Рентгенограмма, КТ при гипердонтии
Добавил пользователь Евгений Кузнецов Обновлено: 27.12.2025
Повышенное давление – это признак многих видов заболеваний. Оно может говорить как о поражении сердечно-сосудистой системы, так и гормональном сбое и других аналогичных проблемах.
Гипертония способна сильно ухудшить жизнь человека, привести к инсульту, сердечному приступу и многим другим проблемам со здоровьем.
Использование магнитно-резонансной томографии помогает обеспечивать высокий уровень эффективности диагностики причин повышенного артериального давления. В этом материале мы рассмотрим, как используется такое средство и какие возможности оно предоставляет для кардиологов и других врачей.
Распространенные причины возникновения повышенного артериального давления
Существует множество причин, в результате которых человек начинает жаловаться на повышенное давление:
- Заболевания. Существует масса болезней, которые дают знать о себе гипертензией. К ним относится поражение сердца, почек, щитовидной железы и других внутренних органов.
- Сильные стрессы. Чтобы уменьшить вероятность развития гипертензии, стоит уменьшить стресс и сильные эмоциональные переживания.
- Неправильный образ жизни. Гипертония формируется под действием недостатка движения, употребления большого количества вредных продуктов, при курении, приеме алкоголя.
Также есть и много других причин, по которым давление повышается. Среди них – перестройка жирового обмена.
Симптомы для прохождения МРТ
Чаще всего на МРТ при гипертензии пациентов направляют кардиологи или эндокринологи. Решение принимается на основании собранного анамнеза конкретного пациента, а также изучения полученных ранее результатов анализов.
Есть несколько наиболее распространенных тревожных признаков, которые указывают на гипертензию:
- Повышение сердечного ритма.
- Сильная ослабленность, головокружение.
- Тревожность, беспричинное ощущение страха.
- Проблемы со зрением.
- Головная боль.
- Тошнота.
- Давление и дискомфорт в грудной клетке.
- Помутнение или потеря сознания.
Также среди распространенных признаков «мушки» перед глазами. Их становится больше по мере подъема давления.
Мы рекомендуем предварительно проконсультироваться с лечащим врачом. Он расскажем, нужно ли использовать контрастное усиление в процессе МРТ и укажет на то, какой именно внутренний орган потребуется подвергнуть МР-сканированию.
Наш оператор перезвонит вам в течении 20 мин
Какие причины высокого давления помогает найти МРТ
Использование магнитно-резонансной томографии позволяет эффективно выявлять большинство причин появления гипертензии у пациента. К ним относятся такие, как:
- Различные причины дисфункции щитовидной железы. Они могут быть связаны как с развитием новообразований, так и гипотоломического синдрома.
- Болезни почек. Среди самых распространенных нефропатия и пиелонефрит.
- Нарушения гормонального баланса. Обычно причиной становятся опухоли, сосредоточенные в гипофизе или надпочечниках. Применение контрастного усиления позволяет искать даже самые мелкие новообразования на стадии формирования.
- Поражения сосудов воспалительного характера. МРТ отлично показывает васкулит.
- Болезни ЦНС. Методика хорошо зарекомендовала себя при обнаружении атеросклероза и поражений при энцефалите.
Также хорошим решением станет выполнение магнитно-резонансной томографии, если стоит задача определить патологии сердца.
Многие пациенты задают вопросы о том, допускается ли выполнение МРТ в том случае, если у пациента уже высокое давление. Это не является абсолютным противопоказанием, но нужно дополнительно проконсультироваться с вашим кардиологом или другим лечащим врачом.
Отдельно стоит обратить внимание на то, что некоторые пациенты с сильной гипертонией уже могли проходить лечение. Оно бывает связано с вживлением в организм различных металлических элементов или приборов для контроля давления. В таком случае нужно будет определить, имеет ли посторонний предмет в вашем теле магнитные свойства и способен ли он реагировать на создаваемое томографом поле.
Какие внутренние органы нужно проверять при гипертонии
Когда пациенту ставят диагноз вторичной гипертонии, вопрос об исследовании определенного внутреннего органа решает врач. Он также отмечает, нужно ли использовать дополнительное контрастное усиление. Решение принимается на основании результатов анализов, сбора анамнеза и проверки другой информации о пациенте.
Обычно при гипертензии показан анализ состояния нескольких внутренних органов:
- Почки и надпочечники. МРТ помогает определить, есть ли у пациента признаки новообразований или стеноза артерий.
- Эндокринная система. Периодически пациентам проводится МРТ щитовидной железы. Оно направлено на то, чтобы понять причины гормональных нарушений в организме.
- Головной мозг. Есть много болезней, которые способны поднять уровень давления. Но чаще всего провоцируется поражениями гипофиза.
Рекомендуется использование магнитно-резонансной томографии в том случае, если пациент перенес инсульт или требуется искать опухоли на разных стадиях формирования.
МР-сканирование помогает успешно определять повышение внутричерепного давления из-за отека мозга, гематом, инфекционных поражений и других потенциальных причин.
Особенности проведения МРТ при гипертензии
Специальной подготовки к МРТ при повышенном артериальном давлении не потребуется. Все что нужно – убедиться в том, что у вас нет абсолютных или временных противопоказаний к проведению диагностики.
Длительность будет зависеть от того, какую область организма приходится проверять. Обычное обследование на томографе закрытого типа длится от 15 минут.
Большинство обследований при гипертензии выполняется с дополнительным контрастным усилением. Введение в организм специального препарата позволяет дополнительно увеличить контрастность и четкость снимка. Это помогает на раннем этапе выявлять появление новообразований или различные типы заболеваний. Используются безопасные препараты, которые уже через небольшое время выводятся из организма естественным путем.
Диагностика изменений при артериальной гипертензии на снимках МРТ и КТ
Какие изменения происходят в организме при гипертонии
Какой метод диагностики гипертензии выбрать: МРТ, КТ, ЭХО-КГ, ангиографию
Метод выбора
Что покажет рентген грудной клетки
- Часто норма
- Сужение сердечной тени
- Закругленная левая граница сердца
- Выраженная выпуклость аорты
- Элонгация и склероз аорты
- Сердечная декомпенсация приводит к увеличению ЛЖ.
Для чего проводят УЗИ сердца при гипертонической болезни
- Гипертрофия ЛЖ (перегородка более 12 мм)
- Эктазия аорты
- Диастолическая дисфункция
- Терминальные случаи демонстрируют кардиомегалию и нарушение систолической функции
- Чреспищеводная ЭХО-КГ может быть чрезвычайно эффективным методом у пациентов с подозрением на коарктацию аорты.
Что покажут снимки МСКТ аорты
- Используется как первичное исследование только у пациентов с подозрением на коарктацию аорты
- Демонстрирует сосудистые осложнения артериальной гипертензии (аневризма аорты, расслоение аневризмы).
В каких случаях проводят МРТ сердца при гипертонии
- Признаки, как при ЭХО-КГ и КТ
- Может использоваться для точной оценки и наблюдения за образованиями миокарда.
Какие инвазивные диагностические процедуры необходимы
- Ангиография коронарных сосудов может обнаруживать стеноз коронарных артерий у пациентов с подозрением на ИБС.

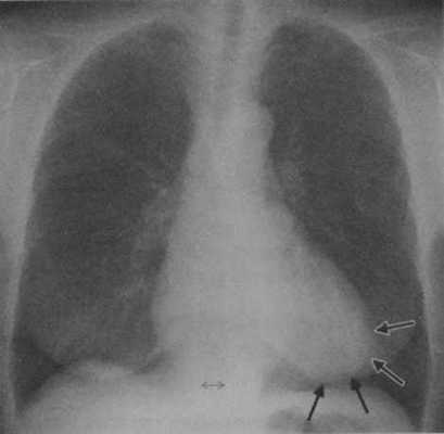
АГ у женщины 63 лет. Рентгенография грудной клеткив прямой проекции демонстрирует сужение талии сердцас приподнятой верхушкой(стрелки) в связи с гипертрофией миокарда.

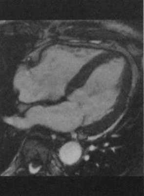
Та же пациентка, что и на рисунке 6.1. МРТ. SSFP-изображение на четырехкамерном срезе демонстрирует выраженную гипертрофию миокарда ЛЖ, преимущественно перегородки.
Клинические проявления
Типичные симптомы артериальной гипертензии:
- Часто бессимптомная
- Головная боль
- Головокружение
- Стенокардия
- Одышка
- Носовые кровотечения
- Пациенты с вторичной артериальной гипертензии имеют симптомы основного заболевания.
Методы лечения артериальной гипертензии
- Снижение факторов риска у пациентов с первичной артериальной гипертензии (снижение веса, физические упражнения, исключение алкоголя)
- Ступенчатый протокол медикаментозной терапии
- Вторичная артериальная гипертензия также требует лечения основного заболевания (например, стеноз почечной артерии, феохромацитома).
Течение и прогноз
- Прогноз зависит от тяжести артериальной гипертензии и сочетания факторов риска согласно классификации степени риска артериальной гипертензии, таких как атеросклероз, ИБС, микроинсульты, аневризма и расслоение аорты.
Что хотел бы знать лечащий врач?
- Сосудистые осложнения
- Морфофункциональная оценка сердца
- Исключение коарктации аорты.
Какие патологии имеют симптомы, схожие с артериальной гипертензией
- ГКМП, вторичные кардиомиопатии (например, амилоидоз, уремическая кардиомиопатия), стеноз аортального клапана.
Вредна ли компьютерная томография?
Компьютерная томография представляет собой метод диагностики внутренних органов, позволяющий получить послойные снимки для обнаружения серьезных заболеваний.
КТ является лучевым методом, в основе которого лежит различное поглощение тканями рентгеновского излучения. Именно схожесть с рентгенографией заставляет многих пациентов усомниться вредно ли делать компьютерную томографию и как часто можно проходить это исследование?
Кроме того, обеспокоенность у них вызывает и необходимость применения контрастного вещества при проведении КТ с болюсным усилением, что может сопровождаться развитием аллергических реакций.

array(6) < ["ID"]=>string(5) "26488" ["WIDTH"]=> int(1024) ["HEIGHT"]=> int(682) ["SRC"]=> string(62) "/upload/sprint.editor/f19/a8331de0d10a85b9f2780b4567cdb664.jpg" ["ORIGIN_SRC"]=> string(62) "/upload/sprint.editor/f19/a8331de0d10a85b9f2780b4567cdb664.jpg" ["DESCRIPTION"]=> string(0) "" >
Лучевая нагрузка при компьютерной томографии
Всем известен факт, что за один год допустимо воздействие на организм человека только определенного количества облучения, которое не превышает пределов нормы. Допустимая годовая доза лучевой нагрузки составляет 150 м3в. При соблюдении данной нормы облучение не наносит вреда здоровью человека.
Например, при регулярном применении в целях профилактики флюорографии, исследования молочных желез, снимка челюсти у стоматолога, в среднем, человек получает не менее 15 м3в в год. При проведении компьютерной томографии на стандартном аппарате при исследовании головного мозга лучевая нагрузка составляет от 1 до 2 м3в, при КТ органов малого таза, легких или брюшной полости – 6-11 м3в.
По данным исследований, даже при прохождении КТ несколько раз в год, доза получаемого облучения, как правило, не превышает допустимую норму.
Вредно ли делать КТ с контрастом?
Лучевая нагрузка, по мнению некоторых пациентов, является не единственной опасностью. Конкурировать с ней в какой-то мере может рентгеноконтрастное вещество, применяемое в некоторых случаях для проведения компьютерной томографии.
Как правило, это инертное вещество, которое не впитывается в окружающие ткани. Однако вред могут нанести компоненты, входящие в его состав – у некоторых пациентов они могут стать причиной развития аллергических реакций.
Данное осложнение может возникать при наличии следующих факторов:
- повышенной чувствительности к морепродуктам и йоду;
- почечной недостаточности;
- сердечно-сосудистых заболеваний;
- заболеваний желчного пузыря и печени.
Развитие незначительных побочных эффектов наблюдается только у 1-5% пациентов. У них возникает легкая тошнота, рвота, реакции со стороны кожи, нарушение вкусового восприятия и обоняния. Как правило, данные симптомы не требуют особого лечения и исчезают сами по себе.
Известны единичные случаи развития побочных явлений средней тяжести: отека Квинке, острой дыхательной недостаточности, вызванной сужением просвета бронхов и внезапным непроизвольным сокращением мускулатуры гортани, одышки. Для устранения подобных состояний требуется оказание экстренной медицинской помощи.
В крайне редких случаях происходит развитие тяжелых побочных реакций: внезапной сердечно-сосудистой недостаточности, следствием которой может быть потеря сознания и летальный исход. Чаще всего этот вред КТ наносится пациентам-аллергикам. В подобных случаях требуется немедленное оказание реанимационных мероприятий.
При наличии в анамнезе негативной реакции на лекарственные средства с содержанием йода, перед началом компьютерной томографии с контрастным усилением пациенту вводят антигистаминное средство. Некоторым пациентам требуется проведение специальных проб, которые помогают выявить аллерген.
Развитие аллергических реакций у пациентов, склонных к ним, происходит в достаточно редких случаях. Быстрое внутривенное введение контрастного вещества сопровождается возникновением побочных эффектов намного реже, чем медленное вливание с помощью капельницы.
Показания к КТ
Компьютерная томография позволяет выявить патологический процесс и уточнить диагноз у пациентов с различными состояниями:
- диагностированным раком, метастазами, подозрением на наличие онкологического заболевания;
- частыми, продолжительными головными болями без явных причин;
- нарушением мозгового кровообращения и сопутствующими этому расстройству последствиями;
- приступами припадков, судорогами, потерей сознания;
- состояниями после перенесенных травм;
- воспалительными процессами, локализованными в различных частях тела.
- травмы головы;
- патологии головного мозга;
- патологии спинного мозга;
- нарушение целостности позвоночника;
- заболевания лор-органов;
- патологии сердечно-сосудистой системы;
- заболевания репродуктивной системы;
- патологии дыхательной системы;
- нарушения опорно-двигательного аппарата;
- патологии сосудов и лимфатической системы;
- нарушение целостности костной структуры и прочие заболевания.
Компьютерная томография обладает неоспоримыми преимуществами – с помощью данного исследования можно оценить состояние практически любого органа. Помимо этого, для уточнения патологии, выявленной ранее в ходе других обследований, также применяется компьютерная томография.

array(6) < ["ID"]=>string(5) "26489" ["WIDTH"]=> int(1024) ["HEIGHT"]=> int(682) ["SRC"]=> string(62) "/upload/sprint.editor/47f/97b81ded2f482b472d6c7d2f40d8db80.jpg" ["ORIGIN_SRC"]=> string(62) "/upload/sprint.editor/47f/97b81ded2f482b472d6c7d2f40d8db80.jpg" ["DESCRIPTION"]=> string(0) "" >
Противопоказания к КТ
Вред данное исследование может нанести только пациентам со следующими противопоказаниями:
- синдромом нарушения всех почечных функций;
- наложенным гипсом или металлической конструкцией в обследуемой области;
- клаустрофобией (боязнью замкнутого пространства);
- буйным поведением, вызванным психическими отклонениями.
Несмотря на массу положительных моментов исследования, таких как неинвазивность, быстрота выполнения, хорошая переносимость процедуры, КТ также имеет противопоказания, как и любое другое инструментальное обследование:
- Беременные. Компьютерная томография является абсолютным противопоказанием для обследования женщин «в положении». При наличии документов о том, что у женщины в скором времени появится ребенок, врач старается повременить с проведением исследования и перенести его. При чрезвычайных ситуациях процедуру следует заменить на не лучевой диагностический метод исследования. Такая предельная осторожность связана с тем, что даже малые дозы рентгеновского облучения могут пагубно сказаться на состоянии растущего организма малыша;
- Дети. Относительным противопоказанием для проведения компьютерной томографии является возраст до восемнадцати лет. Организм ребенка в пять раз более восприимчивее ко всякому роду облучению, при этом достичь снижения дозировки не всегда удается. Компьютерная томография не назначается в связи с тем, что в тканях подрастающего организма находится очень много воды (по сравнению со взрослыми), что затрудняет диагностику разных патологий. Но если другие диагностические способы не могут предоставить достаточную информацию о заболевании ребенка, то тогда специалист может принять решение о необходимости компьютерной томографии. Очень часто, врачи-рентгенологи в таких ситуациях прибегают к помощи анестезиологов, которые внутривенно вводят ребенку седативные средства (успокоительные) или же вообще назначают наркоз;
- Люди с повышенной массой тела. Иногда проведение компьютерной томографии может быть затруднено у больных с лишней массой тела. Это связано с двумя факторами
- Компьютерный томограф не рассчитан на вес выше 150 кг;
- Гипс и металлические предметы. При наличии у пациента гипса или металлических вставок в области обследования, компьютерная томография не проводится, так как на снимках могут появиться блики или затемнения, которые затруднят диагностическое обследование заболеваний;
- Неадекватное поведение и психическое расстройство. Если больной находится в буйном состоянии и не может успокоиться или у него в анамнезе имеется психическое расстройство, то сканирование такого пациента затруднено — он не сможет сохранять неподвижность в течение всего исследования. Либо же врач может подождать, когда человек успокоиться. В некоторых случаях применяются снотворное средство, седативные препараты или даже общий наркоз. Такое состояние должно поддерживаться в течении двадцати- тридцати минут, пока не закончится исследование.
КТ с контрастом имеет свои противопоказания:
- Люди с почечной и печеночной недостаточностью. Именно эти органы активно выводят контрастное вещество из организма. Если в них имеют патологические изменения, то введение контрастного вещества может обернуться для пациента токсическим отравлением и длительным восстановительным процессом;
- Тяжелое общее состояние. Если пациент находится в критическом состоянии, то на первом месте стоит оказание первой медицинской помощи, а уже потом исследовать на предмет травм, переломов и прочих патологий;
- Заболевания щитовидной железы. Наличие в контрастном веществе йода может усугубить течение заболевания;
- Аллергия на компоненты контрастного вещества. Недопустимо, если у человека имеется аллергическая реакция на йодсодержащие вещества. Если пациент сомневается, то рекомендуют перед началом процедуры провести пробы, чтобы выявить аллергию на контраст. В случае проникновения такого вещества в организм может возникнуть тяжелое отравление организма вплоть до анафилактического шока.
В Юсуповской больнице ежедневно проводится компьютерная томография сотням людям с разными патологиями. Уровень врачебной квалификации позволяет дать грамотное заключение даже в самых тяжелых диагностических ситуациях. В Юсуповской больнице проводится экстренное обследование даже в ночное время, для этого имеется специальная бригада, которая включает в себя врача-рентгенолога.
Что наносит меньший вред: КТ или МРТ?
Одним из современных информативных диагностических методов, кроме КТ является магнитно-резонансная томография (МРТ). КТ и МРТ не считаются альтернативными методами. МРТ применяется для исследования органов, имеющих высокое содержание жидкости, однако надежно защищенных костным скелетом: головного и спинного мозга, межпозвоночных дисков, суставов и органов малого таза. А с помощью КТ предпочтительнее исследовать опорно-двигательный аппарат и ткани легких.
Практически равноценной информативностью обладают и КТ и МРТ при исследовании мочеполовой и пищеварительной системы. Однако компьютерная томография по сравнению с магнитно-резонансной требует гораздо меньше времени на свое проведение, поэтому ей отдают предпочтение в экстренных случаях.
Принципы защиты
Пациентам, которые сомневаются в безопасности методов лучевой диагностики, необходимо ознакомиться с некоторыми принципами снижения лучевой нагрузки:
- сокращенный временной отрезок: длительность скрининга можно сократить, отказавшись от выполнения скрининга одновременно в сагиттальной и поперечной проекциях, уменьшив силу тока рентгеновской трубки, а также число фаз томографии;
- проведение компьютерной томографии через висмутовые экраны: таким образом можно обеспечить снижение лучевой нагрузки, не ухудшив качества снимков;
- увеличение расстояния: снижение мощности лучевой нагрузки можно обеспечить, увеличив расстояние между рентгеновской трубкой и телом обследуемого. Защитить другие части тела, на которые может попасть излучение, можно с помощью свинцовой защиты.
В случаях применения КТ пациентам детского возраста, рекомендуется использование седативных средств, так как для получения снимков хорошего качества важна обездвиженность исследуемого. С этой целью можно также использовать специальные ремни, подушки, обеспечивающие неподвижность ребенка на время исследования.
Компьютерная томография зачастую является единственным возможным методом диагностики тех или иных патологий, качественной альтернативы к которому не существует, поэтому вопрос о том, вредно ли делать КТ – зачастую неуместен. Данное обследование применяется для подтверждения сложных диагнозов и немедленного начала лечения, особенно когда речь идет о сохранении качества жизни больного. При соблюдении всех рекомендаций пациенту не стоит беспокоиться о том, что КТ нанесет непоправимый вред их здоровью.
КТ любых органов по доступным ценам можно сделать в Юсуповской больнице Москвы. Клиника оснащена современным томографом последнего поколения, благодаря чему опытные, высококвалифицированные врачи Юсуповской больницы получают снимки высокого качества. На основании результатов компьютерной томографии врачи составляют максимально эффективную тактику лечения, индивидуально для каждого пациента.
КТ головного мозга
КТ головного мозга является информативным и распространенным методом исследования. Доступность, безболезненность, точность и быстрый результат являются несомненными преимуществами компьютерной томографии. С помощью КТ получают объемное изображение головного мозга с возможностью послойного изучения органа. Контрастное усиление повышает диагностическую информативность метода.
Компьютерная томография сосудов головного мозга и шеи является частью комплексного обследования головы. КТ-ангиография позволяет получить подробное изображение кровеносных сосудов и оценить характер кровотока. После проведения исследования с внутривенным контрастным усилением производится анализ полученных данных с применением специальных алгоритмов реконструкции изображений.
Юсуповская больница проводит все виды компьютерной томографии головного мозга. Клиника оснащена современным оборудованием, позволяющим производить диагностику в кратчайшие сроки.

array(6) < ["ID"]=>string(5) "26490" ["WIDTH"]=> int(1024) ["HEIGHT"]=> int(682) ["SRC"]=> string(62) "/upload/sprint.editor/a00/5b3cbdc16f152d23e71a69edcaae36eb.JPG" ["ORIGIN_SRC"]=> string(62) "/upload/sprint.editor/a00/5b3cbdc16f152d23e71a69edcaae36eb.JPG" ["DESCRIPTION"]=> string(0) "" >
Суть метода
Компьютерная томография головного мозга – метод исследования, в основе которого лежит использование рентгеновского излучения. С помощью серии снимков создается объемное изображение головного мозга. Подобным образом диагностируются различные патологические состояния. Преимуществом КТ является возможность послойного изучения органа. Томография используется в различных областях медицины.
Для определения поражения сосудов головного мозга проводится компьютерная томография с использованием контрастного вещества. Применение контраста на основании йода во время КТ ангиографии сосудов головного мозга позволяет точно и достоверно визуализировать структуру и расположение сосудов, выявлять новообразования, определять их размер и характер. Методика особенно эффективна для определения прединсультных состояний.
С помощью КТ ангиографии артериальных сосудов врачи выявляют признаки органических заболеваний головного мозга. Они объединены в следующие 5 основных групп:
- изменения в положении сосудов;
- изменения в количестве сосудов;
- изменения формы и ширины просвета сосудов;
- изменения в циркуляции контрастного вещества по сосудистому руслу головного мозга;
- выхождение контрастного вещества за пределы стенок мозговых сосудов.
При различных заболеваниях головного мозга основным является какой-то один ангиографический симптом, выявленный во время КТ ангиографии. Чаще одновременно определяется несколько ангиографических признаков, которые сочетаются между собой в различных комбинациях.
Преимущества
Компьютерная томография имеет некоторые преимущества по сравнению с другими методами исследования головного мозга и сосудов. К основным из них относятся:
- безболезненность. Некоторый дискомфорт может возникнуть только после введения контрастного вещества. Об этом необходимо сообщить врачу;
- точность. Послойное изучение головного мозга позволяет обнаружить начальные изменения в его строении. Контрастное усиление повышает информативность метода;
- быстрота исследования. Проведение процедуры занимает в среднем один час. В течение часа после диагностики на руки выдаются результаты;
- возможность проведения у лиц, страдающих клаустрофобией.
Что показывает КТ
В зависимости от причины исследования, проводится диагностика с использованием контрастного вещества или без него. Компьютерная томография головы и шеи назначается для выявления следующих состояний:
- кровотечений;
- инсультов и кровоизлияний;
- переломов основания черепа;
- гематом и травм;
- воспалительного процесса;
- патологий развития тканей;
- наличия инородных тел в исследуемой области;
- новообразований в области головы и шеи.
КТ головы и сосудов при опухолях головного мозга
Диагностика новообразований головного мозга с помощью компьютерной томографии головы основывается на оценке косвенных и прямых признаков патологического процесса. Различают следующие КТ-признаки опухолей мозга: участки патологических обызвествлений, изменения плотности мозгового вещества (области пониженной или повышенной плотности), разнородные изменения плотности.
Врачи во время КТ головного мозга оценивают следующие косвенные признаки наличия объёмного образования:
- смещение срединных структур мозга и сосудистого сплетения;
- отёк мозга по периферии и вблизи патологического процесса;
- блокада путей тока спинномозговой жидкости в совокупности с окклюзионной гидроцефалией;
- изменение размеров, смещение или сдавление желудочков мозга.
Степень выраженности косвенных признаков зависит от величины, гистологического строения, места локализации образования и выраженности отёка.
С помощью компьютерной томографии рентгенологи выявляют и метастазы злокачественной опухоли в головной мозг. Метастатические очаги усиленно накапливают контрастный препарат.
Показания
Компьютерная томография головы несет определенную лучевую нагрузку на организм, поэтому сканирование рекомендуется проводить не чаще 3 раз в год при экстренных показаниях. Промежуток между исследованиями не должен быть менее 4 недель. В профилактических целях специалисты не рекомендуют проходить обследование, так как возрастает рентгеновская нагрузка на организм.
Основными показаниями для КТ головы и шеи являются:
- головокружения и шум в ушах, причины которых не установлены;
- аномалии развития костных структур головы, сосудов;
- подозрение на развитие грыжи в шейном отделе позвоночника;
- травмы шеи и головы;
- подозрение на опухоли головы и шеи;
- головные боли;
- выявление расширения сосудов шеи и головы;
- признаки недостаточности мозгового кровообращения
- аневризмы сосудов;
- артериальный тромбоз.
КТ ангиография выполняется при церебральном атеросклерозе, головных болях, нарушении памяти и внимания, бессоннице и других симптомах, которые позволяют заподозрить сосудистую патологию головного мозга. Исследование показано пациентам, страдающим васкулитами. КТ сосудов головного мозга назначают пациентам, страдающим эпилепсией, приступами мигрени, а также при резком нарушении зрения или потере сознания.
КТ-ангиография головного мозга является необходимым методом обследования пациентов, страдающей вегетососудистой дистонией, вертебробазилярной недостаточностью, аневризмой мозговых сосудов. В случае ишемического инсульта с помощью компьютерной ангиографии определяют пути коллатерального кровотока и оценивают уровень закрытия просвета артерии тромбом или эмболом. КТ-ангиография сосудов головного мозга имеет большое значение при подготовке пациента к оперативным вмешательствам.
Компьютерная томография также выполняется при противопоказаниях у пациента к магнитно-резонансной ангиографии, в случаях, когда ранее проведенные альтернативные обследования дали сомнительный результат. КТ сосудов головного мозга в большинстве случаев выполняют с контрастом. Он проникает в мельчайшие сосуды и капилляры. Благодаря этому, врач имеет возможность обнаружить минимальные отклонения от нормы.
При обращении к специалистам Юсуповской больницы с перечисленной симптоматикой, пациенты получают консультацию об объеме диагностических мероприятий для выявления причин патологии, а затем направляются на диагностику.

array(6) < ["ID"]=>string(5) "26491" ["WIDTH"]=> int(1024) ["HEIGHT"]=> int(682) ["SRC"]=> string(62) "/upload/sprint.editor/016/f765dd14939c21144e1a6d7938b2149c.jpg" ["ORIGIN_SRC"]=> string(62) "/upload/sprint.editor/016/f765dd14939c21144e1a6d7938b2149c.jpg" ["DESCRIPTION"]=> string(0) "" >
Противопоказания
Несмотря на хорошую переносимость процедуры и ее безболезненность, компьютерная томография и ангиография сосудов головного мозга имеют некоторые противопоказания. К ним относятся:
- беременность. Так как метод исследования основан на использовании рентгеновских лучей, существует вероятность негативного воздействия на плод. Проведение КТ головного мозга у беременной женщины оправдано только в случаях угрозы для ее жизни;
- ожирение, при котором вес достигает выше 200 кг;
- психические заболевания. Во время проведения КТ необходимо находиться в неподвижном состоянии. Психические заболевания, сопровождающиеся неадекватными реакциями, затрудняют диагностику;
- индивидуальная непереносимость компонентов контрастного вещества, главным образом йода;
- наличие тяжелой почечной или печеночной недостаточности. Это связано с необходимостью выведения контрастного вещества. В случаях недостаточности функции печени или почек экскреция затрудняется.
Не рекомендуется КТ головы и шеи детям, кроме исключительных случаев. Индивидуально решается и вопрос о возможности выполнения КТ ангиографии головного мозга пациентам с эндокринными заболеваниями.
Подготовка
Для проведения компьютерной томографии головного мозга не требуется специальной подготовки. В случае необходимости использования контрастного вещества, последний прием пищи должен быть за 5 часов до исследования. Перед компьютерной томографией головного мозга рекомендуется проконсультироваться с лечащим врачом о необходимости отмены приема лекарственных средств на время исследования.
Ход исследования
Процедура выполнения компьютерной томографии головного мозга состоит из следующих этапов:
- Пациента укладывают на транспортер.
- Голова фиксируется с помощью специальных устройств для обеспечения максимальной неподвижности во время исследования.
- После запуска томографа производится серия снимков, с помощью которых формируется объемное изображение головного мозга.
- Компьютерная томография является безболезненным методом диагностики. Во время исследования пациент слышит только щелчки. Этот фактор устраняется с помощью берушей.
- При необходимости контрастного усиления в организм вводится специальное вещество. Оно окрашивает сосуды, что позволяет провести более точную диагностику головного мозга. Контрастное вещество может вызвать появление металлического привкуса во рту, тошноту или головную боль. Об этом необходимо сообщить об этом врачу, проводящему исследование.
В среднем проведение КТ головного мозга составляет от 30 минут до часа. Длительность исследования зависит от вида диагностики и общего состояния пациента. Расшифровка результатов происходит сразу после процедуры. Она занимает около 1-1,5 часов в зависимости от сложности томографии.
Расшифровка результатов
После проведения томографии врач оценивает полученные послойные изображения. Учитываются наличие или отсутствие новообразований, участков кровоизлияния или ишемии, оцениваются структуры головного мозга. Компьютерная томография считается нормальной, если отсутствуют признаки патологических новообразований, структуры мозга соответствуют возрасту, нет участков скопления жидкости, а также нарушений целостности костной ткани.
Любые отклонения от нормы фиксируются в заключении и требуют дальнейшей консультации специалиста. Врачи Юсуповской больницы занимаются расшифровкой всех видов компьютерной томографии головного мозга. Новейшее оборудование позволяет с высокой точностью определить даже начальные изменения в органе.
Стоимость
Стоимость КТ головы и шеи варьируется в зависимости от квалификации специалиста, используемого оборудования и других факторов, к числу которых относится введение контрастного вещества. В Юсуповской больнице пациентам доступен широкий спектр диагностических услуг, а также имеется возможность пройти сканирование с контрастом.
Компьютерная томография всего организма
Компьютерная томография (КТ) – неинвазивный метод диагностики при помощи рентгенологического излучения, который помогает поставить правильный диагноз в том случае, когда с помощью других методов исследования не удаётся идентифицировать характер патологического процесса.

array(6) < ["ID"]=>string(5) "26480" ["WIDTH"]=> int(1024) ["HEIGHT"]=> int(682) ["SRC"]=> string(62) "/upload/sprint.editor/376/1b93fb307eb8aa483063e9ba85f14155.jpg" ["ORIGIN_SRC"]=> string(62) "/upload/sprint.editor/376/1b93fb307eb8aa483063e9ba85f14155.jpg" ["DESCRIPTION"]=> string(24) "Прием у врача" >
Метод компьютерной томографии основан на измерении и сложной компьютерной обработке разности ослабления рентгеновского излучения различными по плотности тканями. Во время КТ снимки делаются послойно, на различной глубине и обрабатываются затем с помощью компьютера.
Обычный современный томограф позволяет получать срезы толщиной 1–2, 5 и 10 мм со скоростью сканирования слоя 1–3 секунды, полное исследование головного мозга занимает 2–З минуты. Однократное сканирование создаёт изображение одного слоя. Цикл сканирования повторяется после очередного перемещения стола столько раз, сколько послойных изображений необходимо получить. Компьютерная томография имеет главное преимущество перед обычными рентгеновскими исследованиями – чёткость исследуемых объектов.
В спиральном томографе стол с пациентом постоянно движется через вращающийся источник рентгеновских лучей. При этом всё тело сканируется по спирали. Затем происходит реконструкция срезов различной толщины. Спиральная КТ всего тела позволяет уменьшить продолжительность исследования, сократить лучевую нагрузку, исключить искажения от изменения положения тела, дыхательных движений пациента и движений внутренних органов.
Для быстрого, полного и точного исследования состояния сосудистой системы всего организма используется мультиспиральная КТ сосудов. В Юсуповской больнице исследование проводится на мультиспиральном компьютерном томографе последнего поколения.
Виды КТ
В зависимости от цели исследования, компьютерную томографию проводят двумя методами:
- нативным;
- болюсным (контрастным), с введением контрастного вещества в вену, перорально, ректально.
Компьютерную томографию используют для диагностики заболеваний любой части организма: головного мозга, позвоночника, лёгких и средостения, почек, надпочечников, печени, поджелудочной железы, легочной артерии, аорты, сердца и других органов. Под контролем КТ врачи Юсуповской больницы проводят биопсию почки, простаты и другие лечебно-диагностические процедуры:
- брахитерапию;
- HIFU (ультразвуковую версию трёхмерного облучения);
- дренирование абсцесса почки, простаты;
- малоинвазивные методы лечения опухолей.
С помощью компьютерной томографии врачи осуществляют контроль за результатами хирургического лечения (трансплантации органа или восстановления проходимости мочевых путей), определяют стадию опухолевого процесса, план и необходимость назначения лучевой терапии для лечения злокачественных новообразований, проводят мониторинг ответа опухоли на химиотерапию, измеряют минеральную плотность костной ткани для выявления остеопороза.
КТ широко используют в качестве скринингового исследования при травме головы, не сопровождающейся потерей сознания, обмороках. Экстренная томография выполняется при тяжёлых травмах, подозрении на кровоизлияния в мозг, повреждении сосудов (расслаивающейся аневризмы аорты), нарушении целостности полых и паренхиматозных органов.
КТ костей и позвоночника позволяет оценить состояние межпозвонковых дисков, выявить пороки развития костей и хрящей, новообразования, определить изменения после операции или травмы.
КТ органов грудной клетки назначают при подозрении на наличие опухоли лёгких, органов средостения, метастаз, туберкулёза.
КТ-ангиография проводится при подозрении на наличие патологии сосудистой системы (аорты, вены и других сосудов).
Проведение компьютерной томографии нижних конечностей позволяет получить послойное изображение крупных суставов (коленного и тазобедренного), бедренную кость на всем протяжении, в том числе места, где к ней прикрепляются мышцы. Для хорошей визуализации сосудистых структур проводится КТ нижних конечностей с контрастом. Ухудшение кровотока возможно вследствие воспалительного процесса, онкологического новообразования, травматического повреждения и т. д.

array(6) < ["ID"]=>string(5) "26481" ["WIDTH"]=> int(1024) ["HEIGHT"]=> int(682) ["SRC"]=> string(62) "/upload/sprint.editor/688/56e2d345a786c33eedc78acba7b13a81.jpg" ["ORIGIN_SRC"]=> string(62) "/upload/sprint.editor/688/56e2d345a786c33eedc78acba7b13a81.jpg" ["DESCRIPTION"]=> string(64) "Компьютерная томография организма" >
Показывает ли КТ онкологию?
Компьютерная томография эффективно выявляет опухоли и метастазы размером от миллиметра в следующих органах и системах:
- головном мозге;
- легких и бронхах;
- позвоночнике;
- органах брюшной полости;
- органах малого таза;
- кишечнике;
- кожном покрове;
- мягких тканях;
- сосудах;
- лимфоузлах;
- костях.
Онкологи назначают КТ с целью уточнения диагноза, а также решения о дальнейшей тактике лечения.
Абсолютные противопоказания к компьютерной томографии отсутствуют. Исследования не проводят беременным и кормящим грудью женщинам, маленьким детям. В каждой конкретной ситуации решение о необходимости проведения томографии определённой части тела принимает врач, взвесив все риски.
Невозможно сделать процедуру пациентам с массой тела выше 160 кг.
Существенным противопоказанием для использования контраста во время компьютерной томографии является индивидуальная непереносимость препарата, сахарный диабет, патология щитовидной железы.

array(6) < ["ID"]=>string(5) "26482" ["WIDTH"]=> int(1024) ["HEIGHT"]=> int(682) ["SRC"]=> string(62) "/upload/sprint.editor/2fa/dcaaa7c1e51cea7011ac6cb92cdae332.jpg" ["ORIGIN_SRC"]=> string(62) "/upload/sprint.editor/2fa/dcaaa7c1e51cea7011ac6cb92cdae332.jpg" ["DESCRIPTION"]=> string(38) "Консультация у врача" >
Подготовка пациента к исследованию
При проведении стандартной компьютерной томографии головного мозга, костей черепа, шеи, грудной клетки, позвоночника без введения контрастного вещества специальной подготовки пациента не проводится. КТ-исследование брюшной полости (поджелудочной железы, селезёнки и надпочечников) без применения контраста проводят натощак.
Лечащий врач во время опроса пациента уточняет, нет ли у него аллергии на йод. В течение суток, предшествующих процедуре КТ, пациент выпивает небольшими порциями до двух литров очищенной негазированной воды. Перед исследованием пациенту предлагают снять все металлические предметы и украшения из сплавов, заколки, брекеты, очки и ювелирные изделия.
Подготовка к КТ с болюсным (контрастным) усилением
Перед проведением компьютерной томографии с применением контрастного вещества необходима консультация лечащего врача или анестезиолога пациентам, которым ранее был назначен прием следующих препаратов:
- бета-адреноблокаторов;
- гуанидинов;
- интерлейкина;
- метформина;
- нестероидных противовоспалительных препаратов.
Кроме того, предварительная консультация специалистов требуется пациентам, страдающим следующими заболеваниями:
- хроническими почечными заболеваниями;
- патологиями щитовидной железы (гипертиреозом, папиллярным или фолликулярным раком щитовидной железы), а также при планировании сцинтиграфии;
- сахарным диабетом (диабетической нефропатией);
- бронхиальной астмой, полиаллергией;
- заболеваниями сердца (при сердечной недостаточности 3 или 4 степени либо недавних сердечных приступах);
- при наличии в анамнезе пациента умеренных или тяжелых реакций на контрастное вещество.
Пациентам может быть проведено дополнительное лабораторное обследование, предложены альтернативные методы диагностики (МРТ, УЗИ).
Перед проведением компьютерной томографии с контрастным усилением человек должен отказаться от приема пищи за 4 часа до процедуры.
Особенности при исследовании различных частей тела
Если посредством КТ необходимо исследовать кости, мягкие ткани, позвоночник, голову, шею или грудную полость, специальной подготовки, как правило, не требуется. Режим приема напитков, лекарственных веществ и выполнения медицинских процедур у пациента не изменяется.
При скрининге коронарных артерий и сердца необходимо контролировать частоту сердечных сокращений, которая должна быть не выше 72-75 ударов в минуту. Пациенту не рекомендуется принимать кофеин, атропин, вводить теофиллин и N-бутилскополамин. Кроме того, в день КТ-исследования необходимо отказаться от курения.
Врач-рентгенолог должен быть проинформирован о планирующемся непосредственно после КТ хирургическом вмешательстве, а также о наличии подозрений на прободение (перфорацию) полого органа или свища.
Компьютерная томография малого таза и брюшной полости может проводиться не раньше, чем через 3 дня после рентгенологического исследования кишечника или желудка с применением бариевой взвеси.
Перед проведением КТ органов малого таза обследуемому требуется умеренно наполнить мочевой пузырь. Для этого за час-полтора до скрининга нужно выпить до полутора литров негазированной очищенной воды. Если у пациента установлен катетер, его следует перекрыть за полчаса до компьютерной томографии.
В случае применения при КТ двойного контрастирования, пациенту необходимо явиться в клинику за час до начала обследования. Лаборанты выдадут контрастное вещество, которое нужно будет выпить в течение часа до исследования.
Ход процедуры
В ходе КТ пациент неподвижно лежит на специальном передвижном столе. Максимально точное изображение можно получить, периодически задерживая дыхание, о чем пациента в процессе процедуры предупреждает врач-рентгенолог по громкой связи, наблюдая обследуемого через смотровое окно. Кольцо томографа двигается вдоль тела пациента, при этом рентгеновские лучи просвечивают необходимый участок.
Компьютерная томография с контрастом подразумевает несколько способов введения медицинского препарата:
- пероральный способ чаще всего применяется при обследовании желудочно-кишечного тракта. Пациент выпивает контрастное вещество согласно рекомендациям. Часто применяется комбинация с внутривенным контрастированием;
- вещество вводят в вену непосредственно перед томографией;
- проводится компьютерная томография без контраста, затем томограф останавливают, пациенту вводят препарат и обследование продолжается уже с контрастным веществом;
- контрастное вещество вводят болюсно с использованием специального шприца или же ставят капельницу в медленном режиме;
- введение жирорастворимого контраста в просвет полости органа позволяет визуализировать наличие свищей, дивертикул и прочих патологических образований;
- ректальный применяется для сканирования кишечника, при этом контрастное вещество однократно вводят через прямую кишку пациента.
Расшифровка результатов КТ
Пациент получает на руки снимки или запись компьютерной томографии на электронном носителе и письменное заключение рентгенолога. В нём врач описывает размер, форму, положение и взаимное расположение органов, отмечает выявленные отклонения от нормы, в том числе врождённые аномалии развития. Далее описывает все обнаруженные образования: кисты, абсцессы, камни, опухоли и др.
На результаты КТ-исследования может повлиять движение пациента во время обследования, глубокое дыхание, сильная перистальтика. Искажения вносят металлические элементы, которые есть в организме (протезы или имплантаты). Об их наличии надо заранее предупреждать врача, который проводит обследование. Если пациент принимает препараты, содержащие висмут, компьютерную томографию откладывают.
Достоверность расшифровки томографических изображений при диагностике рака напрямую зависит от опыта врача-рентгенолога и онколога. Особенно это важно при запутанных диагностических случаях.
Медицинские ошибки могут встретиться также в описании размеров опухоли, лимфатических узлов, а также других важных характерных признаков. В Юсуповской больнице работают опытные узкопрофильные специалисты, благодаря которым процент человеческих ошибок сводиться к нулю.
Читайте также:
