Причины стеноза гортани и трахеи
Добавил пользователь Евгений Кузнецов Обновлено: 28.11.2025
Острый стеноз гортани — возникающее в течение короткого промежутка времени сужение гортани, приводящее к нарушению поступления воздуха в дыхательные пути. Проявления острого стеноза гортани зависят от степени сужения голосовой щели. Основными симптомами являются инспираторная одышка, изменение голоса, шумное дыхание, бледность и цианоз кожных покровов. Диагностика острого стеноза основана на его характерной клинической картине, дополнительно может проводиться ларингоскопия, трахеобронхоскопия, КТ гортани, бакпосев мазков из зева и пр. Лечение первых стадий острого стеноза гортани возможно медикаментозными методами с применением антигистаминных, кортикостероидных, дегидратационных, противовоспалительных и антибактериальных препаратов. В случае значительного сужения голосовой щели показана срочная трахеостомия.

Общие сведения
Быстрое развитие острого стеноза гортани не оставляет времени для реализации защитных механизмов, которые срабатывают при хроническом стенозе гортани. В связи с этим нарастающая гипоксия (кислородная недостаточность) и гиперкапния (избыточное содержание углекислого газа в крови) приводят к тяжелым расстройствам в работе жизненно важных органов и систем, вплоть до их полного паралича, приводящего к смерти больного.
Острый стеноз гортани может иметь обратимый характер и достаточно быстро поддаваться проводимому лечению. В тех случаях, когда причина острого стеноза гортани не может быть устранена, после спасения пациента путем трахеостомии стеноз переходит в хроническую форму. С другой стороны, постепенно нарастающий хронический стеноз может в итоге привести к возникновению острого стеноза гортани.

Причины острого стеноза гортани
Острый стеноз гортани — это не отдельное заболевание, а симптомокомплекс, возникающий как осложнение различных патологических состояний. Среди его причин выделяют местные и общие факторы. Общими факторами возникновения острого стеноза гортани чаще всего являются инфекционные заболевания: корь, малярия, скарлатина, брюшной и сыпной тиф, сифилис, туберкулез и др.
Местные этиологические факторы острого стеноза гортани подразделяют на экзогенные и эндогенные. К местным экзогенным факторам относятся: инородные тела гортани, ее механические и химические травмы, огнестрельные ранения, медицинские манипуляции (интубация трахеи, бронхоскопия, гастроскопия). В роли местных эндогенных факторов могут выступать врожденные пороки гортани; воспалительные процессы гортани и трахеи: ларингит, гортанная ангина, трахеит, истинный и ложный круп; объемные процессы: доброкачественные опухоли и рак гортани; двусторонние парезы гортани; патологические изменения соседствующих с гортанью структур: заглоточный абсцесс, опухоли средостения, доброкачественные опухоли и рак пищевода, увеличение щитовидной железы (аутоиммунный тиреоидит, йододефицитные заболевания, опухоли щитовидной железы, диффузный токсический зоб).
Многообразие заболеваний, при которых может наблюдаться острый стеноз гортани, обуславливает широкий круг узкоспециализированных областей медицины, занимающихся его диагностикой и купированием. К ним относятся: отоларингология, реаниматология, аллергология, пульмонология, онкология.
Симптомы острого стеноза гортани
Острый стеноз гортани проявляется шумным дыханием, изменением голоса по типу охриплости или осиплости, инспираторной отдышкой, при которой пациенту трудно сделать вдох. Инспираторная одышка сопровождается втяжением межреберий и западением яремных ямок на вдохе. Выраженность одышки и проявленность других симптомы острого стеноза гортани зависят от его стадии.
Стадия компенсации острого стеноза гортани характеризуется отсутствием инспираторной одышки в состоянии покоя и ее появлением при ходьбе и другой физической нагрузке. Эта стадия возникает при сужении голосовой щели до 6-5 мм. Изменения газового состава крови, происходящие в следствие недостаточного поступления кислорода и избыточного накопления углекислоты, приводят к активации дыхательного центра. В результате дыхание пациента становится более глубоким и частым, сокращаются паузы между вдохом и выдохом.
Стадия субкомпенсации острого стеноза гортани развивается при сужении голосовой щели до 4-5 мм. В этой стадии инспираторная одышка наблюдается в покое, дыхание сопровождается участием вспомогательной дыхательной мускулатуры, на вдохе наблюдается раздувание крыльев носа. Отмечается шумное дыхание, бледность лица и кожных покровов, беспокойное поведение пациента.
Стадия декомпенсации острого стеноза гортани. Просвет голосовой щели сужается до 2-3 мм. Работа дыхательных мышц напряжена до предела. Пациент дышит часто, но не глубоко. Для облегчения дыхательных движений он занимает полусидячее положение с упором на руки. Наблюдается цианоз лица и ногтевых фаланг, хриплый голос, повышенное потоотделение, тахикардия.
Асфиксия (терминальная стадия). Имеет место прерывистое свистящее дыхание по типу Чейна-Стокса, нитевидный пульс, резкое падение артериального давления, бледно-серый цвет кожи. Голосовая щель сужена до 0-1 мм. Постепенно происходит увеличение пауз между дыхательными актами вплоть до их полного прекращения. Пациент теряет сознание и, при отсутствии неотложной помощи, погибает.
Диагностика
Диагноз острого стеноза гортани основывается в большинстве случаев на его типичной клинической картине. При этом проводится дифференцировка острого стеноза от приступа бронхиальной астмы, стеноза трахеи, ларингоспазма, западения языка при черепно-мозговой травме или потери сознания различного генеза.
В диагностике острого стеноза гортани большое значение имеет определение его причины. С этой целью возможно проведение МСКТ гортани, ларингоскопии, трахеобронхоскопии, рентгенографии пищевода, УЗИ щитовидной железы, бактериологического исследования мазков из зева.
Лечение острого стеноза гортани
Лечебные мероприятия при остром стенозе гортани зависят от его степени и причины. Их целью является безотлагательное снятие или хотя бы уменьшение симптомов удушья и дыхательной недостаточности. Оказать первую помощь пациенту с острым стенозом гортани должен не только отоларинголог, но и любой врач, находящийся рядом.
Компенсированный и субкомпенсированный острый стеноз гортани подлежат медикаментозной терапии, для проведения которой пациента госпитализируют в стационар. Наличие воспалительных заболеваний дыхательного тракта является показанием к антибиотикотерапии и назначению противовоспалительных препаратов. При отечности гортани применяют антигистаминные и кортикостероидные препараты, обладающие противоотечным эффектом; проводят дегидратационную терапию. Если диагностирована дифтерия, то необходимо введение противодифтерийной сыворотки или анатоксина. При обнаружении инородных тел в гортани производят их удаление.
Важно ограничить двигательную активность пациента, обеспечить ему доступ свежего и достаточно увлажненного воздуха. Эмоциональное состояние пациента, его беспокойство, усугубляет нарушения дыхания, что особенно заметно у детей. Поэтому необходимо успокоить больного, для чего могут применяться седативные и психотропные препараты. Для контроля за степенью гипоксии в ходе лечения осуществляют мониторинг кислотно-основного состояния крови (КОС) и ее газового состава.
Декомпенсированный острый стеноз гортани является показанием для неотложной трахеостомии. Операция заключается в создании отверстия в передней стенки трахеи и введении в него специальной трубки, через которую в дальнейшем происходит поступление воздуха в дыхательные пути. В педиатрической практике иногда применяется назотрахеальная интубация, при которой специальная трубка через нос вводится в трахею. Однако такой способ дыхания может применяться не дольше 3 дней, поскольку длительное пребывание трубки в дыхательных путях вызывает некроз слизистой в местах соприкосновения с трубкой.
Хронический стеноз гортани
Хронический стеноз гортани — это постепенно возникающее сужение гортани, сопровождающееся прогрессирующим снижением количества поступающего в дыхательные пути воздуха с медленным развитием гипоксии. Ведущими симптомами хронического стеноза гортани являются инспираторная одышка и различная по выраженности охриплость голоса. Диагностика хронического стеноза гортани заключается в проведении микроларингоскопии, исследований фонации, КТ гортани, анализа газового состава крови, рентгенографии легких, ЭКГ и пр. В отношении хронического стеноза гортани возможно применение целого ряда хирургических операций и медикаментозных средств лечения, выбор которых диктуется причиной стеноза и возникшими легочно-сердечными осложнениями.
МКБ-10

На долю хронических стенозов гортани приходится 7,7% всех заболеваний в клинической отоларингологии. Заболевание встречается как во взрослой, так и в детской популяции. Врожденные стенозы гортани составляют 6% от общего числа случаев патологии. В структуре хронических стенозов гортани преобладают рубцовые сужения дыхательного горла.
Причины
Причиной врожденного хронического стеноза могут стать аномалии развития гортани, сопровождающиеся сужением гортани или наличием в ней рубцовых мембран. Приобретенный хронический стеноз гортани возникает на фоне патологических процессов в гортани или соседних с ней областях, при которых происходит постепенное изменение морфологической структуры анатомических образований гортани или их прогрессирующее сдавление.
Приобретенный стеноз чаще всего бывает вызван двусторонним анкилозом перстне-черпаловидных суставов или нейропатическим парезом гортани. В свою очередь анкилозы перстне-черпаловидных суставов связаны с перенесенными инфекционными или травматическими артритами. Двусторонний нейропатический парез гортани может быть вызван:
- двусторонним повреждением иннервирующих гортань нервов (при токсическом зобе, аутоиммунном тиреоидите, увеличении щитовидной железы, дивертикулах и опухолях пищевода, двустороннем шейном лимфадените, проведении операций на щитовидной железе);
- токсическим поражением (при различных отравлениях, сыпном или брюшном тифе, туберкулезе и др. инфекциях);
- поражением ЦНС (при нейросифилисе, опухолях головного мозга, сирингомиелии, ботулизме, геморрагическом инсульте, ишемическом инсульте, тяжелой черепно-мозговой травме).
Причиной стеноза гортани могут быть ее рубцовые изменения после травм, ожогов, длительного нахождения инородного тела в гортани. Хронический стеноз возможен в результате прогрессирующего роста доброкачественной опухоли гортани, рака гортани, ее специфических заболеваний (сифилис, туберкулез, склерома).
Хронический стеноз гортани может иметь вторичный характер и развиваться после острого стеноза. Так, хронический стеноз гортани часто наблюдается в связи с нарушением техники выполнения трахеостомии. Например, при введении трахеостомической трубки через разрез первого кольца трахеи, а не 2-3-го, она касается перстневидного хряща и является причиной развития его хондроперихондрита, приводящего к стенозу. Неправильный подбор или ношение трахеостомической трубки в течение длительного времени также могут вызвать хронический стеноз гортани.
Патогенез
Благодаря постепенному развитию сужения голосовой щели при хроническом стенозе гортани, в отличие от острого стеноза гортани, успевают срабатывать механизмы, компенсирующие уменьшенное поступление воздуха на вдохе. В ответ на пониженное содержание кислорода в крови включаются гемодинамические, дыхательные, кровяные и тканевые приспособительные реакции организма.
Дыхательный компенсаторный механизм заключается в учащении и углублении дыхания, участия в нем вспомогательной мускулатуры. Гемодинамический механизм реализуется посредством увеличения числа сердечных сокращений, повышения сосудистого тонуса, вывода крови из депо, в результате чего увеличивается минутный объем кровотока и улучшается кровоснабжение жизненно важных органов. Кровяной приспособительный механизм характеризуется повышенной способностью гемоглобина к насыщению кислородом, усилением эритропоэза и выходом эритроцитов из селезенки. В основе тканевой приспособительной реакции лежит увеличение способности тканей поглощать кислород из крови, при необходимости частично переходить на анаэробный вид обмена веществ.
Симптомы
Выраженность симптомов при хроническом стенозе гортани напрямую коррелирует со степенью сужения голосовой щели. В связи с этим клиническая отоларингология выделяет 4 стадии хронического стеноза гортани: компенсированную, субкомпенсированную, декомпенсированную и стадию асфиксии. Однако в случае хронического стеноза гортани, в отличие от острого, состояние пациента зависит и от приспособляемости его организма к возникающей гипоксии.
Возникающее при хроническом стенозе гортани сужение голосовой щели приводит к нарушениям дыхания и фонации (голосообразования). Расстройства дыхательной функции проявляются затруднением вдоха, т. е. инспираторной одышкой. В зависимости от стадии хронического стеноза гортани одышка может наблюдаться только при физических усилиях пациента (компенсированный стеноз) или в состоянии покоя тоже (суб- и декомпенсированный стеноз). Выраженная инспираторная одышка сопровождается участием в дыхательных движениях дополнительной мускулатуры, западением на вдохе межреберий и яремных ямок, втягиванием эпигастральной области. Нарушения фонации проявляются различной, в зависимости от высоты сужения гортани, степенью охриплости. В некоторых случаях наблюдается афония — полное отсутствие голоса.
Хронический стеноз гортани сопровождается развитием дыхательной недостаточности обструктивного характера. Нарастающая гипоксия приводит к компенсаторной тахикардии и артериальной гипертензии. От хронической кислородной недостаточности в первую очередь страдает головной мозг, что проявляется ухудшением памяти, рассеянностью пациента, нарушением сна. В связи с накоплением в крови углекислого газа возникает головная боль, тошнота.
Осложнения
Недостаточность внешнего дыхания при хроническом стенозе гортани ведет к застойным явлениям и скоплению в дыхательных путях мокроты, что является причиной частых бронхитов и пневмоний. У пациентов с трахеостомой поступающий в трахею воздух не проходит процедуру согревания, увлажнения и биологической очистки, которая в норме осуществляется в верхних дыхательных путях. В результате у них часто возникают трахеиты и трахеобронхиты. Бронхиты при хроническом стенозе гортани имеют преимущественно хроническое течение. Воспалительные заболевания легких протекают в виде затяжной или застойной пневмонии, приводят к развитию бронхоэктатической болезни. Повышенная нагрузка на малый круг кровообращения и правые отделы сердца у пациентов с хроническим стенозом гортани ведет к развитию легочной гипертензии и формированию легочного сердца.
Целью диагностики при хроническом стенозе гортани является не столько постановка самого диагноза, сколько определение причины возникновения стеноза. Для осуществления этой задачи отоларинголог проводит первичный осмотр, выясняет анамнез и жалобы. Дальнейший алгоритм включает:
- Ларингоскопию. В ходе диагностики могут быть выявлены опухоли и инородные тела гортани, ее рубцовые изменения и врожденные пороки. При необходимости в ходе микроларингоскопии производят эндоскопическую биопсию гортани. Стробоскопия позволяют оценить степень пассивной и активной подвижности голосовых связок.
- Исследование голосовой функции. Выполняется фонетография и определение времени максимальной фонации.
- Другие инструментальные исследования. В ходе установления этиологии хронического стеноза гортани может потребоваться выполнение МСКТ гортани, УЗИ щитовидной железы, МРТ и КТ головного мозга, рентгенографии пищевода. Для диагностики легочно-сердечных осложнений хронического стеноза гортани проводят рентгенографию легких, ЭКГ, Эхо-КГ.
- Лабораторную диагностику. Гистологическое изучение материала, полученного при биопсии, дает информацию о характере происходящих морфологических изменений стенок и мышц гортани. Степень гипоксии и гипоксемии определяют при исследовании газового состава и КОС крови.
Лечение хронического стеноза гортани
Хирургическое лечение
Основой лечения хронического стеноза гортани является ликвидация его причины. С этой целью осуществляют удаление инородных тел и удаление опухолей гортани, открытое и эндоскопическое иссечение рубцов гортани, удаление парафарингеальной опухоли. При опухолях голосовых связок проводится наружная и эндоларингеальная хордэктомия. Удаление обширных или злокачественных опухолей требует проведения последующей реконструктивной пластики гортани.
При опухолях щитовидной железы, приводящих к хроническому стенозу гортани за счет сдавливания гортанных нервов, выполняют субтотальную резекцию щитовидной железы или тиреоидэктомию. В соответствии с показаниями проводят операции по удалению опухолей пищевода. В случае невозможности устранения причины хронического стеноза гортани выполняют трахеостомию.
Консервативная терапия
Наряду с хирургическим лечением проводят медикаментозную терапию хронического стеноза гортани с использованием антибактериальных, противовоспалительных, противоотечных, глюкокортикостероидных, антигистаминных препаратов. Борьба с гипоксией осуществляется регулярным проведением оксигенобаротерапии. Дополнительное медикаментозное лечение хронического стеноза гортани осуществляется в соответствии с основным заболеванием или развившимися осложнениями стеноза.
Стеноз трахеи и бронхов
Стеноз трахеи и бронхов – это сужение воздухоносных путей в результате морфологических изменений их стенки или внешнего сдавления. Трахео- и бронхостенозы проявляются дыхательными расстройствами: одышкой, кашлем, стридорозным типом дыхания, цианозом, задействованностью вспомогательной мускулатуры в акте дыхания. Диагноз уточняется посредством лучевых (рентгенографии, томографии, бронхографии), эндоскопических (трахеобронхоскопии) и функциональных методик (спирометрии). Лечение функционально значимых стенозов трахеи и бронхов эндоскопическое (бужирование, эндопротезирование, дилатация) или оперативное (резекция измененного участка трахеобронхиального дерева или легкого и др.).


Стеноз трахеи и бронхов - нарушение трахеобронхиальной проводимости, в основе которого лежат органические или функциональные дефекты воздухоносных путей. Стенозы могут иметь врожденное и приобретенное происхождение. Истинная частота сужений просвета трахеобронхиального дерева органического генеза неизвестна, функциональные же стенозы по различным данным составляют 0,39-21% от общего количества случаев патологии. Стенозы трахеи и крупных бронхов вызывают расстройства акта дыхания, частые инфекционные осложнения и даже могут привести к летальному исходу от асфиксии. В связи с этим в современной пульмонологии не прекращается поиск и совершенствование радикальных методов лечения стенозов, в том числе с использованием методов эндоскопической хирургии.
Причиной первичных приобретенных стенозов чаще всего служат рубцовые сужения трахеи и бронхов. Рубцовые деформации трахеобронхиальной стенки могут развиваться в результате следующих причин:
- Травмы дыхательных путей. Стенозы могут являться следствием длительной интубации и ИВЛ, трахеостомии, операций на трахее и бронхах, повреждений (ожогов дыхательных путей, травматических разрывов), длительного нахождения инородных тел в бронхах.
- Инфекционное воспаление. В ряде случаев стеноз становится следствием неспецифических воспалительных процессов или туберкулеза.
- Сдавление извне. К компрессионному стенозу может приводить внешнее сдавление воздухопроводящих путей увеличенными лимфоузлами при туберкулезном лимфадените, опухолями средостения, бронхогенной кистой.
- Врожденные аномалии. Первичный врожденный стеноз обусловлен аномалией развития трахеобронхиальной стенки, при которой имеет место гипоплазия мембранозной части трахеи и частичное или полное смыкание хрящевых колец. Большинство случаев вторичного врожденного стеноза связано с двойной дугой аорты, которая сдавливает грудной отдел трахеи, либо эмбриональными кистами и опухолями средостения.
- Болезни соединительной ткани. Функциональный врожденный стеноз обусловлен пролабированием мембранозной части трахеи и главных бронхов вследствие системной дисплазии соединительной ткани. У детей он нередко сочетается с аномалиями прикуса, деформациями позвоночника, плоскостопием, гипермобильностью суставов, «готическим нёбом», миопией и астигматизмом, грыжами живота и другими фенотипическими маркерами слабости соединительной ткани.

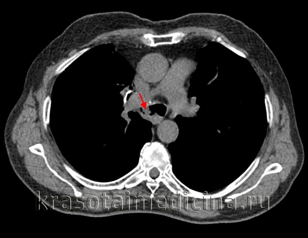
КТ органов грудной клетки. Стеноз правого главного бронха за счет мягкотканного образования в его просвете.
Классификация
Кроме врожденного и приобретенного происхождения, стенозы трахеи и бронхов могут иметь органическую, функциональную или смешанную природу. В свою очередь, органические стенозы могут быть первичными (обусловленными морфологическими дефектами трахеобронхиальной стенки) и вторичными, или компрессионными (вызванными сдавлением воздухоносных путей снаружи).
По протяженности суженного участка выделяют ограниченный (до 2 см) и протяженный стеноз (более 2 см); с учетом этиологии – идиопатический, посттрахеостомический, постинтубационный, посттравматический и др. В зависимости от уменьшения диаметра просвета приобретенные органические первичные стенозы трахеи и главных бронхов могут иметь три степени:
- 1 степень - просвет уменьшен на 1/3 диаметра
- 2 степень - просвет уменьшен на 2/3 диаметра
- 3 степень - просвет уменьшен более чем на 2/3 диаметра
По выраженности клинических проявлений различают стеноз в стадии компенсации, субкомпенсации и декомпенсации. Компенсированный стеноз трахеи протекает с минимальными симптомами; при субкомпенсированной форме нарушения дыхания возникают при незначительных физических нагрузках; для декомпенсированного стеноза характерны резкие дыхательные расстройства в покое.
Функциональный (экспираторный) стеноз трахеи и главных бронхов (трахеобронхиальная дискинезия, экспираторный коллапс трахеи и крупных бронхов) возникает как следствие врожденного или возникшего после рождения истончения мембранозной части крупных воздухоносных путей. Врожденные стенозы трахеи встречаются крайне редко.
Симптомы стеноза
Тяжесть проявлений обусловлена рядом факторов: степенью стеноза, его этиологией, степенью компенсации. Обычно яркая клиническая симптоматика возникает при сужении диаметра трахеи/бронхов на 50% и более. Во всех случаях стеноз трахеи и бронхов проявляется расстройствами дыхательной функции, гиповентиляцией или эмфиземой легких, развитием воспалительных изменений (трахеита, бронхита) ниже места сужения.
Наиболее типичным признаком стеноза трахеи служит затрудненный шумный выдох - экспираторный стридор. При тяжелых расстройствах дыхания больной занимает вынужденное положение с наклоном головы вперед; в дыхании задействована вспомогательная мускулатура; отмечается одышка, цианоз. Врожденные стенозы трахеи дают о себе знать сразу же после рождения или в первые дни жизни. При кормлении детей со стенозом трахеи отмечается поперхивание, часто возникает беспричинный кашель, приступы цианоза или удушья. В дальнейшем прослеживается отставание в физическом развитии. В тяжелых случаях гибель ребенка может наступить уже на первом году жизни от присоединившейся пневмонии или асфиксии.
Клиника функционального стеноза трахеи характеризуется кашлево-обморочным синдромом. Вначале у пациента возникает сухой лающий кашель, который может провоцироваться изменением позы (наклонами, поворотами, смехом, криком, натуживанием и другими действиями). На высоте кашлевого приступа возникает удушье, головокружение, потеря сознания, апноэ. Продолжительность обморока может колебаться от 0,5 до 5 минут. Восстановление дыхания происходит через стадию стридора. После приступа отмечается отхождение вязкого комка слизистой мокроты, двигательное возбуждение.
Стенозы крупных бронхов сопровождаются кашлем, как правило, мучительным, приступообразным, который часто ошибочно наводит на мысль о бронхиальной астме. Для стенозов данной локализации характерны рецидивирующие бронхиты и пневмонии, обусловленные нарушением дренажной функции бронхиального дерева. В периоды обострения воспалительного процесса отмечается ухудшение самочувствия, повышение температуры, кашель с гнойной мокротой, появление стридорозного дыхания.
Клиника стеноза трахеи и бронхов типична для многих заболеваний трахеобронхиального дерева. Поэтому при проведении диагностики пульмонологи опираются, главным образом, на объективные методы исследования: рентгенологические, эндоскопические, функциональные.
Первым шагом на пути постановки диагноза является рентгенография и томография трахеи и легких. Рентгенологическими признаками уменьшения просвета дыхательных путей служат форма трахеи в виде песочных часов, неподвижность ее мембранозной стенки, расширение просвета ниже места сужения, ателектаз или эмфизема соответствующего отдела легкого Данные о локализации, протяженности и степени стеноза уточняются посредством контрастных исследований - трахеографии и бронхографии. В выявлении сосудистых аномалий, взывающих стеноз трахеи, велика роль аортографии.

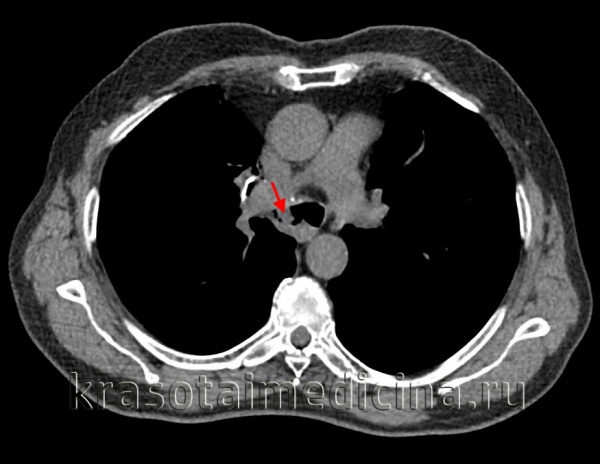
КТ органов грудной клетки. Выраженный стеноз проксимальных отделов трахеи вследствие вторичного распространения опухоли гортани
Решающее значение в диагностике стеноза трахеи и бронхов принадлежит эндоскопии дыхательных путей – трахеоскопии, бронхоскопии, в процессе которых есть возможность визуально подтвердить морфологические изменения трахеобронхиальной стенки, уточнить с помощью биопсии этиологию стеноза (рубцовая, опухолевая, туберкулезная). У больных с органическими стенозами трахеи и бронхов исследование ФВД (спирометрия, пневмотахография) имеет второстепенное значение (выявляются обструктивные нарушения), однако эти методы широко используются для подтверждения экспираторного стеноза.
Лечение стеноза трахеи и бронхов
Лечение рубцовых стенозов
При стенозах органического происхождения лечение, как правило, оперативное. Предпочтение отдается эндопросветным манипуляциям, если таковые технически выполнимы. Так, при рубцовых стенозах трахеи могут производиться инъекции преднизолона или триамцинолона в рубцовую ткань или ее лазерная вапоризация. Возможные операции:
- Малоинвазивные методы. При наличии технической возможности в случае непротяженного стеноза выполняется эндоскопическое восстановление просвета с помощью бронхоскопических тубусов, бужирование, баллонная дилатация, эндопротезирование стенозированного участка стентом.
- Резекционные вмешательства. В случае неэффективности или невозможности проведения эндоскопического лечения проводится циркулярная резекция участка стеноза с последующим наложением анастомоза «конец в конец». Если по данным обследования выявляются бронхоэктазы, фиброателектаз или другие необратимые изменения бронхов, производится резекция легкого или пневмонэктомия.
- Удаление опухолей. Лечение компрессионного стеноза трахеи заключается в удалении кист, опухолей средостения, обусловивших сужение. При обширных субтотальных стенозах трахеи возможна только трансплантация органа.
Лечение функциональных стенозов
При стенозах трахеи функционального характера может применяться консервативно-выжидательная тактика, однако она носит паллиативный, симптоматический характер. Во время обострений назначаются противокашлевые средства (преноксдиазин, кодеин), муколитики (бромгексин, ацетилцистеин), НПВС, антиоксиданты (витамин Е), иммуномодуляторы. Эффективно проведение лечебных бронхоскопий с введением антибиотиков и протеолитических ферментов. Из немедикаментозных средств терапии применяется акупунктура, лазеропунктура, электрофорез, точечный массаж, дыхательные упражнения. Радикальное лечение пролапса мембранозной части трахеи или главного бронха предполагает проведение пластического реконструктивного вмешательства (укрепление мембранозной части ауторебром или фасциальным лоскутом).
Прогноз и профилактика
Результаты оперативного лечения стеноза трахеи и бронхов большей частью удовлетворительные. Летальность минимальна, приступы удушья и кашля исчезают сразу после операции. Консервативно-выжидательная тактика может быть оправдана только при компенсированных формах стеноза или тяжелых сопутствующих заболеваниях. Некорригируемые субкомпенсированные и декомпенсированные стенозы угрожают развитием полной обтурации просвета трахеобронхиального дерева и асфиксии.
Профилактическое направление в данном вопросе предусматривает предупреждение повреждений трахеи и бронхов при проведении внутрипросветных манипуляций, травм воздухоносных путей, своевременное лечение неспецифических и специфических процессов, распознавание и удаление инородных тел и опухолей средостения.
1. Особенности клинического течения экспираторного тсеноза трахеи и главных бронхов у больных с синдромом недифференцированной дисплазии соединительной ткани/ Филипенко П.С., Кучмаева Т.Б.// Медицинский вестник Северного Кавказа. – 2008 - №2.
2. Новые технологии в диагностике и лечении экспираторного стеноза трахеи и главных бронхов: Автореферат диссертации/ Шефер Н.А. – 2012.
3. Эндоскопическая хирургия опухолей и рубцовых стенозов трахеи и бронхов: Автореферат диссертации/ Русаков М.А. – 1996.
4. Эндоскопические технологии в комплексном хирургическом лечении больных с приобретенным стенозом трахеи: Диссертация/ Слепенкова К.В. – 2015.
Стенозы трахеи и бронхов
Информацию из данного раздела нельзя использовать для самодиагностики и самолечения. В случае боли или иного обострения заболевания диагностические исследования должен назначать только лечащий врач. Для постановки диагноза и правильного назначения лечения следует обращаться к Вашему лечащему врачу.
Стенозы трахеи и бронхов: причины появления, симптомы, диагностика и способы лечения.
Определение
Стенозы трахеи и бронхов – это сужения просвета трахеи и/или бронхов в результате замещения нормальных структур стенки грубой рубцовой тканью, приводящие к разрушению хрящевых колец и нарушению их каркасной функции.

Число больных со стенозами трахеи и бронхов в мире постоянно увеличивается. Это связано с возрастающим количеством интубаций трахеи для проведения искусственной вентиляции легких при выполнении сложных оперативных вмешательств или для лечения тяжелых расстройств дыхания в отделениях интенсивной терапии.
Механическое повреждение слизистой оболочки трахеи интубационной трубкой, продолжительное сдавливание кровоснабжающих ее сосудов приводят к воспалительным процессам в стенке с последующим формированием соединительной ткани.
Хрящевая основа каркаса стенок трахеи утрачивает свою функцию, развивается сужение просвета дыхательного пути. Меняется топографо-анатомические взаимоотношение рядом расположенных органов и тканей, что негативно сказывается на процессах кровообращения и дыхания.
К сужению трахеи и бронхов могут приводить некоторые заболевания. Одним из них является амилоидоз – редкое системное заболевание, при котором происходит межклеточное отложение гомогенных белковых масс во всех без исключения органах и тканях организма. Накопление амилоида в проксимальном (внегрудном) отделе трахеи вызывает клинику стеноза верхних дыхательных путей различной степени выраженности, что часто требует оперативного расширения просвета или наложения трахеостомы.
Гранулематоз Вегенера – еще одно редкое системное заболевание неизвестной этиологии, которое характеризуется гранулематозно-некротическим системным васкулитом, вовлечением верхних и нижних дыхательных путей, легких, почек. Развиваются язвенно-некротические изменения слизистой глотки, гортани, трахеи. Оперативное лечение при гранулематозе Вегенера проводят по жизненным показаниям, так как послеоперационные раны при открытых хирургических вмешательствах могут заживать очень долго.
Остеохондропластическая трахеобронхопатия чаще поражает среднюю и нижнюю трети трахеи и бронхов. Причина возникновения остеохондропластической трахеобронхопатии остается неясной (врожденное происхождение, хронический бронхит, специфический воспалительный процесс (туберкулез, сифилис) и др.). В подслизистом слое трахеи и бронхов между кольцами трахеи появляются разрастания губчатой кости и/или хряща. Трахея и крупные бронхи превращаются в жесткие ригидные трубки, приближаясь по плотности к костной ткани. Плотные белесоватые бугорки по ходу хрящевых колец могут свисать в просвет трахеи и бронхов по типу сталактитов. Просвет трахеи сужается и деформируется.
Туберкулез трахеи и бронхов чаще всего является осложнением туберкулеза легких и лишь в очень редких случаях - самостоятельным заболеванием. Процесс начинается с образования инфильтрата в слизистой оболочке. Рубцевание в крупных бронхах приводит к их сужению и может стать причиной возникновения ателектаза (спадения ткани легкого).
Врожденными причинами стеноза трахеи и/или бронхов могут быть аномалия развития стенки трахеи и/или бронхов; двойная дуга аорты, сдавливающая просвет трахеи.
Причинами трахеобронхиальных стенозов могут стать трансплантация одного или двух легких, комплекса «легкие–сердце»; закрытые и открытые повреждения; ожоги дыхательных путей; хронические инфекционные воспалительные процессы трахеи и крупных бронхов; злокачественные опухоли легких, пищевода и средостения.
К редким причинам относят болезнь Крона, рецидивирующий полихондрит, саркоидоз, фиброзирующий медиастенит, гастроэзофагеальный рефлюкс.
Классификация заболевания
По причине возникновения:
- врожденные стенозы;
- приобретенные стенозы:
- посттрахеостомический,
- постинтубационный,
- посттравматический,
- идиопатический.
По протяженности поражения:
1-я степень - ограниченный стеноз (менее 15% всей длины трахеи);
2-я степень - стеноз средней протяженности (от 15% до 30%);
3-я степень - протяженный стеноз (от 30% до 60%);
4-я степень – распространенный стеноз (более 60%).Симптомы стеноза трахеи и бронхов
Основным клиническим проявлением трахеобронхиальных стенозов является затруднение дыхания - от одышки при физической нагрузке до стридора (свистящего шумного дыхания, обусловленного турбулентным воздушным потоком в дыхательных путях) в покое.У пациентов могут наблюдаться кашель, кровохарканье, нарушение глотания. Дисфония проявляется гнусавостью, осиплостью, охриплостью голоса. Больные указывают на перенесенную ранее травму, оперативное вмешательство на органах шеи, длительное нахождение на ИВЛ.
Диагностика стеноза трахеи и бронхов
Для оценки выраженности нарушений проходимости дыхательных путей и динамики развития процесса применяют различные методы исследования:- спирография - метод исследования функции внешнего дыхания, включающий измерение объемных и скоростных показателей дыхания;
- спирография с фармацевтическими пробами - измерение легочного объема на фоне воздействия специальных фармакологических препаратов для диагностики патологии органов дыхания;
- пневмотахометрия - метод исследования скорости воздушного потока через бронхи и трахею при форсированном выдохе и вдохе с изображением их в графическом виде;
- общая плетизмография - метод прямого измерения величины бронхиального сопротивления при спокойном дыхании. Метод основан на синхронном измерении скорости воздушного потока (пневмотахограммы) и колебаний давления в герметичной кабине, куда помещается пациент;
- обзорный рентген органов грудной клетки в прямой и боковой проекциях с целью оценки состояния легких и средостения, локализации и степени сужения трахеи, наличия трахеомаляции (размягчения опорных хрящей трахеи);
- трахеоскопия – эндоскопическое исследования внутренней поверхности трахеи;
- бронхоскопия - метод осмотра слизистой оболочки бронхов с помощью эндоскопического прибора (бронхоскопа).
При патологических изменениях в показателях свертывания крови и длительности кровотечения крови показана консультация гематолога;
при изменениях на ЭКГ - консультация кардиолога.Для исключения патологии со стороны бронхолегочной системы –консультация пульмонолога.
При подозрении на злокачественный процесс - консультация онколога.
При нарушении дыхания центрального генеза - консультация невролога.
Для выбора физиотерапевтического лечения - консультация физиотерапевта.
Лечение стеноза трахеи и бронхов
Основная задача лечения - устранение стеноза трахеи с восстановлением продуктивного дыхания.
Показаниями для плановой госпитализации являются хронические рубцовые стенозы. Показаниями для экстренной госпитализации - нарастание стеноза трахеи, асфиксия (удушье), присоединение дыхательной недостаточности при сопутствующей патологии со стороны легких.
Хирургическое устранение рубцового стеноза определяется индивидуально и проводится в условиях стационара двумя методами – эндоскопические операции и операции на трахее с наружным доступом.
Возможны следующие хирургические варианты лечения рубцовых стенозов трахеи:
- циркулярная резекция пораженного сегмента дыхательного пути с восстановлением целостности последнего при помощи анастомоза;
- этапные реконструктивно-пластические операции с формированием просвета дыхательного пути на стентах, трубках;
- трансплантация трахеи.
- эндоскопическое расширение просвета трахеи с дилатацией;
- криодеструкция, электрокоагуляция и лазерная вапоризация;
- эндоскопическое протезирование.
Самым грозным осложнениям считается асфиксия (удушье) - угрожающее жизни состояние, обусловленное остро или подостро возникающим недостатком кислорода в крови и накоплением углекислоты в организме. Проявляется тяжелыми расстройствами жизненно важных функций организма (нервной системы, дыхания и кровообращения).
Дыхательная недостаточность - это неспособность системы дыхания обеспечить нормальный газовый состав артериальной крови, в результате чего развиваются гиперкапния и/или гипоксемия.
Трахеопищеводный свищ - это патологическое соустье, соединяющее просвет дыхательного горла с пищеводом.
Профилактика стеноза трахеи
Профилактика возникновения стеноза трахеи осуществляется медицинским персоналом лечебных учреждений:- применение одноразовых интубационных или трахеостомических трубок, созданных из современных термопластичных материалов, вызывающих минимальную тканевую реакцию, располагающиеся по оси дыхательного пути и не травмирующие стенку;
- адекватная трахеостомия;
- изоляция хрящей трахеи от внешней среды и профилактика нагноения трахеостомической раны;
- правильная фиксация интубационной или трахеостомической трубок при проведении ИВЛ;
- регулярная санация полости рта, при необходимости медикаментозное подавление саливации при проведении ИВЛ.
- Клинические рекомендации по хирургическому лечению больных приобретенным рубцовым стенозом трахеи. Ассоциация таракальных хирургов России. 2015.
- Курганский И. С., Махутов В. Н., Лепехова С. А. Способы лечения и профилактики рубцовых стенозов трахеи. Вестник оториноларингологии. 2016;81(1):66-71 .
Рентгенологическое исследование структуры легких с целью диагностики различных патологий.
Читайте также:
- Клиренс кожи при алкоголизме. Влияние алкоголя на кровоснабжение кожи
- Лимфатические узлы. Функции лимфатических узлов. Лимфоток.
- Гипотиреоз: причины, симптомы и лечение
- Гранулематозный тиреоидит де Кервена - морфология, патологическая анатомия
- Лечение атрезий наружного слухового прохода. Операция Александера
