Рентгенограмма, МРТ при фиброзной дисплазии
Добавил пользователь Евгений Кузнецов Обновлено: 29.01.2026
Статья посвящается сочетанию фиброзной дисплазии и акромегалии.
Ключевые слова
Для цитирования:
For citation:
Начало ФД нередко относится ко времени первичного внутриутробного формирования костной ткани. В 1938 г. Лихтенштейн (цит. по [4]) определил сущность ФД, высказав мнение о том, что это изменения функциональных свойств клеточных элементов мезенхимы в процессе костеобразования, причем данные изменения передаются последующим генерациям эмбриональных клеток, т. е. процесс окостенения нарушается не на хрящевой (как при болезни Олье), а еще на мезенхимальной стадии (при первичной закладке соединительной ткани). ФД, являясь, безусловно, редким заболеванием, выявляется все чаще и чаще. Как и всякий диспластический процесс, это болезнь детского и юношеского вораста, протекающая медленно и обычно доброкачественно. Из всех диспластических форм поражений скелета ФД наиболее близка к новообразованиям, что подтверждается наличием переходных форм, а также возможностью рецидивирования после удаления диспластических очагов. Эмбриональная остеобластическая ткань, составляющая основу фиброзных очагов дисплазии, не только не участвует в образовании опорной кости, но и нарушает нормальный процесс окостенения в пораженном участке, что особенно приближает ее к костным неоплазиям. В литературе известна неостеогенная фиброма кости, развивающаяся на фоне диспластиче- ского фиброзного очага. Важно отметить, что более 50% детей заболевают в первые 6 лет жизни, из них большая часть в возрасте до 1 года. Заболевание характеризуется постепенным началом, больные жалуются на преходящие боли, которые никогда не бывают сильными. Локализация фиброзных очагов разнообразна. Как диффузные, так и очаговые поражения располагаются в метафизарных и диафизарных отделах кости. Чаще поражаются большеберцовая, бедренная, малоберцовая, плечевая кости, реже - лобная, свод черепа, ребра, верхняя челюсть, ключица, кости таза, позвоночник, кости кистей и стоп. При поражении больших участков костей первым проявлением заболевания являются переломы, которые повторяются и в конце концов становятся привычными. При диффузной форме преобладает, как правило, поражение подвертельной области бедренной кости, при очаговой монооссальной - диафиза большеберцовой кости. Искривление оси конечности и надломы объясняются мягкой консистенцией очагов патологической ткани (на разрезе ткань выглядит как "мякоть подсолнуха"). Остеогенная диспластическая ткань растет не по оси кости, а в сторону, занимая больший объем, чем компактная костная ткань. Исключительной особенностью ФД является либо преобладающая односторонность процесса, либо строгая симметричность. Особую форму составляет поражение ФД верхней челюсти в сочетании с полиоссальным диффузным поражением длинных трубчатых костей. Под названием костного леонтиаза ("костной львино- сти") - гемикраниоза - этот вид ФД описан в литературе [(цит. по 4)|. ФД как аномалия развития иногда сочетается с другими расстройствами. Яффе (цит. по [2]) причисляет к ним наблюдавшиеся случаи сочетания ФД с гипотиреозом, тиреотоксикозом, сахарным диабетом, рудиментарной почкой, аортальным стенозом, врожденной атрофией зрительного нерва, множественными фибромиксоидными опухолями мягких тканей. А. И. Бухман [3] описал случай сочетания гемикраниоза с гигантизмом, Т. П. Виноградова (цит. по [4]) описала полиоссальную очаговую дисплазию в сочетании с множественными миксомами межмышечной клетчатки у 56-летнего мужчины. Стауффер (цит. по [4)) в 1941 г. сообщил о случае ФД скелета в комбинации с врожденной артериовенозной аневризмой. В отечественной и зарубежной литературе мы не встретили описания случая сочетания ФД с акромегалией. Подробно описывать акромегалию нет необходимости. Как известно, она обусловлена развитием аденомы гипофиза, при этом в костях развиваются гипертрофический остеопороз, экзостозы, гиперостозы, выраженные изменения в черепе, турецком седле. Остановимся более подробно на описании ФД на примере больного Д., у которого она сочеталась с акромегалией, и попытаемся впоследствии установить возможные патогенетические аспекты сочетания данных патологий.
В клинику ЭНЦ РАМН обратился больной Д.,31 года, с жалобами на увеличение размеров головы, кистей, стоп, незначительные боли в костях, головные боли, слабость. Из анамнеза известно, что пациент считает себя больным с детского возраста, неоднократно были переломы костей, с 5 лет отмечался рост костей черепа с грубой деформацией лобной кости справа, за последние 5-6 лет увеличился размер обуви, перчаток, по месту жительства определили повышение уровня гормона роста, лечился парлоделом до 15-20 мг/сут в течение года. Объективно: акромегалоидная внешность, кожные покровы обычной окраски и влажности, подкожная жировая клетчатка развита умеренно, распределена равномерно. В легких дыхание везикулярное, хрипов нет. Границы сердца в пределах возрастной нормы, тоны приглушены, имеется акцент II тона на аорте, I тона на верхушку (область проекции митрального клапана), мягкий систолический шум на верхушке. ЧСС 76 в минуту, АД 140/90 мм рт. ст.
При обследовании: общий анализ крови: НЬ 144 г/л, эр. 4,4- 10 12 /л, цв. пок. 0,9, тр. 224- Ю’/л, л. 3,6 • Ю’/л, н. 46%; э. 1%; лимф. 51%, мон. 43%; СОЭ 8 мм/ч; гематокрит 39,6.
Рис. 1. Рентгенограмма черепа больного Д.
Общий анализ мочи: реакция кислая, относительная плотность 1016, белок, глюкозы нет, лейкоциты 3-4 в поле зрения.
Биохимический анализ крови: общий белок 75 г/л, глюкоза 6.6 мм/л, мочевина 6,3 мм/л, креатинин 56 мкм/л, билирубин 17,8 мкм/л, холестерин 5,6 мкм/л, ТРГ 1,9 мм/л, кальций 1,07 мм/л, фосфор 1,03 мм/л, щелочная фосфатаза 1560 ЕД/л. Гормоны крови: СТГ 53,9 нг/мл (норма 0,01 - 10 нг/мл), ПРЛ 134 мЕД/л (норма 60-510 мЕД/л).
Рентгенография черепа, левого бедра, левой половины таза выявила грубую деформацию костей данной локализации, особенно костей черепа, включая затылочную, лобную часть теменных костей, костей основания черепа, часть нижней челюсти с резкой остеосклеротически-остеопоротической перестройкой, утолщением костей. Стенки турецкого седла неровные, что обусловлено основным процессом. Заключение: ФД с преимущественным поражением костей черепа, наличием гемикраниоза (рис. I, 2).
Толщины мягких тканей стопы 30 мм (норма до 22 мм), что соответствует проявлениям выраженной акромегалии.
МРТ головного мозга: на фоне резкого утолщения костей основания и свода черепа в проекции правой лобной пазухи определяется диспластический участок с неровными, нечеткими краями (размером 5,0 х 6,0 х 7,0 см). В хиазмально-селлярной области определяется объемное образование неправильной формы (размером 2,3 х 3,4 х 2,1 см), распространяющееся па- раселлярно в правый кавернозный синус, супраселлярно с компрессией хиазмы и деформацией дна 111 желудочка. Образование имеет однородную структуру. Желудочковая система не расширена, не деформирована. Субарахноидальные пространства не расширены. Стволовые структуры без особенностей. Заключение: MPT-картина аденомы гипофиза с супра- и параселлярным распространением. Выраженный гиперостоз и деформация костей черепа (рис. 3).
На основании типичных жалоб, данных анамнеза, общего осмотра и лабораторно-инструментальных методов исследования больному Д. поставлен диагноз: ФД с преимущественным поражением костей черепа, наличием гемикраниоза; аденома гипофиза; акромегалия, активная стадия.
Диагноз ФД был подтвержден произведенной 05. 05. 00 в НИИ нейрохирургии им. акад. Н. Н. Бурденко бипсией костной ткани из затылочной области и гребня подвздошной кости слева. В этом же лечебном учреждении 25. 05. 00 произведена операция: удаление костного новообразования лобно-височно-орбитальной области и основания передней черепной ямки справа с декомпрессией канала правого зрительного нерва. Удаление аденомы гипофиза. Пластика костного дефекта палакосом (с гентамицином). В позднем послеоперационном периоде появились явления несахарного диабета. Уровень СТГ через 10 дней после операции 34 нг/мл.
Фотография больного до операции представлена на рис. 4.
ФД следует дифференцировать от костной формы болезни Педжета, наличие которой вначале ошибочно предполагали у больного Д. Несмотря на сходные признаки (дугообразная деформация костей, поражение костей черепа диспластического характера) для болезни Педжета характерны следующие особенности: 1) груботрабекулярная перестройка и спонгиозация кортикального слоя компактного вещества кости; 2) пучки костных балок в виде рамы по сторонам; 3) сужение и постепенное исчезновение костно-мозгового канала; 4) периостальные наслоения в виде козырька; 5) "хлопьевидный" рисунок компактного вещества.
При поражении костей черепа для болезни Педжета характерны следующие признаки: 1) платибазия (уплощение основания черепа, головной мозг выглядит "распластанным” на основании и задняя черепная ямка резко углублена вследствие прогибания затылочной кости, оседающей на заднюю дугу атланта); 2) базилярная импрессия (смещение верхней части позвоночника кверху основания черепа); 3) конвексобазия (все отделы основания черепа провисают вокруг внедрившегося эндокрани- ально позвоночника).
Все эти признаки отсутствуют у больного Д.
При ФД рисунок основного вещества кости проходит 3 стадии: 1) вид "тающего сахара"; 2) кистообразование; 3) колбообразная деформация.
Патогенез болезни Педжета (фиброзная остеодистрофия) отличается от ФД тем, что развивается в постнатальном периоде и на срезах биоптатов обнаруживают вирусоподобные включения в ядрах остеокластов пораженной кости, которые выглядят как мелкие одноядерные клетки с темно-базофильным ядром, они впоследствии подвергаются аутолизу по ходу сосудистых каналов, в результате чего микроструктура кости имеет мозаичный вид - "вид пемзы".
Представленный клинический случай следует дифференцировать с синдромом Олбрайта (фиброкистозный остеит), для которого характерны следующие признаки: I) патологическая пигментация кожных покровов в виде пятен кофейно-молочно- го цвета с "географическими" очертаниями, локализующимися на стороне поражения костей; 2) преждевременное половое развитие; 3) чаще поражаются лица женского пола, и наследование идет по рецессивному - Х-сцепленному с полом типу наследования. Этого также не наблюдается у больного Д.
Рис. 2. Рентгенограмма левой бедренной кости больного Д.
Рис. 3. МРТ головного мозга больного Д.
Дифференциальный диагноз можно проводить и с синдромом Маффуция, для которого характерны диспластические явления в костях с сопутствующим кожным гемангиозом.
Преимущественное увеличение размеров головы по сравнению с ростом кистей и стоп, наблюдавшееся с детства у больного Д., дает возможность дифференцировать данный клинический случай с синдромом Сотоса, для которого характерны следующие особенности: 1) вышеуказанная диспропорциональность в темпах роста головы и кистей со стопами в пользу роста первой; 2) антимонголоидный разрез глаз с наличием гипертелоризма; 3) преждевременное половое развитие.
Вышеизложенное исключает данный синдром у больного Д.
Как уже указывалось, ФД имеет дизонтогенетическую основу с нарушением развития мезенхимы. При локализации дис- пластического процесса в костях черепа, особенно в области лобной пазухи и турецкого седла, возможно вторичное вовлечение в процесс гипофиза. Конечно, это может быть чисто механическое воздействие, влекущее за собой повреждение передней доли гипофиза, а также как результат ответного влияния поврежденного аденогипофиза на костную ткань. Изложенное можно представить следующим образом: ФД в костях основания черепа вызывает как бы вторичное вовлечение аденогипофиза и повышение внутричерепного давления, что в сумме способствует формированию аденомы гипофиза, в результате чего возникает гиперсекреция СТГ, которая в свою очередь уже тре- тично воздействует на кости скелета с усугублением имевшейся ранее ФД.
В литературе Денсоном (цит. по |4]) описан случай редкой локализации ФД в костях черепа, симулирующий остеому, а также случай, когда очаги ФД в крыльях клиновидной кости деформировали турецкое седло, вызвали атрофию аденогипофиза, и на вскрытии при аутопсии были выявлены гиперплазия тимуса, атрофия гипофиза, аденома щитовидной железы, кистозные изменения в ткани обоих яичников (смерть наступила от коллапса на фоне недостаточности функции желез внутренней секреции).
В последние годы обсуждается гипотеза врожденного порока биосинтеза соединительной ткани на фоне аутоиммунных поражений. При иммунологическом обследовании больных ФД обнаружены повышенные титры Т-лимфоцитов-киллеров, В-
Рис. 4. Фотография больного Д. до оперативного лечения.
лимфоцитов и угнетенные клоны Т-лимфоцитов-супрессоров: "Феномен качелей" (угнетение клеточного звена иммунитета и стимуляция гуморального звена иммунитета). Происходит активизация АТ - образования к мезенхимальной строме эмбриона и впоследствии дисплазия.
Кроме того, известно, что сам гормон роста обладает иммуномодулирующими и нейропсихомодулирующими свойствами, которые активно проявляются в процессе эмбрионального развития при формировании иммунной системы, а поскольку при ФД изменения происходят на ранних стадиях эмбриогенеза, то уже внутриутробно и с момента рождения нарушается чувствительность тканей к гормону роста, поэтому повышенной чувствительностью к СТГ и можно объяснить более интенсивный рост именно головы и кистей со стопами по мере вовлечения в процесс гипофиза у больного Д. (патологическая парциальная врожденная гиперчувствительность к СТГ).
Данные сдвиги лейкоцитарной формулы свидетельствуют о наличии у больного иммунных нарушений - "феномена качелей".
Таким образом, больной Д. имеет классические проявления как акромегалии, так и ФД.
В хронологически-патогенетическом аспекте первично дис- пластическое поражение костей в эмбриогенезе через генетический дефект иммунологического надзора. АТ-образование к мезенхимальной строме эмбриона.
Гипотетически можно предположить, что поражение гипофиза носит вторичный характер из-за деформации турецкого седла за счет преимущественного поражения ФД костей черепа и парциальной врожденной гиперчувствительности к СТГ на фоне аутоиммунного внутриутробного порока развития соединительной ткани.
Учитывая иммуномодулирующис свойства СТГ, нельзя исключить третичное ответное воздействие гормона роста на дис- пластически измененную костную ткань в условиях его повышенной секреции при сопутствующей акромегалии через каскад иммунологических реакций (выработки ИЛ 1-6, ФНОа, у- ИФН).
Рентгенограмма, МРТ при фиброзной дисплазии
а) Терминология:
1. Аббревиатура:
• Фиброзная дисплазия (ФД)
2. Синонимы:
• Фиброзно-хрящевая дисплазия, генерализованное фиброзно-кистозное заболевание кости, фиброзный остеит
3. Определение:
• Доброкачественное костно-фиброзное новообразование
б) Визуализация:
1. Общая характеристика:
• Лучший диагностический критерий:
о Вспучивание костномозгового канала от легкого до умеренного с участком склероза, чаще всего характеризующегося симптомом матового стекла
• Локализация:
о Полиоссальное поражение в 15—20% случаев:
- Таз, бедренная, большеберцовая и фактически любая кость; чаще одностороннее поражение, но не всегда
о Монооссальное поражение (80-85%):
- Длинные трубчатые кости:
Бедренная кость (35-40%), большеберцовая кость (20%)
- Кости черепа (20-34%), ребра (10-28%):
о Патологический очаг, как правило, располагается центрально:
- Редко отмечается кортикальное расположение; при ФД оно наиболее характерно для большеберцовой кости
о Диафизарное поражение: часто распространяется на метафиз и иногда на эпифиз
• Размер: от 1 см до поражения всей кости
(Слева) Рисунок, корональная проекция: пример ФД. Кистозные зоны заполнены желтоватой жидкостью. Визуализируются фокальные участки хряща. Коричневатая зернистая субстанция образована веретеновидными клетками и содержит извитые фрагменты незрелой кости. Обратите внимание на часто встречающееся поражение вертлужной впадины, которое ассоциируется с ФД шейки бедренной кости.
(Справа) Рентгенография в ПЗ проекции: типичный для ФД комбинированный литически-склеротический очаг шейки бедренной кости и признаки ее варусной деформации. Обратите, также, внимание на признаки поражения вертлужной впадины. (Слева) МРТ, корональная проекция, режим Т1: у этого же пациента с полиоссальной ФД определяется однотипный сигнал низкой интенсивности, близкий к скелетной мышце во всех зонах поражения. Зоны остаточной кости характеризуются нормальным костномозговым сигналом.
(Справа) МРТ, корональная проекция, режим STIR: у этого же пациента все зоны поражения ФД характеризуются комбинированным сигналом высокой и низкой интенсивности, который соответствует матовому остеоиду. Шейка правой бедренной кости характеризуется большим объемом поражения, по сравнению с левой, что обусловливает варусную деформацию. (Слева) Рентгенография в ПЗ проекции: вспученный пузырчатый очаг левой седалищной кости. Признаки агрессивности патологического очага отсутствуют. Он характеризуется комбинированной структурой: зоной лизиса и областью матового склероза, что позволяет диагностировать ФД. Ввиду отсутствия ножки, ведущей к нормальной кости, вариант экзофитного экзостоза здесь не рассматривается.
(Справа) КТ, аксиальная проекция, костный режим: у этого же пациента визуализируется комбинированный очаг с типичными для ФД зонами лизиса и матового склероза. Дополнительное обследование не требуется.
2. Рентгенография при фиброзной дисплазии:
• Хорошо отграниченный очаг
• Плотность меняется от литической до склеротической:
о Поражение таза часто представлено литическими пузырчатыми очагами
о Плотные склерозированные очаги характерны для основания черепа
о Большая часть очагов характеризуется легкой склеротизацией:
- Симптом матового стекла, обусловленный количеством грубоволокнистой кости в структуре патологического очага
• Патологический очаг имеет, как правило, центральное расположение в кости и в различной степени способствует ее вспучиванию:
о Наибольшая вспученность характерна для тазовых очагов
о Патологические очаги в костях черепа и нижней челюсти также могут характеризоваться вспученностью и придавать вид, характерный для херувизма:
- Обычно одностороннее поражение черепа
о Патологические очаги длинных трубчатых костей характеризуются, обычно, менее выраженной экспансивностью:
- Равномерное истончение кортикального слоя
• Периостальная реакция отсутствует
• Прорыв кортикального слоя или мягкотканный компонент отсутствуют
• Деформации длинных трубчатых костей:
о В результате микропереломов патологически измененной кости в первично нагружаемой зоне
о Варусная деформация шейки бедренной кости (в виде «пастушьего посоха»)
о Переднее искривление большеберцовой кости
о Протрузия вертлужной впадины
• Полиоссальная форма → разновеликость конечностей (70%):
о В результате изгибающей деформации и гиперемии с ранним закрытием физарных зон
3. МРТ при фиброзной дисплазии:
• Режим Т1: однородный сигнал низкой интенсивности:
о Последовательности, чувствительные к жидкости: от выраженного сигнала высокой интенсивности до слабого высокоинтенсивного сигнала, накладывающегося на сигнал низкой интенсивности
о Зависит от количества грубоволокнистой кости в структуре очага
о Кисты имеют округлую форму и характеризуются высокоинтенсивным сигналом
• Выраженное неоднородное накопление контрастного вещества активными очагами; неактивные очаги характеризуются менее выраженным контрастным усилением:
о В режиме Т1 с подавлением сигнала от жира, с контрастным усилением кисты характеризуются гипоинтенсивностью
• Возможно наличие ассоциированной аневризмальной костной кисты (АКК):
о АКК часть патологического очага представлена многокамерными кистами с уровнями жидкость-жидкость
4. Радионуклидная диагностика:
• Большинство патологических очагов характеризуется повышенным накоплением
• ФДГ/ПЭТ: признаки различной степени выраженной метаболической активности; стандартизированное значение накопления на поздней стадии может либо повышаться, либо снижаться
5. Биопсия под контролем визуализации:
• Тонкоигольная аспирация, как правило, не обеспечивает возможности надлежащего забора тканей для биопсии
(Слева) Рентгенография в ПЗ проекции: классический пример ФД диафиза большеберцовой кости с небольшим у ширен нем кости, истончением кортикального слоя и дисплазией, характеризующейся симптомом матового стекла. В дистальном эпифизе большеберцовой кости и таранной кости, также визуализируются патологические очаги, соответствующие кистозной ФД.
(Справа) МРТ, сагиттальная проекция, режим Т1 у этого же пациента определяется однотипный сигнал низкой интенсивности, как в зоне матового диафизарного очага большеберцовой кости, так и области кистозного очага таранной кости. Неизмененная кость сохраняет нормальный высокоинтенсивный костномозговой сигнал. (Слева) МРТ, корональная проекция, режим Т2 с подавлением сигнала от жира: определяется однотипный высокоинтенсивный сигнал в зоне эпифизарного кистозного очага большеберцовой кости и смешанный высоко- и низко интенсивный сигнал в области патологических очагов диафиза большеберцовой кости и таранной кости, которые при рентгенографии характеризовались умеренно выраженной склеротизацией. В режиме Т2 интенсивность сигнала при ФД может меняться в зависимости от количества незрелой кости в структуре очага.
(Справа) Рентгенография в ПЗ проекции: кортикальный литический очаг, окутывающий большеберцовую кость, который может являться проявлением кортикальной формы ФД, остеофиброзной дисплазии или адамантиномы. (Слева) КТ, аксиальная проекция без контрастного усиления: у этого же пациента становится понятно, что очаг имеет крупные размеры, кортикальное расположение, а также характеризуется вспученностью. Признаки прорыва кортикального слоя отсутствуют.
(Справа) МРТ, аксиальная проекция, режим Т2: подтверждается кортикальное расположение очага. Костномозговой канал и окружающие мягкие ткани не изменены. Дифференциально-диагностические признаки, позволяющие сделать различие между тремя возможными патологическими состояниями, отсутствуют. ФД встречается чаще, чем остеофиброзная дисплазия или адамантинома. Для подтверждения ФД потребовалась биопсия.
в) Дифференциальная диагностика фиброзной дисплазии:
1. Фиброзная дисплазия черепа:
• Болезнь Педжета:
о Диплоитическое пространство расширено. Характер расширения от фокального до диффузного
о Плотность меняется от остеопоретической (очаговая дименерализация) до высокой (по типу хлопьев ваты)
о Поражение черепа, обычно, двухстороннее; при ФД как правило, одностороннее
• Метастазы, костный мозг
2. Фиброзная дисплазия таза (пузырчатая):
• Гигантоклеточная опухоль:
о Полностью литический очаг
о Узкая переходная зона; склеротический край отсутствует
• Простая костная киста:
о Простая костная киста у взрослых чаще поражает кости таза о При рентгенографии определяется неспецифический литический очаг со слабо выраженным склеротическим краем
о МРТ подтверждает кистозный характер патологического очага
3. Фиброзная дисплазия трубчатых костей:
• Простая костная киста:
о Центральный литический очаг, характеризуется незначительной вспученностью и истончением кортикального слоя
о В зависимости от возраста имеет метафизарное или метадиафизарное расположение
о Рентгенография: симптом «упавшего фрагмента»
о МРТ подтверждает кистозный характер патологического очага
• Болезнь Олье:
о Возможно полиоссальное поражение, часто одностороннее, как при полиоссальной форме ФД
о Очаги, как правило, имеют метафизарное происхождение, сохраняя диафиз неизмененным; для ФД более характерно поражение диафиза
о Исчерченность очагов; ± хрящевой матрикс
о Разновеликость конечностей характерна как для ФД, так и для болезни Олье
• При кортикальном расположении очага в большеберцовой кости ФД неотличима от:
о Адамантиномы
о Остеофиброзной дисплазии
(Слева) Рисунок, аксиальная плоскость: обширный очаг ФД в основании черепа в сравнении с нормальной костью противоположной стороны. Коричневатый зернистый очаг соответствует веретеноклеточной строме, содержащей фрагменты незрелой кости и хрящевые включения.
(Справа) КТ нижней и верхних челюстей, аксиальная проекция, без контрастного усиления: экстенсивное многоочаговое поражение кости, характеризующееся симптомом матового стекла и соответствующее предыдущему рисунку, на котором показана макроскопическая структура ФД. (Слева) КТ, 3D реконструкция: выраженная асимметрия мозгового и лицевого черепа и утолщение нижней челюсти. Такие изменения получили название leontiasis ossea за львиноподобный образ, формирующийся за счет выраженного утолщения черепно-лицевых костных структур и характерны для нескольких заболеваний, включая ФД, болезнь Педжета, краниодиафизарную дисплазию и почечную остеодистрофию.
(Справа) МРТ, аксиальная проекция, режим Т1: Фокальный экспансивный краниальный очаг ФД, характеризующийся неоднородным сигналом низкой интенсивности. (Слева) МРТ, аксиальная проекция, режим Т2: в той же области визуализируется смешанный сигнал с зонами легкой гиперинтенсивности и низкоинтенсивного сигнала, соответствующими области, характеризующейся на КТ симптомом матового стекла (здесь не показано).
(Справа) МРТ, аксиальная проекция, режим Т1, с контрастным усилением: неоднородное накопление контрастного вещества. При ФД визуализируются признаки, как минимум слабого контрастного усиления, а неоднородный характер накопления является типичным. Обратите внимание на то, что обе: внутренняя и внешняя пластинки черепа остаются интактными, а патологический процесс имеет односторонний характер.
г) Патология:
1. Общая характеристика:
• Этиология:
о Нарушение развития:
- Нарушение дифференцировки остеобластов → замещение нормального костного мозга и губчатой кости незрелой костью и фиброзной стромой
• Генетика
о Предрасположенность к соматическим мутациям костно-формирующей мезенхимальной ткани:
- Активирующие мутации гена GNAS, кодирующего α-субъединицу стимулирующего белка G характерны как для моно-, так и полиоссальной формы
- Клональные хромосомные аберрации (3, 8, 10,12,15) позволяют предположить опухолевую природу патологического очага
- Повышенный уровень онкобелка c-fos
2. Макроскопические и хирургические особенности:
• Коричневато-серая опухоль
• Консистенция от плотной до зернистой
• Возможно наличие кисты, заполненной желтоватой жидкостью
• Голубоватые прозрачные хрящевые включения
3. Микроскопия:
• Фиброзная и костная ткань в различном соотношении:
о Соотношение может меняться от очага к очагу
о Соотношение может меняться в пределах одного очага
• Фиброзная порция: цитологически нормальные веретеновидные клетки
• Костная порция: нерегулярные неровные трабекулы незрелой кости
• Хрящевые включения присутствуют в 10%
д) Клинические особенности:
1. Проявления:
• Наиболее характерные признаки/симптомы:
о Монооссальная форма может протекать бессимптомно
о Полиоссальная форма: в Уз случаев симптомы появляются к 10-ти летнему возрасту
о Боль ассоциируется с микропереломами (особенно шейки бедренной кости или большеберцовой кости)
• Другие признаки/симптомы:
о Может ассоциироваться с онкогенной остеомаляцией:
- Проявляется переломами
о Возможны аномальные черепно-лицевые проявления
- Херувизм: симметричное поражение нижней и верхней челюсти:
Аутосомно-доминантное/спорадическое заболевание
Может быть вариантом ФД; фактически форма гигантоклеточной репаративной гранулемы
Различная степень прогрессирования в пубертатном возрасте; у взрослых может регрессировать
- Гиперостоз черепа (leontiasis ossea): поражение лицевых и лобной костей с формированием львиноподобного лица за счет их утолщения
- Параличи черепных нервов
о Синдром МакКьюна-Олбрайта:
- Полиоссальная односторонняя ФД
- Эндокринные нарушения:
Преждевременное половое созревание: патологические вагинальные кровотечения; гипертиреоидизм; сахарный диабет; гиперпаратиреоидизм (симптомы рахита); акромегалия
- Пятна цвета кофе с молоком:
Могут соответствовать области поражения скелета
- У женщин заболевание развивается чаще
о Синдром Мазабрауда
- Полиоссальная ФД; множественные фиброзные и микосматозные опухоли мягких тканей; чаще происходит злокачественное перерождение в остеосаркому
2. Демография:
• Возраст:
о Встречается в любом возрасте (обычно 5-50 лет); в 75% случаев заболевание развивается в возрасте до 30 лет
о Полиоссальная форма, обычно, проявляется раньше (средний возраст 8 лет), чем монооссальная
• Пол:
о Мужчины = женщины (исключая синдром МакКьюна-Олбрайта, которым преимущественно страдают женщины)
• Эпидемиология:
о 1% от первичных костных опухолей, подтвержденных результатами биопсии
о Самая распространенная доброкачественная опухоль ребер
3. Течение и прогноз:
• Монооссальная форма ФД не переходит в полиоссальную
• Монооссальная: рост, обычно, прекращается в пубертатном периоде:
о Патологический очаг сохраняется, инволюции не происходит
о Во время беременности очаг может увеличиваться
• Полиоссальная форма: активность патологических очагов, обычно, снижается после периода полового созревания:
о Новые очаги, как правило не появляются
о Деформации могут прогрессировать
• Осложнения: микропереломы и искривляющие деформации
• Плохая консолидация патологических переломов с образованием неполноценной костной мозоли
• Злокачественное перерождение крайне редко (0,5%):
о Возможно как при поли-, так и монооссальной ФД
о Остеосаркома > фибросаркома > хондросаркома
о Чаще всего поражаются черепно-лицевые кости или бедренная кость
о В 33-50% случаев ранее проводилось облучение, что позволяет говорить о саркоме, индуцированной лучевой нагрузкой
о Прогноз неблагоприятный
4. Лечение:
• Лечение осуществляется только при наличии осложнений:
о Деформации могут быть устранены с помощью остеотомии с использованием костных трансплантатов и стабилизирующих конструкций
• Кюретаж с использованием костных трансплантатов чреват высоким уровнем рецидивов (до 100%)
• Возможно применение бисфосфанатов
• Лечение ассоциированных эндокринных нарушений
е) Диагностическая памятка. Следует учесть:
• Тонкоигольная аспирация, как правило, не обеспечивает возможности надлежащего необходимого объема тканей для биопсии;планируйте выполнение трепанобиопсии
ж) Список использованной литературы:
1. Su MG et al: Recognition of fibrous dysplasia of bone mimicking skeletal metastasis on 18F-FDG PET/CT imaging. Skeletal Radiol. 40(3):295-302, 2011
Фиброзная дисплазия ребер Текст научной статьи по специальности «Клиническая медицина»
Аннотация научной статьи по клинической медицине, автор научной работы — Воронович И.Р., Пашкевич Л.А.
Проведенные клинико-рентгенологические исследования позволили выявить наиболее характерные проявления фиброзной дисплазии ребер. Подробно изложены особенности хирургической тактики при локализации на различных уровнях и отделах ребер. Отмечены сложности резекции пораженных сегментов при локализации в верхних трех ребрах . Указано на целесообразность совместной работы с таракальными хирургами и онкологами.
Похожие темы научных работ по клинической медицине , автор научной работы — Воронович И.Р., Пашкевич Л.А.
Fibrous dysplasia of ribs
Clinical and radiological research let to reveal the most typical manifestations of fibrous dysplasia of ribs . There are given the peculiarities of surgical tactics in different localization. There is underlined the difficulty of lesion resection if it is situated in the upper three ribs . It is important to cooperate with thoracic surgeons and oncologists.
Текст научной работы на тему «Фиброзная дисплазия ребер»
Фиброзная дисплазия ребер
Воронович И.Р., Пашкевич Л.А.
РНПЦ травматологии и ортопедии, Минск, Беларусь
Voronovich I.R., Pashkevich L.A.
Republic Scientific-Practical Center of Traumatology and Orthopedics, Minsk, Belarus
Fibrous dysplasia of ribs
Резюме. Проведенные клинико-рентгенологические исследования позволили выявить наиболее характерные проявления фиброзной дис-плазии ребер. Подробно изложены особенности хирургической тактики при локализации на различных уровнях и отделах ребер. Отмечены сложности резекции пораженных сегментов при локализации в верхних трех ребрах. Указано на целесообразность совместной работы с таракальными хирургами и онкологами.
Ключевые слова: фиброзная дисплазия, ребра, клинико-рентгенологические исследования, новообразование.
Данное заболевание чаще встречается в детском и молодом возрасте, но может поражать и лиц старшего возраста. Этиология фиброзной дисплазии окончательно не установлена, хотя теоретических предпосылок много [1, 3, 5, 11, 13, 15, 18]. М.В. Волков пишет: «В 1956 г. мы изложили свой взгляд на природу фиброзной дисплазии, рассматривая ее по аналогии с хрящевой дисплазией -как нарушение нормального окостенения скелета, проявляющегося не на хрящевой (как при болезни Олье), а на соединительнотканной стадии. Автор наблюдал
145 пациентов с фиброзной дисплазией костей различной локализации, в том числе у 49 из них была полиоссальная форма. В основном локализация очагов поражения была в трубчатых костях - 81%, позвоночнике - 2,6%, костях таза - 2,4%. Отдельных работ по фиброзной дисплазии ребер мы не встретили.
В зависимости от распространенности процесса различают две формы фиброзной дисплазии: монооссальную и полиос-сальную; при первой поражена одна кость, при второй поражено несколько костей [17, 19]. Наиболее часто встречается монооссальная форма - около 80-85%. Под нашим наблюдением находилось 15 пациентов с фиброзной дисплазией ребер, в возрасте от 19 до 53 лет, мужчин -7, женщин - 5. Процесс локализовался в одном ребре у всех пациентов. Были поражены: второе ребро у двух больных, шестое ребро - у четырех, седьмое - у пяти, одиннадцатое - у четырех. Клинические проявления в начальном периоде были слабо выражены: локальные боли почти отсутствовали, лишь при глубоком вдохе пациенты отмечали небольшую расплывчатую болезненность по ходу ребра.
Начальным проявлением у семи больных было слегка болезненное новообразование, еще у шести процесс обнаружен во время флюорографии органов грудной клетки; двое пациентов получали лечение физиопроцедурами по поводу подозрения на перихондрит ребер по месту жительства в райбольнице, но безуспешно. Травму в анамнезе отмечали 6 пациентов. Все больные поступали в РНПЦ травматологии и ортопедии из областных и
районных лечебных учреждений Беларуси. С правильным диагнозом поступило лишь 5 пациентов, у остальных были следующие диагнозы: 7 - остеобластокластома, 3 -хондрома. В стационаре нашей клиники больные тщательно обследовались клини-ко-рентгенологически, при необходимости выполнялись КТ или МРТ-исследования. Окончательный диагноз устанавливался гистологически.
Рентгенологическая картина фиброзной дисплазии весьма характерная: равномерное вздутие пораженного фрагмента ребра на сравнительно большом протяжении со значительным истончением кортикального слоя кости, внутренний контур которого имел фестончатый вид. Структура кости диффузно разрежена на большом протяжении, имеет очаговый характер, что придает поражению кисто-видный вид. На фоне разряжения могут просматриваться костные перекладины, единичные или множественные, что придает очагу поражения ячеистый вид [1, 4, 8, 9, 13, 16]. Это служит основанием для установления ошибочного диагноза «Гигантоклеточная опухоль», но ни в одном из случаев не было патологического перелома ребра и периостита.
Клинический пример. Больной А., 31 год, поступил в РНПЦ травматологии и ортопедии с диагнозом «хондрома VI ребра слева». Умеренные боли в левой половине грудной клетки отмечал в течение 3 лет. Лечился по месту жительства физиопроцедурами от межреберной невралгии, без эффекта. Диагноз был установлен при флюорографии. При поступлении в нашу клинику отмечал боли на уровне VI ребра слева при пальпации. На
Больной А., 31 год: а - на рентгенограмме видно булавовидное вздутие ребра с очагами уплотнения и разрежения, контуры четкие; б - микрофотограмма: окраска гематоксилином и эозином; ув. х200. Среди волокнистой соединительной ткани видны вновь образованные остеоидные слабо обызвествленные балочки. Клинический диагноз: хондрома, гистологический - фиброзная дисплазия
Больная Н., 16 лет: а - на рентгенограмме видно вздутие ребра с истончением кортикального слоя; б - макропрепарат. Рентгенологический диагноз: фиброзная дисплазия; гистологический - фиброзная дисплазия
рентгенограмме выявлялось опухолевидное образование с четкими контурами (5,0x6,0 см), распространяющееся в грудную полость (рис. 1а). Со стороны внутренних органов патологии не выявлено. Произведена резекция ребра на протяжении 17,5 см, и вместе с опухолью ребро удалено. Послеоперационный период протекал без осложнений. Макропрепарат на продольном распиле: истончение кортикальной кости, полость заполнена
плотной соединительной тканью серо-белого цвета, с трудом отделяющейся от подлежащей кости. Гистологически: опухоль построена из волокнистой соединительной ткани, богатой коллагеновыми волокнами. В ней беспорядочно расположены примитивного строения остеоидные балочки. Остеогенез в различных участках выражен по-разному: в одних участках он представлен единичными остеоидными структурами, в других - густой сетью костных
балочек примитивного строения, что может послужить причиной установления неправильного диагноза остеомы. Гистологический диагноз: фиброзная дисплазия ребра (рис. 1б).
Следует отметить, что отличительной чертой остеогенеза при фиброзной дис-плазии является то, что образованные костные структуры никогда не становятся функционально зрелыми и не приобретают правильной гистоархитектоники, среди фибробластической ткани встречаются островки остеобластической и хрящевой ткани.
Оперативное лечение выполнено у всех 15 наших пациентов. В случаях небольших размеров очага деструкции в боковой части ребра (ниже второго ребра) удаление новообразования путем резекции в пределах здоровых тканей особых трудностей не представляет. Разрез выполняют по ходу пораженного ребра, обнажают его субпериостально, если кортикальный слой не разрушен, обращая особое внимание на нижний отдел, где проходят межреберные сосуды и нерв. Подводят защитники и пересекают ребро, отступая от очага деструкции на 2 см с обеих сторон, затем двумя зажимами (с одного и другого конца) приподнимают конгломерат с новообразованием, отделяют от мягких тканей и удаляют единым блоком.
Клинический пример. Больная Н., 16 лет, поступила в клинику института травматологии и ортопедии с диагнозом «фиброзная дисплазия VIII ребра справа». Заболевание связывает с травмой. За 8 мес. до поступления был ушиб грудной клетки при падении с турникета, спустя 3,5 месяца появилась припухлость в нижней части грудной клетки справа. В момент поступления - грудная клетка асимметрична на уровне 8 ребра, по среднеключичной и передне-подмышечной линиям определяется припухлость костной плотности, размером 4x2,5 см, безболезненная при пальпации, не спаянная с мягкими тканями. На рентгенограмме видно
Схема доступа к стернальному отделу I ребра
Рентгенограмма больного Н., 45 лет. Определяется булавовидное вздутие I ребра с ровными контурами, мягкотканый компонент не выявляется. Клинический диагноз: доброкачественная опухоль стернального отдела I ребра. Гистологический диагноз: фиброзная дисплазия
вздутие ребра протяженностью 6,0 см с истончением кортикального слоя и ячеистым строением (рис. 2а); на компьютерной томограмме - аналогичная картина. Со стороны внутренних органов патологии не выявлено. Клинический диагноз: Фиброзная дисплазия. Сделана пункционная биопсия - она оказалась малоинформативной. Предложена операция -резекция пораженного участка ребра; получено согласие пациентки и ее матери. Под наркозом выполнена резекция VIII ребра вместе с опухолью единым блоком: по ходу ребра рассечены мягкие ткани до кости, постепенно, частично апериостально, частично субпериостально выделена опухоль, которая оказалась спаянной с окружающими тканями, ребро пересечено на 2 см латеральнее очага деструкции, далее выделен неизмененный участок ближе к грудине, и новообразование удалено в пределах здоровых тканей. В процессе операции было значительное кровотечение из мелких сосудов. Выполнен тщательный гемостаз, установлен активный дренаж, рана зашита наглухо. В послеоперационном периоде наблюдался пневмоторакс, который был ликвидирован консервативными методами. Рана зажила первичным натяжением. Морфологический диагноз: Фиброзная дисплазия. Пациентка наблюдалась в течение 15 лет. Клинически здорова, рецидива нет.
Следует отметить, что значительные трудности возникают при резекции верхних трех ребер, особенно первого и второго, в связи с анатомическими особенностями данной локализации [8, 10, 13]. Мы располагаем значительным опытом по резекции ребер с различной локализацией новообразований и их структурой (оперировано 53 пациента), поэтому решили поделиться опытом лечения.
При поражении стернальной части I ребра операция выполняется следующим образом: разрез начинают от нижней трети медиального края т. sternocleidomastoideus и дугообразно ведут книзу, огибая грудино-ключич-ное сочленение до середины ключицы (рис. 3). Отделяют ключичную ножку мышцы от ключицы, осторожно выделяют подключичную вену, артерию и пле-чеголовной ствол, уходящий за грудину, затем мобилизуют заднюю поверхность грудино-ключичного сочленения, пересекают связки, вычленяют стернальный конец ключицы и смещают его книзу и кпереди. Отсекают межреберные мышцы по нижнему краю I ребра, затем хрящ первого ребра - от сочленения с грудиной, продолжают мобилизацию ребра с опухолью до здоровой ткани и удаляют единым блоком, в ложе дефекта после удаления новообразования помещают активный дренаж, ключица фиксируется к грудине трансоссально П-образными лавсановыми швами.
Клинический пример. Больной Н., 45 лет, страдает болями в правом плечевом суставе в течение трех лет, лечился от плечелопаточного периартрита без эффекта. В последние 4 месяца появились боли в правом грудино-ключичном сочленении, затем появилась припухлость, а за последний месяц боли значительно усилились. После консультации онколога пациент направлен в нашу клинику для оперативного лечения с диагнозом «доброкачественная опухоль стернального конца первого ребра». При поступлении: жалобы на боли в области правого грудино-ключичного сочленения, где имеется плотная припухлость. На рентгенограмме определяется булавовидное вздутие стернального конца первого ребра с четкими контурами, размером 3,0x4,0 см, истончением кортикального слоя (рис. 4). Произведена резекция стернального отдела первого ребра на протяжении 5 см, фрагмент удален вместе с опухолью (с предварительным вычленением ключицы из сочленения с грудиной). Гистологический диагноз: фиброзная дисплазия. Послеоперационный период протекал без осложе-нений. Пациент осмотрен через 1,5 года после операции: болей и рецидива новообразования нет, движения в руке без ограничений, работает
по специальности, операцией доволен. На рентгенограмме виден послеоперационный дефект ребра.
В случаях локализации процесса в заднем отделе первого ребра оперативное вмешательство выполняется следующим образом: разрез ведут вдоль медиального края грудино-ключично-сосцевидной мышцы и дальше под ключицей дугообразно продлевают в боковой треугольник шеи, осторожно отсекают мышцы, прикрепляющиеся к ребру, оберегая сосудисто-нервные стволы, их не следует сильно натягивать крючками во избежание пореза руки. Вначале выделяют среднюю часть ребра, затем осторожно подходят к его шейке, остеотомируют латеральнее поперечного отростка I грудного позвонка. После этого проксимальный конец приподнимается и дальше выделяется шейка и головка ребра, пересекаются передние связки сочленения, и ребро вместе с опухолью удаляется. В случаях поражения только головки ребра или небольшого участка заднего отдела его оперативное вмешательство можно с успехом выполнить задним доступом, подобно тому, как выполняется гемиламинэктомия, с несколько большей отслойкой мышц латерально. В заднем отделе ребер агрессивный опухолевый процесс может распространяться на дуги и тела соответствующих позвонков и вызвать неврологическую симптоматику. В подобных случаях необходимо, кроме удаления новообразования, выполнять декомпрессию спинного мозга.
Приведенные примеры иллюстрируют сложности хирургического лечения новообразований верхних трех ребер. В тяжелых случаях целесообразно в бригаду операторов включить онколога или торакального хирурга.
Фиброзная дисплазия ребер встречается реже по сравнению с другой локализацией в трубчатых и плоских костях. Диагностика в раннем периоде затруднительна, необходимо тщательное обследование пациентов с применением современных методов исследования, но основополагающим является рентгенологическое исследование, а морфологическое позволяет уточнить структуру новообразования и агрессивность процесса, определить характер и объем оперативного лечения.
Л И Т Е Р А Т У Р А
1. Андреева В.Ф., Рапис Ю.Л. // Вестн. рентгенологии и радиологии. -1990. - №5/6. - С.136.
2. Берглезов М.А. // Вопросы онкологии. - 1963. -Т.9, №7. - С.63-71.
3. Брайцев В.Р. Фиброзная остеодистрофия. - М., 1947.
4. Виноградова Т.П. К вопросу о сущности фиброзной дисплазии длинных трубчатых костей и о злокачественном превращении ее // Вопросы патологии костной системы. - М.: ЦИТО. - 1957. -С.159-174.
5. Волков М.В., АренбергА.А. // Ортопедия, травматология и протезирование. - 1965. - №3. - С.3-9.
6. Ганжулевич Т.Ф. // Хирургия. - 1964. - №6. -С.80-83.
7. Ден ОА. // Вестник хирургии. - 1931. - Т.24. -С.70-75.
9. Кныш И.Т., Мечев Д.С., Семенова М.С. // Орто-
педия, травматология и протезирование. - 1986. -№9. - С.1.
10. Корж A.A., Моисеева К.Н., Панков ЕЯ Фиброзная дисплазия костной ткани. - Киев: Здоровья, 1971. - 123 с.
11. Лочков A.A. Первичные опухоли ребер, грудины, ключицы, лопатки: автореф. дис. - М., 1974. - 30 с.
12. Рейнберг С.А., Лагунова И.Г. // Хирургия. -1951. - №1. - С.19-26.
13. Черемушкин Е.А. Первичные опухоли ребер и грудины (диагностика и лечение): автореф. дис. . канд. мед. наук. - М.: ВОНЦ, 1991. - 21 с.
14. Цыпкин Б.Н. Фиброзная дисплазия. Клиника, диагностика и лечение костных опухолей. - М., 1961. - С.116-125.
15. Adler C.P., Kozlowski K. Primary bone tumours condition in children. - Springer-Verlag, 1993. - P.61-65, 167-174.
17. Benz С, Sehader K, Daum R. // Chir Pediatr. -1990. - Vol.31, N3. - P.152-156.
18. Kozlowski K, Campbell J, Morris L. // Austr. Radiol. - 1989. - N33. - P.210-212.
19. Vigorita V.J. Orthopedic pathology. - Philadelphia, 2008. - P.319-325.
Поступила 31.01.2014 г.
Спондилодез цилиндрическими кейджами при удалении грыж дисков шейного отдела позвоночника
Саидов С.С., Джуманов К.Н., Юлдашев К.Н., Турабеков Н.Н., Умаров А.Х., Саломов У., Султонов А.
Республиканский научный центр нейрохирургии, Ташкент, Узбекистан
Ташкентская медицинская академия, Узбекистан
Ташкентский педиатрический медицинский институт, Узбекистан
Saidov S.S., Jumanov K.N., Yuldashev K.N., Turabekov N.N., Umarov A.H., Salomov U., Sultonov A.
Republican Scientific Center of Neurosurgery, Tashkent, Uzbekistan Tashkent Medical Academy, Uzbekistan Tashkent Pediatric Medical Institute, Uzbekistan
Spondilodesis with cylindrical cages in discectomy of the cervical spine
Summary. Based on analysis of treatment results of 39 patients with cervical osteochondrosis the immediate treatment outcomes for the period up to 6 months were assessed. In particular, the treatment pattern for patients with cervical osteochondrosis was determined. Specific CT and MRI signs common for this condition were described, and comparison was conducted to choose surgical treatment tactics. It was revealed that the stabilization of the cervical spine after discectomy with cylindrical Cages system is preferable rather than autogenous bone. Keywords: spondilodesis, cylindrical cage, cervical osteochondrosis. Meditsinskie novosti. - 2014. - N7. - P. 64-66.
результатах применения системы типа «цилиндрические кейджи». Эта система использовалась в широкой практике во всем мире для стабилизации позвоночного столба и после дискэктомии на уровне шейного отдела позвоночника. Практика показывает, что системы цилиндрических кейджев проще в использовании и более надежны при стабилизации позвонков для восстановления правильного анатомического соотношения позвонков. Однако эффективность их еще изучена недостаточно [6, 7] . Мы в своей практике использовали цилиндрические кейджи производства НПООО «Медбиотех» (Республика Беларусь.)
Настоящее исследование проводилось с целью улучшения результатов лечения остеохондроза шейного отдела позвоночника путем стабилизации позвоночника цилиндрическими кейджами.
Работа основана на клиническом наблюдении за 39 больными в возрасте от 20 до 72 лет, лечившихся в Республиканском научном центре нейрохирургии (Ташкент, Узбекистан) в период 2011-2013 гг.
Для оценки тяжести состояния больных и определения опороспособности позвонков и состояния спинного мозга и его корешков больным были проведены клинико-неврологическое (39 (100%)), ней-рорентгенологическое (спондилография) (39 (100%)), компьютерно-томографическое (15 (38,5%)) и МР-томографическое (24 (61,5%)) обследования.
Больные с остеохондрозами шейного отдела позвоночника были обследованы по общепринятым методикам. Характер повреждений шейного отдела позвоночника и степень выраженности неврологического дефицита оценивались по шкале Рго!о (1986), в которой были
Фиброзная дисплазия
Фиброзная дисплазия — это заболевание, характеризующееся нарушением развития скелета, при котором нормальная кость замещается фиброзной тканью с элементами диспластически изменённой кости.
Фиброзная дисплазия расценивается как опухолеполобная гиперплазия в одной или одновременно в нескольких костях, которая сопровождается и внескелетными аномалиями.
Терминология
- Фиброзная дисплазия делится на следующие подтипы
- монооссальная ФД — в 70-80% случаях. Чаще в промежутке от 20-30 лет
- краниальная ФД
- черубизм (СЕМЕЙНАЯ ФИБРОЗНАЯ ДИСПЛАЗИЯ ЧЕЛЮСТИ) — неистинная ФД — поражение верхней и нижней челюсти
Эпидемиология
Встречается до 30 лет в 75% случаях, с наибольшей частотой встречаемости в промежутке от 3 до 15 лет. Взаимосвязи с полом нет.
Ассоциация
- Хотя фиброзная дисплазия обычно спорадическая, ряд ассоциаций давно доказаны:
- Синдром МакКьюн-Олбрайт — 2-3% случаях полиостальной формы.
- Изолированная форма с эндокринопатией без Синдром МакКьюн-Олбрайт у девочек — гипертиреоз, гиперпаратиреоз, акромегалия, сахарный диабет.
- Синдром Кушинга: остеопороз, акне, задержка роста
- Синдром Mazabraud: миксомы мягких тканей (редко); обычно множественные внутримышечные поражения в непосредственной близости от наиболее пострадавшей кости
Клиническая картина
- Пациент обращается за помощью, когда
- Появляется асимметрия, например, парных костей или костей лица
- Появляется боль
- Появляются нарушения двигательной функции
- Появляются патологические переломы
![klinika]()
Патология
Макроскопические изменения
- При макроскопическом исследовании определяются беловато-красные опухолевые очаги разной плотности, в зависимости от степени выраженности их минерализации. Имеются многочисленные кисты, заполненные желтоватой или красноватой жидкостью, и полупрозрачные участки хряща до 3 см в диаметре.
![makro]()
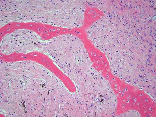
Микроскопические изменения
- Многочисленные остеоидные балки неправильной формы, лежащие в фиброзной ткани с небольшим числом остеобластов. Остеоидные балки представляют собой большей частью волокнистую, но не компактную кость.
- Мелкие участки остеоида могут быть обызвествлены. Известь откладывается, как правило, в центре балки. Имеются многоядерные клетки типа остеокластов, окаймляющие некоторые балки.
- В периферических отделах очаг фиброзной дисплазии без резкого перехода сливается с реактивной костью. Фиброзная строма местами коллагенизирована, кое-где миксоматозна, то богата клеточными элементами, то почти лишена их.
- Фибробласты имеют то крупные овальные, то вытянутые и как бы сморщенные ядра. Между разрастаниями фиброзной ткани и остеоида встречаются островки хряща, обызвествленные по периферии. Принято думать, что такая картина весьма стабильна и сохраняется на протяжении многих лет и у детей, и у взрослых лиц.
- Хрящевые островки присутствуют в 10% случаях, что является отличительной чертой от хондросаркомы
- При ФД нет ободка остеобластов, что позволяет дифференцировать от оссифицирующей фибромы
![mikro]()
Подтипы
- монооссальная ФД — в 70-80% случаях. Чаще в промежутке от 20-30 лет
- полиоссальная ФД — 20-30% случаях. Чаще проявляется до 8 лет
Типичная локализация
![1]()
- Монооссальная ФД
- ребер: 28%, наиболее распространенных 6,7
- проксимальный отдел бедренной кости: 23%
- голень
- черепно-лицевая кость: 10-25% 4
- плечо
- Полиоссальная ФД
- часто односторонних: в пределах одной конечности 6
- бедра: 91%
- голени: 81%
- таз: 78%
- ноги: 73%
- ребра
- черепа и кости лица: 50% 4
- верхняя конечность
- поясничный отдел позвоночника: 14%
- ключица: 10%
- шейный отдел позвоночника: 7%
Радиологические находки
- Рентгенологическая картина фиброзной дисплазии разнообразна.
- Патологические участки могут быть то более плотными, то более прозрачными по сравнению с окружающей костью, иногда имеют вид «матового стекла».
- Одни очаги четко отграничены зоной склероза, контуры других расплывчатые, что особенно характерно для костей черепа.
- Нередко выявляются узуры в кортикальном слое, а при наличии перелома — отчетливая периостальная реакция.
КТ
- затемнение по типу матового стекла: 56% 4
- очаг однородный склеротический: 23%
- очаг кистозный: 21%
- очаг с четко определенными границами
- расширение костей с интактными вышележащими костями
МРТ
- МРТ не является методом 100% в дифференциации фиброзной дисплазии от злокачественных образований
- Т1: неоднородный сигнал, как правило, промежуточный
- Т2: неоднородный сигнал, обычно гипоинтенсивный, но бывает с гиперинтенсивными участками
- Т1 с+ (Gd): гетерогенное контрастирование 4
Ядерная медицина
- Визуализируется увеличение индикаторного поглощения Tc99 при сканирование костей
- (очаги остаются метаболически активными и во взрослой жизни).
![nuklear]()
Осложнения
- Дедифференциация до
- остеосаркомы — наиболее чаще
- фибросаркомы
- злокачественной фиброзной гистиоцитомы
- реже до хондросаркомы
Дифференциальный диагноз
- Болезнь Педжета
- гистологически мозаичные включения в костях
- радиографическимогут быть схожи
- Нейрофиброматоз 1 типа
- Остеофиброзная дисплазия
- Не-оссифицирующая фиброма
- Гигантско-клеточная опухоль
Клинические случаи
Этот 23-летний мужчина упомянул, чтобы была травма и теперь жалуется на боль и отек левой голени.
Этот 33-летний мужчина жалуется на невыносимые головные боли.
Источник
4. Chong VF, Khoo JB, Fan YF. Fibrous dysplasia involving the base of the skull. AJR Am J Roentgenol. 2002;178 (3): 717-20. AJR Am J Roentgenol (full text) — Pubmed citation
5. Brown EW, Megerian CA, Mckenna MJ et-al. Fibrous dysplasia of the temporal bone: imaging findings. AJR Am J Roentgenol. 1995;164 (3): 679-82. AJR Am J Roentgenol (abstract) — Pubmed citation
6. Fitzpatrick KA, Taljanovic MS, Speer DP et-al. Imaging findings of fibrous dysplasia with histopathologic and intraoperative correlation. AJR Am J Roentgenol. 2004;182 (6): 1389-98. AJR Am J Roentgenol (full text) — Pubmed citation
7. Kransdorf MJ, Murphey MD. Diagnosis please. Case 12: Mazabraud syndrome. Radiology. 1999;212 (1): 129-32. Radiology (full text) — Pubmed citation
98. Maramattom BV. Leontiasis ossea and post traumatic cervical cord contusion in polyostotic fibrous dysplasia. Head & Face Medicine. 2006;2 (1): 24. doi:10.1186/1746-160X-2-24 — Free text at pubmed — Pubmed citation
9. Larheim TA, Westesson P. Maxillofacial Imaging. Springer Verlag. (2008) ISBN:3540786856. Read it at Google Books — Find it at Amazon
killЧитайте также:
- монооссальная ФД — в 70-80% случаях. Чаще в промежутке от 20-30 лет





