проконсультированы хирургом-офтальмологом, неврологом, нейрохирургом, отоларингологом, челюстно-лицевым хирургом. Дополнительно может потребоваться проведение рентгенографии или КТ черепа и придаточных пазух.
Лечение
Многообразие факторов возникновения механических повреждений глаза, а также различная степень тяжести травмы определяют дифференцированную тактику в каждом конкретном случае.
При травмах век с нарушением целостности кожных покровов производится первичная хирургическая обработка раны, при необходимости - иссечение размозженных тканей по краям раны и наложение швов.
Поверхностные механические повреждения глаз, как правило, лечатся консервативно с помощью инстилляций антисептических и антибактериальных капель, закладывания мазей. При внедрении осколков производится струйное промывание конъюнктивальной полости, механическое удаление инородных тел с конъюнктивы или роговицы.
При тупых механических повреждениях глаз рекомендуется покой, наложение защитной бинокулярной повязки, инстилляции атропина или пилокарпина под контролем внутриглазного давления. С целью скорейшего рассасывания кровоизлияний могут назначаться аутогемотерапия, электрофорез с йодистым калием, субконъюнктивальные инъекции дионина. Для профилактики инфекционных осложнений назначаются сульфаниламиды и антибиотики.
По показаниям осуществляется хирургическое лечение (экстракция вывихнутого хрусталика с последующей имплантаций ИОЛ в афакичный глаз, наложение швов на склеру, витрэктомия при гемофтальме, энуклеация атрофированного глазного яблока и др.). При необходимости в отсроченном периоде производятся реконструктивные операции: рассечение синехий, пластика радужки, реконструкция переднего отрезка глаза, восстановление иридохрусталиковой диафрагмы.
При постконтузионных отслойках сетчатки осуществляются различные хирургические вмешательства: склеропластика, баллонирование, лазерная коагуляция, введение силикона и др. При развитии посттравматической катаракты обязательно ее удаление одним из принятых методов.
В случае атрофии зрительного нерва производится медикаментозная и аппаратная терапия, направленная на стимуляцию сохранившихся нервных волокон (ультразвуковая терапия, электро- и фонофорез лекарственных веществ, микроволновая терапия, гипербарическая оксигенация, лазеро-, электро- и магнитостимуляция). При факогенной глаукоме требуется проведение антиглаукоматозного хирургического вмешательства.
Хирургическое лечение травм орбиты осуществляется совместно с отоларингологами, нейрохирургами, хирургами-стоматологами.
Прогноз и профилактика
Неблагоприятными исходами механических повреждений глаз могут быть образование бельма, травматической катаракты, развитие факогенной глаукомы или гипотонии, отслойка сетчатки, сморщивание глазного яблока, снижение зрения и слепота. Прогноз механических повреждений глаз зависит от характера, локализации и тяжести ранения, инфекционных осложнений, своевременности оказания первой помощи и качества последующего лечения.
Профилактика механических повреждений глаза требует соблюдения техники безопасности на производстве, осторожности в быту при обращении с травмоопасными предметами.
Читайте также:
- Методы обследования муцинозной кистозной опухоли поджелудочной железы
- Методика рассечения единым блоком эпиретинальных мембран. Вискодиссекция
- Лечение повреждений печени. Лечение повреждений селезенки.
- Дифференциальная диагностика, лечение злокачественной зернистоклеточной опухоли.
- МРТ тазобедренного сустава в продольной проекции в норме
