Поликистоз яичников. Синдром Штейна — Левенталя
Добавил пользователь Владимир З. Обновлено: 27.01.2026
Синдром поликистозных яичников 4 точки (гены INS, PPARy2, CYP11A, AR).
Синдром поликистозных яичников (СПКЯ, известный также как синдром Штейна-Левенталя) — полиэндокринный синдром, сопровождающийся нарушениями функции яичников (отсутствием или нерегулярностью овуляции, повышенной секрецией андрогенов и эстрогенов), поджелудочной железы (гиперсекреция инсулина), коры надпочечников (гиперсекреция надпочечниковых андрогенов), гипоталамуса и гипофиза.
- болезнь поликистозных яичников (некорректно, поскольку это состояние характеризуется не как болезнь, отдельная нозологическая форма, а как клинический синдром, причины которого могут быть различны);
- функциональная яичниковая гиперандрогения (или функциональный яичниковый гиперандрогенизм);
- гиперандрогенная хроническая ановуляция;
- яичниковый дисметаболический синдром;
- синдром поликистоза яичников;
- поликистоз яичников.
Симптомы
Признаки и симптомы СПКЯ часто появляются в период полового созревания, вскоре после первой менструации (менархе). В некоторых случаях синдром развивается позже, во время репродуктивного периода, например, под влиянием существенного увеличения веса.
- олигоменорея, аменорея — нерегулярные, редкие менструации или полное отсутствие менструаций; те менструации, которые всё же происходят, могут быть патологически скудными или, напротив, чрезмерно обильными, а также болезненными;
- бесплодие, обычно являющееся результатом хронической ановуляции или олигоовуляции (полного отсутствия овуляций либо овуляция происходит не в каждом цикле);
- повышенные уровни в крови андрогенов (мужских гормонов), в особенности свободных фракций тестостерона, андростендиона и дегидроэпиандростерона сульфата, что вызывает гирсутизм и иногда маскулинизацию;
- центральное ожирение — «паукообразное» или «в форме яблока» ожирение по мужскому типу, при котором основная масса жировой ткани концентрируется внизу живота и в брюшной полости;
- андрогенная алопеция (существенное облысение или выпадение волос по мужскому типу с залысинами по бокам лба, на макушке, происходящее из-за нарушения гормонального баланса);
- угревая сыпь, жирная кожа, себорея;
- акантоз (тёмные пигментные пятна на коже: от светло-бежевого до тёмно-коричневого или чёрного);
- акрохордоны (кожные складки) — мелкие складки и морщинки кожи;
- появление стрий (полос растяжения) на коже живота, бёдер, ягодиц в результате быстрой прибавки массы тела на фоне гормонального дисбаланса;
- длительные периоды симптомов, напоминающих симптомы предменструального синдрома (отёки, колебания настроения, боль внизу живота, в пояснице, боли или набухание молочных желёз);
- ночные апноэ — остановки дыхания во сне, приводящие к частым ночным пробуждениям больной;
- депрессия, дисфория (раздражительность, нервозность, агрессивность), нередко сонливость, вялость, апатия, жалобы на «туман в голове»;
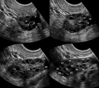
- множественные кисты яичников. Сонографически они могут выглядеть как «жемчужное ожерелье», скопление белёсых пузырьков или «косточки фрукта», рассеянные по всей ткани яичников;
- увеличение размеров яичников в 1,5–3 раза за счёт возникновения множества мелких кист;
- утолщённая, гладкая, жемчужно-белая наружная поверхность (капсула) яичников;
- утолщённый, гиперплазированный эндометрий матки — результат длительного избытка эстрогенов, не сбалансированного адекватными прогестероновыми влияниями;
- хроническая боль внизу живота или в пояснице, в тазовой области, вероятно, вследствие сдавления органов малого таза увеличенными яичниками или вследствие гиперсекреции простагландинов в яичниках и эндометрии; точная причина хронической боли при поликистозе яичников неизвестна;
- повышенный уровень ЛГ или повышенное соотношение ЛГ/ФСГ: при измерении на 3-й день менструального цикла соотношение ЛГ/ФСГ оказывается больше 1:1;
- пониженный уровень глобулина, связывающего половые стероиды;
- гиперинсулинемия (повышенный уровень инсулина в крови), нарушение толерантности к глюкозе, признаки инсулинорезистентности тканей при тестировании по методу сахарной кривой.
- Ген инсулина (INS).
- Ген PPARy2.
- Ген CYP11A.
- Ген рецептора андрогенов (AR).
Роль генетических факторов в развитии СПКЯ
Ключевые гены, имеющие отношение к развитию клинических проявлений СПКЯ представлены двумя основными группами:
► В первую группу включены гены, контролирующие метаболические процессы обмена глюкозы и, соответственно, состояния гиперинсулинемии и инсулинорезистентности.
Ген INS, — инсулин. При гиперинсулинемии стимулируется избыточный синтез стероидных гормонов в яичниках, преимущественно андрогенов.
Ген PPAR-γ, — рецептор, активирующий пролиферацию пероксисом (РАПП), является гормональным рецептором, регулирующим дифференциацию жировых клеток. РАПП регулирует энергетический, жировой и углеводный обмен. Высокая активность РАПП предрасполагает к развитию инсулинорезистентности.
► Во вторую группу включены гены, отвечающие за синтез стероидных гормонов и индивидуальную чувствительность тканей к андрогенам.
Ген CYP11α, — фермент, отщепляющий боковую цепь, лимитирует скорость реакции образования прегненолона из холестерина в яичниках и надпочечниках. Повышение активности гена CYP11α лежит в основе увеличенной продукции андрогенов.
Ген AR, — рецептор андрогенов, связывает биологически активный андроген — дигидротестостерон. При связывании рецептора с дигидротестостероном, включается цепь биохимических реакций, связанных с эффектами тестостерона в андроген-зависимых тканях.
Поликистоз яичников (Синдром Штейна-Левенталя)
Поликистоз яичников – недуг гормонального характера, который без правильного и своевременного лечения может привести к тяжелым последствиям, например, бесплодию у женщин. В медицинской практике заболевание имеет еще одно название – синдром Штейна-Левенталя.
При развитии поликистоза яичников нарушается нормальное функционирование яичников, они увеличиваются в размере и заполняются небольшими образованиями с жидкостью. Во время синдрома Штейна-Левенталя не происходит овуляция, и фолликул не созревает, он может перерасти в кисту. Недомогание вызывает повышение уровня эстрогенов, могут появиться также нарушения в работе поджелудочной железы.
Конкретной первопричины развития синдрома поликистозных яичников не существует, известно лишь, что сбои гормонального баланса затрудняют освобождение зрелых яйцеклеток. Есть несколько факторов, которые могут спровоцировать изменение уровня гормонов, соответственно и спровоцировать поликистоз.
Возможные причины развития поликистозного синдрома яичников:
- Лишний вес.
- Чрезмерное производство инсулина организмом.
- Постоянные стрессы.
- Воспалительные заболевания хронического течения.
- Патологии желез и органов, отвечающих за выработку гормонов.
- Наследственный фактор.
- Ранние аборты и другие.
Симптомы поликистоза яичников
Проявление симптоматики зависит от вида синдрома Штейна-Левенталя: первичный тип или вторичный поликистоз. Первичный тип недуга может развиваться у девочек в период полового созревания. Второй вариант недуга диагностируется у пациенток среднего возраста.
Признаки поликистоза яичников:
- Нарушения менструации – нерегулярные месячные, слишком долгий или короткий цикл, частые задержки.
- Повышение уровня андрогенов – появление волос на теле, уменьшение размера груди, мутация голоса и т. п.
- Изменение веса – резкое увеличение массы тела на 10-12 кг и более.
- Ухудшение состояния волос и кожи – появляется угревая сыпь, пигментация кожных покровов.
- Аномалии яичников – увеличение органов, наличие кист, боль внизу живота.
- Нарушения общего состояния здоровья – может диагностироваться высокое артериальное давление, диабет и другие недомогания.
У каждого человека симптоматика может проявляться с разной степенью выраженности. То есть, если у женщины развился поликистозный синдром, то это не значит, что у нее обязательно появится чрезмерная волосистость на груди или других участках тела.
Диагностика и лечение поликистоза яичников
При подозрении на поликистоз яичников специалист обязательно проведет осмотр пациентки, расспросит об изменении веса, последней менструации. Для уточнения диагноза назначается лабораторная диагностика, которая включает анализ крови, маммографию молочных желез, УЗИ органов малого таза и другие методики исследования.
Терапия синдрома Штейна-Левенталя направлена на устранение индивидуальных проблем каждой пациентки, например, ожирения, бесплодия, угрей, гирсутизма (избыточный рост волос). Для урегулирования менструального цикла могут назначаться противозачаточные таблетки, они уменьшают уровень вырабатываемых андрогенов, тем самым дают организму женщины отдохнуть от действия эстрогена. Такая терапия позволит минимизировать риск развития онкологии (рака эндометрия), но подходит она только для больных, не планирующих в ближайшее время беременность.
Если диагностируется одновременно сахарный диабет и поликистоз, тогда обязательно прописываются препараты, понижающие уровень инсулина, они улучшат состояние пациентки и помогут овуляции. При чрезмерном весе показана специальная диета, после которой работоспособность репродуктивной функции должно возобновиться. В случае, когда консервативное лечение не дало результатов, проводят стимуляцию овуляции посредством тазовой лапароскопии.
Хирургическая операция действенна в 90% случаев, но носит она непродолжительный эффект. Лапароскопия помогает нормализовать работу яичников и достичь овуляции. Зачастую после оперативного вмешательства гормональное лечение становится более эффективным, и пациентка избавляется от проблемы бесплодия.
Для своевременной диагностики и лечения поликистоза яичников обращайтесь в медицинские центры «Президент-Мед»
Лечение синдрома Штейна-Левенталя
Синдром поликистозных яичников (СПКЯ), также известный как синдром Штейна-Левенталя или склерокистоз яичников, представляет собой эндокринное (гормональное) заболевание, при котором яичники увеличены и содержат множество маленьких пузырьков, заполненных жидкостью.
Синдром Штейна-Левенталя – патологическое состояние, вызванное дисфункцией одного или нескольких эндокринных органов: яичников, коры надпочечников, гипофиза, гипоталамуса и поджелудочной железы.
В течение каждого менструального цикла в яичниках формируется множество маленьких фолликулов (пузырьков), из которых впоследствии может выйти яйцеклетка. В норме в середине менструального цикла во время овуляции (разрыва фолликула) одна яйцеклетка покидает один из фолликулов (какого-либо яичника), а другие фолликулы перезревают и перестают работать. При СПКЯ, яйцеклетка не вызревает и овуляции не происходит. Фолликулы не разрываются, а заполняются жидкостью и превращаются в кисты. Соответственно, яичники могут увеличиваться в размерах, становясь больше нормальных в 2-5 раз.

Причины синдрома Штейна-Левенталя
Специалистам так и не удалось установить точную причину, вызывающую развитие данного состояния. Считается, что его развитие является реакцией организма на различные патологии, к примеру, нарушение функций гипофиза и гипоталамуса, болезнь Иценко-Кушинга, дисфункцию коры надпочечников или доброкачественное образование в полости матки, а также метаболический синдром. Также известно, что это заболевание связано с нечувствительностью тканей организма к инсулину (гормон, участвующий в регуляции уровня сахара в крови). Уровень инсулина в крови настолько высок, что яичники реагируют на него избыточной продукцией мужских половых гормонов.
Cимптомы синдрома Штейна-Левенталя
Симптомы могут проявиться в любом возрасте. Могут развиться в течение пубертатного периода, и тогда менструальный период может задержаться или вообще не прийти. Девушки могут страдать избыточным весом и иметь рост волос по мужскому типу, например, на груди и на лице. Также у них может быть нарушен менструальный цикл, а менструальное кровотечение быть достаточно тяжелым.
У каждой женщины симптомы могут немного отличаться, хотя обычно наблюдаются отдельные или все из следующих симптомов:
- избыточный рост волос на лице, груди и животе;
- отсутствие или нерегулярные менструальные кровотечения;
- кровотечения из матки;
- повышенное артериальное давление;
- прыщи;
- ожирение в области талии;
- тонкие волосы и облысение по мужскому типу;
- бесплодие.
Как мы уже упоминали, синдром поликистозных яичников сопровождается симптомами диабета, такими как полнота или усиленное мочевыделение, вагинальная молочница (кандидоз) или хронические кожные инфекции.
Поликистоз яичников виден при ультразвуковом исследовании, хотя и не всегда. У 20% женщин (не прошедших ещё через менопаузу), не имеющих симптомов поликистоза как такового, при ультразвуковом исследовании обнаруживают поликистозные яичники.

Диагностика синдрома Штейна-Левенталя
К основным способам диагностики относятся следующие мероприятия:
- гинекологический осмотр;
- ультразвуковая диагностика;
- лабораторные анализы крови.
Гинекологическое обследование подразумевает измерение базальной температуры в период овуляции и оценивание состояния мазков из влагалища.
УЗИ помогает выявить следующие признаки заболевания:

Лечение синдрома Штейна-Левенталя
Терапия синдрома поликистозных яичников — комбинированная терапия с использованием медикаментозного лечения и физиотерапевтических мероприятий:
- гормональные препараты для коррекции гормонального фона и стимуляции овуляции;
- препараты для снижения инсулин резистентности;
- лечение сопутствующих патологий.
- важным критерием на пути к успеху является снижение массы тела.
- хирургическое лечение назначают при отсутствии положительной динамики. Частичная резекция яичников проводится лапаротомическим или менее травматичным лапароскопическим методом.

Последствия отсутствия лечения
Избыточная концентрация мужских гормонов приводит к необратимым последствиям в виде изменения внешности. Кроме этого длительное воздействие андрогенов и невосприимчивость клеток организма к глюкозе вызывают развитие следующих заболеваний:
- сахарный диабет II типа;
- онкологические заболевания молочных желез и матки;
- инфаркты и инсульты.
При проведении адекватного лечения прогноз положительный. В 80% случаев удается добиться стойкого выздоровления и устранения признаков заболевания.
Где лечить СПКЯ в Александрове?
Медцентр "Север" Александров обладает необходимым опытом в лечении женщин с синдромом Штейна-Левенталя. Прием ведут высококвалифицированный эндокринолог с 30 летним стажем и акушеры-гинекологи, которые имеют огромный опыт в диагностике и лечении СПКЯ, используют международный опыт в разрешении этой проблемы. У пациенток, прошедших курс лечения в клинике «Север», есть шансы самостоятельно забеременеть и выносить ребенка.
Запись к врачам медцентра "Север" г. Александров на прием по телефону: 8 (49244) 9-32-49.
С августа 2021 у нас ведут прием Апряткина Юлия Владимировна, врач-невролог с 20 летним стажем, Лукина Ирина Викторовна, врач-оториноларинголог с 8 летним стажем и Гончаров Сергей Александрович, врач-дерматовенеролог с 36 летним стажем.
Синдром поликистозных яичников (СПКЯ)
Синдром поликистозных яичников (СПКЯ) — склерокистозная патология яичников, проявляющаяся утолщением капсулы яичников, их увеличением и множественными мелкими кистами (образовавшимися на месте прекративших свое развитие фолликулов).
Поликистозные яичники могут развиваться первично, и тогда это состояние носит название болезнь поликистозных яичников (синдром Штейна-Левенталя). Болезнь развивается в период полового созревания, на фоне хронического тонзиллита, после перенесенных инфекций и проявляется учащением ритма и увеличением выработки гормона — люлиберина в гипоталамусе, регулирующего выработку гонадотропных гормонов гипофиза, Регулируюших, в свою очередь, гормональную функцию яичников. В результате хронического отсутствия овуляции, помимо скудных месячных или их полного отсутствия, развивается первичное бесплодие. Из-за длительной повышенной выработки эстрогенов возникают функциональные маточные кровотечения и гиперплазия эндометрия (у 25% пациенток). Яичники увеличиваются в раз по сравнению с нормой. Отмечается избыточный рост волос в области голеней, бедер, нижней части живота, предплечий, ожирение При своевременно начатой терапии, прогноз благоприятный — возможно восстановление репродуктивной функции.
Синдром поликистозных яичников развивается вторично при пубертатной и постпубертатной формах адреногенитального синдрома (из-за повышенного синтеза андрогенов в надпочечниках). Фолликулы подвергаются кистозной атрезии, овуляция прекращается, синтез эстрогенов уменьшается, вырабатываются преимущественно мужские половые гормоны — андрогены. Клинически отмечаются позднее начало менструального цикла (старше 14 лет), последующий цикл становится нерегулярным, со скудными выделениями. Возникает первичное бесплодие (реже самопроизвольные аборты на ранних сроках) и избыточный рост волос в области верхней губы, щек («баки»), подбородка, предплечий, голеней, бедер, промежности, околососковых кружков молочных желез. Повышается жирность кожи, возникают угри. Ожирением страдают до 40% пациенток.
Еще одной причиной возникновения синдрома поликистозных яичников является нейроэндокринный синдром (СПКЯ центрального генеза). В данном случае имеется четкое начало, характеризующееся быстро прогрессирующим ожирением после родов, аборта, психической травмы, тяжелых инфекций. Синдром развивается из-за нарушения выработки гормонов в гипоталамо-гипофизарной области (как при болезни поликистозных яичников). Ожирение достигает жировые отложения локализуются преимущественно в области плечевого пояса и нижней половины живота. На коже молочных желез, нижних отделов живота появляются растяжки (от бледно-розовой до багровой окраски). На фоне нарастания массы тела регулярные месячные приходят через все большие промежутки времени, становятся скудными, у 25% женщин возникают ациклические маточные кровотечения. Развивается вторичное ановуляторное бесплодие. Отмечается повышение артериального давления, повышенный аппетит, жажда, эмоциональные расстройства (раздражительность, плаксивость, агрессивность при прогрессировании заболевания возникают апатия, вялость, повышенная сонливость).
Осложнения: Помимо возникающего при всех формах поликистозного поражения яичников бесплодия (трудности или невозможность зачатия и вынашивания), осложнениями могут быть артериальная гипертензия, инфаркты и инсульты (из-за тромбоэмболий, атеросклероза), ожирение, развитие сахарного диабета типа, увеличивается риск развития рака эндометрия и рака молочной железы.
Диагностика
Лабораторные исследования. Определение уровня гормонов в крови, характерно увеличенное соотношение ЛГ к ФСГ (не менее 2). Содержание тестостерона и андростендиона в крови чаще повышено. При надпочечниковом генезе — повышенное содержание андрогенов. Высокая концентрация эстрона в крови.
УЗИ органов малого таза позволяет выявить увеличенные яичники с многочисленными мелкими кистами.
КТ головного мозга для исключения опухоли гипофиза при центральном генезе СПКЯ.
Для уменьшения выраженности симптомов повышенного содержания андрогенов в крови и восстановления овуляции и фертильности назначается гормональная терапия.
При отсутствии эффекта от гормональной терапии в течение циклов и сопутствующих поликистозу гиперплазии эндометрия применяется также хирургическое лечение: клиновидная резекция яичников, лазерная вапоризация и диатермокаутеризация яичников (под воздействием лазера или тока высокой частоты разрушаются кисты, здоровая ткань сохраняется).
После проведения данных операций, частота восстановления менструального цикла, овуляция возникают более чем у 80% женщин в течение месяца. Все операции проводятся из лапароскопических доступов под контролем эндовидеохирургических комплексов, что значительно уменьшает травматичность лечения и снижает риск осложнений.
![]() | ![]() |
© 2022 ФГБУ «НМХЦ им. Н.И. Пирогова» Минздрава России. Использование материалов сайта полностью или частично без письменного разрешения строго запрещено.
Cиндром поликистозных яичников (СПЯ)
(гиперандрогенная хроническая ановуляция; синдром Штейна–Левенталя)
, MD, University of Virginia Health System
- Осложнения
- Справочные материалы по осложнениям
- Клинические проявления
- Диагностика
- Лечение
- Ключевые моменты
- Дополнительная информация


Синдром поликистозных яичников – клинический синдром, характеризующийся умеренным ожирением, нерегулярными менструациями или аменореей и признаками избытка андрогенов (например, гирсутизм, угри). Большинство пациентов имеют множественные кисты яичников. Диагноз ставится на основании результатов теста на беременность, измерения уровней гормонов и визуальных методов исследования для исключения вирилизирующей опухоли. Лечение является симптоматическим.
Синдром поликистозных яичников (СПКЯ) наблюдается у 5–10% женщин. В США это наиболее частая причина бесплодия.
СПКЯ обычно определяется как клинический синдром, вне зависимости от кистозных изменений яичников. Но присутствие в яичнике множества 2–6 мм или больших по размеру фолликулярных кист, содержащих атретичные клетки, является типичным. Яичники могут быть нормальных размеров или увеличены и иметь утолщенную и сглаженную белочную оболочку.
Синдром проявляется ановуляцией или овуляторной дисфункцией и избытком андрогенов неясной этиологии. Однако имеются некоторые доказательства того, что у пациенток есть изменение цитохрома Р450с17, повреждающее 17-гидроксилазу (энзим, ограничивающий продукцию андрогенов), в результате чего продукция андрогенов повышается.
Осложнения
Синдром поликистозных яичников имеет несколько серьезных осложнений.
Уровни эстрогенов повышены, что увеличивает риск гиперплазии эндометрия и в итоге рака эндометрия.
Уровни андрогенов часто повышены, что увеличивает риск метаболического синдрома Метаболический синдром Метаболический синдром характеризуется увеличенной окружностью талии (по причине избытка жира в брюшной полости), гипертонией, аномальными концентрациями глюкозы в плазме крови натощак или аномальной. Прочитайте дополнительные сведения и является причиной гирсутизма Гирсутизм и гипертрихоз Гирсутизм – это избыточный рост толстых или темных волос у женщин на участках тела, более типичных для характера оволосения у мужчин (например, усы, борода, волосы на центральной части груди. Прочитайте дополнительные сведенияКальцификация коронарных артерий и утолщение интимы сонной артерии чаще встречается у женщин с СПКЯ, что предполагает возможный субклинический атеросклероз.
Также среди этих женщин чаще встречается сахарный диабет 2 типа и нарушение толерантности к глюкозе, и возрастает риск развития обструктивного апноэ во сне.

Недавние исследования показывают, что СПКЯ ассоциируется с хроническим воспалением слабой степени и что женщины с СПКЯ подвержены повышенному риску возникновения неалкогольной жировой болезни печени Неалкогольная жировая болезнь печени (НАЖБП) Жировая печень – избыточное накопление жира в гепатоцитах. Неалкогольная жировая болезнь печени (НАЖБП) включает простую жировую инфильтрацию (доброкачественное состояние, называемое жировой. Прочитайте дополнительные сведения ( 1 Справочные материалы по осложнениям Синдром поликистозных яичников – клинический синдром, характеризующийся умеренным ожирением, нерегулярными менструациями или аменореей и признаками избытка андрогенов (например, гирсутизм, угри). Прочитайте дополнительные сведения ).
Справочные материалы по осложнениям
1. Rocha AL, Oliveira FR, Azevedo RC, et al: Recent advances in the understanding and management of polycystic ovary syndrome. F1000Res 26;8, 2019. pii: F1000 Faculty Rev-565. doi: 10.12688/f1000research.15318.1 eCollection 2019.
Симптомы и признаки СПКЯ
Симптомы синдрома поликистоза яичников обычно появляются в период пубертата и со временем нарастают. Обычны преждевременное адренархе, характеризующееся избытком дегидроепиандростерона сульфата (ДГЭАС), часто раннее подмышечное оволосение, запах тела и микрокомедональные угри.
Типичные симптомы включают умеренное ожирение, легкий гирсутизм, и нерегулярные менструации, олигоменорею, или аменорею Аменорея Аменорея (отсутствие менструаций) может быть первичной или вторичной. Первичная аменорея – это отсутствие менструации к возрасту 15 лет у пациенток с нормальным ростом и вторичными половыми. Прочитайте дополнительные сведения . Тем не менее, около половины женщин с СПКЯ имеют нормальный вес, а у некоторых женщин наблюдается недостаточный вес. Оволосение тела может иметь мужской тип (например, на верхней губе, подбородке, спине, больших пальцах рук и пальцах ног; вокруг сосков и вдоль белой линии внизу живота). У некоторых женщин имеются другие признаки вирилизации, такие как акне и временное истончение волос.
Другие симптомы могут включать увеличение веса (иногда, по-видимому, трудно контролируемое), утомляемость, нехватку энергии, проблемы со сном (включая апноэ во сне), перепады настроения, депрессию, беспокойство и головные боли. У некоторых женщин нарушается фертильность. Симптомы различны у разных женщин.
Участки уплотненной и потемневшей кожи (черный акантоз) могут появляться в области подмышек, затылочной части шеи, складках кожи и в пальцевых и/или локтевых сгибах; причиной является высокий уровень инсулина вследствие инсулин орезистентности.
Диагностика СПКЯ
Сывороточные уровни тестостерона , фоликуллостимулирующего гормона (ФСГ), пролактина и тиреотропного гормона (ТТГ)
УЗИ органов малого таза

(Для обследования и контроля сопутствующих заболеваний (например, ишемическая болезнь сердца, метаболический синдром), см. ниже Контроль сопутствующих заболеваний Синдром поликистозных яичников – клинический синдром, характеризующийся умеренным ожирением, нерегулярными менструациями или аменореей и признаками избытка андрогенов (например, гирсутизм, угри). Прочитайте дополнительные сведения ).
Овуляторная дисфункция обычно имеет место в период полового созревания, приводя к первичной аменорее; таким образом, синдром поликистозных яичников маловероятен в случаях, когда регулярные менструации наблюдались в течение некоторого времени после менархе.
У пациенток с синдромом поликистоза яичников СПКЯ при осмотре обычно обнаруживается обильная цервикальная слизь, отражающая высокий уровень эстрогенов . Следует заподозрить СПКЯ при наличии у женщины двух типичных симптомов.
Обследование включает тест на беременность, исследование в крови уровней общего тестостерона , пролактина и ТСГ; ультразвуковое исследование тазовых органов для исключения других возможных причин имеющихся симптомов. Исследование сывороточного уровня свободного тестостерона более чувствительно, чем определение общего тестостерона , но технически его более трудно измерить (см. алгоритм Диагностика первичного и вторичного гипогонадизма Диагностика первичного и вторичного гипогонадизма Гипогонадизм определяется как недостаток тестостерона в организме с обусловленными им симптомами и признаками, ухудшением сперматогенеза или обоими проявлениями. К нему могут приводить заболевания. Прочитайте дополнительные сведения ). Нормальный или несколько повышенный уровень тестостерона и нормальный или несколько повышенный уровень ФСГ позволяют заподозрить наличие СПКЯ.
Для постановки диагноза необходимо наличие как минимум 2 из 3 представленных ниже критериев:
Овуляторная дисфункция, вызывающая нерегулярные менструации
Клинически и лабораторно доказанная гиперандрогения
Более 10 фолликулов в каждом яичнике (выявленных при УЗИ тазовой полости), обычно раполагающихся по периферии и напоминающих нитку жемчуга
У женщин с этими критериями измеряют уровень кортизола в сыворотке крови для исключения синдрома Кушинга Синдром Кушинга Синдром Кушинга – это сочетание клинических симптомов, вызванных хроническим повышением уровня кортизола или родственных ему кортикостероидов в крови. Болезнь Кушинга – это синдром Кушинга. Прочитайте дополнительные сведения измеряется раннеутренний уровень 17-гидроксипрогестерона. Измеряется сывороточный уровень ДГЭАС. Если уровень ДГЭАС не соответствует норме, женщину обследуют так же, как при аменорее Обследование Аменорея (отсутствие менструаций) может быть первичной или вторичной. Первичная аменорея – это отсутствие менструации к возрасту 15 лет у пациенток с нормальным ростом и вторичными половыми. Прочитайте дополнительные сведения .
Трансвагинальное УЗИ может быть использовано для выявления аномалий в яичниках. Тем не менее, трансвагинальное УЗИ не проводится у девочек-подростков (см. ниже).
Здравый смысл и предостережения
Диагноз синдром поликистозных яичников маловероятен, если менструации были регулярными какое-то время после менархе.
У подростков с симптомами СПКЯ измеряют уровень тестостерона.
Диагностика СПКЯ у девочек-подростков

Диагностика СПКЯ у подростков сложна, поскольку физиологические изменения в период полового созревания (например, гиперандрогенизм, нарушение менструального цикла) сходны с особенностями протекания СПКЯ. Таким образом, были предложены отдельные критерии для диагностики СПКЯ у подростков ( 1 Справочные материалы по диагностике Синдром поликистозных яичников – клинический синдром, характеризующийся умеренным ожирением, нерегулярными менструациями или аменореей и признаками избытка андрогенов (например, гирсутизм, угри). Прочитайте дополнительные сведения ): однако консенсус достигнут не был. Эти критерии требуют наличия двух следующих условий:
Патологического маточного кровотечения (аномального для возраста или гинекологического возраста или симптомы, которые сохраняются в течение 1–2 лет)
Признаков гиперандрогенизма (базирующиеся на стойком повышении уровня тестостерона выше взрослой нормы [лучшее доказательство], от умеренной до тяжелой степени гирсутизма, или от умеренных до тяжелых воспаленных вульгарных угрей, как показание к проведению теста на гиперандрогенемию)
Часто для выявления неклассической врожденной гиперплазии надпочечников также проводится тест на 17-гидроксипрогестерон.
УЗИ органов малого таза обычно показано только в том случае, если уровень андрогенов в сыворотке или степень вирилизации указывают на наличие опухоли яичника. Трансвагинальная ультрасонография обычно не используется для диагностики СПКЯ у девочек-подростков, потому что она обнаруживает морфологию поликистоза у
Справочные материалы по диагностике
1. Tehrani FR, Amiri M: Polycystic ovary syndrome in adolescents: Challenges in diagnosis and treatment. Int J Endocrinol Metab 17 (3): e91554, 2019. doi: 10.5812/ijem.91554
Лечение синдрома поликистозных яичников
Прерывистые курсы прогестинов или оральных контрацептивов
Лечение гирсутизма, а у взрослых женщин – рисков длительных гормональных нарушений
Лечение бесплодия у женщин, желающих беременеть
Целью лечения синдрома поликистозных яичников является
Коррекцию гормональных нарушений и тем самым уменьшение рисков, связанных с избытком эстрогенов (например, гиперплазии эндометрия) и избытком андрогенов (например, сердечно-сосудистые заболевания)
Облегчение симптомов и улучшение фертильности
Рекомендовано снижение веса и выполнение регулярных физических упражнений. Они могут способствовать индукции овуляции, повысить регулярность менструального цикла, увеличить чувствительность к инсулину и уменьшить проявления черного акантоза и гирсутизма. Похудение также может помочь улучшить фертильность. Однако потеря веса вряд ли принесет пользу женщинам с нормальным весом с СПКЯ.
Гормональные контрацептивы являются терапией первой линии при нарушениях менструального цикла, гирсутизме и акне у женщин с СПКЯ и у тех, которые не желают забеременеть. Женщинам для снижения риска гиперплазии и рака эндометрия обычно назначают прерывистые курсы прогестинов (например, медроксипрогестерона ацетат перорально ежедневно однократно по 5–10 мг в течение 10–14 дней каждые 1–2 месяцев) или комбинированные оральные контрацептивы. Это лечение приводит к снижению уровня циркулирующих андрогенов и, как правило, помогает сформировать более регулярный менструальный цикл.
Метформин от 500 до 1000 мг 2 раза в день используется для увеличения уровня чувствительности к инсулину у женщин с СПКЯ, нерегулярными менструациями и диабетом или резистентностью к инсулину, если изменения образа жизни являются неэффективными или если они не могут принимать или не переносят гормональные контрацептивы. Метформин также может снизить уровень свободного тестостерона . При использовании метформина необходимо измерять уровень глюкозы в сыворотке крови, а также проводить периодические исследования функции почек и печени. Поскольку метформин может вызывать овуляцию, при нежелании наступления беременности необходима контрацепция. Метформин помогает корректировать метаболические и гликемические аномалии и делает менструальные циклы более регулярными, но он практически не оказывает положительного влияния на гирсутизм, акне или бесплодие.
Женщины, желающие забеременеть, должны быть направлены к специалистам по лечению бесплодия. Используются препараты для лечения бесплодия Лечение Овуляторная дисфункция – это патологическая, нерегулярная (≤ 9 менструаций/год) или отсутствующая овуляция. Менструации часто нерегулярны или отсутствуют. Диагноз часто ставится на основании. Прочитайте дополнительные сведения (например, кломифен). В настоящее время кломифен является терапией первой линии в лечении бесплодия. Полезно также похудение. Избегают проведения гормональной терапии, которая может иметь контрацептивный эффект. Летрозол, ингибитор ароматазы, также может стимулировать овуляцию. Также можно попробовать другие препараты для лечения бесплодия. К ним относятся фолликулостимулирующий гормон (ФСГ) для стимуляции яичников, агонист гонадотропин-высвобождающего гормона (ГнВГ) для стимуляции высвобождения ФСГ и хорионический гонадотропин человека (ХГЧ) для стимуляции овуляции.
Поскольку женщины с СПКЯ имеют более высокий риск осложнений беременности (включая сахарный диабет беременных, преждевременные роды и преэклампсию), которые усугубляются ожирением, рекомендуется провести предварительную оценку индекса массы тела, измерение артериального давления и пероральный глюкозотолерантный тест. Если кломифен и другие препараты неэффективны или имеются другие показания к лапароскопии, может быть рассмотрен вопрос о лапароскопическом дриллинге яичников; однако следует учитывать возможные долгосрочные осложнения дриллинга (например, спайки, недостаточность яичников). Дриллинг яичников состоит в использовании электрокоагулятора или лазера для просверливания отверстий в небольших областях яичников, которые продуцируют андрогены. Резекция яичника не рекомендуется.
Агонисты и антагонисты ГнВГ изучаются в качестве лечения нежелательных волос на теле. Обе группы препаратов подавляют выработку яичниками половых гормонов. Однако оба могу вызвать потерю костной ткани и привести к остеопорозу.
Угри Лечение Обыкновенное акне – это совокупность комедонов, папул, пустул, узлов и/или кист в результате обструкции и воспаления пилосебацейного комплекса (волосяные фолликулы и примыкающая к ним сальная. Прочитайте дополнительные сведения можно лечить обычными лекарственными препаратами (бензоил пероксидом, кремом третиноина, местным и общим применением антибиотиков). Системный изотретиноин применяется только в тяжелых случаях.
Контроль сопутствующих заболеваний
Поскольку СПКЯ может увеличивать риск возникновения сердечно-сосудистых заболеваний, направление к кардиологу для профилактики сердечно-сосудистых заболеваний необходимо, если женщины с СПКЯ имеют любой из перечисленных факторов риска:
Читайте также:
- Имплантируемый петлевой рекордер (ИПР). Выявление аритмий на ЭКГ
- Нефрогенный несахарный диабет
- Морфология возбудителя респираторного микоплазмоза. Антигены возбудителя микоплазменной пневмонии. Факторы патогенности возбудителя микоплазменной пневмонии.
- Послеродовые инфекции
- Дрейф генов, мутации в популяции


