Рентгенограмма, КТ, МРТ при переломе кубовидной кости
Добавил пользователь Евгений Кузнецов Обновлено: 28.11.2025
МРТ – безвредное и информативное исследование организма. Рассмотрим, видны ли на МРТ переломы, в каких случаях обосновано это обследование, лучше по сравнению с другими методами визуализации.
Показывает ли МРТ перелом костей?
МРТ показывает состояние всех тканей организма, но чем больше в них процентное содержание воды или жира, тем более яркими и светлыми они получаются на МР снимках. Кости имеют вид темных структур. МРТ перелома показывает изменение структуры кости, линию перелома, но на снимках КТ костная ткань получается более яркая, детализированная. Для изучения костной патологии предпочтительным методом остается КТ.
Исключение составляют случаи, когда нельзя использовать лучевое воздействие на организм:
- обследование детей, беременных;
- подозрение на сопутствующую патологию мягких тканей, которую хорошо видно и можно изучить только на МРТ.
Самым быстрым, простым методом диагностики переломов, который доступен даже в небольших районных больницах, остается рентген. Степень информативности этого метода ниже, чем у КТ или МРТ, поэтому первичная диагностика при помощи рентгена часто требует дальнейшего уточнения диагноза при помощи томографии. Если у врача остаются вопросы после изучения рентгеновского снимка, он назначит пациенту пройти МРТ или КТ в зависимости от клинической картины:
Если имеются боли, отек, нарушения чувствительности, парезы, велика вероятность того, что костные структуры сдавливают нерв или спинной мозг. Лучшим методом диагностики станет МРТ.
Если перелом не был спровоцирован серьезной травмой, скорее всего, речь идет о патологическом переломе. Нарушение целостности кости легче наступает при остеопорозе, в месте опухолевого поражения. Большинство опухолей в костях являются метастазами из первичного очага во внутренних органах (из молочной железы, легких, почек, щитовидной железы, простаты). Перелом кости может стать первым симптомом, который проявит наконец серьезное заболевание, а может произойти спустя несколько лет после успешного оперативного удаления первичного очага. МРТ для изучения опухолей – точный, информативный, достоверный метод, намного превосходящий рентген диагностику. Для уточнения характера выявленных изменений используют введением контраста. Снимки дают представление врачу о природе опухоли, ее структуре, размерах, воздействии на рядом расположенные ткани. Бывает так, что перелом при неправильном срастании тканей становится причиной опухоли. На МРТ при этом можно выявить вздутие кости, изменение ее структуры, ячеистость.
Отдельного внимания заслуживают травмы кисти, стопы. Здесь кости имеют небольшие размеры. Тени их накладываются одна на другую. Оценить состояние костной ткани гораздо точнее можно на трехмерных снимках МРТ и КТ, чем на плоскостных рентгеновских. На МРТ кроме костных нарушений будут видны также сдавление или разрыв нервов, сухожилий, отек, воспаление мышц, суставов.

На Т2-ВИ в сагиттальной и корональной плоскостях определяется стресс-перелом дистальных отделов малоберцовой кости.
МРТ выявляет скрытые переломы. Это такие случаи, когда рентген не покажет линию перелома несмотря на то, что она есть. Если после травмы боли не проходят, а рентгеновский снимок не выявил никакой патологии, пациенту рекомендуют сделать МРТ соответствующей области.
С помощью МРТ более точно определяют свежие переломы: видны отек костной ткани, разрушение костных трабекул. МРТ хорошо дифференцирует свежие переломы от застаревших случаев.
Расшифровка и как выглядят переломы на снимке МРТ?
Плотное вещество кости лучше исследовать на снимках КТ. На МРТ снимках кость – самая темная ткань, на КТ – наиболее яркая и светлая. Зато МРТ лучше выявляет сопутствующие переломам повреждения костного мозга, спинного мозга, нервов, сухожилий, мышц, связок.
Свежие переломы всегда сопровождаются отеком мягких тканей вокруг костей, отеком самого вещества кости. На снимках это выглядит как затемнение без четких контуров.

На Т2-fs-ВИ в сагиттальной плоскости определяется разрыва пяточного сухожилия.
Если перелом произошел на месте опухолевого поражения кости, снимок МРТ показывает изменение структуры костной ткани. Для более детального изучения патологического очага применяют контрастную МРТ, интенсивно контрастируются места с опухолевыми изменениями на фоне здоровых тканей. Для этого в вену вводят контрастное вещество, основой которого является гадолиний. С током крови оно попадает во все ткани организма, накапливается в воспаленных, опухолевых очагах.
Кости черепа.
По МРТ можно определить перелом костей черепа. Кости свода плоские, видны на МРТ как темная тонкая полоска между кожей и мозговыми оболочками. При обследовании в разных проекциях можно обнаружить линии перелома. Однако они хорошо заметны и при обычной рентгенограмме. Она стоит дешевле и делается быстрее. Зато она не показывает, что происходит с мозгом и оболочками в результате травмы головы. На снимках МРТ можно определить, повреждены ли кроме костей мягкие структуры, есть ли гематомы, разрывы сосудов, очаги некроза, ушиб мозга. При травмах, которые сопровождаются неврологической симптоматикой, методом уточнения состояния головного мозга после перелома станет МРТ.
Перелом основания черепа, височных костей – всегда сложная травма. Она затрагивает множество структур, проходящих между костями, их отростками, внутри полостей. Наиболее полную картину после травмы черепа можно получить именно благодаря томографии на основе магнитного резонанса.
Верхние конечности
На МРТ направляют после рентгена, если перелом проходит в области кисти, лучезапястного сустава. Такие переломы наблюдаются при падении на вытянутую руку, особенно в детском и пожилом возрасте. Повреждения могут касаться также тазобедренного, локтевого, плечевого сустава, сопровождаться отрывом, ущемлением сухожилия, нерва.

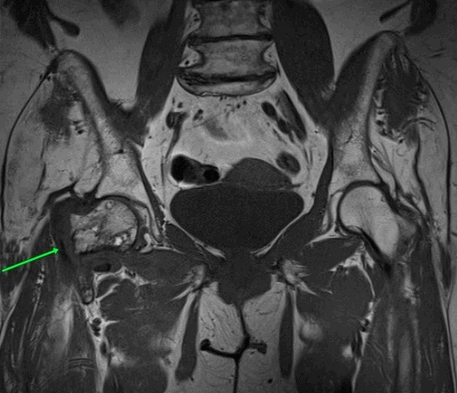
МРТ тазобедренных суставов.
МР-признаки базисцервикального перелома шейки правой бедренной кости с наличием зон инфаркта головки и шейки правой бедренной кости, синовита правого тазобедренного сустава, отека окружающих мягких тканей справа.
МРТ хорошо визуализирует последствия травм и переломов:
- Сдавление мягких тканей костными отломками.
- Разрывы сухожилий, реактивный синовиит.
- Нарушение целостности сосудов, нервов.
- Посттравматический туннельный синдром запястья – человека беспокоят восходящие боли в руки, нарушения чувствительности, на поздних этапах слабость мышц.
- Нарушение целостности ладьевидно-полулунной связки, которое приводит к нестабильности сустава.
- Асептический некроз ладьевидной, полулунной костей.
- Артрит как следствие травмы.
- Атрофия Зудека.
Врач решает, нужно ли делать МРТ или КТ после перелома в каждом случае индивидуально.
На МРТ выявляют ушибы костей, при которых нет перелома на рентгене, а пациента беспокоит боль и отек мягких тканей. Снимки выявляют очаги остеонекроза, можно определить их стадию.
Изучают на МРТ случаи переломов, если повреждены мягкие ткани, внутрисуставные структуры, долго не проходит симптоматика после травмы несмотря на проводимое лечение. МРТ делают, если планируется оперативное вмешательство, а также для контроля достигнутых результатов лечения. МРТ снимки позволяют создавать трехмерные изображения стопы, колена, поэтому врач может увидеть линии перелома, не заметные на обычной рентгенограмме, изучить состояние каждой косточки.
Иногда травма или нарушение кровоснабжения в области суставов стопы приводит к асептическому некрозу одной из костей. МРТ обязательно покажет такие очаги.
Перед операцией по поводу лечения перелома шейки бедра, вертлужной впадины, делают МРТ.
Компрессионный перелом
Если на позвоночник действует большая сила, или ткани позвоночника ослаблены (остеопороз, патологические очаги), могут возникнуть компрессионные переломы тел позвонков. Такие изменения наблюдаются в 90 % случаев, когда падение или неудачное приземление на ноги привело к перелому позвоночника. Механизм травмы – одновременное сжатие и сгибание позвоночника. Перелом часто происходит при ДТП, падениях во время гололеда. При этом позвонки становятся клиновидными, приобретают сплющенную в переднем отделе форму. Задние отделы чаще сохраняют целостность и изначальную высоту.

МРТ пояснично-крестцового отдела позвоночника. На Т2-ВИ в сагиттальной плоскости определяется компрессионный перелом L1 позвонка на фоне остеопороза.
К более сложным нарушениям относят переломы оскольчатые, отрывные, взрывного типа. При них нарушается целостность любых отделов позвонка, имеется много осколков. Они нередко смещаются и вызывают компрессию спинного мозга.
МРТ покажет изменение формы позвонка, линию перелома, дефекты костной замыкательной пластины. Может меняться высота между позвонками. Если к перелому привела слабость костной ткани, на снимках кость выглядит более светлой из-за снижения содержания солей кальция между костными трабекулами.
Компрессионный перелом виден на рентгене при достаточной степени деформации позвонка, хорошо визуализируется на КТ во всех случаях. МРТ выгодно отличается тем, что показывает свежий перелом. Это определяет тактику лечения – максимально щадящий режим для спины, иммобилизация корсетом. Также он выявляет сопутствующую патологию дисков, грыжу, дегенеративные и воспалительные болезни позвоночника, суставов, спинного мозга и его оболочек, нервов, сосудов.
Нередко компрессионный перелом приводит к смещению позвонка и сдавлению спинного мозга или выходящих на этом уровне спинномозговых нервов.
Бывают и другие деформации тел позвонков. Они не связаны с травмой, вызваны врожденной аномалией костной системы.
При повреждении каких костей можно делать МРТ?
Наиболее часто МРТ назначают при повреждении костей черепа, позвоночника, таза, кистей, стоп, суставов. МРТ даст полезную информацию обо всех структурах, которые находятся вблизи костей и могли пострадать от травмы.
В травмпунктах и отделениях скорой помощи первым делом пациенту делают рентген. Если врач считает нужным, далее проводят МРТ или КТ. При подозрениях на внутричерепное кровоизлияние методом выбора в первые 6 – 8 часов после травмы будет КТ. В более поздние сроки определенные изменения будут видны и на снимках МРТ.
Как часто можно проходить магнитно-резонансную томографию при переломе?
Магнитно-резонансная томография не несет лучевой нагрузки на организм. На данный момент не выявлены никакие отрицательные последствия проведения МРТ для организма взрослого, детей, беременных. В качестве перестраховки избегают делать МРТ только в 1 триместре беременности. Вреда не представляют исследования в любых количествах. Нужно понимать, что это должно быть обоснованное обследование. В противном случае это станет бесполезной тратой денег и времени. Просто так в качестве профилактики или для скрининга не стоит назначать себе МРТ.

Как часто нужно делать МРТ, скажет врач. Между двумя обследованиями должно пройти столько времени, чтобы в тканях успели произойти заметные на снимках изменения. Так как костная ткань мало пластична, то изменения фиксируют обычно через 3 – 6 месяцев, чтобы проконтролировать, как зажил перелом, как срослись все структуры после операции.
Что лучше при переломе: рентген или МРТ?
Факт наличия перелома рентген устанавливает четко. Видна линия перелома, наличие или отсутствие смещения костей, отломки. Если этой информации врачу достаточно для успешного излечения, дальше ничего не назначают в плане диагностики.
Если перелом сложный, захватывает несколько структур, скорее всего врач больного направит на КТ. Если есть опасность повреждения мягкотканных структур, присутствуют симптомы сдавления нервов, онемение, слабость поврежденной части тела, более обоснованным будет назначение МРТ. В современной медицине это метод наиболее информативного и полного обследования любой анатомической области.
При выборе способа дальнейшего обследования врач учитывает противопоказания к КТ и МРТ. Так, компьютерная томография представляет собой один из вариантов рентгеновского обследования. Его не назначают детям, беременным, кормящим женщинам, ослабленным больным.
От МРТ как метода обследования места перелома придется отказаться, если у пациента:
Имплантированы металлические штифты, трансплантаты, искусственный водитель ритма, помпа для введения инсулина, кохлеарные протезы.
Эпилепсия, психическое заболевание.
Контраст нельзя вводить при беременности, при аллергической реакции на гадолиний, тяжелых болезнях почек.
В индивидуальном порядке решают случаи, когда больной страдает клаустрофобией, имеет сильные боли, не может долго лежать без движения. Тогда прибегают к седации при МРТ перелома. При больших массе и объеме тела обследование можно пройти на открытом томографе. С детьми старшего возраста проводят беседу, объясняют, как важно лежать, не двигаясь и слушать врача. Маленьких детей чаще вводят в поверхностный медикаментозный сон.
При назначении обследования врач руководствуется не только тем, покажет ли МРТ перелом, но и главным вопросом – узнать, какие еще изменения в организме вызвала травма:
есть ли кровоизлияние;
разрыв нервов, связок и сухожилий;
очаги некроза, деформация мягких тканей.
Эта информация будет влиять на выбор тактики лечения больного, поможет восстановить все функции организма в полном объеме.

Также выбор метода диагностики зависит от наличия оборудования в больнице, срочности обследования, финансовых возможностей пациента. Врач рекомендует оптимальный метод, а больной выбирает, где и когда он может пройти обследование. Лучше выбирать медицинские центры с современными томографами большой мощности, опытными специалистами. Это станет залогом точного определения диагноза и результативного лечения.
Рентгенограмма, КТ, МРТ при переломе кубовидной кости
а) Визуализация:
1. Общая характеристика:
• Лучший диагностический критерий:
о Перелом: деформация кубовидной кости, при рентгенографии линия перелома может не визуализироваться
о Вывих: нарушение конгруэнтности суставных поверхностей, может быть слабо заметным
• Локализация:
о Перелом: средняя часть, проксимальный или дистальный край
о Вывих: вывих сустава Шопара, Лисфранка или кубовидной кости
2. Рентгенография при переломе кубовидной кости:
• Краевой импрессионный перелом:
о Линия склероза, проходящая параллельно суставной поверхности
• Центральный перелом:
о Угловая деформация борозды длинной малоберцовой мышцы
о Часто перелом выглядит в виде звезды
• Вывих пяточно-кубовидного сустава:
о В норме пяточно-кубовидный сустав при рентгенографии без нагрузки виден под углом:
- Следует обращать внимание на отсутствие параллельности суставных поверхностей
о Вывих почти всегда сочетается с вывихом таранно-ладьевидного сустава или переломом его суставных поверхностей
• Стресс-перелом:
о Линия склероза, проходящая параллельно кортикальному слою проксимального или дистального края кости
о Часто не визуализируется при рентгенографии
о Может выявляться у детей в возрасте 1-3 лет и взрослых
(Слева) При рентгенографии среднего отдела стопы в передне-задней проекции определяется вывих сустава Шопара. Кроме того, выявляется перелом кубовидной кости в виде звезды в Кубовидная и ладьевидная кости смещены медиально. Головка таранной кости вдается в ладьевидную кость.
(Справа) У этого же пациента при рентгенографии среднего отдела стопы в боковой проекции тень головки таранной кости накладывается на тень ладьевидной кости. Пяточно-кубовидный сустав не виден вследствие отсутствия конгруэнтности его суставных поверхностей. Заметить перелом кубовидной кости достаточно трудно. Важным его признаком является угловая деформация кости в области борозды длинной малоберцовой мышцы. (Слева) При рентгенографии среднего отдела стопы в косой проекции определяется изолированный оскольчатый перелом кубовидной кости, возникший вследствие избыточного отведения стопы. Выявляется угловая деформация и вдавление латерального края кости. Полоса склероза, пересекающая кубовидную кость, соответствует сдавленным трабекулам.
(Справа) У этого же пациента при Кт в сагиттальной плоскости лучше видна обширность повреждения суставных поверхностей пяточно-кубовидного и предплюсне-плюсневого суставов. (Слева) При рентгенографии среднего отдела стопы в косой проекции в средней части кубовидной кости определяется линия склероза, свидетельствующая о переломе кости. Кроме того, выявляется некоторая угловая деформация кубовидной кости в области борозды длинной малоберцовой мышцы.
(Справа) При МРТ в сагиттальной плоскости в режиме STIR визуализируется изолированный перелом кубовидной кости, возникший вследствие избыточного отведения стопы. Следует отметить ступенеобразную деформацию суставной поверхности предплюсне-плюсневого сустава и ушиб сухожилия длинной малоберцовой мышцы.
3. КТ при переломе кубовидной кости:
• Улучшает визуализацию суставных поверхностей
4. МРТ при переломе кубовидной кости:
• Преимущества аналогичны КТ, однако МРТ позволяет обнаружить еще и отек костного мозга
• Используется для выявления стресс-переломов
• Позволяет оценить состояние сухожилия длинной малоберцовой мышцы:
о Проходит в одноименной борозде кубовидной кости, может повреждаться при переломе последней
5. Рекомендации по визуализации:
• Лучший метод визуализации:
о КТ
б) Дифференциальная диагностика перелома кубовидной кости:
1. Вывих сустава Лисфранка:
• Встречается чаще, чем перелом кубовидной кости
• Могут наблюдаться вывихи 4-5 предплюсне-плюсневых суставов ± перелом кубовидной кости
2. Изолированный вывих таранно-ладьевидного сустава:
• Обычно выявляются вывихи как таранно-ладьевидного, так и пяточно-кубовидного суставов
• Вывих пяточно-кубовидного сустава без вывиха таранно-ладьевидного сустава не происходит
3. Нормальная подвижность сустава:
• При рентгенографии без нагрузки тень суставной поверхности кубовидной кости простирается несколько ниже тени пяточной кости
• Края сустава остаются параллельными
4. Борозда длинной малоберцовой мышцы в норме:
• Борозда длинной малоберцовой мышцы имеет вид линии склероза
• Может напоминать вколоченный перелом
• Контур округлый в отличие от линии импрессионного перелома, изгибающейся под углом
(Слева) При рентгенографии среднего отдела стопы в боковой проекции определяется перелом средней части кубовидной кости, сочетающийся с вывихами 4-го и 5-го предплюсне-плюсневых суставов.
(Справа) У футболиста при МРТ в аксиальной плоскости на ППВИ в режиме FS визуализируется изолированный оскольчатый перелом кубовидной кости. Следует отметить наличие вколоченного перелома суставной поверхности предплюсне-плюсневого сустава. (Слева) Пациент, получивший травму при падении с высоты. При КТ в аксиальной плоскости определяется продольно ориентированный перелом кубовидной кости, сочетающийся с компрессионным переломом пяточной кости. Вследствие перелома кубовидной кости наблюдается повреждение суставных поверхностей как пяточно-кубовидного сустава, так и сустава Лисфранка.
(Справа) У этого же пациента при КТ в коронарной плоскости визуализируются вертикально ориентированные переломы кубовидной и ладьевидной костей. Изолированные переломы кубовидной кости встречаются редко, чаще они сочетаются с переломами прочих костей стопы. (Слева) У конькобежца при МРТ в сагиттальной плоскости на Т1ВИ определяется стресс-перелом кубовидной кости. Типичным для такого типа перелома является наличие в кости множества трещин, расходящихся в стороны в виде звезды.
(Справа) У этого же пациента при МРТ в сагиттальной плоскости в режиме STIR большую часть кубовидной кости занимает обширная зона отека костного мозга. На фоне отека хорошо видны линии перелома.
в) Патология:
1. Общая характеристика:
• Этиология:
о Различный механизм травмы:
- Скручивание
- Воздействие осевой нагрузки в направлении от пальцев до пяточной области
- Сдвигающее усилие, приложенное вдоль среднего отдела стопы
- Стресс-перелом (редко)
• Сопутствующие патологические изменения
о Переломы прочих костей стопы
о Вывих сустава Шопара или Лисфранка
о «Щипцовая» травма:
- Отрывной перелом срединного возвышения ладьевидной кости
- Размозжение суставных поверхностей пяточно-кубовидного сустава (либо кубовидной, либо пяточной кости)
о Повреждение сухожилия длинной малоберцовой мышцы
2. Краткие анатомические сведения:
• Борозда длинной малоберцовой мышцы:
о Располагается на нижней поверхности средней части кубовидной кости
• Сустав лисфранка: предплюсне-плюсневый сустав
• Сустав Шопара: поперечный сустав предплюсны:
о Таранно-ладьевидный + пяточно-кубовидный суставы
о Суставы имеют раздельные полости, однако действуют, а часто и повреждаются совместно
г) Клинические особенности:
1. Проявления:
• Типичные признаки/симптомы:
о Травма: видимая деформация кости при наличии вывиха:
- Симптомы перелома кубовидной кости часто не заметны на фоне симптомов повреждения других структур стопы
о Стресс-перелом: неясные боли в среднем отделе стопы, слабость
2. Течение и прогноз:
• Прогноз зависит от тяжести повреждения сустава
• При вколоченном переломе происходит укорочение латеральной колонны стопы
д) Диагностическая памятка:
1. Советы по интерпретации изображений:
• Перелом кубовидной кости заметить при рентгенографии достаточно трудно; следует обращать внимание на деформацию или склерозирование кости
• В норме суставные поверхности пяточно-кубовидного сустава при рентгенографии без нагрузки в боковой проекции кажутся несколько неконгруэнтными
2. Рекомендации по отчетности:
• Следует помнить о феномене «насыщения поиска»:
о Необходимо тщательно оценивать изображения, чтобы не пропустить прочие травмы
е) Список использованной литературы:
1. Traister Е et al: Diagnostic considerations of lateral column foot pain in athletes. Curr Sports Med Rep. 13(6):370-6, 2014
2. Borrelli J Jr et al: Fracture of the cuboid. J Am AcadOrthopSurg. 20(7):472-7, 2012
3. Sangeorzan BJ et al: Displaced fractures of the cuboid, i Bone Joint Surg Br. 72(3):376-8, 1990
Рентгенограмма, КТ, МРТ при внесуставном переломе пяточной кости
а) Определение:
• Передний отросток пяточной кости: внесуставной клиновидный выступ кости возле пяточно-кубовидного сустава
• Задний отросток пяточной кости: крупный выступ квадратной формы позади подтаранного сустава, также известный как пяточный бугор
б) Визуализация:
1. Общая характеристика:
• Локализация:
о Различная
о Отрывной перелом:
- Область прикрепления ахиллова сухожилия, пяточно-малоберцовой связки, раздвоенной связки, короткого разгибателя пальцев стопы
о Импрессионный перелом:
- Задненижний край заднего отростка, опора таранной кости, передний край пяточной кости
(Слева) При рентгенографии голеностопного сустава в боковой проекции определяется линия перелома, пересекающая основание переднего отростка пяточной кости в поперечном направлении. В этом случае линия перелома достигает пяточно-кубовидною сустава.
(Справа) При рентгенографии пяточной кости в косой проекции визуализируется небольшой костный фрагмент, типичный для перелома переднего отростка пяточной кости. В этой области - между передним отростком, ладьевидной и кубовидной костями-находится точка прикрепления раздвоенной связки. Отличить отломок от добавочной пяточной кости, которая может здесь находиться, достаточно трудно. (Слева) При МРТ в сагиттальной плоскости на Т2ВИ в режиме FS определяется острая фаза перелома переднего отростка пяточной кости: линия перелома окружена зоной отека костного мозга. Следует отметить слабо выраженный отек дорсальной части волокон раздвоенной связки.
(Справа) При КТ в сагиттальной плоскости визуализируется перелом переднею отростка пяточной кости. Наличие в пазухе предплюсны небольших костных фрагментов обусловлено отрывным переломом области прикрепления короткого разгибателя пальцев стопы. Оба перелома возникли в результате избыточной внутренней ротации стопы и достаточно часто сочетаются. (Слева) При рентгенографии голеностопною сустава в передне-задней проекции определяется отрывной перелом области прикрепления короткою разгибателя пальцев стопы. Латеральнее костною фрагмента выявляется выраженный отек мягких тканей, который локализуется ниже, чем отек при повреждении связок голеностопного сустава.
(Справа) При рентгенографии стопы в передне-задней проекции визуализируется небольшой костный фрагмент, наличие которою обусловлено отрывным переломом области прикрепления короткою разгибателя пальцев стопы. Данные фрагменты часто могут быть обнаружены при рентгенографии в передне-задней проекции либо стопы, либо голеностопною сустава.
2. Рентгенография при внесуставном переломе пяточной кости:
• Перелом переднего отростка пяточной кости:
о Линия перелома перпендикулярна отростку
о Лучше всего видна при рентгенографии стопы в косой проекции
о Иногда выявляется в боковой проекции
• Перелом переднего края пяточной кости:
о Размозжение суставной поверхности пяточно-кубовидного сустава
о Может встречаться при отрывном переломе медиального возвышения ладьевидной кости:
- «Щипцовая» травма
• Отрывной перелом области прикрепления короткого разгибателя пальцев стопы:
о Тонкий костный фрагмент по латеральному или переднему краю тела пяточной кости
о Может визуализироваться при рентгенографии голеностопного сустава или стопы в передне-задней проекции
• Отрывной перелом области прикрепления ахиллова сухожилия:
о Линия перелома проходит через задний отросток в косом направлении
о Поскольку ахиллово сухожилие прикрепляется к нижней половине отростка, при отрывном переломе крупный фрагмент вместе с сухожилием смещается вверх
• Импрессионный перелом заднего отростка:
о Склеротическая линия по нижнему краю пяточной кости
о Ступенеобразная деформация кортикального слоя пяточной кости чаще видна лишь в аксиальной проекции
• Перелом опоры таранной кости:
о Может встречаться при переломе латерального отростка таранной кости
о Обнаружение при исследовании голеностопного сустава в стандартных проекциях затруднено
3. КТ при внесуставном переломе пяточной кости:
• Позволяет обнаружить не выявленные при рентгенографии переломы
• Используется для дифференциальной диагностики между добавочной костью (есть кортикальный слой) и ранним периодом перелома (отсутствует кортикальный слой на противолежащих краях отломков)
4. МРТ при внесуставном переломе пяточной кости:
• Гипоинтенсивная линия перелома
• Окружена отеком, гиперинтенсивным на Т2 ВИ и в режиме STIR и гипоинтенсивным на Т1 ВИ
• Отек облегчает установление давности перелома
5. Рекомендации по визуализации:
• Лучший метод визуализации:
о Рентгенография
(Слева) При МРТ в коронарной плоскости на ППВИ определяется импрессионный перелом нижнего края пяточной кости. Первоначально боли в пяточной области у данного пациента были расценены, как проявление подошвенного фасциита.
(Справа) У этого же пациента при МРТ в коронарной плоскости на Т2ВИ в режиме FS визуализируется отек костного мозга, однако на его фоне линия перелома не видна. Если бы не были оценены изображения, взвешенные по ПП или Т1, был бы поставлен ошибочный диагноз реактивной артропатии или тяжелого подошвенного фасциита. (Слева) Пациент, страдающий сахарным диабетом, внезапно почувствовал болезненный щелчок. При рентгенографии пяточной кости в боковой проекции определяется отрывной перелом ее заднего отростка с минимальным смещением. У пациентов, не страдающих сахарным диабетом, чаще всего возникает разрыв ахиллова сухожилия.
(Справа) При КТ в аксиальной плоскости визуализируется импрессионный перелом переднего края пяточной кости. Он часто возникает в результате избыточного отведения среднего отдела стопы. (Слева) Сноубордист, получивший травму при внутренней ротации стопы. При рентгенографии голеностопного сустава, выполненной в проекции суставной щели, определяется перелом опоры таранной кости. Такие переломы заметить достаточно трудно. В данном случае обнаружить перелом в некоторой степени помог соответствующий анамнез.
(Справа) У этого же пациента при КТ в коронарной плоскости подтверждается наличие выявленного при рентгенографии перелома Кроме того, выявляется перелом латерального отростка таранной кости.
в) Дифференциальная диагностика внесуставного перелома пяточной кости:
1. Подошвенный фасциит:
• Боли в проекции подошвенного края пяточной кости, обусловленные стресс-переломом, могут имитировать фасциит
2. Разрыв ахиллова сухожилия:
• Встречается намного чаще, чем отрывной перелом
3. Добавочная пяточная кость:
• Небольшая кость, располагающаяся возле переднего отростка пяточной кости
• Имитирует перелом переднего отростка пяточной кости, однако в отличие от отломка характеризуется наличием кортикального слоя
4. Повреждение связок голеностопного сустава:
• Отрывной перелом переднего отростка пяточной кости или области прикрепления короткого разгибателя пальцев стопы по клинической симптоматике схож с повреждением связок голеностопного сустава
5. Стресс-перелом:
• Склеротическая линия проходит перпендикулярно основному направлению трабекул заднего отростка (наиболее частая локализация)
• Линия перелома может проходить возле и параллельно задней суставной поверхности подтаранного сустава
г) Патология. Общая характеристика:
• Этиология:
о Перелом переднего отростка пяточной кости:
- Избыточная внутренняя ротация стопы; сочетается с отрывным переломом области прикрепления раздвоенной связки
- Избыточная наружная ротация стопы; сочетается с размозжением отростка между ладьевидной и пяточной костями
о Отрывной перелом области прикрепления короткого разгибателя пальцев стопы или пяточно-малоберцовой связки:
- Избыточная внутренняя ротация стопы
о Отрывной перелом области прикрепления ахиллова сухожилия:
- Избыточное тыльное сгибание стопы
о Импрессионный перелом подошвенного края пяточной кости:
- Избыточная осевая нагрузка
о Перелом опоры таранной кости:
- Избыточная внутренняя ротация стопы
о Перелом переднего края пяточной кости возле пяточно-кубо-видного сустава:
- Избыточное отведение среднего отдела стопы
• Сопутствующие патологические изменения:
о Сахарный диабет: отрывной перелом заднего отростка пяточной кости
Признаки перелома кубовидной кости
а) Визуализация:
• Краевой перелом
о Проксимальный или дистальный край
о Линия склероза, проходящая параллельно суставной поверхности
• Центральный перелом
о Вколоченный перелом кортикального слоя латеральной части кости
о Угловая деформация борозды длинной малоберцовой мышцы
• Вывих пяточно-кубовидного сустава
о Следует отметить, что в норме пяточно-кубовидный сустав при рентгенографии без нагрузки виден под углом:
- Следует обращать внимание на отсутствие параллельности суставных поверхностей
о Вывих почти всегда сочетается с вывихом таранно-ладьевидного сустава или переломом его суставных поверхностей
(Слева) На рисунке тыльной поверхности среднего отдела стопы показан часто выявляемый звездчатый перелом кубовидной кости. Перелом возникает в результате воздействия нагрузки в передне-заднем или осевом направлении, например, при столкновении переднего отдела стопы с неподвижным объектом. Изолированный перелом кубовидной кости встречается редко, поэтому всегда следует исключать переломы и вывихи прочих костей стопы.
(Справа) При рентгенографии среднего отдела стопы в передне-задней проекции визуализируется угловая деформация латерального края кубовидной кости. Также выявляется вдавление кортикального слоя ее переднего края. Кроме того, наблюдаются переломы 2-4 плюсневых костей. (Слева) При МРТ в сагиттальной плоскости на Т1ВИ в кубовидной кости параллельно ее переднему краю определяется полоса склероза. Изменения соответствуют ранней стадии перелома, возникшего у данного пациента при игре в футбол.
(Справа) У этого же пациента при МРТ в сагиттальной плоскости в режиме STIR визуализируется гипоинтенсивная линия перелома, окруженная перистой зоной отека костного мозга.
б) Визуализация:
• Переломовывих сустава Лисфранка
• Изолированный вывих таранно-ладьевидного сустава
• Борозда длинной малоберцовой мышцы в норме
• Отсутствие параллельности суставных поверхностей в норме при рентгенографии без нагрузки
в) Патология:
• Сопутствующие повреждения:
о Переломы прочих костей среднего и заднего отделов стопы
о Вывих сустава Шопара или Лисфранка
о Повреждение сухожилия длинной малоберцовой мышцы
• «Щипцовая» травма:
о Вколоченный перелом кубовидной кости + отрывной перелом срединного возвышения ладьевидной кости
г) Клинические особенности:
• Укорочение латеральной колонны стопы
• Симптомы перелома кубовидной кости часто не заметны на фоне симптомов повреждения других структур стопы
д) Диагностическая памятка:
• Перелом кубовидной кости заметить при рентгенографии достаточно трудно; следует обращать внимание на деформацию или склерозирование кости
• Следует помнить о феномене «насыщения поиска» и тщательно оценивать изображения, чтобы не пропустить прочие травмы
Показывает ли МРТ переломы?
Использование магнитно-резонансной томографии хорошо зарекомендовало себя при определении степени травмирования человека в результате удара, падения, ушибов и других вариантов внешнего негативного воздействия.
Последствий травм может быть очень много – от появления гематомы, до растяжения связок, нарушения целостности костей. Часто при экстренном обращении пациента в травмпункт, первое, что назначают врачи – выполнение магнитно-резонансной томографии. Это позволяет с минимальными затратами времени определить, в каком состоянии находится человек и насколько сильные повреждения получили его кости.
Также распространенным вариантом исследования становится применение компьютерной томографии. Этот метод также базируется на использовании рентгеновского излучения, помогает гарантированно качественно визуализировать состояние костной ткани.
В некоторых случаях удается ограничиться только рентгеном или КТ. Но чтобы получить максимум полезной информации о текущем состоянии пациента, потребуется применять магнитно-резонансную томографию.
Так как МРТ стоит дороже, чем рентген и при этом сама процедура занимает больше времени, многие пациенты задают вопрос о том, имеет ли смысл использовать такое средство при определении перелома и уровня вреда, который был нанесен организму человека в результате такой травмы.
Использование правильно подобранного метода исследования позволяет в будущем выбрать оптимальный вариант лечения.
Можно ли увидеть на МРТ переломы
В основе магнитно-резонансной томографии лежит использование создаваемого магнитного поля. Оно воздействует на организм человека, при этом меняется движение атомов водорода. Так как молекулы воды присутствуют в большинстве тканей, удается получить наиболее информативный набор сведений для постановки корректного диагноза.
Процесс проведения магнитно-резонансной томографии предполагает создание большого количества мелких срезов, из которых удается успешно сформировать трехмерную модель поврежденной области. Таким образом удается проверить:
- Сосуды.
- Лимфатические структуры.
- Связки и мышцы.
- Спинной и головной мозг.
- Нервные волокна.
В отличие от проведения рентгенографии, информативность при обследовании костной ткани становится значительно ниже. Также уровень точности получаемой информации снижается в том случае, если в обследуемой области содержится мало влаги. Как результат – в некоторых случаях попросту не удается зафиксировать повреждение и оценить негативное влияние травмирования на организм человека.
Если говорить об ответе на вопрос о том, покажет ли МРТ перелом, стоит обратить внимание на структуру костной ткани. Но иногда разрушение можно отследить по результатам анализа сопутствующих повреждений.
Магнитно-резонансная томография применяется значительно реже в том случае, если нужно первично установить наличие перелома или другого варианта травмирования. Есть несколько причин, по которым такой вариант не используется в качестве ведущего метода диагностики. К ним относятся такие, как:
- Продолжительное время процедуры. Она может занимать несколько десятков минут в зависимости о того, какая область будет обследоваться в процессе.
- Малая распространенность томографов. Они встречаются реже, чем рентгены. Потому не всегда есть возможность быстро среагировать.
- Стоимость. Так как МРТ стоит достаточно дорого, часто намного более практичным вариантом становится обращение за проведением рентгенографии.
- Малая информативность о состоянии костной ткани. МР-диагностика лучше всего показывает себя в том случае, если нужно обследовать мягкие ткани.
Обычно травматологи назначают обследование с использованием МРТ в том случае, если у пациента начинает проявляться неврологическая симптоматика. Это также хороший способ понять масштабы повреждения позвонков, нервов, кровеносной системы.
МРТ часто используется в качестве дополнительного метода диагностики, чтобы выяснить, как проходит лечение, насколько успешно сращиваются ткани.
Как проводится МР-диагностика при наличии перелома
Магнитно-резонансная томография проводится в стандартном режиме для такого варианта внешней диагностики. Есть три основных стадии:
Читайте также:
- Коагулопатия при почечной, печеночной недостаточности. Диагностика, лечение
- Значение протеиндисульфидизомеразы (ПДИ) в сворачивании белка
- Пренатальная диагностика диасторофической дисплазии. Синдром Книста у плода
- Метаболизм гормонов в простате. Обмен тестостерона в предстательной железе
- Герпетиформный дерматит. Диагностика и лечение
