Предуктальная коарктация аорты. Признаки и диагностика предуктальной корактации аорты.
Добавил пользователь Владимир З. Обновлено: 28.11.2025
Коарктация аорты.
Сужение, или стенозирование, просвета аорты может произойти на любом уровне на всем ее протяжении, но чаще всего оно располагается дистальнее места отхождения левой подключичной артерии, вблизи от места присоединения артериальной связки. Коарктация встречается приблизительно у 7 % больных с врожденными заболеваниями сердца и в 2 раза чаще у мужчин, чем у женщин, хотя и преобладает у пациентов и дисгенезией гонад (гл. 331). Клинические проявления зависят от локализации и протяженности обструкции и наличия сопутствующих аномалий сердца, таких как двустворчатый клапан аорты, врожденный стеноз устья аорты, открытый артериальный проток, дефект межжелудочковой перегородки и недостаточность левого предсердно-желудочкового клапана (митральная недостаточность). Если диффузное сужение аорты происходит проксимальнее артериального протока, то уже в период внутриутробного развития возможна гипертрофия правого желудочка, а в ранние сроки после рождения часто наблюдаются легочная гипертензия и застойная сердечная недостаточность. В результате преимущественного сброса ненасыщенной артериальной легочной крови через открытый артериальный проток в нижнюю часть тела развивается дифференциальный цианоз. Чаще, однако, коарктация локализуется на уровне или непосредственно дистальнее места присоединения артериального протока или соответствующей ему связки. У большинства детей и лиц молодого возраста с изолированной юкста- или постдуктальной коарктацией симптомы болезни отсутствуют. Иногда появляются головные боли, носовое кровотечение, перемежающаяся хромота при выполнении физической работы, конечности холодеют. Внимание на состояние сердечнососудистой системы обычно обращают только тогда, когда в ходе физикального обследования выявляют сердечный шум или гипертензию на верхних конечностях. В детстве основную роль в генезе гипертензии играют механические факторы, а не нарушение функции почек.
Коарктация аорты : диагностика
Ключом к постановке диагноза являются такие признаки, как отсутствие, заметное снижение или отсроченность пульсации бедренных артерий и низкое или неопределяемое артериальное давление на нижних конечностях при гипертензии на верхних. У взрослых в межреберных промежутках спереди, в подмышечных ямках или сзади в подлопаточных областях пальпируются расширенные пульсирующие коллатеральные сосуды. Верхние конечности и грудная клетка могут быть более развиты, чем нижние конечности. Над передней поверхностью грудной клетки, на спине и вдоль поперечных отростков выслушивается мидсистолический шум, который приобретает постоянный характер по мере того, как просвет сужается, и на протяжении всего сердечного цикла кровь протекает через дефект с большой скоростью. Кроме того, на боковых поверхностях грудной клетки можно выслушать систолические и постоянные шумы, связанные с прохождением крови по расширенным и извитым коллатеральным сосудам. На ЭКГ видны признаки гипертрофии левого желудочка различной степени в зависимости от величины артериального давления проксимальнее обструкции и возраста больного. Наличие у детей раннего и старшего возраста преимущественно гипертрофии правого желудочка или смешанной гипертрофии указывает на сложный характер основного заболевания. Рентгенологическое исследование выявляет расширенную левую подключичную артерию, находящуюся на уровне левой границы средостения, и расширенную часть восходящей аорты. Патогномоничным признаком коарктации служит зубчатое изменение стенки аорты в месте коарктации, выше и ниже ее (симптом "3") вдоль левой парамедиальной тени. Важным рентгенологическим признаком является также изрезанность тени края ребра вследствие его эрозии под влиянием механического давления расширенного коллатерального сосуда. Эта изрезанность тени усиливается с возрастом и обычно становится явной к 6-12 годам. Локализацию и протяженность коарктации обычно устанавливают с помощью двухпроекционной эхокардиографии, проводимой из пара- или супрастернального доступов. Для более точного установления места обструкции, протяженности коарктации и выявления сочетанных пороков можно выполнить катетеризацию полостей сердца и аортографию.
Коарктация аорты : лечение
Лечение при неосложненных случаях коарктации аорты хирургическое. Выполняют резекцию и наложение анастомоза "конец в конец" или проводят ангиопластику участком подключичного сосуда. Результаты подобной операции удовлетворительные. В ряде случаев, если протяженность суженного участка велика, может возникнуть необходимость использовать тубулярный трансплантат. В ближайшем послеоперационном периоде нередко возникает непродолжительная парадоксальная артериальная гипертензия. Дальнейшее течение послеоперационного периода может осложняться некротическим панартериитом небольших сосудов желудочно-кишечного тракта неясной этиологии. У детей, переживших первые 2 года жизни, до достижения ими возраста 20-30 лет осложнения возникают редко. При отсутствии клинических симптомов операцию рекомендуют выполнять в возрасте 3-6 лет. Основные опасности связаны с тяжелой артериальной гипертензией, способной привести к развитию аневризмы сосудов мозга и внутримозгового кровотечения, разрыву аорты, левожелудочковой недостаточности и инфекционному эндокардиту. При отсутствии остаточной коарктации возникающая после операции системная гипертензия связана, видимо, с продолжительностью артериальной гипертензии перед операцией. После операции пациентов желательно наблюдать на протяжении всей их жизни, поскольку в некоторых случаях может иметь место позднее возникновение гипертензии.
Предуктальная коарктация аорты. Признаки и диагностика предуктальной корактации аорты.
Предуктальная коарктация аорты — одна из основных причин прогрессирующей недостаточности кровообращения у новорожденных детей.
Анатомически сужение аорты располагается перед отхождением артериального протока. Дистальнее коарктации стенка аорты истончается, просвет расширяется в результате турбулентного воздействия тока крови после прохода места сужения.
Гемодинамически происходит сброс крови из легочной артерии в аорту через артериальный проток, что определяется разницей давления крови между легочной артерией и нисходящей аортой ниже места коарктации. Сброс может быть артериовенозным и веноартериальным. Последний объясняет дифференцированный цианоз на ногах и отсутствие его на руках. Имеет место перегрузка правых отделов сердца.
Клинически с первых дней жизни наблюдаются легочно-сердечная недостаточность, резкая бледность кожных покровов, выраженная одышка, застойные хрипы в легких. Новорожденные отстают в физическом развитии, нарастают явления гипотрофии. Границы относительной сердечной тупости умеренно расширены, верхушечный толчок усилен, приподнимающий. Аускультативные проявления порока у новорожденных детей слабо выражены и нетипичны. Существенное значение для диагностики имеет измерение АД на руках и ногах: определяется повышение его на руках и снижение на ногах. Характер пульса также является важным клиническим симптомом заболевания. Для этого порока характерно резкое ослабление пульса на бедренных артериях и напряженный пульс на кубитальной артерии. При веноартериальном сбросе на ногах появляется дифференцированный цианоз.

Диагностика предуктальной корактации аорты.
ЭКГ при умеренной коарктации мало отличается от нормы. При более значительном сужении аорты регистрируется увеличение правых отделов сердца.
На рентгенограмме легочный рисунок нормальный, сердце имеет шаровидную конфигурацию с приподнятой верхушкой и расширенной восходящей аортой.
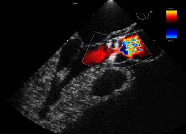
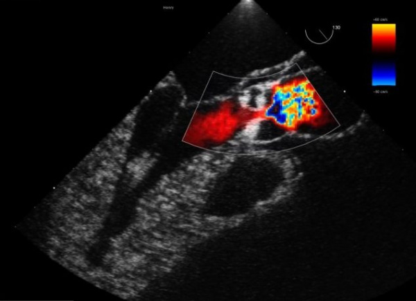
Двухмерная эхокардиография, проведенная из супрастернального доступа, обнаруживает коарктацию аорты в виде ярких эхосигналов в просвете аорты, увеличение правого предсердия и желудочка. Доплерэхокардиография позволяет выявить ускоренный турбулентный поток крови за местом стеноза.
Коррекция. Консервативная терапия малоэффективна. Сердечная недостаточность часто рефрактерна к медикаментозному лечению.
Показано оперативное лечение. У новорожденных детей при выраженной артериальной гипертензии и декомпенсации сердечной деятельности может быть проведена срочная операция после предварительного медикаментозного лечения.
Имеются данные о положительном влиянии внутривенного введения простагландина Е1 на гемодинамику у новорожденных детей с врожденными пороками сердца и сердечной недостаточностью. Начальная доза простагландина Е1 составляет 0,05 мкг/кг*мин при средней продолжительности инфузии 100—150 ч. Назначение про-стагландина Е1 в этих случаях проводится в течение первых 2 нед жизни. Наилучшие результаты достигаются у детей с цианозом и сниженным легочным кровотоком, у младенцев со сниженным системным кровотоком, хуже результаты у новорожденных с цианозом и нормальным или увеличенным легочным кровотоком, а также у пациентов с транспозицией крупных сосудов. Наиболее частым осложнением является гипертермия, которая купируется при снижении дозы простагландина (Cabrera A. et al., 1987).
Информация на сайте подлежит консультации лечащим врачом и не заменяет очной консультации с ним.
См. подробнее в пользовательском соглашении.
Гемодинамика при коарктации аорты. Течение коарктации аорты у ребенка.
Гемодинамические сдвиги при коарктации аорты определяются препятствием кровотоку в аорте. Основным следствием этого является высокое давление в левом желудочке и верхней половине туловища. В нижней половине тела перфузионное давление резко снижено, и кровоснабжение зависит либо от проходимости ОАП, через который поступает кровь из легочной артерии (дуктус-зависимое кровообращение), либо от наличия коллатералей. К главным сосудам, участвующим в развитии коллатеральной сети, относятся подключичные артерии с их ветвями, внутренние грудные артерии, межреберные артерии, сосуды лопатки, позвоночные артерии. При коарктации, расположенной предуктально, кровоток в нисходящую аорту может долгое время осуществляться через ОАП, и стимулы для развития коллатералей отсутствуют.
В период внутриутробного развития основную нагрузку несет правый желудочек, в значительной мере осуществляющий системное кровообращение. После рождения ребенка эта функция полностью переходит к левому желудочку, который при коарктации аорты должен быстро гипертрофироваться. Если нарастание массы миокарда не сопровождается достаточным увеличением его кровоснабжения, это ведет к кислородному голоданию мышцы сердца, развитию зон ишемии, мелкоочаговых некрозов, фиброэластоза. Фракция выброса желудочка снижается как вследствие механического препятствия, так и последующей миокардиальной недостаточности; это сопровождается падением сердечного выброса.
Изменения легочного кровотока обычно связаны с наличием ОАП и других ВПС. Кровоток через ОАП может быть направлен как в сторону нисходящей аорты (у новорожденных с предуктальной коарктацией), так и в сторону легочной артерии. В первом случае он поддерживает кровообращение в бассейне нисходящей аорты, во втором приводит к гиперволемии малого круга кровообращения. Сброс слева направо через сопутствующий ДМЖП в течение некоторого времени «разгружает» левый желудочек, позволяя адаптироваться к нагрузке давлением, но быстро приводит к дополнительной объемной нагрузке. Кроме того, большой ДМЖП сопровождается быстрым развитием высокой легочной гипертензии, так как через него на легочные сосуды передается значительно повышенное давление из левого желудочка.
При изолированной коарктации в связи с повышением левопредсердного давления возможны застой в малом круге кровообращения и шунтирование крови в правое предсердие через открытое овальное окно. При пороках со сбросом крови справа налево обращают на себя внимание симптомы артериальной гипоксемии.

Классификация коарктации аорты у ребенка.
По мере развития кардиохирургии грудного возраста менялись взгляды на систематизацию заболевания. Опыт показал, что для практической работы удобна следующая классификация коарктации аорты у грудных детей:
1-я группа - «простая коарктация» аорты (изолированная или в сочетании с ОАП);
2-я группа - коарктация аорты в сочетании с ДМЖП;
3-я группа — коарктация аорты в сочетании с другими пороками сердца, оказывающими влияние на состояние больных (А — бледного типа, Б - синего типа).
По морфологическим критериям целесообразно выделение локальной коарктации, коарктации с тубулярным сужением перешейка аорты и коарктации с гипоплазией дуги аорты. В описательных целях используются термины «предуктальная», «кжстадуктальная», «постдуктальная» коарктация.
Любая из групп может быть дополнена характеристикой степени нарушения кровообращения, а если исследуется функция сердца — то и характеристикой его сократительной способности.
Фетальная ЭхоКГ. Внутриутробная диагностика изолированной коарктации аорты представляет значительные трудности, так как и в норме перешеек аорты уже остальных ее отделов. Косвенным признаком порока является диспропорция размеров магистральных артерий и желудочков с преобладанием правых отделов, а также увеличение диаметра левой общей сонной артерии по отношению к диаметру дуги аорты более 0,73 (в среднем 0,77±0,05) при норме до 0,62 (в среднем 0,48+0,08). Чаще коарктацию аорты диагностируют в составе синдрома гипоплазии левого сердца.
Дополнительным индикатором коарктации аорты у плода может служить наличие левой верхней полой вены. Считается, что механизмы, ответственные за персистирование этой вены, приводят к нарушению наполнения левого желудочка и таким образом способствуют возникновению сужения аорты. При фетальной ЭхоКГ обращает на себя внимание диспропорция четырех камер, связанная с расширением коронарного синуса, в который впадает добавочная левая верхняя полая вена. Нередко такие плоды направляют на экспертное исследование с подозрением на атриовентрикулярные или септальные дефекты.
Естественное течение коарктации аорты у ребенка. Во внутриутробном периоде коарктация аорты не оказывает влияния на развитие плода. Даже при полном перерыве аорты кровоснабжение нижней половины туловища успешно осуществляется через ОАП. После рождения ОАП может поддерживать кровоток с помощью двух механизмов: 1) путем сохранения фетального типа кровоснабжения нисходящей аорты; 2) в качестве «обходного канала» зоны коарктации.
Видео ЭхоКГ при коарктации аорты у плода
Закрытие ОАП у дуктус-зависимых больных приводит к кардиогенному шоку и сопровождается высокой летальностью. В среднем изолированная коарктация приводит к смерти 41—46% пациентов в течение первого года жизни, при ее сочетании с другими ВПС умирают 70— 90% детей. Основные причины смерти — сердечная и почечная недостаточность. В некоторых случаях катастрофическая сердечная недостаточность может развиться неожиданно быстро, например, после респираторного заболевания, протекающего с высокой температурой. В целом, чем раньше проявляется заболевание, тем тяжелее оно протекает и неблагоприятнее его последствия.
Среди дополнительных факторов риска особое значение имеют внесердечные аномалии развития, а также масса тела при рождении менее двух килограммов. Эти факторы повышают смертность почти в два раза.
Родоразрешение рекомендуется в специализированном учреждении, располагающем возможностями для инфузии простагландинов и последующего хирургического лечения. В зависимости от степени сужения аорты порок относится ко 2-й или 3-й категории тяжести.
Аортальный стеноз ( Стеноз устья аорты )
Аортальный стеноз – это сужение отверстия аорты в области клапана, затрудняющее отток крови из левого желудочка. Аортальный стеноз в стадии декомпенсации проявляется головокружением, обмороками, быстрой утомляемостью, одышкой, приступами стенокардии и удушья. В процессе диагностики аортального стеноза учитываются данные ЭКГ, эхокардиографии, рентгенографии, вентрикулографии, аортографии, катетеризации сердца. При аортальном стенозе прибегают к баллонной вальвулопластике, протезированию аортального клапана; возможности консервативного лечения при данном пороке весьма ограничены.
МКБ-10



Общие сведения
Аортальный стеноз или стеноз устья аорты характеризуется сужением выносящего тракта в области полулунного клапана аорты, в связи с чем затрудняется систолическое опорожнение левого желудочка и резко возрастает градиент давления между его камерой и аортой. На долю аортального стеноза в структуре других пороков сердца приходится 20–25%. Стеноз устья аорты в 3–4 раза чаще выявляется у мужчин, чем у женщин. Изолированный аортальный стеноз в кардиохирургии встречается редко – в 1,5-2% наблюдений; в большинстве случаев данный порок сочетается с другими клапанными дефектами - митральным стенозом, аортальной недостаточностью и др.

Причины
Приобретенный аортальный стеноз чаще всего обусловлен ревматическим поражением створок клапанов. При этом заслонки клапана деформируются, сращиваются между собой, становятся плотными и ригидными, приводя к сужению клапанного кольца. Причинами приобретенного стеноза устья аорты также могут служить:
- атеросклероз аорты;
- кальциноз (обызвествление) аортального клапана;
- инфекционный эндокардит;
- болезнь Педжета;
- системная красная волчанка;
- ревматоидный артрит;
- терминальная почечная недостаточность.
Врожденный аортальный стеноз наблюдается при врожденном сужении устья аорты или аномалии развития - двустворчатом аортальном клапане. Врожденный порок аортального клапана обычно проявляется в возрасте до 30 лет; приобретенный – в более старшем возрасте (обычно после 60 лет). Ускоряют процесс формирования аортального стеноза курение, гиперхолестеринемия, артериальная гипертензия.
Патогенез
При аортальном стенозе развиваются грубые нарушения внутрисердечной, а затем и общей гемодинамики. Это связано с затрудненным опорожнением полости левого желудочка, ввиду чего происходит значительное увеличение градиента систолического давления между левым желудочком и аортой, который может достигать от 20 до 100 и более мм рт. ст.
Функционирование левого желудочка в условиях повышенной нагрузки сопровождается его гипертрофией, степень которой, в свою очередь, зависит от выраженности сужения аортального отверстия и времени существования порока. Компенсаторная гипертрофия обеспечивает длительное сохранение нормального сердечного выброса, сдерживающего развитие сердечной декомпенсации.
Однако при аортальном стенозе достаточно рано наступает нарушение коронарной перфузии, связанное с повышением конечного диастолического давления в левом желудочке и сдавлением гипертрофированным миокардом субэндокардиальных сосудов. Именно поэтому у пациентов с аортальным стенозом признаки коронарной недостаточности появляются задолго до наступления сердечной декомпенсации.
По мере снижения сократительной способности гипертрофированного левого желудочка, уменьшается величина ударного объема и фракции выброса, что сопровождается миогенной левожелудочковой дилатацией, повышением конечного диастолического давления и развитием систолической дисфункции левого желудочка. На этом фоне повышается давление в левом предсердии и малом круге кровообращения, т. е. развивается артериальная легочная гипертензия.
При этом клиническая картина аортального стеноза может усугубляться относительной недостаточностью митрального клапана («митрализацией» аортального порока). Высокое давление в системе легочной артерии закономерно приводит к компенсаторной гипертрофии правого желудочка, а затем и к тотальной сердечной недостаточности.

Классификация
По происхождению различают врожденный (3-5,5%) и приобретенный стеноз устья аорты. С учетом локализации патологического сужения аортальный стеноз может быть подклапанным (25-30%), надклапанным (6-10%) и клапанным (около 60%).
Степень выраженности аортального стеноза определяется по градиенту систолического давления между аортой и левым желудочком, а также площади клапанного отверстия.
- При незначительном аортальном стенозе I степени площадь отверстия составляет от 1,6 до 1,2 см² (при норме 2,5—3,5 см²); градиент систолического давления находится в пределах 10–35 мм рт. ст.
- Об умеренном аортальном стенозе II степени говорят при площади клапанного отверстия от 1,2 до 0,75 см² и градиенте давления 36–65 мм рт. ст.
- Тяжелый аортальный стеноз III степени отмечается при сужении площади клапанного отверстия менее 0,74 см² и увеличении градиента давления свыше 65 мм рт. ст.
В зависимости от степени гемодинамических нарушений аортальный стеноз может протекать по компенсированному или декомпенсированному (критическому) клиническому варианту, в связи с чем выделяется 5 стадий.
- I стадия (полная компенсация). Аортальный стеноз может быть выявлен только аускультативно, степень сужения устья аорты незначительна. Больным необходимо динамическое наблюдение кардиолога; хирургическое лечение не показано.
- II стадия (скрытая сердечная недостаточность). Предъявляются жалобы на быструю утомляемость, одышку при умеренной физической нагрузке, головокружение. Признаки аортального стеноза определяются по данным ЭКГ и рентгенографии, градиент давления в диапазоне 36–65 мм рт. ст., что служит показанием к хирургической коррекции порока.
- III стадия (относительная коронарная недостаточность). Типично усиление одышки, возникновение стенокардии, обмороков. Градиент систолического давления превышает 65 мм рт. ст. Хирургическое лечение аортального стеноза на данной стадии возможно и необходимо.
- IV стадия (выраженная сердечная недостаточность). Беспокоит одышка в покое, ночные приступы сердечной астмы. Хирургическая коррекция порока в большинстве случаев уже исключена; у некоторых больных кардиохирургическое лечение потенциально возможно, но с меньшим эффектом.
- V стадия (терминальная). Неуклонно прогрессирует сердечная недостаточность, выражены одышка и отечный синдром. Медикаментозное лечение позволяет добиться лишь кратковременного улучшения; хирургическая коррекция аортального стеноза противопоказана.
Симптомы аортального стеноза
На стадии полной компенсации аортального стеноза больные длительное время не ощущают заметного дискомфорта. Первые проявления связаны с сужением устья аорты приблизительно до 50% ее просвета и характеризуются одышкой при физической нагрузке, быстрой утомляемостью, мышечной слабостью, ощущением сердцебиений.
На этапе коронарной недостаточности присоединяются головокружение, обмороки при быстрой смене положения тела, приступы стенокардии, пароксизмальная (ночная) одышка, в тяжелых случаях - приступы сердечной астмы и отек легких. Прогностически неблагоприятно сочетание стенокардии с синкопальными состояниями и особенно – присоединение сердечной астмы. При развитии правожелудочковой недостаточности отмечаются отеки, ощущение тяжести в правом подреберье.
Осложнения
Внезапная сердечная смерть при аортальном стенозе наступает в 5–10% случаев, главным образом, у лиц пожилого возраста с выраженным сужением клапанного отверстия. Осложнениями аортального стеноза могут являться инфекционный эндокардит, ишемические нарушения мозгового кровообращения, аритмии, АВ-блокады, инфаркт миокарда, желудочно-кишечные кровотечения из нижних отделов пищеварительного тракта.
Диагностика
Внешний вид больного с аортальным стенозом характеризуется бледностью кожных покровов («аортальной бледностью»), обусловленной склонностью к периферическим вазоконстрикторным реакциям; в поздних стадиях может отмечаться акроцианоз. Периферические отеки выявляются при аортальном стенозе тяжелой степени. При перкуссии определяется расширение границ сердца влево и вниз; пальпаторно ощущается смещение верхушечного толчка, систолическое дрожание в яремной ямке. Аускультативными признаками аортального стеноза служит грубый систолический шум над аортой и над митральным клапаном, приглушение I и II тонов на аорте. Инструментальное обследование включает:
- ЭФИ сердца. Изменение тона и патологические шумы также регистрируются при фонокардиографии. По данным ЭКГ определяются признаки гипертрофии левого желудочка, аритмии, иногда – блокады.
- Рентген. В период декомпенсации на рентгенограммах выявляется расширение тени левого желудочка в виде удлинения дуги левого контура сердца, характерная аортальная конфигурация сердца, постстенотическая дилатация аорты, признаки легочной гипертензии. Вентрикулография необходима для выявления сопутствующей митральной недостаточности. Аортография и коронарография применяются для дифференциальной диагностики аортального стеноза с аневризмой восходящего отдела аорты и ИБС.
- УЗИ сердца. На эхокардиографии определяется утолщение заслонок аортального клапана, ограничение амплитуды движения створок клапана в систолу, гипертрофия стенок левого желудочка.
- Катетеризация сердца. С целью измерения градиента давления между левым желудочком и аортой выполняется зондирование полостей сердца, которое позволяет косвенно судить о степени аортального стеноза.

Лечение аортального стеноза
Консервативная тактика
Все пациенты, в т.ч. с бессимптомным, полностью компенсированным аортальным стенозом, должны находиться под тщательным наблюдением кардиолога. Им рекомендуются проведение ЭхоКГ каждые 6-12 месяцев. Данному контингенту больных с целью профилактики инфекционного эндокардита необходим превентивный прием антибиотиков перед стоматологическими (лечение кариеса, удаление зубов и т. д.) и другими инвазивными процедурами.
Ведение беременности у женщин с аортальным стенозом требует тщательного контроля показателей гемодинамики. Показанием к прерыванию беременности служит тяжелая степень аортального стеноза или нарастание признаков сердечной недостаточности. Медикаментозная терапия при аортальном стенозе направлена на устранение аритмий, профилактику ИБС, нормализацию АД, замедление прогрессирования сердечной недостаточности.
Хирургическое лечение
Радикальная хирургическая коррекция аортального стеноза показана при первых клинических проявлениях порока – появлении одышки, ангинозных болей, синкопальных состояний. С этой целью может применяться баллонная вальвулопластика - эндоваскулярная балонная дилатация аортального стеноза. Однако зачастую данная процедура бывает малоэффективна и сопровождается последующим рецидивом стеноза. При негрубых изменениях створок аортального клапана (чаще у детей с врожденным пороком) используется открытая хирургическая пластика аортального клапана (вальвулопластика). В детской кардиохирургии нередко выполняется операция Росса, предполагающая пересадку клапана легочной артерии в аортальную позицию.
При соответствующих показаниях прибегают к проведению пластики надклапанного или подклапанного аортального стеноза. Основным методом лечения аортального стеноза на сегодняшний день остается протезирование аортального клапана, при котором пораженный клапан полностью удаляется и заменяется на механический аналог или ксеногенный биопротез. Пациентам с искусственным клапаном требуется пожизненный прием антикоагулянтов. В последние годы практикуется перкутанная замена аортального клапана.
Прогноз и профилактика
Аортальный стеноз может протекать бессимптомно в течение многих лет. Появление клинических симптомов существенно увеличивает риск осложнений и летальности. Основными, прогностически значимыми симптомами служат стенокардия, обмороки, левожелудочковая недостаточность – в этом случае средняя продолжительность жизни не превышает 2-5 лет. При своевременном оперативном лечении аортального стеноза 5-летняя выживаемость составляет около 85%, 10-летняя — порядка 70%.
Меры профилактики аортального стеноза сводятся к предупреждению ревматизма, атеросклероза, инфекционного эндокардита и др. способствующих факторов. Больные с аортальным стенозом подлежат диспансеризации и наблюдению кардиолога и ревматолога.
3. Современные подходы к диагностике аортального стеноза/ Синькво А.В.// Сибирский медицинский журнал (Иркутск). - 2017.
Перерыв дуги аорты ( Атипичная коарктация аорты , Атрезия дуги аорты )
Предрасполагающие факторы атипичной коарктации общие с любой генетической патологией. Группу риска составляют дети женщин, рожающих после 35 лет, ведущих нездоровый образ жизни либо состоящих в близкородственных браках, а также люди, рожденные в семьях, у которых в анамнезе выявляется два и более выкидыша или уже есть больной ребенок. Во время беременности к тератогенным последствиям могут привести перенесенные инфекционные заболевания матери — оспа, эпидемический паротит, грипп, корь.
При атрезии аорты любого типа значительно ухудшается кровообращение органов и тканей, особенно нижней части тела. Первые дни и недели жизни ситуация для пациента более благоприятная, поскольку часть дефицита крови компенсируется за счет функционирующего боталлова протока. По мере его физиологического зарастания появляются признаки гемодинамической недостаточности нижней половины тела, особенно органов брюшной полости, таза. Это приводит к почечной и печеночной недостаточности, эндогенному накоплению продуктов метаболизма, ацидозу, иногда с критическим смещением pH.
На фоне порока снижается сопротивление малого круга, что потенцирует патологическое перераспределение крови. Значительная часть минутного объема кровообращения попадает в систему легочной артерии, вследствие чего там развивается гипертензия, нарастают симптомы право- и левожелудочковой недостаточности. Постоянное высокое давление в сосудах легких вызывает гипертрофию, а затем массивную дилатацию левого предсердия, которое может сдавить бронхи и еще больше ухудшить работу дыхательной системы.
Номенклатура данного дефекта дуги аорты главным образом стоится на анатомических характеристиках и месте формирования перерыва. Все типы могут сочетаться с сужением выходного отдела левого желудочка сердца, гипоплазией аортального клапана и дефектом межжелудочковой перегородки или быть изолированными пороками магистрального сосуда. В современной классификации патология делится на три вида:
● Тип А. Характеризуется отсутствием просвета аорты на уровне ее перешейка. На этот вид приходится порядка 44% случаев заболевания.
● Тип В. Перерыв в точке между общей левой сонной и подключичной артериями наблюдается у 52% пациентов. Делится на четыре подтипа:
○ Тип В1. Включает левый открытый артериальный проток, аберрантную правую подключичную артерию.
○ Тип В2. Артериальный проток имеет двусторонний характер. От аорты изолирована правая подключичная артерия.
○ Тип В3. Левый артериальный проток открыт, от аорты отходит правая легочная артерия.
○ Тип В4. Двусторонний артериальный проток, правосторонняя дуга аорты. Левая подключичная артерия изолирована от сосуда.
● Тип С. Самый редкий вариант дефекта — всего 4% от известных случаев. Перерыв происходит между безымянной и левой общей сонной артериями.
Симптомы
Клинические проявления различаются у больных разных возрастных категорий. У новорожденных на первый план выходят бледность кожи, затрудненное дыхание, рассеянные влажные хрипы в легких, нарушения диуреза вплоть до анурии, ацидоз. Характерным симптомом является цианоз нижней половины туловища после внутривенного введения простагландина Е1. Этот феномен — следствие раскрытия артериального протока, сопровождающегося сбросом крови из легочной артерии в нисходящую часть аорты. При неблагоприятном течении патологии у ребенка могут нарастать явления отека легких.
У детей старшего возраста симптоматика нередко отсутствует. Тот факт, что они смогли выжить с таким серьезным наследственным пороком, практически всегда говорит о том, что у пациентов развилась мощная коллатеральная сеть, способная компенсировать отсутствие соединения между сегментами аорты. Иногда больные жалуются на слабость, боли в ногах при физических нагрузках, головные боли, кровотечения на фоне развившейся артериальной гипертензии.
Перерыв дуги аорты относится к тяжелым порокам развития с высокой летальностью. В течение первых семи дней умирает около 40% новорожденных, к полугоду выживаемость снижается до 27% и держится на этом уровне до 15 лет. Особенно чреват осложнениями период зарастания артериального протока – на фоне скудной перфузии тканей может развиться метаболический синдром, сопровождающийся повреждением центральной нервной системы, сердечной мышцы, других органов. В случае выживания это может привести к отставанию умственного и физического развития, тяжелым сопутствующим заболеваниям.
Обнаружение данной патологии обычно осуществляется еще на этапе беременности при плановом посещении женщиной кабинета УЗИ и последующей консультации акушера-гинеколога. В ином случае диагноз ставится после родов неонатологами, детскими кардиологами. Большое значение отводится физикальным методам исследования. В частности, при пальпации определяется слабый пульс на ногах, аускультативно выслушивается усиление II тона над основанием сердца, систолический шум во втором межреберье, что говорит о нарушенной гемодинамике. Из инструментальных методов применяются:
- Электрокардиография. Базовый способ диагностики сердечно-сосудистых патологий, способный при атрезии дуги аорты выявить признаки гипертрофии правого желудочка, блокаду правой ножки пучка Гиса. При существенном нарушении гемодинамики появляется картина увеличения левого желудочка, нарушения проведения импульса в этой части органа. Стоит учитывать, что в 20% случаев на ЭКГ патология не обнаруживается.
- УЗИ сердца. Основной метод исследования при данном эмбриональном пороке. Перерыв дуги может быть заподозрен по существенному несоответствию диаметров восходящей аорты и легочного ствола. Также можно определить характер брахицефальных сосудов, их пропускную способность. В отличие от физиологического направления дуги кзади, при аномалии сосуда курс каротидных артерий направлен кверху.
- Магнитно-резонансная томография. Позволяет получить трехмерное изображение сосудистого пучка, установить характер отхождения сонных артерий, подтвердить отсутствие пути от нисходящей к восходящей части аорты. Существенным недостатком метода является невозможность дифференциальной диагностики между перерывом и тяжелой гипоплазией дуги.
- Рентгенография. Неспецифический метод, дающий возможность косвенно заподозрить перерыв аорты. Как следствие легочной гипертензии и следующего за ней гипертрофического, дилатационного перерождения миокарда на снимке можно увидеть кардиомегалию, усиление легочного рисунка, легочно-венозный застой, начинающийся отек легких. При синдроме Ди Джорджи верхнее средостение может быть слегка суженным из-за отсутствия вилочковой железы.
- Лабораторнаядиагностика. С помощью газового состава крови по уровню pH, рСО2, концентрации буферных систем можно определить наличие декомпенсированного метаболического ацидоза. В биохимическом анализе выявляются маркеры ишемического повреждения печени (высокие уровни АЛТ, АСТ, ЛДГ), почек (креатинина).
Лечение перерыва дуги аорты
Консервативная терапия
Патология является абсолютным показанием к хирургическому вмешательству. У новорожденных, которые на первых днях жизни могут плохо переносить операции, возможно непродолжительное лечение простагландином Е1. Данное вещество оказывает влияние на сосуды, снижая периферическое сопротивление и улучшая перфузию крови, уменьшает риск образования тромбов, способствует поддержанию проходимости открытого артериального протока, препятствует его зарастанию.
Согласно исследованиям, общая хирургическая летальность при оперативной коррекции атрезии составляет приблизительно 30%. Кроме того, лечение дефекта аорты остается проблемой современной медицины по той причине, что большинство пациентов изначально находятся в тяжелом состоянии с выраженной сердечной недостаточностью, анурией. Использование новых методик, совершенствование старых, внедрение в предоперационный период инфузий простагландина Е1 позволяет надеяться на скорое улучшение ситуации. Само вмешательство выполняется по одному из двух вариантов:
- Двухэтапный метод. Основные моменты этого способа на первом этапе — восстановление целостности дуги аорты с помощью имплантации собственных тканей либо сосудистого протеза с одномоментной перевязкой боталлова протока, временного сужения легочной артерии. Во вторую очередь закрывают дефект межжелудочковой перегородки (при его наличии). Как эндогенный материал могут быть использованы части сонной или подключичной артерии. Аутотрансплантат не провоцирует тромбообразование и активацию иммунитета, что упрощает течение послеоперационного периода и снижает вероятность повторных вмешательств.
- Одноэтапный метод. Представляет собой прямое анастомозирование нисходящей и восходящей частей аорты в условиях стернотомии, применения аппарата искусственного кровообращения и гипотермии. Данный способ технически более сложен, но предпочтителен при сочетании перерыва с множественными дополнительными пороками сердца, сосудов, так как дает хирургам максимальное количество времени для их устранения. Операция также применяется при сочетании атипичной коарктации с общим артериальным стволом, транспозицией магистральных сосудов.
Естественное течение заболевания неблагоприятное. При хирургическом лечении в раннем возрасте, после проведения инфузионной терапии простагландинами прогноз в целом благоприятный. В отдаленном периоде велика вероятность повторных операций. Специфическая профилактика отсутствует. Супружеским парам с отягощенной наследственностью перед беременностью рекомендуется посещение центра планирования семьи, консультация генетика. Во время вынашивания ребенка и подготовки к гестации женщина должна придерживаться принципов здорового образа жизни, ограничить, а лучше исключить действие табака и алкоголя, предупреждать и своевременно лечить тератогенные внутриутробные инфекционные патологии.
1. Реконструктивная хирургия перерыва дуги аорты у взрослых/ Козлов Б.Н., Панфилов Д.С., Саушкин В.В.// Хирургия. Журнал им. Н.И. Пирогова – 2016 - №5.
2. Перерыв дуги аорты: диагностика порока методом мультидетекторной компьютерной томографии/ Ялынская Т.А.// Кардиоваскулярная радиология – 2012 - №4.
3. Описание этапной коррекции перерыва дуги аорты типа А в сочетании с гипоплазией левых отделов сердца/ Калашников С.В., Степаничева О.А., Беришвили Д.О.// Детские болезни сердца и сосудов – 2016 - №4.
Читайте также:
