Поддиафрагмальный абсцесс. Абсцесс дугласова пространства
Добавил пользователь Евгений Кузнецов Обновлено: 13.12.2025
Презентация на тему: " КЛИНИКА И ДИАГНОСТИКА АБСЦЕССОВ БРЮШНОЙ ПОЛОСТИ Выполнил: студент 418 группы Р. Н. Дарбузов Научный руководитель: к.м.н., асс. Ю.А. Соболев." — Транскрипт:
1 КЛИНИКА И ДИАГНОСТИКА АБСЦЕССОВ БРЮШНОЙ ПОЛОСТИ Выполнил: студент 418 группы Р. Н. Дарбузов Научный руководитель: к.м.н., асс. Ю.А. Соболев
2 Внутрибрюшные абсцессы, основными возбудителями которых являются кишечная палочка, золотистый стафилококк и протей, - частые осложнения ряда заболеваний, повреждений и оперативных вмешательств на органах брюшной полости.
3 По локализации встречаются: Классификация Поддиафрагмальные(1) Межкишечные (2) Аппендикулярные (3) Тазовые (4) (абсцессы дугласова пространства)
4 Поддиафрагмальные абсцессы К общим проявлениям поддиафрагмальных абсцессов относят: 1) ухудшение состояния больного на 3-и сутки послеоперационного периода; 2) постоянные боли в верхнем этаже брюшной полости и подреберьях; 3) присоединение явлений дыхательной недостаточности; 4) проявление тяжёлой общей интоксикации (повышение температуры тела, тахикардия и т.д.); 5) появление икоты, обусловленной раздражением ветвей диафрагмального нерва; 6) при неподвижности диафрагмы и ограниченном перитоните возможны отрыжка и рвота.
5 Диагностика Симптомы: Бакурадзе, Крюкова, Лежара, Петровского Аускультативно определяется шум трения плевры, усиление голосового дрожания, жёсткое дыхание, хрипы. Лабораторные исследования малоинфор- мативны и соответствуют обычной картине гнойно-воспалительных процессов с выраженным эндотоксикозом.
6 Инструментальные методы исследования Рентгенологические признаки : а) наличие газового пузыря под диафрагмой и подвижного горизонтального уровня жидкости; б) увеличение тени печени и нечёткость её контуров (при отсутствии газа в полости абсцесса); в) отсутствие или резкое ограничение подвижности высоко стоящего поражённого купола диафрагмы; г) смещение прилегающих к диафрагме внутренних органов (сердце, средостение, желудок).
7 Фистулография Радиоизотопные методы, сцинтиграфия КТ УЗИ Пункционный метод
8 Межкичешные абсцессы Повышение температуры (гектическая лихорадка) Характер болей в животе может быть различным – от давящих постоянных до острых приступообразных. Частым симптомом межпетлевого абсцесса является непроходимость кишечника.
9 Диагностика Рентгенологическая диагностика Из специальных методов исследования наиболее информативной является компьютерная томография, в особенности при множественных глубоко расположенных гнойных полостях. При пальпации в области абсцесса часто определяют инфильтрат. Симптом Щёткина-Блюмберга обычно бывает положительным при условии, что одной из стенок абсцесса является париетальная брюшина.
10 Диагностика При УЗ-исследовании межкишечные абсцессы лоцируются в виде аперистальтичных образований неправильной формы. Иногда возможно проследить тонкую гиперэхогенную капсулу, но чаще контур остается нечетким, неровным. Содержимое сниженной эхогенности и никогда не бывает анэхогенным, структура неоднородна.
11 Аппендикулярный абсцесс Располагается абсцесс чаще в правой подвздошной области, реже в дугласовом пространстве или ретроцекальное. Начало заболевания проявляется клиникой острого аппендицита с типичным болевым синдромом. При пальпации брюшная стенка не напряжена, участвует в дыхательном акте, в правой подвздошной области определяется незначительная болезненность и наличие малоподвижного уплотнения без четких контуров с возможной флюктуацией – аппендикулярного абсцесса.
12 Клиника Язык обложен плотным налетом, наблюдаются диспепсические явления: нарушение стула, рвота, вздутие живота; При прорыве аппендикулярного абсцесса в кишечник отмечается улучшение самочувствия, уменьшение болей, снижение температуры, появление жидкого стула с большим количеством зловонного гноя. Вскрытие аппендикулярного абсцесса в брюшную полость приводит к развитию перитонита, сопровождается септикопиемией – появлением вторичных гнойных очагов различной локализации, нарастанием признаков интоксикации, тахикардией, лихорадкой.
13 Диагностика При вагинальном или ректальном пальцевом исследовании иногда удается пропальпировать нижний полюс абсцесса как болезненное выпячивание свода влагалища или передней стенки прямой кишки. УЗИ брюшной полости проводится для уточнения локализации и размера аппендикулярного абсцесса.
14 Диагностика При обзорной рентгенографии органов брюшной полости определяется гомогенное затемнение в подвздошной области справа и небольшое смещение петель кишечника в сторону срединной линии; в зоне аппендикулярного абсцесса выявляется уровень жидкости и скопление газов в кишечнике (пневматоз).
15 Тазовые абсцессы На фоне проявлений общей интоксикации появляются нерезкие боли в нижних отделах живота, усиливающиеся при глубокой пальпации. Симптомы раздражения брюшины отсутствуют. При прорыве гнойника в брюшную полость появляются симптомы раздражения брюшины, наблюдается учащённый жидкий стул со слизью и кровью, тенезмы. Болезненность при мочеиспускании. При обширных гнойниках с выраженной инфильтрацией тканей возможно сдавление прямой кишки вплоть до развития механической кишечной непроходимости.
16 Диагностика Рентгенологическая картина мало информативна. Большую роль в диагностике играют ультразвуковое исследование, магнито резонансная томография. При ректальном исследовании выявляют зияние сфинктера прямой кишки, дряблость стенок ампулы, нависание передней стенки ампулы.
17 Диагностика Также можно провести диагностическую пункцию гнойника через прямую кишку или задний свод влагалища.
18 Выводы 1. Абсцессы являются частыми осложнениями острых хирургических заболеваний брюшной полости. 2. Золотым стандартом в диагностике абсцессов брюшной полости на современном этапе развития хирургии является ультразвуковое и КТ-исследование брюшной полости.
Поддиафрагмальный абсцесс. Абсцесс дугласова пространства
Поддиафрагмальный абсцесс
Поддиафрагмальный абсцесс чаще образуется как осложнение заболеваний печени и желчных путей, желудка, двенадцатиперстной кишки, червеобразного отростка, поджелудочной железы. Нередко он осложняет операции на различных органах брюшной полости.
Наиболее постоянным симптомом поддиафрагмального абсцесса является боль. Чаще всего она локализуется в нижних отделах грудной клетки, подложечной области или подреберье. Она носит постоянный характер и может иррадиировать в лопатку, плечо, шею, усиливаясь при движении. У некоторых больных наблюдаются икота, отрыжка, иногда затрудненное болезненное глотание. Температура высокая, с большими размахами и потрясающим ознобом, потливостью и частым пульсом. Больной нередко принимает характерное вынужденное положение (на спине, полусидя, упираясь руками в кровать или лежа на больном боку с приведенными к животу ногами). Живот вздут, перистальтика кишечника вялая.
При пальпации в области подреберья и иногда в подложечной области определяются болезненность н напряжение мышц. Кожа на стороне поражения в проекции абсцесса нередко тестоватой консистенции. Межреберные промежутки сглажены, надавливание в области их болезненное. Грудная клетка на стороне абсцесса отстает при акте дыхания. При перкуссии определяется притупление, указывающее на высокое стояние диафрагмы, доходящее иногда спереди до уровня II—III ребра. Аускультативно могут обнаруживаться ослабленное дыхание в нижних отделах грудной клетки на стороне поражения, шум трения плевры, усиление голосового дрожания. При вовлечении в процесс плевры наблюдается сухой болезненный кашель. Исследование крови выявляет картину, характерную для гнойной интоксикации.
Большую помощь в диагностике оказывает рентгенологическое исследование. Прямым указанием на поддиафрагмальный абсцесс служит наличие газового пузыря с горизонтальным уровнем жидкости, который меняется при перемене положения тела больного.
Лечение поддиафрагмального абсцесса, как правило, оперативное, хотя некоторые авторы сообщают об успешном лечении его пункциями (с аспирацией содержимого и последующим введением антибиотиков). Наиболее широкое распространение получил внеплевральный — внебрюшинный доступ (Л. В. Мельников).
Прогноз зависит от того, насколько своевременно сделана операция. Летальность, по данным некоторых авторов, достигает 20%.

Абсцесс дугласова пространства
Наиболее часто причиной развития абсцесса дугласова пространства являются деструктивный аппендицит и гнойные воспалении придатков матки; реже он образуется в результате затекания инфицированного экссудата из верхних отделов живота.
Заболевание начинается остро с повышения температуры, которая носнт гектическнй характер, наблюдается озноб. Пульс обычно соответствует температуре. Больные жалуются на сильные режущие боли в животе, частые позывы на дефекацию, примесь слизи в кале. В дальнейшем могут наблюдаться зияние сфинктера, недержание кала и газов, а также дизурические явления. При пальпации определяются болезненность в нижних отделах живота, напряжение мышц, иногда положительный симптом Блюмберга — Щеткина. Изменяется картина крови. При бимануальном исследовании обнаруживается болезненный инфильтрат, прощупываемый через переднюю стенку прямой кишки или задний свод влагалища. В центре инфильтрата при его размягчении иногда определяется флюктуация.
При прогрессирующем развитии процесса существует опасность прорыва гнойника в прямую кишку, мочевой пузырь, тонкий кишечник, свободную брюшную полость. Для уточнения диагноза прибегают к пункции через прямую кишку или задний свод влагалища.
В начальной фазе развития заболевания лечение консервативное (антибиотики, теплые клизмы с отваром ромашки). При появлении гектической температуры, интоксикации или флюктуации показано вскрытие гнойника.
Абсцесс дугласова пространства
Абсцесс дугласова пространства – инкапсулированный гнойный очаг, расположенный в маточно-прямокишечном (прямокишечно-пузырном) углублении малого таза. Клиника характеризуется неспецифическими проявлениями (интоксикацией, фебрильной температурой, ознобами) и местной симптоматикой (болью в нижних отделах живота, дизурическими явлениями, частыми позывами на дефекацию). Диагностика включает ректальное и вагинальное (у женщин) исследование, УЗИ малого таза, КТ, пункцию гнойника через прямую кишку или задний свод влагалища. Лечение абсцесса дугласова пространства заключается в его вскрытии через прямую кишку или влагалище, дренировании и санации, проведении антибиотикотерапии.
МКБ-10






Общие сведения
По данным специалистов в сфере гинекологии и общей хирургии абсцесс дугласова пространства встречается в 1-3% случаев (в 0,06-0,11% - после оперативных вмешательств). Абсцесс дугласова пространства является довольно частой разновидностью абсцессов брюшной полости. Инкапсулированный гнойник при данном виде абсцесса формируется в маточно-прямокишечном углублении у женщин и прямокишечно-пузырном – у мужчин.
Причины
В большинстве случаев абсцесс дугласова пространства развивается на фоне деструктивной формы острого аппендицита (флегмонозного, гангренозного, перфоративного) при тазовом расположении червеобразного отростка. У женщин к формированию абсцесса малого таза могут приводить гнойные заболевания придатков (аднексит, пиосальпинкс). Реже к возникновению абсцесса дугласова пространства предшествует перфорация дивертикула ободочной кишки, парапроктит, диффузные формы перитонита.

Гноеродная микрофлора представлена неспецифическими возбудителями (стафилококками, кишечной и паракишечной палочкой, стрептококками, синегнойной палочкой и др.). Образованию абсцесса дугласова пространства способствует снижение реактивности организма и повышение вирулентности патогенной микрофлоры.
Патогенез
Абсцесс дугласова пространства всегда формируется вторично. Затеканию крови, серозного или гнойного выпота в дугласово пространство способствуют анатомические особенности малого таза, куда открываются брыжеечные синусы и каналы. При недостаточно тщательной ревизии и туалете операционной раны, неадекватном дренировании и санации малого таза в наиболее глубоком месте брюшной полости – дугласовом пространстве создаются условия для формирования абсцесса.
Симптомы абсцесса
Организация абсцесса дугласова пространства, как правило, происходит через 5-10 суток после операции по поводу первичного гнойного заболевания. В первую очередь появляются общие неспецифические симптомы, характеризующиеся внезапным развитием озноба, повышением температуры тела до фебрильных значений, тахикардией, тошнотой, головной болью. На этом фоне отмечаются ощущения распирания и резкие боли внизу живота, усиливающиеся при ходьбе, движениях, физиологических отправлениях. При абсцессе дугласова пространства пациентов могут беспокоить учащенные и болезненные мочеиспускания, тенезмы, жидкий стул с примесью слизи и крови, недержание газов и кала.

Осложнения
Обширные абсцессы дугласова пространства, окруженные массивным инфильтратом, иногда приводят к сдавлению прямой кишки, вызывая механическую кишечную непроходимость. Прогрессирование патологии может осложниться прорывом гнойника в свободную брюшную полость или полые органы - мочевой пузырь, матку, прямую кишку. Длительное течение тазового абсцесса приводит к развитию тромбофлебита тазовых вен и тромбоэмболической болезни.
Диагностика
В ходе консультации гастроэнтеролога осуществляется сбор анамнеза. Специалист обращает внимание на недавно перенесенные операции и заболевания, что позволяет заподозрить вероятность абсцесса дугласова пространства.
Пальпаторно определяется болезненность в области малого таза, локальное напряжение мышц, положительный симптом Щёткина — Блюмберга. При ректальном или влагалищном исследовании выявляется болезненный тугоэластический инфильтрат с размягчением и флюктуацией в центре. У женщин абсцесс дугласова пространства пальпируется выше шейки матки, определяется нависание заднего свода влагалища.

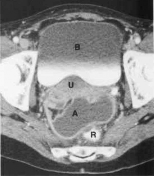
КТ органов малого таза. На снимке: абсцесс, отграниченный стенкой (А), прямая кишка (R), матка (U), мочевой пузырь (B)
Для дифференциальной диагностики с тубоовариальным абсцессом у женщин проводится УЗИ малого таза; для исключения абсцесса предстательной железы у мужчин – УЗИ простаты.

В сложно дифференцируемых случаях может потребоваться выполнение компьютерной томографии, МРТ. Для окончательного распознавания абсцесса дугласова пространства прибегают к диагностической пункции гнойника под ультразвуковым наведением через прямую кишку либо задний свод влагалища. Полученное гнойное содержимое подвергается бактериологическому исследованию.

Лечение абсцесса дугласова пространства
На инфильтративной стадии назначаются микроклизмы, антибиотики; после окончательного формирования абсцесса, о котором судят по размягчению инфильтрата и появлению флюктуации, производится вскрытие гнойника. Абсцессы дугласова пространства вскрывают через стенку прямой кишки или через задний свод влагалища. Вначале выполняется пункция гнойника толстой иглой.

После получения гноя, для обеспечения его свободного оттока из полости абсцесса, отверстие по ходу иглы рассекается, расширяется тупым путем, и в него устанавливается двухпросветный дренаж (или катетер с раздутой манжеткой). Проводится послеоперационная санация гнойной полости.
Для вскрытия абсцесса дугласова пространства у женщин может применяться задняя кольпотомия. При невозможности вскрытия абсцесса трансерктально или трансвагинально, используется оперативный доступ в подвздошной области с последующим введением дренажа в малый таз.
Прогноз и профилактика
При одиночном абсцессе дугласова пространства и вовремя предпринятом вмешательстве исход заболевания благоприятный – наступает выздоровление. Осложнения абсцесса дугласова пространства могут развиться при прорыве гнойника в брюшную полость или прилежащие к нему органы.
Профилактика абсцесса дугласова пространства требует адекватной ревизии и санации брюшной полости при оперативных вмешательствах, тщательной остановки кровотечений, своевременного лечения гнойных тубоовариальных образований и парапроктита. После осложненной аппендэктомии в послеоперационном периоде необходимо систематическое влагалищное или ректальное исследование для своевременного распознавания абсцесса дугласова пространства.
Абсцессы брюшной полости

Абсцессы могут располагаться в любой части брюшной полости и забрюшинного пространства. Чаще они развиваются после хирургических вмешательств, травм, инфекционно-воспалительных заболеваний органов брюшной полости, особенно сопровождающихся развитием перитонита и перфорации. Проявления включают общую слабость, лихорадку, боль в животе. Диагноз ставится на основе КТ. Лечение подразумевает хирургическое или чрескожное дренирование. Дополнительно назначают антибиотики.
Этиология абсцессов брюшной полости
Абсцессы брюшной полости подразделяют на интраперитонеальные, ретроперитонеальные и висцеральные (см. таблицу Интраабдоминальные абсцессы [Intra-Abdominal Abscesses] Абсцессы брюшной полости ). Во многих случаях абсцессы брюшной полости развиваются после перфорации полого органа или аденокарциномы толстой кишки. Также абсцессы могут быть следствием распространения инфекции или воспаления при таких состояниях, как аппендицит Аппендицит Аппендицит – острое воспаление червеобразного отростка, типичными проявлениями которого служат боль в животе, анорексия, болезненность при пальпации. Диагностика основывается на клинических. Прочитайте дополнительные сведения , болезнь Крона Болезнь Крона Болезнь Крона – хроническое воспалительное заболевание кишечкика с трансмуральным характером поражения, преимущественно поражающее дистальную часть подвздошной и толстой кишки, при котором также. Прочитайте дополнительные сведенияМикроорганизмы, вызывающие инфекцию, как правило, входят в состав кишечной микрофлоры и представляют смесь анаэробных и аэробных бактерий. Наиболее часто выделяемыми возбудителями являются
Абсцессы брюшной полости
В правом или левом нижних квадрантах
Послеоперационные; перфорация полого органа, аппендицит Аппендицит Аппендицит – острое воспаление червеобразного отростка, типичными проявлениями которого служат боль в животе, анорексия, болезненность при пальпации. Диагностика основывается на клинических. Прочитайте дополнительные сведения либо опухоль; болезнь Крона Болезнь Крона Болезнь Крона – хроническое воспалительное заболевание кишечкика с трансмуральным характером поражения, преимущественно поражающее дистальную часть подвздошной и толстой кишки, при котором также. Прочитайте дополнительные сведенияКишечная микрофлора, часто ассоциации микробов
Кишечная микрофлора, часто ассоциации микробов
Распространение абсцесса почечной паренхимы (осложняющего течение пиелонефрита или - в редких случаях - имеющего гематогенное происхождение при процессах другой локализации)
Аэробные грамотрицательные бациллы
Травма, нисходящий холангит, бактериемия в системе воротной вены
Травма, гематогенное распространение, инфаркт (например, при серповидноклеточной анемии Серповидно-клеточная анемия Серповидноклеточная анемия ( гемоглобинопатия) является причиной хронической гемолитической анемии, которая наблюдается практически исключительно у представителей негроидной расы. Она вызвана. Прочитайте дополнительные сведения Plasmodium. Симптомы и признаки включают лихорадку (которая может быть периодической), зябкость, озноб, потливость, диарею, боль в животе. Прочитайте дополнительные сведения )
Стафилококки Стафилококковые инфекции Стафилококки – грамположительные аэробные микроорганизмы. Staphylococcus aureus наиболее патогенный; как правило, он вызывает инфекции кожи, может вызывать пневмонию, эндокардит и остеомиелит. Прочитайте дополнительные сведения , анаэробы Обзор анаэробных бактерий (Overview of Anaerobic Bacteria) Данные бактерии могут быть классифицированы по их потребности в кислороде: Факультативные анаэробы: аэробный или анаэробный рост при наличии или отсутствии кислорода Микроаэрофильные анаэробы. Прочитайте дополнительные сведения , аэробные грамотрицательные бациллы, в т ч Salmonella Обзор инфекций, вызванных Salmonella (Overview ofSalmonella Infections) Род Salmonella делится на 2 вида: S. enterica и S. bongori, которые включают в себя >2400 известных серотипов. Некоторые из этих серотипов имеют название. В таких случаях. Прочитайте дополнительные сведения , Candida Кандидоз (инвазивный) Кандидоз – инфекция, вызываемая видом Candida (чаще всего C. albicans), проявляющаяся поражениями кожно-слизистой ткани, фунгемией и иногда очаговой инфекцией с вовлечением в процесс. Прочитайте дополнительные сведенияСимптомы и признаки внутрибрюшных абсцессов
Абсцессы могут формироваться в течение 1 недели после перфорации или развития перитонита, тогда как послеоперационные абсцессы могут образоваться не ранее чем через 2–3 недели, а иногда и несколько месяцев после вмешательства. Проявления могут варьировать, но в большинстве случаев отмечается лихорадка и минимальный или выраженный дискомфорт в животе (как правило, в месте расположения абсцесса). Может наблюдаться паралитический илеус – распространенный или на ограниченном протяжении. Характерны тошнота, отсутствие аппетита, похудание.
Абсцессы дугласова пространства, прилежащие к ректосигмовидному сочленению, могут провоцировать развитие диареи. Соседство с мочевым пузырем может сопровождаться настоятельными учащенными позывами на мочеиспускание, а если абсцесс осложняет дивертикулит, возможно формирование кишечно-пузырной фистулы.
Поддиафрагмальные абсцессы могут вызывать симптомы, характерные для заболеваний органов грудной клетки: непродуктивный кашель, боль в грудной клетке, одышка, икота и плечевом поясе. Могут определяться сухие и влажные хрипы, шум трения плевры. Укорочение перкуторного звука и ослабление дыхательных шумов характерны для развития ателектаза в основании легкого, пневмонии, плеврального выпота.
Как правило, при пальпации определяется болезненность живота в зоне расположения абсцесса. Абсцесс большого размера может пальпироваться как объемное образование.
Осложнения
В отсутствие дренирования абсцессы могут распространяться на прилегающие структуры, разрушая и проникая в сосуды (вызывая кровотечения или тромбозы), прорываться в брюшную полость или просвет кишечника, приводить к развитию свищей в кожу и мочеполовые органы. Поддиафрагмальные абсцессы могут распространяться в грудную полость, вызывая эмпиему, абсцесс легкого Абсцесс Лёгких Абсцесс легкого представляет собой некротизирующую инфекцию, которая характеризуется образованием полости, заполненной гноем. В большинстве случаев причиной абсцесса чаще всего является аспирация. Прочитайте дополнительные сведенияДиагностика внутрибрюшных абсцессов
КТ органов брюшной полости
В части случаев – радионуклидное сканирование
При подозрении на абсцесс методом выбора является КТ брюшной полости и таза с пероральным контрастированием. Другие способы визуализации также могут выявить некоторые изменения; при обзорной рентгенографии брюшной полости может определяться газ в полости абсцесса, смещение соседних органов, мягкотканное образование, соответствующее абсцессу, либо исчезновение тени подвздошно-поясничной мышцы. При расположении абсцессов вблизи диафрагмы могут наблюдаться изменения со стороны грудной клетки, такие как плевральный выпот, высокое стояние и снижение подвижности купола диафрагмы, инфильтрация в нижней доле, ателектаз на стороне поражения.
Необходимо провести общий анализ и культуральное исследование крови. У большинства пациентов наблюдается лейкоцитоз в крови и анемия.
В части случаев выявить абсцессы брюшной полости помогает радиоизотопное сканирование с Индий111-мечеными лейкоцитами.
Прогноз при абсцессе брюшной полости
Частота летального исхода при абсцессах брюшной полости достигает 10–40%. Прогноз зависит в большей степени от характера фоновой патологии или повреждения и общего состояния здоровья пациента, чем от специфического характера природы и локализации абсцесса.
Лечение абсцессов брюшной полости
Внутривенное введение антибиотиков
Дренирование: чрекожное или оперативное
Почти все интраабдоминальные абсцессы требуют дренирования путем чрескожной катетеризации или хирургически; исключение составляют небольшие (
Присутствует небольшое количество полостей абсцесса.
Дренаж не проходит через кишечник или незараженные органы, плевру или брюшину.
Источник загрязнения под контролем.
Гной достаточно тонкий, чтобы пройти через катетер.
Назначение антибиотиков не позволяет достичь излечения, но способно ограничить гематогенное распространение инфекции, поэтому они должны назначаться до и после вмешательства. Терапия требует внутривенных препаратов, активных против кишечной флоры. Пациенты с приобретенной в внебольничных условиях инфекцией должны отличаться низким или высоким риском неудачного лечения или уровнем смертности вследствие признаков сепсиса или септического шока Клинические проявления Сепсис представляет собой клинический синдром с развитием жизнеугрожающей органной дисфункции, вызванный нарушением регуляции ответа на инфекцию. При септическом шоке происходит критическое. Прочитайте дополнительные сведения , крайнего возраста, сопутствующих заболеваний, степени выраженности абдоминальной инфекции и риском заражения резистентными бактериями. При внебольничных инфекциях у пациентов с низкой степенью риска рекомендуемые схемы лечения включают эртапенем в качестве единственного препарата или метронидазол плюс цефотаксим, либо цефтриаксон. При внебольничных инфекциях у пациентов с высокой степенью риска рекомендуемые схемы лечения включают пиперациллин/тазобактам, цефепим плюс метронидазол, имипенем/циластатин или меропенем. Пациенты, которым проводилась антибиотикотерапия или у которых диагностированы внутрибольничные инфекции, должны получать препараты, активные в отношении устойчивых грамотрицательных бацилл (в частности, Pseudomonas) и анаэробов. (См. также the Surgical Infection Society's 2017 revised guidelines on the management of intra-abdominal infection).
Нутритивная поддержка имеет важное значение, предпочтительно энтеральное питание. При невозможности энтерального питания следует как можно раньше начать парентеральное.
Основные положения
Абсцесс брюшной полости следует заподозрить при появлении боли в животе и лихорадки у пациентов с предрасполагающими состояниями (травма живота, операция, болезнь Крона, дивертикулит, панкреатит и пр).
Абсцесс может выступать как первое проявление рака.
Диагноз подтверждается методом КТ брюшной полости.
Лечение подразумевает чрескожное или хирургическое дренирование; необходимо назначение антибиотиков, однако изолированная антибиотикотерапия не позволяет достичь излечения.
Дополнительная информация
Ниже следует англоязычный ресурс, который может быть информативным. Обратите внимание, что The manual не несет ответственности за содержание этого ресурса.
Авторское право © 2022 Merck & Co., Inc., Rahway, NJ, США и ее аффилированные лица. Все права сохранены.
Поддиафрагмальный абсцесс
Поддиафрагмальный абсцесс – локальный гнойник, сформировавшийся между куполом диафрагмы и прилегающими к ней органами верхнего этажа брюшной полости (печенью, желудком и селезенкой). Поддиафрагмальный абсцесс проявляется гипертермией, слабостью, интенсивной болью в эпигастрии и подреберье, одышкой, кашлем. Диагностическое значение имеют осмотр больного, данные рентгеноскопии, УЗИ, КТ, общего анализа крови. Для полного излечения поддиафрагмального абсцесса выполняют хирургическое вскрытие и дренирование гнойника, назначают антибактериальную терапию.
Общие сведения
Поддиафрагмальный абсцесс является сравнительно редким, но очень серьезным осложнением гнойно-воспалительных процессов брюшной полости. Располагается поддиафрагмальный абсцесс преимущественно внутрибрюшинно (между диафрагмальным листком брюшины и прилегающими органами), редко - в забрюшинном пространстве (между диафрагмой и диафрагмальной брюшиной). В зависимости от нахождения гнойника поддиафрагмальные абсцессы разделяют на правосторонние, левосторонние и срединные. Чаще всего встречаются правосторонние поддиафрагмальные абсцессы с передневерхней локализацией.
Форма поддиафрагмального абсцесса может быть различной: чаще - округлой, при сдавлении его прилежащими к диафрагме органами – плоской. Содержимое поддиафрагмального абсцесса представлено гноем, иногда с примесью газа, реже - желчных камней, песка, кала.
Поддиафрагмальный абсцесс нередко сопровождается образованием плеврального выпота, при значительном размере в той или иной степени оказывает давление и нарушает функции диафрагмы и соседних органов. Поддиафрагмальный абсцесс обычно встречается у 30-50-летних пациентов, при этом у мужчин - в 3 раза чаще, чем у женщин.
Причины
Основная роль в возникновении поддиафрагмального абсцесса принадлежит аэробной (стафилококк, стрептококк, кишечная палочка) и анаэробной неклостридиальной микрофлоре. Причиной большинства случаев поддиафрагмального абсцесса является послеоперационный перитонит (местный или разлитой), развившийся после гастрэктомии, резекции желудка, ушивания прободной язвы желудка, спленэктомии, резекции поджелудочной железы. Развитию поддиафрагмального абсцесса способствуют возникновение обширной операционной травмы тканей, нарушение анатомических связей органов поддиафрагмального пространства, несостоятельность анастомозов, кровотечение, иммуносупрессия.
Поддиафрагмальные абсцессы могут возникать в результате торакоабдоминальных травм: открытых (огнестрельных, колотых или резаных ранений) и закрытых (ушибов, сдавления). Гематомы, скопление вытекшей крови и желчи, образовавшиеся после таких травм, нагнаиваются, осумковываются и приводят к развитию поддиафрагмального абсцесса.
Среди заболеваний, вызывающих образование поддиафрагмального абсцесса, ведущую роль играют воспалительные процессы органов брюшной полости (абсцессы печени, селезенки, острый холецистит и холангит, панкреонекроз). Реже поддиафрагмальный абсцесс осложняет течение деструктивного аппендицита, сальпингоофорита, гнойного паранефрита, простатита, нагноившейся кисты эхинококка, забрюшинных флегмон. Развитие поддиафрагмального абсцесса возможно при гнойных процессах в легких и плевре (эмпиема плевры, абсцесс легкого), остеомиелите нижних ребер и позвонков.
Распространению гнойной инфекции из очагов брюшной полости в поддиафрагмальное пространство способствуют отрицательное давление под куполом диафрагмы, создающее присасывающий эффект, перистальтика кишечника, а также ток лимфы.
Симптомы поддиафрагмального абсцесса
В начальной стадии поддиафрагмального абсцесса могут наблюдаться симптомы общего характера: слабость, потливость, озноб, ремиттирующая или интермиттирующая лихорадка, свойственные и другим абсцессам брюшной полости (межкишечному, аппендикулярному, абсцессу дугласова пространства и др.).
Для поддиафрагмального абсцесса характерно появление чувства тяжести и болей в подреберье и нижней части грудной клетки с пораженной стороны. Боли могут иметь различную интенсивность - от умеренных до острых, усиливаться при активном движении, глубоком дыхании и кашле, иррадиировать в плечо, лопатку и ключицу. Также появляется икота, одышка, мучительный сухой кашель. Дыхание учащенное и поверхностное, грудная клетка на стороне абсцесса отстает при дыхании. Больной с поддиафрагмальным абсцессом вынужден принимать полусидячее положение.
Диагностика
Обнаружение поддиафрагмального абсцесса облегчается после его полного созревания. С целью диагностики используют данные анамнеза и осмотра больного, результаты рентгенологического, ультразвукового, лабораторного исследований, КТ.
Пальпация верхних отделов живота при поддиафрагмальном абсцессе показывает болезненность и мышечное напряжение брюшной стенки в эпигастральной области или в подреберьях. Выявляется сглаженность и расширение межреберных промежутков, выпячивание подреберной области, при правостороннем абсцессе - увеличение печени.
Если поддиафрагмальный абсцесс не содержит газ, перкуссия грудной клетки обнаруживает притупление звука выше границы печени, снижение или отсутствие подвижности нижнего края легкого. При скоплении газа в полости поддиафрагмального абсцесса выявляются участки разных тонов («перкуторная радуга»). При аускультации наблюдается изменение дыхания (от ослабленного везикулярного до бронхиального) и внезапное исчезновение дыхательных шумов на границе абсцесса.
Лабораторное исследование крови показывает изменения, характерные для любых гнойных процессов: анемию, нейтрофильный лейкоцитоз со сдвигом лейкоцитарной формулы влево, нарастание СОЭ, наличие С-реактивного белка, диспротеинемию.
Главное значение в диагностике поддиафрагмального абсцесса отводится рентгенографии и рентгеноскопии грудной клетки. Для поддиафрагмального абсцесса характерно изменение в области ножек диафрагмы, более высокое стояние купола диафрагмы на пораженной стороне и ограничение ее подвижности (от минимальной пассивной подвижности до полной неподвижности). Скопление гноя при безгазовых поддиафрагмальных абсцессах видно как затемнение над линией диафрагмы, наличие газа – как полоса просветления с нижним горизонтальным уровнем между абсцессом и диафрагмой. Определяется выпот в плевральной полости (реактивный плеврит), снижение воздушности нижних частей легкого.
МСКТ и УЗИ брюшной полости позволяют подтвердить наличие жидкости, гноя и газа в брюшной или плевральной полости, изменение положения и состояния прилежащих внутренних органов (например, деформацию желудка, смещение продольной оси сердца и др.). Диагностическая пункция абсцесса допустима лишь во время операции.
Поддиафрагмальный абсцесс дифференцируют с язвенной болезнью желудка, язвенной болезнью 12п. кишки, гнойным аппендицитом, заболеваниями печени и желчевыводящих путей, нагноившимся эхинококком печени.
Лечение поддиафрагмального абсцесса
Основным методом лечения поддиафрагмального абсцесса в оперативной гастроэнтерологии является хирургическое вскрытие и дренирование гнойника.
Операция по поводу поддиафрагмального абсцесса выполняется трансторакальным или трансабдоминальным доступом, что позволяет обеспечить адекватные условия для дренирования. Основной разрез иногда дополняют контрапертурой. Проводят медленное опорожнение поддиафрагмального абсцесса и ревизию его полости. Для быстрого очищения поддиафрагмального абсцесса используют метод приточно-аспирационного дренирования двухпросветными силиконовыми дренажами.
В комплексное лечение поддиафрагмального абсцесса входит антибактериальная, дезинтоксикационная, симптоматическая и общеукрепляющая терапия.
Прогноз и профилактика
Прогноз поддиафрагмального абсцесса очень серьезный: гнойник может прорваться в брюшную и плевральную полости, перикард, вскрыться наружу, осложниться сепсисом. Без своевременной операции осложнения в 90% случаев приводят к гибели пациента.
Предупредить образование поддиафрагмального абсцесса позволяет своевременное распознавание и лечение воспалительной патологии брюшной полости, исключение интраоперационных травм, тщательная санация брюшной полости при деструктивных процессах, перитоните, гемоперитонеуме и т. д.
Читайте также:
