Рентгенограмма, КТ вывиха зуба
Добавил пользователь Евгений Кузнецов Обновлено: 30.01.2026
Основная цель клинической классификации, помимо систематизации знаний, — помощь врачу в установлении диагноза, планировании лечения, прогнозировании результатов. Оценивая существующие классификации острой травмы зубов (далее ОТЗ), можно отметить две тенденции в их составлении: первая — стремление описать все разновидности ОТЗ, состояние пульпы, периодонта, возможные осложнения, вторая — желание упростить классификацию, включив в нее наиболее часто встречающиеся повреждения.
Формат статьи не позволяет нам привести упомянутые классификации полностью, ограничимся лишь некоторыми замечаниями. Недостатком классификации, предложенной болгарскими авторами Сл. Давыдовым и 3. Пеневой (1964), по нашему мнению, является включение в нее раздела «Травматические периодонтиты», что не соответствует общепринятой классификации периодонтитов, в которой выделены острый, хронический периодонтит и хронический периодонтит в стадии обострения.
Термин «травматический» указывает только на причину возникновения периодонтита, а не на его течение. Введенные авторами нозологические формы «Расшатывание зубов без вывиха», «Разрыв сосудисто-нервного пучка без расшатывания зубов» являются не видами травмы, а ее последствиями.
В классификации, разработанной В. Ф. Василевской (1970), выделены виды переломов коронок в зоне эмали и дентина по признаку просвечивания пульпы, что представляется нам довольно условным ввиду одинакового лечения данной патологии. По нашему мнению, нецелесообразно введение в раздел «Комбинированная травма» одномоментных, но разных по форме повреждений двух-трех зубов одного больного. Помимо этого, в классификации учтены не все виды комбинированных повреждений зуба.
Крайне затруднительно использование на практике классификаций, предложенных Г. М. Иващенко (1963) и А. М. Константиновым (1985), ввиду несистемного и неполного перечисления нозологических форм травм. Так, Г. М. Иващенко не включил в рабочую классификацию определения вида и уровня линии перелома зуба, что необходимо знать при планировании лечения. А. М. Константинов использует не клиническую, а метрическую оценку повреждений — «Отлом 1/з или 2/з коронки».
Это достаточно сложно определить из-за разной величины, формы и локализации отколовшейся части; кроме того, эти сведения не являются определяющими при планировании лечения. Неприемлемо, по нашему мнению, выделение «осложненного» и «неосложненного» перелома корня, поскольку это предполагает объединение травмы как таковой с ее последствиями.
Одной из последних является классификация, разработанная В. В. Рогинским (1987). По нашему мнению, нет оснований усложнять классификацию указанием степени сформированности корня травмированного зуба. Не следует также вносить в классификацию как нозологическую форму сотрясение зуба, так как диагностировать его на основании признаков, предложенных автором, невозможно.
Некроз пульпы, выделенный автором (класс I—II, тип 3), является следствием травмы, а не нозологической формой.
В нашей стране наиболее известна классификация Н. М. Чупрыниной, опубликованная в последней редакции в 1993 г. (Чупрынина Н. М. , Воложин А. И. , Гинали Н. В. Травма зубов, 1993). В данной классификации, в частности, отдельно рассматриваются вывихи со смещением зуба в сторону рядом стоящего и поворот зуба по оси.
По нашему мнению, зуб физически не может повернуться по оси и тем более сместиться в сторону соседнего без предварительной экструзии, которая в данной классификации также рассматривается как самостоятельная форма вывиха. Кроме того, имеет место авторская трактовка понятий «сочетанная» и «комбинированная» травма, что противоречит общемедицинским представлениям в этой области. И, наконец, выделяется категория «травма зачатка».
Поскольку зачаток не является полноценным зубом и не может быть травмирован непосредственно, рассмотрение данной нозологии в классификации острой травмы зубов неоправданно.
Известна классификация ВОЗ, в которой выделено 8 классов ОТЗ:
- Класс 1. Ушиб зуба с незначительными структурными повреждениями.
- Класс 2. Неосложненный перелом коронки зуба.
- Класс 3. Осложненный перелом коронки зуба.
- Класс 4. Полный перелом коронки зуба.
- Класс 5. Коронково-корневой продольный перелом.
- Класс 6. Перелом корня зуба.
- Класс 7. Вывих зуба (неполный).
- Класс 8. Полный вывих зуба.
Классификация, созданная Jacobsen (1981), проста и доступна для практических врачей. Однако наибольшее распространение за рубежом получила классификация Andreason et all (Andreason J. O., Andreason F., Andreason L., Textbook and Color Atlas of the Traumatic Injuries to the Teeth, 2007):
- Перелом коронки.
- Перелом в пределах эмали.
- Перелом в пределах эмали и дентина.
- Простой коронко-корневой перелом в пределах эмали дентина и цемента.
- Перелом в пределах эмали, дентина и пульпы (рис. 1).
- Полный коронко-коронковый перелом в пределах эмали, дентина, пульпы и цемента (рис. 2) .
Рис. 1. КТ, визуализация зуба 11, MPR; перелом в пределах эмали, дентина и пульпы.
Рис. 2. КТ, визуализация зуба 22, сагиттальный реформат и объемный рендеринг; полный коронко-коронковый перелом в пределах эмали, дентина, пульпы и цемента.
- Перелом корня.
- Перелом корня в пределах цемента, дентина и пульпы (рис. 3) .
Рис. 3. КТ, визуализация зуба 21, MPR; перелом корня в пределах цемента, дентина и пульпы.
- Повреждение тканей периодонта.
- Ушиб.
- Подвывих (сублюксация).
- Вывих со смещением (латеральная люксация, рис. 4, 5) .
- Интрузия (вколоченный вывих).
- Экструзия (вывих с выдвижением из лунки, рис. 6 ).
- Полный вывих (авульсия, рис. 4 ).
Рис. 4. КТ, визуализация зуба 21, MPR; вывих со смещением (латеральная люксация) зуба 21, полный вывих (авульсия) зуба 22.
Рис. 5. КТ, визуализация зуба 21, MPR; вывих со смещением (латеральная люксация) отломка зуба 21 (сагиттальный реформат) и зуба 11 (корональный реформат), перелом альвеолярного отростка в области альвеолярной части небной кортикальной пластинки (аксиальный реформат).
Рис. 6. КТ, визуализация зуба 42, MPR; вывих со смещением, экструзия (вывих с выдвижением из лунки).
- Повреждение пульпы и тканей периодонта.
- Отдаленный результат: зуб с невитальной пульпой, но без деструкции костной ткани в периапикальной области (рис. 7) .
Рис. 7. КТ, визуализация зуба 23, MPR; травма три года назад, облитерация средней и апикальной трети корня.
В последние годы стоматология как наука и прикладная отрасль медицины активно развивается, в повседневную практику внедряются новые технологии, перенимается мировой опыт. В связи с этим нам представляется возможным рекомендовать к использованию в нашей стране классификацию Andreason и международную терминологию. Ниже приводится перечень и транскрипция терминов, используемых в зарубежной литературе при описании состояний, связанных с травмой зубов.
- Фрактура (fractura) — перелом.
- Сублюксация (subluxation) — подвижность без смещения, подвывих.
- Люксация (luxation) — вывих зуба или смещение отломка зуба.
- Люксация латеральная — боковое смещение с фрактурой стенки лунки.
- Экструзия (extrusion) — выдвижение из лунки.
- Интрузия (intrusion) — вколачивание, вколоченный вывих (рис. 8) .
- Авульсия (avulsion) — «полная люксация», полный вывих с экстракцией зуба.
- Контузия (contusion) — ушиб мягких тканей.
- Абразия (abrasion) — ссадина.
- Ляцерация (laceration) — разрыв, рассечение.
- Инцизия (incision) — разрез, порез.
- Пенетрация (penetration) — ранение мелким предметом с фиксацией его в тканях.
- Мальформация (malformation) — порок развития, характеризующийся изменением формы и структуры; нарушение морфогенеза.
- Диляцерация (dilaceration) — искривление корня под большим углом или искривление коронки относительно корня (рис. 9) .
- Инфламация (inflamation) — дословно «возгорание», воспаление, острое воспаление.
- Экзацербация (exacerbation) — дословно «возмущение», обострение хронического процесса.
Рис. 8. КТ-визуализация коронковой части зуба 11 в состоянии интрузии, взрослый пациент, в анамнезе травма молочного резца в детстве.
Рис. 9. КТ-визуализация зачатка 11, состояние после травмы молочных резцов; после авульсии резцов зачаток зуба 11 развивается в состоянии диляцерации; травма спровоцировала развитие фолликулярной кисты от зачатка 11.
Обследование больного с травмой зубов проводит стоматолог-терапевт. Он же лечит больного, в случае необходимости привлекая хирурга, ортодонта, ортопеда. Обследование состоит из выяснения жалоб пострадавшего, анамнеза (опрос), определения общего состояния больного и состояния пародонта в области травмированного зуба, анализа полученных данных, установления диагноза и выработки плана лечения.
До недавнего времени радиодиагностика (рентгенодиагностика) в стоматологии считалась дополнительным методом исследования, однако при исследовании травмированных зубов этот вид исследования всегда был необходим и актуален. Поэтому в отношении травмы зубов можно сказать, что радиодиагностическое исследование обязательно во всех случаях травмы.
Максимум информации о состоянии и положении травмированного зуба, а также о степени повреждения окружающей костной ткани дает компьютерная томография (КТ), выполненная на специализированном челюстно-лицевом томографе с конусной коллимацией луча.
Исследование с помощью спиральных и последовательных компьютерных томографов крайне редко используется в стоматологии, особенно в детской практике, из-за высокой лучевой нагрузки и низкой разрешающей способности приемников изображения. Однако конусно-лучевые КТ с единым плоскостным сенсором предназначены специально для исследования челюстно-лицевой области.
Аппараты такого класса обеспечивают высокое качество изображения, а лучевая нагрузка составляет всего 30—60 микрозиверт (0,03—0,06 мЗв, что в 2—3 раза меньше, чем, например, при обычной рентгенографии придаточных синусов носа), поэтому данный метод не имеет прямых противопоказаний для применения в детской стоматологии.
Если отсутствует возможность сделать компьютерную томограмму, необходимо провести полипозиционную внутриротовую рентгенографию. В зависимости от принадлежности зуба к сектору интра-оральные снимки делают в прямой (орторадиальной) и косой (эксцентрической) проекциях.
При этом не следует забывать, что, во-первых, исследование проводится при выраженном болевом синдроме, изменении конфигурации окружающих зуб тканей и, во многих случаях, при контаминации окружающей слизистой оболочки кровью.
Во-вторых, чтобы избежать проекционного искажения при съемке однокорневых зубов, необходимо располагать приемник изображения параллельно вертикальной оси исследуемого зуба. В связи с этим мы рекомендуем проводить максимально бесконтактное и аподактильное позицио-нирование с параллельным положением оси зуба относительно плоскости сенсора или пленки (ортогональная проекция).
При работе с радиовизиографом это легко осуществляется с помощью стандартного позиционера. Если при исследовании используется пленка, ее необходимо фиксировать в пленкодержателе (film-fixer) или удерживать за край чехла зажимом типа москит.
При сочетанной травме проводят панорамную томографию зубных рядов (ортопантомографию), однако при изолированном поражении одного или нескольких зубов фронтального отдела данный метод исследования следует считать неинформативным.
Первоначально необходимо определить качество рентгенограммы: контрастность, резкость, проекционные искажения (удлинение, укорочение зубов). Расшифровывать снимок следует с учетом этих данных или сделать новый снимок, избежав допущенных ранее ошибок.
Следует провести анализ тени зуба, обратив внимание на очертания коронки и корня зуба, наличие в коронке полости, пломбы, ее дефектов (нависающие края, неплотное прилегание к стенкам полости). При изучении снимка выявляют размер, форму, расположение полости зуба, наличие в ней дентикля или внутриканальной гранулемы, расположение и величину устьев каналов.
По рентгенограмме определяют состояние корня: длину, форму, контуры, ширину канала, величину апикального отверстия, которые характеризуют степень сформированности корня, выявляют физиологическую или патологическую резорбцию корня. Необходимо обращать внимание на состояние пространства периодонтальной связки и замыкающей твердой пластинки альвеолы (lamina dura), отслеживать ее целостность, конфигурацию и соответствие анатомической форме.
Следует оценить состояние костной ткани, окружающей зуб, очертания вершин межзубных перегородок, соотношение их с эмалево-цементной границей, целостность, протяженность, оценить конфигурацию костного рисунка, выявить наличие патологических изменений и определить их характер. Лучевую диагностику проводят непосредственно в момент обращения, через несколько месяцев, а также, в ряде случаев, через сутки после травмы.
Повторные идентичные рентгенограммы травмированного зуба, сделанные через различные промежутки времени, необходимы не только для динамического наблюдения за репаративными процессами, но и для уточнения диагноза. Это связано с тем, что непосредственно после травмы (несколько часов), если не наблюдается выраженной подвижности или изменения положения коронковой части зуба, линия перелома может не визуализироваться. С течением времени происходит смещение отломка, связанное с усилением отека окружающих тканей и механического воздействия на коронку при жевании, щель между отломками расширяется и становится отчетливо заметной на снимке (рис. 10) .
Рис. 10. Внутриротовые снимки зуба 21: а — через час после травмы, б — через сутки.
Несмотря на стремительное развитие технологий и совершенствование методов лечения, острая травма зубов по-прежнему остается актуальной проблемой стоматологии. Ни предвидеть, ни принять какие-либо меры для предотвращения ситуаций, провоцирующих травму зубов, практически невозможно. В связи с этим прогноз при лечении ОТЗ в значительной степени зависит от своевременно и верно поставленного диагноза, на основе которого будет выбран оптимальный метод лечения.
Рентгенограмма, КТ вывиха зуба
а) Терминология:
1. Синонимы:
• Экструзия, экструзивный вывих, интрузия, интрузивный вывих, боковой вывих
2. Определение:
• Смещение зуба, при котором он полностью не выходит из альвеолы
б) Визуализация:
1. Общая характеристика:
• Лучший диагностический критерий:
о Экструзивный вывих; корональное или язычное смещение с появлением гиподенсной лунки в области корня
о Интрузивный вывих апикальное смещение зуба с утратой пространства периодонтальной связки (ПДС)
о Боковой вывих: смещение зуба в сторону с расширением ПДС на стороне удара
• Локализация:
о Обычно страдают передние зубы верхней челюсти
о Реже передние зубы нижней челюсти
(Слева) На фотографии виден вывих центрального резца верхней челюсти слева в сторону губы (вариант бокового вывиха).
(Справа) На периапикальной рентгенограмме у этого же пациента не определяются изменения в этой плоскости, поскольку зуб смещен в сторону губы. На КЛКТ (исследование в этом случае не было доступно) может обнаруживаться расширение пространства периодонтальной связки (НДС) со стороны губы. Была выполнена ручная репозиция зуба и шинирование. (Слева) На периапикальной рентгенограмме у этого же пациента через десять лет после травмы определяется, что вершина корня зуба закрыта; вмешательство на каналах не требуется. Пульпа пораженного зуба обызвествлена, скорее всего, в от вет на травму.
(Справа) На периапикальной рентгенограмме определяется вколачивание и перелом резцового края центрального и бокового резцов слева. Обратите внимание на отсутствие пространства ПДС в области вершины корня центрального резца. (Слева) На периапикальной рентгенограмме состояние после репозиционирования и стабилизации вколоченных центрального и бокового резцов проволокой и композитной шиной. Обратите внимание на признаки рарефицирующего остеита рядом с вершиной корня бокового резца.
(Справа) На контрольной периапикальной рентгенограмме у этого же пациента определяется внутренняя и наружная резорбция зубов, т.к. лечение корневых каналов было начато, но не завершено.
2. КТ при вывихе зуба:
• КЛКТ:
о Экструзивный вывих:
- Поражаются постоянные и временные зубы
- Сагиттальная плоскость:
Язычное и корональное смещение коронки зуба
Лицевое смещение корня зуба, обычно через лицевую кортикальную пластинку
о Интрузивный вывих:
- Чаще поражаются временные зубы
- Апикальное смещение зуба
- Вершина корня выше по сравнению с противоположным зубом
- Полная или частичная облитерация периапикального пространства ПДС
- Возможно сдавление вколоченным временным зубом фолликула постоянного зуба
о Боковой вывих:
- Поражаются постоянные и временные зубы
- Смещение зависит от направления вектора силы
- Расширение пространства ПДС на стороне удара
3. Рекомендации по визуализации:
• Лучший метод визуализации:
о КЛКТ:
- Оценка состояния и положения зубов и окружающих структур с использованием трехмерных реконструкций
- При недоступности: периапикальные и окклюзионные рентгенограммы под прямым углом друг к другу
(Слева) На фотографии определяется вколачивание центрального и бокового резцов верхней челюсти справа. Обратите внимание на кровотечение из трещины в десне - признак острой травмы.
(Справа) На периапикальной рентгенограмме у этого же пациента определяется перелом резцового края. (Слева) На фотографии у этого же пациента определяется постепенное самопроизвольное выдвижение зуба и заживление периодонта.
(Справа) На периапикальной рентгенограмме у этого же пациента определяется рарефицирующий остеит возле вершины корня центрального резца верхней челюсти. Рекомендуется лечение корневою канала. Обратите внимание, что гибель пульпы произошла до закрытия вершины корня зуба; вершина корня открыта. (Слева) На фотографии у этого же пациента определяется полное спонтанное выдвижение вколоченною зуба. Сломанные резцовые края могут быть восстановлены композитным материалом.
(Справа) На периапикальной рентгенограмме у этою же пациента - состояние после лечения пульповых каналов с обтурацией их гуттаперчей. Обратите внимание на наружную резорбцию корней обоих резцов.
в) Дифференциальная диагностика вывиха зуба:
1. Контузия:
• Отсутствие изменений на рентгенограммах или легкое расширение пространства ПДС возле вершины корня
• Возможно уменьшение размеров пульповой камеры или внутренняя резорбция спустя месяцы/годы
2. Подвывих:
• Клиника: патологическая подвижность зуба с отсутствием изменений ПДС на рентгенограммах
3. Мальокклюзия:
• Аномальное положение зубов
• Отсутствие травматического анамнеза
• Отсутствие расширения пространства ПДС за исключением случаев одонтогенного воспаления
г) Клинические особенности:
1. Проявления:
• Типичные признаки/симптомы:
о Травма в анамнезе (обычно у экстренных пациентов челюстно-лицевого хирурга)
о Аномальное положение зуба:
- Экструзионный вывих: зуб над резцовым краем соседнего зуба
- Интрузионный вывих: зуб под резцовым краем соседнего зуба, может быть полностью вколочен в альвеолярный отросток
- Боковой вывих: смещение зуба в сторону:
Расширение ПДС на стороне удара в отличие от мальокклюзии
о Кровотечение из трещин в десне
о Выраженная болезненность при перкуссии и жевании
о Возможен отрицательный или пониженный ответ при тестировании на жизнеспособность пульпы
2. Течение и прогноз:
• Вколоченный временный зуб может повредить фолликул постоянного зуба
• Жизнеспособность зуба может восстанавливаться в течение недель или месяцев
• Возможна наружная и/или внутренняя резорбция зуба
3. Лечение вывиха зуба:
• Временные зубы:
о Определение повреждения фолликула постоянного зуба
о Удаление при обнаружении вероятного повреждения
о Репозиция зуба при отсутствии повреждения с последующим наблюдением (дискомфорт, изменение цвета)
о Удаление при болевой симптоматике или воспалении вследствие травмы
• Постоянные зубы:
о Ручная репозиция зуба в нормальное положение в зубной дуге
о Легкая шлифовка/редукция зубов-антагонистов для уменьшения дискомфорта
о Шинирование (мягкая шина)
о Ручная репозиция фрагментов костей
д) Диагностическая памятка. Заключение:
• Оцените положение зуба в зубной дуге
• Исключите переломы зуба
• Изучите соседние зубы на предмет травматических изменений
• При вколачивании временного зуба оцените повреждение подлежащего постоянного зуба
• Оцените состояние альвеолярного отростка
• Ищите фрагменты костей в соседних мягких тканях
е) Список использованной литературы:
1. Chafaie A: Partial and total luxations of permanent teeth in children: Clinical management. IntOrthod. 14(1):32-47, 2016
1. Синонимы:
• Люксация
• Подвывих = частичное смещение
2. Определение:
• Смещение мыщелка из суставной ямки в пределах суставной капсулы
1. Общая характеристика:
• Лучший диагностический критерий:
о Передне-верхнее положение мыщелка по отношению к суставному возвышению; невозможность закрыть рот
• Локализация:
о Чаще всего наблюдается передний вывих, часто двухсторонний

(Слева) На панорамной рентгенограмме у пациента с двухлоронним передним вывихом визуализируется правый мыщелок, смещенный кпереди и кверху относительно сулавного возвышения. Обратите внимание на явный передний открытый прикус, в то время как моляры находятся в окклюзии.
(Справа) На панорамной рентгенограмме у этого же пациента определяются аналогичные изменения слева. Открытый прикус обусловлен неправильным передним положением мыщелка, контакт задних зубов - его верхним положением.
2. Рентгенография при вывихе височно-нижнечелюстного сустава (ВНЧС):
• Радиографические признаки:
о Передне-верхнее положение мыщелков по отношению к суставному возвышению
3. КТ при вывихе височно-нижнечелюстного сустава (ВНЧС):
• КТ в костном окне и КЛКТ:
о Хронический вывих: атрофия суставного возвышения и уплощение суставной ямки
4. МРТ при вывихе височно-нижнечелюстного сустава (ВНЧС):
• В случае хронического рецидивирующего вывиха часто обнаруживается выпот в суставе и патологически измененный диск
5. Рекомендации по визуализации:
• Лучший метод визуализации:
о Панорамная рентгенография для первоначальной оценки
о КТ в костном окне и КЛКТ с трехмерной реконструкцией для оценки анатомических отношений смещенного мыщелка
в) Дифференциальная диагностика:
1. Гипермобильность ВНЧС:
• Избыточная подвижность мыщелка при открывании рта; мыщелок может занимать положение спереди и сверху от суставного возвышения
• Пациент в состоянии закрыть рот, «открытый замок» отсутствует

(Слева) На рентгенограмме в боковой проекции у этого же пациента определяется прогнатическое положение нижней челюсти и открытый передний прикус вследлвие передне-верхнего смещения мыщелков нижней челюсти.
(Справа) На сагиттальной КЛКТ правого и левого мыщелков у этого же пациента определяется, что мыщелки расположены спереди и сверху относительно сулавных возвышений. Обратите внимание, что мыщелки имеют нормальную форму, а кортикальная плалинка не изменена.
г) Патология:
1. Общая характеристика:
• Этиология:
о Предрасполагающие факторы: чрезмерное длительное открывание рта, особенно вследствие стоматологических процедур и общей анестезии:
- Зевание, рвота, избыточные жевательные усилия, смех
о Травма, нетипичные жевательные движения, патология связок ВНЧС, слабость суставной капсулы, патология жевательной мышцы
о Вывих чаще происходит у пациентов с генерализованной гипермобильностью суставов и/или смещением внутрисуставных структур
о Системные заболевания, приводящие к гипермобильности ВНЧС, психогенные или неврологические расстройства
о Препараты, приводящие к экстрапирамидным нарушениям (например, противорвотные средства, производные фенотиазина)
2. Градации, классификация вывиха височно-нижнечелюстного сустава (ВНЧС):
• Основополагающие моменты классификации:
о Количество пораженных ВНЧС: одно- или двухсторонний вывих
о Направление смещения: передний, задний, медиальный, латеральный, верхний, комбинированный:
- Передне-медиальный вывих часто сочетается с переломом нижней челюсти
- Верхний вывих часто обусловлен травмой; мыщелок проникает в среднюю черепную ямку и может повреждать твердую мозговую оболочку
о Длительность смещения: острый, хронический, рецидивирующий вывих
о Наиболее типичный вывих: острый двухсторонний передний
о Верхний вывих чаще встречается у детей, т.к. мыщелок у них имеет небольшие размеры, шаровидную форму, а внутренний и наружный отделы сформированы не полностью
д) Клинические особенности:
1. Проявления:
• Типичные признаки/симптомы:
о Двухсторонний передний вывих: пациент не может закрыть рот после того как широко открыл его («открытый замок»)
• Другие признаки/симптомы:
о Открытый прикус, отклонение нижней челюсти, преаурику-лярный отек
о Отсутствие твердых структур/углубление спереди от козелка
о Боль, ограничение подвижности ВНЧС
2. Течение и прогноз:
• Прогноз лучше при раннем начале лечения
3. Лечение:
• Ручное вправление
• Межчелюстная фиксация для предотвращения повторного смещения и с целью скорейшего заживления поврежденных связок
• Физиотерапия для предотвращения фиброза
• В редких случаях оперативное вмешательство с целью создания механического препятствия, ограничивающего чрезмерную переднюю трансляцию мыщелка, или пластика суставного возвышения для предотвращения смещения и «запирания» мыщелка спереди от него
• Верхний вывих: может потребоваться реконструкция суставной ямки и краниотомия при повреждении твердой мозговой оболочки
е) Диагностическая памятка:
1. Следует учесть:
• На изображениях ВНЧС при открытом рте может создаваться впечатление о вывихе, но возможность закрыть рот свидетельствует о гипермобильности:
о При истинном вывихе пациент не может закрыть рот, в анамнезе имеет место травма или широкое открывание рта в течение длительного времени
2. Советы по интерпретации изображений:
• При верхнем вывихе оцените целостность крыши суставной ямки
3. Заключение:
• Оцените нарушения формы ВНЧС, предрасполагающие к рецидивирующему вывиху
ж) Список использованной литературы:
1. Не Y et al: Treatment of traumatic dislocation of the mandibular condyle into the cranial fossa: development of a probable treatment algorithm. Int J Oral Maxillofac Surg. 44(7):864-70, 2015
Рентгенологические аспекты диагностики и дифференциальный диагноз при вывихах зубов
Вывихом называют изменение пространственных взаимоотношений зуба с альвеолой. К сожалению, клинически при вывихе зуба изменение положения его иногда не определяется из-за сильного отека мягких тканей (особенно у детей). По этой же причине затруднительно определить вид вывиха, так как от этого зависит тактика врача при репозиции зубов.
Различают 3 разновидности вывихов зубов:
Вид вывиха устанавливают путем осмотра и уточняют методом рентгенографии. Рентгенография при вывихах зубов позволяет решать следующие задачи:
- уточнение направления и степени смещения зуба из альвеолы;
- определение степени формирования корня зуба (у детей и подростков);
- визуализация состояния периодонталь ной щели и периапикальных тканей; оценка непрерывности кортикальной пластинки, окружающей фолликул постоянного зуба, и возможности его травмирования;
- исключение возможного сочетания вывиха с переломом корня альвеолярного отростка, иногда тела челюсти.
Неполный вывих
При этом виде травмы зуб может перемещаться вестибулярно, орально, окклюзионно, в сторону соседних зубов или поворачиваться вокруг своей оси. При смещении зуба в вестибулярном или оральном направлении на рентгенограмме зуб проецируется более коротким по сравнению с соседним и нетравмированными зубами из-за того, что он наклонен. Проекция зуба будет тем меньше , чем больше его наклон. Изменяется и периодонтальная щель. Когда смещение зуба незначительное, периодонтальная щель расширена только у дна альвеолы. При значительном смещении имеет место расширение у верхушки и у боковых поверхностей
корня (рис. 1) .
Иногда неполный вывих в вестибулярную сторону сочетается с отломом альвеолярного края. На рентгене это выглядит как нарушение непрерывности кортикальной пластинки, ограничивающей лунку зуба, и в губчатой кости появляется полоска просветления (рис. 2) . При вывихе в сторону окклюзионной поверхности на рентгенограмме травми рованный зуб имеет ту же длину, что и соседний нетравмированный. Верхушка корня расположена к альвеолярному краю ближе, чем у соседнего нетравмированного зуба.
Периодонтальная щель расширена у всех поверхностей корня, особенно в области дна альвеолы. Кортикальная пластинка при этом виде вывиха не повреждается , и потому ее непрерывность не нарушается (рис. 3) .
Когда вывихивается зуб с несформированной верхушкой, его ростковая зона выглядит удлиненной (рис. 4) .
Рис. 1. неполный вывих 21. На RG-грамме выглядит более коротким по сравнению с соседним нетравмированным 11. Имеет место расширение периодонтальной у верхушки и у боковых поверхностей корня.
Рис. 2. Вывих 12 с отломом альвеолярного края.
Рис. 3. Неполный вывих центрального резца в окклюзионном направлении.
Вколоченный вывих
- Проецируемая длина травмированного зуба такая же, как и у соседнего нетравмированного.
- Периодонтальная щель отсутствует из-за вколачивания более широкой части зуба в более узкую альвеолу.
- Нарушена непрерыв ность кортикальной пластинки альвеолы.
Неполный вывих со значительным смещением
- Зуб на Rg проецируется укороченным из-за своего наклонного положения.
- Периодонтальная щель расширена у дна альвеолы и боковых поверхностей корня.
Дифференциальный диагноз неполного вывиха
- Неполный вывих с минимальным смещением коронки дифференцируют с ушибом. При неполном вывихе будет определяться расширение периодонтальной щели у одной из поверхностей корня. Этого не наблюдается при ушибе.
- Вывих со значительным смещением зуба в оральном или вестибулярном направлении следует дифференцировать с вколачиванием зубов, так как клинически коронка в полости рта из-за отека мягких тканей может не определяться.
- Проводят дифдиагностику вывиха зуба с поворотом вокруг продольной оси при которой зуб разворачивается вокруг продольной оси.
- Небольшое расширение периодонтальной щели при неполных вывихах следует дифференцировать от физиологического состояния периодонта в период окончания формирования корня зуба. Следует помнить, что периодонтальная щель остается расширенной в течение года после завершения развития корня. В диагностике в данном случае помогает знание сроков окончания формирования корней зубов.
Полный вывих
Диагностика полного вывиха не вызывает затруднений, если пациент приносит зуб врачу. В случае утраты последнего обязательно проводится рентгенография. На рентгенограмме определяется свободная от зуба альвеола. Целостность кортикальной пластинки при этом не нарушена. Хотя, при значительной силе травмирующего фактора имеет место нарушение непрерывности кортикальной пластинки и даже губчатого вещества (рис. 5) .
Рис. 6. Вколоченный вывих 21. В области 21 периодонтальная щель отсутствует.
| Полный вывих | Вколоченный вывих |
| Зуб на Rg не определяется ни в лунке, ни за ее пределами | Зуб определяется в лунке или за ее пределами |
Дифференциальный диагноз полного вывиха
- Полный вывих дифференцируют с вколоченным в случае, если вывихнутый зуб не найден (особенно у детей).
- С неполным вывихом в оральном или вестибулярном направлении (см. выше).
- Дифференциальный диагноз полного вывиха с переломом корня с полным вывихом коронкового отломка. При переломе корня с полным вывихом коронкового отломка на рентгенограмме в лунке определяется оставшаяся часть корня, окруженная периодонтальной щелью нормальной величины.
Вколоченный вывих
Этот вид вывиха сопровождается сдавлением или фрактурой дна и стенок альвеолы. Связано это с тем, что более широкая часть зуба внедряется в узкую часть альвеолы. Зуб при этом может выходить за пределы лунки, повреждая губчатое вещество тела челюсти. На рентгене режущий край коронки вколоченного зуба на нижней челюсти располагается ниже, а на верхней — выше уровня коронок соседних нетравмированных зубов. Верхушка корня вколоченного зуба на верхней челюсти находится выше, на
нижней — ниже верхушки корня одноименного зуба. Периодонтальная щель из-за внедрения отсутствует (рис. 6) .
Если зуб выходит за пределы альвеолы, то он может проецироваться в области дна носовой полости, крыла носа, верхнечелюстного синуса или в области тела челюсти. В этом случае лунка на рентгенограмме проецируется опустевшей с разрушенным дном.
Данная разновидность травмы чрезвычайно опасна во временном прикусе, так как при вывихе молочного зуба возможна травма фолликула постоянного зуба. Наиболее часто повреждения зачатков постоянных зубов возникают при вколачивании молочных в возрасте от 1,5 до 3-х лет. Это связано с тем, что в этом периоде корни временных резцов уже сформированы и имеют клиновидный апекс. Кроме того, в это время зачатки постоянных зубов располагаются максимально близко к верхушкам корней временных зубов.
Особенно опасно сочетание вколоченного вывиха с вывихом коронки в вестибулярном направлении. При этом виде травмы корень
травмированного временного резца смещается орально в сторону расположения зачатка. В возрасте до 2-х лет корни временных резцов еще не сформированы, зачатки постоянных зубов располагаются на значительном расстоянии от
верхушек.
В результате внедрения корня временного зуба в фолликул постоянного происходит механическая травма его зачатка, которая может привести к повреждению ткани формирующегося зуба. Кроме того, нарушение развития зачатка может возникать из-за несвоевременно оказанной помощи под действием продуктов распада погибшей пульпы вколоченного временного зуба.
Дифференциальный диагноз вколоченного вывиха
Резюмируя все вышеперечисленные аспекты, следует сказать, что зачастую клинические данные недостаточны для определения вида вывиха и соответственно для планирования тактики лечения. Нельзя недооценивать значимость метода рентгенографии. Обязательно проведение этой методики у детей от 2-х до 4-х лет при вколачивании временных резцов или при неполном вывихе со смещением коронки зуба вестибулярно. В этих случаях риск повреждения зачатка постоянного зуба особенно велик.
Сведения об авторе
Радюль Виталий Станиславович, врач стоматолог-хирург, Краснодар
Radul V.S., dentist-surgeon, Krasnodar
X-ray aspects of diagnosis and differential diagnosis of dislocated teeth
Аннотация. Вывихом называют изменение пространственных взаимоотношений зуба с альвеолой. К сожалению, клинически при вывихе зуба изменение положения его иногда не определяется из-за сильного отека мягких тканей (особенно у детей). По этой же причине затруднительно определить вид вывиха, так как от этого зависит тактика врача при репозиции зубов.
Annotation. Luxation is a change in the spatial relationship of the tooth with the alveoli. Unfortunately, clinically, when a tooth is dislocated, a change in its position is sometimes not determined due to severe edema of soft tissues (especially in children). For the same reason, it is difficult to determine the type of dislocation, since the doctor’s tactics when repositioning teeth depends on this.
Ключевые слова: вывих; дифференциальный диагноз; рентген.
Вывих зуба - симптомы и лечение
Что такое вывих зуба? Причины возникновения, диагностику и методы лечения разберем в статье доктора Гаспаряна Карена Камоевича, стоматолога-хирурга со стажем в 17 лет.
Над статьей доктора Гаспаряна Карена Камоевича работали литературный редактор Юлия Липовская , научный редактор Сергей Федосов и шеф-редактор Лада Родчанина
Определение болезни. Причины заболевания
Вывих зуба — это патологическое перемещение зуба по отношению к альвеоле (костной лунке, в которой фиксируется зуб), вызванное насильственным механическим воздействием и сопровождающееся повреждением периодонта (связки, которая окружает зуб) и сосудисто-нервного пучка зуба (пульпы) [1] .

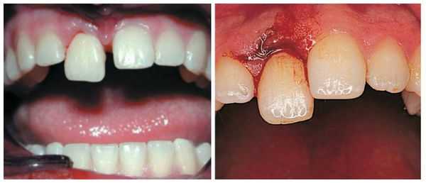
Травмы челюстно-лицевой области встречаются довольно часто как у детей, так и у взрослых. По статистике больше всего повреждениям подвержены верхние передние зубы — клыки и резцы [12] . Вывих зуба является одной из самых распространённых травм в этой области.
Вывих зуба может быть вызван следующими причинами [1] [10] :
- повреждением челюстно-лицевого аппарата в результате механической травмы, нанесённой при ударе, падении с высоты и т. д. (чаще возникает у детей, подростков и спортсменов);
- множественными травмами головы (например в дорожно-транспортных происшествиях);
- травмами, полученными в результате откусывания слишком жёсткой, твёрдой пищи;
- травмами, полученными в результате попадания в пищу инородных твёрдых частиц (косточек из плодов и ягод, костных обломков и др.);
- некоторыми вредными привычками, легкомысленным отношением к состоянию здоровья своих зубов (например открывание зубами бутылок, раскалывание скорлупы орехов и прочее);
- некорректным удалением зубов, в результате чего происходит вывих находящегося рядом зуба (как правило, постоянного).
При обнаружении схожих симптомов проконсультируйтесь у врача. Не занимайтесь самолечением - это опасно для вашего здоровья!
Симптомы вывиха зуба
Симптомы зависят от вида вывиха зуба [1] [11] :
- Неполный вывих : боль усиливается при контакте с зубом, например во время приёма пищи; на слизистой оболочке полости рта имеются маленькие ранки, ссадины и гематомы; мягкие ткани отёчны; наблюдается смещение зуба в сторону и его значительная подвижность; вынужденное положение челюсти в связи с наличием болевых ощущений.

- Полный вывих: сопровождается сильной болью; зуб в лунке отсутствует; пустая лунка кровоточит; десна изменена в цвете; имеется припухлость; может возникнуть гематома; происходит локальное повышение температуры; некоторое время могут наблюдаться дефекты речи.

- Вколоченный вывих : пациент чувствует постоянную боль, усиливающуюся при давлении, жевании, смыкании челюстей; при пальпации десны появляется её гиперемия (покраснение) и отёчность; возникает незначительное кровотечение из места травмы. Что интересно, при перкуссии (постукивании) травмированного зуба человек не ощущает болевых ощущений и дискомфорта. При визуальном осмотре заметно укорочение зуба или же он полностью "спрятан" в лунке, при этом неподвижен.

Для всех видов вывиха характерна следующая симптоматика: боль в области причинного зуба, кровоточивость, отёчность десны.
Патогенез вывиха зуба
Для каждого вида вывиха зубов характерен индивидуальный патогенез [1] .
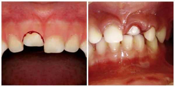
Неполный вывих характеризуется сохранением зуба в его лунке и сопровождается разрывом части волокнистых структур, окружающих и удерживающих зуб, либо растяжением волокон в той или иной степени. Для данной патологии характерно изменение положения коронки зуба и корня в зубном ряду по отношению к стенкам альвеолы. Зуб имеет неправильное положение вследствие смещения в вестибулярную ( в сторону губы) или оральную сторону, в сторону соседнего зуба или поворота вокруг оси. Это приводит к нарушению формы зубного ряда. Неполный вывих может сочетаться с переломом коронки, корня зуба или альвеолярного отростка.
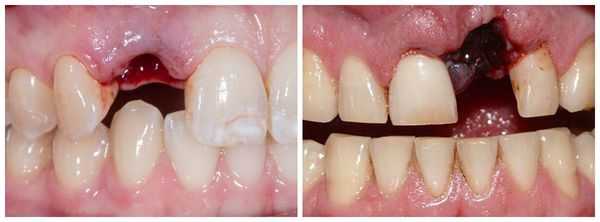
Полный вывих характеризуется полным разрывом волокнистых структур периодонта (в том числе круговой связки зуба). При этом травмированный зуб в лунке отсутствует, а сосудисто-нервный пучок зуба всегда разрывается. Вывих может сопровождаться переломом края альвеолы. Иногда зуб может присутствовать в альвеоле за счёт единичных сохранившихся волокон круговой связки. По статистике полному вывиху чаще подвергаются фронтальные зубы верхней челюсти, реже — нижней. Меньше других подвержены полному вывиху клыки.
Вколоченный вывих — это травма считается наиболее неблагоприятной. Тело зуба под воздействием большой давящей силы погружается в ткани челюсти (он входит глубоко в лунку) и корень внедряется вглубь альвеолярного отростка и тела челюсти. Для вколоченного вывиха также характерен полный разрыв волокон периодонта. Крайне редко некоторая их часть сохраняет свою непрерывность, но существенно растягивается и надрывается. Сосудисто-нервный пучок, как правило, разрывается. Из-за внедрения более широкой части зуба в более узкую происходит деформация стенок альвеолы: они раздвигаются и ломаются. Данный вид вывиха иногда сопровождается поворотом зуба вокруг оси, смещением в вестибулярном или оральном направлении. Особенно это касается верхних зубов, когда вследствие вывиха может произойти повреждение носовых (гайморовых) пазух.
Классификация и стадии развития вывиха зуба
Согласно Международной классификации болезней 10 пересмотра (МКБ-10) код вывиха зуба — S03.2. Различают три вида [1] [3] :
- неполный вывих (при этом зуб частично остается в костной лунке);
- полный вывих (зуб полностью отсутствует в лунке);
- вколоченный вывих (зуб вколачивается в костную лунку).
- изолированный вывих (имеется только вывих зуба);
- вывих, сопровождающийся переломом коронки или корня зуба (при этом наблюдается подвижность зуба или отсутствие его части);
- вывих, сочетающийся с переломом альвеолярного отростка или челюсти (сопровождается отёчностью мягких тканей в области травмы).
Вывих зуба относится к травмам зубов (кроме вывиха сюда относятся ушиб зуба и перелом). При ушибе травмированный зуб остается на месте, при переломе — отсутствует часть зуба.
Осложнения вывиха зуба
Вывих зуба — это достаточно серьёзная проблема. Если вовремя не обратиться к врачу, то можно получить ряд осложнений [9] :
- Остановка роста зубного корня (наблюдается при вывихе зуба у детей) — приводит к развитию неполноценного зуба, может развиться гипоплазия (недоразвитие) эмали зуба.
- Укрепление зуба в неправильном положении (вестибулярная или оральная позиция зуба, разворот зуба) — приводит к аномалиям прикуса.
- Искривление зубного корня, изменение его длины.
- Выпадение зуба из лунки.
- Резорбция корня — патологическое рассасывание корней из-за наличия очага хронического воспаления (определяется только рентгенологически).

- Перелом коронки и корня зуба — наблюдается повышенная подвижность зуба или отсутствие его части.
- Травматический пульпит (воспаление пульпы зуба) — характеризуется самопроизвольными болями или реакцией на термические раздражители.
- Некроз (омертвение тканей) пульпы — может возникнуть при полном и вколоченном вывихах. (воспаление околокорневых тканей) — сопровождается резкой болью при касании зуба.

- Перелом стенок альвеолы.
- Периостит (воспаление ткани, покрывающей кость) — характеризуется появлением гнойного очага в области причинного зуба.
- Абсцесс (гнойное воспаление мягких тканей) — возникает отёк, припухлость, болезненные ощущениям и др.
Диагностика вывиха зуба
Диагностика данного вида травмы несложна. Вывих зуба редко остаётся незамеченным со стороны пациента из-за ярко-выраженног о болевого синдрома и невозможности приёма пищи, поэтому пациент самостоятельно обращается за помощью к стоматологу.
При первичном визуальном осмотре специалист определяет характер травмы без труда, так как признаки вывиха проявляются достаточно ярко. Но для более детального изучения характера и формы патологии (для оценки состояния челюсти, соседних зубов и иннервации в области повреждённого зуба) стоматолог назначает рентгенологическое исследование: ортопантомографию (ОПТГ) или компьютерную томографию челюсти . Это поможет дифференцировать вывих от иных форм травмы зуба (ушиба и перелома), кроме этого оценить структуру костной ткани, окружающей зуб на предмет трещин и перелома.

Также пациенту может быть назначена электро одонто диагностика (ЭОД) , по результатам которой врач сможет понять, в каком состоянии находится пульпа: если пульпа не реагирует на ток, она является нежизнеспособной. Полученные диагностические данные определят дальнейшую тактику лечение [2] [8] .
Лечение вывиха зуба
До обращения к врачу пациенту необходимо оказать первую доврачебную помощь, которая заключается в следующем [4] :
- Необходимо осмотреть полость рта на наличие кровотечения, костных отломков или выпавшего зуба.
- В случае обнаружения кровотечения необходимо принять меры для его остановки.
- Если вывих полный, то необходимо наложить стерильный тампон, чтобы остановить кровотечение. Его изготавливают из марлевой повязки, которую сворачивают несколько раз, затем накладывают на кровоточащую лунку (на 15-30 минут) и закрывают челюсть, тем самым обеспечивая кровоостанавливающий эффект.
- Далее нужно приложить холод к щеке или губам в проекции травмы зуба. Это поможет предотвратить возникновение отёка, уменьшить кровотечение и снизить болезненные ощущения.
- Если травма вколоченная, то необходимо избежать давления на зуб или лунку, так как это может значительно усилить боль.
- Если зуб выпал, то его необходимо сохранить. Для этого нужно взять чистую ткань или марлю, смоченную водой, и обернуть ею зуб. Обработку поверхности зуба проводить не следует, стоматолог все сделает сам.
- Далее обеспечить срочную доставку пациента к стоматологу.
После осмотра врач-стоматолог выбирает стратегию лечения данной травмы в зависимости от типа повреждения , а также от степени поражения зуба и окружающих его тканей. Ставится главный вопрос: "Можно ли сохранить зуб?" На него может ответить только стоматолог после комплексной диагностики .
Главным критерием считается состояние костной ткани около корня травмированного зуба. Если отмечается сохранность не менее половины длины зубного корня — зуб рекомендуется сохранить.
Лечение неполного вывиха
Если у пациента наблюдается неполный вывих, то лечение начинают с проводникового обезболивания, после чего врач аккуратно репонирует (устанавливает в лунку) зуб. Репозиция проведена правильно, если при смыкании челюстей отсутствует соприкосновение травмированного зуба с антагонистом.
Поставить зуб на место сложнее, если с момента вывиха прошло более двух суток, так как в месте травмы уже образовался организующийся кровяной сгусток. В этом случае следует произвести раскачивание зуба с последующей репозицией по вышеприведённой методике.
Но если больной обратился за помощью через несколько недель и зуб уже самостоятельно укрепился в неправильном положении, поставить его в зубную дугу можно только с помощью ортодонтических аппаратов.
После проведённых лечебных мероприятий вывихнутый зуб иммобилизируют (обездвиживают). Для этого врач использует индивидуальную шину-каппу, изготовленную непосредственно на пациенте. В шину обязательно включают не менее двух здоровых зубов по обе стороны от неполного вывиха. Шину накладывают минимум на 5-6 недель.

Перед шинированием и в динамике лечения проверяют электровозбудимость (реакцию на электрический ток) сосудисто-нервного пучка. Понижение или отсутствие электровозбудимости не только в первые 1-2 недели после травмы не обязательно говорит о необратимых изменениях. Реакция пульпы может приходить в норму в течение нескольких месяцев. Но если обнаруживаются клинические признаки гибели пульпы, её необходимо удалить, а канал пролечить, иначе оставшаяся в канале мёртвая пульпа приводит к развитию острого периодонтита или периостита.
После неполного вывиха не исключена внешняя резорбция (рассасывание) корня, которая не прогрессирует. При этом выраженность процесса резорбции определяется степенью смещения корня зуба при вывихе: чем больше смещение, тем большая поверхность корня может подвергнуться разрушению.
Лечение неполного вывиха молочного зуба заключается в противовоспалительной терапии, антисептической обработке раны и рентгенологическом контроле через 1, 3 и 6 месяцев.
Лечение полного вывиха
В случае полного вывиха зуба, если с момента травмы прошло не более двух суток, проводится его реплантация (установка зуба обратно в лунку) [8] .
Но есть случаи, в которых она не показана:
- нарушение целостности стенок лунки и развивающийся воспалительный процесс;
- выраженное разрушение непосредственно травмированного зуба.
Чем раньше проводится реплантация, тем выше вероятность положительного результата. Резорбция корня в данной ситуации менее выражена и протекает медленнее.
Реплантацию проводят по общепринятой методике:
- Травмированный зуб промывают и помещают в изотонический раствор натрия хлорида с антибиотиками до самой операции.
- Если после вывиха прошло не более 10 часов, можно реплантировать зуб, не проводя эндодонтическое лечение (лечение корневых каналов). В таком случае эндодонтическое лечение зуба проводят через 2-3 недели после реплантации, когда становится очевидным приживление зуба.
- Если с момента вывиха прошло более 10 часов, пульпу полностью удаляют, а канал после механической и медикаментозной обработки пломбируют. Зуб после реплантации выводят из прикуса и укрепляют путём шинирования с помощью пластмассовой шины-каппы. Снимают её только через 3-4 недели.
- После реплантации необходимо в течение от одного до двенадцати месяцев проводить рентгенологический контроль. Это позволяет судить о состоянии корня зуба, периодонта и кости.

Необходимо отметить, что самые благоприятные результаты получены при проведении реплантации через 20-30 минут после вывиха.
Лечение полного вывиха молочного зуба заключается в противовоспалительной терапии, антисептической обработке лунки. Реплантация временного зуба не проводится.
Лечение вколоченного вывиха представляет определённые трудности.
Можно придерживаться выжидательной тактики, направленной на самостоятельное выдвижение травмированного зуба. Чаще всего данная методика применяется при вколоченных вывихах временных резцов: в данном случае выдвижению зуба способствует дальнейшее формирование корня зуба, если зона роста зуба сохранилась.
Первые признаки самопроизвольного выдвижения зуба возможно увидеть через неделю-полторы после вывиха, но иногда сроки увеличиваются до четырёх-шести недель.
При появлении признаков острого воспалительного процесса необходимо эндодонтически пролечить зуб. Резорбция корня в случае вколоченного вывиха также возможна, но она менее объёмна, чем при реплантации.
Вероятность самопроизвольного выдвижения зуба снижается при сильном вколачивании, большом воспалительном процессе, наличии инфекции на верхушке зуба.
Репозицию вколоченной травмы с фиксацией на 4-6 недель нужно проводить не позже трёх суток после вывиха. Эта манипуляция сопровождается потерей краевого участка альвеолы и последующей резорбцией корня зуба. Полноценное лечение корневых каналов зуба производится после укрепления зуба в лунке [6] .
Также можно использовать ортодонтические конструкции для выдвижения зуба. Это целесообразно при неглубоком вколачивании зуба в лунку, когда часть коронки зуба дает техническую возможность зафиксировать на ней ортодонтическую конструкцию. Для предупреждения развития анкилоза (неподвижности) ортодонтическое выдвижение зуба необходимо начинать сразу после травмы. Такая тактика снижает степень резорбции корня.
Необходимо отметить, что аппаратное ортодонтическое лечение у детей начинают не ранее, чем через 3-4 недели после травмы.
При лечении вколоченного вывиха иногда допустимо удалить зуб с последующей его реплантацией. Стоит помнить одно правило: чем раньше проведена реплантация зуба при вывихе, тем позже наступают осложнения в виде резорбции корня.
Показанием к удалению вколоченного зуба без его реплантации являются резвившийся анкилоз и значительная травма альвеолы (перелом стенок) [5] [7] .
Прогноз. Профилактика
В случае соблюдения всех индивидуальных рекомендаций врача прогноз должен быть благоприятным. Но также нельзя исключать и возможность возникновения патологической резорбции корня зуба, что может привести к его дальнейшему удалению. Это может произойти при чрезмерной жевательной нагрузке на репонированный (вправленный) зуб, повторной травме зуба, использовании репонированного зуба в качестве опоры (при шинировании, установке брекетов), неправильном репонировании в полости рта.
Профилактика данного заболевания должна заключаться в устранении вредных привычек, избегании травмирующих ситуаций, соблюдении правил безопасности и более бережном отношении к собственной полости рта [1] .
Читайте также:
