Плазмоцитома и лимфоплазмоцитоидная опухоль глазницы: признаки, гистология, лечение, прогноз
Добавил пользователь Евгений Кузнецов Обновлено: 28.11.2025
Плазмоцитома: причины появления, симптомы, диагностика и способы лечения.
Определение
Плазмоцитома – это злокачественная В-клеточная опухоль. Ее субстратом является плазматическая клетка (плазмоцит). Плазмоциты образуются из лимфоцитов группы В, их основная функция – производство защитных белковых соединений – иммуноглобулинов, в ответ на внедрение в организм патогенных микроорганизмов.
При плазмоцитоме в результате хромосомных нарушений возникают патологические В-клетки, которые дифференцируются до плазмоцитов, а те в свою очередь начинают продуцировать иммуноглобулин одного класса (моноклональный иммуноглобулин) в избыточном количестве. Структура иммуноглобулина при этом не нарушена, но синтез его или его отдельных компонентов значительно превышает физиологическую потребность организма. Дефектный иммуноглобулин не может выполнять свою защитную функцию, при этом выработка нормальных защитных антител снижается.
Плазматические клетки скапливаются в костном мозге и поражают кости скелета и ткани внутренних органов, ассоциированных с лимфоидной тканью.
Со временем патологические плазмоциты в костном мозге вытесняют нормальные кроветворные клетки, снижается количество лейкоцитов, тромбоцитов, эритроцитов.
Причины возникновения плазмоцитомы
Причины развития плазмоцитомы в настоящий момент окончательно не установлены. Предполагается роль генетических нарушений, которые могут возникать под воздействием провоцирующих факторов (хронических вирусных инфекций, пребывания в зоне радиоактивного облучения, длительного воздействия токсических веществ, приема препаратов, угнетающих иммунитет).
При внутрикостном развитии опухолевого процесса разрушается кортикальный слой кости и плазмоцитома выходит за пределы костной пластинки, прорастая в окружающие ткани или спинномозговой канал. При гематогенном пути распространения плазматических клеток формируется изолированная экстрамедуллярная плазмоцитома в органах и тканях, никак анатомически не связанных с костью.
Причиной экстрамедуллярного распространения опухолевых клеток могут оказаться инвазивные процедуры и хирургические вмешательства (например, лапаротомия).
Классификация заболевания
Плазмоцитома может иметь один патологический очаг или генерализованное течение (в патологический процесс вовлечены разные органы и системы организма, что наблюдается у пациентов старшей возрастной группы).
Плазмоцитомы подразделяются на солитарную плазмоцитому (затронуты, как правило, кости скелета (ребра, позвоночник, череп, кости таза)) и экстрамедуллярную плазмоцитому (патологический процесс может быть обнаружен в любых органах и тканях, но самая частая локализация – горло, печень, кожа, лимфоузлы, легкие, плевра, почки, поджелудочная железа).
Кроме того, выделяют солитарную плазмоцитому без присутствия клональных плазматических клеток в костном мозге, и солитарную плазмоцитому с низким уровнем вовлечения костного мозга.
Кроме того, плазмоцитома может быть одним из проявлений множественной миеломы.
Симптомы плазмоцитомы
Симптомокомплекс заболевания зависит от локализации очага и степени распространенности патологического процесса.
О повреждениях костной ткани свидетельствуют такие симптомы, как боли в костях (более чем у 70% пациентов в дебюте заболевания), переломы костей скелета, компрессия спинного мозга, радикулярные (корешковые) боли. Наиболее часто боль локализуется в спине и ребрах, реже – в конечностях.
Для солитарной плазмоцитомы костей характерно повышение уровня кальция в крови, что сопровождается тошнотой, рвотой, слабостью, запорами, повышенной жаждой.
Некоторые пациенты не испытывают никаких симптомов, и опухолевые процесс выявляется случайно – при проведении диагностических мероприятий по иным заболеваниям.
Наиболее частыми симптомами экстрамедуллярной плазмоцитомы с поражением верхних отделов дыхательных путей являются заложенность носа, носовые кровотечения, осиплость голоса, снижение/потеря слуха. Экстрамедуллярная плазмоцитома кишечника характеризуется присутствием абдоминальной боли (боли в животе), непроходимостью кишечника, тошнотой, рвотой, вздутием живота и запорами. Может присутствовать синдром мальабсорбции (нарушения всасывания в кишечнике), вызывающий потерю веса. Для экстрамедуллярной плазмоцитомы желудка характерно желудочное кровотечение.
Генерализованная плазмацитома (множественная миелома) может сопровождаться не только поражением костной ткани, но и почек, когда в почечных канальцах откладывается патологический белок в виде цилиндров – цилиндровая нефропатия. Почечная недостаточность проявляется тошнотой, рвотой, недомоганием и слабостью. Накопление аномальных клеток в костном мозге нарушает нормальное кроветворение, что приводит к анемии (из-за подавления роста эритроцитов), геморрагическому синдрому (кровоизлияниям) из-за нехватки тромбоцитов.

Диагностика плазмоцитомы
Постановка диагноза «солитарная плазмоцитома» требует очень тщательной оценки для исключения генерализации процесса (множественной миеломы).
Плазмоцитома и лимфоплазмоцитоидная опухоль глазницы: признаки, гистология, лечение, прогноз
Плазмобластная лимфома глазницы: признаки, гистология, лечение, прогноз
Этот редкий вариант неходжкинской лимфомы недавно был классифицирован как диффузная В-крупноклеточная лимфома (1). Это заболевание может развиваться у пациентов с инфекцией вируса иммунодефицита человека (ВИЧ), но также может встречаться и у иммунокомпетентных пациентов.
а) Клиническая картина. Плазмобластная лимфома — редкий вариант диффузной В-крупноклеточной лимфомы, характеризуемый очень агрессивным течением и часто приводящий к смерти.
Она возникает в мягких тканях глазницы, но может распространяться в головной мозг, придаточные пазухи носа и даже в глазное яблоко. Примерно у 80% больных опухоль развивается на фоне иммунодефицита (1-4).
Иммунокомпетентный чернокожий американец 77 лет с быстро развившимися ухудшением зрения и объемным образованием нижнего конъюнктивального свода. Тот же пациент, что и на рисунке выше: крупное амеланотическое новообразование в нижнем своде конъюнктивы, также прорастающее в глазницу и в глазное яблоко. После энуклеации глазного яблока вместе с окружающей его опухолью глазницы оценивается распространенность злокачественного новообразования. Микропрепарат: диффузный мономорфный инфильтрат крупных плазмоцитоидных клеток и отдельных плазмобластов с примесью макрофагов, содержащих прокрашивающиеся тельца. Эти признаки вместе с результатами иммуногистохимии соответствуют картине плазмобластной лимфомы. Индус 57 лет с иммунодефицитом; наблюдается резкий отек периорбитальных тканей и заметная сухость роговицы. КТ, корональная проекция: пациент, представленный на рисунке выше; в верхней части глазницы определяется диффузное гетерогенное объемное образование, а также новообразование головного мозга. При биопсии подтверждена плазмобластная лимфома.
б) Диагностика. Подозрения относительно диагноза должны возникать у врача при наличии быстро разрастающегося объемного образования глазницы. Диагностике помогают лучевые исследования, в том числе КТ и МРТ.
Часто агрессивная лимфома является одним из предполагаемых диагнозов, но, как правило, для точной диагностики требуется биопсия, гистологические и иммуногистохимические исследования.
в) Патологическая анатомия. Плазмобластная лимфома представляет собой вариант диффузной В-крупноклеточной лимофмы, при гистологическом исследовании опухоли может наблюдаться картина «звездного неба», аналогичная картине лимфомы Беркитта.
Клетки напоминают В-иммунобласты, но экспрессируют иммунофенотип плазматических клеток. Они не имеют иммуногистохимических поверхностных маркеров и экспрессируют IgG, что указывает на их происхождение от плазмобластов (2-4).
Патогенез плазмобластной лимфомы неясен, но считается, что новообразование является производным прошедших терминальную дифференцировку постгерминальных активированных В-лимфоцитов или плазмобластов. Существует выраженная связь этой патологии с инфекцией вируса Эпштейна-Барр.
г) Лечение. Лечение плазмобластной лимфомы детально не определено, часто заболевание в короткие сроки приводит к смерти больного. При симптоматическом поражении глазницы проводятся паллиативная лучевая или химиотерапия.
Лимфома орбиты
Лимфома орбиты – это злокачественная Т- или В-клеточная опухоль, которая располагается в зоне глазного яблока и окружающих его тканей. Развитию заболевания способствуют вирусные инфекции, дизиммунные процессы, генетические факторы и токсические влияния. Патология проявляется экзофтальмом, затруднениями при движении глазом, опущением верхнего века. Для диагностики опухоли используют УЗИ глазного яблока, КТ и МРТ орбиты, биопсию с цитологическим и иммунологическим исследованием. Лечение первичных форм проводится методом лучевой терапии, при диссеминированных вариантах используют полихимиотерапию.
МКБ-10



Общие сведения
Орбитальные лимфомы в основном имеют неходжкинское происхождение и составляют до 4% всех экстранодулярных новообразований этого типа. Первичное поражение тканей орбиты встречается в 3 раза чаще, чем вовлечение глазницы при диссеминированной форме. К группе риска принадлежат люди старше 60 лет. Крайне редко поражение периорбитальных тканей вызвано лимфомой Ходжкина. Орбитальная лимфома распространена в современной офтальмологии, однако при ее ранней диагностике и подборе адекватной терапии могут возникать трудности, решение которых требует мультидисциплинарного подхода.

Причины
Этиологическая структура лимфомы орбиты аналогична другим вариантам злокачественных лимфопролиферативных заболеваний. Точные причины развития болезни пока не установлены. Предполагается, что для начала опухолевого процесса необходима комбинация эндогенных и экзогенных факторов риска. Наиболее значимые этиологические факторы лимфомы орбиты:
- Иммунные нарушения. Лимфопролиферативные процессы характерны для людей с первичными синдромами иммунодефицита, нелеченой ВИЧ-инфекцией. Более высокий риск заболевания среди пациентов, которые получают иммуносупрессивную терапию, перенесли операцию по трансплантации костного мозга или внутренних органов.
- Инфекции. Развитие неходжкинской лимфомы орбиты связывают с заражением вирусом Эпштейна-Барр, Т-лимфотропным вирусом 1 типа, герпесвирусом 8 типа. К группе вероятных провоцирующих факторов относят возбудителей вирусных гепатитов В и С. Большое значение имеет хроническая хламидийная инфекция органа зрения.
- Токсические воздействия. Провоцирующим фактором лимфомы могут выступать некоторые гербициды и инсектициды, промышленные отравляющие вещества. Вероятность болезни коррелирует с частотой и длительностью интоксикации, поэтому в группе риска находятся люди с профессиональными заболеваниями.
- Отягощенная наследственность. Риск злокачественной опухоли орбиты повышается у пациентов, которые имеют в геноме однонуклеотидные полиморфизмы. Предрасполагающим фактором является наличие родственников первой линии, болеющих ходжкинской или неходжкинской лимфомой.
Патогенез
В 90% случаев первичный клон опухолевых клеток развивается из нормальных В-лимфоцитов, в которых под действием разных факторов нарушаются процессы деления, и начинается неограниченный рост. Образование лимфомы связывают с рядом нарушений клеточного апоптоза, утратой контроля над дифференцировкой лимфоцитов, активацией онкогенов. Опухоль увеличивается в размерах, вытесняя здоровые ткани и вызывая компрессию структур орбиты.
Классификация
При постановке диагноза орбитальной лимфомы применяются стандартные подходы к систематизации заболевания. Неходжкинские лимфопролиферативные опухоли подразделяются на В-клеточные и Т-клеточные, что зависит от клеток-предшественников новообразования. В орбите зачастую определяются MALT-лимфомы, которые принадлежат к индолентным (вялотекущим) формам и ассоциированы со слизистыми оболочками.

Симптомы лимфомы орбиты
Большинство случаев новообразования имеют односторонний характер. Поскольку патология сопровождается разрастанием лимфоидной ткани, глазное яблоко на стороне поражения смещается наружу – возникает экзофтальм. Если лимфома орбиты расположена пристеночно, возникает боковой экзофтальм, глаз сдвигается в противоположную от очага сторону. При локализации опухоли в зоне мышечной воронки, экзофтальм имеет осевой характер.
Для лимфомы орбиты характерно постепенное нарастание экзофтальма и его умеренный характер (выступание глазного яблока в среднем на 5-6 мм). По мере роста опухоли пациенты предъявляют жалобы на затруднения при повороте глаза, невозможность полностью сомкнуть веки, сухость и чувство «песка» в глазах из-за недостаточного увлажнения конъюнктивы. Зрительная функция не страдает, однако возможно двоение в глазах и ограничение полей зрения из-за птоза века.
Изредка орбитальная лимфома имеет быстропрогрессирующее течение. В таком случае экзофтальм стремительно увеличивается, сопровождается повышением внутриглазного давления и болями в пораженном глазу. Несмыкание век вызывает кератопатию. В редких случаях наблюдается вовлечение мышц и других тканей орбиты. Такие проявления характерны для длительно существующей нелеченой лимфомы, иммунокомпрометированных групп пациентов.
Осложнения
Первичная лимфома орбиты, которая является наиболее частой формой болезни, без лечения может переходить в системное лимфопролиферативное заболевание. Спустя 10 лет от манифестации локальной лимфомы более 30% людей сталкиваются с другими формами экстранодулярного поражения. Иммуносупрессия на фоне лимфопролиферативных состояний обуславливает предрасположенность пациента к инфекционным заболеваниям, которые нередко становятся причиной смерти.
Диагностика
Пациенты с характерными жалобами первично обращаются к врачу-офтальмологу. При подозрении на лимфопролиферативный процесс к обследованию привлекают онколога или онкогематолога. Данные физикального осмотра при лимфоме орбиты малоинформативны: определяется экзофтальм, отек периорбитальных тканей, покраснение конъюнктивы глаза. Чтобы поставить точный диагноз, используют ряд инструментальных и лабораторных методов:
- УЗИ глаза. Эхосонография проводится на этапе первичной диагностики, чтобы определить наличие объемного новообразования, исключить другие причины внешних глазных симптомов. УЗИ не дает возможности дифференцировать разные виды опухолей, поэтому обязательно дополняется другими видами диагностики.
- КТ орбиты. На КТ-снимках лимфома орбиты имеет вид объемного образования неоднородной структуры. Опухоли бывают единичными или множественными, контуры новообразования имеют нечеткие границы. При запущенной форме болезни по данным КТ определяется разрушение костной стенки глазницы.
- МРТ орбиты. На МРТ-снимках определяются объемные новообразования неправильной формы, которые изоинтенсивны по отношению к мышцам орбиты и гиперинтенсивны относительно жировой клетчатки. Изредка визуализируется утолщение и инфильтрация глазных мышц.
- Тонкоигольная аспирационная биопсия. При цитологической диагностике биоптатов опухоли определяются атипические клетки с патологией клеточных мембран. Большинство опухолей орбиты имеют В-клеточное происхождение. Для установления типа лимфомы и выбора тактики лечения назначается иммунологическое исследование биоптатов.
- Лабораторная диагностика. Пациентам рекомендованы анализы на ВИЧ-инфекцию, вирусные гепатиты и герпесвирусы, чтобы исключить ассоциированную патологию. Всем больным лимфомами проводятся клинический и биохимический анализы крови, коагулограмма, иммунограмма.
Дифференциальная диагностика
Лимфому орбиты необходимо дифференцировать с кавернозной гемангиомой, опухолями оболочек зрительного нерва, гемангиоперицитомой, метастазами в периорбитальную зону. Обязательно исключают редкие опухоли глазницы: невриному, рабдомиосаркому. Большие трудности для практической онкологии представляет дифференциальная диагностика между лимфомой и доброкачественной гиперплазией лимфоидной ткани орбиты.

Лечение лимфомы орбиты
Консервативная терапия
Основным методом лечения является наружное облучение орбиты. Это самый результативный способ уничтожения злокачественной опухоли, который показан большинству пациентов, независимо от стадии и гистологического типа заболевания. При своевременном начале лучевой терапии удается достичь регресса симптоматики, частичного или полного восстановления подвижности глазного яблока.
В случае диссеминированной неходжкинской лимфомы, протекающей с вовлечением тканей орбиты, радиотерапию дополняют полихимиотерапией. Комбинированное высокодозное лечение признано оптимальным вариантом для достижения длительной ремиссии и улучшения отдаленного прогноза для пациента. Конкретные наименования и сочетания цитостатиков подбираются врачом-онкологом по результатам полной диагностики опухоли.
Хирургическое лечение
При единичной лимфоме небольшого размера операцией выбора является иссечение опухоли в пределах здоровых тканей. Благодаря микрохирургической технике операции во многих случаях удается сохранить зрительную функцию и эстетичный внешний вид пациента. Гигантские опухоли, занимающие большую часть глазницы, являются показанием к радикальной операции – экзентерации орбиты. Учитывая калечащий характер вмешательства, его проводят достаточно редко.
Прогноз и профилактика
При первичной лимфоме средняя 5-летняя выживаемость составляет более 83%, что является хорошим показателем для лимфопролиферативных состояний. В этом случае прогноз для жизни и сохранности зрительной функции благоприятный. Менее оптимистичный прогноз при диссеминированных вариантах болезни. Учитывая сложность и многогранность этиопатогенеза заболевания, результативные меры профилактики пока не разработаны.
1. Особенности клинической картины злокачественной лимфомы орбиты/ А.Ф. Бровкина// Вестник офтальмологии. – 2019. – №5.
4. Злокачественные лимфомы органа зрения. Проблемы и перспективы (взгляд офтальмолога)/ Е.Е. Гришина// Современная онкология. – 2006. – №4.
Плазмоцитома
Плазмоцитома – это злокачественная опухоль из плазматических клеток, которая поражает кости и внутренние органы. Заболевание может протекать в солитарной форме при наличии только одного патологического очага либо в генерализованном варианте, когда в процесс вовлекаются разные системы организма. Плазмоцитома отличается многообразием и неспецифичностью клинической симптоматики, которая зависит от вида и локализации опухоли. Диагностика заболевания включает рентгенографию и КТ, исследование биоптатов костного мозга, клинический и биохимический анализы крови. Для лечения используется лучевая терапия, полихимиотерапия, комплексная реабилитация.



В клинической онкогематологии плазмоцитома относится к парапротеинемическим лейкозам. Она встречается с частотой около 3 случаев на 100 тыс. населения, однако распространенность болезни резко увеличивается с возрастом ‒ до 37 случаев на 100 тыс. пожилых людей. Средний возраст пациентов при диагностике опухоли составляет 55-74 года. Среди всех больных мужчины составляют 61%. Более подвержены заболеванию лица негроидной расы. Среди опухолевых процессов кроветворной системы на долю всех типов плазмоцитомы приходится 10-14%.

Причины плазмоцитомы
Этиологическая структура плазмоклеточных опухолей точно не установлена. Важная роль в развитии заболевания отводится продолжительной антигенной стимуляции иммунных клеток на фоне хронических инфекций, аутоиммунных заболеваний, воздействия экзогенных токсинов и радиации. Доказана генетическая предрасположенность к возникновению парапротеинемических опухолей. Риск развития болезни повышается у людей с хромосомными аберрациями.
Основным немодифицируемым фактором риска плазмоцитомы признан возраст. Единичные (солитарные) опухоли более характерны для пациентов предпенсионного возраста 55-60 лет, около 30% случаев болезни развиваются среди людей младше 50 лет. Генерализованная форма болезни имеет возрастную медиану около 70 лет, только у 35% людей она выявляется до 65-летнего возраста. К модифицируемым предрасполагающим факторам относят профессиональные вредности, проживание в регионах с неблагоприятной экологической ситуацией.
Парапротеинемические гемобластозы, к которым относится плазмоцитома, представляют собой опухоли из единого клона В-лимфоцитов. Под действием провоцирующих факторов происходит злокачественная трансформация первичной клетки, из которой образуется линия с аналогичными мутациями и способностью к неограниченному делению. Новообразование секретирует определенный вид иммуноглобулинов, наличие которых является основой для постановки диагноза.
Патоморфологически мутантные В-лимфоциты характеризуются выраженным полиморфизмом и атипией, наличием клеточных ядер аномальной формы, крупными ядрышками. Характерным признаком считается «пламенеющая» цитоплазма с множественными включениями. Цитологические отличия плазматических клеток более выражены при малодифференцированных вариантах опухоли.

Существует несколько вариантов систематизации новообразований. По степени зрелости мутантных клеток бывают высоко- и низкодифференцированные плазмоцитомы. По иммуногистохимическим особенностям выделяют А-миелому, D-миелому, G-миелому. Наиболее важна классификация по клинико-морфологическим признакам, согласно которой выделяют две разновидности плазмоцитомы:
- Солитарная. Составляет до 5% всех опухолевых образований, характеризуется наличием локальной пролиферации клональных плазматических клеток. Признана прогностически благоприятным вариантом заболевания.
- Генерализованная (множественная миелома). Характеризуется неконтролируемой пролиферацией В-лимфоцитов в разных органах и тканях тела, развивается на фоне хромосомных нарушений и патологии стромального окружения. Распространенная форма, которая составляет до 1% среди всех злокачественных новообразований.
Единичные парапротеинемические опухоли дополнительно делятся на две подгруппы: солитарная плазмоцитома кости (СПК) и экстрамедуллярная плазмоцитома (ЭМП). СПК встречается в 2-5 раз чаще, чем ЭМП. В основном поражаются кости позвоночника (42-61%), таза (15%), ребер (12%). Среди экстрамедуллярных новообразований до 85% расположено в зоне головы и шеи, также возможно вовлечение в процесс легких, органов ЖКТ, урогенитального тракта.
Симптомы плазмоцитомы
Клинические проявления солитарного новообразования определяются расположением опухолевого очага. При поражении костной ткани на первый план выходит локализованный болевой синдром, который беспокоит пациента постоянно, не имеет четкой связи с физической нагрузкой или сменой положения тела. При сдавлении близлежащих нервных структур развиваются нейропатии и радикулопатии, для которых характерны стреляющие боли, нарушения чувствительности.
Ведущими симптомами при ЭМП считаются признаки поражения ЛОР-органов, что связано с типичной локализацией опухоли. Пациенты жалуются на заложенность носа, которая не купируется сосудосуживающими каплями, периодические носовые кровотечения, образование сухих корок в назальной полости. Реже встречается осиплость голоса, затруднения глотания, снижение слуха и боль в ухе.
ЭМП в нижних дыхательных путях манифестирует эпизодами одышки на фоне бронхообструкции, длительным кашлем, тяжестью и болями в грудной клетке. При расположении экстрамедуллярной плазмоцитомы в брюшной полости возникают неспецифические боли в животе, хронические запоры, тошнота и рвота. Парапротеинемическая опухоль урогенитального тракта проявляется расстройствами мочеиспускания, появлением крови в моче, болями в области поясницы.
Множественная миелома в 10-20% случаев протекает бессимптомно, манифестные варианты заболевания характеризуются разнообразными сочетаниями вышеописанных признаков. Чаще всего появляются боли в позвоночнике, грудине и ребрах, которые сопровождаются патологическими переломами и остеопорозом. Пациентов беспокоят диспепсические и дизурические расстройства, мелкие кровоизлияния в кожу, желудочные, носовые и легочные кровотечения.
У 60% больных с множественной миеломой обнаруживается средняя или тяжелая степень анемии, которая сопровождается гемической гипоксией. В 50-90% случаев присоединяется почечная патология, которая является одной из основных причин сокращения продолжительности жизни пациентов. На фоне приобретенной иммунной недостаточности развиваются рецидивирующие и генерализованные инфекции органов дыхания, мочевыводящих путей.
При плазмоцитоме наблюдается гиперпродукция моноклональных иммуноглобулинов, которая вызывает амилоидоз внутренних органов. Экстрамедуллярная опухоль может стать причиной механической желтухи, перфорации кишечника, межпетлевой фистулы. При появлении опухолевых масс в области шеи происходит компрессия дыхательных путей, которая в ряде случаев вызывает асфиксию и требует неотложной медицинской помощи.
Обследование пациента проводится врачом-онкогематологом. Диагностические мероприятия начинаются со сбора жалоб, выяснения условий появления симптоматики, физикального осмотра с пальпацией болезненных участков тела. Выявление парапротеинозов требует всестороннего обследования здоровья, которое включает следующие лабораторно-инструментальные методы:
- Рентгенодиагностика. При костных болях назначается рентгенография грудной клетки, позвоночника и конечностей, с помощью которой определяются объемные новообразования. Для точной визуализации опухолей и определения степени распространенности процесса проводится КТ пораженной области тела. Методика ПЭТ-КТ показана для диагностики генерализованной плазмоцитомы.
- Биопсия костного мозга. При солитарной форме обнаруживается нормальная цитологическая картина. При множественной миеломе в результатах исследования выявляется более 10% плазматических опухолевых клеток. При солитарных новообразованиях целесообразно проведение биопсии опухолевой ткани для гистологической диагностики.
- Анализы крови. При плазмоцитоме обнаруживается снижение уровня гемоглобина менее 100 г/л, повышение СОЭ, слипание эритроцитов в виде «монетных столбиков». Реже встречается лейкопения и тромбоцитопения. У 20-40% больных определяется гиперкальциемия.
- Иммунологическая диагностика. Патогномоничным признаком болезни является сывороточный моноклональный М-белок (парапротеин). Для уточнения диагноза проводится определения типа и класса иммуноглобулинов в сыворотке крови и образцах мочи. Для выяснения степени зрелости плазмоцитомы назначаются иммуногистохимические исследования опухолевых биоптатов.

При постановке диагноза «солитарная плазмоцитома» необходимо проводить тщательную оценку инструментальных данных, поскольку нередко при дифференциальной диагностике выявляется множественная миелома. В процессе обследования нужно исключить:
- саркому Юинга;
- моноклональные доброкачественные гаммапатии;
- макроглобулинемию Вальденстрема;
- гиперпаратиреоз;
- остеохондроз;
- хронический гломерулонефрит.
Лечение плазмоцитомы
Злокачественные плазмоцитарные клетки имеют высокую чувствительность к радиации, поэтому при солитарных новообразованиях методом выбора является локальная лучевая терапия. Она способствует стабилизации или регрессу плазмоцитомы у 80% пациентов. Рентгенологическими маркерами эффективности лечения считаются склероз и реминерализация пораженной костной ткани. Курсовая лучевая терапия проводится всем пациентам с множественной миеломой.
Эффективным направлением лечения плазмоцитомы является полихимиотерапия, которая показывает наилучшие результаты у пациентов младше 65 лет без тяжелых сопутствующих заболеваний. Лечение направлено на максимально возможную редукцию клона опухолевых клеток. Для химиотерапии плазмоцитарной опухоли могут назначаться 5 классов лекарственных средств:
- алкилирующие агенты;
- глюкокортикостероиды;
- ингибиторы протеосомы;
- иммуномодулирующие препараты;
- антрациклины.
Оперативное вмешательство рассматривается как метод выбора при солитарной плазмоцитоме, которая находится в доступном для удаления месте. Иссечение основного объема опухолевых клеток улучшает функцию пораженного органа или кости, повышает эффективность радиотерапии. При патологических переломах требуется помощь травматолога-ортопеда для репозиции костных отломков, проведения оптимального метода остеосинтеза.
Паллиативная помощь
Несмотря на усовершенствование методов лечения, средняя выживаемость при генерализованной плазмоцитоме составляет около 3 лет. Пациентам в терминальной стадии заболевания показано паллиативное лечение, которое включает адекватные дозы наркотических анальгетиков и других обезболивающих препаратов, профилактику и лечение инфекционных осложнений, дистантную лучевую терапию. Больным необходим уход в рамках специализированных стационаров.
Реабилитация
Всем пациентам с плазмоцитомой требуется диспансерное наблюдение у онкогематолога на протяжении жизни. Для улучшения качества жизни подбирается программа комплексной реабилитации, которая включает симптоматическое лечение, контроль свертывающей способности крови, применение ортезов для улучшения функции опорно-двигательного аппарата. Большое внимание уделяется психосоциальной реабилитации.
Результативность лечения и ожидаемая продолжительность жизни зависит от формы и степени тяжести парапротеиноза. Генерализованная плазмоцитома считается прогностически неблагоприятным заболеванием, особенно в сочетании с выраженной миелодепрессией, быстрым ростом опухолей, стремительным нарастанием уровня сывороточного парапротеина. Учитывая неясную этиологию, эффективные меры профилактики не разработаны.
1. Солитарная (экстрамедуллярная) плазмоцитома. Клинические рекомендации/ Н.А. Фалалеева, А.Ю. Терехова, В.В. Птушкин, Е.А. Османов// Клиническая онкология. – 2020. – №1.
2. Цитологические особенности плазмоцитомы и дифференциальные признаки опухоли Юинга, неходжкинских лимфом и железистого рака/ Л.С. Болгова, О.И. Алексеенко, Т.Н. Туганова, Т.М. Ярощук// Клиническая онкология. – 2019. – №1.
Опухоли, состоящие исключительно из плазматических клеток (плазмоцитомы) или образованные В-лимфоцитами и плазматическими клетками (лимфоплазмоцитоидные опухоли), как уже упоминалось, очень близки различным лимфомам (1-27). Плазматические клетки являются В-лимфоцитами, вырабатывающими большие количества иммуноглобулина. Лимфоплазмоцитоидные опухоли в этом патологическом спектре ближе к лимфомам.
Плазмоцитома — опухоль, состоящая преимущественно из плазматических клеток, в патологическом спектре она ближе к миеломной болезни — плазмоклеточному неопластическому заболеванию, характеризуемому инфильтрацией костного мозга плазматическими клетками и появлением в плазме моноклонального иммуноглобулина (белок Бенс-Джонса).
Солитарная форма экстрамедуллярной плазмоклеточной опухоли может развиваться в верхних дыхательных путях, желудочно-кишечном тракте или лимфатических узлах. В глазнице она встречается относительно редко, здесь эта опухоль может развиваться как мягкотканное или костное новообразование (6, 12-15).
Плазмоцитома глазницы может возникать как солитарная опухоль или же являться проявлением миеломной болезни. У большинства пациентов с солитарной плазмоцитомой впоследствии развивается миеломная болезнь. В собственной серии клинических наблюдений авторов шесть случаев плазмоцитомы составили 4% всех лимфоидных опухолей глазницы и менее одного процента от всех опухолей глазницы (1).
Макроглобулинемия Вальденстрема — злокачественное заболевание лимфоплазмоцитоидных клеток, секретирующих иммуноглобулин М. Оно сопровождается системными изменениями, аналогичными изменениям при лимфоме. У больных могут развиваться лимфома и миелома.
а) Клиническая картина. Симптоматика плазмоцитомы глазницы аналогична клинической картине неходжкинской лимфомы. Эта опухоль обычно развивается у пациентов среднего или преклонного возраста и сопровождается экзофтальмом и смещением глазного яблока. Также эта опухоль наблюдалась у детей и взрослых, не страдающих миеломой (12).
Пациент может жаловаться на боли, особенно при развитии кровоизлияния в ткань опухоли или при поражении кости. В некоторых случаях плазмоцитома глазницы может демонстрировать экзофитный рост с изъязвлением. Подразумевается, что у некоторых больных анамнез отягощен по миеломной болезни, тогда как другие требуют длительного наблюдения и контроля на предмет развития миеломы. Плазмоцитома глазницы иногда является первым признаком недостаточности контроля миеломной болезни или первым проявлением злокачественного процесса.
ПЛАЗМОЦИТОМА И ЛИМФОПЛАЗМОЦИТОИДНАЯ ОПУХОЛЬ ГЛАЗНИЦЫ
Лимфоплазмоцитоидные опухоли глазницы могут развиваться на фоне макроглобулинемии Вальденстрема, миеломы или как очевидно изолированная патология. Обычно это опухоли низкой степени злокачественности.
У 50-летнего мужчины, в течение 20 лет страдающего макроглобулинемией Вальденстрема, с верхневисочной стороны от левого глаза развилось безболезненное объемное образование, постепенно увеличивающееся в размерах. Аксиальная Т1 -взвешенная МРТ с гадолиниевым усилением: тот же пациент, что и на рисунке выше. Обратите внимание на контрастное объемное образование в области левой слезной железы. Корональная МРТ того же пациента: двусторонние образования в верхневисочных отделах глазниц. При исследовании биоптата диагностирована диффузная неходжкинская В-клеточная лимфома краевой зоны. После четырех недель терапии ритуксаном наблюдался выраженный эффект. Лимфоплазмоцитоидная опухоль. Блефароптоз и небольшой экзофтальм справа у мужчины 72 лет. КТ; аксиальная проекция: тот же пациент, что и на рисунке выше; в верхневисочной части глазницы определяется овоидная опухоль, поражающая в основном слезную железу. Опухоль иссечена через верхневисочную орбитотомию. Гистологический препарат новообразования, показанного на рисунке выше: определяются диффузные пласты мелких лимфоцитов и отдельные набухшие плазматические клетки (гематоксилин-эозин, х100).
ПЛАЗМОЦИТОМА ГЛАЗНИЦЫ: СОЧЕТАНИЕ С МИЕЛОМНОЙ БОЛЕЗНЬЮ
Злокачественная плазмоцитома глазницы встречается у пациентов с миеломной болезнью. В таких случаях отмечается тенденция к поражению костей глазницы, но иногда опухоль бывает ограничена мягкими тканями.
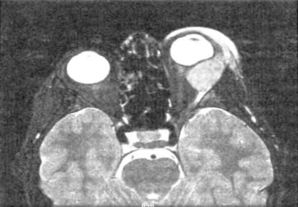
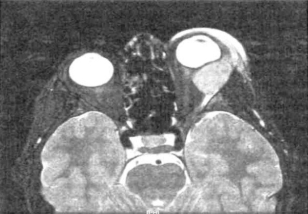
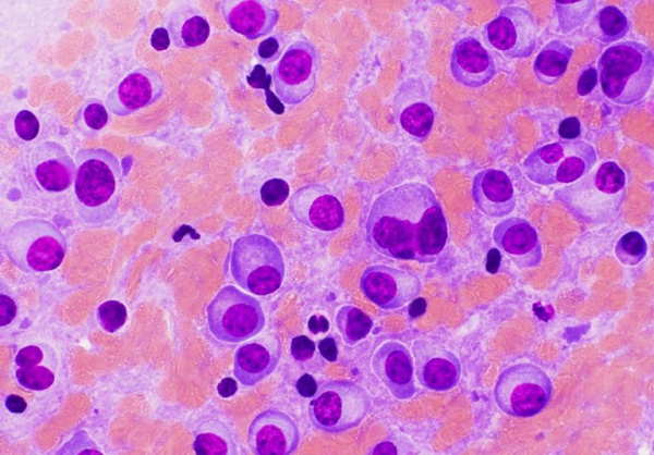
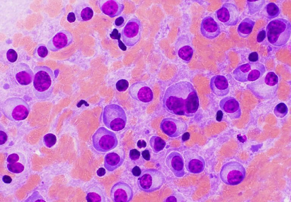
Плазмоцитома глазницы как компонент миеломной болезни. У женщины 76 лет, в течение трех лет страдающей иммуноглобулин-С-лямбда множественной миеломой и получавшей химиотерапию, развился левосторонний экзофтальм. КТ, аксиальная проекция: та же пациентка, что и на рисунке выше; определяются диффузное объемное образование в височной части глазницы, смещение зрительного нерва в медиальную сторону, деструкция скуловой кости и прорастание опухоли в головной мозг и височную ямку. Микропрепарат новообразования, показанного на рисунке выше: отмечаются пласты атипичных плазматических клеток (гематоксилин-эозин, х75). Левосторонний экзофтальм и отек века у пациента 52 лет с диагностированной миеломной болезнью. Аксиальная Т1 -взвешенная МРТ с гадолиниевым усилением: тот же пациент, что и на рисунке выше. Видно крупное мягкотканное образование глазницы, поражающее слезную железу. Микропрепарат новообразования, показанного на рисунке выше: наблюдается злокачественная плазмоклеточная опухоль и митотическая активность (гематоксилин-эозин, х200).
б) Диагностика. Пациенту с предполагаемой или подтвержденной с помощью биопсии плазмоклеточной опухолью глазницы показано системное обследование с целью исключить миеломную болезнь и другие диспротеинемии. Как и лимфома, плазмоцитома глазницы при КТ или МРТ отображается как диффузное или овоидное объемное образование. Кровоизлияние в ткань опухоли или появление зон некроза при плазмоцитоме глазницы могут клинически симулировать целлюлит (11). Однако чаще наблюдаются эрозии кости, особенно у пациентов с миеломной болезнью. Солитарная мягкотканная плазмоцитома также может сопутствовать миеломе. Возможно, что в некоторых случаях опухоль первоначально развивается в костях глазницы, и лишь затем поражает мягкие ткани.
в) Патологическая анатомия. Миеломная болезнь — плазмоклеточное неопластическое заболевание, характеризуемое инфильтрацией костного мозга плазматическими клетками и появлением в сыворотке крови моноклонального иммуноглобулина. По клеточному составу плазмоцитомы глазницы варьируют от высокодифференцированных зрелых плазматических клеток до низкодифференцированных анапластических плазматических клеток.
г) Лечение. Лечение требует инцизионной или эксцизионной биопсии с целью подтверждения диагноза и, в случае неполного удаления опухоли, последующей лучевой терапии. Сопутствующая миеломная болезнь обычно лечится высокими дозами химиопрепаратов, проводится лучевая терапия местных поражений. По поводу солитарной плазмоцитомы глазницы при отсутствии миеломы проводится лучевая терапия с хорошими результатами.
д) Список использованной литературы:
1. Shields JA, Shields CL, Scartozzi R. Survey of 1264 patients with orbital tumors and simulating lesions: the 2002 Montgomery Lecture, part 1. Ophthalmology 2004;111: 997-1008.
2. Coupland SE, Damato B. Lymphomas involving the eye and ocular adnexa. CurrOpin Ophthalmol 2006;17:523-531.
3. Jaffe ES. The 2008 WHO classification of lymphomas: implications for clinical practice and translational research. Hematology 2009:523-531.
4. Coupland SE, Krause L, Delecluse HJ, et al. Lymphoproliferative lesions of the ocular adnexa. Analysis of 112 cases. Ophthalmology 1998; 105(8): 1430-1441.
5. Adkins JW, Shields JA, Shields CL, et al. Plasmacytoma of the eye and orbit. Int Ophthalmol 1977;20:339-343.
6. Knapp AJ, Gartner S, Henkind P. Multiple myeloma and its ocular manifestations. Surv Ophthalmol 1987;31:343-351.
7. Orellana J, Friedman AH. Ocular manifestations of multiple myeloma, Waldenstroms macroglobulinemia, and benign monoclonal gammopathy. Surv Ophthalmol 1981;26:157-169.
8. de Smet MD, Rootman J. Orbital manifestations of plasmacytic lymphoproliferations. Ophthalmology 1987;94:995-1003.
9. Shields JA, Cooper H, Donoso LA, et al. Immunohistochemical and ul-trastructural study of unusual IgM lambda lymphoplasmacytic tumor of the lacrimal gland. Am J Ophthalmol 1986;101:451-457.
10. Khalil MK, Huang S, Viloria J, et al. Extramedullary plasmacytoma of the orbit: case report with results of immunocytochemical studies. Can J Ophthalmol 1981;16:39-42.
11. Rappaport К, Liesegang T], Menke DH, et al. Plasmacytoma manifesting as recurrent cellulitis and hematic cyst of the orbit. Am J Ophthalmol 1996;122:595-597.
12. Sharma MC, Mahapatra AK, Gaikwad S, et al. Primary extramedullary orbital plasmacytoma in a child. Childs Nerv Syst 1996;12:470-472.
13. Gonnering RS. Bilateral primary extramedullary orbital plasmacytomas. Ophthalmology 1987;94:267-270.
14. Ezra E, Mannor G, Wright JE, et al. Inadequately irradiated solitary extramedullary plasmacytoma of the orbit requiring exenteration. Am J Ophthalmol 1995;120: 803-805.
15. Aboud N, Sullivan T, Whitehead K. Primary extramedullary plasmacytoma of the orbit. Aust NZ J Ophthalmol 1995;23:235-239.
16. Agrawal PK, Mittal S, Gupta P, et al. Plasmacytoma of orbit. Indian J Ophthalmol 1993;41:34-36.
17. Tung G, Finger PT, Klein I, et al. Plasmacytoma of the orbit. Arch Ophthalmol 1988; 106:1622.
18. Nikoskelainen E, Dellaporta A, Rice T, et al. Orbital involvement by plasmacytoma. Report of two cases. Acta Ophthalmol (Copenh) 1976;54:755-761.
19. McFadzean RM. Orbital plasma cell myeloma. Br J Ophthalmol 1975;59:164-165.
20. Levin SR, Spaulding AG, Wirman JA. Multiple myeloma. Orbital involvement in a youth. Arch Ophthalmol 1977;95:642-644.
21. Jampol LM, Marsh JC, Albert DM, et al. IgA-associated lymphoplasmacytic tumor involving the conjunctiva, eyelid, and orbit. Am J Ophthalmol 1975;97:279-284.
22. Kottler UB, Cursiefen C, Holbach LM. Orbital involvement in multiple myeloma: first sign of insufficient chemotherapy. Ophthalmologica 2003;217:76-78.
23. Uceda-Montanes A, Blanco G, Saornil MA, et al. Extramedullary plasmacytoma of the orbit. Acta Ophthalmol Scand 2000;78:601-603.
24. Fay AM, Leib ML, Fountain KS. Multiple myeloma involving the orbit. Ophthal Plast Reconstr Surg 1998;14:67-71.
25. Sen S, Kashyap S, Betharia S. Primary orbital plasmacytoma: A case report. Orbit 2003;22:317-319.
26. Hsu VJ, Agarwal MR, Chen CS, et al. IgA orbital plasmacytoma in multiple myeloma. Ophthal Plast Reconstr Surg 2010;26(2): 126-127.
27. Lazaridou MN, Micallef-Eynaud P, Hanna IT. Soft tissue plasmacytoma of the orbit as part of the spectrum of multiple myeloma. Orbit 2007;26(4):315-318.
Редактор: Искандер Милевски. Дата публикации: 29.5.2020
Информация на сайте подлежит консультации лечащим врачом и не заменяет очной консультации с ним.
См. подробнее в пользовательском соглашении.
Читайте также:
- Инфекции гемолитических стрептококков: диагностика, лечение, профилактика
- Инъекции ботокса против мимических морщин. Все за и против
- Заболевания артерий нижних конечностей. Облитерирующий эндартериит
- Инфекционная апластическая анемия - инфекции поражающие костный мозг
- Прогноз и лечение алкогольной энцефалопатии. Алкогольная атаксия
