Показания для операции при несостоятельности тотального эндопротеза голеностопного сустава (операции спасения)
Добавил пользователь Евгений Кузнецов Обновлено: 21.01.2026
Показания для тотального эндопротезирования голеностопного сустава из наружного доступа (протез Zimmer)
а) Показания:
- Клинически значимый артрит голеностопного сустава
- Пациенты со скомпрометированными тканями по передней поверхности голеностопного сустава
- Наличие послеоперационного рубца по наружной поверхности после остеосинтеза перелома, реконструкции латеральных связок или вмешательства на малоберцовых сухожилиях
- Артродез противоположного голеностопного сустава
- Клинически значимый артрит голеностопного сустава в сочетании с дегенеративными изменениями смежных суставов
- Деформация голеностопного сустава, связанная с неправильной консолидацией или деформацией малоберцовой кости
- Деформация голеностопного сустава в сагиттальной плоскости (переднее или заднее смещение таранной кости)
- Вальгусная деформация с укорочением или вальгизацией малоберцовой кости
- Варусная деформация с варизацией малоберцовой кости или контрактурой дельтовидной связки
- Ротационная деформация голеностопного сустава
- Выполненный ранее артродез голеностопного сустава при условии интактности малоберцовой кости
- Уплощение или снижение высоты свода таранной кости в сочетании с артритом голеностопного сустава
Спорные моменты:
• При выставлении показаний следует принимать во внимание возраст и индекс массы тела пациента
• У пациентов с нормальной функцией подтаранного и поперечного суставов стопы следует подумать об артродези-ровании голеностопного сустава
• Перенесенное ранее вмешательство с использованием задненаружного доступа вблизи ахиллова сухожилия может затруднить протезирование с использованием наружного доступа. В таких случаях предпочтительно использование переднего доступа
Варианты лечения:
• Фиксированный ортез голеностопного сустава
• Может быть эффективно введение в сустав протезов синовиальной жидкости
• Введение кортикостероидов может способствовать временному купированию симптомов
• Введение обогащенной тромбоцитами плазмы или концентрата костного мозга
• Амортизирующие стельки и модификация обуви
• Нестероидные противовоспалительные препараты
• Дебридмент голеностопного сустава
• Ревизионный остеосинтез при неправильно сросшемся переломе
• Надлодыжечная остеотомия
• Артродез голеностопного сустава
• Тотальное эндопротезирование голеностопного сустава с использованием переднего доступа
б) Противопоказания:
- Острый аваскулярный некроз таранной кости
- Артропатия Шарко
- Локальная/системная инфекция, которая может привести к инфицированию протезированного сустава
- Тяжелые периферические неврологические или сосудистые расстройства
- Низкое качество кожи по наружной поверхности голеностопного сустава
в) Относительные противопоказания:
- Тяжелый остеопороз
- Иммуносупрессивная терапия
- Перенесенная ранее инфекция сустава
- Грубая нереконструктабельная недостаточность дельтовидной связки
- Нереконструктабельная неопорная стопа
Рисунок 1 Рисунок 2 Рисунок 3
г) Обследование и лучевая диагностика:
- Рентгенография с нагрузкой голеностопного сустава в прямой и боковой проекциях стопы. Рекомендуется захватывать нижние две трети голени для исключения возможных деформаций на этом уровне. В случаях грубой деформации голеностопного сустава или голени рекомендуется для сравнения выполнять рентгенографию противоположной конечности
- Рентгенография в проекции по Saltzman позволяет оценить ось заднего отдела стопы и голеностопного сустава
- На рентгенограмме в боковой проекции обращайте внимание на уплощение свода таранной кости. Если имеет место подобная деформации, объем резекции таранной кости необходимо минимизировать
- Неправильно консолидированный перелом малоберцовой кости, который может нуждаться в коррекции
- При деформации голени или голеностопного сустава обязательна рентгенография с нагрузкой и с захватом голеностопного и коленного суставов (рис. 1)
- При наиболее сложных деформациях выполняется рентгенография в прямой проекции с захватом тазобедренного, коленного и голеностопного суставов (рис. 2)
- Магнитно-резонансная томография позволяет увидеть признаки артрита голеностопного и/или подтаранного суставов, которые не видны на рентгенограммах (рис. 3)
- При наличии артрита подтаранного сустава тотальное эндопротезирование голеностопного сустава будет предпочтительней артродеза
- Компьютерная томография позволяет увидеть костные полости, кисты, ложные суставы, которые могут нуждаться в коррекции
- Сцинтиграфия с технецием или лейкоцитами, мечеными индием, может назначаться при подозрении на инфекцию
- Тщательная оценка причин деформации голеностопного сустава: недостаточность латеральных связок или эрозии медиального отдела сустава; недостаточность дельтовидной связки или эрозиилатерального отдела сустава; неправильная консолидация большеберцовой или таранной костей
- Определение объема движений в голеностопном, подтаранном и поперечном суставах стопы. Возможна ли пассивная коррекция деформации?
- Выраженная нестабильность голеностопного сустава затрудняет точную оценку объема движений в подтаранном суставе
- Наблюдение за тем, как пациент ходит, позволяет выявить динамические деформации или механические компоненты деформаций, связанные с другой патологией нижней конечности
- Определяющим фактором эффективности операции является формирование опорной стопы
- Оценка силы мышц и возможной атрофии
- Оценка нейрососудистого статуса
- Тщательная оценка качества мягких тканей по наружной поверхности и локализации послеоперационных рубцов. Убедитесь, что при использовании наружного доступа ширина кожных мостиков между ним и старыми послеоперационными рубцами будет достаточной
Показания для операции при несостоятельности тотального эндопротеза голеностопного сустава (операции спасения)
Показания для артродеза после неудачного тотального эндопротезирования голеностопного сустава (операция спасения)
а) Показания. Несостоятельность тотального эндопротеза голеностопного сустава (ТЭГС) в случаях, когда ревизионная артропластика противопоказана или не является методом выбора:
• Асептическая нестабильность одного или всех компонентов протеза
• Боль без рентгенологических признаков нестабильности
• Инфекция
б) Обследование и лучевая диагностика:
- Тщательный сбор анамнеза и клиническое обследование являются критически важными моментами при планировании хирургического лечения в описанных ситуациях. Любые указания на травму, инфекцию и характер испытываемых пациентом дискомфортных ощущений являются важными сведениями, могущими пролить свет на причины несостоятельности ТЭГС. Иногда сбор анамнеза позволяет выявить четкие причины болевых ощущений, устранение которых уменьшает уровень дискомфорта пациента
- Клиническое обследование включает оценку положения голеностопного сустава, состояния кожных покровов, выраженности отека, объема движений и специфических зон болезненности. Дополнительно рекомендуется клиническое обследование стопы, в частности характера возможной деформации, ее эластичности или ригидности. Отдельного внимания заслуживает контрактура ахиллова сухожилия и/или икроножной мышцы, выявление которой должно быть стандартом
- Рентгенологическое обследование включает рентгенографию голеностопного сустава стоя в прямой, боковой и косой проекциях, а также рентгенографию стопы. Исследование важно выполнять с нагрузкой, только тогда оценка состояния конечности будет наиболее точной. Особого внимания заслуживают положение компонентов, признаки остеолиза и кистозной перестройки, переломы, костные дефекты и состояние подтаранного сустава и суставов стопы
- Компьютерная томография (КТ) является еще одним информативным методом исследования. Она позволяет составить план операции исходя из локализации и размеров костных дефектов и состояния подтаранного сустава. Даже несмотря на то, что наличие металлических имплантов в зоне исследования может значительно затруднять визуализацию окружающих костных структур, КТ остается весьма информативным методом

Рисунок 1
в) Хирургическая анатомия:
- Ревизионный характер данной операции зачастую сопряжен с непредсказуемыми в каждом конкретном случае особенностями хирургической анатомии, что увеличивает риски любой ревизионной операции
- Разрез кожи должен выполняться по старому послеоперационному рубцу и следовать в интервале между сухожилиями передней большеберцовой мышцы и длинного разгибателя первого пальца. Поверхностный малоберцовый нерв отдает ветвь, которая называется тыльным кожным нервом и следует к первому пальцу. Эта ветвь обычно обнаруживается в дистальной части доступа (рис. 1)
- Капсула сустава обычно значительно изменена. По рассечении капсулы становятся видны компонента эндопротеза
а) Положение пациента:
- Пациента укладывают таким образом, чтобы стопы располагались у края операционного стола
- Под тазобедренный сустав на стороне операции подкладывается валик для придания стопе строго вертикального положения
- На уровне бедра накладывается турникет
Нюансы укладки:
• Под оперируемую стопу подкладывают блок для облегчения интраоперационного флюороскопического контроля

Рисунок 5
б) Порты и доступы:
- Обычно используется старый послеоперационный рубец
- Разрезом длиной 10-12 см обнажается рубцово измененный удерживатель разгибателей
- Удерживатель мобилизуется вдоль наружного края сухожилия передней большеберцовой мышцы и обнажается передняя поверхность дистальной трети большеберцовой кости
- При мобилизации мягкотканного лоскута вместе с надкостницей от подлежащей кости следует обратить внимание на сосудисто-нервный пучок, расположенный за длинным разгибателем первого пальца
- Выполняется капсулотомия и капсулэктомия, после чего устанавливается самофиксирующийся ретрактор мягких тканей
- Обнажаются компоненты протеза и оцениваются их стабильность, дисфункция, расшатывание, признаки костного импинджмента и степень износа. После этого компоненты удаляются:
• В большинстве случаев сначала удаляется полиэтиленовый вкладыш
• Далее удаляется тибиальный компонент, при этом необходимо стремиться сохранить максимально возможный запас кости (рис. 5, А)
• Последним удаляется таранный компонент, при этом также необходимо сохранить таранную кость (рис. 5, Б)
- Костные поверхности тщательно очищаются от остатков мягких тканей и деваскуляризированных участков кости. На рисунке 5, В показана поверхность таранной кости после дебридмента, а на рисунке 5, Г — удаленное содержимое кисты. Эти интраоперационные снимки принадлежать пациенту, рентгенограммы которого представлены на рисунке 1
- Выполняется дебридмент медиального и латерального отделов голеностопного сустава
- В нейтральном положении стопы оцениваются размеры имеющегося дефекта
Рисунок 1 Рисунок 6
Оснащение:
• Может быть эффективно использование самофиксирующегося ретрактора, однако при этом необходимо следить, чтобы не было натяжения кожи
Нюансы техники:
• Для удаления большеберцового компонента с удлиняющей ножкой в передней кортикальной стенке большеберцовой кости можно сформировать окошко
• При удалении таранного компонента чрескожно со стороны наружной поверхности стопы можно ввести небольшой импактор, с помощью которого мобилизуется передненаружный край импланта (рис. 6)
Ошибки техники:
• При выполнении доступа необходимо принимать во внимание локализацию старых послеоперационных рубцов, в противном случае возможны проблемы с заживлением операционной раны
в) Техника операции ревизионной артропластики. Ревизионная артропластика (рис. 7) показана при соблюдении следующих условий:
• Достаточный для адекватной фиксации импланта запас костной ткани таранной кости (см. рис. 1)
• Состояние костной ткани, способное обеспечить адекватную фиксацию и остеоинтеграцию импланта (см. рис. 2)
• Возможность коррекции сопутствующих проблем (например, восстановление стабильности голеностопного сустава, формы заднего отдела стопы)
Рисунок 7 Рисунок 1 Рисунок 2 Рисунок 8
1 этап:
- Тщательно удаляются рубцы и капсула в заднем отделе сустава
- К большеберцовой кости фиксируется тибиальный резекционный блок
- Выполняется минимальная резекция кости (рис. 8, А)
- Устанавливается пробный компонент и оценивается его стабильность

Рисунок 9
2 этап:
- Выполняется горизонтальный опил таранной кости, при этом необходимо резецировать лишь минимальный объем кости с тем, чтобы обеспечить достаточную опору для плоского ревизионного таранного компонента (рис. 8, Б)
- К таранной кости фиксируется таранный резекционный блок и выполняются медиальный и латеральный опилы
- Выполняется дебридмент медиального и латерального отделов сустава
- Пробный имплант фиксируется к таранной кости и его положение оценивается при флюороскопии (рис. 9)
- Если положение импланта (особенно в прямой проекции) удовлетворительное, в таранной кости формируются отверстия для ножек компонента
3 этап:
- Выполняется тщательный дебридмент резецированных поверхностей большеберцовой и таранной костей, склерозированные участки кости перфорируются
- Оставшиеся дефекты в центральной части метафиза большеберцовой кости заполняются костным матриксом и/или губчатой костью из гребня подвздошной кости
- Устанавливается и импактируется большеберцовый компонент; для усиления первичной стабильности компонент фиксируется двумя винтами
- Оставшиеся дефекты в теле таранной кости заполняются костным матриксом и/или губчатой костью из гребня подвздошной кости
- Устанавливается и импактируется таранный ревизионный компонент
- Устанавливается полиэтиленовый вкладыш необходимой высоты
- Оценивается стабильность и объем движений в суставе
- Положение протеза оценивается при флюороскопии
4 этап:
- Операционная рана ушивается послойно: восстанавливается футляр сухожилия, удерживатель разгибателей и кожа
- Накладывается повязка, которая не должна оказывать слишком сильного давления на кожу
- Стопа фиксируется шиной в нейтральном положении
Нюансы техники:
• Плотной трехточечной фиксации компонентов в кости может быть достаточно для обеспечения их остеоинтеграции
• В случае латеральной нестабильности выполняется реконструкция латеральных связок
• В случае дисфункции короткой малоберцовой мышцы выполняется перемещение сухожилия длинной малоберцовой мышцы на короткую
Ошибки техники:
• Неоптимальный баланс или низкое качество мягких тканей может вести к избыточной подвижности полиэтиленового вкладыша при сгибании и разгибании стопы
г) Техника операции большеберцово-таранного артродеза. Большеберцово-таранный артродез показан при соблюдения следующих условий:
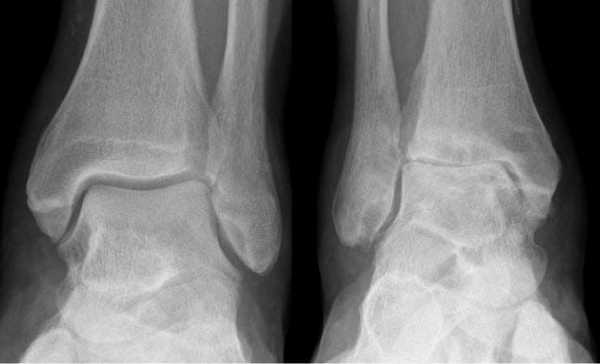
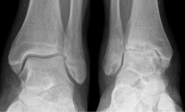
• Запас костной ткани со стороны таранной кости достаточный для стабильной фиксации в ней винтов. На рисунке 10 представлены рентгенограммы в прямой (рис. 10, А) и боковой (рис. 10, Б) проекциях 52-летнего мужчины через 27 месяцев после ревизионной артропластики (удаление нестабильного протеза и реэндопротезирования протезом HINTEGRA) по поводу первичной нестабильности, проявлявшейся хронической болью
• Состояние костной ткани не обеспечивает адекватную фиксацию компонентов протеза
• Ревизионная артропластика не рекомендуется (некорригируемая нестабильность и/или деформация, плохое качество мягких тканей, хронический болевой синдром)
Рисунок 1 Рисунок 1
1 этап:
- Стопа удерживается в нейтральном положении (в отношении тыльного/подо-швенного сгибания и эверсии/инверсии) и легкой наружной ротации (отведение переднего отдела стопы около 10°)
- Трансплантат из гребня подвздошной кости (аутокость) или головка бедренной кости (аллокость) моделируется в точности с формой дефекта (рис. 11)
- Переднелатеральная пластинка фиксируется тремя блокируемыми винтами к шейке таранной кости
- С помощью компрессирующего устройства (фиксированного к пластинке и большеберцовой кости) достигается максимальная осевая компрессия
- Пластинка фиксируется к большеберцовой кости
Рисунок 12
2 этап:
- Вторая, переднемедиальная пластинка фиксируется аналогичным образом к шейке таранной кости и большеберцовой кости
- Через обе пластинки вводятся винты в косом направлении в задний отдел тела таранной кости (рис. 12)
- Рана ушивается послойно

Рисунок 13
Нюансы техники:
• Рубцово измененная задняя капсула может быть оставлена с тем, чтобы увеличить первичную стабильность трансплантата
• Правильность положения пластинок и винтов оценивается при флюороскопии (рис. 13)
• Использование костного матрикса и обогащенной тромбоцитами плазмой может стимулировать костное сращение
• Компрессия между пяточной и большеберцовой костями увеличивает стабильность фиксации и тем самым также стимулирует сращение
Ошибки техники:
• Слишком длинные винты могут проникать в подтаранный сустав
д) Техника операции пяточно-большеберцового артродеза. Пяточно-большеберцовый артродез показан в следующих ситуациях:
• Запас костной ткани со стороны таранной кости недостаточен для адекватной фиксации винтов. На рис. 14 представлены рентгенограммы в прямой и боковой проекциях 39-летнего мужчины, предъявляющего жалобы на боль в области протезированного голеностопного сустава через 22 месяца после операции. Обратите внимание на признаки нестабильности и «проваливание» обоих компонентов протеза (протез AGILITY) с формированием вальгусной деформации голеностопного сустава
• Состояние костной ткани не обеспечивает адекватную фиксацию компонентов протеза
• Ревизионная артропластика не рекомендуется (некорригируемая нестабильность и/или деформация, плохое качество мягких тканей, хронический болевой синдром)
• Распространенный аваскулярный некроз тела таранной кости

Рисунок 14
1 этап:
- Доступ к подтаранному суставу осуществляется из небольшого наружного разреза в области пазухи предплюсны
- Выполняется дебридмент подтаранного сустава
- Стопа удерживается в нейтральном положении (в отношении тыльного/подошвенного сгибания и эверсии/инверсии) и легкой наружной ротации (отведение переднего отдела стопы около 10°)
- Трансплантат из гребня подвздошной кости (аутокость) или головка бедренной кости (аллокость) моделируется в точности с формой дефекта
2 этап:
- На подошвенной поверхности стопы выполняется разрез кожи длиной 2-3 см
- Через пяточную и таранную кость в большеберцовую кость вводится направляющая спица
- По спице последовательно формируется канал диаметром 10-12 мм
- В сформированный канал вводится ретроградный стержень и выполняется его блокирование винтами, согласно техническим рекомендациям изготовителя импланта
- Операционные раны ушиваются послойно
Ошибки техники:
• Слишком агрессивные движения в первые дни после операции могут привести к проблемам с заживлением послеоперационной раны
Эндопротезирование голеностопного сустава: показания, операция и реабилитация
Остеоартроз голеностопного сустава — тяжелая дегенеративно-дистрофическая патология, для которой характерно постепенное необратимое разрушение хрящей. Для стабилизации сустава во время движения начинают формироваться остеофиты, повреждающие кровеносные сосуды, мышцы, нервы, соединительнотканные структуры. Ведущие симптомы деформирующего артроза — выраженные боли, скованность движений по утрам, анкилоз на конечной стадии. Так как прогрессирование патологии неминуемо приводит к обездвиживанию, инвалидизации, терапия проводится непосредственно после обнаружения заболевания.

Признаки артроза хорошо визуализируются на рентгенологических снимках. Наблюдается сужение или сращение суставной щели, объединяющей берцовую и таранную кости. Это свидетельствует о значительном поражении всех хрящевых тканей. Методы консервативной терапии тут безрезультативны. Если сохранить сочленение артроскопическими методами лечения (санацией, трансплантацией хрящевых тканей) невозможно, то проводится эндопротезирование голеностопного сустава — его полная замена искусственным протезом.

Характерные особенности операции
Самый часто используемый метод хирургического вмешательства при деформирующем артрозе — артродез. Но даже при тщательной реконструкции голеностопного сустава велика вероятность развития серьезных осложнений. Во время операции сочленение дополнительно травмируется, а в реабилитационный период ухудшается трофика околосуставных тканей. Все это ведет к возникновению вторичного остеоартроза. Применение артродезирования становится причиной функциональной несостоятельности стопы, утраты ее компенсаторных функций. Развивается постхирургический остеоартроз, поражающий практически все сочленения стопы. Для него характерны контрактуры, интенсивный болевой синдром. Перераспределяются нагрузки на тазобедренные, коленные, подтаранные, плюсневые суставы, что со временем провоцирует стрессовый деформирующий артроз. Возникает необходимость артродезирования и этих поврежденных суставов.

Поэтому травматологи часто сразу проводят эндопротезирование. Это процедура сложная, трудоемкая, но самая результативная. Используются протезы:
- связанные. Не компенсируют механические особенности сочленения, поэтому оно подвергается избыточной физической нагрузке в области фиксации протеза, где цемент контактирует с костными тканями;
- несвязанные. Преимущество этих моделей — стабильность формирующих их элементов. Импиджмент-синдром возникает значительно реже из-за сниженной нагрузки в области крепления.
Сложность их конструкции обусловлена анатомическим строением голеностопного сустава, разнообразием осуществляемых функций. При создании всех моделей учитывались статико-динамические нагрузки, составляющие 3-13% массы тела. При конструировании тотальных имплантатов используются следующие элементы:
- округленные металлические пластины, защищающие поверхность таранной кости;
- металлические пластины для закрытия части большой берцовой кости;
- подвижное ядро из высокомолекулярного полиэтилена.
Иногда применяются керамические эндопротезы или имплантаты из легированных кобальто-хромовых сплавов. Их отличают легкость, прочность, биосовместимость.

Показания и противопоказания
Протезирование голеностопного сустава показано пациентам при деформирующем артрозе 3 степени и на 4 рентгенологической стадии. Но хирурги-ортопеды иногда рекомендуют замену сочленения больным со 2 степенью патологии. Это продиктовано быстрым прогрессированием остеоартроза, несмотря на все применяемые консервативные методы терапии — прием препаратов, ношение ортезов, регулярные занятия лечебной физкультурой. Пациента готовят к эндопротезированию при диагностировании следующих патологий:
- дегенеративная и посттравматическая деструкции костей — разрастание краев костных пластинок, реактивный остеосклероз замыкательных пластин и губчатого вещества тела позвонка, формирование кистовидных образований в суставных концах сочленяющихся костей;
- тяжелый артрит голеностопного сустава, сопровождающийся вялотекущим воспалением с одновременным поражением гиалиновых хрящей;
- развитие контрактуры (ограничение пассивных движений в суставе), анкилоз (частичная или полная неподвижность сочленения), выраженный устойчивый болевой синдром, плохо устраняемый даже внутрисуставным введением глюкокортикостероидов.

Операция по замене голеностопного сочленения не проводится при остром воспалении, полной деструкции сустава, псевдоартрозе, артропатических изменениях, вирусных, бактериальных, грибковых инфекциях. Противопоказаниями также становятся суставные деформации любой этиологии.
Маленьким детям и подросткам эндопротезирование не проводят. Хирургическое вмешательство возможно только после полного формирования опорно-двигательного аппарата. Остеопороз (снижение костной массы) на начальной стадии — относительное противопоказание. Несмотря на использование фармакологических препаратов, патология может медленно, но уверенно прогрессировать. При истончении костей сочленения существует высокий риск смещения протеза, появления тяжелейших осложнений.
Причиной развития многих суставных заболеваний становится лишний вес. Он провоцирует разрушение хрящей, связочно-сухожильного аппарата, стабилизирующего голеностоп. Поэтому операция может быть ненадолго отложена, пока пациент не избавится от лишних килограммов.
Подготовительный этап
Перед эндопротезированием врач оценивает состояние здоровья больного, выбирает подходящую для него модель протеза. Обязательно проводится осмотр пациента травматологом, ортопедом, при необходимости к обследованию подключаются врачи других узких специализаций: эндокринолог, невропатолог, ревматолог. Они корректируют режим дозирования лекарств, влияющих на биохимические процессы в костных, хрящевых мягких тканях. Показана консультация аллерголога при наличии у больного гиперчувствительности к определенным группам фармакологических препаратов. На основании выданного ими заключения анестезиолог выбирает лекарственные средства для наркоза. Нужный размер, конфигурацию эндопротеза устанавливают после инструментальных исследований:
- контрастная ангиография голеностопного сустава;
- рентгенография в нескольких проекциях;
- УЗИ всех сочленений ног;
- компьютерная и позитронно-эмиссионная томография;
- диагностическое артроскопическое обследование.
Инструментальная диагностика позволяет оценить состояние суставов, связочно-сухожильного аппарата, нервов, мышц, кровеносных и лимфатических сосудов. Результаты биохимических исследований помогают установить наличие или отсутствие в суставных структурах воспалительного процесса, в том числе инфекционной этиологии.
При выборе эндопротеза учитывают изменение осанки, походки пациента в результате деформации сочленения. По возможности устраняется отечность и болезненные ощущения, купируется воспаление.
Пациент принимает непосредственное участие в подготовке к хирургическому вмешательству. За 1-2 месяца он должен отказаться от употребления алкоголя и курения, ухудшающих кровообращение в голеностопе. Больной направляется к физиотерапевту для выбора костылей и жестких ортезов, необходимых в реабилитационном периоде.
Хирургическое вмешательство
При замене голеностопного сочленения искусственным протезом используется спинномозговой наркоз, или эпидуральная анестезия, при которой лекарственные препараты вводятся в эпидуральное пространство позвоночника через катетер. Суть хирургического вмешательства заключается в ампутации определенных частей таранной и большой берцовой костей. Из-за сложной структуры голеностопного сустава проводится тотальное протезирование, хотя некоторые клиники практикуют и частичную замену сустава. Как хирурги-ортопеды проводят операцию:
- делают разрез вдоль голеностопа;
- открывают сочленение, отодвигая нервы, сухожилия, кровеносные и лимфатические сосуды;
- обнажают суставную чашечку;
- иссекают части сочленения, хрящевые поверхности формирующих его элементов.
Наглядное видео проведения операции:
Такой способ хирургического вмешательства считается щадящим, так как сохраняется значительное количество суставных структур. Ранее при проведении операции могли использоваться длинные стержни. Теперь крепление пластин таранной кости осуществляется штифтами для плотного анатомического облегания костных поверхностей имплантационным покрытием. При его изготовлении применяется особый пористый материал, способствующий прорастанию сосудов и тканей. Это обеспечивает естественную и прочную фиксацию пластины. Короткий дюбель используется для крепления нижней защитной пластины, а вот ядро не закрепляется вовсе. Оно предназначено для обеспечения плавного скольжения между верхней и нижней металлическими пластинами. Верхний элемент имеет ограничитель, предупреждающий смещение ядра.
На заключительном этапе операции рассеченные ткани закрепляются в анатомическом положении и накладываются швы.

Установленный искусственный протез имеет те же функциональные характеристики, что и голеностопное сочленение. При его вживлении хирурги используют программное обеспечение для контроля баланса и фиксации имплантата. Это способствует длительному сроку службы протеза и отсутствию дискомфортных ощущений во время эксплуатации. Объем движений полностью восстанавливается, а за счет полимерных элементов в конструкции снижается трение, компенсируется нагрузка при соприкосновении собственных костных тканей пациента с имплантатом.
Реабилитационный период
После эндопротезирования пациент в течение нескольких дней остается в стационарных условиях для быстрого выявления медицинским персоналом возможных осложнений и оказания срочной помощи. Проводится регулярный инструментальный мониторинг (обычно рентгенологический) голеностопа для визуализации операционного поля. В терапевтические схемы включаются препараты для устранения болезненных ощущений: анальгетики, нестероидные противовоспалительные средства, миорелаксанты и глюкокортикостероиды. Производится дренаж раны для эвакуации патологического экссудата и промывания ее антисептическими растворами. Прооперированный голеностоп иммобилизуется шиной или жестким ортезом.

Присаживаться пациенту разрешается чрез 2-3 дня, а спустя еще сутки показано дозированное передвижение по больничной палате. Из медицинского учреждения его выписывают при отсутствии негативных последствий хирургического вмешательства. Еще 2 недели голеностоп разрабатывается под контролем врача с помощью лечебной гимнастики.
В течение восстановительного периода пациент соблюдает щадящий режим, исключающий воздействие на прооперированный сустав значительных физических нагрузок. Ему показан прием обезболивающих препаратов, физиотерапевтические процедуры, массаж. А врач ЛФК составляет индивидуальный комплекс упражнений для устранения тугоподвижности голеностопа.
Доклад «Неоперативное лечение артроза голеностопного сустава«, Дмитрий Евгеньевич Каратеев (Москва, Россия).
Артродез голеностопного сустава: виды замыкания, показания, осложнения
Артродез голеностопного сустава – оперативное вмешательство по искусственному сращению сочленяющихся суставных поверхностей голеностопа в физиологически выгодном для функционирования ноги положении. Основной целью хирургического лечения является придание опоропрочности проблемной зоне посредством полного блокирования ее подвижности (создания анкилоза). Обездвиживание достигается за счет жесткого соединения примыкающих концов костей сустава между собой специальными фиксаторами из металла (спицами, винтами, штифтами и пр.). Это позволяет прочно срастись суставным поверхностям друг с другом под нужным углом, то есть, привести сочленение в полное неподвижное состояние, что поможет пациенту избавиться от сильной боли и нестабильности стопы.

Техника артродезирования берет начало с самых истоков развития ортопедии, поэтому является устаревшей тактикой хирургии голеностопа. Открытие метода «замыкание сустава» датируется 1887 годом, впервые его предложил венский хирург Альберт. Операционные технические концепции мало чем изменились с того времени.
Эффективность артродеза голеностопного сустава имеет многолетнюю доказательную базу, но из-за радикального подхода и высокой частоты послеоперационных осложнений к вмешательству в стиле «ретро» обращаются в самых крайних случаях.
Травмы голеностопа сустава
Главное предназначение голеностопного сустава, образованного большеберцовой, малоберцовой и таранной костями, – быть надежной опорой для скелетно-мышечного аппарата. Этот отдел ноги должен стабильно выдерживать почти 90% от всей массы тела, когда человек стоит или выполняет в вертикальном положении любого рода физическую деятельность. Помимо опорных функций, сустав обеспечивает амортизацию конечности, разнообразные движения стопы в нормальной амплитуде:
- сгибание;
- разгибание;
- отведение;
- приведение;
- вращение.
Стабильную работу костного сочленения гарантирует здоровое состояние образующих его связок, костей, хрящей, мышц. Если хотя бы одна единица сустава выходит из строя, нарушается не только его работоспособность, но и происходит разбалансировка функций всего опорно-двигательного аппарата. Болезни голеностопного сочленения губительно отражаются на способности к передвижению, ведут к ухудшению походки, часто доводят человека до инвалидности. Нередко серьезные патологии, при которых может потребоваться артродез, начинаются с банальных травм, локализирующихся в данной зоне:
- ушибов;
- вывихов и подвывихов;
- переломов лодыжки;
- нарушения целостности пяточной кости;
- связочной дисторсии (растяжений, надрывов связок и пр.).
Поражения травматической природы чаще возникают вследствие прямого воздействия механической силы, что провоцируют локальные удары, падения с высоты, неудачные прыжки, резкие ротационные развороты. В конце концов, человеку иногда достаточно просто поскользнуться на скользкой поверхности или споткнуться, чтобы случилось повреждение составляющих структур голеностопного отдела.
Любые травматические поражения требуют своевременной диагностики и безотлагательной терапии. Спустя некоторый период травма, если не была оказана в свое время надлежащая медицинская помощь, дает о себе знать уже нешуточными последствиями. Патологии, ставшие результатом старой травмы, на фоне мнимого благополучия проявляются внезапным возникновением болей и нарастающей ограниченностью локомоторного, опорного потенциала. Люди не понимают, что случилось, откуда появился дискомфорт, а причиной оказывается былая травма.
Запомните! Сложные дегенеративно-дистрофические процессы, зачастую необратимые, преимущественно развиваются не сами по себе, а диагностируются как посттравматическое осложнение. Наиболее частые патологии посттравматического генеза с серьезным прогрессирующим течением – это артрит и остеоартроз.
Артроз, в свою очередь, является последствием артрита. Вот такой вот цепной механизм развития сложной клинической ситуации. От травмы до деформирующего остеоартроза (ДОА) несложно дойти за пару-тройку лет. Но если травму несложно вылечить консервативно, то с артрозом голеностопного сустава все иначе – это неизлечимая болезнь, которая критически угнетает качество жизни, негативно влияет на статику и динамику всей конечности.
Показания к проведению операции
Блокирование двигательных функций голеностопного сегмента путем костного сращения назначается при выявлении таких патологических состояний, как:
- вторичный (посттравматический) и первичный артроз 3-4 ст.;
- тяжело протекающий хронический артрит, в том числе по ревматоидному типу;
- постоянная боль в голеностопе и/или отдающая в коленный сустав, которая усиливается даже при несущественных нагрузках;
- выраженная хромота на почве деформации сустава;
- стойкое нарушение опороспособности стопы, выражающееся невозможностью стать в полном объеме на ногу из-за слабости голеностопного аппарата, разболтанности;
- сильная сгибательно-разгибательная контрактура сустава;
- парезы и параличи мышц голени, которые развились на фоне перенесенного в прошлом полиомиелита;
- неправильно сросшийся перелом, псевдоартроз.

Артроз левого сустава. Суставная щель очень мала.
Противопоказания к артродезу голеностопного сустава
Артродезирование использовать в двигательно-опорном сегменте голеностопа не рекомендуется, если:
- пациент находится в том возрасте, когда костно-мышечная система продолжает активно расти (до исполнения 12 лет операция строго противопоказана);
- в суставе обнаружены свищи нетуберкулезного генеза;
- определены активные инфекционно-воспалительные процессы в зоне предполагаемого вмешательства или любые общие инфекционные болезни в фазе обострения;
- больной страдает тяжелыми формами легочной, почечной или сердечной недостаточности;
- присутствует хроническое заболевание в стадии декомпенсации (сахарный диабет и пр.);
- выявлена непереносимость на препараты анестезиологического предназначения.
Виды оперативного вмешательства
Когда износ и деформация сустава слишком сильные, это может стать препоной и для проведения замены суставного блока эндопротезом. Поэтому даже при всем желании поменять больной сегмент на искусственный аналог не всегда сделать реально. В этом и всех описанных ситуациях выше остается один выход – применить операцию по артродезу. Она позволит стабилизировать голеностоп и сократить болевую симптоматику до минимума, тем самым значительно улучшить качество жизни пациента. Существует несколько методов оперативного вмешательства.
- Внутрисуставный. В процессе хирургии выполняется вскрытие капсулы сустава с последующим удалением поврежденного гиалинового хряща с поверхностей костных элементов. После репозиции костей в выгодном положении выполняется их фиксация металлическими приспособлениями.
- Внесуставной. Фиксирование костей сочленения только при помощи укладки костного трансплантата, при этом хрящевые покровы резекции не подлежат.
- Комбинированный. Эта техника подразумевает сочетание в одном хирургическом процессе двух способов: внутрисуставного и внесуставного. Так, хрящевые структуры с сустава полностью счищаются, внедряется аутотрансплантат, который фиксируют специальными металлическими пластинами.
- Компрессионный. Операция заключается в сдавливании сочленяющихся поверхностей аппаратом компрессионного или компрессионно-дистракционного типа для дальнейшего их сращения. Широко применяемые конструкции – аппараты Илизарова, Гришина, Волкова-Оганесяна. Удаление хряща не исключается. Вживление костного трансплантата для способа компрессии не требуется.

Подготовка пациента к артродезу голеностопа
Планируя данный вид оперативного лечения, предельно значимо произвести оценку всех сочленений, соседствующих с проблемной областью. Это необходимо, чтобы понять, насколько соседние сегменты способны принять на себя более увеличенный комплекс нагрузки. Так как двигательный потенциал голеностопного сустава заблокируется после операции, рядом расположенные подвижные соединения, естественно, будут больше нагружены. Особенно важно достоверно оценить состояние таранно-ладьевидного сочленения, ведь как раз на этот центральный сегмент стопы придется максимальная доля нагрузки. На положительный эффект от артродезирования можно рассчитывать сугубо при отсутствии дегенеративного патогенеза в нем.
Добро на оперирование пациента дается только после комплексного обследования с подтверждением явной необходимости использования данной медицинской помощи при отсутствии противопоказаний. Пациенту назначают прохождение ряда диагностических мероприятий:
- развернутые анализы крови и мочи, включая биохимию;
- рентген, МРТ или КТ сустава в нескольких плоскостях;
- исследование на ВИЧ, сифилис, гепатит;
- флюорография и электрокардиография;
- осмотр у узкопрофильных врачей (кардиолог, пульмонолог и пр.);
- консультация анестезиолога.
Кроме того, специалист должен дополнительно удостовериться, что эффект артродеза с максимальной вероятностью «сработает» и самочувствие пациента заметно улучшится. Для этого предварительно проводят своеобразный тест, заключающийся в наложении гипса на сустав. Так, человек ходит с зафиксированным в гипсе голеностопом примерно 7 суток, а по истечении недели ортопед-травматолог окончательно определяет целесообразность проведения операции. Если тестовое обездвиживание помогло создать опору конечности и значительно сократить боль, операцию проводят. При сохранившемся дискомфорте, появлении болезненности или усилении боли, усугублении походки – артродез отменяется.

За неделю до предполагаемой даты вмешательства следует остановить применение препаратов с противовоспалительным действием (НПВС) и средств, которые обладают кроворазжижающими свойствами. Накануне хирургии пищевой рацион должен быть легким, за 6-8 часов прекратить употребление пищи.
Внимание! Заранее позаботьтесь, чтобы по вашему прибытию домой из стационара жилое пространство было подготовлено. Следует убрать напольные ковры, дорожки и шнуры с полов, о которые можно зацепиться ногой и упасть. Предметы и вещи первой необходимости разместите в легкодоступных местах. В ванной комнате необходимо постелить нескользкие коврики из резиновых или силиконовых материалов на липучках и т. д.
Проведение операции
Артродез голеностопного сустава по традиционной методике выполняется под общим наркозом открытым способом. Операционные манипуляции под контролем артроскопа могут быть выполнены под спинальной анестезией. На осуществление сеанса требуется в среднем 2-3 часа интраоперационного времени. Рассмотрим принцип проведения классической тактики.
- На нижнюю треть бедра накладывается пневматический жгут. Далее создают доступ, совершая скальпелем линейный кожный разрез вдоль сустава. Разрез равен примерно 10 см.
- На следующем этапе выполняется вскрытие и надежная супинация сустава, которая облегчит работу с очередными манипуляциями.
- Затем подготавливаются поверхности большеберцовой и таранной костей. Подготовка включает резекцию хрящевых тканей хирургическим долотом, удаление окостенения.
- Дальше стопа выводится из порочного положения. Большеберцовый элемент и таранный компонент плотно сопоставляют друг с другом в удобной с точки зрения физиологии позиции. Достигнутая позиция скрепляется металлической конструкцией необходимого типа.
- Используемые операционные ходы на завершающем этапе закрывают при помощи послойного ушивания мягких тканей с оставлением дренажа.
В случаях сильной деформации может быть применена остеотомия малой берцовой кости. Обширные костные потери возмещаются трансплантатами – фрагментами аналогичного биологического материала, взятыми у пациента из гребня повздовшной кости.
Если использовались наружные системы фиксации, например, аппарат Илизарова, гипсование не применяется. При установке внутренних металлических имплантов, на прооперированную конечность ставят гипс. До тех пор, пока анкилоз не состоится, пациент находится в гипсовой повязке. Скорость костного сращения у каждого отдельного пациента может отличаться в силу физиологических особенностей организма. Полностью срастается и обездвиживается сустав через 3-6 месяцев после операции.
Реабилитация голеностопного сустава
После артродеза, осуществленного в области голеностопа, с первых суток начинают проводить занятия лечебной физкультуры. Они будут препятствовать развитию атрофии мышц, оказывать профилактику тромбообразования и не допускать появления застойных явлений в легких. При достаточно длительной иммобилизации конечности и низком уровне активности пациента без адекватной физкультуры можно прийти к весьма плачевным результатам.

ЛФК в раннем периоде это дыхательная гимнастика, изометрические упражнения для поддержания и укрепления голенных и бедренных мышц. Упражнения выполняются под наблюдением методиста по физической послеоперационной реабилитации. Гимнастика предусматривает постепенное увеличение нагрузки и введение новых упражнений в соответствии с самочувствием пациента и сроками восстановления.
Обязательным для реабилитации является медикаментозное лечение, включающее:
- высокоэффективную терапию против образования инфекционного патогенеза;
- применение симптоматических препаратов;
- использование медикаментов от тромбоэмболических осложнений.
Со вторых суток пациента стараются уже вертикализировать. Ходить разрешается только с опорой на костыли, не допуская нагрузки на прооперированную конечность. Не ранее чем после появления первых признаков анкилоза, а это примерно через 6 недель, разрешается частично включать щадящую осевую нагрузку на больную ногу. Нормально пробовать ходить пациент сможет не раньше чем по истечении 4-6 месяцев. Снятие металлоконструкций обычно назначается через 6-12 мес. Внутренние фиксаторы не всегда нуждаются в извлечении.
Осложнения артродеза голеностопного сустава
Частота осложнений после стандартной операции с широким открытием сустава, как показывает клинический опыт, на порядок выше, чем после артроскопических вмешательств. Приведем некоторые сравнительные данные о негативных реакциях для двух видов процедур (без применения внешних фиксаторов), обнаруженных в течение первых 3 недель:
- флеботромбоз выявляется в 22% случаев после открытого артродеза голеностопа, в 1,8% после малоинвазивного вмешательства;
- раневая инфекция развивается примерно у 12% больных, тогда как риски после артроскопии практически отсутствуют ( <0,1%)
- некроз окружающих тканей, соответственно, в 17% и 0,2%;
- раневые гематомы и серомы: в 22% и 0,9%.

Интраоперационные кровопотери после стандартного артродезирования составляют 250 мл, после артроскопического артродеза – около 120 мл. Несостоятельность анкилоза спустя 6 месяцев определяется у 5%-6% людей, прошедших процедуру по традиционному сценарию, и у 0,5%-0,9% пациентов, которым делали артроскопию с интрамедуллярной фиксацией. Опустив тему сравнения, отметим, что после любого вида искусственного анкилоза есть повышенные риски, связанные с формированием артроза в других суставах конечности и с укорочением длины ноги до 3 см.
Читайте также:
