Признаки кальцифицирующей тендинопатии ротаторной манжеты
Добавил пользователь Евгений Кузнецов Обновлено: 22.11.2025
Клинический случай: Кальцифицирующий тендинит сухожилия надостной мышцы. Лечение тенденита плеча проводилось методом гидроэвакуации (размывание) кальцинатов под УЗИ-контролем.
Пациентка Б. 56 лет, обратилась в Медицинский Центр «Кинезио» с жалобами на острую боль и ограничение движений в области левого плечевого сустава и ключицы.
Анамнез заболевания: боли беспокоят около 2 лет. Появление боли ни с чем не связывает. Отмечает острое начало заболевания, характеризующееся болью в левом плечевом суставе при заведении левой руки за спину, за голову. Постепенно боли стали появляться в ночное время. Спустя около 1 года после начала заболевания отмечает снижение амплитуды движений в левом плечевом суставе.
На момент осмотра ограничение активного отведения левого плеча до угла 70°, сгибания –до угла 90°, ограничение наружной ротации в плечевом суставе.
Назначено обследование (рентгенография, МРТ, УЗИ) в ходе которого выявлены очаги кальцификации в области вращательной манжеты левого плечевого сустава.

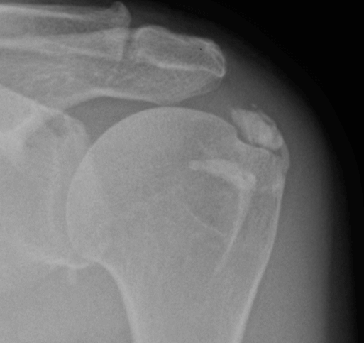
Фото1. Рентген-снимок левого плечевого сустава пациентки до выполнения процедуры гидроэвакуации.
Пациентке установлен диагноз: Кальцифицирующий тендинит сухожилий вращательной манжеты левого плеча (М75.3).
Справка:
Кальцифицирующий тендинит — распространенное заболевание плеча, характеризующееся накоплением кристаллов гидроксиапатита кальция в толще сухожилий ротаторной манжеты плечевого сустава. Основной симптом – боль при поднятии руки и её заметное усиление по ночам, ограничение амплитуды движений в плечевом суставе из-за боли.
Пациентке выполнена процедура гидроэвакуации (размывания) кристаллов кальция под УЗИ-контролем*:

Фото 2. Кристаллы гидроксиапатита кальция в жидкости после вымывания
Спустя 2 дня после процедуры назначена физиотерапия: интерференционные токи + ультразвук – 5 процедур.
Отмечается положительная динамика: полное купирование болей в левом плечевом суставе, восстановление безболезненной амплитуды движений в левом плечевом суставе:

Фото 3. Объем движений в плечевом суставе после проведенного лечения
На 10 день после выполнения процедуры гидроэвакуации выполнен рентген-контроль левого плечевого сустава:

Фото 4. Рентген-снимок левого плечевого сустава пациентки после проведенного лечения.
Резюме: Данный клинический случай демонстрирует эффективность используемого метода гидроэвакуации кальцинатов под УЗИ-контролем.
*Методика вымывания кальцинатов описана в журнале «Травма»№1, 2017: «Лікування кальцифікуючого тендініту сухожилків ротаторної манжети плечового суглобу. Страфун О.С. журнал Травма, том 18, №1, 2017р.
Тендинит плечевого сустава
Это воспалительный процесс и последующая дегенерация сухожилий в области плечевого сустава. Вовлекаться в процесс может сухожилие бицепса плеча, надостной мышцы. Патология может развиться у любого человека, в любом возрасте, чаще встречается в возрасте старше 40 лет или у молодых людей, профессионально занимающихся спортом. Плечелопаточное сочленение отличается от других суставов уплощенной суставной ямкой, большим объемом движений, поэтому сухожильные структуры страдают довольно часто.


По локализации воспаления выделяют тендинит:
- надостной мышцы;
- двуглавой мышцы;
- ротаторной манжеты плеча.
При заболевании возможны не только дегенеративные изменения сухожилий. Выделяют кальцинирующий тендинит, для которого характерно отложение солей в пораженных участках. При этой форме заболевания движения сопровождаются характерным хрустом.
Течение болезни может быть острым либо хроническим.
Причины
Обычно заболевание развивается вследствие травмы. Воспалению сухожилий подвержены люди, занимающиеся тяжелым физическим трудом, спортсмены, выполняющие активные движения руками.
К причинам патологии также относят продолжительную иммобилизацию, шейный остеохондроз.
Связочный аппарат часто поражается у женщин в период климакса. Это связано с гормональными изменениями в организме. Даже умеренные физические нагрузки приводят к микротравмам и воспалению мягкотканных структур.
Симптомы
Первый признак поражения сухожилия — боли при совершении определенных движений руками. Неприятные ощущения могут возникать не только при интенсивных физических нагрузках, но и при выполнении простых бытовых действий, ночью при поворотах в постели.
Объем движений в суставе со временем сокращается, развиваются контрактуры.
Поставить диагноз помогает сбор анамнеза, осмотр пораженного сочленения, оценка объема движений в больном суставе, сравнение со здоровым. В качестве дополнительных методов диагностики используется КТ, МРТ, рентгенография. Обследование позволяет определить объем изменений, наличие участков кальцификации.
Лечение тендинита плечевого сустава
Что делать если болит плечо? Как можно скорее обращаться к доктору. Терапия на ранней стадии позволяет полностью устранить проблему, не допустить развития необратимых изменений.
Во время лечения исключается нагрузка на сустав вплоть до его иммобилизации, занятия спортом нужно временно прекратить. В острой стадии показаны нестероидные противовоспалительные препараты, миорелаксанты, сосудистые препараты, выполняются блокады с анестетиками и кортикостеродными препаратами.
Восстановить функцию сустава, ускорить восстановление поврежденных анатомических структур позволяет физиотерапия. Хороший эффект можно получить от магнитолазера, магнитотерапии, УВЧ, электрофореза с новокаином.
В реабилитационном периоде назначают иглорефлексотерапию, лечебный массаж, ЛФК. Специальные упражнения позволяют восстановить объем движений в суставе, не приводят к перегрузке больного сочленения.
При выраженных контрактурах, рубцовых изменениях показано хирургическое лечение. Операция позволяет удалить измененные участки, восстановить объем движений. Возможен как классический доступ через хирургический разрез, так и манипуляции с помощью эндоскопического оборудования.
Кальцинирующий тендинит плеча

Кальцинирующий тендинит плеча возникает, когда образуются накопления кальция в сухожилиях плеча. Ткани вокруг депозитов кальция воспаляются, что приводит к выраженным болевым проявлениям. Это заболевание является довольно распространенным и наиболее часто встречается у людей в возрасте старше 40 лет. Кальцинирующий тендинит возникает в сухожилиях вращающей манжеты плеча. Вращающая манжета плеча состоит из нескольких сухожилий, которые соединяют мышцы вокруг плеча к плечевой кости. Отложения кальция обычно образуются на сухожилии вращающей манжеты плеча, которое называется надостным (supraspinatus) сухожилием.
Существует два различных типа кальцинирующего тендинита плеча: дегенеративная кальцификация и реактивная кальцификация. Процессы изнашивания при старении являются основной причиной дегенеративной кальцификации. По мере старения кровоснабжение сухожилий вращательной манжеты уменьшается, что приводит к ослаблению сухожилий. Процесс изнашивания сопровождается микронадрывами волокон сухожилий. И в поврежденных сухожилиях одновременно с регенерацией происходят процессы отложения кальцинатов.
Реактивная кальцификация отличается от дегенеративной. Механизм развития этого типа кальцификации не до конца ясен. Этот тип кальцификации не связан с дегенеративными изменениями и гораздо чаще является причиной болей в плече, чем дегенеративный кальцифицирующий тендинит. Считается, что развитие реактивного кальцифицирующего тендинита проходит в три этапа. В начальной стадии кальциноза происходят изменения в сухожилиях, при которых формируются условия для формирования кальцинатов. В стадии кальцинации происходит отложение кристаллов кальция в сухожилиях. Но на этой стадии кальцинаты рассасываются (реабсорбируются) организмом. Именно на этом этапе появление болей наиболее вероятно. В пост-кальцинатном периоде организм восстанавливает сухожилие, и поврежденная ткань заменяется новой тканью. Механизм запуска абсорбции кальцинатов организмом не выяснен, но как только это происходит, и ткань начинает регенерировать, боль обычно уменьшается или исчезает совсем.
Причины
Никто не знает, что именно служит причиной кальцинирующего тендинита. Физические нагрузки старение или их комбинация приводит к дегенеративной кальцификации. Некоторые исследователи предполагают, что отложения кальция образуются вследствие гипоксии тканей и недостаточного поступления кислорода к тканям сухожилие. Другие же считают, что давление на сухожилия может приводить к их повреждению, в результате и происходит отложение депозитов кальция.
Механизм формирования реактивной кальцификации не изучен совершенно. Как правило, этот тип кальцифицирующего тендинита встречается у молодых пациентов и возникает без особых видимых причин.
Симптомы
Во время отложения кальция может появиться боль слабая или умеренная или этот процесс может проходить без боли. Но когда при кальцинирующем тендините начинается процесс рассасывания депозитов кальция появляется выраженный болевой синдром. Боль и скованность в плече могут привести к резкому уменьшению объема движений в плече. Даже подъем руки может стать очень болезненным. В тяжелых случаях боль может приводить к нарушению сна.
Диагностика
Для диагностики кальцинирующего тендинита плеча врач, прежде всего, изучит историю болезни и проведет физикальное обследование. Боль в плече может быть связана не только с кальцинирующим тендинитом, но и с другими заболеваниями. Поэтому, для постановки точного диагноза бывают, необходимы инструментальные исследования. Рентгенография позволяет визуализировать наличие депозитов кальция в сухожилиях. Но наиболее информативно для визуализации связок и сухожилий и наличия в них патологических изменений – МРТ (магнитно-резонансная томография). Визуализация кальцинатов с помощью рентгенографии или МРТ в динамике позволяет определиться с тактикой лечения (консервативное или оперативное лечение). Лабораторные исследования необходимы в тех случаях, когда необходимо дифференцировать это заболевание с воспалительными заболеваниями соединительной ткани.

Лечение
Консервативное лечение
Основная задача консервативного лечения это уменьшить воспаление и боль. Поэтому, на первом этапе консервативное лечение включает в себя покой и прием НПВС (ибупрофен). Противовоспалительные препараты позволяют уменьшить воспалительный процесс и снизить болевые прояления. При наличии сильной боли могут быть назначены инъекции кортикостероидов. Применение стероидов позволяет на некоторое время эффективно снять отек и воспаление.
В тот период времени, когда отложения кальция начинают реабсорбироваться, боль может быть особенно сильной. В таких случаях возможно удаление части депозитов кальция с использованием промывания физ. раствором через два прокола в области депозитов кальция. Эта процедура называется лаважем. Иногда при этой процедуре удается разбить кальцинаты на кусочки (их удаляют с помощью иглы). Удаление депозитов позволяет быстрее уменьшить болевой синдром и добиться более быстрого восстановления сухожилия. Даже тогда, когда промывание не удаляет отложения кальция, это может уменьшить давление в сухожилиях, что приводит к уменьшению боли.
Физиотерапия. Физиопроцедуры являются одной из основных составляющих консервативного лечения кальцинирующего тендинита. Применение такой методики, как ультразвук, помогает уменьшить болевой синдром и воспаление. Но эффект при применение ультразвука достигается только при курсовом лечении (до 24 процедур в течение 6 недель). Ударно-волновая терапия в настоящее время является наиболее современным методом консервативного лечения таких заболеваний. Ударная волна разрушает крупные депозиты кальция, что позволяет организму быстрее абсорбировать их.
ЛФК показано в стадии завершения реабсорбции и позволяет восстановить мышечный тонус и улучшить кровоснабжение структур плеча. Как правило, проводится индивидуальный подбор упражнений и ЛФК проводится в течение 4-6 недель. Проведение физических упражнений очень важно для укрепления мышц вращающей манжеты плеча, так как эти мышцы помогают контролировать стабильность плечевого сустава. Укрепление этих мышц может фактически уменьшить давление на депозиты кальция в сухожилии.
Хирургическое лечение
При неэффективности консервативного лечения и ухудшение функций плеча или наличие стойкого болевого синдром рекомендуется оперативное лечение. Как правило, хирургическое лечение проводится малоинвазивным атроскопическим методом, что позволяет пациенту не оставаться на ночь в хирургическом отделении. Хирург при атроскопической операции визуально определяет локализацию депозитов кальция в сухожилиях вращательной манжеты, удаляет их и промывает эту область, удаляются также свободные кристаллы кальция, которые могут раздражать окружающие ткани.
В редких случаях, бывает, необходима открытая операция. При такой операции до депозитов кальция доступ идет через разрез мышц связок с удалением части сухожилий. После удаления депозитов проводится сшивание мышц и сухожилий.
Реабилитация после операции на плече может занять достаточно длительный промежуток времени. В первые 6-8 недель после операции рекомендуется ношение ортеза и ограничение движений, затем необходимо постепенно начинать разработку сустава и сочетать физиопроцедуры с ЛФК. Объем нагрузок на сустав необходимо увеличивать постепенно и очень аккуратно под наблюдением врача ЛФК. Начинают упражнения, как правило, не ранее чем через 6 недель после операции. Упражнения направлены на улучшение мышечной силы плечевого пояса и мышц ротаторной манжеты. Полное восстановление функций плеча после операции может занять от 3 до 4 месяцев. После открытой операции восстановление идет намного медленнее, чем при атроскопической резекции.
Использование материалов допускается при указании активной гиперссылки на постоянную страницу статьи.
Повреждение вращательной / ротаторной манжеты плеча
ЧТО ТАКОЕ ВРАЩАТЕЛЬНАЯ (РОТАТОРНАЯ) МАНЖЕТА ПЛЕЧА И ДЛЯ ЧЕГО ОНА НУЖНА?

Вращательная (ротаторная) манжета плеча — включает надостную, подостную, малую круглую и подлопаточную мышцы. Эти мышцы необходимы для стабилизации головки плечевой кости и предотвращения ее смещения при движении в суставе. Кроме того, эти мышцы позволяют осуществлять вращательные движения в плече во всех направлениях.
Подлопаточная мышца вращает руку внутрь, надостная - поднимает плечо и "приякоривает" его, т.е. вжимает головку плечевой кости в суставную впадину лопатки при отведении плеча вбок. При этом основная сила отведения определяется дельтовидной мышцей, а надостная мышца работает как командир, направляющий усилия дельтовидной мышцы. Подостная мышца вращает плечо наружу, а малая круглая - вращает наружу и приводит руку к туловищу. Повреждение хотя бы одной из четырех мышц приводит к резкому ограничению движений и утрате функции плечевого сустава.
ПРИЧИНЫ ПОВРЕЖДЕНИЯ ИЛИ РАЗРЫВА ВРАЩАТЕЛЬНОЙ (РОТАТОРНОЙ) МАНЖЕТЫ ПЛЕЧА:
Повреждение вращательной манжеты плеча может произойти в результате острой травмы. В этом случае пациенты часто описывают конкретную травму, после которой появились боли и нарушилась функция плеча.
В ряде случаев, разрыв вращательной манжеты является результатом хронической микротравматизации мышц. Чаще всего это происходит у лиц, чья профессиональная деятельность связанна с частым возвышенным положением руки или бросковыми движениями. Например, спортсмены в таких видах спорта как бейсбол, теннис, тяжелая атлетика и гребля. Постоянная микротравматизация сухожилий вращательной манжеты при ударах по мячу, подачах, бросках может привести к микроразрывам мышечных волокон, мышцы постепенно истончаются и со временем, даже при незначительной травме, могут легко порваться.
Предрасположенность к перенапряжению сухожилий вращательной манжеты имеется в учителей, которые пишут мелом на доске, подняв руку вверх, у маляров, красящих стены, у строителей и т.п.
У некоторых пациентов разрыв ротаторной манжеты может быть следствием развития в мышцах дегенеративно-дистрофических изменений, связанных со старением организма, например у пожилых людей или генетической предрасположенностью.
ВИДЫ ПОВРЕЖДЕНИЙ ИЛИ РАЗРЫВОВ ВРАЩАТЕЛЬНОЙ (РОТАТОРНОЙ) МАНЖЕТЫ ПЛЕЧА:
По причине вызвавшей разрыв – травматические или дегенеративные разрывы. По характеру повреждения различают разрывы частичные и полные. Частичные разрывы не проходят через всю толщу сухожилия, полные распространяются на всю толщину слоев манжеты. Травматические повреждения подразделяются на свежие, несвежие и застарелые.

СИМПТОМЫ ПОВРЕЖДЕНИЯ ВРАЩАТЕЛЬНОЙ (РОТАТОРНОЙ) МАНЖЕТЫ ПЛЕЧА:
Признаками повреждения вращательной манжеты плеча являются боль и слабость отведения руки или наружной ротации плеча.
Боли усиливаются в определенных фазах движения, особенно при отведении руки
под углом 70 – 120°.
ДИАГНОСТИКА ПОВРЕЖДЕНИЙ ВРАЩАТЕЛЬНОЙ МАНЖЕТЫ ПЛЕЧА:
Для диагностики повреждений вращательной манжеты плеча используют специальные тесты, при которых врач, выводя руки пациента в определенное положение, оценивает двигательную способность поврежденной руки, наблюдает за реакцией пациента на свои действия. Наиболее информативные тесты – на слабость отведения и слабость наружной ротации плеча. При обширном повреждении ротаторной манжеты характерны также симптомы падающей руки (больной не может удержать пассивно отведенную руку) и приподнимание надплечья при попытке отвести руку (симптом Леклерка).

ЛЕЧЕНИЕ ПОВРЕЖДЕНИЯ ВРАЩАТЕЛЬНОЙ МАНЖЕТЫ ПЛЕЧА:
Лечение повреждения ротаторной манжеты плеча может быть консервативным и оперативным. Консервативное лечение показано при частичных повреждениях, когда есть надежда на восстановление функции без оперативного вмешательства. Консервативное лечение проводится наряду с иммобилизацией плечевого сустава специальной повязкой (ортезом), и включает:
физиотерапевтические процедуры, применение противовоспалительных и обезболивающих препаратов, при выраженной боли – блокады с глюкокортикоидами продленного действия. Очень хороший клинический эффект дают внутрисуставные инъекции обогащённой тромбоцитами плазмы в плечевой сустав («факторы роста», PRP).
Если длительность безуспешного консервативного лечения превышает 2—3 мес, необходимо ставить вопрос об операции.
ОПЕРАТИВНОЕ ЛЕЧЕНИЕ ПОВРЕЖДЕНИЙ ВРАЩАТЕЛЬНОЙ (РОТАТОРНОЙ) МАНЖЕТЫ ПЛЕЧА:
Восстановление разрыва сухожилий вращательной манжеты является достаточно сложной операцией. Реконструкция вращательной манжеты может быть выполнена как открытым способом, через разрез на плече, так и артроскопическим методом. Недостатки открытого оперативного вмешательства – это необходимость проведения больших, травмирующих разрезов на плече для обеспечения доступа к поврежденным сухожилиям, что несет за собой высокий риск побочных эффектов, длительное восстановление после операции.
В нашем Медицинском центре оперативное лечение повреждения вращательной манжеты производится современным способом, без разреза сустава – под артроскопическим контролем. Вместо разреза проводятся локальные мини проколы, в один из которых вводится артроскоп с видеокамерой, а в другой инструменты для проведения операции. Изображение с видеокамеры в увеличенном масштабе передается на видеомонитор, что позволяет врачу детально осмотреть все структуры сустава и выявить локализацию повреждения.
Суть артроскопической операции состоит в том, что разрыв сшивают, а если произошел отрыв сухожилия от места фиксации, то выполняют шов с использованием специальных "якорных" фиксаторов.
На первом этапе операции проводится чистка сустава - удаление всех нежизнеспособных, дегенеративно - измененных тканей вращательной манжеты. Затем область плечевой кости, где произошел разрыв или отрыв вращательной манжеты, очищается от остатков мягких тканей для того, чтобы сухожилие лучше к ней приростало. Обычно, для фиксации оторванного сухожилия требуется 2-3 якорных фикстора. Фиксатор состоит из якоря и нитей. Якорь крепится к кости, а нитями в свою очередь прошивается сухожилие.
Выбор конкретного вида якорного фиксатора осуществляется оперирующим хирургом, но в целом пациент также должен быть проинформирован о том, какой фиксатор планируется к использованию в его случае. Мы рекомендуем использовать фиксаторы фирм с мировым именем, которые давно зарекомендовали себя.


РЕАБИЛИТАЦИЯ ПОСЛЕ АРТРОСКОПИИ ПЛЕЧЕВОГО СУСТАВА:
Правильно проведенная операция позволяет достаточно быстро начать активную реабилитацию, для предотвращения развития осложнений и оптимизации сроков выздоровления.
После артроскопии плеча руку обездвиживают в положении отведения на несколько недель с помощью специальной шины. Такая иммобилизация снижает натяжение сухожилий и уменьшает риск повторного разрыва, создает благоприятные условия для лучшего заживления сухожилия. Длительность иммобилизации определяется хирургом, который выполнял операцию, так как только он может оценить состояние сухожилий и прочность выполненного шва.
Уже с первых недель после артроскопии плеча пациентам рекомендуется выполнять специальные упражнения, направленные на разработку движений в плечевом суставе. Однако, их интенсивность и очередность должна подбираться оперирующим врачом и опытным реабилитологом.
В нашем Медицинском центре пациентам после артроскопии плеча предлагается целый комплекс реабилитационных мероприятий. Программа реабилитации подбирается индивидуально и включает в себя:
Специальные упражнения и ЛФК у реабилитологов нашем Медицинском центре по методу кинезиотерапии. Упражнения направлены на улучшение объема движений в суставе, предотвращения развития контрактур, повышения силы и выносливости в мышцах плечевого пояса. Упражнения подбираются в индивидуальном порядке и выполняются на профессиональном оборудовании в зале для реабилитации, под присмотром опытных инстукторов - реабилитологов. Часть упражнений расписывается пациенту для проведения в домашних условиях.

Физиотерапия на профессиональном оборудовании компании BTL: магнитотерапия, ультразвуковая терапия с внедрением лекарственных препаратов, электролечение – уменьшают боли и отек в прооперированном плече, предотвращают образование спаек и рубцов, способствуют лучшему заживлению, восстанавливают мышечный тонус.
Травмы ротаторной манжеты плеча/субакромиальный бурсит
Травмы ротаторной манжеты плеча включают тендинит и полный или частичный разрыв, субакромиальный бурсит может быть последствием тендинита. Симптомы проявляются болью в области плечевого сустава, а при тяжелых разрывах – слабостью. Диагноз ставится по результатам осмотра, иногда диагностических исследований. Лечение заключается в назначении нестероидных противовоспалительных препаратов (НПВП), сохранении амплитуды движений и выполнении упражнений на повышение стабильности ротаторной манжеты.
Ротаторная манжета плеча, состоящая из надостной, подостной, малой круглой и подлопаточной мышц вместе с трицепсом и бицепсом, помогает стабилизировать головку плечевой кости в суставной ямке лопатки во время выполнения движений с подъемом рук выше головы (например, метание, плавание, поднятия веса, игровые виды спорта с ракеткой).
Этиология
Повреждение ротаторной манжеты может быть острой или хронической спортивной травмой, но может и не быть связанным с занятиями спортом, и возникать у людей без чрезмерной нагрузки в анамнезе.
Растяжение роторной манжеты плеча является одним из острых, травматических повреждений мышц. Тенденит обычно развивается в результате хронического импинджмент-синдрома сухожилия надостной мышцы между головкой плечевой кости и клювовидно-акромиальной дугой (акромион, акромиально-ключичный сустав, клювовидный отросток, клювовидно-акромиальная связка). Упражнения, которые требуют повторных подъемов рук над головой, такие как метание мяча в бейсболе, подъем тяжестей выше уровня плеч, подача мяча в играх с ракеткой, плавание свободным стилем, стилем "баттерфляй" или на спине, повышают риск травмы ротаторной манжеты.
Сухожилие надостной мышцы считается особенно уязвимым, поскольку оно имеет слабоваскуляризованную зону рядом с местом его прикрепления к большому бугорку. Развивающиеся в результате воспалительная реакция и отек еще больше сужают подакромиальное пространство, ускоряя процесс раздражения или повреждения сухожилия. Если этот процесс не остановить, развивающееся воспаление может привести к частичному или полному разрыву ротаторной манжеты. Дегенеративный тенденит ротаторной манжеты распространен среди людей старше 40 лет, которые по этой причине не являются активными спортсменами. Субакромиальный бурсит (воспаление, отек и фиброз области синовиальной сумки выше ротаторной манжеты) часто является результатом тендинита ротаторной манжеты.
Клинические проявления
Субакромиальный бурсит, тендинит и частичный разрыв ротаторной манжеты проявляются болью в плечевом суставе, особенно при подъеме рук на уровень выше головы. Боль обычно усиливается в предела от 60 ° до 120 ° (болезненная дуга движений) отведения или сгибания плечевого сустава и ее проявления минимальны или отсутствуют в пределах от < 60 ° или > 120 ° . Боль можно описать как плохо локализованную и тупую, ноющую. Полные разрывы ротаторной манжеты вызывают острую боль и слабость плечевого сустава. При больших разрывах ротаторной манжеты особенно заметна слабость при наружной ротации.
Диагностика
Иногда МРТ или артроскопия
Диагноз ставится по данным анамнеза и результатам объективного обследования, включая провокационные маневры (См. также Физикальный осмотр плеча Объективное обследование плечевого сустава Обследование плеча включает: физикальный осмотр и иногда артроцентез. (См. Также Обследование пациента с суставными симптомами.) Объективное обследование вовлеченного плеча осмотр Пальпация. Прочитайте дополнительные сведения ). Непосредственно саму ротаторную манжету пропальпировать нельзя, но можно использовать провокационные процедуры, которые позволяют протестировать ее отдельные мышечные компоненты; выраженная боль или слабость признаются положительным результатом.
Состояние надостной мышцы оценивают по сопротивлению пациента, направленному сверху вниз давлению на руки в положении переднего сгибания, большие пальцы направлены вниз (тест пустой банки или тест Джоба).
Состояние подостной и малой круглой мышц оценивают по сопротивлению пациента давлению при наружной ротации, когда руки опущены вдоль туловища и локтевые суставы согнуты на 90 ° ; это положение отделяет функцию мышцы ротаторной манжеты от функции других мышц, таких как дельтовидная. Слабость во время проведения этого теста предполагает существенное нарушение функции ротаторной манжеты (например, полный разрыв).
Состояние подлопаточной мышцы оценивают, попросив больного завести руку за спину таким образом, чтобы тыльная сторона ладони была прижата к пояснице. Эксперт приподнимает руку над нижней частью спины. Пациент должен суметь удержать руку на расстоянии от кожи поясницы спины (проба отрыва Гербера).
Тест Нира проводится при подозрении на импинджмент-синдром ротаторной манжеты под клювовидно-акромиальной дугой. Этот тест выполняют, располагая руку пациента в позиции форсированного сгибания (руки подняты над головой) с полной пронацией.
Тест Хокинса также определяет наличие импинджмент-синдрома. Он осуществляется с помощью поднятия руки до уровня 90 ° , сгибания локтевого сустава на 90 ° и форсированной ротации плеча во внутрь.
Тест почесывания Эпли оценивает комбинированную амплитуду движения в локтевом суставе посредством попытки пациента коснуться противоположной лопатки: касание противоположной лопатки кончиками пальцев заведенной за голову руки характеризует отведение и наружную ротацию; касание противоположной лопатки исподнизу за спиной и по диагонали тыльной поверхностью кисти проверяет приведение и внутреннюю ротацию.
Боль в плечевом суставе может быть результатом нарушений в других областях, включая акромиально-ключичный и грудино-ключичный суставы, шейный отдел позвоночника, сухожилие двуглавой мышцы и лопатку. Эти области следует оценить на наличие любой болезненности или деформации для исключения их повреждения.
Шею обследуют в рамках любой оценки состояния плечевого сустава, поскольку боль может иррадиировать в плечевой сустав из шейного отдела позвоночника (особенно при радикулопатии С5).
Подозреваемая травма ротаторной манжеты плеча может быть дополнительно оценена благодаря МРТ плеча, если необходимый краткий курс консервативного лечения не приводит к разрешению симптомов.
Читайте также:
