Рентгенография, КТ при интрамуральной доброкачественной опухоли желудка
Добавил пользователь Евгений Кузнецов Обновлено: 19.12.2025
Рентгенограмма, КТ, УЗИ, ПЭТ при раке желудка
а) Определение:
• Злокачественная опухоль, возникающая в слизистой оболочке желудка
б) Визуализация:
1. Общая характеристика рака желудка:
• Лучший диагностический критерий:
о Полиповидное или циркулярное образование с отсутствием перистальтики в области поражения (при рентгеноскопии)
• Морфология:
о Полиповидные, язвенные, инфильтративные поражения
2. Рентгеноскопия при раке желудка:
• Существуют три основных группы признаков, которые могут быть выявлены при рентгеноскопии верхних отделов ЖКТ:
о Злокачественная язва:
- Язвенная «ниша» неправильной формы
- Деформация или облитерация окружающих желудочных полей
- Узловатые, неправильной формы, булавовидно утолщенные, резко обрывающиеся складки, не доходящие до края язвенной ниши
- Язва не проецируется вне предполагаемого контура желудка (при виде сбоку)
о Внутрипросветное объемное образование
• Рак желудка часто бывает скиррозным:
о При локализации в антральном отделе может приводить к обструкции выходного отдела желудка:
- Необходимо обращать внимание на узловидно утолщенные складки и отсутствие перистальтики
о Пластический линит («кожаный мешок»):
- Уменьшенный в размерах желудок с отсутствием перистальтики и потерей способности к растяжению
- Изменения обусловлены диффузной инфильтрацией стенки желудка
о Псевдоахалазия: рак дна желудка может распространяться в дистальные отделы пищевода и разрушать миэнтерическое сплетение:
- В результате возникает обструкция пищевода, расширение его просвета, снижение перистальтики, что ошибочно можно принять за первичную ахалазию
- Отличительные признаки: наличие утолщенных складок, объемного образования в области дна желудка
(Слева) На рентгенограмме (кадр из рентгеноскопического исследования верхних отделов ЖКТ с двойным контрастированием) визуализируется объемное образование, обусловливающее дефект наполнения на фоне бариевой взвеси в положении пациента лежа на спине.
(Справа) На аксиальной КТ с контрастным усилением у этого же пациента определяется большое образование в области дна желудка, вызывающее сужение просвета. (Слева) На рентгенограмме, полученной при рентгеноскопии верхних отделов ЖКТ у мужчины 56 лет с жалобами на раннее насыщение и снижение веса, определяются узловидные, в значительной степени утолщенные складки в области всего тела и дна желудка, являющиеся проявлением рака.
(Справа) На аксиальной КТ с контрастным усилением у женщины 86 лет с жалоба ми на потерю веса и раннее насыщение, визуализируется желудок с утолщенными стенками и ограниченной растяжимостью. Обратите внимание на отчетливо выраженный переход между тонкой неизмененной стенкой желудка и участком злокачественной инфильтрации, имеющим мягкотканную плотность, характерную для злокачественной опухоли. (Слева) На аксиальной КТ с контрастным усилением определяется циркулярно расположенное объемное образование, суживающее просвет антрального отдела желудка. Неравномерное скопление газа и «зернистого» содержимого определяется в образовании антрального отдела, отражающее изъязвленную часть опухоли.
(Справа) На КТ (корональная реформация) в этом же случае визуализируется опухоль антрального отдела с наличием центральной язвы. При гастрэктомии подтвердился скиррозный циркулярный рак антрального отдела желудка с большой поверхностной язвой.
3. КТ при раке желудка:
• Первичная опухоль
• Использование негативных контрастных веществ (вода и газ) помогает визуализировать опухоль:
о Выглядит как полиповидное объемное образование с возможным изъязвлением
о Утолщение стенки на ограниченном участке с ее местной инфильтрацией или неровностью слизистой оболочки
о Язва характеризуется наличием углубления, заполненного газом, в образовании
о Инфильтративный рак проявляется утолщением стенки и отсутствием нормального «рисунка» складок:
- «Дымчатое» помутнение околожелудочных мягких тканей за счет распространения опухоли в перигастральную жировую клетчатку
о При скиррозном раке наблюдается выраженное контрастное усиление утолщенной стенки при КТ с динамическим контрастированием
о Муцинозный рак характеризуется снижением плотности утолщенной стенки за счет большого количества муцина; наличием кальцинатов
о Рак кардиального отдела: неравномерное утолщение за счет наличия мягкотканного компонента; объемное образование с неровными краями
• Гематогенные метастазы:
о В печень (37%), в легкие (16%), в кости (16%)
о В другие органы (головной мозг, надпочечники, плевра ит.д.) менее 10%
• Метастазы по брюшине:
о Часто происходит диссеминация опухоли в полости брюшины:
- Что проявляется злокачественным асцитом и наличием узлов или объемных образований в брюшине
о Опухоль Крукенберга: метастазы в яичниках в результате перитонеальной диссеминации опухоли:
- Вторичное поражение яичников гематогенным путем происходит реже
• Поражение околожелудочных лимфоузлов в результате лимфогенного метастазирования является типичной и ранней находкой:
о В зависимости от локализации первичной опухоли поражается та или иная группа лимфоузлов
о Чаще всего поражаются желудочно-печеночная связка, чревные и верхние брыжеечные лимфоузлы
о Околожелудочные лимфоузлы размером больше 6 мм, вероятно, являются пораженными опухолью
• Непосредственное распространение опухоли по связкам брюшины:
о В печень по желудочно-печеночной связке
о В селезенку по желудочно-селезеночной связке
о В поперечную ободочную кишку по желудочно-ободочной связке
4. УЗИ при раке желудка:
• Эндоскопическая ультрасонография:
о Используется для стадирования рака, оценки глубины инвазии стенки и поражения околожелудочных лимфоузлов
о Точность при определении Т стадии составляет 65-92%
5. Радионуклидная диагностика:
• ПЭТ/КТ при раке желудка:
о Перстневидноклеточный рак, низкодифференцированные и муцинозные опухоли могут не проявляться повышенным захватом ФДГ
о В некоторых исследованиях не было обнаружено преимуществ ПЭТ/КТ перед КТ при стадировании опухоли
6. Рекомендации по визуализации:
• Лучший метод диагностики:
о Рентгеноскопия верхних отделов ЖКТ с двойным контрастированием, КТ с контрастным усилением, эндоскопическая ультрасонография
• Выбор протокола:
о Растяжение желудка водой перед проведением КТ с контрастным усилением
о Мультипланарная реформация
(Слева) На аксиальной КТ с контрастным усилением у мужчины 77 лет визуализируется боль -шое объемное образование, инфильтрующее и вызывающее утолщение в области малой кривизны от кардиального отдела до привратника. Определяются также метастазы в печени и надпочечнике, наряду с регионарной лимфаденопатией.
(Справа) На аксиальной КТ с контрастным усилением у этого же пациента определяется поражение селезеночной вены, приводящее к ее сужению и появлению околожелудочных коллатералей. Обратите также внимание на вторичное поражение чревных лимфатических узлов. (Слева) На аксиальной КТ с контрастным усилением у женщины 77 года с жалобами на раннее насыщение, отсутствие аппетита и потерю веса, визуализируется растянутый желудок, суженный в антральном отделе, где его стенка утолщена. Инфильтрация околожелудочного жира наряду с увеличением лимфатических узлов означает распространение опухоли за пределы желудка.
(Справа) На рентгенограмме (кадр из рентгеноскопического исследования верхних отделов ЖКТ) у этой же пациентки визуализируется констриктивное образование антрального отдела желудка; определяются также признаки частичной обструкции выходного отдела желудка наряду с нарушением «рисунка» слизистой оболочки желудка. (Слева) На аксиальной КТ с контрастным усилением у женщины 81 года со снижением веса тела и ранним насыщением визуализируется мягкотканная инфильтрация стенки дистальных отделов желудка; имеется также подозрение на обструкцию выходного отдела, т. к. в желудке находится не прошедшая в дальнейшие отделы пища. Оцените неизмененную стенку желудка (для сравнения).
(Справа) На фотографии макропрепарата удаленного образца видна скиррозная, фиброзно измененная стенка желудка в зоне опухолевой инфильтрации.
в) Дифференциальная диагностика рака желудка:
1. Вариант нормы:
• Стенка желудка в области пищеводно-желудочного перехода часто выглядит утолщенной
• При растяжении желудка газом или жидкостью в положении пациента лежа на животе или лежа на левом боку определяется нормальная стенка желудка
2. Доброкачественная пептическая язва желудка:
• Округлая язва, окруженная гладким валом, обусловленным отеком, гладкие складки, сходящиеся в направлении края язвы
• Классическими изменениями являются линия Хэмптона, «воротник» язвы, язвенный «вал»
• Диагноз устанавливается на данных эндоскопической биопсии
3. Гастрит:
• Рентгеноскопия верхних отделов ЖКТ:
о Утолщение складок, поверхностные эрозии или язвы
• КТ:
о Подслизистое утолщение с плотностью воды (не мягких тканей)
• Гранулематозный гастрит (болезнь Крона):
о Узловое утолщение складок в антральном отделе
о Симптом «бараньего рога»: равномерное коническое сужение
4. Метастазы в стенке желудка и лимфома:
• Чаще всего в желудок метастазируют опухоли следующей локализации:
о Ободочной кишки, молочной железы, легкого, поджелудочной железы; а также злокачественная меланома:
- Метастазы могут быть отдельно лежащими объемными образованиями (например, метастазы меланомы) или диффузными, в т.ч. обусловливая изменения в виде пластического линита (например, метастазы рака молочной железы)
• Лимфома желудка (неходжкинская, В-клеточная):
о Желудок является наиболее часто поражающимся органом ЖКТ
о Лимфома обычно выглядит как циркулярно расположенное образование, не вызывающее обструкцию выходного отдела желудка
5. Гастроинтестинальная стромальная опухоль (ГИСО):
• Большое дольчатое подслизистое образование, возможно, с наличием кавитации
• Интрамуральная (50%), экзогастральная (35%), эндогастральная (15%)
6. Химический гастрит:
• В подострую или хроническую стадию изменения напоминают пластический линит
7. Панкреатит (внешнее воспаление):
• Утолщение стенки желудка, воспаление тканей возле поджелудочной железы
8. Болезнь Менетрие:
• Выраженное утолщение и дольчатость складок в области дна и тела желудка, обычно с щажением антрального отдела
(Слева) На рентгенограмме, полученной при рентгеноскопии верхних отделов ЖКТ у мужчины 82 лет с жалобами на снижение аппетита, раннее насыщение и потерю веса, визуализируется в значительной степени сокращенный и нерастяжимый желудок. Оцените положение пищеводно-желудочного перехода и привратника.
(Справа) На аксиальной КТ с контрастом у этого же пациента определяется констрикция желудка. Неожиданным является отсутствие признаков пери гастрального распространения опухоли и метастазов. Пациенту была выполнена тотальная гастрэктомия. (Слева) На рентгенограмме, полученной во время рентгеноскопии пищевода у женщины 80 лет с дисфагией, определяется умеренно выраженная дилатация пищевода и задержка его опорожнения в положении стоя. Просвет резко и неравномерно сужен в области пищеводно-желудочного перехода.
(Справа) На КТ (реформация в корональной плоскости) у этой же пациентки визуализируется большое объемное образование в области дна желудка, распространяющееся на кардиальный отдел и в дистальную часть пищевода. Этот случай является примером псевдоахалазии в результате рака желудка. (Слева) На аксиальном КТ срезе с контрастным усилением у этой же пациентки визуализируется больший объем раковой опухоли желудка, а также метастаз в печень.
(Справа) На томограмме, полученной при комбинированной ПЭТ/КТ, определяется выраженный захват ФДГ образованиями печени и желудка. По некоторым данным, комбинированная ПЭТ/КТ не превосходит КТ при предоперационном стадировании рака желудка.
г) Патология:
1. Общая характеристика:
• Этиология:
о Употребление с пищей большого количества нитратов и нитритов; соленые, копченые, консервированные продукты
о Факторы риска: Helicobacter pylori, атрофический гастрит, пернициозная анемия, аденоматозные полипы, болезнь Менетрие, резекция желудка (Бильрот 2), вторая группа крови, курение:
- Н. pylori обусловливает повышение риска в 3-6 раз, при пернициозной анемии риск выше в 2-3 раза
о Факторы внешней среды играют важную роль в развитии рака желудка
2. Стадирование, градация и классификация рака желудка:
• Стадирование рака желудка на КТ:
о I: Внутрипросветное объемное образование
о II: Внутрипросветное образование, утолщение стенки желудка более 1 см
о III: Поражение прилежащих структур и лимфатических узлов
о IV: Отдаленные метастазы
3. Макроскопические и хирургические особенности:
• Полиповидное, изъязвленное образование на ограниченном участке либо диффузная инфильтрация; реже встречаются множественные поражения
4. Микроскопия:
• Аденокарцинома высокой степени дифференцировки
• Перстневидноклеточная, папиллярная, тубулярная, муцинозная
• На ранних стадиях опухоль ограничена слизистой оболочкой и подслизистой основой
• На поздних стадиях поражается слизистая и подслизистая оболочка, а также мышечная пластинка
д) Клинические особенности:
1. Проявления рака желудка:
• Наиболее частые признаки/симптомы:
о Отсутствие желания принимать пищу, потеря веса, боль; заболевание может протекать бессимптомно
о Мелена; I левого надключичного лимфоузла (Вирхова)
• Лабораторные данные: гипохромная, микроцитарная анемия; положительная проба кала на скрытую кровь
• Диагноз устанавливается на основании эндоскопической биопсии и патоморфологического исследования
2. Демография:
• Возраст:
о Средний и пожилой
• Пол:
о М:Ж = 2:1
• Эпидемиология:
о В Северной Америке рак желудка является третьей по частоте злокачественной опухолью после колоректального рака и рака поджелудочной железы:
- В США рак желудка не столь типичен и встречается все реже; в то же время распространен в Японии, Чили, Финляндии, Польше, Исландии
о Аденокарцинома является самой часто встречающейся первичной опухолью желудка (95%)
3. Течение и прогноз:
• Осложнения:
о Обструкция выходного отдела желудка при раке антрального отдела
• Прогноз:
о Пятилетняя выживаемость:
- На ранних стадиях составляет 85-100%
- На поздних 3-21%
4. Лечение рака желудка:
• Лучевая и химиотерапия
• Хирургическое лечение: субтотальная резекция или гастрэктомия
е) Диагностическая памятка:
1. Следует учесть:
• Требуется дифференциальная диагностика с патологическими изменениями иного характера, которые могут проявляться аналогично раку желудка при лучевых методах исследования
• Для постановки окончательного диагноза требуется биопсия
2. Советы по интерпретации изображений:
• Опухоль может быть язвенной, полиповидной, инфильтративной (скиррозной), могут отмечаться регионарные или отдаленные метастазы
• Необходимо учитывать, что рак дна желудка может симулировать ахалазию при рентгеноскопии (-графии) пищевода:
о Опухоль обусловливает обструкцию пищевода, сужение его просвета, снижение перистальтики
• Нельзя ошибочно принимать утолщение в области пищеводно-желудочного перехода за опухоль:
о Для дифференциальной диагностики необходимо исследование с растяжением желудка в положении пациента лежа на животе или на левом боку
ж) Список использованной литературы:
1. Park К et al: Usefulness of combined PET/CT to assess regional lymph node involvement in gastric cancer. Tumori. 100(2):201 -6, 2014
2. Oya H et al: Curative surgery for gastric cancer of the elderly in a Japanese regional hospital. Hepatogastroenterology. 60(127):1673-80, 2013
3. Shen C et al: Improved quality of life in patients with adenocarcinoma of esophagogastric junction after gastric tube reconstruction. Hepatogastroenterology. 60(128):1985-9, 2013
4. Shen Y et al: Evaluation of early gastric cancer at multidetector CT with multipla-nar reformation and virtual endoscopy. Radiographics. 31(1): 189-99, 2011
Доброкачественные опухоли желудка
Доброкачественные опухоли желудка – это группа новообразований эпителиального и неэпителиального гистогенеза, исходящих из разных слоев желудочной стенки, характеризующихся медленным развитием и относительно благоприятным прогнозом. Могут проявляться болями в эпигастрии, симптомами желудочного кровотечения, тошнотой, рвотой. Основными методами диагностики являются рентгенография желудка и фиброгастроскопия, гистологическое исследование опухолевой ткани. Лечение заключается в удалении неоплазий эндоскопическим методом или хирургическим путем.
Общие сведения
Доброкачественные опухоли желудка составляют в современной гастроэнтерологии 2-4% от общего числа всех опухолевых новообразований органа. Опухоли желудка могут исходить из его слизистого, подслизистого, мышечного или подсерозного слоя; из эпителиальных, нервных, сосудистых, жировых структур. По типу роста различают эндогастральные новообразования (растущие в сторону просвета желудка), экзогастральные (растущие в сторону соседних органов) и интрамуральные (с внутристеночным ростом).
Причины
Причины развития доброкачественных опухолей желудка окончательно не выяснены. С точки зрения дисрегенераторной теории, развитие полипов может быть связано с нарушением регенерации слизистой оболочки желудка, дискоординацией процессов пролиферации и дифференцировки ее клеток при хроническом гастрите. Аденомы желудка возникают на фоне атрофического гастрита в результате перестройки желез и покровного эпителия, появления кишечной метаплазии.
Гиперпластические полипы развиваются при нарушении обновления и увеличения продолжительности жизни клеток, из-за избыточной регенерации покровно-ямочного эпителия. Также отмечено, что чаще всего полипы желудка возникают в зонах со сниженной секрецией соляной кислоты (нижняя треть желудка), у больных с гипо- и ахлоргидрией. Источником неэпителиальных опухолей может быть гетеротопированная эмбриональная ткань, сохранившаяся в слизистой оболочке при нарушении внутриутробного развития.
Классификация
В зависимости от происхождения доброкачественные новообразования желудка разделяются на эпителиальные и неэпителиальные. Среди эпителиальных опухолей встречаются единичные или множественные аденоматозные и гиперпластические полипы, диффузный полипоз. Полипы представляют собой опухолевидные эпителиальные выросты в просвете желудка с ножкой или широким основанием, шаровидной и овальной формы, с гладкой или грануляционной поверхностью, плотной или мягкой консистенцией.
Полипы желудка чаще всего возникают у лиц мужского пола в возрасте 40-60 лет, обычно располагаются в пилороантральном отделе. Ткани полипа представлены разросшимся покровным эпителием желудка, железистыми элементами и соединительной тканью, богатой сосудами. Аденоматозные полипы желудка - истинные доброкачественные опухоли из железистого эпителия состоят из папиллярных и/или тубулярных структур с выраженной клеточной дисплазией и метаплазией.
Аденомы опасны в плане малигнизации и часто приводят к развитию рака желудка. До 75% доброкачественных эпителиальных опухолей желудка составляют гиперпластические (опухолеподобные) полипы, возникающие вследствие очаговой гиперплазии покровного эпителия, имеющие относительно низкий риск озлокачествления (около 3%). При диффузном полипозе желудка выявляются и гиперпластические, и аденоматозные полипы.
Редко встречающиеся неэпителиальные доброкачественные опухоли формируются внутри желудочной стенки - в ее подслизистом, мышечном или подсерозном слое из различных элементов (мышечной, жировой, соединительной тканей, нервов и сосудов). К ним относятся миомы, невриномы, фибромы, липомы, лимфангиомы, гемангиомы, эндотелиомы и их смешанные варианты.
Также в желудке могут наблюдаться дермоиды, остеомы, хондромы, гамартомы и гетеротопии из тканей поджелудочной железы, дуоденальных желез. Неэпителиальные доброкачественные неоплазии чаще возникают у женщин и иногда могут достигать значительных размеров. Они имеют четкие контуры, обычно округлую форму, гладкую поверхность.
Лейомиомы – наиболее часто встречающиеся доброкачественные неэпителиальные опухоли могут оставаться в мышечном слое, расти в направлении серозной оболочки или прорастать сквозь слизистую желудка, приводя к изъязвлению и желудочному кровотечению. Неэпителиальные новоообразования желудка предрасположены к малигнизации.
Симптомы
В половине случаев полипы желудка протекают без клинических проявлений. Симптомы в основном определяются фоновым заболеванием (хроническим гастритом) и осложнениями (изъязвлением верхушки полипа, кровотечением, пролапсом полипа в двенадцатиперстную кишку и непроходимостью привратника). Боли при полипах желудка обусловлены воспалительным процессом в окружающей его слизистой оболочке, локализуются в эпигастральной области и имеют тупой, ноющий характер. Сначала они возникают после приема пищи, затем становятся постоянными.
Могут наблюдаться жалобы на горечь во рту, тошноту и отрыжку. При развитии непроходимости привратника - появляется рвота, при ущемлении полипа – начинаются схваткообразные боли в подложечной области и по всему животу. Изъязвление полипа приводит к умеренному желудочному кровотечению; при этом может выявляться кровь в рвотной массе, дегтеобразный стул, недомогание, бледность кожных покровов, анемия. Малигнизация полипов, как правило, происходит незаметно, поэтому подозрение должны вызвать отсутствие аппетита, похудание, нарастание общей слабости, диспепсические расстройства.
Клинические признаки неэпителиальных опухолей зависят от их локализации, характера и скорости роста, наличия изъязвления поверхности. Чаще всего неэпителиальные опухоли желудка сопровождаются кратковременными и постоянными болями, возникающими натощак, после приема пищи, при изменении положения тела. При невриномах болевой синдром сильный, жгучего характера. Изъязвление опухоли (особенно, гемангиомы) может вызывать скрытые или обильные желудочные кровотечения с угрозой для жизни больного.
При большом размере опухоли могут пальпироваться через переднюю брюшную стенку. Доброкачественные неэпителиальные неоплазии могут осложняться перитонитом при некрозе новообразований; острой или хронической непроходимостью привратника в случае ущемления в нем опухоли и ее злокачественным перерождением.
Диагностика
Диагностировать опухоли позволяют данные анамнеза, рентгенологического и эндоскопического исследований. На наличие полипов при рентгенографии желудка может указывать дефект наполнения, повторяющий очертания опухоли: четкие, ровные контуры, круглую или овальную форму, его смещаемость при наличии ножки или неподвижность – при полипе с широким основанием.
В случае полипоза желудка выявляют большое число разных по величине дефектов наполнения. Перистальтика стенок желудка при этом сохраняется. Признаки отсутствия перистальтики, увеличение размера, изменение формы, появление нечеткости контуров дефекта наполнения при динамическом наблюдении могут говорить о малигнизации полипа.
Диагноз уточняется при фиброгастродуоденоскопии (ФГДС), которая позволяет провести визуальный осмотр состояния слизистой оболочки желудка, распознавание и дифференциацию полипов от других заболеваний. Визуальная дифференциация доброкачественного полипа от малигнизированного затруднена. Обычно об озлокачествлении могут свидетельствовать наличие полипа размером более 2 см, с бугристой дольчатой поверхностью, неправильными изъеденными контурами. Для точного определения характера полипа во время ФГДС выполняется биопсия подозрительных участков с морфологическим исследованием биоптатов.
Диагноз неэпителиальной неоплазии в большинстве случаев можно установить только после операции и морфологического исследования данного новообразования. Наличие клинических проявлений (например, кровотечения) указывает на возможность опухолевого процесса. ФГДС более информативна при эндогастральном росте неэпителиальных опухолей. При интрамурально или экзогастрально расположенных новоообразованиях при эндоскопическом исследовании определяется сдавление желудка извне.
Рентгенография желудка при неэпителиальных объемных процессов помогает обнаружить округлые или неправильные контуры дефекта наполнения с сохранением перистальтики и складок на подслизистом слое; экзогастральный рост новообразования с оттягиванием стенки желудка; изъязвление с образованием ниши на верхушке опухоли и др. Для обнаружения экзогастральных опухолей могут быть использованы УЗИ и КТ брюшной полости.
Лечение доброкачественных опухолей желудка
Лечение патологии только хирургическое; метод оперативного вмешательства зависит от вида, характера опухоли и ее локализации. В отсутствии надежных критериев малигнизации необходимо проводить удаление всех выявленных новообразований. Основными методами удаления доброкачественных опухолей в настоящее время являются малоинвазивная эндоскопическая электроэксцизия (или электрокоагуляция), энуклеация, резекция желудка, редко – гастрэктомия.
Эндоскопическая полипэктомия проводится при небольших одиночных полипах, локализующихся в различных отделах желудка: при размере менее 0,5 см - прижиганием с помощью точечного коагулятора, при размере от 0,5 до 3 см - методом электроэксцизии. При крупных одиночных полипах на широком основании выполняют хирургическую полипэктомию (иссечение в пределах слизистой оболочки или со всеми слоями стенки желудка) с предварительной гастротомией и ревизией желудка.
При множественных полипах или подозрении на малигнизацию выполняют ограниченную или субтотальную резекцию желудка. После полипэктомии и резекции существует риск неполного удаления, рецидива и малигнизации опухоли, возможно развитие послеоперационных осложнений и функциональных расстройств. Гастрэктомия может быть показана при диффузном полипозе желудка.
Во время удаления неэпителиальных неоплазий проводится срочное гистологическое исследование опухолевых тканей. Небольшие новообразования, растущие в направлении просвета желудка, удаляют эндоскопически; инкапсулированные опухоли вылущивают методом энуклеации. Большие, труднодоступные эндо- и экзогастральные неоплазии удаляют методом клиновидной или парциальной резекции, при подозрении на малигнизацию - резекцию производят с соблюдением онкологических принципов. После операций показано динамическое наблюдение врача-гастроэнтеролога с обязательным эндоскопическим и рентгенологическим контролем.
Рентгенография, КТ при интрамуральной доброкачественной опухоли желудка
Рентгенограмма, КТ, МРТ, УЗИ, ПЭТ при гастроинтестинальной стромальной опухоли (ГИСО) желудка
а) Терминология:
1. Аббревиатура:
• Гастроинтестинальная стромальная опухоль (ГИСО)
2. Определение:
• Подслизистая опухоль ЖКТ, происходящая от интерстициальных клеток Кахаля
1. Общая характеристика:
• Лучший диагностический критерий:
о Подслизистое объемное образование с четкими контурами, характеризующееся экзофитным ростом за пределы ЖКТ
• Локализация:
о Чаще всего опухоль возникает в желудке (в 2/3 случаев)
о Тонкая кишка (особенно двенадцатиперстная) находится на втором месте по частоте поражения
о ГИСО может возникать в любом отделе ЖКТ
о Редко поражает пищевод:
- Для пищевода более типична лейомиома
• Размер:
о Может варьировать, большие опухоли могут достигать размера больше 5 см
• Морфология:
о Массивная опухоль дольчатой структуры с четкими контурами
о Часто обладает экзофитным типом роста, может содержать кистозные участки
2. Рентгеноскопия при ГИСО желудка:
• Верхние отделы ЖКТ:
о Округлое подслизистое экзофитное образование желудка
о В образованиях большого размера часто встречаются язвы:
- Некротически измененная центральная часть опухоли может заполняться бариевой взвесью
3. КТ при ГИСО желудка:
• КТ без контрастного усиления:
о В 25% выявляются кальцинаты
• КТ с контрастным усилением:
о Гипо- или гиперваскулярное образование в артериальную фазу контрастирования, подслизистое, с четкими контурами, часто с изъязвлением и некрозом:
- Чувствительность составляет 93%, специфичность 100%
о Опухоли, значительная часть которых располагается в просвете органа, могут имитировать рак желудка
5. УЗИ при ГИСО желудка:
• Серошкальное УЗИ:
о Гипоэхогенное объемное образование
• Цветовая допплерография:
о Кровоток в опухоли может быть выражен в различной степени
6. Радионуклидная диагностика:
• ПЭТ:
о Превосходит КТ в оценке раннего ответа на прием иматиниба (гливека):
- Очаги гиперметаболизма, интенсивно захватывающие ФДГ, отражают вероятную опухоль
- И первичную, и метастазы
о Чувствительность составляет 86%, специфичность 98%
7. Рекомендации по визуализации ГИСО желудка:
• Лучший метод диагностики:
о КТ с контрастным усилением, ПЭТ
• Выбор протокола:
о КТ выполняется после приема внутрь 450-900 мл воды с целью растяжения желудка
о Двухфазная КТ с контрастным усилением с целью полной визуализации печени:
- Объем контраста составляет 150 мл, скорость введения 4-5 мл/сек
- Артериальная фаза начинается на 40-й сек., венозная - на 70-й
о Мультипланарная реформация:
- Полезна при оценке размеров образования и определения его источника

(Слева) На аксиальной КТ с контрастным усилением визуализируется экзофитное объемное образование мягкотканной плотности, деформирующее дистальные отделы желудка и двенадцатиперстную кишку.
(Справа) На аксиальной КТ с контрастным усилением у этого же пациента определяется быстрое контрастное усиление образования с наличием участков некроза; визуализируются также отчетливо выделяющиеся сосуды, участвующие в его кровоснабжении.
в) Дифференциальная диагностика гастроинтестинальной стромальной опухоли (ГИСО) желудка:
1. Лимфома желудка:
• Узловое утолщение складок при исследованиях с бариевой взвесью
• Экзофитное объемное образование, не вызывающее обструкцию кишечника
• Сочетанная брыжеечная и забрюшинная лимфаденопатия
• Массивное, часто циркулярное подслизистое объемное образование
• Может изъязвляться
• Может быть неотличима от ГИСО, однако лимфома редко бывает гиперваскулярной, в отличие от стромальной опухоли
2. Саркома желудока:
• Массивное объемное образование
• Имеет однородную структуру на КТ с контрастным усилением
• Липосаркома содержит жировую ткань
• Вторичная инвазия в кишку может симулировать ГИСО
• Преимущественная локализация в брыжейке является признаком, полезным в дифференциальной диагностике
• Часто возникает обструкция кишечника, в отличие от ГИСО
3. Экзофитный рак желудка:
• Гиподенсное образование, менее васкуляризованное, чем ГИСО
• Может выглядеть массивным экзофитным образованием на КТ или МРТ
• Утолщение на ограниченном участке прилежащих отделов стенки желудка и обструкция выходного отдела желудка являются критериями в дифференциальной диагностике с ГИСО
• Циркулярная опухоль часто приводит к обструкции: о ГИСО редко имеет циркулярную форму
4. Другие интрамуральные новообразования желудка:
• Например, лейомиобластома, лимфангиома, нейрогенные опухоли
• Липому можно отличить на основании ее жировой плотности
• Другие опухоли могут быть неотличимы от ГИСО на основании только лучевых методов диагностики

(Слева) На аксиальной КТ с контрастным усилением вдоль малой кривизны желудка определяется полиповидное объемное образование, имеющее плотность, соответствующую мягким тканям. Поскольку значительная часть образования в этом случае располагается в просвете желудка дифференциальная диагностика с раком является затруднительной.
(Справа) На аксиальной КТ с контрастным усилением у этого же пациента визуализируется большая зона кавитации внутри образования, сообщающаяся с просветом желудка.
1. Общая характеристика:
• Этиология:
о Неизвестна
• Генные нарушения:
о 95% ГИСО связаны с нарушениями экспрессии при формировании рецепторов фактора роста с тирозинкиназной активностью (c-KIT (CD117)
• Эмбриональное развитие:
о Опухоль имеет мезенхимальное происхождение, отличное от лейомиомы или лейомиосаркомы
о Возникает из стволовых клеток или интерстициальных клеток Кахаля:
- Интерстициальные клетки Кахаля принимают участие в регуляции перистальтической активности, выполняя функции водителя ритма
• Сопутствующие патологические изменения:
о Триада Карнея:
- Злокачественная эпителиоидная ГИСО желудка
- Хондрома легких
- Экстраадреналовая параганглиома
о Болезнь фон Реклингхаузена:
- Нейрофиброматоз первого типа
2. Стадирование, градация и классификация:
• Выделяют четыре подтипа ГИСО:
о Доброкачественная веретеноклеточная
о Злокачественная веретеноклеточная
о Доброкачественная эпителиоидная
о Злокачественная эпителиоидная
3. Аутопсия и оперативное вмешательство:
• Массивное подслизистое объемное образование
• Доброкачественные опухоли обычно имеют маленький размер (меньше 3 см)
• Часто обнаруживается центральная язва
• Признаки озлокачествления включают в себя инвазивный рост, размер больше 5 см, наличие метастазов
4. Микроскопия:
• ГИСО представляет собой отдельную опухоль, и не является тождественной лейомиоме или саркоме:
о Диагноз ГИСО может не быть установлен только на основании световой микроскопии
• Доброкачественная или злокачественная веретеноклеточная или эпителиоидная опухоль без мышечной дифференцировки
• Признаки злокачественности:
о Большое количество митозов (более 10 в 50 полях зрения под большим увеличением)
о Высокая степень полиморфизма ядер
о Высокая целлюлярность

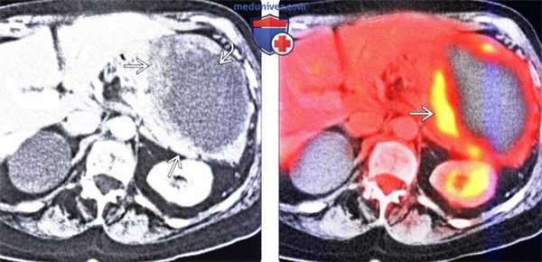
(Слева) На аксиальной КТ с контрастным усилением определяется большая экзофитная гастроинтестинальная стромальная опухоль (ГИСО), возникшая в области большой кривизны желудка. Опухоль имеет толстую стенку, слегка усиливающуюся при контрастировании, в центре опухоли находится зона некроза.
(Справа) При комбинированной ПЭТ/КТ у этого же пациента определяется зона повышенного захвата ФДГ в солидной части образования. ПЭТ с ФДГ позволяет определить активность в первичной опухоли, также является средством обнаружения метастазов. Кроме того, метод позволяет оценить ранние изменения, возникшие в ответ на терапию, прежде чем будут обнаружены морфологические изменения со стороны опухоли.
1. Проявления гастроинтестинальной стромальной опухоли (ГИСО) желудка:
• Наиболее частые признаки/симптомы:
о Тошнота, рвота, потеря веса
о Симптомы, обусловленные объемным воздействием при больших опухолях
о Желудочно-кишечное кровотечение при изъязвлении поверхности желудка и стромальной опухоли
• Клинический профиль:
о Отсутствуют специфические изменения лабораторных данных
2. Демография:
• Возраст:
о Старше 45 лет
• Пол:
о Нет определенной предрасположенности
• Эпидемиология:
о ГИСО - самая частая опухоль ЖКТ
3. Течение и прогноз:
• Метастазирует в печень, легкие, полость брюшины
• Прогноз крайне благоприятный при тотальной резекции доброкачественной опухоли
• У пациентов с наличием метастазов и мутациями c-KIT наблюдается хороший ответ на химиотерапию иматинибом (гливеком)
• Пятилетняя выживаемость составляет 50-80%
• Прогноз зачастую зависит от размеров опухоли
о Относительно неблагоприятный, если опухоль имеет размер больше 5 см
4. Лечение гастроинтестинальной стромальной опухоли (ГИСО) желудка:
• Оперативное (резекция единым блоком)
• Химиотерапия с использованием ингибиторов тирозинкиназы (иматиниб) при наличии метастазов:
о Иматиниб может применяться даже при ограниченном заболевании (в качестве препарата адъюнктивной терапии)
е) Диагностическая памятка:
1. Следует учесть:
• Лимфома может проявляться схожими лучевыми признаками, однако она не бывает гиперваскулярной
2. Советы по интерпретации изображений:
• Объемное гиперваскулярное образование ЖКТ экзофитного характера, подслизистой локализации, с центральным изъязвлением
Доброкачественные опухоли пищевода
Доброкачественные опухоли пищевода - это гистологически разнородные эпителиальные и неэпитальные новообразования эзофагеальной стенки с внутрипросветным или внутристеночным ростом. Проявляются симптомами дисфагии, болями за грудиной, тошнотой, срыгиванием, снижением массы тела. Диагностика основывается на проведении контрастной рентгенографии пищевода, эзофагоскопии, эндоскопической биопсии, КТ, гистологического исследования биоптата. Лечение заключается в удалении новообразований путем эндоскопии или полостного вмешательства (энуклеация опухоли, резекция пищевода).
МКБ-10
Доброкачественные опухоли пищевода являются относительно редкими находками в современной гастроэнтерологии, составляя от 0,5 до 5% всех эзофагеальных новообразований. Наиболее часто объемные образования развиваются у мужчин; преимущественный возраст больных – от 25 до 60 лет. Этиология доброкачественных эзофагеальных неоплазий неизвестна; исключение составляют кисты пищевода, являющиеся эмбриональными пороками развития. Излюбленными местами локализации служат естественные сужения и нижняя треть пищевода.
Патанатомия
Аденомы и полипы могут располагаться в любом участке пищевода; наиболее часто они обнаруживаются в шейном или абдоминальном отделе. Данные опухоли могут расти на широком основании или длинной ножке; в последнем случае не исключается их выпадение из пищевода в глотку или ущемление в кардиальном отделе, что сопровождается соответствующей симптоматикой. При эндоскопическом исследовании аденомы и полипы определяются как красноватые, четко отграниченные от стенок пищевода новообразования, иногда с дольчатым строением. Ввиду поверхностного расположения сосудов, опухоли легко кровоточат при контакте.
Кисты пищевода не относятся к истинным опухолям; их образование связано с закупоркой слизистых желез при нарушении эмбриогенеза. Наиболее часто кисты образуются в нижней трети пищевода. Они являются тонкостенными образованиями, заполненными прозрачной, опалесцирующей, желтоватой или геморрагической жидкостью. Содержимое кисты может быть слизистым, серозным, желеобразным, серозно-гнойным. Стенки кисты снаружи образованы гладкомышечной или фиброзной тканью, изнутри выстланы плоскоклеточным, мерцательным или цилиндрическим эпителием. Кисты могут изъязвляться, инфицироваться микробной флорой, иногда – озлокачествляться.
Среди неэпителиальных образований пищевода большинство (70-95%) составляют лейомиомы, исходящие из гладкомышечного слоя пищевода или из мышечных элементов его слизистой. Обычно лейомиомы растут в виде одиночного узла и имеют полициклические контуры; реже образованы несколькими узлами, связанными между собой. Лейомиомы развиваются в толще мышечного слоя пищевода, приводя к растяжению и истончению стенок.
В 90% наблюдений лейомиомы образуются в грудном отделе пищевода, в 7% случаях – в шейной части. Пролабирование опухоли в просвет пищевода вызывает его сужение и явления дисфагии. Микроскопически лейомиома образована пучками гладкомышечных волокон, которые чередуются с фиброзными соединительнотканными участками. При преобладании в строении опухоли соединительной ткани, новообразование расценивается как фибромиома.
Среди редких форм доброкачественных опухолей встречаются фибромы, липомы, невриномы, лимфангиомы, гемангиомы. Невриномы и фибромы имеют более плотную консистенцию; тесно спаяны с пищеводной стенкой, исходят из нервных структур или параэзофагеальной клетчатки, могут иметь смешанное строение – нейрофибромы. Сосудистые (лимфангиомы, гемангиомы) и жировые опухоли (липомы), как правило, мягкой консистенции, не всегда имеют четкие границы, могут распространяться по стенке пищевода и в окружающие ткани.
По гистологическому строению выделяют эпителиальные и неэпителиальные доброкачественные опухоли пищевода. К новообразованиям эпителиального типа относятся папилломы, аденомы и кисты пищевода (ретенционные, энтерогенные, бронхогенные, редупликационные, кистозный эзофагит и др.). К числу неэпителиальных опухолей принадлежат фибромы, лейомиомы, липомы, капиллярные и кавернозные гемангиомы, лимфангиомы, нейрофибромы, невриномы, остеохондромы, тератомы, миксомы и др. редкие формы.
По способу роста опухоли могут быть внутрипросветными (полипообразными) и внутристеночными (интрамуральными). К внутрипросветным неоплазиям принадлежат папилломы, аденомы, полипы; к внутристеночным – кисты, лейомиомы и др. Прочие типы доброкачественных новообразований в области пищевода встречаются достаточно редко.
Симптомы опухолей пищевода
Специфика проявлений обусловлена типом роста, локализацией и размерами неоплазий; в меньшей степени на симптоматику влияет гистологическое строение. Опухоли, растущие в просвет пищевода, вызывают явления дисфагии - нарушение пассажа пищевых масс по пищеводу: трудности при проглатывании твердой пищи, ощущение комка за грудиной. Выраженность дисфагии нарастает по мере увеличения опухоли. Часто при внутрипросветных неоплазиях отмечаются умеренные боли за грудиной тупого или спастического характера, ощущение дискомфорта в горле или грудной клетке, которые усиливаются в момент приема пищи.
В симптоматике может отмечаться слюнотечение, тошнота, отрыжка, срыгивание. Внутрипросветные опухоли больших размеров часто вызывают рвоту, в результате чего пациенты стремительно худеют. Внутрипросветные опухоли нередко травмируются пищей, изъязвляются, что сопровождается кровотечением из пищевода, анемией. Полная обтурация пищевода, как правило, не наблюдается. Изредка внутрипросветные опухоли на длинной ножке при рвоте мигрируют в просвет гортани, приводя к асфиксии, иногда с летальным исходом.
Неоплазии с внутристеночным ростом чаще располагаются в дистальной части пищевода и длительно развиваются бессимптомно. Новообразования, достигшие значительных размеров, вызывают дисфагию, тошноту, загрудинные боли умеренной степени интенсивности, ухудшение аппетита. В случае экстраэзофагеального роста опухоли может развиваться компрессионный синдром, вызванный сдавлением органов средостения (блуждающего нерва, бронхов, крупных вен). Отмечается осиплость голоса, усиление болей за грудиной, появление сухого кашля, тахикардии, аритмии. При кистах пищевода может происходить их нагноение и перфорация.
Диагноз устанавливается врачом-гастроэнтерологом или онкологом. В диагностике ведущая роль принадлежит рентгенологическим и эндоскопическим методам исследования. Контрастная рентгенография пищевода позволяет обнаружить опухолевое образование, выяснить его локализацию, выраженность сужения просвета пищевода и деформации его стенок.
Рентгенологическая картина при внутристеночных опухолях характеризуется выявлением резко очерченного дефекта наполнения, смещением просвета пищевода, супрастенотическим расширением пищевода, сглаживанием складок пищеводной стенки в месте опухоли. При внутрипросветных опухолях определяется дефект наполнения с гладкими, четкими контурами, «обтекаемый» контрастной взвесью и смещаемый вместе с эзофагеальной стенкой. Перистальтика стенок пищевода в месте расположения опухоли сохранена.
Проведение эзофагоскопии необходимо для определения типа роста и характера образования, его размеров и локализации. Для лучшей визуализации изменений эзофагеальных стенок выполняется хромоскопия пищевода. При внутрипросветных опухолях в ходе эзофагоскопии осуществляется эндоскопическая биопсия, позволяющая провести последующее цитологическое и морфологическое исследование тканей опухоли. При внутристеночном росте опухоли биопсия противопоказана ввиду глубокого расположения новообразования в стенке пищевода, опасности травмирования и инфицирования слизистой оболочки.
При экстраэзофагеальном росте новообразования и его взаимодействии с органами средостения прибегают к проведению рентгенографии грудной клетки и пневмомедиастинографии. В сомнительных случаях используется КТ и МРТ средостения.
Лечение доброкачественных опухолей пищевода
В связи с тем, что подобные новообразования часто осложняются изъязвлением, кровотечением, нагноением, малигнизацией, в их отношении показана хирургическая тактика. Эпителиальные внутрипросветные опухоли, имеющие длинную узкую ножку можно удалить путем электроэксцизии через эндоскоп. Неоплазии на широком основании целесообразнее иссекать в процессе открытой эзофаготомии. К резекции пищевода прибегают в тех случаях, когда нельзя исключить малигнизацию, или при значительных размерах опухоли.
Внутристеночные новообразования требуют проведения торакотомии, энуклеации опухоли и последующего восстановления целости эзофагеальной стенки. При значительном разрушении мышечной стенки выполняется резекция части пищевода с его пластикой желудочным, тонкокишечным или толстокишечным трансплантатом либо наложением эзофагогастроанастомоза.
Прогноз и профилактика
Послеоперационный прогноз, как правило, благоприятный. Рецидивы заболевания случаются редко; практически во всех случаях функция пищевода восстанавливается полностью, трудоспособность сохраняется. После хирургического вмешательства показано динамическое наблюдение гастроэнтеролога. При отказе от операции возможен осложненный вариант развития вплоть до малигнизация опухолей с развитием рака пищевода. Профилактика не разработана.
Гастроинтестинальные стромальные опухоли
Гастроинтестинальные стромальные опухоли – группа редких злокачественных новообразований желудочно-кишечного тракта мезенхимального происхождения. Клинические проявления зависят от локализации неоплазии. Возможны ощущение быстрого насыщения, боли, вздутие живота, кровотечения и явления кишечной непроходимости. На поздних стадиях выявляются снижение веса, лихорадка, анемия, гипертермия и нарушения функции органов, пораженных отдаленными метастазами. Диагноз выставляют на основании жалоб, данных объективного осмотра, КТ, УЗИ, эндоскопического исследования и результатов биопсии. Лечение – операция, химиотерапия.
Гастроинтестинальные стромальные опухоли (ГИСО) – группа новообразований неэпителиального происхождения, располагающихся в подслизистом слое полых органов желудочно-кишечного тракта. В 60-70% случаев поражают желудок, в 20-30% - тонкий кишечник, в 5% - прямую кишку, менее чем в 5% - пищевод. В отдельных случаях выявляются в области сальника, брыжейки и забрюшинного пространства, хотя механизм развития таких неоплазий за пределами полых органов пока не изучен. Гастроинтестинальные стромальные опухоли составляют менее 1% от общего количества онкологических поражений ЖКТ. Обычно развиваются после 40 лет, пик заболеваемости приходится на 55-60 лет.
На момент обнаружения некоторые новообразования данной группы могут выглядеть доброкачественными, однако специалисты всегда рассматривают подобные опухоли как потенциально злокачественные. Нередко наблюдается агрессивное течение, на момент постановки диагноза у 15-50% пациентов выявляется метастатическое поражение печени или брюшины. Реже гастроинтестинальные стромальные опухоли метастазируют в кости, плевру и легкие. Основной причиной развития считают наследственную предрасположенность. Некоторые исследователи указывают на связь между видом мутации и уровнем расположения неоплазии. Лечение осуществляют специалисты в области онкологии, гастроэнтерологии и абдоминальной хирургии.
Классификация гастроинтестинальных стромальных опухолей
До 80-х годов прошлого века специалисты считали, что новообразования данной группы происходят из гладкомышечной ткани и рассматривали подобные опухоли как леомиосаркомы, лейомиомы и лейомиобластомы. После внедрения в клиническую практику иммунногистохимических методик и электронной микроскопии было установлено, что клетки гастроинтестинальных стромальных опухолей происходят из интерстициальных клеток Кахаля, представляющих собой связующее звено между интрамуральными узлами периферической нервной системы и клетками гладких мышц полых органов ЖКТ. Одной из основных функций таких клеток является координация перистальтики стенки пищевода, желудка и кишечника.
Макроскопически гастроинтестинальные стромальные опухоли представляют собой рыхлые мягкие узлы розоватого, серого или светло-коричневого цвета с участками ослизнения. Диаметр узлов может колебаться от 1 до 35 см. В процессе роста такие новообразования могут сливаться, образуя конгломераты или кистозные структуры. В центре крупных неоплазий обычно обнаруживаются участки некроза, в ткани новообразований видны кистозные полости с кровоизлияниями.
При микроскопическом исследовании образца гастроинтестинальной стромальной опухоли обнаруживаются веретенообразные и эпителиолидные клетки, располагающиеся на расстоянии друг от друга либо группирующиеся в скопления, разделенные тонкими прослойками соединительной ткани. Отмечается полиморфизм клеток. Веретенообразные клетки образуют пучки и завитки. Эпителиолидные клетки имеют более четкие границы, форма таких клеток округлая или полигональная. Цитоплазма веретенообразных и эпителиоидных клеток светлая, ядра клеток округлые или овальные.
С учетом особенностей гистологического строения выделяют следующие типы гастроинтестинальных стромальных опухолей:
- Веретеноклеточные. Составляют около 70% от общего количества стромальных новообразований. Преобладают веретенообразные клетки с округлыми или вытянутыми мономорфными ядрами.
- Эпителиоидные. Встречаются в 20% случаев стромальных неоплазий. Преобладают полигональные или округлые клетки с овальными или округлыми светлыми ядрами.
- Илеоформные. Составляют 10% от всех гастроинтестинальных стромальных опухолей. Отмечается выраженный клеточный полиморфизм.
Кроме того, выделяют редко встречающиеся онкоцитарные, мезотелиомоподобные и перстневидноклеточные ГИСО.
Симптомы гастроинтестинальных стромальных опухолей
Патогномоничные симптомы отсутствуют, клиническая картина определяется расположением новообразования. Возможны затруднения глотания, чувство преждевременного насыщения, вздутие или боли в животе. У 20% больных гастроинтестинальная стромальная опухоль на начальных стадиях протекает бессимптомно. Из-за неспецифичности и неяркой выраженности проявлений пациенты обращаются к врачу в среднем через 4-6 месяцев после появления первых признаков болезни. Нередко такие неоплазии становятся случайной находкой при проведении КТ, эзофагогастродуоденоскопии и других исследований. Иногда гастроинтестинальные стромальные опухоли обнаруживают во время хирургического вмешательства по поводу другого заболевания.
При прогрессировании онкологического процесса более чем у половины больных наблюдаются желудочно-кишечные кровотечения, сопровождающиеся меленой или кровавой рвотой. У многих пациентов развивается постгеморрагическая анемия. Высокая вероятность кровотечений при ГИСО объясняется частым изъязвлением новообразования. У 10-30% больных гастроинтестинальными стромальными опухолями отмечаются признаки кишечной непроходимости. На поздних стадиях выявляются снижение массы тела, потеря аппетита, слабость и увеличение живота, обусловленное асцитом и/или растущим новообразованием. При пальпации живота определяется опухолевидное образование. При метастазировании в печень возможно увеличение органа и желтуха той или иной степени выраженности.
Диагностика гастроинтестинальных стромальных опухолей
Диагноз выставляют с учетом клинических симптомов, данных внешнего осмотра и объективных исследований. Пациентам назначают рентгенографию органов брюшной полости, УЗИ и контрастную КТ органов брюшной полости. При низко расположенных опухолях больных направляют на МРТ. При поражении желудка осуществляют гастроскопию, при поражении толстого кишечника – колоноскопию. При подозрении на метастазирование гастроинтестинальной стромальной опухоли проводят рентгенографию грудной клетки, КТ грудной клетки, рентгенографию позвоночника, сцинтиграфию костей скелета и другие исследования.
При возможности используют ПЭТ-КТ, позволяющую точно определять распространенность гастроинтестинальной стромальной опухоли и выявлять небольшие метастазы, не обнаруживаемые при помощи других методик. Окончательный диагноз устанавливают на основании гистологического и иммунохимического исследования образца ткани, взятого при проведении эндоскопического исследования. Дифференциальную диагностику осуществляют с другими новообразованиями ЖКТ.
Лечение гастроинтестинальных стромальных опухолей
Основным методом лечения ГИСО является хирургическое вмешательство. Объем операции определяется в зависимости от локализации и распространенности неоплазии. Стандартом является радикальная резекция патологических очагов вместе с 1-2 см окружающих здоровых тканей. Удаленную гастроинтестинальную стромальную опухоль отправляют на срочное микроскопическое исследование, при выявлении злокачественных клеток по линии разреза осуществляют иссечение пораженного участка.
Из-за редкого лимфогенного метастазирования лимфаденэктомию не производят (за исключением гастроинтестинальных стромальных опухолей прямой кишки, которые в 25-30% случаев метастазируют в лимфоузлы). При единичных метастазах в печени выполняют радиочастотную термоабляцию или оперативное удаление вторичной опухоли. При неоперабельных новообразованиях назначают предоперационную химиотерапию, затем проводят повторное обследование. При появлении признаков резектабельности новообразование иссекают, в остальных случаях продолжают лечение химиопрепаратами.
Прогноз зависит от расположения, распространенности и размера гастроинтестинальной стромальной опухоли. Средняя пятилетняя выживаемость составляет 48%. До 5 лет с момента радикального хирургического вмешательства удается дожить 50% больных, при опухолях диаметром более 10 см этот показатель снижается до 20%. Отмечается высокая вероятность рецидивирования, в течение 2 лет после радикальной резекции рецидивы выявляются у 80% пациентов. Средняя продолжительность жизни при неоперабельных гастроинтестинальных стромальных опухолях по различным данным колеблется от 10 до 21 месяца.
Читайте также:
