Поддиафрагмальный нарыв. Поддиафрагмальный абсцесс
Добавил пользователь Евгений Кузнецов Обновлено: 27.01.2026
скопление гноя в пространстве под диафрагмой, чаще всего с правой стороны - между печенью и диафрагмой. Причиной возникновения поддиафрагмального абсцесса может являться послеоперационная инфекция (особенно после операций на желудке или кишечнике) или прободение какого-либо органа (например, прободение пептической язвы). В некоторых случаях эффективным оказывается срочное назначение больному антибиотиков, однако чаще всего в этой ситуации возникает необходимость в хирургическом дренировании абсцесса.
Смотреть значение Абсцесс Поддиафрагмальный (subphrenic Abscess) в других словарях
Абсцесс — м. врач. нарыв, гнойница, нагной, нагноение, местное воспаление с отложением гноя.
Толковый словарь Даля
Абсцесс М. — 1. Местное гнойное воспаление ткани или органа.
Толковый словарь Ефремовой
Абсцесс — -а; м. [лат. abscessus - гнойник, нарыв]. Мед. Скопление гноя в тканях или органах, вызванное воспалительным процессом. А. лёгкого.
Толковый словарь Кузнецова
Абсцесс — (abscessus; лат., от abscedo, abscessum отделяться, нарывать; син.: апостема, гнойник, нарыв) полость, заполненная гноем и отграниченная от окружающих тканей и органов пиогенной мембраной.
Большой медицинский словарь
Абсцесс Амебный — (a. amoebicus) А. печени или головного мозга (реже других органов) при амебиазе, вызванный гематогенной диссеминацией Entamoeba histolytica или ее контактным проникновением в соседние.
Большой медицинский словарь
Абсцесс Аноректальный — (а. anorectalis) А., локализующийся в клетчатке, окружающей анальную часть прямой кишки и задний проход; возникает при подкожном пли подслизистом парапроктите.
Большой медицинский словарь
Абсцесс Апикальный — (a. apicalis) А., локализующийся в области верхушки корня зуба; возникает при остром или обострившемся верхушечном периодонтите.
Большой медицинский словарь
Абсцесс Аппендикулярный — (а. appendicularis) А., локализующийся в полости брюшины пли в ретроцекальной клетчатке и возникающий как осложнение острого аппендицита.
Большой медицинский словарь
Абсцесс Асептический — (a. asepticus) А., развивающийся в результате попадания в ткань веществ, способных вызвать нагноение без участия возбудителей гнойной инфекции.
Большой медицинский словарь
Абсцесс Броди — см. Броди абсцесс.
Большой медицинский словарь
Абсцесс Гангренозный — (a. gangraenosus; син.: А. гнилостный, А. путридный) А., содержащий гнилостный гной и секвестры или детрит.
Большой медицинский словарь
Абсцесс Гангренозный Газовый — (a. gangraenosusgaseus) А. г., содержащий газ, образовавшийся в результате жизнедеятельности микроорганизмов.
Большой медицинский словарь
Абсцесс Геморрагический — (a. haemorrhagicus) А., в содержимом которого имеется примесь крови; развивается при инфицировании и нагноении гематомы или вследствие кровоизлияния в полость А. А. гнилостный.
Большой медицинский словарь
Абсцесс Головного Мозга — (a. cerebri) А., формирующийся в тканях головного мозга в результате попадания в них возбудителей гнойной инфекции из других очагов или при черепно-мозговой травме.
Большой медицинский словарь
Абсцесс Головного Мозга Кардиопатический — (a. cerebri cardiopathicus) метастатический А. г. м., при котором источником метастаза является воспалительно измененный эндокард; возникает у детей с врожденными пороками сердца.
Большой медицинский словарь
Абсцесс Головного Мозга Контактный — (a. cerebri contactus) А. г. м., развивающийся в результате распространения возбудителей инфекции из близко расположенного очага гнойного воспаления (из среднего уха, околоносовых.
Большой медицинский словарь
Абсцесс Головного Мозга Метастатический — (a. cerebri metastaticus) А. г. м., развивающийся в результате гематогенного или лимфогенного распространения возбудителей гнойной инфекции из отдаленного гнойного очага или при септикопиемии.
Большой медицинский словарь
Абсцесс Головного Мозга Отогенный — (a. cerebri otogenus) А. г. м., развивающийся в результате распространения возбудителей инфекции из среднего уха при хроническом (реже остром) гнойном отите.
Большой медицинский словарь
Абсцесс Головного Мозга Риногенный — (a. cerebri rhinogenus) А. г. м., развивающийся в результате распространения возбудителей инфекции при гнойном воспалении или травме околоносовых пазух (чаще лобных).
Большой медицинский словарь
Абсцесс Головного Мозга Травматический — (a. cerebri traumaticus) А. г. м., развивающийся в результате инфицирования и нагноения тканей мозга, поврежденных при черепно-мозговой травме.
Большой медицинский словарь
Абсцесс Головного Мозга Эзофагогенный — (a. cerebri oesophagogenus) метастатический А. г. м., развивающийся в результате распространения возбудителей инфекции из пищевода при хроническом гнойном эзофагите; возникает.
Большой медицинский словарь
Абсцесс Горячий — (устар.; a. calidus) см. Абсцесс острый.
Большой медицинский словарь
Абсцесс Десневой — (a. gingivalis; син. А. субгингивальный) А., локализующийся в тканях десны; возникает при наличии патологического зубодесневого кармана или в результате механической травмы десны.
Большой медицинский словарь
Абсцесс Дюбуа — см. Дюбуа абсцесс.
Большой медицинский словарь
Абсцесс Дюпюитрена — см. Дюпюитрена абсцесс.
Большой медицинский словарь
Абсцесс Забрюшинный — (a. retroperitonealis) А., локализующийся в забрюшинном пространстве; возникает при панкреатите, повреждениях задней стенки двенадцатиперстной кишки, паранефритах и т. д.
Большой медицинский словарь
Абсцесс Заглоточный — (a. retropharyngeus; син.: А. позадиглоточный, А. ретрофарингеальный) А., локализующийся в заглоточном пространстве.
Большой медицинский словарь
Абсцесс Заглоточный Острый — (а. retropharyngeus acutus) А. з., развивающийся в результате распространения возбудителей инфекции при острых воспалительных процессах в носоглотке и задних отделах носа (гл.
Большой медицинский словарь
Абсцесс Заглоточный Хронический — (a. retropharyngeus chronicus) А. з., развивающийся в результате туберкулезного поражения верхних шейных позвонков или заглоточных лимфатических узлов.
Большой медицинский словарь
Публикации в СМИ
Поддиафрагмальный абсцесс — абсцесс, локализующийся в полости брюшины под диафрагмой (чаще справа) и возникающий как осложнение острых воспалительных заболеваний, травм или хирургических вмешательств на органах брюшной полости.
Факторы риска • Оперативное вмешательство • Хронические заболевания — цирроз печени, хроническая почечная недостаточность (ХПН), нарушения питания • Применение ГК • Химиотерапия • Лучевая терапия.
Клиническая картина • Боли в подрёберной области, усиливающиеся при глубоком вдохе, с иррадиацией в лопатку или надплечье • Боли в области грудной клетки, чаще справа. При расположении абсцесса близко к передней брюшной стенке болевой синдром более выражен • Тошнота, икота • Вынужденное положение больного на спине, на боку или полусидя • Температурная кривая носит гектический характер • Озноб, потливость • При длительном течении — пастозность кожи, выбухание межрёберных промежутков в зоне локализации абсцесса (обычно IX–XI справа) • Тахикардия • Одышка • При пальпации — ригидность мышц верхних отделов брюшной стенки и болезненность по ходу межрёберных промежутков • Симптомы раздражения брюшины, как правило, отсутствуют.
Методы исследования • Анализ периферической крови — нейтрофильный лейкоцитоз, сдвиг лейкоцитарной формулы влево, увеличение СОЭ • Посев крови на стерильность • Рентгенологическое исследование органов грудной и брюшной полостей •• Высокое стояние и ограничение подвижности купола диафрагмы •• Наличие уровня жидкости под диафрагмой, смещение соседних органов •• В лёгких — ателектазы, пневмонические фокусы в нижних сегментах •• Выпот в плевральной полости на стороне поражения • КТ, УЗИ, радиоизотопное сканирование с использованием 67 Ga.
Дифференциальная диагностика • Другие абсцессы брюшной полости • Острый холецистит.
ЛЕЧЕНИЕ. Основной метод лечения — хирургический (адекватное дренирование абсцесса чрескожной пункцией и/или оперативным путём), одновременно назначают антибактериальную терапию: антибиотики широкого спектра действия в зависимости от результатов бактериологического исследования и определения чувствительности микроорганизмов к антибиотикам.
Наблюдение • Постоянное наблюдение в течение 6 нед после разрешения процесса • Регулярное проведение анализов крови • Периодическое рентгенологическое исследование органов грудной клетки вплоть до нормализации состояния пациента.
Осложнения • Рецидив абсцесса • Кровотечение • Непроходимость кишечника • Пневмония • Эмпиема плевры • Полиорганная недостаточность • Сепсис • Вскрытие абсцесса в брюшную или плевральную полость • Свищ.
Прогноз • Смертность от 10 до 90% при неадекватном лечении (абсцесс не дренирован, источник инфекции не удалён).
МКБ-10.K65.0 Острый перитонит
Код вставки на сайт
Абсцесс поддиафрагмальный
Поддиафрагмальный абсцесс — абсцесс, локализующийся в полости брюшины под диафрагмой (чаще справа) и возникающий как осложнение острых воспалительных заболеваний, травм или хирургических вмешательств на органах брюшной полости.
Факторы риска • Оперативное вмешательство • Хронические заболевания — цирроз печени, хроническая почечная недостаточность (ХПН), нарушения питания • Применение ГК • Химиотерапия • Лучевая терапия.
Клиническая картина • Боли в подрёберной области, усиливающиеся при глубоком вдохе, с иррадиацией в лопатку или надплечье • Боли в области грудной клетки, чаще справа. При расположении абсцесса близко к передней брюшной стенке болевой синдром более выражен • Тошнота, икота • Вынужденное положение больного на спине, на боку или полусидя • Температурная кривая носит гектический характер • Озноб, потливость • При длительном течении — пастозность кожи, выбухание межрёберных промежутков в зоне локализации абсцесса (обычно IX–XI справа) • Тахикардия • Одышка • При пальпации — ригидность мышц верхних отделов брюшной стенки и болезненность по ходу межрёберных промежутков • Симптомы раздражения брюшины, как правило, отсутствуют.
Методы исследования • Анализ периферической крови — нейтрофильный лейкоцитоз, сдвиг лейкоцитарной формулы влево, увеличение СОЭ • Посев крови на стерильность • Рентгенологическое исследование органов грудной и брюшной полостей •• Высокое стояние и ограничение подвижности купола диафрагмы •• Наличие уровня жидкости под диафрагмой, смещение соседних органов •• В лёгких — ателектазы, пневмонические фокусы в нижних сегментах •• Выпот в плевральной полости на стороне поражения • КТ, УЗИ, радиоизотопное сканирование с использованием 67 Ga.
Дифференциальная диагностика • Другие абсцессы брюшной полости • Острый холецистит.
ЛЕЧЕНИЕ. Основной метод лечения — хирургический (адекватное дренирование абсцесса чрескожной пункцией и/или оперативным путём), одновременно назначают антибактериальную терапию: антибиотики широкого спектра действия в зависимости от результатов бактериологического исследования и определения чувствительности микроорганизмов к антибиотикам.
Наблюдение • Постоянное наблюдение в течение 6 нед после разрешения процесса • Регулярное проведение анализов крови • Периодическое рентгенологическое исследование органов грудной клетки вплоть до нормализации состояния пациента.
Осложнения • Рецидив абсцесса • Кровотечение • Непроходимость кишечника • Пневмония • Эмпиема плевры • Полиорганная недостаточность • Сепсис • Вскрытие абсцесса в брюшную или плевральную полость • Свищ.
Прогноз • Смертность от 10 до 90% при неадекватном лечении (абсцесс не дренирован, источник инфекции не удалён).
Поддиафрагмальный нарыв. Поддиафрагмальный абсцесс
Поддиафрагмальный нарыв. Поддиафрагмальный абсцесс
Другим заболеванием брюшины, которое долгое время не поддавалось клинической диагностике и которое опять таки в настоящее время распознается без особого труда, является поддиафрагмальный нарыв, т. е. ограниченный гнойный перитонит диафрагмальной брюшины и серозного покрова расположенных под диафрагмой органов. Я не имею в виду поддиафрагмальных забрюшинных нарывов.
Поддиафрагмальные внутрибрюшинные нарывы как содержащие газ, так и простые, развиваются чаще всего после прободения или гнойного воспаления органов, лежащих поблизости к диафрагме, как-то: желудка, двенадцатиперстной кишки, ободочной кишки, печени, желчного пузыря и селезенки, в некоторых случаях путем распространения нагноения из плевры, ребер и забрюшинной клетчатки, а также метастически.
Но всякая перфорация или нагноение органа, расположенного в брюшной полости, хотя бы он лежал вдали от диафрагмы может также дать повод к поддиафрагмальному нагноению.
Это происходит или метастическим путем через кровеносные или лимфатические сосуды, или же путем попадания бактерий под диафрагму из свободной брюшной полости, благодаря присасывающему влиянию дыхательных движений диафрагмы. Наиболее частый повод к образованию поддиафрагмальных нарывов последней категории дают аппендициты, при чем по статистике Griineisen'a после аппендицитов чаще развиваются нарывы простые и реже газосодержащие (из 27-ми случаев Gruneisen'a только в 5-ти нарыв содержал газ).

Нарывы могут образоваться или под правым куполом диафрагмы, или под левым, при чем серповидная связка служит между ними барьером. Только в редких случаях благодаря прободению ее, развившийся нарыв, с одной стороны распространяется на другую, и тогда вся поддиафрагмальная брюшина и серозный покров расположенных здесь органов принимают участие в гнойном воспалении. При развитии правостороннего абсцесса гнойная полость, достигающая иногда при газовых нарывах очень большой величины, ограничена сверху диафрагмой, слева серповидной связкой, снизу верхней поверхностью печени, а снаружи и спереди теми перитонитическими сращениями, которые образуются между брюшиной, покрывающей переднюю брюшную стенку, и органами здесь расположенными, именно печенью, желудком и кишками.
В большинстве случаев поддиафрагмального правостороннего нагноения эти склейки развиваются между диафрагмой и печенью, и полость нарыва не выходит за пределы грудной клетки, но при очень больших газсодержащих абсцессах склейки могут образоваться значительно ниже и тогда нарыв распространяется в брюшную полость ниже реберной дуги, доходя в редких случаях до подвздошной кости (Griinbaum, Стражеско и др.). При развитии больших нарывов, вследствие воспаления и растяжения мышцы диафрагмы и. последующего ее пареза, диафрагма отдавливается значительно кверху, а печень опускается книзу, поворачиваясь иногда также около переднезадней своей оси. Таким образом при вертикальном положении больного купол нарыва образуется диафрагмой, а дно верхнепередней поверхностью смещенной печени.
При образовании левостороннего абсцесса нагноение развивается в левом подреберье и ограничивается чаще всего сверху диафрагмой, справа ligamentum suspensorium hepatis, сниз>г желудком и поперечной кишкой, спереди и снаружи спайками между этими органами и брюшиной, выстилающей переднюю брюшную стенку. Селезенка в некоторых случаях также принимает участие, срастаясь с диафрагмой и образуя часть наружной стенки. Но нарывы, развивающиеся слева, могут занимать и меньшее пространство в подреберье в виду того, что здесь расположено несколько органов, между которыми развивается нагноение и которые ограничивают его распространение.
При образовании правосторонних поддиафрагмальных нагноений, нагноительный процесс в редких случаях развивается не на всей выпуклой поверхности правой доли печени, а только на части ее; это случается при уже существовавших спайках между печенью и диафрагмой.
В некоторых случаях, благодаря переходу воспаления через диафрагму на плевру, может развиваться выпотный плеврит, серозный или гнойный; в других случаях вследствие развития сухого плеврита происходит сращение между легким и диафрагмой.
Информация на сайте подлежит консультации лечащим врачом и не заменяет очной консультации с ним.
См. подробнее в пользовательском соглашении.
Поддиафрагмальный абсцесс
Поддиафрагмальный абсцесс (лат. abscessus subdiaphragmaticus ; синонимы: субдиафрагмальный абсцесс, инфрадиафрагмальный абсцесс [1] ) — скопление гноя под диафрагмой (в поддиафрагмальном пространстве).
Наиболее часто возникает в качестве осложнения острых воспалительных заболеваний органов брюшной полости, в частности: острого аппендицита, острого холецистита, перфорации полого органа, перитонита. [2]
Содержание
Клиническая картина
Поддиафрагмальные абсцессы характеризуются полиморфной клинической картиной. Она зависит от: [1]
- локализации абсцесса,
- его размеров,
- наличия газа в полости абсцесса,
- симптомов заболевания, на фоне которого возник поддиафрагмальный абсцесс,
- применения антибиотиков (на фоне которых многие симптомы нередко становятся стертыми, а течение — атипичным).
Внутрибрюшинное расположение поддиафрагмального абсцесса наблюдается в 90-95 % случаев. По данным W. Wolf (1975), в 70,1 % случаев абсцессы располагались в правом отделе внутрибрюшинной части поддиафрагмального пространства, в 26,5 % — в левом отделе, а в 3,4 % случаев наблюдалась двусторонняя локализация. [1]
Преобладают симптомы острого либо подострого гнойно-септического процесса; [1] в частности, возможна высокая лихорадка с ознобами, соответствующая локализация болей. Возможно выявление сочувственного выпота в плевральной полости с соответствующей стороны. [2]
Диагностика
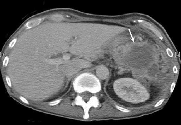
Помимо клинической картины и характерных для воспаления изменений в лабораторных показателях, диагностическую ценность имеют визуализационные исследования. Наиболее информативным методом является компьютерная томография области диафрагмы, поскольку этот метод позволяет четко выяснить анатомические особенности расположения абсцесса и выбрать правильный доступ. Ультразвуковое исследование позволяет выявить жидкостное содержимое в полости абсцесса. При рентгенологическом исследовании отмечают ограничение подвижности диафрагмы с соответствующей стороны, выпот в соответствующем плевральном синусе.
Лечение
Консервативное лечение (назначение антибиотиков, дезинтоксикационная терапия, лечение заболевания, которое послужило причиной абсцесса) проводится либо при сомнениях в диагнозе, либо в качестве предоперационной подготовки. После уверенного диагноза поддиафрагмальный абсцесс должен быть вскрыт и дренирован. Доступ, которым вскрывают абсцесс, в значительной степени определяется его локализацией и наличием сопутствующих осложнений. [1]
Внесерозные доступы
При наличии соответствующей возможности, оптимальным выбором является внесерозный (т. е. внеплевральный и внебрюшинный доступ). По данным ряда авторов (опубликованных в работах с 1938 по 1955 гг.), летальность при внесерозном доступе составляла от 11 до 20,8%, а при транссерозном (то есть, трансплевральном или трансперитонеальном) - от 25 до 35,8%. [3]
Передний внесерозный субкостальный доступ
Передний внебрюшинный субкостальный доступ предложен P. Clairmont и применяется для вскрытия передневерхних правосторонних поддиафрагмальных абсцессов. При этом доступе разрез выполняют чуть ниже реберной дуги параллельно ей, начиная от латеральной границы прямой мышцы живота, на ширину, позволяющую ввести руку. Послойно рассекают ткани до париетальной брюшины, после чего ее тупым способом отслаивают от внутренней поверхности диафрагмы в поисках абсцесса. [1] Абсцесс характеризуется плотной стенкой; после его обнаружения выполняют его вскрытие и дренирование.
Трансплевральные доступы
Трансперитонеальные доступы
Чрескожное пункционное дренирование под контролем визуализационных методов
Примечания
- Проставить шаблон-карточку, который существует для предмета статьи. Пример использования шаблона есть в статьях на похожую тематику.
- Дополнить статью (статья слишком короткая либо содержит лишь словарное определение).
- Добавить иллюстрации. статью.
Wikimedia Foundation . 2010 .
Полезное
Смотреть что такое "Поддиафрагмальный абсцесс" в других словарях:
Поддиафрагмальный абсцесс — скопление гноя, часто с газом, под грудобрюшной преградой (См. Грудобрюшная преграда) (диафрагмой); осложнение острых воспалительных заболеваний органов брюшной полости (аппендицит, холецистит, прободная язва желудка или… … Большая советская энциклопедия
Абсцесс — МКБ 9 682.9 … Википедия
АБСЦЕСС — или гнойник, очаговое гнойное воспаление, которое характеризуется образованием полости, заполненной гноем, состоящим главным образом из белых кровяных клеток (лейкоцитов), сыворотки крови и остатков разрушенной ткани. Существует, однако, и менее… … Энциклопедия Кольера
АБСЦЕСС ПЕЧЕНИ БАКТЕРИАЛЬНЫЙ — мед. Бактериальный абсцесс печени абсцесс печени, развивающийся вследствие её гнойного воспаления. Этиология и патогенез • Всегда вторичное заболевание • Восходящая билиарная инфекция гнойный холангит • Желчнокаменная болезнь • Рак внепечёночных… … Справочник по болезням
АБСЦЕСС ЛЁГКОГО — мед. Абсцесс лёгкого абсцесс, локализованный внутри лёгочной паренхимы. Делят на острый и хронический (продолжительность более 2 мес). Локализация: чаще задний сегмент верхней доли (S2), верхний сегмент нижней доли (S6). Этиология • Контактное… … Справочник по болезням
АБСЦЕСС МЕЖКИШЕЧНЫЙ — мед. Межкишечный абсцесс абсцесс брюшной полости, локализующийся между петлями кишечника, брыжейкой, брюшной стенкой и сальником. Нередко межкишечный абсцесс сочетается с абсцессом малого таза. Клиническая картина Тупые боли в животе нечёткой… … Справочник по болезням
АБСЦЕСС ПОДДИАФРАГМАЛЬНЫЙ — мед. Полдиафрагмальный абсцесс абсцесс, локализующийся в полости брюшины под диафрагмой (чаще справа) и возникающий как осложнение острых воспалительных заболеваний, травм или хирургических вмешательств на органах брюшной полости. Факторы риска • … Справочник по болезням
Абсцесс — (лат. abscessus нарыв) ограниченное гнойное воспаление тканей с их расплавлением и образованием гнойной полости. Может развиться в подкожной клетчатке, мышцах, костях и пр., а также в органах (печень, лёгкие, селезёнка, мозг и пр.) или… … Большая советская энциклопедия
абсцесс поддиафрагмальный — (а. subdiaphragmaticus) А.. локализующийся в поддиафрагмальном пространстве брюшной полости; является, как правило, осложнением гнойных воспалительных процессов органов брюшной полости … Большой медицинский словарь
Абсцесс Поддиафрагмальный (Subphrenic Abscess) — скопление гноя в пространстве под диафрагмой, чаще всего с правой стороны между печенью и диафрагмой. Причиной возникновения поддиафрагмального абсцесса может являться послеоперационная инфекция (особенно после операций на желудке или кишечнике)… … Медицинские термины
Абсцесс поддиафрагмальной полости
Поддиафрагмальный абсцесс – это гнойно-некротическое образование, которое локализуется внутри брюшной полости. Гнойник располагается между диафрагмальным куполом, печенью, желудком, селезенкой. Патология проявляется воспалительными явлениями.

Что такое и код по МКБ-10 поддиафрагмального абсцесса
Абсцесс диафрагмы характеризуется накоплением гноя в поддиафрагмальном пространстве. Заболевание имеет код К65 по МКБ-10. Патологическое состояние образуется как вторичный процесс. Послеоперационный перитонит, обширная травма брюшной полости, абсцесс внутрибрюшных органов – основные причины появления гнойника.
Образование в поддиафрагмальной области состоит из капсулы и патологической жидкости. Гной являет собой реакцию между лейкоцитами, стафилококками, стрептококками и другими бактериями, которые провоцируют заражение и появление патологии. Внутри капсулы гнойника может находиться кровь, камни, песок, газ. Содержимое патологического образования сдавливает внутренние органы. Происходит нарушение их работы.
Конечным результатом заболевания является формирование плеврального выпота, развитие септического состояния.
Поддиафрагмальное образование встречается с одинаковой частотой среди мужского и женского населения. Во врачебной практике патология выявляется редко. Внутрибрюшной абсцесс поддается лечению. После выздоровления пациент ведет обычный образ жизни.



Симптомы и как визуализируется
Поддиафрагмальный небольшой абсцесс визуализируется под диафрагмой между ее куполом и внутренними органами. Он проявляется характерной клинической картиной, типичным течением. Симптомы поддиафрагмального абсцесса не отличаются от других воспалительных процессов брюшной полости. Долгое время гнойник остается нераспознанным из-за имитации клиники других патологий. Стертость проявлений объясняется причинными факторами и их лечением. Абсцесс поддиафрагмального пространства возникает после хирургического вмешательства. В послеоперационный период пациенту назначаются антибактериальные средства. Они стирают клинику заболевания. Симптомы выражены не ярко.
Течение и проявление патологии зависят от ее локализации, размеров. К типичным признакам наличия гнойного инфильтрата относятся:
- Сильная слабость и утомляемость характерна для послеоперационных больных, у которых начинается воспалительный процесс.
- Высокая температура тела, озноб – типичные проявления интоксикационного синдрома.
- Цвет кожи пациента становится бледным.
- Тошнота и рвота свидетельствуют об интоксикации организма продуктами жизнедеятельности микроорганизмов.
- Заподозрить абсцесс с локализацией в поддиафрагмальном пространстве помогает локализация болевого синдрома. Неприятные ощущения в виде болезненности, тяжести наблюдаются в подреберье, нижней части грудной клетки. Боль имеет острый постоянный характер. Она усиливается при наклонах в стороны, кашле. Для нее характерна иррадиация на плечо, ключицу.
- При прогрессировании поддиафрагмального острого абсцесса наблюдается появление одышки, икоты, постоянного сухого кашля. У больного учащается дыхание. Во время осмотра определяется отставание пораженной части грудной клетки в дыхательном акте.
- Для пациента с поддиафрагмальным обширным абсцессом характерно полусидячее положение. Оно помогает уменьшить интенсивность болевого синдрома, улучшить самочувствие.
Выраженность симптомов гнойника диафрагмы зависит от тяжести состояния больного, его стадии, скорости развития патологии, возникновения осложнений.



Диагностика заболевания
Диагностика поддиафрагмального типа абсцесса включает изучение анамнеза заболевания врачом, клинические симптомы патологии, квалифицированный осмотр пациента, результаты лабораторных анализов, инструментальных исследований.
Жалобы пациента помогут врачу понять, что патологическое состояние больного обусловлено воспалением. Из анамнеза заболевания станет ясно о развитие послеоперационного осложнения. При пальпаторном исследовании живота выяснится локализация болезненности и мышечного напряжения брюшной полости. Боль будет располагаться в эпигастрии, подреберной области. Межреберные промежутки станут сглаженными и расширенными. Если абсцесс поддиафрагмального гнойного инфильтрата локализуется справа, врач определит увеличенную печень.
При перкуссии грудной клетки специалист определит притупленный звук, который будет локализоваться выше верхней границы печени. Может наблюдаться противоположная ситуация, когда в поддиафрагмальной области находится скопление газа. Легочный звук будет называться “перкуторной радугой”. Термин означает разное звучание тонов по всей поверхности легочной ткани. Во время аускультации легких определяется измененное дыхание, патологические шумы. Оно может быть ослабленным, бронхиальным.
Общий анализ крови покажет типичную лабораторную картину воспалительного процесса. Для абсцесса поддиафрагмального пространства характерны анемия, лейкоцитарная реакция со сдвигом влево, ускоренное СОЭ. Биохимия покажет положительный тест С-реактивного белка, диспротеинемию.
Золотым стандартом обнаружения поддиафрагмального болезненного абсцесса является рентген. К типичным рентгенологическим признакам патологии относятся:
- высокое стояние диафрагмального купола;
- патологические изменения ножек диафрагмы;
- затемнение в области скопления гнойного содержимого капсулы;
- полоса просветления соответствующая пузырькам газа, которая располагается на границе абсцесса и диафрагмы.
С помощью УЗИ-диагностики определяется гнойная жидкость, газ. Они содержатся в плевральной и брюшной полостях. При запущенных случаях заболевания наблюдается смещение внутренних органов.
Пункция поддиафрагмального вида абсцесса, посев гнойного содержимого для определения возбудителя болезни проводится во время операции. Больного с симптомами внутрибрюшинного гнойника кладут в отделение хирургии. В стационаре проводится диагностика патологии, по результатам обследований определяется лечебная тактика патологии.
Тщательный поиск причины состояния поможет дифференцировать поддиафрагмальный гнойник от флегмонозного аппендицита, язвенной болезни желудка и 12-перстной кишки.



Методы лечения абсцесса диафрагмы
Лечение поддиафрагмального абсцесса основывается на хирургическом вмешательстве. Чтобы добиться полного выздоровления пациента, необходимо удалить из организма патологический очаг. Для полного уничтожения возбудителя заболевания понадобится прохождения курса интенсивной антибактериальной терапии.
Консервативное
После установления диагноза приступают к подбору антибактериальной терапии. Аптека предоставляет широкий выбор групп противомикробных препаратов с широким спектром действия. Они выпускаются в таблетках, сиропах, порошках для инъекций. Больному с поддиафрагмальным острым абсцессом антибиотики нужно вводить внутривенно или внутримышечно. Мгновенное попадание препарата в кровеносное русло помогает снизить рост и размножение патогенных микроорганизмов за короткий промежуток времени. Без назначения противомикробных средств повышается риск развития осложнений гнойного заболевания.
Антибиотики подбирают по чувствительности возбудителя. Зачастую назначают полусинтетические пенициллины, цефалоспорины и макролиды. Они активно борются с бактериальной инфекцией, хорошо переносятся больными.
Для снижения температуры назначаются жаропонижающие препараты в таблетках. К ним относятся Парацетамол, Ибупрофен, Нурофен.
С целью уменьшения болевых ощущений в поддиафрагмальной области по рекомендации врача применяются обезболивающие средства.
На протяжении всего курса терапии пациенту проводят дезинтоксикационную терапию. Она помогает уменьшить выраженность интоксикационного синдрома, вывести продукты деятельности патогенных микроорганизмов.
Лекарственные препараты принимаются строго по врачебным рекомендациям. Своевременное начало терапии поддиафрагмального воспаленного пространства ограничивает пациента от серьезной опасности в виде сепсиса. От правильно подобранного способа лечения зависит скорость выздоровление больного, прогноз патологического состояния, профилактика осложнений.
Оперативное
Основным методом лечения гнойного инфильтрата поддиафрагмального пространства является хирургический. Он проводится на всех этапах заболевания. Вскрытие гнойника производится двумя способами. Первый включает:
- Пациенту делают общий наркоз.
- Операционное поле обрабатывают антисептиками.
- Доступ к патологическим тканям хирург проводит широким разрезом.
- Врач иссекает содержимое гнойника и его капсулу.
- На заключительном этапе ставится дренаж.
- Хирург проводит восстановление целостности тканей.
При маленьких абсцессах правильной формы, небольшой глубины производится пункция образования в поддиафрагмальной области.
Через специальную иглу извлекается патологическое содержимое гнойного инфильтрата. Полость абсцесса промывают антисептическими препаратами, устанавливается дренаж капсулы абсцесса. После проведенной операции пациенту назначается курс антибактериальной терапии. Дополнительно больному прописывают препараты для купирования неприятных симптомов патологического состояния.
Абсцесс поддиафрагмального пространства – редкое, опасное послеоперационное осложнение, которое требует раннего выявления и лечения.
Читайте также:
