Перикардит : Классификация перикардитов.
Добавил пользователь Владимир З. Обновлено: 22.11.2025
Информацию из данного раздела нельзя использовать для самодиагностики и самолечения. В случае боли или иного обострения заболевания диагностические исследования должен назначать только лечащий врач. Для постановки диагноза и правильного назначения лечения следует обращаться к Вашему лечащему врачу.
Перикардит: причины появления, симптомы, диагностика и способы лечения.
Определение
Перикардит – это воспаление серозной оболочки сердца – перикарда. Перикард представляет собой околосердечную сумку, которая окружает сердце и начальные отделы магистральных сосудов. Он состоит из двух листков – висцерального, который прилежит к сердечной мышце (висцеральный листок перикарда еще называют эпикардом), и париетального. Толщина листков перикарда в норме составляет 1-2 мм. Между ними находится полость перикарда, которая содержит 15-35 мл перикардиальной жидкости. Перикард обеспечивает возможность свободного изменения величины, положения и конфигурации сердца, «смазывает» сердце при сокращении, препятствует чрезмерному растяжению сердечной мышцы во время физической нагрузки или при увеличении объема циркулирующей крови, защищает от инфекционных агентов.

Перикардит – наиболее распространенное заболевание перикарда в клинической практике. Частота острого перикардита составляет примерно 27,7 случаев на 100 000 человек в год. Риск заболеть перикардитом выше у мужчин в возрасте 16-65 лет.
Причины возникновения перикардита
Поражение перикарда может обнаруживаться при инфекционных, аутоиммунных, неопластических, метаболических заболеваниях, травмах и в результате медицинского вмешательства (ятрогенные перикардиты). Инфекционные перикардиты могут вызывать вирусы (энтеровирусы, вирусы герпеса, аденовирусы), бактерии (чаще всего микобактерии туберкулеза), реже грибки (гистоплазмы) и очень редко паразиты (эхинококки, токсоплазмы).
К неинфекционным причинам перикардитов относятся аутоиммунные и аутовоспалительные заболевания (системная красная волчанка, ревматоидный артрит, синдром Шёгрена, склеродермия), системные васкулиты, саркоидоз и др. Перикардиты могут стать следствием неопластических процессов – первичных опухолей (мезотелиома) и вторичных, например, при метастазах рака легкого и молочной железы.
Метаболические состояния, лежащие в основе возникновения перикардитов, – уремия (синдром, при котором в результате почечной недостаточности происходит интоксикация организма из-за накопления токсических веществ в крови), анорексия, микседема (крайняя форма гипотиреоза). Перикардит нередко развивается как осложнение амилоидоза, диссекции аорты, легочной артериальной гипертензии, хронической сердечной недостаточности.
Повреждения околосердечной сумки с развитием перикардита могут наблюдаться как результат прямого ранения или непрямого повреждения (непроникающего повреждения грудной клетки, радиации), ятрогенной травмы (в ходе проведения чрескожного вмешательства на коронарных артериях, внедрения электрода водителя ритма, в результате радиочастотной аблации), после инфаркта миокарда.
Редко к поражениям перикарда приводит употребление лекарственных препаратов.

Классификация заболевания
В полости перикарда могут накапливаться невоспалительные выпоты:
- гидроперикард с накоплением жидкости – возникает при застойной сердечной недостаточности, циррозах печени, нефротическом синдроме, при микседеме, нарушениях оттока лимфы;
- гемоперикард с накоплением крови – при разрывах сердца в результате инфаркта, установки кардиостимулятора, при расслоении восходящего отдела аорты, при передозировке антикоагулянтов и др.;
- пневмоперикард, пневмогидроперикард с попаданием воздуха в околосердечную сумку – при свищах, разрывах, в результате медицинских манипуляций;
- хилоперикард с накоплением лимфы – при разрыве грудного лимфатического протока.
Острый перикардит – это воспалительное поражение перикарда с выпотом или без выпота в его полость. В начале заболевания может отмечаться повышение температуры тела (у пожилых и ослабленных пациентов лихорадка нередко отсутствует), слабость и боль в мышцах. В покое и при изменении положения тела отмечается одышка. Отмечены случаи появления сухого кашля, перебоев в работе сердца или учащенного сердцебиения, тошноты, рвоты, озноба.
Примерно в 85-90% случаев острый перикардит сопровождается болью за грудиной, ослабевающей в положении сидя с наклоном вперед. Иногда боль напоминает стенокардическую (отдает в левую руку или лопатку) или при плеврите (имеет колющий характер, усиливается на вдохе или при кашле). Боль при перикардите усиливается во время движения, в положении на спине, при глотании. Интенсивность боли может быть от незначительной до очень сильной, как при инфаркте миокарда. Когда в полости перикарда накапливается выпот, боль уменьшается или может даже исчезнуть.
Накопление большого объема выпота может привести к сдавлению сердца – тампонаде. При быстром развитии тампонады больной испытывает возбуждение или, наоборот, впадает в ступор. Набухают вены шеи, конечности становятся холодными, понижается давление, пульс учащается. При медленном развитии тампонады сердца основной жалобой является одышка даже при минимальной нагрузке и боли в сердце. При хроническом течении отмечается анорексия, выраженная слабость, утомляемость.
В результате перенесенного вирусного перикардита, операции на сердце и ряда других причин может развиться констриктивный перикардит. В этом случае наблюдается утолщение и сращение листков перикарда (в 50% случаев с кальцинацией), что приводит к сдавлению камер сердца. При констриктивном перикардите развиваются одышка во время ходьбы, слабость, неспособность к физическим нагрузкам, тяжесть и боль в правом подреберье, метеоризм, запоры. Позднее снижается аппетит, человек теряет вес, развиваются отеки, накапливается жидкость в брюшной полости – появляется асцит.
Диагностика перикардита
Для диагностики перикардита используют следующие методы:
- общий анализ крови с определением числа лейкоцитов и СОЭ;
Синонимы: Общий анализ крови, ОАК. Full blood count, FBC, Complete blood count (CBC) with differential white blood cell count (CBC with diff), Hemogram. Краткое описание исследования Клинический анализ крови: общий.
Перикардиты
• Вирусная инфекция: Коксаки A9, B1–4, Эпштейн-Барра, цитомегаловирус, ВИЧ, аденовирусы, парвовирус B19.
• Невирусная инфекция: бактерии (туберкулез [ <5%]), грибы, паразиты.
• Болезни миокарда: инфаркт миокарда, миокардит.
• Метаболические расстройства: уремия, микседема.
• Травмы: постперикардотомный синдром, травма грудной клетки.
• Аутоиммунные заболевания: СКВ, ревматоидный артрит, системная склеродермия, анкилозирующий спондилит, синдром Рейтера [5–15%].
• Злокачественные новообразования: метастазы из легких, молочной железы, лимфомы [10–25%].
• Лекарства: волчаночный синдром, противоопухолевые препараты, амиодарон, анти-ТНФ препараты.
• Облучение средостения.
• Идиопатические [50%, вирусные!?].

Острый, рецидивирующий перикардит
• Загрудинные боли, усиливаются лежа на спине и при вдохе, облегчаются сидя при наклоне вперед.
• Шум трения перикарда.
• Воспалительный синдром: повышение СОЭ, лейкоцитоз, воспалительные белки.
• Клиника основного заболевания, вирусной инфекции, миокардита.
Тампонада сердца
• Гипотензия.
• Набухание шейных вен.
• Нет застоя в в легких.
• Ослабление пульса на вдохе.
Констриктивный перикардит
• Правожелудочковая недостаточность: одышка, периферические отеки, увеличение живота.
• Нет застоя в в легких.

• ЭКГ: диффузная депрессия PR и подъем ST.
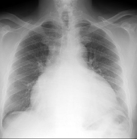
• Рентгенография грудной клетки.
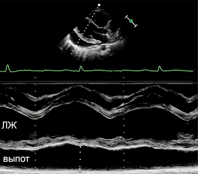
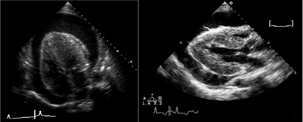
• Эхокардиография: выпот, утолщение перикарда.
• Компьютерная томография, магнитнорезонансная томография (толщина перикарда ≥2 мм).
• Анализ перикардиального выпота.
• Перикардиоскопия, биопсия перикарда.
• Тропонины T/I.
• Анализ крови, белки острой фазы воспаления.
• По показаниям на возможные причины: туберкулез (тесты на гамма-интерферон Т-клеток, диаскинтест), болезни соединительной ткани (антинуклеарные антитела, LE-клетки, антитела к цитруллированному пептиду), креатинин плазмы, маммография.


• Выпот (>15–35 мл), сепарация эпикарда и перикарда >1 мм в диастолу.
• Величина выпота: малый (сепарация • Утолщение (>3–4 мм) и кальцификация перикарда (констриктивный перикардит).
• Экссудат: плотность >1015, белки >3 г/дл, белок выпот/плазма >0.5, ЛДГ >200 мг/дл, ЛДГ выпот/плазма >0.6.
• Рак: цитология, опухолевые маркеры CEA >0.5 нг/мл и CYFRA 21–1 >100 нг/мл (легкие, молочная железа, толстрый кишечник, пищевод, мочевой пузырь).
• Туберкулез: ПЦР, посев, гамма-интерферон Т-клеток.

• Одышка, дискомфорт в груди, тахикардия, тахипноэ.
• Артериальная гипотензия.
• Парадоксальный пульс: снижение АД >10 мм рт. ст. при вдохе.
• Эхокардиография: колебания сердца, выраженный выпот (>20 мм), диастолический коллапс камер сердца, аномальное движение МЖП, > вариабельности митрального потока (>25%) на вдохе.
• ЭКГ: низкая амплитуда зубцов, электрическая альтернация.
• Гемодинамический эффект перикардиоцентеза.

Большие
• Лихорадка >38°C.
• Подострое начало.
• Большой выпот (сепарация >20 мм в диастолу).
• Отсутствие эффекта НПВП в течение ≥7 сут.
Малые
• Миоперикардит.
• Иммуносупрессия.
• Травма.
• Оральные антикоагулянты.
□ Острый вирусный перикардит. [I30.0]
□ Стабильная стенокардия II ФК. Маммарокоронарное шунтирование (12.09.2017), постперикардиотомный рецидивирующий перикардит. [I20.8]
□ Рецидивирующий перикардит с выраженным выпотом. [I30.8]
□ Хронический идиопатический перикардит с умеренным выпотом (сепарация 16 мм, 15.08.2019). [I31.9]
□ Острый вирусный миокардит, перикардит, фибрилляция предсерий. [I40.1]

Острый перикардит
• Ограничение активности: малоподвижный образ жизни (≥3 мес для спортсменов).
• Госпитализация: лихорадка >38ºС, подострое начало (туберкулез, рак, системное заболевание, уремия), антикоагуляция, иммунодепрессия, гипотензия, набухание шейных вен, большой выпот.
• НПВП: ибупрофен 600 мг 3 раза, аспирин 750–1000 мг 3 раза 1–2 нед.
• Преднизолон 0.2–0.5 мг/кг/сут: при противопоказаниях/неэффективности НПВП, аутоиммунных заболеваниях, постперикардиотомном синдроме, беременности. Отменять медленно (на 2.5–10 мг каждые 2 нед, ниже 15 мг/сут на 1–2.5 мг каждые 2–6 нед) при отсутствии симптомов и воспаления.
• Колхицин 0.5 г 2 раза (1 раз для массы тела • Бета-блокаторы для контроля симптомов.
• Противопоказаны антикоагулянты.
• Перикардиоцентез: тампонада, гнойный перикардит.
Рецидивирующий, хронический перикардит
• НПВП: ибупрофен, аспирин недели–месяцы.
• Колхицин в течение ≥6 мес.
• Преднизолон.
• Ингибитор интерлейкина-1 рилонацепт 320 мг, затем 160 мг п/к еженедельно.
• Азатиоприн, анакинра, в/в иммуноглобулин.
• Перикардэктомия.
Тампонада сердца
• Перикардиоцентез под визуальным контролем.
• Противопоказаны диуретики и вазодилататоры.
Констриктивный перикардит
• Лечение основного заболевания: гнойная инфекция, туберкулез.
• Противовоспалительные препараты.
• Перикардэктомия.

• Тампонада сердца.
• Выраженная сепарация эпикарда и перикарда >20 мм в диастолу на эхокардиограмме.
• Симптомный выпот более недели несмотря на лечение.
• Подозрение на инфекцию или злокачественную опухоль.
Перикардит, выпот в полость перикарда
Эта акция - для наших друзей в "Одноклассниках", "ВКонтакте", "Яндекс.Дзене", YouTube и Telegram! Если вы являетесь другом или подписчиком стр.
Для жителей районов Савеловский, Беговой, Аэропорт, Хорошевский
В этом месяце жителям районов Савеловский, Беговой, Аэропорт, Хорошевский» предоставляется скидка 5% на ВСЕ мед.
Захаров Станислав Юрьевич
Врач-кардиолог, врач функциональной диагностики
Высшая квалификационная категория, доктор медицины, Член Европейского общества кардиологов и Российского кардиологического общества
Рудько Гали Николаевна
Врач-кардиолог, врач функциональной диагностики
Высшая квалификационная категория, Член Российского кардиологического общества
Мы в Telegram и "Одноклассниках"
"Passion.ru", интернет-портал (март 2021г.)
Перикардит - это воспалительное заболевание наружной оболочки сердца (перикарда), имеющее инфекционный или неинфекционный характер.
Эта патология возникает как осложнение при различных органических поражениях или на фоне полученных травм, а также может быть проявлением некоторых аутоиммунных заболеваний.
Перикардит может быть причиной развития смертельно опасных осложнений, таких, как тампонада сердца (сдавление сердца нарастающим накоплением жидкости в полости перикарда), сердечная недостаточность!
С точки зрения анатомии, перикард представляет собой двуслойный мешок, защищающий сердце от внешних воздействий. Внутренний и наружный слои (листки) перикарда состоят из ткани, пронизанной нервными окончаниями, а также кровеносными и лимфатическими сосудами.
«Смазкой», способствующей нормальной работе сердца, выступает незначительное количество серозной жидкости в полости перикарда.

УЗИ сердца при перикардитах

ЭКГ при перикардите

УЗИ при перикардите
Причины воспаления перикарда
Перикардиты сердца делятся на инфекционные и неинфекционные:
Инфекционные:
- туберкулез; , корь и др.);
- микробные поражения (ангина, скарлатина, сепсис);
- грибковые инфекции.
Неинфекционные:
- системные (аутоиммунные) заболевания соединительной ткани (ревматические болезни);
- болезни сердца (инфаркт миокарда и др.)
- обменные и токсические нарушения (почечная недостаточность);
- травмы сердца; (тиреотоксикоз, гипотиреоз и др.);
- онкология и др.
В случае неясной этиологии заболевания принято говорить об идиопатическом перикардите.

Диагностика перикардитов в «МедикСити»

анализы при перикардите

Анализы крови при перикардите
Виды и симптомы перикардитов
Экссудативный перикардит (выпотной перикардит)
Воспаление перикарда сопровождается накоплением жидкости (экссудата) внутри сердечной сумки. В норме этой жидкости должно быть 15-50 мл, а при выпотном перикардите может скопиться 500 мл и более.
Чем больше выпот в полости перикарда, тем сильнее сдавливается и теряет работоспособность сердце, вплоть до полной остановки кровообращения. При худшем варианте развития болезни велика вероятность смерти пациента.
Симптомы экссудативного перикардита: одышка, акроцианоз, боли в груди, тахикардия, набухание шейных вен, пониженное АД.
Острый перикардит
Острый перикардит развивается на фоне инфекционного поражения, а еще может быть осложнением таких недугов, как сепсис, туберкулез, ревматизм и др. Воспалительный процесс охватывает наружный и внутренний листки перикарда. Начальные стадии заболевания обычно проходят без дополнительного выделения экссудата (сухой перикардит), но в дальнейшем приводят к экссудативной форме.
Симптомы острого перикардита: повышение температуры, боли в области сердца.
Если острый перикардит не начать своевременно лечить, процесс может перейти в хроническую форму, для которой характерны утолщение листков перикарда и в дальнейшем их слипание («склеивание»).
Констриктивный перикардит
Данная форма заболевания обычно возникает как осложнение острого перикардита, экссудативного перикардита. Нередко развивается на фоне болезней крови или почек, туберкулеза, ревматизма или травм.
При констриктивном перикардите (его еще называют сдавливающим, слипчивым) два листка сердечной сумки склеиваются между собой. Это приводит к нарушению нормальной работы сердца. Иногда в утолщенном перикарде начинают скапливаться кристаллы кальция, происходит известкование (явление, известное как «панцирное сердце»).
Симптомы констриктивного перикардита: недуг длительное время может протекать без болей. У больного отмечаются набухшие вены на шее, снижено АД, имеются признаки сердечной недостаточности (отеки ног, асцит).
Травматический перикардит
Данная форма перикардита возникает при различных повреждениях грудной клетки в области сердца (огнестрельное или ножевое ранение, тупая травма и др.).
Симптомы травматического перикардита: различные боли в области сердца, возможно одышка.
Гнойный перикардит
Острый гнойный перикардит может быть осложнением кардиохирургических операций, а также травматического перикардита. Но наиболее частыми причинами являются инфекции, вызванные, прежде всего, золотистым стафилококком.
При гнойной форме болезни в полости сердечной сумки быстро скапливается гнойный экссудат.
Симптомы гнойного перикардита: явные признаки интоксикации, озноб, лихорадка, одышка, боли в области сердца.
Неспецифический перикардит
Этот вид перикардита обычно развивается на фоне аллергического или инфекционного процесса в организме и протекает в сухой форме. Его рецидивы зачастую происходят одновременно с инфекционными заболеваниями (ОРВИ, ОРЗ). Во время ремиссии никак себя не проявляет.
Симптомы перикардита неспецифической формы: повышение температуры, боли в области сердца, через стетоскоп слышны шумы трения перикарда.
Фибринозный перикардит
Данный вид заболевания чаще возникает у детей и подростков (обычно на фоне ревматизма). Фибринозный перикардит (или сухой перикардит) характеризуется тем, что жидкость из сердечной сумки пропадает полностью. Без необходимой смазки миокард при сокращениях постоянно касается стенки сердечной сумки, что затрудняет сердечную работу.
Симптомы фибринозного перикардита: сильные боли колющего, ноющего или давящего характера в области сердца.
Как мы видим, несмотря на разнообразие клинических форм, имеются общие симптомы перикардита: локализация боли в области сердца, одышка.
Перикардит
Перикардит – это воспалительное заболевание тканевой оболочки сердца (перикарда), инфекционной или неинфекционной природы.
Перикард состоит из наружного и внутреннего листков, между которыми в норме содержится небольшое количество жидкости. Жидкость нужна для облегчения трения при сокращении сердечной мышцы.
Перикардит способен выступать самостоятельным изолированным заболеванием или быть осложнением заболеваний других органов и систем.

Причины развития перикардита
- инфекционные (бактерии, вирусы, грибки, простейшие и др.),
- неинфекционные (аллергические заболевания, системные заболевания соединительной ткани, некоторые заболевания крови, нарушения обмена веществ, травмы, воздействие радиации, лечение некоторыми гормональными препаратами, онкологические заболевания ).
Встречаются идиопатические перикардиты (случаи заболевания перикардитом, когда причину воспаления установить невозможно).
В развитии перикардита играет большую роль изменение состава или количества перикардиальной жидкости под влиянием вышеперечисленных факторов.
Симптомы перикардита
Симптомы перикардита бывают сердечными и общими, степень и выраженность симптомов зависят от формы и стадии заболевания.
Основной сердечный симптом – боль в сердце, ощущается в 90% случаев. Боль обычно локализуется за грудиной или в левой половине грудной клетки, может отдавать в левую руку. Интенсивность боли различна: от почти незаметной до крайне острой, инфарктоподобной. Характер и интенсивность боли меняется в зависимости от положения тела. Боль уменьшается в положении лежа на правом боку с подтянутыми к груди ногами, при наклоне вперед. Происходит это потому, что в таком положении при сокращениях сердца воспаленные стенки сердечной сумки меньше соприкасаются. Боль усиливается при кашле, глубоком вдохе, лежа на спине. При некоторых видах перикардита боли может не быть совсем. Другой частый симптом – появление недостаточности кровообращения (одышка при напряжении и в покое, отеки )
К общим симптомам относят:
- слабость;
- потливость;
- утомляемость отсутствие или снижение аппетита;
- повышенная температура.
Если перикардит развился как осложнение другого заболевания, на первом плане могут присутствовать симптомы поражения других органов и систем.
Виды и формы перикардита
- Острый перикардит – до 1-2 месяцев от начала заболевания. Виды острого перикардита: экссудативный (выпотной), фибринозный (сухой).
- Подострый перикардит – от 2 до 6 месяцев от начала заболевания. Виды подострого перикардита: экссудативный (выпотной); адгезивный (слипчивый); констриктивный (сдавливающий).
- Хронический перикардит – более 6 месяцев от начала заболевания. Виды хронического перикардита: экссудативный (выпотной); адгезивный (слипчивый); констриктивный (сдавливающий); сдавливающий перикардит с кальцификацией («панцирное сердце»).
Экссудативный перикардит.
В результате воспалительного процесса происходит накопление большого количества жидкости в полости перикарда. Жидкость может содержать различные клеточные элементы и вещества, в зависимости от их наличия экссудативный перикардит делиться на некоторые подвиды (гнойный, геморрагический, уремический и т.д.).
Если выпот накапливается очень быстро, наружный листок перикарда не успевает растягиваться, происходит сдавливание камер сердца, резко падает сердечный выброс, развивается острая сердечно- сосудистая недостаточность. Этот процесс называется тампонадой сердца. Тампонада сердца - жизнеугрожающее состояние, требует экстренной госпитализации и лечения.
Если жидкость в полости перикарда накапливается медленно, успевает растянуться внешний листок перикарда, сдавливания стенок сердца и нарушения его работы не происходит. В полости перикарда может накапливаться более 1 литра жидкости. Увеличенная сердечная сумка иногда мешает нормальному функционированию расположенных рядом органов (пищевод, трахея, легкие, возвратный нерв), что проявляется нарушениями глотания, кашлем, осиплостью голоса и другими симптомами.
Фибринозный перикардит.
В перикардиальной полости образуется жидкость (воспалительный выпот), содержащая фибриноген. Часть жидкости отсасывается через лимфатические сосуды, но волокна фибрина оседают на листках сердечной сумки, ограничивая их движение.
Адгезивный перикардит.
При адгезивном перикардите в результате воспалительного процесса на листках перикарда разрастается соединительная ткань, образующая спайки.
Констриктивный перикардит.
При констриктивном перикардите в результате воспалительного процесса вся полость сердечной сумки заполняется рубцовой тканью, вызывая сдавление сердечных камер и нарушая функцию сердца.
Сдавливающий перикардит с кальцификацией («панцирное сердце»).
При «панцирном» сердце в результате воспалительного процесса листки перикарда уплотняются, спаиваются между собой, в них откладывается кальций. Жесткая и малоподвижная сердечная сумка нарушает работу сердца.

Диагностика и лечение перикардитов
Перикардит – заболевание очень «хитрое», в силу своих неспецифичных, на взгляд непрофессионала, симптомов и «маскировки» под некоторые другие заболевания. При подозрении на перикардит обязательна консультация кардиолога. При бессимптомном или малосимптомном течении перикардита диагностика заболевания затруднена. Залог корректного и эффективного лечения – качественная диагностика.
Очень важно, провести все необходимые исследования в максимально быстрые сроки. Может понадобиться:
- анализ крови (клинический, биохимический, иммунологический) – есть ли в крови признаки воспаления; - видно количество жидкости в перикардиальной полости; ; ;
- КТ грудной клетки;
- в некоторых случаях диагностическая пункция или биопсия перикарда.

Часто назначаются дополнительные исследования для уточнения причин перикардита.
Правильно интерпретировать результаты обследования и выработать схему лечения может только опытный врач. При грамотном, своевременном лечении прогноз, как правило, благоприятный. Методы лечения перикардита очень разные и зависят от его природы, течения, сопутствующих заболеваний. Лечение может быть как медикаментозное, так и хирургическое (пункция перикарда, биопсия перикарда, хирургическое лечение рубцов).
Виды перикардита, симптомы и основные принципы лечения
Признаки перикардита у взрослых и детей. Лечение экссудативного перикардита и других видов
Перикардит – острое заболевание ревматического, инфекционного, или постинфарктного характера. Патология чаще всего является осложнением болезни внутренних органов. Воспаление может сопровождаться образованием жидкости, которая скапливается в тканях сердца, чем замедляет его подвижность. В таком случае ставится диагноз выпотной перикардит, но существует еще несколько видов этого заболевания.
Симптомы перикардита у взрослых и детей
Основной признак рассматриваемого заболевания – сильная боль в груди, кашель. Больной отмечает облегчение состояния, когда наклоняет туловище вперед. Симптомы перикардита у взрослых и детей достаточно характерны:
- острая пронизывающая боль;
- усиление боли при кашле, глубоком вдохе и выдохе;
- неприятные ощущения в шее, лопатках, левой руке (не всегда);
- одышка в покое, усиливающаяся в положении лежа.
Существует ряд признаков, которые помогут дифференцировать воспаление перикарда:
- Адгезивный перикардит – ноющая боль в сердце, с постепенным нарастанием интенсивности, и одышка, усиливающаяся при физических нагрузках.
- Констриктивный перикардит – опасное состояние, при котором жидкость не выводится из тканей сердца, приобретая гнойный характер. Больного беспокоят отеки лица, нижних конечностей.
- Экссудативный – может развиться на фоне длительного повышения температуры. На фоне постоянных болевых приступов отмечается снижение артериального давления и замедление пульса.
- Фибринозный – жидкость в тканях сердца практически не скапливается, поэтому клиническая картина «смазана». Отеки отсутствуют, боль в груди ноющая, самочувствие в пределах нормы. Признаки фибринозного перикардита часто принимают за стенокардию, что приводит к неправильному лечению.
Выделяют еще несколько видов и форм перикардита – инфекционный, вирусный, грибковый. Такая классификация зависит от причины развития воспаления тканей сердца.
Диагностические мероприятия
Диагностика острого перикардита сердца не представляет трудностей – слишком характерны симптомы. Но выносить окончательный вердикт только по клинической картине нельзя. Для подтверждения диагноза необходимо полноценное обследование пациента. В рамках диагностических мероприятий назначают:
- рентгенограмму грудной клетки;
- электрокардиограмму – наиболее информативный вид обследования. Например, инфекционный перикардит на ЭКГ можно диагностировать и без четкой симптоматики;
- компьютерную томографию.
Врач должен получить результаты анализа крови – это даст возможность исключить сердечный приступ и выяснить, какие вирусы или бактерии стали причиной воспаления. Только при таких данных можно будет сделать грамотные терапевтические назначения.
Лечение перикардита – общие принципы
Лечение экссудативного перикардита и других видов воспаления начинают с назначения нестероидных противовоспалительных средств. Ибупрофен, Диклофенак в сочетании с Омепразолом снимает болевые приступы и снижает интенсивность воспалительного процесса. В случае позднего диагностирования заболевания, когда перикардит определяется как хронический, пациенту будет назначен Колхицин. Это отличное противовоспалительное средство, которое в сочетании с нестероидными противовоспалительными препаратами дает мощный болеутолящий эффект.
Назначение антибактериальной терапии уместно только в том случае, если диагностирован инфекционный перикардит. Важно выявить возбудителя, что поможет подобрать наиболее эффективные антибиотики. Лечение будет непродолжительным. Облегчение наступает уже через 5–7 дней терапии, но обычный курс длится 21 день.
Клинические рекомендации при травматическом перикардите несколько отличаются. В таком случае может не назначаться медикаментозная терапия. Больному достаточно придерживаться постельного режима, чтобы восстановиться после травмы. Если же причина перикардита – проникающее ранение грудной клетки, то применяется хирургическое вмешательство, а в дальнейшем – антибактериальная терапия.
Врач-кардиолог может в ходе ведения терапии менять медикаментозные назначения. Нередко применяют:
- Глюкокортикостероиды, обладающие мощным противовоспалительным эффектом. Именно они являются ведущими препаратами в терапии, если причиной хронического перикардита у детей стало аутоиммунное заболевание (красная системная волчанка и так далее).
- Диуретики (мочегонные). Эти средства способны быстро и безопасно выводить из организма лишнюю жидкость. Важно их принимать при отеках нижних конечностей, лица и шеи.
- Анальгетики наркотического ряда. Эти препараты используют в лечении перикардита крайне редко, так как могут привести к тяжелой наркотической зависимости.
Осложнения на фоне тяжело текущего перикардита
Прогнозы врачей, как правило, благоприятные. Если же перикардит протекает в тяжелой форме и лечение не было начато вовремя или проводилось неправильно, то возможно развитие осложнений:
- Сердечная недостаточность. Обычно развивается после констриктивного перикардита – сердечная ткань кальцинируется, становясь жесткой и мешая сердцу нормально двигаться, сокращаться.
- Тампонада сердца. Развивается при стремительной выработке жидкости в очаге воспаления. Экссудат заполняет собой все пространство и вызывает остановку сердца.
Подобные осложнения требуют немедленного оказания медицинской помощи, часто – хирургического вмешательства.
Лечение любого вида перикардита длится в среднем 3 месяца. После выздоровления человек может вести привычный образ жизни, но с ограничением физических нагрузок и периодическими осмотрами у врача-кардиолога.
Читайте также:
