Перелом костей таза
Добавил пользователь Евгений Кузнецов Обновлено: 02.11.2025
ФГБОУ ВПО «Российский университет дружбы народов», Москва, РФ;
ФГБУ «Национальный медицинский исследовательский центр травматологии и ортопедии им. Н.Н. Приорова» Минздрава России, Москва, РФ
Алтайский филиал ФГБНУ РОНЦ им. Н.Н. Блохина, Барнаул, Россия;
КГБУЗ «Алтайский краевой онкологический диспансер», Барнаул, Россия
ФГБОУ ВПО «Российский университет дружбы народов», Москва, РФ
ФГБОУ ВПО «Российский университет дружбы народов», Москва, Россия;
ГБУЗ «Городская клиническая больница им. А.К. Ерамишанцева» Департамента здравоохранения Москвы, Москва, Россия
ФГБОУ ВПО «Российский университет дружбы народов», Москва, Россия;
ГБУЗ «Городская клиническая больница им. А.К. Ерамишанцева» Департамента здравоохранения Москвы, Москва, Россия
ФГБОУ ВПО «Российский университет дружбы народов», Москва, РФ
Клинический опыт лечения переломов костей таза на фоне остеопороза
Журнал: Вестник травматологии и ортопедии им Н.Н. Приорова. 2019;(4): 5‑11
ФГБОУ ВПО «Российский университет дружбы народов», Москва, РФ;
ФГБУ «Национальный медицинский исследовательский центр травматологии и ортопедии им. Н.Н. Приорова» Минздрава России, Москва, РФ
Цель исследования: определить оптимальный подход к лечению пациентов с переломами костей таза на фоне низкой костной массы. Пациенты и методы. За период с 2017 по 2018 г. проходили лечение 64 пациента (средний возраст 78±7,4года) с повреждениями тазового кольца на фоне остеопороза. Переломы по классификации AO/OTA: А2 у 5 (7,8%) пациентов, B1 у 18 (28,1%), B2 у 28 (43,7%), B3 у 8 (12,5%) C1 у 3 (4,6%), C2 у 2 (3,1%). Отдаленные результаты лечения оценивались через 6 и 12 мес по шкале Majeed и тесту «Timed up & go». Результаты. Через 1 год данные были получены по 44 пациентам. Хорошие результаты были выявлены у 40 из них, удовлетворительные — у 3, плохие — у 1. Прежний уровень активности восстановили 30 (68,1%) больных. Годовая летальность составила 26,5%. Заключение. Лечение пациентов пожилого возраста с переломами таза на фоне остеопороза должно быть мультидисциплинарным с назначением послеоперационной реабилитации в специализированных ЛПУ, комплексной терапией остеопороза и наблюдением терапевта с целью компенсации преморбидного характера. Решение об окончательной фиксации таза должно учитывать характер перелома, степень его стабильности, уровень активности пациента до и после травмы, степень компенсации общего состояния, выраженность остеопороза.
ФГБОУ ВПО «Российский университет дружбы народов», Москва, РФ;
ФГБУ «Национальный медицинский исследовательский центр травматологии и ортопедии им. Н.Н. Приорова» Минздрава России, Москва, РФ
Алтайский филиал ФГБНУ РОНЦ им. Н.Н. Блохина, Барнаул, Россия;
КГБУЗ «Алтайский краевой онкологический диспансер», Барнаул, Россия
ФГБОУ ВПО «Российский университет дружбы народов», Москва, РФ
ФГБОУ ВПО «Российский университет дружбы народов», Москва, Россия;
ГБУЗ «Городская клиническая больница им. А.К. Ерамишанцева» Департамента здравоохранения Москвы, Москва, Россия
ФГБОУ ВПО «Российский университет дружбы народов», Москва, Россия;
ГБУЗ «Городская клиническая больница им. А.К. Ерамишанцева» Департамента здравоохранения Москвы, Москва, Россия
ФГБОУ ВПО «Российский университет дружбы народов», Москва, РФ
Введение. Одновременно с развитием медицины и ростом продолжительности жизни неуклонно увеличивается число пожилых. В настоящее время в развитых странах пожилые составляют около 15% населения. Согласно докладу ООН, к 2030 г. прогнозируется их увеличение в 1,5 раза, к 2050 г. — 3-кратный рост возрастной группы старше 80 лет. Причем именно на эти возрастные группы приходится 37% всех переломов среди взрослых [1, 2].
Травмы в пожилом и старческом возрасте имеют свои особенности. Низкоэнергетические переломы вследствие падения или цикличной стрессовой нагрузки на остеопенические или порозные кости определяются как патологические переломы хрупкости (Fragility fracture) [3]. В этих случаях сохраняется целостность связочного комплекса, что ограничивает смещение костных отломков [4]. Остеопороз является причиной 9 млн переломов в год [5], и отмечается увеличение их числа у пожилых [6], что становится серьезной экономической проблемой. Убыток от последствий остеопороза только в Евросоюзе составляет 37 млрд евро ежегодно [7].
Основное внимание в лечении низкоэнергетических переломов уделяется переломам бедренной кости, тогда как проблема переломов костей таза (ПКТ) на фоне остеопороза остается в тени [8]. В российских клинических рекомендациях (Клинические рекомендации «Патологические переломы, осложняющие остеопороз» (утв. Минздравом России) 2018 г.) также не предложено алгоритмов по ведению пациентов с низкоэнергетическими ПКТ. В то время как ПКТ входят в пятерку наиболее часто встречающихся среди пациентов старше 65 лет, на долю которых приходится 73% всех подобных травм [9, 10]. Низкоэнергетический характер травмы отражается в меньшем количестве осложненных переломов в 2,8% случаев [11], что в 4 раза выше, чем у молодых [12]. Определяется неравномерное распределение по гендерному признаку — 79% пожилых пациентов с ПКТ составляют женщины [13], что подтверждает также работа J. Kanis и соавт. [14], в которой авторы пишут, что в России имеется высокая 10-летняя вероятность переломов на фоне остеопороза у женщин старше 65 лет. Если перелом таза на фоне остеопороза произошел впервые, риск возникновения переломов других локализаций в течение 5 лет превышает 30% [15]. Неблагоприятными факторами, влияющими на возникновение переломов, помимо снижения костной массы, являются старческая астения, возникновение которой обусловлено снижением адаптационных функций организма, и дестабилизации гомеостаза. Клиническими проявлениями являются слабость, значительное снижение массы тела, силы мышц и низкий уровень физической активности [16]. По данным исследования M. Rollmann и соавт. [17], за период с 1991 по 2013 г. количество ПКТ среди пациентов старше 60 лет увеличилось в 5 раз и, что немаловажно, вырос средний показатель по шкале тяжести повреждений (Injury Severity Score — ISS). У пациентов старше 65 лет с высокоэнергетической травмой вероятность летального исхода в 4 раза выше, чем у более молодых, и только 29% пациентов этого возраста не нуждались в дополнительном отдаленном лечении [18]. Мужской пол, возраст, высокоэнергетическая травма являются неблагоприятными прогностическими факторами годовой выживаемости после перенесенного ПКТ [6, 17]. Подвижные, социально защищенные пациенты имеют больше шансов на выздоровление и обретение нормального качества жизни. Прием лекарств для терапии остеопороза и наличие четкого алгоритма лечения и реабилитации уменьшают сроки консолидации, профилактируют неправильное сращение и создают оптимальные условия для возвращения к прежнему уровню активности [8]. Отмечено, что лечение, назначенное травматологом-ортопедом сразу после перелома, соблюдается лучше, чем рекомендации других специалистов [19]. Перспективным в области скринингового обследования являются изменения лабораторных показателей крови и их ассоциированность с ПКТ. Так, у каждого 5-го пациента с ПКТ регистрируется повышение уровня в крови остео-ассоциированного Са и Mg, у 9% — Р, у 37% — гормона остеокальцина и у 57% — активности ЩФ [20].
Диагностика переломов тазового кольца на фоне низкой костной массы затруднительна в связи с недостаточной информированностью ортопедов в отношении возможных причин их развития и клинических проявлений [21]. Патологические переломы крестца часто пропускаются при выполнении обычной рентгенографии [22]. Недопустимо игнорирование наличия перелома лонных костей, и даже при отсутствии смещения необходимо подозревать внутритазовое кровотечение [23]. Изначально неправильно выбранная тактика лечения в комбинации с низкой костной массой и замедленной консолидацией может приводить к дальнейшему смещению отломков, возникновению новых линий переломов, несращениям и плохим клиническим результатам [24]. В каждом 7-м случае во время консервативного лечения происходит распространение линии перелома с его отягощением [25]. Учитывая сложности лечения пожилых пациентов с ПКТ и небольшое количество русскоязычных публикаций, было принято решение о проведении исследования с целью оптимизации подходов к лечению и реабилитации этой группы пациентов.
Пациенты и методы
Был проведен ретроспективный анализ результатов лечения 64 пациентов с повреждениями тазового кольца в период 2017–2018 гг.: 48 (75%) женщин и 16 (25%) мужчин, средний возраст 78±7,4 (66–92) года. У 12 (18,7%) пациентов (8 мужчин и 4 женщины) была политравма. Среднее значение по шкале ISS составляло 22,4±3,2 балла. По классификации АО/ОТА распределение переломов было следующим: тип А2 у 5 (7,8%) больных, B1 у 18 (28,1%), B2 у 28 (43,7%), B3 у 8 (12,5%), C1 у 3 (4,6%), C2 у 2 (3,1%).
Критерии включения в исследование: возраст старше 65 лет, нарушение целостности тазового кольца, в том числе ассоциированное с переломами вертлужной впадины. Критерии исключения: переломы типов А1 и А3 по классификации АО/ОТА.
На первом этапе всем пациентам выполнялись обследование и устранение жизнеугрожающих состояний. Скрининговая диагностика включала рентгенографию костей таза, которая информативна для переднего отдела тазового кольца [26]. Однако точность выявления повреждений заднего отдела при этом методе ограничена [27], в связи с чем всем пациентам с переломами осуществлялась также компьютерная томография (КТ) таза. Пациентам в шоковом состоянии применялась фиксация тазового кольца с помощью аппарата внешней фиксации, которая по причине высоких рисков миграции стержней и развития инфекционных осложнений [28] использовалась только до стабилизации состояния. Всем пациентам проводились профилактика гипостатических осложнений, тромбоза и эмболии, симптоматическая терапия. При переломах типов А2, В1, В2 назначалась активизация на костылях с частичной нагрузкой на стороне повреждения в течение 6 нед. Затем, по мере купирования болевого синдрома, с 6-й по 12-ю неделю нагрузка дозированно увеличивалась. При переломах типов B3 и С в первые 6 нед рекомендовались активизация в пределах кровати, передвижение на сидячей каталке и ходьба с дополнительной опорой с 6-й по 12-ю неделю по мере ослабления болевого синдрома. Агрессивный подход к реабилитационным мероприятиям чреват увеличением смещения отломков, распространением линии переломов и усилением боли. Всем пациентам во время стационарного лечения травматологом была назначена лекарственная терапия остеопороза с последующей рекомендацией наблюдения у эндокринолога. Несращение оценивалось при отсутствии консолидации в течение 1 года. Отдаленные результаты оценивались через 6 и 12 мес по шкале S. Majeed (1987).
Результаты
Средняя продолжительность госпитализации составила 12,3±4,6 койко-дня. Непосредственно из стационара были переведены в реабилитационный центр 8 (12,5%) пациентов. Внутригоспитальная летальность составила 6,2% (4 пациента). В первые 6 мес умерли 9 (14%) пациентов, в течение 12 мес — 4 (6,2%). Общая годовая летальность составила 26,5%.
Отдаленные результаты лечения через 6 мес удалось оценить у 48 (75%) пациентов: у 39 они были хорошими, у 6 — удовлетворительными, у 3 — неудовлетворительными. Через 12 мес оценка проводилась у 44 (68,7%) пациентов: у 40 были хорошие результаты, у 3 — удовлетворительные, у 1 — неудовлетворительные. Таким образом, через 1 год прежний уровень активности восстановили 30 (68,1%) из 44 пациентов.
При анализе контрольных рентгенограмм через 12 мес было выявлено 5 случаев неправильного сращения, в 2 случаях консолидация перелома не состоялась.
Клинические случаи
1. Фиксация крестца справа канюлированным винтом позволяет безопасно выполнить раннюю активизацию пациента и купировать болевой синдром.

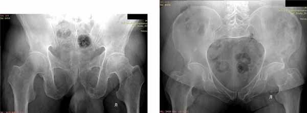
Клинический пример 1. Пациентка Р., 68 лет, травма в результате ДТП, пассажир. Доставлена бригадой скорой медицинской помощи (СМП). Установлен диагноз: политравма. Перелом боковых масс крестца справа Denis I. Перелом седалищной кости справа со смещением отломков. АО/ОТА — 61-В2.1 Перелом поперечных отростков слева L3–L5 (рис. 1). Рис. 1. Пациентка Р., 68 лет. Компьютерная томограмма, 3D-реконструкция, визуализирован перелом поперечных отростков слева L3–L5. Перелом боковых масс крестца слева Denis I. Закрытый перелом дистального метаэпифиза обеих костей правого предплечья со смещением отломков. Ушиб грудной клетки. По шкале ISS 21 балл.
После стабилизации состояния пациентки была предпринята попытка активизации. В связи с наличием ипсилатерального перелома верхней конечности и выраженного болевого синдрома в пояснично-крестцовой области на 3-и сутки одномоментно была выполнена фиксация крестца справа канюлированным винтом 7,0 мм. Остеосинтез костей предплечья был осуществлен пластинами и винтами. Пациентка была активизирована на 1-е сутки после операции. Послеоперационный период без осложнений.
Отдаленные результаты через 12 мес: на контрольных рентгенограммах определялись консолидированные переломы боковых масс крестца справа, седалищной кости справа (рис. 2). Рис. 2. Пациентка, Р. 68 лет. Рентгенография консолидированного перелома боковой массы крестца справа через 12 мес после операции. Остеосинтез канюлированным винтом. Консолидированный перелом седалищной кости справа. а — проекция: выход из таза; б — проекция: вход в таз. По шкале S. Majeed — 85 баллов, по тесту «Timed up & go» [30] 9 с (рис. 3). Рис. 3. Пациентка Р., 68 лет. а–в — внешний вид и функция через 12 мес после операции.
2. Низкоэнергетические переломы переднего отдела тазового кольца без значительного смещения отломков подлежат консервативному лечению.
Клинический пример 2. Пациент Л., 70 лет. Травма в результате падения с высоты собственного роста. За медицинской помощью обратился на следующий день после травмы в связи с нарастанием болевого синдрома.
При обследовании выявлен перелом лонной и седалищной костей слева со смещением отломков. На фоне симптоматической терапии, профилактики тромбоэмболических осложнений пациент активизирован с дополнительной опорой, дозированная нагрузка на левую нижнюю конечность. Выписан на 3-и сутки.

Отдаленные результаты через 12 мес: на контрольных рентгенограммах определялись консолидированный перелом лонной кости, ложный сустав ветви седалищной кости (рис. 4). Рис. 4. Пациент Л., 70 лет. Контрольные рентгенограммы через 12 мес. Консолидированный перелом лонной кости, ложный сустав ветви седалищной кости. а — проекция: выход из таза; б — проекция: вход в таз. По шкале S. Majeed — 82 балла, по тесту «Timed up & go» теста 11 с.

Использует трость при ходьбе более часа (рис. 5). Рис. 5. Пациент Л. 70 лет. а–в — внешний вид и функция через 12 мес после травмы.
Анализ клинических данных за 2 года позволяет утверждать, что до появления КТ в рутинной практике обследования пациентов часть переломов таза у пожилых пациентов оставалась невыявленной и лечилась консервативными методами. Во всех случаях при лечении пожилых пациентов необходимы ранняя активизация с целью профилактики гипостатических осложнений, борьба с болевым синдромом и сенильной деменцией. Однако на сегодняшний день после установления правильного диагноза остается открытым вопрос о необходимости фиксации переломов при помощи известных методик внутренней или наружной фиксации. Одной из основных проблем является выбор между рисками оперативного лечения и его преимуществами в виде стабилизации тазового кольца и возможностями ранней активизации. Очевидно, что основным препятствием для ранней активизации у пожилых пациентов является болевой синдром. Кроме того, достаточно сложно оценить интенсивность болевого синдрома у пациентов после различных видов лечения в связи с недостаточной объективностью такого параметра, как боль.
Отечественные авторы сообщают, что малоинвазивная фиксация, активизация и ранняя реабилитация позволяют значительно снизить количество осложнений и смертность [30]. По данным A. Höch и соавт. [11], в 18% случаев в группе оперативного лечения возникали осложнения, однако, несмотря на это, 2-летняя выживаемость составила 82%, тогда как в группе консервативного лечения определялись обнадеживающие результаты (8% осложнений) и разочаровывающая выживаемость — всего 61%. По мнению N. Kanakaris и соавт. [8], в большинстве случаев предпочтение отдается консервативному методу лечения, поскольку основная масса переломов считается механически стабильной и существует ограниченное число техник фиксации в условиях порозной кости и отягощенного соматического статуса пациентов. Кроме того, ситуацию усугубляет недостаточное число квалифицированных хирургов. A. Höch и соавт. [13] выявили, что выбор метода лечения основывается на возрасте пациента вне зависимости от типа перелома: так, оперативное лечение преимущественно осуществляется в группе пациентов до 80 лет, больным старшего возраста проводится консервативная терапия. При переломах типа С в 50% случаев выполнялись оперативные вмешательства, что превышает показатели предыдущих исследований [31].
M. Rollmann и соавт. [17] считают, что переломы типа B при стабильной гемодинамике, возможности ранней активизации и адекватном обезболивании необходимо лечить консервативно, а переломы типа С имеют самый высокий процент смертности и требуют оперативного вмешательства.
Настоящая работа показывает необходимость дальнейшего изучения проблемы с проведением возможных в этическом и организационном плане рандомизированных научных исследований с использованием консервативного и оперативного методов и последующим сравнением результатов.
Выводы
1. Пожилые пациенты с подозрением на перелом шейки бедренной кости или вертельной зоны после рентгенографии таза при отсутствии рентгенологических данных, свидетельствующих о переломе проксимального отдела бедра, должны направляться на КТ таза.
2. В случае выявления перелома таза при наличии старческой астении, гемодинамических нарушений и гипостатических осложнений (пневмония, тромбоэмболия легочной артерии) должны госпитализироваться в отделение реанимации для коррекции патологических состояний.
3. Временная стабилизация поврежденных сегментов у пожилых пациентов с остеопорозом должна проводиться согласно тактике Damage control.
4. Решение об окончательной фиксации таза должно учитывать характер перелома, степень его стабильности, уровень активности пациента до и после травмы, степень компенсации общего состояния, выраженность остеопороза.
5. Тип фиксации должен учитывать риск несостоятельности фиксации с учетом степени остеопороза, но позволять проводить раннюю активизацию, в связи с чем не рекомендуется выполнение наружной фиксации таза как окончательный метод стабилизации у пожилых пациентов с остеопорозом. Предпочтение стоит отдавать мини-инвазивным методикам внутренней фиксации.
6. Лечение пациентов пожилого возраста с переломами таза на фоне остеопороза должно быть мультидисциплинарным, с назначением послеоперационной реабилитации в специализированных лечебно-профилактических учреждениях, комплексной терапии остеопороза и наблюдением терапевта с целью компенсации преморбидного фона.
Перелом костей таза
Перелом таза у детей – патологическое состояние, при котором нарушается целостность подвздошной, лонной или седалищной костей, структур вертлужной впадины, крестца, лобкового и крестцово-подвздошного сочленения. Такие травмы в детском возрасте встречаются достаточно редко и являются крайне опасным состоянием, угрожающим здоровью и жизни маленьких пациентов.
Количество переломов таза среди других детских травм не превышает 1,5 % от общего числа. Такое малое соотношение обусловлено высокой эластичностью костных и соединительных структур у детей, которые смягчают даже сильные удары, предотвращая тем самым серьезные повреждения. В возрасте до 7–8 лет подобные травмы встречаются крайне редко, основная доля переломов таза у детей приходится на подростковый период от 9 до 16 лет, что связано с понижением эластичности костей и возрастающей физической нагрузкой.

Причины перелома костей таза у детей
В большинстве случаев такие повреждения становятся результатом серьезных высокоэнергетических нагрузок, в частности:
- дорожно-транспортных аварий, в том числе с участием велосипедов и других детских средств передвижения;
- чрезвычайных происшествий, к которым относятся пожары, завалы, обрушения зданий и отдельных элементов строений, наводнения, землетрясения и т.д.;
- падений с большой высоты;
- наездов автомобилей или других видов транспорта.
Чаще всего кости таза ломаются при интенсивном сдавливании, что характерно для автоаварий, ЧС и высотных падений. Иногда дети получают травму бытовым путем, падая на бегу со всего размаха плашмя на твердую поверхность, сталкиваясь с крупными, тяжелыми объектами, опрокидывая на себя габаритные предметы.
Виды переломов костей таза
С учетом локализации специалисты выделяют переломы:
- краевые, при которых костные структуры, формирующие тазовое кольцо, не нарушаются (травмы копчика, крестца, крыла подвздошной кости);
- с потерей непрерывности костей, образующих тазовое кольцо;
- без потери непрерывности костей тазового кольца;
- вертлужной впадины.
По степени тяжести переломы таза бывают осложненными и неосложненными, по объему нарушений изолированными и сочетанными, а по наличию кожных повреждений открытыми и закрытыми.
Наиболее опасными являются открытые сочетанные переломы, при которых наблюдаются травмы не только костей таза, но и других структур или внутренних органов. Чаще всего такими повреждениями становятся закрытые и открытые черепно-мозговые травмы, ушибы органов грудной клетки, разрывы мочевого пузыря, переломы ног, рук и позвоночника.
Симптомы перелома таза у детей
Основными признаками такой травмы становятся боль и полная неподвижность. Ребенок с переломом таза и потерей непрерывности костей принимает вынужденное положение, так называемую позу «лягушки» с согнутыми в коленном, тазобедренном суставах и слегка разведенными ногами. Пострадавший не может повернуть, выпрямить или поднять конечности, но при этом без труда сгибает и подтягивает их к животу.
При переломах без потери непрерывности возникает синдром «прилипшей пятки», когда ребенок может повернуться, но поднять хотя бы немного конечность не в состоянии. Как правило, боль при таком состоянии носит умеренный характер и усиливается только при пальпации или попытках движения.
Другими признаками травм тазовой области являются:
- хруст, пощелкивания при попытках движения или легком нажатии на бедра;
- нарастающий отек мягких тканей в месте травмы;
- кровотечение из раны при открытом переломе;
- появление объемных гематом в области удара.
При наличии серьезных повреждений других структур и внутренних органов, массивном кровотечении дополнительными симптомами становятся:
- слабость;
- бледность кожных покровов;
- нарушения сознания;
- боль в разных частях тела;
- учащенное сердцебиение и дыхание.
Подобные признаки свидетельствуют о крайне опасных состояниях, которые требуют безотлагательной медицинской помощи.
Первая помощь при подозрении на перелом таза у детей
Самое главное: при таких травмах ребенка нежелательно переносить, переворачивать и вообще двигать, так как имеется вероятность повреждения позвоночного столба. Любые перемещения могут усугубить состояние и привести к дополнительной травматизации костных структур или внутренних органов.
- вызвать неотложную помощь, сообщив диспетчеру максимально приближенные к ребенку ориентиры, возраст и текущее состояние пострадавшего;
- при интенсивном кровотечении наложить на область раны чистую ткань и не выбрасывать пропитавшиеся кровью тряпки, чтобы врачи по приезду могли оценить уровень кровопотери;
- дать ребенку обезболивающий препарат, но только в случае, если нет признаков внутреннего кровотечения (бледность кожи, напряженный живот, угнетенное сознание);
- зафиксировать ноги в имеющемся положении или в «позе лягушки», подложив под колени импровизированный валик из одежды, плотной бумаги и других имеющихся в наличии материалов;
- поить ребенка теплой жидкостью (водой без газа, чай, морс).
Ни в коем случае самостоятельно нельзя:
- пытаться выпрямить, согнуть, повернуть конечности;
- вправлять костные отломки в открытой ране;
- давать малышам сильнодействующие болеутоляющие препараты, не предназначенные для применения в детском возрасте;
- вытаскивать из раны осколки костей или инородные предметы;
- лить в открытую рану антисептические средства, воду и любые другие жидкости или закладывать туда мази, крема и средства народной медицины.
При необходимости и удовлетворительном состоянии ребенка, если отсутствуют подозрения на травму позвоночника, можно самостоятельно доставить пострадавшего в лечебное учреждение. Перевозить детей с переломами тазовой области необходимо в положении лежа, слегка согнув колени и разведя ноги.
Диагностика
Для оценки состояния маленького пациента и определения характера травм специалисты клиники «СМ-Доктор» выполняют:
- визуальный осмотр и пальпацию области травмы;
- сбор анамнеза, выяснение обстоятельств, при которых произошел перелом;
- ультразвуковое исследование области таза;
- рентгенографию таза и других участков при необходимости в двух и более проекциях.
При наличии показаний также проводятся КТ или МРТ и лабораторные исследования крови.
Переломы костей таза
К переломам костей таза относятся переломы лобкового симфиза, безымянных костей, вертлужной впадины, крестцово-подвздошного сочленения, крестца. Они варьируют от минимально смещенных стабильных повреждений, вызванных падениями с низкой энергией, до значительно смещенных и нестабильных травм, которые могут сопровождаться обширным кровоизлиянием. Возможны также травмы мочеполовой системы, кишечная и нервной системы. Диагноз устанавливают по данным обзорной рентгенографии и обычной КТ. При легких стабильных переломах требуется только симптоматическое лечение. Нестабильные переломы и переломы со значительным кровотечением, как правило, требуется лечить внешней фиксацией или открытой репозицией с внутренней фиксацией (ОРВФ).
Патофизиология переломов костей таза
Тазовые кости образуют кольцо с передней и задней крестцово-подвздошными связками и фиброзными суставами между костями (синдесмозы). При переломе костей таза кольцо может быть повреждено, но не всегда; повреждение кольца происходит при ≥ 2 переломах, и проявляется их нестабильностью.
Осложнения
Через полость таза проходит множество важных анатомических структур, которые часто повреждаются. Возможны сосудистые повреждения (например, подвздошной вены), которые могут быть причиной тяжелого кровотечения, особенно при травмах заднего отдела таза. Кровоизлияние может быть наружным (свидетельствуя об открытом переломе) или только внутренним; в обоих случаях может развиться геморрагический шок Гиповолемический шок .
Типичны сочетанные урогенитальные травмы (например, разрыв мочеиспускательного канала и мочевого пузыря), особенно при переломах переднего отдела таза. Возможно, особенно при переломах заднего отдела таза, повреждение кишечника. При задних переломах могут быть повреждены нервные корешки и сплетения вблизи с крестцовыми отверстиями.
Этиология переломов костей таза
Большинство переломов костей таза обусловлены высокоэнергетическими травмами, наиболее часто при дорожно-транспортных происшествиях (в том числе наездах автомобиля на пешехода) или падениях с высоты. Иногда (например, при переломах симфиза или ветвей лобковой кости) переломы возникают при минимальной, или низкоэнергетической, травме (например, падение в домашних условиях), особенно на фоне остеопороза.
Некоторые тазовые переломы, как правило, у подростков с открытыми пластинками роста, представляют собой небольшие отрывные переломы передней или нижней подвздошной ости или седалищного бугра.
Предложены сложные системы классификации на основе механизма, локализации и/или степени стабильности повреждения
Симптомы и признаки переломов костей таза
В большинстве случаев переломы таза проявляются болями в паху и/или в пояснице. Обычно, особенно при тяжелых переломах, они проявляются болезненностью при одновременном надавливании на лобковый симфиз и обе передние верхние ости подвздошных костей; этот симптом может указывать на нестабильность перелома.
В зависимости от тяжести перелома, может нарушаться возможность ходить.
Признаки повреждения мочеполовой и/или женской половой систем (обычно влагалища) включают в себя:
Кровь в мочеиспускательном канале
Гематому в области мошонки или промежности
Высокое расположение и невозможность пропальпировать простату
Повреждения кишечника или прямой кишки могут привести к
Боли в брюшной полости или в области таза
Последующему развитию перитонита
Неврологические травмы могут вызывать:
Слабость или потерю чувствительности и рефлексов на нижних конечностях, прямой кишки, промежности
Смертность высокая при нестабильности или задней локализации перелома, или при осложнении геморрагическим шоком.
Диагностика переломов костей таза
Тазовые переломы следует исключать при боли в области таза или бедра, или при массивной травме. Рентгенография области таза в передне-задней проекции позволяет выявить большинство переломов.
Перелом со смещением означает, что нарушается целостность тазового кольца, и можно заподозрить другой перелом или поражение синдесмоза или связочного аппарата. Могут быть необходимы рентгеновские исследования в специализированных проекциях (например, рентгенограмма в косой проекции по Жюде позволяет визуализировать вертлужную впадину).
КТ более чувствительна, чем рентгенография, и ее, как правило, проводят, чтобы выявить все фрагменты перелома и определенные сопутствующие травмы при переломах вследствие высокоэнергетической травмы. КТ часто не требуется при изолированном переломе лобковой ветви при низкоэнергетической травме или небольшом отрывном переломе.
Анализ мочи для выявления гематурии
Гинекологический осмотр у женщин, чтобы исключить вагинальную травму
По показаниям − ретроградная уретрография для проверки наличия травмы уретры.
Традиционно, пальцевое ректальное исследование у мужчин для проверки непальпируемого смещения простаты вверх, предполагающего повышенный риск травмирования задней стенки уретры. Тем не менее, целесообразность этого метода неясна. Если предполагается уретральная травма Травмы уретры Повреждения уретры обычно случаются у мужчин. Большинство повреждений уретры являются следствием тупой травмы. Проникающие повреждения уретры встречаются реже, они обнаруживаются главным образом. Прочитайте дополнительные сведения (например, из-за того, что в отверстии мочеиспускательного канала видна кровь), следует провести ретроградную уретрографию.
Лечение переломов костей таза
При стабильных переломах обычно достаточно только симптоматического лечения
При нестабильных переломах проводят наружную фиксацию или открытую репозицию с внутренней фиксацией (ORIF)
При значительном кровоизлиянии проводят наружную фиксацию или, иногда, ангиографическую эмболизацию или тампонаду таза
При переломе таза консультируются с хирургом-ортопедом или травматологом. Почти все пациенты с переломами костей таза (кроме стабильных переломов, например, переломы ветвей лобковых костей с минимальными смещениями) должны быть госпитализированы для обсервации для того, чтобы не пропустить возобновление кровотечения.
При стабильных переломах таза лечение часто только симптоматическое, когда больной может ходить без посторонней помощи.
Переломы вертлужной впадины возникают в результате высокоэнергетической травмы (например, при падении с высоты или автомобильной аварии). Переломы вертлужной впадины, если они смещенные или если после закрытой репозиции сохраняется нестабильность, лечат хирургически. Переломы вертлужной впадины с повреждением задней стенки лечат нехирургическим путем. При этих травмах рекомендуется консультация ортопеда.
Нестабильные переломы таза необходимо как можно скорее в отделении неотложной помощи фиксировать повязкой (например, листовой) или стабилизировать коммерчески доступными бандажами для таза; такая стабилизация часто может уменьшить или остановить кровотечение. Консультация ортопеда необходима при нестабильных переломах тазовых костей, чтобы определить показания к ORIF или наружной (подкожной) винтовой фиксации. Наружную винтовую фиксацию может провести в отделении неотложной помощи ортопедический хирург.
Показания к наружной винтовой фиксации включают
Продолжающееся кровоизлияние или нестабильность гемодинамики, особенно у пациентов с массивным повреждением органов таза
Необходимость стабилизации состояния до перевода в службы постоянного ухода
Наружная фиксация винтами снижает частоту развития осложнений и продолжительность пребывания в больнице.
Здравый смысл и предостережения
При нестабильном переломе костей таза, чтобы стабилизировать его, необходимо как можно скорее наложить повязку (например, при помощи простыни) или применить наружный фиксатор.
Если кровотечение продолжается, требуются ангиографическая эмболизация или хирургическое вмешательство для тампонады полости таза и/или внутренняя фиксация костей таза.
Нестабильные переломы без выраженного кровотечения требуется лечить наложением тазового бандажа в отделении неотложной помощи; окончательным лечением является ORIF.
Лечат другие сочетанные травмы.
Ключевые моменты
Серьезные переломы костей таза при высокоэнергетических травмах часто сопровождаются повреждениями мочеполовой и сосудистой систем.
Некоторые из них (например, переломы симфиза или ветвей лобковой кости), особенно у пациентов с остеопорозом, развиваются в результате даже незначительных травм (например, падений в домашних условиях).
При высокоэнергетических травмах проводят КТ.
Стабилизируют переломы, купируют кровотечение, и лечат сочетанные повреждения и симптомы.
Авторское право © 2022 Merck & Co., Inc., Rahway, NJ, США и ее аффилированные лица. Все права сохранены.
Перелом костей таза

Перелом костей таза — тяжелое повреждение костных структур таза, которое может осложниться геморрагическим и болевым шоком. Неадекватное лечение или невыполнение пациентом рекомендаций врача может привести к неправильному сращению костей и инвалидизации человека.
Причины
Повреждение костей таза является результатом:
- ДТП;
- аварий на производстве;
- падения с высоты;
- травмирования во время обвала здания.
Симптомы
Пациенты с переломом тазовых костей жалуются на выраженную боль в проекции травмы и ограничение движений нижней конечности.
При визуальном осмотре можно определить:
- укорочение ноги;
- деформацию таза;
- двигательную дисфункцию.
Повреждение нервных окончаний в результате перелома крестца проявляется недержанием мочи и кала.
Диагностика и лечение
Перелом костей таза предварительно устанавливается на сновании жалоб пациента и данных клинического осмотра. Подтвердить диагноз, установить локализацию и степень повреждения поможет рентгенография.
Для исключения повреждения органов таза рекомендуется проведение уретрографии, цистографии и УЗИ мочевого пузыря.
Неотложная помощь при переломе костей таза заключается в следующем:
- обезболивание (включая введение в наркоз);
- иммобилизация пораженной области;
- восполнение кровопотери.
Хирургическое вмешательство проводится в таких случаях:
- при неэффективности иммобилизации;
- при повреждении органов таза;
- при значительном расхождении поврежденных костей.
Острая фаза подобных травм подлежит госпитализации согласно маршрутизации по оказанию экстренной медицинской помощи с участием бригад, скорой медицинской помощи и государственных травмоцентров, где пострадавшему оказывают экстренную и неотложную помощь.
В подострую стадию проводятся реконструктивно-восстановительные операции для формирования условий к реабилитации и восстановлению. На данном этапе специалистами клиники «Медикъ» в Хабаровске проводятся современные малотравматичные хирургические вмешательства.
Смотрите также:

Осипов Алексей Леонтьевич
- Врач ортопед-травматолог
- Высшая категория
- Стаж 23 года
Первичный приём - 2000 руб.
Повторный прием - 1700 руб

Ли Олег Намгириевич
- Высшая квалификационная категория
- Стаж 17 лет
Первичный приём - 2000 руб.
Повторный прием - 1700 руб

Усанова Наталья Борисовна
Врач ортопед -травматолог
- Врач ортопед -травматолог, детский ортопед- травматолог, Первой категории
- стаж 24 года
Первичный приём - 2000 руб.
Повторный прием - 1700 руб

Березуцкий Сергей Николаевич
Врач травматолог, кистевой хирург
- Хирург высшей категории
- Доцент, кандидат медицинских наук
- Заведующий кафедрой травматологии и ортопедии ДВГМУ
- Главный внештатный травматолог-ортопед Хабаровского края, профессор РАЕ
- Стаж 36 лет
Первичный приём - 2100 руб.
Повторный прием - 1800 руб

Гончаров Иван Александрович
- Врач ортопед-травматолог
- стаж 13 лет
Первичный приём - 2000 руб.
Повторный прием - 1700 руб
О возможных противопоказаниях проконсультируйтесь с нашими специалистами.
Информация на сайте не является публичной офертой.
Хабаровск
ул. Тихоокеанская, д. 171 В/1
Наш специалист позвонит Вам в ближайшее время.
Отправляя заявку, Вы даете согласие на сбор и обработку персональных данных. Политика конфиденциальности.
Наш специалист позвонит Вам в ближайшее время.
Отправляя заявку, Вы даете согласие на сбор и обработку персональных данных. Политика конфиденциальности.
Мы используем куки для наилучшего представления нашего сайта. Если Вы продолжите использовать сайт, мы будем считать что Вас это устраивает. Политика конфиденциальности Ok
Остеосинтез костей таза при их переломах и повреждениях

Приоритетной методикой лечения переломов и повреждений костей таза в современной травматологии является остеосинтез – методика сращивания костей, при которой костные отломки сопоставляются, надёжно фиксируются и удерживаются до срастания в статичном положении с помощью специальных конструкций.
Показания
Остеосинтез используется в лечении:
- переломов шейки бедра;
- вертикальных переломов;
- оскольчатых переломов;
- медленно срастающихся, несросшихся переломов, повреждений тазовых костей;
- переломов, сочетающихся с вывихом или повреждением суставной ткани;
- переломов и повреждений костей таза со смещением и расхождением костных отломков или с вероятностью их расхождения, риском перфорации кожи и повреждения окружающих тканей;
- неправильно сросшихся переломов.
Противопоказания
Данная методика не используется для пациентов с:
- сосудистыми патологиями конечностей;
- эпилепсией;
- тяжелой формой сахарного диабета или заболеваний внутренних органов;
- открытым переломом с массивной зоной повреждений тканей;
- очагом воспаления в пострадавшей области.
Проведение операции
При остеосинтезе хирург анатомически точно сопоставляет фрагменты поврежденных костей. Затем они жестко фиксируются специальными конструкциями – имплантами, диафизарными пластинами, стержнями, резьбовыми соединениями (в зависимости от вида и степени повреждений), изготовленными из инертных, биологически совместимых металлов и полимеров, абсолютно безопасных для здоровья пациента. Такие конструкции играют роль крепления костных отломков в анатомически правильной позиции до полного сращения перелома.
Преимущества методики остеосинтеза
Эта ортопедическая технология позволяет:
- надежно и качественно сращивать сложные переломы, при которых другие методы лечения неэффективны – внутрисуставные травмы, переломы тазовых костей, шейки бедра, локтевого отростка и т.д.;
- сократить время пребывания пациента в неподвижном состоянии;
- ускорить процесс восстановления – реабилитация после остеосинтеза протекает быстрее, чем при традиционном лечении, и комфортнее для самого пациента.
Реабилитация
Восстановление после остеосинтеза занимает от одного месяца до полугода. К реабилитации применяется комплексный подход. Для каждого пациента программа составляется индивидуально и может включать:
- физиотерапию – электрофорез, индукто- и диатермию, бальнеолечение, магнитотерапию и т.д.;
- ЛФК и упражнения в бассейне;
- массаж;
- сбалансированную диету.
Остеосинтез – сложное хирургическое вмешательство, положительный результат которого во многом определяется профессионализмом врача. Опытные квалифицированные специалисты Московской областной больницы им. проф. Розанова В. Н. посредством применения современных медицинских технологий успешно справляются с переломами любой сложности. Для записи на консультацию свяжитесь с администратором по телефону 8 (800)500-12-75.
Читайте также:
