Рентгенограмма, КТ при контраст-индуцированной нефропатии
Добавил пользователь Владимир З. Обновлено: 13.12.2025
Лучевая диагностика радиационного нефрита
а) Терминология:
1. Синонимы:
• Радиационная нефропатия, лучевое повреждение почки
2. Определение:
• Повреждение почки, вызванное ионизирующим излучением
б) Визуализация:
1. Общая характеристика:
• При КТ с контрастированием определяется гиподенсная область атрофии паренхимы с четкими контурами (в соответствии с зоной облучения почки)
• Морфология:
о Частичное облучение почки:
- Облученная область почки имеет четкие контуры и гладкую поверхность
- Не соответствует клиновидной или пирамидной форме долей почки
о Полное облучение почки:
- Прогрессирующая атрофия почки (наиболее выражена во внешнем корковом слое)
- Двусторонний радиационный нефрит невозможно отличить от других причин почечной недостаточности
2. УЗИ при радиационном нефрите:
• Атрофия и гиперэхогенность облученной части (или целой почки в случае ее полного облучения):
о У пациентов, в анамнезе у которых имеется облучение всего тела, обе почки со временем уменьшаются и становятся эхогенными; лучевое поражение невозможно отличить от других причин хронической почечной недостаточности
• Компенсаторная гипертрофия не облученной почки
3. КТ при радиационном нефрите:
• Частичное облучение почки:
о КТ с контрастированием в раннюю фазу: гиподенсная область острой демаркации, соответствующая области излучения
о Отсроченная (пиелографическая) фаза КТ с контрастированием: стойкая нефрограмма поврежденной части почки
о Корковая ± мозговая атрофия поврежденных частей почки
• Полное облучение почки:
о Атрофия и задержка нефрограммы пораженной почки
4. Рекомендации по визуализации:
• Лучший метод диагностики:
о КТ с контрастированием

(Слева) Мужчина средних лет после недавней резекции рака толстой кишки, прошедший курс радиотерапии по поводу метастазов в позвоночнике. На КТ с контрастированием, в аксиальном срезе в левой почке определяется гиподенсная зона с четкими границами. Обратите внимание на наличие метастазов в позвоночном столбе, которые были мишенью радиотерапии.
(Справа) На более каудальном срезе, у этого же пациента определяются признаки радиационного нефрита правой почки. Обратите внимание на наличие свободного воздуха в связи с недавней лапаротомией.
в) Дифференциальная диагностика радиационного нефрита:
1. Пиелонефрит:
• Обычно клиновидная или полосатая нефрограмма
• Зачастую с инфильтрацией околопочечного пространства
2. Инфаркт почки:
• Обычно клиновидный или тотальный
• Признак коркового ободка:
о Контрастируемый ободок коры и ткани капсулы
о Встречается только в случае подострой ишемии почки или инфаркта
3. Хроническая почечная недостаточность (другие причины):
• Двусторонний радиационный нефрит, вследствие тотального облучения тела, невозможно отличить от других причин хронической почечной недостаточности
г) Патология. Общая характеристика:
• Этиология:
о Ионизирующая радиация → оксидативное повреждение ДНК:
- повреждение/смерть клетки
• Поражаются все компоненты (включая клубочки, канальцы, сосуды и интерстиций)
• Факторы риска:
о Суммарная доза и объем излучения почки являются наиболее важными параметрами, определяющими степень повреждения почки
о Пациенты, получившую суммарную дозу >20 Гр (2000 рад) имеют наивысший риск заболевания (в случае, когда почки попадают в поле облучения)

(Слева) Женщина 72 лет с анамнезом неоперабельной аденокарциномы поджелудочной железы подверглась внешнему лучевому воздействию. На КТ почек с контрастированием, в аксиальной срезе, спустя пять месяцев после облучения не обнаружено никаких существенных изменений.
(Справа) При повторном исследовании, выполненном спустя пятнадцать месяцев после внешнего лучевого воздействия определяется атрофия и заметное снижение перфузии медиальной поверхности правой почки вдоль места облучения. Обратите внимание на четкую границу между нормальной и пораженными частями почки. Также следует обратить внимание на образование поджелудочной железы.
д) Клинические особенности:
1. Клиническая картина:
• Наиболее частые признаки/симптомы:
о Обычно отсутствует клиническая картина поражения почек:
- Только у 20% пациентов, получивших дозу облучения >25 Гр, возникает нарушение функций почек
о Протеинурия, азотемия и артериальная гипертензия:
- Протеинурия является наиболее ранним признаком
2. Демография:
• Чаще всего встречается у пациентов, получающих большие терапевтические дозы внешнего лучевого воздействия:
о Также встречается у пациентов, получающих низкую дозу облучения всего тела перед последующей трансплантацией костного мозга
о Менее часто встречается у пациентов, получающих лечение системными радионуклидами
• Дети наиболее чувствительны
3. Лечение радиационного нефрита:
• Консервативное лечение артериальной гипертензии и почечной недостаточности (схожее с другими причинами хронической почечной недостаточности)
• Профилактика:
о Использование минимальной эффективной дозы
о Выборочное экранирование
Рентгенограмма, КТ при контраст-индуцированной нефропатии
а) Терминология:
• Острое повреждение почек (ОПП) в течение 24-48 часов после применения внутрисосудистого контрастного вещества (КВ); должны быть исключены другие причины ОПП:
о ОПП: увеличение кретинина плазмы до 0,5 мг/дЛ или относительное его увеличение на 25% от нормального значения
б) Визуализация контраст-индуцированной нефропатии:
• Отсроченная нефрограмма при последующей КТ или обзорной урографии
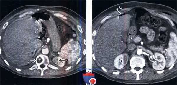
(Слева) Рентгенограмма, полученная спустя 18 часов после коронарографии: определяется стойкая нефрограмма, признак, указывающий на острый тубулярный некроз. Плотно затемненная желчь в пределах желчного пузыря, вследствие косвенной экскреции контраста через гепатобилиарную систему, как компенсация сниженной почечной экскреции.
(Справа) КТ без контрастирования, аксиальный срез: у пациента с острой почечной недостаточностью после ангиографии определяются плотные двусторонние нефрограммы тем не менее с нормального вида почками. Также присутствует асцит. (Слева) КТ без контрастирования, аксиальный срез: стойкое контрастирование почек у пациента с КИН после ангиографии. Плотность асцита 60 HU, вследствие косвенной экскреции контрастного вещества брюшиной, в качестве компенсации нарушенной почечной экскреции.
(Справа) КТ без контрастирования, аксиальный срез: плотные стойкие нефрограммы у женщины 92 лет, спустя три дня после контрастного исследования. У нее снижена базальная почечная функция. Обратите внимание на заметные кальцинаты в устье почечных артерий.. Снижение СКФ и пожилой возраст являются факторами риска КИН.
в) Дифференциальная диагностика:
• Острое повреждение почек (ОПП):
о Другие причины ОПП, такие как нефротоксические лекарственные препараты, преренальная азотемия, обструкция мочеточника и др.
о Зачастую трудно распознать точную причину острого тубулярного некроза (ОТП) у пациентов, которые подвержены множественным факторам риска
• Острый интерстициальный нефрит
• Почечный атероэмболический феномен
г) Патология:
• Моделирование на животных показало, что ОТН лежит в основе патогенеза, но сам механизм, из-за которого возникает ОТН точно не понятен:
о Почечная вазоконстрикция
о Прямое повреждение канальцев
• Риск КИН детерминированный (очень зависимый)
д) Клинические особенности:
• Профилактика:
о Следует обратить внимание на то, что альтернативные методы визуализации не требуют применения КВ
о Использовать меньшие дозы КВ; избегать проведения нескольких контраст-усиленных исследований в короткий промежуток времени - гипоосмолярные и изоосмолярные неионные КВ показали свое преимущество над гиперосмолярными ионными агентами
о Внутривенная гидратация
о N-ацетилцистеин, перорально или внутривенно
о Прекратить прием нефротоксичных лекарственных веществ
о Отсутствие пользы в профилактическом гемодиализе
Лучевая диагностика контраст-индуцированной нефропатии
а) Терминология:
1. Сокращения:
• Контраст-индуцированная нефропатия (КИН)
2. Определение:
• Острое повреждение почек (ОПП) в течение 24-48 часов после применения внутрисосудистого контрастного вещества (КВ); должны быть исключены другие причины ОПП:
о ОПП; увеличение в плазме кретинина до 0,5 мг/дл или относительное его увеличение на 25% от нормального значения
б) Визуализация. Общая характеристика:
• Лучший диагностический критерий:
о Неспецифичная картина визуализации
о Отсроченная нефрограмма на последующей КТ или обзорной урографии

(Слева) КТ без контрастирования, аксиальный срез: у женщины 69 лет, в анамнезе у которой имеется септический шок, определяется отсроченное пятнистое контрастирование почек.
(Справа) На корональном срезе снова определяется отсроченное пятнистое контрастирование почек. За семь дней до этого исследования пациентке был введен йодсодержащий контрастный препарат. У нее имеются множественные сопутствующие заболевания, а креатинин плазмы повысился от 1,5 мг/дл до 3,2 мг/дп, вследствие ОТН, причиной которого, возможно, являются воздействие множества факторов.
в) Дифференциальная диагностика контраст-индуцированной нефропатии:
1. Острое повреждение почек (ОПП):
• Другие причины ОПП, такие как нефротоксические лекарственные препараты, преренальная азотемия, обструкция мочеточника и др.
• Зачастую трудно распознать точную причину острого тубулярного некроза (ОТП) у пациентов, которые подвержены множественным факторам риска:
о В большом ретроспективном исследовании (Newhous и др., AJR2008) 32161 пациентов, которым не вводили КВ, у >50% из них развилось ОПП
2. Острый интерстициальный нефрит:
• В анамнезе гиперсенсибилизация к лекарственным препаратам
• Лейкоцитарные цилиндры в анализе мочи
3. Почечный атероэмболический феномен:
• Снижение функции почек после ангиографии, вследствие инфаркта почки, возникшего из-за тромбоэмболии и атероэмболического феномена
• Начало обычно отсрочено на дни или недели; затяжное течение с небольшим восстановлением или его отсутствием

(Слева) На микрофотографии пациента с осмотической тубулопатией, вызванной использованием йодсодержащего контраста, определяется профиль канальцев, в которых отмечается отек цитоплазмы, вакуолизация и сохранение микроресничек.
(Справа) На микрофотографии, окрашенной гематоксилином и эозином, у пациента с ОТН определяется уплощение эпителия, потеря апикальной цитоплазмы, стойко расширенные канальцы и очаговая, крупная дистальная и тубулярная вакуолизация эпителия.
г) Патология:
1. Общая характеристика:
• Этиология:
о Моделирование на животных показало, что в основе патогенеза лежит ОТН, но сам механизм, из-за которого он возникает точно не известен
о Возможные механизмы следующие:
о Почечная вазоконстрикция:
- Почечная вазоконстрикция → гипоксия мозгового слоя (внешний мозговой слой более чувствителен к ишемии, вследствие более активного метаболизма)
- Вероятно, процесс запускается путем повреждения путей активации оксида азота, эндотелина и аденозина:
Путь активации оксида азота нарушен при диабете и сердечной недостаточности, что повышает чувствительность к КИН у данных пациентов
о Прямое повреждение канальцев:
- Вследствие прямой цитотоксичности и продукции свободных радикалов кислорода
- Обструкция канальцев преципитатами окрашенных кристаллов
о Риск КИН детерминирован (зависит от дозы)
о КИН почти никогда не возникает, если почки функционируют нормально
о Факторы риска:
- Первичная дисфункция почек (скорость клубочковой фильтрации < 60 мл/мин): служит наиболее важным фактором риска
- Сниженная почечная перфузия: приводит к сердечной недостаточности, гипотонии или дегидратации
- Возраст >70 лет
- Сахарный диабет
- Сопутствующее использование нефротоксичных лекарственных препаратов (НПВС, аминогликозиды, циклоспорины и т.д.)
- Множественная миелома
- Факторы риска, связанные с процедурой:
Большой объем КВ
Гиперосмолярное ионное (первого поколения) КВ
Тип исследования: преобладает при коронарографии
2. Микроскопия:
• Очаговый некроз проксимальных канальцев, который является неспецифичным для КИН
• Цилиндры, обтурирующие просвет канальцев
3. Типы КВ:
• Ионные: гиперосмолярные контрастные вещества (ГОКВ); гиперосмолярные (1550-2100 мОсм/кг):
о Нормальная осмолярность плазмы: 280-300 мОсм/кг
о Диатризоат, метризоат
• Неионные мономеры: гипоосмолярные контрастные вещества (ГОКВ); гипоосмолярность (500-880 мОсм/кг):
о Йодпамидол, йодгексол, йодксилан, йодпромид
• Неионные димеры: изоосмолярные контрастные вещества (ИОКВ); изоосмолярность плазмы (290 мОсм/кг):
о Йодиксанол

(Слева) В таблице приведены различные поколения йодсодержащих контрастных веществ с соответствующим содержанием йода и осмолярностью.
(Справа) В таблице предложены рекомендации, основанные на данных уровня альбумина-креатинина для решения о прекращении применения метформина после введения йодсодержащего контрастного вещества.
1. Клиническая картина контраст-индуцированной нефропатии:
• Наиболее частые признаки/симптомы:
о ↑ креатинина плазмы, гиперкалиемия, гиперфосфатемия, ацидоз
о У большинство пациентов наблюдается олигурия
2. Демография:
• Возраст:
о ↑ заболеваемости у пациентов старшей возрастной группы, вследствие ↓ способности к адаптации при оксидативном повреждении
• Эпидемиология:
о Третья ведущая причина острой почечной недостаточности у госпитализированных пациентов
о Заболеваемость: незначительная ( < 1 % случаев) у пациентов с отсутствием факторов риска; у 10% пациентов >70 лет; может увеличиваться до 50% у пациентов с множественными факторами риска:
- Снижение заболеваемости КИН в прошлом десятилетии, возможно, вследствие использования неионных изоосмолярных и гипоосмолярных КВ
о В общей сложности, риск КИН после коронарографии гораздо выше, чем при КТ (вследствие наличия сопутствующих заболеваний и более высокой дозы контраста)
3. Течение и прогноз:
• Креатинин плазмы повышается в пределах 24 часов, пиковые значения через 2-3 дня, обычно возвращается к нормальным значениям в пределах 7-10 дней
• В большинстве случаев проявляется небольшим отклонениям СКФ:
о В проспективном исследовании 353 пациентов с умеренной и тяжелой почечной дисфункцией после коронарографии (Втаг и др., JAMA 2008), у < 1 % имелось тяжелое ОПП, требующее диализа
• В ретроспективном исследовании 21346 госпитализированных пациентов (McDonald и др.. Radiology 2014) не было подтверждения того, что применение КВ является независимым фактором риска развития ОПП, неотложного диализа или 30 дневной смертности.
4. Лечение контраст-индуцированной нефропатии:
• У пациентов с риском развития КИН, должны измеряться Cr плазмы или примерная СКФ перед исследованием и через 24-48 часов после введения контраста
• Профилактика:
о Следует обратить внимание на то, что альтернативные методы визуализации не требуют применения КВ
о Следует использовать меньшие дозы КВ; избегать нескольких исследований с применением контрастного вещества в небольшой промежуток времени:
- Гипоосмолярные и изоосмолярные неионные КВ показали свое преимущество над гиперосмолярными ионными агентами
о Внутривенная гидратация:
- Отсутствие единого мнения по поводу оптимальной концентрации и дозы контраста:
Изотонические растворы показали свое превосходство над гипотоническими
Несколько исследований предположили, что подщелачивание плазмы бикарбонатом натрия может принести пользу
- Предполагаемая доза: изотонический раствор или бикарбонат натрия (1 мл/кг/час, начиная за 12 часов перед исследованием до 12 часов после исследования)
- Отсутствие очевидной пользы от пероральной гидратации водой
о N-ацетилцистеин, перорально или внутривенно:
- Теоретически может предотвратить КИН, ↓ вазоконстрикцию и i продукцию свободных радикалов кислорода
- Разнящиеся данные по отношению к эффективности препарата
- Вследствие отсутствии удовлетворительной информации, использование ацетилцистеина внутривенно обычно не рекомендуется
о Прекращение приема нефротоксических лекарственных препаратов
о Отсутствие пользы в профилактическом гемодиализе
• Выполнение гемодиализа сразу после введения КВ не предотвращает КИН
• Лечение:
о Поддерживающая терапия, агонисты допамина, петлевые диуретики, маннитол
о Диализ: у меньшего количества пациентов
д) Диагностическая памятка:
1. Следует учесть:
• Рекомендуется получать базовый уровень креатинина у всех пациентов с подозрением на почечную дисфункцию или с риском его возникновения:
о У пациентов имеется риск, если:
- В анамнезе имеются заболевания почек во взрослом возрасте
- Имеется семейный анамнез почечной недостаточности
- Проводится терапия сахарного диабета
- Наличие парапротеинемических синдромов
- Наличие системных заболеваний соединительной ткани и сосудов
- Применение конкретных лекарственных препаратов, таких как НПВС, метформин, аминогликозиды и т.д.
2. Руководство по ведению пациентов, принимающих метформин:
• Метформин-ассоциированный лактатный ацидоз является очень редким состоянием со смертностью более 50%
• Метформин первоначально выводится посредством клубочковой фильтрации и экскреции канальцами; почечная дисфункция, среди прочих причин, выражается в увеличении полувыведения метформина, что может служить фактором риска развития лак-татного ацидоза
• КВ не является независимым фактором риска развития лактатного ацидоза, а риск клинически значимого КИН сравнительно небольшой у пациентов с нормальной функцией почек
• У пациентов с сопутствующей почечной дисфункцией или множественными сопутствующими заболеваниями, КВ может привести к КИН и увеличению риска развития лактатного ацидоза
• Рекомендации по уровню альбумина-кретинина
Контраст-индуцированная нефропатия
Контраст-индуцированная нефропатия — это острая почечная дисфункция, которая возникает в течение 1-3 суток после введения рентгеноконтрастного препарата, приводит к повышению уровня сывороточного креатинина минимум на 26,5 мкмоль/л (25%) и более в сравнении с исходным уровнем. Обычно протекает бессимптомно. В тяжелых случаях проявляется олигурией, почечными отеками, слабостью, сонливостью, потерей аппетита, тошнотой. Диагностируется на основании данных о динамике концентрации креатинина и калия в сыворотке крови, результатов общего анализа мочи, биохимии крови, почечных проб. Для лечения вводят инфузионные ощелачивающие препараты, проводят почечнозамещающую терапию.
МКБ-10
N14.1 Нефропатия, вызванная другими лекарственными средствами, медикаментами или биологически активными веществами
Общие сведения
Контраст-индуцированный вариант нефропатии у пациентов с нормальной функцией почек встречается не более чем в 0,5-5% случаев проведения исследований с применением йодсодержащих рентгеноконтрастных средств. Вероятность развития расстройства существенно возрастает при наличии факторов риска. Так, по результатам клинических наблюдений в области современной урологии, после проведения КТ различных органов, периферической и кардиальной ангиографии почечная дисфункция той или иной степени проявлялась у 50-90% пациентов с диабетическим поражением почечной паренхимы.
С учетом роста популярности компьютерной томографии и других современных методов рентгеновских исследований повышается актуальность своевременного выявления факторов риска и профилактики острой почечной дисфункции, которая возможна при использовании контрастных средств на основе йода.
Причины нефропатии
Острое ятрогенное поражение почек связано с введением йодсодержащего рентгеноконтрастного вещества. Наибольшую нефротоксичность проявляют высокоосмолярные препараты с высокой плотностью и концентрацией йода. Специалисты в сфере нефрологии выделяют пять ключевых факторов, обуславливающих токсическое повреждение различных элементов почечной ткани при введении контраста:
- Увеличение осмолярности в почечных канальцах. Йодсодержащие контрастные соединения хорошо фильтруется нефронами и не подвергается реабсорбции, из-за чего моча становится более концентрированной. Повышение вязкости оказывает прямое повреждающее воздействие на эпителиоциты канальцев.
- Нарушение почечной гемодинамики. Контраст-индуцированное расширение и последующее спазмирование ренальных артерий влияет на интенсивность кровотока в микрососудистом русле. После временного прилива крови интенсивность ренального кровоснабжения резко падает, в тканях возникает ишемия.
- Высвобождение активных форм кислорода. После восстановления адекватного кровотока в ишемизированных тканях развивается реперфузионный «кислородный парадокс». Из-за резкой активации перекисного окисления липидов образуются свободные радикалы кислорода, которые токсически влияют на клеточные мембраны.
- Воспалительная реакция. В ответ на введение йодсодержащего препарата в различных органах, в том числе почках, происходит контраст-опосредованная активация комплемента и выброс цитокинов. В результате токсические повреждения паренхимы могут усугубиться действием медиаторов воспаления.
- Тубулярная обструкция. Преципитация внутриканальцевых белков, индуцированная рентгеноконтрастным веществом, нарушает внутрипочечный пассаж мочи. Вследствие обструкции канальцев нарушается реабсорбция мочи, а опосредованное влияние на нефроны ухудшает процессы фильтрации.
Вероятность возникновения контраст-индуцированной нефропатии возрастает у пациентов, длительно страдающих пиелонефритом, гломерулонефритом, амилоидозом, подагрической нефропатией, поликистозом и другими хроническими болезнями почек, ХПН, перенесших трансплантацию почки. В группу риска входят больные с тяжелой сопутствующей патологией — артериальной гипертензией, сахарным диабетом 2-го типа, циррозом печени, кардиологическими заболеваниями с застойной сердечной недостаточностью, снижением фракции выброса левого желудочка до 35% и менее, множественной миеломой.
Предрасполагающими факторами также считаются возраст более 75 лет, протеинурия, содержание сывороточного креатинина выше 1,5 мг/дл, прием диуретиков, ингибиторов АПФ, нефротоксичных лекарственных средств (НПВС, аминогликозидов, сульфаниламидов, иммуносупрессоров, солей лития, противоопухолевых препаратов). Расстройство чаще развивается при наличии патологических состояний, усугубляющих тканевую гипоксию, — стойкой гипотензии, анемии, кровопотери, дегидратации, острого инфаркта миокарда, кардиогенного шока. Установлена прямая зависимость между вероятностью возникновения индуцированной нефропатии и объемом вводимого контраста.
Патогенез
Механизм контраст-индуцированной ренальной дисфункции основан на сочетанном проявлении ишемических и токсических эффектов. Пусковым моментом в развитии патологического процесса становится локальное нарушение гемодинамики. Под влиянием рентгеноконтрастных соединений активируются ангиотензин II, вазопрессин, дофамин 1, аденозин, эндотелин, вызывающие ренальную вазоконстрикцию. Одновременно уменьшается активность простагландинов и окиси азота, обладающих вазодилатирующим эффектом. В результате продолжительного спазма артерий и артериол в мозговом слое, наиболее восприимчивом к действию гипоксии, возникает ишемия.
Высокая вязкость рентгеновского контраста потенцирует агрегацию эритроцитов и замедление почечного кровотока, усугубляющего ишемию и снижающего скорость клубочковой фильтрации. Нарастанию медуллярной гипоксии также способствует компенсаторное шунтирование крови в корковый слой. Вследствие прямого токсического действия контрастного вещества на почечные эпителиоциты происходит вакуолизация клеток, повреждаются клеточные мембраны, возникает митохондриальная дисфункция, что в конечном итоге приводит к интерстициальному воспалению, некрозу тканей, апоптозу с нарушением почечных функций.
Симптомы нефропатии
Патология развивается в течение первых суток после внутрисосудистого введения рентгеноконтрастных веществ. У большинства пациентов нефропатия протекает без клинических проявлений, с изменением лабораторных показателей биохимических анализов крови и мочи. Тяжелый вариант течения расстройства проявляется симптомами, характерными для острой почечной недостаточности (ОПН): уменьшением суточного количества мочи вплоть до полного прекращения ее выделения, отеками на лице. При контраст-индуцированном поражении почек также могут возникать нарушения общего состояния — сонливость, слабость, тошнота, потеря аппетита.
Осложнения
При прогрессировании состояния наблюдается тубулярный некроз, который приводит к уменьшению фильтрационной способности органа. Вследствие функциональной несостоятельности почек у пациентов, страдающих контраст-индуцированным вариантом нефропатии, могут возникнуть клинические признаки нарушений водно-электролитного состава крови. Чаще всего развивается гиперкалиемия, которая проявляется мышечной слабостью, брадикардией, в неблагоприятных случаях — отеком легких, нарушением сердечного ритма вплоть остановка сердца. На фоне расстройства мочевыделения и длительного повышения объема циркулирующей крови может развиваться артериальная гипертензия и застойная сердечная недостаточность.
Диагностика
О вероятном контраст-индуцированном происхождении нефропатии свидетельствует временная связь почечной патологии с проведением контрастного рентгенологического исследования. Диагностический поиск направлен на выявление характерных маркеров расстройства и оценку функциональной состоятельности почек. Наиболее информативными методами диагностики являются:
- Определение содержания сывороточного креатинина. При контраст-индуцированной почечной дисфункции его концентрация по сравнению с исходными данными в течение 24-48 часов после процедуры возрастает на 25% или 26,5 мкмоль/л и больше. Пик уровня креатинина в сыворотке достигается на 2-5 сутки, после чего в течение 7-10 дней показатель постепенно снижается. У некоторых пациентов СК остается повышенным на протяжении 3 недель.
- Анализ концентрации калия в крови. Характерный лабораторный симптом контраст-индуцированной нефропатии — гиперкалиемия. Повышение показателя более 5,1 ммоль/л служит маркером токсического повреждения канальцев. Зачастую гиперкалиемия сочетается со снижением pH крови менее 7,2 (при исследовании кислотно-основного состояния), признаками гемолиза, падением содержания тромбоцитов, повышением концентрации билирубина.
В общем анализе мочи при контраст-индуцированных ренальных дисфункциях часто выявляются протеинурия, цилиндрурия, эритроцитурия, лейкоцитурия. При тяжелом течении нефропатии отмечаются лабораторные признаки уремии. О расстройстве фильтрационной функции клубочков свидетельствует повышение уровней азота мочевины, мочевой кислоты, изменение сывороточной концентрации кальция, натрия, неорганического фосфора в биохимическом анализе крови с нарушением соответствующих показателей в нефрологическом комплексе. Определяется снижение скорости клубочковой фильтрации креатинина в пробе Реберга.
Инструментальные методы обследования, предполагающие введение рентгеновского контраста, запрещены. Результаты УЗИ почек зачастую неспецифичны. Характерны изменения на ЭКГ, свидетельствующие о нарушении проводимости вследствие гиперкалиемии. По показаниям, кроме врача-нефролога или уролога, пациента консультирует терапевт, кардиолог, пульмонолог, ревматолог, анестезиолог-реаниматолог, токсиколог, онколог, онкогематолог.
Контраст-индуцированную форму нефропатии дифференцируют с почечной атероэмболией, быстропрогрессирующим гломерулонефритом, хроническим пиелонефритом, подагрическим интерстициальным нефритом, ОПН преренального, ренального, постренального происхождения, нефрологической патологией при системных заболеваниях соединительной ткани, амилоидозе, бериллиозе, саркоидозе.
Лечение контраст-индуцированной нефропатии
Тактика ведения пациентов с повреждением почечной паренхимы рентгеноконтрастными веществами аналогична терапевтической схеме при ОПН. Больных с контраст-индуцированной формой нефропатии госпитализируют в урологический стационар или палату интенсивной терапии реаниматологического отделения. Первые сутки показан постельный режим с последующим переводом на общий палатный.
В рационе при достаточной калорийности питания ограничивают прием поваренной соли и жидкости с учетом объема диуреза. При появлении и нарастании почечных отеков уменьшают количество белковых продуктов. Основной целью лечения является коррекция метаболических нарушений. С учетом данных о фильтрующей функции нефронов могут быть рекомендованы:
- Инфузионная ощелачивающая терапия. Для коррекции тканевых и системных эффектов метаболического ацидоза, гиперкалиемии внутривенно вводят препараты кальция, глюкозу с инсулином, бикарбонат натрия. Инфузионную терапию дополняют пероральным приемом или ректальным введением хелатных форм кальция под контролем уровня калия через каждые 2-4 часа.
- Заместительная почечная терапия. При значительном снижении диуреза, нарастании лабораторных и клинических признаков почечной недостаточности рассматривается перевод пациента на ЗПТ. С учетом состояния больного и технических возможностей лечебного учреждения назначают гемодиализ, гемофильтрацию, гемодиафильтрацию, перитонеальный диализ.
Прогноз и профилактика
У пациентов, которые не имеют болезней почек в анамнезе, обычно отмечается нормализация работы органа в течение нескольких дней без какого-либо лечения. В остальных случаях прогноз также обычно благоприятный. Для профилактики контраст-индуцированной нефропатии необходимо ограничить проведение исследований с введением рентгеновского контраста, если для диагностики можно воспользоваться другими методами. При оценке вероятности ренальной дисфункции используют верифицированные шкалы и стратификационные таблицы.
Пациентам из группы риска рекомендовано введение изоосмолярных неионных контрастных веществ в минимальных дозах. С целью улучшения элиминации препаратов проводится предварительная гидратационная терапия с вливанием физиологического раствора до и после процедуры. Для предупреждения развития нефропатии за день до исследования может дополнительно назначаться ацетилцистеин.
2. Клинические рекомендации и по профилактике, диагностике и лечению контраст-индуцированной нефропатии/ Научное общество нефрологов России, Ассоциация нефрологов России. – 2016.
3. Контраст-индуцированная нефропатия: пособие для интервенционного кардиолога/ Бегшоу Ш.М. , Каллетон Б.Ф.// Международный журнал интервенционной кардиоангиологии. – 2006.
4. Contrast-induced nephropathy – prevention and risk reduction/ Norbert H. Lameire// Nephrology Dialysis Transplantation. – 2006 – 21 (Supplement 1).
Контрастная нефропатия

Контрастная нефропатия (КН) характеризуется острым снижением функции почек с повышением уровня креатинина более чем на 25% (более 44 мкмоль/л) от исходного значения в течение от 24 до 48 часов после введения контрастного вещества. Пик уровня креатинина наблюдается на 5-е сутки, затем происходит его постепенное снижение.
В настоящее время в мире наблюдается рост числа рентгеноконтрастных процедур. В последнее время рентгеноконтрастные процедуры становятся сложнее, что влечёт увеличение объёма вводимого контрастного препарата.
КН занимает третье место среди причин развития острого повреждения почек (ОПП) и достигает 12% среди госпитализированных больных [11]. КН возникает примерно у 3% больных, но может возрастать при наличии факторов риска и достигать 50% в сочетании с сахарным диабетом и почечной недостаточностью. Около 12% больных с контрастной нефропатией нуждаются в проведении гемодиализа (ГД) в связи с ОПП [1,3,8]. Смертность в результате ОПП при применении контрастного средства может достигать 34% [1].
Возникновение КН связано с токсичным действием йода, который содержится в контрастном веществе, применяемым во время коронарной ангиографии (КАГ). В настоящее время считается, что развитие КН обусловлено следующими основными механизмами.
В первых непосредственное токсическое действие контрастного вещества на эпителий клеток канальцев, что приводит к увеличению осмолярности в канальцах почек [5].
Во вторых происходит изменение гемодинамики. Мозговой слой почки очень чувствителен к ишемическим повреждениям, а контрастные вещества могут вызывать гипоксию мозгового слоя за счет шунтирования кровотока в кортикальном слое. Установлено, что развитие нефропатии, вызванной контрастными веществами, вызывает изменения в почечной гемодинамике, влияющие на активность многих субстанций, включая повышение активности почечных вазоконстрикторов (вазопрессин, ангиотензин 2, эндотелин) и снижение активности почечных вазодилятаторов (оксид азота (NO), простагландины). Другие факторы также могут уменьшать почечный кровоток, включая повышенную вязкость контрастного вещества и повышенную агрегацию эритроцитов, которая проявляется в уменьшении поступления кислорода [17].
В третьих исследования показали, что эндогенные биологические нарушения, такие как увеличение количества свободных радикалов кислорода и/или снижение активности антиоксидантных ферментов могут усугублять повреждение канальцев почек и вносить свой вклад в развитие КН [17].
Факторы риска, способствующие развитию КН зависят от состояние пациента и свойства используемого контрастного вещества.
Наиболее важным фактором является имеющаяся хроническая почечная недостаточность в сочетании с сахарным диабетом. Риск КН, обусловленной введением контрастного вещества, прямо пропорционален исходному уровню сывороточного креатинина, который увеличивается при наличии диабетической нефропатии.
Застойная сердечная недостаточность в анамнезе является отдельным фактором риска, особенно у пациентов с диабетом или болезнями почек, что возможно, связано с действием низкого сердечного выброса на почечный кровоток, наличием гипертензии, гемодинамической нестабильностью.
Дегидратация также является фактором риска, поскольку связана со сниженной перфузией почек, которая способствует развитию ишемического инсульта, обусловленного действием контрастного вещества.
Физико-химические свойства контрастного вещества, объём вводимого препарата, кратность применения тоже являются определёнными факторами риска КН.
Клиническая картина КН не имеет определённых, специфических черт. Достаточно часто на первое место в клинической картине выходят признаки основного заболевания. В тяжёлых случаях клиническая картина характерна для ОПП.
Для того чтобы свести к минимуму риск развития КН были созданы и предложены шкалы оценки риска. Одной из таких шкал является шкала риска развития КН, предложенная Mehran R. et al. (2004) (табл. 1) [9].
Расчёт риска развития контрастной нефропатии (Mehran R. et al. (2004))
Факторы риска КН
Сниженная ренальная перфузия
Интрааортальная баллонная помпа в течение 24 ч. от процедуры
Рестриктивная сердечная недостаточность функционального класса III-IV или отёк лёгких
Объём контрастного вещества
1 на каждые 100 мл контрастного вещества
Исходное нарушение функции почек
Концентрация креатинина >1,5 мг/дл
Скорость клубочковой фильтрации
В соответствии с приведёнными данными таблицы 1, риск КН имеет следующую интерпретацию:
Риск 1-й категории (≤ 5 баллов) – 7,5% риск КН и 0,04% риск ГД;
Риск 2-й категории (6-10 баллов) – 14% риск КН и 0,12% риск ГД;
Риск 3-й категории (11-16 баллов) – 26,1% риск КН и 1,09% риск ГД;
Риск 4-й категории (≥ 16 баллов) – 57,3% риск КН и 12,6% риск ГД.
Повышение уровня сывороточного креатинина с его пиком на 3-4 день после введения контрастного вещества и снижение клиренса креатинина, отражающего уменьшение скорости клубочковой фильтрации – основные проявления нефротоксического действия контрастного вещества. У 80% пациентов с тяжёлой почечной недостаточностью, нуждающихся в госпитализации или ГД, уровень сывороточного креатинина почти всегда повышается в течение первых 24 часов, с пиком на 2-3 день после введения контрастного вещества, и возвращается к исходному уровню в течение 2 недель. У пациентов с нефропатией может возникнуть необходимость в кратковременном ГД, что удлиняет время пребывания в стационаре и увеличивает риск длительного нарушения функции почек. Следовательно, диагностика КН и как её следствие развитие ОПП строится на динамике концентрации сывороточного креатинина. Однако, повышение уровня креатинина отмечается только через 24-48 часов, что является недостаточно чувствительным показателем формирования КН.
В настоящее время в клиническую практику введены биомаркеры, позволяющие на ранних этапах определить степень повреждения и выявить развитие КН. На данный момент самыми эффективными биомаркерами КН признаны плазменный п-ацетил-β-глюкозамин (pNGAL) и плазменный цистеин (pCysC) [2].
Большое значение отводится профилактике возникновения КН. В настоящее время самым простым методом, позволяющим предотвратить возникновение КН и как её следствие ОПП является гипергидротация [1,4]. Доказано, что внутривенное введение физиологического раствора до и после введения контрастного вещества позволяет увеличить объём циркулирующей крови и уменьшить повреждения, вызванные свободными радикалами [10].
Ряд исследований продемонстрировал преимущество натрия гидрокарбоната в качестве инфузионного раствора перед другими растворами. Это связано с тем, что натрий гидрокарбонат повышает рН среды, что приводит к уменьшению свободных радикалов [1,3].
В настоящее время нет чётких данных, доказывающих эффективность N-ацетилцистеина. Однако, считается, что N-ацетилцистеинпрепятствует почечной вазоконстрикции, устраняет свободные кислородные радикалы и снижает окислительный стресс [12].
Контрастные вещества вызывают артериальную вазоконстрикцию, которая приводит к снижению почечного кровотока. В настоящее время для профилактики КН предлагается использовать препараты, обладающие вазоактивным действием. К данной группе препаратов относится простагландин Е1. Простагландин Е1 является вазодилататором, который улучшает почечный кровоток. По данным Koch J.A. et al. (2000) введение 20 нг/кг/мин благоприятно влияет на концентрацию креатинина после выполненной КАГ [6].
В контексте профилактики КН рассматривается применение таких препаратов как аскорбиновая кислота, теофиллин, антогонисты кальция и ингибиторы АПФ [13,14,15].
Lehner T. et al. (1998) показал, что при ГД выводятся контрастные вещества, но сам он не оказывает воздействия на проявления нефротоксичности контрастного вещества. В-первых, время между введениями контрастного вещества и началом ГД слишком продолжительное и нефротоксичность проявляется уже перед ГД. Во-вторых, контрастное вещество не выводится при ГД настолько, чтобы оказать существенное воздействие на предотвращение развития нефропатии, вызванной контрастным веществом [7]. Считается, что ГД может вызывать нарушение почечной функции через активацию воспалительной реакции и выброс вазоактивных субстанций, которые могут способствовать острой артериальной гипотензии. Стратегия выполнения ГД непосредственно после введения контрастных веществ у пациентов со сниженной почечной функцией не способствует уменьшению частоты осложнений, включая нефротоксическое действие контрастных веществ [16].
Прогноз КН определяется сочетанием факторов риска. При тяжёлом течении КН, особенно приведшей к развитию ОПП, которая потребовала проведения ГД, летальность превышает 50% и двухлетняя выживаемость не превышает 19%.
Читайте также:
- Средства для лечения гипотензии в анестезиологии. Симпатомиметики
- Синоназальная доброкачественная смешанная опухоль - лучевая диагностика
- Симптомы и клиника инфантильного расходящегося косоглазия (экзотропии)
- Рак желудка. Дифференциальная диагностика рака и язвы желудка.
- Солнечные ожоги. Солнечный удар
