Показания, подготовка к артроскопическому релизу и удлинению латерального удерживателя надколенника
Добавил пользователь Евгений Кузнецов Обновлено: 28.01.2026
Показания, подготовка к восстановлению медиальной бедренно-надколенниковой связки при свежем вывихе надколенника
а) Большинство пациентов с первичными вывихами надколенника можно лечить консервативно, вероятность развития у них повторного вывиха надколенника составляет 1:3
б) Во многих случаях вправление вывиха надколенника происходит спонтанно. Если этого не произошло, то может быть выполнено вправление вывиха
в) Основным показанием к хирургическому лечению при свежем вывихе надколенника является необходимость коррекции сопутствующих проблем (значительного размера внутрисуставное тело, разрыв мениска). В редких случаях вывих надколенника является невправимым закрыто или имеет место его выраженная нестабильность после вправления
г) Стабилизация при свежих вывихах надколенника при необходимости осуществляется за счет восстановление медиальной бедренно-надколенниковой связки (МБНС)
д) Первичным медиальным стабилизатором надколенника, препятствующим его наружному вывиху, является МБНС, которая при вывихах надколенника повреждается во всех случаях
е) Ошибки при выборе показаний:
• Кальцинаты, обнаруживаемые в области медиального края надколенника на аксиальных томограммах, обычно представляют собой мелкие костные фрагменты в области отрыва МБНС, а не свободные суставные тела
• Мелкие внутрисуставные тела, которые часто можно видеть на снимках после вывиха надколенника, обычно никак не проявляют себя клинически. Таких пациентов можно наблюдать, клиника внутрисуставного тела у них может сформироваться позже
ж) Спорные вопросы:
• Некоторые авторы считают необходимым восстанавливать МБНС уже после первого вывиха надколенника у пациентов, имеющих высокий риск повторного вывиха, даже при отсутствии других показаний к оперативному вмешательству
• При вывихах надколенника повреждение МБНС происходит в области ее прикрепления к надколеннику, бедренной кости либо на протяжении
з) Варианты лечения:
• Многих пациентов с вывихами надколенника впервые можно с успехом лечить консервативно. Консервативное лечение включает иммобилизацию» на начальном этапе и последующую реабилитацию с упором на укрепление четырехглавой мышцы
Обследование и лучевая диагностика
а) Клиническое обследование начинается с оценки объема движений в коленном суставе и стабильности связочного аппарата. Обследование может быть затруднено при свежих травмах. В ходе обследования важно исключить сопутствующее повреждение крестообразных, коллатеральных связок и разгибательного аппарата коленного сустава:
• Пальпация МБНС на всем ее протяжении зачастую позволяет локализовать место ее повреждения
• Если надколенник нестабилен, смещение его кнаружи приводит к появлению у пациента предчувствия вывиха (симптом предчувствия вывиха) или появлению симптомов нестабильности
• Тест наклона надколенника позволяет выявить избыточное натяжение удер-живателя надколенника. Иногда в дополнение к шву МБНС бывает необходим релиз латерального удерживателя надколенника
• Пациента просят активно разогнуть колено из согнутого положения. Этот тест позволяет подтвердить целостность разгибательного аппарата коленного сустава и оценить трекинг надколенника


б) Стандартное рентгенологическое обследование включает рентгенограммы обоих коленных суставов стоя в прямой проекции, в боковой проекции при сгибании до 30°, в туннельной проекции и аксиальной («восход надколенника») проекции при сгибании до 30° и 45°, однако последние при свежей травме сделать бывает непросто. На рис. 1 представлена рентгенограмма в прямой проекции при вывихе надколенника:
• В области латерального канала или передней части вырезки нередко можно увидеть свободные фрагменты
• На аксиальной рентгенограмме на рис. 2 видно свободное внутрисуставное тело в области латерального заворота коленного сустава после вывиха надколенника. Обратите внимание на дефект медиальной фасетки надколенника
• На рентгенограмме в боковой проекции (рис. 3) определяется свободное тело в передней части вырезки после вывиха надколенника
• Компьютерная томография (КТ) может быть информативна для оценки нестабильности надколенника. Аксиальные срезы в положении разгибания позволяют обнаружить остеохондральные переломы и оценить морфологию блока мыщелка бедра. На КТ-срезе на рис. 4 представлен латеральный вывих надколенника. Не так давно была предложена динамическая КТ, которая информативна в отношении диагностики малтрекинга надколенника
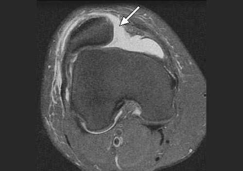
в) Магнитно-резонансная томография (МРТ) является наиболее информативным методом, позволяющим обнаружить участки отека костного мозга, локализовать разрыв МБНС, диагностировать хондральные повреждения, сопутствующие повреждения менисков и связок коленного сустава:
• На рис. 5 представлена Т2-взвешенная МР-томограмма с классическими костными изменениями в виде отека костного мозга наружного мыщелка бедра и медиальной фасетки надколенника
• На аксиальной МР-томограмме (рис. 6) видны признаки отрыва МБНС в области ее прикрепления к бедренной кости.

Хирургическая анатомия
а) МБНС — это широкая, напоминающая по форме ленту, связка. Ее длина составляет от 37 до 70 мм. Располагается она сразу же дистальнее и глубже косой порции медиальной широкой мышцы (рис. 7):
• К надколеннику связка прикрепляется в области проксимальных двух третей его медиального края, а также к дистальной части сухожилия четырехглавой мышцы
• Бедренное прикрепление МБНС достаточно вариабельно и чаще включает зону между приводящим бугорком и медиальным надмыщелком бедра
б) Проксимальная зона прикрепления поверхностной медиальной коллатеральной связки в области медиального надмыщелка бедра расположена очень близко и даже иногда является продолжением бедренного прикрепления МБНС. Это может стать причиной постановки ошибочного диагноза в ходе физикального исследования
в) При вывихе надколенника медиальная фасетка ударяется о дистальную часть наружного гребня блока мыщелка бедра, что нередко приводит к хондральному или остеохондральному повреждению в этой области и классической МР-картине костных кровоизлияний.

Положение пациента
а) Пациента укладывают в положение лежа на спине. Операция выполняется в условиях общей или регионарной анестезии, по выполнении которых вновь проводится клиническое обследование коленного сустава
б) В положении разгибания коленного сустава оценивается положение надколенника в состоянии покоя и выполняется попытка его наружного смещения. Степень такого смещения оценивается в квадрантах и сравнивается с противоположным (здоровым) коленным суставом
в) Тесты наклона и скольжения надколенника проще выполнить в условиях анестезии. Кроме того, в этих условиях они отличаются большей информативностью
г) На время артроскопического этапа вмешательства устанавливается вертикальный боковой упор, который затем, во время открытого этапа операции, можно убрать.
д) Оснащение:
• Под коленный сустав можно поместить стерильный валик, который упростит обзор медиальной поверхности коленного сустава
Что такое артроскопия коленного сустава: отзывы, осложнения, видео
Артроскопия коленного сустава – эндоскопическая операция, применяемая с целью развернутой диагностики и хирургического лечения различных суставных повреждений. Высокоинформативная визуальная методика позволяет высококачественно обследовать и лечить сустав закрытым способом, используя пункционные порталы, что существенно уменьшает степень операционной травмы, минимизирует болезненные ощущения и в значительной мере сокращает сроки восстановительного периода.

Наглядная схема проведения операции.
Как операцию, стали применять еще на рассвете 20 столетия. Но до нашего времени процедура прошла еще множество этапов совершенствования. И сейчас она стала по-настоящему незаменимым направлением в ортопедии, благодаря минимальной травматичности, стопроцентной диагностической достоверности и высокой эффективности.
Понятие и преимущества процедуры
Хирургия проводится с использованием специализированной волоконной оптики современного поколения, встроенной в инновационный прибор под названием артроскоп. Благодаря уникальному прибору процедура и получила свое название. В процессе производится внутреннее изучение костных и хрящевых тканей, менисков, сухожилий, мышц, связок, соединительнотканных элементов, синовиальной жидкости.

Изображение полости сустава.
В целях высокоинформативной диагностики специалист через микропортал вводит рабочую трубку устройства внутрь сустава, в которую вмонтированы система ультрасильных линз, мощный световой источник и видеозаписывающая цифровая техника. Все структуры, что «видит» артроскоп, визуализируются на экране в «живом» виде, причем изображение поступает в многократно увеличенном формате. Врач может найти точное расположение травмы или дегенеративных изменений, установить характер патологии, степень тяжести и принять меры.
Доказано, что артроскопия превосходит любые существующие способы диагностики. Она четко показывает изнутри все структурные единицы костного соединения в самых мельчайших подробностях, позволяет определить даже мелкие скрытые повреждения, которые нельзя выявить при помощи стандартной рентгеноскопии или артрографии, ультразвука, МРТ, КТ и прочих популярных методов визуализации.
Метод используется не только как средство диагностики, но и в качестве лечебно-восстановительной тактики. Обнаружив те или иные нарушения хрящевой поверхности, доктор может сразу же их ликвидировать. Оперативные манипуляции он выполнит через дополнительный разрез (размер около 6 мм) с использованием микрохирургических инструментов, при этом весь процесс он будет совершать, глядя на монитор.
Показания и противопоказания
Сразу отметим, что к негативным последствиям лечение приводит крайне редко. Однако такое не исключается, если ее стали делать вопреки противопоказаниям. Но сначала осветим рекомендации, а уже после ограничения.

Частичный надрыв боковой связки коленного сустава.
Процедура может быть назначена при:
- неясной причине патологических симптомов, когда другие способы бессильны ее установить;
- разрывах связок, поврежденных сухожилиях;
- подозрении на вывих чашечки (надколенника);
- наличии свободных тел в полости;
- воспалении синовиальной оболочки неопределенного генеза; головки суставной кости;
- травмах, дегенеративно-дистрофических заболеваниях мениска; болезни и гонартрозе;
- внутрисуставных переломах и пр.
Она противопоказана при наличии таких недугов, как:
- гипертония;
- сахарный диабет в стадии декомпенсации;
- нарушенный баланс свертываемости крови;
- тяжелая дисфункция легочной или сердечной систем;
- локальные кожные воспаления.
С осторожностью выполняется лечебно-диагностическая артроскопия, последствия могут носить непредсказуемый характер, при аллергии на местный/общий анестетик. Поэтому обязательно сообщите специалисту, если у вас имеется склонность к аллергическим реакциям на любые медикаменты.
Подготовка пациента к операции
Подготовка заключается в тщательном осмотре пациента, сборе анамнеза, проведении основных инструментальных и лабораторных тестов. Пока врач не убедится, что это безопасная операция, не взвесит все за и против, операция невозможна. Поэтому вначале всегда назначают обход некоторых специалистов узкого профиля, например, кроме ортопеда или травматолога, в зависимости от ситуации, еще кардиолога, эндокринолога, пульмонолога, аллерголога и пр.
Предельно важно учесть абсолютно все результаты предварительной диагностики. Они будут влиять на выбор наркоза, особенная роль отводится подбору оптимально подходящего вида анестетика, который не причинит вреда организму.
Кроме врачебного обхода, пациенту выдают направления на ЭКГ и флюорографию, на прохождение лабораторных анализов крови и мочи. Удостоверившись, что за эту операцию браться целесообразно, проводят консультацию по подготовке. На консультации предупреждают, что за 12 часов до начала процедуры потребуется остановить прием пищи, за пару недель до нее прекратить прием антикоагулянтов (аспирина, гепарина и лекарств на их основе).
Пациенты, оставившие отзывы, сообщают о предостерегающих рекомендациях врачей по поводу курения и приема алкоголя. С вредными привычками придется расстаться за 10-14 суток до вмешательства и, конечно, постараться к ним после вообще не возвращаться или хотя бы свести к минимуму дозу. При намерении прибегнуть только к диагностике предоперационная подготовка осуществляется аналогичным правилам.
Описание микрохирургического процесса
В отзывах пациенты рассказывают, как быстро и безболезненно перенесли процедуру, при этом без общего наркоза. Это вполне вероятно, но не забывайте, что клинические случаи не у всех одинаковы, да и физиологический статус у каждого пациента свой. Поэтому было бы правильнее сказать, что боль, благодаря сильной местной анестезии практически невозможна. Однако постоперационные неприятные ощущения в области прооперированного участка немного беспокоить какое-то время, скорее всего, будут.

Разволокнение связок при их разрыве.
Видео позволяет разобраться во всех тонкостях процесса. Их предостаточно на просторах интернета. Но ввиду того, что специфические сюжеты не каждый сможет досмотреть до конца, мы предлагаем о важных моментах просто и спокойно почитать.

Расположение пациента на операционном столе.
Исходя из этиологии и степени патологических изменений, состояния больного и сопутствующих заболеваний, анестезиологическое средство подбирается индивидуально. Чаще всего применяется местный наркоз, то есть анестезия регионарного типа (эпидуральная или проводниковая). Регионарный анестетик содержит лидокаин, ропивакаин или бупивакаин. К основному раствору для усиления анестезирующего эффекта могут добавить в мини-дозе лекарство из категории опиатов. В некоторых ситуациях, все же, уместен общий внутривенный наркоз.
Сначала, вне зависимости от планов хирурга, будет осуществлена диагностическая артроскопия. Она предусматривает введение эндоскопического зонда в виде стержня в полость костного соединения. Когда наркоз вступит в силу, тогда начинается диагност-хирургия. Для этого полусогнутую в колене конечность ближе к бедру жгутируют для уменьшения кровотока, после чего делают прокол (6 мм), через который подается контраст-вещество, чтобы усилить видимость суставных и околосуставных структур. Далее через этот операционный порт вводится трубка. Специалист досконально осматривает каждый миллиметр проблемного органа.

Операционное поле, можно видеть свечение внутри.
Видео в реальном времени транслируется на экране, выявляет любые существующие дефекты в больном сочленении. Если врач посчитает нужным выполнить регенерацию патологических элементов, он создаст дополнительный разрез (6-8 мм), через который нужным инструментом из микрохирургического набора устранит обнаруженный дефект. Он может сделать частичную резекцию костно-хрящевых тканей, пластику связок и сухожилий, сшивание или удаление (частичное, полное) мениска, экспроприировать хондромные тела, извлечь выпот и гной, ввести противовоспалительные лекарства, взять фрагмент тканей или синовии для изучения их состава и др.
По окончании хирургии операционное поле промывается, а весь инструментарий извлекается. Доктор производит обработку дезинфицирующими составами рану, ставит дренаж и делает маленький шов, который закрывает стерильным лейкопластырем. На прооперированное колено, чтобы придать ему максимальную обездвиженность, накладывается плотная фиксирующая повязка от стопы до середины бедра.
На весь сеанс уходит в среднем 1 час, в отдельных случаях – до 3 часов. Восстановительные меры несложные, но их нужно строго соблюдать, чтобы не спровоцировать опасные осложнения. О негативных явлениях, которые способны развиться, речь пойдет дальше.
Осложнения после артроскопии коленного сустава
Как любой хирургический способ, данный метод, даже при всей своей миниинвазивности, может иметь неблагоприятный исход. К осложнениям приводят несоблюдение реабилитационных норм, нарушение принципов асептики и антисептики, врачебные ошибки. Неблагополучная картина возникает нечасто, поэтому паниковать не стоит. Нужно изначально со всей долей ответственности отнестись к выбору клиники.

Отзывы пациентов после артроскопии коленного сустава вместе с данными официальной статистики позволили нам сформировать список самых частых эксцессов. В него входят следующие негативные явления, возникающие в ранний или отдаленный послеоперационный период:
- повышение общей температуры тела;
- ярко выраженный перманентный или периодический болевой синдром в области сустава, нередко иррадирующий в голень, тазобедренный сегмент;
- локальная гиперемия, отечность, гипертермия;
- местные инфекции, абсцессы;
- тромбоэмболия сосудов;
- внутрисуставное кровоизлияние;
- артрит на фоне воспаления, бурсит;
- кровотечение из раны;
- боль и онемения из-за повреждения нервных образований;
- нарушение целостности связок, как следствие некорректных манипуляций хирурга.
Особенности восстановления
Для предупреждения отекания мягких тканей покрывающих колено к ране прикладывают холод. Сухие компрессы со льдом положены каждые 60-90 минут на начальных этапах реабилитации. Человеку необходимо оставаться в стационаре под наблюдением специалистов минимум двое суток. Ему прописываются хорошие болеутоляющие препараты, а также средство из серии антибиотиков для профилактики инфекционного патогенеза. Вставать разрешается уже на 3 день, но ходить позволяется исключительно с ходунками или костылями. Оберегать ногу от полной нагрузки надо не менее одной недели.

Успех артроскопической операции на коленном суставе всецело завит от качества постоперационного ухода. Полное восстановление наступает примерно через 1-1,5 месяца, все это время нужно выполнять в строгом порядке все пункты реабилитационной программы, индивидуально составленной высококомпетентным реабилитологом.
Интенсивными темпами восстановиться помогают массаж, комплекс ЛФК, физиотерапия, упорный труд и терпение. Приблизительно через 7-10 дней возможна отмена поддерживающих средств для передвижения, человеку разрешается передвигаться так, как этого требует природа, а именно, без поддержки на двух ногах с равнозначной нагрузкой, движения при этом плавные и медленные, шаг мелкий. Лечебная гимнастика и ходьба определенный промежуток времени осуществляются в специальном функциональном ортезе, надетом на проблемную ногу.

Занятия лечебной физкультурой на ранних сроках щадящие. В первую неделю занимаются, как правило, в положении лежа. Основу комплекса составляют напряжение/сокращение тазобедренных мышц, поднятие прямой конечности на 45 градусов с 5-секундным удержанием, разминка голеностопа. К лимфодренажному массажу прибегают с целью снятия послеоперационного отека. Он выполняется профессионально обученным массажистом вручную или посредством микротокового аппарата. В поздний период прописываются велотренировки, плаванье, ходьба и бег в воде.
Заключение
Выявить причину дисфункции суставов зачастую проблематично привычными приемами диагностики, вроде компьютерной или магниторезонансной томографии, рентгена, УЗИ. В этом случае на помощь приходит визуальный «исследователь» суставной полости – артроскоп, применяемый в ортопедической практике с целью получения полных и достоверных сведений о состоянии сочленения.
Процедура очень высоко ценится специалистами, ведь помимо такого высокоинформативного обследования, она позволяет параллельно исправлять обнаруженные недостатки, причем делать это высокотехнологично, без травматического рассечения надсуставных мягких тканей и без обнажения костного соединения.
Предпочтительнее будет обследовать, а если потребуется, прооперировать колено, в одной из высокоспециализированных клиник Европы. Там данной методикой владеют на высшем уровне. Замечательные хирурги-ортопеды по этой части работают в Чехии, об этом значится в европейских научно-медицинских источниках. Да и, как показывают отзывы, артроскопия голеностопного сустава, коленного сочленения в Чехии, пациентов привлекает цена.
Артроскопия коленного сустава: секреты правильной реабилитации после операции
Восстановление коленного сустава после артроскопии – обязательная мера, необходимая для полноценного возвращения функциональности прооперированной нижней конечности. Без интенсивного восстановительного лечения после любого вида артроскопического вмешательства, будь он связан с пластикой передней крестообразной связки, удалением или сшиванием мениска, в короткие сроки вернуться к нормальной физической активности будет сложно. Более того, отсутствие надлежащего ухода за ногой многократно увеличивает риски осложнений. Поэтому пройти все этапы восстановления коленного сустава крайне значимо для гарантии благополучного исхода.

Когда еще не сняты швы.
Очень часто пациенты удивляются после артроскопии, когда им говорят про восстановление коленного сустава. Они считают, что если их выписали в день проведения хирургии или на 2-3 сутки, значит, ничего серьезного – все само собой нормализуется. Но необходимо понимать, совершенно не имеет значения, когда была оформлена выписка – через день или неделю, – в любом случае, это оперативное вмешательство, результат которого всецело зависит от соблюдения своеобразного реабилитационного режима. Если была сделана артроскопия коленного сустава, реабилитация после операции без вопросов должна быть организована. О том, какие процедуры и упражнения делать, обязан проинформировать врач.
Предпочтительнее все постоперационные мероприятия пройти в лечебно-восстановительном центре, где занимаются пациентами, которые перенесли подобную хирургию. Там созданы все условия для качественной реабилитации после артроскопии – операции на коленном суставе. Специализированные медучреждения оснащены эффективными тренажерами, специально сконструированными для пассивно-активной разработки отдельных суставов нижних конечностей, и уникальными физиотерапевтическими системами. Но самое главное, все ваши занятия, общее самочувствие и состояние прооперированной ноги будут контролироваться грамотными реабилитологами.
Послеоперационный период
Этот этап берет начало с самых первых минут после операции, когда артроскопия завершена: ранняя реабилитация коленного сустава продолжается примерно 48 часов. Человек находится в стационаре, где ему оказывается необходимая медицинская помощь, включающая:
- введение болеутоляющих, противовоспалительных, сосудистых средств, антибиотика широкого спектра действия и прием БАДа на основе глюкозамина и хондроитина;
- обработку раны, наложение стерильной повязки для профилактики ее инфицирования;
- бинтование эластичным фиксирующим бинтом, чтобы максимально обездвижить сочленение, а также воспрепятствовать развитию отека;
- надсуставную криотерапию, то есть прикладывание сухих компрессов изо льда на чашечку с целью предупреждения отечности мягких тканей, уменьшения болевых ощущений.

Оперированная конечность обмотана эластичным бинтом.
На протяжении этого времени нагрузки на сочленение исключены. Колено фиксируется в выпрямленном состоянии, нога располагается в приподнятом положении. Пока от пациента потребуется, помимо прохождения вышеуказанных процедур, выполнять упражнение на сокращение четырехглавой мышцы бедра и изометрическую разминку голеностопа. Начальная реабилитационная фаза может по срокам быть длиннее или короче, все зависит от вида и объема операционного вмешательства.
Помните, не приходит моментально и сразу, как прошла артроскопия коленного сустава, восстановление после операции, отзывы людей помогут убедиться в этом. Как ни крути, но это – внутреннее вторжение в сложный отдел опорно-двигательного аппарата и осуществление (внимание!) хирургических манипуляций в его структурах.
Правила реабилитации вне стационара: ранний период
В отзывах об артроскопии – операции по восстановлению коленного сустава после травм – можно прочитать, что некоторым больным разрешили покинуть стационарное подразделение клиники на следующий день. Действительно, бывает и такое. Однако не надо универсализировать все медицинские случаи, ведь каждый из нас понимает, что сроки госпитализации, как и восстановления, напрямую зависят от тяжести и этиологии диагноза и масштабности хирургического воздействия. Поэтому, кому-то может потребоваться пробыть в стационаре 1-3 дня, а кому-то и 10 суток. Еще раз заострим внимание, что, независимо от времени госпитализации, реабилитация обязательна для коленного сустава!

Хождение по ступенькам одно из реабилитационных мероприятий.
Памятка пациента
Итак, артроскопия коленного сустава позади, раннее восстановление после операции прошло на «отлично», отзывы лечащего врача о проведенном лечении положительные. При удовлетворительной клинической картине вас отпускают из больницы, назначив амбулаторное лечение. По возвращению домой, чтобы не спровоцировать осложнения, вам необходимо будет строго придерживаться всех инструкций и рекомендаций, что дал хирург-ортопед.
- В течение первой недели ноге необходимо, как было уже отмечено, обеспечить по максимуму возвышенное положение, чтобы снизить отечность.
- Нельзя мочить операционный шов, следить за тем, чтобы он оставался сухим и чистым. Вопрос о принятии водных процедур следует согласовать со специалистом.
- На асептическую обработку и перевязки пациенту нужно являться к врачу каждые два дня на протяжении 7-12 суток. Возможно, если в суставе будет выявлено скопление выпота, в момент контрольных посещений сделают его эвакуацию при помощи пункции. Швы снимаются не ранее чем по истечении недели.
- Прием сосудистых, обезболивающих медикаментов и хондропротекторов надо продолжить принимать по схеме, разработанной хирургом. Холодные сухие компрессы применяют примерно в течение 5 суток с момента хирургии.
- Если была совершена менискэктомия коленного сустава, выражаясь простым языком, резекция мениска, реабилитация уже на вторые сутки после артроскопии включает аккуратную ходьбу с лимитированной нагрузкой на больную ногу. Ходить следует 5-7 суток (дозировано!) исключительно с поддержкой, используя вспомогательные ортопедические средства, служащие для дополнительной опоры.
- При восстановлении после артроскопии коленного сустава, когда мениск не удалялся, а сшивался, потребуется ходить с костылями дольше. Около месяца применяются костыли, при этом при передвижении нельзя переносить вес тела на проблемную конечность. При пластике ПКС ходьба с поддержкой прописывается минимум на 3 недели.
- В момент выполнения прописанных упражнений ЛФК после артроскопии на коленный сустав надевается наколенник умеренной жесткости либо эластичная повязка. Пациенту могут прописать ношение ортопедического приспособления (ортеза), которое фиксируется под разрешенным углом сгибания, к примеру, если была сделана коррекция связочных структур. На время ночного отдыха ортезное устройство устанавливается в позицию разгибания.
Основу спектра реабилитационных мер на каждом из этапов составляет комплекс упражнений ЛФК после артроскопии коленного сустава, видео более понятно отображает их методику. Однако видеоматериалы не должны послужить поводом для непосещения квалифицированного медзаведения.
В том случае, если производилось сопоставление разорванных связок или менисковых фрагментов, с разработкой колена придется повременить определенное время, пока соединенные ткани прочно не срастутся.
Физиотерапия
С целью ускорения процессов репарации применяются эффективные физиотерапевтические тактики терапии, выполняемые амбулаторно, такие как:
- электромиостимуляция;
- лазеротерапия;
- магнитотерапия;
- электрофорез;
- УВЧ-лечение;
- легкий лимфодренажный массаж.

Физиотерапию могут составлять и другие процедуры, при этом каждая из них подбирается сугубо в индивидуальном порядке. Важно учесть, что физикальные приемы задействуются на протяжении всех стадий реабилитации коленного сустава после артроскопии. Они комплексно стимулируют механизмы саморегенерации, налаживают обмен веществ, улучшают трофику тканей, предупреждают послеоперационные последствия, активируют кровообращение и отток лимфы, сводят на нет болевой синдром и воспалительные реакции.
Лечебная физкультура
Что касается ЛФК стартового периода, после артроскопии коленного сустава она решает задачи по стабилизации, устранению воспаления, нормализации кровотока, профилактике контрактур, последовательному возобновлению двигательных и опорных функций. При этом осевые высокоамплитудные нагрузки исключены! Рекомендованы следующие занятия трижды в сутки:

Реабилитация после артроскопии коленного сустава, резекция мениска была ли выполнена или реставрация других элементов, всегда базируется на ЛФК и физиотерапии. Но помните, что только врач способен назначить алгоритм восстановительных мероприятий с учетом конкретно вашей медицинской проблемы. Нельзя ни единого движения включать без ведома и согласия высококвалифицированного медика. Также категорически запрещено самостоятельно вносить новшества в реабилитацию после артроскопии коленных суставов с резекцией мениска, в том числе после любой реконструктивно-пластической операции.
Важная информация! До конца четвертой недели реабилитация после артроскопии коленного сустава в домашних условиях не приветствуется, тем более выполнение ЛФК по видео из интернета. Отсутствие внимательного контроля со стороны профессиональных инструкторов-реабилитологов и врача-ортопеда, допущение малейших погрешностей в занятиях чреваты тяжелыми осложнениями, нестабильностью и неполноценностью подвижности костного соединения.
Серединная фаза: спустя 3 недели
Даже если вы думаете, что все зажило, нельзя в начале данного этапа забрасывать восстановление после артроскопии коленных суставов, отзывы ортопедов призывают быть благоразумными. Временной отрезок от даты хирургического вмешательства до нынешнего момента еще слишком мал, чтобы всецело на 100 % возвратилась работоспособность травмированного сегмента локомоторного аппарата. На окончательное восстановление колена после артроскопии, плечевого сустава или голеностопа в среднем затрачивается 2-4 месяца, а иногда может понадобиться и 6-12 месяцев.
Грамотная реабилитация коленного сустава после артроскопии позволяет высокопродуктивно восстановить функции сочленения до прежнего дотравматического уровня. Количество, интенсивность, объем амплитуды движений сейчас заметно расширились, болезненность и отечность уже не беспокоят, разгибательный потенциал всецело восстановлен, объем сгибания соответствует 90 и более градусам.

При положительной динамике дозволяется перемещаться без костылей, но не забывайте пока еще пользоваться поддерживающим сустав изделием. При этом уже можно полностью становиться на ступню. Продолжать реабилитацию после артроскопии в домашних условиях, в принципе, можно. Но, не отклоняясь от того норматива физической активности, который определил для вас врач. Все же, дабы не рисковать и достигнуть отличных результатов, целесообразно и дальше оставаться под присмотром компетентного тренера по оздоровительной физкультуре. Итак, начиная с 22-х суток и примерно в течение 2-х недель, важно:
- работать над формированием нормальной походки, при этом нужно следить при ходьбе за тем, чтобы нога не хромала, шаг был небольшим, а темп перемещения размеренный (не перегружать колено долгими прогулками!);
- продолжать разрабатывать мышечный комплекс тазобедренного отдела, разминать участки голени и стопы;
- задействовать неглубокие пружинистые приседания с амплитудой сгибания в 30°-40°, гимнастику с противодействием упругих механизмов (жгута, эспандера), приведение/отведение конечности (лежа на здоровом боку);
- включать потихоньку упражнения с отягощением (без надлежащего методического сопровождения запрещены!)
- тренироваться на специальном велотренажере в щадящем режиме, посещать лечебную аквагимнастику (махи, ходьба в воде, плаванье);
- при необходимости ходить на сеансы мануальной и физиотерапевтической терапии.
Финальная стадия восстановления
Она вступает в права с 5-6 недели. Учтите, что при разрывах связочно-капсульных элементов, если использовалась артроскопия с применением пластики коленного сустава, восстановление после операции – многогранный, сложный и весьма долгий труд. Поэтому возможно придется запастись терпением, поскольку до завершающего этапа в отдельных ситуациях интервал может несколько растянуться, ну и, безусловно, не забывать о бдительности, старании и ответственности.

Реабилитация после артроскопии мениска коленного сустава, передней связки надколенника и прочих суставных компонентов в этот цикл уже протекает намного проще и безболезненно. Специалист оценивает динамику восстановления колена после артроскопии за прошедшее время. При условии, что реабилитируемый орган не вызывает подозрений по здоровью, ортопед-травматолог позволяет разнообразить физнагрузки.

Ортопедические приспособления (нежесткие фиксаторы) одеваются в момент тренировок. Выполняемые ранее ежедневные упражнения после артроскопии коленного сустава, видео демонстрируют хорошо их технику, дополняют:
- занятиями на тренажерных блоках (без загрузки квадрицепса);
- приседаниями с углом сгибания 60°;
- подъемом на устойчивую степ-платформу, придерживаясь за поручень;
- бегом и ходьбой в водных просторах плавательного бассейна;
- плаванием в спортивном стиле «брасс», что актуально и для восстановления плечевого сустава после артроскопии;
- легким раскачиванием туловища вправо-влево, стоя на ногах в позиции полусогнутых коленей, и другими координационными движениями, предназначенными для улучшения согласованной работы мышц.

Неограниченно ходить, делать осторожно боковые и передние выпады, балансирующие упражнения, стоя на одной травмированной конечности, допускается исключительно после 2 месяцев. Бег, прыжки, махи ногами, резкие движения, упражнения на скручивание опасны негативными последствиями, поэтому, пока биомеханика костного сочленения полноценно не стабилизируется, избегайте как можно дольше подобного рода занятий, вплоть до полугода.
Что бы вы не вычитали о данной фазе восстановления после артроскопии коленных суставов в отзывах, имейте в виду, к нормальной физической деятельности вернуться можно не раньше, чем через 4 месяца. Помните, что только от вас зависит полноценность и качество дальнейшей вашей жизни.
От того, насколько разумно вы подойдете к вопросу артроскопии на коленном суставе и проблеме восстановления после операции, зависит результат и темп вашего выздоровления. Не пренебрегайте консультациями и рекомендациями опытных специалистов, только их компетентная помощь и ваша старательность помогут достичь желаемого эффекта – полной трудоспособности и готовности вести активный образ жизни, как физически здоровый человек.
Показания, подготовка к артроскопическому релизу и удлинению латерального удерживателя надколенника
Доступ, техника артроскопического релиза и удлинения латерального удерживателя надколенника
Порты и доступы:
а) В дополнение к стандартным нижнемедиальному и нижнелатеральному артроскопическим портам может быть использован приточный верхнелатеральный порт (рис. 6). В этот дополнительный порт устанавливается приточная канюля, обеспечивающая максимальный приток жидкости и служащая внутренним ориентиром во время релиза.
б) Нюансы выбора оснащения:
• Мы отдаем предпочтение артроскопическому ногодержателю, обеспечивающему возможность широко манипулировать ногой во время операции

в) Оснащение:
• Для улучшения визуализации при выполнении латерального релиза используется турникет
г) Нюансы техники:
• Приточная канюля устанавливается сразу латеральнее сухожилия латеральной косой широкой мышцы бедра в области верхненаружного края надколенника
Техника операции 1
1 этап:
а) Выполняется диагностическая артроскопия коленного сустава через нижнелатеральный порт с использованием 30° артроскопа
б) При обнаружении другой сопутствующей патологии коленного сустава (разрывов менисков, свободных суставных тел, повреждения хряща) выполняются соответствующие вмешательства
в) Нюансы 1 этапа:
• Если при выполнении латерального релиза вы встретите латеральные коленные артерию и вены, их необходимо тщательно коагулировать
г) Ошибки 1 этапа:
• Излишне агрессивный релиз или пересечение сухожилия VLO может привести к медиальной нестабильности надколенника
д) Спорные вопросы:
• В связи с риском развития в результате излишне агрессивного латерального релиза медиальной нестабильности надколенника некоторые хирурги выполняют вместо релиза удлинение латерального удерживателя надколенника
2 этап:
а) По завершении диагностической артроскопии конечность обескровливается жгутом Эсмарха или турникетом
б) 30° артроскоп перемещается в нижнемедиальный порт, а в нижнелатеральный порт вводится коагулятор с крючковидной рабочей частью
в) Латеральный релиз выполняется коагулятором и начинается сразу дистальнее верхней суставной границы надколенника (рис. 7)
г) Сначала рассекаются синовиальная оболочка и капсула сустава, а затем последовательно в продольном направлении пересекается латеральный удерживатель:
• При первом проходе коагулятором рассекается капсула коленного сустава (рис. 8)
• Последующие проходы пересекают волокна удерживателя (рис. 9)
• По завершении релиза края разреза должны разойтись, что свидетельствует об адекватном релизе (рис. 10)
д) Протяженность релиза определяется исходя из предоперационной оценки выраженности натяжения удерживателя и его анатомических границ
е) После релиза у вас должна появиться возможность приподнять наружный край надколенника до горизонтального уровня
ж) Нюансы 2 этапа:
• Для профилактики послеоперационного гемартроза можно использовать криотерапию или давящие повязки
з) Спорные вопросы:
• При сомнениях относительно качества гемостаза, через верхнелатеральный порт в суставе можно оставить дренаж



3 этап:
а) После завершении релиза турникет распускается и выполняется тщательный гемостаз (рис. 11)
б) Порты ушиваются, на коленный сустав накладывается давящая повязка и фиксируется устройство для местного охлаждения.
в) Ошибки 3 этапа:
• Наиболее распространенными осложнениями латерального релиза являются гемартроз и, затем, инфекция
Техника операции 2: удлинение латерального удерживателя
1 этап:
а) Выполняется диагностическая артроскопия коленного сустава через нижнелатеральный порт с использованием 30° артроскопа
б) При обнаружении другой сопутствующей патологии коленного сустава (разрывов менисков, свободных суставных тел, повреждения хряща) выполняются соответствующие вмешательства
2 этап:
а) Голень обескровливается и раздувается турникет
б) Кнаружи от надколенника выполняется продольный разрез кожи, при этом следует соблюдать осторожность и рассекать только кожу
в) В ране обнажается латеральный удерживатель надколенника, который рассекается следующим образом: поверхностный его слой рассекается по ходу кожного разреза, глубокий слой рассекать при этом не следует (рис. 12). Поверхностный слой мобилизуется латерально и кзади в промежутке между ним и глубоким слоем (рис. 13). Глубокий слой рассекается латеральней поверхностного (рис. 14). Латеральный лоскут поверхностного слоя сшивается с медиальным лоскутом глубокого слоя, что позволяет эффективно удлинить латеральный удерживатель и в то же время препятствует медиальному смещению надколенника (рис. 15)


3 этап:
а) После завершении операции турникет распускается и выполняется тщательный гемостаз
б) Порты ушиваются, операционный доступ ушивается внутрикожно. На коленный сустав накладывается давящая повязка и фиксируется устройство для местного охлаждения
в) Послеоперационное ведение и реабилитация аналогичны описанным выше для релиза латерального удерживателя надколенника.
Латеральная нестабильность (привычный вывих) надколенника: причины, типы вмешательств и реабилитация
Боль в коленях– один из самых распространенных поводов, с которым пациенты обращаются к травматологу. Чаще всего источником недуга является травмирование коленной чашечки. Но иногда причина дискомфорта может крыться в феморопателлярном отделе – месте скольжения надколенника по межмыщелковой борозде бедренной кости.
В норме движения надколенника при сгибании/разгибании в коленном суставе контролируют несколько анатомических структур:
- Соотношения между межмыщелковой вырезкой и наколенником не позволяют последнему смещаться в наружновнутреннем направлении.
- Поддерживающие связки (ретинакулюмы) надколенника совместно с собственной связкой надколенника и сухожилием четырехглавой мышцы бедра создают его центрацию во всех четырех направлениях.
Если анатомия феморопателлярного отдела не изменена, то коленный сустав работает нормально. Однако если в этом отделе имеется какая-либо врожденная аномалия, то вероятность развития латеральной нестабильности надколенника резко возрастает.
Привычный (рецидивирующий) вывих надколенника – это неестественное состояние, характеризующееся рецедивирующими латеральными (наружными) подвывихами и вывихами надколенника.
Латеральный вывих надколенника характеризуется разрывом медиального ретинакулюма (медиальной пателло-феморальной связки) коленного сустава. Повторный вывих у пациента — главный признак не выполнения медиальной пателло-феморальной связкой своих функций из-за перерастяжения после первичной травмы.
Вывих надколенника, как первичный, так и повторный, ведет к значимому повреждению хрящевого покрова. Как результат — появляется стойкий болевой синдром и снижение физической активности пациента.

Как образуется латеральная нестабильность надколенника?
Часто предпосылкой к формированию латеральной нестабильности надколенника становится дисплазия феморопателлярного отдела — врожденного состояния, характеризующегося нарушениями соотношений между надколенником и недостаточно выраженной межмыщелковой бороздой бедренной кости (см. рис.).

Наличие дисплазии различной степени выраженности ведет к тому, что движения надколенника при сгибании и разгибании в коленном суставе происходят с тенденцией к его латеральному смещению. При дополнительном травматическом воздействии это приводит к возникновению полноценного вывиха.

Однако дисплазия не всегда вызывает смещение надколенника (рецидивирующего вывиха надколенника).
Современные подходы к диагностике и лечению рецидивирующего вывиха надколенника
Однократно возникший вывих надколенника не является показанием к операции. Как правило, он успешно устраняется с помощью консервативного лечения, которое проводится в три этапа:
- Иммобилизация и ходьба на костылях 4 недели.
- Лечебная физкультура (ЛФК) с инструктором, физиотерапевтическое лечение (ФТЛ) после устранения иммобилизации.
- Ношение ортеза с латеральной стабилизацией надколенника.
В большинстве случаев врач-травматолог легко диагностирует привычный вывих надколенника. Для этого проводится серия нагрузочных тестов, во время которых пациент демонстрирует страх получения повторного вывиха. Окончательный диагноз ставится после проведения магнитно-резонансной томографии (МРТ) коленного сустава. Как правило, исследование обнаруживает признаки повреждения медиальной пателло-феморальной связки, состояние подвывиха надколенника и признаки травматических повреждений хрящевого покрова.

Как уже упоминалось ранее, однократный травматический вывих надколенника не является показанием к операции — достаточно консервативного лечения. При возникновении повторных вывихов/подвывихов надколенника пациенту показано оперативное лечение — хирургическая стабилизация надколенника.
Современная медицина предлагает несколько способов проведения оперативных вмешательств при привычном вывихе надколенника. Оптимальная методика — артроскопическая реконструкция (пластика) медиальной пателлофеморальной связки (МПФС). С помощью данного метода операция при вывихе надколенника позволяет восстановить утраченную анатомическую структуру, стабилизирующую надколенник (МПФС), и одновременно зашлифовать и резецировать участки поврежденного хряща без больших кожных разрезов.
Как проводится артроскопическая реконструкция?
Сначала под контролем эновидеокамеры совершаются два прокола. Они позволяют провести визуальный осмотр всех отделов сустава, при необходимости хирургически обработать поврежденные участки хряща. Затем, через два новых прокола, проводится и фиксируется сухожильный трансплантат, заменяющий утраченную поддерживающую связку надколенника. Натяжение связки регулируется под контролем видеокамеры так, чтобы вывести надколенник из положения подвывиха, но оставить физиологически достаточную свободу его смещения.
Вне зависимости от выбора фиксирующих трансплантат фиксаторов (титановых, пластиковых, биорезорбируемых) в послеоперационном периоде требуется разгрузка сустава для создания условий биологической фиксации и перестройки трансплантата. Эти процессы, по данным МРТ исследований, занимают от 6 до 12 месяцев.
Читайте также:
- Клиника и проявления кампилобактериоза. Лечение и профилактика кампилобактериоза
- Варианты повреждения Банкарта
- Психоактивные вещества и шизофрения. Головной мозг при шизофрении
- Случай патогенетического лечения левосторонних врожденных диафрагмальных грыж
- Заместительный дентин протезного ложа. Нервные элементы пульпы
