Рентгенограмма, МРТ при туберозном склерозе
Добавил пользователь Валентин П. Обновлено: 14.12.2025
Туберозный склероз (болезнь Бурневилля) — редкое генетическое заболевание, при котором во множестве органов и тканей образуются доброкачественные опухоли. Полисистемный характер нарушений порождает широкий спектр симптомов — повреждения мозга могут вызвать эпилепсию, снижение интеллекта; поражаются внутренние органы — почки, сердце, лёгкие; характерные новообразования кожи лица и глазного дна могут быть использованы при начальной диагностике.
Первое слово в названии болезни происходит от латинского tuber — нарост, опухоль, и описывает «туберсы» — характерные новообразования в коре мозга больных, обычно на границе серого и белого вещества. Туберсы были впервые описаны французским неврологом Бурневиллем, поэтому иногда болезнь называют его именем.
Частота этого заболевания составляет 10—14 на 100 000 населения. Она выше у детей, составляя максимум у не достигших 5-летнего возраста. Число случаев с отрицательным семейным анамнезом велико: от 50 до 70 %. Заболевание характеризуется высокой ранней детской смертностью и снижением продолжительности жизни у взрослых людей.
Критерии диагностики туберозного склероза
Все признаки подразделяются на первичные и вторичные.
- ангиофибромы лица или фиброзные бляшки на лбу,
- нетравматические околоногтевые фибромы,
- гипопигментные пятна (больше трех),
- «шагреневая кожа»,
- множественные гамартомы сетчатки,
- корковые туберсы, субэпендимарные узлы,
- гиганто-клеточная астроцитома,
- рабдомиомы сердца множественные или одиночные, ,
- множественные ангиомиолипомы почек.
- многочисленные углубления в эмали зубов,
- гамартоматозные ректальные полипыа,
- костные кистыб,
- фибромы десен,
- гамартомы внутренних органов,
- ахроматический участок сетчатой оболочки,
- пятна «конфетти» на коже,
- множественные кисты почека.
Несомненный диагноз туберозного склероза: 2 первичных признака или 1 первичный признак + два вторичных признака.
Возможный диагноз - 1 первичный признак + 1 вторичный признак.
Предположительный диагноз – или 1 первичный признак или два и больше вторичных признака.
а - требуется гистологическое подтверждение
б – достаточно рентгенологического подтверждения
Кожные изменения
Гипопигментные пятна, ангиофибромы лица, участки “шагреневой кожи”, околоногтевые фибромы, фиброзные бляшки, белые пряди волос, ресниц и бровей.
Гипопигментные пятна (овальные, полигональные или в виде рассыпанного «конфетти») нередко обнаруживаются с рождения, с возрастом число их может увеличиваться. Располагаются асимметрично, преимущественно на туловище и ягодицах.
Гипопигментное пятно на коже голени
Ангиофибромы лица (аденома Прингля) - узлы розового или красного цвета с гладкой, блестящей поверхностью, располагаются симметрично с двух сторон лица на щеках и носу (по типу “крыльев бабочки”) и подбородке. Развиваются, как правило, после 4-х лет.
Участки “шагреневой кожи” (peau chagrine в переводе с французского - “недубленая, грубая, жесткая кожа”), желтовато-коричневого или розового цвета, умеренно выступают над поверхностью окружающей кожи и напоминают шкурку апельсина. Размер их колеблется от нескольких миллиметров до 10 и более сантиметров. Чаще они появляются на втором десятилетии жизни. Располагаются преимущественно в пояснично-крестцовой области.
Участок "шагреневой кожи"
Фиброзные бляшки - образования бежевого цвета, шероховатые на ощупь, несколько выступают над окружающей кожей. Часто появляются уже на первом году жизни. Излюбленным местом локализации фиброзных бляшек является лоб. Размер и число их варьируют.
Околоногтевые фибромы - тусклые, красные или мясного цвета узлы, растущие от ногтевого ложа или вокруг ногтевой пластинки. В большинстве случаев околоногтевые фибромы появляются на втором десятилетии жизни. Чаще встречаются на ногах, чем на руках. Размер варьирует от 1 миллиметра до 1 сантиметра в диаметре.
Мягкие фибромы располагаются на туловище и шее, реже на конечностях. Бывают двух видов:
- множественные или единичные, мягкие мешотчатые образования на ножках
- множественные образования, несколько приподнятые над поверхностью кожи, размером меньше булавочной головки (напоминают “гусиную кожу”)
Изменения со стороны органов зрения
доброкачественные опухоли сетчатки и зрительного нерва (часто множественные) - ретинальные гамартомы астроцитарного происхождения. Наблюдается у 50 % больных. Опухоль трудно заметить в самом начале.
Она довольно быстро кальцифицируется. Офтальмологическое исследование следует предпринять как можно раньше у детей с дилатированным сосочком зрительного нерва. Опухоль чаще располагается вблизи оптического диска.
Обызвествления в гамартомах сетчатки с обеих сторон.
Изменения со стороны сердечно-сосудистой системы
Рабдомиомы сердца. Рабдомиомы локализуются в любой полости сердца, но преимущественно - в желудочках. Более характерно их расположение в левой половине сердца. У 2/3 больных - рабдомиомы множественные. Клинически рабдомиомы сердца проявляются признаками сердечной недостаточности, нарушениями гемодинамики, сократительной функции миокарда и сердечного ритма.
Изменения со стороны органов дыхания
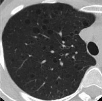
Лимфангиолейомиоматоз легких. Легкие вовлекаются в патологический процесс после 30 лет. Первые клинические симптомы - дыхательная недостаточность и рецидивирующий пневмоторакс.

Фрагмент КТ: множественные кистозные изменения - лимфангиомиоматоз легких
Изменения со стороны желудочно-кишечного тракта
полость рта (узловые опухоли, фибромы или папилломы, дефекты эмали зубов), печень (одиночные и множественные гамартомы и ангиомиолипомы), прямая кишка (ректальные полипы)
Изменения со стороны почек
Ангиомиолипомы и кисты. Редко - карциномы. Нарушения со стороны почек, как правило, появляются на 2-м - 3-м десятилетии жизни. Ангиомиолипомы при туберозном склерозе множественные, двусторонние и длительное время имеют бессимптомное течение.
Ангиомиолипомы больше 4 см в диаметре имеют тенденцию к спонтанному кровоизлиянию. Основными клиническими симптомами кровоизлияния из ангиомиолипомы: острые абдоминальные боли, падение артериального давления. Кисты почек при туберозном склерозе чаще небольшого размера, двусторонние. При увеличении размера кист развивается почечная недостаточность, появляется высокое артериальное давление.

УЗИ. Кисты почки
На КТ множественные двусторонние образования в почках, содержащие жировую ткань – ангиомиолипомы.
Изменения со стороны костей
Поражения костной ткани чаще бессимптомные, в виде периостальной реакции, склероза или кистоза.
КТ. Участки склероза в костях черепа, преимущественно в лобной кости.
Изменения со стороны нервной системы
судорожные приступы, умственная отсталость, нарушения поведения, изменения в цикле сон-бодрствование. Судороги при туберозном склерозе могут начинаться на первом году жизни. Чаще всего в этот возрастной период встречаются инфантильные спазмы, которые в дальнейшем переходят в другие типы судорог. Судорожные приступы при туберозном склерозе нередко плохо поддаются противосудорожной терапии. Умственная отсталость при туберозном склерозе наблюдается у половины больных. Степень снижения умственной отсталости колеблется от умеренной до глубокой. Изменения поведения характеризуются аутизмом, синдромом гиперподвижности и дефицита внимания, агрессией и аутоагрессией. Нарушения сна у большинства больных связаны с длительным засыпанием, снохождением и ранним пробуждением.
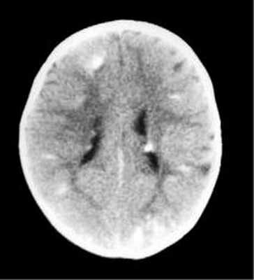
Наиболее типичными нарушениями в головном мозге являются корковые туберсы и субэпендимарные узлы. Туберсы могут быть как единичными, так и множественными, располагаются в виде выступов над единичной или прилегающими бороздами коры, расширяя их. Субэпендимарные узлы локализуются в стенках боковых желудочков и, реже, в стенках III и IV желудочков мозга. У новорожденных субэпендимарные узлы редко бывают кальцифицированными. По мере роста ребенка наблюдается постепенное отложение кальция в субэпендимарных узлах.
Субэпендимарные узлы в 10% случаев трансформируются в гиганто-клеточную астроцитому, которые манифестируют обычно между 5 и 10 годами жизни, имеют тенденцию к росту и локализуются у отверстия Монро

Субэпендимарные кальцификаты и корковые туберсы на КТ головного мозга ребенка с туберозным склерозом

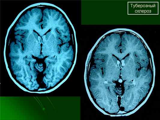
Субэпиндемальные узлы и корковые туберсы на МРТ

Астроцитома в области отверстий нередко приводит к оккюзионной гидроцефалии.
Комплекс исследований больных туберозным склерозом
- КТ и/или МРТ
- Электроэнцефалография
- Ультразвуковое исследование внутренних органов
- Эхокардиография
- Электрокардиография
- УЗИ щитовидной железы
- Анализы крови и мочи
Тревожные симптомы туберозного склероза
Лихорадка, боли в спине, подташнивание и рвота, гематурия, анемия.
Симптомы возникают, как правило, при увеличении массы и объема ангиомиолипом. Увеличенные в объеме ангиомиолипомы (больше 4 см в диаметре) нередко имеют тенденцию к спонтанному кровоизлиянию (ретроперитонеальному или внутрипочечному), либо способствуют компрессии окружающих тканей.
Клинические симптомы, свидетельствующие о кровоизлиянии из ангиомиолипомы:
- острые абдоминальные боли
- развитие шокового состояния
- падение артериального давления
- вегетативные расстройства (обильный пот, озноб, сердцебиение)
Высокое артериальное давление, головные боли, утомляемость, кожный зуд.
Кисты почек при туберозном склерозе могут достигать нескольких сантиметров в диаметре. При выраженном патологическом процессе, при бесчисленном количестве кист большого размера, течение заболевания напоминает поликистозную болезнь почек, которая приводит к почечной недостаточности.
Частые головные боли, рвоты, ухудшение зрения.
Симптомы повышения внутричерепного давления, которые могут свидетельствовать о росте гиганто-клеточной астроцитомы.
Поверхностное дыхание, бледность кожных покровов рецидивирующий пневмоторакс. Симптомы могут свидетельствовать о развитии патологического процесса в легких (лимфангиомиоматоз легких).
Заключение
Туберозный склероз – генетическое заболевание из группы факоматозов. Встречается довольно редко, проявляется чаще в детском возрасте. Наряду с наследственными формами существуют и спонтанные мутации более, чем в 50% случаев. Клинические проявления разнообразны и связаны с поражением многих органов и систем. В зависимости от локализации изменений в тех или иных органах применяются разные методы лучевой диагностики: УЗИ, КТ, МРТ, эхокардиография. Правильная диагностика возможна только с учетом клинических данных и данных анамнеза, в том числе семейного. Туберозный склероз, поражая многие органы, приводит к высокой смертности в детском возрасте и сокращению продолжительности жизни. Подозрение на осложнения туберозного склероза могут потребовать дополнительных исследований, и лечебных мероприятий, например, при кровоизлияниях в ангиомиолипомах почек, окклюзионной гидроцефалия при астроцитомах, стенозирующих отверстия Монро, развитии почечной и легочной недостаточности и др.
Рентгенограмма, МРТ при туберозном склерозе
Рентгенограмма, КТ, МРТ костей при туберозном склерозе
а) Определение:
• Комплекс туберозного склероза (КТС): полиорганный генетический нейрокожный синдром, характеризующийся развитием гамартом
б) Визуализация:
1. Рентгенография при туберозном склерозе:
• Костная патология:
о Очаговые склеротические образования
о Могут возникать литические очаги
о Гиперостоз внутреннего кортикального слоя свода черепа + очаги склероза (40% случаев)
о Гипертрофическая остеоартропатия, особенно кистей/стоп (66% случаев)
(Слева) КТ, коронарный срез: определяются множественные округлые склеротические образования, разбросанные по всему осевому скелету. Отмечается патологическое распределение структуры жировой плотности в забрюшинном пространстве, что требует дальнейшего наблюдения.
(Справа) КТ, коронарный срез: у этого же пациента визуа -лизируются увеличенные почки, содержащие бесчисленное количество ангиомиолипом. Комбинация почечных и костных признаков позволяет предположить туберозный склероз. (Слева) КТ, аксиальный срез: у этого же пациента отмечаются множественные округлые склеротические образования внутри тела и задних элементов позвоночника. Эти образования не выглядят агрессивно, полностью гомогенные и не имеют других характерных черт.
(Справа) КТ крестца, аксиальный срез: определяются склеротические образования. Гем не менее, также имеется несколько литических образований. Обе картины характерны для костных образований туберозного склероза и могут определяться при метастазах или при миеломе, но заболевание почек свидетельствует в пользу туберозного склероза. (Слева) МРТ, FLAIR, аксиальный срез: у этого же пациента определяются характерные субкортикальные бугры. При туберозном склерозе неврологические признаки являются наиболее распространенными, далее идут сим птомы поражения почек, а затем костные образования.
(Справа) Рентгенография в косой проекции: определяется толстая волнообразная периостальная реакция, поражающая все пястные кости. Это характерная картина гипертрофической остеоартропатии, которая чаще встречается в сочетании с заболеваниями легких, но редко с туберозным склерозом, как в данном случае.
2. МРТ при туберозном склерозе:
• Внутричерепная патология:
о Кортикальные или субэпендимальные бугры (95-100% случаев)
о Патология белого вещества (40-90% случаев)
о Субэпендимальная гигантоклеточная астроцитома
• Рабдомиома сердца (50-65% случаев):
о У 40-80% пациентов с рабдомиомой сердца имеется КТС
о Одиночная или множественная, расположенная в межжелудочковой перегородке
о В большинстве случаев (70%) наблюдается спонтанный регресс, при котором остаются жировые очаги вдоль межжелудочковой перегородки
• Патология легких:
о Лимфангиолейомиоматоз: редкая диффузная интерстициальная пролиферация гладкомышечных клеток в виде округлых тонкостенных кист
о Множественная мелкоузловая гиперплазия пневмоцитов
• Патология почек:
о Ангиомиолипома почек (55-75% случаев): жир внутри опухоли может быть скрыт кровотечением вследствие разрыва
о Кисты почек
о Почечноклеточный рак: при наличии сопутствующего КТС имеется тенденция к развитию опухоли у молодых пациентов
в) Дифференциальная диагностика туберозного склероза:
1. Костный островок (эностоз):
• Гамартомные образования, не имеющие клинической важности
• Клиническая картина данного образования отличается от КТС
2. Метастазы остеобластомы:
• Клиническая картина помогает в дифференциальном диагнозе
3. Остеопойкилоз:
• Распределение опухоли (в основном в метафизах) отличается от такового при КТС
• Дисплазия не имеет сопутствующих признаков, отличающих ее от КТС
4. Склеротическая множественная миелома:
• Обычно входит в синдром POEMS; сопутствующие признаки должны помочь в дифференциальном диагнозе:
о Полинейропатия, висцеромегалия, эндокринопатия, миелома, поражение кожи
(Слева) КТ, аксиальный срез: у этого же пациента определяется плотное, слегка расширенное образование ребра, одно из многих склеротических костных образований при туберозном склерозе.
(Справа) КТ с контрастированием, аксиальный срез: определяется очаговая полоса жира вдоль межжелудочковой перегородки. Предполагалось, что это - остаточный жир от рабдомиомы плода или новорожденного, который спонтанно регрессирует; это характерная черта развития данного заболевания. (Слева) КТ, аксиальный срез: у пациента с туберозным склерозом определяется тонкостенная киста внутри нижнего легочного поля, что характерно для ан-гиомиолипомы.
(Справа) КТ, аксиальный срез: у этого же пациента определяются два склеротических костных образования. Они обладают неспецифичной картиной визуализации, но вместе с висцеральными признаками туберозного склероза эти признаки весьма характерны для данного заболевания.
г) Патология:
1. Общая характеристика:
• Генетика:
о Мутации в генах TSC1 и TSC2:
- Гамартин и туберин кодируются отдельными хромосомами
- Одиночная мутация в любом из этих генов, дополненная неизбежной потерей гетерозиготности, способна вызвать туберозный склероз:
Дефектный туберин вызывает более тяжелые фенотипические изменения
о Аутосомно-доминантный тип наследования; в 2/3 случаев отмечаются спорадические мутации
2. Стадирование и классификация туберозного склероза:
• Клиническая триада симптомов:
о Эпилепсия, умственная отсталость, аденома сальных желез (adenoma sebaceum):
- У 1/2 пациентов отмечается нормальный интеллект
- У 1/4 пациентов отсутствует эпилепсия
д) Клинические особенности:
1. Проявления:
• Типичные признаки/симптомы:
о Тяжелое неврологическое заболевание (90% случаев)
- Эпилепсия
- Задержка развития
- Аутизм
- Психические расстройства
о Болезнь почек:
- Множественные ангиомиолипомы
- Изредка отмечается наличие злокачественной опухоли внутри доброкачественных опухолей
о Заболевания сердца:
- Внутрисердечные очаги жира
- Рабдомиома
о Кожные образования (90% случаев):
- Гипопигментированные пятна по типу «пепельного листа»
- Участки «шегреневой кожи»
- Ангиофибромы лица (вплоть до 80% пациентов)
- Околоногтевые фибромы
2. Демография:
• Эпидемиология:
о Один случай на 6000-12000 человек
3. Течение и прогноз:
• Риск летального исхода к 35 годам составляет 40%
Какой врач лечит туберозный склероз

Что необходимо сделать для диагностики причин туберозного склероза? Для решения данной проблемы пациенту первым шагом необходимо записаться на прием к дерматологу или офтальмологу. После первичного осмотра врач может назначить дополнительные исследования:
- для обнаружения опухоли в мозге; для обнаружения опухоли в почках; ; - для обнаружения опухолей в легких и сердце;
- электроэнцефалограмма (ЭЭГ) - для обнаружения ненормальной электрической активности в головном мозге, связанной с эпилепсией;
- электрокардиограмма (ЭКГ) - для обнаружения аномальной электрической активности в сердце, которая может быть вызвана опухолями сердца;
- генетический анализ крови для поиска дефектных генов, вызывающих туберозный склероз, хотя он не всегда надежен.
Туберозный склероз представляет собой редкое генетическое заболевание, которое вызывает образование в основном доброкачественных опухолей в различных частях тела.
Причины туберозного склероза
Туберозный склероз вызывается изменениями в гене TSC1 или TSC2, который участвует в регулировании роста клеток. Мутация гена приводит к неконтролируемому росту и множественным опухолям по всему телу. Примерно в 3 из 4 случаев генетическая ошибка возникает без видимой причины у пациентов, у которых нет других членов семьи с данным заболеванием. В оставшихся 1 из 4 случаев генетический дефект наследуется ребенком от родителей. Только один родитель должен нести измененный ген, чтобы передать его потомству. У родителя, имеющего мутацию TSC1, также будет туберозный склероз, хотя иногда он может быть настолько легким, что человек не подозревает, что он болен.
Симптомы туберозного склероза
Опухоли, вызванные туберозным склерозом, могут привести к ряду сопутствующих проблем со здоровьем в зависимости от того, в какой области они образуются. Эти проблемы могут варьироваться от легких до серьезных, причем члены одной семьи могут по-разному болеть туберозным склерозом. Первые проявления заболевания, как правило, начинаются в раннем детстве. Наиболее часто поражаются:
- головной мозг;
- кожа;
- почки;
- сердце;
- глаза;
- легкие.
Эпилепсия
Большинство пациентов с туберозным склерозом страдают эпилепсией с повторяющимися припадками. Некоторые маленькие дети испытывают наиболее серьезные симптомы, известные как инфантильные спазмы, при которых у них в течение короткого промежутка времени возникает множество припадков, а мозговая активность все время остается сниженной. Обычно они развиваются в течение первого года жизни. Детская эпилепсия, как правило, исчезают по мере того, как ребенок становится старше, но к тому времени они могут привести к некоторой степени необратимого повреждения мозга, которое может вызвать такие проблемы, как умеренная или тяжелая умственная отсталость, эпилепсия, не поддающаяся лечению, и аутизм. Важно выявлять инфантильную форму эпилепсии как можно раньше, поскольку раннее лечение значительно снижает риск повреждения головного мозга.
Нарушения обучаемости
Почти половина всех детей с туберозным склерозом будут иметь трудности с обучением, которые могут варьироваться от легких до тяжелых. Это означает, что они могут:
- иметь плохую память;
- иметь плохую концентрацию внимания;
- испытывать трудности с составлением планов или организацией;
- учатся намного медленнее;
- в тяжелых случаях быть не в состоянии общаться или заботиться о себе.
Поведенческие и психические расстройства
Нарушения поведения и психического развития часто встречаются у детей с туберозным склерозом, особенно с ограниченными возможностями обучения. Эти проблемы могут включать:
- расстройство аутистического спектра - состояние, которое может повлиять на социальное взаимодействие, общение, интересы и поведение;
- гиперактивность и импульсивное поведение;
- агрессия и членовредительство;
- беспокойство;
- крайняя застенчивость;
- депрессия;
- расстройства сна - например, трудности с засыпанием или частое просыпание по ночам.
Гидроцефалия
У небольшого числа пациентов с туберозным склерозом развиваются большие опухоли головного мозга, которые могут препятствовать оттоку спинномозговой жидкости от мозга. Если отток заблокирован, это может вызвать повышение давления в головном мозге и называется гидроцефалией. Симптомы могут включать:
- головные боли;
- боль в шее;
- тошнота;
- повышенная сонливость;
- изменения в психическом состоянии;
- помутнение зрения, двоение в глазах или потеря зрения;
- трудности при ходьбе;
- внезапное изменение контроля над мочевым пузырем или кишечником, например, недержание мочи;
- обострение эпилепсии или проблемное поведение.
Опухоли головного мозга можно легко обнаружить с помощью регулярного сканирования и вылечить до того, как они вызовут гидроцефалию. Если гидроцефалия все же развивается, требуется экстренное хирургическое вмешательство, чтобы вывести лишнюю жидкость из головного мозга, иначе это может вызвать повреждение мозга или в самых серьезных случаях - смерть.
Опухоли кожи
У большинства пациентов с туберозным склерозом на коже появляются аномальные новообразования или пятна. Обычно они впервые развиваются в раннем детстве и могут включать:
- пятна на светлой коже;
- прыщи на лице;
- участки утолщенной кожи;
- наросты кожи под ногтями или вокруг них.
Опухоли почек
У большинства больных с туберозным склерозом в почках появляются множественные новообразования, включая опухоли и кисты - небольшие мешочки, заполненные жидкостью. Они не всегда вызывают проблемы, но могут привести к:
- внутреннее кровотечение - может вызвать гематурию (кровь в моче) и внезапную сильную боль в животе;
- высокое артериальное давление (гипертония);
- почечная недостаточность, которая может вызывать такие симптомы, как потеря веса, отекшие лодыжки, ступни или руки, одышка, повышенная потребность в мочеиспускании и кожный зуд;
- в редких случаях - рак почки.
Опухоли сердца
У многих детей, рожденных с туберозным склерозом, в сердце разовьется одна или несколько опухолей. Эти опухоли обычно очень маленькие и не вызывают никаких симптомов. Большинство туберозных образований сердца уменьшаются по мере взросления ребенка. Однако в небольшом количестве случаев они могут вызывать такие проблемы, как нерегулярное сердцебиение (аритмия) или сердечная недостаточность.
Опухоли глаза
При развитии опухолей глаза у пациентов с туберозным склерозом они растут на поверхности сетчатки, которая представляет собой тонкий слой нервных клеток, выстилающих внутреннюю часть задней части глаза. Однако эти опухоли редко становятся достаточно большими, чтобы повлиять на зрение человека.
Опухоли легких
По крайней мере, у каждой третьей женщины с туберозным склерозом в легких разовьются опухоли и кисты, обычно в возрасте от 20 до 40 лет. До сих пор неясно, почему женщины страдают чаще мужчин. Во многих случаях эти кисты и опухоли не вызывают проблем, однако некоторые пациенты испытывают затруднения с дыханием, похожие на хроническую обструктивную болезнь легких (ХОБЛ), и иногда опухоль может разорваться, вызывая серьезное состояние, когда воздух просачивается из легких в окружающую область.
Диагностика туберозного склероза
Чтобы диагностировать туберозный склероз, пациента расспросят об истории болезни семьи, о симптомах, а также ему предстоит пройти ряд тестов для выявления признаков заболевания, которые включают:
- консультация офтальмолога и обследование глаз для проверки на наличие опухоли глаза;
- консультация дерматолога и обследование кожи для поиска аномальных образований или участков бледной или утолщенной кожи; для обнаружения опухоли в мозге; для обнаружения опухоли в почках; ; - для обнаружения опухолей в легких и сердце;
- электроэнцефалограмма (ЭЭГ) - для обнаружения ненормальной электрической активности в головном мозге, связанной с эпилепсией;
- электрокардиограмма (ЭКГ) - для обнаружения аномальной электрической активности в сердце, которая может быть вызвана опухолями сердца;
- генетический анализ крови для поиска дефектных генов, вызывающих туберозный склероз, хотя он не всегда надежен.
Мониторинг состояния
Регулярные анализы важны для пациентов с туберозным склерозом. Это необходимо для того, чтобы можно было регулярно контролировать и оценивать функцию органов, часто поражаемых заболеванием. Поэтому больному придется проходить плановые обследования: МРТ, УЗИ, анализы крови, ЭКГ, осмотр кожи и глаз, контроль артериального давления. Частота проведения этих анализов будет зависеть от возраста пациента или ребенка, а также от симптомов болезни. Некоторые из них проводятся ежегодно, а другие - раз в несколько лет.
Лечение туберозного склероза
Туберозный склероз - это пожизненное заболевание, которое требует длительного ухода и поддержки со стороны различных специалистов. Лекарства от туберозного склероза не существует, но есть ряд методов лечения многих проблем, вызванных этим заболеванием.
Обычно в первую очередь назначают лекарства для контроля припадков - противоэпилептические препараты, хотя они не всегда эффективны для больных с туберозным склерозом. Если первое лекарство не подействовало, дозу можно увеличить или попробовать другое лекарство, иногда могут назначить сразу 2 препарата. Если лекарственные средства не контролируют приступы, может быть рекомендована одна из следующих процедур:
- операция по удалению любых опухолей в головном мозге, которые могут вызывать судороги;
- стимуляция блуждающего нерва - небольшое электрическое устройство имплантируется под кожу, чтобы посылать электрические импульсы в мозг;
- специальная диета - кетогенная диета или ее модифицированный вариант.
Любые опухоли головного мозга будут обнаруживаться и тщательно контролироваться, чтобы при необходимости можно было провести своевременное лечение. Опухоль головного мозга может быть удалена хирургическим путем, если есть риск, что она станет слишком большой и вызовет гидроцефалию. Исследования также показали, что лекарство под названием эверолимус уменьшает большинство туберозных образований головного мозга. Эверолимус - это тип ингибитора mTOR, который прерывает или блокирует химические реакции, необходимые для роста новообразования.
Аномальные наросты или участки кожи обычно не представляют серьезной проблемы для здоровья, но их внешний вид может повлиять на уверенность человека и его самооценку, поэтому при необходимости можно использовать лазерную терапию. Если новообразования или пятна возвращаются, может потребоваться повторная лазерная процедура. Использование солнцезащитного крема также важно для защиты кожи. Исследования показали эффективность крема с ингибитором mTOR при лечении кожных аномалий, вызванных туберозным склерозом. Также значительное улучшение кожных симптомов наблюдается у тех, кто принимает ингибиторы mTOR в виде таблеток для лечения опухолей почек или головного мозга.
Лечение опухолей и новообразований почек будет зависеть от симптомов, которые они вызывают. Например, если опухоль почек вызывает высокое артериальное давление, можно использовать лекарства для его снижения. Эверолимус можно использовать, чтобы предотвратить слишком большие опухоли, так как они могут вызвать опасное кровотечение. Если опухоль кровоточит, может быть рекомендована процедура, называемая эмболизацией - в опухоль вводится специальное вещество, которое блокирует кровоснабжение образования, из-за чего она лишается кислорода и питательных веществ, и ее рост останавливается. Очень редко, если у пациента тяжелая или полная потеря функции почек, ему может потребоваться диализ или трансплантация органа.
В большинстве случаев опухоли сердца не нуждаются в лечении - у младенцев они обычно уменьшаются по мере взросления ребенка. Однако в некоторых редких случаях может потребоваться хирургическое вмешательство для удаления очагов туберозного склероза, если они начинают серьезно влиять на работу сердца. Иногда новообразования в сердце влияют на его электрическую проводимость и вызывают нарушение сердечного ритма, что корректируется препаратами антиаритмиками.
Исследования показали, что ингибитор mTOR под названием сиролимус эффективен, хотя он может вызывать побочные эффекты, такие как плохое самочувствие, запор или диарею. Если опухоль приводит к коллапсу легкого, требуется экстренная операция. В очень тяжелых случаях может потребоваться пересадка легкого.
Опухоли глаза редко нуждаются в лечении, потому что они обычно не разрастаются настолько, чтобы ухудшить зрение. В редких случаях, когда зрение все же нарушается, можно использовать метод, называемый фотокоагуляцией. Фотокоагуляция - это тип хирургии, при которой лазеры сжигают кровеносные сосуды, снабжающие кровью опухоли глаза, что уменьшает размер образований.
Перспективы туберозного склероза
Перспективы больных с туберозным склерозом могут значительно различаться. У некоторых пациентов мало симптомов, и это состояние мало влияет на их жизнь, в то время как другие, особенно те, у кого есть дефектный ген TSC2 или очевидные проблемы с раннего возраста, могут иметь серьезные и опасные для жизни проблемы, требующие пожизненного ухода. У многих больных будет нормальная продолжительность жизни, хотя может развиться ряд осложнений: потеря функции почек, серьезная инфекция легких и тяжелый тип эпилептического припадка. Больные с туберозным склерозом также могут иметь повышенный риск развития определенных типов рака, таких как рак почки, но это случается редко.
Туберозный склероз
Туберозный склероз — генное заболевание, характеризующееся поражением нервной системы в виде эпилепсии и олигофрении, полиморфными кожными симптомами, опухолевыми и неопухолевыми процессами в соматических органах. Диагностический алгоритм состоит из обследования нервной системы (МРТ, КТ головного мозга, ЭЭГ), офтальмологического исследования, обследования внутренних органов (УЗИ, МРТ сердца, КТ почек, рентгенография легких, ректороманоскопия). Главными направлениями лечения являются: противоэпилептическая терапия, нейропсихологическая коррекция, наблюдение и своевременное хирургическое лечение новообразований.
МКБ-10
Общие сведения
Туберозный склероз (ТС) — наследственная нейроэктодермальная патология, проявляющаяся изменениями кожи, эпилептическими приступами, олигофренией (умственной отсталостью) и возникновением новообразований различной локализации. Наряду с нейрофиброматозом, болезнью Гиппеля-Линдау, синдромом Луи-Бар, болезнью Стерджа-Вебера и др., ТС относится к факоматозам. Заболеваемость составляет 1 случай на 30 тыс. населения, среди новорожденных — 1 случай на 6-10 тыс. Известны не только семейные, но и спорадические случаи. Причем последние составляют до 70%.
Впервые туберозный склероз был описан Реклингхаузеном в 1862 г. Француз Бурневилль в 1880 г. подробно исследовал морфологические изменения, происходящие в головном мозге при этом заболевании, и впервые употребил термин «туберозный склероз». В 1890 г. дерматолог Прингл сделал описание ангиофибром лица у пациентов с ТС. Поэтому в литературе по неврологии можно встретить синонимичное название ТС — болезнь Бурневилля-Прингла.
Причины туберозного склероза
Заболевание имеет генетическую природу. Большинство случаев обусловлено возникновением новых мутаций и лишь 30% аутосомно-доминантным наследованием генных аберраций, имеющихся у родителей. Выделяют туберозный склероз тип 1, развитие которого обусловлено мутациями в гене 34 локуса 9-й хромосомы, ответственном за кодирование гамартина, и туберозный склероз тип 2, связанный с нарушениями в 13-ом участке 16-й хромосомы, отвечающем за кодирование туберина.
Биохимические аспекты патогенеза до конца не изучены. Известно только, что в норме гамартин и туберин являются факторами подавления опухолевого роста. Морфологическим субстратом выступают разросшиеся глиальные элементы церебральной ткани, гистологически представленные гигантскими клетками с атипично увеличенными ядрами и большим числом отростков. Глиальные разрастания формируют субэпендимальные узлы, корковые туберы и специфические островки в белом веществе. Все эти образования имеют тенденцию к обызвествлению. Субэпендимальные узлы зачастую дают начало образованию гигантоклеточной астроцитомы. В 10% случаев отмечается поражение тканей мозжечка. Глиальные разрастания наблюдаются также на диске зрительного нерва и в периферических отделах сетчатки.
Симптомы туберозного склероза
Клиника, которую имеет туберозный склероз, очень вариабельна. Она включает поражение центральной нервной системы (ЦНС), дерматологические и офтальмологические проявления, новообразования внутренних органов. Дебют приходится на различные возрастные периоды, но чаще туберозный склероз манифестирует в течение первых 5-ти лет жизни. Возможны различные по тяжести варианты течения. В легких случаях пациенты имеют ряд факультативных неспецифических симптомов и зачастую не проходят диагностику на наличие ТС. Туберозный склероз в стертой форме протекает без эпиприступов, олигофрении и расстройств поведения.
Поражение ЦНС
Изменения в ЦНС выступают доминирующими проявлениями ТС. Среди них наиболее часто (в 80-90% случаев) встречается судорожный синдром, с которого обычно манифестирует заболевание. Для эписиндрома, дебютирующего на первом году жизни, характерны инфантильные спазмы (синдром Веста), затем трансформирующиеся в синдром Леннокса-Гасто. Возможны атипичные абсансы, сомато- и сенсомоторные пароксизмы, вторично-генерализованные приступы. Возникновение в возрасте до года, высокая частота и гетерогенность приступов сопровождаются их резистентностью к антиконвульсантной (противоэпилептической) терапии. Эпилептические пароксизмы являются причиной задержки психического развития и нарушений поведения (агрессивности, аутизма, СДВГ) у детей.
В половине случаев туберозный склероз сопровождается выраженной в различной степени олигофренией. Наряду с эпилепсией, причиной ее развития считается наличие корковых туберов. Уже в младшем возрасте у детей отмечается анормальное поведение: общее беспокойство, капризность и недовольство наряду с медлительностью, затруднениями переключаемости внимания. Степень этих нарушений тем выше, чем раньше возник туберозный склероз. У большинства пациентов также наблюдаются нарушения сна. Они характеризуются ночными пробуждениями, инсомнией, сомнамбулизмом, ранним утренним переходом от сна к бодрствованию.
Дерматологические симптомы
Изменения со стороны кожи сопровождают туберозный склероз практически в 100% случаев. Они характеризуются большим полиморфизмом элементов и их сочетаний. Чаще всего (в 90% случаев) наблюдаются пятна гипопигментации, которые возникают обычно в первые 3 года жизни и в дальнейшем увеличивают свое количество. Они асимметрично разбросаны по ягодицам, туловищу и на передне-латеральных поверхностях конечностей. Возможна депигментация ресниц, бровей и волос. В 14% случаев выявляются участки гиперпигментации в виде пятен, более характерных для нейрофиброматоза. Как правило, их насчитывается не более 5 штук.
Ангиофибромы лица по различным данным отмечаются у 50-90% пациентов и образуются в основном после 4-летнего возраста. Это множественные или одиночные плотные узелки в виде зерен проса, красноватого или желтоватого цвета. «Шагреневая кожа» имеет место в 21–68 % случаев. Обычно возникает в период от 10 до 20 лет. Представляет собой асимметричные участки жесткой огрубевшей кожи, локализующиеся на спине и пояснице, имеющие размер от 2-3 мм до 10 см. При дерматоскопии видно, что шагреневые участки состоят из множества фиброзных гамартом.
В 25% случаев туберозный склероз сопровождается образованием фиброзных бляшек, в 30% случаев — мягких дерматофибром. До 50% больных после пубертата имеют склонные к прогредиентному росту околоногтевые фибромы. Последние более часто располагаются на ступнях. Имеют вид тусклых красных узелков или папул, окружающих ногтевую пластинку.
Офтальмологические симптомы
Отмечаются редко, хотя почти у половины больных ТС выявляется наличие гамартом зрительного нерва и/или гамартом сетчатки. Гамартомы могут иметь плоскую гладкую, незначительно возвышающуюся поверхность или представляют собой узловатое образование, иногда встречаются гамартомы смешанного типа — узловатые в центре. Основным проявлением гамартом является прогрессирующее падение зрения, но зачастую наблюдается их субклиническое течение. Возможны и другие офтальмологические расстройства: депигментация радужки, отек диска зрительного нерва, колобома, косоглазие, ангиофибромы век, катаракта.
Поражение внутренних органов
Новообразования соматических органов, сопровождающие туберозный склероз, отличаются множественностью и частым двусторонним поражением парных органов, длительно протекают субклинически. Период их манифестации колеблется от 5 до 40 лет. К наиболее патогномоничным для ТС новообразованиям относятся: рабдомиома сердца, кисты легких, поликистоз почек, гамартомы печени, ректальные полипы. В 4,5% случаев при ТС наблюдаются злокачественные опухоли, чаще почечно-клеточный рак.
Со стороны сердечно-сосудистой системы выявляются опухоли сердца. В 30-60% случаев это рабдомиомы. При их внутриутробном развитии может наблюдаться антенатальная гибель плода. У половины новорожденных с ТС рабдомиомы выявляются случайно при выполнении ЭхоКГ. У маленьких детей они проявляются аритмией, синдромом WPW, тахикардией, фибрилляцией желудочков. Интрамуральное положение рабдомиомы влечет за собой расстройство сократимости; обтурация опухолевой массой сердечных камер приводит к сердечной недостаточности. У старших детей рабдомиомы преимущественно бессимптомны; возможна блокада ножки пучка Гиса, псевдоишемические отклонения на ЭКГ. Зачастую наблюдается регресс и даже полное исчезновение рабдомиомы к 6-летнему возрасту.
Поражение легких отмечается у пациентов, имеющих туберозный склероз, после 30 лет. На рентгенограмме определяется характерная для множественных легочных кист картина «сотового легкого». Поражение ЖКТ включает опухоли полости рта, дефекты зубной эмали, множественные или одиночные гамартомы в печени, не склонные к малигнизации полипы прямой кишки. Поражение почек сопровождают туберозный склероз в 50-85%. Могут отмечаться ангиомиолипомы, кисты, гломерулосклероз, нефрокальциноз, интерстициальный нефрит, гломерулонефрит. Патология почек выступает второй после поражения ЦНС причиной летального исхода при ТС.
Диагностика
Диагностировать туберозный склероз возможно лишь совместными усилиями нескольких специалистов (невролога, офтальмолога, дерматолога, кардиолога, нефролога) с проведением широкого аппаратного обследования пациента. Церебральная эпилептическая активность регистрируется при помощи ЭЭГ и ЭЭГ с пробами. У детей до года возможно проведение нейросонографии. Наибольшую значимость в диагностике поражений ЦНС имеют КТ и МРТ. КТ головного мозга более информативно в отношении кальцифицированных туберов и субэпендимальных узлов, а МРТ головного мозга — в выявлении некальцифицированных туберов. С целью своевременной диагностики астроцитомы детям, имеющим туберозный склероз, рекомендовано прохождение МРТ или КТ-исследования не реже чем раз в 2 года.
Проводится комплексное обследование соматических органов: ЭКГ, УЗИ и МРТ сердца, УЗИ брюшной полости, УЗИ и КТ почек, урография, обзорная рентгенография грудной клетки, ректороманоскопия, колоноскопия. Диагностика офтальмологических поражений осуществляется путем прямой и непрямой офтальмоскопии, сканирующей томографии сетчатки.
В связи с большой полиморфностью сопровождающих туберозный склероз проявлений, для установления диагноза используют диагностические критерии, разработанные в 1998 г. в Швеции. Они включают первичные, вторичные и третичные признаки. Туберозный склероз достоверен, когда имеет место 1 первичный признак в сочетании с 2 вторичными или третичными. Туберозный склероз вероятен при наличии 1 вторичного и 1 третичного или 3 третичных признаков. Окончательную точку в вопросе диагностики туберозного склероза помогает поставить генетический анализ.
Лечение туберозного склероза
Основополагающим направлением в лечении ТС является антиконвульсантная терапия, поскольку степень олигофрении и ЗПР напрямую коррелирует с частотой эпиприступов, а эпилептический статус может стать причиной смертельного исхода. Выбор препарата зависит от вида пароксизмов, при недостаточной эффективности монотерапии, назначается комбинированное лечение. При синдроме Веста применяют вигабатрин и тетракозактид. Препаратами второй очереди выступают вальпроаты. Если туберозный склероз протекает с парциальными эпиприступами, то базовой терапией считается сочетание вальпроатов с карбамазепином. При отсутствии эффекта в эту схему лечения включают ламотриджин. При генерализованных эпиприступах и парциальных пароксизмах в качестве монопрепарата и в комбинации с другими противоэпилептическими средствами могут применяться современные антиконвульсанты топирамат и леветирацетам.
Терапия олигофрении проводится преимущественно путем нейропсихологической коррекции и комплексного психологического сопровождения ребенка. Назначение ноотропов и прочих стимулирующих нейропрепаратов противопоказано из-за наличия эписиндрома. При выявлении астроцитомы проводится динамическое наблюдение. Хирургическое удаление внутримозговой опухоли показано только при резком увеличении ее размеров с подъемом внутричерепного давления. Операцию проводят нейрохирурги.
В отношении новообразований соматических органов применяется преимущественно выжидательная тактика. Хирургическое лечение проводится по показаниям, в основном в случаях, когда опухоль вызывает существенную дисфункцию органа или имеется угроза ее злокачественного течения.
Туберозный склероз симптомы и диагностика у детей
Туберозный склероз, или болезнь Бурневиля – генетическое заболевание, которое характеризуется специфическим комплексом изменений нервной системы и кожи, а также наличием доброкачественных опухолей (гамартом) в различных органах (головной мозг, легкие, почки). Болезнь обусловлена нарушениями генов, кодирующих белки гамартин и туберин, и, окончательный диагноз ставится на основании генетических анализов, но вместе с тем типичная МРТ-картина позволяет поставить верный диагноз в большинстве случаев.

Клинически заболевание манифестирует судорожными припадками (эпилепсией) в детском возрасте. Туберозный склероз помогают заподозрить внешние изменения на коже: ангиофибромы лица, «шагреневая» кожа, мягкие кожные фибромы и т.д.
При подозрении на эту болезнь обязательно следует проводить МРТ головного мозга. При этом в головном мозге выявляются характерные МРТ-признаки туберозного склероза: корковые и подкорковые узлы (туберсы), субэпендимальные узелки (гамартомы), а также различные изменения белого вещества – очаговые и кистозные.

К сожалению, многие врачи недостаточно знакомы с симптомами, поэтому болезнь нередко просматривается на МРТ, и пациентам ставится другой, неверный диагноз. Дополнительная опасность заключается в том, что субэпендимальные узелки способны перерождаться в опухоль – т.н. субэпендимальную гигантоклеточную астроцитому.
Поэтому необходимо не просто повторять МРТ на качественном аппарате, но и показать снимки квалифицированным рентгенологам, которые досконально знают диагностику болезней мозга и могут детально разобраться в проблеме.
Оказать дистанционную консультацию по МРТ и выполнить удаленную расшифровку МРТ могут врачи всероссийской службы Национальной телерадиологической сети.
Узнайте подробнее, как получить Второе мнение по КТ и МРТ головного мозга.

МРТ головного мозга при туберозном склерозе. Участки изменения МР-сигнала неправильной формы в коре и подкорковом белом веществе — так называемые корковые туберсы.

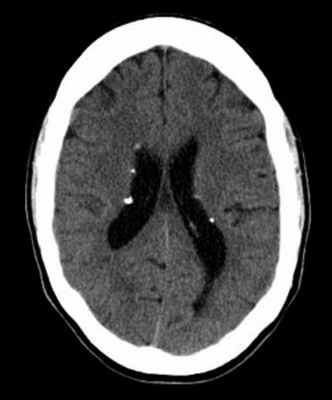
КТ головного мозга при туберозном склерозе. Видны кальцинированные субэпендимальные узелки в стенках боковых желудочков.
Читайте также:
