Послеабортная септицемия. Изменения органов при послеабортной септицемии
Добавил пользователь Евгений Кузнецов Обновлено: 18.12.2025
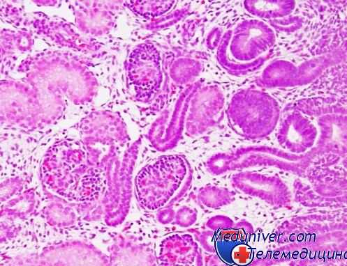
Послеабортная септикопиемия. Морфология органов при послеабортной септикопиемии
Гистологическая картина в одних случаях сходна с той, которая наблюдается при септицемии, в других, помимо некроза ткани и тромбоза сосудов, определяющих в основном патологические изменения в матке при септикопиемин, постоянно обнаруживают клеточную реакцию различной интенсивности.
Поверхность препарата бывает представлена более или менее широкой полосой некроза. Некротические массы пронизаны нитями фибрина и распадающимися лейкоцитами; здесь же обнаруживают колонии микробов (кокковая флора). В отдельных участках удается определить очертания погибших децидуальных клеток, ворсин хориона и кровеносных сосудов.
Некроз с полной деструкцией эндометрия встречается редко. Обычно вблизи мышечного слоя структура определяется достаточно хорошо: это остатки маточных желез, ворсин, хориона и клетки типа гигантских многоядерных. В эпителии желез можно видеть клетки с насыщенной эозинофильной цитоплазмой. Последние обнаруживают и среди лимфоидных элементов, инфильтрирующих глубокий слой слизистой оболочки.
В расширенных просветах сосудов видны красные и смешанные тромбы, в которых местами выявляются колонии микробов; стенки сосудов густо инфильтрированы лейкоцитами, вследствие чего контуры сосудов едва различимы. Встречаются расширенные лимфатические сосуды с набухшим эндотелием, который местами слущен в просвет; в просвете также находят клетки белой крови. На границе с мышечным слоем можно наблюдать демаркационный вал, состоящий из клеток лимфоидного типа и сегментоядерных лейкоцитов.

Необходимо иметь в виду, что интенсивность воспалительного процесса в миометрии варьирует значительно. Наблюдаются случаи, когда воспаление ограничивается слизистой оболочкой, мышечный слой полнокровный, серозная оболочка обычного вида. Межмышечная соединительная ткань инфильтрирована лимфоидными элементами, среди которых имеются эпителиоидные, плазматические клетки и лейкоциты.
Серозная оболочка обычно разрыхлена, полнокровна. В ней также можно видеть аналогичные инфильтраты. Помимо этого, в миометрии отмечают полнокровие сосудов, очаги кровоизлияний, а в капиллярах местами пролиферацию эндотелия.
В строме яичников и слизистой оболочке фаллопиевых труб обнаруживают резкое полнокровие сосудов и кровоизлияния, в трубах видна клеточная реакция.
Метастатические микроабсцессы в легких, печени, почках, головном мозге при послеабортиой септикопиемии встречаются чаще, чем при других видах сепсиса. При этом характерен вид сосудов — они бывают заполнены лейкоцитами. В соответствии с локализацией метастазов различают несколько вариантов септикопиемии: с метастазами в легкие, с метастазами в почки и надпочечники, в оболочки и вещество головного мозга, с метастазами во многие органы и ткани, а также септический эндокардит и септический перитонит.
Помимо метастатических абсцессов, в органах отмечают выраженные нарушения кровообращения в виде полнокровия и периваскуляриых кровоизлияний, повышение проницаемости сосудов и изменения паренхимы. В сердце мутное набухание, в печени мутное набухание иногда с дегенеративным ожирением, в почках мутное набухание и иногда некротический нефроз с избирательным поражением извитых канальцев и наличием в строме лейкоцитарной реакции.
В надпочечниках возникают мелкие и крупные очаги некробиоза и некроза с последующей лейкоцитарной реакцией и кровоизлияниями. В селезенке наряду с кровенаполнением синусов п гемолизом отмечают появление значительного количества ретикулярных клеток. Они с небольшим бледным круглым или овальным ядром и выраженным (то более, то менее) протоплазматическпм телом. Среди этих клеток встречаются единичные макрофаги и большое количество лейкоцитов и лимфоцитов, отличающихся пикнотичным или распадающимся ядром.
Аналогичные изменения находят и в лимфатических узлах.
Информация на сайте подлежит консультации лечащим врачом и не заменяет очной консультации с ним.
См. подробнее в пользовательском соглашении.
Послеабортная септицемия. Изменения органов при послеабортной септицемии
Угнетение функции легких у новорожденных. Признаки раздражения легких
К признакам раздражения относят набухание межальвеолярных перегородок, увеличение в них числа клеток с появлением единичных нейтрофильных гранулоцитов и элементов моноцитарного типа, набухание цитоплазмы и ядер альвеолоцитов, ядер эндотелия и гистиоцитов, пролиферацию эндотелия мелких сосудов и набухание периваскулярной, внутридольковой и междольковой соединительной ткани.
По своей морфологической сущности данные изменения имеют обратимый характер.
Признаки «угнетения» функции легочной паренхимы характеризуют необратимый процесс с постепенной гибелью клеточных элементов. Клетки альвеолярного эпителия нечетко очерчены, ядра бледно окрашиваются или не выявляются. Клетки обычно подвергаются десквамацпи. Одновременно подобные изменения отмечают и в бронхах.
Иногда процесс десквамации бронхиального эпителия по интенсивности и распространенности преобладает над десквамацией альвеолярного эпителия. Просветы бронхиол и реже мелких бронхов заполнены отторгнутыми сморщенными эпителиальными клетками; стенки бронхиол и бронхов лишены покровного эпителия, изредка эпителий слущивается пластами.
Процесс десквамации клеток эпителия обычно сочетается с десквамацней эндотелия сосудов; последняя может быть резко выражена — эндотелиальные клетки лежат среди эритроцитов цепочками. Десквамацпя в бронхах и сосудах выражена неодинаково: в одних случаях процесс преобладает в сосудах, в других — в бронхах.
Признаки угнетения могут иметь и другое морфологическое выражение. Четкость клеточных очертаний утрачена. Клеточные ядра в межальвеолярных перегородках интенсивно окрашены гематоксилином, форма их неправильная. Эндотелиальные ядра также интенсивно окрашены, форма их вытянутая, нередко в виде штрихов. Это позволяет охарактеризовать изменения как пикноз.

Если в таких случаях встречают артериальные почки и подушечки, то в их клетках ядра также пикнотичны. Количество клеток в межальвеолярной ткани как бы уменьшено, при этом выявляются ядра мышечных клеток стенки альвеолярных ходов; они также имеют неправильную форму, интенсивно окрашиваются гематоксилином.
Признаки угнетения и раздражения, как правило, обнаруживают в легких одновременно, но в одних случаях преобладают признаки угнетения, в других — раздражения. Являются ли эти изменения стадиями одного и того же процесса, пока неясно. Имеются данные, что указанные изменения чаще наблюдаются тогда, когда мать страдает той или иной патологией.
Поскольку признаки угнетения возникают при продолжающемся плацентарном кровообращении, то их можно рассматривать как проявление прижизненного аутолиза.
Делаются попытки гистохимического исследования легких мертворожденных и живорожденных. Было показано, что в легочной ткани мертворожденных по сравнению с живорожденными отмечается снижение активности СДГ, МДГ, а-ГФДГ, ГДГ, Г-6-ФДГ, НАДЫ-ДГ и ИДД-ФН-ДГ, а также щелочной фосфатазы.
Однако необходимо учитывать, что этот признак непостоянный: в ряде случаев у мертворожденных снижения активности указанных ферментов может не отмечаться, напротив, может наблюдаться повышение активности ЛДГ, что, по-видимому, объясняется приспособительной реакцией организма к гипоксическому состоянию.
Заслуживает внимания возможность практического использования гистохимической реакции на фосфолипиды с целью выявления на поверхности альвеол поверхностно-активной пленки. Показано существование в альвеолах поверхностно-активного вещества, понижающего поверхностное натяжение и препятствующего спадению альвеол. Это вещество получило название антиателектатического фактора или сурфактанта.
Биохимический анализ показал, что он состоит главным образом из фосфолипидов. С целью выявления сурфактанта на поверхности альвеол в световом микроскопе были применены гистохимическиереакции на определение фосфолипидов (метод Бекера, метод Ландинга и др.).
Акушерский сепсис ( Родильная горячка )
Акушерский сепсис – это системное осложнение инфекций женской мочеполовой системы и молочной железы, развившееся во время беременности, изгнания плода и в послеродовом (послеабортном) периоде. Проявляется тяжёлым общим состоянием, нарастающей слабостью, лихорадкой, сердцебиением, одышкой, снижением артериального давления. По мере прогрессирования присоединяются помутнение сознания, выраженное затруднение дыхания, резкое уменьшение объёма отделяемой мочи. Диагноз устанавливается на основании данных физикального осмотра, УЗИ, лабораторных исследований крови. Лечение комплексное: хирургическая санация гнойников, антибиотикотерапия, интенсивная терапия.
МКБ-10

Общие сведения
Акушерский сепсис (родильная горячка) – угрожающее жизни состояние, характеризующееся нарушениями гемодинамики, метаболизма, свертывания крови, полиорганной недостаточностью и возникающее в ответ на инфекционное воспаление в половых и мочевыделительных органах, а также в молочной железе в гестационном, родовом и послеродовом периодах. Устаревший синоним сепсиса «заражение крови» ныне неактуален: проникновение инфекционного агента в кровь не является обязательным условием развития септического процесса – бактериемия регистрируется только у 50% больных. Сепсис развивается у одной из 5000 беременных и родящих и сопровождается септическим шоком в 10% случаев, доля заболевания в структуре материнской смертности составляет 12%. В 44% случаев сепсис регистрируется на этапе беременности (с равномерным распределением по периодам гестации), в 10% - в родах, в 46% - в послеродовом периоде.

Причины
Акушерский сепсис всегда вторичен, его источником является локальная инфекция. Основные возбудители гнойно-воспалительных заболеваний – представители оппортунистической флоры (пиогенный стрептококк, стрептококк группы B, золотистый стафилококк, кишечная палочка, клебсиелла, протей, пептококк, пептострептококк, бактероид, грибок кандида), чаще всего населяют нижние отделы мочеполовой сферы и кишечника и приводят к патологии только под воздействием определённых факторов. К основным причинам и источникам инфицирования относятся:
- Хирургические операции и травмы тканей. Раневая поверхность служит воротами инфекции и способствует значительному снижению местного иммунитета. Гнойный процесс может стать исходом кесарева сечения, раннего отхождения околоплодных вод (при неправильном положении плода, многоплодии), полученных в родах разрывов и оперативных вмешательств на промежности.
- Лечебно-диагностические манипуляции. Возбудитель передаётся при контакте с обсеменённым инструментом, кроме того, микротравмы, полученные при исследовании, создают благоприятные условия для лимфо- и гематогенного заражения. В группе факторов риска - цервикальный серкляж, амниоцентез, кордоцентез, уретральная катетеризация, экстракорпоральное оплодотворение, многократные влагалищные исследования в ходе родов.
- Физиологические изменения, вызванные беременностью. Растущая матка сдавливает и смещает окружающие анатомические структуры, а прогестерон снижает тонус гладкой мускулатуры. Эти факторы приводят к нарушению уродинамики и создают предпосылки для развития гестационного пиелонефрита и уросепсиса.
- Застой грудного молока. В результате лактостаза происходит активный рост стафилококков, вызывающих мастит. Нарушение оттока молока – основная причина послеродовых абсцессов и флегмон.
С другой стороны, гнойные процессы могут осложниться сепсисом лишь при условии гипо- или гиперреактивности иммунного ответа. Функциональные расстройства иммунной системы приводят к усилению активности оппортунистических микроорганизмов и формированию патологической реакции на гнойное воспаление. К факторам риска относятся ожирение, сахарный диабет, анемия, острые и хронические воспаления (генитальные и экстрагенитальные), недостаток питания, возраст старше 35 лет.
Патогенез
Массивное поражение ткани инфекцией сопровождается перманентным или периодическим выбросом в кровоток медиаторов воспалительного ответа, что истощает регуляторную функцию иммунной системы и запускает ряд неконтролируемых реакций в дистантных органах и тканях. В результате повреждается эндотелий, ухудшается микроциркуляция (перфузия), снижается транспорт кислорода. Эти изменения приводят к нарушениям гомеостатической регуляции, развитию синдрома острой полиорганной недостаточности (СПОН) и ДВС-синдрома.
Желудочки сердца расширяются, происходит снижение сердечного выброса, нарушается сосудистый тонус. В лёгких образуются ателектазы, развивается респираторный дистресс-синдром. В результате снижения объёма циркулирующей крови (ОЦК) и гемостатических нарушений ухудшается микроциркуляция почечной ткани и кровоснабжение коркового слоя с последующей острой функциональной недостаточностью. В печени нарушаются обменные процессы, а недостаток кровоснабжения влечёт формирование некротических участков. Гипоперфузия приводит к патологической проницаемости слизистой оболочки кишечника с выбросом токсинов и микроорганизмов в лимфатическую систему, в результате ишемии на стенках органов ЖКТ образуются стрессовые язвы. Нарушение обменных процессов и микроциркуляции головного мозга обусловливает неврологические расстройства.
Классификация
Акушерский сепсис классифицируют по разным критериям: по возбудителю, по метастатическому распространению (септицемия, характеризующаяся наличием лишь первичного очага, и септикопиемия – наличие гнойных отсевов в других тканях и органах) или по клиническому течению. В современном акушерстве принята классификация, отражающая последовательные этапы формирования системной воспалительной реакции:
- Синдром системного воспалительного ответа (ССВО). Предвестник септического состояния – системная реакция на воспалительный процесс любой этиологии. Устанавливается при наличии воспалительного заболевания и на основании не менее двух клинических проявлений ССВО: тахикардии, тахипноэ или гипервентиляции, гипо- или гипертермии, лейкоцитоза (лейкопении) или повышения доли незрелых нейтрофилов. У 12% больных сепсисом признаки ССВО отсутствуют.
- Сепсис. Патологический системный ответ на первичную или присоединившуюся инфекцию. Диагноз выставляется при наличии инфекционного очага или на основании верифицированной бактериемии и остро развившихся признаков функциональной недостаточности двух и более органов (СПОН).
- Септический шок. Крайняя форма патологической реакции. Сопровождается выраженными, стойкими, плохо поддающимися медикаментозной коррекции гипотензией и нарушением перфузии.
Симптомы акушерского сепсиса
Послеродовый сепсис манифестирует на второй-третий день после изгнания плода сукровично-гнойными выделениями, явлениями общей интоксикации (тахикардией, одышкой, слабостью, потерей аппетита, иногда рвотой и диареей) и повышением температуры до 39-40°C с ознобами. Гипертермия обычно устойчивая, однако могут наблюдаться формы с постепенным повышением или большим разбросом суточной температуры и редкими приступами ознобов. Отмечаются боли в животе или молочных железах, могут регистрироваться генерализованные высыпания. Выраженность симптомов и длительность заболевания различны в зависимости от формы клинического течения.
Для молниеносного акушерского сепсиса нарастание симптоматики характерно в течение суток, при острой форме клиническая картина разворачивается в течение нескольких дней. При подострой форме признаки выражены менее ярко, процесс развивается неделями. Хрониосепсис характеризуется слабо выраженными изменениями (субфебрилитетом, повышенным потоотделением, головной болью и головокружениями, сонливостью, диареей) и вялым течением в течение многих месяцев. Рецидивирующая форма представляет череду затуханий (периодов ремиссии без заметных проявлений) и обострений (периодов с яркой симптоматикой) и характерна для септикопиемии, когда ухудшение состояния обусловлено повторными эпизодами образования вторичных гнойников.
При отсутствии лечения нарастает интоксикация организма и развивается тяжёлая форма с шоковым синдромом. В ранней («тёплой») фазе прогрессирует слабость, отмечается головокружение. Одновременно до нормы или субфебрильных величин снижается температура, нарастает тахикардия. Слизистые оболочки и ногтевые ложа приобретают синюшный оттенок, кожные покровы гиперемированы. Наблюдается возбуждение, сознание может быть ясным или спутанным, нередки психозы, галлюцинации. Средняя продолжительность ранней стадии составляет 5-8 часов, реже – до двух суток. В случае грамотрицательной инфекции эта фаза может длиться несколько минут.
Поздняя («холодная») стадия знаменуется усилением или ослаблением сердцебиения с переходом в брадикардию, падением температуры ниже нормы, значительным затруднением дыхания. Беспокойство и возбуждение усиливается, затем сменяется адинамией, сознание затемняется. Кожа приобретает землистый оттенок, покрывается липким холодным потом, на ногах проступает цианотично-мраморный рисунок, особенно выраженный в области колен. Развивается олигурия, иногда появляется желтуха.
Особенно тяжёлым течением и рядом специфических признаков отличается анаэробный сепсис, ассоциированный с гангреной матки. Заболевание протекает молниеносно или остро, сопровождается интенсивной некупируемой болью внизу живота, крепитацией и усилением боли при пальпации матки, выделением из влагалища газа и зловонной жидкости с пузырьками воздуха, бронзовой окраской кожи, бурым цветом мочи. Явления септического шока проявляются уже в самом начале болезни.
Осложнения
У больных, переживших острый период, может развиться тяжёлое, нередко летальное осложнение – суперинфекция. Значительное ухудшение качества жизни или гибель пациентки часто влекут другие последствия сепсиса: сопряжённые с ишемией или гнойным метастазированием необратимые органные изменения почек, печени, лёгких, сердца, головного мозга, прободение и кровотечения из гастроэнтеральных стресс-язв, артериальная тромбоэмболия и флеботромбоз. Сепсис у беременных может вызвать преждевременные роды, гибель плода, энцефалопатию и ДЦП рожденного ребенка.
Диагностика
В диагностике акушерского сепсиса участвуют акушер-гинеколог, терапевт, реаниматолог, микробиолог, осложнённые формы требуют привлечения нефролога, кардиолога, невролога, гепатолога. В ходе гинекологического исследования и общего осмотра по наличию очага гнойного воспаления в органах малого таза или молочной железе, а также признакам ССВО можно заподозрить септическое состояние. Проводятся следующие исследования:
- Определение возбудителя. Культуральный анализ крови и влагалищного мазка позволяют выявить инфекционный агент и подобрать эффективный препарат для лечения инфекции. Бактериемия подтверждает наличие септического процесса. При отсутствии бактериемии для дифференцирования локальной и генерализованной инфекции проводится тест на прокальцитонин.
- Инструментальные исследования. УЗИ малого таза и почек подтверждает (выявляет) наличие первичного гнойного очага в мочеполовых органах. УЗИ органов брюшной полости, рентгенография органов грудной клетки, ЭхоКГ позволяют обнаружить вторичные абсцессы в печени, лёгких, сердце.
- Клинико-биохимические анализы крови. Общий анализ крови обнаруживает лейкоцитоз, лейкопению, сдвиг лейкоцитарной формулы влево – значения, косвенно подтверждающие септическое состояние. Данные биохимического исследования говорят о нарушениях водно-электролитного баланса и функций почек, печени. Анализ газов крови выявляет нарушения КЩС и дыхательную недостаточность. По результатам коагулограммы определяются нарушения свёртывания крови. Тестирование уровня лактата в плазме позволяет обнаружить тканевую гипоперфузию и оценить тяжесть шока. Иммунограмма свидетельствует о расстройствах иммунной активности.
Акушерский сепсис следует дифференцировать с гестозами, амниотической эмболией и тромбоэмболией лёгочной артерии, острыми инфекциями (тяжёлым гриппом, бруцеллёзом, тифом, малярией, милиарным туберкулёзом), острым панкреатитом, лейкозами, лимфогранулематозом. Для дифференциальной диагностики может потребоваться консультация кардиохирурга, инфекциониста, фтизиатра, онкогематолога.
Лечение акушерского сепсиса
Лечебные мероприятия проводятся в условиях гинекологического или обсервационного акушерского отделения, больные с тяжёлыми формами сепсиса переводятся в отделение реанимации и интенсивной терапии. Лечение комплексное, включает хирургические и консервативные методы и направлено на борьбу с инфекцией и коррекцию витальных функций:
- Инфузионная терапия. Лечение предусматривает коррекцию гомеостатических расстройств (гипотонии, коагулопатии, нарушений кислотно-щелочного и водно-солевого и обмена, дефицита ОЦК), восстановление тканевой перфузии, дезинтоксикацию. С этими целями вводятся солевые и коллоидные растворы, альбумин, криоплазма, инотропы и вазопрессоры.
- Антибактериальная терапия. Направлена на уничтожение инфекционного агента с целью блокировки воспалительного каскада. Стартовое лечение включает внутривенное введение комбинации препаратов широкого спектра. После выделения возбудителя приступают к этиотропной антибиотикотерапии.
- Хирургическое лечение. Ликвидация гнойных очагов повышает эффективность интенсивной терапии и улучшает прогноз. Лечение предполагает санацию первичного и вторичных очагов – вскрытие и опорожнение абсцессов, кюретаж, вакуум-аспирацию или удаление матки (гистерэктомию).
В случае необходимости проводится искусственная вентиляция лёгких, энтеральное питание пациентки. Дополнительные методы интенсивной терапии включают применение кортикостероидов, выполнение хирургической детоксикации (плазмаферез, гемосорбция, гемофильтрация) после оперативного лечения нагноений, иммунотерапию.
Прогноз и профилактика
На ранних стадиях, когда не развились выраженные признаки СПОН, устойчивая гипотензия и ДВС-синдром, прогноз благоприятный. При развитии септического шока смертность может достигать 65% (в среднем – 45%). Профилактические мероприятия состоят в своевременном лечении воспалительных заболеваний (как на этапе планирования, так и в течение беременности), борьбе с внебольничными вмешательствами (внутриматочными и вагинальными манипуляциями, криминальными абортами, домашними родами), рациональной превентивной антибиотикотерапии при оперативных вмешательствах, полноценном питании, стабилизации уровня глюкозы в крови при сахарном диабете.
3. Клинические рекомендации по диагностике и лечению тяжелого сепсиса и септического шока в лечебно-профилактических организациях Санкт-Петербурга. – 2016.
4. Гнойно-воспалительные заболевания и сепсис в акушерстве. Клинические рекомендации (протокол лечения)/ Коллектив авторов. – 2015.
Сепсис
Сепсис - общая гнойная инфекция, развивающаяся вследствие проникновения и циркуляции в крови различных возбудителей и их токсинов. Клиническая картина сепсиса складывается из интоксикационного синдрома (лихорадки, ознобов, бледно-землистой окраски кожных покровов), тромбогеморрагического синдрома (кровоизлияний в кожу, слизистые, конъюнктиву), метастатического поражения тканей и органов (абсцессов различных локализаций, артритов, остеомиелитов и др.). Подтверждением сепсиса служит выделение возбудителя из культуры крови и локальных очагов инфекции. При сепсисе показано проведение массивной дезинтоксикационной, антибактериальной терапии, иммунотерапии; по показаниям – хирургическое удаление источника инфекции.


Сепсис (заражение крови) – вторичное инфекционное заболевание, вызванное попаданием патогенной флоры из первичного локального инфекционного очага в кровяное русло. Сегодня ежегодно в мире диагностируется от 750 до 1,5 млн. случаев сепсиса. По статистике, чаще всего сепсисом осложняются абдоминальные, легочные и урогенитальные инфекции, поэтому данная проблема наиболее актуальная для общей хирургии, пульмонологии, урологии, гинекологии. В рамках педиатрии изучаются проблемы, связанные с сепсисом новорожденных. Несмотря на использование современных антибактериальных и химиотерапевтических препаратов, летальность от сепсиса остается на стабильно высоком уровне – 30-50%.
Причины сепсиса
Важнейшими факторами, приводящими к срыву противоинфекционной резистентности и развитию сепсиса, выступают:
- со стороны макроорганизма - наличие септического очага, периодически или постоянно связанного с кровяным или лимфатическим руслом; нарушенная реактивность организма
- со стороны инфекционного возбудителя – качественные и количественные свойства (массивность, вирулентность, генерализация по крови или лимфе)
Ведущая этиологическая роль в развитии большинства случаев сепсиса принадлежит стафилококкам, стрептококкам, энтерококкам, менингококкам, грамотрицательной флоре (синегнойной палочке, кишечной палочке, протею, клебсиелле, энтеробактер), в меньшей степени - грибковым возбудителям (кандидам, аспергиллам, актиномицетам).
Выявление в крови полимикробных ассоциаций в 2,5 раза увеличивает уровень летальности больных сепсисом. Возбудители могут попадать в кровь из окружающей среды или заноситься из очагов первичной гнойной инфекции.
Велико значение внутрибольничной инфекции: ее росту способствует широкое применение инвазивных диагностических процедур, иммуносупрессивных лекарственных препаратов (глюкокортикоидов, цитостатиков). В условиях иммунодефицита, на фоне травмы, операционного стресса или острой кровопотери инфекция из хронических очагов беспрепятственно распространяется по организму, вызывая сепсис. Развитию сепсиса более подвержены недоношенные дети, больные, длительно находящиеся на ИВЛ, гемодиализе; онкологические, гематологические пациенты; больные сахарным диабетом, ВИЧ-инфекцией, первичными и вторичными иммунодефицитами.
Механизм развития сепсиса многоступенчатый и очень сложный. Из первичного инфекционного очага патогены и их токсины проникают в кровь или лимфу, обуславливая развитие бактериемии. Это вызывает активацию иммунной системы, которая реагирует выбросом эндогенных веществ (интерлейкинов, фактора некроза опухолей, простагландинов, фактора активации тромбоцитов, эндотелинов и др.), вызывающих повреждение эндотелия сосудистой стенки. В свою очередь, под воздействием медиаторов воспаления активизируется каскад коагуляции, что в конечном итоге приводит к возникновению ДВС-синдрома. Кроме этого, под влиянием высвобождающихся токсических кислородсодержащих продуктов (оксида азота, перекиси водорода, супероксидов) снижается перфузия, а также утилизация кислорода органами. Закономерным итогом при сепсисе является тканевая гипоксия и органная недостаточность.

Формы сепсиса классифицируются в зависимости от локализации первичного инфекционного очага. На основании этого признака различают первичный (криптогенный, эссенциальный, идиопатический) и вторичный сепсис. При первичном сепсисе входные ворота обнаружить не удается. Вторичный септический процесс подразделяется на:
- хирургический – развивается при заносе инфекции в кровь из послеоперационной раны
- акушерско-гинекологический – возникает после осложненных абортов и родов
- уросепсис – характеризуется наличием входных ворот в отделах мочеполового аппарата (пиелонефрит, цистит, простатит)
- кожный – источником инфекции служат гнойные заболевания кожи и поврежденные кожные покровы (фурункулы, абсцессы, ожоги, инфицированные раны и др.)
- перитонеальный (в т. ч. билиарный, кишечный) – с локализацией первичных очагов в брюшной полости
- плевро-легочный – развивается на фоне гнойных заболеваний легких (абсцедирующей пневмонии, эмпиемы плевры и др.)
- одонтогенный– обусловлен заболеваниями зубочелюстной системы (кариесом, корневыми гранулемами, апикальным периодонтитом, периоститом, околочелюстными флегмонами, остеомиелитом челюстей)
- тонзиллогенный – возникает на фоне тяжелых ангин, вызванных стрептококками или стафилококками
- риногенный – развивается вследствие распространения инфекции из полости носа и придаточных пазух, обычно при синуситах
- отогенный - связан с воспалительными заболеваниями уха, чаще гнойным средним отитом.
- пупочный– встречается при омфалите новорожденных
По времени возникновения сепсис подразделяется на ранний (возникает в течение 2-х недель с момента появления первичного септического очага) и поздний (возникает позднее двухнедельного срока). По темпам развития сепсис может быть молниеносным (с быстрым развитием септического шока и наступлением летального исхода в течение 1-2 суток), острым (длительностью 4 недели), подострым (3-4 месяца), рецидивирующим (продолжительностью до 6 месяцев с чередованием затуханий и обострений) и хроническим (продолжительностью более года).
Сепсис в своем развитии проходит три фазы: токсемии, септицемии и септикопиемии. Фаза токсемии характеризуется развитием системного воспалительного ответа вследствие начала распространения микробных экзотоксинов из первичного очага инфекции; в этой фазе бактериемия отсутствует. Септицемия знаменуется диссеминацией возбудителей, развитием множественных вторичных септических очагов в виде микротромбов в микроциркуляторном русле; наблюдается стойкая бактериемия. Для фазы септикопиемии характерно образование вторичных метастатических гнойных очагов в органах и костной системе.
Симптомы сепсиса
Симптоматика сепсиса крайне полиморфна, зависит от этиологической формы и течения заболевания. Основные проявления обусловлены общей интоксикацией, полиорганными нарушениями и локализацией метастазов.
Состояние больного сепсисом быстро утяжеляется. Кожные покровы приобретают бледновато-серый (иногда желтушный) цвет, черты лица заостряются. Могут возникать герпетические высыпания на губах, гнойнички или геморрагические высыпания на коже, кровоизлияния в конъюнктиву и слизистые оболочки. При остром течении сепсиса у больных быстро возникают пролежни, нарастает обезвоживание и истощение.
В условиях интоксикации и тканевой гипоксии при сепсисе развиваются полиорганные изменения различной степени тяжести. На фоне лихорадки отчетливо выражены признаки нарушения функций ЦНС, характеризующиеся заторможенностью или возбуждением, сонливостью или бессонницей, головными болями, инфекционными психозами и комой. Сердечно-сосудистые нарушения представлены артериальной гипотонией, ослаблением пульса, тахикардией, глухостью сердечных тонов. На этом этапе сепсис может осложниться токсическим миокардитом, кардиомиопатией, острой сердечно-сосудистой недостаточностью.
На происходящие в организме патологические процессы дыхательная система реагирует развитием тахипноэ, инфаркта легкого, респираторного дистресс-синдрома, дыхательной недостаточности. Со стороны органов ЖКТ отмечается анорексия, возникновение «септических поносов», чередующихся с запорами, гепатомегалии, токсического гепатита. Нарушение функции мочевыделительной системы при сепсисе выражается в развитии олигурии, азотемии, токсического нефрита, ОПН.
В первичном очаге инфекции при сепсисе также происходят характерные изменения. Заживление ран замедляется; грануляции становятся вялыми, бледными, кровоточащими. Дно раны покрывается грязно-сероватым налетом и участками некрозов. Отделяемое приобретает мутный цвет и зловонный запах.
Метастатические очаги при сепсисе могут выявляться в различных органах и тканях, что обусловливает наслоение дополнительной симптоматики, свойственной гнойно-септическому процессу данной локализации. Следствием заноса инфекции в легкие служит развитие пневмонии, гнойного плеврита, абсцессов и гангрены легкого. При метастазах в почки возникают пиелиты, паранефриты. Появление вторичных гнойных очагов в опорно-двигательной системе сопровождается явлениями остеомиелита и артрита. При поражении головного мозга отмечается возникновение церебральных абсцессов и гнойного менингита. Возможно наличие метастазов гнойной инфекции в сердце (перикардит, эндокардит), мышцах или подкожной жировой клетчатке (абсцессы мягких тканей), органах брюшной полости (абсцессы печени и др.).
Осложнения сепсиса
Основные осложнения сепсиса связаны с полиорганной недостаточностью (почечной, надпочечниковой, дыхательной, сердечно-сосудистой) и ДВС-синдромом (кровотечения, тромбоэмболии).
Тяжелейшей специфической формой сепсиса является септический (инфекционно-токсический, эндотоксический) шок. Он чаще развивается при сепсисе, вызванном стафилококком и грамотрицательной флорой. Предвестниками септического шока служат дезориентация больного, видимая одышка и нарушение сознания. Быстро нарастают расстройства кровообращения и тканевого обмена. Характерны акроцианоз на фоне бледных кожных покровов, тахипноэ, гипертермия, критическое падение АД, олигурия, учащение пульса до 120-160 уд. в минуту, аритмия. Летальность при развитии септического шока достигает 90%.

Диагностика сепсиса
Распознавание сепсиса основывается на клинических критериях (инфекционно-токсической симптоматике, наличии известного первичного очага и вторичных гнойных метастазов), а также лабораторных показателях (посев крови на стерильность).
Вместе с тем, следует учитывать, что кратковременная бактериемия возможна и при других инфекционных заболеваниях, а посевы крови при сепсисе (особенно на фоне проводимой антибиотикотерапии) в 20-30% случаев бывают отрицательными. Поэтому посев крови на аэробные и анаэробные бактерии необходимо проводить минимум трехкратно и желательно на высоте лихорадочного приступа. Также производится бакпосев содержимого гнойного очага. В качестве экспресс-метода выделения ДНК возбудителя сепсиса используется ПЦР. В периферической крови отмечается нарастание гипохромной анемии, ускорение СОЭ, лейкоцитоз со сдвигом влево.
Дифференцировать сепсис необходимо от лимфогранулематоза, лейкемии, брюшного тифа, паратифов А и В, бруцеллеза, туберкулеза, малярии и других заболеваний, сопровождающихся длительной лихорадкой.
Лечение сепсиса
Пациенты с сепсисом госпитализируются в отделение интенсивной терапии. Комплекс лечебных мероприятий включает в себя антибактериальную, дезинтоксикационную, симптоматическую терапию, иммунотерапию, устранение белковых и водно-электролитных нарушений, восстановление функций органов.
С целью устранения источника инфекции, поддерживающего течение сепсиса, проводится хирургическое лечение. Оно может заключаться во вскрытии и дренировании гнойного очага, выполнении некрэктомии, вскрытии гнойных карманов и внутрикостных гнойников, санации полостей (при абсцессе мягких тканей, флегмоне, остеомиелите, перитоните и др.). В некоторых случаях может потребоваться резекция или удаление органа вместе с гнойником (например, при абсцессе легкого или селезенки, карбункуле почки, пиосальпинксе, гнойном эндометрите и др.).
Борьба с микробной флорой предполагает назначение интенсивного курса антибиотикотерапии, проточное промывание дренажей, местное введение антисептиков и антибиотиков. До получения посева с антибиотикочувствительностью терапию начинают эмпирически; после верификации возбудителя при необходимости производится смена противомикробного препарата. При сепсисе для проведения эмпирической терапии обычно используются цефалоспорины, фторхинолоны, карбапенемы, различные комбинации препаратов. При кандидосепсисе этиотропное лечение проводится амфотерицином В, флуконазолом, каспофунгином. Антибиотикотерапия продолжается в течение 1-2 недель после нормализации температуры и двух отрицательных бакпосевов крови.
Дезинтоксикационная терапия при сепсисе проводится по общим принципам с использованием солевых и полиионных растворов, форсированного диуреза. С целью коррекции КОС используются электролитные инфузионные растворы; для восстановления белкового баланса вводятся аминокислотные смеси, альбумин, донорская плазма. Для борьбы с бактериемией при сепсисе широко используются процедуры экстракорпоральной детоксикации: плазмаферез, гемосорбция, гемофильтрация. При развитии почечной недостаточности применяется гемодиализ.
Иммунотерапия предполагает использование антистафилококковой плазмы и гамма-глобулина, переливание лейкоцитарной массы, назначение иммуностимуляторов. В качестве симптоматических средств используются сердечно-сосудистые препараты, анальгетики, антикоагулянты и др. Интенсивная медикаментозная терапия при сепсисе проводится до стойкого улучшения состояния больного и нормализации показателей гомеостаза.
Исход сепсиса определяется вирулентностью микрофлоры, общим состоянием организма, своевременностью и адекватностью проводимой терапии. К развитию осложнений и неблагоприятному прогнозу предрасположены больные пожилого возраста, с сопутствующими общими заболеваниями, иммунодефицитами. При различных видах сепсиса летальность составляет 15-50%. При развитии септического шока вероятность летального исхода крайне высока.
Профилактические меры в отношении сепсиса состоят в устранении очагов гнойной инфекции; правильном ведении ожогов, ран, локальных инфекционно-воспалительных процессов; соблюдении асептики и антисептики при выполнении лечебно-диагностических манипуляций и операций; предупреждении госпитальной инфекции; проведении вакцинации (против пневмококковой, менингококковой инфекции и др.).
Септикопиемия
Септикопиемия – это форма (фаза) течения сепсиса, для которой характерно появление пиемических метастатических очагов в различных органах вследствие гематогенного заноса инфекции. Протекает с явлениями выраженной интоксикации, усугубляющейся образованием абсцессов в мягких тканях, печени, развитием абсцедирующей пневмонии, гнойного менингита, остеомиелита, эндомиокардита и др. Диагностируется по результатам клинической картины, инструментальной визуализации (обнаружение абсцессов по данным УЗИ, МРТ), выявления бактериемии. Лечение сочетает массивную антибиотикотерапию, инфузионную терапию с хирургическим удалением гнойных очагов.
Септикопиемия, или пиемия (от греч. «septicopyaemia» – гнилостно-гнойное заражение крови) – это гнойные метастазы в различные ткани и органы при сепсисе. Может являться самостоятельной клинико-анатомической формой септического процесса (70%) или стадией, следующей за токсемией и септицемией (30%). Встречается в различных возрастных группах, в т. ч. у новорожденных. Несмотря на то, что удельный вес септикопиемии в структуре острых гнойных хирургических заболеваний не так велик (0,1%), летальность в зависимости от вида возбудителя достигает 30-80%.
Причины септикопиемии
Формирование вторичных пиемических очагов происходит при гематогенной диссеминации инфекции из первичного септического очага, расположенного в коже и мягких тканях, костях, легких, брюшной полости, почках, ротоглотке, придаточных пазухах, сосудистом русле и пр.
При исследовании гемокультуры чаще всего обнаруживаются стафилококки (90%), обычно его антибиотикорезистентные штаммы. Весомую роль играют стрептококки, синегнойная палочка, протей, кишечная палочка, энтеробактерии, анаэробы. Среди возбудителей микотического сепсиса преобладают кандиды, аспергиллы, актиномицеты. Почти в половине случаев выявляется полимикробная инфекция. Микст-инфекция утяжеляет течение сепсиса и отягощает прогноз.
Факторы риска
Развитию септикопиемии способствует снижение иммунореактивности, которое наиболее часто отмечается при следующих состояниях:
- недоношенность у детей;
- иммунодефициты;
- сахарный диабет;
- онкопатология;
- аутоиммунные болезни;
- хронические интоксикации (алкогольная, наркотическая);
- состояние после спленэктомии.
В группе риска находятся роженицы, стационарные пациенты, перенесшие хирургическое вмешательство, получающие иммуносупрессивную терапию, проходящие гемодиализ, находящиеся на ИВЛ и др. Кроме повышенной восприимчивости к различным патогенным агентам, они подвергаются риску столкновения с внутрибольничной инфекцией.
Среди механизмов сепсиса наибольшую роль играют этиологические агенты, локализация ворот инфекции и иммуно-биологическая реактивность организма. Чаще септикопиемия возникает самостоятельно, первично, примерно в трети случаев – на фоне предшествующей септицемии. В воротах инфекции развивается гнойный лимфангит, лимфаденит, тромбофлебит, выступающий источником тромбобактериальной эмболии.
Нарастающая системная воспалительная реакция истощает защитные механизмы: фагоцитоз, систему комплемента, образование антител и др. В результате бактериемия становится неконтролируемой, инфекция приобретает генерализованный характер. В сосудах первичного очага формируются инфицированные тромбы. С током крови микробные эмболы разносятся по организму, преодолевают гистогематические барьеры, проникают в органы, анатомически не связанные с первичным очагом. В них формируются метастатические гнойные очаги.
Источниками (первичными очагами) пиемии у новорожденных чаще всего служат инфекции пупочной ранки (омфалит ‒ более 25%), неонатальная пневмония (20-25%), заболевания кишечника (язвенно-некротический энтероколит – около 20%) и др. Вторичные пиемические очаги наиболее часто формируются в мозговых оболочках (гнойный менингит), костях (остеомиелит), легких (абсцедирующая пневмония), мягких тканях (флегмоны, абсцессы кожи).
У 60-70% взрослых первые пиемические очаги образуются в легких (абсцесс, инфаркт легкого). При вовлечении легочных вен септические эмболы распространяются по большому кругу кровообращения – формируются абсцессы печени, карбункулы почек, гнойные артриты, абсцессы кожи, межмышечные флегмоны, перикардит, эмпиема плевры, гнойный перитонит.
Симптомы септикопиемии
Клиническая картина складывается из общеинтоксикационного синдрома и местных проявлений, обусловленных локализацией метастатических очагов. Синдром интоксикации характеризуется гектической лихорадкой, адинамией, артериальной гипотонией, головной болью. Колебания температуры происходят 3-5 раз в сутки, сопровождаются ознобами, профузными потами, выраженной тахикардией.
Поражение ЦНС при септикопиемии может проявляться абсцессами головного мозга, гнойным менингитом, тромбоэмболическим менингоэнцефалитом. Возникает менингеальный синдром, судороги, возможны нарушения сознания.
Вторичная абсцедирующая пневмония сопровождается кашлем с гнойной мокротой, одышкой, цианозом, интермиттирующей лихорадкой. Возможно формирование множественных абсцессов легочной ткани, гангрены легкого, эмпиемы плевры. Поражение сердца может принимать форму инфекционного эндокардита, перикардита, эндомиокардита, которые протекают с явлениями нарастающей сердечной недостаточности.
При гнойном поражении почек (абсцесс, карбункул, паранефрит) возникает выраженный болевой синдром в пояснице, пиурия, уменьшается выделение мочи. Наличие септического очага в печени сопровождается тупыми болями в подреберье, гепатомегалией, желтушностью кожи.
Септикопиемия сама рассматривается как осложнение сепсиса. Тем не менее, дальнейшее прогрессирование инфекционного процесса может привести к развитию септического шока. Происходит критическое снижение АД, нарастает дыхательная недостаточность, развивается ДВС-синдром. При прорыве абсцессов в брюшную полость возникает гнойный перитонит, при расплавлении сосудов – массивные аррозивные кровотечения. Основной причиной летальности при септикопиемии выступает полиорганная дисфункция.
Специфических методов диагностики септикопиемии не существует. Диагноз выставляется на сновании клинико-лабораторных и инструментальных данных. Ведением пациентов занимается мультидисциплинарная команда специалистов: хирурги различных специальностей, реаниматолог, трансфузиолог, клинический фармаколог и др. Важными диагностическими критериями септикопиемии служат:
- Объективные данные. Общее состояние расценивается как тяжелое. Отмечается адинамия, заторможенность или ажитация, могут быть судороги, спутанность сознания. Характерна лихорадка с ознобами, артериальная гипотония, тахикардия. Диурез снижен.
- Лабораторные показатели. В крови обнаруживается анемия, высокий лейкоцитоз >12х10⁹/л, СОЭ ˃60 мм/ч. Биохимическое исследование выявляет гипопротеинемию, гипоальбуминемию, повышение СРБ, прокальцитонина. Бактериемия обнаруживается примерно в 70% случаев, поэтому кровь для посева необходимо брать многократно на высоте гипертермии.
- Признаки генерализации инфекции. При инструментальном обследовании визуализируются пиемические очаги различной локализации, не связанные с входными воротами. Для их выявления выполняют сонографию (ЭхоКГ, УЗИ почек, печени), рентгенографию (легких, костей и суставов), томографию (КТ, МРТ), люмбальную пункцию. В неясных ситуациях прибегают к диагностической лапароскопии или торакоскопии.
Септикопиемию требуется дифференцировать с туберкулезной инфекцией, другими заболеваниями, протекающими с лихорадочным синдромом (малярией, брюшным тифом, лептоспирозом, бруцеллезом и пр.). Также следует исключить локальные инфекции (абсцессы, флегмоны), изолированный пиелонефрит, пневмонию.
Лечение септикопиемии
Лечение осуществляется в хирургическом стационаре и носит комбинированный характер. Основные направления: ликвидация гнойных очагов, подавление инфекционного процесса, снятие интоксикационного синдрома, восстановление иммунологического гомеостаза. Подбирается энтеральное или парентеральное питание с высоким содержанием белка, витаминов.
Хирургическое лечение
Санация септических очагов, как первичных, так и метастатических, подразумевает дренирование или иссечение абсцессов, флегмон, повторную хирургическую обработку ран, некрэктомию. Необходимо удаление внутренних источников инфекции: инфицированных инородных тел, сосудистых протезов, искусственных клапанов сердца, эндопротезов суставов.
С учетом локализации гнойников может выполняться дренирование эмпиемы плевры или абсцесса легкого, вскрытие абсцессов печени, карбункула почки. В полости тела и раны устанавливаются дренажи, проводится проточное промывание, перевязки, местное введение ферментов и антибиотиков. При локализации гнойных очагов в области конечностей может быть показана ампутация.
Консервативная терапия
Проводится в палате интенсивной терапии до и после хирургических вмешательств. Носит многоаспектный характер:
- Антибактериальная терапия. Подбирается в соответствии с выделенным возбудителем или микробной ассоциацией. Обычно при лечении септикопиемии используют цефалоспорины, аминогликозиды, пенициллины, фторхинолоны, карбапенемы, производные метронидазола. Длительность терапии определяется клинико-лабораторными показателями (нормализация t° и показателей крови, отрицательные бакпосевы). Возможно не только внутривенное, но и внутриартериальное, эндолимфатическое, внутрикостное введение антибиотиков.
- Дезинтоксикация. Осуществляется путем инфузионной терапии под контролем диуреза и гемодинамики. Пациентам вводят растворы глюкозы, калия и натрия хлорида, плазмозаменителей (реополиглюкин, гемодез). Показано применение форсированного диуреза.
- Иммунотерапия. Включает переливание свежезамороженной донорской плазмы, введение иммуноглобулинов (антистафилококкового, нормального человеческого), стафилококкового анатоксина.
- Эфферентная терапия. Элиминации эндотоксинов и восстановлению гомеостаза при сепсисе способствует экстракорпоральная гемокоррекция: гемосорбция, плазмаферез, плазмофильтрация. При развитии ОПН прибегают к процедурам гемодиализа и гемофильтрации.
Септикопиемия с формированием отдаленных гнойных отсевов, является одной из наиболее тяжелых форм сепсиса и сопровождается наивысшим процентом летальности. Только своевременное обнаружение и радикальная санация всех очагов, подключение этиотропного и патогенетического лечения позволяют надеяться на благоприятный прогноз.
Профилактика септикопиемии тесно связана с оказанием квалифицированной хирургической помощи при гнойных заболеваниях, травмах, раневых инфекциях. Важно не допускать развития бактериемии и сепсиса. В ЛПУ необходимо строго соблюдать санитарно-гигиенический режим, меры асептики и антисептики.
2. Сепсис: определение, диагностическая концепция, патогенез и интенсивная терапия/ Голуб И.Е., Сорокина Л.В., Нетесин Е.С. – 2015.
3. Хирургический сепсис: клиника, диагностика и лечение/ Светухин А.М., Жуков А.О./ Consilium medicum. – 1999. - №2.
4. Клиника, диагностика и лечение хирургического сепсиса. Автореферат диссертации/ Светухин А. М. – 1988.
Читайте также:
- Рентгенограмма, КТ, МРТ при остеопорозе позвоночника
- Профилактика и лечение инфекционных осложнений острого лейкоза. Лечение инфекций при лейкозе
- Влагалище с точки зрения хирургии.
- Период выздоровления инфекционной болезни. Лихорадка при инфекционной болезни
- Методика дренирования переднего средостения у новорожденного
