Первичный остеоартроз плечевого сустава: атлас фотографий
Добавил пользователь Евгений Кузнецов Обновлено: 20.01.2026
Как и почему появляется деформирующий остеоартроз плечевого сустава?
Возрастным изменениям подвержены все суставы, включая плечевые. С годами суставы становятся более хрупкими и уязвимыми, обмен веществ ухудшается. Питательные вещества доходят до капсулы небольшими порциями и с опозданием, хрящи испытывают недостаток таких в строительных элементах как глюкозамин, хондроитин и гиалуроновая кислота. Смазочной синовиальной жидкости выделяется мало, хрящевой покров начинает разрушаться, что и приводит сначала к незначительным, а позже к острым болезненным ощущениям.
Однако все это может произойти не только с пациентами преклонного возраста, но и с молодыми людьми. Если их профессиональная и любительская деятельность предусматривает серьезные нагрузки на зону плеча, то плечевые суставы быстрее подвергаются дегенеративным изменениям, «приходят в негодность». Например, это касается пловцов, маляров или активных дачников, на плечи которых ложится существенная физическая нагрузка. В таком случае необходимо более интенсивное питание суставной капсулы. Человеческий организм просто не способен обслужить самого себя – глюкозамина и хондроитина синтезируется недостаточно, чтобы вовремя и полноценно восстанавливать хрящевые покровы, не допускать развития ОПС. С возрастом разрушение ускоряется, а естественные процессы заживления наоборот замедляются.
Итог – хрящ разрушается, кости трутся друг о друга, растут костные наросты. Если своевременно не остановить и не обратить процесс, объем движений сокращается настолько, что пациент полностью перестает двигать руками.
Помимо старения, факторы, провоцирующие остеоартроз – это:
Травмы. Например, переломы или вывихи. Даже неудачное падение на плечо может закончиться микротрещинами, которые в свою очередь станут предпосылками к раннему остеоартрозу.
Спорт или большие физнагрузки. Волейбол, баскетбол, гимнастика и даже занятия в тренажерном зале могут не пройти бесследно и запустить ОПС.
Генетическая предрасположенность.
Эндокринные или гормональные нарушения.
Перенесенные инфекционные или вирусные заболевания.
Врожденные аномалии скелета.
Дефицит нагрузок на плечевой сустав.
Сопутствующие заболевания. Например, патологии желчевыводящих путей и печени или болезнь позвоночника.
Переохлаждение.
Зачастую ОПС развивается сразу по нескольким причинам, из-за чего лечение остеоартроза плечевого сустава может быть комплексным. Например, нужно будет изменить рацион питания, урегулировать уровень гормонов и заняться гимнастикой.
Остеоартроз плечевого сустава: симптомы и лечение
Изначально заметить у себя остеоартроз очень трудно. В первые месяцы развития заболевания симптомы остеоартроза плечевого сустава отсутствуют. Это связано с тем, что в самой хрящевой ткани нет ни нервных окончаний, ни кровеносных сосудов. Первые признаки выявляют гораздо позже, когда смазочной жидкости уже стало меньше, а хрящевой покров ослабел и начал утрачивать защитные свойства.
Для ОПС характерны:
Хруст или щелчок во время движения.
Отечность плеча, деформация, повышение температуры в пораженной зоне.
Боль после пробуждения. Интенсивность снижается после небольшой активности.
Боль после физических нагрузок, которая стихает во время отдыха.
Если диагностировать патологию на начальных этапах, лечение деформирующего остеоартроза плечевого сустава пройдет максимально быстро и эффективно, поэтому важно «прислушиваться» к своим ощущениям, отслеживать изменения и вовремя обращаться к врачу. Остеоартроз опасен еще и тем, что возможны кратковременные «ремиссии», боль может исчезать, а потом возвращаться с удвоенной силой.
Первые 2 степени остеоартроза плечевого сустава: лечение возможно?
Существует 2 стадии ОПС, которые поддаются лечению, отличаются выраженностью изменений и симптоматикой:
1 степень остеоартроза плечевого сустава выделяется тем, что боль возникает очень редко или ее вообще нет. Человек ощущает легкую сдавленность, скованность после временной неподвижности сустава, а дискомфорт и спазм при значительных нагрузках.
2 степень проявляется усилением болевых ощущений. Особенно после подъема тяжестей или переохлаждения. Сама боль приобретает постоянный характер, может распространяться на всю руку, отдаваться в области лопаток. На этой стадии хрящ расслаивается, на нем появляются надрывы, костные наросты. Движения сопровождаются хрустом.
На 3-4 фазах болезни площадь разрушения увеличивается, рукой двигать сложно и очень больно. Даже поднесение телефона к уху требует больших усилий и терпения. Боли беспокоят как днем, так и ночью в состоянии покоя. Заметна припухлость, зона сустава на ощупь горячая.
Лечение остеоартроза плечевого сустава 1 степени может ограничиться препаратами, в то время как на 3 или 4 степени, скорее всего, потребуется операция, эндопротезирование сустава под общим наркозом. Отсутствие хирургического вмешательства грозит инвалидностью и полной дисфункцией сустава.
Как диагностируют остеоартроз?
Диагностика ОПС проводится врачом-ортопедом, ревматологом или травматологом. Исходя из жалоб пациента, визуального осмотра и прощупывания пораженной зоны, он ставит диагноз остеоартроз. Для подтверждения гипотезы могут потребоваться дополнительные обследования, среди которых:
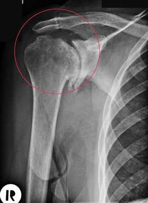
Рентгенография для обнаружения костных наростов, сужения суставной щели и других деформаций.
Артроскопия.
Магнитно-резонансная томография.
Ультразвуковое исследование.
Общий анализ крови.
Учитывая стадию заболевания, врач назначает индивидуальную терапию.
Как лечить остеоартроз плечевого сустава правильно?
К лечению ОПС нужно подходить комплексно, а не локально. Задачи всех терапевтических мероприятий: нормализовать обменные процессы, блокировать боль и убрать воспаление, усилить кровоснабжение плеча, укрепить иммунитет.
Нужно исключить или минимизировать большие нагрузки на область сустава, пересмотреть рацион питания (добавить больше белка, серы, селена и жирных кислот), записаться на физиотерапию. Например, на электрофорез, фонофорез, озонотерапию, ударно-волновую терапию и другие процедуры, улучшают обмен веществ, подвижность плеча, помогают устранить боль и расширить сосуды.
Кроме того, не обойтись без препаратов, поливитаминных комплексов, массажей. Лечебная гимнастика при остеоартрозе плечевого сустава также поможет в реабилитации суставов.
Гимнастика при остеоартрозе плечевого сустава
Во время терапии сустав стараются не перенапрягать, поэтому чрезмерная активность под запретом. Однако это не означает, что сустав вообще нельзя задействовать. Лечебная физкультура при остеоартрозе плечевого сустава нужна, чтобы постепенно вернуть нормальную амплитуду движений, улучшить кровоток, укрепить связки, поддерживать мускулатуру в тонусе и ускорить восстановление.
Корректирующей гимнастике рекомендуется посвящать 15-25 минут в день.
Заниматься можно в любое удобное время, в том числе и дома.
Частоту повторений и размах движений увеличивают постепенно. Они должны быть плавными и неспешными.
Если активность вызывает боль, занятие нужно временно прекратить.
Упражнения при остеоартрозе плечевого сустава:
Сесть на стул, выпрямить спину. Медленно выполнять круговые движениями вперед и назад. Не меньше 10-15 раз.
Лечь на спину, вытянуть руки ладонями вниз. Поочередно опускать и поднимать руки.
Стоя, отведите руки назад, сцепите в замок в области поясницы. Около 10-15 секунд тяните руки в разные стороны, словно собираетесь разъединить замок. Расслабиться и повторить.
Аналогичное предыдущему исходное положение. Тянуть соединенные в замок руки вверх, задержаться на 10 секунд, опустить. И так 5-10 повторений.
Внимание! Чтобы узнать подробнее о том, как лечить остеоартроз плечевого сустава с помощью ЛФК, и какие упражнения рекомендованы в конкретном случае, обращайтесь к доктору.
Медикаментозное лечение остеоартроза плечевого сустава
При ОПС принимают НВПС (нестероидные противовоспалительные средства) вместе с блокаторами протонной помпы, миорелаксанты, болеутоляющие, препараты для улучшения кровотока и хондропротекторы.
Обезболивающие и НВПС способны унять боль, слегка снять отечность и воспаление на короткий срок. Миорелаксанты хоть и избавляют от мышечных болей, но тоже не решают проблему целенаправленного разрушения хряща. Все эти средства только уменьшают интенсивность болевого синдрома. Временно устраняются симптомы, и лечение остеоартроза плечевого сустава, казалось бы, работает, но вскоре болезненные ощущения возвращаются и усиливаются. И только хондропротекторы помогут притормозить разрушение, вернуть подвижность и снизить потребность в анальгетиках.
Хондропротекторы для плечевых суставов!
Хондропротекторы – группа препаратов, которые стимулируют выработку коллагена, питают хрящ хондроитином и глюкозамином, регенерируют сустав. Артракам представляет собой отечественный хондропротектор, который восполняет недостаток стройматериалов естественного происхождения. Именно из-за их нехватки и развивается, прогрессирует остеоартроз.
Восстанавливает саму структуру хряща.
Увеличивает объем синовиальной жидкости, благодаря которой кости перестают тереться друг о друга, и, как следствие, исчезает характерный хруст.
Снижает и устраняет необходимость в НВПС и болеутоляющих.
Возвращает двигательную способность.
Хондропротекторы принимают курсами. Снятие основных симптомов ОПС происходит постепенно, поскольку препарат имеет накопительный эффект.
Восстановительная терапия остеоартроза суставов базируется на лечебной физкультуре, физиотерапии, приеме медикаментов, а главное – на хондропротекторах, которые можно принимать даже для профилактики суставных заболеваний!
Остеоартроз плечевого сустава: симптомы и лечение хрящевой ткани

На развитие остеоартроза плечевого сустава указывают трудности с отведением и подъемом руки, возникающие при этом дискомфортные ощущения. Человек намеренно избегает интенсивных движений, провоцирующих появление острых или ноющих, тупых болей. Остеоартроз 1-2 степени тяжести хорошо поддается консервативному лечению. А при сильном повреждении хрящевых и костных тканей сустава требуется хирургическое вмешательство.
Общее описание остеоартроза плечевого сустава
Остеоартрозом поражаются практически все структуры плечевого сустава — субхондральная кость, связки, капсула, синовиальная оболочка, периартикулярные мышцы. Но первым повреждается хрящ. Он становится менее прочным и эластичным, постепенно истончается и уплощается. Изменение состояния хрящевой прослойки приводит к утрате ей амортизационной способности. Теперь она не снижает ударные нагрузки, возникающие при сгибании или разгибании сустава.
Нередко течение заболевания осложняется воспалительным процессом. Поэтому его называют артрозо-артритом. Воспаление тканей, разрушение хряща становятся причиной разрастания костных тканей с образованием острых наростов — остеофитов.

Стадии заболевания
Выделяют 3 стадии остеоартроза плечевого сустава. Для каждой характерны свои симптомы и рентгенографические признаки. Но многие медики пользуются классификацией, разработанной Kellgren и Lawrence. Она описывает 4 этапа развития этого дегенеративно-дистрофического заболевания.
1 степень
На 0 рентгенографической стадии отсутствуют признаки разрушения суставного хряща. Не наблюдается и каких-либо специфических проявлений остеоартроза. Изредка возникают слабые дискомфортные ощущения, схожие с мышечным переутомлением. Обычно их провоцируют интенсивные физические нагрузки.
2 степень
На рентгенографических снимках заметно нечетное сужение суставной щели, приводящее к уменьшению подвижности плеча. На этой стадии появляются единичные остеофиты на краях суставных плоскостей. Возникают и первые болезненные ощущения после подъема тяжестей, выполнения монотонных движений, переохлаждения.
3 степень
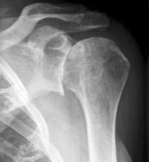
При остеоартрозе плеча 3 степени тяжести интенсивность болезненности усиливается, снижается объем движений, а при сгибании или разгибании сустава, отведении руки за спину отчетливо слышатся щелчки. На рентгенограммах обнаруживаются множественные костные наросты, субхондральный остеосклероз, заметное сужение суставной щели.

4 степень
На этой стадии сустав сильно деформирован, а его подвижность резко ограничена. Суставная щель практически полностью отсутствует. На снимках отчетливо визуализируются субхондральные кисты (полости с полужидким содержимым), обширные остеофиты. При заболевании 4 степени в суставе свободно перемещаются кусочки разрушенного хряща. Если они попадают между костными поверхностями, то образуется суставная «мышь», а плечо блокируется.
Причины возникновения болезни
Если остеоартроз развивается беспричинно, то его называют первичным, или идиопатическим. Но чаще он спровоцирован другими заболеваниями, например, гнойным воспалением сустава, ревматоидным артритом, системной красной волчанкой. Также причиной его возникновения становятся следующие патологические состояния:
- предшествующие травмы — переломы, вывихи, разрывы мышц, связок, сухожилий;
- врожденные диспластические изменения плечевого сустава;
- кишечные, урогенитальные, реже респираторные инфекции (гонорея, сифилис, туберкулез, бруцеллез);
- гемартроз — кровоизлияние в полость сустава; , при котором кости становятся хрупкими.
Спровоцировать развитие заболевания могут чрезмерные физические нагрузки, плохое кровообращение на фоне курения или низкой двигательной активности, ожирение, работа с токсичными веществами.
Симптоматика
Остеоартроз плеча на начальном этапе развития проявляется лишь слабыми дискомфортными ощущениями. Так как возникают они после тяжелой физической работы или долгого нахождения в одном положении тела, то человек списывает их на усталость. Тем более что дискомфорт быстро исчезает после отдыха. Но по мере разрушения, деформации плечевого сустава возникают и другие, выраженные симптомы остеоартроза:
- утром плечо отекает, припухает, выглядит несколько крупнее здорового;
- после пробуждения подвижность в нем ограничена в течение 30-40 минут;
- боли возникают в состоянии покоя, всегда усиливаются при резком движении плеча или руки;
- становятся привычными хруст, щелчки, потрескивание, сопровождающие практически каждое сгибание или разгибание сустава.
Если остеофитами травмируются мягкие ткани, то развивается воспалительный процесс. Боли усиливаются, нарастает тугоподвижность. Течение заболевания нередко осложняется синовитами — острым, а затем хроническим воспалением синовиальной оболочки. На него указывают сильная отечность плеча, покраснение кожи, повышение местной температуры.

Выявление патологии
Наиболее информативна при остеоартрозе плечевого сустава рентгенография. По характерным рентгенографическим признакам можно выявить не только само заболевание, но и его стадию и особенности течения. При подозрении на воспаление тканей, а также для более детального изучения состояния сустава проводится МРТ, КТ. Выполнение артроскопии позволяет сделать прицельный забор биологических образцов:
Проведение биохимических исследований, морфологическое изучение биоптатов помогает оценить дегенеративно-дистрофические изменения в структурах плечевого сустава.
Как лечить остеоартроз плечевого сустава
Восстановить разрушенные хрящи и деформированные костные поверхности невозможно. Поэтому основными целями лечения становится улучшение самочувствие больного, повышение объема движений, профилактика прогрессирования остеоартроза. Пациентам рекомендуется снизить нагрузки на плечо, не находиться длительное время в одном положении тела. Показано ежедневное ношение эластичных бандажей. Ортопедические приспособления за счет некоторого ограничения подвижности фиксируют суставные структуры, не дают костным наростам травмировать мягкие ткани.
Препараты
В качестве обезболивающих средств применяются нестероидные противовоспалительные препараты (НПВП). Умеренные боли устраняют приемом таблеток Найза, Кеторола, Целекоксиба, Эторикоксиба, Диклофенака. От слабых дискомфортных ощущений избавляются нанесением мазей и гелей Вольтарен, Фастум, Индометацин, Нимесулид, Кетопрофен. А при острых болях внутримышечно вводят Ортофен, Мовалис, Кеторолак, Лорноксикам. В терапии используются препараты и других клинико-фармакологических групп.

| Группа препаратов для лечения остеоартроза плеча | Наименования лекарственных средств | Терапевтическое действие |
| Согревающие мази и гели | Випросал, Капсикам, Финалгон, Эфкамон, Апизартрон | Обезболивающее, улучшающее кровоснабжение тканей питательными веществами |
| Глюкокортикостероиды | Дипроспан, Триамцинолон, Гидрокортизон, Дексаметазон | Выраженное анальгетическое, противовоспалительное, противоотечное |
| Хондропротекторы | Артра, Структум, Алфлутоп, Хондроксид, Дона | Стимулирующее частичную регенерацию хрящевой прослойки |
| Витамины группы B | Комбилипен, Мильгамма, Нейробион, Нейромультивит | Улучшающее питание тканей и передачу нервных импульсов |
Физиотерапия
Физиотерапевтические процедуры редко используются как самостоятельный метод лечения остеоартроза плеча. Они комбинируются с ЛФК, массажем, курсовым приемом хондропротекторов,анальгетиков. Больным назначается до 10 сеансов магнитотерапии, лазеротерапии, УВЧ-терапии, ударно-волновой терапии. После проведения процедур улучшается лимфоотток, кровообращение, ускоряется выведение продуктов распада тканей.
Снизить выраженностей болей помогает электрофорез с анестетиками, гормональными средствами. А аппликации с озокеритом или парафином хорошо прогревают плечо, устраняя тугоподвижность.

Мануальная терапия
Во время сеансов мануальной терапии практикуется глубокая пальпация, поэтому к лечению приступают только после устранения болей, купирования воспаления. Врач воздействует руками на мышцы, выполняя разминания, растирания, поглаживания, вибрирующие движения. В результате укрепляется скелетная мускулатура плечевого пояса, значительно повышается объем движений.
Лечебная гимнастика
Это самый эффективный метод лечения патологии. Если прием препаратов помогает избавиться от болей, то ежедневные занятия позволяют не допустить ее появления. После изучения результатов диагностики врач ЛФК составляет комплекс упражнений индивидуально для пациента. Какие их наиболее эффективны:
- сжимание, разжимание пальцев в кулак;
- отведение руки в сторону;
- круговые вращения плечами.
Упражнения нужно выполнять плавно, так как при резких движениях одновременно с укреплением мышечного корсета будут еще сильнее разрушаться хрящи.
Оперативное вмешательство
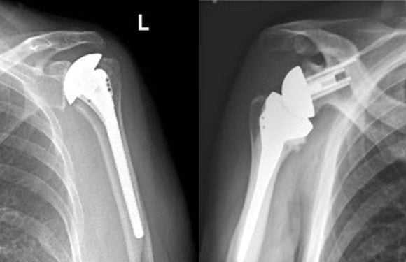
Пациентам с тяжелыми повреждениями плечевого сустава показано эндопротезирование. Замена сочленения искусственным имплантатом позволяет полностью восстановить объем движений, вернуться к активному образу жизни.

Также проводятся следующие хирургические операции:
- околосуставная остеотомия — распиливание и сопоставление костей в анатомически правильном положении;
- артропластика — иссечение остеофитов, реконструкция костных поверхностей;
- артроскопический дебридмент — удаление поврежденных тканей эндоскопическим методом.
Крайне редко используется артродез — обездвиживание костных структур плеча в функционально выгодном положении.
Народная медицина

Возможные осложнения заболевания
При длительном прогрессировании остеоартроза плеча часто развивается вторичный реактивный синовит. После перенесенных ОРВИ, гриппа, переохлаждения воспаляется синовиальная оболочка, сочленение увеличивается в размере, ускоряются дегенеративные процессы. Тяжелое течение заболевания приводит к сращению суставной щели, полному или частичному обездвиживанию.
Профилактические рекомендации
К мерам первичной профилактики относятся исключение нагрузок на сустав, своевременное лечение инфекционных, эндокринных, системных воспалительных заболеваний. Необходимо обязательно обращаться к травматологу даже при кажущихся незначительными травмах плеча. Врачи рекомендуют отказаться от курения, включить в рацион жирную рыбу, свежие овощи, фрукты, богатые жиро- и водорастворимыми витаминами.
Для предупреждения обострений остеоартроза следует не переохлаждаться, пользоваться эластичными, в том числе согревающими бандажами. Избежать рецидивов помогут ежедневные занятия лечебной физкультурой.
Заключение и прогноз
Полное восстановление пораженного остеоартрозом хряща у взрослых пациентов невозможно. Но соблюдение всех врачебных рекомендаций позволяет улучшить функционирование плечевого сустава, полностью устранить болезненные ощущения. Если врач настаивает на хирургическом вмешательстве, то откладывать его не стоит. Проведение операции и дальнейшей реабилитации — единственный способ вернуться к активному образу жизни при сильной костной деформации, тяжелом повреждении хряща.
Деформирующий остеоартроз плечевого сустава: лечение 1-2-3 степени
Костно-хрящевые соединения в организме человека подвержены естественным инволюционным процессам. Для обычного гражданина эта фраза означает, что чем старше он становится, тем выше риск проблем с различными суставами, в том числе и плеча. Более 10% населения старше 40 лет испытывают начальные симптомы поражения плечевого сустава, а к 55 годам эта цифра увеличивается до 65-70%.

Несмотря на большую распространенность болезни, в МКБ 10 не существует прямого указания именно на дегенеративно-дистрофическую патологию плеча. Близкий по значению код – М 19 — требует уточнения степени и зоны поражения опорно-двигательного аппарата. Болезнь ухудшает качество жизни человека, однако при рациональном подходе к лечебным мероприятиям удается практически полностью нивелировать проблему.
Причины заболевания и провоцирующие факторы
Деформирующий артроз плечевого сустава – это многофакторная болезнь, которая связана с дегенерацией и дистрофическими изменениями костной и хрящевой ткани сочленения. Если к проблеме приводят только возрастные особенности человека, то она развивается у людей старшей возрастной группы. При иных провоцирующих факторах ДОА плечевого сустава может формироваться в любом возрасте: около 85% всех больных, страдающих от этого заболевания — старше 50 лет.

Точный процесс, который дает толчок дегенеративно-дистрофическому процессу в плечевом суставе, не установлен. Предполагается роль нескольких этиологических факторов:
- генетическую слабость костной и хрящевой ткани;
- эндокринологическую патологию – сахарный диабет, нарушения обмена кальция;
- аутоиммунное воспаление в суставе;
- травмы и операции;
- постоянные физические перегрузки плеча, связанные с подъемом и перемещением тяжести;
- вибрация верхней конечности;
- нарушения регионарного кровотока.
В старшей возрастной группе ДОА плечевого сустава может развиться практически у любого человека. Однако чаще всего проблема формируется у следующих лиц:
- страдающих хронической патологией сердца;
- имеющих эндокринные болезни;
- работающих грузчиками, сверлильщиками или дробильщиками;
- с наличием лишнего веса;
- с врожденными или приобретенными пороками развития сосудистого русла, снабжающего кислородом верхний плечевой пояс;
- у профессиональных спортсменов, резко заканчивающих тренировки.
Предрасполагает к развитию болезни злоупотребление алкогольными напитками, так как ухудшается иннервация плечевого сустава, что приводит к ускорению дегенеративно-дистрофических изменений хряща.
Клинические симптомы
На протяжении длительного времени никаких проявлений больной не отмечает. Деформирующий артроз плечевого сустава 1 степени протекает субклинически, давая о себе знать при самых экстремальных нагрузках. Однако болезнь уже фиксирована, костно-хрящевой субстрат сочленения поврежден, поэтому заболевание будет неуклонно прогрессировать. Первые симптомы появляются незаметно на фоне полного общего соматического благополучия. К ним относятся:
- непостоянные боли в пораженном плече, чаще на фоне физической нагрузки;
- ограничение движений в суставе;
- снижение мышечной силы в руке;
- невозможность завести руку назад;
- в покое и расслабленном состоянии все симптомы отсутствуют.
Небольшие болезненные проявления могут сохраняться довольно долго, хотя при сохранении провоцирующего фактора, например, занятий спортом, болезнь быстро прогрессирует.
Очень важно именно при появлении первых симптомов обратиться за помощью. Прогрессию ДОА плечевого сустава 1 степени можно полностью остановить, что сохранит функцию конечности. Существует простой способ установить, есть ли у человека начинающийся артроз. Для этого достаточно завести руки за спину и скрестить вместе на уровне чуть выше поясницы. При наличии болей в плече при выполнении этой простой манипуляции либо невозможности сделать упражнение нужно срочно обращаться к ортопеду.
С течением времени и без лечебных мероприятий болезнь неуклонно будет прогрессировать. Нарастающие симптомы проявляются так:
- боль в плече при любых движениях;
- нарушения сна – ноющие ощущения нарушают процесс засыпания;
- резкое ограничение функции верхней конечности;
- атрофия мышц плеча и предплечья;
- грубая видимая деформация в зоне плечевого сустава.
При неблагоприятном течении болезни наблюдается полное отсутствие движений в плече, а рука теряет функциональность. Обычно процесс односторонний, но при наличии генетической предрасположенности возможно и поражение симметричного сустава. Это ведет к тяжелым расстройствам верхнего плечевого пояса, поэтому разговорное выражение «как без рук» для таких больных имеет буквальное значение. Чтобы не допустить тяжелых последствий деформирующего артроза в плечевом суставе, необходимо определить заболевание на ранних стадиях, чтобы остановить дегенеративно-дистрофический процесс.
Как вовремя установить диагноз
Ранняя диагностика имеет жизненно важное значение. Хотя болезнь не вызывает летальных исходов, в результате грубой деформации резко нарушается кровоток плеча. Исход — повышенное тромбообразование в крупных сосудах, снабжающих кровью верхнюю конечность. Кроме того, при тяжелых клинических проявлениях резко страдает качество жизни больного. Поэтому диагностику необходимо проводить досконально, стараясь выявить болезнь на самых ранних стадиях.
В программу обследования входят:
- клинический минимум;
- расширенная биохимия крови;
- «ревматологическая панель»;
- рентгенография сустава в двух проекциях;
- компьютерная томография плеча; при наличии сомнений в диагнозе;
- артроскопия в сложных клинических случаях с проведением лечебных мероприятий.
Обычные анализы даже на поздних стадиях не обладают большой диагностической значимостью. Однако их выполнение позволяет исключить системный характер заболевания.
Деформирующий артроз плечевого сустава 1 степени на рентгенограмме практически незаметен. Иногда удается установить небольшое сужение суставной щели. Однако при более серьезном обследовании – КТ или МРТ, поражение костно-хрящевой структуры четко заметно. Видны начальные деформации суставных поверхностей, отек подлежащих мягких тканей, небольшая узурация.
Деформирующий артроз плечевого сустава 2 степени проявляется уже значительными изменениями. Их можно представить так:
- резкое сужение суставной щели;
- деструкция суставных поверхностей; – костные разрастания;
- дефицит хрящевой прослойки;
- грубая узурация костных структур;
- остеопорозные изменения плечевой кости.
ДОА плечевого сустава 2 степени уже необратим, поэтому нужно стремиться к установлению диагноза именно на 1 стадии.
Терминальный процесс сопровождается грубой деформацией суставных поверхностей с полным исчезновением синовиальной жидкости. Хрящевые структуры истончаются, движения в сочленении прекращаются, формируется контрактура, а затем анкилоз. В этой стадии только хирургическое лечение способно облегчить жизнь больного.
Лечение деформирующего артроза плечевого сустава
Терапевтические мероприятия на ранних стадиях способны восстановить активность в суставе, а прогрессию ДОА — резко замедлить. При значительном поражении суставных поверхностей правильное лечение способно улучшить качество жизни больного. Только при терминальном состоянии сустава, когда наблюдается полный анкилоз, консервативные мероприятия малоэффективны, однако существует хирургическая практика восстановления активности движений.
Комплексные лечебные мероприятия включают:
- медикаментозную терапию;
- физиопроцедуры;
- ЛФК и массаж;
- иглорефлексотерапию;
- санаторно-курортное грязевое лечение;
- ношение бандажей и ортезов, улучшающих функцию конечности;
- малоинвазивные хирургические мероприятия;
- при отсутствии эффекта – радикальное оперативное вмешательство.
Основа консервативной терапии – медикаментозное лечение. Препараты, облегчающие болезненные ощущения и стабилизирующие выработку синовиальной жидкости, назначаются, вплоть до полного анкилоза. Это позволяет улучшить качество жизни больных и немного замедлить прогрессирование заболевания. Ниже в таблице рассмотрены основные препараты, способы введения и дозы при различных стадиях деформирующего артроза.
| Препарат/стадия болезни | ДОА 1 степени | ДОА 2 степени | ДОА 3 степени |
| Диклофенак | Как и другие НПВС, принимается периодически внутрь при болях. Средняя доза – 75 мг в сутки. Прием эпизодический, по потребности | Внутрь и внутримышечно. Дозы — от 75 до 150 мг. Курсами по 10 дней с перерывами на период ремиссии болезни. Можно заменить на НПВС с более сильным анальгетическим эффектом (кеторолак, кетопрофен) | Для снятия болей до оперативного вмешательства в максимальных дозах. Комбинируется с простыми анальгетиками. При несвоевременной операции долговременный прием быстро приводит к побочным эффектам |
| Гидрокортизон | Не используется | Применяется регулярно, как основа внутрисуставной терапии. Средняя доза — 25-50 мкг. Кратность введения – до 3 раз в год | Используется только при наличии внутрисуставной щели. Введение в окружающие ткани неэффективно и опасно |
| Хондроитин сульфат | Основа лечения – постоянный прием для профилактики прогрессирования болезни. Дозы высокие – 1500 мг в сутки в комплексе с глюкозамином. Курс лечения – до 3 лет без перерыва, иногда пожизненно | Применяется постоянно для замедления прогрессирования болезни совместно с НПВС. Радикально помочь препарат не способен. Дозы — 500-1000 мг | Не используется – нет субстрата для применения |
| Мидокалм | Не используется | Периодически для облегчения движений в дозе 450 мг в сутки внутрь, курсы лечения — по 14 дней до 4 раза за год | Периодически для снятия болевых ощущений совместно с НПВС и анальгетиками. Внутрь и внутримышечно, средняя доза — 150-300 мг |
| Простые анальгетики | Эпизодически однократно для облегчения болей. Средняя доза в пересчете на парацетамол — 500 мг | Периодически для усиления эффекта от НПВС. Доза — до 1000 мг в пересчете на парацетамол или анальгин. Максимум — до 3 раз за сутки | До оперативного лечения в постоянном режиме для усиления НПВС, дозы — до 4 грамм в сутки |
Основу профилактической терапии для восстановления синовиальной жидкости при деформирующем артрозе плечевого сустава 1 степени составляют хондропротекторы. Чем раньше начат их прием, тем вероятнее стабилизация состояния хряща. При наличии массивных узураций и сужения суставной щели хондропротекторы помогут замедлить прогрессию болезни, что позволит снизить дозу НПВС и внутрисуставных инъекций гормонов.
Совместно с медикаментозной терапией обязательно используется физиолечение, массаж и иглоукалывание. Методики позволяют улучшить кровоток в зоне плечевого сустава, усилить собственные защитные возможности организма. Физкультура механическим способом облегчает движения, так как активно разрабатывается не только сам сустав, но и окружающие мышцы. Курсы вспомогательных методов лечения проводятся 2-3 раза в год, в зависимости от индивидуальных особенностей больного.
Хирургия
Существует две категории оперативных вмешательств – паллиативные, или малые, направленные на облегчение течения заболевания и улучшение функции конечности, а также радикальные. К первым относятся внутрисуставные инъекции гормонов, хондропротекторов или местных анестетиков. Это снижает воспаление, ускоряет снятие болей, но радикально повлиять на течение болезни невозможно. Эффективность инъекций хондропротекторов, хотя и очень распространенных в мировой практике, не доказана. Частое проникновение в полость сустава увеличивает вероятность развития гнойных осложнений.

Другим малоинвазивным вариантом оперативного вмешательства является артроскопия. В полость сустава вводится эндоскоп, что позволяет не только с диагностической целью осмотреть внутреннюю поверхность, но и выполнить паллиативные вмешательства на ней. Артроскопия применяется, когда невозможно точно установить диагноз, а также при резком некупируемом болевом синдроме для микрохирургических манипуляций.
Радикальных операций две – артродез и эндопротезирование. В первом случае сустав выключается из активных движений путем плотной фиксации. Это приводит к полному устранению болевого синдрома, но столь же неотвратимо блокирует любые движения в нем. Эндопротезирование – отличный вариант вернуть больному радость движений. Однако в настоящее время протезы применяются ограниченно, только в крупных городах в единичных медицинских центрах. Распространению подобной хирургической тактики мешает сложность операции и низкая обеспеченность протезами небольших мегаполисов.
Деформирующий артроз плечевого сустава – очень серьезное заболевание. На кону стоит функциональная возможность работы верхней конечности. При начальных стадиях прогноз всегда благоприятный. Но с течением времени, по мере развития дегенеративно-дистрофических изменений он ухудшается. При наличии анкилоза возрастает даже вероятность смерти от любых причин, что связано с повышенным риском травматизации и тромбоэмболических осложнений.

Если сформировалась тяжелая контрактура, больному можно помочь в специализированных травматологических центрах. Основу радикальной помощи составляет эндопротезирование, которое в 85% случаев улучшает качество жизни пациента. Постоянный прием хондропротекторов повышает стабильность сочленения, замедляет атрофию хрящевой ткани. Однако доказательная медицина не спешит уверить врачей и пациентов в гарантированном эффекте при наличии даже 2 стадии ДОА плечевого сустава. В любом случае при появлении первых симптомов необходимо срочно обратиться к ортопеду для получения исчерпывающей консультации.
Симптомы и лечение артроза плечевого сустава
Артроз плечевого сустава - это пожизненное дегенеративно-дистрофическое заболевание, при котором в первую очередь поражается суставной хрящ, а впоследствии - и головки костей, образующих плечевое сочленение. Вызывая сильные боли и нарушение подвижности в суставе, артроз может приводить к утрате трудоспособности и значительным трудностям при бытовом самообслуживании. Также он чреват переходом дегенеративного процесса на позвоночник, в особенности, на шейный отдел.

Хотя симптомы артроза плечевого сустава обычно возникают у людей старше 45 лет, болезнь может развиться и у совсем молодых пациентов - вследствие травмы, инфекций, переноски тяжестей с неправильным распределением нагрузки, нарушений осанки. Оставлять без лечения симптомы артроза плечевого сустава нельзя - через несколько лет или десятилетий это может привести к сращению костей и полному блокированию плеча. Особенно болезненно такое состояние воспринимается потому, что патология обычно поражает основную руку (правую - у правшей, левую - у левшей).
Симптомы артроза плечевого сустава
Симптомы и лечение артроза плечевого сустава будут меняться с учетом стадии заболевания. Выделяют 3 стадии, для которых специфичны следующие симптомы:
- 1-я стадия. Боль при артрозе плечевого сустава в начальной стадии локализуется непосредственно в самом сочленении, но может отдавать и в лопатку. Характер болей, преимущественно, ноющий или тупой, с тенденцией к усилению после нагрузок или в течение трудового дня. Острые боли и боли в состоянии покоя отсутствуют. При рентгенологическом исследовании можно выявить незначительное сокращение просвета суставной щели и редкие остеофиты (костные выросты в виде шипов, бугорков, крючков, “козырьков”). На этой стадии заболевание наиболее отзывчиво к лечению и считается условно обратимым.
- 2-я стадия. Болевой синдром усиливается и сохраняется во время отдыха, беспокоит пациента по ночам. Появляется сухой грубый хруст в плече и затруднения при движении (как будто в сустав насыпали песка). Характерны для артроза плеча 2-й степени сильные отеки, повышение температуры мягких тканей и другие симптомы воспаления, которые налагают ограничения на привычную повседневную активность пациента. Начинается постепенная атрофия мышц, которая выражается в “усыхании” мышечной ткани. Некоторые пациенты отмечают также спастическую напряженность мышц и неспособность выполнить некоторые движения (обычно в крайнем положении плечевой кости).
- 3-я стадия. Сковывающие боли при артрозе плечевого сустава 3-й стадии мешают выполнению трудовых обязанностей и здоровому сну. Появляется ярко выраженное ограничение подвижности в суставе, одеревенелость рук и спины. Визитной карточкой этой стадии можно считать деформацию плечевого сустава, которая становится заметной даже невооруженным глазом.
Боль - наиболее заметный для пациента симптом артроза плечевого сустава. Ее причина - появление эрозий, потертостей на поверхности синовиального хряща. Они делают суставные поверхности шероховатыми, создают трение и препятствуют здоровому скольжению суставных элементов. Впоследствии свой вклад в усиление болевого синдрома вносят остеофиты, которые травмируют околосуставные ткани. Обычно боль возникает в конце трудового дня или после сильной нагрузки (например, тренировки в спортзале). Поначалу боль при артрозе плечевого сустава отступает после отдыха, из-за чего ее ошибочно приписывают переутомлению или перегрузке. Однако вскоре пациент замечает сильное и прогрессирующее снижение выносливости.
Позже, без лечения артроза плечевого сустава, боли из тупых переходят в острые, локализованные в области ключично-лопаточного треугольника. Резкая болезненность при физических нагрузках может быть практически нестерпимой. Впоследствии сильная ноющая боль беспокоит пациентов даже в ночное время. Характерно, что боли при артрозе плечевого сустава усиливаются при попытке поднять руки вверх или завести их за спину. Часто перевод рук в такое положение сопровождается глухими щелчками, хрустом, треском.
Хруст в плече
Хруст в плече - это симптом артроза плечевого сустава, который усиливается по мере износа суставных поверхностей. Важно знать, что хруст в плечевом суставе считается физиологической нормой, и звонкие щелчки нередко можно услышать даже у здоровых людей Такие безвредные щелчки обычно возникают из-за лопающихся при сдавлении пузырьков воздуха в суставной жидкости.
Говорить об артрозе плечевого сустава на основе хруста можно лишь в том случае, если он сопровождается болью и ограничением подвижности. Также беспокойство вызывает глухой, “тяжелый” хруст (как будто кости трутся, “цепляются” друг за друга).
Нарушение подвижности в плечевом суставе
Амплитуда произвольных движений сокращается из-за сужения суставной щели. Просвет суставной щели может сокращаться из-за истончения хряща и разрастания остеофитов. Также частично блокировать плечо может воспалительный отек. На поздних стадиях болезни возникают контрактуры (стойкие ограничения подвижности) и даже анкилоз (полное сращение костей).
Нарушения подвижности как симптом артроза плечевого сустава обычно сопровождаются тянущими, ноющими или резкими болями при попытке завязать фартук, развесить белье, повернуть руль или выполнить другие бытовые действия. По утрам больных беспокоит скованность, которая сперва проходит после обычной утренней активности, а потом - может продолжаться весь день. Характерно, что скованность сопровождается периодическими мышечными спазмами из-за постоянного напряжения.
Деформация плеча
Деформация плеча становится заметной уже на 3-й стадии артроза, когда единственным вариантом лечения может быть хирургическое. По мере истощения суставного хряща запускаются компенсаторные механизмы замещения: костная ткань разрастается на место хрящевой, чтобы сохранить стабильность опорно-двигательного аппарата. Из-за разрастания остеофитов и изменения структуры хряща начинается деформация костной ткани, которая также претерпевает износ.
Наружные контуры сустава изменяются также за счет отека, который возникает из-за перевыработки синовиальной жидкости и нарушения обменных процессов в очаге воспаления.
Деформация плеча свидетельствует о том, что хрящ полностью разрушен, а дегенеративный процесс перешел на головки костей. Закономерным итогом этого, помимо деформации и нарушения конгруэнтности (совпадаемости) суставных поверхностей, становится укорочение связок и дистрофия мышц.
Лечение артроза плечевого сустава
Лечение артроза плечевого сустава подбирается индивидуально для каждого пациента с учетом степени заболевания, индивидуальных особенностей его течения, дальнейшего прогноза и сопутствующих заболеваний. Если процесс вторичен по отношению к основному заболеванию (подагра, сахарный диабет, ревматоидный артрит), то лечение артроза плечевого сустава проводится с привлечением профильных специалистов.
На 1-й стадии артроз плеча может быть полностью остановлен при помощи грамотного лечения и точного соблюдения клинических рекомендаций. На 2-й стадии его развитие можно существенно замедлить при помощи комплексной терапии (физиотерапия, фармакотерапия, ЛФК, здоровый образ жизни). На 3-й стадии, при массивном разрушении архитектуры сустава, большинству пациентов может помочь только хирургическая операция.
Хирургическое лечение артроза плечевого сустава
На последней стадии артроза возникают необратимые изменения костной ткани, поэтому для устранения болей и восстановления подвижности врачи предлагают установку эндопротеза. При этом происходит замена больного сустава на титановый или другой имплант.
Обычно к операции приходится прибегать только при запущенном, нелеченном артрозе. Однако при неблагоприятном течении болезни и неэффективности консервативной терапии хирургическое решение может стать единственным даже при полноценной терапии. Такие операции проводятся даже в молодом и среднем возрасте.
После установки импланта состояние пациента значительно улучшается, однако ему следует соблюдать ортопедический режим. Несмотря на свою “выносливость”, импланты не могут на 100% заменить здоровый сустав.
Если степень артроза позволяет обойтись малоинвазивным вмешательством, больному могут быть назначены:
- пункция сустава (изъятие воспалительного экссудата с последующим введением лекарственного средства);
- артроскопия сустава (“чистка” сустава от остеофитов и фрагментов отмершей ткани через небольшой надрез).
Физиотерапия при артрозе плечевого сустава
Физиотерапевтические методики облегчают симптомы артроза плечевого сустава и состояние больного, замедляют течение болезни. Некоторые виды физиотерапевтического воздействия способствуют разрушению остеофитов, улучшают поступление лекарственных средств непосредственно в очаг поражения, стимулируют кровообращение и помогают поддерживать объем мышечной ткани. Также они оказывают опосредованное влияние на скорость регенерации хрящевой ткани, устраняют отеки и воспаление.
К наиболее эффективным процедурам для снятия симптомов артроза плечевого сустава относятся:
- магнитотерапия;
- лазеротерапия;
- ударно-волновая терапия;
- электромиостимуляция;
- лекарственный электро- и фонофорез;
- массаж и мануальная терапия;
- ЛФК;
- бальнеотерапия (в особенности, скипидарные, хлоридно-натриевые ванны);
- криотерапия;
- озонотерапия;
- механотерапия.
ЛФК при артрозе плечевого сустава
Гимнастика для лечения артроза плечевого сустава включает преимущественно статические упражнения (когда нужно задержаться в заданной позиции). Такие упражнения способствуют укреплению мышц и связок и позволяют перенести нагрузку с больного сустава (активные движения в сочленении могут только травмировать его). ЛФК применяется для лечения артроза плечевого сустава только в состоянии ремиссии, т.е., при отсутствии симптомов воспаления. При болевых ощущениях гимнастику прекращают.
Оптимальными можно считать плавные упражнения для плечевого комплекса, которые выполняются в положении стоя или сидя. Их следует выполнять ежедневно, желательно - по 2-3 сеанса в день, чтобы обеспечить суставам разгрузку. Точный комплекс упражнений должен подбирать инструктор ЛФК или врач-реабилитолог - с учетом возраста, комплекции, анатомических особенностей и состояния пациента.
Медикаментозное лечение артроза плечевого сустав
Лечение артроза плечевого сустава медикаментами имеет перед собой следующие цели:
- устранение боли и симптомов воспаления;
- улучшение обменных процессов в хрящевой, костной и мягких тканях;
- восстановление хрящевой ткани.
Противовоспалительные препараты
Противовоспалительные средства (нестероидные и глюкокортикоиды) эффективно блокируют воспаление на 1-й и 2-й стадии болезни, однако дают лишь временный симптоматический эффект. Эта группа препаратов не вызывает структурные улучшения в хрящевой ткани и не сдерживает прогрессирование болезни. Поэтому без основной терапии НПВС и ГК со временем перестают работать.
Противовоспалительные средства для лечения артроза плечевого сустава выпускаются в виде таблеток, капсул, мазей и кремов, а также инъекций и ректальных свеч. НПВС для наружного применения можно использовать на постоянной основе; в других формах выпуска их, как правило, нельзя применять для лечения артроза плечевого сустава медикаментами дольше 12 дней.
Хондропротекторы
Препараты на основе хондроитина и глюкозамина - это единственная группа лекарств, способная запустить репаративные процессы в хрящевой прослойке. В сочетании с другими методами лечения артроза плечевого сустава хондропротекторы способны устранить эрозивные поражения хряща на ранних стадиях болезни, а также замедлить ее прогрессирование на более поздних этапах. Кроме того, хондропротекторы можно принимать в качестве профилактики артроза, если человек входит в группу риска (например, занимается тяжелой атлетикой или выполняет работу, связанную с тяжелым физическим трудом).
Как же они работают? В первую очередь, хондропротекторы улучшают качество синовиальной жидкости (суставной смазки) и делают ее более вязкой. При артрозе синовиальная жидкость часто вырабатывается в больших объемах, однако имеет скудный состав и низкую вязкость. Из-за этого она не может как положено питать хрящ и обеспечивать скольжение суставных поверхностей.
Хондропротекторы обогащают состав суставной смазки, что приводит к формированию более стойких хондроцитов, а также ускоряет регенерацию хряща. Принимать их следует от 2 до 6 месяцев в году - зато и эффект они обеспечивают пролонгированный. Такие хондропротекторы, как Артракам, удобны в приеме и помогли уже множеству пациентов. В отличие от других средств для лечения артроза плечевого сустава медикаментами, Артракам не имеет побочных эффектов.
Спазмолитики и витамины
Из-за дегенеративного процесса нагрузка, которую анатомически принимает на себя суставной хрящ, перераспределяется на костные структуры и мышечно-связочный аппарат. Это приводит к постоянным спазмам, которые не только причиняют пациенту боль, но и приводят к разрушению мышц, чувству хронической усталости и ухудшению подвижности в плечевом поясе.
Для снятия спазмов, которые возникают при прогрессировании болезни, используются спазмолитики, миорелаксанты и витамины группы В (также снимают воспаление).
Стимуляторы микроциркуляции
В лечении артроза плечевого сустава крректоры микроциркуляции крови выполняют две функции: они косвенно улучшают регенерацию хрящевой ткани и замедляют процессы ее разрушения, а также имеют умеренный противоотечный эффект. Эта группа препаратов способствует скорейшему выведению продуктов распада, которые образуются при гибели хондроцитов (а значит, организм вырабатывает меньше ферментов, которые могут повредить здоровые клетки). Поэтому они особенно эффективны при совместном применении с блокаторами ферментов.
Другие
В последние годы для лечения артроза плечевого сустава используют также генно-инженерные препараты (например, очищенную плазму крови пациента). Чаще всего применяется плазмолифтинг, при котором плазму вводят локально в очаг дегенеративного процесса. Эта процедура стимулирует кровообращение и регенерацию хондроцитов.
Профилактика артроза плечевого сустава
Профилактика артроза плечевого сустава заключается в следовании простым правилам:
- поддерживать ежедневную физическую активность;
- следить за осанкой;
- соблюдать здоровый ортопедический режим при выполнении бытовых и профессиональных обязанностей, а также во время сна;
- обустроить рабочее место таким образом, чтобы минимизировать нагрузку на плечевые суставы;
- отказаться от вредных привычек;
- разнообразить питание и отказаться от нежелательных продуктов;
- сбавить массу тела, если присутствует избыточный вес;
- не допускать перегрузок, а при занятиях спортом - соблюдать щадящий режим;
- ежегодно посещать ортопеда или ревматолога для обследования.
Врачи утверждают, что большую роль в развитии артроза плечевого сустава играет несбалансированный, бедный питательными веществами рацион. Поэтому они рекомендуют минимизировать потребление жирных, соленых, сладких и острых продуктов, отказаться от консервов, полуфабрикатов и другой процессированной пищи. Удовлетворить потребности организма и, в первую очередь, суставов, помогут холодцы, свиные хрящи (уши, ноги), жирная рыба северных морей, орехи, свежие фрукты и овощи, цельные злаки, нежирное мясо, молочная продукция, яйца. Такая диета позволяет уменьшить симптомы артроза плечевого сустава даже в том случае, если патологический процесс уже начался.
Многим людям среднего и старшего возраста знакома ситуация, когда при выполнении простых и привычных действий в быту вдруг возникает болевой дискомфорт в области плеча. Становится трудно разговаривать по телефону, держа долго трубку на весу, достать любимую книгу с верхней полки без посторонней помощи практически невозможно, а чтобы вбить гвоздь высоко в стене, об этом вообще не стоит думать.

При обращении к врачу-ревматологу или участковому терапевту с жалобами на боль в плечевом суставе консультирующий специалист ставит неутешительный и «страшный» диагноз — деформирующий артроз плечевого сустава. Лечение такого заболевания — длительное, требует терпения и дисциплины от пациента, так как комплексная терапия предусматривает не только медикаментозное лечение, но и при необходимости оперативное вмешательство.
Какие признаки, симптомы и степени развития деформирующего артроза существуют, как избавиться от боли в плечах?
Что такое деформирующий артроз, почему он возникает?
Деформирующий артроз плечевого сустава – это хроническая форма дегенеративного разрушения суставного хряща, при котором наблюдается стойкое нарушение функциональной работоспособности плечевого пояса и верхних конечностей. Заболевание суставов плечевой области широко распространен, поражает людей старше 45-50 лет.
Однако наиболее сложные патологии наблюдаются у людей старшего и пожилого возраста, когда суставные хрящи со временем изнашиваются. Без своевременного лечения процесс дегенерации суставной поверхности еще более осложняется, что приводит к инвалидности.
Признаки деформирующего артроза левого или правого плечевого суставов проявляются в остром болевом дискомфорте на фоне истончения хрящевой поверхности. Основная причина образования поверхностного разрушения сустава — солевые отложения, которые со временем деформируют и разрушают костную ткань.
В сочленяющихся суставных элементах подвижного соединения плечевой кости с лопаткой появляются грубые костные наросты, которые со временем ограничивают степень свободы движений всего плечевого механизма.
Причинно-следственные факторы проявления деформирующего артроза плечевого сочленения:
- поражение суставов инфекционным или бактериальным агентом;
- генетическая предрасположенность человека к артрологическим патологиям;
- нарушение эндокринной системы;
- результат хронического поражения костно-суставной поверхности артритом;
- мышечная слабость из-за недостаточного кровоснабжения;
- перенесенные травмы плечевого соединения;
- избыточная физическая нагрузка на плечи в течение длительного времени.
Болевая симптоматика и выбор терапии зависит от степени тяжести заболевания.
Стадии развития заболевания и их симптомы
Деформирующий артроз, при котором ограничивается свобода движений, появляется не сразу и не вдруг. Дегенерацию дистрофического разрушения суставной поверхности плечевого механизма можно разложить на три стадии.
| Клиническое состояние | Симптомы патологии | Рентгенологическая картина |
| Деформирующий артроз плечевого сустава 1 степени | При максимальной амплитуде отведения рук назад ощущается ноющая боль в плечевом регионе. Усиление болевых ощущений обостряется в ночное время | Рентгенограмма определяет на суставной впадине характерные наросты в виде ворсинок |
| Деформирующий артроз плечевого сустава 2 степени | Выраженный хруст при двигательной активности обусловлен мышечной атрофией. Болевой рефлекс различной степени интенсивности наблюдается при движении и в состоянии покоя | На рентгеновском снимке отмечается истончение хрящевой поверхности, определяется сужение межсуставной щели. На тканевой поверхности проявляются контуры костных наростов |
| Деформирующий артроз плечевого сустава 3 степени | У пациента определяется четко выраженная деформация (топографическое смещение оси сустава), при котором видны костные выступы в области плечевой кости и лопатки. Отмечаются постоянный болевой синдром, ограничение подвижности. Полное отведение и подъем руки невозможны | Суставная поверхность образована из рваных лоскутков, видны контуры омертвленных участков хряща на рыхлой поверхности суставной впадины |
Артрологическое поражение не всегда доходит до тяжелой стадии заболевания. Прогрессирование патологии может ограничиться 1 или 2 степенью, которая поддается медикаментозному, физиотерапевтическому и профилактическому лечению.
Осложняющая 3 стадия деформирующего артроза возникает при полном бездействии человека и/или его нежелании проводить лечебно-профилактические мероприятия.
Как помочь больному?
Современная медицина обладает достаточным количеством различных фармакологических средств лечения и прочих методов избавления от клинической симптоматики заболеваний 1-2 степени. Лечение деформирующего артроза плечевого сустава основано на курсе терапевтического медикаментозного реагирования, который обезболит и устранит воспалительный процесс посредством лекарственных препаратов.
Официальная медицина помогает лишь устранить симптоматический фактор. Полностью восстановить прочность и прежнюю эластичность суставных хрящей невозможно.
Терапия плечевого артроза 1 степени
Лечение и профилактика деформирующего артроза плечевого сустава 1 степени – это наиболее легкий вариант терапевтической деятельности. В схему медикаментозного лечения включают препараты обезболивающего, противовоспалительного действия, восстанавливающие потерянные двигательные функции сустава.
Важно соблюдение жесткой диеты, ограничивающей употребление жирной, соленой, копченой, маринованной пищи, как и физиопроцедуры для восстановления двигательной активности, гимнастические упражнения и специальный массаж, точечно воздействующий на проблемные места.
Натуральным строительным материалом для восстановления хрящевой поверхности является коллаген – фибриллярный белок, участвующий в укреплении соединительных тканей (дермы, связочно-сухожильного аппарата, мышц и так далее).
Благодаря этому натуральному компоненту удается поддерживать прочностные характеристики и эластичность костно-суставной структуры.

Некоторые фармацевтические компании, предлагающие препараты с активным содержанием свободных аминокислот гидролизата коллагена, имеют сомнительную репутацию, так как их состав содержит частично переработанные экстракты суставных тканей представителей морской фауны.
Такие фармакологические средства лечения не содержат необходимого для полноценного жизнеобеспечения суставов количества аминокислот L-глютамина, так как при термической переработке в промышленных масштабах они полностью утрачивают свои целебные свойства.
Надежнее и полезнее для суставов будут свежие морепродукты, в которых коллаген содержится в натуральном виде:
- креветка;
- морской краб;
- омар;
- морской лук, капуста;
- треска, камбала, минтай.

Обеспечить организм природным компонентом можно не только морепродуктами. Внимания заслуживают такие продукты:
- говядина, в которой коллагена содержится 2,6 г на 100 г продукта;
- индейка – 2,4 г/100 г;
- свинина – 2,1 г/100 г;
- курица – 0,7 г/100 г.
Чтобы поддерживать в организме достаточное количество коллагена, необходимо как можно чаще употреблять продукты с желатином.
Снять воспаление, на некоторое время уменьшить болезненность сочленений помогут анальгетики: для наружного применения — в виде мазей и гелей, а для внутреннего – инъекционные растворы.
В домашних условиях очень эффективны специальные упражнения с отягощением, например, заполненной водой пластиковой бутылкой:
- сидя на стуле с ровной спиной и держа в руках отягощающий предмет (1,5-2 кг), необходимо производить амплитудные движения вперед/назад, стараясь не сгибать руку в локте. Достаточно 10-12 ежедневных гимнастических повторов;
- опираясь коленом на стул, изгибаем слегка спину. С отягощающим предметом в руках начинаем расслабленные маятниковые движения прямой рукой вправо/влево. Упражнение выполняется по 5-10 раз в одну и другую стороны;
- лежа на полу, необходимо расположить бутылку выше лопаток. Плавными медленными движениями начинать раскатывать ее, двигая плечами вверх-вниз.
Домашние упражнения рекомендуется выполнять не спеша, но только при полном отсутствии обострения артроза.
Наравне с традиционным лечением по согласованию с лечащим врачом можно проводить домашнюю терапию при помощи народных средств лечения:
- компресс из березовых листьев (50 г) и разбавленного спирта (100 мл) окажет противовоспалительное, согревающее действие для ноющего плеча;
- ванны из морской соли улучшат обмен веществ, активизируют мышечное кровообращение, снимают на некоторое время симптоматическое воспаление плечевого сустава. На 100 л воды комфортной температуры необходимо 3-3,5 кг соли;
- согревающий эффект больным суставам плеча окажет камфорное масло, которое наносится на пораженную область, сверху покрывается пищевой пленкой и теплой тканью. Лечебная процедура выполняется перед сном.
Перед началом процедур домашнего лечения необходим разогревающий массаж больного места. Следует учитывать аллергическую реакцию на лечебные компоненты.
После каждого курса лечения (7-10 дней) обязательно обращение к врачу.
Медицинская помощь при плечевом артрозе 2 степени
Так как клиническая симптоматика при данном виде патологии – это постоянно ноющая боль, хруст, щелчки в плечевом соединении, то целесообразно начинать лечение с медикаментозной терапии. Никакая гимнастика, массаж или физиотерапия на этой патологической стадии не помогут.
Восстановить необходимую амплитуду движений, суставную подвижность можно при помощи нестероидных противовоспалительных комбинаций, обезболивающих, противоревматических препаратов:
Амелотекс® – нестероидная противовоспалительная лекарственная форма, обладающая ферментативной активностью в биосинтезе воспалительной области. Фармакологическое средство оказывает жаропонижающее, противоревматическое действие. Лекарственный препарат предназначен для симптоматического болевого устранения при остеоартрозах, ревматоидном артрите, воспалительных процессах заболеваний суставов, сопровождающихся дегенеративным нарушением. Препарат не рекомендуется людям с повышенной чувствительностью к активному веществу — мелоксикаму, беременным женщинам, людям с хроническими патологиями желудочно-кишечного тракта, мочеполовой системы;
Эти средства представлены в ознакомительных целях. Решение о назначении лекарственных препаратов принимает только лечащий врач. Лишь после устранения основного болевого симптома можно начинать лечение физиотерапевтическим воздействием, массажем, средствами народной медицины.
Хирургическое лечение плечевого артроза 3 степени
Тяжелая суставная патология плечевого соединения не поддается традиционному медикаментозному лечению. Полную неподвижность суставным сегментам опорно-двигательной системы обеспечивают крупные костные разрастания, мышечная атрофия, деформационные состояния тканевой структуры плечевого сочленения.
В медицине практикуется артроскопия плечевого сустава — малоинвазивный метод хирургического вмешательства. Сущность хирургической манипуляции заключается в доставке в суставную полость ирригационной жидкости для размежевания суставов.
Благодаря такому способу лечения спустя некоторое время человек ощущает значительное симптоматическое облегчение. Больные суставы на некоторое время приобретают определенную степень подвижности. Однако единственно отрицательный момент – это необходимость повторного хирургического прокола в случае рецидива.
Вернуться к активной и привычной жизни поможет более эффективный способ хирургического воздействия при деформирующем артрозе плечевого сустава. Эндопротезирование – это сравнительно молодой вид оперативной коррекции, который позволяет заменить атрофированный больной сустав на его искусственный аналог.

Эндопротезы — цементные и бесцементные — различаются способом крепления к кости. В зависимости от заменяемых частей сустава различают два вида протеза:
- гемиартропластика, когда заменяется только головка плечевой кости;
- тотальный протез, когда необходима полная замена плечевого сустава.
Сделать оперативную замену сустава можно в специализированных клиниках России, Израиля, Германии, Чехии и Франции, которые оснащены высокотехнологичным оборудованием и качественными материалами для эндопротезирования.
Профилактика заболеваний
В народе говорят, что артрит и артроз плечевого сустава – это заболевание штангистов и грузчиков. Исходя из народной мудрости, легко предположить, что лечебной профилактикой ревматических и артрологических заболеваний плечевого пояса станет ограничение тяжелого физического труда, поднятия и переноса тяжестей.
Максимально щадящий режим особенно важен в старшем и пожилом возрасте, когда дегенеративно-дистрофические преобразования суставов вступают в активную фазу.
Читайте также:

