Рентгенограмма, КТ, МРТ при хрящевой и костно-хрящевой патологии тазобедренного сустава
Добавил пользователь Евгений Кузнецов Обновлено: 03.12.2025
Тазобедренный сустав – один из самых крепких и мощных в человеческом организме. При движении и ходьбе на него приходится основная нагрузка. Постоянное напряжение в этой анатомической области вызывает различные патологии, характерными признаками которых являются: боль в паховой области, нарушение двигательных функций ноги и бедра, а также другие проблемы. В данной ситуации одним из лучших методов диагностики считается КТ тазобедренного сустава, что доказывает большое количество видео на специализированных сайтах. Это исследование более информативно, чем рентгенография и УЗИ. Кроме того, оно не противопоказано для людей с вживлёнными металлоконструкциями.
Информацию, что показывает КТ тазобедренного сустава, удаётся получить с помощью методики послойного сканирования в поперечной и продольной проекциях. В процессе обработки готовые снимки преобразовывают в трехмерные изображения.
Компьютерная томография тазобедренной области позволяет обнаружить многие заболевания и патологии.
Опухоли (доброкачественные/злокачественные)
Опухоли – новообразования в тканях организма, вызванные различными негативными факторами. Доброкачественные опухоли поддаются лечению и не представляют серьёзной опасности для человека. Однако они могут переходить в злокачественные образования, которые быстро растут и вызывают появление метастазов, угрожающих жизни пациента.
Глубину прорастания новообразований костей внутрь мягких тканей
Глубина прорастания опухолей внутрь кости – важный показатель, необходимый для постановки диагноза, а также составления плана лечения выявленного онкологического заболевания.
Наличие метастаз, проникнувших из других очагов поражения
Метастазы – очаги злокачественных образований, распространение опухолей по всему организму.
Степень прорастания новообразования мягких тканей внутрь костей
Прорастание новообразований внутрь костей – злокачественный или доброкачественный процесс, переходящий с мягких тканей на кость. Определение степени прорастания раковых клеток в костные ткани поможет выявить разновидность образования.
Присутствие инородного тела внутри мягких тканей, костей таза
Инородные тела в мягких тканях и костях таза – целые предметы или их частицы, попавшие в организм в результате повреждения покровов.
Показания к проведению КТ тазобедренных суставов
Компьютерная томография тазобедренного сустава позволяет визуально оценить состояние костных и мягких тканей, а также их структуру. Показания для проведения процедуры:
Переломы, кровоизлияния в ткани и другие острые травмы
Острые травмы и переломы – нарушения функций и анатомической целостности тканей, вызванные воздействием внешних факторов.
Осложнения травм (внутрисуставное кровотечение, ранение костными осколками сосудов и т. д.)
Самые частые осложнения, которые возникают в результате перенесенных травм и ран тазобедренной области – разрывы сосудов, кровоизлияния в ткани суставов. Первые симптомы подобных проблем:
- нарушение ходьбы;
- болевые ощущения в области таза при движении или надавливании на травмированный участок;
- опухание мягких тканей и увеличение сустава.
Деформирующий остеоартроз тазобедренных суставов
Деформирующий остеоартроз – разрушение хрящевых тканей сустава с последующей деформацией кости.
Инородные тела сустава, костей, мягких тканей
Инородные тела в области таза и бедра – предметы или частицы, попавшие в костные или мягкие ткани извне.
Артрит тазобедренных суставов
Артрит тазобедренных суставов – наличие воспалительного процесса, в результате которого происходит повреждение и деформация хрящевых тканей. Проведение КТ тазобедренного сустава позволяет свести к минимуму риск постановки неправильного диагноза и ошибок в процессе хирургического вмешательства.
Подготовка к обследованию
Для проведения компьютерной томографии тазобедренного сустава подготовка может понадобиться лишь в том случае, если назначено контрастное усиление. Она заключается в воздержании от пищи за 6 часов до начала исследования. Следует одеться в одежду без металлических деталей при проведении КТ тазобедренного сустава, как делают все пациенты под наблюдением врача. В противном случае результат обследования будет искажён. Кроме того, необходимо предварительно снять любые украшения, часы, цепочки.
Как проводят КТ тазобедренного сустава?
У многих возникает вопрос о том, как делают КТ тазобедренного сустава. На самом деле процесс проведения процедуры довольно прост. Специалист предлагает больному лечь в центре передвижного стола томографа, после чего помогает зафиксировать правильное положение тела, и выходит из помещения. Далее стол въезжает в раму томографа, где производятся снимки исследуемой анатомической области в разных плоскостях.
Главное условие, обязательное для выполнения во время проведения КТ тазобедренного сустава, – сохранение неподвижности на протяжении всей процедуры, которая длится не дольше нескольких минут. О том, как делают КТ тазобедренного сустава, есть много видео в интернете.
Противопоказания для проведения КТ
При повышенной массе тела проведение КТ тазобедренного сустава может затрудняться, ведь большинство компьютерных томографов предназначены для веса не более 150 кг.
Несмотря на то, что КТ тазобедренного сустава показывает наличие трудно диагностируемых патологий, этот метод исследования не всегда оправдан. Беременным женщинам и детям в возрасте до 14 лет не рекомендуется данная процедура в связи с риском развития патологий.
Компьютерная томография с использованием контрастного усиления имеет ряд дополнительных противопоказаний, ведь в этом случае в организм человека вводят специальный йодсодержащий раствор.
Противопоказания для КТ с применением контраста:
Наличие аллергии на йод
Растворы для контрастного усиления имеют в составе йод, поэтому перед КТ тазобедренного сустава важно исключить наличие у пациента аллергии на данное вещество, как делают профессиональные врачи.
Нарушение функционирования эндокринной системы
Некоторые контрастные жидкости противопоказаны для пациентов с нарушениями работы эндокринной системы. Проблемы с гормонами могут спровоцировать негативную реакцию на йод, а также затруднить выведение этого вещества из организма. О том, как делают КТ тазобедренного сустава в данном случае, больному обязан рассказать лечащий врач.
Почечная недостаточность
У пациентов с диагнозом почечная недостаточность контрастная жидкость может вызвать нефротический эффект. В таком случае без предварительной подготовки не рекомендуется проводить КТ тазобедренного сустава. Как делают процедуру пациентам с нарушениями работы печени, и какие манипуляции помогут снизить риск побочных эффектов, знает лечащий врач.
Сердечная недостаточность
При сердечной недостаточности применение йодсодержащих контрастных жидкостей может вызвать затруднение дыхания, отёки и более серьёзные проблемы.
Рентгенограмма, КТ, МРТ при хрящевой и костно-хрящевой патологии тазобедренного сустава
а) Определения:
• Дефект хряща или перелом: очаговая травма хряща:
о Этот термин не должен быть использован для обозначения распространенной травмы хряща, указывающей на остеоартрит
• Костно-хрящевой дефект или перелом: очаговая травма хряща и нижележащей кости
• Хондромаляция: размягчение хряща
• Рассекающий остеохондрит (РОХ): хроническая костно-хрящевая травма
• Отслойка хряща: разрыв частично оторванного хрящевого лоскута: о Хрящ остается прикрепленным к соседнему хрящу по крайней мере одним краем
• Травма с противоположной стороны: травма заднего хряща, вызванная передним соударением
б) Визуализация:
1. Общая характеристика:
• Основной диагностический критерий:
о Дефект хряща ± отек костного мозга нижележащей кости на МРТ
• Локализация:
о Чаще-передневерхняя часть вертлужной впадины является:
- При кэм-импинджмент синдроме тазобедренного сустава (ИСТБС)
- Рядом с разрывом губы: губо-хрящевое сочленение
о Передние травмы головки бедренной кости возникают обычно вследствие заднего вывиха/подвывиха
о Задние образования вертлужной впадины возникают вследствие заднего вывиха или травмы противоположной стороны
о Может находиться на вертлужной впадине, головке бедренной кости или в обоих местах
• Морфология:
о Травма может быть стабильной или нестабильной:
- Отслойка: разрыв хряща, который все еще прикреплен по крайней мере вдоль одного края
- Дефекты не на всю глубину
- Дефекты на всю глубину ± костное поражение
о Нестабильный костно-хрящевой осколок встречается реже, чем при травме лодыжки или колена:
- Обычно визуализируется при вывихе/подвывихе тазобедренного сустава
о После заднего вывиха тазобедренного сустава визуализируется передний костно-хрящевой вколоченный перелом головки бедренной кости:
- Аналогичный перелом Хилла-Сакса головки плечевой кости
о Острая травма:
- Края образования острые, неровные
- Обычно отмечается отек костного мозга
о Хроническая травма:
- Округлые края образования
- Отек костного мозга зачастую отсутствует
• Непостоянные сопутствующие патологические изменения:
о Разрыв губы вертлужной впадины
о Кэм или пинсер морфология тазобедренного сустава
о Импинджмент-синдром тазобедренного сустава
о Травма круглой связки
о Вывих или подвывих тазобедренного сустава

(Слева) На рисунке сагиттального среза показана травма хряща с передним разрывом губы. Типичным местом разрыва является окологубная часть вертлужной впадины. Разрывы могут возникать на головке бедренной кости, а также и на задней поверхности вертлужной впадины (удар с противоположной стороны). Обратите внимание на вариант нормы в виде надвертлужной ямки.
(Справа) МРТ, ЗТл, PDВИ, режим подавления сигнала от жира, коронарный срез: определяется травма хряща без контрастирования. Тем не менее, артефакт химического сдвига в месте травмы хряща имитирует отслойку. Использование коронарных и сагиттальных срезов подтвердит наличие этого артефакта.
2. Рентгенографические данные при хрящевой и костно-хрящевой патологии тазобедренного сустава:
• Рентгенография:
о Не обладает нужной чувствительностью
о При костно-хрящевой травме в редких случаях визуализируется чашеобразная субхондральная линия склероза
о Может визуализироваться неспецифический склероз (поздний признак, более характерный для остеоартрита)
3. КТ при хрящевой и костно-хрящевой патологии тазобедренного сустава:
• КТ костей:
о КТ-артрография:
- Альтернатива МРТ для оценки хрящевой или костно-хрящевой травмы
- Контраст выявляет дефекты хряща и нижележащей кости
4. МРТ при хрящевой и костно-хрящевой патологии тазобедренного сустава:
• Т1ВИ:
о Гетерогенный хрящ или его отсутствие
о ± неровность кортикального слоя
о ± гипоинтенсивный субхондральный отек костного мозга
о МР-артрография повышает шанс на выявление образования
о Режим подавления сигнала от жира на МР-артрографии улучшает контрастность тканей, но патологические изменения костного мозга не визуализируется
о Отслойка: при МР-артрографии определяется гиперинтенсивное контрастное вещество между хрящом и костью:
- Хрящ соединен с соседним неповрежденным хрящом вдоль одной границы
- Отслойка должна быть визуализирована по крайней мере на двух изображениях в одной или разных проекциях
• Т2ВИ, режим подавления сигнала от жира:
о Гиперинтенсивное скопление жидкости заполняет дефект хряща
о Хронические образования могут заполнять гипоинтенсивный фиброзный хрящ
о Субхондральный отек костного мозга
о Отслойка: зачастую визуализируется более детально чем на: Т1 ВИ в режиме подавления сигнала от жира
- Естественная жидкость сустава в большей степени чем контрастный материал заполняет расщелину между отслоенным хрящом и костью
- Если отслоенный осколок не смещен/отделен от остатка хряща, то в большей степени может определяться гипоинтенсивная линия, чем сигнал от жидкости
• PDBИ/умеренный режим подавления сигнала от жира:
о Схожая картина с Т2 ВИ в режиме подавления сигнала от жира
о ↑ пространственное разрешение, но более низкая интенсивность сигнала чем на Т2 ВИ
• STIR:
о Чувствителен в отношении субхондрального отека, но обладает плохой специфичностью в отношении оценки
• МР-артрография:
о Чувствительна в отношении к небольшим дефектам хряща и сопутствующим разрывам губы
о Т1 ВИ с отсутствием режима подавления сигнала от жира, Т2 ВИ в режиме подавления сигнала от жира позволяет оценить отек костного мозга
5. Рекомендации по визуализации:
• Лучший метод визуализации:
о МРТ с небольшим полем зрения тазобедренного сустава
о Прямая МР-артрография: стандарт для оценки образований хряща с начальными артритическими изменениями
о МРТ мощностью 3 Тл улучшает визуализацию хряща с отсутствием артрографии
о Патологические изменения должны определяться, по крайней мере, на двух срезах, в одной или разных проекцих
• Советы по протоколу исследования:
о При травме губы/хряща с отсутствием признаков остеоартрита показана прямая МР-артрография:
- Т1ВИ в режиме подавления сигнала от жира в трех проекциях
о Для оценки костного мозга необходим один срез Т1ВИ с отсутствием режима подавления сигнала от жира:
- Т1ВИ является наиболее достоверной последовательностью в отношении костного мозга
о Для оценки костного мозга и окружающих мягких тканей необходимы последовательности чувствительные к жидкостям
о Большое поле зрения в корональном срезе Т1 STIR позволяет оценить весь таз

(Слева) МР-артрография, Т1 ВИ, режим подавления сигнала от жира, косой аксиальный срез: у балерины 16 лет определяется дефект хряща как спереди, так и сзади.
(Справа) МР-артрография, PDBИ, режим подавления сигнала от жира, сагиттальный срез: определяются дефекты хряща на всю его глубину в области вертлужной впадины и головки бедренной кости. Подрежающий кортикальный спой головки бедренной кости неровный. Сравните с нормальным хрящом, формирующим ободок однородной интенсивности сигнала вокруг суставных поверхностей.
в) Дифференциальная диагностика хрящевой и костно-хрящевой патологии тазобедренного сустава:
1. Надвертлужная ямка:
• Вариант нормы, локализованный на верхушке вертлужной впадины (в положении 12 часов):
о Выемка на суставной поверхности кости
о Может быть заполнена хрящом или представлять из себя гладкий дефект хряща
о Наблюдается преимущественно у пациентов моложе 30 лет
2. Звездчатая впадина:
• Продолговатая неровность в субхондральном слое кости с медиальной стороны при положении на 12 часов:
о Сразу выше/по соседству с вертлужной ямкой
• Может отражать консолидацию надвертлужной ямки
3. Вертлужная ямка:
• Вертлужная ямка в медиальной стенке вертлужной впадины, не покрытая хрящом
• Острый выступ на краю вертлужной ямки может быть ошибочно принят за повреждение хряща
4. Остеоартрит:
• Остеофиты
• В некоторых случаях ассоциирован с субхондральными кистами
• Обширная утрата хряща
5. Артефакт химического сдвига:
• Параллелен суставной поверхности
• Может имитировать отслойку хряща
6. Остеонекроз (ОН) головки бедренной кости:
• Определяется схожий субхондральный отек
• Извитая линия на краю ОН отличает его от костно-хрящевой травмы, при которой отмечается наличие чашеобразной линии
• Патология хряща является поздним признаком ОН после уплощения головки бедренной кости
7. Хондрокальциноз:
• Обычно гипоинтенсивная структура хряща
• На рентгенографии определяются слабовыраженные кальцифи-каты по соседству с кортикальным слоем суставной поверхности

(Слева) МР-артрография, PDBИ, режим подавления сигнала от жира, косой аксиальный срез: определяется смещенный костно-хрящевой осколок с уплощением головки бедренной кости и сопутствующим отеком костного мозга, что указывает на травматический коано-хрящевой перелом головки бедренной кости.
(Справа) КТ после вывиха тазобедренного суаава, сагиттальный срез: определяется небольшая коано-хрящевая вколоченная травма № передней поверхности головки бедренной кости. Утрата хряща может быть заподозрена на основании неровности кортикального слоя. Задний осколок откололся от вертлужной впадины.
г) Патология. Стадирование, степени и классификация хрящевой и костно-хрящевой патологии тазобедренного сустава:
• Классификация Аутербриджа:
о Адаптирована на основании данных артроскопии
о Основана на интенсивности сигнала от хряща на МРТ Т2ВИ или PDВИ в режиме подавления сигнала от жира:
- 0 = норма
- 1 = размягчение/образование пузырей хряща; гиперинтенсивный сигнал с отсутствием видимого дефекта
- 2 = небольшое поверхностное изъязвление, образование фибрилл или трещин чем на 50% глубины хряща с отсутствием обнажения кости
- 4 = дефект на всю глубину с обнажением кости
д) Клинические особенности:
1. Проявления:
• Типичные признаки/симптомы:
о Боль при сгибании или отведении/наружной ротации бедра
о ±боль при внутренней ротации
о Типичной локализацией боли является ипсилатеральная паховая область
о Боль зачастую иррадиирует в ипсилатеральное колено
• Другие признаки/симптомы:
о Заклинивание и щелчки встречаются реже
• Механизм травмы:
о Острая: вывих или подвывих тазобедренного сустава
о Хроническая: импинджмент-синдром тазобедренного сустава
2. Течение и прогноз:
• Может прогрессировать в остеоартрит
3. Лечение:
• Хирургическая обработка раны при артроскопии:
о Микроперелом
о Трансплантация костно-хрящевого имплантата (ТКХИ)
• Восстановление ассоциированного разрыва губы
• Лечение сопутствующего импинджмент-синдрома или РДТБС
е) Диагностическая памятка:
1. Следует учесть:
• Рекомендуется поискать морфологию ИСТБС
2. Рекомендации по отчетности:
• При артрографии рекомендуется внутрисуставное введение анестетика для подтверждения тазобедренного сустава как источника боли:
о Если боль уменьшится после введения анестетика, то источником является тазобедренный сустав
о Если боль после введения анестетика не меняется, необходимо исключить повреждения лобкового симфиза, сухожилий или суставной сумки
а) Терминология:
1. Аббревиатура:
• Остеоартроз (ОА)
2. Синоним:
• Дегенеративное заболевание суставов
3. Определение:
• Невоспалительное заболевание суставов, характеризующееся прогрессирующим разрушением хряща:
о Приводит к гипертрофическим костным изменениям
1. Общая характеристика:
• Лучший диагностический критерий:
о Рентгенография: сужение суставного пространства в нагружаемой зоне, остеофиты, субхондральные кисты
о МРТ: дефекты или истончение хряща, повреждение вертлужной губы, субхондральные кисты
• Локализация:
о Нагружаемый (передневерхний) отдел сустава
(Слева) Рентгенография в ПЗ проекции: кольцевые остеофиты и рельефность калькара при ОА. Визуализируется сужение медиального отдела суставного пространства, а не верхнего, что, однако, также характерно для ОА.
(Справа) Рентгенография в ПЗ проекции: визуализируются более выраженные признаки ОА в левом тазобедренном суставе этого же пациента с крупным нижним краевым остеофитом и полной утратой хряща. Визуализируется верхненаружный подвывих головки бедренной кости относительно вертлужной впадины, а также рельефность калькара (медиального нагружаемого отдела шейки бедренной кости). (Слева) Рентгенография в ПЗ проекции: кольцевые остеофиты головки бедренной кости, истончение хряща и протрузия при ОА. При ОА протрузия развивается вплоть до 20% случаев.
(Справа) Рентгенография в ПЗ проекции: деформация по типу «зарубки» с полной деструкцией головки бедренной кости в. Такая деструкция часто развивается в течение нескольких недель и называется быстро прогрессирующим ОА тазобедренного сустава или остеоартрозом Постела. Отличительными признаками являются: прямой край шейки бедренной кости и быстрое развитие процесса. (Слева) КТ, передняя проекция, в режиме 3D реконструкции: дальнейшая деструкция вертлужной впадины и головки/шейки бедренной кости В у этого же пациента через три недели. Предполагается, что быстро прогрессирующий деструктивный ОА тазобедренного сустава развивается на фоне субхондрального патологического перелома, однако исходный перелом визуализируется редко. Необходимо исключить как септическое поражение тазобедренного сустава, так и нейроостеоартропатию Шарко.
(Справа) МРТ, корональнаяплоскость, режим STIR: относительно небольшое количество жидкости в разрушенном тазобедренном суставе В у этого же пациента. Данный признак в сочетании с анализом аспирата сустава позволяет исключить как септическое поражение тазобедренного сустава, так и остеоартропатию Шарко.
2. Рентгенография при остеоартрозе тазобедренного сустава:
• Нормальная плотность костной ткани
• Сужение суставного пространства (чувствительность 91%, специфичность 60%):
о Локально, в нагружаемом отделе сустава
• Костно-продуктивные изменения:
о Остеофитоз (чувствительность 89%, специфичность 90%):
- кольцевые остеофиты головки бедренной кости; наиболее крупные в нижневнутреннем отделе
- по краю вертлужной впадины
о Рельефность: калькар и латеральный отдел шейки бедренной кости (специфичность 92%)
• Субхондральные кисты:
о Наиболее выражена в вертлужной впадине (киста Эггера):
- Может служить ранним изолированным признаком; может имитировать опухоль
• Подвывих головки бедренной кости:
о В 80% - верхненаружный, в 20% медиальный (протрузия)
• Обращайте внимание на морфологические особенности, способствующие развитию ОА:
о Выступ в латеральном отделе головчато-шеечного перехода → «cam»-тип бедренно-вертлужного импиджмента (БВИ)
о Деформация по типу соха тадпа (болезнь Легга-Кальве-Пертеса [Legg—Calve—Perthes] или юношеский эпифизеолиз головки бедренной кости) → «pincer» тип БВИ
о Разрастание края вертлужной впадины → «pincer» тип БВИ о Ретроверзия вертлужной впадины (симптом перекреста) → «pincer» тип БВИ
о Болезнь Отто (незарощение Y- образного хряща) → протрузия → «pincer» тип БВИ
о Дисплазия тазобедренного сустава → часто смешанный «cam-pincer» тип БВИ:
- Обычно неполное покрытие головки бедренной кости снаружи или спереди
- Деформация шейки бедренной кости по типу coxa valga
• Признаки, часто ассоциирующиеся с БВИ и последующим ОА:
о Os acetabulum
о Вдавления в передненаружном отделе шейки бедренной кости
• Патологический перелом головки бедренной кости:
о Редко визуализируется при первичной рентгенографии
о Быстро прогрессирует в ОА
о Может прогрессировать в деструкцию собственно головки бедренной кости → деформация по типу «зарубки»
о Совокупность факторов, именуемая быстро прогрессирующим ОА
3. КТ при остеоартрозе тазобедренного сустава:
• КТ редко применяется для оценки тазобедренного сустава:
о В качестве этапа прицельного определения торсии может способствовать визуализации ретроверзии вертлужной впадины или шейки бедренной кости
о Для выявления свободных тел, разрывов вертлужной губы и повреждений хряща выполняется КТ-артрография
4. МРТ при остеоартрозе тазобедренного сустава:
• Режим Т1:
о Достаточно крупные остеофиты содержат костный мозг
о Сигнал низкой интенсивности: склероз, рельефное уплотнение шейки, субхондральные кисты
• Последовательности, чувствительные к жидкости:
о Отек костного мозга:
- Выраженность отека соотносится с интенсивностью боли в тазобедренном суставе, тяжестью рентгенографических проявлений ОА и количеством микропереломов субхондральной кости
о Дефекты хряща визуализируются, если они отграничены жидкостью:
- Хрящ в тазобедренном суставе тонкий, а капсула мощная, что делает оценку хряща более сложной, чем в коленном суставе
о Разрывы или дегенеративные изменения вертлужной губы
о Субхондральные или паралабральные кисты
• МР-артрография:
о Разрыв или отделение вертлужной губы
о Хрящ: фокальный дефект, диффузное истончение или расслоение
о Остеофиты
о Субхондральные или паралабральные кисты
о Морфологическая взаимосвязь с дисплазией тазобедренного сустава и БВИ
5. Рекомендации по визуализации:
• Лучший метод визуализации:
о Рентгенография выполняется при ОА от легкого до умеренного
о Для раннего обнаружения повреждений хряща или вертлужной губы выполняется МР-артрография
• Рекомендации по протоколу:
о МРТ или КТ артрография: тугой сустав ограничивает количество контрастного вещества, отграничивающего хрящ:
- Тракция во время инъекции способствует распространению контрастного вещества вокруг головки бедренной кости
- Рекомендуется тракция во время выполнения МРТ, что позволяет хорошо отграничить хрящ
о Последовательности в косой аксиальной проекции обладают наибольшей чувствительностью для выявления разрывов вертлужной губы; для визуализации малозаметных повреждений хряща требуются несколько последовательностей
(Слева) МР-артрография, корональная проекция, режим Т1 с подавлением сигнала от жира: типичные МРТ признаки ОА, включая диффузную неравномерность всей хрящевой поверхности. Остеофиты визуализируются по краю суставной поверхности. В структуре вертлужной губы визуализируется очаг дегенерации.
(Справа) МР-артрография, сагиттальная проекция, режим Т1 с подавлением сигнала от жира: значительное истончение хряща в нагружаемом отделе у того же пациента. Визуализируются субхондральные участки вертлужной впадины с измененным сигналом, а также отделившийся дегенеративно измененный участок. (Слева) МР-артрография, корональная проекция, режим Т1 с подавлением сигнала от жира: визуализируются типичные признаки ОА, хотя МР-артрография редко выполняется при этом заболевании. Хрящ наиболее истончен в нагружаемой зоне. Также визуализируется тяжелое повреждение вертлужной губы.
(Справа) МР-артрография, сагиттальная проекция, режим Т1 с подавлением сигнала от жира : крупные субхондральные кисты головки бедренной кости и вертлужной впадины у того же пациента. Как и при МРТ артрографии в корональной проекции, визуализируется полная утрата хряща. Вертлужная губа характеризуется морфологическими изменениями и патологическим сигналом. (Слева) МР-артрография, корональная проекция, режим Т1 с подавлением сигнала от жира: типичные признаки бедрено-вертлужного импиджмента с исходом в ОА. У этого молодого пациента визуализируется выпячивание в латеральном отделе шейки бедренной кости, а также дефект хряща и отделившаяся вертлужная губа.
(Справа) МР-артрография, сагиттальная проекция, режим Т1 с подавлением сигнала от жира: у этого же пациента отчетливо визуализируются две зоны утраты хряща, а также отделившаяся вертлужная губа. Рентгенография в этом случае позволяет визуализировать лишь выпячивание бедренной кости; до выполнения МРТ артрографии распространенность патологических изменений при раннем ОА оставалась неизвестной.
в) Дифференциальная диагностика остеоартроза тазобедренного сустава:
1. Остеонекроз:
• От ранней стадии остеонекроза до относительно поздней происходит уплощение головки бедренной кости без патологических изменений со стороны сустава
• Признаки ОА визуализируются на поздней стадии остеонекроза
2. Бедренно-вертлужный импиджмент:
• Импиджмент передненаружного отдела головчато-шеечного перехода («cam» импиджмент)
• Импиджмент передненаружного отдела вертлужной впадины («pincer» импиджмент)
• Должен быть выявлен морфологически, как фактор риска развития раннего ОА
3. Дисплазия тазобедренного сустава:
• Уплощенная снаружи и, возможно, спереди вертлужная впадина
• Должна быть выявлена морфологически, поскольку является фактором риска развития раннего ОА
4. Пирофосфатная артропатия:
• Отложения пирофосфата в хряще и вертлужной губе
• Дегенератинвые изменения в тазобедренном суставе с формированием остеофитов; визуализация эрозий затруднена; имитирует ОА
• Субхондральные кисты могут быть крупными
(Слева) Рентгенография в ПЗ проекции: возвышение в латеральном отделе головчато-шеечного перехода бедренной кости; установлена взаимосвязь такой деформации с «сат»-типом бедренно-вертлужного импиджмента (БВИ). Других признаков ОА не визуализируется.
(Справа) МР-артрография, корональная проекция, режим Т2 с подавлением сигнала от жира подтверждает типичный случай БВИ у этого же пациента. Визуализируется выпячивание, а также истончение хряща в верхнем отделе, которое является признаком раннего ОА. Разрывов или отделения вертлужной губы не визуализируется, однако характер сигнала свидетельствует о ее дегенерации. (Слева) МР-артрография, сагиттальная проекция: визуализируется кистозное образование, а также истончение хряща у этого же пациента. Визуализируется комбинированный разрыв вертлужной губы. Эти изменения являются признаками выраженного БВИ.
(Справа) МРТ, корональная проекция, режим Т2 с подавлением сигнала от жира: деформация по типу coxa magna. Поскольку вертлужная впадина имеет нормальную ширину, протрузия обусловлена болезнью Легга-Кальве-Пертеса. Результатом этого является нарушение артикуляции и вторичная гипертрофия вертлужной губы. Морфологические изменения привели к «сат»-типу БВИ. Визуализируется разрыв вертлужной губы. (Слева) МРТ, корональная проекция, режим Т1 с подавлением сигнала от жира: легкая дисплазия тазобедренного сустава (обратите внимание на изменение центрально-осевого угла) с разрывом и отделением вертлужной губы. Визуализируется неравномерность суставного хряща.
(Справа) МРТ, сагиттальная проекция, режим Т1 с подавлением сигнала от жира: определяется полнослойный разрыв вертлужной губы у того же пациен та. Визуализируется зона полнослойного повреждения хряща. В этой зоне визуализируется субхондральная киста. Не забывайте о взаимосвязи дисплазии тазобедренного сустава с разрывом вертлужной губы и ранним развитием ОА. Дисплазия может быть выражена незначительно.
г) Патология:
1. Общая характеристика:
• Этиология:
о Полного понимания патогенеза ОА не достигнуто; существуют различные факторы риска
о Микротравматизация хряща на фоне его возрастных биохимических изменений:
- ↓ жидкость, ↓ протеогликаны, ↓ количество хондроцитов:
Приводят к хрупкости или размягчению хряща, увеличивая риск образования фиссур, изъязвлений и расслоения
о Травма:
- Перелом вертлужной впадины или головки бедренной кости, обычно связанные с вывихом в тазобедренном суставе
- Неправильное распределение нагрузки вследствие травмы или на фоне дегенеративных изменений других суставов:
Разновеликость ног с перекосом таза
Сколиоз с перекосом таза
Артроз коленного сустава с нарушением соосности и относительным укорочением конечности
о Аномалии, возникающие в процессе роста:
- Болезнь Легга-Кальве-Пертеса (Legg—Calve—Perthes) (остеонекроз в детстве)
- Юношеский эпифизеолиз головки бедренной кости
о Аномалии строения:
- Дисплазия тазобедренного сустава:
Дисплазия вертлужной впадины
Ротационное нарушение соосности шейки бедренной кости
- Особенности строения при бедренно-вертлужном импид-жменте:
«Cam»-тип: возвышение в передненаружном отделе головчато-шеечного перехода
"Pincer"-тип; чрезмерное покрытие головки бедренной кости вертлужной впадиной
«Cam» и «Pincer» типы часто сочетаются
Каждый из типов обусловлен несколькими этиологическими факторами
о Врожденные аномалии развития:
- Эпифизарные аномалии, например спондилоэпифизарная дисплазия
о Низкий уровень эстрогенов ассоциируется с повышенным риском развития ОА
2. Генетика:
о Исследование близнецов и наследственности позволяет говорить о полигенной природе ОА
3. Макроскопические и хирургические особенности:
• Образование фиссур, вдавлений и изъязвлений хряща
• Реакция сопряженной кости
• Синовиальная оболочка: от нормальной до легкого воспаления
4. Микроскопия:
• Отек костного мозга, определяющийся при МРТ соотносится с некоторыми патогистологическими признаками:
о Субхондральный склероз
о Некроз костномозговой жировой ткани
о Субхондральные псевдокисты
о Фиброз костного мозга
о Микропереломы на различных стадиях заживления
о Нормальные элементы костного мозга
о При микроскопии визуализируется лишь небольшое количество костного мозга в состоянии истинного отека
1. Проявления:
• Типичные признаки/симптомы:
о Боль при движениях, отсутствие боли в покое; боль может концентрироваться в паховой области
о Самопроходящая утренняя скованность
о Крепитация, ограничение движений о Отсутствие отека или местного повышения температуры
2. Демография:
• Возраст:
о Наиболее часто >65 лет
о Наблюдается у 80% людей старше 75 лет
• Пол:
о М > Ж, для тазобедренного сустава
• Эпидемиология:
о В США распространенность заболевания составляет 12%
о Фрамингемское исследование: симптоматический ОА наблюдается у 0,7-4,4% взрослых американцев
о В результате выполняется несколько сотен тысяч эндопротезирований ежегодно
3. Течение и прогноз:
• Может стабилизироваться на фоне консервативного лечения
• Может приводить к изнуряющему болевому синдрому и функциональным ограничениям
4. Лечение:
• Физиотерапия, НПВ
• На ранней стадии ОА при БВИ:
о Восстановление вертлужной губы, остеохондропластика
• На ранней стадии ОА при дисплазии тазобедренного сустава:
о Восстановление вертлужной губы, периацетабулярная остеотомия или деротирующая остеотомия шейки бедренной кости
• Эндопротезирование
1. Следует учесть:
• При оценке ОА у молодых людей принимайте во внимание этиологические факторы, отличающие патологическое состояние от первичного ОА:
о БВИ или дисплазия тазобедренного сустава (могут быть слабовыражены)
о Спондилоартропатия, например анкилозирующий спондилит (оценивайте состояние крестцово-подвздошных суставов)
• Протрузия возникает в 20% случаев ОА тазобедренного сустава; не следует расценивать это проявление в качестве признака ревматоидного артрита
2. Советы по интерпретации изображений:
• При изменениях характерных для БВИ или дисплазии тазобедренного сустава оценивайте наличие как «cam», так и «pincer» механизма
ж) Список использованной литературы:
1. Xu L et al: The diagnostic performance of radiography for detection of osteoarthritis-associated features compared with MRI in hip joints with chronic pain. Skeletal Radiol. 42(10): 1421-8, 2013
2. Taljanovic MS et al: Bone marrow edema pattern in advanced hip osteoarthritis: quantitative assessment with magnetic resonance imaging and correlation with clinical examination, radiographic findings, and histopathology. Skeletal Radiol. 37(5):423-31, 2008
УЗИ, МРТ, КТ, рентген тазобедренного сустава - что лучше?

Лабораторные анализы, МРТ, КТ, рентген - вот далеко не полный перечень способов диагностики заболеваний тазобедренных суставов, и каждый из них лучше подходит при той или иной патологии. Обследование суставов таза и бедра обычно начинается с приема у ортопеда, в ходе которого врач оценивает походку, проверяет нарушения внутренней ротации, сгибания, разгибания и отведения, наличие болезненности при пальпации и пассивных движениях. По результатам осмотра доктор скорее всего поставит первичный диагноз и, если нужно, даст направление на лабораторные исследования и аппаратную диагностику.
В медицинских центрах Санкт-Петербурга наиболее распространенными инструментальными способами диагностики тазобедренного сустава являются:
- УЗИ тазобедренного сустава.
- Рентгенография.
- КТ тазобедренного сустава. .
Содержание статьи:

Лабораторные обследования в общем и целом менее информативны, чем визуализация состояния сустава и костей посредством томографии, рентгена или УЗИ, но при некоторых системных ревматических заболеваниях они играют важную роль. Например, ортопед-ревматолог или ревматолог может назначить сдачу:
- антинуклеарных антител (АНА) и антител к двухцепочечной ДНК;
- антинейтрофильных цитоплазматических антител (АНЦА) ;
- ревматоидного фактора и антител к циклическому цитруллинированному пептиду (АЦЦП); HLA-B27 при спондилоартропатиях,
чтобы провести диагностику аутоиммуных заболеваний суставов или выявить воспалительные процессы.
Что лучше - МРТ или рентген тазобедренного сустава?
Рентген сустава - это метод в основном экстренной диагностики при травме бедра. Рентген-аппаратами оснащено большинство травмпунктов в СПб. Рентгенография позволяет быстро определить костные нарушения. Однако при заболеваниях суставов кости обычно не поражаются, поэтому рентген для диагностики патологий тазобедренного сустава - малоинформативный метод сканирования. Врач скорее всего назначит уточняющую МРТ для верификации диагноза, если рентгенография показала наличие патологии. В отличие от рентгена, который визуализирует исключительно нарушения костной ткани, МРТ хорошо показывает все анатомические структуры, которые входят в состав тазобедренного сустава или находятся в близкорасположенной области.
Магнитно-резонансная томография является профилирующим методом обследования в суставной хирургии. Томографию сустава назначают перед операциями, чтобы получить детализированный атлас расположения нервов и сосудов, четкое изображение всех частей сустава и локализации очагов патологии. Такая информация позволяет хирургу составить подробный план предстоящего хирургического вмешательства и избежать врачебных ошибок.
После протезирования МРТ тазобедренного сустава используют, чтобы убедиться в правильном расположении суставного протеза.
Этот метод диагностического исследования применяют, чтобы скорректировать план терапевтического процесса и посмотреть, насколько те или иные лечебные мероприятия являются результативными.
Если перед вами стоит вопрос, как диагностировать тазобедренный сустав - на рентгене или МРТ, в 99% случаев более информативным и предпочтительным способом диагностики будет магнитно-резонансное исследование.
Первичный прием
ОРТОПЕДА
ВСЕГО 1800 рублей!
(подробнее о ценах ниже )
Что лучше - УЗИ или МРТ тазобедренного сустава?
УЗИ тазобедренного сустава у взрослых в основном используется для оценки внесуставных заболеваний, например, воспалений мягких тканей и состояния связок в динамике. В педиатрии ультразвук активно применяется как приоритетный метод диагностики дисплазии сустава у маленьких детей. В остальных случаях лучше сделать МРТ тазобедренного сустава.
МРТ или КТ тазобедренных суставов - что лучше?
КТ тазобедренного сустава лучше, чем МРТ, покажет костную патологию. Она позволяет выявлять первичные и метастатические опухоли костей, остеомиелит, некроз костной ткани, кальциноз околосуставных тканей (при кальцифицирующих тендинитах). При подозрении на ревматоидный артрит, подагру или остеоартроз с помощью КТ можно выявить эрозии, костные кисты, а также сужение суставной щели и остеофиты. При псевдоподагре на снимках компьютерной томографии хорошо визуализируются отложения кристаллов пирофосфата кальция в суставном хряще. КТ тазобедренных суставов за одно обследование комплексно покажет:
- перелом или дислокацию бедра, вызванные травмами или падением;
- степень плотности костной ткани, а также поможет обнаружить раннюю резорбцию кости, которая может стать причиной перелома.
Магнитно-резонансное исследование лучше, чем КТ, показывает мягкие и суставные структуры бедра. Она позволяет оценить состояние хряща, который покрывает бедренную головку и вертлужную впадину, обнаружить его мелкие трещины и дефекты, вызывающие артрит тазобедренного сустава. С помощью МРТ бедра проводят тщательный анализ состояния самой уязвимой части сустава - головки бедренной кости. На полученных изображениях четко видно деформацию или нестабильное положение головки, а также хорошо прослеживается состояние кровеносных сосудов, которые проходят вдоль шейки бедра.
МРТ позволяет диагностировать болезнь Пертеса, которая возникает из-за недостаточности кровоснабжения шейки бедра вследствие ущемления или разрыва кровеносных сосудов.
Сканирование с помощью магнитно-резонансного томографа визуализирует признаки саркомы Юинга - это злокачественная опухоль, которая может влиять на устойчивость бедер и чаще всего поражает мужчин в детском и раннем взрослом возрасте.
МР-исследование используют для тщательного обследования злокачественных опухолей, чтобы увидеть степень расширения кости и мягких тканей опухоли и проследить ее связь с близлежащими анатомическими структурами.
На снимках МРТ тазобедренного сустава хорошо видны участки растяжения связок, разрывы или утолщения сухожилий, воспалительные процессы в мышечной ткани.
Обследование на томографе позволяет найти места ущемления нервов, диагностировать тромбоз глубоких вен бедра, что может стать причиной легочной эмболии, если эти сгустки с током крови достигнут сосудов, питающих легкие.
МРТ является лучшим методом диагностики таких патологий опорно-двигательного аппарата, как импиджмент синдром тазобедренного сустава, бурсит, абсцесс, тендинит.
Недостатки МРТ и КТ тазобедренного сустава
МР-диагностика тазобедренного сустава возможна не для всех пациентов. Наличие металла в теле и электронные импланты - это два основных противопоказания к томографии. Даже с учетом того, что значительный процент обследуемых на МРТ тазобедренного сустава составляют пациенты с тем или иным видом протезов, к процедуре не допускаются те, у кого они выполнены из стали. Учитывая высокую мощность магнитного поля, любое присутствие предметов из ферромагнитного металла в организме может приводить к сдвиганию и внутреннему кровотечению. В таких ситуациях предпочтительным методом диагностики будет КТ или УЗИ.
Основным недостатком КТ тазобедренного сустава является лучевая нагрузка на организм. В среднем она составляет 2-3 мЗв за одно сканирование. Поэтому компьютерная томография строго противопоказана беременным женщинам на любом сроке вынашивания и не желательна для детей малого возраста (до 7 лет).
Что показывает МРТ тазобедренного сустава
Обследование тазобедренных суставов с помощью МРТ — одно из наиболее распространенных исследований, которое применяется при травмах, болевом синдроме, врожденных и приобретенных дефектах опорно-двигательного аппарата. Метод диагностики позволяет детально рассмотреть костные структуры и мягкие ткани, выявить даже незначительные нарушения, в том числе те, которые долгое время протекают практически бессимптомно.
Заболевания тазобедренного сустава, что выявляет МРТ?
Проводят МРТ тазобедренного сустава по показаниям и с профилактической целью. Исследование безопасно, имеет повышенную информативность. Может применяться со второго триместра беременности (без контраста).
Процедуру МРТ тазобедренного сустава проводят при наличии следующих заболеваний:
Артриты, артрозы. Эта большая группа патологий связана с разными причинными факторами (воспаление, травма, инфекционное поражение, реакция иммунной системы) и требует детального изучения поврежденных хрящевых структур. С помощью МРТ можно поставить точный диагноз, разработать индивидуальную схему лечения, оценить ее эффективность.

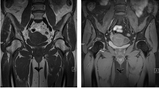
Рисунки 1,2. МР-картина артроза тазобедренных суставов с наличием отека костного мозга дистрофического характера в верхне-наружных отделах вертлужной впадины справа
Болезнь Рейтера. Это заболевание ревматического характера, которое сопровождается поражением урогенитального тракта, суставов и тканей глаза. Болезнь провоцируют хламидии.
Болезнь Бехтерева. Это тяжелое аутоиммунное заболевание может вызывать поражение тазобедренного сустава, патологическое сужение суставной щели, появление выраженной скованности и двигательных ограничений. Определенные изменения на симках позволяют заподозрить развитие патологии и определить антитела в крови больного человека.
Суставная дисплазия. Болезнь дебютирует преимущественно в раннем детстве, имеет врожденный характер. На МРТ специалисты выявляют характерные изменения в области расположения суставных структур.
Ревматоидный артрит. Нарушение сопровождается эрозивно-деструктивными изменениями суставов с прогрессированием деформирующего процесса и ограничением физической активности. В основе болезни лежат аутоиммунные реакции, возникающие в ответ на действие неизвестных факторов. Ревматолог знает, что показывает МРТ тазобедренного сустава при ревматоидных поражениях и может легко дифференцировать патологию.
Системная красная волчанка. Аутоиммунное заболевание, которое вызывает симметричное поражение крупных суставов, в том числе тазобедренных, сильные боли и поражение внутренних органов.
Ушибы, вывихи, растяжение связок, переломы. МРТ при травматическом повреждении применяется при необходимости уточнить состояние тканей после проведении рентгенографии или КТ.

Гемартроз. При этом нарушении происходит кровоизлияние в сустав. Он становится более объемным, в нем происходят характерные изменения, хорошо заметные на МРТ.
Теносиновит. Происходит острое воспаление сухожильных тканей, синовиальной оболочки. Внутри сустава накапливается жидкость. Характерные изменения заметны в процессе проведения диагностики.
Остеомиелит и его осложнения. Происходит гнойное поражение тканей сустава. Без лечения болезнь приводит к некрозу головки бедра.
Новообразования. МРТ выявляет даже небольшие опухоли, позволяет дать более точную структуру образования. С помощью исследования можно обнаружить все стадии злокачественного процесса, определить метастазы.
При наличии патологий с хроническим течением МРТ рекомендуется проводить 1-2 раза в год, чтобы контролировать ход течения болезни, предупреждать осложнения и вовремя корректировать лечение. Также исследование назначают после проведения эндопротезирования и других оперативных вмешательств. Результаты процедуры активно применяются при составления плана хирургического вмешательства, разработки реабилитационной программы.
Рекомендуется исследовать оба сустава. Так можно получить больше полезной информации о состоянии тканей. Это правило особенно актуально при системных заболеваниях.
Тазобедренный сустав состоит из бедренной кости и костей таза. Вертлужная впадина «захватывает» головку бедра, которая покрыта эластичной хрящевой тканью.. Технически строение вертлужной впадины похоже на шарнир, состоящий из разных костно-хрящевых элементов. Зная правильную анатомию сустава, можно с помощью МРТ выявить даже незначительные изменения.
МРТ, КТ, УЗИ или снимок рентгена тазобедренных суставов?
Заболевания тазобедренных суставов требуют проведения комплексной диагностики. Рекомендуется исследовать сухожилия и связки, костные структуры с помощью нескольких исследований. Каждый метод имеет свои особенности и его можно сравнить с возможностями МРТ-диагностики.
МРТ или рентген?
Рентгенография более информативна при необходимости исследовать костные структуры, травмы, переломы. При патологиях суставов и позвоночника необходимо исследовать мягкие ткани и костные структуры комплексно. Этот способ позволяет дифференцировать заболевание, подбирать подходящую терапию, делать прогноз на будущее.
МРТ или КТ?
КТ информативнее при костных патологиях, когда нужно оценить степень поражения кости, обнаружить остеофиты, сужение суставной щели. Также исследование применяется при травмах любого характера. МРТ применяют для оценки состояния всех мягких тканей тазобедренного сустава — как костей, так и мягких тканей. Особое внимание специалисты уделяют головке бедренной кости, которая считается наиболее уязвимым местом.

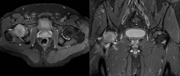
Рисунок 3. МРТ тазобедренных суставов в косо-аксиальной плоскости.
Суставной хрящ головки бедренной кости и правой вертлужной впадины с обеих сторон однородной структуры, неравномерной толщины, целость его не нарушена. Головка бедренной кости сферичная, шейка не укорочена, не утолщена.
МРТ или УЗИ?
УЗИ применяется для оценки состояния внесуставных тканей, связочного аппарата. Ультразвук применяют преимущественно при подозрении на дисплазию и повреждения мягких тканей.
Подготовка к магнитно-резонансной томографии
Подготовка к МРТ тазобедренного сустава подготовка зависит от того, будет ли врач проводить диагностику с контрастным усилением или нет. Об этом стоит уточнять у специалиста заранее. Обычно он подробно рассказывает о применяемом методе, касаясь подготовительных мероприятий.
Если контрастный препарат будет применяться, то до исследования нельзя 2 часа ничего есть. Воду пить разрешается. Если вы на постоянной основе принимаете лекарственные средства, сообщите об этом заранее диагносту и своему лечащему врачу. Перед обследованием необходимо снять украшения, часы, положить отдельно гаджеты. При сильном волнении разрешается принять седативный препарат по разрешению врача.

Важные особенности диагностики:
на обследование рекомендуется приходить в удобной одежде, которая не стесняет движения, позволяет спокойно дышать;
помните о необходимости снимать металлические элементы с одежды, все украшения;
при наличии вопросов, касающихся проведения и подготовки к процедуре задавайте их заранее — за несколько дней до сканирования;
при клаустрофобии требуется седация или исследование проводят в томографе открытого типа;
вы можете использовать беруши, наушники, чтобы избавиться от дискомфорта, связанного со звуком работающего томографа.
Врач подробно расскажет о правилах проведения обследования, важности сохранения неподвижности. Определенные сложности возникают при диагностике, проводимой в детском возрасте и у пациентов с возрастными изменениями, прогрессирующей деменцией или психическими отклонениями. Индивидуально может быть рассмотрен вопрос применения легкой седации для сохранения неподвижности пациента на протяжении всей процедуры.
Противопоказания
Диагностику проводят только после отсутствия состояний и жалоб, которые относятся к противопоказаниям. Пациента осматривает специалист и решает, есть ли основания для проведения обследования.
Запрещена диагностика в следующих случаях:
наличие в тканях организма сплавов металлов, способных нагреваться под действием магнитного поля аппарата МРТ;
индивидуальная непереносимость контрастного вещества;
тяжелая почечная недостаточность (при контрастном усилении);
наличие помп, кардиостимуляторов, других имплантируемых внутрь организма устройств;
татуировки с применением металлических компонентов;
первый триместр беременности.
Исследование можно проводить при наличии конструкций, выполненных с применением титана. Уточнить информацию о составе протеза можно у его производителя. Данные нередко указываются в договоре, заключенном с клиникой, а также в другой медицинской документации.
Как делают МРТ тазобедренного сустава с контрастом?
Контрастные вещества заполняют сосуды после внутривенного введения. Патологические образования имеют выраженную кровеносную сеть. При этом сосуды расположены атипично. Поэтому на МР-исследовании заметны даже опухоли в начальной стадии роста. Удается диагностировать новообразования небольшого размера.
МР-контрастные препараты склонны накапливаться в зонах с интенсивным кровоснабжением (в злокачественных новообразованиях), благодаря чему они позволяют обнаруживать самые мельчайшие опухоли, кровоизлияния или кисты.
Контраст используют при отсутствии серьезных проблем с почками. Предварительно рекомендуется сдать кровь на креатинин. Так как проводится МРТ тазобедренного сустава с контрастным усилением для получения четких очертаний патологических очагов, то главным показанием для диагностики является злокачественная опухоль или подозрение на ее наличие.
Применяемый препарат усиливает четкость изображений, позволяет определить точное положение новообразования и другие особенности, важные для дифференциальной диагностики. Контраст вводят внутривенно после проведения стандартных протоколов.
Сколько по времени делается МРТ бедра?
В среднем исследование продолжается 30-40 минут. Продолжительность зависит от особенностей обследования и конкретной зоны сканирования. Диагностика с контрастом длится дольше, так как врач сначала проводит стандартную процедуру, а затем уже — с контрастным усилением.
Расшифровка фото снимков доктором
Пациенту сложно самостоятельно разобраться в результатах исследования. Профессиональный диагност расшифровывает снимки и делает подробное описание. Перед исследованием врач объясняет, как делают МРТ тазобедренного сустава и что это за метод диагностики.

Метод дает возможность определить внутрисуставной выпот, характерный для инфекционных, воспалительных и аутоиммунных патологий, а также участки с изменением МР-сигнала. После получения заключения и самих снимков необходимо обратиться к лечащему врачу. Это особенно актуально для пациентов, которые получают неудовлетворительные результаты МРТ-исследования.
В норме на МРТ при расшифровке врач получает следующие сведения:
костная ткань однородная, отсутствуют признаки дистрофии;
равномерные суставные щели;
отсутствует субхондральный склероз суставных поверхностей;
капсула сустава не утолщена, присутствует незначительное количество синовиальной жидкости и при этом МР-сигнал от нее должен быть однородным;
связки не повреждены;
вертлужные впадины не изменена;
хрящ не истончен;
отсутствуют очаговые поражения костных структур и краевые костные заострения;
мягкие ткани не повреждены и не изменены.
После получения результатов диагностики вы можете сразу записаться на прием к лечащему врачу. На основании исследования специалист поставит точный диагноз и будет подбирать подходящую схему терапии.
МРТ в основном направлено на изучение мягкотканных структур, преимущественно хрящевых. В тазобедренном суставе эластиновые и коллагеновые волокна так сочетаются, что образуют одновременно жесткий и упругий хрящ. Он выдерживает повышенные нагрузки, характеризуется устойчивостью к негативным внешним и внутренним факторам. Фиброзные волокна ограничивают полость сустава. Они очень прочные, защищают от серьезных повреждений мягкие ткани.
Читайте также:
- Классификация опухолей сердца
- Вывихи шейного отдела позвоночника. Заболевания позвоночника у спортсменов
- Симптомы воспаления придаточных полостей носа. Проявления синуитов
- Показания для генетического консультирования. Принципы
- Лечение заворота сигмовидной кишки. Консервативное и оперативное лечение заворота сигмовидной кишки.
