Цитология (гистология) биопсии слюнной железы при опухоли
Добавил пользователь Владимир З. Обновлено: 13.12.2025
Исследование тканей околоушной слюнной железы, которое помогает обнаружить изменения в строении нормальных тканей, выявить опухолевые клетки, определить степень их злокачественности. На основании данных гистологии специалист подбирает адекватное лечение, а также может контролировать терапию.
Приём и исследование биоматериала
Когда нужно сдавать анализ Гистологическое исследование слюнных желез?
- Подтверждение/опровержение диагноза рак слюнной железы, после проведения первичных методов исследования;
- Для определения вида опухоли и степени ее злокачественности;
- Для контроля эффективности терапии.
Подробное описание исследования
Рак слюнной железы — злокачественная опухоль слюнной железы, сформированная из эпителиальных клеток. Опухоли околоушных слюнных желез (ОСЖ) относятся к редкому типу новообразований. В основном развиваются в возрасте от 20-ти до 40-ка лет. Чаще встречаются у мужчин, чем у женщин. Опухоли, как правило, расположены в области мягких тканей лица и часто становятся причиной серьезных косметических дефектов, вызывая парез лицевого нерва.
Основными факторами риска развития рака слюнной железы являются:
- Хронические воспалительные заболевания полости рта;
- Нарушения гормонального фона;
- Генетические нарушения;
- Курение;
- Алиментарные факторы (низкое содержание витаминов, высокое содержание жиров в пище).
Чаще всего поражаются ткани околоушной слюнной железы — 80 %, реже опухоль развивается в тканях поднижнечелюстной слюнной железы — 15 %, подъязычной или малой слюнной железы.
Выделяют следующие варианты развития патологии:
- Первичный рак (из тканей самой железы);
- Вторичный рак (метастазы или прорастание из соседних органов).
По гистологическим показателям опухоли слюнных желез представляют собой наиболее неоднородную группу новообразований человека. Более половины из них составляют доброкачественные образования.
Доброкачественные новообразования околоушных слюнных желез выявляются более чем у 30 % обратившихся с жалобами пациентов, злокачественные — у 65 %. Среди морфологических типов доброкачественных опухолей околоушной слюнной железы, наиболее часто диагностируют плеоморфную аденому (доброкачественное образование, формирующееся в железистом эпителии), аденолимфому, липому и очень редкую аденокистозную опухоль (формируют клетки эпителия, выстилающие просвет железы).
Злокачественные опухолевые образования чаще всего представлены: мукоэпидермоидным раком (формируют клетки, секретирующие слизь и эпителий) и аденокарциномой. Также встречается ацинозноклеточная карцинома, которая в основном поражает ткани околоушной слюнной железы.
Обычно в ходе осмотра пациентов, при пальпации, выявляют плотное безболезненное образование в области слюнных желез, которое по словам пациентов растет в основном очень медленно. Приблизительно в трети случаев может присутствовать болевой синдром.
«Золотой стандарт» диагностики опухолей слюнных желез — аспирационная пункция опухоли с последующим гистологическим исследованием полученного материала, проводимая до операции или интраоперационно. Диагностическая ценность этого метода составляет до 90 %, потому как ткани пораженного участка изучаются напрямую под микроскопом.
Аспирационная пункция (биопсия) проводится при помощи специальной иглы, под контролем УЗИ. Исследование позволяет подтвердить или уточнить поставленный диагноз, отследить динамику роста образования и проанализировать изменения, произошедшие в ходе терапии опухоли.
В ходе гистологического исследования оценивается три показателя:
- Размер опухоли и степень ее распространения (Т);
- Наличие поражения регионарных лимфатических узлов метастазами (N);
- Определение метастазов в других органах и тканях (М).
По степени злокачественности выделяют три разновидности опухолей:
- Высокой дифференциации, когда клетки сходны с клетками железистого эпителия, такие образования растут медленно и часто имеют благоприятный прогноз;
- Низкой дифференциации, когда клетки сильно отличаются от нормальных, характеризуется быстрым ростом и ранними метастазами;
- Средней дифференциации.
Важные замечания
Формат представления результатов имеет описательный характер с установлением гистологического диагноза соответствующего МКБ-10.
Использованная литература
- Злокачественные опухоли слюнных желез, Клинические рекомендации. Ассоциация онкологов России, 2020. — 55 с.
- Балканов, А.С., Быченкова, О.А., Сипкин, А.М. и др. Комбинированное лечение рака околоушной слюнной железы. Альманах клинической медицины, 2017. — № 4. — С. 309-313.
- Поляков, В.Г., Шишков, Р.В., Ермилова, В.Д. и др. Детская онкология, 2004. — № 1. — С. 45-47.
- Carlson, E., Schlieve, T. Salivary Gland Malignancies. Oral and maxillofacial surgery clinics of North America, 2019. — Vol. 31(1). — P. 125-144.
Другие названия этого исследования
Histological examination of salivary gland specimens
Подготовка к исследованию
Специальной подготовки не требуется.
Противопоказания и ограничения
Абсолютных противопоказаний нет.
Интерпретация результата
Заключение по гистологическому исследованию пунктата выдается в соответствии с системой TNM, согласно которой выделяют 4 стадии опухолей околоушной слюнной железы. Где 1 — начальная степень развития болезни, а 4 — запущенное заболевание с характерными метастазами в другие ткани и органы.
Также для постановки диагноза и выбора тактики лечения применяют классификацию МКБ.
Референсные значения
Выдаётся подробное описание исследуемого образца тканей.
По этому описанию специалист может судить о характере выявленной патологии.
Цитология (гистология) биопсии слюнной железы при опухоли
Цитология (гистология) биопсии слюнной железы при опухоли
Около 60% всех новообразований слюнных желез представлены плеоморфными аденомами, из которых 80% возникают в околоушной слюнной железе. Миоэпителиомы составляют примерно 1,5% всех новообразований слюнных желез, которые состоят из пролиферирующих миоэпителиальных клеток, демонстрирующих веретнообразные, эпителиоидные или плазмоцитоидные характеристики.

Плеоморфная аденома.
При микроскопии определяется пролиферация цитологически нормальных миоэпителиальных клеток, формирующих скопления неправильной формы в миксоидной мезенхимальной строме.
Для мезенхимального компонента характерны миксоидные и фиброзные изменения, иногда встречаются признаки хрящевой или костной метаплазии.
В течение пяти лет рецидивируют 3,4% опухолей, в течение 10 лет — 6,8%.
Часто рецидивирующие плеоморфные аденомы отличает многоочаговое строение.
Плеоморфные аденомы составляют около 60% всех опухолей слюнных желез. Из них 80% возникают в околоушной слюнной железе, 10% в поднижнечелюстной и 10% в малых слюнных железах.
Базальноклеточные аденомы представляют собой редкие доброкачественные заболевания слюнных желез, которые представлены пролиферирующими эпителиальными и миоэпителиальными клетками, отличающимся базалоидным видом и трабекулярным ростом. По составу они сходны с плеоморфными аденомами, но лишены мезенхимального компонента. После полного удаления рецидивируют редко.
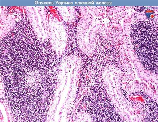
Опухоль Уортина (сосочковая кистаденолимфома) составляет примерно 3,5% всех эпителиальных опухолей слюнных желез. Встречается практически исключительно в околоушной слюнной железе. Может иметь дольчатое строение, иногда двусторонняя.

Опухоль Уортина (сосочковая кистаденолимфома) составляет примерно 3,5% всех эпителиальных опухолей слюнных желез.
Встречается практически исключительно в околоушной слюнной железе. Может иметь дольчатое строение, иногда двусторонняя.
При микроскопии опухоль имеет кистозно-сосочковое строение. Эпителиальные клетки с онкоцитарной метаплазией (большое количество цитоплазматических митохондрий,
розовая цитоплазма с частыми включениями) располагаются в два ряда, формируя сосочковые структуры, которые перемежаются с участками лимфоидной гиперплазии.
После удаления рецидивирует редко.
Онкоцитарная аденома (онкоцитома) представляет собой редкую доброкачественную опухоль слюнных желез, состоящую из онкоцитарных эпителиальных клеток, растущих в виде гнезд или трабекул. Канальцевая аденома чаще всего возникает на верхней губе, состоит из рядов плоских цилиндрических клеток, формирующих канальцы. Аденома сальных желез является доброкачественным образованием, образующимся в результате пролиферации сальных желез, в некоторых из них имеются включения лимфоидной ткани (сальные лимфоаденомы). Протоковые папилломы и цистаденомы встречаются редко.
Ацинозно-клеточный рак характеризуется пролиферацией ацинарных элементов, которые перемежаются с промежуточными мелкими клетками, вакуолями и прозрачными клетками. При мукоэпидермиодном раке обнаруживаются клетки злокачественного эпителия, в котором муцинозные клетки перемежаются с участками эпидермоидной дифференциации. Аденокистозная карцинома составляет примерно 10% от всех случаев злокачественных новообразований слюнных желез, имеет решетчатое строение, промежутки между клетками заполнены мукополисахаридами.

Ацинозно-клеточный рак чаще всего поражает околоушную слюнную железу.
Он характеризуется частичной ацинозной дифференцировкой (цитоплазма с секретирующими зимоген гранулами вкраплениями)
мелких и вакуолизированных мелких и прозрачных клеток.
Полиморфная аденокарцинома низкой степени злокачественности чаще всего возникает на небе, характеризуется цитологической однородностью, гистологическим разнообразием и инфильтративным ростом. Эпителиально-миоэпителиальная карцинома, редкая злокачественная опухоль, имеет двуслойную структуру, в которой внутренний слой представлен кубическим эпителием, а наружный — миоэпителиальными клетками с прозрачной цитоплазмой.
Из внутриротовых малых слюнных желез может возникать редкая злокачественан опухоль — светлоклеточная карцинома (гиалинизирующая светлоклеточная карцинома). Она представлена скоплениями однородных прозрачных клеток с высоким содержанием гликогена. Базальноклеточная аденокарцинома характеризуется пролиферацией миоэпителиальных клеток с частыми периодическими участками протоковой дифференциации. Карцинома в плеоморфной аденоме представляет собой смешанную злокачественную опухоль, в которой эпителиальный компонент подвергся злокачественной трансформации.
К редким злокачественным опухолям относятся сальная карцинома и сальная лимфоаденокарцинома. К другим возможным злокачественным новообразованиям также относится цистаденокарцинома, слизистая аденокарцинома, онкоцитарная карцинома, карцинома слюнного протока, неуточненная аденокарцинома, карциносаркома, плоскоклеточный рак, мелкоклеточный рак, крупноклеточный рак, лимфоэпителиальный рак.
Наиболее часто встречающимся злокачественным новообразованием слюнных желез является мукоэпидермоидный рак.
При нем обнаруживаются клетки злокачественного эпителия, в котором муцинозные клетки перемежаются с участками эпидермоидной дифференциации
(крупные незрелые клетки с сохраненными межклеточными мостиками, не продуцирующие кератин). Аденокистозный рак составляет примерно 10% от всех случаев злокачественных новообразований слюнных желез,
имеет решетчатое строение, промежутки между клетками заполнены мукополисахаридами.
При микроскопии определяются однородные пролиферирующие миоэпителиальные клетки со скудной цитоплазмой и интенсивно окрашенными ядрами неправильной формы.
Исход заболевания коррелирует с гистологической степенью злокачественности опухоли. Базальноклеточная аденокарцинома представляет собой злокачественный вариант базальноклеточной аденомы.
Она характеризуется пролиферацией миоэпителиальных клеток с частыми периодическими участками протоковой дифференциации (двухслойная эпителиальная и миоэпителиальная выстилка). Карцинома в плеоморфной аденоме представляет собой смешанную злокачественную опухоль, в которой эпителиальный компонент подвергся злокачественной трансформации.
Злокачественный эпителий может присутствовать лишь на определенных участках, иногда его локализация ограничена капсулой доброкачественной опухоли, из которой тот происходит.
Обратите внимание на крупные недифференцированные злокачественные клетки (в левой части изображения), которые проникают в ткань плеоморфной аденомы (в правой части изображения).
Редактор: Искандер Милевски. Дата обновления публикации: 18.3.2021
Опухоли слюнных желез
Большинство опухолей слюнных желез являются доброкачественными и возникают в околоушной железе. Основным симптомом является болезненное образование в области слюнной железы, для подтверждения диагноза требуется пункционная биопсия. Дополнительно можно использовать КТ и МРТ. При злокачественном процессе требуется хирургическое лечение и лучевая терапия. Отдаленные результаты зависят от степени рака.
В целом, с уменьшением размеров слюнных желез увеличивается риск злокачественности. Около 85% опухолей слюнных желез поражает околоушные железы, реже подчелюстные и мелкие слюнные железы, и около 1% опухолей возникает в подъязычных железах. Около 75–80% опухолей являются доброкачественными, с медленным ростом, подвижные, безболезненные, обычно под кожей или слизистой определяются плотные узлы. При кистозном строении узлы могут быть мягкими, но чаще всего имеют твердую консистенцию.
Доброкачественные опухоли
Существует много типов доброкачественных опухолей слюнных желез. Плеоморфные аденомы (также известные как опухоли смешанного типа) являются наиболее распространенными доброкачественными опухолями слюнных желез. К другим доброкачественным опухолям относятся папиллярная лимфоматозная цистаденома (также известная как опухоль Вартина), онкоцитомы и аденомы.
Доброкачественные опухоли со злокачественным потенциалом
Плеоморфные аденомы (опухоли смешанного типа) могут озлокачествляться, но обычно это происходит только после того, как доброкачественная опухоль присутствует в течение 15–20 лет. Сразу после малигнизации плеоморфной аденомы, она называется карцинома из плеоморфной аденомы. Карциноматозные элементы в опухоли метастазируют, что делает карциному вне плеоморфной аденомы высокоагрессивной опухолью с очень низкой, независимо от лечения, скоростью излечения.
Доброкачественные цилиндромы могут медленно подвергаться злокачественному превращению в аденоидные кистозные карциномы, наиболее распространенную злокачественную опухоль малых слюнных желез (и трахеи). Пик встречаемости таких злокачественных опухолей приходится на возраст 40–60 лет и проявляется в виде выраженной боли, часто парезом лицевого нерва. Эта опухоль имеет предрасположенность к периневральной инвазии с распространением патологического процесса на много сантиметров от первичного очага. Распространение по лимфатическим путям встречается нечасто. Часто образуются метастазы в легких, но пациенты могут жить с ними довольно продолжительное время.
Злокачественные опухоли слюнных желез
Другие злокачественные опухоли встречаются реже и могут характеризоваться быстрым ростом или «вспышкой» роста. Они имеют твердую консистенцию, узловое строение и могут прикрепляться к подлежащим тканям. Со временем покрывающая кожа или слизистая могут изъязвляться, а опухоль может прорастать в подлежащие мягкие ткани.
Самым распространенным раком слюнных желез является мукоэпидермоидная карцинома, которая чаще поражает лиц в возрасте от 20 до 50 лет. Она может проявляться в любой слюнной железе, чаще всего в околоушной железе, но также встречается и в подчелюстной железе или малых небных слюнных железах. Средне- и высокодифференцированные мукоэпидермоидные карциномы могут давать метастазы в регионарные лимфатические узлы.
Ацинозная карцинома является одним из распространенных видов опухолей околоушной железы, часто встречается в возрасте 40–50 лет. Данная карцинома имеет более медленный рост, а также наличие множественных очагов.
Симптомы и признаки опухолей слюнных желез
Большинство доброкачественных и злокачественных опухолей слюнных желез манифестирует в виде безболезненного образования. Однако злокачественные опухоли могут прорастать в нервы, вызывая локальную боль, онемение, парестезию, каузалгию или потерю двигательной функции.
Диагностика опухолей слюнных желез
Аспирационная биопсия тонкой иглой
КТ и МРТ при распространенном процессе
КТ и МРТ позволяют установить локализацию и распространенность опухолевого процесса. Тип клеток может быть подтвержден с помощью тонкоигольной аспирационной биопсии объемного образования. Часто перед выбором метода лечения показано проведение скрининга организма на наличие отдаленных метастазов в легких, печени, костях и головном мозге.
Лечение опухолей слюнных желез
Хирургическое, иногда в дополнение лучевая терапия
Основной метод лечения доброкачественных опухолей – это хирургическое удаление. При неполном удалении возможны рецидивы.
При злокачественных опухолях слюнных желез методом выбора лечения операбельных опухолей является хирургическое удаление, после которого иногда назначают лучевую терапию. На сегодняшний день не существует эффективной химиотерапии для лечения рака слюнных желез.
Лечение мукоэпидермоидной карциномы заключается в широком ее иссечении и послеоперационной лучевой терапии низкодифференцированной опухоли. Уровень 5-летней выживаемости составляет 95% при первых стадиях рака, в основном поражаются клетки слизистой, а при последних стадиях уровень выживаемости составляет 50%, причем поражаются в первую очередь эпидермоидные клетки. Метастазы в регионарные лимфатические узлы необходимо удалять хирургическим путем с назначением послеоперационной лучевой терапии.
Лечение железисто-кистозной карциномы заключается в широком иссечении опухоли вместе с окружающими тканями, но часто наблюдаются местные рецидивы из-за склонности к периневральному распространению. Менее вероятно, что потребуется плановое удаление лимфатических узлов, поскольку распространения по лимфатической системе отмечается реже. Несмотря на довольно хорошие показатели 5- и 10-летней выживаемости, следует отметить менее благоприятные показатели 15- и 20-летней выживаемости, поскольку у многих пациентов развиваются отдаленные метастазы. Метастазы в легких и летальный исход наблюдаются часто, хотя и происходят через много лет (как правило, через 10 лет и более) после постановки диагноза и начала лечения.
Прогноз ацинозной карциномы благоприятный после качественного хирургического лечения.
Первичным лечением карциномы, возникшей из плеоморфной аденомы, является паротидэктомия с целью полного удаления источника заболевания. При наличии поражения лимфоузлов выполняется шейная диссекция, которая также рассматривается и для некоторых пациентов, не имеющих признаков метастазов в лимфатические узлы.
Все операции выполняются таким образом, чтобы не повредить лицевой нерв, который приносится в жертву только в случае непосредственного поражения нерва опухолью.
Основные положения
Только 20–25% опухолей слюнной железы являются злокачественными; околоушная слюнная железа поражается наиболее часто.
Раковые опухоли являются плотными, узелковыми и могут быть связаны с прилегающей тканью; распространенным является болевой синдром и вовлечение нерва (обуславливающие онемение и/или слабость).
Следует выполнить биопсию, КТ и МРТ, если рак подтвержден.
Лечение с использованием хирургического вмешательства, в некоторых случаях плюс лучевая терапия для лечения определенных видов рака.
Дополнительная информация
Следующий англоязычный ресурс может оказаться информативным. Обратите внимание, что The manual не несет ответственности за содержание этого ресурса.
Цитология (гистология) биопсии слюнной железы при опухоли
Кафедра хирургии полости рта стоматологического факультета ГБОУ ВПО «Московский государственный медико-стоматологический университет им. А.И. Евдокимова» Минздрава России
ГБОУ ВПО «Московский медико-стоматологический университет им. А.И. Евдокимова» Минздрава России, Москва, Россия
Кафедра факультетской хирургической стоматологии и имплантологии;
кафедра микробиологии, вирусологии, иммунологии Московского государственного медико-стоматологического университета
лаборатория интенсивных методов терапии ФГБУ «Научно-исследовательский институт ревматологии им. В.А. Насоновой» РАМН, Москва
Российский онкологический научный центр им. Н.Н. Блохина РАМН, Москва
Биопсия поднижнечелюстной слюнной: разработка метода операции
Журнал: Российская стоматология. 2014;7(1): 20‑23
Гайдук И.В., Панин А.М., Панин М.Г., Васильев В.И., Кокосадзе Н.В. Биопсия поднижнечелюстной слюнной: разработка метода операции. Российская стоматология. 2014;7(1):20‑23.
Gaiduk IV, Panin AM, Panin MG, Vasiliev VI, Kokosadze NV. Biopsy of the submandibular salivary gland: the development of the method for surgical intervention. Russian Stomatology. 2014;7(1):20‑23. (In Russ.).
Кафедра хирургии полости рта стоматологического факультета ГБОУ ВПО «Московский государственный медико-стоматологический университет им. А.И. Евдокимова» Минздрава России
Симптом увеличения поднижнечелюстных слюнных желез является неспецифическим и может встречаться при системных заболеваниях. Диагностика этих заболеваний затруднена из-за однотипности клинических проявлений и невозможности ее проведения при использовании стандартных методов исследования. Предложенная методика биопсии поднижнечелюстной слюнной железы помогает в кратчайшие сроки установить диагноз и начать лечение. Данный метод позволяет провести дифференциальную диагностику первичных лимфом, аутоиммунного сиаладенита, IgG4-связанного cклерозирующего сиаладенита, AL-амилоидоза, саркоидоза, сиаладеноза, так как при этих заболеваниях происходит диффузное поражение слюнных желез. В большинстве случаев только морфологическое и иммуноморфологическое исследование ткани большой слюнной железы позволяет установить окончательный диагноз.
Кафедра хирургии полости рта стоматологического факультета ГБОУ ВПО «Московский государственный медико-стоматологический университет им. А.И. Евдокимова» Минздрава России
ГБОУ ВПО «Московский медико-стоматологический университет им. А.И. Евдокимова» Минздрава России, Москва, Россия
Кафедра факультетской хирургической стоматологии и имплантологии;
кафедра микробиологии, вирусологии, иммунологии Московского государственного медико-стоматологического университета
лаборатория интенсивных методов терапии ФГБУ «Научно-исследовательский институт ревматологии им. В.А. Насоновой» РАМН, Москва
Российский онкологический научный центр им. Н.Н. Блохина РАМН, Москва
К стоматологу часто обращаются пациенты с жалобами как на одностороннее, так и на двустороннее симметричное увеличение поднижнечелюстных слюнных желез (ПНЧСЖ). Симптом изолированного двустороннего увеличения ПНЧСЖ является неспецифическим и часто сопутствует сахарному диабету и заболеваниям половых желез (простатит, оофорит, гипоменструальный синдром) [1, 11]. Данное состояние расценивается как признак компенсаторной гипертрофии и рассматривается как своеобразная форма интерстициального сиаладенита или сиаладеноза.
Однако симптом двустороннего увеличения ПНЧСЖ может также встречаться при лимфомах, в том числе на фоне болезни Шегрена, IgG4-связанном хроническом склерозирующем сиаладените («воспалительная опухоль Кюттнера»), AL-амилоидозе, саркоидозе. Часто вероятность развития этих заболеваний не учитывается, и они обозначаются собирательным термином «воспалительная опухоль» Кюттнера.
Морфологическая верификация диагноза затруднена. При проведении тонкоигольной аспирационной биопсии ПНЧСЖ цитологическая картина может быть представлена наличием неизмененных клеток слюнной железы или периферической крови с элементами лимфоидного ряда, мелкими лимфоцитами. Часто, особенно при значительной плотности железы, возникает необходимость в гистологической верификации диагноза. В связи с отсутствием описанной методики биопсии ПНЧСЖ проводится ее экстирпация. Эта операция выполняется под наркозом и требует госпитализации пациента. В послеоперационном периоде под нижней челюстью остается рубец длиной 5—7 см. Кроме того, при проведении экстирпации теряется функция одной из двух ПНЧСЖ, продуцирующих до 70% слюны. По данным В.В. Афанасьева (2012), после удаления ПНЧСЖ по поводу хронического сиаладенита или доброкачественного новообразования в отдаленный период (1—5 лет) развиваются различные заболевания желудочно-кишечного тракта [1].
При подтверждении одного из перечисленных диагнозов: лимфомы, склерозирующего сиаладенита, AL-амилоидоза, саркоидоза или болезни Шегрена в дальнейшем проводится консервативное лечение, а экстирпация слюнной железы носит только диагностический характер. В связи с этим возникла необходимость разработки методики биопсии ПНЧСЖ.
В комплексном обзоре методик по биопсии слюнных желез [8] отмечено, что возможно проведение биопсии любой слюнной железы — околоушной, поднижнечелюстной, подъязычной, малых слюнных желез губы и неба. В обзоре зарубежной литературы, охватывающем период с января 1990 г. по январь 2010 г., проведенном с использованием баз данных MEDLINE, EMBASE, Cochrane Central Register of Controlled Trials (2010), ни в одном исследовании не сообщалось о биопсии ПНЧСЖ. Причем, несмотря на то что при синдроме Шегрена снижается в первую очередь секреторная функция ПНЧСЖ, исследований, описывающих методику биопсии этой железы, найдено не было. Предполагалось, что это связано с инвазивностью процедуры и необходимостью общей анестезии.
Нами разработана методика биопсии ПНЧСЖ (патент № 2492817 от 20.09.2013). Показаниями к ее проведению является двустороннее, реже одностороннее увеличение ПНЧСЖ плотной консистенции для дифференциальной диагностики лимфом, склерозирующего сиаладенита («воспалительной опухоли» Кюттнера), болезни и синдрома Шегрена, AL-амилоидоза и саркоидоза.
В предоперационном периоде для исключения доброкачественной или злокачественной опухоли, а также слюннокаменной болезни должны быть проведены все методы исследования слюнных желез. Эти заболевания, как правило, локализуются в одной ПНЧСЖ и диагностируются при помощи ультразвукового исследования в комбинации с тонкоигольной аспирационной биопсией. Обязательным является получение информированного согласия пациента на оперативное вмешательство.
Оперативное вмешательство может проводиться амбулаторно при участии анестезиолога под комбинированным обезболиванием.
Ход операции: выполняется местная инфильтрационная анестезия. При необходимости в процессе операции вводят дополнительные порции местного анестетика (предпочтительно, амидного). В частности, для проведения анестезии может использоваться 10—15 мл Sol. Lidocaini hydrochloridi 1% (без адреналина). Чтобы избежать повреждения краевой ветви лицевого нерва, при выполнении разреза от края нижней челюсти отступают на 3,5—4 см.
После анестезии производится разрез кожи при помощи скальпеля по заранее намеченной линии, длина разреза 2,5—4 см. Затем послойно рассекают подкожную клетчатку, подкожную мышцу шеи, капсулу ПНЧСЖ для обнажения ее нижнего полюса. При помощи скальпеля иссекают фрагмент слюнной железы размером 0,5×0,7 см. Для удержания участка железы используется хирургический пинцет (рис. 1).

Рис. 1. Иссечение фрагмента железы. Внизу — размеры макропрепарата.
Ткани ушивают послойно узловыми швами. Между подкожной мышцей шеи и ушитой наглухо капсулой железы вводится стерильный дренаж в виде полоски перчаточной резины размером 0,7×5,0 см на 24—48 ч.
На рану накладывают асептическую марлевую повязку. На 6—7-е сутки снимаются швы.
Для иллюстрации диагностической эффективности предложенной методики приводим следующие клинические примеры.
Пациентка А., 56 лет. Обратилась в профильное отделение МГМСУ 16.08.2011 с жалобами на сухость в полости рта и наличие безболезненных опухолевидных образований в поднижнечелюстной области справа и слева в течение 6 мес. Конфигурация лица изменена за счет незначительно увеличенных ПНЧСЖ, больше слева, плотноэластической консистенции, при пальпации безболезненных. По переднему краю правой грудино-ключично-сосцевидной мышцы пальпируется лимфатический узел плотноэластической консистенции, диаметром 3 см, подвижный, безболезненный. Диагноз при обращении: хронический лимфаденит? Сиалоз ПНЧСЖ? Трижды проводилось ультразвуковое исследование. Выявлено системное увеличение лимфатических узлов в поднижнечелюстных и околоушных слюнных железах и в верхнем отделе шеи справа. Цитологическое исследование материала, полученного при диагностической пункции левой ПНЧСЖ, выявило наличие клеток лимфоидного ряда на фоне периферической крови. Учитывая полученные данные и жалобы на сухость в полости рта, пациентка обследована в НИИ ревматологии РАМН и Гематологическом научном центре РАМН. Комплексное обследование проводилось в течение 4 мес. Убедительных данных, свидетельствующих о ревматологической патологии и патологии системы крови, получено не было. При повторном осмотре — жалобы и местный статус без изменений.
Предварительный диагноз: хронический лимфаденит, лимфома, сиалоз с необходимостью иссечения.
Рекомендовано проведение биопсии левой ПНЧСЖ для морфологической верификации диагноза. Морфоиммуногистохимическая картина соответствует В-клеточной лимфоме — фолликулярной лимфоме I—II типа по клеточному составу, преимущественно с нодулярным характером роста (рис. 2).

Рис. 2. Пример 1. Микропрепарат. ×100 (а); ×200 (б). ПНЧСЖ. Окраска гематоксилином и эозином. Заключение: В-клеточная фолликулярная лимфома.
Пациентка направлена в РОНЦ РАМН для консультации и дальнейшего лечения.
Пациентка П., обратилась в профильное отделение МГМСУ с жалобами на сухость в глазах и наличие безболезненной припухлости в области правой и левой ПНЧСЖ в течение 1,5 лет, боль в области кистей в течение 10 лет.
Диагноз при обращении: опухоль Кюттнера? AL-амилоидоз?
Пациентка направлена в НИИ ревматологии РАМН, где выявлено наличие серопозитивного ревматоидного артрита. Дважды проведена диагностическая пункция ПНЧСЖ, верифицировать диагноз не удалось. Исключено наличие синдрома Шегрена и AL-амилоидоза. Учитывая высокие значения ревматоидного фактора (707,0 МЕ/мл при норме 0—15,0 МЕ/мл), для исключения лимфомы ПНЧСЖ пациентка направлена в профильное отделение МГМСУ для проведения биопсии. Инцизионная биопсия ПНЧСЖ проведена по разработанной методике. Послеоперационный период протекал без осложнений.
Гистологическое исследование выявило наличие MALT-ткани (mucosa assotiated lymphoid tissue) (рис. 3).

Рис. 3. Пример 2. Микропрепарат. ×100. ПНЧСЖ. Окраска гематоксилином и эозином. Заключение: хронический сиаладенит с формированием MALT-лимфоидной ткани с присущими ей архитектоническими особенностями, лимфоидные фолликулы со светлыми центрами размножения и узкой довольно отчетливой зоной мантии.
Рекомендовано динамическое наблюдение в НИИ Ревматологии РАМН.
Заключение
Таким образом, симптом увеличения ПНЧСЖ является неспецифическим и может встречаться при системных и лимфопролиферативных заболеваниях. Диагностика этих заболеваний затруднена из-за однотипности клинических проявлений и невозможности ее проведения при использовании стандартных неинвазивных методов исследования. Предложенная методика биопсии ПНЧСЖ помогает в кратчайшие сроки установить диагноз и начать лечение. Данный метод позволяет провести дифференциальную диагностику лимфом, в том числе на фоне болезни и синдрома Шегрена, саркоидоза, склерозирующего сиаладенита, AL-амилоидоза, сиаладеноза, так как при этих заболеваниях происходит диффузное поражение слюнных желез. В большинстве случаев только морфологическое и иммуноморфологическое исследования ткани большой слюнной железы позволяют установить окончательный диагноз.
Биопсия ПНЧСЖ выполнена 4 пациентам. Во всех случаях наблюдалось заживление ран первичным натяжением, без признаков нагноения и образования свищевых ходов. Швы снимались на 7-е сутки. Контрольный осмотр проводился через год.
Хирург должен рассматривать биопсию слюнной железы как хирургическую операцию со всеми возможными осложнениями. Получение адекватного образца ткани должно сопровождаться минимальным дискомфортом для пациента. Оперативное вмешательство выполняется по строгим показаниям.
Основным преимуществом способа является то, что получение образца пораженной слюнной железы не требует ее удаления. В связи с этим значительно снижается операционная травма, сводится к минимуму риск повреждения сосудов и нервов. Эстетические преимущества заключаются в отсутствии дефекта мягких тканей в поднижнечелюстной области и уменьшении размеров кожного рубца, располагающегося в области кожной складки шеи. Первые результаты нашей работы показывают хорошие диагностические возможности данной операции и отсутствие ранних и отдаленных осложнений.
Цитологическое и гистологическое исследования в Сочи
Классическими методами клинической диагностики различных патологий, а также изучения строения и функций клеток являются цитология и гистология животных и других питомцев. Цитологическое исследование позволяет выявить рак на начальной стадии развития, а гистологическое возможно только для развившегося заболевания.
Цитологическое исследование животных - что это?
Цитологический анализ предполагает исследование клеток крови и биоматериала под микроскопом для обнаружения изменений в их строении. Специалист смотрит на вид, форму, размер, цвет и инородные включения в клетке.
Такое морфологическое обследование предполагает наименьшее вмешательство в организм питомца. Оно позволяет обнаружить аномалии в структуре клетки, оценить характер разрастания эпителиальной ткани, диагностировать дисплазию и начало развития рака.
Результаты исследования позволяют идентифицировать вид новообразования. Однако, для получения более достоверной информации об опухоли необходимо проведение дополнительного гистологического анализа.
Когда нужно делать?
Показаниями для проведения цитологии у кошек и собак являются:
- Гнойные высыпания на коже питомца;
- Зуд кожных покровов;
- Обильное выпадение шерсти, появление залысин;
- Сухая корка на коже.
При обнаружении вышеуказанных симптомов следует отвезти домашнего любимца к ветеринару, который осмотрит его, соберет анамнез и назначит необходимые обследования, в том числе цитологическое.
Как проходит процедура?
Забор биоматериала для проведения цитологии у кошек и других животных осуществляют методом пункционной биопсии. Образец ткани берут с помощью специальной иглы – трепана. Как правило, это не вызывает болезненных ощущений.
Собранный материал исследует в лаборатории ветеринарной клиники непосредственно после взятия анализа. Это исключает риск его старения и получения ложных результатов.
Зачем делать цитологию животным: кошкам и собакам?
Существуют различные типы морфологического обследования, с помощью которых диагностируют множество заболеваний:
- Соскоб кожи помогает дерматологам оценить интенсивность воспаления, обсеменение микрофлорой или грибами;
- Мазок из слизистой позволяет обнаружить новообразование на ранней стадии;
- Анализ мочи может показать наличие мочекаменной болезни и папиллом в мочевом пузыре;
- Исследование выпотов в брюшной и грудной полостях выявляет болезни внутренних органов и позволяют понять причины их развития;
- Изучение желудочного сока помогает диагностировать гастрит, язву и папиллому желудка;
- Обследование костного мозга проводят с целью обнаружения гематологических заболеваний;
- Синовиальную жидкость осматривают для выявления суставных патологий;
- Цитология ликвора необходима для диагностики опухолей головного мозга.

Гистология тканей животных - что это?
Гистология является инвазивным методом, который позволяет оценить структуру тканей животного в целом. Она предоставляет подробную картину процессов, протекающих в тканях. Проведение данного обследования необходимо для установления этиологии и строения новообразования, постановки корректного диагноза и назначения эффективного лечения.
Когда назначают гистологические анализы животным?
Гистологическое исследование проводят питомцу для:
- Подтверждения или опровержения результата цитологии;
- Постановки предварительного диагноза и назначения дополнительных обследований, например, иммуногистиохимии;
- Выбора тактики лечения онкологического заболевания и определения прогноза;
- Контроля роста опухоли и оценки эффективности проводимой терапии.
Результаты такого обследования обладают большой достоверностью.
Процедура
Сбор биоматериала производится хирургическим путем. Специалист берет образец ткани при биопсии или во время операции и исследует его с помощью светового и электронного микроскопа.
Как правило, гистологию тканей животных проводят в условиях стационара. Гистолог исследует участок ткани размером не более 1 см кв и толщиной не более 1 мм. Наиболее информативным местом забора материала считается граница между поврежденной и здоровой тканью.
Пробу фиксируют в чистой посуде раствором формалина в соотношении к кусочку ткани 1:10 и отправляют в лабораторию.
Информация, которую указывают при отправке:
- Данные отправителя;
- Характеристика пробы (порода питомца, орган);
- Описание симптоматики заболевания;
- Время взятия среза и порядок фиксации;
- Документ вскрытия, если есть.
Процедура исследования материала занимает в среднем 7-10 дней.
Рекомендуемый уход после
Большинство операций питомцам проводят под общим наркозом. Чтобы избежать осложнений после хирургического вмешательства необходимо четко следовать рекомендациям ветеринара.
Пока ваш домашний любимец полностью не придет в сознание, он должен быть под постоянным присмотром. На это время лучше положить его в теплое и сухое место на мягкую подстилку. Обычно кормить животное можно не раньше, чем через 6-8 часов после вмешательства. Во избежание рвоты и проблем с ЖКТ придерживайтесь послеоперационной диеты, составленной врачом.
Обработку швов надо проводить ежедневно с помощью назначенных препаратов. В течение некоторого времени после их снятия требуется контроль за состоянием четверолапого друга.
В течение нескольких дней после проведения гистологии животному лучше избегать тяжелых физических нагрузок, длительных прогулок и активных игр. Окружите вашего любимца заботой и лаской, и период восстановления пройдет для него легче и быстрее.
Где сделать цитологию и гистологию животных в Сочи?
В ветеринарной клинике ИВЦ МВА в Сочи есть собственная лаборатория с инновационным оборудованием для проведения цитологических и гистологических исследований. Наши специалисты обладают высокой квалификацией и многолетним опытом лечения онкобольных питомцев.
В нашем центре есть все необходимое оснащение для комфортного осмотра, лечения и реабилитации животных. Мы подбираем индивидуальный подход к каждому четырехлапому пациенту.
Стоимость услуг
Название услуги
Стоимость,
руб. с НДС
Описание
Химиотерапия, 1 сеанс без стоимости химиопрепаратов
Оценка состояния пациента, расчет разовой дозы препаратов, приготовление растворов химиотерапевтических препаратов, премедикация, постановка мочевого катетера, введение препаратов в мочевой пузырь
Введение препаратов в грудную полость
Внутривенное системное струйное введение химиотерапевтических препаратов
Оценка состояния пациента, постановка в/в катетера, расчет разовой дозы препаратов, приготовление растворов химиотерапевтических препаратов для инфузии, премедикация, инфузионная терапия до и после введения препаратов. Контроль за состоянием пациента во время манипуляции
ОПЕРАТИВНОЕ ЛЕЧЕНИЕ ОНКОЛОГИЧЕСКИХ ЗАБОЛЕВАНИЙ
Без стоимости общей анестезии
Ампутация конечности
- кошки
Ампутация пораженного опухолью пальца
- кошки
- пораженного опухолью пальца с лимфаденоэктомией
Операция по удалению поражённого опухолью пальца с последующим удалением регионарных лимфатических узлов
Операция по удалению одной доли щитовидной железы
Иссечение аденомы мейбомиевых желез
- без пластики
Операция по удалению новообразования желёз нижнего века
Операция по удалению новообразования желёз нижнего века с последующей коррекцией косметического дефекта
Иссечение опухоли кожи
- 1 категории
Иссечение опухоли кожи размером до 3 см. Включено: Операционный комплекс. Общая анестезия и п/попона оплачивается отдельно.
Иссечение опухоли кожи размером от 3 до 5 см
Иссечение опухоли кожи размером от 5 до 10 см
Иссечение опухоли кожи размером более 10 см
Иссечение двух и более опухолей кожи
- 1 категории
Размер новообразования до 3 см. Включено: Операционный комплекс. Общая анестезия и п/попона оплачивается отдельно.
Размер новообразования от 3 до 5 см
Иссечение опухоли мягких тканей
Размер новообразования до 5 см
Размер новообразования от 5 до 10 см
Размер новообразования более 10 см
Иссечение опухоли мягких тканей с пластикой кожи
Операция по удалению новообразования мягких тканей с последующим перемещением соседнего участка кожи с целью устранения образовавшегося дефекта
Операция по удалению пальпируемой опухоли в пределах здоровых тканей без удаления молочных желёз
Регионарная мастэктомия
- собаки до 10 кг
Операция по удалению нескольких пакетов молочной железы и регионарного лимфатического узла на одной стороне
- собаки от 10 до 25 кг
- собаки свыше 25 кг
Унилатеральная мастэктомия
- кошки и собаки до 5 кг
Операция по удалению всех пакетов молочной железы и регионарных лимфоузлов с одной стороны
- кошки и собаки от 5 до 10 кг
- собаки от 10 до 25 кг
- собаки от 25 до 50 кг
- собаки свыше 50 кг
Операция по удалению нескольких пакетов молочной железы и регионарных лимфоузлов с двух сторон
Операция по удалению молочной железы и регионарных лимфоузлов
Операция по удалению лимфатического узла
При новообразовании неопустившегося семенника. Полостная операция, удаление опухоли семенника в брюшной полости
Скротуморхифуникулоэктомия при опухоли семенника
Операция по удалению яичка вместе с семенным канатиком и мошонкой
Резекция опухоли прямой кишки
Операция по удалению опухоли прямой кишки с последующим ушиванием кишечника или созданием искусственного анального отверстия
Ринотомия с экскохлеацией опухоли (содержимого)
- кошки
Хирургическое вскрытие полости носовых ходов с последующим удалением новообразования
Сегментарная резекция челюсти
- кошка
Операция по удалению участка челюсти при новообразованиях данной области
Операция по удалению одной половины нижней челюсти при новообразованиях данной области
Экзартикуляция тазовой конечности с гемипелвэктомией
Операция по удалению тазовой конечности до области тазобедренного сустава с последующим удалением одной половины таза
Читайте также:
