Принципы импульсно-волновой допплер-эхокардиографии (допплер-ЭхоКГ)
Добавил пользователь Евгений Кузнецов Обновлено: 14.12.2025
Эхокардиография (ЭхоКГ) — это диагностическая процедура, целью которой является исследование сердца и его клапанного аппарата с помощью ультразвука. Она представляет собой метод диагностики , без которого трудно представить современную кардиологию. Обследование позволяет оценить толщину и подвижность сердечной мышцы, структуру и работу клапанов, выявить пороки сердца, опухоли и тромбы, измерить зону паражения после перенесенного инфаркта.
Для проведения эхокардиографии используют специальные приборы — эхокардиографы. Эти современные устройства, помимо всего прочего, оснащены электрокардиографическим каналом для синхронной регистрации с ЭКГ и компьютером. Их использование значительно повышает качество и скорость обработки данных исследования. Принцип метода основан на свойстве ультразвука отражаться на границе двух сред с неодинаковой акустической плотностью, которое называется ультразвуковым сопротивлением.
В рамках процедуры выделяют три основных вида исследования — трансторакальная (проводится с поверхности тела), транспищеводная (с помощью специального датчика исследуются внутренние структуры сердца) и стресс-анализ (в условиях повышенной нагрузки позволяет выявить скрытые дефекты в работе сердца). Помимо этих способов, которые используются всегда, существуют и два новых, имеющих специальное назначение. Это тканевый, который применяется для оценки работы сердца при ишемической болезни и у пациентов с электрокардиостимуляторами, а также трехмерный, создающий объемное изображение сердца, что облегчает диагностику внутрисердечных образований.
При проведении исследования пациент не испытывает никакого дискомфорта, от него требуется только неподвижно лежать на кушетке в течение некоторого времени. Специальная подготовка к данной процедуре тоже не нужна — вы можете питаться как обычно и принимать необходимые лекарственные препараты. При этом исключены болезненные ощущения, процедура не вызывает осложнений и не имеет побочных эффектов. Используемый в процессе гель обычно не вызывает раздражения и легко удаляется с кожи. Вся процедура, в зависимости от сложности, займет не более 45 минут.
Эхокардиография показана при ишемической болезни сердца, болях неизвестной природы в области сердца, врожденных или приобретенных пороках сердца. Поводом для его проведения может быть и изменение электрокардиограммы, шумы в сердце, нарушение его ритма, гипертоническая болезнь, наличие признаков сердечной недостаточности.
Особенно важно проводить эхокардиографию с диагностической целью в детском возрасте, так как в процессе интенсивного роста и развития у ребенка могут возникать различные жалобы. В нашем медицинском центре вы сможете не только пройти это исследование в удобное для вас время, но и получить консультации опытного врача-кардиолога, а при необходимости и пройти курс лечения.
Современные эхокардиографические приборы
В настоящий момент на рынке представлены ультразвуковые приборы от самых простых до сверхсложных с возможностью с возможностью трех– и четырехмерного моделирования.
Cкрининговое исследование сердца можно провести на любом ультразвуковом приборе, при наличии соответствующего кардиологического датчика и В – и М – режимов. При этом можно использовать недорогие ультразвуковые аппараты. Уровень диагностики и процент ошибки в этом случае во многом зависят от квалификации специалиста.
Современное эхокардиографическое исследование должно включать, помимо В– и М– режимов, цветовой допплер, импульсноволновой допплер инепрерывноволновой допплер. При наличии патологии, только непрерывноволновой допплер позволит измерить высокоскоростные патологические потоки, провести все необходимые расчеты и измерения, оценить гемодинамику.
Объем получаемой информации зависит от возможности датчика. Внутрисосудистые датчики применяются параллельно с ангиографическим исследованием, используются кардиохирургами. Чреспищеводные датчики могут быть моноплановыми, биплановыми и мультиплановыми.
Современные технологии (тканевой допплер, контрасты) позволяют во много раз повысить информативность исследования, особенно, у больных с патологией миокарда.
За рубежом широко развиваются программы работ с эхоконтрастами, однако, в нашей стране это направление в ультразвуке представлено недостаточно.
Принципы импульсно-волновой допплер-эхокардиографии (допплер-ЭхоКГ)
Принципы импульсно-волновой допплер-эхокардиографии (допплер-ЭхоКГ)
Благодаря импульсному режиму работы датчика, когда ультразвуковые волны испускаются импульсами или «пакетами волн», возможна точная пространственная «привязка» измеренных скоростей. В отличие от непрерывноволнового допплеровского исследования для импульсного режима достаточно од-ного-единственного кристалла. Измерение скоростей движущегося объекта происходит только в определенной области, отображаемой на двумерной картинке в виде контрольного объема («sample volume»).
а) Скорость Найквиста. Ограничением импульсно-волнового режима работы является невозможность надежного измерения скоростей движущегося объекта, превышающих определенный порог скорости («скорость Найквиста», или «скорость искажения»). Теоретически эта взаимосвязь формально описывается «теоремой сэмплирования» («sampling theorem»): частота ультразвуковой волны, генерируемой датчиком, должна быть минимум вдвое выше, чем у измеряемых колебаний движущегося объекта, чтобы возможно было однозначно идентифицировать частоту этих колебаний.
Так как пороговая скорость зависит от частоты повторения импульсов (PRF), которая во многом определяется глубиной проникновения сигнала, то порог адекватно определяемых скоростей снижается при увеличении глубины нахождения контрольного объема. Таким образом, физические особенности импульсно-волнового режима допплеровского исследования не позволяют при основной частоте в 2 МГц однозначно определять высокую скорость движущегося объекта (более 2 м/с) уже на глубине более 8 см. Наибольшая однозначно идентифицируемая скорость называется скоростью (порогом) Найквиста, которая определяется по формуле:
где v - скорость Найквиста, с - скорость распространения ультразвука, f — частота ультразвука, d — глубина проникновения, т.е. расстояние от датчика до контрольного объема.

Импульсно-волновая допплерография.
При импульсном режиме, в противоположность непрерывноволновому допплерографическому исследованию, из-за ограниченной возможной частоты повторения импульсов снижается разрешающая способность метода, не позволяющего однозначно идентифицировать скорости потока крови выше определенного порогового значения (скорость Найквиста, или порог искажения, aliasing).
Этот схематический пример показывает, что невозможно дифференцировать эти две волны различной частоты, если определяются только отмеченные на рисунке точки.
Для однозначной идентификации частоты необходимо существенно более плотное распределение точек регистрации, т.е. более высокая частота повторения импульсов.
б) Феномен искажения (aliasing). При превышении скорости Найквиста числовые значения спектра скоростей отображаются на другом отрезке шкалы скоростей. Из-за этого феномена, например, невозможно при помощи импульсно-волнового допплеровского исследования измерить чрезвычайно высокую скорость трансаортального потока крови при аортальном стенозе, хотя это возможно в режиме непрерывной допплер-ЭхоКГ. С другой стороны, импульсноволновой режим позволяет измерить скорость движения крови в выносящем тракте левого желудочка даже в том случае, если имеется аортальный стеноз, тогда как при непрерывно-волновой допплерографии более низкие скорости в выносящем тракте будут перекрываться более высокими скоростями на уровне стеноза.
Чресклапанный поток в сердце у здорового человека, как правило, не превышает 1,5 м/с, т.е. его вполне можно измерять при помощи импульсноволновой допплер-ЭхоКГ.
в) Спектральный допплеровский сигнал. Спектральный допплеровский сигнал при импульсно-волновом режиме исследования воспроизводит распределение скоростей в контрольном объеме, причем чем шире допплеровский спектр, тем сильнее различаются скорости движущихся объектов (например, эритроцитов) в пределах этого контрольного объема. Амплитуда сигнала, т.е. яркость каждой точки спектра, приблизительно пропорциональна количеству отражающих объектов в пределах контрольного объема, движущихся с соответствующей скоростью. Наиболее яркая область спектрального сигнала при импульсной допплерографии обозначается как «модальная» скорость.
Фундаментальная неточность импульсноволновой допплерографии возникает в результате того, что для достижения желаемой временной разрешающей способности значительно ограничивается время одного измерения (как правило, около 10 мс). Поэтому спектр, который рассчитывается с помощью преобразований Фурье, получается шире.
В противоположность непрерывной допплерографии хорошие импульсно-волновые допплеровские спектры обычно не «заполнены» целиком, так как в области контрольного объема регистрируются сходные значения скорости. При этом соотношение сигнал-шум тем лучше, чем больше размер контрольного объема. В результате интегрирования скорости по времени, например интегрирования трансаортальной скорости за время систолы, получают интеграл линейной скорости потока крови (VTI ), который измеряется в сантиметрах или метрах. Умножение этой величины на площадь поперечного сечения аорты позволяет рассчитать ударный объем левого желудочка.
г) HPRF-допплерография. Некоторые эхокардиографы позволяют измерять высокие скорости кровотока, превышающие 2,5 м/с, при помощи режима высокой частоты повторения импульсов (англ. - high pulse repetition frequency - HPRF). Это гибридный вариант между непрерывноволновой и импульсноволновой допплерографией, который хотя и может измерять более высокие скорости движения крови, чем обычная импульсная допплер-ЭхоКГ, но, тем не менее, не может однозначно указать, где эти скорости были измерены, поскольку имеет два или больше контрольных объемов по ходу ультразвукового луча.
Основные режимы сканирования. Краткое описание.
При приобретении любого ультразвукового диагностического прибора, вне зависимости от компании-производителя и модели, одним из первых вопросов является перечень поддерживаемых (и включенных в базовой комплект поставки) режимов сканирования. Данный перечень определяется как наличием (или отсутствием) аппаратной поддержки того или иного режима, так и маркетинговой политикой продаж компаний-производителей.
Ниже мы приведем краткий перечень основных базовых режимов, которые необходимы для «рутинной» работы в современном кабинете ультразвуковой диагностики. На сегодняшний день, разве что за редким исключением, все описываемые режимы включаются в базовый комплект поставки прибора и не требуют ни дополнительной активации ни дополнительной оплаты со стороны покупателя. Исключением является режим постоянного-волнового допплера (CW), поскольку данный режим имеет довольно специализированное применение и используется с определенного вида датчиками, то его приобретают отдельно, в том случае, если такой режим необходим в практике применения ультразвукового прибора.
B-режим
В-режим (B – brightness) – режим двумерного серошкального сканирования. Является основным режимом для получения диагностической визуализации органов, тканей, стенок сосудов и внутрипросветного содержимого. Получение изображения в B-режиме основано на эффекте отражения ультразвука от границ сред исследуемой области: прибор УЗД анализирует амплитуду и фазу отраженного эхосигнала, данная информация участвует в процессе построения изображения (которое в последствии выводится на экран прибора) и обуславливает яркость свечения и положение пикселя на диагностическом изображении.

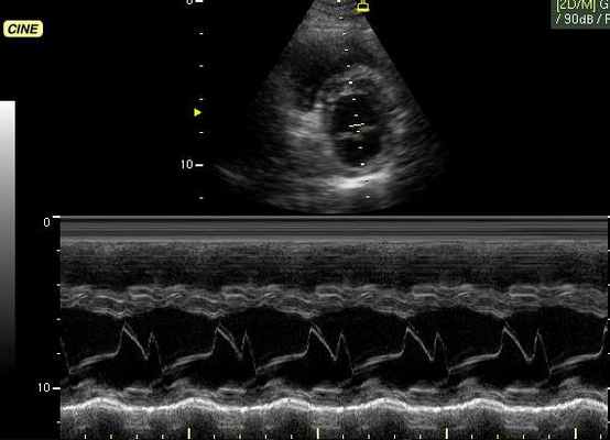
M-режим
M-режим (M – motion) – режим одномерного сканирования с получением развертки в реальном масштабе времени, который применяется для регистрации пространственного положения исследуемых объектов во времени (отслеживания движения исследуемых структур). Наиболее часто данный режим используется при кардиологических исследованиях совместно с B-режимом, где B-режим используют для навигации.

CW – режим постоянно-волнового допплера (непрерывноволновой допплер)
Постоянно-волновой допплер (continuous wave Doppler – CW) в истории допплеровской эхографии является первым используемым методом. Для использования данного режима применяются специализированные датчики: двухэлементные CW-датчики карандашного типа (pencil probe) и дуплесные датчики, которые могут работать в B-режиме.
Режим CW, в силу физических принципов работы, не имеет ограничений по скорости и глубине, но, в тоже время, он не имеет и пространственного разрешения. Режим CW имеет особую ценность при исследованиях высокоскоростных потоков в области стенозов артерий, артериовенозных шунтов, исследованиях сердца.

PW – режим импульсно-волнового допплера
Режим импульсно волнового допплера (pulse wave Dopper – PW) – режим, работая в котором мы пытаемся избавится от главного недостатка режима CW, а именно отсутствия пространственного разрешения (разрешающей способности по глубине). Импульсные сигналы (короткие по времени) позволяют оценить отдельные зоны по глубине, поэтому в процессе работы на ультразвуковом приборе нам необходимо выбрать зону интереса (окно опроса). Конечно же и здесь не обошлось без недостатков – главным недостатком использования режима импульсно-волнового допплера является строгое ограничение по измерению больших скоростей на больших глубинах сканирования.

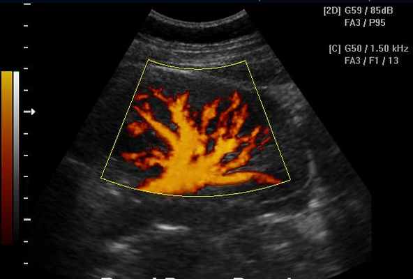
CFM (CDI, CDV, CD, CF, ЦДК и т.д.) – режим цветового допплеровского картирования по скорости
В режиме цветового допплеровского картирования по скорости (ЦДК) изображение строится также как и в B-режиме. Отличительной особенностью режима ЦДК является цветовое отображение информации о скорости и направлении движения структур в выделенной пользователем области (окно опроса). Режим ЦДК обладает ярко выраженной зависимостью от величины допплеровского угла.

PDI (CDE, CPA, PDF, PD, PF, ЭДК и т.д.) – режим ЦДК «энергии» допплеровского спектра
Режим «энергетического» допплера является модификацией режима ЦДК и отличается от него тем, что режим ЭДК отражает движение в исследуемой области и его интенсивность, но информация о скорости и направлении при этом отсутствует. Режим ЭДК обладает практически полной независимостью от величины допплеровского угла.
Основное преимущество данного метода состоит в том, что режим ЭДК позволяет кодировать низкоскоростные потоки с значительно более высоким качеством, нежели в режиме ЦДК. Основной недостаток – большая чувствительность к любому движению, как датчика, так и исследуемой структуры.

dPDI (dCDE, dPF и т.д.) – режим направленного энергетического допплера
Режим ЭДК в котором возможно информативное цветовое отображение разнонаправленных низкоскоростных потоков близко расположенных сосудов. Подобная визуализация невозможна при исследованиях в режиме ЦДК.
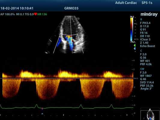
Постоянно-волновая допплер-эхокардиография
В отличие от импульсного исследования, где один и тот же кристаллический элемент и посылает, и принимает сигналы, при постоянно-волновом исследовании эти процессы разобщены: один кристаллический элемент посылает сигналы, другой принимает их. При исследовании в постоянно-волновом допплеровском режиме отраженный ультразвуковой сигнал принимается независимо от того, когда он был послан. Таким образом, исследуется кровоток вдоль всего ультразвукового луча (рис. 3.6). Главное достоинство постоянно-волнового допплеровского исследования состоит в том, что с его помощью может быть измерена любая скорость кровотока. На самом деле при постоянно-волновом исследовании ультразвуковые сигналы посылаются не непрерывно, а в виде отдельных импульсов. Изменение частоты повторения импульсов меняет масштаб допплеровского спектра. Частота повторения импульсов при постоянно-волновом исследовании, однако, ограничена только техническими средствами, но не пределом Найквиста. Современные эхокардиографы в принципе позволяют измерять скорости кровотока, достигающие 12 м/с, что выходит далеко за пределы возможного (скорость 12 м/с соответствует разнице давлений, превышающей 500 мм рт. ст.), так что с помощью постоянно-волновой допплер-эхокардиографии можно измерять любую скорость кровотока.

Рисунок 3.6. Пример исследования аортального кровотока в постоянно-волновом допплеровском режиме при аортальном пороке сердца. Исследуется кровоток вдоль всего ультразвукового луча. На допплеровском спектре регистрируется систолический поток через стенозированный аортальный клапан (AS) и диастолический поток аортальной регургитации (AI). Максимальная скорость (Vmax) стенотической струи составляет 4,1 м/с. По упрощенному уравнению Бернулли рассчитан максимальный градиент давления (Pmax) между левым желудочком и аортой, который оказался равным 67 мм рт. ст. CW Doppler Transducer — постоянно-волновой допплеровский датчик, LV — левый желудочек, LA — левое предсердие, Ao — восходящий отдел аорты, Velocity — скорость (м/с), Time — время (с). Judge K.W., Otto C.M. Doppler echocardiographic evaluation of aortic stenosis, in: Doppler Echocardiography, ed. Schiller N.B., Cardiology Clinics, 8 (2), 1990.
Главный недостаток постоянно-волнового допплеровского исследования — невозможность точной локализации исследуемого кровотока. Следовательно, импульсное и постоянно-волновое исследования дополняют друг друга: при импульсном исследовании выявляется область патологического, ускоренного, кровотока, при постоянно-волновом исследовании измеряется его скорость. Постоянно-волновое исследование существенно облегчается, если ультразвуковой луч направляется под контролем одновременно выполняемого двумерного исследования. Современные эхокардиографы позволяют проводить двумерную эхокардиографию и все виды допплеровских исследований с помощью одного датчика. «Замороженное» двумерное изображение позволяет контролировать положение ультразвукового луча и контрольного объема.
В большинстве современных эхокардиографов предусмотрена возможность трехмерной фокусировки ультразвукового луча при постоянно-волновом допплеровском исследовании: это увеличивает чувствительность метода. Кроме того, современные эхокардиографы оснащены датчиком, предназначенным исключительно для постоянно-волнового исследования. Небольшая площадь поверхности этого датчика позволяет точнее направлять ультразвуковой луч при ограниченном эхокардиографическом «окне», например, при исследовании из супрастернального или правого парастернального доступа.
Тут вы можете оставить комментарий к выбранному абзацу или сообщить об ошибке.
Эхокардиография (ЭхоКГ) с допплерографией и цветным картированием
Эходопплеркардиография — это инструментальный метод исследования сердца и кровеносных сосудов, при котором применяются ультразвуковые технологии.
Оформите заявку на услугу, мы свяжемся с вами в ближайшее время и ответим на все интересующие вопросы.
Эходопплеркардиография — это инструментальный метод исследования сердца и кровеносных сосудов, при котором применяются ультразвуковые технологии. Как и при «рутинных» (М-режимной и двухмерной) эхокардиографиях (ЭхоКГ), данная методика использует высокочастотные звуковые волны, чтобы создать изображение сердца. Но помимо этого, чтобы определить скорость и направление кровотока, она дополняется эффектом Допплера.
Эхокардиография с допплерометрией, допплеровская эхокардиография — другие названия этой процедуры.
Основные режимы визуализации, применяемые при УЗИ сердца
Ультразвуковое исследование сердца в основном используется для получения двухмерного изображения этого органа и близлежащих магистральных сосудов. А также с помощью этой методики можно оценить скорость и направление кровотока, что требует применение эффекта Допплера. В зависимости от того, как обрабатывается и отображается на мониторе эхо-сигнал, различают следующие режимы ЭхоКГ:
- Двухмерный (2D режим). На монитор выводится изображение сердца в разрезе (в двух измерениях). Данный способ является основным при визуализации этого органа, позволяет детально рассмотреть анатомические отклонения и аномальные движения миокарда, клапанов.
- М-режим (M-mode). Это «усеченный» вариант предыдущего, при котором используется для анализа только одномерное изображение. Основное внимание уделяется одной из линий 2D трассировки, что позволяет более детально исследовать движения створок клапанов и сердечной мышцы.



Для облегчения выявления турбулентного движения (завихрений) существует порог скорости, выше которого происходит изменение цвета (во многих аппаратах это зелены). «Мозаичный» узор на участке турбулентного потока позволяет легко установить регургитацию (смену направления движения), что помогает определить степень недостаточности клапанов.


Наличие режимов визуализации сердца не означают, что для каждого из них необходим отдельный УЗИ аппарат. Все современные ультразвуковые приборы для эхокардиографии способны воспроизвести данные режимы. Для этого врачу необходимо только «переключить тумблер» или поменять датчик.
Для получения “полной картины заболевания” обычно используется сочетание нескольких методов визуализации следующих структур:
- клапанов;
- четырех камер сердца;
- перегородок между ними;
- перикарда;
- внутрисердечных масс;
- миокарда.
Так, например, эхокардиография с допплерометрией и цветным допплеровским картированием (ЦДК), которая является сочетанием 2D и М-режимов с допплерометрией, очень полезна при оценке митрального стеноза. Первые два способа визуализации позволяют заподозрить кальцификацию клапана (аномальное движение его створок).
Допплерометрия демонстрирует при этой патологии повышенную скорость кровотока (признак сужения) и может быть использована для оценки «эффективной площади отверстия» (степени выраженности стеноза).

Эхокардиография наиболее полезна при диагностики следующих патологий:
- пороках сердца: при дисфункции клапана, для контроля за протезами;
- при нарушениях функции левого желудочка: используется для выяснения причины (постинфарктный кардиосклероз, кардиомиопатия и т. д.) и определения фракции выброса (ФВ);
- мерцательной аритмии — оценка структурной причины, риска тромбоэмболии и предполагаемого ответа на кардиоверсию;
- хронической сердечной недостаточности;
- кардиомиопатиях;
- инфекционном эндокардите: включает оценку поражения клапанов, а также степень тяжести гемодинамических нарушений;
- после ишемического инсульта головного мозга с целью определения возможной сердечной причины образования эмболов;
- перикардиальной патологии — наличия жидкости в околосердечной сумке; с помощью эхокардиографии (под ее контролем) можно безопасно удалить перикардиальную жидкость при тампонаде сердца;
- патологии грудного отдела аорты: аневризма, расслоение.
Информация, которая предоставляется с помощью ЭхоКГ, чрезвычайно полезна для врачей при диагностике различных состояний, связанных с сердечно-сосудистыми заболеваниями. Тем не менее, очень важно, чтобы «клиент» понимал, что существует множество «нюансов», которые влияют на правильную постановку диагноза, связанных с эхокардиографией.
Опыт врача, проводящего исследование, вид используемого оборудования — факторы, влияющие на точность диагностики. Неправильно проведенное ультразвуковое исследование, как правило, приводит к избыточному назначению ненужных тестов или даже хирургических вмешательств.
Преимущества и недостатки допплерометрии сердца
ЭхоКГ способна определить направление кровотока, измерить скорость движения крови и сердечной стенки, если она дополняется эффектом Доплера. Одним из недостатков эхокардиографии с допплеровским анализом является то, что для получения точных результатов ультразвуковой луч и поток крови должны быть максимально параллельны, что ограничивает возможность исследовать некоторые отделы сердца.
Измерение скоростных характеристик позволяет оценить:
Допплерэхокардиография позволяет измерить все вышеперечисленные параметры, которые очень важны при оценке детской сердечной патологии (врожденные пороки) без использования инвазивной процедуры — катетеризации сердца. Помимо этого, назначение эхокардиографии с допплеровским анализом ребенку не несет никакой угрозы по сравнению с компьютерной томографией, где используется рентгеновское излучение.
Как ЭхоКГ выполняется (совместно с допплерометрией)
Эхокардиография считается довольно простой медицинской процедурой, не требующей серьезной подготовки. Во время исследования пациента размещают на кушетке. Оператор держит в руке датчик (устройство, напоминающее компьютерную мышь), медленно его перемещает по коже грудной стенки исследуемого. Предварительно врач наносит на кожу специальный гель, чтобы облегчить передвижение датчика. В процессе исследования доктор может попросить перевернуться на тот или иной бок, задержать дыхание на несколько секунд. Процедура обычно длится от 30 до 60 минут.
Эхокардиографию иногда сочетают со стресс-тестом. Сначала выполняют ЭхоКГ в состоянии покоя, а затем повторяют ее во время физических упражнений. Это помогает определить функциональные изменения в сердечной мышце в период перенапряжения. Отклонения могут косвенно указывать на заболевания коронарных артерий.
Трансэзофагеальная ЭхоКГ — методика ультразвукового исследования, которая позволяет более детально просмотреть некоторые отделы сердца (которые плохо визуализируются при обычной, трансторакальной), а также часто используется для получения изображения во время операции на этом органе. Как правило, оно проводится под действием внутривенного наркоза. Тонкий зонд проводится по пищеводу до уровня расположения сердца.

На сегодняшний день эхокардиография с допплеровским анализом — это неотъемлемая составляющая полного ультразвукового исследования сердца, позволяющая поставить правильный диагноз.
Читайте также:
