Рассеянный склероз на МРТ
Добавил пользователь Владимир З. Обновлено: 29.01.2026
Рассеянный склероз – это хроническая прогрессирующая патология нервной системы, которая чаще поражает молодых людей. Это заболевание очень коварно, поскольку его первые признаки легко перепутать с симптомами других заболеваний, что очень затрудняет диагностику. Очень важно своевременно поставить верный диагноз, это позволяет замедлить развитие болезни, сохранить трудоспособность на длительное время и избежать опасных осложнений. На сегодняшний день самым информативным методом диагностики рассеянного склероза является магнитно-резонансная томография.
Преимущества диагностики
Метод магнитно-резонансной томографии пользуется огромной популярностью среди врачей и пациентов. Это обусловлено следующими преимуществами:
Показания к исследованию
Рассеянный склероз очень важно выявить на ранних стадиях заболевания, поэтому потенциальным больным врачи проводят МРТ. Диагностика при помощи магнитно-резонансной томографии может быть назначена в таких случаях:
- Жалобы пациента на ухудшение зрения, чаще всего, на одном глазу. Также может наблюдаться потеря четкости зрения, мутность и ощущение инородного тела в глазу.
Рассеянный склероз может проявляться и другими симптомами. Необходимость исследования определяется врачом.
Возможные противопоказания
Врачи могут порекомендовать иной вид диагностики рассеянного склероза в том случае, если у пациента имеются противопоказания к проведению МРТ.
В каких случаях исследование проводить нельзя?
- Если в теле есть конструкции, содержащие металл: кардиостимуляторы, спицы, штифты, импланты и т.п.
- Если у пациента бывают непроизвольные движения. Для диагностики необходимо сохранять неподвижное состояние, в противном случае исследование может оказаться недостаточно информативным.
- При выраженной клаустрофобии. Так как диагностика рассеянного склероза осуществляется в условиях замкнутого пространства, при наличии клаустрофобии лучше отдать предпочтение иному виду исследования.
Контрастное исследование запрещено проводить беременным женщинам (на протяжении всего срока беременности), при лактации, а также при серьезных заболевании почек. Также требуется заранее провести тест, чтобы исключить аллергическую реакцию на используемые контрастные препараты.
Как подготовиться к процедуре
Врачи утверждают, что в срочном порядке магнитно-резонансная томография может осуществляться без предварительной подготовки. Если же МРТ запланировано на определенный день, постарайтесь соблюдать несколько рекомендаций:
- Если планируется проведение МРТ с контрастом, необходимо прийти в клинику на голодный желудок. Последний прием пищи должен быть не позднее, чем за 5-6 часов до МРТ.
- Диагностика может продолжаться до 40 минут, поэтому лучше заранее сходить в туалет, чтобы не испытывать дискомфорта в процессе исследования.
- Если вы волнуетесь перед исследованием, проконсультируйтесь с лечащим врачом – возможно, он назначит вам легкие успокоительные препараты.
- В капсулу томографа запрещено проносить любые предметы из металла. Поэтому перед диагностикой нужно снять с себя все украшения, заколки, очки и переодеться в одежду без металлической фурнитуры.
Как делают МРТ при рассеянном склерозе
Для максимальной информативности и высокого качества снимков рекомендуется проводить диагностику только в томографах закрытого типа. Сообщите врачу, что МРТ проводится для диагностики рассеянного склероза – это поможет врачу выбрать верный режим исследований. Прежде чем начать диагностику, необходимо ознакомиться с простыми правилами:
- Не бойтесь шума, который слышен при исследовании. Если вас беспокоят громкие звуки – возьмите с собой беруши.
- Во время проведения МРТ пациент должен сохранять неподвижное состояние. Даже небольшие движения могут привести к снижению информативности снимков.
- Обязательно проконсультируйтесь с врачом перед записью на МРТ. Этот вид исследования абсолютно безопасен только в том случае, если отсутствуют противопоказания к процедуре.
- Несмотря на замкнутое пространство, внутри аппарата весьма комфортные условия: вентиляция, свет, громкая связь, тревожная кнопка (ее нажатие остановит исследование).
Порядок проведения диагностики таков:
- Пациент переодевается в сменную одежду, на которой отсутствуют металлические вставки. Также требуется снять обувь.
- Обследуемый ложится на стол выдвижного типа. Для снижения вероятности случайных телодвижений, конечности и голову могут зафиксировать мягкими ремешками.
- В вену вводят инъекцию с контрастным препаратом, если назначено исследование с контрастным усилением (при необходимости это делается не перед исследованием, а в процессе, если исследование без контрастного усиления выявило наличие очагов, характерных для заболевания).
- Процедура занимает около 40 минут.
МРТ с контрастированием
При подозрении на рассеянный склероз ранней стадии магнитно-резонансную томографию чаще всего проводят с дополнительным контрастным усилением. Это позволяет распознать даже минимальные патологические изменения, характерные для этого заболевания.
Контрастное вещество вводится внутривенно за несколько минут до процедуры и быстро распределяется по тканям и сосудам, создавая эффект подсвечивания патологических очагов на снимках.
Преимущество контрастной диагностики также заключается в том, что это совершенно безвредно для организма. Буквально за сутки контраст вымывается из организма естественным образом, не накапливаясь в тканях.
Интерпретация результатов
После того как диагностика завершена и снимки получены, врачу предстоит провести расшифровку снимков. Обычно это занимает не более часа.
Как распознают рассеянный синдром на снимках? При рассеянном склерозе на снимках заметно характерно типичное распределение очагов в белом веществе головного мозга. Кроме того, для данного диагноза характерно поражение мозолистого тела, дугообразных волокон, височных долей, мозгового ствола, мозжечка и спинного мозга. Такое распределение очагов нехарактерно для иных патологических процессов, поэтому трудностей при постановке диагноза обычно не возникает. При ангиопатии возможны поражения ствола мозга, однако они обычно симметричны и располагаются центрально, в то время как очаги при рассеянном склерозе локализованы по периферии.
По завершению магнитно-резонансной томографии пациенту выдают снимки и расшифровку результатов в бумажном или цифровом виде. Обратитесь с ними к лечащему врачу для постановки диагноза и назначения лечения. Своевременное обнаружение рассеянного склероза продлевает период активной жизни и работоспособности.
Возможна ли диагностика рассеянного склероза на МРТ

МРТ головного мозга в медицинских клиниках используется как приоритетная форма диагностики рассеянного склероза. Рассеянный склероз (РС) является тяжелой патологией, связанной с тем, что собственная иммунная система организма неправильно реагирует на миелиновую оболочку, окружающую нерв, и начинает ее разрушать. Эта иммунная реакция вызывает воспаление вещества головного мозга. За счет этого формируются участки повреждений миелиновой оболочки нервов или участки демиелинизации. Миелин для нервов - это как защитная оболочка, которая предохраняет нервные волокна снаружи. Как только происходит повреждение миелиновой оболочки, у пациентов возникают различные неврологические нарушения.Чаще всего рассеянному склерозу подвержены женщины относительно молодого возраста. Клиническая картина, которая развивается у них, как правило, связана с нарушением зрения и слабостью верхних либо нижних конечностей.
Признаки рассеянного склероза
Рассеянный склероз признан самым "загадочным" заболеванием в неврологии ввиду своей изменчивости, нестабильности и непредсказуемости. До настоящего времени точно не установлена его этиология. Несмотря на применение совершенных методов диагностики, таких как магнитно-резонансная томография и спектроскопия, до сих пор еще не выявлены признаки заболевания, позволяющие со 100-процентной уверенностью распознать рассеянный склероз. Наиболее частыми нарушениями в дебюте PC являются онемение в одной или двух конечностях, оптический неврит, двигательные нарушения. При развернутой картине заболевания преобладают двигательные, мозжечковые, тазовые нарушения, когнитивные и психоэмоциональные расстройства. На ранней стадии, когда еще нет клинических признаков, диагностика рассеянного склероза чаще всего происходит как случайная находка на обычной МРТ головного мозга, когда пациент по каким-то другим причинам приходит на томографию, и ему проводится нативная часть процедуры - исследование без контраста. В ходе сканирования врач-рентгенолог находит признаки многоочаговых поражений головного мозга и обязательно сообщает о необходимости проведения второй части сканирования - контрастной МРТ головного мозга и МР-спектрографии, чтобы понять, какой характер носит данное очаговое поражение, есть ли основания заподозрить рассеянный склероз по результатам МРТ.
| Исследование | Цена | Цена МРТ 3ТЛ | Скидки |
|---|---|---|---|
| МРТ головного мозга | от 2800 руб. | от 5000 руб. | бесплатный прием невролога |
| МРТ сосудов головного мозга / МР артериография | от 2800 руб. | от 7000 руб. | бесплатный прием невролога |
| МРТ гипофиза | от 2800 руб. | от 5000 руб. | Ночью |
| МРТ головного мозга и сосудов головного мозга | от 4800 руб. | от 10000 руб. | бесплатный прием невролога |
| МРТ глазных орбит и зрительного нерва | от 2900 руб. | от 7000 руб. | Ночью |
| МРТ придаточных пазух носа | от 2900 руб. | от 7000 руб. | Ночью |
| МРТ внутреннего уха и слухового нерва | от 2900 руб. | от 7000 руб. | Ночью |
| МР-венография / МРТ вен головы и шеи | от 3200 руб. | от 7000 руб. | - |
| МРТ головного мозга и шеи | от 4800 руб. | от 8000 руб. | - |
| МРТ черепных нервов | от 3200 руб. | от 7000 руб. | - |
Покажет ли обычная МРТ рассеянный склероз?
Первым шагом в диагностике рассеянного склероза будет обращение к неврологу, который проведет необходимые неврологические тесты. В последующем, после выполнения лабораторных неврологических тестов, необходимо сделать МРТ головного мозга по протоколу рассеянный склероз. Именно магнитно-резонансная томография головы является золотым стандартом в диагностике данного заболевания. Никакие другие аппаратные методы - ни ультразвуковые методы исследования, ни рентгеновская КТ не позволяют увидеть начальные признаки рассеянного склероза в виде мелких овальной формы очагов поражения вещества головного мозга. Типичными показаниями для проведения томографии головного мозга при диагностике рассеянного склероза являются:
- наличие одного топического очага поражения ЦНС при двух и более клинических атаках заболевания;
- выявление двух и более очагов поражения ЦНС.
Чтобы МРТ показала все, даже самые мелкие очаги РС, ее нужно проводить по проколу МРТ головного мозга с контрастом на закрытом высокопольном МРТ аппарате мощностью не менее полутора Тесла. Контрастная МРТ головы покажет:
- увеличение пика инозитола, холина и креатина;
- определение повышения уровня экспрессии молекул адгезии;
- выявление отека вокруг очагов и контрастное усиление очагов демиелинизации;
- повреждение гемотканевого барьера и гематоэнцефалического барьера;
- визуализация контрастированных очагов разной формы ("узловое" и "кольцевидное" усиление), указывающих на различный возраст очагов демиелинизации в мозге.
Ранняя диагностика рассеянного склероза на МРТ позволит врачу вовремя начать активную тактику, направленную на купирование воспаления головного мозга. На более поздних стадиях рассеянный склероз может поразить не только головной, но и спинной мозг, поэтому, если данная патология уже имеет неврологические формы проявления, пациенту назначат сделать комплексное исследование МРТ головного мозга с контрастом и МРТ спинного мозга. Магнитно-резонансная томография используется и для активного мониторинга скорости прогресса болезни и выявления фаз обострения. Признаками обострения заболевания будет:
Покажет ли МРТ рассеянный склероз

Магнитно-резонансная томография головного и спинного мозга занимает лидирующую позиции в процедуре определения и дифференциации рассеянного склероза в медицинских учреждениях СПб и Ленинградской области. Рассеянный склероз (РС) - это хроническое, на данный момент полностью не поддающееся лечению, поступательно развивающееся заболевание центральной нервной системы, Проявляется оно разнообразным образом, в частности, дефектами зрения, патологией двигательной, чувствительной и координаторной сферы и нарушением функции органов малого таза. Эта патология атрибутируется к категории демиелинизирующих заболеваний, и ее диагностикой и лечением занимается врач невролог.
Исследования в области РС начали проводиться с 1830 года. К сожалению, это заболевание настолько быстро прогрессирует, что за последнее столетие количество больных рассеянным склерозом значительно увеличилось. В 1985 году на 100 тысяч жителей Санкт-Петербурга приходилось 39,6 человек больных, а уже в 2000 году стало 50,6 больных на 100 тысяч населения СПб. Исторически эта болезнь носит название рассеянный склероз, потому что еще в конце 19 века при патоморфологическом исследовании врачи видели на нервных окончаниях изменения, которые характерны для больных с простыми атеросклеротическими изменениями. Назвали этот недуг рассеянным, потому что атеросклеротические бляшки разбросаны по всему головному и спинному мозгу. Но нужно понимать, что с медицинской точки зрения эта болезнь не имеет ничего общего с атеросклерозом. Механизм его развития связан с действиями иммунной системы на нервные волокна.
Миелин - это белок, который окутывает нервные стволы и способствуют проведению нервных импульсов. При его поражении нарушается проведение нервных импульсов по нервным стволам. Иммунная система человека устроена таким образом, что, когда в организм проникает какой-то патогенный фактор, в организме вырабатываются защитные антитела, которые должны связать этот патогенный фактор и, обезвредив его, вывести из организма. У человека на введение антигена вырабатывается антитело, и образуется комплекс антиген-антитело. Сам по себе этот комплекс, в общем-то, безвреден. Но при рассеянном склерозе вирус, вызывающий его, имеет сильное внешнее сродство к белку миелина. Поэтому, когда иммунная система вырабатывает защитные антитела, чтобы связать вирус, получается так, что эти антитела становятся агрессивными к собственному миелину. Комплекс антиген-антитело осаждается на каком-то определенном участке миелина, вызывая в этом месте сосудистые воспалительные процессы.
Диагностика рассеянного склероза

Воспаление сосудов возникает не сразу. Если активность вируса в настоящий момент невелика, и количество антител не в колоссальном количестве выброшено сразу в кровь, то процесс развития рассеянного склероза на этой стадии может приостановиться. Иногда даже развивается ре-миелинизация, то есть восстановление миелина в этой части. В этот момент клинические симптомы рассеянного склероза исчезают. Человек опять чувствует себя здоровым. Такая фазовость болезни и быстро проходящая симптоматика - одна из характерных особенностей рассеянного склероза.
Время латентного периода от начала заболевания до уже бурной клинической картины иногда составляет от 5 до 10 лет. В это время человек уже болен, но организм еще сам как-то умудряется справляться с этим демиелинизирующим состоянием. Поэтому в латентной форме диагностика рассеянного периода по симптомам не возможна. Признаки рассеянного склероза будут видны только на МРТ головного мозга с контрастным усилением. А раннее выявление данного недуга крайне важно в его успешной терапии замедления и продления качества жизни. Если человек не получает специфического лечения на ранних этапах, демиелинизация набирает скорость, количество антител увеличивается, поражения миелина становятся более глубокие, и в этих участках уже образуются склеротические бляшки.
Какую МРТ сделать при подозрении на рассеянный склероз
Признаки рассеянного склероза выявляют во время проведения МРТ головного мозга. Делать такое обследование нужно на высокопольном томографическом аппарате мощностью индукции не менее 1,5 Тесла, чтобы шаг сканирования был не более 2 мм. Тогда диагносты не пропустят даже самых мелких очагов возникновения РС. В идеале МРТ головного мозга при подозрении на рассеянных склероз проводят с контрастированием. Инъекция красящего препарата максимально увеличивает контрастность тканей, а по характеру накопления и отдаче контраста врачи могут судить о том, являются ли очаги поражения рассеянным склерозом или другой формой демиелинизирующих заболеваний.
Рассеянный склероз на МРТ без контраста будет виден только своими крупными очагами на поздней стадии, когда есть уже клинические проявления. Также при нативном протоколе сканирования его можно спутать с другими патологическими состояниями. На МРТ снимках очаги, указывающие на демиелинизацию, могут иметь совершенно разный генезис. Например, это может быть:
- нейроинфекции
- отравление токсическими веществами
- резидуальный фон, например, перенесенные вирусные инфекции матери во время беременности.
Причин для картины демиелинизации, схожей с рассеянным склерозом, много, и особенно в латентной форме, его легче всего распознать и дифференцировать на МРТ с контрастированием.
Как часто нужно делать МРТ при рассеянном склерозе
В МРТ диагностике рассеянного склероза специалистам очень критично оценить динамику процесса. Соответственно, одного МРТ исследования головного мозга недостаточно. Поэтому неврологи часто дают направление не серию обследований. Делается первое контрольное исследование, а затем повторное МРТ исследование через 3-6 месяцев. Серия томографий может доходить до 4-5 процедур в течение 1,5-2 лет. Здесь для точности интерпретации важно проводить диагностику на одном и том же аппарате, чтобы технические особенности поля томографа не повлияли на качество оценки снимков. По серии МРТ головного мозга медики будут искать признаки диссеминация во времени и в количестве очагов РС.
МРТ спинного мозга при рассеянном склерозе
Дебютирует рассеянный склероз в подавляющем большинстве случаев в тканях головного мозга, но со временем, прогрессируя, его очаги проникают и в спинномозговые структуры. Поэтому при подозрении на этот недуг невропатологи назначают не только МРТ головного мозга, но и МРТ спинного мозга. Магнитно-резонансное исследование спинного мозга при рассеянном склерозе проводят по протоколу с контрастным усилением. Обычно очаги демиелинизации в зоне спинного мозга очень мелкие, и врачам нужно контрастное усиление, чтобы их визуализировать.
Видно ли на МРТ рассеянный склероз
Квалифицированный невролог Вам честно скажет, что для выставления диагноза рассеянный склероз одного МРТ исследования головного мозга все-таки недостаточно, но без него не обойтись. Рассеянный склероз - это грозная аномалия, и диагносты медицинских центров стремятся понаблюдать за больным, прежде чем поставить такой диагноз. Для точной диагностики РС необходимо наличие в комплексе:
- специфических жалоб
- специфического анамнеза
- клинической картины
- изменений в неврологическом статусе
- наличие изменения по МРТ головного мозга
- данные анализа крови - олигоклональный IgG в ликворе и сыворотке крови.
Только комплекс данных признаков позволяет говорить с достаточно высокой долей вероятности о наличии диагноза рассеянного склероза.
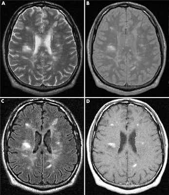
МРТ картина рассеянного склероза
Признаки рассеянного склероза на МРТ головного мозга манифестируют себя следующим образом:
- появлением новых очагов и увеличением старых;
- во время обострения проведение МРТ головы с контрастом будет приводить к тому, что очаги демиелинизации будут накапливать контраст причудливым кольцевым способом.
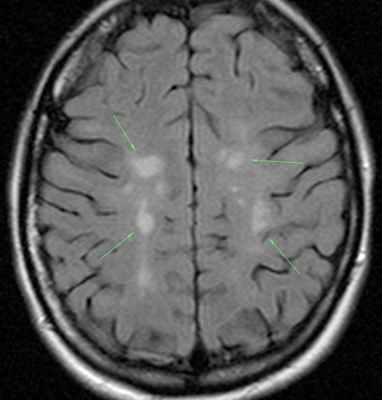
Как выглядит рассеянный склероз на МРТ фото?
| МРТ здорового головного мозга | признаки РС на МРТ головного мозга |
![]() |
Рассеянный склероз симптомы
Рассеянный склероз поражает мозговые структуры головы и позвоночника. Поэтому у пациента могут развиваться самые разные симптомы:
- дефекты чувствительности, например, утрата тактильности, покалывания, жжение
- появление мышечного дефанса, вялость в тонусе, слабость в руке и в ноге
- сбои в зрительной функции
- нарушение мочеиспускания.
ВНИМАНИЕ! При обострении рассеянного склероза симптомы появляются и держатся более суток, а потом резко исчезают. Это важный признак, который является основанием для обращения к неврологу .
Симптоматика рассеянного склероза у каждого пациента имеет уникальную комбинацию, продиктованную локацией участков поражения. Кроме того, проявлений РС может подолгу не быть, или они могут появляться спонтанно и спорадически в самое разное время. Эти же симптомы также могут быть вызваны и другими заболеваниями, поэтому не стоит сразу списывать каждое изменение своего состояния с этим недугом. Чтобы четко диагностировать рассеянный склероз, нужно сделать МРТ головного мозга с контрастом и с его результатами записаться на прим к неврологу.
Причины возникновения рассеянного склероза
До сих пор в медицине нет единого мнения о причинах возникновения рассеянного склероза. Была установлена практически не вызывающая сомнения роль вируса герпеса в развитии данного демиелинизирующего заболевания. Герпес - очень большая группа так называемых замедленных вирусов. Еще в юном возрасте, когда дети болеют детскими инфекциями, такими, как корь, паротит, краснуха, происходит снижение иммунного барьера. Именно в это время ребенок подвержен проникновению вируса-герпеса в организм. Долгие годы он сидит инкогнито в нашем теле, и только когда человек достигает уже взрослого возраста, возникает вторичный иммунодефицит, вирус может реактивироваться и вызывать развитие клиники рассеянного склероза.
Вторая причина, которая обусловливает развитие рассеянного склероза, это генетическая предрасположенность миелина к разрушению. По непонятным пока причинам у некоторых людей действительно есть склонность к более быстрому разрушению миелина в теле, чем обычно. Считается, что рассеянный склероз не является наследственной патологией, но бывают ситуации, когда несколько членов семьи страдают таким демиелинизирующем расстройством.
Третья причина - это географический фактор. Было отмечено, что наибольшее число случаев рассеянного склероза регистрируется в странах с холодным и влажным климатом, поэтому жители Санкт-Петербурга находятся в зоне риска этой патологии по климатическому показателю.
Какое обследование нужно пройти при рассеянном склерозе?
Постановка диагноза рассеянный склероз занимает время - обычно это 2 года. Триада обследований, которые нужно для финальной диагностики РС, включает в себя:
- серия МРТ головного мозга с контрастом и МРТ спинного мозга с контрастом. Обычно их делают с периодичностью 3-6 месяцев для оценки динамики возникновения очагов и бляшек.
- данные лабораторного анализа - олигоклональный IgG в ликворе и сыворотке крови
- консультация у невролога.
Что делать, если МРТ у Вас показал рассеянный склероз?
Только по МРТ диагнозу рассеянный склероз не ставится. Томограммы могут показать проявления мозговой диемилизации, и по характеру очагов и их локализации рентгенологи могут только предположить присутствие РС у пациента. Окончательную диагностику проводит врач невролог на базе истории болезни, жалоб от пациента, результатов лабораторных тестов и данных магнитно-резонансной томографии.
Какое МРТ нужно сделать при рассеянном склерозе?
Ваш невролог может рекомендовать сделать МРТ головного мозга и МРТ спинного мозга с контрастным усилением. Если стоит вопрос дифференциации рассеянного склероза от оптикомиелита (болезнь Девика), потребуется сделать МРТ глазных орбит.
Что пишут на МРТ при рассеянном склерозе в заключении?

Что является толчком к развитию РС?
Первичный толчок в развитии этого демиелизирующей патологии играет вирус герпеса, полученный в детстве в результате таких инфекционных заболеваний, как корь и краснуха. Когда происходит во взрослом возрасте снижение иммунного барьера, вирус реактивируется.
Лечение
Актуальность проблемы лечения рассеянного склероза вызвана тем, что этот недуг ведет к инвалидизации больных. Основная задача неврологов при лечении РС - сделать так, чтобы обострения наступали как можно реже, чтобы были более длительные ремиссии и, соответственно, позднее наступала инвалидизации.
Терапия рассеянного склероза в первую очередь определяется стадией, на которой в настоящий момент больной находится. Есть две стадии РС - фаза обострения и период ремиссии. Когда идет стадия обострения, есть ухудшение состояния пациента, практически все препараты, которые применяются на стадии ремиссии, больному противопоказаны. Когда вирус проник в организм, он это сделал на фоне иммуносупрессии. В организме начинается борьба между иммунной системой и вирусам, и развивается иммуноагрессия. Поэтому введение любых иммуномодуляторов может только ухудшить состояние больного. Лечение больных с рассеянными склерозом в период обострения проводится в стационаре. Каждому пациенту подбирается индивидуальная схема терапии.
В стадии ремиссии обычно назначают препараты, поддерживающие его иммунологический статус. Когда обострение РС снято, врачи должны начать меры по поддерживанию иммунитета, чтобы вирус опять не имел возможности ре-активироваться. Поэтому больные рассеянным склерозом постоянно на любой стадии вынуждены принимать те или иные препараты, и их жизнь становится медикозависимой. При правильном приеме препаратов ремиссию врачи могут продлить на 1-2 года.

- Завалишин, И.А. Рассеянный склероз. Избранные вопросы теории и практики / И.А. Завалишин. — М., 2000.
- Панов А.Г. Диагностика рассеянного склероза и энцефаломиелита/ А.Г.Панов, А.П. Зинченко. Л.:Медицина, 1970.
- Гусев Е.И., Демина Т А., Бойко А Н. Рассеянный склероз. М., Нефть и газ. 1997.
- Barkhof F. Роль магнитно-резонансной томографии в диагностике рассеянного склероза // в кн.: "Рассеянный склероз: клиническиеаспекты и спорные вопросы" под ред А. Дж. Томпсона, К. Полмана, Р.Холфельда. Санкт-Петербург, Политехника, 2001.
- Тотолян Н А. Рассеянный склероз: диагностика и лечение с позиции доказательной медицины. // Мир медицины. 2000. - № 5-6.
- Завалишин И.А. Рассеянный склероз: итоги и перспективы изучения. // Ж. неврол. и психиатр. 1982. - № 2.
- Хондкариан О.А. Рассеянный склероз/ О.А.Хондкариан, И.А.Завалишин, О.М.Невская-М.: Медицина, 1987.
Информационные статьи о диагностике
В клиниках Санкт-Петербурга томографию мозга проводят по двум основным протоколам - МРТ головного мозга без контраста (она же нативная магнитно-резонансная томография) и МРТ головного мозга с контрастным усилением. В 70% случаев бесконтрастного обследования достаточно для того, чтобы провести диагностику.

МРТ головного мозга при эпилепсии - это специальная программа сканирования, которая позволяет диагностировать причины этого пароксизмального состояния. Врачи определяют эпилепсию (альтернативное название - пароксизмальное эпилептическое расстройство) как хроническое заболевание головного мозга,

Сделать МРТ головного мозга в медицинских клиниках Санкт-Петербурга можно на магнитно-резонансных томографах мощностью от 0,2 до 3 Тесла открытой, полуоткрытой и закрытой конфигурации. Модель томографа влияет на то, как проходит томография головы с точки зрения скорости обследования; детальности МРТ снимка; необходимости помещения пациента в закрытое пространство.
Как диагностировать рассеянный склероз на МРТ
Именно с помощью МРТ рассеянный склероз возможно своевременно диагностировать и вовремя принять меры к лечению. Нынешние возможности медицины позволяют заметно снизить тяжесть заболевания и количество обострений

Для начала стоит отметить, что рассеянный склероз – это серьезная болезнь, требующая постоянного внимания и контроля, а не просто рассеянность и забывчивость, как полагают многие. При этом заболевании внешние симптомы сопровождаются поражением оболочки из миелина, которой покрыты нервные волокна мозга (головного, спинного). Именно с помощью МРТ рассеянный склероз возможно своевременно диагностировать и вовремя принять меры к лечению. Нынешние возможности медицины позволяют заметно снизить тяжесть заболевания и количество обострений, но для этого нужна качественная диагностика.
Жителям наших широт следует быть особенно внимательными к своему здоровью, так как эта болезнь и её степень распространенности, как считают эксперты, во многом зависит от места проживания человека. Чем «выше» градус географической широты – тем больше вероятность заболевания рассеянным склерозом. Больше всего «шансов» заполучить эту болезнь у людей, живущих на 30-й параллели и выше на север. Таким образом, в зону повышенного риска попадают все граждане Украины. И, кстати, жители европейских стран страдают рассеянным склерозом чаще, чем живущие в различных странах Азии. Практически не рискуют заболеть жители экваториальной Африки, Малайзии, Эквадора и Колумбии.
Как диагностировать рассеянный склероз на МРТ?
МРТ при рассеянном склерозе или подозрении на эту болезнь проводится несколько раз, чтобы поставить точный диагноз, выявить масштабы поражения нервных волокон, а также контролировать эффективность принимаемых лечебных мер. При таком обследовании обычно задействуется контрастное вещество с содержанием гадолиния (гадодиамид, магневист, гадовист, омнискан, прочие). Вводится контраст в этом случае внутривенно.
Уточним, что рассеянный склероз МРТ диагностика устанавливает таким же способом, как и прочие диагнозы: путем интерпретации данных, полученных при воздействии магнитным полем на атомы водорода, находящиеся в организме у человека. Так как миелиновый слой – это жировой слой, то он обладает водоотталкивающими свойствами. Там же, где данный слой поврежден, водоотталкивающего эффекта не наблюдается. В итоге концентрация воды в местах повреждения выше, чем должна быть в норме.
Как делают МРТ:
- Вводят контраст (спецвещество).
- Помещают пациента в томограф.
- Располагают обследуемые части тела под кольцевым сканером.
- Снимают и визуализируют показания.
Поэтому, когда пациенты задают вопрос, видно ли на МРТ рассеянный склероз, то можно дать вполне конкретный ответ. Зоны поражения отображаются как ярко-белое пятно либо затемненная область. Вариант визуализации зависит от типа МРТ, который вам подберут индивидуально.
Что покажет МРТ при рассеянном склерозе

МРТ головного мозга с использованием контрастного усиления является важным методом ранней диагностики рассеянного склероза. Ее данные позволяют определить фазу патологического процесса (обострение или ремиссия), клинические варианты заболевания, оценить состояние гематоэнцефалического барьера (ГЭБ) в разные периоды болезни и прогнозировать ее течение. Рассеянный склероз - это тяжелый, ведущий к полной инвалидности недуг нервной системы. Рассеянный склероз относят к аутоиммунным заболеваниям, при которых иммунная система человека начинает вырабатывать антитела к собственным тканям и органам как к чужеродным элементам. Если болезнь неуклонно прогрессирует, без должного лечения человек за достаточно короткое время утрачивает способность двигаться, разговаривать, контролировать работу органов выделительной системы.
Врачам до сих пор не удалось прийти к единому мнению в отношении причин этой патологии. Достоверно известно, что иммунная система человека действует избирательно, атакуя только некоторые ткани и органы человеческого организма, которые до этого были видоизменены бактериями, вирусами или врожденными патологиями. При этом иммунная система поражает не только поврежденные, но и абсолютно здоровые клетки, сочтя их присутствие нежелательным. Такая схема поведения иммунной системы является характерным для абсолютно всех аутоиммунных недугов, включая рассеянный склероз и болезнь Бехтерева.
БЕСПЛАТНАЯ
КОНСУЛЬТАЦИЯ О ДИАГНОСТИКЕ
Если сомневаетесь, запишитесь на бесплатную консультацию.
Или проконсультируйтесь по телефону
Симптомы
Симптомы рассеянного склероза включают в себя следующие проявления:
- слабый тонус мышц конечностей и ухудшение координации движения
- ухудшение зрения (преимущественно на один глаз), появление «сеточки» перед глазами, мерцания или периодических вспышек
- нарушение работы выделительной системы, импотенция
- сильные мигрени, помутнение сознания, расстройства памяти.
Однако следует помнить, что о вероятности рассеянного склероза стоит говорить только при одновременном появлении нескольких типичных симптомов. По отдельности ни один из вышеперечисленных признаков не может служить надежным индикатором в деле диагностирования данного заболевания. Также следует отметить, что начальные признаки этого заболевания могут проявиться задолго до того, как пациент ощутит стойкое ухудшение своего самочувствия. В большинстве случаев между первыми тревожными сигналами и постановкой диагноза проходит не менее 2-3 лет. Причина этого кроется в том, что очень часто начальные проявления рассеянного склероза принимаются за переутомление на работе, проявления вегетососудистой дистонии, индивидуальной метеочувствительности. Если эти симптомы не причиняют пациенту особых неудобств, то он просто забывает о них, не считая нужным обратиться к врачу-неврологу. Итак, вот сигналы, которые могут свидетельствовать о начале рассеянного склероза:
- Хроническая усталость, проявляющаяся в виде резкого снижения работоспособности и сонливости. Также могут наблюдаться мышечная слабость и снижение концентрации внимания.
- Внезапные и беспричинные головокружения, происходящие при отсутствии признаков нарушения кровоснабжения головного мозга и на фоне нормального уровня сахара в крови.
- Нарушения зрения. Часто теряется способность к нормальному восприятию цветов. Пациенты жалуются на то, что окружающие их предметы стали недостаточно яркими.
- Чувствительность к перепадам температур. Переохлаждение или нахождение в сильно нагретом помещении может спровоцировать резкое ухудшение самочувствия.
- Ухудшение мелкой моторики. Ухудшается почерк, становится сложно выполнять мелкую работу.
Фазы заболевания
Рассеянный склероз — это хроническое заболевание, которое характеризуется чередованием периодов ремиссии и обострения. В период обострения пациент испытывает ухудшение самочувствия и усиление симптомов болезни. В период ремиссии состояние больного улучшается, а утраченные ранее функции частично восстанавливаются. У разных пациентов это заболевание протекает по индивидуальному сценарию, который будет зависеть от особенностей организма. Врачи выделяют несколько характерных сценариев протекания этого заболевания:
- Ремиттирующий – периоды обострения, когда больной утрачивает часть функций, сменяются периодами улучшения. При этом утраченные ранее функции могут возвращаться полностью или же отчасти.
- Первично-прогрессирующий – пациенту становится все хуже и хуже. Ремиссии крайне редки и непродолжительны.
- Вторично-прогрессирующий – болезнь развивается скачкообразно. Приступы нарастают. С каждым последующим приступом человек утрачивает все больше функций своего организма.
- Прогрессирующий с обострениями – изначально наблюдаются поступательное угасание функций после каждого периода обострений.
Диагностика рассеянного склероза при помощи МРТ
Диагностика РС основывается на типичных клинических проявлениях, но также требует привлечения дополнительных инструментальных и лабораторных методов исследования. Наиболее верным способом подтверждения или опровержения диагноза склероз будет проведение магнитно-резонансной томографии головного мозга. Рассеянный склероз выявляется на МРТ с контрастным усилением очень точно и безошибочно. Все стадии рассеянного склероза будут четко видны на снимках, полученных в ходе томографии головы, что позволяет считать это исследование основным и проверенным способом диагностики при данном заболевании.
Поводом для проведения МРТ головного мозга при диагностике рассеянного склероза являются:
- наличие одного очага поражения ЦНС при двух и более клинических атаках заболевания;
- выявление двух и более очагов поражения ЦНС;
- дифференциальная диагностика с прогрессирующими мультифокальными заболеваниями мозга.
При некоторых формах рассеянного склероза дополнительно проводят МРТ спинного мозга. Дело в в том, что очаговое поражение шейного отдела спинного мозга по данным МРТ регистрируется у большинства пациентов с рассеянным склерозом (80%) чаще, чем поражение грудного отдела (35%), в поясничном отделе не наблюдается. МРТ-миелография шейного и грудного отдела позвоночника позволяет сопоставить степень очагового поражения, атрофии головного и спинного мозга с выраженностью неврологического дефицита, тем более, что очаги демиелинизации в спинном мозге, прежде всего в шейном отделе, возможно, отражают прогрессирование заболевания и большую инвалидизацию больных.
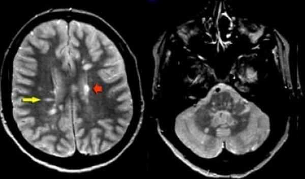
Признаки рассеянного склероза на снимках МРТ головного мозга
Первыми клиническими признаками, которые должны нацелить пациента пройти томографию, могут быть онемение и слабость конечностей, странное чувство, что “отлежали» руку или ногу”, “не моя рука, нога”. В случае появления такого устойчивого симптома стоит обратиться к неврологу и пройти МРТ головного мозга по протоколу режим Т1 и Т2 - подозрение на диагноз рассеянный склероз с контрастным усилением.
На изображениях, получаемых посредством МРТ при рассеянном склерозе, диагност четко видит:
- более интенсивный сигнал, что на картинке выражено наличием очага или очагов
- общее количество очагов
- расположение очагов и их близость к важным структурам головного мозга.
Основные признаки РС:
- Обнаружение очагов демиелинизации в церебральных структурах является безусловным подтверждением диагноза PC.
- При спинальной форме PC на МРТ головного мозга выявляются множественные церебральные очаги, даже при минимальных клинических симптомах поражения головного мозга.
- Наиболее характерными MP-критериями стволовой формы PC является визуализация активных очагов в стволовых структурах, выраженные атрофические изменения и расширение ликворных цистерн.
- При ремиттирующих формах РС на ранних этапах отмечается наличие большего количества очагов крупных размеров, локализующихся в функционально значимых анатомических структурах, включающих ствол, мозжечок. На ранних сроках заболевания при этом типе течения наблюдается расширение желудочков и субарахноидальных цистерн.
Делать МРТ при симптомах рассеянного склероза стоит с некоторой периодичностью, которую определяет Ваш лечащий врач. Это связано с возможностью появления новых очагов, так как в ходе развития заболевания в патологический процесс вовлекаются все новые структуры головного мозга.
МРТ критериями обострения PC служат следующие признаки:
- образование новых и повторное появление исчезнувших очагов;
- увеличение в размерах уже существующих очагов.
| Здоровый мозг | Очаги рассеянного склероза на МРТ | Очаги рассеянного склероза на МРТ |
![]() |
Выявление рассеянного склероза при помощи МРТ обследования с контрастом
При рассеянном склерозе, как правило, МРТ процедуру проводят с применением контрастного вещества, поскольку очаги склероза носят специфично воспалительный характер, и рентгенологу надо дифференцировать их от возможной онкологии или патологий другого характера. Иногда используется методика двойной или тройной дозы контрастного увеличения. Считается, что диагностическая эффективность МРТ для определения активности рассеянного склероза увеличивается на 13 -15 процентов при использовании методик высокодозного контрастирования, а также при применении контрастных препаратов с концентрацией 1.0 ммоль/мл. По специфике накопления и распределения контрастного вещества врач может легко судить о типе образования. Например, при неповрежденном сосудистом барьере в головном мозге в ходе МРТ контрастное вещество не будет выходить за его пределы. Однако, если целостность сосудистого барьера нарушена, то на снимках МРТ будут видны окрашенные очаги рассеянного склероза, что дает возможность специалистам не только идентифицировать склероз, но и сделать вывод о стадии его развития.
Существуют и дополнительные протоколы сканирования, которые увеличивают диагностическую ценность обследования. Например, МРТ с использованием метода переноса намагниченности и диффузионно-взвешенная томография (ДВ-МРТ) способны предоставить важную информацию, касающуюся структурных изменений происходящих внутри и вне зон повреждений и тем самым более точно определять острые очаги. ДВ-МРТ обеспечивает контрастное изображение, основанное на движении молекул воды, которое может быть нарушено при патологии. Вследствие этого ДВ-МРТ играет ведущую роль в диагностике острого инфаркта мозга и при проведении дифференциальной диагностики острого инсульта и других заболеваний, проявляющихся острым неврологическим дефицитом. Использование МРТ методика с использованием переноса намагниченности повышает чувствительность томографии при патологических процессах, связанных с деструкцией клеточных мембран и изменением характера связи воды с белками. Наиболее чувствительной методика переноса намагниченности оказалась к изменениям белого вещества у больных демиелинизирующими заболеваниями.
Следует сказать, что процедура контрастирования абсолютно безопасна для пациента. Контраст вводится обследуемому внутривенно перед началом диагностического сеанса. Само вещество абсолютно безвредно для человека и достаточно быстро выводится из организма естественным путем.
Читайте также:


