Нарушение апоптоза клеток при хроническом лимфолейкозе (ХЛЛ)
Добавил пользователь Евгений Кузнецов Обновлено: 19.12.2025
Лимфоцитоз – это увеличение содержания лимфоцитов выше 4000 (или 40%) в 1 мкл крови. Причиной выступают острые вирусные заболевания, некоторые хронические бактериальные инфекции, злокачественные гематологические болезни и т.д. Клинические проявления определяются нозологией, на фоне которой развился лимфоцитоз. Уровень лимфоцитов исследуется в венозной или капиллярной крови при подсчете лейкоцитарной формулы общего анализа крови. Для коррекции лимфоцитоза проводится борьба с причиной, т.е. лечение основного заболевания.
Классификация
Нет четких числовых критериев разделения лимфоцитоза по степени выраженности. Условно выделяется умеренный (до 60%) и высокий лимфоцитоз (больше 60%). Основной причиной высокого лимфоцитоза считаются злокачественные болезни кроветворной и лимфатической ткани. Лимфоцитоз, как и другие виды лейкоцитоза, подразделяется на:
- Абсолютный. Под абсолютным лимфоцитозом подразумевается увеличение количества лимфоцитов наряду с общим числом лейкоцитов (у взрослых более 4000, у детей до 5 лет более 6000).
- Относительный. Относительный лимфоцитоз встречается намного чаще и означает процентное возрастание лимфоцитов (больше 40%) на фоне нормального или даже пониженного общего числа лейкоцитов.
Причины лимфоцитоза
Физиологические состояния
Наиболее яркий пример - физиологический лимфоцитоз у детей в возрасте до 4-5 лет. Причина данного явления связана с возрастными изменениями в иммунной системе ребенка. С 7 дня жизни у детей начинается активный рост количества лимфоцитов (до 55-60%) и падение нейтрофилов (первый перекрест лейкоцитарной формулы). Затем к 4 годам лимфоциты возвращаются к показателям, как у взрослых (до 40%), а нейтрофилы, напротив, увеличиваются (второй перекрест). Патологическим лимфоцитозом у детей следует считать цифры больше 60%.
Отдельно выделяют кратковременные лимфоцитозы, не связанные ни с каким заболеванием. Среди таких причин лимфоцитоза:
- Стресс.
- Алиментарные факторы: голодание, следование вегетарианской диете.
- Использование лекарственных препаратов: фенитоина, пара-аминосалициловой кислоты, наркотических анальгетиков.
Вирусные инфекции
Лимфоциты являются основным «орудием» иммунной системы против вирусов. Они вырабатывают специальные антитела (иммуноглобулины), которые, связываясь с вирусом, препятствуют его проникновению в клетки. В дальнейшем вирусные частицы подвергаются фагоцитозу. Другой механизм противовирусного иммунитета – уничтожение клеток, зараженных вирусной ДНК или РНК, путем запуска запрограммированной клеточной гибели (апоптоза). Сходным образом лимфоциты борются с некоторыми бактериями, внутриклеточными паразитами (токсоплазмами).
- Острые вирусные инфекции. Наиболее частой причиной лимфоцитоза у детей признаны такие инфекционные заболевания как корь, краснуха, ветряная оспа; у взрослых – грипп, ОРВИ. Обычно лимфоцитоз умеренный, он возникает резко, достигает максимума параллельно разгару заболевания, затем по мере разрешения симптомов быстро возвращается к нормальным значениям.
- Инфекционный мононуклеоз. Специфической вирусной инфекцией у детей является инфекционный мононуклеоз, вызываемый вирусом Эпштейн-Барра. При инфекционном мононуклеозе лимфоцитоз более стойкий, может сохраняться несколько недель или месяцев. Иногда вирус персистирует годами и может стать причиной синдрома хронической усталости.
Помимо количественных изменений, вирусные инфекции считаются причиной появления атипичных мононуклеаров (вироцитов) – лимфоцитов, имеющих разную форму, измененную структуру ядра, базофильную цитоплазму. В незначительных количествах (менее 10%) они присутствуют при любых вирусных инфекциях. Более высокая концентрация таких клеток (более 10%) свидетельствует об инфекционном мононуклеозе.
Бактериальные инфекции
У взрослых одна из частых причин лимфоцитоза – бактериальные инфекции с хроническим течением, сопровождающиеся образованием специфических эпителиоидных гранулем (туберкулез, бруцеллез, сифилис). Реже причиной лимфоцитоза у взрослых выступают тифозные заболевания (брюшной, сыпной тиф, паратифы). Единственной острой бактериальной инфекцией, вызывающей лимфоцитоз у детей, считается коклюш.
В основном наблюдается незначительный лимфоцитоз, причем практически всегда относительный, на фоне общей лейкопении. В виду хронического течения болезней лимфоцитоз может сохраняться неопределенно долго (месяцы, годы), увеличиваясь в периоды обострения. При туберкулезе лимфоцитоз свидетельствует о доброкачественном течении и считается предиктором благоприятного исхода.

Злокачественные болезни крови
Наиболее опасной причиной лифмоцитоза у взрослых и детей признаны миелопролиферативные и лимфопролиферативные заболевания. В таких случаях лимфоцитоз обусловлен пролиферацией опухолевых клонов лимфатической ткани или злокачественной трансформацией кроветворных клеток в костном мозге. У взрослых в основном наблюдаются хронический лейкоз, неходжкинские лимфомы (лимфосаркомы). У детей чаще встречается лимфогранулематоз (лимфома Ходжкина). Лимфоцитоз достигает очень высоких цифр (до 70-90%).
Нарастание лимфоцитоза происходит постепенно: максимальное значение достигается через несколько лет, уменьшается медленно, только под действием курсов химиотерапии. Быстрый возврат к нормальным показателям возможен только при пересадке костного мозга. Помимо лимфоцитоза, отмечаются такие признаки, как одновременное увеличение эозинофилов и базофилов (базофильно-эозинофильная ассоциация), присутствие большого количества бластов, промежуточных форм (пролимфоцитов).
Эндокринные расстройства
В некоторых случаях причиной лимфоцитоза становятся заболевания эндокринных органов. Точный механизм данного явления до сих пор окончательно не установлен. Умеренная степень лимфоцитоза часто развивается одновременно с увеличением концентрации эозинофилов. У взрослых такая картина наблюдается при акромегалии, тиреотоксикозе, недостаточности коры надпочечников. У детей частой причиной становятся врожденные дисфункции половых желез. Лимфоцитоз быстро регрессирует после назначения заместительной гормональной терапии.
Другие причины
- Ревматологические патологии: ревматоидный артрит, острая ревматическая лихорадка, системная красная волчанка.
- Болезни крови: апластическая анемия, В12-фолиево-дефицитная анемия, посттрансфузионный синдром.
- Паразитарные инвазии: малярия, болезнь Шагаса, шистосомоз.
- Аллергические реакции: бронхиальная астма.
Диагностика
Уровень лимфоцитов измеряется при клиническом анализе крови. В виду того, что лимфоцитоз имеет достаточно широкий этиологический спектр, при его обнаружении следует обратиться к специалисту широкого профиля (терапевту или педиатру), чтобы тот на основании жалоб пациента, анамнестических данных, физикального осмотра, назначил дополнительное обследование, которое может включать:
- Анализы крови. Проводится подсчет лейкоцитарной формулы для определения процентного соотношения всех форм лейкоцитов. Методом микроскопии изучается мазок крови для выявления атипичных мононуклеаров, теней Боткина-Гумпрехта (остатков разрушенных лимфоцитов). Определяются воспалительные маркеры – повышенные СОЭ, СРБ. Для обнаружения опухолевых антигенов выполняется иммунофенотипирование, иммуногистохимичекое исследование.
- Идентификация возбудителя. С целью выявления инфекционного агента выполняются тесты на наличие антител к патогенам, их ДНК (методом ИФА, ПЦР). Проводятся бактериологические исследования – посев, микроскопия мокроты (туберкулез, коклюш), серологическая диагностика – реакция Райта, Хеддельсона (бруцеллез), реакция микропреципитации (сифилис).
- Инструментальные исследования. При туберкулезе на рентгенограмме легких отмечается увеличение прикорневых, медиастинальных лимфатических узлов, инфильтрация верхних долей легких, иногда выпот в плевральную полость. При мононуклеозе и гемобластозах на УЗИ брюшной полости обнаруживается выраженная спленомегалия, реже гепатомегалия.
- Гистологические исследования. При хроническом лимфолейкозе в пунктате костного мозга находят большое количество лимфобластов. При лимфомах в биоптате лимфоузла, полученном путем тонкоигольной аспирации, выявляется диффузная пролиферация лимфоидных клеток с бластной морфологией. Специфический признак лимфогранулематоза – гигантские клетки Березовского-Штернберга.

Коррекция
Прямых способов нормализации концентрации лимфоцитов не существует. Для борьбы с лимфоцитозом необходимо лечить основную патологию, послужившую причиной повышения лимфоцитов. Незначительный кратковременный лимфоцитоз, возникший на фоне стресса, приема лекарственных препаратов или в период выздоровления от простудного заболевания, не требует терапии. В случае долговременного лимфоцитоза, как абсолютного, так и относительного, необходимо обратиться к врачу.
Для многих вирусных инфекций (ветряной оспы, краснухи, ОРВИ) на сегодняшний день не разработано этиотропной терапии. Для их лечения применяются патогенетические и симптоматические методы – обильное горячее питье, жаропонижающие, противовоспалительные лекарства. При катаральном синдроме назначаются полоскание и орошение горла антисептическими растворами, спреями. В первые дни гриппа эффективно использование противовирусных препаратов (осельтамивир, римантадин).
Имеются данные о снижении количества осложнений инфекционного мононуклеоза у взрослых путем назначения ацикловира, валцикловира. При бактериальных инфекциях прописывают антибиотики, при туберкулезе – комбинацию противотуберкулезных средств. Если причиной лимфоцитоза стало лимфопролиферативное заболевание, то требуется проведение длительных повторных курсов химиотерапии. При неэффективности консервативного лечения хронического миелолейкоза у взрослых прибегают к аллогенной трансплантации костного мозга.
Прогноз
В ряде случаев уровень лимфоцитов может быть ориентиром для прогнозирования развития заболевания. Например, лимфоцитоз при туберкулезе, как у детей, так и у взрослых, свидетельствует о благоприятном течении болезни и о скором выздоровлении. И наоборот, если причиной чрезмерного увеличения лимфоцитов выступают злокачественные гематологические заболевания, это косвенно может говорить о высокой вероятности летального исхода. Однако в первую очередь необходимо ориентироваться на основную патологию и ее тяжесть. Поэтому любая степень лимфоцитоза требует тщательного обследования для установления причины и своевременной терапии.
1. Патофизиология системы крови. Часть II. Нарушения в системе лейкоцитов/ Николаева О.В., Кучерявченко М.А., Шутова Н.А. и др. – 2016.
4. Синдромная диагностика и базисная фармакология заболеваний внутренних органов. Т. 2/ под ред. Федосеева Г.Б., Игнатова Ю.Д. – 2004.
Нарушение апоптоза клеток при хроническом лимфолейкозе (ХЛЛ)
Аутоиммунные осложнения при хроническом лимфолейкозе - аутоиммунная гемолитическая анемия (АИГА)
Аутоиммунные осложнения возникают при хроническом лимфолейкозе (ХЛЛ) значительно чаще, чем при других лимфопролиферативных процессах. Аутоиммунная гемолитическая анемия (АИГА) развивается в течение заболевания у 10—25 % больных хроническом лимфолейкозе, что в 8 раз превышает ее частоту при неходжкинских лимфомах.
С. Engelfriet и соавт. в большой работе об аутоиммунной гемолитической анемии показали, что хронический лимфолейкоз является самой частой причиной ее развития. При хроническом лимфолейкозе частота аутоиммунного гемолиза в 2 раза выше, чем при системной красной волчанке, занимающей второе место среди заболеваний, при которых часто развивается аутоиммунная гемолитическая анемия. Положительный антиглобулиновый тест (проба Кумбса) выявляется еще чаще—у 20—35 % больных.
Аутоиммунные осложнения могут развиться в любом периоде болезни. Имеются наблюдения, в которых аутоиммунная гемолитическая анемия явилась первым симптомом хронического лимфолейкоза. Так же, как инфекции, аутоиммунные процессы чаще возникают у больных с развернутой клинико-гематологической картиной ХЛЛ. Среди больных с аутоиммунными анемиями и тромбоцитопениями мы наблюдали 72 % больных с выраженными клинико-гематологическими проявлениями ХЛЛ.
Эти данные подтверждаются наблюдениями других исследователей. Так, Т. Hamblin и соавт. обнаружили положительную пробу Кумбса у 2,9 % больных в стадии А, у 10,5 % в стадии В и у 18,2 % при прогрессировании заболевания. В наблюдениях F. Mauro и соавт., включивших 1203 больных ХЛЛ, 90 % больных с АИГА имели признаки прогрессирования. Частота АИГА в их наблюдениях достоверно коррелировала с высотой лейкоцитоза.
Аутоиммунный гемолиз эритроцитов может иметь характер остро и бурно развившегося гемолитического криза, сопровождаясь повышением температуры тела, появлением желтушного окрашивания кожи и темной окраской мочи, повышением содержания непрямого билирубина в сыворотке крови. Однако такие кризы составляют небольшую часть от общего количества случаев аутоиммунного гемолиза. Нередко аутоиммунный гемолиз развивается постепенно, и анемия выражена не так значительно, как у больных с острым гемолитическим кризом.
В подобных случаях, как правило, в костном мозге нет значительного увеличения эритрокариоцитов и заметного ретикулоцитоза крови. Иногда ретикулоцитоз отсутствует и при бурных проявлениях гемолитической анемии, особенно если гемолизу подвергаются эритрокариоциты. Антитела, обнаруживаемые на эритроцитах при АИГА, чаще относятся к классу IgG и только у 10—15 % больных — к классу IgM. Показано, что при обнаружении IgG прогноз значительно лучше. Значительно реже, чем АИГА, развивается анемия, обусловленная парциальной красноклеточной аплазией (ПКА).
По данным Т. Hamblin и соавт., ПКА развивается в 1 %, по данным G. Chikkappa и соавт. — в 6 % случаев хронического лимфолейкоза. ПКА характеризуется тяжелой анемией со снижением гематокрита до 25—20 %, отсутствием ретикулоцитов в крови и практически полным отсутствием эритрокариоцитов в костном мозге. Нет достаточного количества исследований, позволяющих установить причину развития ПКА при ХЛЛ.

Иммунная тромбоцитопения встречается реже, чем АИГА, всего у 2-3 % больных хроническим лимфолейкозом. Она, тем не менее, может представлять большую опасность, чем АИГА, из-за возможных и действительно часто имеющих место жизненно опасных кровотечений или кровоизлияний в головной мозг, служащих причиной смерти больных. Аутоиммунная тромбоцитопения может развиться как самостоятельное осложнение, но часто она сочетается с АИГА.
Еще реже встречается аутоиммунная нейтропения. Описано обнаружение антител к нейтрофилам, однако аутоиммунный характер нейтропении пока убедительно не доказан.
Существуют разные гипотезы о причинах аутоиммунных конфликтов при хроническом лимфолейкозе, в частности о причинах аутоиммунной гемолитической анемии. Увеличение CD5+-лимфоцитов при ревматоидном артрите и других аутоиммунных заболеваниях позволило высказать предположение о роли этих лимфоцитов в возникновении аутоиммунного гемолиза, тем более что они могут продуцировать аутореактивные IgM-антитела. Однако этой гипотезе противоречит поликлоновый характер антиэритроцитарных антител при ХЛЛ.
Описаны случаи аутоиммунного гемолиза после лечения флударабином, который подавляет преимущественно продукцию CD4 -лимфоцитов. В связи с этим ряд авторов высказывают предположение о нарушении соотношения популяций Т-лим-фоцитов как причине развития антиэритроцитарных антител при ХЛЛ. Однако хорошо известно, что в ряде случаев аутоиммунный гемолиз развивался у больных после лечения алкилирующими препаратами, не вызывающими избирательного подавления каких-либо фракций Т-лимфоцитов. Таким образом, в настоящее время нет убедительной концепции о причине столь частого развития аутоиммунного гемолиза эритроцитов при ХЛЛ.
Точно так же нет каких-либо данных, позволяющих предположить причины аутоиммунной тромбоцитопении.

Редким аутоиммунным осложнением при хроническом лимфолейкозе является паранеопластическая пузырчатка. Этот синдром описан в 1990 г. G. J. Anhalt и соавт.. Ими же впервые доказана его аутоиммунная природа. До сих пор в связи с редкостью этого осложнения публикуется практически каждое наблюдение. Нам пришлось наблюдать лишь одного больного с этим осложнением.
В клинической картине преобладающими являются поражения слизистых оболочек и кожи. Они могут быть очень сходными с поражениями кожи при истинной пузырчатке, но чаще напоминают изменения, наблюдаемые при многоформной эритеме, пемфигоиде, плоском лишае или болезни «трансплантат против хозяина». Иногда на коже туловища или конечностей образуются вялые пузыри небольшого размера с прозрачным содержимым. Они часто располагаются в области гениталий.
Еще более выраженными являются поражения слизистой оболочки полости рта: утолщение и эрозии слизистых оболочек щек и языка, красной каймы губ. Эти изменения часто затрудняют речь и прием пищи. Такие же эрозии можно обнаружить на слизистых оболочках глотки, пищевода, трахеи. Как правило, имеется яркий безболезненный коньюнктивит. У некоторых больных развивается поражение бронхов и бронхиол, заканчивающееся облитерирующим бронхиолитом.
Аутоиммунный характер поражения кожи и внутренних органов доказан обнаружением в тканях отложений, представляющих собой комплекс IgG и комплемента. Иммунологические исследования показали, что это антитела к белкам семейства плакина. Белки этого семейства (периплакин, енвоплакин, десмоплакин, плектин, десмоглеин) обеспечивают адгезию клеток к окружающим тканям и между собой. Образование антител к этим белкам ведет к разрушению клеточной мембраны и некрозу клеток. Поскольку такие комплексы обнаружены во многих органах и тканях: почках, мочевом пузыре, мышцах, был предложен термин «паранеопластический аутоиммунный мультиорганный синдром» — ПАМС. Он более полно характеризует заболевание, однако яркая картина поражения кожи и слизистых оболочек послужила причиной сохранения прежнего названия.
Паранеопластическая пузырчатка описана при разных опухолях, наиболее часто при неходжкинских лимфомах, хронический лимфолейкоз и болезни Кастлемана. На хронический лимфолейкоз приходится около 30 % всех описанных случаев. Причины развития аутоиммунного конфликта неизвестны.
Лечение включает кортикостероидные гормоны (в расчете на преднизолон по 1 мг/кг в сутки), циклоспорин А, мабтеру, плазмаферез, но главным является незамедлительное лечение онкологического заболевания, которым страдает больной. Даже после успешного лечения основного заболевания симптомы паранеопластической пузырчатки исчезают очень медленно. Может наступить рецидив при ухудшении течения основного заболевания. При легочном поражении единственным эффективным методом лечения является трансплантация. Из описанных разными клиниками случаев 90 % закончились летально.
Редактор: Искандер Милевски. Дата обновления публикации: 18.3.2021
Хронический лимфолейкоз
Хронический лимфолейкоз – это онкологическое заболевание, сопровождающееся накоплением атипичных зрелых В-лимфоцитов в периферической крови, печени, селезенке, лимфоузлах и костном мозге. На начальных стадиях проявляется лимфоцитозом и генерализованной лимфоаденопатией. При прогрессировании хронического лимфолейкоза наблюдаются гепатомегалия и спленомегалия, а также анемия и тромбоцитопения, проявляющиеся слабостью, утомляемостью, петехиальными кровоизлияниями и повышенной кровоточивостью. Отмечаются частые инфекции, обусловленные снижением иммунитета. Диагноз устанавливается на основании лабораторных исследований. Лечение – химиотерапия, пересадка костного мозга.
МКБ-10

Общие сведения
Хронический лимфолейкоз – заболевание из группы неходжкинских лимфом. Сопровождается увеличением количества морфологически зрелых, но неполноценных В-лимфоцитов. Хронический лимфолейкоз является самой распространенной формой гемобластозов, составляет треть всех лейкозов, диагностируемых в США и странах Европы. Мужчины страдают чаще женщин. Пик заболеваемости приходится на возраст 50-70 лет, в этом периоде выявляется около 70% от общего количества хронических лимфолейкозов.
Пациенты молодого возраста страдают редко, до 40 лет первые симптом болезни возникают всего у 10% больных. В последние годы специалисты отмечают некоторое «омоложение» патологии. Клиническое течение хронического лимфолейкоза очень вариативно, возможно как продолжительное отсутствие прогрессирования, так и крайне агрессивный вариант с летальным исходом в течение 2-3 лет после постановки диагноза. Существует ряд факторов, позволяющих прогнозировать течение заболевания. Лечение осуществляют специалисты в области онкологии и гематологии.

Причины
Причины возникновения окончательно не выяснены. Хронический лимфолейкоз считается единственным лейкозом с неподтвержденной связью между развитием заболевания и неблагоприятными факторами внешней среды (ионизирующим излучением, контактом с канцерогенными веществами). Специалисты считают, что основным фактором, способствующим развитию хронического лимфолейкоза, является наследственная предрасположенность. Типичные хромосомные мутации, вызывающие повреждения онкогенов на начальной стадии болезни, пока не выявлены, однако исследования подтверждают мутагенную природу заболевания.
Патогенез
Клиническая картина хронического лимфолейкоза обусловлена лимфоцитозом. Причиной лимфоцитоза становится появление большого количества морфологически зрелых, но иммунологически дефектных В-лимфоцитов, неспособных к обеспечению гуморального иммунитета. Ранее считали, что аномальные В-лимфоциты при хроническом лимфолейкозе являются долго живущими клетками и редко подвергаются делению. В последующем эта теория была опровергнута.
Исследования показали, что В-лимфоциты быстро размножаются. Ежедневно в организме больного образуется 0,1-1% от общего количества атипичных клеток. У разных больных поражаются различные клоны клеток, поэтому хронический лимфолейкоз можно рассматривать как группу близкородственных заболеваний с общим этиопатогенезом и сходной клинической симптоматикой.
При изучении клеток выявляется большое разнообразие. В материале могут преобладать широкоплазменные либо узкоплазменные клетки с молодыми либо сморщенными ядрами, почти бесцветной либо ярко окрашенной зернистой цитоплазмой. Пролиферация аномальных клеток происходит в псевдофолликулах – скоплениях лейкозных клеток, располагающихся в лимфоузлах и костном мозге.
Причинами цитопении при хроническом лимфолейкозе являются аутоиммунное разрушение форменных элементов крови и подавление пролиферации стволовых клеток, обусловленное повышением уровня Т-лимфоцитов в селезенке и периферической крови. Кроме того, при наличии киллерных свойств разрушение кровяных клеток могут вызывать атипичные В-лимфоциты.
С учетом симптомов, морфологических признаков, скорости прогрессирования и реакции на терапию различают следующие формы болезни:
- Хронический лимфолейкоз с доброкачественным течением. Состояние больного долго остается удовлетворительным. Отмечается медленное увеличение количества лейкоцитов в крови. С момента постановки диагноза до стабильного увеличения лимфоузлов может пройти несколько лет или даже десятилетий. Больные сохраняют трудоспособность и привычный образ жизни.
- Классическая (прогрессирующая) форма хронического лимфолейкоза. Лейкоцитоз нарастает в течение месяцев, а не лет. Отмечается параллельное увеличение лимфоузлов.
- Опухолевая форма хронического лимфолейкоза. Отличительной особенностью этой формы является нерезко выраженный лейкоцитоз при выраженном увеличении лимфоузлов.
- Костномозговая форма хронического лимфолейкоза. Выявляется прогрессирующая цитопения при отсутствии увеличения лимфатических узлов, печени и селезенки.
- Хронический лимфолейкоз с увеличением селезенки.
- Хронический лимфолейкоз с парапротеинемией. Отмечаются симптомы одной из вышеперечисленных форм заболевания в сочетании с моноклональной G- или M-гаммапатией.
- Прелимфоцитарная форма хронического лимфолейкоза. Отличительной особенностью этой формы является наличие лимфоцитов, содержащих нуклеолы, в мазках крови и костного мозга, образцах ткани селезенки и лимфоузлов.
- Волосатоклеточный лейкоз. Выявляются цитопения и спленомегалия при отсутствии увеличения лимфоузлов. При микроскопическом исследовании обнаруживаются лимфоциты с характерным «моложавым» ядром и «неровной» цитоплазмой с обрывами, фестончатыми краями и ростками в виде волосков либо ворсинок.
- Т-клеточная форма хронического лимфолейкоза. Наблюдается в 5% случаев. Сопровождается лейкемической инфильтрацией дермы. Обычно быстро прогрессирует.
Выделяют три стадии клинических стадии хронического лимфолейкоза: начальную, развернутых клинических проявлений и терминальную.
Симптомы хронического лимфолейкоза
На начальной стадии патология протекает бессимптомно и может выявляться только по анализам крови. В течение нескольких месяцев или лет у больного хроническим лимфолейкозом выявляется лимфоцитоз 40-50%. Количество лейкоцитов приближено к верхней границе нормы. В обычном состоянии периферические и висцеральные лимфоузлы не увеличены. В период инфекционных заболеваний лимфатические узлы могут временно увеличиваться, а после выздоровления снова уменьшаться. Первым признаком прогрессирования хронического лимфолейкоза становится стабильное увеличение лимфоузлов, нередко – в сочетании с гепатомегалией и спленомегалией.
Вначале поражаются шейные и подмышечные лимфоузлы, затем – узлы в области средостения и брюшной полости, потом – в паховой области. При пальпации выявляются подвижные безболезненные плотноэластические образования, не спаянные с кожей и близлежащими тканями. Диаметр узлов при хроническом лимфолейкозе может колебаться от 0,5 до 5 и более сантиметров. Крупные периферические лимфоузлы могут выбухать с образованием видимого косметического дефекта. При значительном увеличении печени, селезенки и висцеральных лимфоузлов может наблюдаться сдавление внутренних органов, сопровождающееся различными функциональными нарушениями.
Пациенты с хроническим лимфолейкозом жалуются на слабость, беспричинную утомляемость и снижение трудоспособности. По анализам крови отмечается увеличение лимфоцитоза до 80-90%. Количество эритроцитов и тромбоцитов обычно остается в пределах нормы, у некоторых больных выявляется незначительная тромбоцитопения. На поздних стадиях хронического лимфолейкоза отмечаются снижение веса, ночные поты и повышение температуры до субфебрильных цифр. Характерны расстройства иммунитета. Больные часто страдают простудными заболеваниями, циститом и уретритом. Наблюдается склонность к нагноению ран и частое образование гнойников в подкожной жировой клетчатке.
Причиной летального исхода при хроническом лимфолейкозе часто становятся тяжелые инфекционные заболевания. Возможны воспаления легких, сопровождающиеся спаданием легочной ткани и грубыми нарушениями вентиляции. У некоторых больных развивается экссудативный плеврит, который может осложняться разрывом или сдавлением грудного лимфатического протока. Еще одним частым проявлением развернутого хронического лимфолейкоза является опоясывающий лишай, который в тяжелых случаях становится генерализованным, захватывая всю поверхность кожи, а иногда и слизистые оболочки. Аналогичные поражения могут наблюдаться при герпесе и ветряной оспе.
Осложнения
В числе возможных осложнений хронического лимфолейкоза – инфильтрация преддверно-улиткового нерва, сопровождающаяся расстройствами слуха и шумом в ушах. В терминальной стадии хронического лимфолейкоза может наблюдаться инфильтрация мозговых оболочек, мозгового вещества и нервных корешков. По анализам крови выявляются тромбоцитопения, гемолитическая анемия и гранулоцитопения.
Возможна трансформация хронического лимфолейкоза в синдром Рихтера – диффузную лимфому, проявляющуюся быстрым ростом лимфоузлов и формированием очагов за пределами лимфатической системы. До развития лимфомы доживает около 5% пациентов. В остальных случаях смерть наступает от инфекционных осложнений, кровотечений, анемии и кахексии. У некоторых больных хроническим лимфолейкозом развивается тяжелая почечная недостаточность, обусловленная инфильтрацией почечной паренхимы.
В половине случаев патологию обнаруживают случайно, при обследовании по поводу других заболеваний или при проведении планового осмотра. При постановке диагноза учитывают жалобы, анамнез, данные объективного осмотра, результаты анализов крови и иммунофенотипирования. Диагностическим критерием хронического лимфолейкоза является увеличение количества лейкоцитов в анализе крови до 5×109/л в сочетании с характерными изменениями иммунофенотипа лимфоцитов. При микроскопическом исследовании мазка крови выявляются малые В-лимфоциты и тени Гумпрехта, возможно – в сочетании с атипичными или крупными лимфоцитами. При иммунофенотипировании подтверждается наличие клеток с абберантным иммунофенотипом и клональность.
Определение стадии хронического лимфолейкоза осуществляют на основании клинических проявлений заболевания и результатов объективного осмотра периферических лимфоузлов. Для составления плана лечения и оценки прогноза при хроническом лимфолейкозе проводят цитогенетические исследования. При подозрении на синдром Рихтера назначают биопсию. Для определения причин цитопении выполняют стернальную пункцию костного мозга с последующим микроскопическим исследованием пунктата.
Лечение хронического лимфолейкоза
На начальных стадиях хронического лимфолейкоза применяют выжидательную тактику. Пациентам назначают обследование каждые 3-6 месяцев. При отсутствии признаков прогрессирования ограничиваются наблюдением. Показанием к проведению активного лечения является увеличение количества лейкоцитов вдвое и более в течение полугода. Основным методом лечения хронического лимфолейкоза является химиотерапия. Наиболее эффективной комбинацией лекарственных препаратов обычно становится сочетание ритуксимаба, циклофосфамида и флударабина.
При упорном течении хронического лимфолейкоза назначают большие дозы кортикостероидов, осуществляют пересадку костного мозга. У больных пожилого возраста с тяжелой соматической патологией использование интенсивной химиотерапии и пересадка костного мозга могут быть затруднены. В подобных случаях проводят монохимиотерапию хлорамбуцилом или применяют данный препарат в сочетании с ритуксимабом.
Хронический лимфолейкоз рассматривается как практически неизлечимое длительно текущее заболевание с относительно удовлетворительным прогнозом. В 15% случаев наблюдается агрессивное течение с быстрым нарастанием лейкоцитоза и прогрессированием клинической симптоматики. Летальный исход при этой форме хронического лимфолейкоза наступает в течение 2-3 лет. В остальных случаях отмечается медленное прогрессирование, средняя продолжительность жизни с момента постановки диагноза колеблется от 5 до 10 лет. При доброкачественном течении срок жизни может составлять несколько десятилетий. После прохождения курса лечения улучшение наблюдается у 40-70% больных хроническим лимфолейкозом, однако полные ремиссии выявляются редко.
Сипмтомы хронического лимфолейкоза (ХЛЛ) - анализы
Хронический лимфолейкоз чаще всего начинается исподволь и в большинстве случаев на ранних этапах прогрессирует очень медленно, а у ряда больных признаки прогрессирования годами могут отсутствовать.
У некоторых больных значительно увеличены глоточные миндалины, присоединение респираторной инфекции иногда сопровождается легким затруднением при проглатывании твердой пищи.
При небольшом количестве незначительно увеличенных периферических лимфатических узлов другие группы лимфатических узлов могут не быть увеличенными. В случае значительного увеличения периферических лимфатических узлов, как правило, оказываются увеличенными, иногда значительно, лимфатические узлы брюшной полости, что выявляется при ультразвуковом исследовании (УЗИ).
Медиастинальные лимфатические узлы увеличиваются редко и обычно незначительно. Нам не приходилось наблюдать синдрома сдавления верхней полой вены при хроническом лимфолейкозе (ХЛЛ).
Размеры лимфатических узлов у разных больных могут изменяться в очень широких пределах — от 1,5—2,0 до 10—15 см в диаметре. У одного больного размеры лимфатических узлов в разных областях могут варьировать, однако резкое увеличение лимфатических узлов какой-либо одной области для неосложненного хронического лимфолейкоза нехарактерно. В подобных случаях обязательна пункция или биопсия этого узла для исключения трансформации хронического лимфолейкоза в агрессивную лимфому.
Увеличенные лимфатические узлы могут сливаться между собой, образуя конгломераты. Особенно часто это наблюдается при увеличении лимфатических узлов брюшной полости. В то же время инвазивный рост с поражением соседних органов совершенно нехарактерен, большие лимфатические узлы могут сдавливать или оттеснять соседние органы, но прорастания в ткани соседних органов не бывает.
Имеются казуистические описания поражения внутренних органов при хроническом лимфолейкозе, не вызванные прорастанием в них опухоли из соседних лимфатических узлов. Например, приведен случай инфильтрации желчного пузыря лимфоидными клетками с характерным для хронического лимфолейкоза иммунофенотипом. Описаны также нескольких случаев нейролейкемии, но из известных нам лишь в одном лимфоидные клетки в цереброспинальной жидкости были исследованы иммунологически и имели иммунофенотип, характерный для хронического лимфолейкоза.

Нейролейкемия развилась после 10—летнего течения хронического лимфолейкоза и многократных курсов терапии. Лечение интралюмбальным введением метот-рексата ликвидировало все симптомы поражения головного мозга. Описаны несколько случаев специфического поражения желудка и тонкой кишки, однако иммунологическое исследование ткани этих органов ограничивалось определением CD20, поэтому нет абсолютной уверенности в правильной интерпретации как первоначального диагноза, так и поражения желудочно-кишечного тракта.
У большинства больных селезенка увеличивается позже, чем появляется увеличение лимфатических узлов. Только у некоторых больных размеры селезенки оказываются очень значительными. Следует иметь в виду, что увеличение селезенки без увеличения лимфатических узлов совершенно нехарактерно для хронического лимфолейкоза и требует тщательной верификации диагноза с использованием не только морфологического, но обязательно иммунологического исследования. Чаще всего в таких случаях речь идет либо о волосатоклеточном лейкозе, либо о мантийно-клеточной лимфоме с лейкемизацией, неправильно расцененных как хронический лимфолейкоз (ХЛЛ).
Увеличение печени наблюдается нечасто и обычно позже, чем увеличение селезенки. У отдельных больных увеличение селезенки или печени выражено значительно на протяжении всего заболевания и представляет проблему для лечения. Обычно это наблюдается при числе пролимфоцитов в крови более 10, а чаще всего при том варианте болезни, который рассматривается как пролимфоцитарный В-ХЛЛ.
Картина крови при первом обращении больного к врачу также изменчива в широких пределах. Количество лейкоцитов и процент лимфоцитов в лейкоцитарной формуле при хроническом лимфолейкозе нарастают медленно, поэтому высокий лейкоцитоз с резким преобладанием лимфоцитов в крови всегда свидетельствует о длительном предшествующем периоде заболевания. Обычно уже при числе лейкоцитов 15—20•10 9 /л наблюдается преобладание лимфоцитов до 60—65 %.
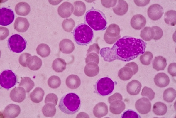
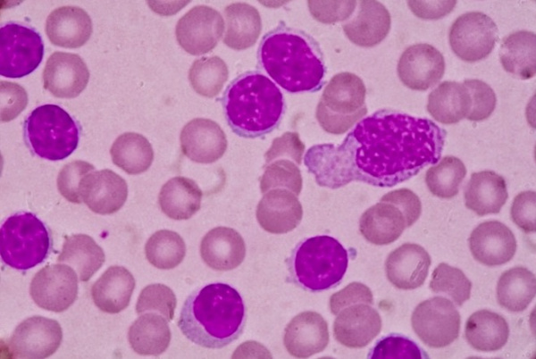
Постепенно лейкоцитоз нарастает и без лечения может с годами достигнуть огромных цифр — 500—1000•10 9 /л и даже больше. Количество лимфоцитов увеличивается параллельно увеличению числа лейкоцитов и при высоком лейкоцитозе достигает 85— 95—99 % (рис. 36.1 —см. вклейку). В крови преобладают зрелые формы лимфоцитов, при высоком лейкоцитозе нередко бывает 3—5 % пролимфоцитов.
Число эритроцитов, содержание гемоглобина и тромбоцитов на ранних этапах болезни, как правило, нормальные, при высоком лейкоцитозе обычно наблюдается их снижение либо за счет вытеснения здоровых ростков кроветворения увеличивающимся клоном лимфоцитов, либо в связи с присоединением аутоиммунных осложнений. Степень анемии и тромбоцитопении без аутоиммунных осложнений обычно небольшая (гемоглобина 100—90г/л, эритроцитов 3,0-2,5•10 12 /л, тромбоцитов 100-110•10 9 /л).
При аутоиммунных процессах показатели нередко оказываются значительно более низкими.
У больных хроническим лимфолейкозом процент нейтрофилов снижен, однако их абсолютное количество может быть нормальным, иногда незначительно сниженным или даже несколько увеличенным.
При пункции костного мозга на ранних этапах болезни обнаруживается небольшое содержание лимфоцитов (обычно 40—50 %), позднее, при высоком лейкоцитозе, наблюдается их значительное преобладание в миелограмме: лимфоциты могут составлять 95—98 % всех костно-мозговых элементов. Лимфоциты имеют морфологию зрелых клеток, но в костномозговом пунктате всегда 3—5 % пролимфоцитов.
При биохимическом анализе крови вначале никаких характерных изменений не отмечается. С течением времени, при нарастании симтомов заболевания, в большинстве случаев определяются гипопро-теинемия и гипогаммаглобулинемия. Практически у всех больных снижен уровень IgG, IgA и IgM. При использовании чувствительных методов определения почти у 60 % больных обнаруживается некоторое количество моноклонового иммуноглобулина, обычно IgM, в сыворотке крови и моче.
Обычно значительное преобладание лимфоцитов в костно-мозговом пунктате отмечается при высоком лейкоцитозе и генерализованной лимфаденопатии, однако строгой корреляции между высотой лейкоцитоза, степенью инфильтрации костного мозга лимфоцитами, размерами лимфатических узлов и селезенки нет. Иногда у больного с высокими лейкоцитозом и лимфоцитозом в крови и костно-мозговом пунктате почти не увеличены лимфатические узлы. В отдельных случаях при умеренном лейкоцитозе и лимфоцитозе в крови исследование костномозгового пунктата и биоптата подвздошной кости выявляют их практически тотальную инфильтрацию лимфоцитами.
Редко увеличение лимфатических узлов, печени, селезенки отсутствует даже у больных со значительными лейкоцитозом и лимфоцитозом. В подобных наблюдениях исследование костно-мозгового пунктата иногда выявляет почти полное вытеснение гранулоцитарных и эритроидных элементов костного мозга лимфоцитами, которые составляют 98—99 % от всех миелокариоцитов. Этот вариант болезни нередко обозначают как lymphadenia ossium. Он является неблагоприятным в прогностическом отношении из-за часто имеющейся прогрессирующей анемии и тромбоцитопении.
Хронический лейкоз
Хронический лейкоз – это первичное опухолевое заболевание системы кроветворения, субстратом которого выступают зрелые и созревающие клетки миелоидного или лимфоидного ряда. Различные формы хронического лейкоза протекают с преобладанием интоксикационного (слабость, артралгии, оссалгии, анорексия, похудание), тромбогеморрагического (кровоточивость, тромбозы различной локализации), лимфопролиферативного синдромов (увеличение лимфоузов, спленомегалия и др.). Решающее значение в диагностике хронического лейкоза принадлежит исследованию ОАК, биоптатов костного мозга и лимфоузлов. Лечение хронических лейкозов проводится методами химиотерапии, лучевой терапии, иммунотерапии, возможна трансплантация костного мозга.


Хронический лейкоз – хронические лимфопролиферативные и миелопролиферативные заболевания, характеризующиеся избыточным увеличением количества кроветворных клеток, сохраняющих способность к дифференцировке. В отличие от острых лейкозов, при которых происходит пролиферация низкодифференцированных гемопоэтических клеток, при хронических лейкозах опухолевый субстрат представлен созревающими или зрелыми клетками. Для всех типов хронических лейкозов характерна длительная стадия доброкачественной моноклоновой опухоли.
Хронические лейкозы поражают преимущественно взрослых в возрасте 40-50 лет; мужчины болеют чаще. На долю хронического лимфоидного лейкоза приходится около 30% случаев, хронического миелоидного лейкоза - 20% всех форм лейкемии. Хронический лимфолейкоз в гематологии диагностируется в 2 раза чаще, чем хронический миелолейкоз. Лейкозы у детей протекают в хроническом варианте крайне редко - в 1-2% случаев.
Истинные причины, приводящие к развитию хронического лейкоза, неизвестны. В настоящее время наибольшее признание получила вирусно-генетическая теория гемобластозов. Согласно данной гипотезе, некоторые виды вирусов (в числе которых – вирус Эбштейна-Барр, ретровирусы и др.) способны проникать в незрелые кроветворные клетки и вызывать их беспрепятственное деление.
Не подвергается сомнению и роль наследственности в происхождении лейкозов, поскольку доподлинно известно, что заболевание нередко носит семейный характер. Кроме этого, хронический миелолейкоз в 95% случаев ассоциирован с аномалией 22-й хромосомы (филадельфийской или Рh-хромосомы), фрагмент длинного плеча которой транслоцирован на 9-ю хромосому.
Факторы риска
Наиболее значимыми предрасполагающими факторами к различным видам и формам хронических лейкозов выступают воздействия на организм:
- высоких доз радиации;
- рентгеновского облучения;
- производственных химических вредностей (лаков, красок и др.);
- лекарственных препаратов (солей золота, антибиотиков, цитостатиков);
- длительный стаж курения.
Риск развития хронического лимфоцитарного лейкоза повышается при длительном контакте с гербицидами и пестицидами, а хронического миелоидного лейкоза – при радиационном облучении.
В патогенезе хронического лимфолейкоза значимая роль принадлежит иммунологическим механизмам – об этом свидетельствует его частое сочетание с аутоиммунной гемолитической анемией и тромбоцитопенией, коллагенозами. Вместе с тем, у большинства больных хроническими лейкозами причинно значимых факторов выявить не удается.
В зависимости от происхождения и клеточного субстрата опухоли хронические лейкозы делятся на:
- Лимфоцитарные: хронический лимфолейкоз, болезнь Сезари (лимфоматоз кожи), волосатоклеточный лейкоз, парапротеинемические гемобластозы (миеломная болезнь, макроглобулинемия Вальденстрема, болезни легких цепей, болезни тяжелых цепей).
- Миелоцитарные (гранулоцитарные): хронический миелолейкоз, эритремия, истинная полицитемия, хронический эритромиелоз и др.
- Моноцитарные: хронический моноцитарный лейкоз и гистиоцитозы.
В своем развитии опухолевый процесс при хроническом лейкозе проходит две стадии: моноклоновую (доброкачественную) и поликлоновую (злокачественную). Течение хронического лейкоза условно подразделяется на 3 стадии: начальную, развернутую и терминальную.

Симптомы хронического лейкоза
Хронический миелоидный лейкоз
В начальном периоде хронического миелолейкоза клинические проявления отсутствуют или неспецифичны, гематологические изменения выявляются случайно при исследовании крови. В доклиническом периоде возможно нарастание слабости, адинамии, потливости, субфебрилитета, болей в левом подреберье.
Переход хронического миелоидного лейкоза в развернутую стадию знаменуется прогрессирующей гиперплазией селезенки и печени, анорексией, похуданием, выраженными болями в костях и артралгиями. Характерно образование лейкемических инфильтратов на коже, слизистых полости рта (лейкемический периодонтит), ЖКТ. Геморрагический синдром проявляется гематурией, меноррагией, метроррагией, кровотечениями после экстракции зубов, кровавыми поносами. В случае присоединения вторичной инфекции (пневмонии, туберкулеза, сепсиса и др.) температурная кривая приобретает гектический характер.
Терминальная стадия хронического миелоидного лейкоза протекает с резким обострением всех симптомов и выраженной интоксикацией. В этот период может развиваться плохо поддающееся терапии и угрожающее жизни состояние – бластный криз, когда из-за резкого увеличения количества бластных клеток течение заболевания становится похожим на острый лейкоз. Для бластного криза характерна агрессивная симптоматика: лейкемиды кожи, тяжелые кровотечения, вторичные инфекции, высокая температура, возможен разрыв селезенки.
Хронический лимфолейкоз
Долгое время единственным признаком хронического лимфолейкоза может быть лимфоцитоз до 40-50%, незначительное увеличение одной-двух групп лимфоузлов. В развернутый период лимфаденит принимает генерализованную форму: увеличиваются не только периферические, но и медиастинальные, мезентериальные, забрюшинные узлы. Возникает сплено- и гепатомегалия; возможно сдавление холедоха увеличенными лимфатическими узлами с развитием желтухи, а также верхней полой вены с развитием отеков шеи, лица, рук (синдром ВПВ). Беспокоят упорные оссалгии, кожный зуд, рецидивирующие инфекции.
Тяжесть общего состояния больных хроническим лимфоидным лейкозом обусловлена прогрессированием интоксикации (слабость, потливость, лихорадка, анорексия) и анемического синдрома (головокружение, одышка, сердцебиение, обморочные состояния).
Терминальная стадия хронического лимфоидного лейкоза характеризуется присоединением геморрагического и иммунодефицитного синдромов. В этот период развивается тяжелая интоксикация, возникают кровоизлияния под кожу и слизистые, носовые, десневые, маточные кровотечения.
Иммунодефицит, обусловленный неспособностью функционально незрелых лейкоцитов выполнять свои защитные функции, проявляется синдромом инфекционных осложнений. У больных хроническим лимфолейкозом часты легочные инфекции (бронхиты, бактериальные пневмонии, туберкулезные плевриты), грибковые поражения кожи и слизистых, абсцессы и флегмоны мягких тканей, пиелонефриты, герпетическая инфекция, сепсис.
Нарастают дистрофические изменения внутренних органов, кахексия, почечная недостаточность. Летальный исход при хроническом лимфоидном лейкозе наступает от тяжелых инфекционно-септических осложнений, кровотечений, анемии, истощения. Возможна трансформация хронического лимфолейкоза в острый лейкоз или лимфосаркому (неходжкинскую лимфому).
Предполагаемый диагноз устанавливается на основании анализа гемограммы, с результатами которой пациент должен быть немедленно направлен к врачу-гематологу. Для подтверждения диагноза проводится:
- Общий анализ крови. Типичные для хронического миелоидного лейкоза изменения включают: анемию, присутствие единичных миелобластов и гранулоцитов на разной стадии дифференцировки; в период бластного криза количество бластных клеток увеличивается более чем на 20%. При хроническом лимфолейкозе определяющими гематологическими признаками выступают выраженный лейкоцитоз и лимфоцитоз, наличие лимфобластов и клеток Боткина-Гумпрехта.
- Пункции и биопсии. С целью определения морфологии опухолевого субстрата показано выполнение стернальной пункции, трепанобиопсии, биопсии лимфоузлов. В пунктате костного мозга при хроническом миелолейкозе увеличено количество миелокариоцитов за счет незрелых клеток гранулоцитарного ряда; в трепанобиоптате определяется замещение жировой ткани миелоидной. При хроническом лимфоидном лейкозе миелограмма характеризуется резким усилением лимфоцитарной метаплазии.
- Инструментальные исследования. Для оценки выраженности лимфопролиферативного синдрома применяются УЗИ лимфатических узлов, селезенки, рентгенография грудной клетки, лимфосцинтиграфия, МСКТ брюшной полости и ряд других.
Лечение хронического лейкоза
На ранней доклинической стадии лечение неэффективно, поэтому больные подлежат динамическому наблюдению. Общережимные мероприятия предполагают исключение физических перегрузок, стрессов, инсоляции, электропроцедур и теплолечения; полноценное витаминизированное питание, длительные прогулки на свежем воздухе.
В развернутом периоде миелолейкоза назначается химиотерапевтическое лечение (бусульфан, митобронитол, гидроксимочевина и др.), при выраженной спленомегалии проводится облучение селезенки. Подобная тактика, хоть и не приводит к полному излечению, но существенно тормозит прогрессирование болезни и позволяет отсрочить наступление бластного криза. Кроме медикаментозной терапии, при хроническом миелоцитарном лейкозе используются процедуры лейкафереза. В ряде случаев излечение достигается с помощью трансплантации костного мозга.
При переходе хронического миелолейкоза в терминальную стадию назначается высокодозная полихимиотерапия. В среднем после установления диагноза больные хроническим миелолейкозом живут 3-5 лет, в отдельных случаях – 10-15 лет. Также проводится цитостатическая терапия (хлорбутин, циклофосфамид), иногда в сочетании со стероидной терапией, облучением лимфоузлов, селезенки, кожи. При значительном увеличении селезенки выполняется спленэктомия. Применяется трансплантация стволовых клеток, однако ее эффективность еще требует подтверждения.

Продолжительность жизни больных хроническим лимфоидным лейкозом может составлять от 2-3 лет (при тяжелых, неуклонно прогрессирующих формах) до 20-25 лет (при относительно благоприятном течении).
Читайте также:
