Методы обследования муцинозной кистозной опухоли поджелудочной железы
Добавил пользователь Евгений Кузнецов Обновлено: 08.11.2025
Поджелудочная железа является паренхиматозным органом. Полипозные образования возникают в полых органах, к которым относится желудок, кишечник, мочевой и желчный пузырь. По этой причине полипы в поджелудочной железе не развиваются. Их иногда путают с доброкачественными новообразованиями протоков железы, к которым относится внутрипротоковая папиллярно-муцинозная опухоль. Это кистозное образование протоковой системы поджелудочной железы с высоким злокачественным потенциалом. В Юсуповской больнице гастроэнтерологи при выявлении в панкреатических протоках образований, напоминающих полипы, проводят комплексное обследование пациентов с помощью аппаратуры ведущих мировых производителей.
Пациентов консультируют онкологи. Все случаи образований в поджелудочной железе, которые напоминают полип, обсуждаются на заседании Экспертного Совета. В его работе принимают участие кандидаты и доктора медицинских наук, врачи высшей категории. После установки точного диагноза ведущие гастроэнтерологи и онкологи коллегиально составляют индивидуальную схему лечения пациентов.

Внутрипротоковая папиллярно-муцинозная опухоль
Согласно установленным Всемирной организацией здравоохранения диагностическим критериям, внутрипротоковая папиллярно-муцинозная опухоль, напоминающая полип поджелудочной железы, является внутрипротоковым муцинпродуцирующим новообразованием, которое поражает главный панкреатический проток или ветви органа. Его эпителиальная выстилка образована высоким цилиндрическим эпителием с сосочковыми выступами, или без них.
Опухоль растёт внутриэпителиально вдоль протоков поджелудочной железы. Новообразование характеризуется сегментарным или диффузным расширением протоковой системы органа. В нём отмечается пролиферация муцин-продуцирующих клеток, образующих сосочки на поверхности эпителиальной пластинки, которые внешне напоминают полип. Размеры сосочков могут колебаться от микроскопических форм до больших узловых масс. При достижении полипообразными сосочками-полипами размеров 4 мм и более в 88% случаев развивается рак поджелудочной железы.
Симптомы и диагностика заболевания
Симптомы новообразования в поджелудочной железе по типу полипа наблюдаются у 81% пациентов. Клиническая симптоматика скудна и неспецифична. В 27% случаев внутрипротоковую папиллярно-муцинозную опухоль выявляют случайно.
Основными клиническими симптомами являются:
- Боль в животе и спине;
- Похудание;
- Механическая желтуха;
- Тошнота и рвота.
У 13% пациентов развивается острый панкреатит, у 12% – сахарный диабет. Появление механической желтухи, сахарного диабета или усугубление его тяжести говорит в пользу злокачественного характера полипообразного образования. У 29% пациентов со злокачественной внутрипротоковым новообразование отсутствуют клинические симптомы.
Диагностика внутрипротоковой папиллярно-муцинозной опухоли, которую пациенты называют полипом поджелудочной железы, очень сложна. Обычные лабораторные исследования не несут диагностической ценности. В Юсуповской больнице образование выявляют с помощью современных инструментальных неинвазивных методов:
- Магнитно-резонансной томографии (МРТ);
- Магнитно-резонансной холангиопанкреатографии;
- Эндоскопической ретроградной холангиопанкреатографии.
Альтернативным методом диагностики внутрипротоковой папиллярно-муцинозной опухоли является эндоскопическая ретроградная холангиопанкреатография. С помощью этого диагностического метода врачи определяют сегментарное или диффузное расширение главного панкреатического протока, проводят забор панкреатического сока. Лаборанты выполняют его биохимический и молекулярный анализ на предмет содержания проонкогенов семейства K-ras. Во время исследования проводят прицельную биопсию эпителия протока железы с последующим его цитологическим исследованием.
Важная роль в дифференциальной диагностике доброкачественных и злокачественных форм внутрипротоковой папиллярно-муцинозной опухоли принадлежит эндоскопическому ультразвуковому исследованию с тонкоигольной пункцией кистозной опухоли, последующим проведением цитологического и биохимического исследования полученного материала.
Лечение внутрипротоковых образований поджелудочной железы
Если врачи Юсуповской больницы выявляют внутри протоков поджелудочной железы образование, формой напоминающее полип, они коллегиально определяют тактику лечения. Активное наблюдение с помощью неинвазивных методов диагностики проводят только ограниченной группе пациентов с внутрипротоковой папиллярно-муцинозной опухолью размером менее 3 см без клинических проявлений и отсутствием признаков злокачественной трансформации. При малейшем подозрении на малигнизацию новообразования пациентам предлагают оперативное вмешательство.
В зависимости от локализации и характера папиллярно-муцинозной опухоли выполняют различные виды резекции поджелудочной железы вплоть до панкреатэктомии (удаления всего органа). При выявлении доброкачественной внутрипротоковой папиллярно-муцинозной опухоли делают ограниченные резекции поджелудочной железы в зависимости от локализации новообразования:
- Иссечение головки поджелудочной железы с сохранением двенадцатиперстной кишки;
- Дистальную резекцию поджелудочной железы с сохранением селезёнки;
- Срединную резекцию железы.
При малейшем подозрении на злокачественный процесс во время операции хирурги отказываются от выполнения органосохраняющих операций и переходят к стандартным резекциям органа. Во время операции проводят срочное гистологическое исследование краёв резекции органа. При необходимости объём оперативного вмешательства расширяют до панкреатэктомии. Показанием к удалению поджелудочной железы является тотальное поражение протоковой системы органа.
Отдалённые результаты хирургического лечения больных с доброкачественной и пограничной формами внутрипротоковой папиллярно-муцинозной опухоли хорошие. Результаты лечения больных злокачественными формами заболевания хуже. В этой связи ранняя диагностика и своевременное хирургическое лечение позволят улучшить результаты лечения. При появлении первых признаков поражения поджелудочной железы записывайтесь на приём к гастроэнтерологу по телефону.
Методы обследования муцинозной кистозной опухоли поджелудочной железы
а) Терминология:
1. Сокращения:
• Муцинозная кистозная опухоль поджелудочной железы (mucinous cystic neoplasm - MCN)
2. Синонимы:
• Муцинозное кистозное новообразование поджелудочной железы
• Муцинозная цистаденома/цистаденокарцинома
• Макроцитарная цистаденома/цистаденокарцинома
• Макроцитарная аденома
3. Определения:
• Кистозное разделенное перегородками новообразование, образованное муцин-продуцирующим эпителием и характерной стромой овариального типа, по степени злокачественности варьирующее от потенциально злокачественных новообразований до инвазивной карциномы
б) Визуализация:
1. Общая характеристика:
• Основные диагностические признаки:
о Толстостенное многокамерное кистозное образование, разделенное внутренними перегородками, и, иногда, имеющее узловатую стенку
• Локализация:
о Тело и хвост поджелудочной железы (чаще)
• Размер:
о Диаметр варьирует от 2 см до > 10 см
о Средний размер 8,7 см
2. УЗИ при муцинозной кистозной опухоли поджелудочной железы:
• УЗИ в черно-белом режиме:
о Четко отграниченное анэхогенное или гипоэхогенное образование, обычно локализующееся в теле или хвосте поджелудочной железы
о Однокамерное или многокамерное с эхогенными перегородками:
- Содержимое кисты может быть анэхогенным или эхогенным, содержать детрит ± солидный компонент
о Не сообщается с системой протоков поджелудочной железы
о Может содержать кальцинаты
о Узловатость стенки указывает на злокачественность новообразования:
- При малигнизации: возможна лимфаденопатия ± толстостенные кистозные новообразования печени
• Цветовая допплерография:
о Новообразование со слабо развитой сосудистой сетью
о Может окружать селезеночную вену или смещать близлежащие сосуды
• Изменения при УЗИ неспецифичны, необходимо дальнейшее обследование - КТ или МРТ

(Левый) На поперечном УЗ срезе брюшной полости в теле поджелудочной железы определяется четко отграниченное анэхогенное кистозное новообразование с единичными периферическими гиперэхогенными очагами. Обратите внимание на неизмененную поджелудочную железу.
(Правый) При КТ с контрастным усилением на аналогичной аксиальной томограмме в теле поджелудочной железы визуализируется кистозное образование овальной формы с контрастной капсулой. Внутри образования имеются перегородки, невидимые на КТ.
3. КТ при муцинозной кистозной опухоли поджелудочной железы:
• КТ с контрастным усилением:
о Хорошо отграниченное образование с ровными контурами
о Однокамерное или многокамерное кистозное новообразование с низким коэффициентом ослабления:
- Многокамерные образования обычно содержат до шести кистозных компонентов
- Каждое размером > 2 см
о Может наблюдаться кальциноз-перегородок или периферический криволинейный
о Контрастирование стенки кисты, интрамуральных узлов и внутренних перегородок
о Симптомы, указывающие на малигнизацию:
- Солидные интрамуральные узлы
- Толстые перегородки
- Утолщение стенки
5. Другие методы исследования:
• Эндоскопическое УЗИ:
о Высокое пространственное разрешение; возможно выявление внутренних перегородок, интрамуральных узлов и оценка толщины стенки
о Может использоваться как метод контроля при аспирации жидкости и биопсии солидного компонента, тем самым повышая диагностическую точность этих манипуляций по сравнению с КТ и МРТ
- Содержимое кисты:
Высокий уровень ракового эмбрионального антигена (СЕА) (Низкий уровень амилазы (хотя может быть повышен)
При наличии злокачественной опухоли высокий уровень онкомаркера СА 19.9
Положительная окраска на муцин
6. Рекомендации по визуализации:
• Оптимальный метод визуализации:
о КТ или МРТ:
- Обеспечивают точную характеристику морфологии кисты
о Эндоскопическое УЗИ:
- Инвазивная методика
- Часто выполняется в комбинации с аспирацией жидкого содержимого кисты для уточнения диагноза
• Рекомендации по методике проведения исследования:
о КТ или МРТ следует выполнять с контрастным усилением:
- Двухфазный протокол исследования поджелудочной железы (поздняя артериальная и воротно-венозная фазы)
- Повышается детализация особенностей морфологии, в том числе внутренних перегородок и интрамуральных узлов
о МР холангиопанкреатография:
- Позволяет уточнять взаимоотношения новообразования и протока поджелудочной железы

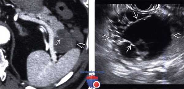
(Левый) При КТ с контрастным усилением на корональной томограмме в хвосте поджелудочной железы визуализируется четко отграниченное округлое кистозное образование с плохо различимыми внутренними перегородками.
(Правый) При эндоскопическом УЗИ в той же зоне выявлено крупное кистозное образование с внутренними перегородками и мелким интрамуральным узлом (метки измерителя), не видимыми при КТ.
в) Дифференциальная диагностика муцинозной кистозной опухоли поджелудочной железы:
1. Псевдокиста:
• Однокамерная анэхогенная или гипоэхогенная киста без перегородок и солидного компонента
• Могут определяться соустья с протоком поджелудочной железы
• Инфильтрация перипанкреатической жировой клетчатки
• Анамнез болезни отягощен по панкреатиту
2. Внутрипротоковая папиллярная муцинозная опухоль:
• Опухоль ветви протока: скопления мелких кист по типу виноградной грозди
• Сообщается с протоком поджелудочной железы
• Как правило, локализуется в головке или крючковидном отростке поджелудочной железы
3. Макрокистозный вариант серозной цистаденомы:
• Однокамерное кистозное новообразование, обычно локализующееся в головке поджелудочной железы
• Обычно обладает более тонкой неконтрастной трудно визуализируемой стенкой
4. Солидная псевдопапиллярная опухоль (solid pseudopapillary tumor — SPN):
• Крупное солидное и гетерогенно кистозное образование, обычно локализующееся в хвосте поджелудочной железы
• Кровоизлияние в ткань опухоли более характерно для солидной псевдопапиллярной опухоли; при муцинозной кистозной опухоли кровоизлияния наблюдаются редко
• Как правило, развивается у молодых женщин
5. Кистозная нейроэндокринная опухоль поджелудочной железы:
• Богато васкуляризованное образование, содержащее неконтрастные кистозные/некротические компоненты
• Могут быть множественными
• Может развиваться метастатическое поражение печени

(Левый) При КТ с контрастным усилением на аксиальной томограмме в хвосте поджелудочной железы определяется четко отграниченное округлое кистозное образование с контрастными плохо различимыми внутренними перегородками.
(Правый) При эндоскопическом УЗИ в хвосте поджелудочной железы выявлено четко отграниченное многокамерное кистозное новообразование с внутренними перегородками.
г) Патология:
1. Классификация муцинозной кистозной опухоли поджелудочной железы:
• Опухоли этой группы включают в себя:
о Доброкачественная муцинозная цистаденома (72%)
о Пограничная муцинозная кистозная опухоль (10,5%)
о Муцинозная кистозная опухоль с карциномой in situ (5,5%)
о Муцинозная цистаденокарцинома (12%)
• Любая опухоль этой группы может перерождаться в инвазивную карциному
2. Макроскопические и хирургические особенности:
• Крупное образование с толстой фиброзной капсулой
• Муцин-содержащая кистозная полость:
о Может быть заполнена густой слизистой/прозрачной/зеленой/с примесью крови жидкостью
• Не сообщается с протоком поджелудочной железы
• В полость опухоли могут пролабировать солидные папиллярные выросты
3. Микроскопия:
• Кисты выстланы цилиндрическим муцин-продуцирующим эпителием на стромальном каркасе овариального типа:
о Строма овариального типа отличает муцинозную кистозную опухоль от внутрипротоковой папиллярной муцинозной опухоли (intraductal papillary mucinous neoplasm-IPMN), источником которой является строма протоков
• По степени злокачественности эпителий варьирует от доброкачественного до карциномы:
о В одном новообразовании зоны доброкачественных клеток могут соседствовать с участками ткани инвазивной карциномы
о По этой причине результаты биопсии, выполненной с целью дифференцировки доброкачественной опухоли от злокачественной, недостоверны
д) Клинические особенности:
1. Проявления муцинозной кистозной опухоли поджелудочной железы:
• Наиболее частые жалобы/симптомы:
о Зачастую бессимптомна
о Может проявляться болями в эпигастрии, наличием пальпируемого образования или припухлости
2. Демография:
• Возраст:
о Средний возраст: 50 лет
о Возрастные рамки: 20-82 лет
• Пол:
о М:Ж=1:20
3. Эпидемиология:
о 10% кистозных опухолей поджелудочной железы о 1 % новообразований поджелудочной железы
4. Течение и прогноз:
• Неизбежно перерождается в цистаденокарциному
• При отсутствии инвазивной карциномы резекция приводит к излечению
• Риск рецидива 0%
• При инвазивной муцинозной кистозной опухоли пятилетняя выживаемость составляет 75%
5. Лечение муцинозной кистозной опухоли поджелудочной железы:
• Все опухоли этой группы считаются хирургической патологией:
о Обычно встречаются в группе более молодых пациентов, отказ от операции требует регулярного выполнения дорогостоящих лучевых исследований высокого разрешения влечение многих лет
о Кроме того, лучевая диагностика и биопсия не позволяют достоверно исключить наличие инвазивного компонента
о Даже при доброкачественных новообразованиях имеется риск их озлокачествления
• Опухоли о Возможно выполнение лапароскопического вмешательства
о Возможно выполнение резекций с сохранением паренхимы (например, средней панкреатэктомии) и дистальной панкреатэктомии с сохранением селезенки
• Наблюдение показано престарелым ослабленным неоперабельным пациентам
е) Диагностическая памятка:
1. Следует учесть:
• Необходимо дифференцировать от других кистозных новообразований поджелудочной железы
• В качестве дополнительных методов исследования выполняются эндоскопическое УЗИ и аспирация содержимого кисты
2. Советы по интерпретации изображений:
• Крупное округлое солитарное имеющее капсулу одно- или многокамерное кистозное объемное образование с контрастными стенкой и внутренними перегородками
ж) Список использованной литературы:
1. Khashab МА et al: Should we do EUS/FNA on patients with pancreatic cysts? The incremental diagnostic yield of EUS over CT/MRI for prediction of cystic neoplasms. Pancreas. 42(4):71 7-21, 2013
2. Sahani DV et al: Diagnosis and management of cystic pancreatic lesions. AJR Am J Roentgenol. 200(2):343-54, 2013
3. Dewhurst CE et al: Cystic tumors of the pancreas: imaging and management. Radiol Clin North Am. 50(3):467-86, 2012
4. Tanaka M et al: International consensus guidelines 2012 for the management of IPMN and MCN of the pancreas. Pancreatology. 12(3): 183-97, 2012
5. Sakorafas GH et al: Primary pancreatic cystic neoplasms revisited: part II. Mucinous cystic neoplasms. Surg Oncol. 20(2):e93-101, 2011
6. Reddy RP et al: Pancreatic mucinous cystic neoplasm defined by ovarian stroma: demographics, clinical features, and prevalence of cancer. Clin Gastroenterol Hepatol. 2(11):1026-31, 2004
КТ, МРТ, УЗИ признаки муцинозной кистозной опухоли поджелудочной железы
а) Терминология:
1. Синонимы:
• Муцинозная кистозная опухоль, муцинозная макрокистозная опухоль (или аденома), муцинозная цистаденома или цистаденокарцинома
2. Определение:
• Одно- или многокамерная опухоль поджелудочной железы, состоящая из крупных кист, содержащих муцин
• Муцинозная кистозная опухоль, как и внутрипротоковая папиллярная муцинозная опухоль (ВПМО), относится к группе муцинозных опухолей поджелудочной железы
1. Общая характеристика:
• Лучший диагностический критерий:
о Одно- или многокамерное инкапсулированное кистозное образование хвоста ПЖ с перегородками и толстой стенкой
• Локализация:
о Чаще всего - хвост поджелудочной железы
о Единичное образование (не мультифокальное, как ВПМО)
• Размер:
о 2-12 см в диаметре:
- Музинозная кистозная опухоль обычно больше в размерах, чем серозная цистаденома или ВПМО
о Размер опухоли является прогностическим фактором ее биологического характера:
- В последних сериях наблюдений образования размером • Морфология:
о Форма чаще всего округлая или вытянутая; в некоторых случаях кистозное новообразование может быть плохо структурированным или иметь неправильную форму
(Слева) На аксиальной КТ с контрастным усилением у женщины 38 лет определяется большое кистозное образование сложной структуры, с множественными перегородками и узлом в стенке, накапливающим контраст. Образование исходит из хвоста поджелудочной железы, обладает экзофитным ростом, распространяясь в каудальном направлении.
(Справа) На корональной КТ с контрастным усилением у этой же пациентки определяется объемное образование большого размера с множественными перегородками и узлом в стенке, накапливающим контраст. Было выполнено оперативное вмешательство, при исследовании резектата подтвердилась муцинозная кистозная опухоль высокой степени дисплазии. (Слева) На аксиальной КТ с контрастным усилением у женщины 34 лет визуализируется простая однокамерная киста в хвосте поджелудочной железы. Было выполнено оперативное вмешательство, подтвердилась муцинозная кистозная опухоль низкой степени дисплазии. Стенка не утолщена, узлы в стенке отсутствуют, что не позволяет заподозрить злокачественную опухоль.
(Справа) На аксиальной КТ с контрастным усилением визуализируется большое кистозное образование в теле поджелудочной железы, разделенное перегородками на крупные камеры. Обратите также внимание на периферическое обызвествление и мягкотканный узел в стенке. Эти изменения являются классическими признаками муцинозной кистозной опухоли. (Слева) На аксиальной КТ с контрастным усилением у женщины 61 года определяется кистозное образование в хвосте поджелудочной железы с грубыми обызвествлениями в стенке.
(Справа) На аксиальной Т2 взвешенной томограмме у этой же пациентки лучше видны перегородки внутри кисты, заполненной содержимым с сигналом высокой интенсивности. Была выполнена операция, подтвердилась муцинозная кистозная опухоль низкой степени дисплазии.
4. УЗИ признаки муцинозной кистозной опухоли поджелудочной железы:
• Серошкальное исследование:
о Многокамерное кистозное образование с эхогенными перегородками:
- Часто в сочетании с утолщением стенки, возможно, с наличием узлов
о Может также выглядеть как однокамерное анэхогенное образование
5. Рекомендации по визуализации:
• КТ с контрастным усилением или МРТ
(Слева) На аксиальной КТ с контрастным усилением у женщины 34 лет в хвосте поджелудочной железы визуализируется киста, выглядящая простой. Усложнения ее внутренней структуры не определяется.
(Справа) На аксиальной Т1 взвешенной томограмме у этой же пациентки в кисте определяются продукты распада крови с гиперинтенсивным сигналом, располагающиеся слоем внутри кисты. Тем не менее, кровоизлияние в муцинозную кистозную опухоль не является ее типичным признаком. (Слева) На корональной КТ с контрастным усилением (объемный рендеринг) в поджелудочной железе визуализируется кистозное образование с кальцинатами по периферии в виде «ободка». Кальцинаты наблюдаются только лишь в (приблизительно) 16% муцинозных кистозных опухолей.
(Справа) На аксиальной КТ с контрастным усилением в хвосте поджелудочной железы определяется большое кистозное образование сложной структуры с множественными перегородками внутри и солидными узлами в стенке. Сложная структура опухоли крайне подозрительна на злокачественное новообразование, которое и было подтверждено после оперативного лечения (была обнаружена муцинозная кистозная опухоль с очагами инвазивного рака). (Слева) На аксиальной Т2 взвешенной МР томограмме с жироподавлением в хвосте поджелудочной железы визуализируется крупное кистозное образование с многочисленными камерами, содержимое которых имеет сигнал высокой интенсивности.
(Справа) На аксиальной Т2 взвешенной МР томограмме у этого же пациента в образовании определяется дебрис (виден уровень «жидкость-жидкость»), который, скорее всего, обусловлен давним кровоизлиянием или представляет собой белок. Была выполнена резекция, при исследовании образца подтвердилась муцинозная кистозная опухоль с очагами инвазивного рака.
2. Серозная цистаденома поджелудочной железы:
• Кистозное образование с четкими бугристыми контурами, чаще всего возникающее в головке поджелудочной железы
• Типичная цистаденома: «микрокистозная» опухоль (в виде «губки») с множеством кист, разделенных тонкими перегородками, и центральным рубцом с обызвествлениями:
о Кальцинаты обнаруживаются чаще в серозных, чем в муцинозных опухолях ПЖ (38% и 16% соответственно)
• Макрокистозный, олигокистозный и унилокулярный варианты серозной цистаденомы сложно отличить от муцинозной кистозной опухоли:
о Утолщение стенки и наличие узлов нетипично для серозной цистаденомы
3. Внутрипротоковая папиллярная муцинозная опухоль (ВПМО) поджелудочной железы:
• Муцин-продуцирующая опухоль, подразделяющаяся на три типа в зависимости от риска злокачественности:
о ВПМО боковых ветвей протока поджелудочной железы (ППЖ): риск инвазивной злокачественной опухоли составляет 17%
о ВПМО главного протока поджелудочной железы (ГППЖ): риск злокачественности наивысший (58%)
о ВПМО сочетанного типа (боковых ветвей и главного протока поджелудочной железы (ГППЖ)): прогноз аналогичен таковому для ВПМО главного протока поджелудочной железы (ГППЖ)
• ВПМО боковых ветвей или комбинированного типа: киста, сообщающаяся с ППЖ, возможно, с узлами, перегородками и кальцинатами
4. Кистозная нейроэндокринная опухоль поджелудочной железы:
• Кистозные нейроэндокринные опухоли обычно не продуцируют инсулин и не связаны с каким-либо синдромом
• Не приводят к расширению протока поджелудочной железы (ППЖ) или атрофии железы:
о Признаком кистозных нейроэндокринных опухолей, позволяющим отличить их от внутрипротоковой папиллярной муцинозной опухоли или муцинозной кистозной опухоли, является периферическое контрастное усиление на КТ или МРТ
5. Эпителиальная (истинная) киста поджелудочной железы:
• Истинные кисты обычно являются множественными, имеют небольшой размер, не накапливают контраст, не приводят к расширению панкреатического протока
• Истинные кисты встречаются редко и в большинстве случаев обнаруживаются у пациентов с болезнью Гиппеля-Линдау и аутосомно-доминантной поликистозной болезнью почек
6. Лимфангиома (киста брыжейки):
• Киста, имеющая плотность воды, с практически неразличимой стенкой и тонкими перегородками внутри
• Может вплотную прилежать к поджелудочной железе, имитируя ее кистозное новообразование
7. Лимфоэпителиальная киста:
• Редкое доброкачественное кистозное образование, которое может вплотную прилежать к ПЖ и пролабировать в нее, имитируя кисту
• Киста хорошо отграничена от окружающих тканей, имеет плотность воды
• Может быть как одно-, так и многокамерной, с перегородками и включениями жировой плотности или без таковых
(Слева) На аксиальной КТ с контрастным усилением у женщины 33 лет в хвосте поджелудочной железы определяется кистозное образование с перегородками внутри. В стенке кисты визуализируется солитарный узел. Была выполнена резекция, при исследовании образца подтвердилась доброкачественная муцинозная кистозная опухоль без признаков аденокарциномы.
(Справа) На аксиальной КТ с контрастным усилением в теле поджелудочной железы визуализируется большое кистозное образование сложной структуры с мягкотканным компонентом внутри, накапливающими контраст.. Была выполнена биопсия кисты под контролем эндоскопической ультрасонографии, подтвердилась муцинозная аденокарцинома. (Слева) На аксиальной КТ с контрастным усилением, выполненной мужчине 50 лет с жалобами на боль в животе без четкой локализации, в области тела и хвоста поджелудочной железы визуализируется большое кистозное образование со сложной структурой. Обратите внимание на перегородку и крупные камеры внутри образования.
(Справа) Макропрепарат полученный у этого же пациента: объемное образование с толстыми перегородками, заполненное муцинозной жидкостью. При гистологическом исследовании обнаружилась клеточная атипия и образование было расценено как опухоль низкой степени злокачественности. (Слева) На аксиальной КТ с контрастным усилением в хвосте поджелудочной железы определяется кистозная муцинозная опухоль с очаговыми обызвествлениями, состоящая из небольшого количества крупных камер, разделенных перегородками.
(Справа) На корональной МРХПГ в хвосте поджелудочной железы определяется кистозная муцинозная опухоль разделенная перегородками на несколько камер. Панкреатический проток смещен, но в остальном выглядит нормальным.
1. Общая характеристика:
• Клинические проявления и патогистологические признаки идентичны таковым для опухолей билиарной системы, яичников, а также внутрипротоковой папиллярной муцинозной опухоли:
о Классификация ВОЗ акцентирует внимание на наличие стромы овариального типа, выстилающей кисту, как ключевой диагностический признак муцинозной папиллярной опухоли
2. Макроскопические и хирургические особенности:
• Объемное образование большого размера с толстой фиброзной капсулой
• Имеет округлую форму, ровные (изредка бугристые) края
• На срезе видны большие многокамерные/однокамерные кисты:
о Отдельные кисты могут иметь размер больше двух сантиметров, перегородки между ними тоньше двух миллиметров
• Полость кисты может быть заполнена вязким содержимым слизистого характера и прозрачной или кровянистой жидкостью
• Солидные участки, выбухающие внутрь опухоли, являются признаком инвазивного злокачественного новообразования
1. Проявления муцинозной кистозной опухоли поджелудочной железы:
• Наиболее частые признаки/симптомы:
о В большинстве случаев муцинозные кистозные опухоли протекают бессимптомно и обнаруживаются случайно
о Могут проявляться болью в эпигастрии, рецидивирующим панкреатитом (10%), наличием пальпируемого объемного образования (12%), или признаками объемного воздействия на расположенные поблизости структуры (обструкция кишечника, обструкция выходного отдела желудка, желтуха)
о Редко проявляются местной инвазией и отдаленным метастазированием
о Очень редко приводят к системным проявлениям, обусловленным продукцией опухолью гастрина или иных гормонов
• Лабораторные данные:
о ↑ уровня РЭА в сыворотке крови и в содержимом кисты о ↑ уровня СА 19-9 (в 80% случаев) и СА 72-4 в содержимом кисты
о Низкий уровень амилазы
• Инвазивный рак и неизмененный эпителий могут наблюдаться в одной и той же опухоли, что делает биопсию ненадежной; отрицательный результат не исключает наличие злокачественного новообразования
• Диагноз устанавливается на основании предоперационных данных КТ и МРТ, эндоскопического УЗИ и цитологического исследования содержимого кисты, полученного путем аспирации, а также определения уровня онкомаркеров в нем; результатов послеоперационного гистологического исследования
2. Демография:
• Возраст:
о Средний возраст: 50 лет (варьирует в пределах 20-95 лет)
- В 50% случаев опухоль возникает между 40 и 60 годами
• Пол:
о М:Ж=1:99
о Т.к. кистозная муцинозная опухоль обнаруживается преимущественно у женщин среднего возраста, ее называют «опухолью матерей»
• Эпидемиология:
о Встречается не так часто по сравнению с ВПМО и серозной цистаденомой
о Обнаруживается в 25% всех удаленных кист поджелудочной железы
3. Течение и прогноз:
• Рассматривается как предзлокачественное состояние или явная злокачественная опухоль:
о Изменения могут варьировать от аденомы до инвазивного рака, в зависимости от степени выраженности атипии
о Злокачественные муцинозные кистозные опухоли содержат клетки высокой степени дисплазии или очаги инвазивного рака
о Даже доброкачественные кистозные муцинозные опухоли могут злокачественно перерождаться и рассматриваются как предзлокачественное состояние
• Общая пятилетняя выживаемость пациентов с доброкачественными муцинозными кистозными опухолями составляет 98%, и 62% в случае дисплазии высокой степени выраженности или инвазивного рака
• Важнейшие факторы риска инвазивной злокачественной опухоли:
о Пожилой возраст, большой размер опухоли, наличие узлов в стенке, утолщение стенки, периферические обызвествления, наличие симптоматики (боль, признаки панкреатита и т.д.), ↑ уровня ракового эмбрионального антигена и СА 19-9
• Прогноз при полном удалении доброкачественной муцинозной кистозной опухоли благоприятный, риск рецидива очень низкий
• Прогноз при неполной резекции, марсупиализации или дренировании неблагоприятный
4. Лечение:
• Традиционно все муцинозные кистозные опухоли полностью удаляются хирургическим путем (обычно выполняется дистальная резекция поджелудочной железы (ПЖ) и спленэктомия):
о У пациентов, которым противопоказана операция, возможна выжидательная тактика (серия контрольных лучевых исследований через короткий промежуток времени)
• После полного удаления доброкачественной кистозной муцинозной опухоли не требуется дальнейшего лечения или наблюдения
е) Диагностическая памятка. Следует учесть:
• Дифференциальная диагностика муцинозной кистозной опухоли и других кистозных новообразований поджелудочной железы может быть невозможна на основании только лишь КТ или МРТ
ж) Список использованной литературы:
1. Park JW et al: Mucinous cystic neoplasm of the pancreas: is surgical resection recommended for all surgically fit patients? Pancreatology. 14(2): 131-6, 2014
Киста поджелудочной железы - симптомы и лечение
Что такое киста поджелудочной железы? Причины возникновения, диагностику и методы лечения разберем в статье доктора Лядова Владимира Константиновича, хирурга со стажем в 15 лет.
Над статьей доктора Лядова Владимира Константиновича работали литературный редактор Юлия Липовская , научный редактор Елена Максимова и шеф-редактор Маргарита Тихонова
Определение болезни. Причины заболевания
Киста поджелудочной железы (pancreatic cyst) — это ограниченное скопление жидкости или содержащее жидкость образование в поджелудочной железе.

Часто они развиваются бессимптомно, поэтому выявляются обычно случайно, когда человек обследуется по поводу других патологий. Это стало возможным благодаря бурному развитию диагностических методик (УЗИ, КТ и МРТ) и повышению их доступности. По статистике, при выполнении КТ или МРТ органов брюшной полости кисты в поджелудочной железе могут обнаружиться у 3–14 % обследованных [1] .
Киста поджелудочной железы — это собирательное понятие, которое объединяет совершенно разные заболевания:
- кистозные образования поджелудочной железы воспалительной природы;
- кисты поджелудочной железы неопухолевой природы;
- кистозные опухоли (или неоплазии) поджелудочной железы.
Иногда кисты поджелудочной железы являются просто особенностью развития человека и не требуют лечения или специального интенсивного наблюдения, но, чтобы это подтвердить или опровергнуть, обычно требуется квалифицированное обследование.
Также нужно знать, что некоторые кисты поджелудочной железы могут стать злокачественными, поэтому при их обнаружении важно обратиться к грамотным специалистам, которые смогут понять, нужна ли операция или достаточно индивидуальной программы наблюдения. Чаще операция не требуется.
Причины развития кист поджелудочной железы
Основные причины — острый панкреатит (воспаление поджелудочной железы), опухолевые изменения в протоковой системе или самой ткани железы, а также врождённые факторы, например передающаяся по наследству болезнь Гиппеля — Линдау. При этом заболевании в достаточно молодом возрасте образуются опухоли почек, головного мозга и надпочечников. В 35–70 % случаев развиваются кисты поджелудочной железы. Болезнь встречается у одного из 36 тысяч человек [3] .
При обнаружении схожих симптомов проконсультируйтесь у врача. Не занимайтесь самолечением - это опасно для вашего здоровья!
Симптомы кисты поджелудочной железы
Часто киста поджелудочной железы не вызывает никаких симптомов. Жалобы, связанные с кистозным образованием в этом органе, встречаются примерно у каждого пятого пациента или даже реже [2] . Например, при крупной кисте в поджелудочной железе может возникать тяжесть или боль в верхних отделах живота.
В редких случаях пациенты сами могут заметить плотное, обычно почти безболезненное выпячивание в левом подреберье или по средней линии живота выше пупка. Иногда в этой области может возникать боль. Если появились такие симптомы, стоит обратиться к врачу.
Патогенез кисты поджелудочной железы
Поджелудочная железа — крупный орган, расположенный позади желудка. Справа от неё находится двенадцатиперстная кишка, слева — селезёнка.

Механизм развития кист различается в зависимости от вида:
- Кистозные образования поджелудочной железы воспалительной природы развиваются п ри остром панкреатите, когда в ткани или рядом с поджелудочной железой скапливается жидкость.
- Кисты поджелудочной железы неопухолевой природы могут быть связаны с генетическими заболеваниями, которые передаются по наследству или возникают из-за случайных мутаций генов. Например, киста может образоваться, если есть мутация в гене VHL, который подавляет бесконтрольное деление клеток [3] .
- Кистозные опухоли появляются, когда протоки поджелудочной железы закупориваются и расширяются из-за появления в стенке протоков клеток, производящих слизь (муцин).
У поджелудочной железы две основные функции: выработка богатого ферментами сока, который необходим для пищеварения, и производство ряда гормонов. Сок поджелудочной железы по системе протоков попадает в двенадцатиперстную кишку, где помогает переварить пищу. Если киста блокирует отток сока, её главный проток расширяется и может развиться острый панкреатит.

Основными гормонами поджелудочной железы являются инсулин и глюкагон. Они поддерживают уровень глюкозы (сахара) в крови. Поэтому ранним симптомом некоторых опухолевых заболеваний поджелудочной железы является сахарный диабет (повышение уровня сахара в крови), однако при кистах железы такое случается очень редко.
Классификация и стадии развития кисты поджелудочной железы
I. Кистозные образования поджелудочной железы воспалительной природы. Они возникают после перенесённого острого панкреатита. Чаще всего в мировой практике используется модифицированная в 2012 году Атлантская классификация острого панкреатита [4] . В этой классификации выделено 4 типа кистозных образований:
- Скопление жидкости без некроза (омертвения) тканей поджелудочной железы:
- Острое перипанкреатическое жидкостное скопление — появляется в ткани поджелудочной железы и жировой клетчатке вокруг неё в первые 4 недели от начала заболевания. Оно не ограниченно капсулой и часто самостоятельно рассасывается.
- «Ложная», или псевдокиста, — появляется позднее 4 недель, когда у жидкостного скопления образуется видимая на момент диагностики капсула.
- Скопление жидкости, связанное с некрозом тканей поджелудочной железы:
- Острое некротическое скопление — появляется в первые 4 недели от начала заболевания. Такое образование не ограничено капсулой и содержит омертвевшие участки ткани поджелудочной железы и жировой клетчатки вокруг неё.
- Отграниченный некроз — появляется позднее 4 недель. Скопление жидкости ограничено капсулой.
II. Кисты поджелудочной железы неопухолевой природы. Включают так называемые «истинные» кисты»: лимфоэпителиальные и ретенционные. «Истинная» киста представляют собой пузырёк с жидкостью, который окружён клетками эпителия. В норме эпителий выстилает слизистые оболочки, в том числе оболочку протоков поджелудочной железы. У «ложных» кист и кистозных опухолей нет такой эпителиальной выстилки.
III. Кистозные опухоли поджелудочной железы (или неоплазии). Это наиболее важная с точки зрения онкологии группа, так как некоторые такие опухоли могут стать злокачественными. В этой группе выделяют серозные цистаденомы, муцинозные кистозные неоплазии, внутрипротоковые папиллярно-муцинозные опухоли (ВПМО), солидные псевдопапиллярные опухоли и кистозные нейроэндокринные опухоли [5] .
Классификация внутрипротоковых папиллярно-муцинозных опухолей:
- ВПМО главного панкреатического протока. Такие образования обычно удаляются, так как у них высокий риск стать злокачественными.
- ВПМО боковых ветвей главного панкреатического протока. Это самая распространённая форма кист поджелудочной железы, нередко является множественной и у большинства пациентов не приводит к развитию рака.
- Смешанный тип [6] .

Осложнения кисты поджелудочной железы
Острый панкреатит. Может развиться, если киста блокирует отток поджелудочного сока в двенадцатиперстную кишку. Состояние сопровождается интенсивной, опоясывающей болью в верхних отделах живота, появлением тошноты и рвоты и повышением в крови уровня пищеварительных ферментов (амилазы, липазы и др.).
Механическая желтуха. Возникает, если образование в правых отделах (головке) поджелудочной железы сдавливает желчный проток. В этом случае желчь всасывается в кровь и начинает выделяться с мочой. Поэтому у пациента с механической желтухой моча тёмно-коричневого цвета, обесцвеченный кал (вплоть до белой окраски), желтушные белки глаз и кожа.
![Желтуха [13]](/pimg3/metodi-obsledovaniya-mutsinoznoy-45E9823.jpeg)
Рак поджелудочной железы. Это наиболее тяжёлое осложнение кистозных опухолей поджелудочной железы. Процесс связан с накоплением мутаций в эпителии кист. Чаще всего это наблюдается в муцинозных (продуцирующих слизь) опухолях: ВПМО и муцинозных кистозных опухолях.
Клетки с признаками выраженных предраковых изменений выявляются в 38–68 % удалённых ВПМО главного панкреатического протока. При муцинозных кистозных опухолях частота озлокачествления ниже и составляет, по последним данным, около 10 %. Этот показатель возрастает по мере увеличения размеров таких образований [7] [8] .
Диагностика кисты поджелудочной железы
У большинства пациентов кисты поджелудочной железы выявляются случайно, поэтому осмотр и сбор жалоб не имеют большого значения.
Сбор анамнеза
При изучении истории болезни врач может уточнить:
- Болел ли пациент недавно острым панкреатитом. Если да, то, скорее всего, киста связана с воспалением. Однако иногда сама по себе киста поджелудочной железы может привести к развитию панкреатита. Особенно важно помнить об этом в тех ситуациях, когда панкреатит развился не на фоне употребления алкоголя или желчнокаменной болезни.
- Есть ли у кого-либо из родственников опухоли и кисты почек, головного мозга или надпочечников. Если да, врач заподозрит болезнь Гиппеля — Линдау и порекомендует проконсультироваться с медицинским генетиком.
Инструментальная диагностика
Основой диагностики кист поджелудочной железы являются инструментальные методы обследования.
УЗИ или КТ с внутривенным контрастированием. Позволяют обнаружить образования в поджелудочной железе. Однако точность этих методов обычно недостаточна, чтобы установить природу кисты и, соответственно, определить тактику лечения.
МРТ. Наиболее важный метод при кистах поджелудочной железы, так как с его помощью можно установить, связана ли киста с протоковой системой железы. Также МРТ с внутривенным контрастированием помогает выявить утолщения стенки кист, а это важнейший признак развития предраковых изменений. Использование так называемого режима DWI (диффузионно-взвешенные изображения) позволяют врачу судить о вероятности развития злокачественной опухоли на фоне кисты. Кроме этого, МРТ не сопровождается лучевой нагрузкой, не требует специальной подготовки и является нетравматичным, безопасным методом. Это особенно важно, поскольку большинству пациентов после выявления кисты нужно наблюдаться не менее нескольких лет [9] .
Эндосонография, или эндоУЗИ. В последние годы приобретает всё большее значение. Суть методики в том, что врач исследует поджелудочную железу через стенку желудка с помощью эндоскопа с закреплённым на конце ультразвуковым датчиком. Это позволяет изучить все детали новообразования или кисты с максимально возможным разрешением (около 1 мм). Исследование проводится строго натощак.

Огромным преимуществом эндоУЗИ является возможность провести биопсию. Специальная игла проводится через канал эндоскопа и позволяет взять на анализ содержимое кисты, а также ткань из стенки образования для микроскопического исследования.
Поскольку прибор имеет довольно большой диаметр, а само исследование обычно длится около часа, оно проводится под внутривенным наркозом и часто требует госпитализации в стационар. В нашей стране эндоУЗИ не применяется широко из-за дефицита самих приборов и высокой стоимости игл для биопсии под контролем эндоУЗИ [10] .
Лабораторная диагностика
Микроскопическое исследование содержимого кисты на амилазу, опухолевые маркеры CEA и СA19-9, а также муцин. Позволяет точно определить природу кисты и вероятность её злокачественной трансформации. Если в полученной жидкости повышен уровень амилазы (фермента поджелудочной железы), то можно говорить о «ложной» кисте и планировать соответствующее лечение.
Тест на мутацию в гене VHL. Выполняется при подозрении на синдром Гиппеля — Линдау. Анализ позволяет подтвердить или опровергнуть диагноз. На основании результатов врач выберет схему наблюдения не только для самого пациента, но и его ближайших родственников.
Дифференциальная диагностика
Особенности некоторых типов кистозных опухолей, которые позволяют различить их между собой:
- Серозные цистаденомы имеют характерные признаки на КТ- или МРТ-изображениях: множественные перегородки (вид «губки» или «пчелиных сот»), центральный рубец с кальцинатами. Такие образования не склонны к озлокачествлению.
- Муцинозные кистозные неоплазии чаще представлены единичной полостью.
- Особенностью ВПМО является связь с протоковой системой поджелудочной железы.
Дифференциальная диагностика этих и более редких образований часто требует провести биопсию под контролем эндоУЗИ.
Киста поджелудочной железы может быть похожа по некоторым признакам на другие образования:
- некоторые варианты протокового или нейроэндокринного рака поджелудочной железы — они могут иметь полость внутри опухоли, напоминающую кисту поджелудочной железы;
- образования рядом расположенных органов: двенадцатиперстной и тощей кишки, почки и надпочечника.
В большинстве случаев применение МРТ и/или эндоУЗИ позволяет отличить эти образования от кист поджелудочной железы.
Лечение кисты поджелудочной железы
Тактика лечения кист поджелудочной железы полностью определяется их природой.
«Ложные» кисты
«Ложные» кисты могут рассасываться самостоятельно. Лечение обычно проводится, если киста крупная и вызывает симптомы. Обычно эффективным является дренирование кисты в просвет желудка. Процедура проводится с помощью эндоУЗИ в специализированных учреждениях. Некоторым пациентам требуется операция, при которой формируется шов между стенками кисты и участком тонкой кишки, чтобы содержимое кисты оттекало в кишечник.
Кисты поджелудочной железы неопухолевой природы
Такие кисты, в том числе при наследственных генетических синдромах, обычно не требуют специального лечения.
Кистозные опухоли поджелудочной железы
Наиболее сложной является тактика ведения пациента при кистозных опухолях поджелудочной железы:
- При серозных цистаденомах вероятность злокачественной трансформации очень низкая, поэтому они редко требуют операции.
- ВПМО боковых ветвей главного панкреатического протока нужно оперировать, если есть факторы риска:
- появление в стенке узелков размером > 5 мм, которые накапливают контрастный препарат;
- быстрое увеличении образования: на несколько миллиметров в течение 6–12 месяцев;
- большой размер (> 4 см).
- ВПМО главного панкреатического протока и смешанного типа являются показанием к удалению, как и солидные псевдопапиллярные опухоли.
- Муцинозные кистозные неоплазии< 3 см очень редко становятся злокачественными, поэтому, если они не растут в течение нескольких лет, некоторые руководства рекомендуют не проводить хирургическое лечение, хотя этот вопрос ещё обсуждается. Тактика в таких случаях определяется индивидуально с учётом предпочтений пациента. То же самое касается кистозных нейроэндокринных опухолей небольшого размера [11] .
Методы лечения
Лекарственное лечение (химиотерапия) применяется только в том случае, когда при исследовании опухоли после операции выясняется, что она была злокачественной.
Хирургическое лечение является единственным способом лечения кист поджелудочной железы, однако такие операции часто приводят к развитию осложнений или даже летальному исходу. Именно поэтому в мире разработаны детальные показания к операциям при кистах поджелудочной железы, основанные на риске их злокачественного перерождения.
Наиболее опасной операцией является панкреато-дуоденальная резекция — удаление правой половины поджелудочной железы (её головки) и двенадцатиперстной кишки. У этих структур единое кровоснабжение, поэтому они удаляются вместе. Такая операция должна выполняться только в специализированных центрах и отделениях, где вероятность смерти пациента на фоне потенциальных осложнений не превышает 5 %. Те или иные осложнения развиваются примерно у половины перенёсших эту операцию пациентов.

Операции на левой половине поджелудочной железы очень редко приводят к летальному исходу. Однако они часто сопровождаются осложнениями: сок поджелудочной железы разъедает окружающие ткани, что приводит к воспалению и формированию свища. Поэтому у таких пациентов в течение нескольких недель сохраняется трубка, по которой сок поджелудочной железы оттекает из брюшной полости [12] .
Важно помнить, что, несмотря на возможные осложнения, эти операции необходимы из-за крайне неблагоприятного прогноза рака поджелудочной железы. Правильно определить показания и выполнить такое вмешательство может лишь хирург-онколог, постоянно сталкивающийся в своей практике с подобными образованиями.
Реабилитация после таких операций может быть достаточно длительной и обычно занимает от нескольких недель до нескольких месяцев.
Прогноз. Профилактика
Прогноз при кистах поджелудочной железы определяется их видом. Кисты после панкреатита и образования неопухолевой природы обычно не оказывают влияния на продолжительность жизни пациентов.
При кистозных опухолях прогноз зависит от того, успела ли образоваться злокачественная опухоль. Рак поджелудочной железы плохо поддаётся лечению: даже при I–II стадии полное излечение возможно не более, чем у 20 – 30 % пациентов после обширной операции и комплексного химиотерапевтического лечения. Поэтому удаление кистозных опухолей поджелудочной железы является профилактикой неблагоприятного течения болезни.
Важно при этом помнить, что у большинства кист и кистозных опухолей очень низкий риск стать злокачественными, в то время как риски операции довольно существенны. Поэтому решение об операции должна принимать целая команда специалистов, среди которых должен быть врач лучевой диагностики, эндоскопист, хирург и онколог [1] [2] [11] .
Профилактика кист поджелудочной железы
Все меры по профилактике развития острого панкреатита (отказ от злоупотребления алкоголем, чрезмерного количества жирной пищи и т. п.) снижают и вероятность образования «ложных» кист поджелудочной железы.
Рак поджелудочной железы - симптомы и лечение
Что такое рак поджелудочной железы? Причины возникновения, диагностику и методы лечения разберем в статье доктора Кучина Дениса Михайловича, хирурга со стажем в 15 лет.
Над статьей доктора Кучина Дениса Михайловича работали литературный редактор Елена Бережная , научный редактор Сергей Федосов
Рак поджелудочной железы — это злокачественная опухоль, развивающаяся из измененных клеток поджелудочной железы.
Заболеваемость раком поджелудочной железы
Рак поджелудочной железы находится на шестом месте среди остальных злокачественных образований по частоте возникновения. [1] С 1987 г. уровень заболеваемости раком поджелудочной железы в нашей стране вырос на 30 %, заболеваемость среди женщин составляет 7,6, среди мужчин — 9,5 на 100 тыс. чел. [2] Специалисты отмечают, что распространенность заболевания во всём мире будет расти. [3] Согласно прогнозам, число больных раком поджелудочной железы в 2020 году по сравнению с показателями последних двадацати лет будет выше на 32 % в развитых странах, а в развивающихся — на 83%, достигнув 168453 и 162401 случаев соответственно. [4] В 75 % случаев заболевание поражает головку поджелудочной железы.
Анатомия и физиология поджелудочной железы:

Факторы риска
Основными факторами риска развития рака поджелудочной железы считается:
- табакокурение (у 1-2 % курильщиков развивается рак поджелудочной железы);
- сахарный диабет (риск развития заболевания у диабетиков выше на 60 %);
- хронический панкреатит (рак поджелудочной железы развивается в 20 раз чаще);
- возраст (риск развития рака поджелудочной железы увеличивается с возрастом. Более 80 % случаев заболевания развивается в возрасте от 60 до 80 лет);
- расовая принадлежность (исследования в США показали, что рак поджелудочной железы чаще встречается у афроамериканцев, чем у белых. Возможно, это частично объясняется социально-экономическими причинами и курением сигарет);
- пол (заболевание чаще встречается у мужчин, чем у женщин);
- ожирение (значительно увеличивает риск развития рака поджелудочной железы: 8% случаев связано именно с ним);
- диета (диеты с обилием мяса, высоким содержанием холестерина, жареной пищи способны увеличить риск развития заболевания);
- генетика (ряд унаследованных онкологических синдромов увеличивает риск развития заболевания, например, рак молочной железы, семейный атипичный синдром множественной меланомы, наследственный синдром колоректального рака).
Симптомы рака поджелудочной железы
Ранние симптомы
Зачастую на начальных стадиях признаки рака поджелудочной железы не выражены, и заподозрить его наличие позволяют субъективные ощущения.
Первыми симптомами рака поджелудочной железы могут быть:
- тяжесть или дискомфорт в верхних отделах живота;
- появление признаков сахарного диабета (жажда, повышение уровня сахара в крови и т. д.);
- частый, жидкий стул.
К первым симптомам рака поджелудочной также относят потерю аппетита и быструю утомляемость.
Поздние симптомы
При прогрессировании заболевания могут появиться другие симптомы рака поджелудочной железы:
- боли при раке поджелудочной железы возникают в верхних отделах живота с иррадиацией в спину;
- желтушность кожных покровов и белков глаз (обусловленная нарушенным оттоком желчи из печени в кишечник);
- тошнота и рвота (в результате сдавливания опухолью двенадцатиперстной кишки);
- интоксикация — рак поджелудочной железы может также препятствовать выработке пищеварительных ферментов в поджелудочной железе и нарушать расщепление пищи, что вызывает вздутие живота, газы и зловонную диарею.
- потеря массы тела.
Однако все эти симптомы рака поджелудочной железы неспецифические, и при их появлении необходимо проведение комплекса диагностических процедур. [5]
Классификация и стадии развития рака поджелудочной железы
В зависимости от локализации опухоли:
- рак головки поджелудочной железы;
- рак перешейка поджелудочной железы;
- рак тела поджелудочной железы;
- рак хвоста поджелудочной железы.
Также выделяют тотальное поражение поджелудочной железы.
В зависимости от гистологической формы заболевания (определяется по результатам гистологического исследования опухоли):
- протоковая аденокарцинома (встречается в 80-90 % случаев);
- нейроэндокринные опухоли (инсулинома, гастринома, глюкагонома и т.д.);
- кистозные злокачественные опухоли (муцинозная, серозная);
- другие редкие гистологические формы.

Степени рака поджелудочной железы
Описание развития онкологии по системе TNM:
Т (tumor — опухоль) — размер опухоли; N (nodus — узел) — состояние лимфатических узлов; М (metastasis — метастазы) — наличие метастазов [6] .
Рак поджелудочной железы с метастазами в другие органы:

Метастазы в поджелудочной железе
Примерно 2 % случаев рака поджелудочной железы — это метастазы из других органов. Наиболее распространённые первичные очаги рака, приводящие к появлению метастазов в поджелудочной железе:
Осложнения рака поджелудочной железы
Если образование располагается в теле или хвосте поджелудочной железы, то развитие осложнений зачастую происходит при 4-ой стадии заболевания, и связаны они прежде всего с раковой интоксикацией.
При расположении опухоли в головке поджелудочной железы могут развиться следующие осложнения:
Проявления: пожелтение белков глаз, кожных покровов, потемнение мочи, кал становится светлым. Первым признаком развивающейся механической желтухи может быть кожный зуд. Развитие этого осложнения связано с прорастанием опухоли в протоки, обеспечивающие доставку желчи из печени в двенадцатитиперстную кишку. Чаще всего, прежде чем приступить к радикальному оперативному лечению, необходимо купировать признаки желтухи (наиболее приемлемой методикой является миниинвазивное дренирование желчных протоков под ультразвуковым сканированием).
Проявления: тошнота, рвота, чувство тяжести и переполнения желудка. Развивается это осложнение в связи с тем, что опухоль из головки поджелудочной железы распространяется в двенадцатитиперстную кишку, в результате чего перекрывается просвет кишки, и пища не может выйти из желудка в нижележащие отделы тонкой кишки.
Проявляется рвотой темного цвета («кофейная гуща») или появлением кала черного цвета. Это связанно с распадом опухоли, и, как следствие, возникновением кровотечения.
Рак поджелудочной железы повышает свёртываемость крови, что может привести к венозной и артериальной тромбоэмболии [9] .
Диагностика рака поджелудочной железы
Основные инструментальные методы диагностики:
- УЗИ органов брюшной полости (в том числе эндоскопическое);
- рентгеновская компьютерная томография (РКТ);
- МРТ;
- эзофагогастродуоденоскопия (ЭГДС).
Диагностика с помощью анализа крови и ультразвукового резонансного метода
Современные ультразвуковые аппараты позволяют уточнить локализацию опухоли, ее размеры и взаимоотношение с крупными сосудами брюшной полости. Однако, более точное расположение опухоли, наличие отдаленных метастазов, вовлечение в опухолевый процесс сосудов брюшной полости позволяет оценить компьютерная томография органов брюшной полости с внутривенным контрастированием.
Практическое значение имеют определения онкологических маркеров сыворотки крови: СА 19.9 и РЭА (раково-эмбриональный антиген), повышение которых может косвенно говорить о наличии раковой опухоли у пациента. К сожалению, эти анализы не специфичны, и показатели могут быть повышены и при других заболеваниях, таких как рак толстой кишки, желудка и др.
Магнитно-резонансная томография
Вместо компьютерной томографии возможно проведение магнитно-резонансной томографии, но обязательным условием является применение внутривенного контрастирования.
Позитронно-эмиссионная томография
Существуют более дорогие диагностические методики, например, позитронно-эмиссионная томография, но выполнение её как первого метода исследования нецелесообразно в связи с высокой стоимостью.
Пункционная биопсия опухоли
При необходимости врач может рекомендовать выполнение пункционной биопсии опухоли. Это может быть необходимо для определения гистологического типа опухоли и подбора индивидуального лечения.
Лечение рака поджелудочной железы
Лечение рака поджелудочной железы предполагает применение хирургических и химиотерапевтических методов.
Особенности лечения на разных стадиях
Когда нужна операция при раке поджелудочной железы — зависит от гистологической формы заболевания и её стадии.
При аденокарциноме поджелудочной железы радикальное оперативное лечение (полное удаление опухоли) возможной только при I и II стадиях, затем выполняют курсы химиотерапии. При III стадии заболевания сначала проводят химиотерапию, а затем при наличии положительной динамики выполняют радикальное оперативное лечение. При IV стадии проводят только курсы химиотерапии, а оперативное лечение направленно на устранение осложнений заболевания.
При нейроэндокринных опухолях поджелудочной железы выполнять оперативное лечение возможно при любой стадии заболевания, с дальнейшим проведением курсов химиотерапии. Объем операции при данных опухолях определяется индивидуально и зависит от распространенности заболевания и опыта операционной бригады.
При других гистологических формах рака поджелудочной железы тактика идентична тактике лечения при аденокарциноме.
Хирургическое лечение
Операция Уиппла при раке поджелудочной железы (панкреатодуоденэктомия). Если опухоль локализуется в головке поджелудочной железы, то выполняют гастропанкреатодуоденальную резекцию (операция Уиппла), во время которой удаляют головку поджелудочной железы, 12-ти перстную кишку, часть желудка, проксимальный отдел тонкого кишечника, желчный пузырь, желчные протоки. Впоследствии выполняют соустья между оставшейся частью поджелудочной железы и пищеварительным трактом, желчными протоками и кишечником, желудком и кишечником.
Дистальная панкреатэктомия. При локализации опухоли в теле поджелудочной железы выполняют дистальную резекцию поджелудочной железы или изолированную резекцию тела поджелудочной железы, с формированием соустья между хвостом поджелудочной железы и желудочно-кишечным трактом.
Если злокачественное образование располагается в хвосте поджелудочной железы, выполняют удаление хвоста железы с удалением или сохранением селезенки.
Тотальная панкреатэктомия. При тотальном поражении поджелудочной железы единственным возможным оперативным вмешательством является полное удаление железы. В последнее время в связи с наличием хорошей заместительной терапии (инсулинотерапия и коррекция ферментативной недостаточности) данная операция целесообразна лишь в некоторых случаях.
Нано-нож в лечении рака поджелудочной железы. Эффективность применения нано-ножа для лечения рака поджелудочной железы в настоящий момент не доказана.
Все операции на поджелудочной железе связаны с большим количеством осложнений. Единственным фактором, который достоверно может снизить частоту осложнений, является опыт хирурга, выполняющего это оперативное лечение. Было доказано, что при выполнении более 20 гастропанкреатодуоденальных резекций в год частота летальных исходов составляет менее 2%, если же выполняется 5-15 таких операций, летальность составляет 15-20%.
Таким образом, единственным радикальным методом лечения рака поджелудочной железы является оперативное лечение с последующими курсами химиотерапии. [7]
Лучевая терапия при раке поджелудочной железы
При III стадии заболевания, отсутствии эффекта от химиотерапевтического лечения и невозможности оперативного вмешательства показано проведение стереотаксической лучевой терапии.
Стереотаксическая лучевая терапия (СЛТ) — современный метод радиотерапии, при котором в область мишени подводятся высокие дозы ионизирующего излучения за небольшое количество фракций.

Лечение злокачественных опухолей поджелудочной железы с метастазами в печень
При нейроэндокринных опухолях поджелудочной железы оперативное лечение можно выполнять даже при наличии метастатических очагов. При других гистологических формах рака поджелудочной железы с метастатическим поражением печени показано только химиотерапевтическое лечение.
Обезболивание при раке поджелудочной железы
Приём обезболивающих препаратов при раке поджелудочной железы необходим только при появлении болевого синдрома. Сначала пациенту назначают ненаркотические анальгетики, при их неэффективности — наркотические препараты.
Питание при раке поджелудочной железы
Специальной диеты при раке поджелудочной железы не существует. Диету необходимо соблюдать после операции на поджелудочной железе (Стол № 5А или стол № 9, если у пациента есть сахарный диабет).
Прогноз по сроку жизни
Прогноз при раке головки поджелудочной железы зависит от гистологической формы заболевания:
- При аденокарциноме поджелудочной железы после радикального оперативного лечения и проведения курсов системной химиотерапии более 5 лет живут 20-40 % пациентов. К сожалению, эта самая частая и самая агрессивная опухоль поджелудочной железы с высокой вероятностью рецидива и склонная к раннему метастазированию.
- При нейроэндокринных опухолях прогнозы гораздо лучше, даже при IV стадии заболевания. До 60-70 % пациентов живут более 5 лет даже при отсутствии радикального оперативного лечения. Многие такие опухоли растут очень медленно, и на фоне правильно подобранного лечения может наступить полное выздоровление. [8]
Вероятность рецидива
Рецидивы в течение года после операции происходят в 50–60 % случаев при аденокарциноме поджелудочной железы и в 14 % — при нейроэндокринных опухолях [11] [12] .
Можно ли предотвратить рак поджелудочной железы
Профилактикой заболевания является ведение здорового образа жизни: отказ от табакокурения как фактора риска, исключение алкоголя, который является основным фактором возникновения хронического панкреатита. Ведение активного образа жизни и правильное питание снижают риск развития сахарного диабета и тем самым — риск возникновения рака поджелудочной железы.
Читайте также:
