Рентгенограмма, КТ, МРТ при повреждении связки Лисфранка
Добавил пользователь Евгений Кузнецов Обновлено: 18.12.2025
Рентгенограмма, КТ, МРТ при переломовывихе сустава Лисфранка
а) Синоним:
• Переломовывих предплюсне-плюсневых суставов
б) Визуализация:
1. Рентгенография переломовывиха сустава Лисфранка:
• В передне-задней проекции выявляется смещение плюсневых костей относительно клиновидных костей:
о Нормальное расположение данных костей при рентгенографии в передне-задней проекции с нагрузкой:
- 1-я плюсневая кость должна располагаться по центру медиальной клиновидной кости
- Медиальный край 2-й плюсневой кости должен находиться на одной линии с медиальным краем промежуточной клиновидной кости
- Латеральный край 3-й плюсневой кости должен находиться на одной линии с латеральным краем латеральной клиновидной кости
- Медиальный край 4-й плюсневой кости должен находиться на одной линии с медиальным краем кубовидной кости
- Шиловидный отросток 5-й плюсневой кости должен выходить за латеральный контур кубовидной кости, при этом суставные поверхности должны оставаться конгруэнтными
• В боковой проекции выявляется смещение оснований плюсневых костей в тыльную, реже - в подошвенную сторону:
о Дорсальный край 1-2 плюсневых костей должен располагаться на одной линии с краем соответствующих клиновидных костей
о В боковой проекции отличить друг от друга 3-5 предплюсне-плюсневые суставы достаточно трудно
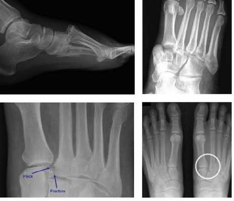
(Слева) На рисунке тыльной поверхности стопы изображен односторонний переломовывих сустава Лисфранка. Показаны латеральное смещение 1-5 плюсневых костей, поперечный перелом основания 2-й плюсневой кости и разрыв связки Лисфранка.
(Справа) На рисунке тыльной поверхности стопы изображен частичный переломовывих сустава Лисфранка. Первая плюсневая кость расположена правильно, в то время как 2-5 плюсневые кости смещены латерально. Связка Лисфранка разорвана. (Слева) При рентгенографии среднего отдела стопы в боковой проекции определяются вывихи 1-5 предплюсне-плюсневых суставов, ладьевидно-клиновидного сустава и сустава Шопара, возникшие у мотоциклиста в результате дорожно-транспортного происшествия. Кроме того, выявляется множество мелких костных фрагментов.
(Справа) У этого же пациента при рентгенографии среднего отдела стопы в передне-задней проекции лучше видны переломы плюсневых костей и деформация сустава Шопара. В этой проекции суставные поверхности 1-го предплюсне-плюсневого сустава выглядят конгруэнтными, однако наличие в боковой проекции расширения дорсальною отдела суставной щели свидетельствует о нестабильности сустава. (Слева) При рентгенографии среднею отдела стопы в передне-задней проекции определяется изолированный переломовывих 1-го предплюсне-плюсневого сустава: косой перелом основания 1-й плюсневой кости и ее подвывих. Кроме тою, выявляется перелом медиальной клиновидной кости. Этот переломовывих можно отнести к продольному типу.
(Справа) При рентгенографии среднего отдела стопы в передне-задней проекции, как может показаться на первый взгляд, визуализируется изолированный отрывной перелом основания 2-й плюсневой кош в области прикрепления к ней связки Лисфранка. Однако костный фрагмент смещен больше, чем бывает в таких случаях, вследствие чего для оценки связочною аппарата была выполнена МРТ.
2. КТ при переломовывихе сустава Лисфранка:
• Позволяет обнаружить переломы, не выявленные при рентгенографии
3. МРТ при переломовывихе сустава Лисфранка:
• Тщательно оценить данную травму при МРТ достаточно трудно, поскольку образовавшиеся костные фрагменты видны плохо
4. Рекомендации по визуализации:
• Лучший метод визуализации:
о При первичной диагностике выполняется рентгенография:
- Расположение костей лучше всего оценивать при исследовании пациента в положении стоя
о КТ позволяет оценить тяжесть травмы
• Рекомендации по выбору протокола
о Аксиальные срезы должны проходить параллельно оси плюсневых костей
о В сагиттальной плоскости визуализируется смещение костей в тыльную сторону
о В коронарной плоскости лучше всего видны переломы клиновидных костей
в) Дифференциальная диагностика переломовывиха сустава Лисфранка:
1. Повреждение связки Лисфранка:
• Изолированная травма связки без повреждения всего предплюсне-плюсневого сустава
• Низкоэнергетическая травма (например, спортивная или при соскальзывании с бордюра)
• Латеральное смещение 2-й плюсневой кости относительно промежуточной клиновидной кости
2. Перелом плюсневых костей:
• При переломе оснований плюсневых костей сустав Лисфранка часто остается интактным
• Следует обращать внимание на точки прикрепления связки Лисфранка к костям
3. Вывих сустава Шопара:
• Вывихи таранно-ладьевидного и пяточно-кубовидного суставов
• Клинически проявляются сходной деформацией стопы
4. Нейрогенная артропатия (сустав Шарко):
• Часто поражаются предплюсне-плюсневые суставы
• При рентгенографии выявляются деформация суставов, переломы суставных поверхностей с отделением костных фрагментов, вывихи
(Слева) При рентгенографии стопы в боковой проекции определяется необычное для вывиха сустава Лисфранка смещение в подошвенную сторону 1-й и 2-й плюсневых костей. Травма была получена при полете на буксируемом парашюте.
(Справа) У этого же пациента при рентгенографии стопы в передне-задней проекции визуализируется одностороннее смещение оснований плюсневых костей. Наблюдаются переломы медиальной клиновидной кости и оснований 2-й и 3-й плюсневых костей. (Слева) При рентгенографии среднего отдела стопы в передне-задней проекции определяется изолированный медиальный вывих 5-й плюсневой кош. В норме шиловидный отросток 5-й плюсневой кости выступает латеральнее края кубовидной кош. Остальные предплюсне-плюсневые суставы выглядят интактными, что и было подтверждено при КТ.
(Справа) При КТ в сагиттальной плоскости визуализируется вывих 5-й плюсневой кости в сторону подошвы. Необычная травма была получена при езде на велосипеде. (Слева) При рентгенографии среднего отдела стопы в передне-задней проекции определяется односторонний вывих сустава Лисфранка: 1-5 плюсневые кости смещены латерально, переломы не выявляются.
(Справа) Этому же пациенту были выполнены открытая репозиция и внутренний остеосинтез. При рентгенографии среднего отдела стопы в передне-задней проекции видно, что для обеспечения стабильности суставов требуется фиксация множества костей. Следует отметить наличие винта, который выполняет функцию поврежденной связки Лисфранка.
г) Патология:
1. Общая характеристика:
• Этиология:
о В большинстве случаев возникает в результате дорожно-транспортного происшествия или производственной травмы
о Стопа в положении подошвенного сгибания + сила, направленная продольно (как при травме стопы, застрявшей в стремени)
о Непосредственный удар
• Сопутствующие патологические изменения:
о Переломы костей предплюсны (в 50-90% случаев)
о Переломы оснований плюсневых костей, особенно 2-й
о Вывих сустава Шопара или ладьевидно-клиновидного сустава
2. Классификация переломовывиха сустава Лисфранка:
• Односторонний: латеральное смещение всех плюсневых костей
• Дивергентный: 1-я плюсневая кость смещена медиально, 2-5 плюсневые кости-латерально
• Частичный: вывих некоторых предплюсне-плюсневых суставов
• Изолированный: вывих одного предплюсне-плюсневого сустава
• Продольный: медиальное смещение 1 -й плюсневой кости и предплюсне-плюсневого сустава относительно оставшейся части сустава Лисфранка
3. Краткие анатомические сведения:
• Основания 2-5 плюсневых костей соединены между собой поперечными связками:
о Особенности соединения данных костей обусловливают смещение 2-5 плюсневых костей единым блоком
о Между 1-й и 2-й плюсневыми костями поперечных связок нет
• 1-ю и 2-ю плюсневые кости стабилизирует связка Лисфранка:
о Соединяет латеральную поверхность медиальной клиновидной связки и медиальный край основания 2-й плюсневой кости
• Основание 2-й плюсневой кости располагается проксимальнее оснований 1 -й и 3-й плюсневых костей:
о Вследствие этого при повреждении сустава Лисфранка перелом чаще всего локализуется в основании 2-й плюсневой кости
д) Клинические особенности. Проявления:
• Клинический профиль:
о Высокоэнергетическая травма:
- При езде на мотоцикле, квадроцикле, лошади, а также с непристегнутым ремнем безопасности в автомобиле
е) Диагностическая памятка. Рекомендации по отчетности:
• Следует описывать, в какую сторону происходит вывих костей и смещение крупных отломков
• Описание расположения мельчайших костных фрагментов может занять слишком много времени
ж) Список использованной литературы:
1. Oak NR et al: Longitudinal Lisfranc injury. J Surg Orthop Adv. 23(4):233-6, 2014
2. Siddiqui NA et al: Evaluation of the tarsometatarsal joint using conventional radiography, CT, and MR imaging. Radiographics. 34(2):514-31, 2014
3. Eleftheriou Kl et al: Lisfranc injuries: an update. Knee Surg Sports Traumatol Arthrosc. 21(6):1434-46, 2013
4. Levitt BA et al: Diabetic lisfranc fracture-dislocations and charcot neuroarthropathy. Clin Podiatr Med Surg. 30(2):257-63, 2013
Рентгенограмма, КТ, МРТ при повреждении связки Лисфранка
Признаки переломовывиха сустава Лисфранка
а) Терминология:
• Переломовывих предплюсне-плюсневых суставов
б) Визуализация:
• Рентгенография в передне-задней проекции: смещение плюсневых костей относительно клиновидных костей
• Нормальное расположение данных костей при рентгенографии в передне-задней проекции:
о 1-я плюсневая кость должна располагаться по центру медиальной клиновидной кости
о Медиальный край 2-й плюсневой кости должен находиться на одной линии с медиальным краем промежуточной клиновидной кости
о Латеральный край 3-й плюсневой кости должен находиться на одной линии с латеральным краем латеральной клиновидной кости
о Шиловидный отросток 5-й плюсневой кости должен выходить за латеральный контур кубовидной кости
• Часто выявляются переломы плюсневых костей, клиновидных костей и кубовидной кости
• Рентгенография в боковой проекции: смещение оснований плюсневых костей в тыльную, реже - в подошвенную сторону
(Слева) При рентгенографии среднего отдела стопы в передне-задней проекции определяется травма сустава Лисфранка без повреждения 1 -го предплюсне-плюсневого сустава. Следует отметить наличие вывихов 2-го, 3-го, 4-го и 5-го предплюсне-плюсневых суставов и множественных отрывных переломов. Кроме того, выявляется переломовывих медиального ладьевидно-клиновидного сустава.
(Справа) При рентгенографии среднего отдела стопы в передне-задней проекции определяется односторонний вывих сустава Лисфранка: все пять плюсневых костей смещены латерально. Основание пятой плюсневой кости смещено почти до уровня пяточно-кубовидного сустава. Выявляется множество костных фрагментов. (Слева) При рентгенографии среднего отдела стопы в задне передней проекции определяется дивергентный переломовывих сустава Лисфранка: 1-я плюсневая кость смещена медиально, 2-я и 3-я плюсневые кости-латерально. Кроме того, в основании 5-й плюсневой кости выявляются два поперечных перелома.
(Справа) При рентгенографии среднего отдела стопы в передне-задней проекции визуализируется редкий продольный переломовывих сустава Лисфранка. Наблюдается отделение 1-й плюсневой и клиновидной костей от оставшейся части сустава Лисфранка. Также выявляется вколоченный перелом ладьевидной кости.
в) Дифференциальная диагностика:
• Повреждение связки Лисфранка:
о Изолированная травма связки без повреждения всего предплюсне-плюсневого сустава
о Низкоэнергетическая травма (например, спортивная или при соскальзывании с бордюра)
• Вывих сустава Шопара
• Нейрогенная артропатия (сустав Шарко)
• Перелом плюсневых костей без дестабилизации сустава
г) Патология:
• В большинстве случаев возникает в результате дорожно-транспортного происшествия или производственной травмы
• Классифицируют как односторонний или дивергентный:
о Односторонний: латеральное смещение всех плюсневых костей
о Дивергентный: 1 -я плюсневая кость смещена медиально, 2-5 плюсневые кости-латерально
о Частичный: вывих некоторых предплюсне-плюсневых суставов
о Продольный: медиальное смещение 1-й плюсневой кости и предплюсне-плюсневого сустава относительно оставшейся части сустава Лисфранка
а) Определение:
• Изолированная травма связки Лисфранка без повреждения всего предплюсне-плюсневого сустава
1. Общая характеристика:
• Лучший диагностический критерий:
о Латеральное смещение основания 2-й плюсневой кости относительно промежуточной клиновидной кости:
- Может выявляться лишь при исследовании стопы с нагрузкой
- Результаты рентгенографии даже при исследовании с нагрузкой могут оказаться ложноотрицательными
• Локализация:
о Между медиальной клиновидной костью и основанием 2-й плюсневой кости
2. Рекомендации по визуализации:
• Лучший метод визуализации:
о МРТ
• Рекомендации по выбору протокола:
о Аксиальный срез следует выстраивать по оси 2-й плюсневой кости
о Коронарный срез должен быть перпендикулярен оси 2-й плюсневой кости
о На сагиттальном срезе состояние связки Лисфранка оценивают реже:
- Позволяет обнаружить сопутствующие повреждения капсулы сустава
о Средний отдел стопы должен располагаться в центре поля зрения
о Во многих случаях исследование стопы лучше выполнять в положении пациента лежа на животе
(Слева) При МРТ по длинной оси плюсневых костей на Т1ВИ определяется неизмененный межкостный пучок связки Лисфранка, натянутый между латеральным краем медиальной клиновидной кости и медиальным краем 2-й плюсневой кости. Следует отметить, что 2-й предплюсне-плюсневый сустав сдвинут относительно 1-го и 3-го предплюсне-плюсневых суставов, в результате чего образуется соединение по типу «шип-паз», способствующее стабилизации сустава.
(Справа) У другого пациента при МРТ по длинной оси плюсневых костей на том же уровне на ППВИ в режиме FS визуализируется разрыв межкостного пучка связки Лисфранка. (Слева) При МРТ по короткой оси плюсневых костей на Т2ВИ в режиме FS различимы три пучка связки Лисфранка: тыльный, межкостный и подошвенный. Следует отметить, что межкостный пучок напоминает канат, поскольку в его структуре выявляется множество волокон, а тыльный и подошвенный пучки выглядят в виде тонкой ленты.
(Справа) При МРТ по короткой оси плюсневых костей на Т2ВИ в режиме FS визуализируется разрыв тыльного, межкостного и подошвенного пучков связки Лисфранка. Коронарная плоскость позволяет оценить выраженность повреждения связки. (Слева) При рентгенографии среднего отдела стопы в передне-задней проекции определяется неизмененный 2-й плюсневый сустав. Медиальный край 2-й плюсневой кош находится на одной линии с медиальным краем промежуточной клиновидной кости. Даже небольшое смещение данных костей относительно друг друга свидетельствует о повреждении связки Лисфранка.
(Справа) Пациент, который подвернул ногу, сбегая вниз по лестнице. При рентгенографии среднего отдела стопы в передне-задней проекции визуализируется латеральный подвывих основания 2-й плюсневой кости, указывающий на повреждение связки Лисфранка. При хирургическом вмешательстве была обнаружена выраженная нестабильность сустава.
3. Рентгенография при повреждении связки Лисфранка:
• Чувствительность рентгенографии повышается при исследовании стопы с нагрузкой (в положении пациента стоя или при наружной ротации стопы)
• Латеральное или дорсальное смещение основания 2-й плюсневой кости относительно промежуточной клиновидной кости
• Увеличение расстояния между 1-й и 2-й плюсневыми костями:
о Признак сильно зависит от того, в каком положении находится стопа (пронация или супинация), и потому не является достоверным
• Отрывной перелом медиального края основания 2-й плюсневой кости:
о В данной области находится точка прикрепления связки Лисфранка
• Уплощение продольного свода стопы:
о Выявляется лишь на уровне предплюсне-плюсневого сустава
• Изменение расстояния между клиновидными костями не является чувствительным признаком повреждения связки Лисфранка:
о Сильно зависит от того, в каком положении находится стопа (пронация или супинация)
4. КТ при повреждении связки Лисфранка:
• Поскольку при КТ исследование с нагрузкой не проводят, смещение плюсневой кости может визуализироваться хуже, чем при рентгенографии
5. МРТ при повреждении связки Лисфранка:
• Признаки повреждения связки визуализируются в аксиальной и коронарной плоскостях:
о Позволяет легко различить три пучка связки Лисфранка
о Подошвенный и тыльный пучки тонкие и напоминают ленту
о Межкостный пучок имеет большую толщину и характеризуется наличием различимых волокон
• Часто в медиальной клиновидной или 2-й плюсневой кости обнаруживают отек костного мозга
в) Дифференциальная диагностика повреждения связки Лисфранка:
1. Вывих сустава Лисфранка:
• Более тяжелая травма сустава, при которой наблюдается повреждение суставных поверхностей предплюсне-плюсневых суставов
• При углубленном исследовании диагноз может измениться с изолированного повреждения связки Лисфранка на истинный вывих сустава Лисфранка
2. Нейрогенная артропатия:
• Во многих случаях, вероятно, начинается с нераспознанного повреждения связки Лисфранка:
о Приводит к возникновению нестабильности сустава и дальнейшей его травматизации
3. Перелом основания 2-й плюсневой кости:
• Поперченный перелом дистальнее связки Лисфранка также может приводить к возникновению нестабильности сустава
(Слева) При рентгенографии среднего отдела стопы в боковой проекции визуализируется неизмененный предплюсне-плюсневый сустав. Тени оснований 1 -й и 2-й плюсневых костей накладываются друг на друга, однако остаются различимыми, поскольку 1 -я плюсневая кость намного толще, а 2-я плюсневая кость выходит за ее проксимальный контур. Дорсальный край 2-й плюсневой кости располагается на одной линии с краем промежуточной клиновидной кости.
(Справа) При рентгенографии среднего отдела стопы определяется подвывих, обусловленный повреждением связки Лисфранка. Основание 2-й плюсневой кости находится всего на 2 мм дорсальнее промежуточной клиновидной кости, однако это уже позволяет судить о повреждении связки Лисфранка. (Слева) При рентгенографии среднего отдела стопы в передне-задней проекции определяется неизмененный предплюсне-плюсневый сустав. Однако результаты исследования оказались ложноотрицательными. По причине наличия болевого синдрома пациенту была выполнена МРТ, при которой было обнаружено повреждение связки Лисфранка.
(Справа) При МРТ по длинной оси плюсневых костей на ППВИ в режиме FS визуализируется разрыв межкостного пучка связки Лисфранка. Несмотря на то что подвывих предплюсне-плюсневого сустава является специфичным для повреждения связки Лисфранка, следует помнить о том, что достаточно часто при рентгенографии получают ложноотрицательный результат. (Слева) У этого же пациента при МРТ по длинной оси плюсневых костей на ППВИ в режиме FS определяется разрыв тыльного пучка связки Лисфранка.
(Справа) У этого же пациента при МРТ по короткой оси плюсневых костей на Т2ВИ в режиме FS визуализируется разрыв тыльного и межкостного пучков связки Лисфранка. Подошвенный пучок растянут, однако целостность его сохранена. При осмотре с анестезией была обнаружена нестабильность 2-го предплюсне-плюсневого сустава.
1. Общая характеристика:
• Этиология:
о Подошвенное сгибание среднего отдела стопы:
- Пациент упал с лестницы либо упал, споткнувшись о какой-либо предмет
2. Классификация:
• Повреждение трех пучков связки, идущих от тыла стопы к ее подошвенной поверхности
3. Краткие анатомические сведения:
• Связка Лисфранка: основной стабилизатор предплюсне-плюсневого сустава:
о Натянута между медиальной клиновидной костью и основанием 2-й плюсневой кости
о Три пучка: тыльный, межкостный (наиболее важный) и подошвенный
д) Клинические особенности:
1. Проявления:
• Типичные признаки/симптомы:
о Тупые боли в среднем отделе стопы
о Отек в области 2-го предплюсне-плюсневого сустава
2. Течение и прогноз:
• При разрыве двух пучков возникает нестабильность 2-го предплюсне-плюсневого сустава
• Результат повреждения: формирование плоскостопия и остеоартроза предплюсне-плюсневого сустава
е) Диагностическая памятка. Советы по интерпретации изображений:
• О повреждении связки свидетельствует даже небольшое латеральное смещение 2-й плюсневой кости относительно промежуточной клиновидной кости
Повреждения сустава Лисфранка
Это травмы костей среднего отдела стопы или стабилизирующего эти кости и образуемые ими суставы связочного аппарата. Тяжесть этих повреждений варьирует, они могут быть как простыми, так и сложными, затрагивая сразу несколько костей и суставов среднего отдела стопы.
Повреждения сустава Лисфранка представляют собой травмы костей среднего отдела стопы или стабилизирующего эти кости и образуемые ими суставы связочного аппарата. Тяжесть этих повреждений варьирует, они могут быть как простыми, так и сложными, затрагивая сразу несколько костей и суставов среднего отдела стопы.

Повреждения сустава Лисфранка нередко ошибочно интерпретируют как простые растяжения связок, особенно если пострадавший просто подворачивает стопу и падает. Однако это все же не простое растяжение связок, которое возникает, когда человек просто оступился. Это достаточно серьезное повреждение, восстановление после которого может продолжаться несколько месяцев и при котором может даже понадобиться оперативное лечение.
Средний отдел стопы — это средняя часть стопы, образованная несколькими небольшими костями, которые вместе формируют свод стопы. К этим костям относят в том числе пять коротких трубчатых (плюсневых) костей, которые служат основаниями для пальцев стопы. Кости удерживаются рядом друг с другом соединительнотканными образованиями, называемыми связками, за исключением 1-ой и 2-ой плюсневых костей, которые друг с другом не связаны. Неловкое движение стопы и падение может привести к тому, что эти кости утрачивают связь друг с другом и смещаются.

Сустав Лисфранка является сложным суставом и образован костями и связками, объединяющими средний и передний отделы стопы. Повреждения сустава представляются собой частичные и полные разрывы стабилизирующих сустав связок, а также переломы и вывихи образующих сустав костей (снизу).
Средний отдел стопы выполняет очень важную функцию стабилизации свода стопы как при статической, так и при динамической нагрузке (ходьбе). При ходьбе средний отдел стопы осуществляет перераспределение нагрузок, прилагаемых к стопе со стороны мышц голени, на передний отдел стопы.
Образованный несколькими костями сустав среднего отдела стопы носит название сустава Лисфранка в честь французского хирурга Жака Лисфранка де Сен-Мартена, служившего в начале 19 века в армии Наполеона.
Стабильность сустава Лисфранка обеспечивается особенностями анатомии образующих его костей и связочных структур.
Повреждения среднего отдела стопы могут представлять собой как переломы образующих его костей, так и разрывы стабилизирующих его связок. Тяжесть этих повреждений может варьировать от простого повреждения единственного сустава до более сложного, затрагивающего сразу несколько костей и суставов.

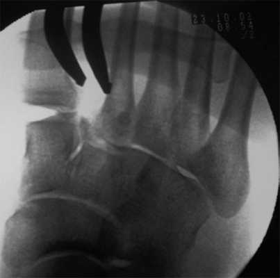
На данной рентгенограмме представлено очень серьезное повреждение стопы, возникшее следствие высокоэнергетической травмы. Результатом травмы стал вывих в суставах среднего отдела стопы).

Рентгенограмма стопы после лечения
Повреждения сустава Лисфранка могут характеризоваться повреждением суставной поверхности образующих его костей и суставного хряща. Суставной хрящ покрывает образующие сустав поверхности костей и обеспечивает свободное и беспрепятственное скольжение их друг относительно друга. В отсутствие хирургического лечения повреждения суставов среднего отдела стопы приводят к изменению анатомии этой части стопы, неправильному перераспределению действующих здесь нагрузок и в конечном итоге к дегенеративному поражению образующих этот отдел суставов, что может потребовать уже более сложного хирургического вмешательства. Однако даже при адекватном хирургическом лечении повреждения сустава Лисфранка все равно могут в последующем становиться причиной дегенеративного поражения суставов стопы.
Причиной повреждения сустава Лисфранка может стать банальное подворачивание стопы или падение. Такие травмы относят к низкоэнергетическим. Наиболее часто они встречаются, например, у футболистов. Нередко подобные повреждения возникают при спотыкании и падении на находящуюся в положении подошвенного сгибания стопу.
Наиболее тяжелые повреждения возникают вследствие прямой травмы стопы, например, при падении с высоты. Такие травмы, называемые высокоэнергетическими, могут приводить к множественным переломам и вывихам в суставах стопы.
Симптоматика повреждений сустава Лисфранка обычно включает:
- Отек и боль в области тыла стопы
- Кровоизлияния на тыльной и подошвенной поверхности стопы. Кровоизлияния на подошвенной поверхности стопы всегда должны настораживать в отношении повреждений сустава Лисфранка
- Боль, усиливающаяся в вертикальном положении и при ходьбе. Боль может быть выраженной настолько, что пострадавший не может передвигаться без использования костылей.
Если обычно назначаемое в подобных ситуациях лечение (покой, лед, возвышенное положение) не приносит вам облегчения, необходимо обратиться за помощью к травматологу-ортопеду.
Анамнез травмы и физикальное обследование
Выслушав ваши жалобы, доктор осмотрит ваши стопу и голеностопный сустав. Некоторые клинические тесты, которые должен провести врач, могут быть болезненными, однако ни один из них ни в коем случае не усугубит ваше состояние.
Нас в первую очередь интересуют следующие клинические находки:
- Кровоизлияния на подошвенной поверхности стопы. Они позволяют заподозрить полный разрыв связок среднего отдела стопы или перелом в этой области.
- Болезненность при пальпации (надавливании) в области среднего отдела стопы.
- Боль при стрессовой нагрузке на средний отдел стопы. Для выявления этого симптома врач удерживает пяточную кость и одновременно осуществляет вращение переднего отдела стопы. На здоровой стороне эта манипуляция не вызывает никаких дискомфортных ощущений.
- Боль при проведении теста «клавиши». Для этого врач удерживает пальцы стопы и смещает их вверх и вниз. Этот маневр сопровождается нагрузкой на средний отдел стопы и, если здесь имеет место повреждение, он будет сопровождаться болевыми ощущениями.
- Подъем на носочек на одной ноге. Врач может попросить вас встать на одну ногу и приподняться на ней на носочек. Это приводит к значимой перегрузке среднего отдела стопы. Тест считается особенно информативным при минимально выраженных повреждениях. В норме он не сопровождается возникновением болевых ощущений.
Картинка симптомы повреждения Лисфранка
Изменение окраски кожи на подошвенной поверхности стопы является симптомом, позволяющим заподозрить повреждение сустава Лисфранка
Дополнительные методы исследования
Другие методы исследования, помогающие нам подтвердить диагноз, включают следующие:
Рентгенография. Переломы костей и их взаиморасположение обычно хорошо видны на рентгенограммах. Рентгенограммы также позволяют оценить взаиморасположение костей и в суставе Лисфранка. Любые изменения анатомии этого сустава позволяют заподозрить повреждение связок сустава.
Если повреждение возникло вследствие простого подворачивания стопы и падения (низкоэнергетическая травма), врач может попросить выполнить рентгенографию в положении стоя. В подобной ситуации, особенно когда оснований подозревать наличие у пациента перелома костей нет, мы хотим увидеть на рентгенограммах признаки связочных повреждений. Выполнение рентгенографии в положение стоя ни в коем случае не усугубит ваше состояние, не бывает таких повреждений, которые можно было бы лечить консервативно, однако вследствие тех или иных манипуляций они бы потребовали уже оперативного лечения. Иногда бывает необходимо выполнить рентгенографию и здоровой стопы, например, для сравнения или оценки стабильности суставов.
(Слева) На рентгенограмме, выполненной без нагрузки, не видно каких-либо признаков повреждения сустава Лисфранка. (Справа) На рентгенограмме в положении стоя мы видим увеличение расстояния между костями, свидетельствующее в повреждении связок сустава Лисфранка.
Магнитно-резонансная томография (МРТ). Этот метод исследования позволяет нам визуализировать мягкотканные структуры, например, сухожилия. Для диагностики повреждений сустава Лисфранка он обычно не назначается, однако он может быть все же показан в некоторых сомнительных случаях.
Компьютерная томография (КТ). Этот метод исследования отличается гораздо более высокой по сравнению с рентгенографией диагностической ценностью и позволяет получить изображения поперечных срезов костей стопы. Для диагностики повреждений сустава Лисфранка он также обычно не требуется, однако он может назначается при предоперационном планирования для точной оценки характера повреждения и уточнения числа поврежденных костей и суставов стопы.
Тактика лечения повреждений сустава Лисфранка зависит в первую очередь от тяжести повреждения.
Консервативное лечение
Консервативное лечение может быть показано при отсутствии переломов, вывихов и тотальных разрывов связочного аппарата суставов среднего отдела стопы. Лечение заключается в иммобилизации стопы и исключении нагрузки на протяжении 6 недель. В этот период вам необходимо крайне внимательно отнестись к рекомендациям, касающимся исключения нагрузки на поврежденную стопу. По истечении этого периода разрешается дозированная и постепенно возрастающая нагрузка с продолжением иммобилизации в съемном варианте или с использованием ортезов.
В течение этого периода вас периодически будет осматривать ваш лечащий врач и будет выполняться контрольная рентгенография, необходимая для оценки процесса заживления. При появлении любых признаков смещения костей вам может быть предложено оперативное лечение.
Оперативное лечение
Операция может быть рекомендована при любых повреждениях, сопровождающихся переломами костей среднего отдела стопы или изменениями анатомии (подвывихами) образующих его суставов. В задачи оперативного лечения входят репозиция костных фрагментов и восстановление анатомии суставов стопы.
Внутренняя фиксация. Данная операция заключается в восстановлении нормального положения (репозиции) костных фрагментов и фиксации их пластинками или винтами. Поскольку пластины и винты будут фиксировать и суставы, в которых норме существует небольшая подвижность, некоторые из этих металлоконструкций в последующем необходимо удалить. Сроки удаления конструкций в зависимости от решения хирурга могут варьировать от 3 до 5 месяцев после первой операции.
Иногда металлоконструкции прежде, чем они будут удалены, ломаются. В этом нет ничего необычного, поскольку кости, которые они фиксируют, являются подвижными образованиями. В этих условиях может наступать усталость металла, и он ломается. В большинстве случаев операция оказывается эффективной даже несмотря на подобные обстоятельства.
Артродез. При наиболее тяжелых повреждениях, когда восстановление нормальной анатомии стопы оказывается невозможным, в качестве первичного метода хирургического лечения может быть рекомендован артродез. Артродез — это своего рода «хирургическая сварка». Основная идея операции заключается в «слиянии» двух костей друг с другом и создании условий для того, чтобы они срослись в этом положении воедино.
Артродез при повреждениях сустава Лисфранка может быть показан при невозможности восстановления анатомии и фиксации костей и суставов с использованием винтов и пластин или в случаях тяжелых связочных повреждений. Поскольку кости после заживления утрачивают свою подвижность, в удалении металлоконструкций необходимости не возникает.
Реабилитация. После любой операции (репозиция или артродез) рекомендуется иммобилизация и исключение нагрузки на оперированную стопу в течение 6-8 недель. Нагрузка разрешается при удовлетворительных результатах рентгенологического контроля, выполненного через 6-8 недель после операции. Решение о степени допустимой нагрузки, а также расстоянии, на которое вам разрешается ходить, принимает оперирующий хирург. Занятия активными видами спорта, например, бегом или прыжками, лучше исключить до тех пор, пока не будут удалены все металлоконструкции.
Некоторые спортсмены после повреждения сустава Лисфранка уже никогда не смогут вернуться к прежнему уровню соревновательной активности. Даже несмотря на идеально выполненную хирургическую репозицию и фиксацию вследствие повреждения суставного хряща в суставах развиваются дегенеративные изменения. Они могут стать причиной постоянных болевых ощущений и в последующем потребовать замыкания суставов (артродеза).
Сустав Лисфранка
Повреждения в суставе Лисфранка, представленные предплюсне-плюсневыми вывихами и переломовывихами, довольно редкий вид травмы (около 0,2 % от повреждений скелета), более распространены среди мужчин в возрасте 20-30 лет. Ведущей частью повреждения является разрыв капсульно-связочного комплекса между внутренней клиновидной костью и основанием второй плюсневой кости. Повреждения могут варьировать от небольшого подвывиха во втором предплюсне-плюсневом суставе до полного вывиха всего переднего отдела стопы.
Механизм повреждения сустава Лисфранка.
Наиболее частыми причинами повреждений сустава Лисфранка являются ДТП, падения с высоты, и спортивная травма. Наиболее частым механизмом является осевая нагрузка через согнутую в подошвенном направлении стопу и опосредованные ротационные силы.

Другим возможным механизмом может стать плантарная гиперфлексия или прямая травма (например педалью автомобиля) с подошвенной стороны.

При этом травмирующая сила распределяется в направлении сгибания\приведения\осевой компрессии, что приводит к смещению оснований плюсневых костей в тыльную и наружную сторону. Если травмирующая сила достаточно велика, она приводит к переломам плюсневых и клиновидных костей.
Анатомия повреждения сустава Лисфранка.
Выделяют такие анатомические структуры как связка Лисфранка, сустав Лисфранка и суставной комплекс Лисфранка. Суставной комплекс Лисфранка состоит из предплюсне-плюсневых суставов, межплюсневых суставов, межпредплюсневых суставов.
Наиболее важным моментом в понимании повреждений сустава Лисфранка является осознание критической роли связки Лисфранка в стабилизации не только второго предплюсне-плюсневого сустава но и поддержке всего подошвенного свода. Связка Лисфранка состоит из трёх пучков и связывает медиальную клиновидную кость с основанием второй плюсневой кости. Связка Лисфранка препятствует избыточной пронации и абдукции стопы.

В образовании суставного комплекса Лисфранка также участвуют подошвенные предплюсне-плюсневые связки, тыльные предплюсне-плюсневые связки, межпредплюсневые связки.
За счёт большого количества связок и особенностей строения суставов, суставной комплекс Лисфранка является крайне стабильным с небольшой амплитудой движений.
Существует множество клинических и рентгенологических классификаций повреждений сустава Лисфранка, однако ни одна из них не является подспорьем в выборе тактики лечения и мало влияет на прогноз. По этой причине они не будут освещаться в данной статье.
Диагностика повреждений сустава Лисфранка.
Диагностика повреждений сустава Лисфранка сложная задача, которая требует от ортопедического хирурга высокого уровня квалификации и настороженности. До 25 % случаев пропускается при первичном обращении пациента.
Симптомами повреждения сустава Лисфранка являются боль в области переднего и среднего отделов стопы, усиливающаяся при осевой нагрузке. При осмотре определяется кровоподтёк, чаще по подошвенной поверхности, в проекции сустава Лисфранка.

При значительном смещении может быть заметна грубая деформация. Отёк диффузно распространяется по всей стопе. Боль при пальпации в проекции связки Лисфранка.
Для полноценной клинической диагностики переломовывиха в суставе Лисфранка нельзя обойтись без оценки степени нестабильности. Для проведения данных тестов необходима адекватная анестезия. Для выполнения теста захватите 2-5-ую плюсневые кости пальцами одной руки, пальцами другой пальпируйте область сустава Лисфранка с тыльной стороны. При смещении плюсневых костей (второй плюсневой кости) к тылу определяется соответственно тыльная нестабильность, если возможно смещение кнутри или кнаружи, это является признаком тотальной нестабильности и является показанием к оперативному лечению.
Для инструментальной диагностики используются рентгенограммы с\без нагрузки в сравнении со здоровой стороной, при их малой информативности рекомендовано выполнение стресс-рентгенограмм, аналогично приведёному выше тесту на нестабильность.
При рентгенографии все снимки выполняются в сравнении со здоровой стопой. Существует несколько основных рентгенологических признаков повреждения сустава Лисфранка. 1. Отсутствие параллельности медиального края основания 2-й плюсневой и медиального края медиальной клиновидной кости 2. Расширение между основаниями 1 и 2 плюсневых костей 3. Наличие костного фрагмента в области основания 2-1 плюсневой кости 4. Тыльный подвывих на боковой проекции 5. Разрыв линии предплюсне-плюсневого сочленения.


В сложных с диагностической точки зрения случаях целесообразно использование КТ и МРТ.

Классификация повреждений сустава Лисфранка.
Первыми кто предложил классификацию повреждений сустава Лисфранка стали Quenu & Kuss в далёком 1909 году. Они разделили вывихи и переломо-вывихи в суставе Лисфранка на 3 основные группы в зависимости от направления смещения переднего отдела стопы, в 1 группу вошли гомолатеральные вывихи, в которых происходит смещение 2-3-4-5 плюсневых костей кнаружи, во 2 группу вошли медиальные вывихи, при которых 1-2 плюсневые кости смещаются кнутри, а в 3-ю группу вошли дивергирующие вывихи, при которых 1-й луч смещается кнутри а 2-3-4-5 кнаружи.

Классификацию повреждений сустава Лисфранка Quenu & Kuss была творчески переработана и изменена в соответсвии с накопившимися знаниями Hardcastle & Myerson в 1999 году. Учитывая требования международной ассоциации остеосинтеза переломовывихи в суставе Лисфранка были разделены на 3 группы А,В,С в зависимости от тяжести. В группу А вошли медиальный и латеральный подвывихи, в группу В соответсвенно медиальный и латеральный вывихи, а в группу С наиболее тяжёлые дивергирующие повреждения.

Вышеуказанные классификации относятся к переломовывихам, и вывихам в суставе Лисфранка, тяжёлым повреждениям, чаще встречающимся при высокоэнергетической травме, сопровождаемые значительным риском осложнений. Но во второй половине, особенно в конце XX века, в связи со значимым увеличением количества людей занимающихся спортом, возросла и частота низкоэнергетических повреждений сустава Лисфранка. В связи с чем Nunley & Vertullo в 2002 году предложили классификацию изолированных повреждений связки Лисфранка. Чаще всего они возникают при занятиях спортом и других низкоэнергетических травмах, и затрагивают только среднюю колонну стопы – 2-3 предплюсне-плюсневые суставы. Диагностика этих повреждений крайне сложна, так как рентгенологические признаки выявляются только при выполнении рентгенограмм с нагрузкой. Тем не менее это важная ортопедическая задача, так как повреждения 2-3 ст если оставить их не леченными часто приводят в последующем к хроническим болям в стопе и значительному ограничению уровня физической активности.

Лечение повреждений сустава Лисфранка.
Консервативное лечение применяется в случаях изолированного связочного повреждения (нет переломов по КТ), при изолированной тыльной нестабильности. При множественной сопутствующей патологии, низкой мобильности, выраженных нейро-трофических расстройствах нижних конечностей также возможно консервативное лечение.
В остальных случаях рекомендовано оперативное лечение. При подозрении на повреждение Лисфранка всегда надо обращать пристальное внимание на состояние мягких тканей стопы, так как в ряде случаев происходит формирование компартмент-синдрома. При подозрении компартмент синдрома необходимо измерить внутрифутлярное давление, и если оно превышает 30 мм водного столба, выполнить фасциотомию. Это позволит избежать массивного повреждения мягких тканей.

Экстренная операция показана только в случаях компартмент синдрома, открытых повреждений, неустраняемом вывихе. В остальных случаях желательно произвести репозицию, временную иммобилизацию в гипсе, или аппарате наружной фиксации, а затем провести оперативное лечение после спадения отёка.
При смещении более 2 мм, нестабильности при функциональных тестах – рекомендовано открытое устранение вывиха с жёсткой фиксацией винтами или пластинами. Используются один или два продольных доступа в 1 и 2 межплюсневых промежутках. После обнажения первого предплюсне-плюсневого сустава первым этапом устраняется межклиновидная нестабильность, вторым этапом устраняется предплюсне-плюсневая нестабильность. В послеоперационном периоде сразу начинается разработка активного объёма движений. Нагрузку на стопу начинают постепенно, с тем чтобы полностью её восстановить к 6-8 неделе. Удаление спиц Киршнера производится через 6-8 недель, компрессирующих винтов через 3-6 месяцев. Возвращение к полной физической активности не ранее 9-12 месяцев после операции.

Открытое вправление вывиха, трансартикулярная фиксация 1-2-3 предплюсне-плюсневых суставов винтами.

Даже при изолированном связочном повреждении со значительной нестабильностью рекомендуется артродез 1-2-3 предплюсне-плюсневых суставов. Данный вид лечения характеризуется меньшим количеством осложнений (таких как посттравматический артроз и миграция металлофиксаторов) чем открытая репозиция с внутренней фиксацией. После операции рекомендуется ношение циркулярной гипсовой иммобилизации 6 недель, ходьба без нагрузки. Постепенное увеличение осевой нагрузки с 6 по 12 неделю.

При прогрессивном коллапсе сводов стопы, хронической нестабильности, прогрессивном наружном смещении переднего отдела стопы рекомендуется артродез всего суставного комплекса Лисфранка. Существует много вариантов выполнения данного вмешательства, с использованием спиц, винтов, скоб и пластин, в зависимости от оснащённости операционной и предпочтений хирурга. После операции потребуется 6 недель гипсовой иммобилизации, полную нагрузку можно давать не ранее 10 недели.

Несращение при выполнении артродеза в суставе Лисфранка встречается крайне редко, но может потребовать ревизионного вмешательства с использованием костно-пластических материалов.
В ряде случаев целесообразно применить смесь хирургических техник. Если рассматривать весь сустав Лисфранка разбив на внутренний, центральный и наружный отделы, то его внутренний (1) и латеральный (4-5) отделы подвижны, хотя и с малой амплитудой, а центральный (2-3) практически не подвижен. По этой причине в хирургической практике часто используется неполный артродез, то есть выполняют артродез 2-3 предплюсне-плюсневых суставов а 1,4,5 временно фиксируют спицами.

Это позволяет сохранить нормальную биомеханику стопы и предотвратить раннее развитие артроза в смежных суставах которое характерно для полного артродеза.
Отдельно стоит разобрать тему разрыва связки Лисфранка с изолированной нестабильностью 2 предплюсне-плюсневого сустава. Частота данного повреждения значительно выросла за последние 50 лет в связи с популяризацией спорта. Также крайне высота частота отсроченной постановки диагноза. При этой патологии пациента беспокоит боль по тыльной поверхности 1-2-3 предплюсне-плюсневых суставов при физической нагрузке. Часто при осмотре удаётся обнаружить деформацию в данной области. Если осмотр производится отсрочено через несколько недель или месяцев после травмы то клинически определить нестабильность уже не удастся, однако на рентгенограммах с нагрузкой будет виден диастаз между медиальной клиновидной костью и основанием 2 плюсневой кости.
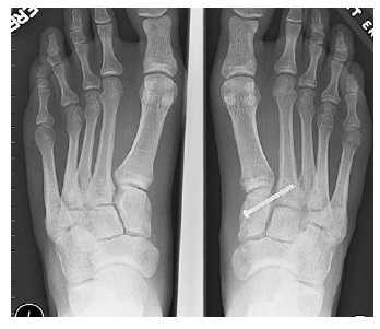
В случаях этого повреждения показано оперативное лечение, открытое устранение подвывиха основания 2 плюсневой кости с фиксацией винтом. Устранение подвывиха производится из доступа в 1 межплюсневом промежутке, рубцовая ткань и остатки связки могут интерпонировать сустав, тогда потребуется их удалить. После вправления производится предварительная фиксация спицей и рентгенологический контроль.
Затем устанавливается винт соединяющий основание 2 плюсневой кости и медиальную клиновидную кость.

После операции следует 6-12 недельный период иммобилизации в жёстком ортезе без осевой нагрузки на ногу. Затем нагрузка постепенно увеличивается до полной в течение 4-6 недель.
Данный метод оперативного лечения эффективен в течение первых 6-8 месяцев после травмы. В случае если с момента травмы прошло больше времени целесообразно выполнение артродеза.
Удаление винта производится через 6-12 месяцев после операции. В случае формирования болезненного посттравматического артрита 2 предплюсне-плюсневого сустава также показано выполнение его артродеза.
Ниже приведу пример лечения пациента с затарелым вывихом в суставе Лисфранка, которое проходило в стенах нашего отделения.
Пациенты с переломо-вывихами в суставе Лисфранка часто оказываются в ситуации, когда никто из врачей не хочет за них браться. Так случилось и с пациентом Ж. 64 лет, который получил травму ещё в 2001 году, но оперировать его отказались. Боль и деформация прогрессировали, и на протяжении последних 10 лет пациент уже не мог пройти больше 800 метров. Постоянное ношение ортопедических стелек не давало облегчения симптомов.

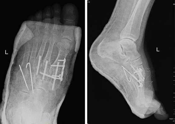
После осмотра в отделении ортопедии №2 ГКБ №13 принято решение о проведении операции – открытому устранению вывиха, артродезе 1-2-3 плюсне-клиновидных суставов, 1 межклиновидного сустава при помощи винтов и пластины, трансартикулярной фиксации спицами 4-5 плюсне-клиновидных суставов.

Первым этапом выполняется удаление костно-хрящевых экзостозов и рубцовых тканей из области всего сустава Лисфранка. После этого дистальный отдел стопы приобретает мобильность, достаточную для восстановления нормальной анатомии. Остатки суставного хряща полностью удаляются с 1-2-3 плюсне-клиновидных суставов, 1 межклиновидного сустава при помощи долота, осцилляторной пилы, кусачек Люэра, острой ложки Фолькмана. Для репозиции используются костные цапки.

Вершиной, ключом, блокирующим клином – в общем главной частью сустава Лисфранка является 2 плюсне-клиновидный сустав. По этой причине мы предпочитаем начинать фиксацию именно с него. Для артродеза используем винты с направленной в разные стороны резьбой FT Arthrex диаметром 4 мм. Они позволяют создать мощную межфрагментарную компрессию, а за счёт глубокой резьбы очень надёжно фиксируются в кости.

После восстановления 2 луча выполняем артродез межклиновидного сустава и 1 плюсне-клиновидного сустава. Учитывая что основная нагрузка ложится на 1 луч, дополнительно стабилизируем его при помощи пластины.


В стационаре пациент находится первые 2 суток после операции. Это необходимо для купирования болевого синдрома, и контроля послеоперационной раны. На 3 сутки пациент выписывается домой в гипсовой лонгетной повязке, на костылях. На ногу наступать нельзя до 6 недль после операции. Послеоперационные швы снимаются через 2 недели, лонгетная повязка при этом может быть заменена на циркулярный обычный или пластиковый гипс или ортез.

В итоге через 3 месяца мы получаем стабильную, безболезненную, опороспособную конечность. Через 6 месяцев можно начать спортивные нагрузки.

Никифоров Дмитрий Александрович
Хирургия стопы и голеностопного сустава, коррекция деформаций конечностей, эндопротезирование суставов, артроскопическая хирургия, спортивная травма.
Читайте также:
- Восприятие тембра звука. Шум и грохот
- Сосудистые опухоли глаза. Кавернозная гемангиома орбиты
- Опухолеподобные поражения яичек. Опухоли полового члена.
- Патогенез легионеллезов. Патогенез поражений легионелл. Болезнь легионеров. Клиника легионеллезов. Клинические проявления легионеллезов.
- Теория декомпрессии организма. Концепция Холдейна
