Причины первичной аменореи. Дисгенезия гонад
Добавил пользователь Евгений Кузнецов Обновлено: 18.12.2025
Аменорея - это расстройство менструальной функции, при которой у женщин детородного возраста (16 - 45 лет) не наступает менструация на протяжении полугода и более. Аменорея, как правило, не является самостоятельным заболеванием, а служит симптомом генетических, биохимических, физиологических, психо-эмоциональных расстройств в организме. Для выявления причин аменореи оценивается гинекологический анамнез, проводится УЗИ органов малого таза, исследование гормонального статуса. Лечение направлено на устранение первопричины менструальной дисфункции: может быть консервативным или хирургическим.
МКБ-10
Общие сведения
Аменорея является расстройством менструальной функции, при которой у женщин репродуктивного возраста (16 - 45 лет) не наступает менструация на протяжении полугода и более. Аменорея, как правило, не является самостоятельным заболеванием, а служит симптомом генетических, биохимических, физиологических, психо-эмоциональных расстройств в организме. При ложной аменорее циклические и гормональные изменения в яичниках и матке сохранены, но менструальные выделения из половых путей отсутствуют из-за какого-либо анатомического препятствия. При истинной аменорее отсутствует овуляция, и становится невозможной беременность.
Причины аменореи
Первичная аменорея
Причинами первичной аменореи могут служить генетически обусловленные (наследственные), анатомические и психо-эмоциональные факторы:
- Наследственность. У многих пациенток с первичной аменореей в семейном анамнезе отмечается позднее (после 17 лет) наступление менструации у матери или старших сестер. В таких случаях говорят о наследственных факторах, вызывающих аменорею. Первичная аменорея наблюдается при синдроме Тернера – заболевании, характеризующемся недоразвитием половых желез в результате аномального развития половых хромосом.
- Конституциональные и анатомические особенности. К ним относятся общая задержка физического развития, проявляющаяся в особенностях телосложения (худоба, недостаточный вес, неразвитая грудь, узкий таз и т. д.), а также отклонения в развитии половых органов (заращение канала влагалища или девственной плевы).
- Нервно-психическое истощение. Частыми виновниками первичной аменореи оказываются стрессы, тяжелые психо-эмоциональные потрясения, анорексия и изнурительные физические нагрузки. Такие факторы чрезвычайно опасны для неразвитого подросткового организма, т. к. вызывают нарушения на стадии становления менструальной функции.
Вторичная аменорея
Вторичная аменорея встречается приблизительно у 10% женщин в возрасте 17-45 лет и рассматривается как тяжелое нарушение менструальной функции. Факторами, наиболее часто влияющими на прекращение установившихся менструаций и развитие вторичной аменореи, являются:
- Анорексия(38%). Большинство пациенток с вторичной аменореей являются жертвами модных диет и анорексии – тяжелого психического и физического расстройства, характеризующегося навязчивым стремлением похудеть. Целенаправленный отказ от еды, злоупотребление слабительными процедурами, искусственно вызванная рвота при анорексии приводят к резкому снижению веса и развитию психосексуальных нарушений, депрессии, запоров и вторичной аменореи.
- Поликистоз яичников (26%). Характерными симптомами, позволяющими заподозрить поликистозные изменения яичников, служат гирсутизм, акне, нарушение жирового обмена, аменорея и отсутствие беременности.
- Ранняя менопауза (22%). Менопауза считается ранней (преждевременной), если менструация прекращается у женщины, не достигшей 40-летнего возраста по причине недостаточной функции яичников. Спровоцировать преждевременную менопаузу и аменорею может затяжной стресс.
- Гиперпролактинемия (11%). Гиперпролактинемия – это состояние, обусловленное повышением уровня гормона пролактина в крови. Характеризуется молокообразными выделениями из молочных желез, различными нарушениями менструальной функции, вплоть до полного прекращения менструаций – аменореи.
В ряде случаев прекращение менструаций может служить временной реакцией на нервные потрясения и восстанавливаться через определенное время самостоятельно, без дополнительных вмешательств. Однако, в большинстве случаев вторичная аменорея требует квалифицированного медицинского вмешательства.
Классификация
В основе классификации лежат два типа аменореи – ложная и истинная.
- Ложная. Циклические и гормональные изменения в яичниках и матке сохранены, но менструальные выделения из половых путей отсутствуют из-за какого-либо анатомического препятствия. Такими препятствиями могу служить врожденные пороки строения половых органов: атрезия влагалища, шейки матки или девственной плевы. Т. о., в зависимости от анатомического порока при ложной аменорее менструальная кровь может скапливаться в маточных трубах (гематосальпинкс), полости матки (гематометра) или влагалище (гематокольпос).
- Истинная. Характеризуется отсутствием менструальных кровотечений и обусловливающих их циклических процессов в организме. При истинной аменорее отсутствует овуляция, и становится невозможной беременность. В свою очередь, в зависимости от вызывающих ее причин, истинная аменорея может быть физиологической либо патологической.
- Физиологическая аменорея не является болезненным состоянием и обусловлена естественными состояниями (беременность, кормление грудью) или возрастными периодами женщины (детство, менопауза).
- Патологическая аменорея служит тревожным симптомом, свидетельствующим о функциональных или органических нарушениях в женском организме. Если менструация не наступает изначально в подростковом возрасте, говорят о первичной аменорее. В тех случаях, когда регулярные менструации прекращаются в связи с какими-либо причинами, аменорею считают вторичной.
Лактационная аменорея
Отсутствие менструации и гормонально-зависимых циклических изменений в половой системе, сопровождающее период грудного вскармливания ребенка, называется лактационной аменореей. Лактационная аменорея является физиологическим методом контрацепции, основанным на отсутствии овуляции и, вследствие этого, невозможности беременности. Однако эффективен метод лактационной аменореи лишь на протяжении полугода с момента родов и исключительно при грудном вскармливании.
Условиями эффективности лактационной аменореи как метода контрацепции является соблюдение следующих правил:
- кормление ребенка по каждому его требованию как минимум 6 раз в сутки;
- обязательное ночное кормление;
- отсутствие смешанного вскармливания и прикормов.
Механизм лактационной аменореи основан на подавлении у женщины овуляции при постоянном сосании грудного молока ребенком, а, следовательно, отсутствии менструального цикла и беременности. Эффективность контрацептивного эффекта при лактационной аменорее близка к 98%. Среди несомненных достоинств метода лактационной аменореи – высокая надежность, естественность, польза для ребенка, простота в применении, отсутствие побочного влияния, быстрое послеродовое восстановление.
К недостаткам лактационной аменореи, как метода контрацепции, следует отнести кратковременность предохранения от беременности (максимум полгода), обязательную необходимость соблюдения всех условий ее эффективности. Кроме того, лактационная аменорея не гарантирует защиты от половых инфекций и венерических заболеваний (в том числе ВИЧ и гепатит В). При невозможности использовать лактационную аменорею в качестве основного метода контрацепции, следует совместно с наблюдающим женщину гинекологом подобрать более надежное средство защиты от нежелательной беременности.
Диагностика
На гинекологическом приеме у пациентки, жалующейся на прекращение менструаций, в первую очередь исключают беременность и выясняют моменты, провоцирующие развитие аменореи: увлечение диетами, физические и психические перегрузки, сопутствующие заболевания, время наступления менопаузы у матери и бабушек т. д. Врач-гинеколог оценивает рост и вес пациентки, их соотношение друг с другом и показателями нормы. В некоторых случаях дистрофия или, напротив, ожирение могут вызывать вторичную аменорею вследствие гормональных и физиологических сбоев в организме.
При подозрении на аменорею обследование направлено на выявление характера нарушений функции яичников. С этой целью проводится исследование уровня гормонов (в первую очередь пролактина, гестагенов, эстрогенов, полового хроматина, кариотина), УЗИ органов малого таза (для исключения поликистоза яичников и определения состояния эндометрия). Дополнительно составляется график изменений ректальной температуры, проводится цитологический анализ мазка заднего свода влагалища для определения эстрогенной насыщенности организма пациентки.
Важным диагностическим тест-критерием при вторичной аменорее является «симптом зрачка». При нормальном течении менструального цикла, в период с 6-го по 20 день, диаметр наружного зева шейки матки, заполненного прозрачной слизью, увеличивается и при осмотре напоминает зрачок. Для аменореи характерно незначительное раскрытие маточного зева и малое количество слизи. Исходя из полученных результатов, как правило, устанавливается причина аменореи и назначается лечебный курс.
Лечение аменореи
Принципы лечения первичной аменореи направлены на устранение либо коррекцию вызвавших ее факторов. Пациенткам с синдромом Тернера показана пожизненная заместительная гормонотерапия (эстрогенизация). При задержке физического и репродуктивного развития девочкам назначается диета, направленная на наращивание мышечной и жировой массы и гормональное лечение, стимулирующее менструальную функцию. Гормональная терапия должна проводиться под строгим наблюдением гинеколога-эндокринолога.
При повышенной эмоциональной неустойчивости проводится лечение, направленное на укрепление нервной системы. Если первичная аменорея вызывается анатомическими причинами, проводится хирургическое устранение препятствий – создание условий для нормального оттока менструальной крови из полости матки по половым путям наружу.
Аменорея, связанная с резким снижением веса или физическими нагрузками, является следствием неправильного образа жизни и требует его изменения. Критическим показателем для нормального течения менструального цикла у взрослой женщины является потеря 10 и более килограммов веса, а также масса тела менее 50 кг. До полной нормализации менструальной функции обычно назначаются прогестагенные оральные контрацептивы, не содержащие эстрогенных компонентов. Нередко вторичная аменорея устраняется без гормональной терапии при соблюдении разумных физических нагрузок, рационального режима питания, труда и отдыха, нормализации психо-эмоционального фона.
Вторичная аменорея, развивающаяся при синдроме поликистозных яичников, требует лечения фонового заболевания. Для нормализации овуляторного цикла при поликистозе яичников назначают гормональные контрацептивы или проводят лапароскопическую диатермокоагуляцию ткани органа (по показаниям).
Гиперпролактинемия, как фактор развития аменореи, устраняется приемом препаратов - агонистов дофамина, понижающих уровень пролактина. Эффективность лечения определяется контролем базальной температуры, повышение которой указывает на совершение овуляции. При опухолевых поражениях гипофиза показано нейрохирургическое вмешательство. Вторичная аменорея, обусловленная преждевременной менопаузой, корректируется при помощи длительно проводимой заместительной гормональной терапии.
Вспомогательные репродуктивные технологии
ВРТ и метод экстракорпорального оплодотворения, который успешно применяет современная гинекология, позволяет осуществить беременность женщинам с преждевременной менопаузой и не поддающейся лечению вторичной аменореей. В таких случаях для искусственного оплодотворения (методами ИКСИ, ПИКСИ или ИМСИ) используется донорская яйцеклетка или донорский эмбрион. Затем осуществляется подсадка эмбрионов в матку будущей матери.
Прогноз и профилактика
Внезапное прекращение менструаций у женщин детородного возраста (вторичная аменорея) является сигналом бедствия и неполадок в организме, требующих к себе внимания. Часть из них легко устранима изменениями в образе жизни, другие нуждаются в квалифицированной медпомощи. Опасность аменореи состоит в том, что она всегда сопряжена с женским фактором бесплодия. В юном возрасте особенно опасно увлекаться различными диетами: ограничения себя в питании приводят к недостаточному поступлению в организм белка, жиров, витаминно-минеральных соединений, замедляющему развитие, в т. ч. и половое и способствующему развитию аменореи. Следует избегать увлечений силовыми видами спорта: тяжелой атлетикой, единоборствами, бодибилдингом и т. д.
Причины первичной аменореи. Дисгенезия гонад
Мутации Х-хромосомы как причина аменореи. Синдромы Тернера, Суайра, Нунана
Низкий рост — результат мутации гена SHOX (гомеобокс-содержащего гена низкого роста), расположенного на псевдоаутосомной области Х-хромосомы. Для того чтобы у человека был нормальный рост, необходимы обе копии этого гена в кариотипе.
Известны также результаты делеций отдельных частей Х-хромосомы. Так, делеция области Хр11 приводит к недостаточности функций яичников приблизительно в половине случаев. К таким же нарушениям приводят де-леции, затрагивающие длинное плечо Х-хромосомы. Если у этих женщин и сохранен нормальный менструальный цикл, случаи наступления беременности очень редки.
Фенотипические нарушения у женщин менее выражены, если деления Х-хромосомы происходит дальше от центра (например, область Хр21). Но и в этом случае часто встречают вторичную аменорею и бесплодие. Большинство женщин с делецией области Хр21 имеют невысокий рост и фенотип, сходный с проявлениями синдрома Тернера, независимо от активности функционирования яичников. Молекулярный механизм, ответственный за яичниковую недостаточность у таких пациенток, связан с утратой детерминирующего гена, отвечающего за развитие яичников, что приводит к атрезии фолликулов, но не в такой степени, как при синдроме Тернера.
Транслокации Х-хромосомы (встречаются крайне редко) могут вызывать аменорею, в зависимости от локализации точек повреждения в хромосоме. При сбалансированной транслокации в кариотипе остается одна нормальная Х-хромосома, а вторая представлена Х-хромосомой с аутосомной транслокацией. Инактивация Х-хромосомы возникает не столь редко, поскольку одна из Х-хромосом обычно неактивна. Если бы перемещенная (транслоцированная) хромосома была инак-тивирована, неактивной оказалась бы и аутосома, что привело бы к формированию летального кариотипа. Почти все мужчины и половина женщин с транслокациями Х-хромосомы бесплодны.

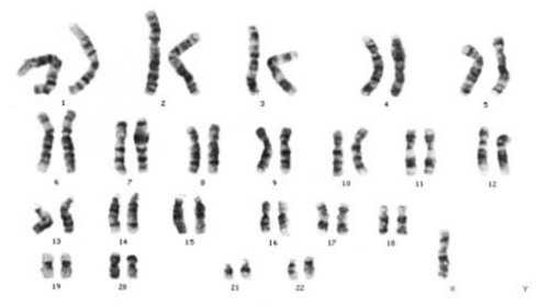
Кариотип при синдроме Тернера
Синдром Тернера
Специфические гены в Х-хромосоме необходимы для нормального функционирования яичников. Причем необходимо наличие обеих активных Х-хромосом, чтобы не произошло формирование гонад — тяжей.
Синдром Тернера (45X0) — самая распространенная причина дисгенезии гонад. Он обычно возникает из-за нерасхождения половых хромосом приблизительно в 1 случае на 2500 родов. Иногда синдром Тернера регистрируют у пациенток с нормальным кариотипом (46ХХ) — в том случае, если в результате генетической аномалии одна из Х-хромосом не является полностью функциональной. Для синдрома Тернера характерны следующие особенности: низкий рост, крыловидные складки шеи, щитообразная грудная клетка, вальгусная деформация локтевых суставов, патология сердечно-сосудистой системы, повышенное содержание гонадотропных гормонов в препубертатном периоде.
Больные с синдромом Тернера требуют особого внимания из-за частого развития у них аутоиммунных заболеваний и аномалий развития почек. Всех пациентов с синдромом Тернера обязательно консультирует кардиолог, им также проводят рентгенографию грудной клетки и эхокардиографию. Ежегодно показан осмотр кардиологом, измерение АД и инструментальный скрининг с интервалом в 3-5 лет при условии, что первичное обследование не выявило значимых отклонений. Если при эхокардиографии не удается получить четких данных или не визуализируется восходящая часть аорты, проводят МРТ грудной клетки.
Ввиду отсутствия одной Х-хромосомы гонады представлены фиброзными тяжами с полным отсутствием фолликулов. Отсутствие секреции половых гормонов в раннем возрасте приводит к нарушению полового созревания и первичной аменорее. Проявления синдрома Тернера могут варьировать. По этой причине этот синдром должен быть заподозрен у каждой девочки-подростка при наличии первичной аменореи, полового инфантилизма и низкого роста. При обнаружении высокого содержания ФСГ у таких пациенток необходимо кариотипирование. Кариотип исследуют также и при нормальной концентрации ФСГ в сыворотке крови, чтобы исключить мозаицизм у пациенток юного возраста с медленным ростом в пубертатном периоде.

Внешний вид при синдроме Тернера
Дисгенезия гонад при кариотипе 46XY - синдром Суайра
Пациентки имеют нормальный женский фенотип и кариотип 46XY. Наружные половые органы развиты нормально, количество тестостерона соответствует норме для женщин, но при этом обнаруживают нарушение развития вторичных половых признаков. Вследствие дисгенезии гонад, имеет место дефицит АМГ при наличии матки. Низкое содержание тестостерона объясняет недоразвитие вольфова протока.
Около 10-15% пациенток с синдромом Суайра имеют мутации гена SRY (область Y-хромосомы, определяющая формирование пола), локализованного в дистальном отделе короткого плеча Y-хромосомы. Ввиду высокого риска злокачественных опухолей при аномалии Y-хромосомы и наличии гонад-фиброзных тяжей еще в раннем возрасте рекомендуют провести гонадэктомию.
Синдром Нунана
Синдром Нунана — расстройство, которое часто путают с синдромом Тернера. Этот синдром наследуется по аутосомно-доминантному типу и не связан с хромосомными дефектами. Страдающие им пациенты (как женского, так и мужского пола) внешне напоминают больных с синдромом Тернера: у них могут быть характерные складки на шее, низкий рост, аномалии сердечнососудистой системы и скелетные деформации.
Редактор: Искандер Милевски. Дата обновления публикации: 18.3.2021
- Вернуться в оглавление раздела "гинекология"
Информация на сайте подлежит консультации лечащим врачом и не заменяет очной консультации с ним.
См. подробнее в пользовательском соглашении.
Отсутствие менструаций - аменорея. Классификация
Расстройства менструального цикла — одна из наиболее распространенных проблем в гинекологической практике. Отсутствие нормальных менструаций часто встречают как при патологии половых органов, так и при нарушениях в гипоталамо-гипофизарно-яичниковой системе. Настоящая глава посвящена первичной и вторичной аменорее.
Многие этиологические факторы этих двух заболеваний часто могут быть сходными, но основные причины и, следовательно, диагностические подходы различаются. По этой причине этиология, диагностика и лечение первичной и вторичной аменореи рассмотрены на нашем сайте МедУнивер в разделе "Гинекология" отдельно.
В общепринятом медицинском значении под «аменореей» понимают отсутствие или прекращение нормальных менструаций. Аменорея бывает физиологической в препубертатном периоде, при беременности, во время лактации (кормление грудью), а также в период менопаузы. Однако эти естественные причины не принято включать в стандартную классификацию.
В зависимости от причины, ее вызвавшей, аменорею разделяют на первичную и вторичную. Диагностические методы выявления первичной или вторичной аменореи различаются, несмотря на сходство некоторых этиологических факторов.
Первичная аменорея. Под первичной аменореей понимают отсутствие менструальных кровотечений у никогда не менструировавших девушек. Поскольку в норме у девочек в препубертатном периоде также отсутствуют менструации, возраст, в котором можно заподозрить первичную аменорею, зависит от наличия или отсутствия вторичных половых признаков.

Диагноз может быть заподозрен у девушки в возрасте 13 лет при отсутствии менструации в сочетании с низким ростом и недоразвитием вторичных половых признаков. В том случае, если рост девушки в пределах нормы, а вторичные половые признаки развиты, диагноз первичной аменореи ставят при отсутствии менструаций в 15 лет.
Распространенность первичной аменореи в нашей стране составляет менее 0,1%. У большинства пациенток с этим заболеванием чаще всего обнаруживают дисгенезию гонад (49%) или мюллерову агенезию (16%).
Вторичная аменорея. К вторичной аменорее относят прекращение нормального менструального цикла, возникшее после его установления, в связи с различными причинами, исключая беременность, кормление грудью (лактацию) и менопаузу. Достигнут консенсус, что диагноз аменореи правомочен при отсутствии нормальных менструаций в течение 6 мес или в период времени, соответствующий, по крайней мере, трем предыдущим менструальным циклам.
Частота вторичной аменореи, не связанной с беременностью, лактацией или менопаузой, составляет приблизительно 4%. Хотя список этиологических факторов вторичной аменореи, известных на сегодняшний день, достаточно велик, он может быть существенно расширен или изменен, учитывая доступность современных методов генетических исследований и нового понимания генетической патологии человека. У большинства пациенток с вторичной аменореей, скорее всего, можно выявить ПЯН, гиперпролактинемию, гипоталамическую аменорею или СПКЯ.
В настоящее время наиболее признана классификация аменореи, опубликованная ВОЗ. Согласно данной классификации, существует три группы причин аменореи, что позволяет практикующему врачу их обобщить для оценки клинической ситуации.
• В первую группу включают случаи аменореи с недостатком эндогенного синтеза эстрогенов в сочетании с нормальным или низким содержанием ФСГ при отсутствии патологии гипоталамо-гипофизарной системы или высокой концентрации пролактина.
• Вторая группа представлена аменореей с нормальным синтезом эстрогенов и нормальными концентрациями пролактина и ФСГ.
• В третью группу входят случаи аменореи с высоким содержанием ФСГ в сыворотке крови, что указывает на преждевременную яичниковую недостаточность (ПЯН).
Следует отметить, что аменорея возможна и у пациенток с нарушением половой дифференцировки или вирилизацией.

Классификация причин первичной и вторичной аменореи
Анатомические дефекты (нарушающие отток менструальной крови).
Мюллерова агенезия (синдром Майера-Рокитанского-Кюстера-Хаузера).
Тестикулярная феминизация.
Внутриматочные спайки (синдром Ашермана).
Неперфорированная девственная плева.
Поперечная перегородка влагалища.
Недоразвитие шейки матки.
Стеноз шейки матки — ятрогенный.
Агенезия влагалища — изолированная.
Гипоплазия эндометрия или аплазия — врожденная.
Дисгенезия гонад:
• Аномальный кариотип (неполная дисгенезия гонад): - синдром Тернера 45X0;
- мозаицизм.
• Нормальный кариотип:
- неосложненная дисгенезия гонад — 46ХХ; 46XY (синдром Суайра).
• Агенезия гонад.
• Ферментная патология.
- Дефицит 17а-гидроксилазы.
- Дефицит 17,20-лиазы.
- Дефицит ароматазы.
Первичная яичниковая недостаточность (ПЯН).
- Идиопатическая.
- Патологическая (после повреждения):
- химиотерапия;
- радиотерапия;
- оофорит при эпидемическом паротите.
- Резистентность яичников:
- идиопатическая.
Гипоталамические причины аменореи
Дисфункциональные.
• Стресс.
• Физические нагрузки.
• Нарушения питания:
- потеря массы тела, неправильное питание;
- расстройства питания (нервно-психическая анорексия, булимия).
• Ложная беременность.
Другие расстройства как причина аменореи:
• Изолированный дефицит гонадотропина:
- синдром Кальмана;
- идиопатический гипогонадотропный гипогонадизм.
• Инфекции:
- туберкулез;
- сифилис;
- менингоэнцефалит;
- саркоидоз.
• Заболевания, связанные с хроническим истощением.
• Опухоли:
- краниофарингиома;
- герминома;
- гамартома;
- гистиоцитоз клеток Лангерханса;
- тератома;
- опухоль желточного мешка;
- метастатическая карцинома.
Гипофизарные причины аменореи:
• Опухоли.
- Пролактиномы.
- Опухоли гипофиза, секретирующие другие гормоны (кортикотропин, ТТГ, гормон роста, гонадотропин):
- мутация рецептора ФСГ;
- мутация рецептора ЛГ;
- Х-синдром.
• Аутоиммунные заболевания.
• Галактоземия.
Другие заболевания желез внутренней секреции как причина аменореи
Заболевания надпочечников:
• Гиперплазия надпочечников, проявившаяся во взрослом возрасте.
• Синдром Кушинга.
Заболевания щитовидной железы:
• Гипотиреоз.
• Гипертиреоз. Опухоли яичников.
• Опухоли из зернистых клеток.
• Опухоли Бреннера.
• Кистозные тератомы.
• Муцинозная/серозная цистаденома.
• Опухоли Крукенберга.
• Нефункциональные опухоли (краниофарингиома).
• Метастатическая карцинома.
Объемные травматические процессы:
• Синдром пустого турецкого седла.
• Артериальная аневризма. Некроз.
• Синдром Шихена.
• Пангипопитуитаризм.
Воспалительные/инфильтративные процессы:.
• Саркоидоз.
• Гемохроматоз.
• Лимфоцитарный гипофизит.
• Мутации генов гонадотропных гормонов (ФСГ).
Мультифакторные причины:
• СПКЯ
Этиологические факторы первичной аменореи достаточно разнообразны. Как было сказано выше, к четырем основным причинам первичной аменореи относятся следующие:
• дисгенезия гонад (почти половина всех случаев);
• мюллерова агенезия (например, врожденное отсутствие матки и влагалища);
• гипоталамические расстройства, в том числе связанные с избыточной физической нагрузкой и нарушениями питания;
• конституциональная задержка полового созревания. К другим, более редким причинам первичной аменореи относятся анатомические особенности (неперфорированная девственная плева или поперечная перегородка влагалища), синдром тестикулярной феминизации, а также врожденные дефекты синтеза гонадотропинов или врожденная резистентность яичников к гонадотропинам. Некоторые из перечисленных нарушений рассмотрены в данной статье.
Дисгенезия гонад как причина первичной аменореи
Термин «дисгенезия гонад» в общем используют для описания всех форм нарушения развития гонад у пациентов с нормальным кариотипом (46ХХ; 46XY), а также ряда аномальных или мозаичных нарушений, наиболее частое из которых — синдром Тернера (45X0). Гонады в таких случаях представляют собой функционирующие фиброзные тяжи.
Чистая форма дисгенезии гонад. Для чистой формы дисгенезии гонад характерны: женский фенотип, наличие гонад в виде фиброзных тканей, наружные половые органы, развитые по женскому типу, нормально развитые мюллеровы структуры и кариотип 46XY (синдром Суайра) или 46ХХ. Это гетерогенное состояние может быть результатом структурных нарушений в Y-хромосоме, мутации гена SRY (мутации в участке Y-хромосомы, при которой происходит нарушение половой дифференцировки у мальчиков) или мутации аутосомного гена.
Смешанная дисгенезия гонад. Смешанная дисгенезия гонад развивается вследствие хромосомного мозаицизма. В кариотипе у таких больных отмечают частичную моносомию по половым хромосомам с отсутствием или аномалией второй половой хромосомы, причем кариотип чаще всего 45X0/46XY.
Фенотипически это могут быть и женщины, и мужчины, и псевдогермафродиты — в зависимости от отношения доли клеток с кариотипом 45X0 к клеткам с нормальным (46ХХ или 46XY) кариотипом в каждой из гонад. У этих пациентов обнаруживают нарушение половой дифференцировки.
Возможны варианты наличия фиброзированной половой железы с одной стороны и недостаточно развитой или нормальной — с другой в сочетании с ипсилатеральным развитием вольфова протока или мюллеровых структур. Большинство таких пациентов имеют низкий рост, а у одной трети выявляют признаки синдрома Тернера.
У большинства пациенток с дисгенезией гонад никогда не бывает менструаций. Эта группа больных составляет около 40% всех случаев первичной аменореи, и у 40% из них обнаруживают аномалии кариотипа. При нарушениях кариотипа синдром Тернера (46,Х0) диагностируют в 50% случаев, мозаичный кариотип X0/XY — в 25%.
Больных с дисгенезией гонад и нормальным кариотипом необходимо также обследовать для исключения нейросенсорной тугоухости и синдрома инактивированной Х-хромосомы. Поиск этих клинических связей особенно важен, если в семейном анамнезе есть случаи преждевременной яичниковой недостаточности (ПЯН).

Лечение дисгенезии гонад
Подростки с дисгенезией гонад нуждаются в гормональной терапии с целью стимуляции роста и своевременного полового развития. В течение первого года применяют эстрогены в низких дозах (0,25-0,3 мг/сут) иногда в сочетании с гормоном роста, чтобы индуцировать нормальное половое развитие, минимизировать эффекты раннего закрытия эпифизов костей и обеспечить нормальный рост. Приблизительно через год терапии эстрогенами подключают препараты прогестерона (например, медроксипрогестерон по 5 мг/сут или иную форму прогестерона), который используют во второй половине месяца.
Дозы эстрогенов постепенно увеличивают, чтобы за 2-3 года больные достигли половой зрелости.
Для поддерживающей терапии используют 2 мг/сут эстрадиола или 1,25 мг/сут конъюгированных эстрогенов. Если назначено лечение гормоном роста, эстрогены можно назначить раньше. Если же гормон роста не используется, начало лечения эстрогенами может быть отсрочено до 14-15 лет, но не позже. Применение этинилэстрадиола повышает риск артериальной гипертензии у больных с синдромом Тернера. Больным с Y-хромосомой с целью предотвращения малигнизации показана гонадэктомия.
Благодаря возможности использования донорской яйцеклетки у больных может наступать беременность. Однако повышенные требования, которые беременность предъявляет к сердечно-сосудистой системе (с учетом того, что распространенность ее аномалий у этих больных достигает 25-50%), становятся у таких больных существенным фактором риска. В докладе ASRM говорится, что риск развития расслаивающей аневризмы аорты и ее разрыва составляет 2% и выше, а риск смерти во время беременности повышается в 100 раз.
Выявление любых тяжелых аномалий сердечно-сосудистой системы необходимо рассматривать как противопоказание для донации ооцитов. Даже при отсутствии подобных аномалий сохраняется риск расслаивающей аневризмы аорты во время беременности.
Вторичная аменорея - симптомы и лечение
Что такое вторичная аменорея? Причины возникновения, диагностику и методы лечения разберем в статье доктора Барковской Анны Юрьевны, гинеколога со стажем в 6 лет.
Над статьей доктора Барковской Анны Юрьевны работали литературный редактор Вера Васина , научный редактор Сергей Федосов и шеф-редактор Лада Родчанина
Определение болезни. Причины заболевания
В России вторичной аменореей называют отсутствие менструации в течение шести месяцев при регулярном и нерегулярном цикле [1] , в зарубежной практике — отсутствие менструации три и более цикла подряд на протяжении шести месяцев при ранее регулярном цикле [2] .
Следует различать первичную и вторичную аменорею. Первичная аменорея — это состояние, при котором у пациентки никогда не было менструации. Распространённость первичной и вторичной аменореи составляет 3-5 % без учёта физиологических причин: периода беременности и лактации [1] [2] . Доля вторичной аменореи по сравнению с первичной, по данным различных авторов, составляет от 75 % до 90 % . Важно понимать, что аменорея является не самостоятельной патологией, а симптомом болезни. В структуре гинекологических заболеваний с нарушением менструального цикла доля аменореи составляет 10-15 % [1] [2] .
К основным причинам вторичной аменореи относятся: [1] [3] [4] :
1. Патология матки:

2. Функциональные нарушения гипоталамо-гипофизарной системы:
- Аменорея на фоне потери массы тела и психогенная аменорея. Во время стресса организм направляет энергетические ресурсы на выживание, поэтому функции, связанные с процессом размножения, могут на время отключиться. Физический, эмоциональный стресс или сильный голод связаны с повышенной выработкой гормона кортикотропина, который повышает также выработку кортизола. Кортикотропин подавляет высвобождение гонадорелина и снижает чувствительность к нему лютеинизирующего гормона. В результате стресс приводит к повышению уровня пролактина, и менструальный цикл нарушается [12] .
- Повышение уровня гормона пролактина (гиперпролактинемия) .
3. Яичниковые формы аменореи.
- (нарушение, при котором рецепторы в яичниках становятся невосприимчивыми к половым гормонам).
- Синдром истощения яичников (преждевременное прекращение функции яичников).
- Синдром гиперторможения гонадотропной функции (снижение выработки гонадотропинов) — патология, наступившая в ответ на отмену оральных контрацептивов, которые применялись в течение нескольких лет и более.
При обнаружении схожих симптомов проконсультируйтесь у врача. Не занимайтесь самолечением - это опасно для вашего здоровья!
Симптомы вторичной аменореи
Основные жалобы пациенток — это отсутствие менструации в течение шести и более месяцев. Для таких женщин характерно нормальное развитие органов малого таза, женский тип строения фигуры, правильное развитие вторичных половых признаков.
Клиническая картина
При сборе анамнеза врач обращает внимание на факторы, которые могли спровоцировать развитие аменореи. К ним относятся [3] [4] [5] [7] :
- оперативные вмешательства на органах малого таза — конизация шейки матки (операция по удалению участка в форме конуса при дисплазии шейки матки), хирургический аборт, раздельное диагностическое выскабливание, резекция яичников, удаление кист яичников, удаление маточных труб, удаление миомы матки;

- выраженный стресс, снижение массы тела, повышенная физическая нагрузка;
- симптомы эндокринологических заболеваний — угревая сыпь, алопеция (облысение), гирсутизм (рост волос на лице у женщин), выделения из молочных желёз, предшествующая олигоменорея (длительность цикла превышает 35 дней), головные боли, нарушение зрения, сухость кожи, розовые стрии (растяжки на коже), увеличение веса, сонливость, апатия;
- симптомы недостаточности яичников — приливы (вспышки жара, которые могут сопровождаться резким потоотделением, покраснением кожи, дрожью, учащённым сердцебиением), ощущение сухости во влагалище, нарушение сна, боль в мышцах;
- приём лекарственных средств и наркотиков — нейролептиков, фенотиазинов, галоперидола, метоклопрамида, домперидона, пимозида, сульпирида, резерпина, ингибиторов моноаминоксидазы, опиоидов, амфетаминов, галлюциногенов.
Иногда аменорея связана с атрезией цервикального канала, которая возникла вследствие хирургических вмешательств, например при конизации шейки матки и выскабливании. В таком случае цервикальный канал "зарастает" и менструальная кровь не может излиться из полости матки. Однако, как правило, такие ситуации сопровождаются резкими болями внизу живота в период менструации и в течение шести месяцев (критерий для постановки диагноза "вторичная аменорея") удаётся выявить патологию и бужировать (расширить просвет при помощи металлического стержня — бужа) цервикальный канал.
Патогенез вторичной аменореи
Для понимания патогенеза аменореи важно вспомнить основные принципы регуляции нормального менструального цикла:
- Началом каждого цикла считается первый день менструации. В этот период уровень эстрогена в крови падает.
- Рецепторы гипоталамуса и гипофиза фиксируют низкую концентрацию эстрогена и, для того чтобы его поднять, начинают вырабатывать гонадотропный релизинг-гормон (ГнРГ).
- Под воздействием ГнРГ гипофиз вырабатывает фолликулостимулирующий гормон (ФСГ).
- ФСГ действует на рецепторы яичника, благодаря чему стимулируется рост фолликулов.
- Фолликулы начинают вырабатывать эстрогены, что по механизму отрицательной обратной связи постепенно снижает уровень ФСГ.
- Под действием растущей концентрации эстрогена клетки эндометрия (слизистой оболочки матки) начинают активно делиться, маточное кровотечение (менструация) останавливается.
- Через 12-14 дней формируется доминантный фолликул, уровень эстрогена достигает критической концентрации, что вызывает резкий выброс лютеинизирующего гормона (ЛГ) гипофизом.
- Яйцеклетка попадает в полость малого таза, а затем в маточную трубу и полость матки.
- Ткань, которая осталась после выхода яйцеклетки, под действием ЛГ превращается в жёлтое тело, которое в течение 10-15 дней вырабатывает прогестерон.
- Прогестерон стимулирует рост желёз в эндометрии, трансформируя его таким образом, чтобы он был максимально пригоден для успешной имплантации эмбриона.
- Если беременность не наступила, жёлтое тело редуцируется. Падение концентрации прогестерона приводит к отторжению эндометрия и происходит менструация. Цикл начинается вновь.

Патогенез заболевания различается в зависимости от типа аменореи. Согласно классификации ВОЗ 2001 года, [2] [8] выделяют основные категории:
- Гипогонадотропная нормопролактинемическая овариальная недостаточность — нарушается нормальный суточный ритм выработки гонадотропного релизинг-гормона в гипоталамусе, снижены уровни ФСГ и ЛГ. Стимуляция яичников не происходит, отсутствует овуляция, физиологическая трансформация эндометрия и менструация. Такое нарушение характерно для женщин с резким снижением массы тела, спортсменок с низкой долей жировой ткани, при нервной анорексии.
- Нормогонадотропная нормопролактинемическая овариальная недостаточность — нарушен механизм формирования доминантного фолликула. При этом функция гипоталамуса и гипофиза сохранена. Доминантный фолликул отсутствует, поэтому и овуляция не происходит. Нет жёлтого тела, которое вырабатывало бы прогестерон, вследствие чего эндометрий не трансформируется и не отторгается, менструация не наступает. Классическим примером такого типа нарушения является синдром поликистозных яичников.
- Гипергонадотропная овариальная недостаточность — рецепторы яичника становятся менее чувствительными к воздействию ФСГ и ЛГ: фолликулы яичника вступают в пул овуляции всё в меньшем количестве от цикла к циклу и для роста доминантного фолликула им требуется всё больший уровень ФСГ. За счёт этого ФСГ с каждым циклом растёт, пока яичники не перестанут реагировать на его концентрацию. Таков механизм физиологического развития менопаузы. Примеры этого типа — синдром резистентных яичников, синдром преждевременного истощения яичников, овариальная недостаточность на фоне химиотерапии.
- Аменорея, обусловленная анатомическими дефектами — нарушения рецепции половых гормонов в ткани эндометрия. При этом уровень половых гормонов, состояние яичников, гипофиза, гипоталамуса в норме, патологический процесс происходит только в клетках эндометрия. Такая ситуация характерна для аменореи, возникшей вследствие хирургических вмешательств в полости матки (хирургический аборт, раздельное диагностическое выскабливание полости матки), инфекционных процессов (туберкулёз половых органов, паразитарное заболевание шистоматоз), острых эндометритов, ношения внутриматочной спирали.
- Гиперпролактинемическая овариальная недостаточность, связанная с опухолью гипофиза — патология связана с опухолями, вырабатывающими пролактин. Также причиной может быть гиперплазия ткани гипофиза во время кормления грудью (лактационная аменорея).
- Гиперпролактинемическая овариальная недостаточность, не связанная с опухолью — повышенная выработка пролактина на фоне внешних факторов, например приёма нейролептиков.
- Нормопролактинемическая гипоталамо-гипофизарная дисфункция — нарушение функции гипофиза, которая вызвана сдавлением и ишемией (снижением кровоснабжения) ткани гипофиза. Причиной сдавления могут выступать опухоли головного мозга и опухолевидные образования в области турецкого седла (краниофарингиома, менингиома, киста Ратке, тератома, абсцессы, артериовенозная фистула кавернозного синуса, злокачественные опухоли), синдром "пустого" турецкого седла (грыжеобразное выпячивание оболочек головного мозга, заполненное спинномозговой жидкостью) и синдром Шихена (послеродовая гипофизарная недостаточность вследствие обширного кровотечения).
Отдельно стоит вынести аменорею, связанную с использованием гормональных средств. Так, например, часто можно наблюдать отсутствие менструаций на фоне прологированных (без перерыва на менструацию в течение 3-6 циклов) режимов приёма комбинированных оральных контрацептивов, на фоне приёма диеногеста (препарата для лечения эндометриоза) и использования гормонпродуцирующей внутриматочной спирали. В этом случае аменорея не является патологической, обратима и не вызывает осложнений.
Классификация и стадии развития вторичной аменореи
Аменорею подразделяется на первичную и вторичную:
- При первичной аменорее менструальных кровотечений не было никогда;
- При вторичной — менструации были, но впоследствии исчезли. Также вторичную аменорею разделяют на патологическую и физиологическую. К физиологической относят период беременности, лактации, постменопаузы [1] .
Осложнения вторичной аменореи
Аменорее зачастую сопутствует нарушение фертильности, иногда необратимое. К отдалённым последствиям относят остеопороз (уменьшение плотности и нарушение структуры костной ткани) и повышенный риск сердечно-сосудистых и онкологических заболеваний гормонозависимых органов в постменопаузе. Существует связь между минеральной плотностью костей и уровнем женских гормонов, в частности, снижение уровня эстрогена в некоторых случаях влияет на ломкость костей, так как в них находятся восприимчивые к половым гормонам рецепторы. Тем не менее полная картина этого механизма пока неясна

Классическим примером осложнений аменореи являются переломы костей на фоне остеопороза. Подобные травмы часто возникают у девушек, профессионально занимающихся бегом, лёгкой атлетикой, триатлоном, плаваньем [2] [4] [6] .
Важно отметить, что не любой тип аменореи может привести к таким последствиям. Физиологическая аменорея (за исключением периода постменопаузы), нарушения, связанные с приёмом гормональных средств и с анатомическими дефектами, не вызывают подобных осложнений.
Диагностика вторичной аменореи
Для выявления аменореи врач выясняет у пациентки, как долго нет менструации, наличие сопутствующих патологий, наследственные факторы, особенности профессионального анамнеза, приём лекарственных препаратов. При физикальном осмотре оценивается рост, вес, тип телосложения, тургор кожи, тип оволосения, наличие выделений из молочных желёз, угревой сыпи, гирсутизма, стрий, гиперпигментации в естественных анатомических складках.
Далее, производится ультразвуковая диагностика органов малого таза с определением толщины и структуры эндометрия, объёма яичников и количества фолликулов в них.
Обязательным этапом является оценка гормонального статуса. Для этого измеряют уровень ФСГ, ЛГ, эстрадиола, тестостерона, пролактина, ТТГ, прогестерона. Для уточнения могут быть использованы анализы на АКТГ (адренокортикотропный гормон гипофиза), ДГЭАС (андроген, синтезируемый надпочечниками), 17-ОН-прогестерон, кортизол. Также информативными будут следующие пробы:
- гестагеновая проба — пациентка принимает гестагены (стероидные гормоны аналоги прогестерона) в течение 10-14 дней, после чего оценивается отсутствие или наличие менструальноподобной реакции.
- эстроген-гестагеновая проба — в первой фазе пациентке дают препараты эстрогена, во второй фазе — гестагена и оценивают, возникла ли менструальноподобная реакция;
- гонадолибериновая проба — оценка уровней ФСГ, ЛГ до и после введения ГнРГ (аналог гонадотропин-рилизинг-гормона гипоталамуса) [1][2][7][8][9] .
Для выявления макропролактиномы — доброкачественной опухоли гипофиза, которая продуцирует избыточное количество пролактина, проводят МРТ головного мозга.
Для оценки осложнений аменореи выполняется денситометрия — рентгенологическая оценка плотности костей.

Лечение вторичной аменореи
Целями лечения аменореи являются:
- восстановление менструального цикла;
- профилактика осложнений;
- восстановление фертильности.
В зависимости от причины аменореи используют различные виды терапии:
- При гипогонадотропной нормопролактинемической овариальной недостаточности сперва нормализуют массу тела и корректируют психоэмоциональное состояние. Диета должна быть высококалорийной, сбалансированной, с добавлением витаминов А, Е, Д. При лечении нервной анорексии необходим курс психотерапии. После нормализации массы тела цикл в течение полугода восстанавливается у 80 % девушек. При неэффективности такого подхода могут быть использованы препараты гормональной заместительной терапии натуральными эстрогенами и гестагенами в течение 3-6 циклов. Как правило, такой подход позволяет "разтормозить" гипоталамус и вернуть его к физиологическому цирхоральному типу ритму выработки гормона ГнРГ (состояние, когда его пиковые выбросы происходят приблизительно один раз в час). Если пациентка планирует беременность, то возможна стимуляция овуляции при помощи антиэстрогенов и гонадотропинов [1] .
- При нормогонадотропной нормопролактинемической овариальной недостаточности лечение заключается в коррекции основного заболевания — синдрома поликистозных яичников. Также в первую очередь корректируют вес и питание. Снижение массы тела при избыточном ИМТ на три и более килограмма может запустить спонтанную овуляцию. Инсулинорезистентность преодолевают, соблюдая диету с пониженным содержанием продуктов с высоким гликемическим индексом и назначением метформина. При нормальной массе тела или неэффективности терапии применяют оральные контрацептивы, что позволит предотвратить осложнения и восстановить регулярный цикл. При эндокринном бесплодии стимуляцию овуляции производят с применением антиэстрогенов и гонадотропинов [1][10][11] .
- При гипергонадотропной овариальной недостаточности профилактика осложнений и восстановление менструальной функции заключается в назначении заместительной гормональной терапии в циклическом режиме. Восстановление фертильности возможно с применением вспомогательных репродуктивных технологий с использованием донорской яйцеклетки.
- При аменорее, обусловленной анатомическими дефектами, лечение предполагает хирургическое вмешательство, направленное на восстановление нормальной анатомии органов, например рассечение спаек при внутриматочных синехиях. После операции назначается заместительная гормональная терапия на 3-6 месяцев. Если полное восстановление репродуктивной функции невозможно, пациентке может быть предложено обратиться к помощи программ суррогатного материнства [1][10] .
- При гиперпролактинемической овариальной недостаточности, связанной с опухолью гипофиза, для лечения удаляют анатомический субстрат аменореи. При макропролактиноме или других опухолях головного мозга с выраженными неврологическими симптомами показано хирургическое удаление патологической ткани. При микропролактиноме или бессимптомной макропролактиноме применяют дофаминомиметики.
- При гиперпролактинемической овариальной недостаточности, не связанной с опухолью гипофиза, лекарственную терапию корректируют и при необходимости назначают дофаминомиметики [1][10][11] .
- При нормопролактинемической гипоталамо-гипофизарной дисфункции применяют препараты гормонозаместительной терапии, при необходимости проводят операцию, направленную на восстановление нормальной анатомии головного мозга.
Прогноз. Профилактика
Прогноз зависит от категории аменореи, но в основном для жизни и здоровья при своевременной терапии он благоприятный. Методов специфической профилактики не разработано [1] . К неспецифической профилактике относится здоровый образ жизни, поддержание нормальной массы тела, отказ от необоснованных внутриматочных вмешательств и своевременная коррекция эндокринологических заболеваний.
Читайте также:
