Узелковый внутрисуставной синовит - лучевая диагностика
Добавил пользователь Евгений Кузнецов Обновлено: 17.12.2025
Синовит коленного сустава (КС) – недуг, который характеризуется развитием воспалительного процесса в синовиальной мембране и сопровождается скоплением жидкости. Заболевание достаточно серьезное и доставляет пациенту множество неудобств и болевых ощущений.
Виды заболевания
Синовиты делят на две большие группы – неинфекционные и инфекционные. Среди неинфекционных можно выделить:
- травматический: обусловленный чрезмерными физическими нагрузками и травмами при занятии спортом;
- аллергический: вызванный приемом медицинских препаратов, экзотических фруктов или любым другим контактом с аллергеном (пыльцой растений, шерстью животных);
- нейрогенный: возникает из-за сильного стресса или неврологических болезней;
- эндокринный – спровоцирован эндокринологическими патологиями (сахарный диабет).
Инфекционный синовит может быть вызван патогенными микроорганизмами, провоцирующих воспаление в синовиальной мембране с распространением на мягкие ткани. Он также может стать результатом осложнения гнойно-воспалительного процесса, уже имеющегося в организме.
В зависимости от характера течения, выделяют острую форму, которая развивается стремительно, и хроническую, с постепенно нарастающими симптомами.
При остром синовите можно наблюдать изменение формы сустава, он увеличивается в объеме буквально за несколько часов или суток, появляется отек и утолщение синовиальной оболочки. Для острого синовита характерны:
- умеренное повышение температуры тела;
- болезненность при пальпации;
- появление в суставной полости прозрачной или полупрозрачной жидкости.
Человек чувствует ноющую и распирающую боль, слабость и недомогание. Движения в суставе ограничены.
При хроническом синовите клинические симптомы выражены слабо. Больной может жаловаться на усталость, быструю утомляемость во время ходьбы, ноющую боль, которая имеет постоянный характер, и незначительный дискомфорт при движении. При этом происходит нарушение всех обменных процессов и кровообращения.
Основные симптомы
При синовите чаще всего поражается только один сустав, но иногда болезнь носит и множественный характер.
Главными симптомами синовита можно считать:
- увеличение в объеме и сглаживание контуров сустава;
- болевые ощущения при нагрузке;
- выраженный отек мягких тканей;
- затрудненные движения;
- кожную гиперемию;
- озноб и общее недомогание.
Если говорить об инфекционном синовите, то он практически всегда начинается остро: пациент чувствует сильную пульсирующую боль, а температура тела резко поднимается. Через некоторое время коленный сустав отекает, появляются признаки общей интоксикации организма: слабость, сонливость, головная боль, тошнота и даже рвота.
Неинфекционная форма развивается достаточно медленно. Сначала воспаляется синовиальная мембрана, которая выстилает суставную сумку изнутри, а также продуцирует синовиальную жидкость (синовию). Первый признак – ощущение дискомфорта в области пораженного коленного сустава, а также боль при нагрузке. Постепенно появляются отеки, а болезненные ощущения нарастают.
Если обнаружили у себя такие симптомы, то не занимайтесь самолечением, а срочно записывайтесь к врачу.
Методы диагностики
Для выявления причины патологии и точной постановки диагноза, необходимо провести комплексную диагностику. После сбора анамнеза и систематизирования полученных данных о жалобах пациента и перенесенных заболеваниях, проводится визуальный осмотр. При этом выполняется пальпация поврежденного колена, анализируются походка и возможность больного разгибать сустав. Пациенту предлагают сделать:
- Пункцию. При этом врач-хирург обезболивает, а затем прокалывает тонкой иголкой суставную полость, выполняя забор синовии. При лабораторном анализе обращают внимание на цвет, прозрачность и вязкость жидкости. Далее ее подвергают микроскопическому и цитологическому исследованию, чтобы установить причину воспаления. Полученные результаты дают возможность выбрать правильную тактику лечения.
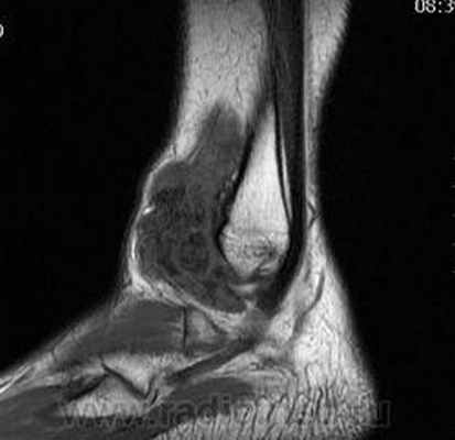
- МРТ. С помощью данного метода можно увидеть строение синовиальной мембраны. При наличии жидкости аппарат позволяет оценить ее количество. Благодаря МРТ, специалист получит подробное описание функциональности сочленения, а также информацию о состоянии окружающих тканей, сосудов, нервных волокон.
- УЗИ. Используется для визуализации изменения толщины воспаленной синовиальной оболочки. Это один из признаков активности синовита. При этом есть возможность детально рассмотреть структуру мягких тканей и обнаружить патологический процесс на ранней стадии.
- Артроскопию. Эта лечебно-диагностическая процедура дает возможность исследовать пораженный КС, дифференцировать характер поражения, а также изучить рельеф синовиальной мембраны на всем ее протяжении.
На основании этих данных специалист определяют диагноз, уточняет форму и степень развития заболевания и назначает лечение.
Как лечить?
Существуют два основных метода лечения синовита коленного сустава – консервативный и хирургический. Только врач может решить, какую методику выбрать в каждом отдельном случае – в зависимости от сложности повреждения, а также характера вторичных внутрисуставных изменений.
Консервативное лечение заключается:
- в проведении пункции с эвакуацией скопившейся жидкости;
- наложении давящей повязки или гипсовой шины на больной участок, а также обеспечении иммобилизации сустава;
- назначении курса лечения медикаментозными препаратами с учетом особенностей клинических проявлений и результатов исследования синовии;
- прохождении физиотерапевтических процедур: магнитотерапии, УВЧ, электростимуляции, электрофореза и т.д.
При рецидиве назначают нестероидные противовоспалительные препараты, кортикостероиды, витамины группы В, антибактериальные препараты (в виде таблеток или уколов), а также физиотерапию. Комплексное лечение острой формы чаще всего предотвращает развитие хронической.
Если консервативное лечение не принесло должного результата и есть необратимые изменения в синовиальной мембране, то показано оперативное вмешательство: частичная, субтотальная или тотальная синовэктомия. При этом патологически измененную оболочку иссекают, а нехватку утраченной ткани восполняют протезами.
Операцию нужно рассматривать как первый этап лечения, после которого должен быть назначен полноценный курс медикаментозной противовоспалительной терапии. Реабилитация после оперативного вмешательства занимает от одной недели до двух.
Если пренебрежительно отнестись к своему здоровью и не лечить заболевание, то это грозит такими серьезными осложнениями, как:
- флегмона – острая бактериальная инфекция;
- артрит – воспаление мягких тканей коленного сустава;
- сепсис – заражение крови.
Чтобы как можно скорее решить проблему с суставом и вылечить воспаление, следует обратиться за помощью к специалисту, который подберет для вас правильное лечение.
Клиническая ревматологическая больница №25
Упоминание о подагре встречается в рукописях, сохранившихся со времён Гиппократа. По современным представлениям, подагра является хроническим заболеванием, связанным с нарушением пуринового обмена, вследствие чего в крови повышается содержание мочевой кислоты, а в тканях откладываются соли этой кислоты – ураты. Основные клинические проявления подагры связаны с развитием подагрического артрита и формированием подагрических узлов (тофусов). Существенное значение в клинической картине подагрического артрита имеет поражение почек, которые являются органами-мишенями при нарушении пуринового обмена. Степень поражения почек в большинстве случаев определяет судьбу больного
Предрасположенность к подагре
Подагра достаточно часто встречающееся заболевание. Заболеваемость подагрой составляет примерно 0,2-0,35 случаев на 1000 населения. Чаще всего заболевание развивается у мужчин в возрасте после 40 лет. У женщин, подагра возникает, как правило, при наступлении менопаузы. У представителей обоих полов приступы подагры могут проявляться и в более раннем возрасте.
Предрасположенность к подагре часто бывает обусловлена генетически. Однако возникновение нарушений пуринового обмена может быть спровоцировано неправильным питанием, злоупотреблением алкоголем, малоподвижным образом жизни, чрезмерными физическими перенагрузками. Развитию тофусов способствуют травмы суставов — именно здесь отложения кристаллов мочевой кислоты скапливаются в первую очередь.
Профилактика подагры
Основным средством профилактики подагры является диета. В первую очередь в рационе необходимо уменьшить количество пищи, при переваривании которой образуется большое количество мочевой кислоты. Полноценная по калорийности диета с ограничением животных жиров, поваренной соли, сниженным количеством белка. Употреблять больше жидкости (более 1.5-2 литра/сут.), выпивать перед сном 1 стакан жидкости. Не голодать. Исключить: жирное, жареное мясо, особенно молодых животных (цыплята, телятина), жирную рыбу, бульоны, субпродукты (печень, почки, язык, мозги), сало, консервы, бобовые, алкоголь.Ограничить: грибы, томаты, салат, щавель, шпинат, ревень, цветную капусту, брюкву, редис, малину, шоколад, чай, кофе, какао.
Можно: отварное мясо (говядина), кура или рыба 150г не более 2-3 р. в неделю, яйца (1-2 шт. 2-3 р. в нед.), молочные продукты, неострый сыр, овощи (кроме перечисленных и маринованных), крупы, фрукты и ягоды, щелочные минеральные воды, соки. Разгрузочные дни 1-2 раза в неделю: (творожные - 500г/сут., кефирные - 1,2л/сут., молочные- 1,2л/сут., фруктовые- 1,5 кг яблок или мякоти арбуза или бананов).
Диагностика подагры.
Критерии диагностики подагры
- Наличие характерных кристаллических уратов в суставной жидкости.
- Наличие тофусов (образования, локализующиеся в подкожной жировой клетчатке), содержащих кристаллические ураты, подтвержденные химически или поляризационной микроскопией.
- Наличие как минимум 6 из 12 ниже представленных признаков:
- более чем одна острая атака артрита в анамнезе;
- максимум воспаления сустава уже в первые сутки;
- моноартикулярный характер артрита;
- покраснение кожи над пораженным суставом;
- припухание или боль, локализованные в I плюсне-фаланговом суставе;
- одностороннее поражение суставов свода стопы;
- узелковые образования, напоминающие тофусы;
- гиперурикемия (повышение уровня мочевой кислоты);
- одностороннее поражение I плюснефалангового сустава;
- асимметричное припухание пораженного сустава;
- обнаружение на рентгенограммах субкортикальных кист без эрозий;
- отсутствие флоры в суставной жидкости.
- Для постановки диагноза достаточно получить положительный ответ на один из трех пунктов: A, B, C.
- Наиболее типичным при подагрическом артрите является поражение первого сустава большого пальца ноги в месте соединения пальца со стопой. Заболевание проявляется как приступ артрита, с острой болью, преимущественно в ночное время или утренние часы. Часто он сопровождается повышением температуры, ознобом. Палец опухает, его кожный покров в этот момент приобретает красный, а иногда багрово-фиолетовый оттенок. Прикосновение к нему вызывает острую боль. Дебют подагрического артрита с поражения других суставов наблюдается значительно реже (в основном, у людей пожилого возраста) в связи с чем иногда возникает необходимость проведения дифференциальной диагностики с другими воспалительным артропатиями.
Лечение подагры.
В лечении подагры можно выделить 3 основные задачи:
- завершить острый приступ и предотвратить его рецидив;
- предотвратить или снизить проявления хронической подагры;
- профилактировать поражение внутренних органов.
Для профилактики подагрического артрита у лиц с зафиксированной гиперурикемией (повышенное содержание мочевой кислоты в крови) необходимо:
- Соблюдать диету с пониженным содержанием пуринов.
- Курсовой приём энтеросорбентов.
- Обязательное диспансерное наблюдение
с контролем уровня мочевой кислоты.
Диета больных подагрой должна быть бедной пуринами, что позволяет в некоторой мере ограничить приём медикаментозных средств. Бульоны и соусы исключаются, ограничивается употребление мяса (любого, в т. ч. птицы), томатов, фасоли, гороха, чечевицы, шпината. Потребность в белках обеспечивается за счёт сыра, яиц, молока. Значительно снижает содержание уратов в плазме ограничение приёма алкогольных напитков.
Во время активного воспалительного процесса при необходимости проводят внутрисуставные или периартикулярные иньекции глюкокортикостероидов, которые отличаются друг от друга быстротой наступления эффекта и сроком действия противовоспалительного эффекта. В основном проводят иньекции в крупные суставы, однако иногда при выраженном моноартрите возможно введение гормональных препаратов в мелкие суставы кистей и стоп. Перед внутрисуставным введением важно убедиться в отсутствии бактериального артрита. После внутрисуставных иньекций следует избегать нагрузки на пораженный сустав, как минимум в течение суток. Необоснованное назначение внутрисуставных иньекций может усугубить повреждения в суставе, поэтому решение о проведении данной процедуры должно приниматься только после консультации ревматолога.
При лечении приступов подагры широко применяется плазмаферез. Это метод очистки крови с помощью специальной установки. При плазмаферезе у пациента забирается порция крови и разделяется на плазму и форменные элементы, которые возвращаются в кровь обратно, а плазма, содержащая токсические вещества удаляется. Плазмаферез позволяет уменьшить в крови уровень мочевой кислоты и снизить лабораторную активность заболевания. Показанием к плазмаферезу являются артриты и воспаление околосуставных мягких тканей, внутренние воспалительные изменения, острый приступ, высокий уровень мочевой кислоты в крови. Курс плазмафереза позволяет снять воспалительный процесс суставов, способствует рассасыванию тофусов.
Помимо плазмафереза при лечении острых приступов подагры используются физиотерапевтические методы лечения: УФ-облучение в эритемных дозах для снятия болей, низкоинтенсивная УВЧ-терапия, сантиметроволновая терапия, высокочастотная магнитотерапия, ДМВ-терапия на надпочечники для снятия воспаления.
Вторичная подагра развивается на фоне ряда заболеваний:
- Почечная недостаточность
- Онкопатология
- Заболевания крови и другие болезни может развиться вторичная подагра.
В этих случая профилактическими мероприятиями являются
- соблюдение диеты с пониженным содержанием пуринов
- курсовой приём энтеросорбентов
- приём поддерживающей дозы аллопуринола (100 mg)
Лечение острого приступа подагры.
Для леченияострого приступа подагры широко применяются известные всем нестероидные противовоспалительные препараты (НПВП), которые имеют ряд преимуществ:
- Низкая частота побочных явлений
- Возможность замены другими препаратами
- Быстрый эффект
- Хорошая переносимость
Препараты группы НПВП (нимесулид, мелоксикам, целекоксиб) широко применяются и при хронической подагре. Очень эффективен порой препарат сочетанного действия – алломарон (уже на второй неделе приёма баланс мочевой кислоты приближается к нормальным величинам. В настоящее время в лечении подагры широко используются методы экстракорпоральной гемокоррекции (ЭГ), более эффективные в отношении «очистки крови» от различных шлаков и токсичеких веществ. Благодаря их применению из организма больного выводятся патологические субстанции, чем значительно снижается тяжесть течения подагры; уменьшается выраженность суставного синдрома, улучшаются показатели функции почек, иммунологические характеристики.
Для предотвращения повторных приступов подагрического артрита необходимо добиться снижения уровня в плазме мочевой кислоты, для этого применяется две группы лекарственных веществ: препараты, способствующие выведению мочевой кислоты почками (урокозурические) и препараты, снижающие её синтез (урикодепрессивные)
Таким образом, снижению тяжести течения подагры и подагрического артрита способствует соблюдение диеты, регулярный приём базисных препаратов (урикозурических, урикодепрессивных), по необходимости – НПВП, а также проведение курсов ЭГ с интервалами 6-8 месяцев
Одним из вспомогательных методов лечения подагры является ГИРУДОТЕРАПИЯ - лечение пиявками, особенно если пациенту противопоказана физиотерапия.
По нашим наблюдениям подагрой, как правило, страдают добрые и умные люди; и эта закономерность требует дальнейшего изучения.
Ревматологическое отделение

Ревматологическое отделение предназначено для оказания высококвалифицированной специализированной лечебно-диагностической помощи больным ревматологического профиля.
В отделении проходят лечение и обследование больные из всех городов и районов республики с различными системными заболеваниями и заболеваниями суставов. Госпитализация в отделение проводится в плановом порядке через Консультативную Поликлинику РКБ, в экстренном порядке – по линии санитарной авиации.
• Анкилозирующий спондилит (болезнь Бехтерева), спондилоартриты
• Подагра, подагрический артрит
• Системная красная волчанка.
• Системные васкулиты (узелковый полиартериит, Гранулематоз Вегенера, микроскопический полиартериит, Неспецифический аортоартериит, Болезнь Хортона, болезнь Винивартера-Бюргера и другие)
• Ювенильный хронический артрит
• Болезнь и синдром Шегрена
• Смешанное заболевание соединительной ткани
• Идиопатические воспалительные миопатии (дерматомиозит, полимиозит)
• Ревматическая полимиалгия и фибромиалгия
• Острая ревматическая лихорадка
В отделении проводится:
• Диагностика и лечение больных с заболеваниями суставов.
• Диагностика и лечение больных с системными заболеваниями соединительной ткани.
• Диагностика и лечение больных с системными васкулитами.
• Диагностика и лечение больных с лихорадкой неясного генеза, синдромом ускоренного СОЭ.
• Отбор и подготовка больных для оказания высокотехнологичной помощи, протезирования суставов.
Для комплексного обследования больных используются методы диагностического обследования:
• Лабораторные исследования, в том числе современные иммунологические тесты.
• Функциональные методы исследования (эхокардиография, ультразвуковая допплерография сосудов, ультразвуковое обследование внутренних органов и суставов);
• Лучевая диагностика (включая рентгеновскую компьютерную томографию и магнитно-резонансную томографию для выявления ранних признаков артритов);
• Контрастные ангиографические методы (включая коронарографию, артериографию);
• Биопсия кожно-мышечного лоскута
• Диагностические пункции суставов
• Современные медикаментозные схемы лечения, в том числе программная пульс терапия.
• Лечение биологическими агентами
• Внутрисуставные лечебные пункции
• Современные методы физиолечения и лечебной физкультуры
Отделение организует свою работу совместно с кафедрой госпитальной терапии КГМУ (зав. кафедрой – д.м.н. Абдулганиева Д.И.). Широкие диагностические возможности больницы, совместная работа врачей и сотрудников кафедры госпитальной терапии КГМУ позволяют решать самые сложные вопросы диагностики и лечения. На базе отделения проводится апробация и внедрение новых технологий в диагностике и лечении ревматических болезней.
Отделение работает в тесном контакте с учреждением РАМН НИИ Ревматологии имени В.А. Насоновой, проводятся консультации по Интернету, видеоконференции. Врачи отделения принимают активное участие в работе всероссийских съездов ревматологов, конференций с тезисами и докладами.
Внедрены новые методики обследования и лечения:
• антицитокиновая терапия, терапия генно-инженерными биологическими препаратами
• использование для оценки активности заболевания, качества жизни, контроля терапии современных
индексов (DAS28, BASDAI, BASFI, ASDAS, SLEDAI 2K, HAQ, кожный счет при склеродермии и других).
• создан регистр больных регистр больных ревматическими заболеваниями.
КСС. Синовит пигментный виллёзонодулярный 3. +
Пигментный виллёзонодулярный синовит - редкое заболевание с доброкачественным течением, характеризующееся пролиферативными изменениями синовиальной оболочки, отложением гемосидерина, образованием ворсинок, паннуса. Две разновидности: виллёзонодулярный бурсит и виллёзонодулярный тендосиновит. Частота - 2 на I 000 000. Преобладающий возраст • Виллёзонодулярный бурсит - 30-40 лет • Виллёзонодулярный тендосиновит -50-60 лет. Преобладающий пол - женский. Этиология. В 30% случаев развитию синовита предшествует травма сустава. Патоморфология. Пролиферация клеток синовиальных оболочек с образованием узлов, содержащих клеточный инфильтрат из фибробластов, лимфоцитов, макрофагов с жировыми включениями. Клиническая картина • Виллёзонодулярный бурсит -моноартрит. Чаще всего (80% случаев) поражается коленный сустав, реже - (с убывающей частотой) тазобедренный, голеностопный и плечевой суставы • Виллёзонодулярный тендосиновит - образование узелков в мышечных сухожилиях и связках сустава. Лабораторные исследования • Увеличение СОЭ • Синовиальная жидкость ксантохромная, с примесью крови • Биопсия синовиальной оболочки: узловая пролиферация, гемосидероз, инфильтрация мононуклеарными клетками. Рентгенологическое исследование • Остеопороз и наличие остеофитов нехарактерны • Артропневмография: множественные округлые дефекты наполнения синовиальной полости, обусловленные наличием узлов или гипертрофированных ворсинок синовиальной оболочки • МРТ - выявление гемосидерина и жировых включений. Артроскопия • Суставной хрящ приобретает коричневую окраску вследствие гемосидероза • Различной величины узлы коричневого цвета. Дифференциальный диагноз • Виллёзонодулярный бурсит • Липома - в аспиратах отсутствует ксантохромная жидкость • Остеоартроз - кисты возникают только на суставных поверхностях, подвергающихся нагрузке, тогда как при пигментном виллёзонодулярном синовите они образуются на всех суставных поверхностях. Остеофи-ты, напротив, более типичны для остеоартроза • Воспалительные арт-ропатии, дебютирующие моноартритом, - ревматоидный артрит, туберкулёзный артрит, анкилозирующий спондилоартрит и др. • Виллёзонодулярный тендосиновит - панглии (околосухожильные кисты): аспираты ганглиев содержат гелеподобную жидкость. Лечение хирургическое • Виллёзонодулярный бурсит • Тотальное иссечение синовиальной оболочки, вероятность рецидива заболевания составляет 25-40% • Лучевая терапия • Виллёзонодулярный тендосиновит - иссечение кист. Синоним. Синовит геморрагический МКБ. М12.2 Ворсинчато-узелковый (виллонодулярный) синовит (пигментный)





Sumer's Radiology Site



- Пигментный виллезонодулярный синовит - заболевание, которому свойственно развитие в молодом возрасте.
- Опухолевая форма ПВУС является разновидностью клинического течения заболевания.
- Для опухолевой формы ПВУС характерно появление плотной бугристой опухоли, которая сопровождается усилением венозного рисунка кожи, более выраженным контрастированием сосудов в капиллярной фазе, наличием очагов обызвествления в мягкотканом компоненте, анемией, снижением трудоспособности и массы тела (как при истинных опухолях).
- Артроскопическая диагностика виллезонодулярного синовита является малоинвазивной, недостаточно информативной методикой исследования.
Гелозутдинов Б.Е., Боев Н.А., Полляк Н.А.
Городская клиническая больница № 9, г. Челябинск
Морфологические данные.
При вскрытии полости сустава у больных с диффузной формой поражения изливается красно-бурая жидкость; синовиальная оболочка резко утолщенная, имеет такой же красно-бурый интенсивный цвет и сплошь покрыта ворсинками и узелковыми разрастаниями различной длины, вследствие чего поверхность выглядит неровной. В тех местах, где толщина разрастаний достигает 1 - 1,5 см, внутренняя поверхность имеет бахромчатый вид, кое-где встречается разрастание на ножке диаметром несколько сантиметров. Обилие ксантомных клеток придает разрастаниям желтоватый цвет. Такая резко измененная синовиальная оболочка распространяется до линии суставного хряща, кое-где не имея с ним четкой границы или отслаивая его. Такие же разрастания окружают боковые и крестообразные связки коленного сустава, располагаются под мениском или вокруг круглой связки тазобедренного сустава. Патологически измененная ткань проходит в отверстия в кортикальном слое для питающих сосудов, резко их расширяя, но в спонгиозной части кости образуя «пещеры» иногда значительных размеров. Патологическая ткань может проникнуть и в сообщающиеся с суставом слизистые сумки или, проходя вдоль питающего сосуда, достичь магистральных подколенных сосудов. Фиброзная капсула часто бывает истончена, но структура ее не изменена.
Микроскопическая картина.
Как отметила В.Н.Павлова (1952, 1965), вся поверхность патологически измененной синовиальной оболочки покрыта слоем покровных клеток, несколько более крупных, чем в норме, которые иногда образовывали пласты и содержали глыбки гемосидерина. Вся патологическая ткань очень хорошо (вернее патологически) васкуляризована. Т.П.Виноградова (1976) наблюдала большое разнообразие клеток: полиэдрических, лимфоидных, фибробластических, гистиоцитарных, макрофагальных. Многоядерные гигантские клетки, пенистые, содержащие липиды, образуют крупные скопления. Гемосидерин откладывается как внутри клеток, так и внеклеточно. В этой патологической ткани встречаются щели, которые, вероятно, образуются из-за погружения части покровных клеток в неравномерно разрастающуюся патологическую ткань. Патогенез ПВУС неясен. Одни авторы относят его к воспалительным, гранулематозным, дистрофическим процессам, другие считают его следствием местного нарушения липидного обмена, в основе которого, по нашему мнению, лежат какие-то диспластические и ферментативные нарушения.
МУЛЬТИДИСЦИПЛИНАРНЫЙ ПОДХОД ПРИ СИНДРОМЕ ХРОНИЧЕСКОГО СИНОВИТА КОЛЕННОГО СУСТАВА
М.Ю.Каримов, Р.Р.Якубджанов, E.Б.Гулямов
Ташкентская медицинская академия, Узбекистан.
В статье анализируется мультидисциплинарный подход при хроническом синовите коленного сустава (СХС) у 588 больных. Разработанный алгоритм дифференцированного подхода позволяет этиопатогенетической подход к артроскопии и синовкапсулэктомии коленного сустава.
Ключевые слова: Коленный сустав, хронический синовит, артроскопия, синокапсулэктомия.
Diz oynağının xroniki synoviti sindromuna çoxistiqamətli yanaşma
M.Y.Kərimov, R.R. Yaqubcanov, E.B. Qulamov
Daşkənt Tibb Akademiyası, Özbəkistan
Məqalədə xroniki sinovit sindromu (XCC) olan 588 xəstə multidisiplinar yanaşma əsasında təhlil edilir. Yaradılmış fərqli yanaşma alqoritmi diz ortağında artroskopiyaya və sinovocapsevelopomiyaya etiyopatogenetik əsaslarla yanaşmağa imkan verir.
Açar sözlər: Diz oynağı, xroniki sinovit, artroskopiya, sinovokapsulaktomiya.
Multidisciplinary approach with the syndrome of chronic synovitis knee
M.Yu. Karimov, R.R. Yakubjanov, Y.B. Gulyamov
Tashkent Medical Academy, Uzbekistan
The article analyzes a multidisciplinary approach in chronic synovitis of the knee joint (CS) in 588 patients. The developed algorithm of the differentiated approach allows to approach the etiopathogenetic arthroscopy and synovcapsulectomy of the knee joint.
Key words: knee joint, chronic synovitis, arthroscopy, synovocapsulectomy.
Синдром хронического синовита (СХС) коленного сустава – достаточно частая, но, тем не менее, недостаточно изученная патология, как в этиологическом, так и в патогенетическом аспекте [1, 8]. Однако, СХС проявляется значительной вариабельностью вызывающих его причин, а также сложностью дифференциальной диагностики 2. С развитием артроскопии появились возможности изучения полости коленного сустава при СХС. Описания артроскопической картины артритов представлены в литературе немногочисленно. Монография, выпущенная В. В. Лялиной и А. Б. Шехтером “Артроскопия и морфология синовитов” (2007) является единственным руководством для изучения СХС. Однако, биохимия синовиальной жидкости, вопросы дифференциальной диагностики, показания к хирургическому лечению отсутствуют. Экссудативный компонент воспаления не столь ощутим для больного, как болевой синдром, но имеет исключительное значение как объективный показатель активности синовита. Именно эта группа больных в основном подвержена лечению необоснованным, многократным локальным введением гормональных и других средств [5]. Финалом необоснованных частых внутрисуставных инъекций глюкокортикостероидов является артропатия, гнойно-септические осложнения и т. д. Только пункция, введение стероидных препаратов, свело на нет прогресс по улучшению диагностики и результатов лечение СХС коленного сустава.
Наши клинические наблюдения подтверждают, что практические врачи испытывают значительные трудности в диагностике СХС. Наблюдение показывает что, большинство клинических случаев лечения СХС сводится к многократным внутрисуставным инъекциям глюкокортикостероидов без объективных методов исследования. При этом наиболее часто не анализируется общесоматический статус пациента (сахарный диабет, гипертоническая болезнь и др.), дифференциальная диагностика синовиальной среды суставов не проводится [6, 7]. Только на основании такого анализа представляется возможным патогенетический обоснованный выбор методов хирургического лечения.
Цель исследования – объективная верификация синдрома хронического синовита коленного сустава и улучшение результатов хирургического лечения, путем разработанного мультидисциплинарного подхода.
Материалы и методы
По данным нашей клиники, за период с 2003 по 2017 г. обследовано 588 больных с СХС коленного сустава разной этиологии (табл. 1). Женщин было 123 (20,5%), мужчин – 465 (79,5%), средний возраст составлял – 41,5 года.
Обследование больных проведено на основании клинико-диагностического алгоритма, суть которого сводится к следующему:
- тщательному сбору анамнеза;
- определению боли в коленном суставе по визуально аналоговой шкале боли (ВАШ);
- клиническому исследованию;
- определению сахара крови; • мануальному тестированию мышц по Ловету;
- гониометрии; • определению окружности сустава;
- определению кожной температуры коленного сустава;
- лучевой диагностике (RÖ, МРТ);
- пункции сустава;
- определению биохимии синовиальной жидкости и крови:
- малонового диальдегида;
- активности ферментов супероксиддисмутазы;
- каталазы;
- перекисного окисления липидов;
- иммуноферментных анализов синовиальной жидкости и крови на torch-инфекцию;
- определению ревмафакторов крови и синовиальной жидкости;
- полимерно-цепной реакции (ПЦР) синовиальной жидкости и крови для определения туберкулеза и бруцеллеза;
- морфологии синовиальной оболочки.
![]()
Примечание. *Urpl – уреаплазма, Hl – хламидия.
При упорном синовите из-за неэффективной консервативной терапии СХС 230 (39,11%) больным произведена синовкапсулэктомия коленного сустава.Виды хирургических вмешательств при СХС коленного сустава разной этиологии.
![]()
Отдаленные результаты у больных, лечившихся в нашей клинике, изучены от 6 мес. до 7 лет у 526 (90,5%) человек. У пациентов с СХС преобладала урогенная этиология (Urpl – уреаплазма, Hl – хламидия) и ревматоидный артрит.
Давность СХС у больных составляла с:
– урогенной патологией – от 8 до 11 месяцев;
– ревматоидным артритом – от 6 до 10 месяцев;
– туберкулезом и бруцеллезом – от 6 месяцев до 13 месяцев;
– ДОА и менископатией – от 6 месяцев до 2 лет;
– пигментно_ворсинчатым узелковым синовитом
(ПВУС) коленного сустава – от 6 до 15 месяцев.
Эти данные вновь подтверждают, что мультидисциплинарный подход
к диагностике и тактике лечения больных СХС коленного сустава не разработана.
Основными клиническими признаками активности хронического воспаления синовиальной оболочки являлись артралгия и припухлость пораженного сустава.
При уточнении анамнеза больных обратили внимание на следующие моменты течения заболевания. Все больные до обращения к нам лечились у разных специалистов: терапевтов, ревматологов, хирургов, даже у табибов (знахари). Основной вид помощи – эвакуация синовиальной жидкости и многократное (от 5 до 30 раз с интервалом 3-4 дня) введение кортикостероидов (гидрокортизон, кеналог, дипроспан). Одному больному внутрисуставно было введено 40 (сорок!) раз кеналога с интервалом в 3 дня. У 5 больных развился гнойный гонит. Из-за распространения гнойного процесса в голень и проксимальный отдел бедра одной больной произведено ампутацию бедра на уровне верхней трети (позже выяснилось, что она страдала сахарным диабетом). Однако, развившийся септический процесс стал причиной летального исхода.
Артроскопия
Лечебно-диагностическая артроскопия проводилась видеоартроскопом “Karl Storz” , 588 больным (589 коленных сустава).
Анестезия – местная или перидуральная.- Больным СХС урогенной этиологии (84 чел. 66,1%) была выполнена лечебно_диагностическая артроскопия, но и к артроскопии, и к медикаментозному лечению оказались резистентными 43 (51,2%) больных. Им произведена операция – синовкапсулэктомия коленного сустава.
Больным СХС с ревматоидным артритом (120 чел.) была выполнена лечебно_диагностическая артроскопия коленного сустава. При неэффективности локальных внутрисуставных инъекций НПВП и выполненной артроскопии через 6 мес. 62 (51,7%) больным на фоне базисной и противовоспалительной терапии выполнена синовкапсулэктомия коленных суставов. У 31 больного СХС артроскопически установлена менископатия. После удаления мениска симптомы хронического синовита прекратились. Деформирующий остеоартроз коленных суставов в 32 случаях был причиной СХС. После лечебно-диагностической артроскопии, на фоне медикаментозной коррекции, скопление синовиальной жидкости не наблюдалось до 2,8 лет. Туберкулез и бруцеллез диагностирован в 15 и 12 случаях, соответственно. Диагностика производилась на основании общепринятых методов исследования (реакция Манту и Райт-Хеддельсона) и полимерно-цепной реакции (ПЦР). Этой группе больных выполнена диагностическая артроскопия. В последующем больные направлены в профильные учреждения.
Результаты и их обсуждение артроскопии позволила дифференцировать характер поражения суставов у больных со сходной клинической картиной заболевания [9, 10], возможность изучить рельеф синовиальной оболочки на всем ее протяжении. В зависимости от давности синовита и особенностей его развития в данном суставе изменения синовиальной оболочки варьировали в очень широких пределах. Развитие воспалительного процесса в большинстве наблюдений сопровождалось ее утолщением, появлением гиперемии, пролиферации ворсин, образованием на ее поверхности фибриновых сгустков. Следует отметить, что одним из наиболее значимых параметров развития СХС может быть степень увеличения объема поражения синовиальной оболочки (СО), показателем который является выраженность ворсинчатой пролиферации [11]. Недостаточная эффективность внутрисуставных инъекций НПВП во многих случаях определялась относительной стойкостью к действию глюкокортикостероидов в результате значительного количества провоспалительных цитокинов в очаге воспаления [12]. В последующем нежная синовиальная оболочка трансформируется в довольно мощный тканевой массив (рис. 1).
![]()
Рис. 1. Выраженная ворсинчатая пролиферация, синовиальная оболочка превратилась в мощный тканевой массив. В суставе формируются пролиферативные изменения и сгустки фибрина. Произведено расширенная синовкапсулэктомия коленного сустава.
Вероятно, формировавшиеся в суставе пролиферативные изменения и сгустки фибрина препятствовали полноценной эвакуации синовиальной жидкости. Для оценки артроскопических изменений синовиальной оболочки предложено множество классификаций, оценочные шкалы [1, 3, 18].
Артроскопическую картину изучали по классификации В.В.Лялиной и А.Б.Шехтер, 2007 г., которая наиболее детально излагает и учитывает особенности синовиальной среды суставов.
Клинико-артроскопический и морфологический анализ включал три вида СХС коленного сустава:
- хронический синовит урогенной этиологии (Urpl, Hl);
- хронический синовит при ревматоидным артрите;
- хронический пигментно_ворсинчатый узелковый синовит.
Артроскопия коленного сустава выполнялась стандартными доступами.
Рентген и Артроскопическая картина СХС коленного сустава, при урогенной этиологии (рис. 2-3).![]()
А Б
Рис. 2 А. Рентген картина левого коленного сустава переднезадней проекции, в положении стоя. Синдром хронического синовита коленного сустава урогенной этиологии. Суставная щель резко сужено. Она отсутствует между латеральной мыщелкой бедра и большеберцовой кости. Субхондральный кость истончен. Диффузный остеопороз. Остеоартрит IV степени(по Kellgren-Larsen 1957, 1987).
Рис. 2 Б. Синовиальная оболочка была грязно-серого цвета, гиперплазирована, с участками умеренной гиперемии. В верхнем завороте обильные отложения фибриновых масс.
Ворсины наблюдались в виде крупных и плоских лепестков. Сосуды бледно просматривались на поверхности ворсин. Хрящ тусклого цвета, с участками дефектов, хондромаляция надколенника в виде водорослей. Из-за многократных (25 раз) внутрисуставных инъекций гормональных препаратов у двоих больных наблюдали депигментацию в виде “витилиго” и атрофию синовиальной оболочки (1,5х1,5 см). Вероятно, это соответствует картине стероидной артропатии (рис. 3).
![]()
Рис. 3. Из-за многократных (25 раз) внутрисуставных инъекций гормональных препаратов у двоих больных наблюдали депигментацию в виде “витилиго” и атрофию синовиальной оболочки (1,5х1,5 см). Вероятно, это соответствует картине стероидной артропатии.
![]()
Рис. 4. Артроскопия коленного сустава. I-II стадия ревматоидного артрита.
- При I стадии (рис. 4) – наблюдались гиперемия синовиальной оболочки и усиление сосудистого рисунка, ее отек и повышенная кровоточивость, незначительная гипертрофия телец Гоффа, наличие синовиита, цвет хрящевого покрова не изменен, в некоторых случаях в области мыщелков бедра наблюдались начальные признаки хондромаляции. При водной артроскопии хорошо выявлялись хондромаляционные изменения в виде “водорослей”.
- При II стадии (рис. 4) – наблюдались резкая гиперемия и утолщение синовиальной оболочки, значительная гипертрофия телец Гоффа. Ворсины утолщены и объемно гипертрофированы характерной булавовидной формы. Передняя крестообразная связка несколько ослаблена. По краям хрящевого покрова наползает паннус. В большинстве случаев в медиальном мыщелке бедра обнаруживались трещины и эрозии небольших размеров. Мениски разволокнены.
- При III стадии (рис. 5) – синовиальная оболочка светло-багрового цвета, в полости сустава множество гипергранулированных патологических тканей. В боковых каналах наблюдается облитерация. Хрящевые покровы покрыты паннусом, множество глубоких трещин хряща, а в некоторых его местах – распластанность, видна субхондриальная кость. В боковых каналах множество мелкозернистых образований в виде творожистой массы, соответствующих неутилизированным кортикостероидам. Почти у всех выявлена III–IV степень хондропатии по Outerbrige. Суставной хрящ бедренно-большеберцовых костей разволокнен с образованием глубоких трещин и дефектов в виде “мозаики”.
![]()
А Б В
Рис. 5. А. Артроскопическая картина коленного сустава, при пигментно-ворсинчатом узелковом синовите (ПВУС). Б. После артротомии сустава.
В. Состояние хрящевого покрова. Хрящевой покров бедра и надколенника пропитан гемосидерином.
Данные морфологических изменений собственных наблюдений соответствовали данным В. В. Лялиной и А. Б. Шехтера (2007).
Артроскопический лаваж и биопсия коленного сустава проведены больным СХС урогенной этиологии и СХС при ревматоидном артрите. Группе больных с ПВУС ограничились только диагностической артроскопией и биопсией. ПВУС наблюдали в 5 случаях. Двум больным в предоперационным периоде выполнена диагностическая артроскопия. Все больные оперированы – синовкапсулэктомия коленного сустава. В послеоперационном периоде пациенты направлены на лучевую терапию.Для промывания коленных суставов применяли 3,5-4 литр жидкости с добавлением 200 мл 2% диоксидина, которое давало наиболее благоприятный эффект. Лаваж коленных суставов при артроскопии позволил удалить из них основную массу хрящевого детрита и фибриновых скоплений, тем самым снизить активность синовита и выраженность болевого синдрома. Предполагается, что такой метод лечения уменьшит выработку ферментов, участвующих в развитии деструкции суставного хряща и синовиальной оболочки, тем самым замедлит прогрессирование заболевания.
Читайте также:







