Расслоение аорты
Добавил пользователь Владимир З. Обновлено: 27.01.2026

Аневризма аорты – локальное патологическое увеличение ее диаметра. Расслоение аорты – неполный разрыв или надрыв внутренней выстилки (эндотелия), после чего кровь под высоким давлением начинает распространяться между слоями стенки аорты, расслаивая ее. Очень часто эти две патологии тесно связаны, в таком случае говорят о расслаивающей аневризме.
Причины
Основная причина возникновения аневризмы и расслоения аорты – патология ее стенки на фоне атеросклеротического поражения. К сожалению, серьезность этой проблемы иногда недооценивается, что может быть связано с длительным отсутствием симптомов заболевания. Так как просвет аорты очень велик, то перекрытие ее атеросклеротической бляшкой невозможно, а вот деформация аорты, нарушение ее эластической функции (аорта пульсирует подобно другим артериям, но только сильнее) и окклюзия отходящих от аорты ветвей – очень тяжелые последствия атеросклероза со своими осложнениями в виде аневризмы и расслоения.
Длительные, в течение многих лет, большие и резкие перепады артериального давления также негативно отражаются на состоянии аорты, способствуя повреждению ее внутреннего слоя с последующим расслоением и образованием аневризмы.
Таким образом, атеросклеротическое поражение и артериальная гипертензия – наиболее распространенные факторы дестабилизации аортальной стенки.
Значительно реже аневризма и расслоение аорты возникают на фоне деструктивных инфекционных процессов как в самой аорте, так и в окружающих ее тканях и органах (например, гнойный медиастинит), при сифилисе, врожденных пороках развития аорты, травмах груди и брюшной полости, генетических заболеваниях (синдром Марфана).
Симптомы аневризмы и расслоения аорты
Аневризмы аорты, которые появились в результате врожденной, наследственной или перенесенной патологии и не связаны с расслоением сосудистой стенки, в большинстве случаев не имеют явных клинических признаков и представляют собой случайную находку.
Аневризмы больших размеров могут сопровождаться чувством распирания, тупой боли в спине, могут возникать симптомы сдавления соседних органов.
Более яркую и характерную клиническую картину имеет расслаивающая аневризма аорты. В момент надрыва внутренней аортальной стенки возникает резкая боль в груди, спине или пояснице (в зависимости от локализации повреждения). Эта боль кратковременная, но может вызвать рефлекторное падение артериального давления и обморок.
Спустя некоторое время пациента начинает беспокоить жгучая боль в груди с распространением на руки, шею, под лопатки, эта боль не снимется нитроглицерином, появляется сухой кашель, чувство нехватки кислорода, падает артериальное давление, возникает коллапс.
Если расслоение произошло в нижних отделах аорты, то боль отмечается в пояснице с иррадиацией в малый таз и ноги. Если расслоение затрагивает устья отходящих от аорты ветвей, наблюдаются симптомы нарушения кровообращения в соответствующих органах.
Обычно на этом этапе пациенты госпитализируются и подлежат экстренному оперативному вмешательству.
В случае полного разрыва стенки аорты – возникает массивное кровотечение и терминальный шок. К сожалению более 90% таких пациентов погибает.

Диагностика
Расслоение начальных отделов аорты может быть определено при помощи трансторакальной или чреспищеводной ЭХО-КГ.
Одним из наиболее достоверных методов диагностики всей аорты является аортография. Этот метод в режиме реального времени позволяет увидеть дефекты стенок аорты, образовавшийся в результате расслоения вторичный просвет и полость аневризмы. Если же место надрыва закрылось тромбом, то аортография может дать ложноотрицательный результат.
Этот недостаток может быть устранен после выполнения компьютерной томографии с контрастированием сосудов, которую можно выполнить в К+31.
Лечение аневризмы и расслоения аорты
За аневризмой малого размера, которая не беспокоит пациента, достаточно наблюдать. Большие аневризмы подлежат плановому удалению с последующей пластикой аорты.
В случае расслаивающей аневризмы аорты пациенту с обезболивающей целью вводится морфин для профилактики болевого шока и выполняется экстренное оперативное лечение, которое обычно заключается в иссечении пораженного участка аорты и установке на его место синтетического сосудистого протеза.
После подобных тяжелых операций Клиника К+31 помогает пройти курс реабилитационного лечения. Мы держим в фокусе здоровье, предлагаем пациентам свое активное участие в профилактике повторного расслоения аорты и возникновения аневризм.
Eurordis - Rare Disease Europe

День, когда мне был поставлен этот диагноз, буквально перевернул мою жизнь. Меня прооперировали, выполнив частичное протезирование дуги аорты и установив постоянный водитель ритма, который на 99% контролирует работу моего сердца.
Расслоение аорты (расслаивающая аневризма аорты) – это редкое заболевание, представляющее серьезную угрозу для жизни, при котором происходит разрыв внутреннего слоя стенки аорты, и кровь течет между внутренним и внешним слоями стенки аорты, приводя к разрыву внешнего слоя.
До 2009 года считалось, что расслоение аорты, как правило, связано с синдромом Морфана или высоким кровяным давлением. В 2009 году были проведены исследования, которые позволили сделать вывод о том, что это заболевание часто носит наследственный характер (вы можете посмотреть выступление врача-исследователя Дианы Милевич на конференции TEDx, в котором она рассказывает, как ей удалось это установить). После того как у меня выявили расслоение аорты, я начал изучать медицинскую историю своей семьи и выяснил, что один из моих дядей умер от этого заболевания. Сейчас я принимаю участие в проводимом Дианой Милевич исследовании генов, отвечающих за возникновение расслаивающей аневризмы аорты.
Мне поставили диагноз три года назад. Операция прошла успешно, и я быстро пошел на поправку. Конечно, моя жизнь сильно изменилась – я больше никогда не смогу работать, мне противопоказаны большие физические нагрузки, я должен постоянно принимать лекарства и регулярно проверять состояние аорты и артерий. Дважды в неделю я выполняю комплекс реабилитационных упражнений в местной поликлинике. Каждый день я принимаю девять разных лекарств, которые позволяют мне чувствовать себя относительно нормально. Побочным эффектом является быстрая утомляемость. Мы завели собаку, и я каждый день выхожу с ней гулять. Сначала я с трудом преодолевал несколько сот метров, но теперь в хорошую погоду могу пройти 3-5 километров.
Помимо лекарств и упражнений я посещаю психотерапевта, для того чтобы научиться справляться со страхом перед неизвестностью и жить одним днем, не строя планов на отдаленное будущее.
На сегодняшний день выявлено более 6000 редких заболеваний, и расслоение аорты – лишь одно из них. Сегодня, когда прооперированные в срочном порядке пациенты просыпаются после наркоза, им сообщают, что у них обнаружено редкое заболевание. Пациентам с расслоением аорты говорят, что им повезло, и они практически вернулись с того света. Затем доктор объясняет им характер их заболевания. Правда, большинству больных сложно запомнить услышанную в реанимации информацию. Меня выписали, не дав мне никакой информации о моем заболевании и никаких прогнозов на будущее. В такой ситуации оказываются многие пациенты с редкими заболеваниями. Именно поэтому так важно создавать пациентские организации, которые оказывают необходимую поддержку людям, живущим с редкими заболеваниями.
Контакты с другими пациентами
При поддержке врачей 17 пациентам с расслоением аорты из Швеции и Дании удалось создать группу в Фейсбуке. Затем мы основали Скандинавскую ассоциацию пациентов с расслоением аорты, которая недавно стала коллективным членом EURORDIS. Мы уже провели несколько встреч в Гетеборге (Швеция). Это потрясающие мероприятия, собирающие вместе пациентов, их родственников и врачей, на которых некоторые участники впервые имеют шанс познакомиться с другим человеком, перенесшим это опасное для жизни заболевание.
Создание организации и осуществление социально значимых проектов имеют огромное значение для распространения информации о редком заболевании. Мы распечатали 10 000 брошюр и разослали их по университетским клиникам в скандинавских странах. Я думаю, что врачи и медсестры играют решающую роль в распространении информации о расслаивающей аневризме аорты. По нашим данным только полпроцента всех пациентов с расслоением аорты активно пользуются социальными сетями. Это означает, что для установления контактов с ними мы не можем рассчитывать исключительно на Фейсбук или LinkedIn. Помочь нам выйти на них могут только врачи, поэтому они являются основной целевой аудиторией нашей информационной кампании. Они смогут донести изложенную в брошюрах информацию до своих пациентов. Социальная сеть LinkedIn помогла нам связаться с хирургами и врачами, занимающимися лечением расслоения аорты.
При поддержке своего шведского друга Андерса, который также перенес расслоение аорты, я выступил инициатором проведения Всемирного дня распространения информации о расслоении аорты (19 сентября). Недавно я принял участие в проведении вебинара RareConnect по организации дня редких заболеваний. Я также являюсь модератором онлайн-сообщества пациентов с расслоением аорты на базе платформы RareConnect.
Вот вы и познакомились с моей историей. Я могу сказать, что болезнь научила меня больше ценить жизнь. Я благодарен своей семье, друзьям и природе за каждый прожитый мною день и за оказываемую помощь. Раньше я принимал все это как само собой разумеющееся, а сегодня я счастлив, что живу и ощущаю их поддержку.
Eva Bearryman, Junior Communications Manager, EURORDIS
Translation: Lingo 24
Расслаивающая аневризма аорты
Расслаивающая аневризма аорты - это состояние, характеризующееся разрывом внутренней стенки артерии.
4.20 (Проголосовало: 5)
Расслаивающая аневризма аорты - это состояние, характеризующееся разрывом внутренней стенки артерии (интимы) с образованием ложного хода, который расширяется и сдавливает основной просвет артерии, уменьшая кровоснабжение нижележащих органов. В любой момент истончение стенки сосуда может привести к смертельному разрыву аорты.


Статистика аневризма
- Около 50% пациентов с расслоением аорты без лечения умирают в течение 48 часов (риск смерти в течение первого часа при остром расслоении аорты равен 1%);
- В большом медицинском исследовании, включавшем 963 пациента с расслоением аорты (РА), 36% больных умерли в течение 48 часов, 71% в течение 2-х месяцев, 89% в течение 3-х месяцев и 91% в течение 6 мес.
Виды аневризм
Аневризмы различаются по:
- Вызвавшей их причине (атеросклероз, дегенеративные изменения стенки сосуда, травма, инфекции);
- Локализации (грудной, брюшной отдел аорты);
- Форме (веретенообразная, мешотчатая);
- Строению стенки (истинная, ложная);
- Наличию расслоения.
Классификация расслоения аорты по De Bekey
I тип – расслоение начинается в восходящем отделе и распространяется на большую часть сосуда
II тип - расслоение только восходящего отдела аорты
III тип – расслоение нисходящей грудной аорты:
- ограничено проксимальным отделом нисходящей грудной аорты;
- распространяется на супра- и инфраренальные отделы аорты.
Клиническая картина расслаивающей аневризмы аорты
- Острая стадия - 14 дней;
- Подострый период длится до 2 месяцев.
В клинической картине доминирует болевой синдром – 90%,который характеризуется внезапно возникшей постоянной высокоинтенсивной боли в середине грудной клетки, живота, межлопаточном пространстве или пояснице, мигрирующей при расслоении. При расслоении восходящего отдела аорты болевой синдром в грудной клетки может сочетаться с признаками инсульта (нарушение зрения, речи, возникновение парезов и параличей и др.). Также может встречаться наличие потери сознания, внезапной слабости или одышки.
Факторы риска развития расслаивающей аневризмы аорты
Что должно настораживать пациента в отношении расслоения:
- повышение артериального давления в анамнезе (гипертоническая болезнь);
- выявленная ранее при обследовании аневризма аорты, пороки аорты и аортального клапана, а также наличие данных состояний у родственников;
- высокий рост, деформация грудной клетки и другие характерные признаки синдрома дисплазии соединительной ткани;
- беременность (иногда возможно появление расслоения аорты у здоровых женщин во время беременности).
Диагностика аневризмы аорты
- После выяснение жалоб, сбора анамнеза и тщательного клинического осмотра, врач-кардиолог сможет заподозрить наличие у пациента аневризмы аорты. Но для подтверждения диагноза врачу потребуются дополнительные методы обследования.
- ЭКГ - экспресс метод оценки состояния электрической активности сердца, позволяющий в данном случае выявить гипертрофию миокарда как проявление гипертонической болезни, а также исключить наличие других острых заболеваний со схожей симптоматикой (острый инфаркт миокарда, перикардит, ТЭЛА).
- Ультразвуковые методы исследования – при наличии аневризмы восходящего отдела аорты (I и II тип расслоения) или наличия пороков аортального клапана достаточно информативным методом диагностики является ЭХО-кардиография (УЗИ-сердца).


При расслоении III типа проводится УЗИ брюшной аорты.

4. Ангиография (аортография) – является инвазивным методом исследования, позволяющим при помощи контраста визуализировать аорту и ее ветви. Этот метод обладает высокой диагностической ценностью, однако недостатком его является инвазивность (прокол сосуда), рентгеновское излучение, а также введение контраста, который может быть противопоказан при хронической почечной недостаточности;
5. МРТ, КТ аорты – является «золотым стандартом» диагностики аневризмы аорты и ее осложнений. Является дорогостоящим методом исследования и проводится в специализированных центрах.

Дифференциальная диагностика
- С приступ стенокардии или острым инфарктом миокарда (ЭКГ, ЭХО-КГ, анализ крови)
- Пороки сердца (ЭКГ, ЭХО-КГ)
- Скелетно-мышечная боль (ЭКГ, консультация кардиолога, при необходимости ЭХО-КГ или УЗИ-брюшного отдела аорты)
- Перикардит (воспаление сердечной сумки – ЭКГ, ЭХО-КГ, анализы крови)
- Желчная колика, панкреатит (УЗИ-брюшной полости, анализ крови)
- Тромбоэмболия легочной артерии (ЭКГ, ЭХО-КГ, анализы крови)
Лечение расслаивающей аневризмы аорты
Выбор метода лечения основан на определении размеров аневризмы и скорости расслоения, локализации и распространенности процесса (тип аневризмы). Так консервативная (лекарственная) терапия эффективна при III типе расслоения, а хирургическое лечение при I-II типах.
Также консервативная терапия показана пациентам при любом типе расслоения аорты как начальный этап лечения, до момента проведения МРТ, КТ-аорты или аортографии. Основной целью терапии является замедление прогрессирования расслоения аорты и нормализация артериального давления.
Экстренное оперативное вмешательство показано при угрожающем разрыве аневризмы, быстро прогрессирующем характере расслоении, развития острой недостаточности аортального клапана или гемотампонады (накопление крови вокруг сердца, приводящее к его сдавлению). Хирургическая тактика заключается в удалении пораженного сегмента с протезированием искусственными материалами или малоинвазивное лечение с установлением эндопротеза:
- Протезирование аорты на «открытом» сердце;
- Малоинвазивное эндоваскулярное протезирование аорты.

Таким образом, совместная задача врача и пациента состоит в ранней диагностике столь опасного для жизни состояния, как расслаивающая аневризма аорты. Только своевременное обращение к врачу, особенно при наличии факторов риска, позволит значительно улучшить прогноз жизни при данном состоянии.
Аневризма аорты
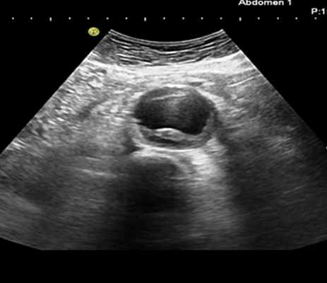
Аорта — это самый крупный, мощный кровеносный сосуд человеческого тела. Мощный, посему, казалось, его ничего «не берет». Тем не менее, аневризма аорты — бич современной кардиоваскулярной хирургии. В нормальном состоянии у взрослых женщин и мужчин диаметр просвета восходящей части аорты составляет около 3 см, нисходящей — 2,5 см, брюшного сегмента этого крупного сосуда еще меньше — 2 см. Диагноз аневризмы оглашают только в том случае, если диаметр пораженной аорты увеличивается в 2 и больше раза в сравнении с нормой.
Аневризма — это аномальная выпуклость, возникающая на стенках артерии. Стенки артерий достаточно толстые и прочные, мышечные волокна, из которых они состоят, позволяют выдерживать интенсивное давление крови. Однако при наличии слабого участка в стенке артерии давление вызывает распирание этого участка, таким образом формируется аневризма.

Аневризма аорты может развиваться в двух частях этой артерии:
- брюшная часть, проходящая через нижнюю часть брюшной полости — аневризма брюшной аорты;
- аневризма грудной аорты, развивающаяся в области грудной полости. Этот вид аневризмы встречается реже, однако оба вида одинаково опасны для здоровья и жизни человека.
В зависимости от внешнего вида аневризма может быть:
1. веретенообразной
2. мешковидной.
Небольшие аневризмы обычно не представляют никакой угрозы. Тем не менее, они способны увеличить риск: образования атеросклеротических бляшек в месте аневризмы, которые вызывают дальнейшее ослабление стенок артерии; образования и отрыва тромба, следовательно, повышения риска инсульта; увеличения размеров аневризмы, а значит, сжатия близлежащих органов, что вызывает болевые ощущения; разрыва аневризмы.
Основным осложнением аневризм любой локализации является их расслоение с последующим возможным разрывом (летальность — 90%).
Причины и факторы риска
Основными причинами аневризмы являются заболевания и состояния, способствующие снижению прочности и эластичности сосудистой стенки:
- атеросклероз стенки аорты (по различным данным, от 70 до 90%); воспаление аорты (аортит) сифилитического, гигантоклеточного, микотического характера;
- травматическое повреждение;
- врожденные системные заболевания соединительной ткани (например, синдром Марфана или Элерса — Данлоса);
- аутоиммунные заболевания (неспецифическийаортоартериит);
- ятрогенные причины, обусловленные лечебными манипуляциями (реконструктивные операции на аорте и ее ветвях, катетеризация сердца, аортография).

Факторы риска развития атеросклероза и образования аневризмы:
- мужской пол (частота встречаемости аневризм у мужчин в 2–14 раз выше, чем у женщин);
- курение (при скрининговой диагностике 455 человек в возрасте от 50 до 89 лет в отделении сосудистой хирургии Московского областного научно-исследовательского клинического института были выявлено, что 100% пациентов с аневризмами абдоминального отдела аорты имели стаж курения более 25 лет, а в результате Уайтхолльского исследования доказано, что жизнеугрожающие осложнения аневризм у курильщиков возникают в 4 раза чаще, чем у некурящих);
- возраст старше 55 лет;
- отягощенный семейный анамнез;
- длительная артериальная гипертензия (АД выше 140/90 мм рт. ст.);
- гиподинамия;
- избыточная масса тела;
- повышение уровня холестерина крови.
Также говорят о расслаивающей аневризме, формирующейся вследствие разрыва внутренней оболочки с последующим ее расслоением и образованием второго ложного канала для кровотока.
В зависимости от локализации и протяженности расслоения выделяют 3 типа патологии:
1. Расслоение начинается в восходящей части аорты, продвигается по дуге (50%).
2. Расслоение происходит только в восходящей части аорты (35%).
3. Расслоение начинается в нисходящей части аорты, продвигается вниз (чаще) или вверх (реже) по дуге (15%).
В зависимости от давности процесса расслаивающая аневризма может быть:
острой (1–2 дня от момента появления дефекта эндотелия);
подострой (2–4 недели);
хронической (4–8 недель и более, до нескольких лет).
СИМПТОМЫ АНЕВРИЗМЫ АОРТЫ
Аневризма аорты проявляется по-разному — главным образом это зависит от размеров аневризматического мешочка и его местонахождения (ниже — наглядная клиническая картина на примере аневризмы синуса Вальсальвы). В ряде случаев никаких симптомов не наблюдается вообще (в частности, до разрыва аневризмы, но это уже будет другой диагноз), что затрудняет заблаговременную диагностику.
Самые частые жалобы со стороны больных при аневризме восходящего фрагмента аорты:
боль в грудной клетке (в области сердца или за грудиной) — из-за того, что аневризматическое выпячивание надавливает на близко расположенные органы и ткани, а также из-за давления тока крови на истонченную и немощную стенку; одышка, усиливающаяся со временем; ощущение сердцебиения («Словно что-то колотится в груди» — комментарий пациентов); головокружение; при больших размерах аневризмы беспокоят атаки головных болей, отечность мягких тканей лица и верхней половины туловища — из-за развития так называемого синдрома верхней полой вены (потому как аневризма давит на верхнюю полую вену).
Для аневризмы дуги аорты характерны:
- затруднение глотания (из-за давления на пищевод);
- сиплость голоса, иногда покашливание — в случае, если аневризма давит на возвратный нерв, который «отвечает» за голос;
- внезапно увеличенное слюноотделение и редкий пульс — если давление распространяется на блуждающий нерв, контролирующий слюноотделение и частоту пульса;
- натужное дыхание, а позже и одышка в случае сдавливания трахеи и бронхов огромной аневризмой;
- односторонние пневмонии — если аневризма, давя на корень легкого, мешает его нормальной вентиляции, то, как следствие, возникает застой в легких, при присоединении инфекции перетекающий в воспаление легких.
При аневризме нисходящей части аорты появляются:
- боли в левой руке (иногда до самих пальцев) и лопатке;
- при давлении на межреберные артерии может развиться недостаточность кислородного питания спинного мозга, из-за этого неминуемы парезы и параличи;
- в случае постоянного длительного давления большой аневризмы на позвонки возможно даже их смещение;
- в более легких случаях из-за давления на межреберные нервы и артерии — боли, как при радикулите или невралгиях.
Самые частые жалобы при аневризме брюшного сегмента аорты:
- ощущение переполнения желудка и тяжести в эпигастрии (верхнем этаже живота), которое больной поначалу пытается объяснить перееданием или патологией желудка;
- отрыжка;
- в ряде случаев — рвота рефлекторного характера (появляется как реакция на давление аневризмы аорты на близко расположенные органы и ткани);
- при пальпировании прощупывается напряженное, похожее на опухоль пульсирующее образование. Иногда больные самостоятельно могут выявить у себя эту пульсацию.
ДИАГНОСТИКА АНЕВРИЗМЫ АОРТЫ И ЕЕ УСЛОЖНЕНИЙ
Аневризма аорты в период до разрыва имеет довольно скудные клинические проявления: шумы, которые слышны при аускультации; врач выслушивает не только грудную клетку, но и брюшную полость; опухолевидное пульсирующее образование, которое находят при глубокой, но осторожной пальпации (иногда в самом деле расценивается как опухоль, так как довольно плотное на ощупь); непонятный дискомфорт в месте образования аневризматического выпячивания.
Поэтому для уточнения патологии, пока она не «разродилась» опасными усложнениями, применяют инструментальные методы диагностики: рентгеноскопия и рентгенография грудной клетки и брюшной полости — при них визуализируется опухолевидное образование (его пульсацию видно при рентгеноскопии); эхокардиография — при подозрении на аневризму восходящей аорты; ультразвуковая допплерография (УЗДГ) — при признаках аневризмы других участков аорты; КТ и МРТ.
ЛЕЧЕНИЕ И ОПЕРАЦИЯ ПРИ АНЕВРИЗМЕ АОРТЫ
Если поставлен диагноз аневризмы, но не наблюдается ее прогрессирования — врачи берут на вооружение консервативную тактику: дальнейшее внимательное наблюдение сосудистого хирурга и кардиолога — контролирование общего состояния, артериального давления, пульса, повторное выполнение электрокардиографии и других более информативных методов, чтобы уследить за возможным прогрессированием аневризмы и вовремя заметить предпосылки для осложнений аневризмы; гипотензивная терапия — для того, чтобы уменьшить давление крови на истонченную стенку аневризмы; антикоагулянтное лечение — чтобы профилактировать образование кровяных сгустков и возможной последующей тромбоэмболии средних и мелких сосудов; снижение количества холестерина в крови (с помощью как медикаментозной терапии, так и диеты). К хирургическому вмешательству прибегают в таких случаях: большие по размеру аневризмы (не менее 4 см в диаметре) или при быстром увеличении размеров (на полсантиметра за полгода); осложнения, которые угрожают жизни пациента — разрыв аневризмы и другие; осложнения, которые хоть и не критичны с точки зрения летального исхода, но резко понижают качество жизни больного — например, надавливание на близлежащие органы и ткани, что вызывает болевой синдром, чувство одышки, рвоту, отрыжку и тому подобные симптомы.
ПРОГНОЗ ПРИ АНЕВРИЗМЕ АОРТЫ
Аневризма аорты — нозология, которая должна постоянно находиться под усиленным контролем со стороны врачей. Причина — возможные осложнения, которые в большинстве случаев угрожают жизни человека. Со временем морфологически аневризма прогрессирует (измененная стенка становится все тоньше и тоньше, выпячивание увеличивается). Жизнь и здоровье больному можно сберечь только благодаря тщательнейшему наблюдению за течением болезни и в случае необходимости — безотлагательному оперативному вмешательству.
ПРОФИЛАКТИЧЕСКИЕ МЕРЫ
Профилактика, благодаря которой можно предупредить возникновение аневризмы аорты у здоровых людей, неспецифическая (то есть, действенны не только в случае этой патологии) и включает в себя: полный отказ от курения; снижение норм алкоголя до уровня «только на праздники», а лучше полный отказ; занятия физкультурой и спортом; устранение факторов, вызывающих подъем артериального давления (стрессы, заболевания почек); излечение и предупреждение патологии, которая способствует образованию аневризмы аорты (атеросклероз); моментальная настороженность при внезапном, на первый взгляд необъяснимом появлении перебоев в работе сердца, ЖКТ и дыхательной системы и незамедлительное обследование у профильных специалистов, чтобы исключить аневризму аорты; регулярные качественные, а не для «галочки», профосмотры у сосудистого хирурга и кардиолога. Если аневризма аорты уже имеется в наличии, профилактические мероприятия показаны для того, чтобы предупредить усложнения этого заболевания: грамотно подобранная антикоагулянтная терапия, чтобы предотвратить образование тромбов в просвете аневризмы; значительное снижение физнагрузок — иначе они могут вызвать перенапряжение истонченной стенки аневризмы, что обернется ее разрывом; иногда необходим полный отказ от физических нагрузок до того момента, пока врач уточнит диагноз и оценит риск; антигипертензивное лечение — благодаря ему удается избежать нарастания давления тока крови на истонченную стенку аневризмы, которая может разорваться в любой момент; тщательный психологический контроль — у некоторых пациентов к разрыву аневризмы аорты подталкивали даже незначительные стрессовые ситуации.
Расслоение аорты (расслаивающая аневризма аорты)
Вы ищете подробную информацию и специалиста в области хирургии расслаивающей аневризмы аорты? Здесь вы найдете исключительно опытных врачей и клиники в области диагностики и лечения расслоения аорты типа А или типа B. Узнайте о симптомах, признаках, диагностике и хирургическом лечении данного заболевания, а также свяжитесь с нашими сосудистыми хирургами.

Специалисты и клиники в Германии, Швейцарии и Австрии

Проф., д-р мед. наук Эрнст Вайганг, МВА
Сосудистая хирургия
Берлин

Проф. д-р мед. наук Александр Циммерманн
Сосудистая хирургия
Цюрих

Проф. д-р мед. Юрг Шмидли
Сосудистая хирургия
Берн
Информация о лечении в Германии, Швейцарии и Австрии
Определение: Что такое расслоение аорты?

Расслоение аорты является заболеванием опасным для жизни, поскольку оно может привести к разрыву сосуда и острому нарушению кровообращения в органе. Мужчины страдают от данного заболевания в десять раз чаще, чем женщины. При этом наблюдается расщепление слоев стенки сосуда. При отсутствии лечения около половины случаев данного неотложного состояния в течение 48 часов заканчиваются смертью. Человек чувствует внезапную сильную боль.
Кровеносные сосуды отвечают за транспорт крови по всему организму. Различают кровеносные сосуды, идущие от сердца (артерии) и приходящие к нему (вены). Аорта является самой крупной артерией в человеческом организме. Из левого желудочка обогащенная кислородом кровь поступает в аорту. Аорта сначала поднимается вверх, затем делает изгиб над сердцем с левой стороны тела и далее проходит слева от позвоночника через область груди и живота вниз. От аорты кровь поступает в более мелкие разветвленные артерии. Вся кровь сначала проходит через аорту, а затем уже поступает к голове, рукам и ногам.
Причины: Как возникает расслоение аорты?
Стенка кровеносных сосудов имеет три слоя: интиму, медию и адвентицию (от внутренней оболочки к внешней). Если речь идет о расщеплении внутреннего слоя (интимы), кровь начинает затекать в полость, образованную интимой и медией. Через данную трещину под давление кровь проталкивается дальше между слоями. Так полость еще больше расширяется в продольном направлении. Размер щели, возникающей при расслоении аорты, может варьироваться от нескольких миллиметров до нескольких сантиметров.
Различают расслоение аорты типа А и типа B. Данная классификация основывается на локализации трещины. При типе А расслоение стенки сосуда происходит в восходящей части аорты и дуги аорты при наличии или отсутствии расщепления в ее нисходящей части. При типе B расщепление наблюдается в нисходящей части аорты, в грудной клетке или ниже. Данное различие имеет принципиальное значение в лечении.
Наиболее распространенными факторами, которые приводят к расслоению аорты, являются гипертонические болезни, атеросклероз и врожденные заболевания соединительной ткани. Атеросклероз на сегодняшний день является наиболее частой формой повреждения кровеносных сосудов. В народе он также известен как затвердевание артерий. В основе лежит воспалительная реакция стенки сосуда. К развитию атеросклероза, как правило, приводят несколько причин. Факторы риска включают высокое кровяное давление, курение, диабет, недостаток физических упражнений или расстройство липидного обмена. Мужчин данное заболевание поражает раньше, чем женщин. В целом, риск увеличивается с возрастом.
Врожденные заболевания соединительной ткани, такие как синдром Элерса-Данлоса или синдром Марфана, также способствуют возникновению расслоения аорты. При данных нарушениях происходит неправильное формирование соединительной ткани, что сказывается на ее низкой прочности во всем организме и в частности сосудах.
Кроме того, расслоение аорты могут спровоцировать происходящие в ней воспалительные процессы. Они бывают инфекционного или аутоиммунного характера. Злоупотребление наркотиками, особенно амфетамином, тоже относят к факторам, вызывающим расслоение сосудистой стенки, особенно у молодых пациентов.
Симптомы: Каковы признаки расслоения аорты?
Пациенты чувствуют внезапную, очень сильную боль. Она напоминает боль при разрывании или порезе. В зависимости от расположения трещины, боль локализуется в различных местах. Она может быть за грудиной или между лопатками, а также в спине с иррадиацией в брюшную полость. При прогрессировании заболевания боль способна мигрировать.
Помимо этого, существуют и другие симптомы расслоения аорты. Закупорка и сужение сосудов, которые отходят от аорты. Данные нарушения в исходящих из дуги аорты сосудах мозга приводят к расстройствам речи, одностороннему параличу конечности и потере сознания.
Если в результате расслоения аорты прекращается приток крови к спинному мозгу, наступает двухсторонний паралич конечностей. Не являются исключением и боли в животе, так как артерии, которые снабжают кишечник или почки, блокируются. В результате данного нарушения кровообращения также могут пострадать и конечности.
Диагноз: Как расслоение аорты обнаруживается?
В процессе постановки диагноза жалобы пациента имеют первостепенное значение. При наличии внезапной боли в груди, спине и животе, у врача должно появиться подозрение на расслоение аорты. Кроме того, о заболевании свидетельствует разница артериального давления между двумя руками, сердечные шумы или признаки нарушения кровообращения. При лабораторном анализе крови практически во всех случаях обнаруживается повышенный уровень D-димера.
Если есть подозрение на расслоение аорты, используют различные методы визуализации. Например, чреспищеводная эхокардиография, представляющая собой УЗИ сердца, при котором ультразвуковой зонд вводится через пищевод. Эффективность данного исследования зависит от умений и опыта врача. К другим способам диагностики данного заболевания относится ультразвук, контрастная компьютерная томография (КТ) и магнитно-резонансная томография (МРТ).
Терапия: Как проводится лечение расслоения аорты?
Медикаментозная терапия заключается в снижении кровяного давления и лечении боли.
Расслоение аорты типа А является неотложным состоянием и требует скорейшей операции. При этом пораженную часть аорты заменяют пластиковым протезом.
Тип B требует хирургического лечения только в случае осложнения. При этом также рассматривается вопрос об эндоваскулярном восстановлении стенки, то есть сосуд реконструируют с внутренней стороны (например, стентирование).
Какие врачи и специалисты занимаются диагностикой и лечением расслоения аорты?
Источники:
Поиск врача по области специализации
Наше правило
В PRIMO MEDICO вы найдете только авторитетные медицинские учреждения и специалистов, которые были выбраны в соответствии со строгими правилами. Опыт, инновационные методы лечения и репутация в области науки и исследований играют важную роль.
Помощь в поиске врача

Мы отправим ваш запрос соответствующему врачу
Мы будем рады помочь вам в выборе специалиста для ваших потребностей. Услуги PRIMO MEDICO всегда бесплатны и конфиденциальны для пациентов.
Читайте также:
